КТ, МРТ венозной мальформации головы и шеи
Добавил пользователь Евгений Кузнецов Обновлено: 10.01.2026
Венозные ангиомы представляют собой посткапиллярные мальформации. Частота их составляет около 2% населения. Венозные ангиомы существуют изолированно или в сочетании с гемангиомой. Состоит из «короны» собирающих вен. Дренирующая вена представляет собой расширенную подкорковую или субэпендимальную вену (играет роль транскортикальной вены и дренируется в дуральный синус). От венозного варикоза ангиому при МРТ головного мозга отличает наличие системы вен, а не единственная расширенная вена. Считается, что их частота достигает 2% населения. Обычно является случайной находкой, либо пациенты жалуются на головные боли.
На КТ головного мозга структура венозной ангиомы трубчатая, направленная в сторону кортикальной поверхности и ближайшего дурального синуса. При контрастировании отмечается усиление. Структура мозга не изменена. Отёка и масс-эффекта нет.
Венозная ангиома типично выглядит на МРТ головного мозга: небольшие радиально сходящиеся к единому стволу вены, напоминающие “голову медузы”. В дополнение к МРТ головного мозга может быть выполнена МР венография, которая полезна в плане расширения представления о путях дренажа.

МРТ головного мозга. Т1-взвешенная МРТ с контрастированием. Венозный варикоз.

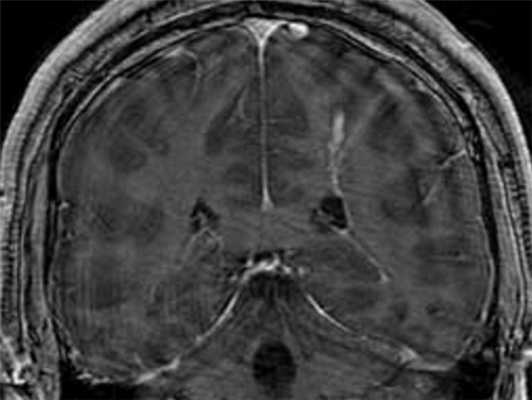
МРТ головного мозга. Т1-взвешенная МРТ с контрастированием. Венозная ангиома.

МР венография головного мозга. Нативный срез. Венозная ангиома.
При МРТ в СПб в наших клиниках мы дифференцируем венозные мальформации при МРТ и МРВ головного мозга с артериовенозными, при которых тактика лечения совсем иная.
Что такое венозная ангиома головного мозга: причины, лечение, прогноз

Придавать значение головной боли стало немодным.
Большинство людей ограничивается приемом обезболивающих и не задумываются над тем, что причиной неприятного симптома могут быть сложные неврологические проблемы, например, венозная ангиома головного мозга.
Прогноз зачастую зависит от вовремя начатого лечения.
Что такое венозная ангиома, как образуется
Кровеносные сосуды мозга при участии лимфатической ткани могут создавать «клубки», затрудняющие кровоток, питание клеток мозга. Например, из артерии кровь сразу поступает в вену, как следствие, ткани не получают кислородного питания. Такие образования сосудов называют венозными ангиомами, они могут быть злокачественными и доброкачественными. Главная их опасность кроется в сдавливании структур мозга, возможном разрыве стенок сосуда и геморрагическим инсульте.

Кровоизлияние может случиться из-за тонкости стенок опухоли при незначительном повышении давления, травме, эмоциональном напряжении. Если человек не знал о наличии у себя подобных структур, то остается полагаться на опыт врачей в постановке точного диагноза при резких проявлениях болезни (паралич, значительные сенсорные расстройства, инсульт).
При небольших размерах ангиома головного мозга может ничем себя не выдавать в течение всей жизни, чем и обусловлены сложности диагностики.
Ангиомы растут медленно, с периода внутриутробного развития человека. Выявляются при внеплановых обследованиях, или подозрениях на наличие новообразований разной природы в головном мозгу.
Причины появления опухоли
Этиология ангиом постоянно исследуется, поскольку болезнь встречается все чаще. Различают несколько возможных путей появления в организме такого типа образования:
- врожденный порок (наследственный фактор), при котором неконтролируемо разрастется эпителиальная ткань стенок сосудов;
- механическая травма;
- болезни, при которых происходит демиелинизация оболочек мозга;
- перенесенная инфекционная болезнь мозга;
- постоянный контакт с химикатами;
- другие типы рака, «мигрировавшие» в мозг.

Неконтролируемое деление клеток сосудов (мутация) может прекращаться или ускоряться под воздействием внешних факторов (гормональные перепады, химическое воздействие).
Следовательно, симптоматика может проявиться в любом возрасте, но особенно внимательно стоит отнестись к неврологическим жалобам в переходные периоды (пубертатный, климактерические расстройства, беременность).
Перерождение в злокачественную опухоль происходит, если имел место длительный контакт с негативной средой, произошел гормональный сбой, или появились злокачественные новообразования в другом органе.
Локализация и симптоматика
В постановке диагноза «помогают» неврологические симптомы, проявляющиеся в течение длительного времени, не поддающиеся купированию.
Пациент с ангиомой периодически ощущает приступы головной боли, тошноту не пищевого характера, сенсорные расстройства, случаются обмороки. В зависимости от того, в каком участке мозга локализуется новообразование, какова его природа (задействованы вены, капилляры, или каверны), появятся и специфические симптомы:
- Венозная ангиома затылочной доли:
- спазмирующие ощущения в мышцах затылка;
- зрительные галлюцинации (возникновение длительных образов и кратковременного искрения).
- Венозная ангиома правой височной доли:
- слауховые и обонятельные галлюцинации;
- нарушение памяти (на слова), речи.
- Поражение левой височной доли так же, как и правой, нарушает речь и возможность ее восприятия. Добавляются сильные эмоциональные скачки без видимых внешних причин.
- Венозная ангиома правой теменной доли:
- отсутствие различия «право-лево» при действии раздражителей;
- неосознанный паралич.
- Поражение левой теменной доли приводит к потере ориентации не относительно своего тела, а в пространстве (невозможность определять расстояния, читать карту).
- Венозная ангиома правой лобной доли:
- эмоциональная нестабильность;
- невозможность контролировать свои действия;
- эйфорический настрой;
- потеря способности грамотно строить предложения любой длинны.
- При опухоли левой лобной доли больной не может перейти к словесному оформлению мысли (думает, но не может сказать), слабо контролирует собственное поведение.

В целом капиллярные ангиомы могут возникать в любом отделе мозга, а венозные преимущественно в мозжечке, белом веществе мозга.
Прогноз зависит от размеров опухоли, ее добро- или злокачественности, локализации. Преимущественно образования поддаются лечению.
Виды опухолей
D18 - код по МКБ 10, под которым подразумевают любой тип ангиомы по локализации и происхождению.
Для успешного лечения имеет смысл различать венозные и кавернозные ангиомы. Первый тип возникает в венах, как расширение одного, или нескольких венозных сосудов. Давление в венах невысокое, а стенки довольно крепкие, поэтому риск разрыва невелик.
Кавернозный тип включает в свою структуру не только кровеносные сосуды, но и небольшие полости мозга. Опухоль полностью заполняет каверны, а границами ее служат тонкие мембраны. При таком типе заболевания сохраняется высокий риск геморрагического инсульта с обильным кровоизлиянием.
Для проведения лечения важно место локализации опухоли, тип по добро-, злокачественности, активность изменения в размерах (постоянно растет, или имеет четкие неизменные границы).
Диагностические методы и критерии
Обращение к невропатологу с жалобами на системные головные боли, тошноту, сенсорные нарушения служит причиной для проведения МРТ, контрастной ангиографии.
Иногда речь идет об новообразовании, имеющем значительные размеры, существенно влияющем на работоспособность мозга. Выявить опухоль такого типа на средних и поздних стадиях получается при проведении не планового КТ, МРТ головы с контрастом.
Современные методы диагностики дают возможность точно определить локализацию, размеры опухоли, тип сосудистого формирования.

Венозная ангиома на МРТ

Венозная ангиома правой лобной доли указана на фото стрелкой
Медицинская помощь
В зависимости от типа венозной ангиомы лечение может состоять из разных блоков. При доброкачественной опухоли комплекс медицинской помощи включает
- препараты для нормализации кровообращения;
- седативные и обезболивающие препараты для стабилизации эмоционального состояния;
- оперативное вмешательство (малоинвазивное, или обширное).
Хирургические методы применяют, если опухоль находится на поверхности мозга в безопасной зоне. К таким относят все опухоли на поверхности мозга, где доступ не затруднен прилегающими тканями. В противном случае пытаются получить доступ к опухоли через сами сосуды, поскольку риск травмирования самого мозга меньше, чем при полноценной инвазии.
В ходе малоинвазивной процедуры в образование вводят вещества, блокирующие поступление крови в патологически растущие сосуды. Таким образом создается новый путь для тока крови в обход проблемного закупоренного участка.
Злокачественная природа опухоли означает однозначное хирургическое иссечение, химиотерапию отдельного участка мозга.
Прогноз и меры профилактики
После прохождения обязательного курса лечения пациенту советуют придерживаться максимально здорового образа жизни, постоянно следить за уровнем артериального давления. По возможности стоит избегать зон риска с сильным химическим загрязнением, чтобы предотвратить риск роста патологических клеток в сосудах.
Пациенты со злокачественными образованиями не реже, чем раз в год, проходят профилактическое обследование, чтобы исключить риск рецидива.
Пережившие купирование доброкачественной опухоли наблюдаются у терапевта, кардиолога, невролога, но, как правило, повторного прохождения процедуры не требуется.
Длительность жизни при правильном лечении такая же, как и у здоровых людей.
Исходя из природы появления ангиомы рекомендовано в целях профилактики:
- знать семейный анамнез за 2-4 поколения (исключение наследственного фактора);
- придерживаться здорового образа жизни;
- следить за течением беременности;
- избегать длительного контакта с агрессивными средами;
- в случае травм головы проводить дополнительные анализы (КТ, МРТ);
- не заниматься самолечением при наблюдении неврологических симптомов.

Отдельным пунктом в профилактике заболевания является отсутствие самостоятельного симптоматического лечения как головных болей, так и гипертонии. Внимательное отношение к здоровью поможет обратиться за квалифицированной помощью вовремя.
Сосудистые мальформации головного мозга — их виды, симптомы и удаление

В переводе с английского языка, слово мальформация означает неправильное развитие чего-либо. Медики под этим термином подразумевают разные патологические отклонения, которые влекут за собой сбои в функциональности или изменения в строении каких-либо органов.
По большому счету, мальформации появляются при рождении или в ходе развития человека. Но не исключено, что они могут возникнуть в результате травм или как последствие серьезных болезней.
Сосудистые мальформации головного мозга
Существует несколько видов мальформаций, и одна из них относится к патологии сосудов головного мозга. Этот вид заболевания характеризуется изменениями артерий, вен и их коммуникации. Также, как и в остальных случаях, патологические изменения проявляют себя как хроническое расстройство и появляются в результате некоторых болезней.
Основной особенностью мальформаций сосудов головного мозга является то, что они напрямую связаны с центральной нервной системой, и появляются либо в головном, либо в спинном мозге.
Внешне болезнь выглядит, как узлы или переплетения сферической формы и разных размеров, которые затрудняют движение крови по сосудам.
Согласно медицинской статистике, такая аномалия в хронической форме проявляется у 15-19 новорожденных на 1000 человек.
О причинах в теории
Точных причин появления патологии у младенцев пока не выявлено, но существует одна теория-предположение.
Окончательное формирование всей структуры сосудов головного мозга плода происходит к 20 неделе его развития в утробе. Значит, сосудистая сеть в это время находится в нестабильной форме и склонна к деформации, особенно под воздействием негативных факторов.

Сосудистая мальформация на МРТ
К примеру, причиной этого может служить серьезная болезнь матери:
- инфекционное заболевание;
- родовой травматизм беременной матери;
- серповидноклеточная анемия.
А также в список провоцирующих факторов можно включить медикаменты или наркотические средства, которые мама принимала во время вынашивания ребенка.
Точных причин, которые напрямую влияют на развитие болезни на сегодняшний день не обнаружено.
Общая симптоматика
Зачастую пациенты живут с сосудистой мальформацией долгие годы и не знают о наличии этого заболевания. Заболевание имеет свойство не проявляться долгое время. Именно в этот период, затаившаяся болезнь прогрессирует, увеличивая свои размеры. И в случае «созревания», происходит давление на ГМ (головной мозг), что приводит к проявлению симптомов.
Общие симптомы сосудистой мальформации:
- апатическое состояние и депрессивность;
- вялость и быстрое истощение;
- сбои координации человека;
- нарушение моторики;
- повышенное давление внутричерепной коробки с пульсацией в голове;
- зрительные нарушения;
- приступы судороги;
- шумы в голове;
- слуховые или обонятельные галлюцинации;
- головные боли и головокружения.
Если недуг появился при рождении, то он начинает себя проявлять в возрасте 12-14 лет, когда ребенок растет физически. В любых других случаях, он может дать о себе знать даже в среднем возрасте (47-65 лет). Существует несколько видов мальформаций, от которых напрямую зависит симптоматика.
Артериовенозная мальформация
Это патология, которая затрагивает соединение вен и артерий. Суть нарушения заключается в том, что при соединении вен и артерий отсутствуют капилляры. Она напрямую связана с центральной нервной системой, но ее проявление возможно даже в отдаленных областях.
К примеру, часто бывают случаи, когда нарушение может проявить себя при пороке сердца, между луковицей аорты и легочным стволом.

Причинами АВМ могут служить:
- повреждения сосудов головы в результате черепно-мозговых травм;
- хронические структурные нарушения сосудистой системы;
- отложения жирных элементов на стенках сосудов.
АВМ считается самой серьезной разновидностью мальформация сосудистой системы и имеет симптомы, по которым ее можно определить:
- тошнота и частая рвота;
- потеря сознания;
- кровоизлияние внутри ГМ;
- резкие головные боли;
- парциальные и генерализованные судороги;
- частичная потеря зрения и слуха;
- обонятельные галлюцинации;
- сбои речевых функций.
Полностью устранить болезнь такого вида можно только лишь на начальных стадиях ее развития. После диагностирования, зная все тонкости имеющейся патологии, лечащий врач должен назначить метод лечения. В большинстве случаев делают проводят три вида операций:
- оперативное вмешательство;
- радиохирургия;
- эмболизация.
Болезнь Денди-Уокера
Аномалия Денди-Уокера характеризуется гипертрофией мозжечка или ликворной опухолью задней черепной ямки. Аномалия вызывается в основном генетически, но бывают случаи, когда она проявляется из-за вирусных инфекций, воздействия алкоголя или диабета беременной женщины.

Развитие синдрома может проявляться следующими симптомами:
- тошнота;
- агрессия;
- появление судорог;
- расстройство зрения;
- сбои координации движения;
- нарушение согласованности движений мышц;
- колебания движений глаз (нистагм).
Вылечить болезнь можно только с помощью хирургической операции. Она заключается в искусственном вентрикулоперитонеальном шунтировании для уменьшения давления ликвора в мозгу.
Но при этом есть риск, что некоторые появившиеся дефекты могут остаться на всю жизнь.
Мальформация Арнольда Киари
Суть аномалии лежит в том, что миндалины мозжечка ГМ опускаются в отверстие затылочной области и при этом сдавливает продолговатый мозг.
До 2005 года считалось, что эта мальформация является врожденной. Но после соответственных исследований было установлено, что синдром Киари возникает в результате напряжения концевой нити, что приводит к натяжению спинного мозга.
А также существует версия, что мозжечок смещается к верхней части канала позвоночника, тем самым нарушая стабильную циркуляцию ликвора и блокируя сигналы, поступающие к другим органам.
Этому заболеванию свойственны симптомы поражения мозжечка и продолговатого отдела ГМ:
- головная боль с проявлением простудных симптомов;
- затылочная боль, спускающаяся к плечевому поясу;
- потеря равновесия;
- снижение активности моторики рук;
- онемение верхних конечностей.
Как и при любой подобной болезни, лечение будет производиться только после обследования пациента. Это зависит от степени ее проявления.
Врачами может быть назначено консервативное лечение лекарственными препаратами, которое будет направлено на устранение первичных симптомов. Но, при прогрессии болезни проблема решается оперативным вмешательством.
Мальформация Арнольда Киари II степени характеризуется большими размерами задней части черепа, по сравнению с передней. За счет увеличенных габаритов также и увеличено большое затылочное отверстие, в которое впадает нижняя часть мозжечка. Это приводит к их встречному сдавливанию со спинным мозгом.
Определить такую мальформацию можно с помощью МРТ, КТ (область затылка, позвонков шеи) и проявления симптомов:
- посторонние шумы в ушах;
- головокружение и истощенность;
- повышенное давление внутри головы;
- периодические нистагмы.
Хирургическая операция направлена на удаление мешающей части кости в задней области черепа. Появляется больше места для мозга, вследствие чего снижается давление. Такая операция считается серьезной, но не слишком трудной. Она длится около 2 часов.
Общий подход к лечению
Как уже упомянуто выше, основной базой лечения этого заболевания является три вида операций: микрохирургические, радиохирургические и эндоваскулярные.
Целесообразность применения того или иного вида вмешательства определяется несколькими факторами:
- место нахождения мальформации;
- габариты патологии и внешняя форма;
- наличие кровоизлияний ГМ в истории болезней;
- тип патологии;
- лабораторные анализы пациента.
Подробней о каждом методе:

- Микрохирургическая операция - заключается в полном иссечении патологии, но является одним из опаснейших способов из-за возможных внутренних кровотечений. Если заболевание касается артерий и вен, то проводится трепанация черепа. Параллельно с сосудистым узлом также удаляется внутричерепная гематома. Такие операции проводятся под наркозом высокого уровня.
- Радиохирургия - такая операция возможна только, если АВМ в диаметре не более 30 мм. Принято выполнять для удаления при вновь выявленных и остаточных изменениях. Терапевтические лучи подаются постепенно, с удержанием. В результате попадания оптимального количества лучей, сосуды «заращиваются» и движение крови по ним останавливается. Процесс лечения может проводиться по частям, растянувшись 1-3 года.
- Эмболизация - проводится перед хирургической операцией, для профилактики кровоизлияний. Через тазобедренный прокол внедряется тонкий катетер, направляется к сосудам, которые снабжают ГМ кровью и подводится к самой патологии. Через трубку подается эмболизирующий материал и блокирует пораженные места сосудов и останавливает подачу кровотока.
В некоторых ситуациях в курс лечения включается и консервативный метод с использованием аптечных препаратов.
Чем опасны мальформации?
Нужно отметить, что сосудистая мальформация чревата осложнениями. Среди них можно выделить три, которые представляют опасность для жизни больного:
- Кислородное голодание ГМ. Из-за него происходит отмирание клеток головного мозга (полное или частичное). Сперва это приводит к инфаркту мозга, который проявляется потерей памяти, зрения, координации движения. При отсутствии лечения, человек впадает в кому или сопор.
- Истончение сосудов. Вследствие этого может произойти разрыв сосуда с кровоизлиянием в результате. Кровь попадает в полость черепа, что характеризуется нарушением кровообращения мозга. Происходит геморрагический инсульт.
- Паралич. При сдавливании спинного мозга есть риск развития паралича.
Профилактика осложнений
Профилактические меры здесь направлены на предупреждение развития осложнений. Это можно сделать так:

- не подвергаться психоэмоциональным воздействиям, которые провоцируют стрессы;
- отказаться от физических нагрузок, связанных с поднятием тяжестей;
- контролировать артериальное давление и не давать ему повышаться, для снижения АД разрешено использовать аптечные препараты для гипертоников;
- употреблять пищу с большим содержанием натрия;
- отказаться от вредных привычек и употребления алкогольных напитков.
Для более подробных рекомендаций следует обратиться к вашему лечащему врачу.
Венозная мальформация - симптомы и лечение
Что такое венозная мальформация? Причины возникновения, диагностику и методы лечения разберем в статье доктора Густелёва Юрия Александровича, флеболога со стажем в 17 лет.
Над статьей доктора Густелёва Юрия Александровича работали литературный редактор Вера Васина , научный редактор Сергей Федосов и шеф-редактор Лада Родчанина
Определение болезни. Причины заболевания
Венозная мальформация — это врождённая аномалия или порок развития венозной системы, которая выражается в нарушении строения сосудистой сетки. Патология встречается редко, при этом включает множество различных форм.

Венозные мальформации считаются одними из самых сложных в лечении врождённых пороков развития сосудов. Заболеваемость оценивается приблизительно в 1-2 случая на 10 000 новорождённых. Патологию одинаково часто выявляют как у женщин, так и у мужчин. Более 90 % венозных мальформаций возникают спонтанно без явных причин в виде локализованных поражений. Мальформации в нескольких разных местах наблюдаются у пациентов с редкими наследственными формами заболевания. К ним относятся кожно-слизистая венозная мальформация и гломувенозная мальформация, а также две чрезвычайно редкие формы: многоочаговая венозная мальформация и невус по типу синего резинового пузыря (синдрома Бина) [1] [2] .
Венозные мальформации возникают как результат врождённых и генетических ошибок в развитии гладкомышечного слоя вен, которые приводят к расширению и нарушению функции венозной сети. Как правило, венозные мальформации диагностируются уже при рождении, а их рост усиливается с развитием ребёнка. Но бывает, что клинически очевидные признаки могут появиться позже. Заболевание прогрессирует медленно (в течение десятков лет). Пубертатный период и половое созревание иногда ускоряют развитие венозных мальформаций, особенно при внутримышечной локализации. В зависимости от расположения и распространённости патологического процесса симптомы венозных мальформаций различны. Они включают боль, кровотечение, косметический дефект и функциональные нарушения, способные значительно ухудшить качество жизни, привести к осложнениям, инвалидности и летальному исходу [4] .
При обнаружении схожих симптомов проконсультируйтесь у врача. Не занимайтесь самолечением - это опасно для вашего здоровья!
Симптомы венозной мальформации
Венозные мальформации развиваются главным образом в коже, подкожной клетчатке или слизистых оболочках, хотя могут поражать любые ткани, включая мышцы, суставы, внутренние органы и центральную нервную систему. Приблизительно 40 % венозных мальформаций возникает на конечностях, 20 % на туловище и 40 % в шейно-лицевой области. Подавляющее большинство из них расположено в одном очаге. Только 1 % локализуется в нескольких очагах, вовлекая в патологический процесс сразу кожные покровы и внутренние органы [8] .
Венозные мальформации обычно покрывают мягкие податливые подкожные образования и проявляются как изменение цвета кожи от светлого до тёмно-синего оттенка. Клинические проявления могут сильно варьировать в зависимости от размера, локализации и степени сдавливания соседних органов. Шейно-лицевые венозные мальформации могут приводить к обезображиванию, асимметрии лица, смещению глазных яблок или нарушению прикуса [11] .

Частой жалобой пациентов является боль, которая связана с поражением суставов, сухожилий или мышц. Она может усиливаться в период полового созревания и при интенсивных физических нагрузках или менструации. Болевой синдром сильнее выражен в утренние часы, по-видимому, из-за застойных явлений и отёка [1] .
Венозные мальформации в височной мышце часто приводят к мигрени. Поражение полости рта, в том числе языка, вызывает затруднение речи и жевания. Венозные мальформации, развивающиеся в конечностях, становятся причиной мышечной слабости, изменения длины конечностей и их недоразвития [15] .
У ряда пациентов с венозными мальформациями наблюдается варикозное расширение поверхностных вен, особенно часто при локализации на конечностях. Обычно это характерно для обширных поражений [6] .
Патогенез венозной мальформации
Возникновение венозных мальформаций связано с генетическими нарушениями. Лабораторные исследования выявляют мутации в генах, отвечающих за развитие внутренней и мышечной оболочки венозных сосудов. Некоторые виды мутаций передаются по наследству [3] . Генетические нарушения приводят к локализованным дефектам развития сосудов во время васкулогенеза и особенно при ангиогенезе. Васкулогенез — первая стадия образования кровеносных сосудов в эмбриональный период. Определяется как рост сосудов из эмбриональных клеток. В ходе васкулогенеза предшественники эндотелиальных клеток (ангиобласты) мигрируют и дифференцируются, образуя однослойные капилляры. При дальнейшем ангиогенезе сеть капилляров удлиняется и расширяется [16] .

Патогенез сосудистых мальформаций сложен и до конца не изучен. Заболевание до сих пор остаётся одной из загадок современной медицины.
Венозные мальформации — это сборная группа различных заболеваний. Общее у них только то, что развиваются они из венозной ткани. В связи с этим стадии каждого вида этой патологии различны, но все заболевания характеризуются медленным течением. Развитие венозных мальформаций крайне вариабельно и зависит от множества факторов: объёма и скорости разрастания вен, их локализации, степени проникновения в окружающие ткани и органы, сопутствующих заболеваний [14] .
Классификация и стадии развития венозной мальформации
Выделяют следующие виды венозных мальформаций:
- мальформации слизистых оболочек;
- мультифокальные;
- гломовенозные;
- смешанные;
- синдромальные.
Венозные мальформации слизистых оболочек — это редкий тип порока развития вен наследственного характера. Они выглядят как множественные небольшие поверхностные очаги различных оттенков синего цвета, которые легко сжимаются. В поражение вовлекаются кожа и слизистая оболочка полости рта, реже — мышцы.
Мультифокальные (располагающиеся в разных местах) венозные мальформации также проявляются на слизистых оболочках, но не относятся к наследственным заболеваниям. Они обычно представлены в виде небольших, приподнятых, множественных поражений различных оттенков синего цвета в шейно-лицевой области, прорастающих в кожу и слизистую оболочку рта, а иногда в подкожные ткани и скелетные мышцы.
Гломовенозные мальформации (от лат. glomus — клубок, клубочек; venosus — венозный; "венозный клубок") характеризуются недоразвитием клеток гладких мышц, окружающих извитые венозные каналы. По виду они напоминают булыжник, с небольшим утолщением кожи тёмно-синего или пурпурного цвета, с множественными поражениями различного размера. Часто располагаются на конечностях и затрагивают в основном кожные покровы. Реже поражают слизистую оболочку и никогда не проникают глубоко в мышцы.

Венозные мальформации могут возникать и в сочетании с другими сосудистыми мальформациями, такими как капиллярно-венозные мальформации и капиллярно-лимфатические венозные мальформации.
Синдромальные венозные мальформации — различные врождённые заболевания с характерной клинической картиной. К ним относятся невус по типу синего резинового пузыря (синдрома Бина), синдромы Маффуччи и Клиппеля-Треноне.
Синдрома Бина — редкое врождённое заболевание с многочисленными рассеянными венозными мальформациями на коже и внутренних органах. У пациентов при рождении часто наблюдается "главное" поражение, которое со временем разрастается, поражает кожу, мягкие ткани и желудочно-кишечный тракт.
Синдром Маффуччи — это редкий ненаследственный генетический синдром, характеризующийся множественными хрящевидными доброкачественными опухолями, поверхностными и подкожными веретенообразными гемангиомами на конечностях.
Синдром Клиппеля — Треноне — редкое врождённое заболевание, проявляющееся варикозным расширением вен и увеличением объёма конечностей [2] [3] .

Осложнения венозной мальформации
К часто встречающимся осложнениям венозных мальформаций относят:
- трофические нарушения, в том числе открытые язвы;
- переломы костей;
- тромбозы;
- кровотечения;
- анемию;
- сдавление окружающих тканей и органов;
- нарушение функции внутренних органов и конечностей;
- косметические дефекты [13] .
Тромбоз при венозных мальформациях проявляется во вздутии, уплотнении и боли в поражённых областях. Однако венозные мальформации редко приводят к отрыву тромба, поскольку тромбированные сосуды отделены от основной венозной системы. Длительно существующие тромбы могут кальцинироваться. В результате образуются округлые тромбы (флеболиты или "венозные камни"), которые прощупываются или определяются на глаз [10] .
Медленный ток крови через расширенные и извитые сосуды приводит не только к застою крови, нарушению свёртывания и образованию тромбов, но и к повышенному кровотечению. Это расстройство называется локализованной внутрисосудистой коагулопатией. Оно встречается примерно у 42 % пациентов с венозными мальформациями, особенно часто при больших поражениях. Тяжесть патологии зависит от размеров и проявляется в повышении уровня D-димера (белка, результата распада фибрина в процессе растворения кровяных сгустков) в крови, снижении уровня фибриногена и низком уровне тромбоцитов. Тяжёлые формы этого нарушения свёртываемости крови могут прогрессировать и усиливать кровотечение во время хирургических вмешательств [4] . Причина кровотечений во всех случаях — нарушение целостности стенки сосуда.
Некоторые венозные мальформации могут быть крайне опасными из-за распространения на жизненно важных органах. Глубокие ротоглоточные мальформации сдавливают и смещают верхние дыхательные пути, вызывая храп и апноэ во сне. Также они могут привести к нарушениям жевательной, речевой функций и акта глотания. Венозные мальформации, поражающие желудочно-кишечный или мочеполовой тракт, часто вызывают кровотечения и хроническую анемию [11] .
Трофические нарушения развиваются более чем в 30 % случаев, а открытые трофические язвы наблюдаются у 5 % пациентов. Эти язвы часто болезненны и могут приводить к кровотечениям, инфекции и рубцеванию [6] .
Некоторые виды редких форм венозных мальформаций, например синдром Маффуччи, сопровождаются повышенным риском развития рака. Синдром Маффуччи в 20 % случаев связан со множеством злокачественных, как правило, мезенхимальных опухолей. Чаще возникает хондросаркома, реже — с ангиосаркома, лимфангиосаркома, остеосаркома и фибросаркома [5] .

Диагностика венозной мальформации
Венозная мальформация проявляется изменением цвета кожи от светло-синего до синего оттенка и мягкими образованиями в подкожной клетчатке, присутствующими с рождения или раннего детства. Дополнительным ключом к постановке диагноза являются медленное развитие в течение жизни или резкое разрастание, которое вызвано половым созреванием, травмой, физическими нагрузками или периодами менструаций. В связи с наследственным характером заболевания важен сбор семейного анамнеза [2] [3] .
Клинический диагноз основывается на визуализации очага поражения и данных физикального обследования:
- общие признаки венозных мальформаций варьируются от небольших варикозно расширенных вен до обширных поражений лица, конечностей или туловища;
- при сжатии эти вены опорожняются, а также они менее заметны в вертикальном положении;
- при напряжении, например плаче или физических упражнениях, вены увеличиваются;
- вследствие медленного тока крови при пальпации не ощущается дрожание, а при аускультации ("выслушивании") не слышно шума [8] .
Дополнительные методы обследования для выявления поверхностных и локализованных поражений, как правило, не требуются. В случае же обширного распространения при первоначальной диагностике, для оценки костной ткани и при планировании лечения применяют методы визуализации:
- ультразвуковое исследование (УЗИ) и магнитно-резонансную томографию (МРТ) для первоначальной диагностики [12] ;
- рентгенографию для обнаружения типичных для венозных мальформаций флеболитов;
- компьютерную томографию (КТ) для оценки костной ткани;
- рентгеноконтрастную флебографию (введение в просвет вен рентгеноконтрастного вещества) для планирования лечения [7] .

У пациентов с подозрением на венозную трансформацию и тромбозом в анамнезе или без такового обнаруживается повышенный уровень D-димера в крови (выше предельного референсного значения - 0,55 мкг FEU/мл). D-димер позволяет определить нарушения в свёртывающей системе. Его уровень также помогает дифференцировать различные варианты венозных мальформаций и отличать их от других сосудистых аномалий [4] .
Лечение венозной мальформации
В лечении пациентов с венозными мальформациями участвует нескольких специалистов:
- дерматолог;
- сосудистый хирург;
- пластический хирург;
- гематолог;
- ортопед.
Пациенты с небольшими очагами и незначительной симптоматикой зачастую в лечении не нуждаются. Терапия показана при косметических дефектах, функциональных нарушениях и болевом синдроме [2] [3] .
Лечение должно быть индивидуальным с учётом расположения венозных мальформаций и особенностей эстетических проблем.
Основными методами коррекции заболевания служат:
- компрессионная терапия;
- склеротерапия;
- хирургическая операция [6] .
Специальный компрессионный трикотаж показан при симптоматических и обширных венозных мальформациях на конечностях для уменьшения боли и риска тромбоза.
При сохранении, несмотря на компрессию, болевого синдрома применяют нестероидные противовоспалительные препараты. При выраженных нарушениях свёртывания крови к терапевтической схеме добавляют антикоагулянты — вещества, разжижающие кровь [14] .
Склеротерапия — инъекции специальных веществ в просвет изменённых вен для их "склеивания", предпочтительный вариант лечения венозных мальформаций. Лечение помогает уменьшить объём образования перед операцией. Перед инъекцией склерозирующего препарата для оценки состояния венозных каналов выполняют рентгенологическое исследование (флебографию) [12] .
Хирургическое лечение проводят как для удаления небольших венозных мальформаций, так и при обширных поражениях. Оперативные методы, кроме простого иссечения, включают сложные пластические вмешательства — пересадку кожных и фасциально-мышечных лоскутов. В последнее время сосудистые хирурги стали практиковать метод эндовенозной лазерной облитерации (ЭВЛО). Он используется для лечения варикоза и уже продемонстрировал первые положительные результаты при "заваривании" венозных мальформаций лазером [5] .

Новейшим методом консервативного лечения является таргетная терапия. Она состоит в применении иммунодепрессанта сиролимуса, подавляющего разрастание клеток тканей аномальной венозной сети [2] [3] .
Прогноз. Профилактика
Излечить заболевание полностью удаётся редко. Обычно пациенты возвращаются к лечащему врачу через 5-10 лет с признаками рецидива. Больным с обширными поражениями требуется регулярное лечение с сочетанием консервативных и хирургических методов [2] [3] .
Для качественной оценки отдалённых результатов лечения применяют следующие критерии:
- Хороший результат — полное устранение симптомов, признаков и расстройств функционального характера или выраженное их уменьшение. При этом не нарушены функции органов, тканей и конечностей.
- Удовлетворительный — незначительное улучшение симптомов и уменьшение функциональных нарушений.
- Неудовлетворительный — дальнейшее развитие симптомов, нарушение функций тканей и органов, ухудшение показателей оттока крови и появление в области венозных мальформаций очагов некроза.
Отечественные хирурги отмечают, что хорошие отдалённые результаты реже всего наблюдаются после операций на верхних и нижних конечностях [1] [2] .
Отсутствие показаний, а также невозможность консервативного или хирургического лечения требуют постоянного динамического наблюдения за состоянием пациентов для предотвращения развития осложнений [7] .
Заболевание носит врожденный характер, поэтому профилактические меры отсутствуют. Венозная мальформация до сих пор остаётся вызовом для медицины.
Артерио-Венозная Мальформация
Артериовенозная мальформация сосудов головного мозга этоврожденная аномалия развития сосудистой системы головного мозга, которая представляет собой различной формы и величины сосудистые клубки, образованные, вследствие беспорядочного переплетения патологически измененных сосудов, при этом происходит прямое дренирование крови из артериальной системы в венозную.
В строении любой артериовенозной мальформации есть артерия, приносящая к ней кровь, тело - непосредственно сам клубок сосудов и вена, которая отводит кровь от узла. Таким образом, артериовенозная мальформация занимается перекачиванием артериальной крови в венозную систему, в результате чего здоровые ткани мозга недополучают, в первую очередь, кислород. В зависимости от размера, локализации и дренирования мальформации разделяют на 5 градаций по шкале Spetzler-Martin. При этом чем выше градация, тем прогностически хуже результат лечения.
Геморрагический тип течения - когда происходит кровоизлияние из артериовенозной мальформации в головной мозг, как правило, с формированием внутримозговой гематомы. Наиболее частой причиной кровоизлияния являются аневризмы, расположенные внутри тела мальформации, а также наличие единственной глубокой дренирующей вены. Эпилептический тип течения - проявляется эпилептическими припадками, как генерализованными, так и локальными (например: подергивание руки, лица и тд). Происходит за счет раздражения мальформацией окружающего ее мозгового вещества с формированием очага эпилептической активности. Не специфические симптомы - часто мальформации выявляются при обследовании по поводу головных болей или других жалоб со стороны нервной системы.
Выявить артериовенозную мальформацию можно методом ангиографии. На сегодняшний день существует три варианта ангиографии: КТ-ангиография, МР-ангиография и селективная церебральная ангиография. Первые два метода могут выполняться в амбулаторных условиях. Для селективной ангиографии необходима госпитализация в стационар приблизительно на 2 дня. Выполнение только КТ и МРТ головного мозга, в ряде случаев позволяет выявить или заподозрить артериовенозную мальформацию, однако для определения тактики хирургического лечения необходимо выполнение ангиографии.
Абсолютным показанием для операции на артериовенозной мальформации является перенесенное кровоизлияние. В этом случае лечение направлено на исключение повторного кровоизлияния, т.к его риск увеличивается более чем в два раза. Наличие эпилептических приступов является лишь относительным показанием для операции при неэффективности проводимой противосудорожной терапии. Также возникает большой вопрос о целесообразности вмешательств у больных с большими и гигантскими, а также расположенными в функционально значимых зонах артериовенозными мальформациями. В этом случае лечение может быть ограничено лишь выявлением и устранением источника кровоизлияния (интранидальные аневризмы, венозные вариксы и тд), а при отсутствии кровоизлияния в анамнезе даже полным отказом от хирургического лечения, потому что риск хирургии превышает возможную пользу.


Микрохирургическое удаление мальформации - в этом случае выполняется трепанация черепа, с последующем иссечением мальформации. Является самым радикальным, но не самым безопасным методом, особенно для больших или гигантских, а также располагающихся в функционально значимых зонах мальформаций. Эндоваскулярная эмболизация мальформации - выполняются путем прокола артерии, чаще бедренной (в паховой области), с последующим заведением специальных катетеров в тело артериовенозной мальформации и заклеивания ее изнутри с помощью специальных клеевых композиций. Лечение может быть как одномоментным, если мальформация небольшого размера, так и многоэтапными растягиваться на несколько лет. Количество этапов зависит от размера мальформации, ее строения, особенностей ранее проведенных операций. За одну этап стараются выключать около 30% объема мальформации, хотя понятие процента эмболизации носит условный и субъективный характер. При этом метод эффективен в 80-90% для маленьких, 40-50% для средних и только в 10-30% для больших или гигантских мальформаций. Комбинированное лечение - возможно сочетание первых двух методов. В этом случае проводится эндоваскулярная эмболизация (на сколько это возможно технически и безопасно) с последующим ее микрохирургическим удалением. Лучевая терапия - возможно облучение на аппаратах гамма-нож, линейном ускорителе, протонном пучке. Как правило, это касается мальформаций размер которых не превышает 3 см и при условии отсутствия высокоскоростных артериовенозных шунтов в ее теле. Эффективность метода оценивается не сразу, а в течение 2-3 лет с момента облучения. В последующем выполняют контрольную ангиографию, по результатам которой и принимают решение о дальнейшей тактики лечения.
Хирургия артериовенозных мальформаций не является безопасной и нужно понимать, что пациент может прийти в клинику на своих ногах, а покинуть ее в инвалидном кресле. Соглашаясь на операцию по поводу артериовенозной мальформации, пациент разделяет риски вмешательства вместе с оперирующим хирургом и родственниками, на плечи которых в последующем ложатся как медицинские, так и парамедицинские вопросы. Для этого целесообразно серьезно отнестись к выбору хирурга, который будет проводить операцию, найти и потратить достаточное количество времени на беседу с ним и понимание рисков операции, определиться с реальными рисками естественного течения заболевания в случае отказа от операции. Это позволить минимизировать возможные осложнения. Помните, что при всех вышеописанных методах есть осложнения, даже при лучевой терапии, и ни один врач ни в одной стране мира до конца их не исключит. В случае отказа от операции необходимо следить за артериальным давлением, ограничить все виды тяжелой физической и психоэмоциональной нагрузки, перелеты самолетами (только при крайней необходимости), посещение бани, нахождение под прямыми солнечными лучами, в случае приема противосудорожных препаратов воздержаться от употребления алкоголя. Это существенно снижает качество жизни пациента, но окончательный выбор как лечиться все равно остается за ним.
Читайте также:
