Оценка смещаемости, пульсации сердца и крупных сосудов по рентгенограмме
Добавил пользователь Евгений Кузнецов Обновлено: 22.11.2025
Укладка больного для вьполнения снимка. Снимок сердца в прямой передней проекции выполняется точно так же, как и прямая передняя рентгенограмма легких. Рекомендуется лишь повысить на 10 кВ напряжение на трубке.
В таких условиях лучше выявляются правый контур левого предсердия, обызвествления клапанов сердца и крупные сосудистые стволы в области средостения.
Информативность снимка. На рентгенограмме грудной клетки в прямой проекции у здорового человека сердце расположено таким образом, что — справа от срединной линии. По правому контуру сердечной тени выделяют две дуги: нижняя, более выпуклая, образована правым предсердием; верхняя — восходящей частью аорты. Левый контур сердца состоит из четырех дуг. Нижняя образована передней стенкой левого желудочка; верхняя — дугой аорты в месте ее перехода в нисходящую.
Под дугой аорты располагается легочный ствол. Между легочным стволом и дугой левого желудочка — ушко левого предсердия (рис. 529).

Критерии правильности технических условий съемки и правильности укладки в основном такие же, как и при рентгенографии легких в прямой проекции. При. правильной установке больного и отсутствии сердечной патологии правый атриовазальный угол располагается на границе средней и нижней трети расстояния от верхушки легкого до правой половины купола диафрагмы или на уровне нижнего края переднего отрезка IV ребра.
Протяженность обеих дуг по правому контуру сердца примерно одинаковая.
Самая выступающая точка правого контура сердца отстоит от правого края позвоночника не менее чем на 1—1,5 см (уменьшение этого расстояния говорит о перемещении или повороте сердца); верхний край дуги аорты располагается на 2—2,5 см ниже грудиноключичного сочленения, а левая граница сердца — на 1 см кнутри от среднеключичной линии или на ее уровне.
Наиболее частые ошибки при выполнении снимка — аналогичны ошибкам, характерным для рентгенографии легких в той же проекции.
СНИМОК СЕРДЦА В ПРАВОЙ (ПЕРВОЙ) КОСОЙ ПРОЕКЦИИ
Назначение снимка. Первая косая проекция является оптимальной для изучения состояния левого предсердия, степень увеличения которого определяется по выраженности отклонения контрастированного пищевода.
Эта проекция также весьма информативна для выявлекия нарушений путей оттока правого желудочка (по выбуханию легочного конуса в сторону грудины).
Укладка больного для выполнения снимка. Больного устанавливают правым плечом к кассете с таким расчетом, чтобы фронтальная плоскость его тела пересекалась с плоскостью кассеты под углом 45—55°. Руки подняты над головой (рис. 530, а, б).
Съемку осуществляют на высоте вдоха после проглатывания больным глотка взвеси бария.
Информативность снимка. На рентгенограмме в первой косой проекции по переднему, обращенному к грудине, контуру сердца выделяют 4 дуги.
Первая (верхняя) дуга образована восходящей частью аорты, вторая — легочным стволом, третья — передней стенкой правого желудочка, четвертая — передней стенкой левого желудочка. По заднему контуру, к позвоночнику, обращены лишь 2 дуги.
Верхняя, занимающая заднего контура сердца, принадлежит левому предсердию, нижняя — правому предсердию.

При правильной установке больного и нормальных размерах предсердий между задним контуром сердца и позвоночником остается светлое ретро-кардиальное пространство, а пищевод проходит здесь почти отвесно (рис. 531). При увеличении левого предсердия (рис. 532) ретрокардиальное пространство суживается, а пищевод оттесняется кзади, приближаясь к позвоночнику или наслаиваясь на его изображение (в зависимости от степени увеличения левого предсердия).
Критерии правильности технических условий съемки и правильности укладки. Укладка считается правильной, если между изображением восходящей аорты и грудиной прослеживается светлая полоска легочной ткани шириной 1—2 см.
Наиболее частые ошибки при выполнении снимке — недостаточный или чрезмерный поворот больного.
Для преодоления этого недостатка по возможности рекомендуется производить установку больного под контролем просвечивания.
СНИМОК СЕРДЦА В ЛЕВОЙ (ВТОРОЙ) КОСОЙ ПРОЕКЦИИ
Назначение снимка. Левая косая проекция является оптимальной для изучения состояния задней стенки левого желудочка, грудной аорты и передней стенки правого желудочка.
Укладка больного для выполнения снимка. Больного устанавливают левым боком к кассете под углом 50—60 е

В остальном съемка осуществляется так же, как и в первой косой проекции (рис. 533, а, 6)
Информативность снимка. На рентгенограмме в левой косой проекции по переднему контуру сердца выделяют три дуги: верхняя (напротив тела грудины) образована восходящей частью аорты, вторая — правым предсердием и нижняя, занимающая — правым желудочком.
К позвоночнику обращены две дуги; верхняя образована левым предсердием, нижняя — задней стенкой левого желудочка (рис. 534).

При увеличении левого желудочка тень его наслаивается на позвоночник (рис. 535).
Критерии правильности технических условий съемки и правильности укладки, а также наиболее частые ошибки при выполнении снимков такие же, как и при съемке в первой косой проекции.
СНИМОК СЕРДЦА В ЛЕВОЙ БОКОВОЙ ПРОЕКЦИИ
Назначение снимка. На снимке в левой боковой проекции хорошо видны передняя стенка правого желудочка, левое предсердие и задняя стенка левого желудочка,
Укладка больного для выполнения снимка такая же, как и при выполнении снимка легких в левой боковой проекции. В процессе исследования обычно контрастируют пищевод.

Информативность снимка. По переднему контуру сердца определяются две дуги: верхняя (располагается против тела грудины) образована восходящей аортой, нижняя — передней стенкой правого желудочка. По заднему контуру сердца выделяются также две дуги: верхняя образована левым предсердием (прилегает к передней стенке пищевода) и нижняя образована задней стенкой левого желудочка (рис. 536).
Критерии правильности технических условий съемки и правильности укладки, а также наиболее частые ошибки при выполнении снимка такие же, как и при рентгенографии легких в боковой проекции.
Теги: сердце
234567 Начало активности (дата): 20.01.2020 19:11:00
234567 Кем создан (ID): 989
234567 Ключевые слова: сердце, предсердие, рентген, укладка
12354567899
Рентгенологическое исследование сердца и магистральных сосудов.
Лучевая диагностика заболеваний сердца и крупных сосудов прошла долгий путь своего развития, полный триумфа и драматизма.
Большая диагностическая роль рентгенокардиологии никогда не вызывала сомнений. Но это была ее юность, пора одиночества. В последние 15-20 лет произошла технологическая революция в диагностической радиологии. Так, в 70-ые годы были созданы УЗ-приборы, позволившие заглянуть внутрь полостей сердца, изучить состояние клапанного аппарата. Позднее динамическая сцинтиграфия позволила судить о сократимости отдельных сегментов сердца, о характере кровотока. В 80-ые годы в практику кардиологии вошли компьютеризационные способы получения изображения: дигитальная коронаро-и вентрикулография, КТ, МРТ, катетеризация сердца.
В последнее время стало распространяться мнение о том, что традиционное рентгенологческое исследование сердца изжило себя как методика обследования больных кардиологического профиля, так как основными методами исследования сердца является ЭКГ, УЗИ, МРТ. Тем не менее, в оценке легочной гемодинамики, отражающей функциональное состояние миокарда, рентгенологическое исследование сохраняет свои преимущества. Она не только позволяет выявить изменения сосудов малого круга кровообращения, но и составить представление о камерах сердца, приведших к этим изменениям.
Таким образом, лучевое исследование сердца и крупных сосудов включает: 1) неинвазивные методы (рентгеноскопия и рентгенография, УЗИ, КТ, МРТ) и 2) инвазивные методы (ангиокардиография, вентрикулография, коронарография, аортография и др.). Радионуклидные методы позволяют судить о гемодинамике. Следовательно, сегодня лучевая диагностика в кардиологии переживает свою зрелость.
Рентгенологическое исследование сердца и магистральных сосудов.
Значение метода. Рентгенологическое исследование является частью общего клинического исследования больного. Цель - установить диагноз и характер гемодинамических нарушений (от этого зависит выбор метода лечения - консервативного, оперативного). В связи с применением УРИ в сочетании с катетеризацией сердца и ангиографией открылись широкие перспективы в изучении нарушений кровообращения.
Методики исследования 1). Рентгеноскопия - методика, с которой начинается исследование. Она позволяет составить представление о морфологии и дать функциональную характеристику тени сердца в целом и отдельных ее полостей, а также крупных сосудов.
2). Рентгенография объективизирует морфологические данные, полученные при рентгеноскопии. Ее стандартные проекции:
а) передняя прямая
б) правая передняя косая (45 0 )
в) левая передняя косая (45 0 )
г) левая боковая
Признаки косых проекций: 1). Правая косая - треугольная форма сердца, газовый пузырь желудка спереди, по заднему контуру сверху располагается восходящая аорта, левое предсердие, внизу - правое предсердие; по переднему контуру сверху определяется аорта, затем идет конус легочной артерии и, ниже - дуга левого желудочка. 2). Левая косая - форма овальная, желудочный пузырь сзади, между позвоночником и сердцем, хорошо видна бифуркация трахеи и определяются все отделы грудной аорты. Все камеры сердца выходят на контур - сверху предсердия, внизу - желудочки.
3). Исследование сердца с контрастированным пищеводом (пищевод в норме располагается вертикально и на значительном протяжении прилежит к дуге левого предсердия, что позволяет ориентироваться о его состоянии). При увеличении левого предсердия наблюдается оттеснение пищевода по дуге большого или малого радиуса.
4). Томография - уточняет морфологические особенности сердца и крупных сосудов.
5). Рентгенокимография, электрокимография - методы функционального исследования сократительной способности миокарда.
6). Рентгенокинематография - киносъемка работы сердца.
7). Катетеризация полостей сердца (определение насыщения крови кислородом, измерение давления, определение минутного и ударного объема сердца).
8). Ангиокардиография - с большей точностью определяет анатомические и гемодинамические нарушения при пороках сердца (особенно врожденных).
План изучения данных рентгенологического исследования
1. Изучение скелета грудной клетки (обращается внимание на аномалии развития ребер, позвоночника, искривления последнего, «узуры» ребер при коарктации аорты, признаки эмфиземы легких и др.).
2. Исследование диафрагмы (положение, подвижность, скопление жидкости в синусах).
3. Изучение гемодинамики малого круга кровообращения (степень выбухания конуса легочной артерии, состояние корней легких и легочного рисунка, наличие плевральных линий и линий Керли, очагово - инфильтративные тени, гемосидероз).
4. Рентгеноморфологическое исследование сердечно-сосудистой тени
а) положение сердца (косое, вертикальное и горизонтальное).
б) форма сердца (овальная, митральная, треугольная, аортальная)
в) размеры сердца. Справа на 1-1,5 см от края позвоночника, слева - на 1-1,5 см не доходя до срединно-ключичной линии. О верхней границе судим по так называемой талии сердца.
5. Определение функциональных особенностей сердца и крупных сосудов (пульсация, симптом «коромысла», систолические смещения пищевода и др.).
Рентгенография сердца: что показывает и как подготовиться?
Рентген сердца является достаточно старым методом исследования и в определенной степени уступает некоторым современным диагностических процедурам. Однако и по сегодняшний день рентгенография является достаточно информативной. Она позволяет быстро и точно узнать, в каком состоянии находятся камеры сердца и магистральные сосуды. Также можно получить данные о сократительной способности органа. Болезни сердца могут выявляться и без рентгенографии, она часто назначается как дополнение. Прохождение рентгена сердца возможно как в государственных, так и частных клиниках. Этот диагностический метод является очень распространенным.
Рентгеноанатомия
Если понадобилось сделать снимок, стоит узнать рентгеноанатомию крупных сосудов и сердца. Рентгеноанатомия этого органа состоит из его тени, легочной артерии, аорты, а также полой вены. 2/3 перечисленных структур находятся левее средней линии грудной клетки, лишь 1/3 выступает в правую часть. В рентгеноанатомию грудной клетки входят легкие, бронхи и трахея.
Можно выделить несколько разновидностей расположения тени сердца, в зависимости от ее угла и конституции пациента. А именно:
- вертикальное - угол составляет более 45 градусов;
- косое - угол составляет 45 градусов;
- горизонтальное - угол меньше 45 градусов.
Что может выявить рентген?
Рентгенограмма сердца позволит получить большое количество информации относительно положения, размеров и состояния органа и его структур. На основании этих данных врач сможет сделать заключение о наличии патологий и выявить причину ухудшения самочувствия пациента.
Размеры сердца
Рентгенографию сердца необходимо пройти для того, чтобы узнать, в норме ли размеры органа. Именно они являются очень важными при определении патологий. Выявляют размер не по тем ширине и длине, которые видны на рентгеновском снимке, а по кардиоторакальному индексу. Для этого нужно померить ширину грудной клетки на уровне четвертого ребра, а также узнать ширину сердца в этой же области. Если клетка шире органа в два раза, индекс будет составлять 50%. Если выше, значит сердечная мышца увеличена. Гипертрофия миокарда может указывать на ишемию или же гипертоническую болезнь. Расширение камер может быть связано с кардиомиопатией или сердечной недостаточностью.
Состояние магистральных сосудов
Задумываясь о том, что показывает рентген сердца, стоит узнать, что станет известно состояние магистральных сосудов. Доктор сможет узнать, есть ли в аорте бляшки, отложения солей кальция, а также любые уплотнения. Можно будет также определить заболевание, которое характеризуется скоплением жидкости в околосердечной сумке. Оно иначе называется «перикардитом». Если жидкость скапливается медленно, орган становится похожим на мешок, если же быстро - на шар. Если состояние усугубляется отложениями солей кальция, врач установит констриктивный перикардит.
Особенности проведения процедуры у детей
Иногда рентген сердца может проводиться у детей. Назначается детям такой тип исследования очень редко, поскольку до 15 лет процедура противопоказана. Однако она может потребоваться для выявления пороков сердца, а также при планировании оперативных вмешательств или для оценки эффективности выбранного метода лечения. Также рентген может понадобиться для выявления опухолевых процессов.
Если речь о совсем маленьком ребенке, рентгенограмму сердца будут делать с использованием специального приспособления. Представляет собой подставку, на которую укладывают ребенка и закрепляют его туловище, голову и конечности при помощи ремней. Это обеспечит полную неподвижность пациента в то время, когда врач будет делать снимок. Процедура займет не более пары секунд, а дискомфорт возможен только от ремней, при помощи которых осуществляется фиксация. Если речь о более взрослых детях, они могут проходить процедуру даже без взрослых.
Подготовка и проведение диагностики
Готовиться понадобится только в том случае, если необходимо пройти рентгенографию сердца с контрастированием. Она предполагает сдачу анализов для определения наличия аллергии на контраст, а также посещение кабинета натощак, что позволит избежать тошноты.
Чтобы приступить к процедуре, необходимо убрать всю бижутерию или аксессуары из металла, которые могут сказаться на качестве снимка. Процедура выполняется в 4 разных проекциях:
- передняя;
- боковая левая;
- косая левая (под углом 45 градусов);
- правая.
Противопоказания
Нельзя назвать такое исследование полностью безопасным. В связи с этим существует ряд ситуаций, в которых такая диагностика не производится, а подбирается более щадящий метод. Нередко вместо рентгена могут назначаться УЗИ или МРТ, а также иные исследования.
Беременным женщинам
Перед тем как узнать, что такое рентген сердца, что показывает такая процедура, женщине стоит быть абсолютно уверенной в отсутствии беременности. Такое положение является абсолютным противопоказанием к процедуре, поскольку существует риск того, что рентгеновское излучение окажет неблагоприятное воздействие на организм и будущей мамы, и малыша. Не рекомендуется проходить диагностику также кормящим мамам. Однако в некоторых ситуациях врач может назначать такую процедуру, если ее польза значительно выше вероятных рисков. Поэтому лучше всего довериться доктору.
При онкологических заболеваниях
Не получится сделать рентген сердца (описание хода исследования, расшифровка и составление заключения, соответственно, не делаются), если было диагностировано онкологическое заболевание. Однако в этом случае тоже могут находиться исключения, поскольку информативность метода и полученные данные позволят запланировать оперативное вмешательство или оценить текущую тактику лечения.
Лучевая диагностика заболеваний сердца и сосудов
1.Методы лучевого исследования сердечно - сосудистой системы лучевое исследование сердца и крупных сосудов включает:
1) неинвазивные методы (рентгеноскопия и рентгенография, УЗИ, КТ, МРТ) и 2) инвазивные методы (ангиокардиография, вентрикулография, коронарография, аортография и др.).
Радионуклидные методы позволяют судить о гемодинамике. Следовательно, сегодня лучевая диагностика в кардиологии переживает свою зрелость.
Рентгенологическое исследование сердца и магистральных сосудов.
Значение метода. Рентгенологическое исследование является частью общего клинического исследования больного. Цель установить диагноз и характер гемодинамических нарушений (от этого зависит выбор метода лечения - консервативного, оперативного). В связи с применением УРИ в сочетании с катетеризацией сердца и ангиографией открылись широкие перспективы в изучении нарушений кровообращения.
1) Рентгеноскопия - методика, с которой начинается исследование. Она позволяет составить представление о морфологии и дать функциональную характеристику тени сердца в целом и отдельных ее полостей, а также крупных сосудов.
2) Рентгенография объективизирует морфологические данные, полученные при рентгеноскопии. Ее стандартные проекции:
б) правая передняя косая (45°)
в) левая передняя косая (45°)
Признаки косых проекций:
1) Правая косая - треугольная форма сердца, газовый пузырь желудка спереди, по заднему контуру сверху располагается восходящая аорта, левое предсердие, внизу - правое предсердие; по переднему контуру сверху определяется аорта, затем идет конус легочной артерии и, нищ - дуга левого желудочка.
2) Левая косая - форма овальная, желудочный пузырь сзади, между позвоночником и сердцем, хорошо видна бифуркация трахеи и определяются все отделы грудной аорты. Все камеры сердца выходят на контур - сверху предсердия, внизу желудочки.
3) Исследование сердца с контрастированным пищеводом (пищевод в норме располагается вертикально и на значительном протяжении прилежит к дуге левого предсердия, что позволяет ориентироваться о его состоянии). При увеличении левого предсердия наблюдается оттеснение пищевода по дуге большого или малого радиуса.
4) Томография - уточняет морфологические особенности сердца и крупных сосудов.
5) Рентгенокимография, электрокимография - методы функционального исследования сократительной способности миокарда.
6) Рентгенокинематография - киносъемка работы сердца.
7) Катетеризация полостей сердца (определение насыщения крови кислородом, измерение давления, определение минутного и ударного объема сердца).
8) Ангиокардиография с большей точностью определяет анатомические и гемодинамические нарушения при пороках сердца (особенно врожденных).
2. Лучевая анатомия сердца
Во-первых, с развитием ультразвукового метода, обладающего великолепными возможностями анализировать функцию сердца, потребность в рентгеноскопии как методе исследования деятельности сердца практически отпала. Во-вторых, в настоящее время созданы ультраскоростные компьютерные рентгеновские и магнитно-резонансные томографы, позволяющие проводить трехмерную реконструкцию сердца. Аналогичными, но менее «продвинутыми» возможностями обладают некоторые новые модели ультразвуковых сканеров и аппаратов для эмиссионной томографии. В результате этого врач имеет реальную, а не мнимую, как при рентгеноскопии, возможность судить о сердце как о трехмерном объекте исследования.
основной проекцией рентгенографии сердца является одна - прямая передняя, при которой обследуемый прилегает к кассете грудью. Для того чтобы избежать проекционного увеличения сердца, его съемку выполняют при большом расстоянии трубка-кассета (телерентгенография). При этом для увеличения резкости изображения время рентгенографии предельно уменьшают - до нескольких миллисекунд. Однако для того чтобы получить представление о рентгенологической анатомии сердца и магистральных сосудов, необходим многопроекционный анализ изображения этих органов.
На рентгенограмме в прямой проекции сердце дает однородную интенсивную тень, располагающуюся посредине, но несколько асимметрично: примерно 1/3 сердца проецируется правее срединной линии тела, a Vi - левее этой линии. Контур тени сердца иногда выступает на 2-3 см вправо от правого контура позвоночника, контур верхушки сердца слева не доходит до срединно-ключичной линии. В целом тень сердца напоминает косо расположенный овал. У лиц гиперстенической конституции он занимает более горизонтальное положение, а у астеников - более вертикальное. Краниально изображение сердца переходит в тень средостения, которая на этом уровне представлена в основном крупными сосудами - аортой, верхней полой веной и легочной артерией. Между контурами сосудистого пучка и сердечным овалом образуются так называемые сердечно-сосудистые углы - выемки, которые создают талию сердца. Внизу изображение сердца сливается с тенью брюшных органов. Углы между контурами сердца и диафрагмы называют сердечно-диафрагмальными.
контуры сердечной тени, в норме ровные и четкие, имеют форму дуг. Каждая дуга представляет собой отображение выходящей на контур поверхности того или иного отдела сердца.
Все дуги сердца и сосудов отличаются гармоничной закругленностью. Выпрямленность дуги или какого-либо ее участка свидетельствует о патологических изменениях в стенке сердца или прилежаших тканях.
Форма и положение сердца у человека вариабельны. Они обусловлены конституциональными особенностями пациента, положением его во время исследования, фазой дыхания. Был период, когда очень увлекались измерениями сердца на рентгенограммах. В настоящее время обычно ограничиваются определением сердечно-легочного коэффициента - отношения поперечника сердца к поперечнику грудной клетки, которое в норме у взрослых колеблется в пределах от 0,4 до 0,5 (у гиперстеников больше, у астеников меньше). Основным же методом, определяющим параметры сердца, является ультразвуковой. С его помощью точно измеряют не только размеры сердечных камер и сосудов, но и толщину их стенок. Измерить камеры сердца, причем в различные фазы сердечного цикла, можно также посредством синхронизированной с электрокардиографией компьютерной томографии, дигитальной вентрикулографии или сцинтиграфии.
У здоровых людей тень сердцана рентгенограмме однородна. При патологии могут обнаруживаться отложения извести в клапанах и фиброзных кольцах клапанных отверстий, стенках коронарных сосудов и аорты, перикарде. В последние годы появилось немало больных с имплантированными клапанами и водителями ритма сердца. Отметим, что все эти плотные включения, как естественные, так и искусственные, наглядно выявляются при сонографии и компьютерной томографии.
Компьютерную томографию производят при горизонтальном положении пациента. Основной срез сканирования выбирают таким образом, чтобы его плоскость проходила через центр митрального клапана и верхушку сердца. На томограмме этого слоя вырисовываются оба предсердия, оба желудочка, межпредсердная и межжелудочковая перегородки. На этом же срезе дифференцируются венечная борозда, место прикрепления сосочковой мышцы и нисходящая аорта. Последующие срезы выделяют как в краниальном, так и в каудальном направлении. Включение томографа синхронизировано с записью ЭКГ. Для того чтобы получить четкое изображение полостей сердца, томограммы выполняют после быстрого автоматического введения контрастного вещества. На полученных томограммах выбирают два изображения, сделанных в конечные фазы сокращения сердца - систолическую и диастолическую. Сопоставив их на экране дисплея, можно рассчитать регионарную сократительную функцию миокарда.
Новые перспективы в изучении морфологии сердца открыла МРТ, особенно выполняемая на последних моделях аппаратов - ультраскоростных. При этом можно наблюдать сокращения сердца в реальном времени, производить съемку в заданные фазы сердечного цикла и, естественно, получать параметры функции сердца.
Ультразвуковое сканированиев разных плоскостях и при различном положении датчика позволяет получить на дисплее изображение структур сердца: желудочков и предсердий, клапанов, папиллярных мышц, хорд; кроме того, удается выявить и дополнительные патологические внутрисердечные образования. Как уже отмечалось, важным достоинством сонографии является возможность оценить с ее помощью все параметры сердечных структур.
Допплерэхокардиографияпозволяет регистрировать направление и скорость движения крови в полостях сердца, выявлять участки турбулентных завихрений на месте возникающих преград нормальному кровотоку.
Для детального анализа состояния желудочков сердца контрастное вещество вводят непосредственно в них. Исследование левого желудочка сердца (левая вентрикулография) производят в правой косой передней проекции под углом 30". Контрастное вещество в количестве 40 мл вливают автоматически со скоростью 20 мл/с. Во время введения контрастного вещества начинают выполнять серию кинокадров. Съемку продолжают спустя некоторое время после окончания введения контрастного вещества, вплоть до полного его вымывания из полости желудочка. Из серии кадров выбирают два, сделанные в конечно-систолическую и конечно-диастолическую фазы сокращения сердца. Сопоставив эти кадры, определяют не только морфологию желудочка, но и сократительную способность сердечной мышцы. Таким методом можно выявить как диффузные нарушения функции сердечной мышцы, например при кардиосклерозе или миокардиопатии, так и локальные зоны асинергии, которые наблюдаются при инфаркте миокарда.
Для исследования коронарных артерий контрастное вещество вводят непосредственно в левую и правую коронарные артерии (селективная коронарография). На снимках, выполненных в различных проекциях, изучают положение артерий и их основных ветвей, форму, контуры и просвет каждой артериальной ветви, наличие анастомозов между системами левой и правой венечных артерий. Необходимо отметить, что в подавляющем большинстве случаев коронарографию выполняют не столько для диагностики инфаркта миокарда, сколько в качестве первого, диагностического этапа интервенционной процедуры - коронарной ангиопластики.
В последнее время для исследования полостей сердца и сосудов в условиях их искусственного контрастирования все чаще применяют дигитальную субтракционную ангиографию (ДСА). ДСА на основе компьютерной технологии позволяет получать изолированное изображение сосудистого русла без теней костей и окружающих мягких тканей. При соответствующих финансовых возможностях ДСА со временем полностью заменит обычную аналоговую ангиографию.
Лучевая диагностика заболеваний сердца и сосудов Вопросы
Рентгенологическая характеристика состояния сердца и его полостей.
Рентгеновская компьютерная томография.
Радионуклидные исследования сердца.
Лучевые признаки наиболее частых заболеваний сердца и крупных сосудов.
Дидактический материал, демонстрация слайдов:
Рентгенограмма грудной клетки в прямой и боковой проекциях.
Компьютерная томограмма грудной клетки.
Коронарография в норме и при атеросклерозе коронарных артерий.
Эхокардиограмма в норме.
Радиокардиография в норме и при дефекте межжелудочковой перегородки.
Рентгенограмма грудной клетки при недостаточности митрального клапана.
Эхокардиограмма при недостаточности митрального клапана.
Рентгенограмма грудной клетки при митральном стенозе.
Эхокардиограмма при митральном стенозе.
Аневризма брюшного отдела аорты (рентгенограмма).
Введение.
Общая характеристика заболеваний сердечно-сосудистой системы. Сердечно-сосудистые заболевания остаются ведущей причиной смертности во всех индустриально-развитых странах, в том числе и в нашей стране. Развитие современных технологий лечения сердечно-сосудистой патологии тесно связано с лучевой диагностикой. Каждый пациент с сердечно-сосудистыми заболеваниями нуждается в лучевых диагностических исследованиях.
Лучевые методы исследования сердца:
Первичные методы лучевого исследования сердца:
рентгенография в стандартных проекциях;
Дополнительные методы лучевого исследования сердца:
эхо-КГ с внутривенным контрастированием;
КТ (с внутривенным контрастированием);
Рентгенография
Рентгенография грудной клетки в стандартных проекциях: прямой, боковой, левой и правых передних косых проекциях и в настоящее время остается одним из самых распространенных диагностических исследований. Возможности:
Оценка легочной гемодинамики посредством анализа легочного
рисунка и корней легких, разграничение венозного застоя в малом круге
кровообращения (что не доступно эхо-КГ).
Оценка размеров и конфигурации сердца.
Выявление обызвествлений клапанов сердца, перикарда, коронарных артерий.
Исключение поражений других органов (легких, плевры, пищевода и гастроэзофагеального перехода, скелета грудной клетки), которые могут быть приняты из-за сходства клинических симптомов за болезни сердца.
Рентгеноскопическое исследование демонстрирует ряд функциональных симптомов.
Комплексная лучевая диагностика патологии сердца (рентгенологическое + ультразвуковое исследование) позволяет в большинстве случаев обходиться без выполнения рентгенографии в косых проекциях.
Рентгенологическая характеристика состояния сердца и его полостей
В настоящее время общепризнанным базовым (начальным) исследованием грудной клетки является 2-проекционная рентгенография, выполненная в прямой передней и левой боковой проекциях. Оценка состояния сердца требует контрастирования пищевода в боковой проекции.
После выполнения описанной методики двухпроекционной рентгенографии дополняющее ее просвечивание либо снимки в косых проекциях требуются лишь в 15% случаев.

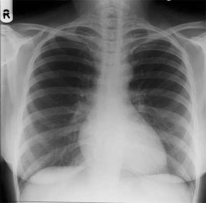
Рентгенограмма органов грудной клетки в прямой проекции. Обозначения: ЛЖ - левый желудочек, ПП - правое предсердие, ЛП - ушко левого предсердия, ЛС -легочной ствол, ДАо - дуга аорты, ВАо - восходящий отдел аорты.
В прямой передней проекции сердце и крупные сосуды занимают положение в средостении таким образом, что 2/3 сердечной тени находится слева, 1/3 - справа. Вдоль правого контура сердечно-сосудистой тени образуются две дуги. Верхняя дуга образована верхней полой веной (в некоторых случаях восходящей аортой). Нижняя - правым предсердием. По длине они соотносятся, как 1/1. Место схождения этих дуг называется правым атриовазальным углом. Расстояние от срединной линии до наружного контура первой дуги в этой проекции 3-4 см. Нижняя дуга правого контура в прямой проекции находится от правого края контура грудных позвонков на расстоянии от 1 до 2,5 см.
Вдоль левого контура сердечно-сосудистой тени расположены четыре дуги. Последовательно сверху вниз их образуют: дуга и начальный отдел нисходящей аорты, легочной ствол, ушко левого предсердия, левый желудочек.
Аорта размещена на 1-2 см ниже грудино-ключичного сочленения, наружный ее контур отстоит от срединной линии на 3-4 см.
Длина второй дуги 2 см.
Ушко левого предсердия образует 3-ю дугу. Она прямолинейна или вогнута, длина ее 2 см. Ушко левого предсердия визуализируется в норме лишь в 30% случаев.
Левый желудочек. В норме в прямой передней проекции левый желудочек образует IV дугу на левом контуре сердца, контур его не выходит левее средне-ключичной линии, кардио-диафрагмальный угол острый.
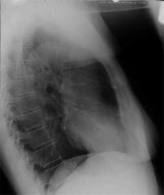
В левой боковой проекции передний контур сердечно-сосудистой тени представлен двумя дугами. Верхняя выпуклая дуга образована восходящей аортой, которая переходит в дугу и нисходящую аорту. Нижняя дуга обусловлена правым желудочком, верхняя часть которого представлена легочным конусом. Правый желудочек прилегает к грудине на протяжении 5-6 см. На границе легочного конуса и восходящей аорты образуется угол открытый кпереди. Между грудиной и передним контуром сердечно-сосудистой тени прослеживается треугольной формы участок, образованный проекцией легких.
По заднему контуру сердечно-сосудистой тени сверху вниз прослеживается аорта, легочной ствол и частично сосуды корней легких. Нижняя дуга образована левым предсердием и левым желудочком. Левый желудочек прилегает к диафрагме на протяжении 5-6 см, как и правый желудочек к грудине.

Рентгенограмма органов грудной клетки в боковой проекции. Обозначения:.
В левой боковой проекции прослеживаются все отделы аорты. Величина ретрокардиального пространства 2-4 см. Пищевод прилегает к левому предсердию и имеет вертикальное направление.
В левой боковой проекции не увеличенный левый желудочек не касается своим контуром контрастированного пищевода, нижняя полая вена четко дифференцируется в заднем кардио-диафрагмальном углу. В норме размер левого желудочка (ЛЖ), прилегающего к диафрагме, равен линейному размеру правого желудочка (ПЖ), прилегающего к грудной клетке - «желудочковый коэффициент», т.е. отношение указанных размеров ЛЖ/ПЖ=1. Увеличение левого желудочка в левой боковой проекции классифицируют по трем степеням изменений:
I степень - контур левого желудочка доходит до контрастированного пищевода, нижняя полая вена не дифференцируется;
II степень - контур левого желудочка заходит за контрастированный пищевод, суживая, но частично оставляя свободным ретрокардиальное пространство;
III степень - увеличенный левый желудочек закрывает ретрокардиальное пространство, достигая своим контуром позвоночника или накладываясь на него.
В норме в прямой передней проекции левое предсердие образует слегка вогнутую III дугу на левом контуре сердца - «талия сердца». Следует иметь в виду, что левое предсердие в норме является краеобразующим лишь в 30% случаев. При увеличении левого предсердия III дуга сглажена либо выпукла. Ее длина увеличивается более 2 см.
В оценке состояния левого предсердия информативной является конфигурация контрастированного пищевода в левой боковой проекции. В норме ход контрастированного пищевода прямолинейный. Увеличение левого предсердия ранжируется следующим образом (по левой боковой проекции):
I степень - увеличенное левое предсердие отклоняет контрастированный пищевод по дуге, не достигающей позвоночника, ретрокардиальное пространство сужено;
II степень - контрастированный пищевод отклоняется увеличенным левым предсердием, достигающим позвоночника, ретрокардиальное пространство закрыто;
III степень - увеличенное левое предсердие отклоняет контрастированный пищевод, закрывая ретрокардиальное пространство и накладываясь на тень позвоночника или заходя в реберно-позвоночный угол.
В левой боковой проекции увеличение левого предсердия характеризуют изменением радиуса дуги отклоняемого им контрастированного пищевода (до 5 см - малый, 5-6 см - средний, более 6 см - большой радиус).
Следует отметить, что при систолической перегрузке левого предсердия, вследствие выраженной его гипертрофии контрастированный пищевод в ряде случаев «соскальзывает» с предсердия. При этом ход контрастированного пищевода прямолинеен, несмотря на выраженную перегрузку левого предсердия. Степень его увеличения в этих случаях определяется по взаимоотношению предсердия и ретрокардиального пространства. Диастолическая перегрузка левого предсердия сопровождается увеличением его объема. В обоих случаях (преобладание гипертрофии либо дилатации) левое предсердие определяется в прямой передней проекции как дополнительная, более интенсивная тень справа от позвоночника.
Правый желудочек. Неизмененный правый желудочек в прямой передней проекции не является краеобразующим на контурах сердца. Выделяют три степени увеличения правого желудочка:
I степень - увеличенный правый желудочек является краеобразующим на правом контуре сердца, правый атриовазальный угол приподнят до III ребра (в норме — на высоте III межреберья), правый поперечник сердца
II степень - правый атриовазальный угол определяется во II межреберье, правый поперечник сердца >5 см, удлинена и выпукла II дуга на левом контуре (ствол легочной артерии), коэффициент Мура=31-40%;
III степень - правый атриовазальный угол — на уровне II ребра и выше, коэффициент Мура >40%.
Коэффициент Мура - норма до 30% - представляет собой процентное соотношение расстояния от самой отдаленной точки дуги легочной артерии до средней линии тел позвонков к левому поперечнику грудной клетки.
В левой боковой проекции увеличенный правый желудочек удлиняет вертикальный размер (передний контур) сердца. Желудочковый коэффициент
Правое предсердие. В прямой передней проекции в норме правое предсердие образует правый контур тени сердца. При изолированном увеличении правого предсердия правый атриовазальный угол не смещается (III межреберье). Рассчитывается правопредсердный коэффициент как отношение правого поперечника сердца к половине внутреннего диаметра грудной клетки, измеренного на высоте правого купола диафрагмы (в норме <30%). Степень увеличения правого предсердия классифицируется следующим образом:
I степень - правопредсердный коэффициент 31-40%;
II степень -правопредсердный коэффициент 41-50%;
III степень - правопредсердный коэффициент >50%.
Следует заметить, что при увеличении правого предсердия II—III степени появляются сопутствующие признаки его перегрузки - расширение верхней полой и непарной вен.
Аорта. Выявление патологических изменений аорты, связанное с возможностью установления атеросклеротического ее поражения, находит отражение в характеристике интенсивности тени аорты за счет увеличения плотности стенки аорты. Интенсивность тени аорты различается по следующей классификации:
I степень усиления интенсивности тени аорты - в прямой передней проекции четко определяется дуга и начальный отдел нисходящей аорты, в левой боковой проекции - дуга аорты;
II степень - в передне-задней проекции дифференцируется вся нисходящая аорта;
III степень - вся грудная аорта четко видна в любой проекции («бесконтрастная аортография»).
Кроме усиления интенсивности тени аорты, следует отмечать наличие очагов кальциноза в проекции аорты и коронарных артерий, а также качественные характеристики изменения конфигурации аортальной тени. К последним относятся: удлинение аорты (смещение кверху ее краниального полюса, в норме расположенного на одно межреберье ниже левого грудинно-ключичного сочленения), увеличение кривизны, развернутость дуги аорты (увеличение «аортального окна» в левой боковой проекции).
Рентгеновская компьютерная томография (КТ).
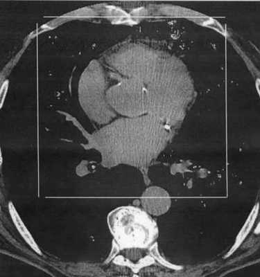
КТ обычно не обеспечивает контраста между кровью в полостях сердца и их стенками, необходимого для оценки размеров полостей и толщины стенок. Скорость получения изображения слоя позволяет устранить влияние дыхательных движений, но не достаточна для того, чтобы исключить влияние пульсации сердца и исследовать быстропротекающие процессы сердечной деятельности. Роль КТ в диагностическом процессе ограничена: визуализируются сердце и крупные сосуды на фоне окружающей жировой и легочной тканей, начальные отделы коронарных артерий, чаще левой, иногда ее главные ветви. Используется в практике, главным образом, для распознавания обызвествлений в сердце, болезней перикарда и аневризм аорты. Чувствительность спиральной КТ к обызвествлениям 91%, специфичность - 52%.

Рентгеновская компьютерная томограмма органов грудной клетки. Визуализируется кальциноз правой коронарной артерии (стрелка).
При КТ с болюсным контрастированием дифференцируются полости сердца, стенки желудочков, межжелудочковая перегородка, папиллярные мышцы, коронарный синус, листки клапанов. Этим методом распознаются морфологические изменения: аневризмы сердца, тромбы в его полостях, пара- и интракардиальные опухоли (визуализируются образования размером не меньше 1 см), аномалии развития крупных сосудов и аневризмы аорты.
Для оценки быстропротекающих процессов (параметров систолической функции и перфузии миокарда) может служить многослойная быстродействуюшая КТ в режиме кино и ЭКГ. КТ на менее совершенных аппаратах значительно уступает МРТ в изучении этих функций и не имеет преимуществ перед эхо-КГ в оценке сократительной функции миокарда.
Читайте также:
