Операция через передний доступ при базилярной инвагинации
Добавил пользователь Евгений Кузнецов Обновлено: 28.01.2026
Клиника факультетской хирургии ГБОУ ВПО «Самарский государственный медицинский университет», Самара, Россия
Гибридное хирургическое лечение больных c вертебрально-базилярной недостаточностью
Журнал: Кардиология и сердечно-сосудистая хирургия. 2016;9(2): 29‑34
Цель исследования - разработать способ хирургического лечения больных с окклюзиями или стенозами позвоночных артерий (ПА) в V1 и V2 сегментах в сочетании со стенозами V4 сегмента ПА и основной артерии (ОА). Материал и методы. Гибридная методика лечения применена у 4 пациентов с клиникой вертебрально-базилярной недостаточности (ВБН), у которых выявлены сочетание субтотального стеноза или окклюзии V1 и V2 сегментов ПА (экстракраниальное поражение) со стенозами V4 сегмента ПА и ОА (интракраниальное поражение). Результаты. За все время послеоперационного наблюдения шунт и стенты функционировали у всех 4 больных. Признаков рестенозов не было. Объемная скорость кровотока по шунту у всех пациентов составила более 100 мл/мин. При динамических неврологических осмотрах у всех пациентов отмечено стойкое клиническое улучшение, выражающееся в уменьшении или исчезновении стато-координаторных, слуховых и зрительных расстройств.
Вертебрально-базилярная недостаточность (ВБН) - полиэтиологическое заболевание [1, 5, 6]. Из всего многообразия причин, которые приводят к ее развитию, до 50% составляют поражения атеросклерозом и костной компрессией в канале СII-СVI шейных позвонков артерий вертебрально-базилярного бассейна (ВББ) [4]. Большинство пациентов с синдромом ВБН длительное время получают медикаментозную терапию и находятся под наблюдением неврологов [5, 10]. К сожалению, не всегда посредством консервативной терапии можно достигнуть значимого клинического эффекта [10]. Обусловлено это как многообразием причин, которые вызывают ВБН, так и анатомическими особенностями кровоснабжения ВББ [13].
При поражении различных сегментов позвоночных артерий (ПА) в хирургии разработаны и внедрены в практику различные оперативные вмешательства.
Широко применяются методы как открытой, так и эндоваскулярной реваскуляризации V1 сегмента ПА (транспозиция ПА в подключичную или общую сонную артерии (СА)), чресподключичная эндартерэктомия из ПА [7, 9, 11, 14] и стентирование V1 сегмента ПА [16, 21].
При патологии V2 сегмента ПА выполняются вмешательства, направленные на удаление экстравазальной компрессии [8, 17].
Если выполнение реваскуляризации в V1 и V2 сегментах по техническим причинам невозможно, то выполняется шунтирование V3 сегмента ПА [3, 12, 15].
При атеросклеротическом поражении интракраниального V4 сегмента ПА и основной артерии (ОА) может быть применена операция экстра-интракраниального шунтирования (ЭИКШ) между затылочной ветвью наружной СА и задней нижней мозжечковой артерией или задней мозговой артерией [19], а также возможно выполнить эндоваскулярную ангиопластику и стентирование ПА и ОА [2, 18, 20].
Однако среди всего многообразия пациентов с ВБН существует группа больных с сочетанием окклюзии или стеноза позвоночных артерий в V1 и V2 сегментах со стенозами V4 сегмента ПА и ОА.
Мы не нашли в доступной нам литературе способов хирургического лечения подобных пациентов.
Цель исследования - разработать способ хирургического лечения больных с окклюзиями или стенозами ПА в V1 и V2 сегментах в сочетании со стенозами V4 сегмента ПА и ОА.
Материал и методы
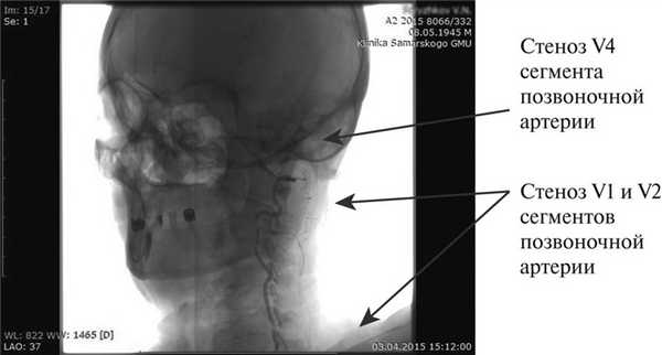
Мы располагаем опытом лечения 4 пациентов с клиникой ВБН, у которых выявлено сочетание субтотального стеноза или окклюзии V1 и V2 сегментов ПА (экстракраниальное поражение) со стенозами V4 сегмента ПА и ОА (интракраниальное поражение) (рис. 1).

Рис. 1. Схема поражения ВБН у оперированных больных.
Все пациенты до поступления в клинику более года находились под наблюдением невролога и постоянно получали медикаментозную терапию. При этом значимого клинического эффекта у них в ходе лечения выявлено не было.
При поступлении в клинику пациенты осмотрены неврологом, окулистом, ЛОР-врачом, кардиологом, сосудистым хирургом. Проведены ото- и психоневрологическое обследование, ультразвуковая допплерография (УЗДГ) с цветным дуплексным картированием, транскраниальная допплерография (ТКДГ) с функциональными пробами, магнитно-резонансная томография (МРТ)-ангиография (как скриниг-тест), церебральная панангиография.
У всех 4 пациентов выявлены значимые поражения в V1 и V2 сегментах ПА в сочетании со стенозами V4 сегмента ПА и ОА. Какие-либо другие причины формирования синдрома ВБН были исключены.
После анализа всех данных нами предложен метод лечения, задачей которого являлось выполнение полной реваскуляризации ВББ у этих больных.
Описание метода. В гибридной операционной за период одного анестезиологического пособия для восстановления магистрального кровотока в ВББ первым этапом выполняли аутовенозное шунтирование между общей СА и V3 сегментом П.А. Для этого доступ к V3 сегменту ПА осуществляли по переднему краю грудиноключично-сосцевидной мышцы. ПА выделяли в промежутке поперечных отростков СI-СII позвонков. На бедре производили забор участка большой подкожной вены для шунта. Перед пережатием артерий вводили внутривенно 5000 ЕД нефракционированного гепарина и затем формировали аутовенозный шунт между третьим сегментом ПА в промежутке поперечных отростков СI-СII позвонков и общей СА ниже ее бифуркации.
Вторым этапом после формирования шунта сразу в просвет общей СА ниже устья шунта на 3 см устанавливали интродьюсер 5 Fr длиной 6,0 см по ходу кровотока в голову. Выполняли ангиографию шунта на базе рентгенхирургического мобильного комплекса (С-дуга) Axiom Artis U («Siemens»). Под флюороскопическим контролем интродьюсер вводился в проксимальный отдел шунта к третьему сегменту ПА. В ходе вмешательства мы использовали только неионные контрастные вещества с концентрацией 300 мг/мл. Количество вводимого контрастного вещества составляло 30,0-50,0 мл. Дальнейшие интракраниальные манипуляции проводили с использованием навигационной программы ROADMAP. Коронарный проводник 0,014″ (BMWEliteAbbott) проводился в дистальные отделы ЗМА, «поддержка» микрокатетером не потребовалась. У 2 пациентов выполняли предилятацию стенозов V3 и V4 сегментов ПА коронарным баллоном диаметром 2,5 мм и длиной 15-20 мм (MiniTrekAbbottVasc) на номинальном давлении. Затем проводили стентирование V4 сегмента ПА и ОА с имплантацией коронарных стентов с лекарственным покрытием. Использовали стенты с лекарственным покрытием сиролимус (Biomime, «Meril», Индия), зотаролимус (ResoluteIntegrity, «Medtronic», США), эверолимус (XienceХpedition, AbbottVasc). Диаметр стентов 2,75-3,25-3,5-4,0 мм, длина 15-29 мм. Количество использованных стентов у разных больных варьировало от 1 до 3. Особенностью имплантации являлась скорость «раскрытия» стента - в отличие от коронарного стентирования инсуффляция баллона выполнялась в течение 30-60 с и не превышала номинальные значения. Ни у одного из больных додилятация не выполнялась. Заканчивали вмешательство проведением контрольной 3D-вертебральной ангиографии.
На момент окончания операции шунты и стенты отчетливо функционировали у всех пациентов.
Медикаментозное ведение заключалось в отмене за 5 сут до операции аспирина и назначении клопидогреля в дозе 75 мг по 1 таблетке 1 раз в день.
В послеоперационном периоде пациенты получали двойную дезагрегантную терапию - аспирин 100 мг+клопидогрель 75 мг в течение 6 мес. Также дополнительно в первые 3-е суток после операции всем пациентам был назначен нефракционированный гепарин 4 раза в день в дозе 5000 ЕД подкожно.
Осмотр сосудистым хирургом, неврологом и УЗИ прецеребральных артерий проводили на 10-е сутки, через 3 и 6 мес.
Результаты
За время послеоперационного наблюдения шунт и стенты функционировали у всех 4 больных. Признаков рестенозов не было. Объемная скорость кровотока по шунту у всех пациентов составила более 100 мл/мин.
При динамических неврологических осмотрах у всех пациентов отмечено стойкое клиническое улучшение - уменьшение или исчезновение стато-координаторных, слуховых и зрительных расстройств.
Приводим данные одного из больных, пролеченного по предлагаемому методу.
Больной С., 69 лет. Поступил в отделение хирургической ангионеврологии Клиники факультетской хирургии Самарского государственного университета 01.04.15. При поступлении предъявлял жалобы на головную боль, головокружение, слабость и онемение в левых конечностях, постоянный шум в ушах, неустойчивость при ходьбе. Стал отмечать медленное нарастание данных жалоб в течение последних 2 лет. Лечился консервативно у невролога поликлиники - без эффекта. При скрининговом УЗИ выявлены стенозы брахицефальных артерий (БЦА). Направлен в стационар. В неврологическом статусе при поступлении - феномен Гуревича-Манна, хоботковый симптом, легкая слабость иннервации VII пары черепно-мозговых нервов (ЧМН) слева, легкая слабость иннервации XII пары ЧМН слева. В позе Ромберга слабо устойчив, отклоняется влево, ходьба с закрытыми глазами - уклоняется влево до падения. Пальценосовые пробы выполняет с интенцией и промахиванием левой рукой. Отмечается мелкоразмашистый горизонтальный нистагм. Сила в конечностях 5 баллов. Пациенту выполнено дообследование: по данным УЗИ БЦА выявлены незначимые стенозы бифуркаций СА: справа - 30%, слева - 50% (бляшки неосложненные). Субтотальный стеноз V1 и V2 сегментов ПА слева, коллатеральный тип кровотока. При компьютерной томографии (КТ) выявлено диффузное поражение подкорковых ганглиев. При КТ-ангиографии - субтотальный стеноз V1 и V2 сегментов ПА слева, стеноз 80% в V4 сегменте ПА слева. На рентгеноконтрастной ангиографии стенозы сонных артерий: справа - 30%, слева - 50%. Субтотальный стеноз V1 и V2 сегментов ПА слева, стеноз 90% в V4 сегменте левой ПА (рис. 2).

Рис. 2. Больной С. Ангиография позвоночной артерии слева до операции.
После анализа всех клинических и инструментальных данных принято решение о выполнении данному пациенту гибридной операции, которая состоялась 15.04.15.
Первым этапом выполнили доступ к бифуркации СА и вертикальной части V3 сегмента ПА в промежутке СI-СII поперечных отростков позвонков. На бедре сделали забор участка большой подкожной вены для шунта. Перед пережатием артерий вводили внутривенно 5000 ЕД нефракционированного гепарина. Выполнили каротидную эндартерэктомию по эверсионной методике (атеросклеротическая бляшка с ровной поверхностью, стеноз до 60%). Затем формировали аутовенозный шунт между V3 сегментом ПА в промежутке поперечных отростков СI-СII позвонков и общей СА ниже ее бифуркации.
Вторым этапом в просвет общей СА ниже устья шунта на 3 см установили интродьюсер 5 Fr по направлению в голову. Выполнили ангиографию шунта. Провели через интродьюсер в шунт рентгенопозитивный проводник до дистальных отделов ОА и по нему выполнили ангиопластику и стентирование V4 сегмента левой ПА (рис. 4).

Рис. 3. Эверсионная каротидная эндартерэктомия. Формирование аутовенозного шунта V3 сегмента ПА - общая СА.

Рис. 4. Ангиопластика и стентирование V4 сегмента ПА.
Установили коронарные стенты диаметром 3 мм, покрытые северолимусом. На момент окончания операции все сосуды проходимы (рис. 5).

Рис. 5. Послеоперационная ангиография пациента С.
В послеоперационном периоде пациент получал двойную дезагрегантную терапию - аспирин 100 мг+клопидогрель 75 мг в течение 6 мес. Также дополнительно первые 3-е суток был назначен нефракционированный гепарин 4 раза в день в дозе 5000 ЕД подкожно.
Осмотр сосудистым хирургом, неврологом на 10-е сутки, через 3, 6 мес. Кроме того, выполнено УЗИ прецеребральных артерий, а через 6 мес - рентгеноконтрастная ангиография и КТ-ангиография.
При контрольном осмотре неврологом отмечено улучшение статики и координации, походка стала устойчивой, уменьшение головокружений, исчезновение шума. Данное улучшение сохраняется в течение 6 мес. При дуплексном сканировании магистральных артерий головы: общая СА, внутренняя СА и наружная СА проходимы, кровоток в них магистрального типа, без признаков рестеноза, шунт проходим, диаметр шунта 4,8 мм, линейная скорость кровотока (ЛСК) 0,62 м/с, объемная скорость кровотока 122 мл/мин. Выполнена КТ-ангиография (рис. 6).

Рис. 6. Пациент С. КТ-ангиография через 6 мес после операции.
Лечение больных с ВБН представляет собой сложную и до конца не решенную медицинскую проблему.
Можно выделить как минимум два основных аспекта в лечении данной категории больных. Первый заключается в полиэтиологичности заболевания. Процесс дифференциальной диагностики данной патологии сложен и трудоемок. Мы полагаем, что именно с этим связано малое число операций, выполняемых пациентам с ВБН. Мы придерживаемся той точки зрения, что предлагать операцию больному с клиникой ВБН следует только с лечебной целью. Это возможно только тогда, когда до операции исключены все другие причины формирования синдрома ВБН и пациент провел полноценный, но клинически неэффективный, курс консервативной терапии у невролога.
Второй аспект заключается в том, что у большинства больных поражение артерий ВББ редко носит характер изолированной патологии экстра- или интракраниальных сегментов ПА и О.А. При этом все известные методы оперативного лечения позволяют решать проблему только в изолированном сегменте ВББ.
По нашему мнению, благодаря предложенному способу гибридного хирургического лечения ВБН, у пациентов с сочетанием окклюзий или субтотальных стенозов V1 и V2 сегментов ПА со стенозами V4 сегмента ПА и ОА, стало возможным выполнять реваскуляризирующие операции и получать клиническое улучшение у пациентов с клиникой ВБН, бесперспективных с точки зрения консервативной терапии. Использование данного способа позволяет увеличить количество пациентов, которым возможно выполнить полноценную хирургическую реваскуляризацию головного мозга и добиться стойкого клинического эффекта.
Заключение
При выявлении у больного со стойкой, не поддающейся медикаментозной коррекции клиникой ВБН, причиной которой являются окклюзия или стеноз V1 и V2 сегментов ПА в сочетании со стенозом V4 сегмента ПА и ОА, метод полноценной реваскуляризации ВББ возможен и приводит к стойкому клиническому эффекту.
Базиллярная импрессия (инвагинация)
Базиллярная импрессия или базиллярная инвагинация - это наиболее часто встречаемая мальформация в области краниовертебрального прохода, часто сопровождается неврологическими нарушениями в этой области. Состоит из смещения первого позвонка позвоночника в сторону черепа с уменьшением объема черепной коробки.
Базилярная импрессия представляет собой вдавление ската затылочной кости с углублением краев большого затылочного отверстия внутрь черепной коробки. Эти изменения приводят к смещению позвоночника ближе к головному мозгу и уменьшению объема задней черепной ямки. При базилярной импрессии зубовидный отросток второго шейного позвонка располагается на уровне затылочного отверстия или даже выше его — в полости черепа. Сочетается с синдромом Арнольда Киари и, не так часто, с сирингомиелией.

Рисунок 1. Базиллярная импрессия. КТ головного мозга с линией Чемберлена, которая соединяет заднюю стенку большого затылочного отверстия с передней стенкой твердого нёба и должна проходить по верхней части атланта. В данном случае атлант превышает границу на 5,3 мм.
Симптомы
Половина случаев с базиллярной импрессией не имеет симптомов, в то время, как у второй половины пациентов встречаются последствия влияния мальформации на нервную систему. Клинически это выражается в укорачивании шеи с тенденцией наклона вперед или, наоборот, сильно запрокинутой назад, кривошея, ограничение движений шеи и постоянная боль в шее и затылке.
Неврологические проявления связаны со сдавливанием спинного мозга в верхнем шейном отделе: потеря силы и спастика, неустойчивая походка, дисметрия и постепенная потеря чувствительности. Может также принимать участие в постепенном увеличении внутричерепного давления.
Компьютерная томография (КТ) черепа
Для диагностики и контроля базиллярной импрессии проводится КТ черепа или рентген головы и шейного отдела в боковом плане.
Иногда диагноз ставят по результатам МРТ головного мозга, но затем во время контроля прибегают чаще всего к КТ черепа или рентгену.
Диагноз ставится при помощи измерения линии Чемберлена и/или других показателей (см. Рис.1).
Причины
-Согласно классическим теориям:
- Идиопатическая базиллярная импрессия может считаться первичной мальформацией и приписывается раннему синостозу.
- Вторичная базиллярная импрессия может быть связана с костными заболеваниями, такими как: ревматический артрит, гипопаратиреоз, болезнь Педжета, нарушения остеогенеза, рахит.
-Согласно санитарному методу Filum System ® :
Деформация, наблюдаемая при базиллярной импрессии, связана с асинхронным ростом спинного мозга (а вместе с ней центральной нервной системы) и позвоночника на фазе развития эмбриона. Это провоцирует появление анормального натяжения спинного мозга, которое передается натянутой и короткой концевой нитью от копчика к черепу. Чем сильнее и раньше проявляет себя анормальное натяжение концевой нити, тем больше проявлений в костных мальформациях может произойти.
Базиллярная импрессия возникает по той же причине, что и синдром Арнольда Киари I, идиопатические сирингомиелия и сколиоз, и другие костные деформации в зоне большого затылочного отверстия, связанные с натяжением концевой нити. Все они являются проявлением заболевания концевой нити.
Факторы риска
Наиболее частым фактором развития базиллярной импрессии является то, что заболевание концевой нити является генетически наследуемым заболеванием, поэтому если в семье есть случай с базиллярной импрессией, велик риск его повторения. Патологический механизм развития заболевания концевой нити существует у всех человеческих эмбрионов, клинические проявления заболевания зависит от интенсивности, условий и формы выражения этого механического конфликта.
Осложнения
Осложнения при базиллярной импрессии зависят от степени натяжения спинного мозга, а также от того механического конфликта, который возникает в большом затылочном отверстии вследствие этого натяжения.
- Ухудшение качества жизни: при базиллярной импрессии кривошея, ограничение подвижности шеи, постоянная боль в шее и затылке, потеря силы в конечностях, спастика и неусточивая походка, дисметрия и потеря чувствительности могут стать хроническими, постепенно увеличиваясь по интенсивности, и ухудшить состояние больного, ограничивая его привычную активность.
- Хронические боли: пациенты с базиллярной импрессией часто нуждаются в услугах Отделения лечения боли, потому что привычные противовоспалительные и обезболивающие препараты могут стать недостаточно действенными для смягчения болевых симптомов и приступов головной боли, характерных при данном заболевании.
- Внезапная смерть: может быть вызвана поражением кардио-дыхательного центра, расположенного в стволе спинного мозга, в зоне механического конфликта. Нарушения дыхания в течение сна могут выражаться в форме апноэ, остановок дыхания и даже в виде внезапной смерти. Отсюда необходимость правильной постановки диагноза и превентивного лечения.
Лечение
Традиционно при базиллярной импрессии применяется нейрохирургическое лечение.
В настоящее время в большинстве медицинских центров при этом диагнозе проводится краниектомия или декомпрессия затылочного отверстия. Ее обычно назначают только в случае тяжелых симптомов, потому что сама по себе операция несет больше рисков и смертности, чем само заболевание.
С 1993 года, с момента публикации докторской диссертации доктора Ройо Сальвадор, который связал натяжение всей нерной системы с концевой нитью, как причиной нескольких заболеваний, в том числе базиллярной импрессии, был разработан новый метод лечения, который является этиологическим, то есть, действующим на причину развития заболевания. С хирургическим рассечением концевой нити по методу Filum System® устраняется сила натяжения, ответственная за этот патологический механизм.
Наша техника рассечения является минимально инвазивной, показана во всех случаях с заболеванием концевой нити и рекомендуется к применению как можно раньше, потому что при минимальных рисках она останавливает дальнейшее развитие заболевания.
Минимально инвазивное рассечение концевой нити по методу Filum Sistem ® :
Преимущества
1. Устраняет причину возникновения базиллярной импрессии и других связанных с ней патологий.
2. Устраняет механизм, который провоцирует конфликт в затылочной зоне и риск внезапной смерти.
3. Его применение сводит риск смертности к нулю. Без серьезных осложнений.
4. При помощи минимально инвазивной хирургической техники Барселонского Института Киари, хирургическое время составляет 45 минут. Пребывание в госпитале около суток. Пост-операционный период короткий и без серьезных ограничений.
5. Улучшает симптомы и останавливает развитие патологического процесса.
6. Устраняет риск гидроцефалии от импактации миндалин мозжечка в большом затылочном отверстии, что бывает при базиллярной импрессии.
7. Улучшает кровообращение во всей нервной системе, когнитивные способности могут увеличиться, если были нарушены от натяжения нервной системы.
Недостатки
1. Небольшой шов в зоне копчика, возможны осложнения в виде инфекции шва и гематомы в зоне операции.
2. Улучшение спастичности иногда ошибочно принимают за снижение силы в конечностях.
3.Во время процесса восстановления и улучшения чувствительности могут появиться неприятные ощущения, которые обычно принимают за нежелательные последствия.
4. При улучшении кровоснабжения головного мозга может увеличиться мозговая активность и могут наблюдаться перепады в настроении в течение начального пост-оперативного периода.
Затылочная краниоктомия:
(Декомпрессия большого затылочного отверстия)
1. Избежание риска внезапной смерти.
2. Состояние некоторых пациентов улучшается.
1. Не устраняет причину заболевания.
2. Смертность от 0,7 до 12%, бóльший процент, чем внезапная смерть при спонтанном развитии заболевания.
3. Агрессивная операция, калечит и возможны последствия.
4. Малый процент улучшения и на короткий срок.
5. Неврологический дефицит: зависит от местонахождения увечья: Эмипарезия (паралич половины тела от 0,5 до 2,1%. Изменения в зрительном пространстве от 0,2 до 1,4%. Изменения в речи от 0,4 до 1%. Недостаток в чувствительности от 0,3 до 1%. Отстутствие равновесия, трудности с ходьбой от 10 до 30%.
6. Послеоперационное внутримозговое кровоизлияние в оперируемой области, эпидуральная гематома, интрааксиальное кровоизлияние, которые могут вызвать неврологический дефицит или ухудшение ранее существовашего дефицита (от 0,1 до 5%).
7. Отек мозга, в зависимости от процесса и ситуации, риск достигает 5%.
8. Поверхностная, глубокая или внутричерепная инфекция, риск от 0,1 до 6,8%, с формированием мозгового абсцесса, асептического-септического менингита.
9. Гемодинамические изменения из-за манипуляций с нарушениями в стволе мозга.
10. Газовая эмболия (у больных в сидячей позиции).
11. Выход спинномозговой жидкости от 3 до 14% (фистула СПЖ).
12. Послеоперационная гидроцефалия.
14. Тетрапарез (потеря силы во всех конечностях)
Результаты лечения по методу Filum System
При помощи метода Filum System® было прооперировано более 1500 пациентов с диагнозом: заболевание концевой нити и нейро-черепно-позвоночный синдром.
Целью операции является устранение причины появления заболевания и остановка его развития и механического конфликта, для того, чтобы качество жизни пациента не ухудшалось.
Список литературы:
- Dr. Miguel B. Royo Salvador (1996), Siringomielia, escoliosis y malformación de Arnold-Chiari idiopáticas, etiología común (PDF). REV NEUROL (Barc); 24 (132): 937-959.
- Dr. Miguel B. Royo Salvador (1996), Platibasia, impresión basilar, retroceso odontoideo y kinking del tronco cerebral, etiología común con la siringomielia, escoliosis y malformación de Arnold-Chiari idiopáticas (PDF). REV NEUROL (Barc); 24 (134): 1241-1250
- Dr. Miguel B. Royo Salvador (1997), Nuevo tratamiento quirúrgico para la siringomielia, la escoliosis, la malformación de Arnold-Chiari, el kinking del tronco cerebral, el retroceso odontoideo, la impresión basilar y la platibasia idiopáticas (PDF). REV NEUROL; 25 (140): 523-530
- M. B. Royo-Salvador, J. Solé-Llenas, J. M. Doménech, and R. González-Adrio, (2005) “Results of the section of the filum terminale in 20 patients with syringomyelia, scoliosis and Chiari malformation“.(PDF). Acta Neurochir (Wien) 147: 515-523.
- M. B. Royo-Salvador (2014), “Filum System ® Bibliography” (PDF).
- M. B. Royo-Salvador (2014), “Filum System ® Guía Breve”.
Заболевание концевой нити
После исследований доктора Ройо Сальвадор и его докторской диссертации (1992г.) было установлено, что несколько заболеваний, чья причина появления ранее была неизвестна, такие как: синдром Арнольда Киари I, идиопатические Сирингомиелия и Сколиоз, Платибазия, Базиллярная Импрессия, Смещение зуба осевого позвонка, Углообразный перегиб на уровне дуги атланта, - входят в состав новой патологии - Заболевания концевой нити - и возникают по одной и той же причине: натяжения спинного мозга и всей нервной системы.
Сила натяжения всей нервной системы при заболевании концевой нити присутствует при формировании всех человеческих эмбрионов, в большей или меньшей степени все страдают от ее последствий и разных форм проявлений и интенсивности.
С заболеванием концевой нити могут быть связаны такие заболевания как: межпозвонковые грыжи, некоторые синдромы сосудистой недостаточности головного мозга, фасеточный синдром, синдром Бострупа, фибромиалгия, хроническая усталость, ночной энурез, недержание мочеиспускания и острый парапарез.
Для точной диагностики, подбора лечения и наблюдения пациента с заболеванием концевой нити был создан метод Filum System ®.
Свяжитесь с нами

Меня зовут Нина, я буду ассистентом в Вашей консультации.
Все консультации, полученные через этот формуляр или по электронной почте Барселонского Института Киари & Сирингомиелии & Сколиоза, передаются медицинскому отделу, и ответы проверяются доктором М. Б. Ройо Сальвадор.
Инвагинация кишечника
Инвагинация кишечника - это внедрение одного участка кишечника в другой с возможным развитием непроходимости ЖКТ. Основным признаком патологии является внезапный интенсивный болевой синдром, который длится около 5 минут и повторяется через каждые 15-20 минут. Диагностика основана на характерной клинической картине, пальпации инвагината в межприступный период, данных УЗИ органов брюшной полости и рентгенологической диагностики. Лечение может проводиться консервативно (расправление инвагината с помощью баллона Ричардсона) или оперативно (лапаротомия с устранением внедрения кишечника).
Общие сведения
Инвагинация кишечника - разновидность кишечной непроходимости, заключающаяся во внедрении одного сегмента кишечника в просвет другого. Чаще всего (в 90% случаев) данное заболевание развивается у детей грудного возраста, обычно в 5-7 месяцев, в период введения прикормов. Распространенность патологии составляет 3-4 случая на 1000 грудных детей, причем чаще болеют мальчики.
Инвагинация кишечника, возникающая у детей старшего возраста, а также у взрослых, всегда имеет механические предпосылки. Факторами риска развития патологии являются грудной возраст, вирусные кишечные инфекции, протекающие с гипертрофией пейеровых бляшек (часто наблюдается при ротавирусной и аденовирусной инфекции), нерациональное введение прикорма, мужской пол, отягощенный семейный анамнез, а также плохие бытовые условия.
В большинстве клинических случаев не удается выяснить конкретную причину развития инвагинации кишечника, поэтому заболевание считается идиопатическим. Все причины данной патологии условно подразделяют на алиментарные и механические. Ведущая роль в формировании заболевания отводится нарушению пищевого режима у детей: несвоевременному введению прикорма, особенно в больших объемах, наличию в рационе слишком густой и грубой пищи. Патология может быть осложнением кишечных инфекций (вирусных и бактериальных), алиментарного гастроэнтерита, колита, инородных тел, туберкулеза кишечника или брюшины, энтероптоза и других заболеваний.
Механическими факторами, приводящими к внедрению одного участка кишечника в другой, являются полипы, дивертикул Меккеля, кисты кишечника; эктопическая поджелудочная железа; опухоли кишечника, в том числе липомы, лимфомы; кишечная форма аллергии; нарушения моторики различного генеза; муковисцидоз; хирургические вмешательства на органах желудочно-кишечного тракта и другие.
Патогенез
Независимо от конкретной причины патологического синдрома, патогенез всегда связан с нарушениями перистальтики кишечника. Большинство гастроэнтерологов и абдоминальных хирургов в настоящее время склоняются к единому мнению, что патофизиологической основой инвагинации кишечника в детском возрасте является преходящее изменение перистальтики с формированием участков спастических сокращений, способствующих образованию инвагинатов.
Употребление грубой пищи провоцирует судорожные сокращения гладкой мускулатуры кишечника с внедрением его участков, а дискоординация моторики усугубляет патологический процесс. Инвагинация приводит к непроходимости кишечника, развивается отек тканей, лимфостаз, венозный стаз. Артериальная ишемия является причиной некротических изменений кишечной стенки и кровотечения из ЖКТ. При отсутствии своевременного адекватного лечения возможна перфорация кишечника и развитие перитонита.
Классификация
В зависимости от причины развития выделяют первичную (видимый этиологический фактор отсутствует) и вторичную (имеется предшествующее поражение кишечника: опухоль, полипы и другое) инвагинацию. По локализации патологического процесса различают тонкокишечную, толстокишечную, тонко-толстокишечную, тонкокишечно-желудочную, а также инвагинацию петель кишечника через свищевые ходы или стомы.
Инвагинация, происходящая по направлению перистальтических волн, определяется как изоперистальтическая, или нисходящая; если происходит внедрение в обратном направлении - развивается антиперистальтическая, или восходящая инвагинация кишечника. Внедрение кишки может быть единичным и множественным (имеется несколько инвагинатов), простой (3-циллиндровый инвагинат) или сложной (5-, 7-циллиндровые инвагинаты).
Выделяют три варианта течения патологического процесса. Острая инвагинация (встречается в 95% случаев) представляет собой декомпенсацию моторики кишечника, возникающую вследствие различных факторов; может завершиться некрозом участка кишки. Рецидивирующая форма часто возникает у детей вследствие морфологической и функциональной незрелости кишечника; может быть ранней (в первые 3 суток после расправления) и поздней (неоднократно повторяется в более поздние сроки). Хронический вариант течения характеризуется длительно существующим заболеванием с неинтенсивными симптомами непроходимости кишечника.
Отдельной формой является абортивная или саморасправляющаяся инвагинация, которая протекает с компенсированным расстройством функций кишечника, типичными симптомами острой инвагинации, преимущественно регистрируется у пациентов, госпитализированных в ранние сроки от начала заболевания.
Симптомы инвагинации кишечника
Основным признаком заболевания является выраженный болевой синдром. Боль в животе в начале заболевания может быть приступообразной с интервалами от десяти до тридцати минут. Во время болевого приступа ребенок беспокойный, поджимает ноги к животу, кричит, плачет, кожные покровы могут быть бледными, покрытыми холодным потом. Малыш может отказываться от груди, соски. Приступ начинается всегда внезапно и так же внезапно прекращается.
Продолжительность боли обычно составляет около пяти минут, через пятнадцать - двадцать минут приступы повторяются (это соответствует волнам перистальтических сокращений кишечника). В межприступный период ребенок ведет себя обычно, спокойно играет, а после выраженной боли может быть заторможенным, уставшим. Характерной особенностью инвагинации кишечника является то, что живот при пальпации мягкий и незначительно болезненный (до наступления некротических изменений).
В некоторых случаях наблюдается диарея, вздутие живота. На начальных стадиях возможна рвота остатками пищи, при формировании непроходимости кишечника - каловыми массами. Через несколько часов от начала инвагинации появляется примесь крови в кале - испражнения приобретают вид «малинового желе».
Инвагинация кишечника у детей практически всегда протекает в острой форме, у взрослых может наблюдаться подострое и хроническое течение. Острая форма обычно развивается при тонкокишечной инвагинации, поскольку в этом случае быстро формируется непроходимость кишечника. Подострая форма более характерна для толстокишечной инвагинации - ввиду большего диаметра кишечника непроходимость может не сформироваться. Толстокишечная инвагинация характеризуется менее выраженной симптоматикой, болевой синдром не столь интенсивный.
Диагностика
При типичном течении диагностика инвагинации кишечника не вызывает сложностей. Консультация абдоминального хирурга позволяет заподозрить заболевание и определить характерные признаки. При пальпации живота в межприступный период определяется мягкоэластичное образование, чаще локализованное в правой подвздошной области, несколько болезненное. В поздние сроки (через 24 часа от начала заболевания) пальпация инвагината затруднительна в связи с развитием атонии кишечника. При илеоцекальной инвагинации определяется симптом Данса - западение правой подвздошной области. При низком расположении инвагината возможна его пальпация при ректальном исследовании и даже выпадение.
Для визуализации инвагината проводится УЗИ брюшной полости: определяется гипоэхогенное образование с участком гиперэхогенности в центральной части. Также может применяться ультразвуковая допплерография с целью оценки кровотока в сосудах брыжейки. Обзорная рентгенография брюшной полости обладает меньшей чувствительностью при обнаружении инвагината, но применяется как скрининговый метод исследования при острой боли в животе с целью исключения перфорации, обструкции.
Рентгенологические признаки могут быть весьма разнообразными: аномальное распределение газов, наличие уровней жидкости, расширение петель кишечника, пустые участки кишечника в области инвагината, а также кольцевидные чередующиеся участки затемнения и просветления. Более информативна рентгенография с контрастированием: определяется препятствие на пути контраста в виде полукруга или распределение бария наслаивающимися кольцами. С целью выяснения механических причин развития патологии может использоваться компьютерная томография.
При тяжелом течении инвагинации с формированием некроза кишечника определяются симптомы кишечного кровотечения, а также гиповолемии (сухость кожи, снижение артериального давления, олигурия). При лабораторных исследованиях специфические признаки не обнаруживаются. В общем анализе крови при перфорации и перитоните возможен лейкоцитоз, при гиповолемии - признаки гемоконцентрации. Биохимический анализ крови остается без изменений. В копрограмме (анализе кала) при ишемии участка кишечника определяется кровь и слизь.
Лечение инвагинации кишечника
Лечение пациентов проводится в стационаре. При идиопатической инвагинации у детей в возрасте 3-36 месяцев, в случае ранней госпитализации и отсутствия осложнений, возможно консервативное лечение. Это допустимо, если от начала заболевания прошло не более десяти часов. В таком случае во время диагностической рентгенографии проводятся и лечебные мероприятия: осуществляется нагнетание воздуха в кишечник при помощи баллона Ричардсона до полного расправления инвагината. Далее для отведения воздуха устанавливается газоотводная трубка.
После процедуры продолжается наблюдение в стационарных условиях отделения абдоминальной хирургии. Обязательно проводится контрольное рентгенконтрастное исследование. При своевременном обращении за медицинской помощью консервативное лечение эффективно в 60% случаев. В рамках медикаментозного лечения инвагинации кишечника проводится антибиотикотерапия, инфузионная терапия.
Если от начала выраженной симптоматики прошло более десяти часов, а также при наличии нейтрофильного лейкоцитоза в общем анализе крови, неэффективности консервативного лечения, признаках выраженного кишечного кровотечения, обезвоживании более 5% проводится хирургическое лечение путем лапаротомии. Производится устранение инвагинации, оценивается жизнеспособность кишечника, при необходимости его часть подлежит резекции.
Прогноз и профилактика
При своевременной госпитализации пациента и проведении адекватного лечения прогноз благоприятный. Возможно развитие таких осложнений, как рецидивирование инвагинации, перфорация кишечника с развитием перитонита, формирование внутренних грыж и спаек после оперативного лечения. Профилактика заключается в своевременном правильном введении прикорма (не ранее 6 месяцев, с постепенным введением новых блюд и плавным увеличением объемов пищи, приготовлении для прикорма гомогенных блюд), лечении новообразований кишечника.
Базилярная импрессия
Базилярная импрессия — приобретенное или врожденное вдавление внутрь черепа участка затылочной кости в области краниовертебрального перехода. Возникающие при базилярной импрессии уменьшение объема черепной коробки и краниальное (в сторону черепа) смещение позвоночника являются причиной развития гидроцефалии, мозжечковых расстройств, нарушений со стороны черепно-мозговых нервов, корешковых симптомов и признаков поражения верхних шейных отделов спинного мозга. Базилярная импрессия диагностируется при проведении рентгенографии краниовертебрального перехода, КТ и МРТ черепа и шейного отдела позвоночника. Лечится базилярная импрессия только хирургическим путем. Однако при наличие легких непрогрессирующих клинических изменений такое лечение не требуется.
МКБ-10
Базилярная импрессия представляет собой имеющее воронкообразную форму вдавление ската затылочной кости в сочетании с углублением краев большого затылочного отверстия внутрь черепной коробки. Эти изменения приводят к смещению позвоночника ближе к головному мозгу и уменьшению объема задней черепной ямки. При базилярной импрессии зубовидный отросток второго шейного позвонка располагается на уровне затылочного отверстия или даже выше его — в полости черепа.
В неврологии базилярная импрессия относится к аномалиям краниовертебрального перехода, куда также входят платибазия, ассимиляция атланта, атлантоаксиальная дислокация и аномалия Киари. Зачастую врожденная базилярная импрессия сочетается с другими краниовертебральными аномалиями и пороками развития позвоночника. Наиболее часто встречается комбинированный порок, при котором отмечается базилярная импрессия и врожденная платибазия.
Причины возникновения базилярной импрессии
Врожденная (первичная) базилярная импрессия формируется в период внутриутробного развития. Она связана как с наследственной предрасположенностью, так и с негативными воздействиями на плод в период беременности. К факторам, способным вызвать пороки развития, в том числе и базилярную импрессию, относятся заболевания матери и перенесенные ею в период беременности инфекции (хламидиоз, краснуха, корь, цитомегаловирусная инфекция и др.), радиоактивное излучение, контакт с вредными химическими веществами.
Приобретенная (вторичная) базилярная импрессия развивается в результате нарушения нормальной костной структуры затылочной кости. Ее причиной может быть остеопороз, который в свою очередь бывает связан с гипопаратиреозом, остеомаляцией, тяжелым рахитом, болезнью Педжета. Приобретенная базилярная импрессия возможна в результате деструктивных изменений затылочной кости при прорастании в нее опухоли задней черепной ямки или в результате воспалительного процесса (сифилиса, туберкулеза, актиномикоза, остеомиелита).
Симптомы базилярной импрессии
Базилярная импрессия характеризуется возникновением первых клинических симптомов в возрасте до 30 лет, наиболее часто в период от 15 до 20 лет. Клинические проявления базилярной импрессии возникают в результате уменьшения объема задней черепной ямки, приводящего к повышению внутричерепного давления, гидроцефалии и сдавлению расположенных в ней анатомических образований: мозжечка, ствола мозга, корешков черепно-мозговых нервов. Кроме того, сдавлению подвергаются и верхние шейные сегменты спинного мозга, что ведет к появлению корешковых и спинальных симптомов.
Общая неврологическая симптоматика, которой сопровождается базилярная имперссия сводится к головным болям в затылочной области, зачастую имеющим приступообразный характер и зависящим от положения головы. На фоне головной боли возможны вегетативные нарушения: чувство холода или жара в теле, тахикардия, гипергидроз, изменения артериального давления и пр. В отдельных случаях базилярной импрессии наблюдается односторонняя боль в затылочной области, которая постепенно может принимать двусторонний характер. Изредка боль из области затылка распространяется кпереди в один или оба глаза. Она может возникать по типу затылочной невралгии, усиливаться при поворотах головы, кашле, смехе и натуживании.
Мозжечковые симптомы, которыми проявляется базилярная импрессия, заключаются в появлении атаксии — нарушения устойчивости положения тела и шаткости при ходьбе. Поражение ствола мозга проявляется нистагмом, поперхиванием при еде (дисфагией), осиплостью голоса, снижением слуха (тугоухостью), головокружением, расстройством чувствительности кожи лица. Наиболее выражены стволовые симптомы в случаях, когда базилярная импрессия сочетается с ассимиляцией атланта.
Нередко базилярная импрессия сопровождается болями в шее и верхних конечностях, а также парестезиями (онемение, чувство «ползания мурашек») в области затылка и шеи. Эти симптомы обусловлены сдавлением верхних корешков шейного отдела позвоночника. В случае базилярной импрессии компрессионная миелопатия в верхнем шейном отделе редко приводит к развитию спастического тетрапареза. В основном при базилярной импрессии наблюдается умеренные диссоциированные расстройства чувствительности, требующие исключения начальных проявлений сирингомиелии.
При осмотре пациентов, у которых имеется базилярная импрессия, часто обращает на себя внимание короткая шея и заниженная граница роста волос. Наблюдается шаткость в позе Ромберга, промахивание при выполнении координаторных проб (коленно-пяточной и пальце-носовой), снижение чувствительности в области шейных дерматомов и на лице.
Диагностика базилярной импрессии
Жалобы пациента, история их возникновения и развития (анамнез заболевания), результаты неврологического осмотра зачастую наталкивают невролога на мысль о наличии патологии в области задней черепной ямки и краниовертебрального перехода. При этом для выявления базилярной импрессии или другой аномалии данной области в первую очередь проводят рентгенологическое исследование. Лучшую, чем на рентгенограмме, визуализацию костных структур этой области, а также данные относительно других пороков развития, с которыми зачастую сочетается врожденная базилярная импрессия, можно получить при помощи КТ черепа и позвоночника.
Прицельная рентгенография черепа в области краниовертебрального перехода и рентгенография позвоночника в шейном отделе проводятся в прямой (фасной) и боковой (профильной) проекциях. Базилярная импрессия диагностируется по увеличению угла между пластинкой основной кости и скатом больше 130°, а также по смещению вверх отростка второго шейного позвонка. Определение местоположения отростка производят по отношению к условным линиям: линии Чемберлена (между задним краем твердого неба и задним краем большого затылочного отверстия) и линии де ля Пти (между верхушками правого и левого сосцевидных отростков). В норме отросток второго шейного позвонка находиться ниже этих линий. Базилярная импрессия характеризуется смещением отростка на 6-30 мм выше линии Чемберлена и на 10-15 мм выше линии де ля Пти.
При офтальмоскопии у пациентов с базилярной импрессией могут выявляться застойные диски зрительных нервов, при проведении пороговой аудиометрии — нейросенсорный тип тугоухости. Для выявления состояния мягкотканных структур задней черепной ямки и спинного мозга, оценки степени их сдавления при базилярной импрессии необходимо проведение МРТ головного мозга и МРТ позвоночника.
Базилярная импрессия требует дифференциации от других аномалий краниовертебрального перехода, сирингомиелии, атаксии Фридрейха, опухоли мозжечка, атаксии Пьера-Мари, а также от коркового типа атаксии.
Лечение базилярной импрессии
В случаях, когда базилярная импрессия является случайной рентгенологической находкой и не вызывает симптомов сдавления мозговых структур, лечение не требуется. Показанием к хирургическому вмешательству при базилярной импрессии может быть неуклонное прогрессирование симптомов; клинические признаки сдавления спинного мозга, ствола мозга или мозжечка; выраженные ликвородинамические нарушения с нарастающим окклюзионным синдромом. С целью декомпрессии в ходе операции производят расширение большого затылочного отверстия.
Инвагинация кишечника - симптомы и лечение
Что такое инвагинация кишечника? Причины возникновения, диагностику и методы лечения разберем в статье доктора Чепрасова Владимира Дмитриевича, детского хирурга со стажем в 6 лет.
Над статьей доктора Чепрасова Владимира Дмитриевича работали литературный редактор Маргарита Тихонова , научный редактор Сергей Федосов
Определение болезни. Причины заболевания
Инвагинация кишечника — это внедрение одной части кишки в другую, в результате которого развивается кишечная непроходимость.

Данное заболевание является комбинированным видом механической непроходимости,так как оно сочетает в себе элементы обтурации (закрытия просвета кишки инвагинатом) и странгуляции (сдавления сосудов, питающих кишку).
Чаще всего к причинам возникновения инвагинации кишечника относят:
- возрастные особенности соединительной ткани у младенцев (крайне подвижный купол слепой кишки и недостаточность илеоцекального клапана, отделяющего тонкую кишку от толстой);
- незрелость нервной системы, которая просто даёт сбой — нарушается баланс между сокращениями продольных и круговых мышц кишки, а также возникает спазм вышележащего и парез (полное расслабление) нижележащего отдела кишки.
Дополнительными факторами риска могут стать:
- вирусные и кишечные инфекции;
- усиленная моторика (например, в ответ на приём слабительных);
- кишечная форма аллергии;
- муковисцидоз;
- туберкулёз брюшины и кишечника.
Также есть предположение, что инвагинацию кишечника может провоцировать именно аденовирусная или ротавирусная инфекция. [2] [3] Они поражают сначала Пейеровы бляшки кишечника, а затем мезентериальные лимфоузлы (лимфоузлы брыжейки тонкой кишки), где происходит размножение вируса. Этот тезис правильнее соотнести с большинством вирусных инфекций, например, с семейством пикорновирусов (вирус Коксаки, энтеровирусы).
Инвагинация кишечника встречается у абсолютно здоровых младенцев в возрасте 4-9 месяцев и является основной причиной кишечной непроходимости (в 85-90% случаев). [1]
У детей старшего возраста эта патология проявляется реже и часто имеет органическое происхождение:
- эмбриональные спайки Лейна (мембрана Джексона);
- энтероптоз — расположение петлей кишечника ниже нормы;
- дивертикул Меккеля — врождённая аномалия подвздошной кишки;
- полипы толстой кишки;
- кишечные удвоения;
- болезнь Геноха (геморрагический васкулит);
- гиперплазия (увеличение) лимфоидной ткани;
- новообразования, в том числе злокачественные.
Мальчики страдают данной патологией чаще девочек почти в два раза.
При обнаружении схожих симптомов проконсультируйтесь у врача. Не занимайтесь самолечением - это опасно для вашего здоровья!
Проявления инвагинации зависят от её вида и продолжительности нарушения. К основным симптомам можно отнести:
- боль в животе;
- плач, беспокойство;
- отказ от еды;
- рвоту;
- выделение из заднего прохода розоватой слизи — симптом "малинового желе".
Заболевание начинается всегда внезапно с выраженного беспокойства, плача и болей в животе: ребёнок поджимает ножки, плачет, отказывается от пищи, игр и предлагаемых предметов. Так же неожиданно боли прекращаются, и ребёнок даже может продолжить играть, принимать пищу, но через некоторое время приступ повторяется.

Такой волнообразный характер болей объясняется движением волны кишечной перистальтики: при сокращении круговых мышц влагалища (ущемляющей части) инвагината в стенке (ущемлённой части) инвагината возникает гипоксия, вследствие чего появляется боль. На данном этапе возможна одно- или двукратная рвота рефлекторного характера (на высоте болевого синдрома). У ребёнка может быть нормальный стул, температура, как правило, не поднимается.
Если в период первых приступов ребёнок останется без квалифицированной медицинской помощи, то процесс инвагинации будет развиваться дальше:
- интервалы между "схватками" будут всё короче;
- боль постепенно станет постоянной;
- ребёнок будет бледным, истощённым, плаксивым, адинамичным, станет отказываться от пищи и игр;
- возникнет рвота, которая принесёт кратковременное облегчение или вовсе не облегчит состояние.
ВАЖНО: через некоторое время после приступов вид и поведение ребёнка не будут соответствовать слабому болевому синдрому — такое состояние следует расценивать как крайне тяжёлое, так как при отмирании стенки кишки боль прекращается, а патологический процесс прогрессирует. На этом этапе важным симптомом будет выделение из заднего прохода слизи, окрашенной в розовый цвет. Этот специфичный признак обнаруживается:
- в 70% случаев в первые 12 часов от начала заболевания (причём в 40% случаев — спустя 4 часа);
- в 30% случаев спустя 12 часов после начала заболевания.
В некоторых случаях симптом "малинового желе" не возникает ни в один из периодов болезни. В основном такое бывает в случае слепо-ободочной формы инвагинации. Это связано с отсутствием ущемления и преобладанием закрытия просвета кишки инвагинатом.
Проявления заболевания при слепо-ободочной и толстокишечной формах инвагинации невыразительны:
- нет выраженного беспокойства;
- приступы боли в животе становятся менее интенсивными и протекают с длительными "светлыми" промежуткам;
- рвота возникает только у 20-25% маленьких пациентов.
Патогенез инвагинации кишечника
Инвагинация кишечника чаще всего представляет собой внедрение проксимальной (ближней) части кишки в дистальную (дальнюю). По сути, это нарушение одновременно является и ущемлением части кишки, и закупоркой кишечной трубки, которые в дальнейшем становятся причиной патологических изменений в стенке кишки.
Механизм внедрения одной кишки в другую
В стенке кишки есть Мейсснерово и Ауэрбахово нервные сплетения [5] [6] , которые отвечают за то, чтобы мышцы кишки сокращались и расслаблялись. При введении в пищу незнакомого продукта — прикорма (например, фруктового сока или нового пюре) — происходит раздражение стенок кишки и вышеописанных нервных сплетений. В результате этого возникает спазм вышележащего отдела и парез (расслабление, невозможность сократиться) нижележащего отдела, которые в совокупности дают старт формированию инвагината: под воздействием спастических сокращений стенка кишки постепенно начинает втягиваться в её просвет.
Поскольку вместе с кишечной стенкой внедряется и её питающая часть — брыжейка — возникает замедление и полная остановка кровотока в венозном русле кишки, т. е. венозный стаз. В итоге данные процессы приводят к отёку, артериальной ишемии стенки и отмиранию поражённой кишки. Поэтому крайне важно вовремя распознать нарушения и обратиться к врачу.

Классификация и стадии развития инвагинации кишечника
Инвагинация может образоваться на любом отрезке кишечника. По классификации J. Waldschmidt (1990), обычно выделяют три анатомических вида инвагинации кишечника:
- илеоцекальная — внедрение тонкой кишки в ободочную (встречается в 94% случаев);
- тонко-тонкокишечная — внедрение тонкой кишки в тонкую (встречается в 5% случаев);
- толсто-толстокишечная — внедрение толстой кишки в толстую (встречается в 1% случаев).

Илеоцекальная инвагинация, в свою очередь, можно разделить на два подвида:
- слепо-ободочная инвагинация — внедрение слепой кишки в восходящую ободочную ("головка" инвагината — слепая кишка);
- подвздошно-ободочная инвагинация — внедрение подвздошной кишки в восходящую ободочную через Баугиневу заслонку ("головка" инвагината — подвздошная кишка).
По направлению внедрения инвагината выделяют два типа инвагинации:
- нисходящая инвагинация — вышележащий участок входит в нижележащий (встречается редко);
- восходящая инвагинация — нижележащая часть кишки входит в вышележащую.

Инвагинация может протекать по трём клиническим типам:
- острое течение (в 98,8% случаев) — внедрение кишок, возникающее впервые, с характерным острым началом, сопровождающееся явными проявлениями кишечной непроходимости;
- рецидивирующее течение (в 0,7% случаев) — повторное внедрение кишок с острым началом;
- хроническое течение (в 0,5% случаев) — длительное внедрение кишок, при котором признаки клинической непроходимости выражены слабо.
Осложнения инвагинации кишечника
При длительном закрытии просвета кишки и закупорки сосудов возникнет кишечная непроходимость, а затем некроз (отмирание) стенки ущемлённой кишки. Некроз стенки ущемленной кишки может наступить через:
- 6-12 часов при подвздошно-ободочной инвагинации;
- 12-24 часа при тонкокишечной инвагинации;
- 36-48 часов при толстокишечной инвагинации.
Этот процесс в дальнейшем способен привести к перфорации — образованию отверстия в кишечнике.
Некроз и перфорация кишечника могут стать причиной развития перитонита. На это осложнение будут указывать такие симптомы, как:
- выраженный болевой синдром;
- сначала беспокойство, а потом полное безразличие ребёнка;
- вздутие живота;
- отсутствие отхождения газов и стула;
- выраженное ухудшение общего состояния.
Однако наличие отверстия в кишке редко приводит к развитию перитонита, так как ущемленная и уже некротизированная кишка находится внутри другой здоровой кишки.
Диагностика инвагинации кишечника
Диагностика инвагинации кишечника не вызывает трудностей и включает в себя осмотр, который производится детским хирургом, и инструментальное обследование.
Золотым стандартом считается проведение ультразвукового исследования (сонографии) органов брюшной полости, так как оно является неинвазивным, быстрым, безопасным, безболезненным и высоко информативным методом. [9] [10] При помощи сонографии можно диагностировать инвагинат не только на типичных, но и на атипичных участках кишечника, что повышает точность установления и верификации диагноза.
В момент УЗ-исследования врач может определить один из симптомов:
- симптом мишени (за счёт внедрения одной кишки в другую инвагинат на срезе выглядит как мишень);
- симптом "почки с завоздушенным центром".

При осмотре хирург прощупывает живот пациента. Таким образом он может обнаружить характерный симптом слепо-ободочной инвагинации (симптом Данса) — "исчезновение" купола слепой кишки и выявление как бы пустой области правой подвздошной ямки. Дополнительным признаком может быть пальпаторное определение инвагината в брюшной полости в качестве дополнительного образования.
Очень важно произвести ректальное пальцевое исследование. Оно может быть очень информативным, так как с его помощью выявляются такие признаки инвагинации, как:
- расслабленные сфинктеры ануса — симптом Гиршпрунга;
- пальпируемая головка инвагината (при его расположении в сигмовидной кишке);
- эвагинация — выпадение головки инварианта через атоничные сфинкстеры ануса (возникает в тяжёлых случаях при толстокишечной инвагинации).
Также необходимо произвести осмотр содержимого прямой кишки и вышележащих отделов: при инвагинации можно обнаружить слизь малиновой окраски и кровь.
Дополнительными методами могут служить рентгенография органов брюшной полости, компьютерная томография и ирригография.
Лечение инвагинации кишечника подразумевает дезинвагинацию — высвобождение ущемленной кишки. Согласно Приказу Министерства здравоохранения РФ № 203 "Об утверждении критериев оценки качества медицинской помощи", лечение инвагинации кишечника должно производится не позже, чем через час после установления диагноза. [7] Дело в том, что патологический процесс в стенке ущемлённой кишки очень опасен. Поэтому важно как можно раньше и максимально быстро произвести дезинвагинацию.
Выделяют два основных принципа лечения инвагинации: хирургический (оперативный) и консервативный.
В случае тяжёлого общего состояния ребёнка необходимо произвести предоперационную подготовку:
- восстановить водно-электролитный баланс;
- снизить гипертермию;
- улучшить микроциркуляцию;
- как можно раньше ввести антибактериальные препараты.
Консервативная терапия
Лечение инвагинации кишечника длительное время было исключительно хирургическим, так как уровень диагностики был низким. На данный момент при отсутствии убедительных данных за перитонит и некроз ущемлённой кишки проводится консервативное лечение с помощью специальной манипуляции — дезинвагинации воздухом. [8] Эта процедура выполняется под общей анестезией и не причиняет ребёнку боль. Суть её заключается в ведении специальной трубки — ректального зонда с подключенной к нему системой нагнетания воздуха и манометром (ректоскопом с подсоединённым баллоном Ричардсона). Под определённым давлением воздух нагнетается в кишечник, и при помощи давления газа инвариант расправляется.
Данный метод считается золотым стандартом консервативного лечения инвагинации кишечника. Его эффективность подтверждена множеством мультицентровых исследований. [11] [12] [13] [14] [15]
Также существует метод гидродезинвагинации, основанный на воздействии гидростатического давления на инвагинат. Он подразумевает применение клизмы с нагнетанием тёплого физраствора или бариевой взвеси под контролем рентген-установки, которая ведёт непрерывную съёмку.
Стоит отметить, что метод с бариевой взвесью, по мнению авторов, имеет один плюс: барий является достаточно плотным и тяжёлым веществом, что может дать больше шансов для консервативной дезинвагинации. Однако в настоящее время данная взвесь не применяется, так как может привести к грозному осложнению: если во время дезинвагинации произойдет прорыв стенки кишки, то бариевая взвесь попадёт в брюшную полость, откуда удалить её будет крайне сложно, что даст толчок к развитию тяжёлого перитонита.
Сама по себе гидродезинвагинация в Федеральных клинических рекомендациях указана как дополнительный метод лечения, но она менее предпочтительна. [8]
Оперативное лечение
Хирургическое лечение инвагинации кишечника проводится значительно реже. Для его проведения существуют чётко сформулированные показания:
- наличие перитонита и верифицированного диагноза "Инвагинация кишечника";
- более 24-48 часов с момента начала заболевания;
- отсутствие эффективности от трёх попыток консервативной дезинвагинации (пневмодезинвагинации).
При наличии соответствующего оборудования и достаточной квалификации хирурга инвагинация устраняется через лапароскопический доступ. Если нет возможности произвести лапароскопическую дезинвагинацию, прибегают к открытой методике, которая уступает лишь в части послеоперационной реабилитации.
Сроки реабилитации крайне индивидуальны и зависят от многих факторов. Принято считать, что после лапароскопического высвобождения ущемлённой кишки реабилитация протекает проще и быстрее за счёт уменьшенного болевого синдрома.
Прогноз. Профилактика
В случае своевременного обращения за медицинской помощью и вовремя проведённого лечения прогноз благоприятный. Скорее всего, о данной проблеме через 1-2 года родители (а уж ребёнок и подавно) не вспомнят, так как последствий никаких нет.
Обычно после пневмодезинвагинации требуется, чтобы ребёнок находился в стационаре в течение 24 часов. Однако если инвагинация кишечника произошла на фоне, например, кишечной инфекции, то необходимо пройти курс стационарного лечения по поводу заболевания, которое привело к инвагинации, так как не устранив проблему можно спровоцировать рецидив инвагинации.
В тяжёлых случаях с некрозом кишки выполняется удаление отмершего участка и производится наложение кишечной стомы (выведение кишки на переднюю брюшную стенку и формирование противоестественного ануса). В этой ситуации прогноз будет зависеть от тяжести исходного и послеоперационного состояния и тяжести септического процесса.
Специфической профилактики инвагинации кишечника не существует, так как её причины обусловлены детским возрастом. Однако снизить риск возникновения данной патологии может правильное введение прикорма. [8]
Читайте также:
