Оперативный доступ при операции на ухе - височной кости
Добавил пользователь Валентин П. Обновлено: 22.01.2026
Запорожский государственный медицинский университет, Украина
Санкт-Петербургский НИИ уха, горла, носа и речи Минздрава России, Санкт-Петербург, Россия, 190013
Отдел разработки и внедрения высокотехнологичных методов лечения Санкт-Петербургского НИИ уха, горла, носа и речи Минздрава России, Санкт-Петербург, Россия, 190013, отделение отоларингологии Мурманской областной клинической больницы им. П.А. Баяндина, Мурманск, Россия, 183000
Санация холестеатомы пирамиды височной кости в отохирургической практике
Журнал: Вестник оториноларингологии. 2017;82(6): 24‑27
Представлены клинические случаи хирургического лечения 20 пациентов с холестеатомой пирамиды височной кости. Согласно классификации Moffat-Smith и M. Sanna у пациентов по данным МСКТ височных костей были диагностированы следующие типы холестеатом пирамиды височной кости: супралабиринтная (n=8), супралабиринтно-апикальная (n=2), инфралабиринтная (n=3), инфралабиринтно-апикальная (n=5), массивная (n=1) и массивно-апикальная (n=1). Хирургическая санация холестеатомы пирамиды височной кости проведена всем 20 пациентам при отсутствии выраженных костных деструкций стенок пирамиды височной кости и при отсутствии субдурального распространения холестеатомы. Во всех случаях трепанационная полость велась открыто до полной ее эпидермизации. Длительность клинического наблюдения пациентов в среднем составила около 3 лет. Проанализированы клинические аспекты каждого прооперированного пациента, хирургические подходы удаления холестеатомы пирамиды височной кости и конечный результат оперативного лечения.
Принятые сокращения:
МСКТ — мультиспиральная компьютерная томография
МРТ — магнитно-резонансная томография
ЛН — лицевой нерв
ВСА — внутренняя сонная артерия
ЯВ — яремная вена
СС — сигмовидный синус
ПК — полукружные каналы
Холестеатома пирамиды височной кости — это медленно растущее эпидермоидное образование, поражающее не только верхушку, но и другие отделы височной кости. Агрессивный рост холестеатомы пирамиды височной кости может привести к деструкции подлежащих костных структур с распространением образования на скат черепа, клиновидную пазуху, подвисочную ямку, носоглотку с возможным проникновением в субдуральное пространство [1—3]. Частота встречаемости холестеатомы пирамиды височной кости составляет 4—9% от всех патологических образований данной локализации [4]. Согласно нашим наблюдениям, холестеатома пирамиды височной кости встречается лишь у 0,2% больных с хроническим гнойным средним отитом [5].
Как любой вид холестеатомы височной кости, холестеатома каменистого отдела может быть врожденной, растущей из сохраненного эктодермального зачатка, либо приобретенной вследствие инвазии эпидермиса в результате ретракции/перфорации тимпанальной мембраны. Кроме того, некоторые исследователи выделяют вторичную приобретенную холестеатому пирамиды височной кости: ятрогенную, развившуюся после хирургических манипуляций на непораженном холестеатомой ухе, и посттравматическую, возникающую в результате эпидермального заноса, вызванного травмой [2, 6].
Для холестеатомы пирамиды височной кости характерно бессимптомное течение заболевания до тех пор, пока образование не затронет лицевой нерв или лабиринт [4]. В этом случае, по данным литературы, частота встречаемости пареза мимической мускулатуры составляет от 36,6 до 100% случаев [7—11].
Хирургические подходы для удаления холестеатомы каменистой части, объем оперативного вмешательства определяются, в первую очередь, степенью распространения заболевания. Анализ существующих хирургических методик удаления холестеатомы пирамиды височной кости выявляет главную тенденцию — полная элиминация холестеатомного матрикса с последующей облитерацией созданной полости аутотканями [6, 12, 13]. Такая тактика способствует защите жизненно важных структур височной кости и полости черепа, отсутствию формирования больших полостей. С другой стороны, визуализация, и, как следствие, тщательное удаление матрикса с поверхности твердой мозговой оболочки средней и задней черепных ямок, луковицы яремной вены, внутренней сонной артерии, периневрия лицевого нерва без риска повреждения последних является весьма трудной задачей даже для хирургов высокого класса. Вследствие этого риск формирования резидуальной холестеатомы в закрытых полостях остается весьма высоким.
Цель данного исследования — разработка способа хирургического лечения холестеатомы пирамиды височной кости, минимизирующего риск развития рецидива заболевания.
Пациенты и методы
В исследование включены 20 пациентов (10 мужчин и 10 женщин, средний возраст 38,4±12 года) с холестеатомой пирамиды височной кости, прооперированных на базе ФГБУ «СПб НИИ ЛОР» Минздрава России с 2005 по март 2017 г. У 11 (55%) пациентов в анамнезе была радикальная операция на среднем ухе. 2 (10%) пациента в прошлом были прооперированы нейрохирургами с удалением холестеатомы верхушки пирамиды височной кости из экстрадурального подвисочного и инфралабиринтного доступов соответственно. 6 (30%) пациентов с приобретенной и 1 (5%) с врожденной холестеатомой пирамиды височной кости оперированы первично. Средний период клинического наблюдения составил 3 года.
Всем пациентам выполнялось комплексное общеклиническое, отоларингологическое, радиологическое обследование, включающее МСКТ височных костей, МРТ cреднего уха, диффузно-взвешенную МРТ головного мозга. При необходимости проводились консультации отоневролога, вестибулолога, офтальмолога, невролога и нейрохирурга.
Распределение пациентов по группам выполнялось согласно классификациям холестеатом пирамиды височной кости, предложенными D. Moffat и соавт. [10] и S. Prasad и соавт. [6], выделяющими супралабиринтный, инфралабиринтный, апикальный, супралабиринтно-апикальный, инфралабиринтно-апикальный, массивный, массивно-апикальный типы.
Оперативное вмешательство выполнялось под эндотрахеальным наркозом, трансмастоидальным доступом. В 18 (86%) случаях проводился мониторинг лицевого нерва методом игольчатой электромиографии [14].
В отличие от предлагаемых хирургических методик удаления холестеатомы пирамиды височной кости, мы использовали разработанный нами способ санации холестеатомы с одномоментным пластическим расширением наружного слухового прохода без облитерации трепанационной полости аутотрансплантатами [5]. Такая тактика позволяет вести созданную полость открыто и уменьшает риск развития резидуальной холестеатомы.
Результаты и обсуждение

Дисфункция лицевого нерва различной степени тяжести по шкале House—Brackmann [15] выявлена у 7 (35%) пациентов (табл. 2). Таблица 2. Распределение пациентов с холестеатомой пирамиды височной кости по степени дисфункции лицевого нерва При этом длительность пареза/паралича мимической мускулатуры составила более 1 года.
У 1 (5%) пациента выявлено снижение зрения ипсилатерально, сопровождающееся болями в области глаза. Это было обусловлено развитием базального менингита и вторичной атрофией зрительного нерва вследствие длительного сдавления твердой мозговой оболочки средней и задней черепных ямок холестеатомой.

В зависимости от распространения холестеатомы пациенты были разделены на группы согласно классификации Moffat—Smith [10] (2008) и M. Sanna [6] (2016) (табл. 3). Таблица 3. Распределение пациентов по типам распространения холестеатомы пирамиды височной кости согласно классификации Moffat—Smith (2008) [10] и M. Sanna (2016) [6]

Хирургический доступ и объем оперативного вмешательства определялись типом холестеатомы и вовлечением в патологический процесс подлежащих сосудисто-нервных образований (табл. 4). Таблица 4. Хирургические доступы санации холестеатомы пирамиды височной кости Примечание. n — число случаев, ЛН — лицевой нерв, ВСА — внутренняя сонная артерия, ЯВ — яремная вена, СС — сигмовидный синус, ПК — полукружные каналы.
В ходе операции вовлечение в патологический процесс интимы внутренней сонной артерии выявлено у 10 пациентов, луковицы яремной вены — у 7, сигмовидного синуса — у 3. В 12 случаях выявлено поражение полукружных каналов, в 16 — лицевого нерва (см. табл. 4).
Сохранить остаточный слух в послеоперационном периоде удалось у 5 (25%) больных с интактной капсулой улитки. У 1 (5%) пациента с инфралабиринтно-апикальной холестеатомой отмечено улучшение слуха: уменьшение порога воздушного звукопроведения на 40—50 дБ, сокращение костно-воздушного интервала до 30—40 дБ при сохранении порога костного звукопроведения. В данном случае санирующая операция дополнена тимпанопластикой III типа с отграничением интактных окон лабиринта от трепанационной полости в инфралабиринтном клеточном тракте. В оставшихся 14 (70%) случаях зафиксирована глухота на оперированное ухо.
Послеоперационная функция лицевого нерва была сохранена у всех больных и соответствовала той степени пареза/паралича мимической мускулатуры, что и на дооперационном этапе.
Вестибулярная дисфункция в раннем послеоперационном периоде отмечена в 11 (55%) случаях и была полностью купирована консервативной терапией через 1 мес после операции.
Послеоперационная ликворея из внутреннего слухового прохода отмечалась у 4 (20%) больных, из области средней черепной ямки — у 2 (10%), перилимфорея из преддверия лабиринта — у 4 (20%). В этих случаях мы использовали пролонгированную тампонаду трепанационной полости в сочетании с консервативным лечением, что позволило избежать повторного оперативного вмешательства.
У 1 (5%) пациента с инфралабиринтно-апикальной холестеатомой после ранее проведенной краниотомии с удалением холестеатомы верхушки пирамиды из экстрадурального подвисочного доступа, ранее выполненной в нейрохирургической клинике, через 6 мес после субтотальной петрозэктомии транскохлеарным доступом отмечено развитие серозного менингита. Дополнительное обследование обнаружило рецидив холестеатомы, сопровождающееся отоликвореей. Пациент повторно оперирован нейрохирургами. Произведена тотальная петрозэктомия с закрытием дефекта крыши задней черепной ямки, облитерацией трепанационной полости мышечным лоскутом, ушиванием наружного слухового прохода. Диффузионно-взвешенная МРТ головного мозга, выполненная этому больному через год после вмешательства, выявила рецидив холестеатомы. В оставшихся 19 (95%) случаях в течение всего периода наблюдения резидуальная холестеатома не обнаружена.
Проведенное исследование показало, что из 20 пациентов с холестеатомой пирамиды височной кости более половины (13 (65%) больных) ранее были оперированы в отоларингологических и нейрохирургических клиниках. Стертая клиническая картина, отсутствие патогномоничных симптомов, недостаточная динамика клинического и радиологического тестирования привели в этих случаях к формированию холестеатомы пирамиды височной кости на различных сроках (от 1 до 41 года) после перенесенной операции. Оставшиеся 7 (35%) пациентов госпитализированы в ФГБУ «СПб НИИ ЛОР» Минздрава России для оперативного лечения из-за развития осложнений в виде пареза/паралича мимической мускулатуры, лабиринтной дисфункции, офтальмологических проблем и длительное время получали консервативное лечение у врачей других специальностей (терапевта, невролога, офтальмолога).
Отсутствие клинической настороженности, длительного последующего наблюдения с использованием радиологических методов обследования пациентов, перенесших оперативное лечение по поводу холестеатомы среднего уха — одна из причин развития такого опасного для жизни состояния, как холестеатома пирамиды височной кости. Интимная связь височной кости с полостью черепа, сосудисто-нервными образованиями способствует вовлечению этих структур в патологический процесс.
Цель хирургического лечения холестеатомы — полная элиминация заболевания, стабилизация анатомического и, по возможности, функционального состояния. Хирургические подходы и объем вмешательства определяются локализацией и распространением патологического процесса. Вне зависимости от доступа все предлагаемые в настоящее время методики завершаются облитерацией созданной трепанационной полости аутотканями [3, 6, 7, 12, 13]. Достоинством такой техники является отсутствие большой плохо дренируемой полости и защита сосудисто-нервных образований от возможной инфекции и травмы. С другой стороны, зачастую полностью удалить холестеатомный матрикс с адвентиции внутренней сонной артерии, яремной вены, твердой мозговой оболочки, периневрия черепно-мозговых нервов не представляется возможным ввиду спаянности матрикса с указанными структурами и сложности его дифференциации от интимной оболочки образований. В таких случаях формирование закрытой полости несет высокий риск рецидива заболевания, а отсутствие визуального контроля может способствовать развитию тяжелых осложнений.
Особенностью нашей тактики хирургии холестеатомы пирамиды височной кости является формирование открытой полости с одномоментным пластическим расширением наружного слухового прохода. Это позволяет оценивать состояние полости под визуальным контролем, при необходимости проводить ее санацию, а сформированный широкий наружный слуховой проход способствует хорошему самоочищению.
Безусловно, адекватная и безопасная хирургия холестеатомы пирамиды височной кости остается сложной проблемой и зачастую требует мультидисциплинарного подхода, особенно при экстратемпоральном распространении заболевания.
Выводы
1. Пациенты, перенесшие хирургические вмешательства по поводу холестеатомы среднего уха, нуждаются в длительном, регулярном динамическом наблюдении с использованием современных радиологических методов обследования.
2. Хирургическое лечение интратемпоральной холестеатомы пирамиды височной кости должно проводиться в специализированных отохирургических клиниках высококвалифицированными специалистами с использованием интраоперационного мониторинга лицевого нерва.
3. Формирование открытой трепанационной полости с одномоментным расширением наружного слухового прохода позволяет оценивать ее состояние под визуальным контролем, снижает риск развития рецидива заболевания.
4. Экстратемпоральное распространение холестеатомы пирамиды височной кости нуждается в мультидисциплинарном подходе с участием ото- и нейрохирургов.
Оперативный доступ при операции на ухе - височной кости
Астраханский филиал «Научно-клинический центр оториноларингологии» ФМБА России, Астрахань, Россия, 414056
Научно-клинический центр оториноларингологии» ФМБА России, Москва, Россия, 125310
Отдел заболеваний уха, лаборатория патологической анатомии ЛОР-органов НКЦ оториноларингологии ФМБА России
Мастоидопластика при повторных санирующих операциях на ухе
Журнал: Вестник оториноларингологии. 2016;81(1): 40‑43
Цель исследования — оценка результатов мастоидопластики ортотопической костной тканью с области височной линии. Показали, что область височной линии является оптимальным участком височной кости для забора костного материала для мастоидопластики при повторных санирующих операциях в условиях дефицита ортотопической костной ткани. Мастоидопластика ортотопической костной тканью имеет ряд преимуществ перед другими методами мастоидопластики, в том числе с точки зрения биосовместимости. В отдаленном послеоперационном периоде высокоинформативным и неинвазивным методом исследования и контроля у пациентов, перенесших санирующую реоперацию с мастоидопластикой костной тканью, является мультиспиральная компьютерная томография височных костей.
Мастоидопластика является реконструктивным этапом при санирующих операциях (СО) на ухе. Концепция облитерации мастоидальной полости (МП) впервые введена H. Mosher в 1911 г. [1]. Мастоидопластика чаще проводится при повторных операциях по поводу рецидива хронического гнойного среднего отита (ХГСО) после ранее выполненных открытых методов СО на ухе с образованием МП [2, 3].
Как открытые, так и закрытые методы СО чаще выполняются по поводу форм ХГСО с холестеатомой [4]. Обе методики имеют свои преимущества и недостатки [5]. Закрытые методы характеризуются меньшим риском развития так называемой болезни оперированного уха, но повышенным риском рецидива холестеатомы (30—63%) [6—8]. При открытой методике меньше риск рецидива холестеатомы (2—10%) [9], но более высок риск развития «болезни оперированного уха» (20—60%) [10].
Болезнь оперированного уха возникает чаще после открытых методов СО на ухе, основными факторами ее развития являются неполная эпидермизация МП, высокая шпора, большая послеоперационная полость, нарушенная функция слуховой трубы [4, 11]. Целью облитерации является уменьшение объема МП для сокращения площади эпидермизации, ликвидации карманов, в которых могут скапливаться эпидермальные массы, поддерживающие хроническое воспаление.
Для облитерации МП используют ауто-, алло-, ксеноткани, а также различные биосовместимые материалы (метакрилат, керамика, гидроксиапатит и так далее) [12, 13].
Каждый из предложенных для мастоидопластики материалов имеет свои преимущества и недостатки. Аутоткань обладает преимуществами перед другими материалами благодаря высоким биопластическим свойствам, отсутствию антигенности, доступности и простоте использования, безвредности и переносимости тканями. После пересадки свежие аутотрансплантаты перестраиваются интенсивнее, чем алло- и ксенотрансплантаты [14].
Недостатком мягкотканных пластических материалов является их сморщивание, истончение, что в конечном итоге приводит к атрофии пластического материала с приближением размеров МП к первоначальным [15]. Использование аутоткани отдаленных анатомических областей (подвздошный гребень, гребень большеберцовой кости) связано с дополнительной операционной травмой, что увеличивает длительность послеоперационного периода и время нахождения в стационаре. Недостатками аллогенного материала является риск отторжения и передачи инфекции, а сохранение ценных качеств аллоткани зависит от методов ее консервации и стерилизации, что требует дополнительных специальных условий для забора, консервации и хранения аллоткани. Использование биосовместимых материалов в практике ограничено высокой вероятностью их инфицирования, неполной остеоинтеграцией, возможностью экструзии имплантата [16].
Наиболее подходящим материалом для мастоидопластики как с точки зрения биосовместимости, так и с точки зрения простоты забора материала является ортотопическая костная ткань (ОКТ), которая может быть использована в виде костных чипсов, пластинок, закрученных кусочков, пасты [17]. При использовании ОКТ не требуется дополнительных разрезов для ее получения, консервации и стерилизации. При повторных СО на ухе всегда имеется дефицит ОКТ, так как кортикальная кость с сосцевидного отростка удаляется во время первичной СО.
Все вышесказанное определило цель исследования: поиск наиболее оптимального участка височной кости для взятия ОКТ с целью облитерации МП при повторных СО на ухе и оценка результатов мастоидопластики.
С января 2014 г. по апрель 2015 г. в Астраханском филиале НКЦО ФМБА России было прооперировано 25 больных с рецидивом ХГСО после ранее перенесенной СО по открытому типу. Возраст больных варьировал от 18 до 55 лет (64% мужчин, 36% женщин). Всем больным была выполнена санирующая реоперация с одномоментной мастоидопластикой стружкой ОКТ, взятой из области височной линии (ВЛ). Пациенты имели выраженную симптоматику, характерную для «болезни оперированного уха». Все больные жаловались на снижение слуха на оперированное ухо. Жалобы на отделяемое из оперированного уха предъявляли 76% больных (см. таблицу).

Структура жалоб больных с «болезнью оперированного уха»
Обследование включало переднюю и заднюю риноскопию, отомикроскопию, аку- и вестибулометрию, исследование проходимости слуховых труб, тональную пороговую аудиометрию, мультиспиральную компьютерную томографию (МСКТ) височных костей, эндоскопию полости носа и носоглотки с тщательным осмотром глоточных устьев слуховых труб.
Хирургическое лечение выполнялось заушным доступом под общей анестезией.
Разрез в заушной области проводили по старому послеоперационному рубцу с продолжением его у верхнего конца прикрепления ушной раковины кзади и кверху на 1,5 см, параллельно В.Л. Мягкие ткани заушной области отслаивались до кости, обнажая область В.Л. Далее эпидермальная выстилка послеоперационной полости отслаивалась, визуализировались мастоидальная и барабанная полости вместе с оставшейся частью оссикулярной системы, овальным и круглым окном, барабанным устьем слуховой трубы. Далее проводили санирующий этап операции, ликвидировали карманы, при высокой шпоре она сглаживалась. Перед выполнением тимпано- и мастоидопластики проводили гемостаз, тщательное удаление мягких тканей из М.П. Для выполнения тимпанопластики и отграничения малой тимпанальной полости от мастоидальной в качестве трансплантата использовали хрящ. После выполнения одного из вариантов тимпанопластики и формирования малой тимпанальной полости выполняли мастоидопластику. МП облитерировали стружкой ОКТ, которую укладывали за хрящевым трансплантатом, последний фиксировали в сформированные по границе костного дефекта задней стенки наружного слухового прохода желобки (сверху и снизу). Кожную пластику наружного слухового прохода производили на завершающем этапе операции. Операционную рану послойно ушивали. В слуховой проход укладывались силиконовые полоски и проводили тампонаду гемостатической губкой. Удаление тампонов и силиконовых полосок производили через 3 нед после операции.
Эффективность оперативного лечения оценивалась по клиническим данным и результатам объективных методов исследования (отомикроскопия, МСКТ височных костей). Первичные результаты оценивали через 3 мес, отдаленные — через 12 мес и более.
Результат лечения расценивали как хороший, если в оперированном ухе отсутствовали клинические признаки воспаления, рецидивы ХГСО, неотимпанальный лоскут представлял собой целостную подвижную мембрану, а пациенты отмечали заметное улучшение слуха.
Удовлетворительными считали результаты операции, если в оперированном ухе имелись признаки воспаления послеоперационной полости, которые ликвидировались при помощи консервативной терапии и не требовали реоперации, а неотимпанальный лоскут представлял собой ограниченно подвижную мембрану или имел «сухую» центральную перфорацию.
При возникновении рецидива заболевания и необходимости в реоперации результаты считали неудовлетворительными.
МСКТ височных костей проводили перед операцией и через год после операции на спиральном компьютерном томографе фирмы «Philips» MX-16 в коронарной и аксиальной проекциях с толщиной среза 0,65 мм.
Через 3 мес после операции хорошие результаты были достигнуты у 21 (84%) пациента. Удовлетворительные результаты получены у 4 (16%) больных и обусловлены наличием неэпидермизированных участков у 3 (12%) больных и реперфорацией неотимпанальной мембраны в 1 (4%) случае.
Через год после операции у 22 (88%) больных фиксировали хорошие результаты (рис. 1). Удовлетворительные результаты были достигнуты у 1 (4%) больного, что было обусловлено сохраняющейся реперфорацией неотимпанальной мембраны. Больному была выполнена реоперация с закрытием дефекта в неотимпанальной мембране. В 2 (8%) случаях потребовалась санирующая реоперация из-за рецидива отореи. Рецидив был обусловлен резидуальной холестеатомой, оставленной в тимпанальном синусе.

Рис. 1. Правое ухо. Отоэндоскопия отоскопом прямого видения 00 фирмы KARL STORZ. 1 — облитерированный эпитимпанум, 2 — задняя стенка наружного слухового прохода после полной мастоидопластики, 3 — неотимпанальный лоскут.
МСКТ височных костей было выполнено перед операцией с целью определения наиболее оптимального участка височной кости для взятия ОТК для облитерации МП при повторных СО на ухе. Также учитывалось положение данного участка по отношению к важным анатомическим структурам (лицевой нерв, сигмовидный синус, горизонтальный полукружный канал, твердая мозговая оболочка средней и задней черепных ямок).
Результаты исследования 60 компьютерных томограмм височных костей больных с ХГСО показали, что наиболее оптимальным участком для взятия стружки аутокости для мастоидопластики является область ВЛ, так как именно в этом месте наружный кортикальный слой кости имеет наибольшую толщину и меньше риск повреждения важных анатомических структур. В среднем толщина наружного кортикального слоя в области височной линии составила 6,4 мм и варьировала от 3,2 мм до 8,3 мм (рис. 2). При толщине наружного кортикального слоя кости менее 4 мм удавалось получить пластический материал только для закрытия глубоких карманов МП. В 6 случаях полученной стружкой аутокости была выполнена полная облитерация М.П. Облитерация М.П. до уровня горизонтального полукружного канала была выполнена у 12 больных. При этом сформирована значительно меньшая по объему послеоперационная полость, что способствовало ее оптимальной эпидермизации. У двух больных вместе с МП был облитерирован эпитимпанум. В 5 случаях удалось взять пластический материал только для облитерации глубоких карманов МП в области верхушки сосцевидного отростка.

Рис. 2. МСКТ левой височной кости, аксиальная проекция. Проекция области височной линии.
МСКТ височных костей проводилась через год после операции с целью оценки состояния реимплантированной костной ткани.
Анализ данных МСКТ показал, что реимплантрованная костная ткань имеет меньшую плотность, чем наружный кортикальный слой сосцевидного отростка, и варьировала от 350 до 680 едН. В подавляющем большинстве исследований по данным МСКТ не визуализировалась четкая граница между пересаженной костной стружкой и окружающей костной тканью (рис. 3). Лишь в 6 (18%) случаях можно было наблюдать тонкую прослойку низкой плотности между реимплантированной и окружающей костной тканью. По плотности данная прослойка сопоставима с соединительной тканью. Данные МСКТ также позволили в 2 случаях (8%) предположить рецидив холестеатомы. Этим пациентам была выполнена санирующая реоперация по открытому типу (с формированием МП). Интраоперационные находки подтвердили данные МСКТ височных костей и необходимость реоперации.

Рис. 3. МСКТ левой височной кости, аксиальная проекция. Стрелка — имплантированная костная стружка.
1. Предлагаемый способ мастоидопластики позволяет повысить эффективность хирургического лечения при повторных санирующих операциях на среднем ухе за счет уменьшения частоты рецидивов заболевания.
2. МСКТ височных костей в послеоперационном периоде (через 1 год после операции) является незаменимым методом оценки результатов мастоидопластики у больных после повторных санирующих операций на среднем ухе с использованием костной ткани в качестве пластического материала для мастоидопластики.
Московский научно-практический центр оториноларингологии Департамента здравоохранения Москвы
Московский научно-практический центр оториноларингологии ДЗ Москвы
Федеральный медико-биологический Центр им. А.И. Бурназяна ФМБА России, Москва, Россия, 123098
Хирургическое лечение холестеатомы пирамиды височной кости
Журнал: Вестник оториноларингологии. 2015;80(3): 57‑60
Кратко представлена эпидемиология, классификация, диагностика и современные тенденции хирургического лечения холестеатомы пирамиды височной кости. Описан клинический случай диагностики и хирургического лечения холестеатомы верхушки пирамиды височной кости.
Из всех заболеваний верхушки пирамиды височной кости холестеатома встречается в 3,4—9% случаев. Наиболее часто (в 60%) в этой зоне выявляется холестероловая гранулема. В то же время имеются случаи диагностики мукоцеле, арахноидальных кист, менингиомы, хордомы, ксантомы, кавернозной гемангиомы, аневризм внутренней сонной артерии, фиброзной дисплазии, хондросаркомы и метастатической карциномы. Может симулировать заболевание верхушки пирамиды и асимметричная пневматизация этой локализации [1—5].
Среди больных с холестеатомой височной кости у 2,9% встречается холестеатома пирамиды височной кости. Холестеатома этой локализации может быть первичной (врожденной), происходящей из остатков эмбриональной или аберрантной эпителиальной ткани, или вторичной вследствие инвазии холестеатомы из среднего уха или сосцевидного отростка. Вторичная холестеатома выявляется у 58%, а первичная — у 12% пациентов [2, 6]. В зависимости от локализации холестеатомы в пирамиде височной кости по классификации M. Sanna [7] выделяют пять ее видов: супралабиринтная, инфралабиринтная, массивная лабиринтная, инфралабиринтная с апикальным распространением и апикальная [7]. Наиболее часто встречается супралабиринтная (26,7—67%), массивная лабиринтная (20—38%) и инфралабиринтная (7—40%) холестеатомы [1, 6, 8].
При холестеатоме пирамиды височной кости часто наблюдается бессимптомное течение при значительном ее объеме. В зависимости от локализации ранними симптомами могут быть выраженное снижение слуха или глухота (у 9—69%), дисфункция лицевого нерва (у 29—53%), оторея (у 66,7%), периферическое головокружение (у 33,3%) или центральные неврологические осложнения вследствие эрозии рядом расположенных важных анатомических структур [1, 2, 6, 8, 9].
Применение в диагностике высокоинформативных методов исследования: мультиспиральной компьютерной томографии (МСКТ) и магнитно-резонансоной томографии (МРТ) с контрастным усилением, в том числе в non- EPY режиме, позволяет определить локализацию, распространение холестеатомы и на дооперационном этапе планировать хирургический подход.
В литературе имеются единичные обзоры, посвященные диагностике и хирургии холестеатомы пирамиды височной кости, освещающие значительное количество клинических случаев [1, 6, 8—11]. Основными задачами операции являются тотальное макроскопическое удаление холестеатомы, сохранение ствола лицевого нерва, предупреждение ликвореи и менингита и сохранение слуховой функции. Поэтому современный алгоритм выбора хирургического подхода строится на локализации холестеатомы, состоянии слуховой функции и лицевого нерва. Большинство авторов отдают предпочтение закрытым вариантам с облитерацией зоны операции и ушиванием наружного слухового прохода по Rambo, учитывая современные средства реабилитации слуха. Так, при супралабиринтной холестеатоме и нормальном слухе используют транстемпоральный супралабиринтный подход через среднюю черепную ямку, а при сенсоневральной тугоухости — выполняют субтотальную петрозэктомию транслабиринтным и транскохлеарным подходом. При инфралабиринтной холестеатоме и нормальном слухе применяют субтотальную петрозэктомию трансмастоидальным и ретролабиринтным подходами, а при сенсоневральной тугоухости — транслабиринтным и транскохлеарным подходами [6, 11, 12]. В то же время стремление сохранить слух после операции в ущерб радикальному удалению холестеатомы может привести к резидуальной патологии и необходимости повторного вмешательства. В тех случаях, когда холестеатома распространяется медиальнее капсулы лабиринта, сохранить слух невозможно, и на выбор хирургического подхода влияет состояние лицевого нерва. При этих локализациях холестеатомы при сохранной функции лицевого нерва применяют транслабиринтный и транскохлеарный или инфратемпоральный доступы, а при дисфункции лицевого нерва — транскохлеарный. Для лечения дисфункции лицевого нерва в зависимости от места компрессии выполняют декомпрессию ствола нерва, нейропластику или VII—XII анастомоз одновременно (или на втором этапе) [1, 6, 10]. Лучшие результаты операции отмечают при длительности дисфункции лицевого нерва менее 12 мес. В результате лечения глухота оперированного уха наблюдается у 18—83%, рецидив холестеатомы в разные сроки — у 2—19% и интракраниальные осложнения у 2—6% больных [6, 8].
В последние годы некоторые авторы выполняют модифицированную субтотальную петрозэктомию различными подходами, в зависимости от локализации холестеатомы, с тимпанооссикулопластикой для сохранения или улучшения функции слуха. По их данным, преимуществами открытой реконструкции являются функциональный результат, ранняя диагностика рецидива холестеатомы и менее сложная ревизионная хирургия в условиях необлитерированной полости. При этой методике после удаления холестеатомы пирамиды височной кости у 90% пациентов выполнялась тимпанопластика и у 52% — оссикулопластика. В результате операции слух улучшился у 38% пациентов, сохранился на прежнем уровне — у 29% и у 33% отмечено его ухудшение [8].
В нашей стране хирургией пирамиды височной кости занимаются преимущественно нейрохирурги. Однако и их возможности ограничены при распространенной холестеатоме пирамиды височной кости.
Представляем случай диагностики и хирургического лечения холестеатомы верхушки пирамиды височной кости.
Пациентка М., 32 года, обратилась в отделение нейрохирургии клиники ФГБУ ФМБЦ им. А.И. Бурназяна с жалобами на отсутствие слуха на правое ухо, периодические выделения из него, асимметрию лица.
Из анамнеза известно, что пациентка с детства страдает хроническим гнойным правосторонним средним отитом с периодическими обострениями в виде выделений из правого уха на фоне ОРВИ или попадания воды в ухо. Регулярно проводилась местная антибактериальная терапия с временным положительным эффектом. С 16-летнего возраста стала отмечать головокружения системного характера. В 2006 г. обратилась в клинику МОНИКИ, где выполнена КТ височных костей, по данным которой выявлено новообразование правой пирамиды височной кости. В той же клинике выполнена санирующая операция на правой височной кости с удалением задней стенки слухового прохода. В послеоперационном периоде головокружения купировались, но сохранялись выделения из этого уха. В 2009 г. стала отмечать подергивание мышц правой половины лица, эпизоды по типу гемифациального спазма до нескольких раз в день. В НИИ нейрохирургии им. Н.Н. Бурденко выполнена ретросигмовидным доступом операция на пирамиде височной кости с удалением холестеатомы правой пирамиды височной кости. После операции у пациентки полностью восстановилась функция лицевого нерва справа. Однако в 2012 г. у пациентки вновь развился парез лицевого нерва справа. Обратилась в отделение нейрохирургии клиники ФМБЦ им. А.И. Бурназяна для обследования и лечения.
При поступлении: общее состояние больной удовлетворительное. Температура тела нормальная. Кожные покровы обычной окраски. В легких дыхание везикулярное, без хрипов. АД — 120/80 мм рт.ст. Пульс 90 в 1 мин, ритмичный, удовлетворительных свойств.
При осмотре имеются спокойные, безболезненные послеоперационные рубцы в правой заушной и ретросигмовидной области. При отомикроскопии справа — наружный слуховой проход широкий, свободный, без отделяемого. Барабанная перепонка сохранена только в передних отделах. Слизистая оболочка в мезогипотимпануме утолщенная, полипозно-измененная. Полость в мастоидальном отделе небольшая, покрыта утолщенной слизистой оболочкой без эпидермиса. Слуховая труба проходима по Вальсальва. Слева наружный слуховой проход широкий, свободный. Барабанная перепонка серого цвета, опознавательные знаки дифференцируются.
В неврологическом статусе: сознание ясное. Контактная. Менингеальных знаков нет. Гипостезия в зоне иннервации V нерва справа (больше по 1—2 ветвям), корнеальный рефлекс снижен справа. Определяется грубый парез правого лицевого нерва справа (V степень по шкале House—Brackmann). Координаторные пробы выполняла удовлетворительно.
При тональной пороговой аудиометрии (ТПА) выявлена правосторонняя глухота. Слух слева в пределах возрастной нормы.
По данным электронейромиографии отмечались признаки умеренного поражения правого лицевого нерва по смешанному типу (аксональному и демиелинизирующему), проводимость по всем ветвям составляла 30—40% от нормы по типу неврита.

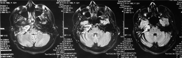
Рис. 1. КТ височных костей пациентки М. а — коронарная проекция: деструктивная полость в пирамиде височной кости, заполненная субстратом неоднородной плотности, капсула лабиринта значительно разрушена на уровне базального и апикального завитков улитки, латерального и верхнего полукружных каналов; б — аксиальная проекция: деструктивная полость с разрушением задней грани пирамиды, передневерхней и нижней поверхности.
По результатам МРТ головного мозга правая пирамида височной кости деформирована, увеличена в объеме, выполнена субстратом размером до 5,5—2,8—3 см, распространяющимся на область внутреннего слухового прохода, заднего полукружного канала, медиальные отделы барабанной полости, сосцевидный отросток. Описанный субстрат изо-гипоинтенсивен в режиме Т1, гиперинтенсивен — в Т2 и non-EPI DWI (рис. 2). Заключение: признаки рецидива холестеатомы с деструктивными изменениями структур внутреннего и среднего уха на фоне хронических воспалительных изменений.

Рис. 2. Магнитно-резонансная томография головного мозга пациентки М. Деформированная, увеличенная в объеме пирамида височной кости выполнена мягкотканым субстратом.
Учитывая анамнез заболевания, ранее выполненные операции, клинические проявления (глухота, явления периферического пареза лицевого нерва) и локализацию процесса по данным КТ височных костей и МРТ, свидетельствующие о массивной лабиринтной холестеатоме, пациентке была выполнена реоперация. Транслабиринтным подходом произведена субтотальная петрозэктомия (частичная лабиринтэктомия) с удалением холестеатомы и пластикой дефекта височной кости жиром. При ревизии определялась послеоперационная неэпидермизированная мастоидальная полость, которая была заполнена утолщенной слизистой оболочкой. В барабанной полости также определялась утолщенная полипозная слизистая оболочка. Барабанная перепонка сохранена только в передних отделах. Цепь слуховых косточек отсутствовала. За счет удаления перилабиринтных клеток, заднего верхнего и латерального полукружных каналов был открыт широкий доступ в сторону верхушки пирамиды, где выявлена большая холестеатома, распространявшаяся от верхушки сосцевидного отростка до верхушки пирамиды височной кости. Выявлено обнажение луковицы яремной вены, мозговых оболочек задней черепной ямки, нисходящей части канала лицевого нерва. Холестеатома удалена с образованием большой полости внутри пирамиды височной кости. При удалении холестеатомы из области внутреннего слухового прохода (который не дифференцировался) отмечалась ликворея. Эпидермальные оболочки оставлены на луковице яремной вены, у верхушки пирамиды височной кости, под улиткой. Произведена герметизация твердой мозговой оболочки двухкомпонентным фибриновым клеем. В область верхушки пирамиды височной кости уложена подкожно-жировая клетчатка, которая была взята с передней брюшной стенки. Выполнена пластика полости свободным миофасциальным лоскутом. В барабанную полость, под остатки барабанной перепонки, уложена аутофасция. Слуховой проход не ушивался для возможности контроля за созданной полостью.
По данным гистологического исследования удаленного образования от 29.07.14: в присланном материале бесструктурные холестеатомные массы и мелкий пласт многослойного плоского эпителия с рыхлой подэпителиальной стромой с кровоизлияниями.
При наблюдении в послеоперационном периоде отмечена длительная эпителизация послеоперационной полости и сохранение пареза правого лицевого нерва (V степень по шкале House—Brackmann). Неврологический статус — без отрицательной динамики.
Представленный случай свидетельствует о возможности успешного применения транслабиринтного подхода для удаления холестеатомы верхушки пирамиды височной совместно с нейрохирургами.
Радикальная операция на среднем ухе

Санирующая операция среднего уха выполняется при хроническом воспалении среднего уха (хроническом гнойном среднем отите). Она проводится с целью избавления больного от хронического очага инфекции и предупреждения развития тяжелых и опасных для жизни ушных (отогенных) осложнений (как менингит, абсцесс мозга, арахноидит и др.) и с целью предупреждения вторичного кохлеарного неврита (нейросенсорной тугоухости), развивающегося вследствие проникновения во внутреннее ухо токсических продуктов воспаления среднего уха. В последние десятилетия санирующие операции стали выполнять и с целью «подготовки» среднего уха (первый этап) к слухоулучшающей операции (второй этап).
Разработано много методик санирующих операций, отличающихся между собою как хирургическим подходом (через заушный или внутриушной разрез), так и объемом удаляемой кости. Разнообразие методик операций позволяет выбрать наиболее подходящую для конкретного больного в зависимости от особенностей воспалительных изменений, степени слуховых нарушений, состояния слуховой трубы, общего состояния больного и т. д. Следует иметь в виду, что чем длительнее течение хронического среднего отита (например, несколько десятилетий), тем больше объем операции и тем меньше шансов на полное избавление больного от выделений из уха и на возможность проведения слухоулучшающей операции.
Основные показания для операции
Основным показанием для санирующей операции являются непрекращающиеся выделения из уха или временно прекращающиеся под влиянием лечения. Они могут быть обильными и скудными; гнойными, слизистыми или слизисто-гнойными, реже водянистыми. Иногда выделения прекращаются, но при протиранин уха ваткой, навернутой на зонд или спичку, удаляется зловонная корочка или просто эта ватка имеет неприятный запах. Это указывает на то, что при кажущемся отсутствии выделений воспаление продолжается, но выделения настолько небольшие, что успевают высохнуть, превращаясь в корочку.
Относительные показания
Другим показанием для санирующей операции служит тупая боль в ухе, головокружение и тугоухость. Следует отметить, что в некоторых случаях, как, например, при небольшой перфорации барабанной перепонки, при ее локализации в верхнем отделе перепонки, при сохранении слуховых косточек, слух может быть нормальным. Однако это не означает, что санирующая операция не нужна. Нередко при почти нормальном слухе развивается холестеатома, которая всегда представляет угрозу для здоровья, а потому подлежит полному удалению при операции. Иногда во время санирующей операции у таких больных удается сохранить слух. Если же откладывать операцию на отдаленное время, то холестеатома может настолько разрушить структуры среднего уха и ухудшить слух, что выполнить слухоулучшающую операцию уже не удается.
Как проводится операция
Санирующая радикальная операция заключается в создании общей костной полости с гладкими стенками, сообщающейся со слуховым проходом. Иными словами, формируется единая полость среднего уха, как бы широко открытая в слуховой проход. При операции удаляются все «поражённые» элементы среднего уха, включая изменённые слуховые косточки, даже если они частично разрушены воспалительным процессом. Обычно радикальная операция выполняется заушным путем.
При небольших разрушениях элементов среднего уха, как, например, в начальной стадии развития эпитимпанита, можно ограничиться небольшой операцией, называемой аттикотомией. Ее выполняют через наружный слуховой проход. При этой операции удаляют небольшой участок костной ткани и формируют небольшую полость. Как правило, после такой операции можно в дальнейшем произвести и слухоулучшающую операцию.
Существует еще одна операция, называемая раздельной аттикоантротомией, которая включает элементы радикальной операции и аттикотомии. Она проводится обычно при хронических гнойных мезотимпанитах, когда воспалительным изменениям в основном подвергаются слизистая оболочка среднего уха и нет холестеатомы. Одновременно проводят и слухоулучшающий этап операции (тимпанопластику). При этой операции, как и при аттикотомии, используют операционный микроскоп.
Помимо указанных основных 3 видов санирующих операций существует множество модификаций.
Успех операции во многом зависит от общего состояния больного и от выполнения необходимого режима после операции.
Подготовка к операции
Перед операцией выясняют: нет ли противопоказаний к операции или какой-либо патологии в других органах, которая может повлиять на исход операции. Прежде всего не должно быть кариозных зубов и гнойного синусита. При необходимости зубы должны быть санированы. Лечению подлежит патология глотки (хронический тонзиллит), носа и около носовых пазух. Инфекция в носу и глотке может способствовать вялому послеоперационному заживлению.
Весьма существенное место занимает подготовка уха к операции, которую проводят как в поликлинике, так и в стационаре. В поликлинике проводят местное лечение (капли), иногда по показаниям смазывают мазью или инсуфлируют порошок; иногда проводят инъекции витаминов и т. д. Перед операцией в стационаре тщательно осматривают ухо под микроскопом, промывают, очищают слуховой проход от корочек и, иногда, назначают инъекции препаратов или таблетированные лекарства.
Накануне операции больной должен принять душ, так как после операции он будет лишен этого удовольствия в среднем на 7-10 дней; очистить кишечник, принять на ночь таблетку успокаивающего или снотворного препарата. В день операции с утра не следует принимать пищу и жидкости. Волосы около уха должны быть коротко подстрижены и на 2—3 см выбриты. Операция продолжается обычно 1—3 часа в положении лежа на спине; проводится она обычно под местной анестезией или под общим обезболиванием (вид обезболивания определятся индивидуально). Операцию, как правило, больные переносят легко и безболезненно.
Послеоперационный режим
Послеоперационный режим как в стационаре, так и после выписки назначается отохирургом индивидуально в зависимости от характера и особенностей операции. Обычно уже на другой день больным разрешают вставать. Ограничение ходьбы, резких движений длится 3—7 дней. Более свободный режим с прогулками по коридору, а в летнее время — на больничном дворе обычно назначают после полной перевязки, т. е. после полного извлечения из уха всех тампонов. В период пребывания в стационаре больному назначают лечение, направленное на ускорение заживления послеоперационной полости, и проводят ежедневные перевязки. Часто назначают физиотерапевтические процедуры. Лечение в стационаре продолжается от 3 до 7 дней; при вялом заживлении этот срок иногда удлиняется. Перевязки заключаются в смене тампонов в первые 7-10 дней, удалении раневого отделяемого и введении в ухо лекарственных препаратов.
При выписке из стационара отохирург в эпикризе отмечает характер операции, рекомендуемый послеоперационный режим и указывает при необходимости медикаментозное лечение, которое проводится в поликлинике по месту жительства. С учетом особенностей операции и заживления в справке отмечают также примерный срок домашнего режима с правом продления больничного листа. Обычно он продолжается 1—2 недели после выписки.
Реабилитация
В течение первых 6 месяцев необходимо избегать инфицирования уха. Не следует переохлаждаться, купаться в открытых бассейнах, а при пользовании ванной или душем, особенно при мытье головы, следует плотно закрывать слуховой проход ватой, смоченной стерильным вазелином.
Обычно выделения из уха прекращаются через 4 недели, почему больной в течение этого срока наблюдается врачом, который очищает ухо. Иногда выделения продолжаются более длительный срок; в этом случае сам больной может по указанию врача смазать мазью или закапать лекарства. При резкой смене погоды, изменении атмосферного давления может возникать в течение многих лет тупая боль в оперированном ухе. В этом случае следует помассировать кожу впереди козелка в заушной области.
По мере необходимости врач назначает частые или редкие посещения к нему; в первые 6 месяцев обычно больной должен осматриваться врачом 1 раз в месяц, а затем реже — 1 раз в 2—3 месяца до 1 года после операции. Весь этот период следует избегать не только переохлаждения, но и контакта с больными гриппом и простудными заболеваниями. При остром воспалении дыхательных путей и при гриппе следует обратиться к врачу.
Большое значение как до операции, так и после нее имеют общеукрепляющие процедуры, направленные на повышение защитных сил, улучшение общего кровообращения и обогащение кислородом. Правильное чередование труда и отдыха, регулярные занятия физической культурой и пребывание на свежем воздухе способствуют закаливанию организма.
В комплекс физических упражнений целесообразно включить такие, которые усиливают объем дыхания. Полезен бег или быстрая ходьба, облегченный физический труд, глубокое дыхание, повороты и вращения головы и шеи.
Питание должно быть полноценным, разнообразным с включением белковых продуктов (молока, творога, нежареного мяса) и витаминизированной пищи (овощи, фрукты, соки). Ни в коем случае нельзя употреблять спиртные напитки, включая и пиво, так как они усиливают секрецию слизи и выделения из уха. Во всяком случае этот запрет категориченв течение двух лет, даже при хорошем заживлении.
Соблюдение перечисленных рекомендаций, своевременные посещения врача способствуют надежному заживлению и полному избавлению больного от выделений из уха. Для тех больных, которым назначается вторая — слухоулучшающая операция, соблюдение отмеченных правил увеличивает шансы на ее эффективность.
Читайте также:
