Ошибки в шинировании при переломах челюстей. Модификация гнутых проволочных шин.
Добавил пользователь Евгений Кузнецов Обновлено: 22.11.2025
Деформация - это нарушение анатомической формы и размеров органа.
Дефект - отсутствие части органа. Дефект может быть частичным, субтотальным и тотальным.
Классификация дефектов и деформаций челюстно-лицевой области.
По этиологии:
1. Врожденные дефекты и деформации:
а) несращение фрагментов губ (одно- и двустороннее; скрытое, частичное или полное, комбинированное с другими дефектами лица и челюстей);
б) колобомы лица или несращения частей лица - односторонние, двусторонние; полные, частичные; комбинированные;
в) несращение неба (частичное; полное; скрытое; мягкого и/или твердого неба; неба и альвеолярного отростка; комбинированное);
г) макpo-, микростомия;
д) макро-, микрогнатия;
е) микроотия, анотия;
ж) деформация носа;
з) сочетание перечисленных дефектов.
а) механические травмы (бытовые, спортивные, производственные, огнестрельные, транспортные, повреждения при укусе животным или человеком);
б) термические травмы (ожоги пламенем или горючими смесями и др., обморожения);
в) химические травмы (жидкими кислотами, едкими щелочами).
3. Одонтогенная инфекция (неспецифическая или специфическая).
4. Неодонтогенная инфекция (специфическая или неспецифическая).
5. Асептическое воспаление (ошибочные инъекции, аллергия).
6. Операции по поводу новообразований.
7. Повреждение тканей в результате лучевой терапии.
8. Последствия заболеваний ВНЧС.
9. Старческие деформации кожи лица, носа, губ, щек, век, шеи.
10. Сочетание нескольких этиологических факторов.
По локализации:
1. Мягкие ткани и органы лица.
2. Кости лица и височно-нижнечелюстной сустав.
3. Мягкие ткани и органы полости рта.
4. Мягкие ткани и органы шеи.
По степени нарушения функции:
1. Эстетический дефект.
2. Невозможность или затруднение открывания рта и откусывания пищи.
3. Невозможность или затруднение разжевывания пищи и формирования пищевого комка.
4. Затруднение или невозможность глотания.
5. Затруднение или невозможность речи.
6. Затруднение или невозможность дыхания.
7. Нарушение зрения.
8. Нарушение нескольких из перечисленных функций.
Репозиция и фиксация отломков челюстей при переломах.
Выбор тактики лечения у больных с переломами челюстей зависит от многих критериев, в числе которых: характер (огнестрельный/неогнестрельный; со смещением/без смещения; линейный/косой/оскольчатый/многооскольчатый; с интерпозицией мягких тканей/без интерпозиции и т.д.), локализация (верхняя челюсть/нижняя челюсть; в пределах зубного ряда/за зубным рядом) и количество переломов; наличие и состояние зубов в полости рта пациента; наличие и состояние зубов в линии перелома; общее состояние больного (наличие сочетанных повреждений, общесоматических заболеваний, противопоказаний к хирургическому вмешательству или наркозу); давность травмы и др.
При отсутствии условий для адекватной иммобилизации, наличии интерпозиции мягких тканей, невозможности консервативной репозиции отломков прибегают к хирургическим методам лечения.
Ортопедическое лечение показано при переломах без смещения или с незначительным смещением отломков, при наличии благоприятных условий для репозиции и фиксации фрагментов челюстей, а также при отказе больного от хирургического лечения или невозможности его проведения.
Аппараты, применяемые для консервативного лечения переломов челюстей (постоянная, или лечебная, иммобилизация):
1. Назубные шины.
- индивидуальные проволочные шины Тигерштедта (рис. 5):
· шина-скоба с распорочным изгибом. Является модификацией гладкой шины-скобы, применяется при отсутствии одного или нескольких зубов в месте перелома. Распорочный изгиб располагается в области отсутствующих зубов. Края распорочного изгиба упираются в соседние зубы (во избежание смещения отломков), а глубина его должна соответствовать ширине боковой поверхности зуба, расположенного по краю дефекта.
· шина-скоба с наклонной плоскостью. Показана в случае, если большой отломок смещен в сторону перелома. Для удержания отломка в правильном положении на шине в области отломка выгибают три вертикальных петли, равные двойной высоте коронки зуба.
· шина с зацепными петлями. Используется для бимаксиллярного шинирования при переломах нижней и верхней челюсти в пределах зубного ряда без смещения фрагментов либо при репонируемых переломах со смещением фрагментов. На верхней челюсти шинирование необходимо сочетать с ношением теменно-подбородочной повязки либо шапочки с пращой. Изготавливается из толстой алюминиевой проволоки. На каждой шине делают по 5-6 зацепных крючков (петель), которые располагают в области четных зубов. Длина петель около 3-4 мм и они находятся под углом 35-40° к оси зуба. Шины укрепляют к зубам ранее описанным способом. На шине, укрепленной на верхней челюсти, петли (крючки) направлены кверху, а на нижней челюсти - вниз. На зацепные петли надевают резиновые кольца, диаметр которых зависит от прикуса пациента, высоты коронок зубов и характера смещения фрагментов. Подтягивать лигатурные проволоки нужно каждые 2-3 дня, а также каждые 5-6 дней (или по мере необходимости) требуется менять резиновую тягу.

Рис. 5. Индивидуальные проволочные шины Тигерштедта: а) гладкая шина-скоба; б) шина с распорочным изгибом; в) шина с наклонной плоскостью; г) шина с зацепными петлями.
- стандартная ленточная шина Васильева (рис. 6). Предназначена для бимаксиллярного шинирования. Показания к применению аналогичны показаниям при использовании шины с зацепными петлями. Шина изготовлена из тонкой плоской металлической ленты шириной 2,3 мм и длиной 134 мм, на которой имеется 14 зацепных петель. Лента легко изгибается в горизонтальной плоскости, но не гнётся в вертикальной. Шину Васильева обрезают до необходимых размеров, изгибают по зубной дуге так, чтобы она касалась каждого зуба хотя бы в одной точке, и привязывают лигатурной проволокой к зубам. Крючки на верхней челюсти направлены вверх, на нижней - вниз. Лигатура должна плотно охватытвать шейку каждого зуба. Концы лигатур после скручивания обрезают до длины 3-4 мм и загибают для предотвращения травмирования слизистой оболочки губ, щек и альвеолярного отростка. После фиксации верхней и нижней шины устанавливается резиновая тяга. Направление и жесткость резиновой тяги определяется характером смещения отломков.
На этапе репозиции отломков челюстей при использовании любого вида шинирования необходимо обезболить сторону перелома посредством аппликационной, инфильтрационной, проводниковой анестезии, а чаще - их сочетания. При резком ограничении открывания рта предварительно выполняют анестезию по Берше.

Рис. 6. Стандартные назубные ленточные шины Васильева.
Помимо перечисленных выше, существует множество иных способов и аппаратов для иммобилизации челюстей, в числе которых пластмассовые и металлические индивидуальные шины лабораторного и внелабораторного изготовления, а также различные модификации стандартных шин и методов их фиксации.
2. Зубонадесневые шины.
- шина Вебера (рис. 7в). Мономаксиллярная шина-протез. Может быть использована для иммобилизации отломков нижней челюсти, если линия перелома проходит в пределах зубного ряда и на каждом отломке имеется по несколько устойчивых зубов. Шина плотно охватывает зубы, прилежит к слизистой оболочке десны и опирается на альвеолярный отросток в месте отсутствия зубов. Жевательные поверхности и режущие края зубов шиной не перекрыты, что обеспечивает хороший контакт зубов-антагонистов. Эту шину можно наложить в ранние сроки после возникновения перелома без смещения отломков и использовать ее до конца лечения, т.е. до образования прочной костной мозоли. Может применяться самостоятельно или как один из основных элементов при использовании метода окружающего шва при переломах нижней челюсти. Шину Вебера готовят лабораторным путём, предварительно сняв слепки с отломков челюстей, или непосредственно в полости рта при помощи быстротвердеющей пластмассы. Для предотвращения бокового смещения отломков на одной из разновидностей шины Вебера делают наклонную плоскость в области моляров.
- шина Ванкевич (рис. 7а). Представляет собой зубонадесневую шину с опорой на альвеолярный отросток верхней челюсти и твёрдое нёбо. Имеет в боковых отделах две обращённые вниз наклонные плоскости, которые упираются в передние края ветвей или в альвеолярную часть боковых отделов тела нижней челюсти преимущественно с язычной стороны и не позволяют отломкам нижней челюсти смещаться вперёд, вверх и внутрь.
Применяют шину Ванкевич для фиксации и предупреждения бокового и вращательного смещения отломков нижней челюсти, особенно при значительных её дефектах, за счёт упора наклонных плоскостей в передние края ветвей челюсти.
- шина Ванкевич-Степанова (рис. 7б). Шина Ванкевич в модификации Степанова отличается тем, что вместо верхнечелюстного базиса имеется металлическая дуга, как у бюгельного протеза. Применяются обе шины в сочетании с подбородочной пращей.

Рис. 8. Зубонадесневые шины: а) шина Ванкевич; б) шина Степанова; в) шина Вебера.
3. Надесневые шины.
- шина Порта. (рис. 9а). Применяется при переломах челюстей у больных с полной адентией. Состоит из двух базисных пластинок на верхнюю и нижнюю челюсти, соединенных по бокам в единый блок в центральном соотношении челюстей. В переднем отделе шины сформировано отверстие для приема пищи. После введения ее в полость рта отломки челюсти прижимают к базису и фиксируют в таком положении с помощью подбородочной пращи и шапочки. Шина может быть использована у ослабленных больных, которым не показаны даже малотравматичные оперативные вмешательства.
- разборная шина Лимберга (рис. 9б). Как и шина Порта, разборная шина Лимберга применяется при полной адентии, но, в отличие от нее, не является моноблоком. При изготовлении шины Лимберга на верхнем базисе формируют отростки, идущие к окклюзионной плоскости, а на нижнем - отростки с чашевидными углублениями для верхних отростков. Применяется в сочетании с головной шапочкой и подбородочной пращой.

Рис. 9. Надесневые шины: а) шина Порта; б) шина Лимберга.
При переломах верхней челюсти шинирование челюстей всегда сочетают с тугой эластичной теменно-подбородочной повязкой либо головной шапочкой с пращой. Помимо вышеперечиленных конструкций, для иммобилизации верхней челюсти при переломах используют также следующие аппараты:
- стандартный комплект Збаржа (рис. 10). Этот комплект состоит из стальной внутриротовой проволочной шины с внеротовыми стержнями, опорной головной повязки с боковыми металлическими планками, четырех соединительных стержней и восьми соединительных зажимов или хомутиков (по два на каждый соединительный стержень). Внутриротовая часть проволочной шины представляет собой двойную незамкнутую дугу, которая припасовывается к зубному ряду со щечной и небной стороны. После закрепления шины на зубах накладывают опорную головную повязку, которая образована двойной тесьмой из плотной материи и узкими тесемками, пришитыми к верхнему краю широкой (основной) тесьмы. Соединяясь между собой при помощи шнура, эти тесемки образуют круг, размеры которого можно менять в зависимости от размеров черепа.
Затем производят вправление отломков верхней челюсти, причем основным ориентиром служит состояние прикуса (при неповрежденной нижней челюсти). После вправления отломков внеротовые стержни назубной шины соединяют с опорной головной повязкой при помощи четырех вертикальных стержней и соединительных муфт — по два стержня на каждой стороне лица. В тех случаях, когда удовлетворительного сопоставления отломков по прикусу достичь не удалось или же при наличии одновременно и перелома нижней челюсти на последнюю накладывают обычную проволочную или ленточную шину с зацепными петлями и соединяют шины между собой резиновыми кольцами. Изменяя направление тяги отдельных колец, уже в ближайшие несколько дней удается добиться хорошего сопоставления отломков по прикусу. Продолжительность фиксации отломков верхней челюсти при помощи стандартного комплекта Збаржа колеблется в пределах 2,5-3 недель, а при наличии перелома нижней челюсти — до 4-5 недель.

Рис. 10. Стандартный комплект Збаржа.
- шина Аржанцева (рис. 11). Иммобилизация достигается при помощи назубной пластинки, изготовленной из быстротвердеющей пластмассы, универсальных шарниров из аппарата Рудько и двух стержней с пластинкой и штангой. Пластмассовую небную пластинку прочно скрепляют со штангами и головной гипсовой повязкой с помощью универсальных шарниров.

Рис. 11. Шина Аржанцева.
- аппарат Шура (рис. 12). Паяную шину на верхнюю челюсть с опорными коронками на клыки и первые моляры обеих сторон цементируют на зубах верхней челюсти. К шине с щечной стороны в области первого моляра припаивают плоские трубки сечением 2х4 мм и длиной 15 мм. На голове больного формируют гипсовую шапочку и одновременно загипсовывают в нее вертикально с обеих сторон стержни так, чтобы они располагались несколько кзади латерального края орбиты и опускались книзу до уровня крыльев носа. Внеротовые стержни сечением 3 мм и длиной 200 мм вставляют в трубки и изгибают по щечной поверхности зубов. В области клыка они направляются кзади, на уровне короткого верхнего стержня выгибаются ему навстречу. Изменяя направление внеротовых концов стержней, перемещают верхнюю челюсть до необходимого положения. После установления челюсти в правильное положение концы рычагов связывают лигатурой.
Ошибки при шинировании переломов челюстей
Каким инструментом можно перекусить проволочки зубных шин, чтобы снять их самостоятельно?
Изложив технику изготовления шин из гнутой проволоки, следует отметить, что правильное изготовление и использование различных типов шин по показаниям, несомненно, сыграло очень положительную роль в ортопедическом лечении травм челюстно-лицевой области. Однако в тыловых госпиталях часто наблюдались отрицательные результаты наложения шины из-за ошибок при наложении шины, как отмечает Г. А. Васильев, И. Лукомский, Д. А. Энтин, Н. Михельсон, Э. Babińska et al. Эти ошибки совершаются в основном в отношении деталей, неаккуратное выполнение которых разрушает всю утомительную и важную работу лечащего врача.
К таким ошибкам относятся: скоба должна заканчиваться крючком, который захватывает крайние зубы с дистальной и язычной сторон. Однако этот крючок должен быть сконструирован таким образом, чтобы его форма соответствовала форме экватора коронки зуба. Крючок, не отвечающий этому требованию, обрезает края десны, прилегающие к дистальной поверхности зуба. Травма также возникает при низком расположении коронки краевого зуба (зуба мудрости). В таких случаях шина должна заканчиваться не крючком, а шипом, который входит в межзубное пространство между последним и предпоследним зубом.
Шип часто делается неправильно, он должен доходить до центра межзубного промежутка, но во многих случаях он слишком маленький или слишком большой, поэтому шип не подходит должным образом или травмирует язык. Также не соблюдались правила крепления шины к как можно большему количеству зубов, ограничились 4-5 проволочными лигатурами, что ослабило фиксацию перелома. Во многих случаях врачи не выполняли требование закручивать лигатуры по часовой стрелке, что очень негативно сказывалось на работе врачей, лечивших раненых на следующих этапах эвакуации.
Шину часто сгибали так, что она не оставалась за краем десны, а прилипала к нему, и, конечно же, из-за отсутствия достаточного места для резиновых петель она травмировала слизистую рта. Пациенты также пострадали из-за неосторожного прикрепления зубов к шине, не соблюдая принцип контакта шины с каждым зубом в одной точке. Это сместило эти зубы в вестибулярном направлении. Также важно правильно согнуть петли анкера: их длина не должна быть более 3 мм, и они должны быть согнуты под углом 45 °.
Ошибкой, приводящей к еще большим осложнениям, является использование одногокулярной тракции или межчелюстной тракции без полного учета клинической картины в полости рта. Только неукоснительное соблюдение методов лечения по показаниям может способствовать эффективности лечения. Как слишком ранняя, так и слишком поздняя замена межчелюстного фиксатора фиксатором УЭА, а также преждевременное удаление шин отрицательно сказываются на исходе лечения. Также ошибочно пропускать метод кровавой репозиции жестких, трудно репозиционируемых переломов только с помощью ортопедических иммобилизационных устройств.
Модификация гнутых проволочных шин.
В связи с тем, что процесс изготовления рельсов является очень трудоемким и обременительным для пациента, были предложены различные способы рационализации производства рельсов из проволоки.
Шину Тигерстедта в модификации А. А. Лимберга, А. Э. Рауэра и других авторов в сравнении со шинами Зауэра, Хомонда и Шредера следует охарактеризовать как наиболее простые, легкие в изготовлении и очень эффективные. Этим объясняются ее успехи в челюстно-лицевой травматологии, особенно в военной травматологии.
Тем не менее творческий ум стоматолога продолжал интенсивно работать над упрощением и усовершенствованием производства шин из гнутой проволоки. Усилия врачей были сосредоточены на совершенствовании способа сгибания петель крючка, метода сгибания самой шины и ее крепления к зубам лигатурой. Предложены также новые модификации шин для ортопедического лечения травм челюстно-лицевой области.
Для того, чтобы избавить врача от необходимости загибать петли, предложен способ механизации загиба петель.
А. М. Певзнер разработал специальные плоскогубцы для автоматического загибания петель крючка; М. С. Тиссенбаум предложил устройство для той же цели; М. К. Гейкин изобрел устройство не только для автоматического изготовления петель для крючков, но и для изготовления дистанционных колен и петель для опорных плоскостей. М. К. Гейкин также предложил новый способ изгиба самой шины. Поэтому шина сгибается по шаблону из алюминиевой проволоки диаметром 1 мм, а не во рту пациента. Шаблон укрепляют воском на доске, в него забивают гвозди, а на гвоздях загибают шпильку из алюминиевой проволоки толщиной 2 мм.
М. В целях рационализации работы врача Гейкин предлагает разделить работу шины таким образом, чтобы врач загибал во рту проволочный шаблон, а шину на доске делал специально обученный медперсонал. Этот метод, по словам автора, сокращает время наложения шины, освобождает врача и защищает пациента от боли, которую он испытывает при наложении шины на свежую рану.
Б. И. Кулаженко также предлагает разделить обязанности между врачом и медсестрой. Практикующий врач должен согнуть и прикрепить шину с помощью двух-трех лигатур, а дальнейшее тщательное прикрепление шины должно быть выполнено медсестрой. Из-за такой рационализации шинирование одного раненого занимает в среднем 30-40 минут, а 10-13 раненых ежедневно.
Что касается рационализации метода фиксации путем наложения шины на зубы, упрощенный метод прикрепления проволочной шины к зубам с помощью двойной проволочной фиксации по J. S. Akbreuth (в этом методе использовалась прямая узловая лигатура). Методика М. А. Соломоцова, заключающаяся в следующем: обычную швейную иглу сгибают, придавая ей полукруглую форму, притупляют конец, вводят лигатуру в ухо, захватывают иглодержатель с лигатурой и проводят в межзубном пространстве со стороны сторона щеки. Затем, изгибая шейную часть зуба, этот конец проходит через второе межзубное пространство к преддверию ротовой полости. Концы скручиваем и обрезаем. Этот метод упрощает перемещение лигатуры над и под рейкой.
Шинирование зубов при пародонтите: методики, отзывы
В этой статье вы узнаете
- Почему проводится шинирование подвижных зубов, методология, обзоры, Шинирование зубов - цена 2021 года в Москве.
Эта статья написана хирургом-стоматологом с опытом работы более 19 лет.
Одним из методов стабилизации прогрессирования хронического пародонтита является шинирование зубов, цель которого - укрепить подвижные зубы и ограничить их подвижность (благодаря специальным шинирующим конструкциям). Этой цели можно достичь двумя способами: во-первых, склеив группу зубов стекловолокном, а во-вторых, используя зубные протезы. Мы подробно рассмотрим каждый из этих методов ниже.
Зачем необходимо шинирование подвижных зубов -
При пародонтите средней и тяжелой степени подвижность зубов становится одним из основных симптомов заболевания. Подвижность зубов обычно начинается, когда потеря костной массы превышает 1/4 длины корня зуба. Существует прямая зависимость между степенью потери костной массы и степенью подвижности зубов.
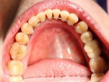
Один из видимых признаков потери костной массы - оголенные шейки передних зубов (рис. 1). В этом случае на рентгенограмме виден костный дефект. В нормальных условиях костная ткань должна доходить почти до шейки зуба. Сравните рентгенограмму (рис. 2), на которой наблюдается потеря костной массы до 1/2 длины корня, с фотографией (рис. 3), на которой отсутствует потеря костной массы.
Когда зубы становятся подвижными при пародонтите, скорость разрушения (исчезновения) кости увеличивается во много раз. Разрушение костной ткани вокруг зубов приводит к еще большей подвижности зубов. Фактически (при отсутствии лечения) процесс становится неконтролируемым с продолжающимся прогрессированием воспалительных симптомов, включая подвижность зубов.
Со временем под действием жевательной нагрузки подвижные зубы начинают постепенно менять свое положение, наклоняться в разные стороны и разветвляться (рис. 4-6). Чтобы этого не произошло, необходимо использовать зубные шины.
1. Шинирование подвижных зубов стекловолокном -
шинирование нижних передних зубов
В случае шинирования передних нижних зубов сначала делается горизонтальный дефект высотой 1,5-2 мм и глубиной 2 мм на внутренней поверхности передних нижних зубов, например, на 4-м, 5-м или 6-м переднем зубе. Затем в эту канавку помещается цельная полоса из стекловолокна (рис. 7). Затем паз (с помещенной в него стекловолоконной лентой) заполняется легким композитом.
Количество зубов, которые будут в корсете, зависит от состояния всей группы передних зубов. Помимо наиболее подвижных зубов, необходимо шинировать постоянные зубы (обычно клыки). Это помогает уменьшить подвижность резцов, поскольку жесткая шина помогает клыкам выдерживать большее давление при жевании.
Шинирование верхних передних зубов
Передние верхние направляющие подходят для смещения зубов, если челюсть расшатана, скомпрометирована или уже веерообразна (рис. 10). В этом случае в зубах просверливается паз высотой 1,5-2 мм и глубиной 2 мм. Однако чаще всего на передней поверхности верхних зубов просверливается паз (рис. 11), а затем в него вставляется полоска из стекловолокна и закрывается легким пломбировочным материалом (рис. 12-13).
Следует помнить, что благодаря использованию пломбировочного материала можно устранить широкие межзубные промежутки (рис. 13). Количество шинируемых зубов зависит от клинической картины.
Шинирование зубов: фото
Шинирование боковых зубов
В случае шинирования боковой группы зубов паз для стекловолоконной ленты просверливается не изнутри, а по жевательной поверхности нескольких зубов. В паз вставляют полоску из стекловолокна и аналогичным образом заполняют легким композитом.
В результате чего достигается эффект от шинирования
Когда стеклопластиковая лента осветляется - она превращается в очень твердый стержень, который прочно прикрепляется к зубам. Зубы (с такой балкой) как бы слиплись и обычно совершенно неподвижны.
Стеклопластиковая штанга на зубах (шина) также позволяет перераспределять жевательное давление между зубами (24stoma. ru). Даже при прикусывании одного зуба нагрузка будет равномерно распределяться по всем зубам, покрытым шиной. Это очень важно, потому что при пародонтите зубы не только двигаются, но и теряют контакт друг с другом, поскольку они немного раздвигаются.
В результате каждый зуб несет максимальную нагрузку и не может распределять нагрузку между соседними зубьями через этот контакт. В таких условиях костная ткань исчезает намного быстрее. Шинирование зубов в таких условиях - значительно продлит жизнь таким зубам и остановит (или замедлит) потерю костной массы.
2. Шинирование подвижных зубов коронками -
Зубы сначала удаляются (заполняются корневые каналы), а затем шлифуются под коронки. Затем на них устанавливают «сплавленные» коронки, например металлокерамические (рис. 14). Этот вариант шины намного прочнее и надежнее, чем шинирование стекловолокна. Однако стоимость его выше, причем намного выше.
Стоимость 6-кратного металлокерамического шинирования 6 нижних передних зубов коронками начинается от 30 000 рублей (без учета затрат на удаление зуба). Шинирование цельнокерамическими коронками (рис. 15) обходится еще в 2-2,5 раза дороже. Однако в случае шинирования задних жевательных зубов, где эстетика не так важна, коронки могут быть изготовлены не из металлокерамики, а из обычного металла.
3. Шинирование зубов бюгельными протезами -
Внимательно посмотрев на рис. 16-17 видно, что в области внутренней поверхности нижних зубов протез имеет дополнительную тонкую дугу, плотно закрывающую каждый зуб. Это позволяет зубам прочно стоять на месте и переносить вес жевания с себя на эту металлическую дугу без перегрузки.
Большим преимуществом таких протезов является то, что они не только позволяют шинировать подвижные зубы, но также позволяют одновременно восстанавливать отсутствующие зубы. Подробнее об этом типе протеза можно прочитать здесь.
Шинирование зубов: цена 2021
Сколько стоит шинирование зубов - цена в Москве на 2021 год в клиниках эконом-класса будет зависеть от количества шинируемых зубов, а также от методики…
- Стеклопластиковая шина на 6 передних зубов (система Ribbond) - около 6500 руб. Шинирование 3 зубов стекловолокном - от 3500 руб. Стоимость шинирования зубов коронками (без стоимости препарирования зубов):
- для стабилизации шатких зубов, в случае неэффективного лечения болезней пародонта;
- с целью не допустить смещения зубов по отношению к их нормальному положению;
- для стабилизации зубов после травмы;
- для фиксации зубов после исправления дефектов брекет-системами;
- обострение патологии;
- подвижность опорных зубных единиц;
- удаление зубов при получении оттиска;
- болезненные ощущения во время обработки зубов;
- расцементировка шин.
→ металлокерамика - от 6000 руб. За 1 коронку,
→ Металлокерамика - от 19000 руб. За 1 корону. Стоимость шинирования частичного протеза - от 25000 руб.
Шинирование зубов: отзывы
Шинирование стекловолокном - процедура временная. Если сама шина выполнена по всем правилам, соблюдается гигиена пациентом и т. Д., Срок службы такой стеклянной шины может составлять до 3 лет. Достаточно одного посещения в год, чтобы его отшлифовать. Однако, если передние зубы шинируются и у пациента отсутствуют задние зубы, риск перелома шины из-за перегрузки очень высок. Поэтому перед установкой стекловолоконной шины важно заменить отсутствующие зубы, чтобы восстановить правильный прикус.
Рельсы Crown, конечно, более безопасны; металлические и керамические коронки имеют более длительный срок службы, чем конструкции из стекловолокна. Однако скрежетать зубами под коронку не всегда имеет смысл (особенно в случае легкого пародонтита). У ретенционных протезов есть много преимуществ, особенно для людей, которым необходимо не только устранить подвижность зубов, но и восполнить большое количество отсутствующих зубов. Надеемся, наша статья оказалась для вас полезной!
1. Автор прошел повышение квалификации по пародонтологии,
2. Основываясь на личном опыте пародонтолога,
3. Национальная медицинская библиотека (США),
4. Американская академия пародонтологии (США),
5. «Пародонтология» (Вольф Г., Ратитцхак Э.).
Индивидуальные назубные проволочные шины.

Г может быть использована для лечения переломов нижней челюсти при условии, что на большем отломке находится не менее 4, а на меньшем - не менее 2 устойчивых зубов. При этом зубы, находящиеся в щели перелома в расчет не берутся.
односторонний линейный перелом нижней челюсти, расположенный в пределах зубного ряда, без смещения или с легко вправимыми отломками в пределах фронтальной группы зубов;
переломы альвеолярной части нижней челюсти и альвеолярного отростка верхней челюсти;
переломы и вывихи зубов, когда с двух сторон на неповрежденных участках челюсти имеются устойчивые зубы;
шинирование зубов при остром одонтогенном остеомиелите и пародонтите.
для профилактики патологического перелома нижней челюсти, перед проведением операций секвестрэктомии, цистэктомии, цистотомии, резекции части челюсти и др.;
неполные переломы (трещины) нижней челюсти.
Ш
Односторонний перелом нижней челюсти без смещения или с легко вправимыми отломками, если щель перелома проходит через альвеолярную часть, лишенную зубов.
3
переломы нижней челюсти за пределами зубного ряда;
переломы нижней челюсти в пределах зубного ряда при наличии на большем отломке 4-х, а меньшем - 2-х устойчивых зубов;
переломы нижней челюсти с трудно вправимыми отломками, требующими вытяжения;
двусторонние, двойные и множественные переломы нижней челюсти;
перелом верхней челюсти (с обязательным использованием подбородочной пращи);
одновременные переломы верхней челюсти и нижней челюсти (дополняется подбородочной пращей).
4 Шина с наклонной плоскостью.
при значительных дефектах нижней челюсти в результате травматического остеомиелита, огнестрельного ранения или после операций по поводу резекций. Предотвращает смещение отломка в сторону полости рта, устанавливая его в правильном артикуляционном соотношении с противоположным зубным рядом.
2)переломы в области восходящей ветви.
5. Шина с удерживающей плоскостью.
Показания к применению: на верхнюю челюсть для удержания тампонов, лоскутов мягких тканей неба при повреждениях или в послеоперационный период.

Метод Бетельмана А.И. и Фиделя М.П.
Метод представляет собой модификацию метода Тигерштедта.
На верхней челюсти укрепляют шину с зацепными петлями; на каждом отломке нижней челюсти к 1-2 зубам привязывают с помощью лигатуры резиновые кольца и надевают их на петли верхней шины. Таким образом, смещенные отломки устанавливают в правильном положении. После этого изгибают проволочную шину с зацепными петлями на весь зубной ряд нижней челюсти, снимают резинки, проводят несколько проволочных лигатур между зубами на отломках нижней челюсти, и прикрепляют готовую шину к зубам, проводя двучелюстное шинирование по методу Тигерштедта.
Шина В.А.Энтелиса (витая шина-распорка)
Показания: переломы нижней челюсти с дефектом костной ткани во фронтальном отделе.
Стальная шина 3. Н. Померанцевой-Урбанской (три варианта).

дуга, перемещающая беззубый отломок книзу при помощи пелота;
дуга, перемещающая отломок книзу при наличии устойчивых;
дуга с распоркой при наличии дефекта кости.
Шина изготавливается из стальной нержавеющей проволоки диаметром 1,3—1,5 мм. Техника изгибания такая же, как при изгибании алюминиевой проволоки. Показана в тех случаях, когда прочность алюминиевой шины недостаточна. Эта шина может быть использована не только для фиксации, но и для репонирования отломков челюсти, при этом благодаря ее прочности могут быть расширены показания к применению одночелюстной шины .
Отличительная особенность данного вида шинирования состоит в использовании в челюстно-лицевой травматологии законов и правил биомеханики, которые заключаются в том, что основные траектории напряжений, по мнению авторов, проходят вдоль язычной поверхности тела нижней челюсти. Таким образом, проволочную шину рациональнее располагать на язычной поверхности зубов. Шина фиксируется лигатурной проволокой к каждому зубу затем из лигатурной проволоки, выведенной в преддверие полости рта, формируются зацепные Т-образные крючки для межчелюстного вытяжения.
Показания к применению: переломы нижней челюсти при достаточном количестве устойчивых зубов на отломках (способ особенно эффективен при переломах подбородочного отдела нижней челюсти).
Межчелюстное вытяжение по П.И. Попудренко осуществляется с помощью резиновых колец, на которые надеты по два S-образных крючка из стальной (нержавеющей) проволоки. Один из крючков фиксируется за гладкую проволочную верхнечелюстную шину, а другой - за такую же нижнечелюстную шину. А.И. Степанов перелагает на гладкую шину-скобу надевать специальные, заранее заготовленные плоские крючки из латуни, нержавеющей стали или дюралюминия. Они свободно перемещаются по шине и, по мере ее закрепления, устанавливаются в необходимых местах между лигатурами.
Показания к применению те же, что и для шины Тигерштедта.
Двойная шина Бадера И.Я. Способ фиксирования ее к зубам облегчен, хорошо удерживает отломки, так как она двойная - с вестибулярной стороны зубы фиксирует шина по Тигерштедту с зацепными петлями, а с оральной - проволочная лигатура.

а) вестибулярная шина Тигерштедта плотно прилегает к зубному ряду. Свободный конец ее изогнут в виде петли, через которую проведена лигатура, оба конца ее размещены с язычной стороны зубов, их выводят в промежуток между клыком и боковым резцом.
б) шина фиксирована прямой узловой вязью.
Оно состоит в том, что бронзово-алюминиевая лигатура фиксируется на зубном ряду при помощи полиамидной нити с язычной стороны, и сама, в свою очередь, фиксирует с вестибулярной стороны алюминиевую шину (гладкую или с зацепными петлями).
Состоит в том, что гладкие назубные проволочные шины скрепляют полиамидной нитью, таким образом исключается необходимость в зацепных крючках или петлях.
Статьи
Шинирование зубов: показания к процедуре, виды шин и способы шинирования
Для укрепления зубных рядов с тем, чтобы не допустить их расшатывание, которое в итоге может привести к потере зубов, стоматологи применяют шинирование. Чаще всего процедуру проводят на верхних и нижних передних зубах. Шинирование требуется:
В ходе лечения необходимость в процедуре шинирования может время от времен, как исчезать, так и снова появляться.

Сколько времени носят шины
Врач определяет продолжительность ношения шины пациентом и может назначить временную, долговременную или постоянную шину. Срок ношения временной конструкции составляет менее месяца. Назначают ее на начальном и основном этапе лечения. Временная шина должна быть атравматичной для зубных тканей, а при изменении потребностей процесса лечения ее быстро можно было бы модифицировать. Шина не должна препятствовать проведению манипуляций - гигиенических, терапевтических и хирургических.
Долговременную шину носят от месяца до года. Назначают ее на стадии неопределенности прогноза. Когда доктор неуверен в успехе лечения из-за сильного повреждения пародонтальных структур, но при этом нет прямых показаний к удалению зубов. В долговременной конструкции сочетаются требования к временной и постоянной шине.
Ношение постоянной шины назначается в качестве поддерживающей терапии на срок более года. Конструкция должна отличаться высокими показателями функциональности и эстетики, и при этом не мешать ежедневной гигиене. Стоить заметить, что шины разделены на временные, долговременные и постоянные, больше условно. И между ними иногда не существует четкой границы.
Существует также разделение шин на съемные и несъемные. По лечебным свойствам несъемные конструкции имеют больше преимуществ. Они надежно фиксируют зубы, образуя общий блок из зубных единиц, который противодействует вертикальным и горизонтальным силам, возникающим при жевании. Несъемные шины и мостовидные протезы применяются в зависимости от способа стабилизации зубов. Больше всего разработано конструкций для фронтальных зубов. Это обусловлено особенностями атрофии кости нижней челюсти и высокими эстетическими требованиями к передним зубам. Процедура с применением несъемных конструкций требует препарирования зубов, что является большим минусом данных шин. Для шинирования применяют стекловолокно, арамидную нить, а также коронки и зубные протезы.
Шинирование при заболеваниях пародонта

Главным симптомом пародонтита средней и тяжелой степени является шаткость зубов. Когда атрофия постигает костную ткань на ¼ длины корня зуба, развивается подвижность. При пародонтите оголяются шейки зубов, а рентген указывает на убыль кости. С появлением подвижности зубов, развитие атрофии еще больше ускоряется. В итоге зубы меняют свое месторасположение - расходятся, наклоняются в стороны. Для предотвращения подобного явления врач назначает процедуру шинирования. Кроме того, что шинирование стабилизирует положение зубных единиц, оно еще и способствует устранению воспаления десневой ткани.
Для профилактики пародонтита, когда болезнь только еще начинает развиваться, поражая десны и зубы, показано временное шинирование. На более поздних стадиях прибегают к постоянному шинированию, альтернативой которому могут стать временные протезы.
Шинирование показано: при обнажении корней, нарушении положения зубов, а также их шаткости, при кровоточивости десен, наличии отложений на зубах и выраженных зубодесневых карманов. Благодаря процедуре создаются условия для равномерного распределения нагрузки, и в результате пациент может снова полноценно пережевывать пищу.
Методы шинирования
1) Стекловолокно. Это несъемный метод шинирования, к которому обращаться стали сравнительно недавно. Но на сегодня он очень популярен у пациентов, благодаря многим преимуществам. Стекловолокно в шинировании позволяет сохранить даже сильно расшатанные зубы, при этом почти не страдает их целостность.То есть, зубы не обтачивают и не депульпируют. Стекловолоконная шина не мешает гигиеническим процедурам, равномерно распределяет жевательную нагрузку между фиксированными зубами и отличается высокими эстетическими показателями.

Шинирование с помощью стекловолокна осуществляется в стоматологическом кабинете за один прием. Пациенту проводят местное обезболивание. Вдоль подвижных зубов, на внутренней стороне ряда на глубину 0,5 мм, проделывается бороздка для стекловолоконной нити, которая после укладки закрывается светоотверждаемым пломбировочным материалом. Свет превращает в балку композит со стекловолоконной нитью, благодаря которой зубы сцепливаются неподвижно вместе. Ответственный пациент, внимательно ухаживающий за полостью рта и следующий абсолютно всем советам стоматолога, может рассчитывать на 3-летний срок службы стекловолоконной шины. При этом ему нужно будет раз в год приходить к своему стоматологу для полировки конструкции. Не стоит шинировать передние зубы, если отсутствуют задние. Конструкция может сломаться из-за избыточной жевательной нагрузки на шинированный зубной ряд. Поэтому перед процедурой стекловолоконного шинирования необходимо навести порядок с прикусом и запротезировать недостающие зубные единицы.
2) Вантовое шинирование. Технологически данный метод очень схожий со стекловолоконным. Только для фиксации используется арамидная нить, отличающаяся прочностью, долговечностью, совместимостью с эмалью зубов и отсутствием реакции на пищу или слюну. Процедуру проводят по такой же схеме, что и со стекловолокном. Арамидную ленту укладывают в горизонтальную бороздку и заливают световым композитом. Вантовая технология шинирования имеет те же преимущества, что и стекловолоконная, но считается более физиологичным способом фиксации.

3) Съемные протезы. Металлические кламмеры (крючки) соединяют зубы с помощью шины в единую конструкцию. Ношение съемных протезов стоматолог назначает при отсутствии одного или нескольких зубов. Конструкция заменяет потерянный зуб и одновременно выполняет функцию шинирования для предотвращения болезней пародонта.Она подбирается индивидуально с учетом количества недостающих зубов, деформации ряда, заболеваний десен, вида прикуса, уровня гигиены ротовой полости, наконец, возраста пациента и др.

4) Несъемные протезы или ортопедические коронки, как вариант шинирования применяются при шатании более 4-х зубов. Конструкция выполнена в виде дуги, что позволяет четко и максимально компактно разместиться протезу в ротовой полости. Здесь крайне важно создать такие условия, чтобы нагрузка могла равномерно распределяться по всей поверхности зубов. Процедура шинирования коронками невозможна без депульпирования и обточки, что является минусом технологии. И только после обработки зубы можно покрывать коронками, скрепленными между собой. Данный вариант обеспечивает надежность и долговечность, а при выборе керамики или металлокерамики, высокую эстетичность.
Осложнения и ошибки в шинировании зубов
Среди осложнений при лечении пародонта с использованием шин, может встречаться:

Патологический процесс у больных пародонтозом может наступить вскоре после установки шины. Подобное осложнение возникает при неправильном выборе конструкции шины либо, если шинирование проведено, пренебрегая строгим учетом показаний и противопоказаний к подобному ортопедическому вмешательству. Процедуру необходимо отложить, если патологические процессы часто обостряются и образуются абсцессы, а также при 3-й степени подвижности зубов во рту. Шинирование возможно только после проведения тщательного лечения пародонта и удаления подвижных зубов.
При недостаточной обработке передних зубов и недостаточно точной штамповке коронок может повыситься прикус, а зубы расшататься в переднезаднем направлении. Иногда может отмечаться подвижность зубов-антагонистов после шинирования на одной из челюстей. Это происходит по причине того, что одна группа зубов испытывает усиление механических нагрузок, а другая - ослабление. В таком случае шинируют также и зубы-антагонисты.
Чревата осложнениями кламмерная фиксация зубов. Такие протезы могут расшатывать опорные зубы и травмировать слизистую оболочку. Поэтому лучше не использовать пластиночные протезы, которые фиксируются к зубам только одними кламмерами. Более целесообразный вариант - бюгельные протезы с наличием фиксирующих приспособлений и комбинированных кламмеров, лабильно или полулабильно соединенных с дугой протеза.
У некоторых пациентов при обработке зубов возникает резкая боль, что затрудняет установку шины. При возникновении чувствительности зубы необходимо обработать анестезирующими жидкостями или пастами. При изготовлении шин/протезов во внимание берется, как коэффициент потери эффективности жевательной функции, так и степень нарушения естественного равновесия зубных рядов. Поэтому для фиксации несъемных конструкций необходимо включать сразу несколько зубов, которые окружают дефект. За счет такой фиксации шины-протеза минимизируется нагрузка на опорные зубные единицы. А также дополнительно не расшатываются зубы, не травмируются ткани и не обостряется заболевание.
Шину необходимо правильно закрепить на зубах. Важно не допустить попадание влаги во время цементировки коронок или после цементировки, иначе может произойти рассасывание цемента. Поэтому размеры коронок или колпачков должны строго соответствовать размерам зубов и прилегать плотно к их поверхностям.
Шаткие зубы можно случайно удалить при гипсовом оттиске. Во избежание этой ошибки по вертикали, а также вдоль дефекта зубного ряда, применяют соответствующие разрезы. Однако при использовании подобных разрезов четкость оттиска зубов зачастую нарушается. Поэтому желательно делать разборные отпечатки, состоящие из 2-х частей - оральной и вестибулярной. Такая технология исключает расшатывание зубов, а также случайное их удаление.

Подвижность зубов - нехороший предвестник и огромная проблема для человека. Если своевременно не заняться ее устранением, то вскоре можно и вообще лишиться всех зубов. Поэтому если во рту обнаружили излишнее «шевеление» - срочно обращайтесь к специалисту.
Ортопедическое лечение переломов нижней челюсти.

Шина из тонкой плоской металлической ленты (шириной 2,3 мм, длиной 134 мм, толщиной - 0,25-0,3 мм) с 14 зацепными крючками изготовлена при помощи специальных штампов из листовой нержавеющей стали. Шина легко изгибается в горизонтальной плоскости, но не гнется в вертикальной. Фиксируется к зубам лигатурной проволокой.
Показания к применению: при не осложненных переломах нижней челюсти при наличии устойчивых зубов, на одной или обеих челюстях, как и шина Тигерштедта, а нередко и в сочетании с ней, фиксируется лигатурной проволокой к зубам, в случае необходимости накладывается межчелюстная резиновая тяга.)
Для одночелюстного шинирования применять шину Васильева нежелательно из-за её невысокой прочности. Невозможность изгибания ленточной шины в вертикальной плоскости, приводит к травмированию слизистой оболочки в боковых отделах зубного ряда, из-за несоответствия кривой Шпее.
С .
Фабричная стандартная назубная шина из эластической пластмассы (пищевого полиэтилена) с отростками грибовидной формы для межчелюстного вытяжениея при помощи резиновых колец. Фиксируется на зубах проволочной лигатурой.
Показания к применению: доврачебная и квалифицированная медицинская помощь при переломах нижней челюсти, при наличии устойчивых зубов на отломках.
Проволочные назубные шины С.С.Тигерштедта. (1916)

3.Шина с зацепными петлями.



Читайте также:
