Особенности дизайна мостовидных протезов. Варианты
Добавил пользователь Евгений Кузнецов Обновлено: 13.12.2025
Установка мостовидных протезов - это один из самых распространенных способов восстановления утраченных зубов. Используемые при этом стоматологические конструкции обладают необходимой для протезирования эстетикой, доступной ценой, долговечностью и износостойкостью. Однако, несмотря на все достоинства, у мостовидных протезов имеется ряд противопоказаний, которые должны учитываться при выборе вида зубопротезирования. Врач на этапе подготовки к восстановительной процедуре консультирует пациента о разновидностях указанных конструкций, особенностях их установки и возможных побочных эффектах.
Показания к установке мостовидных зубных протезов
Утрата зубов - это не только эстетическая проблема. Отсутствие единиц зубного ряда (адентия) может привести к таким последствиям, как:
- нарушение работы пищеварительной системы - сбой происходит из-за попадания в органы, участвующие в пищеварении, не пережеванной должным образом пищи;
- атрофия костной ткани и внешняя деформация челюсти - вследствие продолжительного отсутствия зубов челюстная кость не получает необходимой нагрузки и постепенно утрачивает свою функцию;
- изменение прикуса - оставшиеся единицы зубного ряда со временем заполняют пустое пространство, что приводит к их смещению и образованию больших межзубных промежутков (трем) (рекомендуем прочитать: каким должен быть правильный прикус зубов у человека?).
Во избежание этих последствий специалисты не рекомендуют откладывать зубопротезирование надолго и советуют как можно скорее обратиться к врачу. Опытный стоматолог оценит состояние ротовой полости и определит, какой тип зубных протезов лучше поставить в конкретном случае.
К наиболее популярным видам зубопротезирования относятся мостовидные протезы, которые также называют зубными мостами. Свое название эта ортодонтическая конструкция получила из-за внешнего сходства с одноименным инженерным сооружением. Для наглядности в статье размещены фото мостовидных протезов.
Краткое описание
Главным условием установки зубного моста является наличие хотя бы 2 здоровых единиц зубного ряда, которые могут служить опорными элементами протеза и выдерживать жевательную нагрузку. Составными частями мостовидных протезов являются коронки, которые надеваются на предварительно обточенные опорные единицы, и промежуточный элемент - искусственные зубы, замещающие отсутствующие зубные единицы.
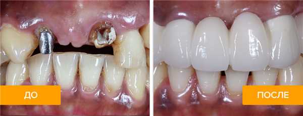
Установленный зубной мост совершенно незаметен на фоне натуральных зубов, поскольку он изготавливается из материалов, по цвету и структуре практически не отличимых от природной эмали. На фото видно, как выглядит ротовая полость пациента до процедуры протезирования и после установки ортодонтической конструкции в виде моста.
Преимущества
Мостовидные протезы имеют массу достоинств. Среди них выделяют следующие моменты:

- полное восстановление жевательной и речевой функций;
- удобство использования;
- быстрое привыкание;
- превосходные эстетические характеристики.
Существует много типов таких конструкций. Применяемые разновидности мостовидных протезов зависят от того или иного показания к зубопротезированию, индивидуальных особенностей и пожеланий пациента.
Противопоказания к установке
Мостовидные ортодонтические изделия имеют ряд противопоказаний. Такой тип зубопротезирования не применяется в следующих случаях:
- непроизвольный скрежет зубами во время сна (бруксизм);
- патологии полости рта (пародонтоз, пародонтит);
- различные аномалии прикуса;
- утрата не более 4 соседних резцов, 2 премоляров и 1 моляра;
- предрасположенность к интенсивному истиранию поверхности зубов;
- болезни костной челюстной ткани (остеопороз, остеомиелит).

Мостовидное протезирование также не рекомендуется при плохой свертываемости крови, аллергии на медикаментозные препараты, применяемые для обезболивания, хронических патологиях в стадии обострения, психических отклонениях. При обнаружении хотя бы одного из указанных состояний или заболеваний врач подбирает другой тип ортодонтических конструкций для восстановления утраченных единиц.
Виды мостов
Классификация мостовидных протезов обширна. Конструкции делятся на виды по следующим признакам:
- Материал изготовления. Зубные мосты бывают металлическими, пластмассовыми, керамическими и комбинированными - из металлопластмассы и металлокерамики.
- Способ крепления. Конструкции изготавливаются съемными и несъемными.
- Срок службы. По этому признаку ортодонтические изделия делятся на временные и постоянные.
- Устройство протеза. Мосты делаются в виде цельнолитой или составной (разборной) конструкции.
- Вид опорного элемента. Деление по этому признаку подразумевает такие разновидности мостовидных протезов, как изделия на имплантах, на замковых креплениях, с односторонней и двусторонней опорой на зубы.
- Расположение промежуточной части конструкции на деснах. Мосты бывают касательными (устанавливаются на передние зубы) и промывными.
Чтобы лучше ориентироваться в вопросах протезирования, пациенту нужно знать общую классификацию ортодонтических изделий. Однако информацию о материалах изготовления конструкции в виде моста стоит изучить более детально, поскольку это один из важнейших моментов при подготовке к процедуре восстановления зубов.
Материалы конструкции
Такой вид комбинированных мостовидных протезов, как металлопластмассовые модели, применяется крайне редко, поскольку пластмасса сильно уступает по своим свойствам керамике. Однако существуют определенные показания к использованию таких изделий. К ним относится, например, зубопротезирование на имплантах, при котором возникает необходимость в применении облегченных коронок либо мостов. Зубные мосты из металла, металлокерамики и пластмассы в стоматологии используются гораздо чаще. Каждый из этих материалов имеет определенные особенности.
Металлические
По способу изготовления мостовидные протезы бывают литыми и штампованными, а в зависимости от того, каким образом изделия соединяются, - цельнолитыми и штампованно-паяными. Такие конструкции делают из золота и сплавов никеля с хромом или кобальта с хромом.
Цельнолитой зубной мост обладает высокой надежностью, он способен выдерживать значительные нагрузки и максимально точно воспроизводить натуральные зубы. Этот тип конструкций предназначен для применения в сложных случаях, например, при сильной истираемости единиц зубного ряда. При использовании в производстве мостовидных протезов одного металла возникновение гальванизма (реакции между разными металлами) исключено.
Штамповано-паяными мостовидными протезами называются конструкции из припаянных друг к другу отдельных элементов. Такие протезы не обладают надежностью и из-за наличия в составе разнородных металлов способны провоцировать появление гальванического синдрома. По этой причине делать их практически перестали.
Этапы изготовления цельнолитых мостовидных протезов по сравнению со стадиями производства штамповано-паяных изделий менее трудозатратны. В силу низкой эстетики металлические конструкции в современной стоматологии применяются крайне редко.
Металлокерамические
Металлокерамические мостовидные протезы обладают большим числом достоинств. К ним относятся:
- высокая прочность;
- износостойкость;
- длительный срок эксплуатации;
- эстетичный вид и полное восстановление жевательной функции;
- доступная цена.
Кроме того, после установки конструкций из металлокерамики риск развития аллергических реакций минимален. Многочисленные преимущества металлокерамических мостовидных протезов по достоинству оценены в современной стоматологии, благодаря чему зубные мосты являются наиболее популярной разновидностью зубопротезирования. При выборе этого материала стоит учитывать, что противопоказанием к применению металлокерамических протезов является отсутствие более 3, иногда 4 единиц зубного ряда.
Пластмассовые
Пластмассовые конструкции выполняются из специального пластика, в составе которого имеется акрил. Эти ортодонтические изделия обладают хорошими эстетическими свойствами, гипоаллергенны и, как правило, не вызывают дискомфорта у их обладателя.
Однако пластмассовые мостовидные протезы имеют серьезные недостатки: низкую прочность и износостойкость. По этой причине они предназначены для временного использования на период изготовления постоянного моста. Ортодонтические изделия из пластика также устанавливают для устранения дефекта передних единиц зубного ряда, не испытывающих значительную жевательную нагрузку, и в случаях наличия у пациента финансовых ограничений.
Классификация мостов по способу крепления
Как уже отмечалось ранее, мостовидные конструкции по способу крепления делятся на съемные и несъемные. С типом крепежной системы необходимо определиться до проведения процедуры зубопротезирования, для чего нужно изучить информацию об особенностях каждого вида.
Несъемный мост - цельная конструкция, состоящая из нескольких зубов, в боковых частях которой ставят коронки, играющие роль опоры всего изделия. Эту конструкцию можно носить не снимая на протяжении длительного времени. Протезы такого типа зачастую используют при отсутствии нескольких единиц зубного ряда.

Мостовидные коронки устанавливают только после предварительного обтачивания крайних здоровых зубов. Несъемная конструкция крепится при помощи замков, пластин, шин или имплантов.
Съемные мостики могут быть полностью или частично съемными. Первый тип протезов предназначен для восстановления зубного ряда при отсутствии 1-3 единиц. При этом другие дефекты ротовой полости во внимание не берутся. Главное условие для установки - наличие хотя бы 2 здоровых зубов, которые будут выполнять опорную функцию. Полностью съемные мосты используется для восстановления как верхней, так и нижней челюсти.
Частично съемная конструкция - это пластинка в форме искусственной десны с зубами. Фиксируются такие изделия путем присасывания либо с помощью специальных замочков и крючков из прочной металлической проволоки или пластмассы.
На сколько зубов одновременно можно поставить мост?
При мостовидном зубопротезировании в первую очередь учитывается, сколько зубов необходимо восстановить. Протезами можно замещать не более 4 отсутствующих зубов. Количество промежуточных коронок не должно превышать число опорных единиц зубного ряда, в противном случае значительно сокращается продолжительность эксплуатации конструкций вследствие перегрузки опор.
При планировании мостовидного протезирования немаловажным фактором является группа утраченных зубов и тип единиц, которые будут выполнять опорную функцию. Если на опоры оказывается слишком большая нагрузка, со временем они начнут шататься.
Этапы установки конструкции
Процесс изготовления мостовидных протезов осуществляется в несколько этапов:
- Проведение санации ротовой полости, устранение всех имеющихся патологий зубов и десен. Особое внимание уделяется единицам, которые будут выполнять функцию опоры. Они подвергаются депульпированию (удалению нерва) и пломбированию, затем обтачиваются для установки опорной коронки. Этот процесс называется препарированием под протез (рекомендуем прочитать: как проводится препарирование под металлокерамическую коронку?).
- Выбор цвета покрытия конструкции. При этом учитывается оттенок натуральной эмали и предпочтения пациента.
- Снятие слепка с обеих челюстей.
- Изготовление в лаборатории мостовидного изделия по индивидуальным меркам. В среднем продолжительность такого процесса составляет несколько недель. В течение этого периода показано ношение временного пластмассового протеза.
- Примерка и подгонка изготовленной конструкции, возврат на доработку в случае необходимости.
Готовое изделие фиксируется лишь в том случае, когда при надевании и снимании не вызывает у пациента дискомфортных ощущений. После этого врач проверяет правильность прикуса и смыкание зубов. Также оценивается, нет ли визуальных отличий между цветом протеза и натуральной эмали.
Для закрепления моста применяется специальный цемент. По завершении процедуры протезирования пациент получает информацию о правилах ухода за установленной конструкцией.
Срок службы протеза
Стоматологи при осуществлении зубопротезирования с использованием мостов гарантируют, что они будут служить исправно минимум 5 лет. На сроке службы мостовидных протезов напрямую сказываются такие моменты, как:
- качество изготовления;
- применяемый материал;
- длина изделия;
- состояние единиц, выполняющих опорную функцию;
- распределение жевательной нагрузки;
- образование пародонта.
Продолжительность эксплуатации конструкций можно значительно продлить (в ряде случаев - до 25 лет), соблюдая рекомендации по уходу. К ним относятся следующие правила:
- полоскание ротовой полости после каждого приема пищи;
- регулярное и тщательное очищение протеза при помощи щетки вертикальными движениями от десны к коронке;
- использование флосса, зубочистки, ершика или ирригатора для вычищения из межзубного пространства остатков еды;
- своевременное посещение стоматолога;
- периодическое проведение профессиональных гигиенических процедур (1-2 раза в год).
Помимо этого необходимо бережно относиться к протезам. Несмотря на прочность и износостойкость, мостовидные конструкции нельзя подвергать значительным механическим воздействиям, например, запрещено разгрызать ими скорлупу орехов.
Мостовидные протезы на зубы
В ситуации, когда на челюсти нет одного или нескольких зубов, расположенных подряд, или они частично разрушены, может помочь мостовидный протез. Установка зубного моста - это один из способов восстановить целостность и эстетику зубного ряда. Однако из-за большого разнообразия и особенностей мостовидных протезов не просто определить, что лучше всего подойдет в конкретной клинической ситуации.
Врач стоматолог-пародонтолог

В материале, подготовленном стоматологами клиники «Академстом», собраны ответы на самые часто задаваемые вопросы.
Из этой статьи вы узнаете:
Зубной мост - что это?
Это ортопедическая конструкция, которая закрывает единичные или множественные дефекты зубного ряда. Состоит из полых и цельных коронок, соединенных друг с другом в один мост. Полые (ложные) фиксируются на опорных зубах или имплантах, цельные - закрывают утерянные зубные единицы.
Показания и противопоказания к установке
Показания к установке мостовидных протезов:
- Отсутствие от 1 до 3 зубов (очень редко - до 4 единиц).
- Повреждена коронковая часть зуба (его большая часть отсутствует, требуется установка коронки).
- Противопоказания к установке дентальных имплантатов.
- На верхней или нижней челюсти нет 4 и более резцов, моляров. Слишком большая нагрузка на конструкцию быстро приведет к расшатыванию опор. В такой клинической ситуации показана установка моста на имплантатах или изготовление съемного протеза.
- Низкая высота клинической коронки зубов.
- Плохое состояние опорных зубных единиц (патологичная подвижность зубов 2 степени) и тканей (восполнения слизистой, наличие кариеса, пародонтита/пародонтоза).
- Патологии, связанные с нарушением работы челюстей (аномальный прикус).
- Патологическое, интенсивное изнашивание дентина и зубной эмали.
Плюсы и минусы
- Намного комфортнее, чем съемные протезы. Их не нужно снимать на ночь, обрабатывать, к тому же процесс привыкания занимает всего 2-3 дня.
- Скорость лечения намного выше, чем при использовании имплантов.
- Приемлемая цена.
- Не требуется хирургическое вмешательство.
- Разнообразие вариантов (пластмассовые, керамические, металлические, металлокерамические).
- Срок службы - 10-15 лет (в 3-4 раза выше чем у съемных конструкций).
- Не вызывают дефекта речи, не мешает пережевыванию.
- Приходится депульпировать опорные зубы. Особенно болезненно, если они здоровые, так как обнажение дентина влечет за собой появление кариеса. Кроме того, рано или поздно наступает перегрузка опоры из-за того, что они несут на себе нагрузку отсутствующих зубов.
- Нарушается естественная микроподвижность зубов из-за жесткого каркаса протеза.
- Неремонтопригодность. Скол, кариес или эндодонтическое лечение требует полного удаления конструкции. После этого, опоры могут быть непригодны для повторного протезирования.
- Эстетика не всегда на высоком уровне (зависит от материала).

Мостовидные протезы лучше всего ставить в ситуации, когда опорные зубы имеют больше пломбы и в них удалены нервы. Если соседние зубы здоровые, избежать их обточки и депульпирования помогает восстановление зубного ряда с помощью детальных имплантов.
Виды мостовидных протезов зубов
Классифицируют их по: материалу, методу крепления, способу изготовления.
Бывают цельнолитыми или штампованными. Штампованные мостовидные протезы - устаревшие, практически не используются. Цельнолитые, более современные. Отливаются по слепкам в единый блок из металла. Оптимальное решение для протезирования жевательного отдела.
- Невысокая цена.
- Плотный обхват зубной шейки (защищает от возникновения кариеса).
- Низкая эстетика. Нельзя использовать в зоне улыбки.
- Большая нагрузка на опоры.
Адгезивные

Адгезивные мостовидные протезы - это временная конструкция, сроком службы до 2 лет. Обычно используется при подготовке к другому виду протезирования, например, к имплантации. Изготавливаются из композитного материала, прямо во рту пациента.
- Быстрота изготовления + установки. Весь процесс - 1-1,5 часа.
- Не выполняется обточка эмали. Исключение - использование крепления на основе стекловолокна.
- Хорошая эстетика.
- Не используются при множественных дефектах.
- Не подходит для восстановления премоляров/моляров.
- Конструкция не выдерживает значительных нагрузок, достаточно хрупкая.
Наряду с адгезивными, пластмассовые протезы применяют в стоматологии, как временное решение. Например, защитные колпачки служат временными коронками в период остеоинтеграции титановых стержней.
- Срок службы - всего 2-3 года.
- Мягкие, не выдерживают нагрузки, быстро протираются.
- Сложно подобрать оттенок (мало вариантов).

Состоят из металлического каркаса, на который наносится слой фарфора (для улучшения эстетических свойств). Используются такие конструкции при протезировании в дистальном отделе челюсти, так как в зоне улыбки будет заметно различие в зубном ряду.
- Прочное металлическое основание. Может служить 10-15 лет.
- Лучшее соотношение цены и качества.
- Большой выбор оттенков под цвет эмали.
- Нельзя использовать в зоне улыбки. Просвечивается металл. Смотрятся неестественно.
- В процессе ношения образуется синюшный оттенок на мягких тканях, появляются аллергические реакции (если установлена стандартная металлокерамика).
- Невозможно установить при запущенных аномалиях прикуса.
Безметалловые
К ним относятся:
- Мостовидные протезы с коронками из диоксида циркония и керамической облицовкой. Изготавливают их по двух технологиям CAD/CAM. Сначала заготовки из кристаллического оксида фрезеруют на станке по заранее снятым оттискам, а затем покрывают слоем керамики. Такие конструкции - чрезвычайно прочные. Они служат до 20 лет. Могут использоваться при протезировании как во фронтальном, так и в жевательном отделе.
- Керамические (без цельнометаллического литого каркаса). Не такие прочные, как цирконивые аналоги, зато максимально естественные, эстетичные. Особенно хороши в этом аспекте протезы с коронками из IPS E-max. Это один из лучших вариантов, если речь идет о протезировании в «зоне улыбки». Однако из-за хрупкости, их невозможно использовать в дистальном отделе.
- Отличная эстетика. Смотрятся, максимально естественно.
- Долгий срок службы.
- Легкий вес.
Методы крепления
Зубной мост данного типа крепится несколькими способами:

На соседних резцах, молярах
Для этого в цельнолитой конструкции крайние коронки оставляются полыми. Перед установкой требуется обработка соседних единиц: обточка зубной эмали, удаление нервов и чистка каналов, сокращающая срок их жизни. Крепление осуществляется с помощью специального клея.
Мост крепится композитным составом к задней стороне опор, которые подвергаются незначительной обработке (или вообще не подвергаются).
На специальных замках
Благодаря этому мостовидный протез становится частично съемным. При необходимости его можно снять и поставить обратно.

В случае использования титановых стержней с искусственной коронкой, депульпирование или любая друга обработка резцов/клыков/премоляров не требуется.
Если говорить о соединении моста со слизистой, то различают следующие три типа:
Между конструкцией и десной есть незаметное свободное пространство, облегчающее гигиенический уход и сокращающее риск возникновения аллергической реакции, натирания десны.
Мостовидный протез крепится только, с одной стороны (задней). Актуально для фронтального отдела, где важна хорошая эстетика.
Идет надежный обхват десны с обеих сторон (обеспечивается дополнительная устойчивость и неподвижность конструкции). Однако такой метод затрудняет гигиенический уход и может спровоцировать натирание слизистой.
Как устанавливают мостовидные протезы: этапы
- Осмотр и проведение диагностического исследования ротовой полости.
- Если осмотр и диагностика помогли выявить кариозные поражение, воспалительные процессы и другие отклонения в состоянии твердых/мягких тканей, выполняется санация полости рта.
- Врач производит обточку, депульпирование и укрепление опор под коронки моста (если выбран соответствующий метод крепления
Как врач решает какое количество зубов будет использовано в качестве опоры? Зависит от состояния опорного аппарата, то есть - длины корней и наличия/отсутствия заболевания пародонта. Если зубы неподвижны и пародонт здоров, то даже при отсутствии 3 зубов могут использоваться всего две опоры. Перегрузки опор не будет, так как их запаса прочности хватит, чтобы удерживать конструкцию. Если же, выявлена подвижность зубов, количество опор может возрасти. Есть схемы, помогающие врачу точно рассчитать количество опор в той или иной клинической ситуации.
Почему опоры подвергаются депульпированию? Это особенно актуальное в тех случаях, когда требуется сошлифовать большой слой эмали под искусственную коронку и есть риск травмировать пульпу, или сосудисто-нервный пучок, который находится в глубине зуба. Но такая процедура требуется не всегда. Все зависит от типа коронок. Например, под безметалловые изделия убирается лишь 1 мм с боковой поверхности и 1,5 мм с жевательной, что позволяет сохранить соседние зубы живыми и увеличить их срок эксплуатации.
После обточки снимаются слепок для изготовления моста и выбирается его цвет. Данные отправляются в зуботехническую лабораторию (срок изготовления до двух недель). Пока пациент ждет мостовидный протез, обточенные единицы закрываются временной пластиковой конструкцией.
- Финальная примерка, подгонка и установка. Ортопед примеряет мост. Он должен плотно прилегать к поверхности. При этом ничего не должно мешать пациенту смыкать челюсти. Если доработка конструкции под анатомические особенности ротовой полости не требуется, выполняется ее фиксация. Для этого используется особый цементный состав.
Уход за мостовидными протезами

На самом деле, рекомендации по уходы - не сложные. Однако от их соблюдения напрямую зависит срок службы изделия.
- Полоскание - два раза в день после употребления пищи.
- Использование стоматологического ершика, ирригатора или зубной нити для очистки труднодоступных межзубных промежутков
- Щетина зубной щетки должна быть средней жесткости или мягкой.
- Врачи рекомендуют использовать фторсодержащую неабразивную пасту.
- Посещение кабинета стоматолога каждые 6 месяцев.
Вопросы и ответы
1. Что лучше: имплантаты или мостовидный протез?
Протезирование мостовидными конструкциями актуально лишь при отсутствии от 1 до 3 зубов. Если межзубной промежуток больше, то установка такого моста неэффективна. Увеличивается нагрузка на опоры, они быстро расшатываются и разрушаются. Кроме того, использование мостовидного протеза не останавливает атрофию костной ткани.
Использование имплантов помогает: сберечь соседние резцы или моляры от перегрузок и остановить убыль альвеолярного отростка. Они полностью берут на себя функции зуба и опоры. Мостовидные протезы, закрепленные на имплантатах, служат гораздо дольше. Кроме того, применение титановых стержней снимает ограничение на количество зубов, которые можно восстановить. Например, при полной адентии челюсти, вернуть красивую и здоровую улыбку можно по протоколу одномоментной имплантации All-on-4. В челюсть вживляются 4 импланта, которые нагружаются протезом из 10-14 коронок.

2. Можно ли установить мостовидный протез с опорой на 1 зуб?
Да. Для этого используются консольные мостовидные протезы с односторонней опорой. Они изготавливаются в зависимости от клинической ситуации. Например, если у пациента отсутствует пятый зуб, шестой может быть его опорой, так как он легко выдержит нагрузку пятого, за счет достаточной корневой системы и больших размеров. Однако, консольные мосты не ставятся на боковые 6 и 7 зубы (не выполняют все жевательные функции).
Мостовидные протезы: виды коронок на зубы в ортопедической стоматологии с фото

Мостовидный зубной протез — это ортопедическая конструкция, которая используется для восстановления целостности рядов и замещения отсутствующих единиц. Технология успешно применяется в стоматологии десятки лет, поскольку позволяет вернуть эстетическую привлекательность улыбке и восстановить полноценное функционирование резцов, клыков и моляров. Изделия разных типов имеют свои особенности, преимущества и недостатки.
Мост на зубы: общие характеристики
С помощью протезирования решается ряд визуальных и функциональных стоматологических проблем. Название для установки выбрано не случайно, ведь принцип устройства напоминает инженерные сооружения. Искусственные коронки держатся на основе, а соседние неповрежденные резцы, клыки и моляры выступают в качестве опорных элементов.
Выбор подходящего типа конструкции зависит не только от финансовых возможностей и личных предпочтений пациента, но и от его анамнеза. Именно поэтому полноценное восстановление невозможно без тщательной диагностики, врачебного осмотра и подгонки готовой системы, созданной по слепкам, под нужные параметры.

Виды зубных мостовидных протезов
В современных стоматологических клиниках предлагают множество вариантов восстановления утраченных единиц с помощью протезирования мостами. Они отличаются по разным критериям:
- по способу изготовления - цельнолитые, адгезивные, штампованные, прессованные, комбинированные;
- по материалу - металлические, металлокерамические, керамические, пластиковые, из диоксида циркония и оксида алюминия;
- по методу крепления - замковые, адгезивные, на здоровых зубах, на имплантах.
Существует классификация и по назначению. Например, искусственные протезы бывают восстановительными, шинирующими, временными и постоянными.
Технология изготовления
Главным критерием выбора является количество времени, затраченного на создание конструкции по индивидуальным меркам конкретного пациента. Можно выделить 3 основные группы:
- Цельнолитые. Идеально прилегают к твердым и мягким тканям, герметичны. Таким образом возможно воспроизвести естественную форму с высокой точностью. Они прочны и долговечны. К минусам можно отнести необходимость шлифовки здоровых зубов, а также применение высокоточного литья и дороговизну производства.
- Адгезивные. Моделирование происходит непосредственно в ротовой полости. Это щадящая альтернатива предыдущему методу, когда отсутствует только один элемент. Шлифовать прилегающие коронки не нужно, пластинки приклеиваются к ним на специальный цементный состав.
- Штампованные. Устаревший вариант, от которого отказывается большинство врачей, потому что изделие много весит и нередко приводит к травмированию опор.

Материал для изготовления
От типа сырья, из которого изготавливаются изделия, зависит их долговечность, практичность и уход. В современных клиниках представлено множество вариантов на любой вкус и кошелек. Виды мостовидных протезов и их особенности (фото представлены в статье):
- Металлические. Активно использовались десятки лет назад, отливались из драгоценных металлов, золота и серебра. Отличаются высокой прочностью и доступной ценой. Однако у такого типа есть существенный недостаток: зубные ряды выглядят непривлекательно. Еще возможно повреждение опорных элементов.
- Металлокерамические. Основа состоит из сплава, которая дополнена вставками из керамики. Такой вариант считается идеальным при оптимальном соотношении стоимости и высокого качества. Цвет подбирается под оттенок эмали.
- Керамические. Отсутствует цельнометаллический литой каркас. Выглядят такие зубы довольно естественно, но не терпят сильного механического воздействия из-за хрупкости. При ношении нужно быть очень осторожными.
- Пластиковые. Применяются преимущественно как временные заменители постоянных изделий на период их изготовления в лаборатории. Производятся очень быстро, не вызывают аллергических реакций, мало весят, привлекательно выглядят, но служат непродолжительный срок.
- Из диоксида циркония. Цельнокерамические комбинированные мостовидные протезы зубов на такой основе — одни из самых современных. Они вбирают в себя все преимущества своих предшественников: небольшой вес, надежность, эстетическую привлекательность, гипоаллергенность, долгий эксплуатационный период.
- Из оксида алюминия. Недостаточно распространены, потому что имеют заоблачную цену. По долговечности, прочности, красоте и другим характеристикам зарекомендовали себя исключительно с положительной стороны.
Тип крепления
Конструкции крепятся разными способами, самые распространенные в стоматологии:
- Закрепление на здоровых единицах. Изделие состоит из коронок с отверстиями, предназначенными для зубов, и перемычек, которые их соединяют. Для прочности элементы делаются цельнолитыми. При выборе такого вида потребуется предварительное обтачивание и депульпирование. К последней процедуре стоматологи прибегают все реже, современные технологии позволяют в некоторых случаях пропускать этот этап.
- На имплантах. При выборе такого метода неповрежденные резцы, клыки и моляры остаются нетронутыми. Обтачивать и депульпировать их не будут. Однако стоимость лечения существенно возрастает.
- Адгезивный метод. Мост не надевается на опоры, а крепится к задней поверхности с использованием особых композитных составов.
- Замковое крепление. Это съемный мостовидный протез, который при необходимости можно самостоятельно открепить и вернуть на место. Обтачивание опорных коронок также не проводится.

Процедура показана, когда у человека отсутствует один моляр или 1-4 передних резцов и клыков. При этом по бокам должны оставаться неповрежденные зубы, которые впоследствии будут выступать опорными элементами и выдерживать наибольшее давление при пережевывании пищи. Также без этого не обойтись, когда предыдущая конструкция пришла в негодность.
Несмотря на все достоинства ортопедического вмешательства, существует перечень случаев, когда оно противопоказано:
- отсутствие более 4 коронок;
- бруксизм (непроизвольный скрежет челюстями, который чаще всего наблюдается в ночное время суток);
- нарушения прикуса (перед протезированием придется пройти длительное ортодонтическое лечение);
- острая форма пародонтита или пародонтоза тяжелой степени;
- патологическая стираемость эмалевого слоя;
- болезни костной системы (например, остеомиелит);
- воспалительные процессы в ротовой полости;
- некачественная гигиена, препятствующая монтажу.
Кроме того, сюда же можно отнести общие противопоказания к оперативному вмешательству. Это проблемы со свертываемостью крови, аллергические реакции на компоненты препаратов, материалы изготовления, хронические заболевания при обострении, прием лекарственных средств, препятствующих тромбообразованию, психические нарушения.

Достоинства и недостатки зубных мостов
Преимущества мостовидных протезов в ортопедической стоматологии:
- Не нужно ждать, пока установленная конструкция приживется. То есть нет необходимости в остеоинтеграции, которая может продлиться до полугода. Получается, что адаптационный процесс длится довольно быстро (до 12 часов).
- Это наиболее экономичный вариант восстановления рядов при утрате отдельных единиц, чем имплантация.
- Современные технологии позволяют получать эстетически привлекательные искусственные зубы с полноценным функционированием. Скрытые элементы (крепления и др.) не видны окружающим, поэтому никто даже не заметит врачебного вмешательства.
- Процедура практически не имеет противопоказаний. Мост ставят и в том случае, когда невозможно вживление импланта.
- Сохраняется нормальная дикция.
- Необходимо обтачивать оставшиеся во рту соседние коронки. Очень часто стоматологи прибегают к депульпированию (удалению нерва, чистке и цементированию каналов).
- Нормальная нагрузка на челюстную кость не восстанавливается в полной мере. Когда человек пережевывает пищу, нагружаются опоры, центральная часть в этом практически не участвует. В результате возрастает риск атрофии костной ткани.

Установка зубного моста: этапы проведения процедуры
Процесс изготовления и монтажа конструкции несложен и не требует дополнительных действий, направленных на нарушение целостности мягких тканей, наложения швов и др. Адаптационный период проходит легко и безболезненно. Несмотря на простоту, врачу и пациенту придется пройти несколько последовательных шагов, прежде чем утраченные единицы будут полностью восстановлены. В среднем потребуется 3 посещения стоматологического кабинета.
Этап 0: санация полости рта перед процедурой
Если при первичном осмотре специалист предложил установить мостовидный протез, он должен внимательно осмотреть ротовую полость. Одним из главных условий назначения лечения является отсутствие кариозных поражений, воспалительных процессов и других стоматологических нарушений.
Длительность этого периода зависит от состояния твердых и мягких тканей. Если человек регулярно посещал клинику в профилактических целях, вполне вероятно, что потребуется провести обычную чистку без нанесения пломбировочного материала. При наличии запущенных заболеваний они должны быть пролечены, и только потом можно обращаться к ортопеду.
Этап 1: подготовка опорных зубов и изготовление мостовидного протеза
Когда стоматолог убедится, что все единицы полностью здоровы, выполняется подбор опоры. Элементы обтачивают, депульпируют, корни пломбируют.
С готовых креплений снимаются слепки. Они направляются в лабораторию зуботехникам.
Пока изготавливается постоянное изделие, пациенту придется носить временное на пластиковой основе. Это может занять 1-2 недели в зависимости от загруженности учреждения и сложности технологических процессов.

Когда собственных зубов не хватает, или они слишком плохого качества, их невозможно вылечить и нормально подготовить к процедуре, показана имплантация. Обычно вживляются две опорные точки.
Этап 2: установка несъемного протеза
При последнем посещении стоматологической клиники демонтируется пластмассовая конструкция, а на ее место устанавливается изготовленная в лабораторных условиях по слепкам. Ортопед проверяет, насколько плотно материал прилегает к поверхностям. Не должно быть препятствования смыканию челюстей и видимых цветовых перепадов, в противном случае искусственные участки будут бросаться в глаза.
Выполняется полноценная примерка, подгонка и фиксация. Для большей надежности наносится особый цемент.
Если клиент ощущает дискомфорт, протезирование не производится. Система демонтируется и возвращается в лабораторию для корректировки. При отсутствии неприятных ощущений лечение завершается.
Адаптация происходит еще в период ношения пластика. Это значит, что пациент уже через несколько часов сможет беспрепятственно вернуться к своему привычному образу жизни. Врач дает рекомендации по эксплуатации и уходу за изделием, назначает плановые осмотры и доводит другую важную информацию.
Виды мостовидных протезов

К сожалению, в мире вряд ли найдется хоть один человек, ни разу в жизни не столкнувшийся с зубной болью, кариесом или какой-либо другой стоматологической проблемой. Своевременное обращение к специалисту, а также регулярные профилактические осмотры, как правило, помогают избежать потери и вынужденного удаления зубов. Однако порой по той или иной причине, например, в результате травмы или осложненного кариеса наступает частичная адентия, или отсутствие одного или нескольких зубов. На протяжении многих десятилетий фиксация мостовидных протезов остается самым популярным решением подобной проблемы. Давайте разберемся, какие плюсы и минусы имеет зубной мост и насколько он эффективен.
Мостовидные протезы: показания к установке
Для начала определимся, что такое зубной мост. Мостовидные протезы зубов - это несъемная ортопедическая конструкция, состоящая из коронок на опорные зубы и одного, двух или максимум трех искусственных зубов между ними, надежно соединенных между собой и с опорными коронками. В редких случаях искусственных зубов может быть четыре, но, чем протяженнее конструкция, тем ниже ее прочность и выше риск повреждения. Прямым показанием к установке мостовидного протеза является отсутствие одного или нескольких зубов подряд и невозможность по той или иной причине (например, по состоянию здоровья или в силу финансовых обстоятельств) установить имплантат или имплантаты.
Зубные мосты делятся на виды по материалу и по способу изготовлению, по методу их установки и типу конструкции. В первую очередь, рассмотрим подробнее различие мостовидных протезов по материалу изготовления.
Мостовидные протезы из металлов и сплавов
Металлический мостовидный протез уходит в прошлое, хотя еще лет пятнадцать назад металл, особенно золото, был самым популярным материалом в ортопедии. С одной стороны, стоматологические металлы и сплавы очень прочные, им не страшны сколы и сильная жевательная нагрузка. Однако эстетические характеристики металлических ортопедических конструкций близки к нолю, а риск возникновения аллергической реакции, напротив, очень высок. Ко всему прочему, металлические мосты довольно тяжелые, в результате чего опорные зубы разрушатся намного быстрее, чем при использовании для изготовления мостов других материалов. Тем не менее, с появление диоксида циркония все перечисленные недостатки стали неактуальными.

Пластмассовые мостовидные протезы
Оговоримся сразу, что пластмассовые зубные мосты, как и другие ортопедические конструкции из пластмассы, в современной стоматологии используются исключительно в качестве временной меры. Например, в период изготовления постоянных конструкций из других материалов. Дело в том, что стоматологическая пластмасса, хоть и является гипоаллергенной и способна довольно хорошо имитировать цвет и прозрачность натуральной эмали, все же уступает по прочности всем другим материалам: и металлу, и керамике, и металлокерамике, а также подвержена изменению цвета под воздействием слюны и пищи. Пластмассовые мостовидные протезы изготавливаются в максимально короткие сроки и стоят относительно недорого, благодаря чему они доступны для временного применения, однако не подходят для длительного. И даже укрепление пластмассовой конструкции каркасом из металла продлевает срок ее службы весьма незначительно, а риск возникновения аллергической реакции увеличивает в разы.

Керамические мостовидные протезы
Керамические, или цельнокерамические, зубные мосты изготавливаются из специальной стоматологической гипоаллергенной керамики, способной идеально имитировать анатомическую форму зубов и максимально точно воспроизводить цвет и прозрачность эмали. Для изготовления зубных коронок керамика идеальна, а вот зубные мосты из нее, особенно длинные, заменяющие более одного зуба, уступают по прочности как металлическим, так и металлокерамическим.

Металлокерамические мостовидные протезы
Оптимальным вариантом для протезирования зубов мостовидными протезами являются зубные мосты из металлокерамики. Они представляют собой все те же колпачки на опорные зубы в виде керамических коронок и керамические искусственные зубы между ними, однако опорные коронки имеют каркас из металла, а по всей протяженности зубного моста проходит металлическая балка, придающая всем элементам конструкции дополнительную прочность и надежно скрепляющая их между собой. Таким образом, металлокерамические зубные мосты сочетают в себе прочность металлических ортопедических конструкций и эстетику цельнокерамических.

Цельнолитые, штампованные и адгезивные зубные мосты
Как уже упоминалось выше, мостовидные протезы делятся на несколько видов не только по материалу изготовления, но и по способу. Скажем сразу, что на сегодняшний день самыми популярными, равно как и самыми прочными и эффективными, являются литые, или цельнолитые, зубные мосты. В отличие от штампованных, или паяных, мостов, представляющих собой несколько отдельных элементов (опорные коронки и искусственные зубы), спаянные друг с другом уже после изготовления, цельнолитые зубные мосты отличаются особой прочностью и надежностью. Что же касается адгезивным мостовидных протезов, они изготавливаются из композитных материалов, похожих на пломбировочные материалы, непосредственно в полости рта пациента и закрепляются на стекловолоконной дуге, установленной в пазах опорных зубов. Подобные конструкции значительно уступают по прочности и по эстетическим качествам, а также по сроку службы как литым, так и паяны мостам.

Несьемные и съемные мостовидные протезы
И последняя характеристика, по которой различаются зубные мосты, - это способ их установки, а точнее - принцип их соединения с десной. По этому принципу мостовидные протезы делятся на промывные, касательные и седловидные. Как явствует из названия, между промывным зубным мостом и десной имеется промывное отверстие, практически незаметное для глаза, но позволяющее промывать его при помощи ирригатора или же полоскания, а также сокращающее риск возникновения аллергии и натирания десны протезом. Касательный тип установки предполагает соприкосновение моста с десной только с одной стороны, что, опять же облегчает гигиену, зато делает мост внешне не отличимым от натуральных зубов, что особенно важно в зоне улыбки. Седловидные зубные мосты, как, опять же, понятно из названия, как бы «надеваются» на десну, обхватывая ее с обеих сторон. Это придает мосту дополнительную прочность, однако затрудняет гигиену и способно провоцировать натирание и раздражение слизистой.
Изготовление и установка мостовидных протезов
Установка зубных мостов делится на несколько этапов. В первую очередь, врач проводит предварительный осмотр, чаще всего включающий в себя рентгеновский снимок, на котором оценивает объем будущих работ и составляет смету. Порой требуется удаление поврежденных или разрушенных зубов, а в некоторых случаях и предварительное ортодонтическое лечение, так как нарушения прикуса являются одним из противопоказаний к установке зубных мостов. Далее стоматолог препарирует опорные зубы: депульпирует их при необходимости и обтачивает под коронки. После этого снимаются слепки, по которым зубной техник в зуботехнической лаборатории изготавливает несъемную конструкцию. Следующий этап - примерка и установка мостовидного протеза.

Срок службы зубного моста
Уход за любыми ортопедическими конструкциями включает в себя стандартную ежедневную гигиену полости рта, а также применение при необходимости дополнительных средств, как то: ирригаторы, ополаскиватели, специальные щетки и ершики. А вот от использования флосса, или зубной нити, в зоне установки зубного моста, скорее всего, придется отказаться. После установки мостовидного протеза лечащий врач даст вам подробные рекомендации по уходу за ним.
Мостовидный протез на имплантах
Конечно же, наиболее эффективным, надежным и эстетичным способом восстановления утраченных или отсутствующих зубов является установка зубных имплантов. В отличие от мостовидных протезов с опорой на собственные зубы пациента, дентальные имплантаты с установленными на них зубными мостами, полностью восстанавливают не только эстетику зубного ряда, с этим прекрасно справляются и зубные мосты, но и функцию траченных зубов.

Под функцией подразумевается полноценное участие в речи и процессе жевания, сопровождающееся правильным распределением нагрузки (чем, увы, не могут похвастаться мосты, у которых вся нагрузка приходится на опорные зубы), а также предотвращение убыли костной ткани, которая неизбежна при использовании мостовидных конструкций, так как искусственные зубы в них не имеют собственной опоры и не нагружают кость челюсти. Помимо прочего, имплантаты не требуют обточки соседних зубов, без чего, к сожалению, не обходится установка обычных зубных мостов.

Цена на зубной мост в Санкт-Петербурге
В стоимость мостовидного протеза входит снятие слепков, изготовление самой конструкции и ее установка. В зависимости от ценового уровня клиники, квалификации врача и материала изготовления протеза, зубной мост, состоящий из трех элементов - двух опорных коронок и одного искусственного зуба между ними, обойдется в среднем от 3 000 рублей до 20 000 рублей, верхняя же ценовая планка очень высока и может доходить до сотни тысяч. Итак, мостовидные зубные протезы уступают и по прочности и по эффективности зубным имплантатам, единственное их преимущество перед последними - это значительно более низкая стоимость. Однако срок службы мостовидных конструкций ограничен 1-15 годами, чем протяженнее конструкция, тем меньше этот срок, в то время как имплантаты служат своим владельцам всю жизнь и требуют только своевременной замены коронок. Таким образом, при пересчете на длительный срок стоимость имплантатов и мостов практически сравнивается.
Составные мостовидные протезы
Выбор методики стоматологической реставрации, как правило, обуславливается клиническими показаниями. В ортопедической практике нередко встречаются ситуации, когда опорные единицы, необходимые для установки мостовидных протезирующих конструкций, располагаются со значительным медиально-дистальным уклоном. В зависимости от стороны наклона, подобная ситуация может характеризоваться как конвергенция (отклонение к дефекту) или дивергенция (от него). Решить проблему позволяет использование составного протеза мостовидного типа.
Общее представление
Дивергенция и конвергенция опорных элементов - факторы, ограничивающие возможность установки классических протезов типа «мост». Проблема обуславливается дифференцированным положением единиц - устранить расхождение путем обычного препарирования невозможно, так как объем ткани, требующей удаления, слишком велик, и может привести к вскрытию камеры пульпы. Составные мостовидные протезы - модель, предусматривающая наличие специального сочленения, благодаря которому разместить систему можно даже на единицах, расположенных под углом друг к другу.
В качестве материала для изготовления подобных конструкций используется металл. Структура включает в себя несколько элементов:
- Промежуточную окклюзионную накладку, располагаемую над областью адентии;
- Устройства для фиксации, размещаемые на опорных единицах;
- Соединительный механизм, объединяющий элементы конструкции в систему.
Показания и противопоказания
Главным фактором, обуславливающим необходимость установки мостовидного протеза, является отсутствие нескольких элементов зубного ряда. Составные модели используются для замещения до 4-х фронтальных или до 3-х жевательных единиц - в ситуациях, когда взаимное расположение опорных зубов отличается на 20 и более градусов.
К числу медицинских противопоказаний, ограничивающих возможность применения методики, относятся те же факторы, что и при установке стандартных моделей:
- Увеличенная протяженность области адентии;
- Наличие системных патологий организма, запрещающих хирургическое вмешательство.
Кроме того, при оценке возможности установки учитываются:
- Соотношение длины корня и коронки опорных элементов (должно быть не менее 2:1);
- Наличие единиц, не подвергшихся депульпированию;
- Малые габариты или толщина стенки, ограничивающие возможность препарирования;
- Разный функционал элементов, располагающихся на опорных участках.
Итоговое решение принимается после комплексного обследования.
Конструктивные особенности
Специфика составных протезов заключается в наличии соединительного элемента, объединяющего две части, устанавливаемые в разном положении. Выделяют несколько разновидностей сочленения:
- Пазовое, предусматривающее наличие выступа и выемки на элементах;
- С использованием штифтов-фиксаторов, соединяющих части протеза;
- Кламмерное - с установкой опорных элементов на телескопическую коронку;
- С размещением внутренних коронок, выступающих базой для внешней части.
Несмотря на различный технический подход к конструированию, цель подобных устройств остается неизменной, и сводится к созданию параллельно установленной конструкции.
Методики изготовления
Для реставрации зубного ряда с использованием составных протезов мостовидного типа применяются такие методики, как:
- Разработка, созданная Ю.К. Курочкиным, основанная на использовании сочетания коронки и кламмера. При установке коронки на отклоненную единицу предусматривается наличие вертикальных пазов, параллельных положению второго зуба. Кламмер соединяется со средней частью, тогда как по другую сторону накладки располагается телескопическая коронка.
- Соединение элементов у опорной единицы. В этом случае применяются фиксаторы, одним из которых служит часть коронки, а вторым - соединительный элемент протеза. Конструкция закрепляется при помощи штифта.
- Моделирование внутренней коронки телескопического типа, дополняющей мостовидный протез, и обеспечивающей параллельную установку системы.
- Соединение элементов в срединной части конструкции - вариант, схожий со второй методикой, отличием которого является выбор места фиксации. Рекомендован при выявлении наклона обоих опорных элементов, однако осложняется выбором покрытия для области сочленения - как правило, для повышения прочности используются составы композитного или фотополимерного типа.
Реставрация обеспечивает ряд преимуществ, к числу которых относятся:
- Восстановление эстетики и функциональности челюстного отдела;
- Сокращенный период адаптации, не превышающий 7-10 дней;
- Комфорт ношения (в сравнении с иными съемными моделями);
- Прочность и надежность системы в эксплуатации;
- Доступная стоимость изготовления.
К числу недостатков относят потребность в наличии опорных элементов, препарирование, а также ограниченное распределение жевательной нагрузки.
Читайте также:
- Понтоцеребеллярная гипоплазия и атрофия у ребенка: причины, классификация
- Современное состояние лечения ранений сердца. Рекомендации
- Отек легких. Механизмы отека легких
- Глазные капли от катаракты: польза и вред. Как выбрать глазные капли?
- Вторичные ампутации. Показания к вторичным ампутациям. Виды рассечения тканей при ампутации. Гильотинная ампутация.
