Перелом альвеолярного отростка при удалении зуба. Перелом и вывих нижней челюсти при удалении зуба.
Добавил пользователь Евгений Кузнецов Обновлено: 21.11.2025
Вывих нижней челюсти - патологическое смещение суставной головки нижней челюсти за пределы своего анатомического ложа, приводящее к нарушению функции ВНЧС. Вывих нижней челюсти сопровождается невнятностью речи, невозможностью смыкания зубов (при заднем вывихе - невозможностью открыть рот), слюнотечением, выраженным болевым синдромом, смещением подбородка и изменением конфигурации лица. Диагноз вывиха нижней челюсти подтверждается данными рентгенографии или томографии височно-нижнечелюстного сустава. Лечебная помощь заключается во вправлении вывиха консервативным или хирургическим способом с последующей иммобилизацией нижней челюсти.
Общие сведения
Вывих нижней челюсти - стойкое нарушение анатомических взаимоотношений элементов височно-нижнечелюстного сочленения, сопровождающееся развитием характерного патологического симптомокомплекса. Вывихи нижней челюсти составляют 1,5-5,5 % от общего количества вывихов, встречающихся в травматологии. В большей степени возникновению вывиха нижней челюсти подвержены женщины среднего и пожилого возраста, что объясняется особенностями анатомии ВНЧС (небольшой глубиной нижнечелюстной ямки височной кости, меньшим размером суставного бугорка, относительной слабостью поддерживающего сустав связочного аппарата). Вопросами консервативного и хирургического лечения вывихов нижней челюсти занимается ортопедическая стоматология и челюстно-лицевая хирургия.
Причины вывиха нижней челюсти
Чаще всего механизм вывиха нижней челюсти связан с резкими движениями самой челюсти либо грубым внешним воздействием на нее. Самопроизвольный вывих нижней челюсти может быть вызван чрезмерным открыванием рта во время зевоты, крика, откусывания большого куска пищи, рвоты, пения, смеха и пр. В некоторых случаях вывих нижней челюсти случается при проведении разного рода медицинских манипуляций - удаления зубов, снятия слепков с зубов, зондирования желудка, бронхоскопии, гастроскопии, интубации трахеи и т. п. Причиной вывиха нижней челюсти могут стать различные вредные привычки: например, привычка открывать зубами бутылки, грызть орехи или вскрывать различные упаковки.
Кроме этого, острый травматический вывих может произойти в результате форсированного насильственного движения в суставе: прямого удара в нижнюю челюсть, падения на подбородок и пр.
Патологические и привычные вывихи нижней челюсти обычно возникают у пациентов с сопутствующими заболеваниями (подагрой, ревматизмом, ревматоидным полиартритом, эпилепсией, хроническим артритом и деформирующим артрозом ВНЧС, опухолями и остеомиелитом челюстей и пр.); при деформациях челюстей, неправильном прикусе, перерастяжении суставной капсулы, травматичном вправлении острого вывиха или недостаточных сроках иммобилизации нижней челюсти. Для их возникновения требуется незначительное внешнее воздействие; иногда такие вывихи возникают без видимых причин в результате постепенного смещения суставных поверхностей. Врожденный вывих нижней челюсти обусловлен аномалиями развития ВНЧС.
Факторами, предрасполагающими к возникновению вывиха нижней челюсти, служат ослабление связочного аппарата ВНЧС, уплощение суставной головки и снижение высоты суставного бугорка, гипермобильность сустава, полная адентия, пожилой возраст пациентов.
Классификация вывихов нижней челюсти
Прежде всего, следует различать полный и неполный вывих (подвывих) нижней челюсти: в первом случае соприкосновение суставных поверхностей нарушается полностью и суставная головка располагается вне пределов нижнечелюстной ямки височной кости; во втором (при подвывихе) - контакт суставных поверхностей частично сохранен. При сочетании вывиха нижней челюсти с переломом мыщелкового отростка говорят о переломовывихе.
В зависимости от времени и причин возникновения различают врожденные и приобретенные вывихи нижней челюсти; последние могут быть травматическими, патологическими и привычными по происхождению. С учетом направления смещения головки нижней челюсти вывихи подразделяются на передние и задние. По симметричности поражения выделяют односторонние и двусторонние вывихи нижней челюсти.
Вывих нижней челюсти, с момента возникновения которого прошло не более 5-10 дней, считается острым; от 1,5 недель и дольше - хроническим (застарелым). Если вывих нижней челюсти не сопровождается повреждением кожных покровов, он расценивается как простой; в случае разрыва сосудов, сухожилий, мягких тканей, кожных покровов, вывих считается осложненным. Наиболее часто в клинической практике встречаются передние двусторонние подвывихи и вывихи нижней челюсти.
Симптомы вывихов нижней челюсти
При переднем двустороннем вывихе нижней челюсти рот больного открыт, губы и зубы не смыкаются, речь затруднена и невнятна, поэтому пациент пытается объясниться жестами. Отмечается гиперсаливация, выраженная боль в околоушной области, изменение конфигурации лица за счет смещения подбородка кпереди. Осмотр выявляет напряжение жевательных мышц, уплощение щек; пальпаторно определяется смещение головок мыщелковых отростков. Попытки насильственного закрытия рта путем давления на подбородок снизу вверх безрезультатны и сопровождаются лишь низкоамплитудными пружинистыми движениями нижней челюсти и усилением болевых ощущений.
Клиника одностороннего вывиха нижней челюсти аналогична. Рот пациента приоткрыт, подбородок смещен в здоровую сторону от средней линии, нижняя часть лица перекошена. Привычный вывих сопровождается девиацией нижней челюсти, хрустом, щелканьем и болезненностью в суставе.
В отличие от переднего вывиха, при смещении суставной головки нижней челюсти назад пациент не может открыть рот, что также затрудняет глотание, дыхание и речь. Основные жалобы связаны с резкой болью в околоушных областях. Положение больного вынужденное, с наклоном головы вперед. Отмечается смещение подбородка и корня языка кзади; при этом нижние резцы упираются в передний отдел твердого неба, а нижние моляры не смыкаются с зубами-антагонистами. Возможно кровотечение из наружного слухового прохода вследствие повреждения его костной стенки.
При осложненных вывихах нижней челюсти могут обнаруживаться болезненность и припухлость периартикулярных тканей, подкожные гематомы, переломы нижней челюсти и височной кости. При пальпации головка нижней челюсти определяется в области сосцевидного отростка.
Диагностика вывихов нижней челюсти
Для распознавания вывиха нижней челюсти, как правило, достаточно внешнего осмотра и пальпаторного обследования. Вместе с тем, уточняющая и дифференциальная диагностика невозможны без рентгенографии ВНЧС, а в сложных случаях - без КЛКТ или КТ височно-нижнечелюстного сустава. При переднем вывихе нижней челюсти на боковых рентгенограммах определяется свободная суставная впадина, смещение головки челюсти кпереди от суставного бугорка; при заднем вывихе - суставная головка, сместившись кзади, занимает положение под нижней стенкой костного слухового прохода, между нижнечелюстной ямкой и сосцевидным отростком.
Полученные клинико-рентгенологические данные позволяют дифференцировать вывих нижней челюсти от перелома мыщелкового отростка.
Лечение вывиха нижней челюсти
Первая помощь заключается в вправлении вывиха нижней челюсти под инфильтрационной или проводниковой анестезией. Для вправления переднего вывиха нижней челюсти используются методы Гиппократа, Ходоровича, Блехмана, Гершуни, Попеску (при застарелых вывихах). Классическим способом вправления двустороннего вывиха нижней челюсти служит метод Гиппократа: больной сидит на низком стуле, таким образом, чтобы затылок имел опору, а нижняя челюсть располагалась на уровне локтевых суставов стоматолога или травматолога/хирурга. Стоя напротив лица больного, врач помещает большие пальцы, обернутые полотенцем или плотным слоем марли, на нижние моляры, а остальными охватывает нижнюю челюсть снаружи. Плавно надавливая большими пальцами сверху вниз, врач небольшим толчком смещает челюсть назад, быстро убирая пальцы с зубов во избежание прикусывания. Перемещение суставных головок нижней челюсти на свое место сопровождается характерным щелчком и интенсивным смыканием челюстей.
При вправлении заднего вывиха после смещения нижней челюсти вниз ее перемещают кпереди. В целях исключения рецидива вывиха нижней челюсти и ограничения движения в ВНЧС после процедуры вправления необходимо произвести иммобилизацию челюсти с помощью подбородочной пращи на 7-10 дней (при переднем вывихе) и на 2-3 недели (при заднем вывихе). До выздоровления больному рекомендуется отказаться от приема твердой пищи и соблюдать щадящую диету. В случае невозможности вправления вывиха нижней челюсти консервативными способами прибегают к оперативному методу. При застарелых вывихах нижней челюсти может потребоваться выполнение резекции суставных головок нижней челюсти с последующей механотерапией.
Привычные вывихи нижней челюсти пациенты нередко приноравливаются вправлять самостоятельно. Дальнейшее лечение должно включать терапию основного заболевания, ношение в течение 2-3 мес. лечебных ортопедических аппаратов и шин, ограничивающих подвижность в суставе (аппарата Петросова, аппарата Бургонской-Ходоровича, шины Ядровой). По показаниям необходимо проведение избирательного пришлифовывания зубов, протезирования отсутствующих зубов, блокад жевательных мышц, массажа, лечебной гимнастики, физиотерапии (электрофореза лекарственных веществ, гальванизации).
Хирургическое лечение привычного вывиха нижней челюсти может быть направлено на укрепление связок, углубление суставной впадины, увеличение высоты суставного бугорка, репозицию и фиксацию внутрисуставного диска.
Прогноз и профилактика вывиха нижней челюсти
При своевременном вправлении острых вывихов нижней челюсти и соблюдении сроков иммобилизации исход благоприятный; рецидивы маловероятны. При сопутствующих заболеваниях и ранней нагрузке на челюсть возможно развитие привычных вывихов, тугоподвижности в суставе.
Профилактика вывиха в ВНЧС заключается в контроле амплитуды открывания рта во время еды, пения, чистки зубов, проведения медицинских вмешательств; устранении предрасполагающих факторов, предупреждении травм нижней челюсти. После вправления вывиха или операции на ВНЧС необходимо соблюдение рекомендованного режима и полноценная реабилитация.
Перелом корня зуба
Перелом корня зуба - травматическое повреждение зуба, сопровождающееся нарушением целостности его корня. Пациенты жалуются на усиление болезненности в участке поврежденного зуба при жевании, откусывании пищи. В ходе обследования выявляют отечную гиперемированную слизистую. Вертикальная перкуссия при переломе корня зуба положительная. Может наблюдаться патологическая подвижность зубов 1, 2 или 3 степени. Диагноз «перелом корня зуба» ставят, исходя из жалоб пациента, собранного анамнеза, данных клинического осмотра, результатов рентгенографии и ЭОД. Выбор тактики лечения зависит от возраста больного, состояния его иммунной системы, уровня и направления линии перелома.
Перелом корня зуба - патологическое состояние, возникающее при нарушении целостности корня. В детском возрасте перелом корня зуба диагностируют крайне редко (0,5%). У взрослых травмы зубов, сочетанные с разломом корня, выявляют в 2 % случаев. Основную группу пациентов составляют люди в возрасте от 40-45 до 50 лет. У 4% больных перелому корня предшествует ранее проведенное эндодонтическое лечение каналов. Чаще встречаются горизонтальные переломы корня зуба с локализацией костного дефекта в участке между средней третью и верхушкой резцов. Разлом корней больших и малых коренных зубов в 80% случаев является продольным, при этом только у 10 % обследованных диагностируется неполный перелом корня зуба. Свищевой ход формируется в каждого 10 пациента, обратившегося в стоматологию. Смещение отломков зафиксировано в 3% случаев.
Причины переломов
Перелом корня зуба возникает вследствие травматических повреждений (травм зубов) при падении, ударе в лицо. Линия перелома обычно проходит на уровне средней трети верхних резцов. Очень часто повреждение корней диагностируют при переломах альвеолярного отростка и тела верхнечелюстной кости, при этом перелом корня зуба практически всегда сочетается с разрывом периодонтального связочного аппарата.
Перелом корня зуба может возникнуть при проведении стоматологических манипуляций на этапе расширения корневых каналов или в момент установки штифта. Приложение чрезмерного усилия ведет к нарушению целостности истонченных стенок корня в продольном направлении. Также частой причиной перелома корня зуба является несоблюдение протокола лечения: восстановление коронковой части светоотверждаемым материалом при наличии прямых показаний к протезированию, использование консольных конструкций, мостовидных протезов большой протяженности промежуточной части.
Чрезмерное расширение каналов, их агрессивная механическая обработка, неравномерное распределение жевательного давления - все эти факторы в разы повышают риск возникновения перелома корня зуба. Травмирующее давление может передаваться на корень не только перпендикулярно, но и параллельно его продольной оси. При прямых ударах перелом корня зуба сочетается с повреждением альвеолярного отростка. Вертикальные силы развиваются вследствие воздействия зубов-антагонистов в момент смыкания зубных рядов при условии наличия очагов жевательной перегрузки.
Классификация
В зависимости от направления линии повреждения переломы корня разделяют на 4 группы:
- Поперечные. Линия разлома проходит параллельно жевательной поверхности. На рентгенограмме удается рассмотреть 1-2 полоски просветления, соответствующие уровню повреждения.
- Вертикальные. Фрагменты, образовавшиеся при переломе корня зуба, параллельны продольной оси. Зачастую вертикальные переломы сочетаются с повреждением коронки.
- Косые. Разлом корня проходит под углом к оси зуба в щечно-оральном или медио-дистальном направлении.
- Оскольчатые. Характеризуются образованием нескольких линий перелома, пересекающихся между собой в разных направлениях.
По локализации различают апикальный, срединный и пришеечный переломы корня зуба.
Симптомы перелома корня зуба
Клиническая картина при переломе корня зависит от уровня повреждения, состояния пульпы, степени смещения фрагментов. Если перелом корня зуба сочетается с повреждением костей лицевого скелета, на коже определяют ссадины, раны. Мягкие ткани отечны. Слизистая оболочка в участке перелома корня зуба гиперемирована, болезненна. При повреждении пульпы пациенты указывают на появление самопроизвольной боли. В результате внутреннего кровоизлияния коронковая часть зубов приобретает розовый оттенок.
При смыкании челюстей болезненность усиливается. Поврежденный зуб может находиться как в зубном ряду, так и вне его (с вестибулярным или оральным наклоном). При осмотре определяют патологическую подвижность зубов 1, 2 или 3 степени. Зубоэпителиальное прикрепление при переломе корня зуба разрушается, вследствие чего образуются пародонтальные карманы. С десневой борозды наблюдается кровоточивость. При отсутствии лечения со временем на слизистой оболочке в проекции линии перелома образуется свищевой ход, через который выбухают грануляции. При обострении воспалительного процесса отмечается гноетечение.
Диагностика перелома корня зуба
Диагностика перелома корня включает сбор жалоб, клинический осмотр, ЭОД. Решающими при постановке диагноза являются результаты рентгенологического исследования. Как правило, среди основных причин разлома корня пациенты указывают травматические повреждения. Патогномоничных симптомов при переломе корня зуба нет. В ходе физикального обследования врач-стоматолог выявляет ряд неспецифических признаков: припухлость слизистой в зоне перелома, положительную вертикальную перкуссию, патологическую подвижность поврежденных зубов, разрушение зубоэпителиального соединения, наличие пародонтальных карманов. При переломе корня коронковая часть зуба может частично или полностью отсутствовать. При вертикальном разломе корня линия перелома проходит через две аппроксимальные и жевательную поверхности или в вестибуло-оральном направлении. Отломанные фрагменты подвижны.
При косых медио-дистальных переломах корня зуба, а также в случае, когда линии перелома перпендикулярны рентгеновскому лучу, обнаружить разлом корня с помощью прицельной рентгенологической диагностики довольно сложно. Для уточнения характера патологии проводят КТ. При горизонтальных, вертикальных вестибуло-оральных переломах корня зуба на рентгенограммах выявляют расширение периодонтальной щели. Зона разрежения костной ткани в виде тонкой полоски просветления проходит в участке повреждения. При позднем обращении пациентов рентгенографически в проекции перелома корня зуба определяют участок деструкции кости с нечеткими контурами, наблюдаются признаки резорбции корня. Прицельную рентгенографию проводят дважды: в момент травмы и через неделю.
Результаты ЭОД свидетельствуют о состоянии пульпы. Чтобы получить наиболее достоверные данные, исследование выполняют несколько раз. Сразу после повреждения показатели жизнеспособности пульпы, как правило, снижены (значение в диапазоне от 100 мкА и выше). Со временем витальность пульпы может восстановиться. Дифференцировать перелом корня зуба необходимо с ушибом и вывихом зуба, переломом альвеолярной пластинки. Обследование проводят стоматолог-терапевт и стоматолог-хирург.
Лечение перелома корня зуба
Тактика врача при переломе корня определяется характером и локализацией повреждения, возрастом пациента, уровнем смещения фрагментов. При выявлении поперечного перелома апикальной трети с нарушением витальности пульпы проводят экстирпацию коронковой и корневой пульпы, медикаментозную и механическую обработку каналов с последующим их пломбированием временной кальцийсодержащей пастой. После обтурации корневых каналов методом латеральной или вертикальной конденсации гуттаперчи производят хирургическое вмешательство, цель которого при переломе корня зуба заключается в удалении отломанного апикального фрагмента. При сохранении витальности пульпы показана иммобилизация зуба специальной каппой или проволочной шиной, зафиксированной к 2 интактным зубам по обе стороны от поврежденного с помощью жидкого фотополимерного материала.
Если при поперечно-срединном переломе корня необратимых изменений в пульпе не наблюдается, чтобы обеспечить необходимые условия для сращения фрагментов, применяют каппу, стекловолоконную или проволочно-композитную шины. В случае выявления признаков нежизнеспособности пульпы терапия перелома корня зуба включает этап эндодонтического лечения, установку штифта с репозицией, фиксацией, иммобилизацией отломков. При вертикальном или косом переломе однокорневые зубы подлежат удалению. В случае разлома одного из корней моляров или премоляров выполняют зубосохраняющие операции. При гемисекции зуба через жевательную поверхность по бифуркации в щечно-оральном направлении бором разрезают коронку. Поврежденный корень удаляют. Сохранившийся здоровый корень используют в качестве опоры при протезировании. Выявление разлома корня временного зуба является прямым показанием к его удалению.
При своевременном обращении пациента и квалифицированно спланированном лечении горизонтального перелома корня зуба средней или апикальной трети прогноз благоприятный. Сохранение жизнеспособности пульпы повышает вероятность заживления перелома, так как именно витальная пульпа способствует формированию твердых тканей в эндодонте. При горизонтальном пришеечном переломе корня зуба прогноз неблагоприятный. Все временные, а также постоянные однокорневые зубы с косыми, продольными, оскольчатыми переломами корня подлежат удалению, так как в динамике сращения фрагментов не происходит, у пациентов наблюдается резорбция корней с признаками хронического воспалительного процесса.
Осложнения после удаления зуба мудрости на верхней и нижней челюсти
Чем сложнее операция и чем хуже состояние зубов мудрости, тем выше вероятность возникновения послеоперационных осложнений. Даже самый опытный стоматолог не может гарантировать их полное отсутствие, так как определенные негативные последствия являются практически обязательными и считаются нормой. Но есть и специфические возможные осложнения, которые возникают по вине пациента в послеоперационном периоде или из-за неопытности врача.
Показания для удаления восьмых зубов
зубы мудрости
Восьмерки начинают расти гораздо позже остальных постоянных зубов, вследствие чего места в челюсти им зачастую не хватает. Дефицит пространства провоцирует всевозможные искривления корней и коронок. Такие моляры врачи советуют удалять. Вот еще список проблем, при возникновении которых показана экстракция:
- Выраженный наклон восьмерки в сторону седьмого зуба или щеки.
- Гиперцементоз (избыточное отложение вторичного цемента, при котором корень зуба утолщается и деформируется).
- Неполное прорезывание зуба или его расположение в кости (ретенция).
- Разрушение коронки или корней восьмерки, а также соседних зубов (после травмы либо кариеса).
- Гранулема (грануляция в виде кистообразных мешочков с гноем, расположенных в периодонте).
- Разворот зуба вокруг своей оси или горизонтальное расположение (дистопия).
- Деформирование корней (могут всячески искривляться, даже закручиваться в спираль или формировать угол 90°).
- Близкое расположение корней верхних восьмерок к носовым гайморовым пазухам.
- При наличии перикоронита (острого воспалительного процесса в области прорезывания восьмерки, сопровождающегося болевыми ощущениями, повышением СОЭ в анализах крови).
Неправильно растущий 8 зуб может передавить лицевые нервы и спровоцировать неврит, который выражается резкой болью, отдающей в уши, шею, висок, и может привести к параличу лица.
Возникновение осложнений
Операции по вырыванию восьмерок считаются сложными стоматологическими процедурами, которые обусловлены:
- затрудненным доступом;
- частой ретенцией;
- непредсказуемым строением;
- особенностями расположения нижнечелюстного альвеолярного нерва.
Подобные процедуры очень травматичны, что создает предпосылки для возникновения осложнений общего и специфического типов.
Общие
Характер осложнений во многом зависит от расположения зуба: на верхней или нижней челюсти. Но есть также общие осложнения, которые возникают практически у всех, независимо от места расположения восьмерки и ее изначального состояния. Ниже перечислены наиболее распространенные общие последствия.
Болевые ощущения
Приблизительно через 2-3 часа после экстракции моляра возникнет ощутимая боль в десне. Это нормальная реакция организма на травму, которой является стоматологическая операция. В ходе нее разрываются или разрезаются мягкие ткани, травмируется кость (если зуб расположен под ней), нарушаются сосуды и нервы. Болезненные ощущения должны полностью исчезнуть через 2-4 дня, а у некоторых проходят за несколько часов. Уменьшить их можно с помощью обезболивающих медикаментов, которые назначит стоматолог.
Если болезненность не проходит, а также сильно распухла щека, значит, процесс заживления десны протекает с осложнениями.
Отек тканей лица и шеи
Часто после экстракции восьмерки, особенно ретинированной, наблюдается отечность мягких тканей десны или щеки. Это тоже реакция на травмирование, которую можно назвать нормальным последствием стоматологической процедуры. Кроме отека, могут быть следующие симптомы:
- припухание лимфоузлов;
- дискомфорт при глотании;
- болезненные ощущения во время движений ртом, отдающие в ухо.
В норме сильный отек должен пройти за 2-3 дня полностью, а если не проходит, тогда можно говорить о более опасных последствиях. Если состояние с каждым днем ухудшается, возникают сложности при дыхании, обморок, растет температура и кожа покрывается сыпью, тогда такой отек провоцирует аллергия и он может привести к анафилактическому шоку.
Гематомы
Гематома вследствие экстракции обычно выражается минимальной синюшностью щеки, которая проходит через несколько дней. Но бывают ситуации, когда возникновение синяка сопровождается сильной болью, отечностью, увеличением температуры. В такой ситуации необходима медицинская помощь.
Образуются гематомы после повреждений сосудов у людей с повышенной ломкостью капилляров, а также при наличии у пациента гипертонии.
Альвеолит
осложнения после удаления зубов мудрости
Альвеолит зачастую провоцируется несоблюдением рекомендаций доктора после лечебных процедур. Он представляет собой местное воспаление десны с такими дополнительными симптомами:
- десна отекает, краснеет;
- наблюдается местная и головная боль;
- болит горло;
- повышается температура, появляется ломота в мышцах;
- воспаляются лимфоузлы, чаще всего подчелюстные.
Если появилось воспаление, причиной нередко оказывается выпадение кровяного сгустка с лунки и инфекция. Спровоцировать обширное воспаление могут различные инфекции, попадающие в рану при несоблюдении гигиены. В запущенных случаях вышесказанное осложнение перерастает в остеомиелит, который выражается:
- повышенной стойкой температурой;
- плохим общим самочувствием;
- сильными мигренеподобными болями;
- тошнотой;
- прочими признаки интоксикации организма.
Повышенная температура тела
Незначительное увеличение температуры тела до 37,5-38 °С тоже часто происходит в послеоперационном периоде. Данное осложнение возникает вследствие реакции на воспаление. Температура должна полностью нормализоваться за первые сутки, а если она продолжает держаться и расти, значит, возникли более серьезные патологии и нужно снова идти в больницу.
Кровотечение
Стоматолог никогда не отпустит пациента с сильным кровотечением, особенно в том случае, если оно осложнено. После удаления восьмерки кровотечение останавливают еще в больнице, а затем отпускают домой с марлевым тампоном на лунке. Если свертываемость крови нормальная, тогда кровотечение прекратится за 10-15 минут, после чего тампон необходимо убрать.
Сильное продолжительное кровотечение провоцируют:
- разрыв крупных сосудов;
- хрупкость капилляров;
- гипертония.
Повреждение корней соседних зубов
Подобное осложнение наблюдается крайне редко и только в том случае, если пациент перед процедурой не прошел рентгенодиагностику. Данная процедура назначается обязательно всем людям с показаниями к удалению восьмерок и позволяет полноценно оценить состояние, расположение, а также другие особенности зуба и его корней.
Флюс в послеоперационном периоде развивается в тех случаях, когда десна подвергается инфицированию по вине стоматолога или пациента, после чего инфекция быстро добирается до надкостницы и провоцирует ее воспаление. Данное осложнение не считается нормальным и допустимым, его обязательно нужно лечить. Основные признаки флюса:
- покраснение, нагноение и опухоль десны;
- сильная стреляющая боль;
- повышение температуры;
- слабость.
Прочие
Среди прочих общих осложнений чаще всего наблюдаются:
- смещение седьмого зуба (2 моляра);
- разрыв рта; порез десен или щек;
- травмы челюсти.
Кроме того, сложное вырывание 8 зуба может вызвать образование кисты. Это небольшое новообразование, размещенное у корня зуба и наполненное жидкостью. Киста зачастую служит изолятором для инфицированных клеток от здоровых. Чтобы предотвратить ее появление, стоматолог назначает антибиотики, а лечением в данном случае (если киста расположена у корней зуба) будет резекция.
На нижней челюсти
Стандартные и нестандартные осложнения после вырывания восьмерок на челюсти внизу возникают чаще, чем на верхней. Нижняя челюсть имеет ряд особенностей, а в районе расположения зубов мудрости существует много препятствий.
Повреждение нерва
Риску травмирования подвержены нижнечелюстной и язычный нервы, так как именно они проходят близко к зубу мудрости. Такое повреждение вызывает парестезию, которая проявляется нарушением чувствительности:
- сенсорной;
- болевой;
- вкусовой;
- температурной.
В самых тяжелых случаях повреждение нерва негативно влияет на зрение, слух, а также провоцирует паралич. Пациенты сравнивают парестезию с онемением челюсти в области удаленного моляра. В большинстве случаев данное осложнение исчезает самостоятельно за несколько дней, но иногда требуется дополнительное медикаментозное лечение.
Перелом альвеолярного отростка
Перелом альвеолярного отростка нижней челюсти возникает в том случае, когда стоматолог неправильно захватывает челюсть и прикладывает больше усилий, чем нужно. Это маловероятное осложнение, так как нижняя челюсть достаточно прочная. Лечение проводится под проводниковым обезболиванием и представляет собой репозицию и фиксацию обломка в правильном положении.
Повреждение челюсти

снимок челюсти
Травмы челюсти (вывихи и даже переломы) возникают тоже зачастую по вине врача, если выдергивание зуба производится слишком интенсивно или резко. В ходе оперативного воздействия приходится удалять значительное количество кости нижней челюсти для обеспечения доступа к проблемному моляру. Из-за этого ослабляются сечения челюсти, что повышает риск ее перелома при прикладывании чрезмерных усилий.
Трещина или перелом не всегда проявляются сразу. Бывает так, что пациент замечает первые симптомы в виде боли, отечности, нарушения подвижности уже дома. Иногда проходит неделя, прежде чем они появляются. Статистика показывает, что травмы челюсти в ходе медицинских манипуляций составляют не более 0,2 % всех ее переломов.
Травмы мягких тканей
Осуществляя вырывание коренного зуба, доктор может травмировать мягкие ткани, окружающие моляр. Речь идет не только о десне, но также о щеке, языке, губах.
Травмы наносятся стоматологическими инструментами (скальпелем, бормашиной, щипцами). Также часто травмируется губа нитью, которой выполняют ушивание десны. Происходит это вследствие невнимательности доктора или неусидчивости пациента.
Чтобы избежать осложнений, нужно сидеть спокойно в стоматологическом кресле и не отвлекать врача.
На верхней
Наиболее распространенным осложнением экстракции восьмерок на верхней челюсти является прокол основания верхнечелюстного синуса (гайморовой пазухи).
Прокол дна пазухи верхней челюсти
Зубные корни моляров под номером три на верхней челюсти расположены слишком близко к основанию пазухи, а иногда даже врастают в нее. Хроническое воспаление периапикальной ткани провоцирует резорбцию пазушной перегородки, из-за чего корни моляров срастаются со слизистой оболочкой внутри пазухи. Именно она чаще всего разрывается во время экстракции правого или левого зуба. Заметить данное осложнение можно по таким симптомам:
- гнусавость, кровотечение воздушные пузыри;
- кровь из носа со стороны восьмерки.
В такой ситуации необходимо оказание срочной медицинской помощи.
Заключение
От осложнений после экстракции верхних и нижних зубов мудрости не застрахован никто. Значительно сократить вероятность их появления и облегчить состояние в послеоперационном периоде можно.
Надо тщательно выбирать стоматолога перед процедурой и соблюдать все рекомендации, которые он должен дать после операции.
Перелом нижней челюсти - симптомы и лечение
Что такое перелом нижней челюсти? Причины возникновения, диагностику и методы лечения разберем в статье доктора Козлова Петра Юрьевича, стоматолога со стажем в 7 лет.
Над статьей доктора Козлова Петра Юрьевича работали литературный редактор Маргарита Тихонова , научный редактор Сергей Федосов
Определение болезни. Причины заболевания
Перелом нижней челюсти — это нарушение целостности кости в одном или нескольких отделах.

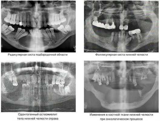
Наиболее частой причиной возникновения перелома нижней челюсти является травматический фактор. В ряде случаев речь может идти о патологическом переломе из-за деструктивных процессов в костной ткани. [1] К таким патологическим процессам относятся:
- кисты челюстей;
- остеомиелит (гнойное воспаление костных тканей);
- онкологический процесс.
Кисты челюстей в основной массе протекают бессимптомно, медленно, но верно разрешая костную ткань. Часто патологический перелом вызвают радикулярные (корневые) и фолликулярные кисты. [2] Первые связаны с изменениями в периапикальных тканях одного или нескольких зубов, вторые являются результатом нарушения прорезывания зубов, чаще нижних зубов мудрости.
При онкологическом процессе нижняя челюсть может быть как первичным очагом, так и местом метастазирования посредством либо прорастания из близлежащих областей, либо распространением с током крови или лимфы. [3] Патологический процесс распространяется до тех пор, пока не разрушит костную ткань нижней челюсти до той стадии, в которой обычное пережевывание пищи может перевести к перелому.

По собственным наблюдениям, считаю, что переломы нижней челюсти можно отнести к сезонным заболеваниям: пик частоты наступает с приходом весны, спад — ближе к зиме. Сезонность объясняется получением травмы в ходе драк, чаще уличных.
Вывих зуба - симптомы и лечение
Что такое вывих зуба? Причины возникновения, диагностику и методы лечения разберем в статье доктора Гаспаряна Карена Камоевича, стоматолога-хирурга со стажем в 17 лет.
Над статьей доктора Гаспаряна Карена Камоевича работали литературный редактор Юлия Липовская , научный редактор Сергей Федосов и шеф-редактор Лада Родчанина
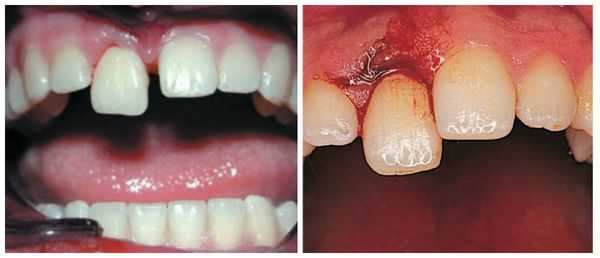
Вывих зуба — это патологическое перемещение зуба по отношению к альвеоле (костной лунке, в которой фиксируется зуб), вызванное насильственным механическим воздействием и сопровождающееся повреждением периодонта (связки, которая окружает зуб) и сосудисто-нервного пучка зуба (пульпы) [1] .

Травмы челюстно-лицевой области встречаются довольно часто как у детей, так и у взрослых. По статистике больше всего повреждениям подвержены верхние передние зубы — клыки и резцы [12] . Вывих зуба является одной из самых распространённых травм в этой области.
Вывих зуба может быть вызван следующими причинами [1] [10] :
- повреждением челюстно-лицевого аппарата в результате механической травмы, нанесённой при ударе, падении с высоты и т. д. (чаще возникает у детей, подростков и спортсменов);
- множественными травмами головы (например в дорожно-транспортных происшествиях);
- травмами, полученными в результате откусывания слишком жёсткой, твёрдой пищи;
- травмами, полученными в результате попадания в пищу инородных твёрдых частиц (косточек из плодов и ягод, костных обломков и др.);
- некоторыми вредными привычками, легкомысленным отношением к состоянию здоровья своих зубов (например открывание зубами бутылок, раскалывание скорлупы орехов и прочее);
- некорректным удалением зубов, в результате чего происходит вывих находящегося рядом зуба (как правило, постоянного).
При обнаружении схожих симптомов проконсультируйтесь у врача. Не занимайтесь самолечением - это опасно для вашего здоровья!
Симптомы вывиха зуба
Симптомы зависят от вида вывиха зуба [1] [11] :
- Неполный вывих : боль усиливается при контакте с зубом, например во время приёма пищи; на слизистой оболочке полости рта имеются маленькие ранки, ссадины и гематомы; мягкие ткани отёчны; наблюдается смещение зуба в сторону и его значительная подвижность; вынужденное положение челюсти в связи с наличием болевых ощущений.

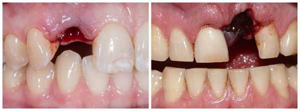
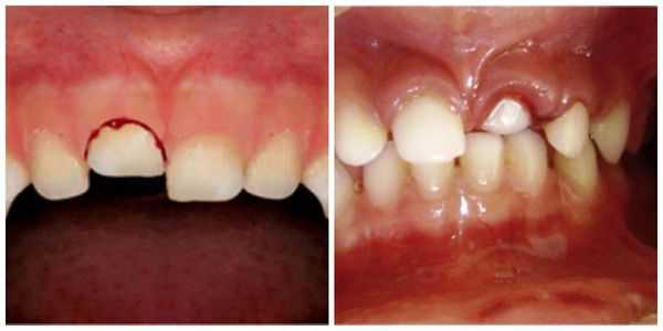
- Полный вывих: сопровождается сильной болью; зуб в лунке отсутствует; пустая лунка кровоточит; десна изменена в цвете; имеется припухлость; может возникнуть гематома; происходит локальное повышение температуры; некоторое время могут наблюдаться дефекты речи.

- Вколоченный вывих : пациент чувствует постоянную боль, усиливающуюся при давлении, жевании, смыкании челюстей; при пальпации десны появляется её гиперемия (покраснение) и отёчность; возникает незначительное кровотечение из места травмы. Что интересно, при перкуссии (постукивании) травмированного зуба человек не ощущает болевых ощущений и дискомфорта. При визуальном осмотре заметно укорочение зуба или же он полностью "спрятан" в лунке, при этом неподвижен.

Для всех видов вывиха характерна следующая симптоматика: боль в области причинного зуба, кровоточивость, отёчность десны.
Патогенез вывиха зуба
Для каждого вида вывиха зубов характерен индивидуальный патогенез [1] .
Неполный вывих характеризуется сохранением зуба в его лунке и сопровождается разрывом части волокнистых структур, окружающих и удерживающих зуб, либо растяжением волокон в той или иной степени. Для данной патологии характерно изменение положения коронки зуба и корня в зубном ряду по отношению к стенкам альвеолы. Зуб имеет неправильное положение вследствие смещения в вестибулярную ( в сторону губы) или оральную сторону, в сторону соседнего зуба или поворота вокруг оси. Это приводит к нарушению формы зубного ряда. Неполный вывих может сочетаться с переломом коронки, корня зуба или альвеолярного отростка.
Полный вывих характеризуется полным разрывом волокнистых структур периодонта (в том числе круговой связки зуба). При этом травмированный зуб в лунке отсутствует, а сосудисто-нервный пучок зуба всегда разрывается. Вывих может сопровождаться переломом края альвеолы. Иногда зуб может присутствовать в альвеоле за счёт единичных сохранившихся волокон круговой связки. По статистике полному вывиху чаще подвергаются фронтальные зубы верхней челюсти, реже — нижней. Меньше других подвержены полному вывиху клыки.
Вколоченный вывих — это травма считается наиболее неблагоприятной. Тело зуба под воздействием большой давящей силы погружается в ткани челюсти (он входит глубоко в лунку) и корень внедряется вглубь альвеолярного отростка и тела челюсти. Для вколоченного вывиха также характерен полный разрыв волокон периодонта. Крайне редко некоторая их часть сохраняет свою непрерывность, но существенно растягивается и надрывается. Сосудисто-нервный пучок, как правило, разрывается. Из-за внедрения более широкой части зуба в более узкую происходит деформация стенок альвеолы: они раздвигаются и ломаются. Данный вид вывиха иногда сопровождается поворотом зуба вокруг оси, смещением в вестибулярном или оральном направлении. Особенно это касается верхних зубов, когда вследствие вывиха может произойти повреждение носовых (гайморовых) пазух.
Классификация и стадии развития вывиха зуба
Согласно Международной классификации болезней 10 пересмотра (МКБ-10) код вывиха зуба — S03.2. Различают три вида [1] [3] :
- неполный вывих (при этом зуб частично остается в костной лунке);
- полный вывих (зуб полностью отсутствует в лунке);
- вколоченный вывих (зуб вколачивается в костную лунку).
- изолированный вывих (имеется только вывих зуба);
- вывих, сопровождающийся переломом коронки или корня зуба (при этом наблюдается подвижность зуба или отсутствие его части);
- вывих, сочетающийся с переломом альвеолярного отростка или челюсти (сопровождается отёчностью мягких тканей в области травмы).
Вывих зуба относится к травмам зубов (кроме вывиха сюда относятся ушиб зуба и перелом). При ушибе травмированный зуб остается на месте, при переломе — отсутствует часть зуба.
Осложнения вывиха зуба
Вывих зуба — это достаточно серьёзная проблема. Если вовремя не обратиться к врачу, то можно получить ряд осложнений [9] :
- Остановка роста зубного корня (наблюдается при вывихе зуба у детей) — приводит к развитию неполноценного зуба, может развиться гипоплазия (недоразвитие) эмали зуба.
- Укрепление зуба в неправильном положении (вестибулярная или оральная позиция зуба, разворот зуба) — приводит к аномалиям прикуса.
- Искривление зубного корня, изменение его длины.
- Выпадение зуба из лунки.
- Резорбция корня — патологическое рассасывание корней из-за наличия очага хронического воспаления (определяется только рентгенологически).

- Перелом коронки и корня зуба — наблюдается повышенная подвижность зуба или отсутствие его части.
- Травматический пульпит (воспаление пульпы зуба) — характеризуется самопроизвольными болями или реакцией на термические раздражители.
- Некроз (омертвение тканей) пульпы — может возникнуть при полном и вколоченном вывихах. (воспаление околокорневых тканей) — сопровождается резкой болью при касании зуба.

- Перелом стенок альвеолы.
- Периостит (воспаление ткани, покрывающей кость) — характеризуется появлением гнойного очага в области причинного зуба.
- Абсцесс (гнойное воспаление мягких тканей) — возникает отёк, припухлость, болезненные ощущениям и др.
Диагностика вывиха зуба
Диагностика данного вида травмы несложна. Вывих зуба редко остаётся незамеченным со стороны пациента из-за ярко-выраженног о болевого синдрома и невозможности приёма пищи, поэтому пациент самостоятельно обращается за помощью к стоматологу.
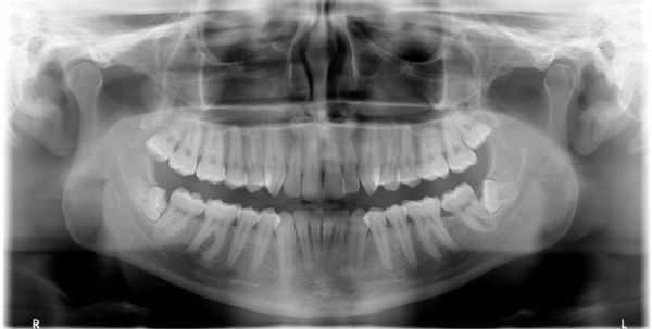
При первичном визуальном осмотре специалист определяет характер травмы без труда, так как признаки вывиха проявляются достаточно ярко. Но для более детального изучения характера и формы патологии (для оценки состояния челюсти, соседних зубов и иннервации в области повреждённого зуба) стоматолог назначает рентгенологическое исследование: ортопантомографию (ОПТГ) или компьютерную томографию челюсти . Это поможет дифференцировать вывих от иных форм травмы зуба (ушиба и перелома), кроме этого оценить структуру костной ткани, окружающей зуб на предмет трещин и перелома.

Также пациенту может быть назначена электро одонто диагностика (ЭОД) , по результатам которой врач сможет понять, в каком состоянии находится пульпа: если пульпа не реагирует на ток, она является нежизнеспособной. Полученные диагностические данные определят дальнейшую тактику лечение [2] [8] .
Лечение вывиха зуба
До обращения к врачу пациенту необходимо оказать первую доврачебную помощь, которая заключается в следующем [4] :
- Необходимо осмотреть полость рта на наличие кровотечения, костных отломков или выпавшего зуба.
- В случае обнаружения кровотечения необходимо принять меры для его остановки.
- Если вывих полный, то необходимо наложить стерильный тампон, чтобы остановить кровотечение. Его изготавливают из марлевой повязки, которую сворачивают несколько раз, затем накладывают на кровоточащую лунку (на 15-30 минут) и закрывают челюсть, тем самым обеспечивая кровоостанавливающий эффект.
- Далее нужно приложить холод к щеке или губам в проекции травмы зуба. Это поможет предотвратить возникновение отёка, уменьшить кровотечение и снизить болезненные ощущения.
- Если травма вколоченная, то необходимо избежать давления на зуб или лунку, так как это может значительно усилить боль.
- Если зуб выпал, то его необходимо сохранить. Для этого нужно взять чистую ткань или марлю, смоченную водой, и обернуть ею зуб. Обработку поверхности зуба проводить не следует, стоматолог все сделает сам.
- Далее обеспечить срочную доставку пациента к стоматологу.
После осмотра врач-стоматолог выбирает стратегию лечения данной травмы в зависимости от типа повреждения , а также от степени поражения зуба и окружающих его тканей. Ставится главный вопрос: "Можно ли сохранить зуб?" На него может ответить только стоматолог после комплексной диагностики .
Главным критерием считается состояние костной ткани около корня травмированного зуба. Если отмечается сохранность не менее половины длины зубного корня — зуб рекомендуется сохранить.
Лечение неполного вывиха
Если у пациента наблюдается неполный вывих, то лечение начинают с проводникового обезболивания, после чего врач аккуратно репонирует (устанавливает в лунку) зуб. Репозиция проведена правильно, если при смыкании челюстей отсутствует соприкосновение травмированного зуба с антагонистом.
Поставить зуб на место сложнее, если с момента вывиха прошло более двух суток, так как в месте травмы уже образовался организующийся кровяной сгусток. В этом случае следует произвести раскачивание зуба с последующей репозицией по вышеприведённой методике.
Но если больной обратился за помощью через несколько недель и зуб уже самостоятельно укрепился в неправильном положении, поставить его в зубную дугу можно только с помощью ортодонтических аппаратов.
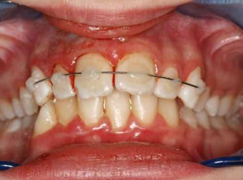
После проведённых лечебных мероприятий вывихнутый зуб иммобилизируют (обездвиживают). Для этого врач использует индивидуальную шину-каппу, изготовленную непосредственно на пациенте. В шину обязательно включают не менее двух здоровых зубов по обе стороны от неполного вывиха. Шину накладывают минимум на 5-6 недель.

Перед шинированием и в динамике лечения проверяют электровозбудимость (реакцию на электрический ток) сосудисто-нервного пучка. Понижение или отсутствие электровозбудимости не только в первые 1-2 недели после травмы не обязательно говорит о необратимых изменениях. Реакция пульпы может приходить в норму в течение нескольких месяцев. Но если обнаруживаются клинические признаки гибели пульпы, её необходимо удалить, а канал пролечить, иначе оставшаяся в канале мёртвая пульпа приводит к развитию острого периодонтита или периостита.
После неполного вывиха не исключена внешняя резорбция (рассасывание) корня, которая не прогрессирует. При этом выраженность процесса резорбции определяется степенью смещения корня зуба при вывихе: чем больше смещение, тем большая поверхность корня может подвергнуться разрушению.
Лечение неполного вывиха молочного зуба заключается в противовоспалительной терапии, антисептической обработке раны и рентгенологическом контроле через 1, 3 и 6 месяцев.
Лечение полного вывиха
В случае полного вывиха зуба, если с момента травмы прошло не более двух суток, проводится его реплантация (установка зуба обратно в лунку) [8] .
Но есть случаи, в которых она не показана:
- нарушение целостности стенок лунки и развивающийся воспалительный процесс;
- выраженное разрушение непосредственно травмированного зуба.
Чем раньше проводится реплантация, тем выше вероятность положительного результата. Резорбция корня в данной ситуации менее выражена и протекает медленнее.
Реплантацию проводят по общепринятой методике:
- Травмированный зуб промывают и помещают в изотонический раствор натрия хлорида с антибиотиками до самой операции.
- Если после вывиха прошло не более 10 часов, можно реплантировать зуб, не проводя эндодонтическое лечение (лечение корневых каналов). В таком случае эндодонтическое лечение зуба проводят через 2-3 недели после реплантации, когда становится очевидным приживление зуба.
- Если с момента вывиха прошло более 10 часов, пульпу полностью удаляют, а канал после механической и медикаментозной обработки пломбируют. Зуб после реплантации выводят из прикуса и укрепляют путём шинирования с помощью пластмассовой шины-каппы. Снимают её только через 3-4 недели.
- После реплантации необходимо в течение от одного до двенадцати месяцев проводить рентгенологический контроль. Это позволяет судить о состоянии корня зуба, периодонта и кости.

Необходимо отметить, что самые благоприятные результаты получены при проведении реплантации через 20-30 минут после вывиха.
Лечение полного вывиха молочного зуба заключается в противовоспалительной терапии, антисептической обработке лунки. Реплантация временного зуба не проводится.
Лечение вколоченного вывиха представляет определённые трудности.
Можно придерживаться выжидательной тактики, направленной на самостоятельное выдвижение травмированного зуба. Чаще всего данная методика применяется при вколоченных вывихах временных резцов: в данном случае выдвижению зуба способствует дальнейшее формирование корня зуба, если зона роста зуба сохранилась.
Первые признаки самопроизвольного выдвижения зуба возможно увидеть через неделю-полторы после вывиха, но иногда сроки увеличиваются до четырёх-шести недель.
При появлении признаков острого воспалительного процесса необходимо эндодонтически пролечить зуб. Резорбция корня в случае вколоченного вывиха также возможна, но она менее объёмна, чем при реплантации.
Вероятность самопроизвольного выдвижения зуба снижается при сильном вколачивании, большом воспалительном процессе, наличии инфекции на верхушке зуба.
Репозицию вколоченной травмы с фиксацией на 4-6 недель нужно проводить не позже трёх суток после вывиха. Эта манипуляция сопровождается потерей краевого участка альвеолы и последующей резорбцией корня зуба. Полноценное лечение корневых каналов зуба производится после укрепления зуба в лунке [6] .
Также можно использовать ортодонтические конструкции для выдвижения зуба. Это целесообразно при неглубоком вколачивании зуба в лунку, когда часть коронки зуба дает техническую возможность зафиксировать на ней ортодонтическую конструкцию. Для предупреждения развития анкилоза (неподвижности) ортодонтическое выдвижение зуба необходимо начинать сразу после травмы. Такая тактика снижает степень резорбции корня.
Необходимо отметить, что аппаратное ортодонтическое лечение у детей начинают не ранее, чем через 3-4 недели после травмы.
При лечении вколоченного вывиха иногда допустимо удалить зуб с последующей его реплантацией. Стоит помнить одно правило: чем раньше проведена реплантация зуба при вывихе, тем позже наступают осложнения в виде резорбции корня.
Показанием к удалению вколоченного зуба без его реплантации являются резвившийся анкилоз и значительная травма альвеолы (перелом стенок) [5] [7] .
Прогноз. Профилактика
В случае соблюдения всех индивидуальных рекомендаций врача прогноз должен быть благоприятным. Но также нельзя исключать и возможность возникновения патологической резорбции корня зуба, что может привести к его дальнейшему удалению. Это может произойти при чрезмерной жевательной нагрузке на репонированный (вправленный) зуб, повторной травме зуба, использовании репонированного зуба в качестве опоры (при шинировании, установке брекетов), неправильном репонировании в полости рта.
Профилактика данного заболевания должна заключаться в устранении вредных привычек, избегании травмирующих ситуаций, соблюдении правил безопасности и более бережном отношении к собственной полости рта [1] .
Читайте также:
