Этапы и техника операции при дивертикуле Ценкера
Добавил пользователь Евгений Кузнецов Обновлено: 21.01.2026
Оценить возможность и эффективность трансаксиллярного безгазового доступа для эндовидеохирургического удаления дивертикула Ценкера.
МАТЕРИАЛ И МЕТОДЫ
Представлено клиническое наблюдение пациента в возрасте 64 лет с дивертикулом Ценкера больших размеров (6 см) с выраженной характерной клинической симптоматикой. Выполнена трансаксиллярная безгазовая эндовидеохирургическая дивертикулэктомия с помощью эндоскопического линейного сшивающего аппарата.
РЕЗУЛЬТАТЫ
Продолжительность операции 137 мин. В послеоперационном периоде осложнений, в том числе клинических признаков повреждения возвратного гортанного нерва, не отмечено. Контрольное рентгеноконтрастное исследование выполнено на 2-е сутки — признаков несостоятельности швов не установлено. Больному разрешили пить, а с 3-х суток употреблять жидкую пищу. Выписан из стационара на 7-й день.
ЗАКЛЮЧЕНИЕ
Мини-инвазивные эндовидеохирургические технологии у больных с дивертикулами Ценкера позволяют эффективно и радикально производить дивертикулэктомию через подмышечный доступ. Преимуществом нового метода является хорошая и детальная экспозиция операционного поля, в том числе возвратного гортанного нерва, прецизионные манипуляции, незначительная травматичность, а также лучший косметический эффект, чем при открытом доступе. Метод может стать альтернативой традиционной и эндоскопической дивертикулэктомии у определенной группы больных, однако требуются накопление опыта и дальнейшие проспективные исследования.
ФГБНУ «Российский научный центр хирургии им. акад. Б.В. Петровского» Минобрнауки России
ФГБНУ «Российский научный центр хирургии им. акад. Б.В. Петровского»
Дата принятия в печать:
Глоточно-пищеводный дивертикул (дивертикул Ценкера) является достаточно редким заболеванием. Частота в популяции не превышает 0,01—0,11%. В Великобритании ежегодная заболеваемость составляет 2 случая на 100 тыс. населения [1—3]. Преимущественно болеют мужчины старше 60 лет, имеющие сопутствующие заболевания. Дивертикул Ценкера представляет собой приобретенный пролапс слизистого и подслизистого слоя через пространство между нижним констриктором глотки и поперечными волокнами крикофарингеальной мышцы (треугольник Киллиана), расположенное дорсально в глоточно-пищеводном соединении. Механизм его развития до сих пор неизвестен, но причиной считают дискоординацию между сокращением мышц глотки и релаксацией верхнего пищеводного сфинктера, что приводит к повышению внутрипросветного давления в зоне глоточно-пищеводного перехода и постепенному формированию пульсионного дивертикула [1, 3—6].
Глоточно-пищеводный дивертикул впервые описан Abraham Ludlow в 1769 г. Позже заболевание назвали в честь немецкого патолога Friedrich Albert von Zenker, который в 1878 г. подробно описал 27 наблюдений, в том числе 5 собственных, в которых сопоставил клинические симптомы с патолого-анатомическими находками [3, 5, 6].
Первую дивертикулэктомию выполнил Niehans в 1884 г. у пациента с зобом и дивертикулом пищевода, однако больной умер после операции от кровотечения из нижней щитовидной артерии [6]. Лишь через 2 года (1886) Wheeler выполнил первую успешную операцию по удалению дивертикула Ценкера. Позже было предложено много различных вариантов оперативного лечения. Girard в 1896 г. предложил инвагинировать дивертикул кисетным швом, Bevan (1917) выполнял пликацию мешка поперечными и продольными швами. В 1910 г. Liebl предложил способ дивертикулопексии для предотвращения застоя пищевых масс в дивертикуле. С 1910 г. многие хирурги (Mayo, Goldmann, Murphy, Judd, Lahey, Warren) применяли метод двухэтапной операции с отсроченным на 7—14 дней отсечением дивертикула [6].
По-прежнему многие специалисты считают традиционное вмешательство стандартным и наиболее эффективным методом лечения этого заболевания. Операция подразумевает открытый доступ на шее (как правило, по внутреннему краю грудиноключично-сосцевидной мышцы), мобилизацию и удаление дивертикула, однако многие хирурги также применяют крикофарингеальную миотомию. Недостатком традиционной операции считают риск тяжелых осложнений, таких как медиастинит, повреждение возвратного гортанного нерва, формирование свища и стриктуры пищевода, развивающиеся, по данным литературы, в 4—30% наблюдений. Летальность при этом составляет 1—2% [3, 7, 8].
Развитие эндоскопических технологий позволило применять ригидные и гибкие эндоскопы для лечения этой категории пациентов. Преимуществами вмешательства, выполняемого через рот, являются уменьшение операционной травмы, отсутствие разреза на шее и лучший косметический эффект, меньший срок пребывания в стационаре и раннее возобновление питания. В то же время общая частота осложнений после различных эндоскопических вмешательств достигает 27%, в частности: повреждения зубов — в 12%, кровотечение — в 10%, перфорации — в 27% [3, 5, 9, 10]. Поскольку при эндоскопическом вмешательстве дивертикул не иссекают (выполняют крикофарингеальную миотомию и дивертикулотомию), то совершенно обосновано, что, по данным литературы, рецидив симптомов заболевания достигает 32% [3, 10—13].
В настоящее время остается много разногласий в выборе оптимального метода хирургического лечения, нет единых алгоритмов клинического отбора больных на разные операции, которые учитывали бы размеры дивертикула, анатомические и антропометрические показатели, соматический статус пациента и т.д. Число опубликованных работ крайне мало, а результаты противоречивы.
При анализе мирового и собственного опыта трансаксиллярных мини-инвазивных операций на щитовидной железе появилась гипотеза о возможности применения этого доступа и для удаления дивертикула Ценкера. Изучив мировую литературу, удалось найти коллектив авторов, впервые выполнивших трансаксиллярную безгазовую робот-ассистированную дивертикулэктомию у 4 пациентов с хорошим непосредственным результатом [2].
Приводим первое собственное клиническое наблюдение.
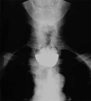
В отделение хирургии (пищевода и желудка) №1 отдела абдоминальной хирургии и онкологии госпитализирован пациент Г., 64 года, с жалобой на затруднение при глотании твердой пищи, срыгивание съеденной пищи в положении лежа, ощущение инородного тела и вздутия на шее после еды, кашель с мокротой, необходимость запивать пищу водой, неприятный запах изо рта. Анамнез заболевания: 7 лет назад стало беспокоить затруднение проглатывания твердой пищи, которое со временем прогрессировало, присоединилось срыгивание съеденной пищи в положении лежа. Явное прогрессирование и ухудшение самочувствия отмечено в течение последних 6 мес. Консультирован в районной поликлинике, назначена ЭГДС. Однако при попытке эзофагоскопии эндоскоп оказывался в слепом кармане, из которого пройти в пищевод технически не удавалось. Выполнена рентгенография пищевода (рис. 1), диагностирован глоточно-пищеводный дивертикул длиной 6 см. МСКТ грудной клетки: диффузный бронхит с признаками бронхиолита слева; по задней стенке пищевода глоточно-пищеводный дивертикул размером 44×29×59 мм с содержимым. В профильных отделениях проведены дополнительное обследование и подготовка к операции по поводу сопутствующих заболеваний: диагностирован хронический аспирационный синдром, хроническая обструктивная болезнь легких, смешанная форма, легкое течение, вне обострения, дыхательная недостаточность, степень 0, хронический мезотимпанит слева вне обострения, смешанная тугоухость III—IV степени слева.

Рис. 1. Рентгенограмма пищевода. Глоточно-пищеводный дивертикул.
10.04.20 произведена операция. Положение пациента на спине с отведенной вверх и несколько вправо левой рукой. Под общим обезболиванием после предварительной разметки (рис. 2) выполнен доступ в левой подмышечной области длиной 5 см параллельно латеральному краю большой грудной мышцы. Отсепарован кожный лоскут вдоль грудной мышцы по направлению к нижней части шеи. После идентификации грудиноключично-сосцевидной мышцы доступ смещен по ее латеральному краю. Мышца отведена кверху при помощи средостенного ретрактора. Для контроля дальнейших манипуляций применяли эндоскопическую оптику (10 мм, 30°). Мобилизацию осуществляли при помощи ультразвуковых ножниц (Harmonic Ace + Shears, «Ethicon»). Идентифицированы лопаточно-подъязычная мышца, общая сонная артерия и яремная вена, которые отведены в сторону. Тупым и острым путем выделена левая доля щитовидной железы и отведена вверх. При этом отчетливо идентифицирован левый возвратный гортанный нерв. Дополнительно выделена и пересечена верхняя щитовидная артерия. Выявлен глоточно-пищеводный дивертикул, выделен из окружающих тканей на задней части глотки до шейки (рис. 3). Через подмышечный доступ ввели эндоскопический линейный сшивающий аппарат Echelon Flex 45 («Ethicon») с синей кассетой (рис. 4). Выполнено интраоперационное эндоскопическое исследование, осмотрено устье дивертикула и подтверждена правильность позиционирования аппарата для предотвращения сужения глотки и пищевода. Дивертикул прошит и отсечен. Дефект мышечной стенки ушит отдельными узловыми швами (Vicryl 3/0, «Ethicon») с помощью эндоскопических иглодержателей.

Рис. 2. Этап разметки и планирования операционного доступа (интраоперационная фотография).
1 — медиальный край левой грудиноключично-сосцевидной мышцы; 2 — левая ключица; 3 — линия разреза вдоль края левой большой грудной мышцы.

Рис. 3. Идентификация структур в зоне интереса (интраоперационная фотография).
Д — дивертикул; П — пищевод.

Рис. 4. Позиционирование эндоскопического сшивающего аппарата перед прошиванием и отсечением дивертикула (интраоперационная фотография).
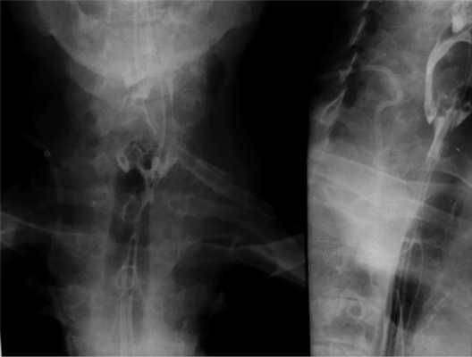
Таким образом, осуществлена трансаксиллярная эндовидеохирургическая безгазовая дивертикулэктомия. Дренирование и послойное ушивание раны. Продолжительность операции составила 137 мин: доступ — 35 мин, мобилизация дивертикула — 38 мин, интраоперационная эндоскопическая навигация и отсечение дивертикула — 25 мин, ушивание стенки пищевода и раны — 39 мин. Антибактериальный препарат ввели однократно в день операции. На 2-е сутки выполнили рентгенографию с водорастворимым контрастным препаратом. Признаков несостоятельности швов или сужения глоточно-пищеводного отдела нет (рис. 5). Дренаж удален (рис. 6). Пациенту разрешили пить, а с 3-х суток — принимать жидкую пищу. Клинических признаков повреждения возвратного гортанного нерва не отмечено. В удовлетворительном состоянии пациент выписан на 7-е сутки после операции. Осмотрен через 1 мес после вмешательства. Чувствует себя хорошо, жалоб не предъявлял, питался в полном объеме.

Рис. 5. Рентгенограммы пищевода (контрольное исследование). Отсутствие признаков деформации и сужения пищевода после операции.
а — прямая проекция; б — боковая проекция.

Рис. 6. Зона оперативного вмешательства и формирующийся послеоперационный рубец (послеоперационная фотография).
Многие эксперты по-прежнему рассматривают традиционную операцию в качестве стандарта лечения пациентов с симптоматическим дивертикулом Ценкера [3, 12, 14]. В то же время, несмотря на эффективность, подобные операции могут быть сопряжены с такими послеоперационными осложнениями, как перфорация пищевода, несостоятельность швов, свищ, медиастинит, повреждение возвратного гортанного нерва, стриктура пищевода, гематома, нагноение послеоперационной раны, а также с летальным исходом [2, 3, 9]. В настоящее время предложенные способы эндоскопического трансорального лечения пациентов этой категории ряд специалистов считают возможной альтернативой открытой хирургии с сопоставимой эффективностью и частотой устранения симптомов, но с более низкой частотой послеоперационных осложнений. Тем не менее эндоскопические вмешательства также могут сопровождаться осложнениями и имеют ряд ограничений, что вряд ли позволит полностью отказаться от традиционных операций [3, 10, 15].
В этом исследовании мы впервые продемонстрировали возможность мини-инвазивного радикального иссечения дивертикула Ценкера через левую подмышечную область без применения дорогостоящих ретракторов и инструментов, в том числе роботизированного хирургического комплекса daVinci. Возможными преимуществами метода являются детальная экспозиция и детализация операционного поля, в том числе возвратного гортанного нерва, отсутствие необходимости пересечения мышц шеи (m. omohyoideus), прецизионные манипуляции эндоскопическими инструментами, меньшая хирургическая травматичность и лучший косметический эффект. Эти преимущества могут способствовать уменьшению частоты послеоперационных осложнений, позволяя при этом сохранить эффективность и радикальность традиционного хирургического вмешательства.
Таким образом, трансаксиллярная эндовидеохирургическая дивертикулэктомия является технически сложной процедурой, требующей определенных навыков, опыта хирургического лечения пациентов этой категории и адекватного технического оснащения. Метод может стать альтернативой традиционной и эндоскопической дивертикулэктомии у определенной группы больных, однако для подтверждения его эффективности и безопасности требуются накопление опыта и дальнейшие проспективные исследования.
При анализе российской литературы мы не встретили описаний трансаксиллярного удаления дивертикула Ценкера. Это дает основание считать, что представленное клиническое наблюдение трансаксиллярной эндовидеохирургической дивертикулэктомии является первым в России.
Дивертикул Ценкера ( Гипофарингеальный дивертикул , Глоточно-пищеводный дивертикул )
Дивертикул Ценкера - это мешковидное выпячивание пищевода в области глоточно-пищеводного перехода. Заболевание проявляется неприятным запахом изо рта, отрыжкой, дисфагией, сухим кашлем. По мере прогрессирования патологии на шее появляется округлое мягкое образование, увеличивающееся во время приема пищи. Для установления диагноза выполняют физикальный осмотр, рентгеноконтрастное исследование пищевода, эзофагоскопию. Всем пациентам назначают дробное диетическое питание, полоскание полости рта антисептическими растворами после еды. На поздних стадиях проводят эндоскопическую или открытую дивертикулэктомию.
МКБ-10


Общие сведения
Дивертикул Ценкера (глоточно-пищеводный, гипофарингеальный дивертикул) - редкая патология пищеварительного тракта, проявляющаяся выбуханием стенки глоточного конца пищевода. Заболевание может сопровождаться нарушением функции глотания, затруднением продвижения пищи по пищеводу и эзофагитом.
Впервые болезнь была описана немецким патологом Фридрихом Ценкером в 1877 году. Распространённость составляет 1,5-5% от всех дивертикулов пищевода. Заболевание чаще поражает лиц пожилого и старческого возраста, что связано с возрастным уменьшением упругости и эластичности мышц пищевода. У мужчин патология встречается в 2-3 раза чаще, чем у женщин. Размеры дивертикула могут быть различными и варьировать от 1 до 20 и более см в диаметре.

Причины
Этиология дивертикула Ценкера до конца не изучена. Возникновение гипофарингеального дивертикула может быть связано с врожденными пороками развития пищевода (стеноз, частичное удвоение), наследственными мышечными дистрофиями. Заболевание развивается на фоне уже имеющейся патологии органа (ГЭРБ, эзофагит), кальцинации хрящей гортани, постоянного травмирования слизистой оболочки грубой пищей.
Помимо основных причин, в современной гастроэнтерологии выделяют предрасполагающие факторы, наличие которых приводит к частому или постоянному повышению внутрипищеводного давления и увеличивает риск развития дивертикула. Интраэзофагеальная гипертензия наблюдается при инородных телах, опухолях глотки и пищевода, увеличении щитовидной железы, ахалазии пищевода, спаечных процессах в зоне средостения.
Патогенез
Наиболее частой локализацией дивертикула Ценкера является задняя стенка глоточно-пищеводной области. Это связано с наличием анатомического фарингеального сужения в области перехода глотки в пищевод и слабого места пищевода - треугольника Киллиана. Треугольник локализуется между проходящими в косом направлении щитовидно-глоточной и перстневидно-глоточной мышцами. В норме во время акта глотания сокращаются мышцы глотки, расслабляется крикофарингеальная мышца, раскрывается устье пищевода, и пища под воздействием волнообразных сокращений эзофагеальных мышц попадает в желудок.
При миодистрофиях и заболеваниях пищевода возникает слабость задней стенки глоточно-пищеводной зоны, повышается внутрипищеводное давление, нарушается сократительная способность перстневидно-глоточной мышцы, что влечет за собой неполное расслабление верхнего пищеводного сфинктера. В результате, на фоне неполноценности соединительнотканного аппарата мышц глотки и преждевременного сокращения верхнего сфинктера еще больше увеличивается внутрипросветное давление, возникает выпячивание слизистой и подслизистой оболочек треугольника Киллиана и образуется дивертикул.
Классификация
Дивертикул Ценкера по механизму образования относится к пульсионным, т.е. возникает вследствие выбухания стенки органа под воздействием высокого внутрипищеводного давления. По происхождению патология бывает врожденной и приобретенной. В зависимости от величины образования и интенсивности клинических проявлений выделяют 3 стадии болезни:
- Функциональная. Дивертикул малых размеров (до 2-3 см). Клинические проявления могут отсутствовать или иметь неспецифичный характер. Заболевание часто является случайной находкой при рентгенографии желудка или пищевода по поводу другой патологии.
- Дивертикулит. Диаметр сформированного дивертикулярного мешка может достигать 10 см. Симптомы выражены, имеют постоянный характер, ухудшается общее состояние пациента, возникает асимметрия шеи с характерным выпячиванием, которое уменьшается при пальпации и увеличивается во время или после приема пищи.
- Декомпенсация. Образование достигает огромных размеров (10-30 см) и вызывает компрессию органов средостения. Симптомы заболевания ярко выраженные, состояние пациента средней тяжести либо тяжелое. Для данной стадии характерно развитие осложнений.
Симптомы дивертикула Ценкера
Клинические проявления болезни зависят от размеров выпячивания и усиливаются по мере увеличения образования. На начальных стадиях возникает першение в горле, обильное слюноотделение, неприятный запах изо рта, редкий сухой кашель или затруднение при глотании твердой пищи. На стадии дивертикулита в мешке скапливается слизь, пища, воздух, что сопровождается постоянной какосмией, отрыжкой. Во время еды пациенты могут ощущать ком в горле («признак клецки»).
В этом периоде отмечается дисфагия, одышка, регургитация пищи с явлениями ночного кашля. При осмотре определяется асимметричное образование в области шеи, размеры которого сокращаются при пальпации. При больших размерах дивертикула возникает частая регургитация застойной слизи или пищи, отмечается бурлящий шум при надавливании на глотку, боль в области шейного отдела позвоночника, тошнота, дисфагия, постоянный неприятный запах из полости рта.
Образование, увеличиваясь в размерах, сдавливает окружающие ткани и может вызвать пневмонию, медиастинит, затруднение венозного оттока от шеи и головы. Пациенты жалуются на ухудшение общего состояния, резкое снижение массы тела, охриплость голоса.
Осложнения
На 2 и 3 стадиях заболевания может возникнуть воспаление дивертикулярного мешка с образованием абсцесса. Длительный гнойный процесс может привести к перфорации дивертикула Ценкера, развитию медиастинита и кровотечения. Регургитация содержимого мешка вызывает аспирацию пищи или слизи, сопровождающуюся пневмонией. У пациентов нарушается процесс глотания вплоть до афагии. Регулярное травмирование слизистой или постоянный воспалительный процесс в области выпячивания способствуют росту атипичного эпителия и злокачественному перерождению тканей пищевода.
Диагностика
На функциональной стадии, при отсутствии специфичной картины болезни, заболевание диагностируется редко. Пациенты обращаются к специалистам при развитии выраженных симптомов. В этом случае диагностика чаще всего не вызывает трудностей. Основными методами, позволяющими установить точный диагноз, являются:
- Осмотр гастроэнтеролога. Во время сбора анамнеза особого внимания заслуживают жалобы пациента на постоянный запах из ротовой полости, регургитацию пищи, длительность симптомов. При пальпации шеи определяется образование мягкой консистенции, меняющее размеры при прикосновении.
- Контрастная рентгенография пищевода. Является основным методом диагностики болезни, проводится в положении стоя в прямой и боковой проекциях с использованием бариевой взвеси. Позволяет определить локализацию, размеры, форму дивертикула, моторные нарушения органа и состояние окружающих его анатомических структур.
- Эзофагоскопия. Эндоскопическая диагностика является дополнительным способом исследования, применяется при трудностях диагностики и подозрении на рак, свищ пищевода в связи с высоким риском прободения дивертикула. Позволяет точно определить размеры и форму образования, состояние слизистой оболочки органа.
Дифференциальная диагностика в раннем периоде болезни проводится с хроническим фарингитом, гастроэзофагеальной рефлюксной болезнью. На последующих стадиях дивертикул Ценкера дифференцируют с доброкачественными и злокачественными образованиями, рубцовыми сужениями пищевода, эзофагитом.

Лечение дивертикула Ценкера
Тактика лечения зависит от стадии заболевания и наличия осложнений. На начальных этапах болезни проводят консервативное лечение. Пациентам назначают щадящую диету, дробное питание 5-6 раз в день. Пищу рекомендовано принимать в вертикальном положении и тщательно пережевывать. Перед едой целесообразно выпить 1-2 чайные ложки оливкового или подсолнечного масла, после еды - прополоскать рот теплой водой или слабым раствором антисептика.
На 2, 3 стадиях болезни и при наличии осложнений показано хирургическое лечение. За два дня до операции назначают специальную диету и тщательно промывают дивертикул с помощью зонда или катетера. На сегодняшний момент для лечения болезни предложено несколько видов хирургических вмешательств:
- Открытые операции. При небольших размерах образования выполняют инвагинацию дивертикула в просвет пищевода и ушивание эзофагеальной стенки. В некоторых случаях для лучшего оттока содержимого дивертикулярный мешок фиксируют к надкостнице подъязычной кости (дивертикулопексия). Радикальным методом лечения является одномоментная дивертикулэктомия, заключающаяся в наложении П-образных швов на шейку дивертикула и отсечении мешка.
- Эндоскопическая методика. Через эзофагоскоп под контролем зрения рассекают «мостик» между пищеводом и дивертикулом и клипируют образовавшийся дефект. Преимущество данной операции в более коротком периоде реабилитации и отсутствии рубца на коже.
Прогноз и профилактика
Прогноз дивертикула Ценкера зависит от степени тяжести патологии, размеров образования, наличия осложнений. При своевременном назначении диеты или проведении операции прогноз благоприятный. Значительное увеличение образования, развитие осложнений может стать причиной серьезных последствий (медиастинит, асфиксия) вплоть до летального исхода. Профилактика заключается в грамотном лечении острых и хронических заболеваний пищевода, соблюдении основ рационального питания, тщательном пережевывании пищи. При наличии первых симптомов болезни (какосмия, отрыжка, затруднение глотания) рекомендован осмотр гастроэнтеролога.
Дивертикулы пищевода ( Эхофагеальный дивертикул )
Дивертикулы пищевода - это деформация эзофагеальной стенки, характеризующаяся мешотчатым выбуханием ее слоев, обращенным в сторону средостения. Может проявляться чувством першения, гиперсаливацией, ощущением комка в глотке, дисфагией, регургитацией, гнилостным запахом изо рта. Патология диагностируется с помощью рентгенографии пищевода, эзофагоскопии, манометрии. Радикальное лечение предполагает иссечение дивертикула (дивертикулэктомию) или инвагинацию (вворачивание) выпячивания в просвет пищевода.

Дивертикулы пищевода (эзофагеальные дивертикулы) выявляются у 2% лиц при рентгенологическом обследовании. В современной гастроэнтерологии среди дивертикулов желудочно-кишечного тракта они составляют около 40%. Чаще диагностируются у мужчин старше 50 лет, как правило, страдающих другими заболеваниями пищеварительной системы - язвенной болезнью, холециститом, желчнокаменной болезнью и пр. Дивертикул может развиваться в любом сегменте пищевода, однако чаще образуется в его грудном отделе. В 90% случаев является одиночным, в 10% наблюдаются множественные выпячивания стенки пищевода.

Происхождение дивертикулов пищевода может быть различным. Образование врожденного выпячивания как правило, связано с первичной слабостью мышечного слоя пищеводной стенки на определенном участке. В развитии приобретенных дивертикулов существенную роль играют воспалительные процессы верхних отделов ЖКТ и средостения.
Часто возникновению патологии предшествует длительное течение эзофагита и гастроэзофагеальной рефлюксной болезни, медиастинит, туберкулез внутригрудных лимфоузлов, грибковая инфекция пищевода (эзофагеальный кандидамикоз). К развитию эзофагеального дивертикула может привести травма пищевода, эзофагоспазм, ахалазия кардии, стриктуры пищевода.
Образование пульсионного выпячивания вызвано нарушением эзофагеальной моторики, приводящей к спастическим сокращениям мускулатуры, повышению внутрипищеводного давления и выбуханию стенки в наиболее слабом месте (часто выше функционального или органического сужения).
Развитию тракционного дивертикула способствуют соединительнотканные сращения стенок пищевода с воспаленными лимфоузлами средостения, которые вызывают растяжение и смещение эзофагеальной стенки в сторону средостения с образованием патологического выпячивания. Иногда пульсионные и тракционные механизмы воздействуют одновременно.
По месту расположения различают глоточно-пищеводные (фарингоэзофагеальные, дивертикул Ценкера), эпибронхиальные (среднепищеводные, бифуркационные), наддиафрагмальные (эпифренальные), поддиафрагмальные (абдоминальные) дивертикулы пищевода. По механизму образования выпячивания могут быть пульсионными, тракционными или смешанными - пульсионно-тракционными.
По происхождению и времени возникновения дивертикулы классифицируются на врожденные и приобретенные. По типу строения различают истинные дивертикулы, состоящие из всех слоев пищеводной стенки, и псевдодивертикулы (ложные), не имеющие мышечной оболочки. Ложные дивертикулы образованы выпячивание слизистой оболочки пищевода через дефект в мышечном слое; они возникают в момент перистальтического сокращения пищеводной стенки и исчезают при ее расслаблении.
Симптомы дивертикула пищевода
Клинические проявления зависят от локализации выпячивания. Наиболее яркую симптоматику дают дивертикулы Ценкера, расположенные в области глоточно-пищеводного перехода. При ценкеровских дивертикулах рано развивается дисфагия - затрудненное прохождение как твердой, так и жидкой пищи по пищеводу. Остатки пищи скапливаются в дивертикуле, что сопровождается срыгиванием непереваренной пищей, неприятным запахом из ротовой полости.
Регургитация может наблюдаться в положении лежа, в связи с чем пациенты часто обнаруживают при пробуждении слизь и остатки пищи на подушке. Также больные могут жаловаться на першение, царапанье глотки, ощущение непроглатываемого комка в горле, сухой кашель. Часто отмечается тошнота, гиперсаливация, изменение тембра голоса. Характерно развитие «феномена блокады», когда после приема пищи появляется покраснение лица, ощущение удушья, головокружение, развивается обморок. Данное состояние обычно купируется после рвоты.
Небольшие (до 2 см) бифуркационные и наддиафрагмальные дивертикулы обычно бессимптомны. Дивертикулы больших размеров сопровождаются дисфагией, срыгиванием непереваренной пищи, аэрофагией (заглатыванием воздуха), загрудинными болями, тошнотой, ночным кашлем. Клинические проявления бифуркационного дивертикула могут быть спровоцированы пробой Вальсавы. При дивертикулах нижнего отдела пищевода к клинике расстройства пищеварения присоединяется рефлекторная одышка, тахикардия, бронхоспазм, боли в области сердца, изменения ЭКГ.
Дивертикулы пищевода могут сопровождаться дивертикулитом и его осложнениями - флегмоной шеи, медиастинитом, образованием пищеводно-медиастинального свища, сепсисом. Регургитация с аспирацией пищевых масс приводят к развитию хронического бронхита, аспирационной пневмонии, абсцесса легкого. Возможно эрозирование слизистой, эзофагеальное кровотечение, образование полипов пищевода, развитие рака пищевода.
Дивертикул Ценкера больших размеров может быть обнаружен при осмотре и пальпации шеи. Он представляет собой выпячивание в области шеи мягкой консистенции, которое уменьшается при надавливании. С помощью рентгенографии пищевода устанавливается наличие и локализация дивертикула, определяется ширина его шейки, время задержки бария, наличие патологических процессов (полипов, рака, свища). Важную информацию может дать проведение обзорной рентгенографии и КТ органов грудной клетки: дивертикулы пищевода больших размеров видны на снимках как заполненные жидкостью и воздухом полости, сообщающиеся с пищеводом.
Эзофагоскопия позволяет осмотреть полость дивертикула, обнаружить изъязвления слизистой, установить факт кровотечения, выявить опухоли, выполнить эндоскопическую биопсию. В связи с высоким риском перфорации эзофагоскопия проводится с большой осторожностью. С целью изучения сократительной функции пищевода выполняют эзофагеальную манометрию - исследование пищеводной моторики. Пациентам с коронарными симптомами проводят исследование ЭКГ, холтеровское мониторирование, ЭхоКГ.
Дифференциальная диагностика дивертикула пищевода проводится с ГЭРБ, эзофагоспазмом, параэзофагеальной грыжей, стриктурами пищевода, ахалазией кардии, раком пищевода, кистой средостения, стенокардией, ИБС. Диагностические мероприятия осуществляет врач-гастроэнтеролог, при наличии симптомов со стороны сердечно-сосудистой системы показана консультация кардиолога.
Лечение дивертикула пищевода
Небольшие образования с малосимптомным течением лечатся консервативно под наблюдением гастроэнтеролога. Пациентам рекомендуется соблюдение диеты, основанной на принципах термического, химического и механического щажения пищевода. После еды целесообразно проведение несложных мероприятий, направленных на лучшее опорожнение дивертикула пищевода: употребление воды, натуживание, принятие дренирующей позы, промывание полости слабым раствором антисептика.
Хирургическое лечение проводится при больших дефектах, сопровождающихся выраженной дисфагией, болями или осложненным течением (перфорацией, пенетрацией, стенозом пищевода, кровотечением и т. д.). В этих случаях обычно производится иссечение дивертикула - дивертикулэктомия с пластикой пищевода диафрагмальным или плевральным лоскутом. Небольшие выпячивания могут быть устранены путем инвагинации - погружения дивертикула в просвет пищевода и ушивания пищеводной стенки.
Оперативное лечение обеспечивает полное исчезновение симптоматики и хорошие отдаленные результаты. При осложненном течении заболевания прогноз всегда серьезный. Поэтому даже бессимптомные дивертикулы требуют проведения контрольных исследований и лечения сопутствующей патологии. Профилактике формирования дивертикулов способствует своевременная терапия заболеваний, приводящих к их образованию, а также неспешный прием пищи с ее тщательным пережевыванием.
Дивертикулы кишечника
Дивертикулы кишечника - это мешотчатые выпячивания стенки толстой, реже тонкой кишки врожденного либо приобретенного характера. Чаще всего встречается бессимптомная форма заболевания. Явные клинические формы патологии проявляются неопределенными болями в животе, диспепсическими явлениями, кровотечениями. Для диагностики используют ирригографию, колоноскопию, ректороманоскопию, УЗИ и КТ органов брюшной полости. Специфическая терапия включает в себя применение диеты с повышенным содержанием клетчатки, назначение спазмолитиков, прокинетиков, антибактериальных препаратов, лактулозы. При осложненном течении заболевания требуется хирургическое лечение.

Дивертикулы кишечника могут иметь врожденную (при наследственной патологии соединительной ткани) либо приобретенную (связанную с возрастной слабостью межуточных волокон) природу. В тонком кишечнике дивертикулы встречаются достаточно редко - у 1% пациентов, при этом в большинстве случаев выявляют дивертикул Меккеля, содержащий в себе ткани желудка либо поджелудочной железы. Дивертикулы кишечника чаще бывают множественными и расположены в левой половине толстой кишки (в 70% случаев).
В молодом возрасте дивертикулез выявляют лишь в 5% случаев, в возрасте от 40 до 60 лет - у 30% населения, а после 80 лет частота поражения дивертикулами кишечника составляет более 65%. Патологические выпячивания могут осложняться воспалением, кровотечением, перфорацией, однако практически никогда не сопровождаются малигнизацией. В последние годы отмечается учащение случаев дивертикулеза в развитых странах, что связано с изменением диетических привычек, исключением из рациона клетчатки и полезных пищевых волокон.
К появлению врожденных и приобретенных дивертикулов кишечника могут приводить различные факторы, но в основе их всех лежит слабость соединительной ткани. При врожденной соединительнотканной дисплазии дивертикулы обычно множественные, расположены не только в кишечнике, но и других органах (желудок, мочевой пузырь и др.). В первые годы заболевания стенка врожденных дивертикулов представлена всеми слоями кишечной стенки, однако с возрастом мышечные волокна атрофируются.
Возникновению приобретенных дивертикулов кишечника способствуют:
- погрешности питания (употребление полуфабрикатов, нерегулярные приемы пищи, исключение из рациона клетчатки, свежих фруктов и овощей)
- авитаминозы
- постоянные запоры
- нарушения моторики кишечника
- малоподвижный образ жизни
- ожирение..
Любая из вышеперечисленных причин приводит к повышению внутрикишечного давления, пролабированию слизистого и подслизистого слоев кишки между мышечными волокнами, формированию полостного образования диаметром 3-5 см.
Патанатомия
В тонком кишечнике чаще всего встречается дивертикул Меккеля - врожденное неполное заращение желточного протока, в связи с чем примерно в 50 см от баугиниевой заслонки на стенке кишки образуется пальцевидное выпячивание, широким соустьем соединяющееся с кишечником. Иногда единичные дивертикулы образуются в двенадцатиперстной кишке - возле фатерова соска или в луковице двенадцатиперстной кишки (чаще всего это случается на фоне язвенной болезни ДПК). Другие локализации дивертикулеза тонкой кишки встречаются достаточно редко.
В толстом кишечнике дивертикулы преимущественно формируются в сигмовидной и левой половине поперечно-ободочной кишки. Чаще всего образования расположены в два ряда, по одному с каждой стороны вдоль брыжейки. Дивертикулы толстой кишки имеют тенденцию к прогрессированию с возрастом - повышение давления в кишечнике, застой калового содержимого оказывают пульсионный (выдавливающий) эффект, из-за чего возникают все новые и новые выпячивания кишечной стенки.
Различают врожденные и приобретенные формы дивертикулов кишечника.
- Врожденный дивертикулез часто бывает множественным, выпячивания локализованы в различных органах. Также дивертикулы могут выступать компонентом врожденной триады Сента, сочетаясь с диафрагмальной грыжей и желчнокаменной болезнью.
- Приобретенные дивертикулы с возрастом формируются практически у 80% населения. Они могут быть тракционными (при спаечной болезни), ложными (при отсутствии мышечных волокон в стенке выпячивания), образовавшимися на фоне заболеваний и травм кишечника.
По локализации различают дивертикулы тонкого и толстого кишечника. По течению выделяют бессимптомные, клинически явные и осложненные дивертикулы.
Симптомы дивертикулов кишечника
Дивертикулы в большинстве случаев никак не проявляются длительное время, обнаруживаясь случайно при обследовании по поводу других заболеваний. Клинически явные формы чаще всего указывают на возможность развития осложнений. Появление симптоматики и осложнений при дивертикулезе связано с нарушением моторики кишечной стенки, застоем кишечного содержимого, как в кишке, так и в полости выпячивания, повышением внутрикишечного давления. Все эти факторы приводят к возникновению повышенного бактериального обсеменения (более 1 млн. клеток в мл), формированию каловых камней, истончению стенки кишечника в местах прохождения сосудов.
Клинически дивертикулы тонкого кишечника проявляются неопределенными болями в животе, хронической диареей. Выпячивания стенки толстого кишечника также способны вызывать боли в животе, больше в его левой половине, часто связанные с дефекацией и исчезающие после нее. Для заболевания характерна неустойчивость стула - запоры постоянно чередуются с диареей и периодами нормального стула. При осмотре каловые массы сформированы в виде шариков, окруженных слизью. Пациентов беспокоит повышенный метеоризм, обильное отхождение кишечных газов.
При длительном застое калового содержимого в дивертикулах наступают необратимые изменения кишечной стенки, активизируется кишечная флора и возникает дивертикулит - одно из самых частых осложнений данного заболевания. Хронический воспалительный процесс может существовать длительное время, вызывая частые рецидивирующие кровотечения, местный перитонит с формированием спаек, свищей, соединяющих полость кишечника с влагалищем, мочевым пузырем, кожей. При спаечной болезни иногда наблюдается кишечная непроходимость.
Выраженное воспаление в полости дивертикула может приводить к перфорации его стенки, выходу кишечного содержимого в брюшную полость с формированием межкишечного абсцесса, а в тяжелых случаях - разлитого перитонита. Перфорация дивертикула кишечника характеризуется клиникой «острого живота», которую очень часто путают с острым аппендицитом. Диагностическая ошибка обычно выявляется только во время операции, на которой находят дивертикулы кишечника.
Заподозрить наличие дивертикулов кишечника достаточно сложно, так как это заболевание не имеет специфической клинической картины. Чаще всего выпячивания обнаруживаются случайно, при поиске причины анемии, исключении опухолей кишечника. С целью уточнения диагноза проводятся:
- Анализы. При подозрении на дивертикулярную болезнь врач-гастроэнтеролог назначает ряд лабораторных исследований: общий анализ крови определяет воспалительные изменения и анемию, анализ кала на скрытую кровь помогает вовремя выявить кишечное кровотечение, а копрограмма и бактериологическое исследование кала диагностируют дисфункцию кишечника, нарушение пищеварения и повышенное бактериальное обсеменение.
- Рентгенодиагностика. Пациенты с данным заболеванием требуют проведения ирригографии, желательно с двойным контрастированием. На рентгеновском снимке будут видны выпячивания кишечной стенки, сообщающиеся с полостью кишечника. Следует помнить, что при наличии осложнений дивертикулов кишечника сначала необходимо сделать обзорную рентгенографию органов брюшной полости, убедиться в отсутствии признаков перфорации, и лишь затем назначать ирригографию.
- Кишечная эндоскопия. Использование эндоскопических методов диагностики (колоноскопия, ректороманоскопия) показано только после купирования признаков воспаления. Колоноскопия является незаменимым методом поиска источника кровотечения, однако может способствовать появлению осложнений заболевания. Преимуществом эндоскопических методик является возможность проведения биопсии, морфологического исследования биоптатов.
Для дифференциальной диагностики с другими заболеваниями может потребоваться проведение УЗИ, КТ, МСКТ органов брюшной полости. Дифференцировать дивертикулы кишечника следует с эктопической беременностью, гипохромной анемией, псевдомембранозным колитом, синдромом раздраженного кишечника, болезнью Крона, острым аппендицитом, целиакией, раком кишечника, ишемическим колитом.

КТ ОБП. Дивертикул горизонтальной части 12-перстной кишки, заполненный частично контрастом, частично - газом.
Лечение дивертикулов кишечника
Лечение пациентов с неосложненной формой дивертикулеза проводится в отделении гастроэнтерологии, а при возникновении тяжелых осложнений - в хирургическом стационаре. Госпитализируют больных с острым или обострением хронического дивертикулита, интоксикацией, высокой лихорадкой, тяжелой сопутствующей патологией, невозможностью энтерального питания, а также в возрасте старше 85 лет. При наличии клиники острого живота проводят ургентную операцию.
Консервативное лечение
Если у пациента случайно выявлен бессимптомно протекающий дивертикул кишечника, назначения специального лечения не требуется. При наличии неосложненных дивертикулов назначается богатая клетчаткой диета, спазмолитики, прокинетики. При соблюдении всех рекомендаций по терапии заболевания обычно достигается стойкий клинический эффект. Если у пациента развился дивертикулит, рекомендуется использование кишечных антисептиков, антибиотиков, осмотических слабительных препаратов.
Для нормализации работы кишечника следует отказаться от очистительных клизм, бесконтрольного применения слабительных средств. Положительный эффект достигается и при введении в режим дня умеренных физических нагрузок - они помогают укрепить мышечный корсет туловища, нормализуют моторику кишечника. Для уменьшения давления в просвете кишечника назначается диета, богатая клетчаткой (кроме очень грубых волокон - ананасов, хурмы, репы, редиски). Количество клетчатки в рационе увеличивают до 32 г/л. Нужно исключить газообразующие продукты, бобовые, газированные напитки. Для достижения необходимого эффекта следует ежесуточно употреблять не менее двух литров воды.
Использование стимулирующих слабительных средств, обезболивающих на основе морфина при дивертикулах противопоказано, так как они провоцируют дальнейшее нарушение моторики кишечника, усугубляют течение болезни. Для улучшения пассажа пищевых масс по кишечнику назначают осмотические слабительные средства - они увеличивают объем каловых масс и ускоряют их продвижение по пищеварительному тракту. При диарее назначаются сорбенты и вяжущие средства, для купирования метеоризма - препараты симетикона.
Острый дивертикулит требует госпитализации пациента в хирургический стационар, назначения дезинтоксикационных и плазмозамещающих средств, антибактериальных препаратов. Лечение длится не менее двух-трех недель, после выписки из стационара поддерживающая терапия аналогична той, которая проводится при неосложненных дивертикулах.
Хирургическое лечение
Хирургическое лечение показано при развитии угрожающих жизни осложнений: перфорация, абсцедирование, кишечная непроходимость, профузные кровотечения, формирование свищей. Также плановая операция назначается при рецидивирующих кровотечениях и дивертикулитах. Обычно производится резекция части кишечника, пораженного дивертикулезом, с наложением анастомоза. В сложных ситуациях накладывается колостома для облегчения оттока каловых масс, а после стабилизации состояния проводится реконструктивная операция.
Прогноз при наличии дивертикулов кишечника обычно благоприятный, однако иногда это заболевание приводит к развитию угрожающих жизни осложнений. Дивертикулит возникает примерно у четверти больных. Эффективность его лечения при первом эпизоде наиболее высокая - до 70%, при третьем эпизоде эффективность терапии снижается до 6%. Профилактики врожденных дивертикулов кишечника не существует. Предупредить развитие приобретенных дивертикулов можно путем нормализации режима и рациона питания, употребления достаточного количества клетчатки и жидкости, использования умеренных физических нагрузок.
Дивертикул Ценкера
Дивертикул Ценкера - выпячивание слизистой оболочки в начальном отделе пищевода - глоточно-пищеводном переходе. Дивертикул возникает из-за слабости мышечной стенки пищевода. При проглатывании пищи в пищеводе возрастает давление и пищевой комок движется в сторону наименьшего сопротивления - в дивертикул, что приводит к растяжению слизистой и увеличению размеров дивертикула.
Пока дивертикул Ценкера небольших размеров - симптомов и жалоб нет, затем возникает затруднение при глотании пищи (дисфагия). Развивается руминация - пациент глотает пищу, она попадает в дивертикул, через некоторое время пациент отрыгивает пищу обратно в ротовую полость, пережёвывает, и снова проглатывает. Кроме того, у пациентов с дивертикулом Ценкера могут возникать внепищеводные проявления заболевания - аспирционные бронхиты и пневмонии. Когда пациент принимает горизонтальное положение и засыпает, пища, скопившаяся в дивертикуле, вытекает в ротовую полость и аспирируется (попадает в бронхи и легкие при дыхании). Это опасная ситуация, поскольку из-за аспирации может произойти рефлекторная остановка дыхания.
Сам по себе дивертикул разрывается редко. Однако есть опасность: когда пациент, например, проглатывает рыбную косточку, то она, скорее всего, окажется в дивертикуле и может перфорировать его стенку. Возникает воспаление средостения (органов между правой и левой плевральными полостями) - медиастинит. В 40% случаев вовремя нераспознанный медиастинит приводит к летальному исходу.
Пациенту с дивертикулом следует обратиться либо к гастроэнтерологу, либо к хирургу. Уже по первым клиническим признакам, описанным пациентом, врач должен заподозрить дивертикул Ценкера. Для точной диагностики дивертикула Ценкера специалисты Ильинской больницы выполняют рентгенологическое исследование с водорастворимым контрастом и эндоскопическую диагностику. Эти методы позволяют хирургу определить размеры самого дивертикула и его устья, принять решение об оперативном вмешательстве. В ряде случаев назначаются дополнительные исследования - КТ и МРТ.

Источник изображения: ellepigrafica/Shutterstock
Для хирургического лечения дивертикула Ценкера хирурги Ильинской больницы проводят малоинвазивную эндоскопическую операцию. Специальный гибкий эндоскоп вводится в пищевод, камера эндоскопа позволяет хирургу под большим увеличением осмотреть дивертикул. Через инструментальный канал эндоскопа проводятся микроминиатюрные хирургические инструменты и хирург производит рассечение крикофарингеальной мышцы. Это мышца, в области которой формируется дивертикул. Хирург пересекает перегородку, которая образуется между просветом пищевода и полостью дивертикула до тех пор, пока дно дивертикула практически полностью не совпадёт с просветом пищевода. Дефект, который образуется при этом пересечении, ушивается с помощью специальных клипс. После операции пища уже не попадает в полость дивертикула, а сразу же направляется в просвет пищевода, как и должна. Дивертикул - учитывая, что это мягкое эластичное образование - под давлением внешних тканей сокращается. Эта нетравматичная и щадящая операция, разработанная японскими медиками, называется Z-POEM - пероральная эзофагокардиомиотимия.
Пациенты, которым выполнялась эндоскопическая операция по поводу дивертикула Ценкера, очень быстро реабилитируются. На следующий день после операции они могут пить воду. На третьи сутки после операции пациенту проводят специальный рентгенологический контроль с водорастворимым контрастом. Если все в порядке, пациенту разрешают есть мягкую пищу и отпускают домой. Дальнейшее наблюдение осуществляет семейный врач пациента в сотрудничестве с оперировавшим хирургом.
До разработки операции Z-POEM применялся только «открытый» метод хирургического лечения дивертикула Ценкера. Во многих больницах он предлагается до сих пор. Пациенту производится довольно большой и протяжённый разрез на шее. Через него хирург проходит до устья дивертикула и выполняет резекцию пищевода, затем устье дивертикула сшивается. Анатомия шеи чрезвычайно сложна. При открытой операции существует риск пересечения возвратного гортанного нерва, что может привести к потере пациентом способности нормально глотать. Открытую операцию по поводу дивертикула Ценкера должен выполнять только опытный врач, специализирующийся на хирургии пищевода. Кроме того, после открытой операции на шее остается достаточно большой шрам.
Читайте также:
