Перелом медиального мыщелка плечевой кости. Диагностика и лечение
Добавил пользователь Евгений Кузнецов Обновлено: 28.01.2026
ФГБУ «Национальный медицинский исследовательский центр травматологии и ортопедии им. Н.Н. Приорова» Минздрава России, Москва, Россия
ФГБУ «Центральный научно-исследовательский институт травматологии и ортопедии им. Н.Н. Приорова» Минздрава России, Москва, Россия
Постартроскопический остеонекроз мыщелков бедренной и большеберцовой костей
Журнал: Вестник травматологии и ортопедии им Н.Н. Приорова. 2018;(4): 113‑118
Остеонекроз мыщелков бедренной и большеберцовой костей — серьезное заболевание, приводящее к тяжелой форме артроза/артрита и требующее эндопротезирования сустава. Постартроскопический остеонекроз является довольно редким осложнением артроскопического вмешательства на коленном суставе по поводу разрыва мениска. Ввиду редкости этого осложнения пациенты и хирурги часто оказываются не готовы к его развитию. В обзоре рассмотрены типичные случаи развития асептического остеонекроза мыщелков бедренной и большеберцовой костей после проведенной артроскопии, определены возможные факторы риска, описаны особенности диагностики и тактики лечения.
Введение. Остеонекроз — тяжелое полиэтиологическое заболевание, связанное с гибелью остеоцитов в определенном участке костной ткани и быстро приводящее к развитию вторичного артроза/артрита прилежащего сустава.
Мыщелки бедренной и большеберцовой костей являются второй по распространенности локализацией асептического некроза после головки бедренной кости [1]. Чаще поражаются мыщелки бедренной кости (впервые описано S. Ahlbäck и соавт. в 1968 г.) [2], реже — плато большеберцовой кости (описано G. d’Angelijan и соавт. в 1976 г.) [3].
Выделяют спонтанный (первичный, идиопатический) остеонекроз мыщелков бедренной и большеберцовой костей, выявляемый преимущественно у женщин старше 65 лет, и вторичный, характерный для более молодых пациентов, который развивается на фоне приема глюкокортикоидов, злоупотребления алкоголем, лучевой терапии, аутоиммунных заболеваний и коагулопатий. По некоторым данным [4], распространенность спонтанного остеонекроза составляет 3,4% у пациентов старше 50 лет и 9,4% у пациентов старше 65 лет. Несколько реже встречается вторичная форма, характеризующаяся двусторонним поражением костей суставов и образованием множественных очагов.
В настоящее время в отдельную нозологическую форму выделяют такое, казалось бы, «неожиданное» осложнение хирургического вмешательства на коленном суставе, как постартроскопический остеонекроз. Как правило, это осложнение развивается после частичного удаления мениска, а также после пластики передней крестообразной связки [5, 6].
Многие травматологи, занимающиеся артроскопией, не учитывают возможность возникновения этой патологии, пока не столкнутся с ней в клинической практике.
В настоящей статье рассмотрены типичные случаи развития асептического некроза мыщелков бедренной и большеберцовой костей после проведенной артроскопии с определением возможных факторов риска, особенностей диагностики и тактики лечения.
Постартроскопический некроз мыщелков бедренной и большеберцовой костей
На остеонекроз мыщелков бедренной и большеберцовой костей после артроскопической операции впервые обратили внимание S. Brahme и соавт. в 1991 г. [7]. Позже в литературе патологию описывали как «постартроскопический остеонекроз» [8], «постменискэктомический остеонекроз» [9, 10] и «остеонекроз в прооперированном коленном суставе» [11].
В одном из самых крупных исследований, посвященных этой проблеме, был проведен анализ 47 случаев постартроскопического остеонекроза [11], который показал, что встречаемость этого осложнения одинакова у мужчин и женщин, средний возраст которых составил 58 лет. В то же время спонтанным остеонекрозом, возникающим без оперативного вмешательства, с которым проводилось сравнение, чаще страдают женщины в возрасте старше 65 лет. Авторами было отмечено, что из 47 пациентов у 41 (87%) имелось повреждение медиального мениска и у 6 (13%) — латерального. При этом медиальный мыщелок бедра был поражен в 39 (83%) случаях, латеральный — в 4 (8,5%), латеральный мыщелок большеберцовой кости — в 2 (4,3%), медиальный — также в 2 (4,3%) случаях. Несмотря на то что частота остеонекроза мыщелков большеберцовой кости была значительно меньше, чем бедренной, прогноз в таких случаях считается менее благоприятным [14, 15]. Практически всегда асептический некроз развивается непосредственно в том отделе сустава, в котором проводилось оперативное вмешательство, что может свидетельствовать о ятрогенном характере патологии. Многие авторы связывают его развитие с агрессивной техникой операции и непреднамеренным контактом артроскопического инструмента с поверхностью хряща и субхондральной костью [16].
Однако так бывает не всегда, и постартроскопический остеонекроз, особенно плато большеберцовой кости, повредить которое во время операции практически невозможно, требует исключения и других причин [13].
Все чаще обсуждается [17] роль изменения биомеханики сустава из-за повышения нагрузки на субхондральную кость в раннем послеоперационном периоде. Высказываются предположения, что это приводит к травматизации хряща, появлению микропереломов, проникновению синовиальной жидкости в субхондральную зону с дальнейшим развитием остеонекроза. При наличии дефектов хряща еще до операции процесс усугубляется попаданием жидкости в субхондральную область во время операции из-за повышения внутрисуставного давления [18].
Имеется точка зрения [19], что развитие отека мыщелков в послеоперационном периоде следует рассматривать не как истинный остеонекроз, а лишь как транзиторное состояние, связанное с переломом трабекул субхондральной кости. Однако, по современным представлениям, именно перелом субхондральной кости [20] считается основным фактором риска развития остеонекроза мыщелков бедренной и большеберцовой костей у пациентов на фоне общего снижения минеральной плотности костной ткани вне зависимости от наличия оперативного вмешательства в анамнезе.
В этом плане показательно исследование H. Higuchi и соавт. [21], в котором после артроскопии у 29 (21,3%) из 136 пациентов отмечался отек костной ткани, выявленный с помощью МРТ. Всем 29 пациентам было проведено консервативное лечение, которое у 6 оказалось неэффективным: ухудшалась клиническая и рентгенологическая картина, что потребовало тотального эндопротезирования сустава. У 4 из них была диагностирована II стадия асептического некроза по классификации Koshino, у 2 — III стадия. При гистологическом исследовании материала пациентов со II стадией заболевания были выявлены признаки микропереломов кости субхондральной области, тогда как у пациентов с III стадией — картина остеонекроза. Эти данные подтверждают мнение о том, что микропереломы субхондральной кости являются предшествующим этапом развития остеонекроза.
При этом известно, что у пациентов старше 60 лет разрыв мениска уже сам по себе может стать причиной развития остеонекроза даже без наличия в анамнезе артроскопического вмешательства [22]. Так, по данным исследования [23], встречаемость повреждения или дегенеративного изменения мениска у пациентов со спонтанным остеонекрозом мыщелков бедренной и большеберцовой костей (без хирургического вмешательства) может варьировать от 50 до 91%.
Обсуждается связь развития остеонекроза с применением во время операции различных инструментов и аппаратов. Например, не доказана связь развития остеонекроза с использованием ирригационной помпы или жгута [8, 9, 22].
Неоднозначно расценивают роль радиочастотной абляции в возникновении послеоперационных изменений, хотя ее негативное воздействие, обусловленное тепловым эффектом, изучается на протяжении многих лет 26, в том числе есть указания на значительную гибель хондроцитов, особенно в области прямого действия аблятора [28]. О сомнительности этой гипотезы свидетельствуют данные о снижении числа пациентов с остеонекрозом в послеоперационном периоде после частичной хондропластики с помощью радиочастотного аблятора [29]. Более того, предложено использовать радиочастотную абляцию для обработки хондромаляции суставного хряща II и III стадии [30, 31], что по сравнению с механической обработкой приводит к меньшей гибели хондроцитов [32], сокращению времени операции [33, 34] и создает более гладкую поверхность в отличие от шейвера, после которого остается неровная поверхность контакта и теряется толщина хряща от 300 до 800 мкм [35]. Кроме того, при использовании радиочастотной абляции пациенты реже испытывали боль в послеоперационном периоде [35].
В то же время замечена разница между результатами использования биполярной и монополярной радиочастотных систем [36]. По мнению автора, более агрессивное воздействие оказывали биполярные абляторы, которые проникают на значительную глубину, составлявшую от 78 до 92% толщины хряща.
Таким образом, взгляды ученых на характер влияния радиочастотного аблятора на гиалиновый хрящ и подлежащую субхондральную кость расходятся, однако большинство исследователей не находят прямой связи его применения с развитием остеонекроза мыщелков бедренной и большеберцовой костей [25].
Лечение
Прогноз постартроскопического остеонекроза считается неблагоприятным. Так, в исследовании [11], из 47 пациентов с подтвержденным диагнозом «остеонекроз» у 44 (93,6%) прооперированных длительно сохранялись изменения на МРТ или же наблюдалось прогрессирование заболевания вплоть до коллапса субхондральной кости. Потребовалось дальнейшее оперативное лечение 17 (36%) пациентам: тотальное эндопротезирование было выполнено в 9 случаях, корригирующая остеотомия большеберцовой кости — в 2 и повторная артроскопия — в 6.
В отличие от спонтанного остеонекроза мыщелков, где размер поражения может считаться прогностическим фактором 39, при постартроскопическом остеонекрозе не было отмечено корреляции прогрессирования заболевания с размером изначального поражения [11], даже относительно небольшие изменения в костной ткани после операции могут стать причиной развития и прогрессирования остеонекроза.
Тактика лечения пациентов с постартроскопическим остеонекрозом во многом совпадает с ведением пациентов со спонтанным остеонекрозом мыщелков бедренной и большеберцовой костей, возникшим без оперативного вмешательства, однако прогноз в первом случае менее благоприятный. Считается, что консервативное лечение предпочтительнее, нежели выполнение повторного оперативного вмешательства, после которого не исключено прогрессирование заболевания [11]. Начинать следует с разгрузки сустава не менее чем на 3 мес с использованием костылей или ортезов с жесткой боковой фиксацией [40].
Целесообразным, как было показано ранее [41], считается ношение функционального вальгизирующего (при поражении внутренних мыщелков) или варизирующего (при поражении наружных мыщелков) ортеза. В большинстве случаев уже этого достаточно для снижения выраженности болевого синдрома. Однако при сохранении боли рекомендуется дополнительное применение нестероидных противовоспалительных препаратов [40].

Патогенетическим лечением остеонекроза, направленным на сохранение костной ткани в области мыщелков и снижение локальной костной резорбции, является остеотропная терапия. Она включает «базовую» терапию из кальцийсодержащих препаратов с активными метаболитами витамина D [42] в комбинации с антирезорбтивными препаратами. При подборе дозировок опираются на исходные значения показателей гомеостаза кальция (см. таблицу). Табл. Дозы препаратов базовой терапии в зависимости от исходного уровня кальция в крови Продолжительность лечения составляет не менее 6 мес или до выздоровления пациента.
В качестве антирезорбтивных препаратов наиболее часто используются бисфосфонаты [43, 44]. Их эффективность доказана при лечении асептического некроза как головки бедра [45], так и мыщелков бедренной и большеберцовой костей [42].
Наибольшее распространение получили внутривенные формы азотсодержащих бисфосфонатов, например золедроновая кислота. Аккумулируясь в костной ткани, она способствует снижению костной резорбции и препятствует потере минеральной плотности [46]. Учитывая однократное внутривенное капельное введение препарата в дозе 5 мг, имеет 100% комплаентность.
Значимость физиотерапии или применения других медикаментозных средств (вазодилататоры, статины, антикоагулянты) как монотерапии не доказана, хотя их используют в комплексной терапии совместно с патогенетическим лечением [47, 48]. Как показывают исследования [43, 49], применение подобной комбинации остеотропных, сосудистых препаратов и физиотерапии довольно эффективно и может достигать 89% при лечении ранних стадий спонтанного асептического некроза мыщелков бедренной и большеберцовой костей, однако ее эффективность при постартроскопическом остеонекрозе требует дальнейшего изучения.
Дополнение консервативного лечения хирургическим вмешательством в связи с сохранением болевого синдрома или прогрессированием заболевания рекомендуется не ранее чем через 3 мес после начала лечения и только в случае отсутствия значимого эффекта [37]. Целью операции является отсрочка тотального эндопротезирования, особенно у пациентов молодого возраста [50], поэтому предпочтение следует отдавать сохраняющим сустав операциям.
Артроскопическая санация сустава как при спонтанном, так и при постартроскопическом остеонекрозе малоэффективна, поскольку основные изменения затрагивают субхондральную кость. В связи с этим ее выполнение возможно лишь в случае образования свободных внутрисуставных тел.
Более привлекательной считается антеградная декомпрессия очага остеонекроза под контролем электронно-оптического преобразователя. Эта процедура особенно эффективна при сохраненном гиалиновом хряще над поверхностью очага остеонекроза, т. е. при I-II стадии по классификации Koshino [51].
Реваскуляризирующая декомпрессионная остеоперфорация достаточно широко стала применяться с 1989 г. [52]. Однако эффективность методики в качестве монотерапии исследователями оценивается неоднозначно. В связи с этим для улучшения результата лечения рекомендуется сочетание операции с введением аутогенной или аллогенной костной ткани, костнопластических материалов, концентрированного аспирата костного мозга или выделенных из него полипотентных колониеобразующих клеток 55.
В случае поражения одного из мыщелков бедренной кости и сохранения суставной поверхности другого хороший результат и отсрочку эндопротезирования может дать использование высокой корригирующей остеотомии большеберцовой кости с изменением механической оси и перераспределением нагрузки на здоровый отдел сустава [56].
При коллапсе субхондральной кости корригирующую остеотомию совмещают с мозаичной остеохондропластикой [57], что позволяет надеяться на восстановление хрящевого покрытия мыщелка и более длительный клинический эффект [50, 58]. Однако перед операцией для снижения вероятности рассасывания костно-хрящевых столбиков важно добиться уменьшения отека костной ткани пораженного мыщелка как одного из признаков активности резорбции.
В случае неэффективности консервативных методик и суставосохраняющих операций принимается решение об эндопротезировании коленного сустава. В зависимости от индивидуальных особенностей самого пациента и сохранности второго мыщелка бедренной и большеберцовой костей выбор делают между одномыщелковым и тотальным эндопротезированием.
Заключение. Постартроскопический остеонекроз мыщелков бедренной и большеберцовой костей — редкая форма остеонекроза, которая часто бывает неожиданным осложнением как для пациента, так и для оперирующего хирурга. Знания о возможном возникновении и тактике лечения подобных состояний важны всем ортопедам-травматологам, выполняющим артроскопические операции.
И хотя в случае постартроскопического остеонекроза не исключается ятрогенный фактор, большинство авторов склонны считать, что, как и при возникновении спонтанного остеонекроза, — это непредсказуемый процесс и необходимо ориентироваться лишь на предрасполагающие факторы [10, 13, 59]. Это могут быть нарушение метаболизма костной ткани в дооперационном периоде, наличие остеопороза в анамнезе, возраст старше 50 лет, имеющееся до операции повреждение хряща. Не исключено, что более тщательное предоперационное обследование пациентов (особенно старше 50 лет) с оценкой качества костной ткани (рентгеновская денситометрия) и костного ремоделирования (анализы на маркеры костной резорбции и костеобразования) поможет в прогнозировании развития последующего остеонекроза, а своевременная коррекция костного метаболизма снизит риск его развития. Однако этот вопрос требует дальнейшего изучения.
По мнению ряда авторов, возрастные пациенты с повреждением мениска должны быть предупреждены о возможности такого осложнения после операции [8]. А в случае сохранения болевого синдрома через 2-3 мес после артроскопической менискэктомии следует выполнить МРТ для исключения постартроскопического остеонекроза [10]. При выявлении отека костной ткани мыщелков, который, по данным D. Muscolo и соавт. [22], встречается у 34% пациентов, следует назначить консервативное лечение, несмотря на то, что, по заявлению V. Pruès-Latour [13], отек может бесследно исчезать без какого-либо лечения. На практике же отличить отек костной ткани (по данным МРТ) и начальную стадию асептического некроза практически невозможно, а поздно начатое лечение может стать причиной прогрессирования заболевания и необходимости тотального эндопротезирования.
Перелом большого бугорка плечевой кости
Перелом большого бугорка плечевой кости - это нарушение целостности костного выступа, расположенного снаружи в верхней части плеча, сразу под головкой. Возникает при падении, прямом ударе, автодорожных травмах. Проявляется резкой болью, отеком, ограничением движений, невозможностью вращения плеча. Возможна крепитация. Патология диагностируется с учетом жалоб, данных анамнеза и внешнего осмотра, результатов рентгенографии, КТ, МРТ. Лечение - репозиция, иммобилизация. При значительном смещении, невозможности восстановления нормального положения отломков показан открытый остеосинтез.
МКБ-10

Общие сведения
Перелом большого бугорка плечевой кости - относительно редкая травма. Составляет около 7% от общего количества переломов плеча. Чаще страдают люди среднего и пожилого возраста. Повреждение нередко сочетается с вывихом плеча или травмой плечевого сплетения, иногда - с переломом шейки. Большой бугорок является местом прикрепления вращательной манжеты плеча, что обуславливает важность точного сопоставления отломков для сохранения функций верхней конечности.

Причины
Большинство травм происходят дома или на улице. Некоторую часть повреждений составляют автодорожные и спортивные травмы. Причиной перелома большого бугорка становятся:
- падение на вытянутую или прижатую к телу руку;
- удар тяжелым предметом;
- резкое или насильственное движение;
- интенсивное сдавление области плечевого сустава.
Бытовые повреждения часто сопровождаются вывихом плеча (как правило, передним). При дорожно-транспортных происшествиях возможны переломы шейки и головки плечевой кости, разрывы и сдавления плечевого сплетения. Количество травм большого бугорка у пожилых людей увеличивается в зимнее время, что объясняется нарушениями координации движений, частыми падениями и возрастным снижением прочности костной ткани.
Патогенез
Существует три механизма перелома. Первый - нарушение целостности из-за интенсивного вдавления бугорка в вещество кости. Второй - отрыв фрагмента в результате резкого сокращения прикрепляемых к нему мышц. Третий - повреждение о другие костные структуры и тяга мышц при вывихах плеча. Наличие и характер смещения определяются видом, силой и направлением травмирующего воздействия.
Классификация
Различают три типа повреждений большого бугорка:
- Контузионный. Бугорок разделяется на несколько фрагментов и вдавливается в кость.
- Отрывной без смещения. Бугорок отделяется от плечевой кости, но остается на месте.
- Отрывной со смещением. Смещение составляет 5 мм и более (3 мм у спортсменов и лиц физического труда).
В клинической травматологии также используется классификация, согласно которой переломы данной локализации разделяют по размеру отломка:
- Крышечный (оперкулярный). От кости отделяется тонкая пластинка. Симптоматика и лечение напоминают таковые при обычном отрыве вращательной манжеты.
- Отрыв половины бугорка. Самый распространенный. Отделяется фрагмент, к которому прикрепляется сухожилие большой надостной мышцы. При наличии смещения отломок «уходит» кзади, кнутри и кверху.
- Отрыв всего бугорка. Отделяется отломок, к которому прикреплены сухожилия надостной, малой круглой, подостной мышц. Наблюдается смещение книзу и кзади.
Симптомы
Плечевой сустав отечный, возможны кровоподтеки. При изолированной травме большого бугорка отек локализуется преимущественно по наружной поверхности сустава, грубая деформация отсутствует. При сочетании с вывихом сустав резко деформирован, движения невозможны. При одновременном переломе шейки или головки отек распространенный, может выявляться нарушение оси плечевой кости.
Пациент предъявляет жалобы на резкую боль в зоне повреждения. Движения существенно ограничены, для уменьшения болевого синдрома больной придерживает пострадавшую руку здоровой. Определяется значительное затруднение или невозможность вращения рукой. При пальпации области большого бугорка иногда обнаруживается крепитация. При нарушении целостности плечевого сплетения отмечаются расстройства чувствительности, ослабление или невозможность активных движений кистью.
Осложнения
При отсутствии репозиции после сращения перелома возможны грубые ограничения движений, боли, слабость конечности, которые существенно ограничивают трудоспособность. В отдаленном периоде может развиться посттравматический артроз плечевого сустава, хронический тендовагинит, подакромиальный импиджмент-синдром или оссифицирующий миозит. Иногда выявляются контрактуры плечевого сустава.
Диагностика
Диагноз выставляется травматологом-ортопедом на основании жалоб больного, анамнестических данных, результатов внешнего осмотра и дополнительных методик. Диагностическая программа включает следующие процедуры:
- Рентгенография плечевого сустава. Базовое исследование. Производится в двух проекциях. Не всегда информативна из-за небольшого размера отломков и наложения теней других костных структур.
- Контрастная артрография. Выполняется при недостаточной информативности обычных рентгеновских снимков, в первую очередь - при подозрении на оперкулярный перелом, при котором метод подтверждает полный отрыв ротаторов плеча.
- КТ плечевого сустава. Рекомендована для уточнения результатов рентгенографии. Позволяет точно определить выраженность и направление смещения, величину и расположение отломка.
- МРТ плечевого сустава. Дает возможность детально оценить состояние мягкотканных структур.
Лечение может быть консервативным или оперативным, проводится в условиях травматологического отделения. До поступления в стационар руку необходимо фиксировать косыночной повязкой, приложить холод к суставу. При сильных болях можно дать анальгетик.
Консервативная терапия
Показана при отсутствии смещения или незначительном смещении. Возможна после успешной репозиции перелома со смещением при устойчивом стоянии отломков. Руку фиксируют с помощью гипсовой повязки в положении легкого отведения плеча и сгибания локтевого сустава под прямым углом. Отведение обеспечивают с помощью клиновидной подушки в подмышечной области. Продолжительность иммобилизации составляет 3-4 недели. В период реабилитации применяют следующие физиотерапевтические методы:
Выбор физиотерапевтических методик определяется этапом восстановления и состоянием конечности. Пациентам назначают массаж, проводят ЛФК с постепенным увеличением нагрузки на конечность.
Хирургическое лечение
Рекомендовано при смещении фрагмента более чем на 3-5 мм. Применяются следующие варианты вмешательств:
- Подшивание ротаторной манжеты. Производится при крышечных переломах.
- Остеосинтез отломка бугорка проволокой. Осуществляется при 2 типе переломов, предусматривает фиксацию фрагментов проволокой в виде восьмерки.
- Остеосинтез проволокой и винтами. Выполняется при переломах 3 типа, если стабильности отломка не удается достичь только с помощью проволоки.
При наличии импиджмент-синдрома и ограничений движений в отдаленные сроки проводят переднюю акромионопластику, перемещение надостной мышцы или одновременное перемещение надостной и подостной мышц. Продолжительность иммобилизации с использованием косыночной повязки в послеоперационном периоде составляет 5-6 недель. До снятия повязки назначают пассивные упражнения, в последующем переходят к активным комплексам ЛФК. Лечебную физкультуру дополняют массажем и физиотерапией.
Прогноз
При ранней диагностике и правильном выборе тактики лечения прогноз благоприятный. В неосложненных случаях функция сустава полностью восстанавливается, хорошие функциональные результаты наблюдаются даже при сопутствующих травмах плечевого сплетения. При неустраненном смещении функциональность конечности существенно снижается, возможна инвалидизация.
Профилактика
Первичная профилактика включает мероприятия по предупреждению бытового и уличного травматизма, спортивных и автодорожных травм. Для улучшения отдаленных результатов лечения требуется настороженность при типичных жалобах и механизме травмы, проведение расширенного обследования при низкой информативности базовых методик, тщательное устранение смещения фрагментов.
1. Перелом большого бугорка плечевой кости/ Прудников Д.О., Прудников О.Е., Прудников Е.Е.// Новые медицинские технологии - 2007 - №3.
Перелом мыщелков большеберцовой кости
Перелом мыщелков большеберцовой кости - это нарушение целостности боковых отделов верхней части большеберцовой кости. Относится к числу внутрисуставных переломов. Может сопровождаться смещением или вдавлением отломков. Проявляется резкой болью, гемартрозом, выраженным ограничением движений в коленном суставе и нарушением опоры. Диагноз уточняют при помощи рентгенографии, реже используют КТ. Тактика лечения зависит от вида перелома, может использоваться гипсовая повязка, скелетное вытяжение и различные хирургические методики.


Перелом мыщелков большеберцовой кости - внутрисуставное повреждение боковых отделов верхнего эпифиза большеберцовой кости. Обычно сопровождается смещением или вдавлением участка суставной поверхности, поэтому характеризуется склонностью к развитию посттравматического артроза. Составляет примерно 13% от общего количества повреждений трубчатых костей, выявляется у людей любого возраста и пола, нередко встречается в составе политравмы. Переломы мыщелков могут сочетаться с повреждением связок коленного сустава, повреждениями менисков, переломами малоберцовой кости и межмыщелкового возвышения.

Перелом мыщелков большеберцовой кости возникает вследствие прямого удара в область коленного сустава, падения на колено либо на выпрямленные ноги (в последнем случае, как правило, образуются переломы с вдавлением отломков). Выделяют следующие основные причины:
- Дорожно-транспортные происшествия. Занимают значительную долю в структуре заболеваемости. У пешеходов повреждение появляется при ударе по верхним отделам большеберцовой кости бампером автомобиля (половина случаев от суммарного количества травм) или при падении на колено на асфальт. У пассажиров и водителей поражение провоцируется ударом о переднюю панель автомобиля. При ДТП данный перелом нередко обнаруживается в составе сочетанной и комбинированной травмы.
- Падения с высоты. Составляют 15-20% от общего числа случаев данной нозологии. Переломы могут формироваться как при ударе коленом о землю, так и при непрямом механизме травмы. Во втором случае причиной повреждения становится боковое искривление голени кнаружи или кнутри, сопровождающееся значительной нагрузкой на ограниченную часть суставной поверхности.
Иногда данный вид переломов большеберцовой кости выявляется у спортсменов (лыжников, футболистов и пр.), развивается вследствие высокоэнергетического воздействия, например, падения на большой скорости, столкновения с соперником или препятствием. У пожилых людей, страдающих остеопорозом, повреждения могут развиваться при незначительном травматическом воздействии - подворачивании ноги или падении на улице, в ряде случаев остаются недиагностированными из-за стертой клинической картины.
При переломах мыщелков наблюдается повреждение суставного хряща, поверхностного кортикального слоя, подлежащей губчатой кости эпифизарной и метафизарной зон. В результате губчатая кость, имеющая трабекулярную структуру, «сминается», образуется импрессионный (компрессионный) перелом, который характеризуется уменьшением высоты пораженного участка. Суставная поверхность большеберцовой кости становится неконгруэнтной, на ней образуется «ступенька».
Плотная кортикальная кость растрескивается в продольном направлении, что может вызывать распространение линии перелома за пределы мыщелков вплоть до диафиза. Реже возникают не компрессионные, а отрывные переломы, при которых костный фрагмент вместе с прикрепляющимися к нему мягкотканными структурами, например, внутренней боковой связкой, отделяется и смещается в сторону от остальной кости.
К верхней части большеберцовой кости прилежит или крепится большое количество различных мягкотканных образований, что объясняет высокую вероятность одновременного повреждения менисков и связок при всех видах переломов мыщелков. Все перечисленные особенности обуславливают высокую вероятность формирования вторичных артрозов в отдаленном периоде. Риск развития дегенеративно-дистрофических изменений напрямую зависит от своевременности и адекватности репозиции отломков.
Возможные переломы со смещением и без смещения. Чаще всего диагностируются переломы наружного мыщелка большеберцовой кости, второе место по распространенности занимают переломы обоих мыщелков и третье - поражения внутреннего мыщелка. Открытые переломы составляют около 8% от общего числа травм. Согласно классификации AO (универсальной международной классификации переломов длинных трубчатых костей) различают три типа поражений мыщелков:
- Внутрисуставные (тип А). Включает отрывные переломы, простые и сложные (многооскольчатые) переломы метафизов большеберцовой кости.
- Неполные внутрисуставные (тип В). Состоит из изолированных переломов мыщелков без импрессии, с импрессией, с импрессией и образованием осколков.
- Полные внутрисуставные (тип С). Включает повреждения обоих мыщелков без сдавления, с наличием сдавления, со сдавлением и образованием фрагментов.
Симптомы перелома мыщелков
В момент травмы появляется резкая боль в колене. Колено увеличено в объеме, при переломе внутреннего мыщелка большеберцовой кости может выявляться варусная деформация, при переломе наружного - вальгусная. Опора существенно ограничена, активные движения отсутствуют, пассивные резко ограничены из-за боли. Самостоятельный подъем выпрямленной конечности невозможен. Наблюдается патологическая подвижность при боковых движениях в суставе.
При осмотре выявляется увеличение поперечника большеберцовой кости на уровне мыщелков по сравнению со здоровой стороной. Аккуратно надавливая на мыщелки одним пальцем, обычно можно четко определить зону максимальной болезненности. Имеется выраженный гемартроз, который иногда становится причиной нарушений местного кровообращения. Объем сустава увеличен, переднебоковые зоны над и под надколенником выбухают из-за скопления жидкости.
Иногда переломы мыщелков сопровождаются сдавлением нервов и сосудов. Перелом наружного мыщелка может сочетаться с отрывом шейки либо головки малоберцовой кости, в таких случаях возможна травма малоберцового нерва, проявляющаяся двигательными и чувствительными расстройствами в зоне иннервации. После завершения лечения нередко наблюдаются контрактуры различной степени выраженности, обусловленные продолжительной иммобилизацией, недостаточно точным сопоставлением фрагментов, рубцеванием мягких тканей.
Основным осложнением отдаленного периода считается артроз коленного сустава. В случае сложных переломов, некорректного лечения, неточного сопоставления отломков большеберцовой кости отмечается склонность к быстрому прогрессированию дегенеративных изменений, ранняя инвалидизация больных, требующая установки эндопротеза. Даже при адекватном лечении, хороших функциональных результатах остеоартроз может развиваться через 20-30 лет после травмы.
Диагноз перелома мыщелков большеберцовой кости устанавливается врачом-травматологом на основании данных анамнеза, результатов внешнего осмотра и дополнительных исследований. Используются следующие процедуры:
- Объективное обследование. В пользу переломов эпифиза и метафизов большеберцовой кости свидетельствуют резкие боли, усиливающиеся при надавливании на больной мыщелок, типичное нарушение конфигурации пораженной зоны, быстро возникающий значительный гемартроз. Крепитация отломков нехарактерна.
- Рентгенография коленного сустава. Является основным методом инструментальной диагностики. Рентгеновские снимки выполняют в двух проекциях. В абсолютном большинстве случаев это позволят достоверно установить не только факт наличия перелома мыщелков, но и характер смещения отломков.
- Другие визуализационные методики. При неоднозначных результатах рентгенографии пациента направляют на КТ коленного сустава. При подозрении на сопутствующее повреждение мягкотканных структур (связок или менисков) назначают МРТ коленного сустава.
Наличие данных, свидетельствующих в пользу повреждения сосудисто-нервного пучка, является основанием для осмотра сосудистого хирурга и нейрохирурга.

Лечение перелома мыщелков большеберцовой кости
Первая помощь предполагает иммобилизацию конечности шиной от стопы до верхней трети бедра и срочную доставку пострадавшего в медицинское учреждение. Лечение данной патологии осуществляется в условиях травматологического отделения. При поступлении травматолог выполняет пункцию коленного сустава и вводит новокаин для обезболивания перелома. Дальнейшая тактика определяется с учетом особенностей повреждения.
Консервативное лечение
При неполных переломах, трещинах большеберцовой кости, краевых переломах без смещения план лечения предусматривает наложение гипсовой повязки на 6-8 нед. Назначают анальгетики, ходьбу на костылях и приподнятое положение конечности в периоды отдыха. Направляют пациента на УВЧ и ЛФК. После прекращения иммобилизации рекомендуют продолжать использовать костыли и не опираться на конечность в течение 3 месяцев с момента травмы.
При переломах со смещением в зависимости от вида повреждения большеберцовой кости лечение включает одномоментную ручную репозицию с последующим вытяжением или вытяжение без предшествующей репозиции. Наличие незначительного смещения допускает использование клеевого вытяжения. При переломе одного мыщелка или обоих мыщелков со значительным смещением, переломе одного мыщелка с подвывихом или вывихом другого мыщелка накладывают скелетное вытяжение.
Вытяжение обычно сохраняют в течение 6 недель, все это время проводят ЛФК. Затем вытяжение снимают, пациенту рекомендуют ходить на костылях без опоры на ногу. Отличительной особенностью внутрисуставных переломов верхнего отдела большеберцовой кости является замедленное сращение, поэтому легкую нагрузку на ногу разрешают только через 2 месяца, а полную опору - спустя 4-6 мес.
Показанием к оперативному лечению является безуспешная попытка вправления отломков, резко выраженная компрессия отломков, ущемление фрагмента в суставной полости, сдавление сосудов или нервов и перелом межмыщелкового возвышения большеберцовой кости со смещением при безуспешности закрытой репозиции. Операции выполняют в плановом порядке спустя несколько дней после поступления.
Поскольку использование скелетного вытяжения в значительном количестве случаев не позволяет добиться точного сопоставления отломков, в настоящее время список показаний к операции расширяется. Специалисты в области травматологии и ортопедии все чаще предлагают пациентам хирургическое лечение не только при перечисленных выше повреждениях, но и при любых переломах мыщелков с достаточно выраженным смещением фрагментов.
- При обычных свежих повреждениях производят артротомию. Фрагменты, свободно лежащие в полости сустава, удаляют. Крупные отломки вправляют и фиксируют винтом, выполняют интрамедуллярный или накостный остеосинтез гвоздем, спицами или специальными Г- и Т-образными опорными пластинами.
- При многооскольчатых повреждениях большеберцовой кости и открытых переломах осуществляют наружный остеосинтез с использованием аппарата Илизарова.
- При свежих переломах со значительной компрессией, неправленых и застарелых переломах, а также вторичном оседании мыщелков из-за преждевременной нагрузки на ногу выполняют костнопластическую операцию по Ситенко.
По методике Ситенко сустав вскрывают, производят остеотомию, приподнимают верхний фрагмент мыщелка так, чтобы его суставная поверхность располагалась на одном уровне и в одной плоскости с поверхностью второго мыщелка, а затем вводят в образовавшуюся щель клин, изготовленный из аутогенной или гетерогенной кости. Фрагменты скрепляют стягивающими шурупами и пластиной. После остеосинтеза рану послойно ушивают и дренируют. При стабильной фиксации иммобилизация в послеоперационном периоде не требуется.
Дренаж удаляют на 3-4 сутки, затем начинают ЛФК с пассивными движениями для предотвращения развития посттравматической контрактуры сустава. Послеоперационное лечение включает обезболивающие, антибиотики, тепловые процедуры (озокерит, парафин). После уменьшения болей переходят к активной разработке сустава. Легкую осевую нагрузку на конечность при обычном остеосинтезе разрешают через 3-3,5 мес., при проведении костной пластики - через 3,5-4 мес. Полная опора на ногу возможна через 4-4,5 мес.
Прогноз при адекватном сопоставлении отломков, соблюдении рекомендаций врача и сроков лечения обычно удовлетворительный. Отсутствие полной анатомической репозиции, а также преждевременная осевая нагрузка могут спровоцировать оседание отломка большеберцовой кости, что становится причиной формирования вальгусной или варусной деформации конечности с последующим развитием прогрессирующего посттравматического артроза.
Первичная профилактика переломов мыщелков большеберцовой кости включает меры по предупреждению падений с высоты, бытовых и автодорожных травм. Профилактика отдаленных осложнений со стороны врачей предусматривает выбор оптимальной тактики лечения с учетом характера травмы, со стороны пациентов - строгое следование рекомендациям, регулярные занятия лечебной физкультурой для предупреждения контрактур.
3. Особенности хирургического лечения переломов мыщелков большеберцовой кости: автореферат диссертации/ Муса Недаль Халед - 2004
Перелом плечевой кости
Переломы плеча составляют около 7% от общего числа переломов. В зависимости от локализации переломы плеча подразделяются на: переломы верхних отделов плечевой кости; диафизарные переломы плеча (переломы средней части плеча); переломы нижних отделов плечевой кости. Переломы плеча сопровождаются болью и отеком, деформацией и крепитацией в области перелома, ограничением движении руки. При внутрисуставных переломах плеча возможен гемартроз. Основной метод диагностики перелома плечевой кости - это рентгенография, дополнительно может проводиться УЗИ, КТ или МРТ сустава, диагностическая пункция. Лечение включает репозицию отломков, их удерживание при помощи спиц, пластин или винтов, наложение гипсовой повязки, реабилитацию руки после снятия гипса (массаж, ЛФК, физиопроцедуры).



Переломы плеча составляют около 7% от общего числа переломов.
Анатомия
Верхний конец плечевой кости имеет форму полушария и соединяется с суставной поверхностью лопатки, участвуя в образовании плечевого сустава. Расположенная сразу под головкой часть плечевой кости носит название анатомической шейки плеча. Чуть ниже находятся точки прикрепления мышц - малый и большой бугорки. Капсула плечевого сустава охватывает анатомическую шейку плеча и заканчивается над бугорками. Под бугорками кость немного сужается и образует хирургическую шейку плеча. Нижняя часть плечевой кости заканчивается округлой головкой мыщелка, сочленяющейся с лучевой костью и блоком плечевой кости, соединяющимся с локтевой костью.
В зависимости от локализации травматологи подразделяют переломы плеча на:
- переломы верхних отделов плечевой кости;
- диафизарные переломы плеча (переломы средней части плеча);
- переломы нижних отделов плечевой кости.
Перелом плеча в его верхних отделах может быть внутрисуставным (подбугорковым) и внесуставным (подбугорковым).

КТ плечевого сустава. Оскольчатый перелом хирургической шейки плечевой кости со смещением отломков. Дистальный отломок (красная стрелка) вколочен в проксимальный отломок (синяя стрелка).
Проксимальные переломы
Возможен перелом головки, отрыв малого или большого бугра, перелом анатомической и хирургической шейки плеча. Наиболее распространены переломы хирургической шейки, причем подавляющую часть пострадавших составляют люди пожилого возраста. Причиной перелома обычно становится падение на локоть, плечо или отведенную руку.
Симптомы
Пациент предъявляет жалобы на боли в области плечевого сустава. Вколоченные переломы сопровождаются нерезким отеком, болезненностью при попытке активных движений. Пассивные движения ограничены незначительно. При переломе со смещением клиническая картина более яркая. Пострадавшего беспокоят выраженные боли. Выявляется умеренный отек, деформация области сустава и укорочение конечности. Определяется крепитация (хруст костных фрагментов). Диагноз уточняют по результатам рентгенографии. При внутрисуставном переломе может быть проведено УЗИ плечевого сустава.

Лечение
При вколоченных переломах руку фиксируют специальной повязкой. При переломах хирургической шейки со смещением в отделении травматологии выполняют репозицию под местной анестезией. В последующем возможна фиксация повязкой по Турнеру или на отводящей шине, лейкопластырное или скелетное вытяжение. ЛФК назначают, начиная с 7-10 лечения. Срок иммобилизации составляет 6 недель. Операция показана при нестабильных и оскольчатых переломах. Противопоказанием к операции является старческий возраст и тяжелые хронические болезни.
Диафизарные переломы
Переломы плеча в среднем отделе (диафизарные переломы плеча) возникают в результате падения на руку или удара по плечу, могут быть косыми, поперечными, винтообразными и оскольчатыми. Диафизарные переломы плеча нередко сочетаются с повреждением лучевого нерва. Возможно повреждение плечевых артерий и вен.
Клиническими признаками перелома плеча являются боли, отечность, деформация, крепитация костных фрагментов и патологическая подвижность плечевой кости. При переломах плеча с повреждением лучевого нерва пациент не может самостоятельно разогнуть пальцы и кисть. Для уточнения диагноза и выбора тактики лечения выполняют рентгенографическое исследование.
Переломы плеча без смещения обезболивают и фиксируют гипсовой шиной. При переломах плеча со смещением накладывают скелетное или лейкопластырное вытяжение, которое после появления рентгенологических признаков костной мозоли заменяют гипсовой лонгетой. Общий срок иммобилизации при диафизарных переломах плеча составляет 3-3,5 месяца.
При хорошо сопоставленных переломах плеча, сочетающихся с повреждением лучевого нерва, проводится консервативная терапия (адекватная иммобилизация перелома плеча, лекарственная стимуляция восстановления нерва, ЛФК, физиолечение). Если в течение 2-3 месяцев нет признаков регенерации нерва, выполняют операцию. Хирургическое лечение показано при многооскольчатых переломах плеча, невозможности закрытой репозиции, интерпозиции мягких тканей и повреждении сосудов. Фиксацию отломков осуществляют при помощи пластин, металлических штифтов или аппарата Илизарова.

Дистальные переломы
Возможны внутрисуставные и внутрисуставные переломы плеча в нижних отделах. К внесуставным переломам нижних отделов плеча относятся надмыщелковые переломы, к внутрисуставным переломам - переломы блока, головчатого возвышения плечевой кости и межмыщелковые переломы.
Надмыщелковые переломы
С учетом механизма травмы надмыщелковые переломы плеча подразделяются на разгибательные и сгибательные. Сгибательные надмыщелковые переломы встречаются чаще, возникают при падении на согнутую руку. Причиной разгибательного перелома становится падение на переразогнутую руку.
Область плеча над локтевым суставом отечна, резко болезненна. Сгибательные переломы сопровождаются визуальным удлинением предплечья, при разгибательных переломах предплечье выглядит укороченным. Надмыщелковые переломы плеча могут сочетаться с вывихом костей предплечья. Диагноз устанавливается после рентгенографии.
При неосложненных переломах область повреждения фиксируют гипсовой лонгетой на 3-4 недели. При большом смещении отломков и невозможности репозиции выполняют операцию.
Переломы мыщелков
Перелом наружного мыщелка возникает при падении с опорой на разогнутую руку, перелом внутреннего мыщелка - при падении на локоть. Возможна прямая травма (удар в область мыщелка). Локтевой сустав отечен, резко болезненен. Как правило, переломы мыщелков сопровождаются развитием гемартроза (скоплением крови в локтевом суставе), при котором боли и отек становятся более выраженными. Диагноз устанавливают после рентгенографии.
При переломах без смещения проводят иммобилизацию гипсовой лонгетой. При переломах со смещением выполняют репозицию под местной анестезией. Если фрагменты невозможно сопоставить, проводится хирургическое лечение (фиксация отломков спицами, пластинами или винтами). Физиотерапевтические процедуры при данном виде переломов плеча противопоказаны. Пациентам назначают ЛФК и механотерапию.
Чрезмыщелковые переломы
Обычно встречаются у детей. Возникают при падении на локоть. Сопровождаются болью, отеком, ограничением движений в суставе. Лечение как при переломах мыщелков.
Перелом медиального мыщелка плечевой кости. Диагностика и лечение
Переломы мыщелков плечевой кости в структуре ежегодной заболеваемости составляют, по разным оценкам, от 5,7 до 34 на 100 000 населения в год [5, 7]. Распределение имеет бимодальный характер с первым пиком заболеваемости у молодых мужчин в возрасте до 19 лет, как правило, в результате высокоэнергетических травм и вторым пиком у женщин пожилого возраста с сопутствующим остеопорозом и нарушениями процесса ремоделирования костной ткани [6].
Цель настоящего исследования - улучшить результаты хирургического лечения внутрисуставных оскольчатых переломов мыщелков плечевой кости с помощью чрескостного остеосинтеза аппаратом внешней фиксации.
Материал и методы
С 1998 по 2013 г. в клиниках травматологии и ортопедии Управления делами Президента РФ оперированы 55 пациентов с внутрисуставными оскольчатыми переломами мыщелков плечевой кости, которым был выполнен чрескостный остеосинтез аппаратом внешней фиксации конструкции А.И. Городниченко.
Хирургическое лечение переломов мыщелков плечевой кости осуществляли методом чрескостного остеосинтеза с применением спице-стержневого аппарата, основными преимуществами которого являлись стабильность достигаемого остеосинтеза на весь период лечения, элементы аппарата, изготовленные из высокопрочного рентгенопрозрачного углепластика, что позволяло контролировать точность закрытой репозиции во всех проекциях, одностороннее расположение, компактные размеры и незначительная масса всей конструкции, а также «плавающие» держатели стержней, не препятствующие устранению всех видов смещения костных отломков [2]. Наш опыт наглядно показал простоту и безопасность остеосинтеза данным аппаратом, минимальную травматичность операции и высокую стабильность фиксации костных отломков даже у больных с остеопорозом.

Показаниями к чрескостному остеосинтезу аппаратом внешней фиксации являлись открытые и закрытые оскольчатые внутрисуставные переломы мыщелков плечевой кости типов 13-С1,2,3 по классификации АО [4] (рис. 1). Рисунок 1. Классификация АО внутрисуставных оскольчатых переломов мыщелков плечевой кости (тип 13-С1,2,3). Среди повреждений преобладали открытые и закрытые переломы типов 13-C1,2 по классификации AO. В случае открытых повреждений подобного типа больные были оперированы в течение первых 6 ч с момента поступления. Переломы 13-С1 встречались в 26 (47,2%) наших наблюдениях, переломы 13-С2 - в 20 (36,4%) и переломы 13-С3 - в 9 (16,4%) наблюдениях.
Все оперативные вмешательства проводили на ортопедическом столе под контролем электронно-оптического преобразователя. Методом анестезии являлась либо проводниковая анестезия - блок плечевого сплетения, либо внутривенный наркоз. Репозицию перелома, как правило, проводили закрыто, и только при многооскольчатых внутрисуставных переломах типа 13-С3 выполняли открытую репозицию с целью наиболее точного восстановления конгруэнтности суставных поверхностей. Количество вводимых стержней зависело от характера перелома и наличия сопутствующего остеопороза. В область дистального метаэпифиза плечевой кости вводили 1 или 2 стержня и 1 или 2 спицы с упорными площадками, которые крепили с наружной стороны в аппарате внешней фиксации. В диафиз плечевой кости вводили 1 или 2 кортикальных стержня. Все стержни вводили через разрезы кожи длиной до 5 мм, что позволяло сократить интраоперационную кровопотерю до 10-30 мл, а продолжительность операции до 30-45 мин. Окончательной репозиции достигали на операционном столе с помощью средств ручной репозиции, чему в значительной мере способствовало то обстоятельство, что основные элементы аппарата были выполнены из рентгенопрозрачного углепластика.
Результаты и обсуждение
Консолидация перелома наступила во всех наблюдениях. Вторичного смещения отломков в аппарате нами не отмечено. Средний срок фиксации составил 78 дней (от 65 до 98 дней). Ближайшие результаты оценивали через 2,5-3 мес после операции при демонтаже аппарата, отдаленные - через 10-12 мес после остеосинтеза на основании клинико-рентгенологических данных.
Отличным считали результат, при котором наступала консолидация перелома, объем движений восстанавливался более чем на 80% исходного (110° и более), субъективная оценка больным функции очень хорошая, пациент вернулся к предыдущей работе.
Результат расценивали как хороший, если наступала консолидация перелома, объем движений восстанавливался более чем на 65% исходного (от 90° до 109°), субъективная оценка больным функции хорошая, пациент вернулся к некоторым видам работы.
Удовлетворительным считали результат, при котором наступала консолидация перелома, объем движений восстанавливался более чем на 50% исходного (от 70° до 89°), субъективная оценка больным функции удовлетворительная, пациент полностью пригоден к облегченному труду.
Как неудовлетворительный оценивали результат при восстановлении объема движений менее чем на 50% исходного (менее 70°), субъективной оценке больным функции как неудовлетворительной, пациент нетрудоспособен.
Демонтаж аппаратов производили в амбулаторных условиях либо пациентов госпитализировали в стационар на один день. Через 1 год после остеосинтеза из 51 (92,7%) обследованного у 9 (17,6%) отмечены отличные результаты, у 24 (47,1%) - хорошие и у 18 (35,3%) - удовлетворительные. Неудовлетворительных результатов не было. Из осложнений у 4 (7,3%) пациентов отмечалось воспаление мягких тканей вокруг стержней, которое было купировано в стационаре и не потребовало демонтажа аппарата.
С целью иллюстрации полученных результатов приводим клинический пример.

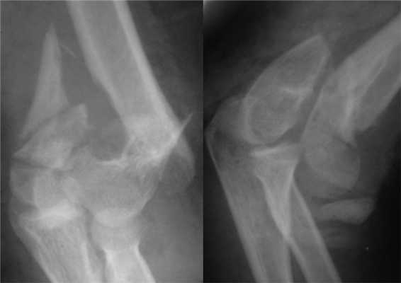
Больная П., 25 лет, поступила в стационар с жалобами на боли в левом локтевом суставе через 2 ч после травмы в результате падения на улице. При осмотре отмечены отек левого локтевого сустава, болезненность при пальпации, невозможность движений в суставе из-за боли. После клинико-рентгенологического обследования установлен диагноз: закрытый внутрисуставной оскольчатый чрезмежмыщелковый перелом левой плечевой кости со смещением отломков тип 13-С2 (рис. 2). Рисунок 2. Рентгенограммы больной П. с внутрисуставным оскольчатым чрезмежмыщелковым переломом левой плечевой кости со смещением отломков тип 13-С2.
Сосудистых и неврологических расстройств в дистальных отделах левой верхней конечности выявлено не было. При поступлении произведена анестезия места перелома, внешняя иммобилизация гипсовой лонгетной повязкой.

На следующий день под новокаиновым блоком плечевого сплетения произведена операция: закрытая репозиция и чрескостный остеосинтез левой плечевой кости спице-стержневым аппаратом внешней фиксации конструкции А.И. Городниченко. Через разрезы кожи и мягких тканей по наружной поверхности левого плеча длиной до 5 мм введено 2 кортикальных стержня в диафиз плечевой кости, один кортикальный и один спонгиозный стержень и 2 спицы с упорной площадкой в мыщелки и надмыщелки плечевой кости. После фиксации проксимальных стержней в аппарате под контролем электронно-оптического преобразователя произведена закрытая репозиция с помощью съемных рукояток с последующей стабилизацией дистальных стержней и спиц (рис. 3). Рисунок 3. Рентгенограммы больной П. после остеосинтеза левой плечевой кости спице-стержневым аппаратом. Кожа вокруг стержней ушита одиночными швами. Кровопотеря в ходе операции 20 мл. Продолжительность операции 40 мин.

Послеоперационное течение без осложнений, проводили регулярные перевязки с обработкой кожи вокруг стержней и спиц растворами антисептиков и сменой асептических повязок. Швы вокруг стержней сняты через 8 дней после операции, пациентка выписана на амбулаторное лечение с рекомендациями по дальнейшему восстановительному лечению. Движения в левом локтевом суставе перед выпиской из стационара показаны на рис. 4. Рисунок 4. Рентгенограммы больной П. после остеосинтеза левой плечевой кости спице-стержневым аппаратом.
После консолидации перелома через 71 день произведен демонтаж аппарата (рис. 5). Рисунок 5. Рентгенограммы больной П. после остеосинтеза левой плечевой кости спице-стержневым аппаратом. Движения в левом локтевом суставе после демонтажа аппарата от 0 до 128° (рис. 6). Рисунок 6. Внешний вид больной П. после демонтажа аппарата (объем движений в левом локтевом суставе от 0 до 128°).
Таким образом, полученные нами результаты лечения оскольчатых внутрисуставных переломов мыщелков плечевой кости (тип С по классификации АО) с применением чрескостного остеосинтеза аппаратом внешней фиксации конструкции А.И. Городниченко свидетельствуют о его высокой эффективности по созданию стабильного остеосинтеза, позволяющего сохранить функцию поврежденного сустава на протяжении всего периода лечения, что при регулярных занятиях лечебной физкультурой обеспечивает восстановление объема движений в поврежденном суставе и создает условия для восстановления трудоспособности пациентов. Применение малотравматичного чрескостного остеосинтеза дает возможность избежать значительной кровопотери в ходе оперативного вмешательства, а конструктивные особенности аппарата - сократить продолжительность операции.
Многократность использования в сочетании с меньшей стоимостью фиксатора по сравнению с пластинами с угловой стабильностью гарантируют достижение значительного экономического эффекта. Одностороннее расположение и компактные размеры создают условия для улучшения качества жизни пациентов в послеоперационном периоде. Применение аппарата внешней фиксации конструкции А.И. Городниченко позволяет улучшить функциональные результаты хирургического лечения оскольчатых внутрисуставных переломов мыщелков плечевой кости и избежать неудовлетворительных результатов. Применение аппарата обеспечивает сокращение сроков стационарного лечения, реабилитации и временной нетрудоспособности пациентов. Предложенный метод лечения переломов дистального отдела плечевой кости можно рекомендовать для широкого практического применения.
Читайте также:
