Периоды формирования сменного прикуса. Постоянный прикус
Добавил пользователь Владимир З. Обновлено: 31.10.2025
Все дети неизбежно проходят период сменного прикуса - молочные зубы поочередно выпадают, на их месте вырастают постоянные. В это время требуется усилить внимание за полостью рта детей, и, при необходимости, принимать срочные меры.
Когда сменный прикус в норме
Нормой сменного прикуса считаются следующие признаки:
- смена зубов начинается в 6-7 лет и к 12-14 годам завершается;
- корни молочных зубов в предшествующие 2-3 года рассасываются, вызывая их пошатывание и выпадение;
- постоянные единицы формируются под молочными, после их выпадения - начинают расти усиленно, пробиваясь через 2-4 года на поверхность. Окончательное развитие и минерализация постоянных зубов происходят через 2-3 года;
- активно растут, увеличиваясь в размерах, челюсть и зубоальвеолярная дуга;
- появляются широкие промежутки между зубами - это норма, поскольку постоянные зубы крупнее молочных, и им требуется больше пространства.
В норме молочные зубы не контактируют с постоянными. В противном случае - это аномалия, спровоцированная поздним выпадением молочных или ранним прорезыванием постоянных. Данные случаи чреваты нарушением функциональности ВЧНС и требуют немедленного обращения к стоматологу.
Периоды сменного прикуса
Различают ранний и поздний сменный прикус:
- ранний протекает в период от 6 до 9 лет. В это время режутся резцы и первые моляры (шестерки);
- поздний происходит в возрасте от 10 до 12-14 лет, когда вырастают клыки, вторые моляры, премоляры.
Указанные выше сроки у разных детей отличаются несущественно. Это зависит от особенностей организма, условий жизни, и не считается патологией.

Распространенные нарушения
О зубных патологиях могут свидетельствовать признаки, требующие врачебной консультации:
- Узкая челюсть, межзубные промежутки не образовываются.
- Нарушена пропорциональность челюстей - одна кажется излишне массивной, а вторая маленькой; одна из челюстей чрезмерно выдается вперед или сдвигается назад, создавая лицевую асимметрию.
- Прорезывающиеся зубы скученны, искривлены, имеют неправильный наклон и форму.
- Молочные единицы не выпадают, поскольку их корни не рассасываются, мешая прорезыванию постоянных.
- Постоянные зубы прорезаются рядом с временными, либо создают второй ряд, вне альвеолярной дуги.
- Молочные уже выпали, а постоянные, даже спустя 3-4 месяца, не прорезываются. Это может свидетельствовать об отсутствии зачатков постоянных зубов и других аномалиях.
- Прорезывание постоянных зубов сопровождается отеком, сильной болью, воспалением десны.
- Новые единицы появляются с различными поражениями (пятнами), подвержены кариесу и другим разрушительным процессам.
Последствия проблем сменного прикуса
Вышеперечисленные патологии приводят к ухудшению гигиены ротовой полости, невозможности тщательного удаления патогенов из труднодоступных мест. Поэтому возрастает риск появления кариеса, пародонтита, гингивита. Возникают повышенная чувствительность, истираемость эмали. Постоянные зубы разрушаются и теряются в молодом возрасте.
Проблемы сменного прикуса чреваты неправильным распределением нагрузки на организм - на его мышцы, связки и суставы. Поскольку прикус и осанка взаимосвязаны, то следствие зубных проблем - боли в голове, шее, спине, пояснице, нарушение работы ВНЧС, опорно-двигательного аппарата.
Некачественное пережевывание пищи нарушает работу желудочно-кишечного тракта и его органов. Проблемы с прикусом также приводят к нарушениям дыхания, дикции.
Нужно ли удалять молочные зубы
Шатающиеся единицы доставляют детям дискомфорт. По мнению стоматологов, намеренно удалять их не стоит - необходимо дождаться, пока они выпадут естественным путем. В обратном случае можно повредить коронку или корни нового зуба, оставить частички твердой ткани, травмировать десны нерассосавшимися корнями молочного зуба.
Профилактика заболеваний постоянных зубов
Избежать стоматологических патологий после смены молочных зубов помогают следующие меры:
- Регулярные визиты к детскому стоматологу - каждые полгода. Врач определяет необходимость в лечении или удалении временных единиц.
- В период 6-8 лет - посещение ортодонта для предупреждения возможных аномалий.
- Контроль соблюдения ребенком гигиены полости рта: ежедневная чистка зубов по утрам и вечерам.
Родителям стоит знать, в период сменного прикуса появляются жевательные и фронтальные зубы, которые первые 2-3 года слабоминерализованы, легко подвергаются кариесу и прочим разрушительным процессам. Во избежание зубопротезирования в 18 лет, принимать профилактические и лечебные меры необходимо своевременно, в детском и подростковом возрасте.
Молочный, сменный и постоянный прикус
Прорезывание зубов у малыша для каждого родителя является причиной переживаний и ночей без сна.

Прорезывание зубов у малыша для каждого родителя является причиной переживаний и ночей без сна. Формирование зубных единиц - процесс сложный и требующий должного внимания от родителей. Разберемся, когда все идет хорошо без каких-либо отклонений, а когда требуется помощь специалиста.
Прикус - это расположение одного зубного ряда относительно другого при абсолютном смыкании челюстей. Формирование прикуса - неотъемлемая составляющая здоровья ротовой полости. Начиная с первых дней появления на свет, у малыша запускаются процессы по формированию прикуса. Развивается зубная система на протяжении двадцати лет.
Специалисты выделяют несколько периодов становления прикуса:
- временный (молочный);
- сменный;
- постоянный.
Молочный прикус
Два этапа развития: процесс самого формирования и сформированный прикус. Для каждого этапа имеются сроки, в которые зубные единицы прорезываются по очередности. Сроки определены физиологией человека.
Малыши рождаются беззубыми, хотя зачатки уже имеются внутри десен. Процесс появления зубов, как правило, сопровождается слезами, припухлостью пародонта и повышенной температурой тела.
Прорезываться зубки начинают, когда малышу исполняется три-четыре месяца. Длится это процесс примерно до трех лет. Это условные границы, которые зависят от индивидуальных особенностей каждого малыша.
Прорезываются зубки по парам: сначала появляются нижние пары, и только потом верхние.
Последовательность появления молочных зубов:
- Центральные резцы начинают прорезываться на пятом месяце жизни малыша, заканчивают на девятом.
- Боковые резцы прорезываются в период с пяти до семи месяцев.
- Моляры появляются в возрасте около года, процесс может продлиться до полутора лет.
- Клыки прорезываются в период от тринадцати до двадцати месяцев.
- Оставшиеся моляры появляются, начиная с двадцатого месяца жизни ребенка, и заканчивают прорезываться в возрасте двух с половиной лет.
- Зубки недоношенных детей могут начать прорезываться позже.
Временный прикус имеет несколько отличительных особенностей, которые можно условно поделить на группы по этапам развития. Период формирования:
- нижняя челюсть развивается медленнее верхней;
- зубные ряды расположены симметрично;
- парные зубы не полностью соприкасаются друг с другом.
Сформированный временный прикус:
- зубы удаляются друг от друга из-за того, что сама челюсть становится больше;
- выраженная стираемость всех единиц;
- за молярами появляется свободное место.
Ухаживать за полостью рта нужно с появления самого первого зубика. Сначала чистку проводят с помощью напальчника, а уже после при помощи щетки. Чистят молочные зубки специальными пастами, не содержащими абразивные частички.
Многие полагают, что молочные зубы не нужно лечить, так как со временем они сменятся на постоянные. Это совсем не так. Молочный прикус влияет на формирование постоянного.
Консультация специалиста по формированию молочного прикуса может понадобиться в следующих случаях:
- если зубки растут неровно и им не хватает места в полости рта;
- зубы не прорезываются своевременно или отсутствуют зачатки молочных единиц;
- травмирование челюсти;
- удаление моляров.
Сменный прикус
Этот этап начинается в возрасте пяти-шести лет. В полости рта к этому моменту находятся и молочные, и коренные зубки, первые как раз начинают выпадать.
Сменный прикус состоит из двух этапов:
- появление резцов и шестых зубов;
- прорезывание боковых единиц.
Особенности сменного прикуса:
- быстрый рост челюсти;
- подвижность зубного ряда;
- рассасывание корней молочных зубов.
Помощь стоматолога в этот период может понадобиться в случае, если постоянный зуб прорезался, а молочный на его месте еще не выпал.
Когда все молочные зубки выпали, заканчивается период сменного прикуса.
Постоянный прикус
- появление последних коренных моляров;
- появление зубов мудрости и развитие челюстных дуг;
- формирование костей челюсти заканчивается (возраст около двадцати пяти лет).
Аномалии постоянного прикуса могут развиться из-за сбоев в развитии на предыдущих этапах формирования.
Как предотвратить развитие патологий:
- правильное грудное кормление малыша;
- профилактика рахита;
- отучение от привычки постоянно сосать соску;
- постоянный уход за зубами и деснами;
- правильно подобранные средства гигиены;
- своевременная смена зубной щетки;
- своевременное введение в рацион твердых продуктов питания.
Профилактика поможет снизить риски развития неправильного прикуса. Тем не менее, к сожалению, существуют факторы, которые не связаны с уходом за полостью рта и своевременной профилактикой. К другим причинам развития аномалий прикуса относятся:
- генетическая предрасположенность;
- недоразвитые мышцы челюсти;
- лор-заболевания, из-за которых рот у ребенка всегда открыт;
- травмирование челюсти.
При обнаружении симптомов развития неправильного прикуса родителям нужно сразу проконсультироваться с врачом-стоматологом, поскольку последствия аномалии могут быть серьезными:
Что такое сменный прикус
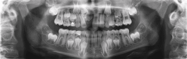
Выпадение молочных зубов и появление постоянных — важный период для ребенка. Малыши с нетерпением ждут этого момента, чтобы получить долгожданный подарок от Зубной феи. А родители бережно хранят каждый выпавший зубик. В это время у ребенка сменный прикус, так как постоянные зубы поочередно сменяют молочные. Как это происходит, разберемся вместе.
В молочном прикусе у ребенка 20 зубов. Как правило, к трем годам они все уже прорезались.
К шести годам эти зубы постепенно начинают выпадать, а на их месте появляются постоянные.
В этот переходный период, когда зубной ряд состоит из молочных и постоянных зубов, у ребенка сменный прикус.
Ранний сменный прикус.
Поздний сменный прикус.
Этот этап начинается с 10 лет и длится 2-4 года. В это время появляются остальные
зубы — премоляры и клыки. В конце зубного ряда вырастают вторые моляры, или «семерки».
Во время сменного прикуса идет активный рост челюстей и начинает формироваться постоянный прикус. Поэтому важно следить за тем, в какой последовательности у ребенка зубы сменяют друг друга

Особенности сменного прикуса
Этот этап начинается с 10 лет и длится 2-4 года. В это время появляются остальные
зубы — премоляры и клыки. В конце зубного ряда вырастают вторые моляры, или «К пяти-шести годам
в организме ребенка начинаются два важных процесса — выпадение молочных зубов
и прорезывание постоянных. Происходит это следующим образом.
Корни молочных резцов, которые начинают рассасываться у ребенка в 4-5 лет, постепенно исчезают. Эти зубы сидят в лунке уже не так крепко, как раньше, начинают шататься и вскоре выпадают.
Одновременно зачатки (фолликулы) постоянных зубов развиваются все быстрее и продвигаются
к лунке сквозь костную ткань. При правильной смене прикуса эти зубы не соприкасаются
с молочными и вскоре занимают их места. Так происходит смена молочных резцов на постоянные.
С этого момента у ребенка начинается процесс формирования постоянного прикуса, который проходит в два этапа.
Временной промежуток между выпадением молочного зуба и полным прорезыванием на его месте постоянного может сильно растянуться.
Это связано с особенностями развития каждого конкретного ребенка.
Сроки прорезывания постоянных зубов
- Первые моляры — 5-7 лет
- Центральные резцы — 5-8 лет
- Боковые резцы — 6-8 лет
- Первые премоляры — 9-13 лет
- Клыки — 9-14 лет
- Вторые премоляры — 10-14 лет
- Вторые моляры — 11-14 лет
- Третьи моляры — 18-20 лет и старше

Проблемы сменного прикуса
Постоянные зубы прорезываются в той же последовательности, как и молочные. Сначала появляется зуб на нижней челюсти, а потом — его антагонист на верхней. Но в порядке и сроках прорезывания могут быть отклонения от нормы.
Самое распространенное из них — задержка прорезывания зубов. В этом случае особенно важно обратиться за помощью к стоматологу и провести рентгенологическое обследование, чтобы выяснить, почему постоянный зуб не прорезался. Возможные причины:
- генетическая предрасположенность
- зуб недостаточно развит и задержался в челюсти
- нет зачатка постоянного зуба
- зуб неправильно расположен в кости (ретенирован)
Смена временных зубов на постоянные — важный этап в жизни ребенка. Красивая улыбка
и правильный постоянный прикус зависят не только от наследственности,
но и от грамотного и регулярного ухода за зубами. Сменный прикус у ребенка — это повод еще раз прийти на профилактический осмотр к стоматологу-ортодонту. Визит к врачу не займет много времени, но при этом поможет убедиться, что смена зубов происходит правильно.
Многие взрослые, не говоря уже о подростках, не обращаются за помощью к ортодонту, поскольку считают, что брекеты на зубах ударят по их самооценке и скажутся на коммуникации. Сапфировые брекет-системы тому яркое доказательство. Они восстанавливают ваше здоровье и больше, чем остальные конструкции, соответствуют понятию «украшение».
Формирование постоянного прикуса
Этапы развития прикуса
К 12 годам у ребенка обычно начинается процесс активного формирования постоянного прикуса, который включает в себя следующие этапы:
- в возрасте 13-15 лет начинается период развития, активного роста альвеолярных отростков, прорезывание вторых моляров, завершается этот этап только к 18 годам;
- период доформирования протекает с 18 лет до 24-25, в это время развиваются зубные дуги, а челюсти приобретают окончательный размер. В это же время прорезываются третьи моляры, хотя специалисты отмечают, что зубы мудрости появляются далеко не у всех;
- окончательное формирование прикуса заканчивается, когда у человека появляются все 32 зуба, в это время развитие останавливается, но мезиальное смещение может продолжаться в течение всей жизни.
В процессе формирования постоянного прикуса меняется не только положение зубов, но пропорции лица.

Функции отдельных зубов
- Резцы. Это восемь центральных зубов, расположенных по четыре в верхнем и нижнем челюстном ряду. Это элементы с одним корнем и острой режущей частью, предназначением которых является откусывание продуктов питания.
- Клыки. Такие элементы идут сразу за резцами, всего каждая челюсть имеет по 2 клыка. Эти элементы имеют заостренный край, помогающий участвовать в процессе пищеварения, отрывая частицы пищи от крупного куска.
- Премоляры. Такие зубы называются малыми коренными единицами, они расположены по 4 в верхней и нижнем челюстном ряду, необходимы для измельчения, последующего щательного перетирания пищи. Этому служат призматическая форма зуба, наличие на жевательной поверхности двух особых бугорков.
- Моляры. Такие зубы имеют прямоугольную форму, три прочных, глубоких корня. Жевательная поверхность оснащена бугорками, что позволяет тщательно измельчать пищу перед ее проглатыванием. Эти единицы - самые крупные элементы, их количество достигает 12 единиц - по 6 в каждом челюстном ряду.
Форма рядов
Постоянный прикус характеризуется установившейся формой рядов:
- фронтальные ряды не имеют крупных промежутков;
- лицевая центральная ось проходит между передними резцами;
- коронковая часть нижних единиц перекрывается верхними зубами не более, чем на одну треть длины коронки;
- при сведении между зубами отсутствуют промежутки (при нормальном прикусе);
- форма верхней зубной дуги - полуэллипс, нижней - парабола;
- верхний челюстной ряд имеет длину, немного большую, чем у нижнего.
Оптимальным прикусом с ортодонтической точки зрения является ортогнатический. Именно он обеспечивает полноценное выполнение всех функций, правильное откусывание, измельчение пищи. К физиологическим формам такого прикуса относятся следующие:
- прямой;
- биопрогнатический;
- опистогнатический;
- прогенический.
При прямой форме режущие поверхности зубов переднего сектора соприкасаются во время соединения челюстей. При биопрогнатической форме имеется небольшой наклон зубов в вестибулярном направлении. При опигнатической форме есть небольшой наклон челюстей во внутреннюю сторону, а при прогенической форме нижний ряд немного выдвигается вперед.
Характеристика временного, сменного и постоянного прикусов. Часть 1

В течение жизни в полости рта человека последовательно прорезываются временные, затем постоянные зубы. Знание анатомического строения, сроков прорезывания зубов, особенностей роста и развития челюстей на разных этапах формирования челюстно-лицевой системы, физиологических прикусов важно для врачей всех специальностей. Это общеморфологическое направление является базовым и определяет закономерности развития зубочелюстной системы, выявляет индивидуальные особенности.
У новорожденного ребенка в челюстях имеются зачатки 20 временных и 16 постоянных зубов различной стадии развития. Нижняя челюсть расположена позади верхней, а между альвеолярными отростками в переднем участке имеет место сагиттальная щель до 10 - 14 мм.
В грудной период продолжается внутричелюстное формирование и минерализация временных зубов, и с 6-го месяца начинается процесс прорезывания их формируется временный прикус. Одновременно с этим начинается минерализация постоянных зубов.
Средний возраст прорезывания— это возраст, когда зуб прорезался у 50% детей.
Установлено, что в зоне с повышенным содержанием фтора в питьевой воде прорезывание боковых резцов, клыков, вторых моляров начинается позднее на 2-3 месяца по сравнению с зоной с пониженным содержанием фтора в питьевой воде.
Последовательность прорезывания временных зубов на каждой челюсти происходит в следующем порядке: I - II - IV - III - V, а в целом в прикусе так: Iн - Iв - Iв - Iн - Ivн - Ivв - IIIв - IIIн - Vн - Vв. Представленный порядок прорезывания наиболее типичен, однако возможны также варианты, когда у ребенка вначале прорезываются боковые резцы, а в скором времени вслед за ними центральные.
Зубы обычно прорезываются последовательно, попарно, симметрично. Нарушение парности прорезывания отмечается при пороках развития зубов и челюстей. Считается нормальным, когда к концу 1-го года жизни ребенка прорезались 8 резцов, затем — первые моляры, клыки и вторые моляры (таб. 1).
Таблица 1. Сроки закладки минерализации, прорезывания и формирования зубов
Однако в последнее время в связи с процессами акселерации с многих детей начало прорезывания приходится на более раннее время - 4 или 5 месяцев жизни, поэтому некоторые авторы предлагают средние сроки прорезывания, которые были определены ими в результате собственных клинических исследований (таб. 2).
Таблица 2. Анатомия временных зубов.
Временные зубы отличаются от постоянных величиной, формой, цветом (таб. 3).
Таблица 3. Сравнительные признаки временных и постоянных зубов
Среди временных зубов выделяют: резцы - 8; клыки - 4; моляры - 8. По своему строению зубы не однородны, Это зависит от групповой принадлежности зуба, от описываемой поверхности зуба. Для удобства описания выделяют поверхности: вестибулярная, язычная, медиальная, дистальная, окклюзионная.
Группа временных резцов - это однокорневые зубы. На каждой челюсти располагается по 4 резца: 2 медиальных (центральных) и 2 латеральных (боковых) соответственно левые и правые. Общим в строении резцов является форма коронки, уплощенная в вестибуло-язычном направлении вблизи режущего края. Корень имеет конусовидную форму.
Анатомическая форма временных зубов правой верхней челюсти
Анатомическая форма временных зубов правой нижней челюсти.
Группа временных клыков - это однокорневые зубы. На каждой челюсти располагается по 2 клыка: правый и левый. Общим в анатомии этих зубов является наличие заостренной со всех поверхностей коронки и самого длинного конусовидного корня.
Группа временных моляров. Это зубы с многобугорковой жевательной поверхностью и несколькими корнями. Временные моляры самые крупные зубы временного прикуса. У ребенка 8 моляров: 4 моляра верхней челюсти - первый и второй (правые и левые); и 4 моляра нижней челюсти - первый и второй (правые и левые).
Период сформированного временного прикуса имеет следующие зубные признаки: 1. временных зубов 20, они имеют выраженную анатомическую форму, 2. зубы в пределах зубного ряда имеют плотный контакт. Контактный пункт точечный, но при увеличении физиологической подвижности к концу периода сформированного временного прикуса контактный пункт становится плоскостным. 3. верхний и нижний зубные ряды имеют форму полукруга и их середины совпадают между собой; 4. зубы верхней челюсти во фронтальном отделе перекрывают зубы нижней. Это объясняется большей шириной верхней зубной дугой но сравнению с нижней; 5. каждый зуб верхней челюсти артикулирует с двумя нижними, за исключением второго моляра, который артикулирует только со своим антагонистом - вторым нижним моляром; 6. дистальные апроксимальные поверхности вторых временных моляров находятся в одной вертикальной плоскости.
К моменту окончания прорезывания временных зубов осуществляется первый этап физиологического подъема высоты прикуса, который начинается с установления контакта между первыми временными молярами и завершается полным прорезыванием и правильным артикуляционным взаимоотношениям вторых временных моляров.
Следующий период формирования зубочелюстной системы - это период редукции временного прикуса, продолжающийся с 4,5 до 6 лет. Полностью сформированный временный прикус в этот период нестабильный и претерпевает ряд изменений. Его еще называют периодом, предшествующим смене временного прикуса, или периодом «изнашивания» временного прикуса.
Р ис. 4. Редукция временного прикуса (модели челюстей): а) вид спереди, б) вид сзади.
Рис. 5 Правильное соотношение
В следствие роста челюстных костей в процессе подготовке к смене временных зубов на постоянные (большие по размеру), для этого периода характерно формирование физиологических промежутков между зубами (диастем - между центральными резцами и трем - между остальными зубами). Постепенно нарастает стираемость бугров жевательных зубов и режущих краев фронтальных зубов. Усиливается физиологическая подвижность отдельных зубов, подлежащих смене. Зубные ряды удлиняются. За счет стиранея жевательных поверхностей боковых зубов происходит медиальный (к средней линии) сдвиг нижней челюсти и формируется «прямой скользящий прикус». При этом резцы контактируют режущими краями , а в боковом участке возникает медиальная ступенька, образованная дистальными поверхностями вторых временных моляров (симптом Цилинского).
Такое соотношение зубов обеспечивает в последующем правильное положение и соотношение первых постоянных моляров. Промежутки приматов (диастемы и тремы) являются резервным местом для медиального смещения нижнего зубного ряда и последующего беспрепятственного размещения постоянных зубов. Стирание зубов приводит к уменьшению высоты коронок, формируется прямой «скользящий» прикус. Завершается дифференцировка элементов височно-нижнечелюстных суставов, продолжается закладка третьих моляров, развитие и минерализация премоляров и вторых моляров. К концу периода «изнашивания» временного прикуса начинается прорезывание первых постоянных моляров.
Развитие постоянных зубов в целом напоминает развитие временных зубов. У постоянных моляров временные предшественники отсутствуют, поэтому их называют дополнительными. Все остальные постоянные зубы являются замещающими.
В ходе прорезывания постоянных замещающих зубов происходит разрушение и выпадение временных зубов, которое включает и прогрессивную резорбцию корней временных зубов и их альвеол (рис. 6).
Вследствие давления постоянного зуба на альвеолу временного зуба начинается дифференцировка остеокластов, которые активно включаются в процессы резорбции костной ткани.
Локализация зон физиологической резорбции корней временных зубов различна в зависимости от групповой принадлежности зуба: у однокорневых зубов она располагается в области верхушки зуба с язычной стороны, а у многокорневых зубов - в зоне бифрукации корней.
Сроки прорезывания постоянных зубов при правильном развитии ребенка совпадают со временем выпадения временных зубов (табл. 4).
Процесс выпадения временного зуба протекает синхронно с процессом прорезывания постоянного зуба.
Клинически после выпадения временного зуба обнаруживаются бугры или часть режущего края прорезывающихся постоянных зубов.
Таблица 4. Сроки прорезывания постоянных зубов.
Прорезывание постоянных зубов начинается с первого постоянного моляра в 6 лет. Затем последовательно в возрасте 6 - 8 лет прорезываются центральные и боковые резцы. В 9 - 10 лет прорезываются первые премоляры, за которыми, чаще всего, следуют клыки (10 - 11 лет) и вторые премоляры (11 - 12 лет). В 12 - 13 лет прорезываются вторые постоянные моляры. Таким образом, к 12 - 13 годам все временные зубы заменяются постоянными. Окончательное формирование корней завершается к 15 годам.
У замещающих зубов имеется особая анатомическая структура, способствующая их прорезыванию - проводниковый канал, который содержит проводниковый тяж.
Закладка такого постоянного зуба размещается первоначально в общей костной альвеоле с его временным предшественником. В дальнейшем она полностью окружается альвеолярной костью, за исключением небольшого канала, содержащего остатки зубной пластинки и соединительную ткань. Вместе эти структуры способствуют направленному движению постоянного зуба в ходе его прорезывания.
Итак, с прорезыванием первого постоянного моляра начинается сменный прикус. Сменный прикус представляет собой более высокую степень развития и дифференцировки жевательного аппарата. Он характеризуется наличием временных и постоянных зубов, который продолжается от 6 до 12—14 лет.
Сменный прикус представляет особый интерес ортодонтов вызывает особый интерес, поскольку в это время происходит наиболее интенсивный роста челюстных костей, обменные процессы в костной ткани находятся на высоком уровне. Поэтому своевременное выявление этиологических факторов особенно эффективно в денный период, как эффективно и лечение самих зубочелюстных аномалий.
Однако, сведения о развитии сменного прикуса неоднозначны. Так, например А.Д. Осадчий (1967 г.) выделяет в сменном прикусе два периода: 6 - 8 лет - ранний сменный прикус и 9 - 12 лет - поздний сменный прикус. И.Л. Злотник (1952 г.) также выделяет эти два периода, но с разницей в возрасте, соответственно, 6 - 9 и 10 - 12 лет.
Такое выделение периодов связано с наличием в зубных рядах в период раннего сменного прикуса первого постоянного моляра, четырех постоянных резцов на верхней и нижней челюсти. А премоляров и клыка - в периоде позднего сменного прикуса. В 9 лет рост челюстных костей замедляется, но отмечается заметный рост альвеолярного отростка, связанный с прорезыванием постоянных клыков и премоляров и формированием корней резцов и первого моляра (Ф.Я. Хорошилкина, 1999 г.).
Данное разделение учитывает и темпы роста челюстных костей и альвеолярного отростка и уровень интенсивности обменных процессов в них.
Прорезывание первых постоянных зубов (первых моляров) обеспечивает второй физиологический подъем высоты прикуса, формируется сагиттальная и трансверзальная окклюзионные кривые. Третий период повышения высоты прикуса начинается в 12 лет прорезыванием второго моляра. Он сопровождается активным ростом зубоальвеолярных дуг, который продолжается от 13,5 до 15 лет.
В процессе развития жевательного аппарата у детей сменный прикус наиболее лабильный. Одновременное наличие в полости рта временных зубов, утративших устойчивость вследствие рассасывания корней, и постоянных зубов, которые находятся на различных стадиях прорезывания и формирования корней, приводит к значительному снижению жевательной функции, ведущему к неравномерной тренировке жевательных мышц, неправильному росту челюстных костей и нередко формированию аномалий зубочелюстной системы. В этот период отмечается как саморегуляция имеющихся аномалий, так и формирование новых. В связи с неустойчивым состоянием отдельных звеньев зубочелюстной системы и всего жевательного аппарата в целом, а также усиленным ростом челюстей в данный период, необходимо использовать его для выполнения корригирующих ортодонтических вмешательств. Продолжение статьи здесь
Читайте также:
