Первичный и вторичный системный амилоидоз. Кальциноз кожи
Добавил пользователь Владимир З. Обновлено: 02.11.2025
Информацию из данного раздела нельзя использовать для самодиагностики и самолечения. В случае боли или иного обострения заболевания диагностические исследования должен назначать только лечащий врач. Для постановки диагноза и правильного назначения лечения следует обращаться к Вашему лечащему врачу.
Для корректной оценки результатов ваших анализов в динамике предпочтительно делать исследования в одной и той же лаборатории, так как в разных лабораториях для выполнения одноименных анализов могут применяться разные методы исследования и единицы измерения.
Амилоидоз: причины появления, симптомы, диагностика и способы лечения.
Амилоидоз - это системное заболевание, характеризующееся накоплением в клетках различных органов патологически нерастворимого белка-амилоида (фибриллярного гликопротеида), которое приводит к склерозу тканей, их последующей атрофии и некрозу, развитию полиорганной недостаточности.
Причины появления амилоидоза
Точная причина амилоидоза до сих пор не установлена. Многие ученые ставят во главу угла генетическую предрасположенность и некоторые системные заболевания, среди которых особо отмечают ревматоидный артрит, спондилоартропатии, аутовоспалительные наследственные периодические лихорадки, а также туберкулез.
Заболевание может манифестировать и без видимой причины, а также проявиться в старческом возрасте.
Классификация заболевания
Существуют две основные формы амилоидоза:
- системный (поражает ткани большинства органов);
- локальный (поражает ткани отдельного органа: почек, сердца, кожи и др.).
- Первичный (идиопатический) амилоидоз, , или AL-амилоидоз характеризуется появлением в плазме крови и отложением в тканях различных органов аномальных легких цепей иммуноглобулинов.
- Вторичный (общий) амилоидоз развивается на фоне таких хронических заболеваний, как бронхит, туберкулез, остеомиелит, сифилис и др., поэтому долгое время может не диагностироваться.
- Наследственный амилоидоз вызван мутациями генов иммунной системы, что приводит к образованию клеток, продуцирующих амилоид. К наследственному амилоидозу можно отнести лихорадку, семейный нейропатический, нефропатический и кардиопатический амилоидоз.
- Старческий церебральный амилоидоз считается наиболее опасным, поскольку поражает сердце, поджелудочную железу, легкие и головной мозг.
- Опухолевый амилоидоз проявляется отложением амилоида в тканях пораженного опухолью органа, в результате чего злокачественный процесс быстро прогрессирует.
Проявления заболевания разнообразны и обусловлены локализацией, выраженностью, продолжительностью амилоидоза и степенью вовлечения в процесс внутренних органов. Если на ранней стадии характерных симптомов амилоидоза может почти не быть, то по мере развития болезни клинические проявления постепенно нарастают.
Общие признаки амилоидоза:
- отсутствие аппетита и потеря веса;
- усталость и слабость;
- отеки;
- симптомы сердечной недостаточности;
- раздражительность и перепады настроения;
- миалгия (боль в мышцах);
- трофические язвы;
- рвота;
- диарея;
- кожный зуд;
- сонливость;
- частые головокружения;
- бледность кожных покровов из-за развития анемии.
При поражении желудка пациенты жалуются на боль и тяжесть в эпигастрии, нарушение перистальтики, вздутие живота.
Амилоидоз кишечника манифестирует тупой болью и тяжестью в животе, диареей или запорами, непроходимостью кишечника, вздутием живота. Поражение пищеварительной системы сопровождается увеличением языка, трудностями при глотании, отрыжкой, частой изжогой.
Характерными признаками поражения печени становятся желтуха, боль в правом подреберье, асцит (скопление жидкости в брюшной полости), портальная гипертензия, которая проявляется снижением аппетита, тошнотой, рвотой, урчанием и вздутием живота, а также диареей и метеоризмом. Затем появляется боль в области пупка.
При амилоидозе сердца наблюдаются аритмия, одышка, плохо поддающаяся лечению сердечная недостаточность, проявляющаяся отеками.
Если амилоид откладывается в суставах, у больных развивается артрит: кожа в проекции суставов отекает и краснеет, движения в патологическом суставе становятся ограниченными.
Поражение нервной системы опасно нарушением умственных способностей, психическими отклонениями, параличами рук и ног.
Органы дыхания реагируют на патологию затруднением дыхания, одышкой, охриплостью голоса, бронхолегочными заболеваниями.
Для кожного амилоидоза характерно формирование бляшек, сыпи, узелков, шелушение.

Диагностика амилоидоза
Для выявления заболевания и определения степени поражения органов назначают:
- ультразвуковое исследование органов брюшной полости;
Сканирование внутренних органов брюшной полости для оценки его функционального состояния и наличия патологии.
Амилоидоз (амилоидная дистрофия)
Амилоидоз (амилоидная дистрофия) - нарушение белков о го обмена, сопровождающееся образованием и отложением в тканях специфического белково-полисахаридного комплекса - амилоида. Амилоид долгое время персистирует в организме и даже после смерти в течение долгого времени не подвергается гниению (И. В. Давыдовский, 1967).
Что провоцирует / Причины Амилоидоза (амилоидной дистрофии):
Развитие амилоидоза связано с нарушением белково-синтетической функции ретикуло-эндотелиальной системы, накоплением в плазме крови аномальных белков, служащих аутоантигенами и вызывающих образование аутоантител. В результате взаимодействия антигена с антителом происходит осаждение грубодисперсных белков, участвующих в образовании амилоида. Откладываясь в тканях (например, в стенках сосудов, железистых и т. п.), амилоид вытесняет функционально специализированные элементы органа, что ведёт к гибели этого органа.
Патогенез (что происходит?) во время Амилоидоза (амилоидной дистрофии):
AL-амилоидоз (immunoglobulin light chains derived) - первичный амилоидоз, вызванный накоплением в плазме крови аномальных легких цепей иммуноглобулинов, синтезируемых малигнизированными В-лимфоцитами при миеломной болезни (болезнь Рустицкого-Калера)
AA-амилоидоз (acquired) - вторичный амилоидоз, вызванный гиперсекрецией печенью белка острой фазы альфа-глобулина в ответ на хроническое (чаще гнойное) воспаление. Примером таких воспалений служит лепра, бронхоэктатическая болезнь, туберкулез и т. д. Подвидом данного амилоидоза является ASC-амилоидоз (systemic cardiovascular), развивающийся у лиц свыше 90 лет. Причины патогенеза неизвестны.
AF-амилоидоз (средиземноморская перемежающая лихорадка) - наследственная форма амилоидоза, с аутосомно-рецессивным механизмом передачи. Данным видом амилоидоза страдают люди, принадлежащие к определенным этническим группам, живущим по побережью Средиземного моря (евреи-сефарды, греки, арабы, армяне). Существуют разновидности амилоидоза, характерные для определенной географической местности: «португальский амилоидоз» (с преимущественным поражением нервов нижних конечностей), «американский амилоидоз» (с преимущественным поражением нервов верхних конечностей), семейный нефропатический амилоидоз, или «английский амилоидоз», протекающий с симптомами крапивницы, глухоты и лихорадки.
AH-амилоидоз (hemodialisis-related) - наблюдается исключительно у больных, находящихся на гемодиализном лечении. Патогенез связан с тем, что, в норме утилизирующийся почками бета-2-микроглобулин MHC I класса, не фильтруется в гемодиализаторе и накапливается в организме.
AE-амилоидоз - форма местного амилоидоза, развивающаяся в некоторых опухолях, например, в медуллярном раке C-клеток щитовидной железы. В этом случае предшественником амилоида являются патологические фрагменты кальцитонина.
Амилоидоз финского типа - редкий тип амилоидоза, вызываемый мутацией гена GSN , кодирующего белок джелсолин .
Симптомы Амилоидоза (амилоидной дистрофии):
Интенсивность клинических проявлений зависит от локализации и распространенности амилоидных отложений. Этим обуславливаются длительность заболевания и наличие осложнений. Наиболее типично поражение почек, иногда бывают поражения пищевода, селезенки, кишечника, а также желудка. При амилоидозе почек наблюдается длительный скрытый период болезни, при котором отсутствуют значительные симптомы, - наблюдаются лишь незначительная слабость и снижение активности. После двух недель течения скрытого периода появляются отеки почек, их дисфункция (появление в моче белков - развитие протеинурии, а также форменных элементов крови), сердечная недостаточность. При амилоидозе желудка наблюдаются тяжесть в эпигастральной области, ослабление перистальтики желудка после употребления пищи. При амилоидозе кишечника наблюдаются тяжесть и тупые боли в области живота, диарея.
Диагностика Амилоидоза (амилоидной дистрофии):
- В крови анемия, лейкоцитоз, повышение СОЭ, почти в 80% случаев в начале заболевания возникают снижение количества белков, гиперглобулинемия, снижения натрия, тромбоцитов, кальция. При поражении печени - повышение холестерина, в ряде случаев - повышение билирубина, повышение активности щелочной фосфатазы
- Оценка функций щитовидной железы - возможено снижение функций щитовидной железы
- Оценка функций почек - почти в 50% случаев амилоидоз начинается с почечной недостаточности. При исследовании мочи, помимо белка, в осадке обнаруживают цилиндры, эритроциты, лейкоциты
- При первичном амилоидозе в плазме крови и/или моче обнаруживают увеличение содержания амилоида
- При вторичном амилоидозе следует обратить внимание на лабораторные признаки хронических воспалительных заболеваний
- В кале - большое количество жира, крахмала, мышечных волокон
- Эхокардиография (при подозрении на поражение сердца)
- Рентгенологическое исследование
- Функциональные клинические пробы с конго красным и метиленовым синим (быстрое исчезновение красителей при внутривенном введении из сыворотки крови вследствие их фиксации амилоидом и значительное снижение выделения их почками). При первичном амилоидозе эти пробы не всегда информативны
- Биопсия органов - наиболее информативный метод.
Лечение Амилоидоза (амилоидной дистрофии):
Общие принципы лечения амилоидоза
- Режим домашний, за исключением тяжёлых состояний (выраженная сердечная недостаточность, хроническая почечная недостаточность)
- Больным амилоидозом показан длительный (1,5-2 года) приём сырой печени (по 100-120 г/сут)
- Ограничение потребления белка, соли пациентам с хронической почечной недостаточностью
- Ограничение соли пациентам с сердечной недостаточностью
- При вторичном амилоидозе - лечение основного заболевания (туберкулёз, остеомиелит, эмпиема плевры и др.), после излечения которого нередко исчезают и проявления амилоидоза
- Перевод пациента с диализным амилоидозом на перитонеальный диализ
- При амилоидозе кишечника, протекающем с упорной диареей, - вяжущие средства (висмута субнитрат, адсорбенты)
- При первичном амилоидозе в начальных стадиях процесса - хлорохин 0,25 г 1 р/сут длительно, сочетание мелфалана и преднизолона, мелфалана, преднизолона и колхицина или только колхицин
- При вторичном амилоидозе - специфическое лечение основного заболевания
- При семейном амилоидозе - колхицин (по 0,6 мг 2-3 р/сут)
- Симптоматическая терапия: витамины, диуретические средства, препараты, снижающие давление, переливание плазмы и т.д.
Хирургическое лечение амилоидоза
- Удаление селезенки может улучшить состояние вследствие уменьшения количества амилоида, образующегося в организме
К каким докторам следует обращаться если у Вас Амилоидоз (амилоидная дистрофия):
Вас что-то беспокоит? Вы хотите узнать более детальную информацию о Амилоидоза (амилоидной дистрофии), ее причинах, симптомах, методах лечения и профилактики, ходе течения болезни и соблюдении диеты после нее? Или же Вам необходим осмотр? Вы можете записаться на прием к доктору .
Амилоидоз сердца ( Амилоидная кардиопатия )
Амилоидоз сердца - это системный диспротеиноз, приводящий к отложению амилоида - специфического белково-полисахаридного комплекса в тканях сердца. Амилоидоз сердца сопровождается гипертрофией миокарда, нарушением его сократительной способности, развитием хронической недостаточности кровообращения, аритмий, гипотензии, клапанных пороков. Клинический диагноз амилоидоза сердца устанавливается с помощью данных электрокардиографии, эхокардиографии, рентгенографии, сцинтиграфии, лабораторного исследования белков сыворотки крови, биопсии тканей. Лечение при амилоидозе сердца направлено на торможение амилоидогенеза (полихимиотерапия) и замедление прогрессирования сердечной недостаточности (диуретики, сердечные гликозиды, витамины).
МКБ-10
Общие сведения
Амилоидоз сердца (амилоидная кардиопатия) - форма системного нарушения белкового обмена с преимущественным отложением белка b-фибриллярной структуры (амилоида) в миокарде, эндокарде, перикарде, аорте и стенках коронарных сосудов. Поражение сердца может наблюдаться при следующих типах амилоидоза: AL - амилоидозе легких цепей, SSA - сенильном системном амилоидозе, FAP - семейном амилоидозе, АА - вторичном амилоидозе. При генерализованном амилоидозе сердце является доминирующим органом-мишенью, однако в некоторых случаях может встречаться изолированный амилоидоз предсердий. Среди других клинических форм заболевания, наряду с амилоидозом сердца, наиболее часто встречаются амилоидоз почек, легких, селезенки, кишечника и других органов.
Причины
Говорить о триггерных факторах амилоидогенеза в большинстве случаев не представляется возможным. При семейном амилоидозе имеет место аутосомно-доминантный тип передачи заболевания. Наследственный амилоидоз сердца чаще встречается у представителей средиземноморской этнической группы.
В большей степени изучен вторичный системный амилоидоз, развитие которого может быть сопряжено с длительным течением:
- ревматоидного артрита;
- анкилозирующего спондилита;
- псориатического артрита;
- бронхоэктатической болезни;
- бронхита;
- туберкулеза;
- лимфогранулематоза;
- болезни Крона,
- сифилиса,
- актиномикоза.
У пациентов с хронической почечной недостаточностью возможно развитие амилоидоза, ассоциированного с гемодиализом.
Патогенез
При семейной, идиопатической и далеко зашедшей старческой форме амилоидоза поражение сердца встречается у 80-100% пациентов. Чаще всего отложение амилоида происходит в мышечную оболочку сердца, реже - в перикард и эндокард. В миокарде амилоид накапливается между миофибриллами, приводя к сдавлению интрамуральных артерий и артериол.
При амилоидозе сердца миокард уплотняется, становится малорастяжимым («резиновый» миокард); объем полостей сердца обычно изменяется незначительно. Старческий амилоидоз сердца протекает по типу диффузного поражения мышечных волокон, что сопровождается их атрофией; отложение амилоида нередко выявляется в коронарных артериях и аорте. Следствием структурных изменений миокарда являются нарушения систолической и диастолической функции, уменьшение сердечного выброса и признаки сердечной недостаточности.
В случае отложении амилоида в области клапанов развивается клиника клапанного порока сердца; при скоплении фибриллярного белка в пучке Гиса, синусовом и атриовентрикулярном узлах на первый план выходят симптомы блокады проводящей системы сердца.
Классификация
В классификации, разработанной ВОЗ, выделяется 4 стадии амилоидоза сердца с учетом степени вовлечения органа в патологический процесс:
- І - симптомы и признаки амилоидоза сердца при неинвазивном обследовании или биопсии не выявляются;
- ІІ - поражение сердца подтверждается путем неинвазивного тестирования (ЭКГ, ЭхоКГ) или биопсии, однако течение амилоидоза бессимптомное;
- ІІІ - стадия компенсированного симптомного амилоидоза сердца;
- ІV - стадия декомпенсированной кардиомиопатии.
Симптомы амилоидоза сердца
Амилоидная кардиопатия нередко маскируется под клинику ишемической болезни сердца, гипертрофической кардиомиопатии, что затрудняет ее своевременное распознавание. В начальных стадиях развитие амилоидоза сердца происходит исподволь, малосимптомно. Может отмечаться снижение веса, утомляемость, раздражительность, головокружение, отечность.
Резкому ухудшению самочувствия обычно предшествует перенесенное интеркуррентное заболевание, в т. ч. респираторная инфекция, стресс, эмоциональное перенапряжение. В развернутой стадии амилоидоза сердца обращает внимание пониженное артериальное давление с явлениями ортостатической гипотензии; боли в области сердца, носящие стенокардический характер; синкопальные состояния, аритмии. Признаками развивающейся хронической сердечной недостаточности служат одышка, гепатомегалия, отеки. Отличительной особенностью сердечной недостаточности при амилоидозе сердца является ее быстрое прогрессирование и резистентность к терапии сердечными гликозидами.
Довольно часто у пациентов с амилоидозом сердца обнаруживается перикардиальный выпот и асцит. Вследствие амилоидной инфильтрации развивается синдром слабости синусового узла, что сопровождается брадикардией и может привести к внезапной сердечной смерти.
Осложнения
В том случае, если амилоидоз сердца является одним из проявлений системного амилоидоза, у больных может наблюдаться почечная недостаточность, дисфагия, диарея, макроглоссия, кожные геморрагии, периорбитальная пурпура, поражение нервной системы. Для генерализованного амилоидоза типично последовательное присоединение все новых и новых симптомов, создающих пеструю клиническую картину с полиорганными проявлениями.
Диагностика
Отсутствие патогномоничных симптомов затрудняет прижизненную диагностику амилоидоза сердца. Зачастую достоверные данные за амилоидную кардиопатию выявляются только на аутопсии. При аускультации сердца у пациентов с амилоидозом выслушиваются глухость сердечных тонов, систолический шум регургитации на предсердно-желудочковых клапанах.
- Электрокардиография. На ЭКГ регистрируется снижение вольтажа QRS-комплексов, различного рода нарушения возбудимости и проводимости миокарда.
- УЗИ сердца. К ЭхоКГ-признакам амилоидоза сердца следует отнести утолщение межжелудочковой и межпредсердной перегородок, стенок желудочков, клапанов сердца, дилатацию предсердий, гипокинезию миокарда. Функциональные изменения характеризуются резким снижением фракции выброса левого желудочка, нарушением диастолического наполнения, клапанной регургитацией. Иногда в миокарде удается выявить эхопозитивные включения в виде мелкие гранул, представляющих собой отложения амилоида.
- Рентген и томография. На рентгенограмме органов грудной клетки может определяться увеличение тени сердца, экссудативный плеврит. Более высоко чувствительными и специфичными методами прижизненной диагностики амилоидоза сердца служат сцинтиграфия миокарда и МРТ сердца.
- Биопсия. Морфологическое подтверждение амилоидоза сердца может быть получено путем биопсии миокарда или других пораженных органов (языка, десны, подкожно-жировой клетчатки, лимфатических узлов, почки, прямой кишки и т. д.).
- Лабораторные исследования. В лабораторных тестах мочи и крови при амилоидозе сердца обнаруживается протеинурия, гипопротеинемия, гиперглобулинемия и гипоальбуминемия.
Дифференциальная диагностика
Дифференциальная диагностика амилоидоза сердца проводится с наследственным дистоническим липидозом (болезнью Фабри), микседематозной кардиомиопатией при гипотиреозе, гипертофической кардиомиопатией, идиопатической рестриктивной кардиомиопатией, легочным сердцем, гемохроматозом, стенозом аорты, саркоидозом, гликогенозами.
Лечение амилоидоза сердца
Лечение пациентов с амилоидозом сердца представляет значительные трудности. С целью подавления амилоидогенеза используются различные схемы полихимиотерапии, иммунодепрессивные препараты. В большинстве случаев лечение амилоидоза сердца сводится замедлению прогрессирования сердечной недостаточности. Назначаются симптоматические лекарственные средства - диуретики, сердечные гликозиды, витамины, антикоагулянты.
При СССУ может быть использована имплантация искусственного водителя ритма. В настоящее время в кардиологии для лечения амилоидоза начинают применять трансплантацию пораженных органов, включая сердце. После установления диагноза пациенты с амилоидозом сердца должны находиться под систематическим наблюдением кардиолога, гематолога, невролога, нефролога и др. специалистов.
Прогноз
Своевременная прижизненная диагностика амилоидоза сердца и его эффективное лечение являются сложной проблемой в кардиологической практике. Это связано с достаточно редкой распространенностью патологии, невыраженностью специфических симптомов в клинике заболевания, отсутствием в России специализированных центров, занимающихся проблемами амилоидоза.
Прогноз амилоидоза сердца неблагоприятный: сердечная недостаточность склонна к неуклонному прогрессированию. Гибель больных наступает в среднем через 1,5-2,5 года после появления признаков поражения сердца от сердечной недостаточности либо от внекардиальных осложнений.
1. Амилоидоз сердца: современные аспекты диагностики и лечения (клиническое наблюдение)/ Мясников Р.П., Андреенко Е.Ю.// Клиническая и экспериментальная хирургия. - 2014.
3. Возможности диагностики и лечения амилоидоза сердца/ Нонка Т.Г., Репин А.Н.// Клиническая медицина. - 2015.
4. Амилоидная кардиопатия: патоморфология, методы диагностики и лечения/ Рамеева А.С., Рамеев В.В. и др.// Consilium Medicum. - 2018.
Амилоидоз
Весь контент iLive проверяется медицинскими экспертами, чтобы обеспечить максимально возможную точность и соответствие фактам.
У нас есть строгие правила по выбору источников информации и мы ссылаемся только на авторитетные сайты, академические исследовательские институты и, по возможности, доказанные медицинские исследования. Обратите внимание, что цифры в скобках ([1], [2] и т. д.) являются интерактивными ссылками на такие исследования.
Если вы считаете, что какой-либо из наших материалов является неточным, устаревшим или иным образом сомнительным, выберите его и нажмите Ctrl + Enter.
Амилоидоз - нарушение белкового обмена, сопровождающееся образованием в тканях специфического белково-полисахаридного комплекса (амилоида) и поражением многих органов и систем.
Код по МКБ-10
- Е85 Амилоидоз.
- Е85.0 Наследственный семейный амилоидоз без невропатии.
- Е85.1 Невротический наследственный семейный амилоидоз.
- Е85.2 Наследственный семейный амилоидоз неуточнённый.
- Е85.3 Вторичный системный амилоидоз.
- Е85.4 Ограниченный амилоидоз.
- Е85.8 Другие формы амилоидоза.
- Е85.9 Амилоидоз неуточнённый.
Эпидемиология амилоидоза
Частота заболевания среди мужчин и женщин при первичном амилоидозе одинакова. Возраст начала болезни колеблется от 17 до 60 лет, а длительность болезни - от нескольких месяцев до 23 лет. Сроки начала заболевания трудно установить, так как первые клинические проявления не соответствуют началу отложения амилоида.
Причины и патогенез амилоидоза
В зависимости от этиологии и особенностей патогенеза выделяют идиопатический (первичный), приобретённый (вторичный), наследственный (генетический), локальный амилоидоз, амилоидоз при миеломной болезни и APUD-амилоидоз. Наиболее часто встречается вторичный амилоидоз, который по происхождению приближается к неспецифическим (в частности иммунным) реакциям. Он развивается при ревматоидном артрите, анкилозирующем спондилите, туберкулёзе, хроническом остеомиелите, бронхоэктатической болезни, реже при лимфогранулематозе, опухолях почки, лёгкого и других органов, сифилисе, неспецифическом язвенном колите, болезнях Крона и Уиппла, подостром инфекционном эндокардите, псориазе и др.
Симптомы амилоидоза
Клинические проявления амилоидоза разнообразны и зависят от локализации амилоидных отложений, их распространённости. Локализованные формы амилоидоза, например амилоидоз кожи, долго протекают бессимптомно, как и старческий амилоидоз, при котором отложения амилоида в мозге, поджелудочной железе, сердце нередко обнаруживают только на вскрытии.
Что беспокоит?
Классификация амилоидоза
Согласно классификации Номенклатурного комитета Международного союза иммунологических обществ (Бюллетень ВОЗ, 1993) выделяют пять форм амилоидоза.
- AL-амилоидоз (А - amyloidosis, амилоидоз, L - light chains, лёгкие цепи) - первичный, связанный с миеломной болезнью (амилоидоз регистрируют в 10-20% случаев миеломной болезни).
- АА-амилоидоз (acquired amyloidosis, приобретённый амилоидоз) - вторичный амилоидоз на фоне хронических воспалительных, ревматических, заболеваниях, а также при средиземноморской семейной лихорадке (периодической болезни).
- ATTR-амилоидоз (А - amyloidosis, амилоидоз, TTR - transthyretin, транстиретин) - наследственно-семейный амилоидоз (семейная амилоидная полинейропатия) и старческий системный амилоидоз.
- Аβ2М-амилоидоз (А - amyloidosis, амилоидоз, β2М - β2-микроглобулин) - амилоидоз у больных, находящихся на плановом гемодиализе.
- Локализованный амилоидоз чаще развивается у людей старческого возраста (AIAPP-амилоидоз - при инсулиннезависимом сахарном диабете, АВ-амилоидоз - при болезни Альцгеймера, AANF-амилоидоз - старческий амилоидоз предсердий).
Диагностика амилоидоза
Амилоидоз следует подозревать при нефропатии, стойкой тяжёлой сердечной недостаточности, синдроме мальабсорбции или полиневропатии неясной этиологии. При нефротическом синдроме или хронической почечной недостаточности необходимо, помимо гломеруло-нефрита, исключить и амилоидоз. Вероятность амилоидоза увеличивается при гепато- и спленомегалии.
Первичный и вторичный системный амилоидоз. Кальциноз кожи
ФГАОУ ВО «Первый Московский государственный медицинский университет им. И.М. Сеченова» Минздрава России (Сеченовский Университет)
Первичный генерализованный AL-амилоидоз
Журнал: Архив патологии. 2021;83(1): 31‑34
Приводится секционное наблюдение 71-летнего мужчины с генерализованным первичным AL-амилоидозом продолжительностью около 4 мес с момента манифестации до наступления смерти от печеночно-почечной недостаточности. Отмечены тотальное поражение печени и селезенки, а также отложения амилоида в почках, надпочечниках, поджелудочной железе.
Дата принятия в печать:
В настоящее время первичный амилоидоз с отложением AL-амилоида, образующегося из легких цепей иммуноглобулинов, наблюдается сравнительно редко [1, 2]. Тяжело протекающее заболевание отличается многообразием клинических проявлений, определяемых поражением различных органов. Как правило, первичный амилоидоз, манифестация которого отмечается у пожилых лиц, характеризуется длительным латентным периодом с последующим быстрым прогрессированием, плохо поддающимся медикаментозному лечению [3—5]. Наиболее достоверным методом диагностики амилоидоза считается биопсия почек, печени, а также более доступный способ — изучение слизистой оболочки десны, прямой кишки, подкожной жировой клетчатки [6—8].
Приводим собственное наблюдение.
У 71-летнего мужчины (рост 167 см, масса тела 74,4 кг, индекс массы тела 26,7) без вредных привычек и не имевшего профессиональной вредности, перенесшего в юности туберкулез и длительно страдавшего гипертонической болезнью, первые симптомы настоящего заболевания были отмечены в виде желтушности кожи и склер, по поводу чего он обратился за медицинской помощью. С поликлиническим диагнозом: «цирроз печени» был госпитализирован в клинику Сеченовского университета, где при обследовании обнаружены асцит (потребовавший для лечения неоднократный лапароцентез), спленомегалия, нарастающая печеночная недостаточность (билирубин общий до 434 мкмоль/л, альбумин крови до 26,6 г/л, АСТ до 109 Ед/л, АЛТ до 83 Ед/л, щелочная фосфатаза 1564 Ед/л, тромбоциты крови до 43 . 10 9 /л). В течение недели присоединилась острая почечная недостаточность (креатинин до 442,98 мкмоль/л, мочевая кислота до 586 мкмоль/л), леченная сеансами гемодиализа. В последующем у пациента отмечены печеночная энцефалопатия, синдром системного воспалительного ответа (лейкоцитоз до 19,3 . 10 9 /л, С-реактивный белок до 31 мг/л), ДВС-синдром. Несмотря на проводившееся лечение, состояние прогрессивно ухудшалось и через 10 дней со дня госпитализации (и примерно через 4 мес от манифестации заболевания) наступила смерть при явлениях печеночно-почечной недостаточности.
Заключительный клинический диагноз
Основное заболевание: цирроз печени неуточненной этиологии, класс C по Чайлд-Пью с синдромом портальной гипертензии, печеночно-клеточной недостаточности (гипоальбуминемия, гипохолестеринемия, гипопротромбинемия, гипербилирубинемия).
Осложнения. Печеночная энцефалопатия. Кома. Острое почечное повреждение (анурия, гиперазотемия, гиперкалиемия). Асцит-перитонит. Синдром системного воспалительного ответа. ДВС-синдром. Острая сердечно-сосудистая и дыхательная недостаточность.
На вскрытии труп пожилого мужчины нормостенического телосложения, умеренного питания (толщина подкожной жировой клетчатки на уровне пупка 2 см). Отмечены желтушность кожи и слизистых оболочек, двусторонний гидроторакс (по 500 мл), множественные мелкие кровоизлияния (в слизистые оболочки гортани, желудка, двенадцатиперстной кишки), отдельные мелкие субплевральные геморрагические инфаркты легких, фиброз висцеральной плевры в области верхней и средней долей правого легкого, хронический слизистый бронхит, диффузный сетчатый пневмосклероз, обструктивная эмфизема легких, варикозное расширение вен пищевода и кардиального отдела желудка. В последнем выявлено 50 мл мажущейся крови. Печень размером 24×21×17×12 см, плотной консистенции, ломкая, желтовато-коричневая, с гладкой поверхностью (см. рисунок, а). Масса левой почки 96 г, правая почка массой 88 г с мелкозернистой поверхностью, обе плотные, толщина коркового слоя 0,4 см. Селезенка размером 15×9×5 см, массой 400 г, плотная, ломкая, на разрезе однородная, розовато-красная, в соскобе жидкая кровь.

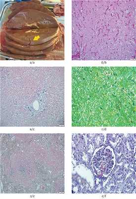
Рис. Микроскопические признаки первичного генерализованного AL-амилоидоза.
а — печень при амилоидозе с изломом (стрелка); б — массивные тотальные отложения амилоида в печени, окраска гематоксилином и эозином; в — конго-положительная окраска амилоидных масс печени; г — яркое свечение масс амилоида в печени (поляризационный микроскоп); д — массивные отложения амилоида в селезенке (сальная), окраска Конго красным; е — амилоид в клубочках почки, окраска Конго красным. б — е — ×200.
При микроскопическом исследовании в печени отмечено тотальное отложение амилоидных масс (зеленовато-окрашенных в поляризационном микроскопе), среди которых располагались отдельные сохранившиеся печеночные балки (см. рисунок, б, в, г). Типирование щелочным гуанидином показало, что амилоид относится к AL-типу. В селезенке амилоид выявлен как в фолликулах, так и в красной пульпе (см. рисунок, д). Амилоидные конго-положительные отложения обнаружены в строме, сосудах, клубочках почек (см. рисунок, е), что соответствует протеинурической стадии. Также небольшие участки амилоида определены по ходу сосудов и периваскулярно в надпочечниках и поджелудочной железе. В гипертрофированном миокарде выявлены жировая дистрофия кардиомиоцитов и диффузный мелкоочаговый кардиосклероз. В легких наряду с хроническими изменениями местами обнаружены мелкие обтурирующие тромбы и геморрагические инфаркты.
Окончательный патологоанатомический диагноз
Основное заболевание. Генерализованный AL-амилоидоз (подтвержденный типированием) с преимущественным поражением печени (масса печени 2700 г), селезенки, почек, надпочечников и поджелудочной железы. Е 85.8.
Осложнения. Печеночно-почечная недостаточность (билирубин общий до 434 мкмоль/л, альбумин крови до 26,6 г/л, АСТ до 109 Ед/л, АЛТ до 83 Ед/л, креатинин до 442,98 мкмоль/л, мочевая кислота до 586 мкмоль/л, щелочная фосфатаза 1564 Ед/л, тромбоциты крови до 43 . 10 9 /л). Синдром портальной гипертензии: спленомегалия (масса 400 г), асцит (4000 мл), варикозное расширение вен нижней трети пищевода и кардиального отдела желудка. Дозированный лапароцентез. ДВС-синдром: 50 мл мажущейся крови в просвете желудка и двенадцатиперстной кишки, мелкие кровоизлияния в слизистую и серозную оболочку желудка, двенадцатиперстной кишки, слизистую оболочку гортани. Отдельные субплевральные мелкие инфаркты легких. Двусторонний гидроторакс (по 500 мл в каждой плевральной полости). Хроническая анемия смешанного генеза (Нв до 102 г/л): красный костный мозг бедренных костей. Слизисто-геморрагический трахеит. Отек легких. Отек головного мозга.
Реанимационные мероприятия.
Сопутствующие заболевания. Гипертоническая болезнь: эксцентрическая гипертрофия миокарда (масса сердца 307 г, толщина стенки левого желудочка 1,8 см, правого 0,5 см); атероартериолосклеротический нефросклероз. Атеросклероз аорты (фиброзные бляшки, изъязвления, кальциноз), венечных артерий сердца (стабильные фиброзные бляшки, стенозирующие просвет на 25%, кальциноз), артерий головного мозга (единичные мелкие стабильные фиброзные бляшки). Диффузный мелкоочаговый кардиосклероз. Хронический атрофический гастрит. Доброкачественная гиперплазия предстательной железы, смешанная форма. Кисты почек. Хронический слизистый бронхит. Диффузный сетчатый пневмосклероз. Обструктивная эмфизема легких. Туберкулез легких (в анамнезе). Фиброз висцеральной плевры верхней и средней долей правого легкого. Атрофия, фиброз и липоматоз головки, липоматоз тела поджелудочной железы.
Большое количество сопутствующей патологии отражает пожилой возраст больного. Так, например, склеротические изменения плевры и паренхимы правого легкого объяснимы перенесенным в юности туберкулезом, а также наличием хронических обструктивных заболеваний органа.
Таким образом, наблюдение соответствует типичной картине первичного амилоидоза. Обращает на себя внимание длительное бессимптомное течение заболевания с последующим быстрым прогрессированием. Поражение печени способствовало (прежде всего вследствие печеночной желтухи) развитию и почечной недостаточности, так как морфологические изменения почек соответствуют лишь протеинурической стадии амилоидоза. Присоединившийся в последующем ДВС-синдром еще более усугубил состояние пациента. В связи с этим расхождение клинического и патологоанатомического диагнозов обусловлено, по нашему мнению, тяжестью состояния больного. Именно последним и можно объяснить, почему в клинике поражение печени было расценено как цирротическое.
Читайте также:
