Поглощение рентгеновских лучей отделами глаза
Добавил пользователь Евгений Кузнецов Обновлено: 07.11.2025
Выделив новый тип изучения, Вильгельм Рентген назвал его X-лучами (X-rays). Под этим именем оно известно во всём мире, кроме России.
Самый характерный источник рентгена в космосе — горячие внутренние области аккреционных дисков вокруг нейтронных звезд и черных дыр. Также в рентгеновском диапазоне светит солнечная корона, разогретая до 1-2 млн градусов, хотя на поверхности Солнца всего около 6 тысяч градусов.
Но рентген можно получить и без экстремальных температур. В излучающей трубке медицинского рентгеновского аппарата электроны разгоняются напряжением в несколько киловольт и врезаются в металлический экран, испуская при торможении рентген. Ткани организма по-разному поглощают рентгеновское излучение, это позволяет изучать строение внутренних органов.
Сквозь атмосферу рентген не проникает, космические рентгеновские источники наблюдают только с орбиты. Жесткий рентген регистрируют сцинтилляционными датчиками. При поглощении рентгеновских квантов в них ненадолго возникает свечение, которое улавливают ФЭУ. Мягкое рентгеновское излучение фокусируют металлическими зеркалами косого падения, от которых лучи отражаются под углом менее одного градуса, подобно гальке от поверхности воды.
Источники
Рентгеновские источники в районе центра нашей Галактики

Фрагмент снимка окрестностей центра Галактики, полученного рентгеновским телескопом «Чандра». Виден целый ряд ярких источников, которые, по всей видимости, являются аккреционными дисками вокруг компактных объектов — нейтронных звезд и черных дыр.
Окрестности пульсара в Крабовидной туманности

Окрестности пульсара в Крабовидной туманности — остаток сверхновой звезды, вспышка которой наблюдалась в 1054 году. Сама туманность — это рассеянная в космосе оболочка звезды, а ее ядро сжалось и образовало сверхплотную вращающуюся нейтронную звезду диаметром около 20 км.
Вращение этой нейтронной звезды отслеживается по строго периодическим колебаниям ее излучения в радиодиапазоне. Но пульсар излучает также в видимом и рентгеновском диапазонах. В рентгене телескоп «Чандра» сумел получить изображение аккреционного диска вокруг пульсара и небольших джетов, перпендикулярных его плоскости (ср. Аккреционный диск вокруг сверхмассивной черной дыры).
Аккреционный диск в тесной двойной системе (рис. художника)

Солнечные протуберанцы в рентгене

Видимая поверхность Солнца разогрета примерно до 6 тысяч градусов, что соответствует видимому диапазону излучения. Однако корона, окружающая Солнце, разогрета до температуры более миллиона градусов и потому светится в рентгеновском диапазоне спектра.
Данный снимок сделан во время максимума солнечной активности, которая меняется с периодом 11 лет. Сама поверхность Солнца в рентгене практически не излучает и потому выглядит черной. В период солнечного минимума рентгеновское излучение Солнца значительно снижается. Изображение получено японским спутником Yohkoh («Солнечный луч»), известным также как Solar-A, который работал с 1991 по 2001 год.
Приемники
Рентгеновский телескоп «Чандра»

Одна из четырех «Великих обсерваторий» NASA, получившая название в честь американского астрофизика индийского происхождения Субраманьяна Чандрасекара (1910-95), лауреата Нобелевской премии (1983), специалиста по теории строения и эволюции звезд.
Основной инструмент обсерватории — рентгеновский телескоп косого падения диаметром 1,2 м, содержащий четыре вложенных параболических зеркала косого падения (см. схему), переходящих в гиперболические. Обсерватория выведена на орбиту в 1999 и работает в диапазоне мягкого рентгена (100 эВ—10 кэВ). Среди множества открытий обсерватории «Чандра» — первый снимок аккреционного диска вокруг пульсара в Крабовидной туманности.

Схема рентгеновского телескопа с зеркалами косого падения
В оптических и радиотелескопах используется свойство параболоида сводить параллельный пучок излучения от далекого объекта в одну точку в фокальной плоскости. Но для этого излучение должно отражаться от зеркальной поверхности параболоида. Рентгеновские кванты настолько энергичны, что пробивают поверхность и поглощаются в веществе зеркала. Поэтому построить традиционного вида рентгеновский телескоп нельзя. За исключением одной возможности.
Мягкое рентгеновское излучение может отражаться от полированного металла, если падает на него очень полого, под углом меньше одного градуса. Это дает возможность использовать для фокусировки мягкого рентгена параболическое зеркало. Только брать приходится не вершину параболоида, а кольцевой пояс на порядочном удалении от нее. Рентгеновское зеркало косого падения похоже на отрезок трубы, чуть сужающийся к одному концу. Такое кольцо перехватывает очень небольшую долю излучения. Чтобы повысить эффективность телескопа, несколько таких зеркал косого падения концентрически вкладываются друг в друга. Изготовление такой системы требует высочайшей точности и чрезвычайно трудоемко.
Поскольку рентгеновские телескопы могут работать только в космосе, все они являются уникальными приборами.
Гамма-обсерватория INTEGRAL (INTErnational Gamma-Ray Astrophysics Laboratory)
Фотоэлектронный умножитель (ФЭУ)
Матрица ФЭУ
Обзоры неба
Небо в рентгене в диапазоне 0,1-2,4 кэВ (ROSAT)

Обзор подготовлен по данным немецкой орбитальной обсерватории ROSAT (сокращение от «Röntgensatellit»), работавшей с 1990 по 1999 год в диапазоне вакуумного ультрафиолета и мягкого рентгена (6 эВ-2,4 кэВ). На борту обсерватории был установлен рентгеновский телескоп с зеркалами косого падения.
Земное применение
Рентгеновская трубка

Электронная лампа, служащая источником мягкого рентгеновского излучения. Между двумя электродами внутри запаянной вакуумной колбы прикладывается напряжение 10-100 кВ. Под действием этого напряжения электроны разгоняются до энергии 10-100 кэВ. В конце пути они сталкиваются с полированной металлической поверхностью и резко тормозятся, отдавая значительную часть энергии в виде излучения в рентгеновском и ультрафиолетовом диапазоне.
Рентгеновский снимок

Изображение получается за счет неодинаковой проницаемости тканей человеческого тела для рентгеновского излучения. В обычном фотоаппарате объектив преломляет свет, отраженный объектом, и фокусирует его на пленке, где формируется изображение.
Однако рентгеновское излучение очень трудно сфокусировать. Поэтому работа рентгеновского аппарата больше похожа на контактную печать снимка, когда негатив кладется на фотобумагу и на короткое время освещается. Только в данном случае в роли негатива выступает человеческое тело, в роли фотобумаги специальная фотопленка, чувствительная к рентгеновским лучам, а вместо источника освещения берется рентгеновская трубка.
Рентгенологическое исследование лицевого скелета включает рентгенографию глазницы и ее содержимого, придаточных пазух носа, прицельные снимки отдельных костей лицевого скелета и снимки зубочелюстного аппарата. Большинство анатомических образований лицевого скелета достаточно четко видно на обзорных снимках черепа в прямой передней и задней проекциях, на снимках в носоподбородочной, подбородочной, носолобной, лобной, боковой и аксиальной проекциях.
Однако для более четкого их выявления, по возможности с минимальной суперпозицией изображения других анатомических структур черепа, предложен ряд специальных прицельных снимков.
С целью детального изучения стенок глазниц и придаточных пазух носа широко используют томографическое исследование.
РЕНТГЕНОГРАФИЯ КОСТНЫХ СТЕНОК ГЛАЗНИЦЫ
Верхняя и наружная стенки глазницы прослеживаются на снимке черепа в боковой проекции.
Для более детального изучения стенок глазницы предложен ряд прицельных снимков.
УКЛАДКИ СНИМОК ГЛАЗНИЦЫ В НОСОПОДБОРОДОЧНОЙ ПРОЕКЦИИ
Назначение снимка. Изучение состояния костей, образующих вход в глазницу, костной структуры верхней и наружной ее стенок.
Укладка больного для выполнения снимка сходна с укладкой для выполнения обзорного снимка в этой же проекции. В данном случае используюткассету размером 13X18 см, располагая ее в кассетодержателе в поперечном положении. Больной прилежит к столу подбородком и кончиком носа,переносье соответствует центру кассеты. Центральный пучок излучениянаправляют на центр кассеты. Фокусное расстояние—100 см.
В этой же укладке может быть выполнен снимок одной (правой или левой) глазницы. В таких случаях центр снимаемой глазницы соответствует центру кассеты, и на него отвесно направляют пучок излучения, используя тубус или диафрагмирование пучка излучения с помощью щелевой диафрагмы. Фокусное расстояние—100 см (рис. 88).
Информативность снимка. На снимке хорошо видны вход в глазницу, структура ее стенок, иногда малое и большое крыло клиновидной кости (рис. 89). На снимке в этой проекции могут быть выявлены деструктивные изменения стенок глазницы и инородные тела в ее полости (рис. 90, 91). Для выявления изменений в области верхней стенки глазницы (например, при
диагностике переломов) снимок целесообразно выполнять не в носоподбородочной, а в подбородочной проекции.
На таких снимках верхняя стенка глазницы проекционно искажается в меньшей степени, и все изменения в ее области видны более отчетливо (см. рис. 54, 55).
На прицельном снимке каждой из глазниц в этой же проекции, как правило, небольшие изменения структуры стенок, а также мелкие инородные тела глаза видны лучше. Такие снимки широко используют в офтальмологической практике (рис. 92).
Критерии правильности технических условий съемки и правильности укладки основываются на четкости выявления костной структуры и симметричности изображения глазниц.
Наиболее частые ошибки при выполнении снимка сводятся к асимметрии положения головы.



СНИМОК ГЛАЗНИЦЫ В НОСОЛОБНОЙ ПРОЕКЦИИ
Назначение снимка — изучение контуров костей, образующих вход в глазницу, структуры верхней и наружной ее стенок, ширины и контуров верхних глазничных щелей, а также выявление инородных тел в полости глазницы.

Укладка больного для выполнения снимка, информативность снимка, критерии правильности технических условий съемки и правильности укладки те же, что для снимка крыльев клиновидной кости и верхних глазничных щелей.
В качестве примера информативности снимка глазниц в носолобной проекции для выявления инородных тел глаза и деструктивных изменений стенок приводим два наблюдения.
Одно из них — случай ранения глаза металлической стружкой (рис. 93), другое — случай деструкции верхненаружного края глазницы при доброкачественной опухоли слезной железы (рис. 94).
СНИМОК ГЛАЗНИЦЫ В БОКОВОЙ ПРОЕКЦИИ
Назначение снимка — отображение наружного края, верхней и нижней стенок глазницы, а также выявления инородных тел, находящихся в ее полости.
Укладка больного для выполнения снимка такая же, как для выполнения снимка черепа в боковой проекции (рис. 95).
Кассету размером 13X18 см устанавливают в кассетодержателе в поперечном положении. Наружный край глазницы соответствует центру кассеты, и на него направляют пучок излучения.
Информативность снимка. На снимке хорошо видна наружная стенка глазницы. Для выявления небольших участков измененной костной структуры других стенок информативность снимка, как правило, невысокая из-за суперпозиции анатомических образований противолежащей стороны лицевого скелета. Хорошо видны на снимке в данной проекции инородные тела (рис. 96).
Критерии правильности технических условий съемки и правильности укладки. Правильность подбора физико-технических условий съемки определяется резкостью изображения контуров костей и четкостью костной структуры.
При правильной укладке контуры верхней и нижней стенки правой и левой глазницы совпадают.
Наиболее частые ошибки при выполнении снимка сводятся к неправильному подбору физико-технических условий съемки.


СНИМОК ГЛАЗНИЦЫ В КОСОЙ ПЕРЕДНЕЙ ПРОЕКЦИИ (СНИМОК ЗРИТЕЛЬНОГО КАНАЛА ПО РЕЗЕ)
Назначение снимка. Основное назначение снимка — получение изображения зрительного канала, Как правило, для оценки ширины и формы канала прибегают к последовательной съемке правой и левой глазницы.
Голову поворачивают в сторону и укладывают таким образом, чтобы к экспонируемой половине кассеты прилегали надбровная дуга, скуловая кость и кончик носа, а в центре ее находилась исследуемая глазница. Срединная сагиттальная плоскость головы образует с плоскостью стола угол в 40—50°, открытый кзади. Кассета размером 18Х 24 см располагается на столе в поперечном положении.
Поочередно экспонируют правую и левую половину кассеты, перекрывая неиспользуемую половину листом просвинцованной резины. На кассету накладывают неподвижную отсеивающую решетку.
Пучок излучения направляют отвесно на наружный угол глаза исследуемой стороны (рис. 97).
Информативность снимка. На снимке отображается зрительный канал, имеющий обычно неправильно-округлую форму с четкими резкими контурами. Видны также вход в глазницу, решетчатые ячейки (рис. 98, а, б). Расширение зрительного канала, возникающее при опухолях зрительного нерва, как правило, может быть достоверно выявлено только путем сравнительного анализа снимков правой и левой глазницы (рис. 99, а, б). Поэтому снимки глазниц в косой проекции по Резе всегда следует производить с обеих сторон.

Критерии правильности технических условий съемки и правильности укладки. На снимке должна быть четко видна структура костей.
Изображение зрительного канала при правильной укладке проецируется вблизи наружной стенки глазницы в виде четкой кольцевидной тени.

Наиболее частые ошибки при выполнении снимка. При неправильном угле наклона головы и неправильной центрации пучка излучения отображение зрительного канала нечеткое. При грубом нарушении правил укладки зрительный канал на снимке неразличим.
РЕНТГЕНОЛОГИЧЕСКОЕ ИССЛЕДОВАНИЕ ГЛАЗА СНИМКИ ГЛАЗА С ПРОТЕЗОМ КОМЬЕРГА- -БАЛТИНА
Назначение снимков — локализация инородных тел в глазу и полости глазницы.
Методика выполнения рентгенограмм глазницы с протезом Комбурга — Балтина. Осуществляют анестезию глаза больного путем закапывания в конъюнктивальный мешок 2% раствора дикаина. Протез Комберга — Балтина соответствующего размера после дезинфекции спиртом вводят под веки исследуемого глаза и устанавливают таким образом, чтобы в его отверстии был виден зрачок, а свинцовые метки по краям протеза соответствовали концам вертикального и горизонтального меридианов глаза («12—6 и 3—9 часов»). Снимок исследуемой глазницы производят в носоподбородочной проекции при фиксации взора вниз на кассету. Затем, не меняя положения протеза, выполняют снимок глазницы в боковой проекции с центрацией пучка излучения на пленку через плоскость лимба глаза. При этом больной фиксирует взор на точке, находящейся прямо перед глазами.
Информативность снимка. При правильно проведенном исследовании(правильное наложение протеза, правильная фиксация взора, технически правильное выполнение снимков) после соответствующих расчетов удается точно локализовать рентгеноконтрастные инородные тела, расположенные в глазу и полости глазницы (рис. 101, а, б).

Критерии правильности технических условий съемки и правильности укладки. На снимке должны быть хорошо видны структура стенок глазницы, наложенный на глазное яблоко протез и свинцовые метки на нем. При правильно наложенном протезе метки, соответствующие концам горизонтального меридиана, на снимке в боковой проекции должны совпадать друг с другом .
Наиболее частые ошибки при выполнении снимка — неправильное наложение протеза и смещение взора во время съемки.
БЕССКЕЛЕТНЫЕ СНИМКИ ПЕРЕДНЕГО ОТДЕЛА ГЛАЗА (ПО ФОГТУ)
Назначение снимков — выявление мелких инородных тел в переднем отделе глазного яблока.
Методика выполнения бесскелетных снимков переднего отделе глаза.
После анестезии глаза 2 % раствором дикаина две овальные, вместе сложенные, специально вырезанные по трафарету рентгенографические пленки размером 4X6 см, завернутые в черную бумагу и вложенные в оболочку из тонкой резины, заводят как можно глубже в конъюнктивальный мешок с носовой стороны и придерживают в этом положении (это делает сам больной).
Иногда пленки фиксируют специальным держателем (рис. 102). Рентгеновскую трубку располагают с височной стороны снимаемого глаза. Пучок рентгеновского излучения направляют кпереди от наружной стенки глазницы на передний отдел глазного яблока перпендикулярно пленке.
Для выполнения снимка в аксиальной проекции пленки вводят под глазное яблоко. Рентгеновская трубка находится над больным. Пучок излучения направляют кпереди от верхнего края глазницы через передний отдел глазного яблока перпендикулярно пленке. Во время съемки взор больного направлен прямо вперед. Для маркировки верхнего и нижнего края пленки при выполнении бокового снимка, а также наружного и внутреннего краяпри выполнении аксиального снимка соответственно к нижнему или к наружному краю пленки прикрепляют металлическую скрепку.
Информативность снимка. На бесскелетном снимке, произведенном в боковой проекции (рис. 103, а) видны верхнее и нижнее веко, роговица и передний отдел глазного яблока. На бесскелетном снимке, выполненном в аксиальной проекции, также определяются роговица и передний отдел глазного яблока и, кроме того, ткань верхнего века (рис. 103, б). Бесскелетные снимки весьма информативны для выявления мелких и мельчайших инородных тел, локализующихся в переднем отделе глаза. Их информативность во много раз превосходит обычные снимки, так как при этом исключена суперпозиция костных стенок глазницы.
С целью определения возможных артефактов на рентгенографической пленке, которые могут симулировать инородные тела глаза, снимки производят одновременно на двух, сложенных вместе пленках. Противопоказаниями к выполнению бесскелетных снимков глаза являются свежие прободные ранения рговицы и склеры.

Снимки следует производить с большой осторожностью при недостаточно окрепших рубцах роговицы.
Критерии правильности технических условий съемки и правильности укладки. При правильно подобранных условиях съемки отчетливо виден контур переднего отдела глазного яблока. Информативность переэкспонированных и перепроявленных снимков резко снижается. Снимки следует производить с минимальной выдержкой с целью исключения динамической
нерезкости.
Наиболее частые ошибки при выполнении снимков — завышение технических параметров съемки, динамическая нерезкость изображения, обусловленная недостаточной фиксацией взора, а также и длительной выдержкой.
КОНТРАСТНЫЕ ИССЛЕДОВАНИЯ ГЛАЗНИЦЫ
К контрастным исследованиям глазницы прибегают в основном при диагностике опухолей и других объемных процессов в ее полости. Наиболее информативными являются флебография орбиты — контрастирование венозной ее системы — и орбитография — контрастирование ретробульбарного (тенонова) пространства.
При подозрении на сосудистую опухоль в полости глазницы применяют артериографию.
УКЛАДКИ ФЛЕБОГРАФИЯ ОРБИТЫ
Назначение исследования — определение объемного процесса в полости глазницы на основании изменения топографии венозной сети, главным образом верхней глазничной вены.
Методика исследования. Под местной анестезией производят пункцию лобной или лицевой вены. Через иглу вводят полихлорвиниловый катетер с наружным диаметром 0,8—0,9 мм. Катетер фиксируют. Широкой резиновой лентой сдавливают мягкие ткани лба с целью закрытия просвета лобных вен.

Поперечную вену носа и лицевую вену сдавливают с помощью ватных подушечек. После введения 1—2 мл 0,5 % раствора новокаина максимально быстро—за 1—1,5 с—вливают 3—4 мл 50% раствора гипака и производят серию рентгенограмм в задней обзорной и боковой проекциях. Для этого используют специальный ангиографический комплекс, включающий две рентгеновские трубки и две приставки для быстрой смены кассет. При отсутствии такого комплекса после введения контрастного вещества поочередно выполняют прямой и боковой снимки.
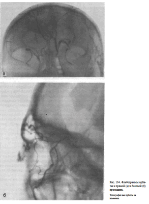
Информативность исследования. Топография верхней глазничной вены постоянна. В норме на флебограмме орбиты в боковой проекции верхняя глазничная вена выявляется под верхней ее стенкой. Она имеет плавные изгибы. Часто видны коллатеральные вены, соединяющие ее с нижней глазничной веной, менее постоянной в своей топографии. На флебограмме
орбиты в прямой задней проекции верхняя глазничная вена отображается в форме ромба (рис. 104, а, 6). Отклонение в пробеге верхней глазничной вены, оттеснение ее, а также обрыв, как правило, связаны с объемным процессом в полости глазницы.
ОРБИТОГРАФИЯ
Назначение исследования — выявление объемного процесса в орбите путем контрастирования заглазничного пространства.
Методика исследования. Под местной анестезией вводят иглу через нижнее веко параллельно нижней стенке глазницы на глубину 1,5—2 см, и через нее вливают в теноново пространство 2—3 мл 0,5 % раствора новокаина, а затем 4—5 мл 20 % раствора гипака. Рентгенограммы выполняют через 1 и 10 мин после введения контрастного вещества в прямой (задней) и боковой проекциях.
Информативность исследования. Контрастное вещество равномерно распределяется в жировой клетчатке заглазничного пространства и на снимках в норме имеет типичную конфигурацию: на прямом снимке — форму прямоугольника с закругленными краями и округлым дефектом наполнения в центре в месте прохождения зрительного нерва (рис. 105), а на боковом снимке — конусовидную форму с полусферическим вдавлением в области основания, соответственно заднему полюсу глазного яблока.

При опухолях или других объемных процессах распределение контрастногоещества неравномерное, с наличием дефектов наполнения (рис. 106).
Методы и средства лучевой диагностики
Открытие рентгеновских лучей положило начало новой эре в медицинской диагностике — эре рентгенологии. Современные методы лучевой диагностики подразделяются на рентгенологический, радионуклидный, магнитно-резонансный, ультразвуковой.
Рентгенологический метод — это способ изучения строения и функции различных органов и систем, основанный на качественном и количественном анализе пучка рентгеновского излучения, прошедшего через тело человека. Рентгенологическое исследование может проводиться в условиях естественной контрастности или искусственного контрастирования.
Простой и необременительной для пациента является рентгенография. Рентгенограмма является документом, который можно хранить продолжительное время, использовать для сопоставления с повторными рентгенограммами и предъявлять для обсуждения неограниченному числу специалистов. Показания к рентгенографии должны быть обоснованы, так как рентгеновское излучение сопряжено с лучевой нагрузкой.
Компьютерная томография (КТ) — это послойное рентгенологическое исследование, основанное на компьютерной реконструкции изображения, получаемого при круговом сканировании объекта узким пучком рентгеновского излучения. Компьютерный томограф способен различать ткани, отличающиеся друг от друга по плотности всего на половину процента. Поэтому компьютерный томограф дает примерно в 1000 раз больше информации, чем обычный рентгеновский снимок. При спиральной КТ излучатель движется по спирали по отношению к телу пациента и захватывает за несколько секунд определенный объем тела, который в последующем может быть представлен отдельными дискретными слоями. Спиральная КТ инициировала создание новых перспективных способов визуализации — компьютерной ангиографии, трехмерного (объемного) изображения органов, и, наконец, так называемой виртуальной эндоскопии, которая стала венцом современной медицинской визуализации.
Радионуклидный метод — это способ исследования функционального и морфологического состояния органов и систем с помощью радионуклидов и меченных ими индикаторов. Индикаторы — радиофармацевтические препараты (РФП) — вводят в организм больного, а затем с помощью приборов определяют скорость и характер перемещения, фиксации и выведения их из органов и тканей. Современными методами радионуклидной диагностики являются сцинтиграфия, однофотонная эмиссионная томография (ОФЭТ) и позитронная эмиссионная томография (ПЭТ), радиография и радиометрия. В основе методов лежит введение РФП, которые испускают позитроны или фотоны. Эти вещества, введенные в человеческий организм, скапливаются в областях увеличенного метаболизма и повышенных кровяных потоков.
Ультразвуковой метод — способ дистантного определения положения, формы, величины, структуры и движения органов и тканей, а также патологических очагов с помощью ультразвукового излучения. Он может зарегистрировать даже незначительные изменения плотности биологических сред. Благодаря этому ультразвуковой метод стал одним из наиболее популярных и доступных исследований в клинической медицине. Наибольшее распространение нашли три метода: одномерное исследование (эхография), двухмерное исследование (сонография, сканирование) и допплерография. Все они основаны на регистрации отраженных от объекта эхосигналов. При одномерном А-методе отраженный сигнал образует на экране индикатора фигуру в виде пика на прямой линии. Количество и расположение пиков на горизонтальной прямой соответствует расположению отражающих ультразвук элементов объекта. Ультразвуковое сканирование (В-метод) позволяет получать двухмерное изображение органов. Сущность метода заключается в перемещении ультразвукового пучка по поверхности тела во время исследования. Получаемая серия сигналов служит для формирования изображения. Оно возникает на дисплее и может быть зафиксировано на бумаге. Это изображение можно подвергнуть математической обработке, определяя размеры (площадь, периметр, поверхность и объем) исследуемого органа. Допплерография позволяет неинвазивно, безболезненно и информативно регистрировать и оценивать кровоток органа. Доказана высокая информативность цветного допплеровского картирования, которое используют в клинике для изучения формы, контуров и просвета кровеносных сосудов.
Магнитно-резонансная томография (МРТ) — исключительно ценный метод исследования. Вместо ионизирующего излучения используется магнитное поле и радиочастотные импульсы. Принцип действия основан на феномене ядерно-магнитного резонанса. Манипулируя градиентными катушками, создающими небольшие дополнительные поля, можно записывать сигналы от тонкого слоя тканей (до 1 мм) и легко изменять направление среза — поперечный, фронтальный и сагиттальный, получая трехмерное изображение. К основным достоинствам метода МРТ относятся: отсутствие лучевой нагрузки, возможность получать изображение в любой плоскости и выполнять трехмерные (пространственные) реконструкции, отсутствие артефактов от костных структур, высокая разрешающая способность визуализации различных тканей, практически полная безопасность метода. Противопоказанием к проведению МРТ является наличие в организме металлических инородных тел, клаустрофобия, судорожный синдром, тяжелое состояние пациента, беременность и лактация.
Развитие лучевой диагностики играет большую роль и в практической офтальмологии. Можно утверждать, что орган зрения — идеальный объект для КТ ввиду выраженных различий в поглощении излучения в тканях глаза, мышцах, нервах, сосудах и ретробульбарной жировой клетчатке. КТ позволяет лучшим образом изучить костные стенки глазниц, выявить патологические изменения в них. КТ применяют при подозрении на опухоль глазницы, при экзофтальме неясного генеза, травмах, инородных телах глазницы. МРТ дает возможность исследовать глазницу в разных проекциях, позволяет лучше разобраться в структуре новообразований внутри глазницы. Но эта методика противопоказана при попадании металлических инородных тел в глаз.
Основными показаниями к проведению УЗИ являются: повреждения глазного яблока, резкое снижение прозрачности светопроводящих структур, отслойка сосудистой оболочки и сетчатки, наличие инородных внутриглазных тел, опухоли, повреждения зрительного нерва, наличие участков обызвествлений в оболочках глаза и области зрительного нерва, динамическое наблюдение за проводимым лечением, изучение характеристик кровотока в сосудах орбиты, исследования перед МРТ или КТ.
Рентгенографию используют как скрининговый метод при травмах глазницы и поражениях ее костных стенок для выявления плотных инородных тел и определения их локализации, проводят диагностику заболеваний слезных путей. Большое значение имеет метод рентгенологического исследования смежных с глазницей придаточных пазух носа.
Так, в Уфимском научно-исследовательском институте глазных болезней за 2010 год проведено 3116 рентгеновских исследований, в т. ч. пациентам из поликлиники — 935 (34 %), из стационара — 1059 (30 %), из кабинета неотложной помощи — 1122 (36 %). Сделано 699 (22,4 %) специальных исследований, к которым относятся исследование слезоотводящих путей с контрастированием (321), бесскелетная рентгенография (334), выявление локализации инородных тел в орбите (39). Рентгенография органов грудной клетки при воспалительных заболеваниях орбиты и глазного яблока составила 18,3 % (213), а придаточных пазух носа — 36,3 % (1132).
Выводы. Лучевая диагностика является необходимой составной частью клинического обследования больных в офтальмологических клиниках. Многие достижения традиционного рентгенологического исследования все больше отступают перед совершенствующимися возможностями КТ, УЗИ, МРТ.
И опять кое-что о рентгене. Е. В. Штрыкова (№1, 2016)

Статья предназначена для самого широкого круга читателей журнала, поскольку слово «радиация» часто обладает магическим и, порой, пугающим многих людей каким-то ужасным воздействием. Все мы слышали слово «рентген». Так что же это такое - «рентген»?
Рентгенологические обследования (а также рентгенохирургические методы операбельного вмешательства) являются одними из наиболее распространенных методов в современной российской и в мировой медицине.
Рентгеновское излучение используется для получения простых рентгеновских снимков костей и внутренних органов, в флюорографии, в компьютерной томографии, в ангиографии и прочих рентгеновских методах диагностики и лечения.
Исходя из того, что рентгеновское излучение относится к группе радиационных излучений, оно (в определенной дозе) может оказывать негативное влияние на здоровье человека. Проведение большинства современных методов рентгенологического обследования подразумевает облучение обследуемого пациента ничтожно малыми дозами радиации, которые совершенно безопасны для здоровья биологического материала (в данном случае - человека).
Рентгенологические методы обследования используются гораздо реже в случае беременных женщин и детей, однако даже у этих категорий пациентов, в случае необходимости, рентгенологическое обследование может проведено, без существенного риска для развития беременности или здоровья ребенка.
Ключевые слова: рентгенологические обследования, эффективная доза, единица измерения эффективной дозы общего облучения человеческого тела, уровень безопасности, процедура.
Введение
Что представляют собой волны рентгеновских лучей, и какое влияние они оказывают на организм человека?
Рентгеновские лучи являются видом электромагнитного излучения, другими формами которого являются свет или радиоволны. Характерной особенностью рентгеновского излучения является очень короткая длина волны, что позволяет этому виду электромагнитных волн нести большую энергию и придает ему высокую проникающую способность. В отличие от света, рентгеновские лучи способны проникать сквозь тело человека («просвечивать его»), что позволяет врачу рентгенологу получить изображения внутренних структур тела человека.
По сути дела рентгеновские лучи - это «очень сильный свет», который не видим для глаз человека, но может «просвечивать» даже такие плотные предметы, как металлические пластины.
Чтотакое растр или «отсеивающая решётка»?
Растр был изобретен в 1913 году доктором Густавом Баки.
Растр - это устройство, позволяющее отфильтровывать рентгеновские лучи длинноволновой части рентгеновского спектра и рентгеновские лучи, направленные под незаданным углом к рентгеновской кассете.Следствием его использования является увеличение четкости рентгенограммы и уменьшение вуали на снимке, которая ухудшает ценность рентгеновского изображения.
Применение растров может приводить к корректировке параметров рентгеносъемки - киловольт и милиампер-секунд в сторону увеличения примерно на 10%.
Принцип действия растра.
Когда рентгеновский аппарат посылает излучения через тело, происходит поглощение и изменение направления рентгеновских лучей. Только около 1 процента рентгена проходят через тело по прямой линии и вызывают изменения на средстве визуализации (рентгеновская пленка, CR или DR-детектор. Остальные лучи являются лишними и их фильтрация улучшает качество рентгенограммы.
Основу растра составляет сетка из свинца, никеля и алюминия. Полоски металла должны быть очень тонкими. Это позволяет расположить большое количество ячеек на 1 мм. При 2-3 ячейках, расположенных на 1 мм растра, возможно увидеть саму решетку на рентгенограмме в виде тонкой сетки. При 6 ячейках и больше, расположенных на 1 мм растра, сетка на растре не видна. Одним из показателей растра является соотношение размера грани ячейки к ее протяженности. Чем это соотношение больше, тем лучше степень фильтрации и тем больше требований к перпендикулярности системы рентгеновский луч (детектор). В компьютерной рентгенографии растр на изображении убирается программой отцифровщика.
Изобретение относится к разделу рентгеновской техники. Оно предназначено для ограничения пучка рентгеновского излучения, выходящего из рентгеновского излучателя, и формирования узкого веерного пучка излучения в рентгенодиагностических аппаратах сканирующего типа, например цифровом флюорографе. Техническим результатом является обеспечение возможности световой имитации пучка излучения в рентгенодиагностических аппаратах сканирующего типа. Рентгеновский щелевой коллиматор содержит две плоскопараллельные пластины из материала с высоким атомным номером, закрепленные взаимно параллельно с небольшим зазором, образующим щелевой канал коллиматора, дополнен оптико-электронной системой, включающей оптически сопряженные лазер, две прямоугольные призмы и зеркальный отражатель. Лазер и первая призма находятся с внешней стороны одной из плоскопараллельных пластин и закрыты свето- и рентгенозащитным кожухом, а вторая призма и зеркальный отражатель, изготовленные из материала, слабо поглощающего рентгеновские лучи, размещены в отверстиях между плоскопараллельными пластинами и перекрывают щелевой канал коллиматора. Зеркальный отражатель, представляющий собой прямоугольный многогранник с отражающими боковыми гранями, соединен своим основанием с осью электродвигателя, проходящей перпендикулярно к щелевому каналу коллиматора, кроме того, на выходе щелевого канала установлена бленда из светонепроницаемого и рентгенопрозрачного материала.
Известен рентгеновский щелевой коллиматор, входящий в состав цифрового рентгенодиагностического аппарата сканирующего типа. Рентгеновский коллиматор имеет корпус, изготовленный из металла с высоким атомным номером, в форме плоского тубуса. Коллиматор соединен с рентгеновским излучателем. Рабочий канал коллиматора формирует узкий веерный рентгеновский пучок.
Известен также рентгеновский щелевой коллиматор, входящий в состав рентгенографической установки для медицинской диагностики. Рентгеновский коллиматор представляет собой пластину из металла с высоким атомным номером, в которой выполнена узкая продольная щель, формирующая узкий веерный пучок рентгеновского излучения.
Рентгенологические обследования являются одними из наиболее распространенных в современной медицине. Рентгеновское излучение используется для получения простых рентгеновских снимков костей и внутренних органов, флюорографии, в компьютерной томографии, в ангиографии и пр.
Исходя из того,что рентгеновское излучение относится к группе радиационных излучений, оно (в определенной дозе) может оказывать негативное влияние на здоровье человека. Проведение большинства современных методов рентгенологического обследования подразумевает облучение обследуемого ничтожно малыми дозами радиации, которые совершенно безопасны для здоровья человека.
Основная часть.
Медицинские исследования рентгеновскими лучами (рентгенологические исследования) во многих случаях предоставляют важную информацию о состоянии здоровья обследуемого человека и помогают врачу поставить точный диагноз в случае целого ряда сложных заболеваний.
Рентгенологическое исследование позволяет получить изображения плотных структур организма человека на фотографической пленке (рентгенография), либо на экране (рентгеноскопия).
Большая проникающая способность и энергия рентгеновских лучей делают их довольно опасными для организма человека. Рентгеновское излучение является одним из наиболее распространенных видов радиации. Во время прохождения через организм человека рентгеновские лучи взаимодействуют с его молекулами и ионизируют их. Говоря проще, рентгеновские лучи способны «разбивать» сложные молекулы и атомы организма человека на заряженные частицы и активные молекулы. Как и в случае других видов радиации, опасным считается только рентгеновское излучение определенной интенсивности, которое воздействует на организм человека в течение достаточно долгого промежутка времени. Подавляющее большинство медицинских обследований в рамках которых применяется рентгенологическое излучение, используют рентгеновские лучи с низкой энергией и облучают тело человека очень малые промежутки времени в связи с чем, даже при их многократном повторении они считаются практически безвредными для человека.
Дозы рентгеновского излучения, которые используются в обычном рентгене грудной клетки или костей конечностей не могут вызвать никаких немедленных побочных эффектов и лишь очень незначительно (не более чем на 0,001%) повышают риск развития рака в будущем.
Измерение дозы облучения при рентгенологических обследованиях
Как уже было сказано выше, влияние рентгеновских лучей на организм человека зависит от их интенсивности и времени облучения. Произведение интенсивности излучения и его продолжительности представляет дозу облучения.
Единица измерения дозы общего облучения человеческого тела это мили-Зиверт (мЗв). Также, для измерения дозы рентгеновского излучения используются и другие единицы измерения, включая внесистемную единицу «Рентген (Р)».
Разные ткани и органы организма человека обладают различной чувствительностью к облучению, в связи с чем, риск облучения различных частей тела в ходе рентгенологического обследования значительно варьирует.
Термин эффективная доза используется в отношении риска облучения всего тела человека.
Например, при рентгенологическом обследовании области головы, другие части тела практически не подвергаются прямому воздействию рентгеновских лучей. Однако, для оценки риска, представленного здоровью пациента, рассчитывается не доза прямого облучения обследуемой зоны, а определяется доза общего облучения организма - то есть, эффективная доза облучения. Определение эффективной дозы осуществляется с учетом относительной чувствительности разных тканей, подверженных облучению. Так же, эффективная доза позволяет провести сравнение риска рентгенологических исследований с более привычными источниками облучения, такими как, например, радиационный фон, космические лучи и пр.
Расчет дозы облучения и оценка риска рентгенологического облучения.
В нижеприведённой таблице представлено сравнение эффективной дозы облучения, полученной во время наиболее часто используемых рентгенодиагностических процедур, сравнивающих медицинское рентгеновское облучение с природным облучением, которому мы подвергаемся в обычных условиях в течение всей жизни биологического материала ( в данном случае - человеческого организма) .
Необходимо отметить, что указанные в таблице дозы являются ориентировочными и могут варьироваться в зависимости от используемых рентгеновских аппаратов и методов проведения обследования.
Процедура
Эффективная доза облучения
Сопоставимо с природным облучением, полученным за указанный промежуток времени
Как работает рентген

Рентгенологическое исследование - это довольно простая и недорогая процедура, которая позволяет получить двумерное изображение структур тела, необходимое для диагностики многих распространенных заболеваний.
Рассказываем, как это работает.
Немного истории
Рентгеновское излучение открыл в 1895 году выдающийся немецкий физик Вильгельм Кондрад Рентген, который впоследствии стал первым лауреатом Нобелевской премии по физике.
Именно он получил первый рентгеновский снимок - это была рука его жены с обручальным кольцом. В честь ученого и был назван новый тип излучения.
Прототип рентгеновской трубки, которая сейчас используется во всех современных рентгеновских аппаратах, изобрел американский физик Уильям Кулидж.
Как это устроено: УЗИ
УЗИ используют для обследования сердца, сосудов, пищеварительной системы и органов малого таза.
Как получается снимок?
Принцип получения изображения при помощи рентгеновских лучей построен на особенностях их поглощения различными тканями тела.
Рентгеновские лучи, испускаемые трубкой, проходят сквозь тело человека и проецируются на специальной пленке - почти как в фотоаппарате.
Кальций, содержащийся в костях скелета, поглощает больше всего рентгеновских лучей. Поэтому на снимке, полученном при исследовании, кости будут самыми яркими - белыми, так как на пленку в этой области попадет меньше всего лучей.
Жир, жидкости тела, мышцы и соединительная ткань поглощают меньше лучей - на снимке они отображаются оттенками серого.
Воздух поглощает меньше всего рентгеновских лучей. Именно поэтому заполненные им полости, например, легкие, на снимках выглядят самыми темными.
Что можно диагностировать при помощи рентгена?
- Трещины и переломы костей
- Раковые опухоли костей, легких и других тканей
- Остеомиелит
- Состояние легких
- Дегенеративные заболевания костей, например, остеопороз
- Инородные тела различных тканей
Как проводится рентгеновское исследование?
Исследование проводится в специальном кабинете, в котором установлен рентгеновский аппарат, или в любом другом помещении с использованием портативной или передвижной рентгеновской установки.
Во время получения рентгеновского снимка пациент может лежать на столе или стоять в различных позах перед рентгеновским аппаратом - в зависимости от того, какая область тела исследуется.
Что происходит во время рентгеновского исследования?
Перед рентгеновским исследованием вас попросят снять одежду и все ювелирные украшения: эти предметы искажают получаемое изображение.
В зависимости от того, какой участок тела будет исследоваться, вам придется принять определенную позу. Не все они могут быть удобны - но от вашей неподвижности зависит качество снимка.
Сам снимок делается в течение секунды. Воздействие рентгеновских лучей абсолютно безболезненно.
При необходимости также делается несколько разных снимков одного участка тела - в разных проекциях.
Затем полученные изображения интерпретируются врачом.
В современном рентгеновском аппарате используются очень низкие уровни рентгеновского излучения. Специалисты говорят, что доза облучения во время обследования сравнима с той, что получает пассажир обычного авиалайнера во время полета .
Это значит, что диагностические преимущества метода значительно перевешивают тот ущерб, которое излучение успевает причинить клеткам организма.
Важно! Рентгеновское исследование противопоказано маленьким детям и беременным женщинам. Оно назначается только в том случае, если этот диагностический метод жизненно необходим.
Рентгенографическое исследование позволяет получить двумерное изображение тела, на котором самыми светлыми участками будут кости, а темными - полости, содержащие воздух.
Этот вид диагностики позволяет определить повреждения и заболевания костей, а также наличие опухолей и заболеваний легких.
Читайте также:
