Показания для операции на средней черепной ямке
Добавил пользователь Валентин П. Обновлено: 28.01.2026
Основой настоящих рекомендаций являются международные согласительные документы. Учитывая тот факт, что в указанных документах большинство принципов хирургического и консервативного лечения являются опциями, авторы сочли целесообразным предложить дополнительно российский вариант, который основан на опыте НИИ нейрохирургии им. Н.Н. Бурденко и НИИ скорой помощи им. Н.В.Склифосовского и учитывает особенности организации медицинской помощи в нашей стране.
1. Ведение больных с тяжёлой ЧМТ
1.1. Организация нейротравматологической помощи (рекомендации)
Все регионы должны иметь хорошо организованную службу нейротравматологической помощи.
Служба нейротравматологической помощи пострадавшим с тяжёлой и средней тяжести ЧМТ должна включать нейрохирургическое отделение, дежурного хирурга-травматолога, дежурного нейрохирурга, постоянно готовую к работе операционную, укомплектованную оборудованием и персоналом, отделение реанимации и лабораторную службу, и все необходимое для лечения пострадавших с нейротравмой оборудования. Возможность проведения компьютерно-томографического исследования должна быть обеспечена в любой момент. В труднодоступных регионах, где нет нейрохирурга, местный хирург должен уметь проводить тщательное неврологическое обследование и первичные мероприятия специальной нейротравматологической помощи. Он обязан владеть жизнеспасающими операциями при оболочечных гематомах у пострадавших с клиникой вклинения ствола мозга.
1.2. Обследование пострадавших с тяжелой ЧМТ при поступлении в отделение реанимации (опции)
1.2.1. При поступлении в отделении реанимации необходимо провести:
• Осмотр всего тела обнаженного больного, обращая внимание на запах изо рта, наличие ссадин, кровоподтеков, деформаций суставов, изменений формы грудной клетки и живота, наличие истечения крови и ликвора из ушей и носа, кровотечения из уретры и прямой кишки.
• Рентгеновское исследование черепа в двух проекциях, шейного, грудного и поясничного отделов позвоночника, грудной клетки, костей таза и, при необходимости, костей верхних и нижних конечностей.
• Ультразвуковое исследование брюшной полости, забрюшинного пространства и грудной клетки (при необходимости - лапароцентез)
• Исследование концентрации гемоглобина, количества эритроцитов и лейкоцитов, лейкоцитарной формулы, уровня гематокрита, глюкозы, мочевины, креатинина, билирубина крови, кислотно-основного состояния (КОС), натрия и калия крови. Провести общеклиническое исследование мочи.
• Электрокардиограмма в трех стандартных, aVR, aVL, aVF и шести грудных отведениях.
• Анализы крови и мочи на содержание алкоголя. При необходимости, после консультации токсиколога, исследовать содержание в биологических средах барбитуратов, фенотиазинов, бензодиазепинов, высших спиртов и опиатов.
• Осмотр нейрохирургом, хирургом, травматологом.
• В дальнейшем не реже одного раза в сутки (по показаниям - чаще) делают клинический и биохимический анализы крови, исследуют КОС, концентрации натрия и калия плазмы крови. Один раз в 2 суток исследуют общий анализ мочи, при наличии анамнестических и клинических показаний - чаще.
1.2.2. Компьютерная томография (КТ) головного мозга
КТ является обязательным методом обследования пострадавших с ЧМТ. Относительные противопоказания к экстренному проведению исследования: нестабильная гемодинамика (АД систолическое ниже 90 мм. рт. ст., необходимость постоянной инфузии вазопрессоров); некупированный геморрагический или травматический шок.
С помощью КТ необходимо определить:
• Наличие патологического очага (очагов), его топическое расположение.
• Наличие в нём гиперденсивных и гиподенсивных зон, их количество, объём каждого вида очага (гипер- и гиподенсивной части) и их общего объёма в кубических сантиметрах.
• Положение срединных структур мозга и степень (в миллиметрах) их смещения (если оно есть).
• Состояние ликворосодержащей системы мозга - величина и положение желудочков с указанием церебровентрикулярных индексов, форму желудочков, их деформации и др.
• Состояние цистерн мозга.
• Состояние борозд и щелей мозга.
• Просвет суб- и эпидуральных пространств (в норме не определяются).
• Состояние костных структур свода и основания черепа (наличие трещин, переломов).
• Состояние и содержимое придаточных пазух носа.
• Состояние мягких покровов черепа.
При отсутствии положительной динамики через 12-24 часа проводят повторную КТ головного мозга. При нарастании и появлении новой неврологической симптоматики проводят экстренное КТ исследование. Все КТ исследования необходимо проводить в двух режимах: костном и мягкотканом. При краниофациальном повреждении и подозрении на ликворею необходимо проведение КТ исследования головы во фронтальной проекции.
1.2.3. Исследование церебро - спинальной жидкости
Для контроля воспалительных изменений в ликворе (подозрении на менингит) необходимо проводить динамическое исследование состава церебро - спинальной жидкости. Поясничную пункцию проводят при отсутствии дислокационной симптоматики, сохранённой проходимости ликворопроводящих путей во избежание развития и нарастания процессов вклинения и дислокации головного мозга.
1.2.4. Неврологический осмотр
Степень нарушения сознания у пострадавших определяют по речевой продукции, реакции на боль и открыванию глаз. Каждый из этих показателей оценивают в баллах по шкале комы Глазго (ШКГ) независимо от двух других. Сумма баллов определяет глубину расстройств сознания - от 3 баллов (глубокая кома) до 15 (ясное сознание).
Возможна оценка степени нарушения сознания по классификации Коновалова А.Н. и соавт. (1)
Согласно этой классификации 15 баллам по ШКГ соответствует ясное сознание, 13-14 баллам - умеренное оглушение, 11-12 баллам - глубокое оглушение, 9-10 баллам - сопор, 6-8 баллам - умеренная кома, 4-5 баллам - глубокая кома, 3 баллам - запредельная кома (атоническая).
Кроме того, оцениваются очаговые, глазодвигательные, зрачковые и бульбарные расстройства.
Необходимо повторять осмотр через каждые 4 часа. Пациентов, находящихся в состоянии алкогольного опьянения, нужно осматривать каждые 2 часа. При сохраняющемся угнетении сознания у больного в алкогольном опьянении необходимо срочно провести КТ головного мозга.
1.3. Первичная помощь пострадавшим с тяжёлой ЧМТ (опции)
В оказании первой помощи пострадавшим приоритетное значение имеют мероприятия, направленные на восстановление и поддержание жизненноважных функций: дыхания (восстановление проходимости дыхательных путей, устранение гиповентиляционных нарушений - гипоксемии, гиперкапнии) и кровообращения (устранение гиповолемии, гипотонии и анемии).
1.3.1. Мониторинг
Проведение рациональной интенсивной терапии должно основываться на мониторинге жизненно важных функций. Следует стремиться к осуществлению нейромониторинга, мониторинга кровообращения, дыхания и оксигенации. Оптимальным является непрерывное измерение внутричерепного давления, контроль оксигенации мозга тем или способом (параинфракрасная церебральная оксиметрия или измерение насыщения гемоглобина в луковице яремной вены через ретроградно введенную канюлю), мониторинг артериального давления (лучше - инвазивным способом), пульсоксиметрия, мониторинг содержания углекислого газа в конечно-выдыхаемых порциях воздуха и ЭКГ.
При возможности данный диагностический комплекс может быть расширен за счет ультразвукового исследования сосудов мозга, мониторинга центрального венозного давления и определения содержания газов в артериальной и венозной крови.
1.3.2. Обеспечение проходимости дыхательных путей.
У пострадавшего с нарушениями сознания по ШКГ 8 баллов и менее (кома) должна быть произведена интубация трахеи с целью обеспечения нормальной оксигенации и ликвидации гиперкапнии. Любые сомнения в необходимости интубации трактуют как показания к этой манипуляции. Интубацию необходимо выполнять без разгибания шейного отдела позвоночника: или назотрахеальным способом, или оротрахеальным с сохранением оси позвоночника. При угнетении сознания до сопора и комы проводят вспомогательную или контролируемую искусственную вентиляции легких кислородо - воздушной смесью с содержанием кислорода не менее 40-50%. При проведении ИВЛ следует предупреждать эпизоды несинхронности пациента с респиратором, вызывающие резкое повышение внутричерепного давления, подбором режимов вентиляции или введением короткодействующих миорелаксантов и седативных средств. Основными задачами ИВЛ при ЧМТ является поддержание нормокапнии (рСО2 арт - 36-40 мм рт. ст.) и достаточной церебральной оксигенации (насыщение кислородом гемоглобина в оттекающей от мозга крови не менее 60%). Для профилактики ишемии и гипоксии мозга все манипуляции, связанные с размыканием контура аппарата ИВЛ должны сопровождаться пре- и постоксигенацией 100% - ным кислородом.
При проведении ИВЛ избегают гипервентиляции и связанной с ней гипокапнии. При отсутствии признаков внутричерепной гипертензии у больных с тяжелой ЧМТ следует избегать длительной гипервентиляции PaCO2 10 мм или смещении срединных структур > 5 мм необходимо хирургическое удаление гематомы независимо от состояния больного по шкале комы Глазго.
- Всем больным в коме с острой субдуральной гематомой следует контролировать ВЧД.
- Хирургическое вмешательство показано также больным в коме с субдуральной гематомой толщиной меньше 10 мм и смещением срединных структур менее 5 мм, если наблюдается: снижение ШКГ на 2 балла и более с момента получения травмы до поступления в клинику, асимметриязрачков или отсутствие фотореакции и мидриаз, повышение ВЧД> 20 mm.hg
Сроки и методы операции
- У больных с острой субдуральной гематомой, при наличии показаний к операции, хирургическое вмешательство должно быть выполнено в экстренном порядке.
- У больных в коме удаление острой субдуральной гематомы осуществляется путем краниотомии с сохранением или удалением костного лоскута и пластикой ТМО.
2.3. Хирургическое лечение ушибов мозга
- При ушибах мозга, вызывающих прогрессивное ухудшение неврологического статуса, стойкую внутричерепную гипертензию, рефрактерную к консервативному лечению, или признаками масс-эффекта на КТ требуется оперативное лечение.
- Показания к нему устанавливаются также больным в коме с очагами ушибов в лобных и височных долях объемом более 20 см3, если смещение срединных структур >5 мм и/или имеются признаки сдавления цистерн на КТ, а также, если объем очага ушиба превышает 50 см3.
Сроки и методы операций
- Краниотомия по поводу удаления очагов размозжения, вызывающих угрожающий масс-эффект имеет такие же экстренные показания, как и удаление внутричерепных гематом.
- Бифронтальная декомпрессивная краниоэктомия в первые 48 часов после травмы является методом выбора лечения больных с диффузным отеком мозга и внутричерепной гипертензией, рефрактерных к консервативному лечению.
Декомпрессивные операции
- Декомпрессивные операции, включающие подвисочную декомпрессию, височную лобэктомию, гемикраниоэктомию, могут быть показаны при стойкой внутричерепной гипертензии и диффузных паренхиматозных повреждениях у больных с клиническими и КТ признаками тенториального вклинения.
2.4. Консервативное лечение ушибов мозга
- Больные с очагами ушибов головного мозга без признаков неврологического ухудшения, а также с управляемым ВЧД и незначительным масс-эффектом на КТ могут лечится консервативно, при условии мониторного контроля и КТ в динамике.
2.5. Показания к операциям на задней черепной ямке
- Абсолютными показаниями к хирургическому лечению при повреждениях задней черепной ямки являются эпидуральные гематомы свыше 25 см3, повреждения мозжечка латеральной локализации свыше 20 см3, окклюзионная гидроцефалия, латеральная дислокация IV желудочка.
- Консервативное лечение у больных с повреждениями структур ЗЧЯ можно проводить при эпидуральных гематомах объемом менее 10 см3, латеральных повреждениях мозжечка менее 10 см3, отсутствии смещения IV желудочка и стволовой симптоматики
- Выжидательная тактика у больных с повреждениями структур ЗЧЯ возможна при эпидуральных гематомах объемом 10-20 см3, повреждениях мозжечка 10-20 см3 при латеральном расположении. В определении тактики лечения необходимо учитывать уровень сознания, состояние глазного дна, данные акустических стволовых вызванных потенциалов. Таким больным необходимы динамические КТ исследования, учитывая риск возникновения отсроченных гематом, быстрого развития окклюзии ликворных путей и декомпенсации больного.
2.6. Хирургическое лечение вдавленных переломов костей черепа
- При открытых вдавленных переломах черепа, больше толщины кости, необходимо оперативное вмешательство для предупреждения инфицирования.
- Больные с открытым вдавленным переломом черепа могут лечиться консервативно, если отсутствуют: признаки повреждения ТМО, значительная внутричерепная гематома, вдавление больше 1 см, вовлечение воздухоносных пазух, косметический дефект, раневая инфекция, пневмоцефалия, сильное загрязнение раны.
- Консервативное лечение закрытого вдавленного перелома в каждом случае решается индивидуально.
Сроки и методы операций при вдавленных переломах
- Для снижения риска инфицирования рекомендуется раннее хирургическое вмешательство.
- Устранение вдавления и хирургическая обработка раны являются основными элементами операции.
- При отсутствии инфицирования раны возможна первичная костная пластика.
- Лечебные мероприятия при открытых вдавленных переломах должны включать антибиотики.
Микрохирургическое удаление опухолей основания черепа с применением эндоскопической ассистенции
Категории МКБ: Внутричерепной абсцесс и гранулема (G06.0), Вторичное злокачественное новообразование головного мозга и мозговых оболочек (C79.3), Доброкачественное новообразование гипофиза (D35.2), Доброкачественное новообразование головного мозга над мозговым наметом (D33.0), Доброкачественное новообразование головного мозга неуточненное (D33.2), Доброкачественное новообразование головного мозга под мозговым наметом (D33.1), Доброкачественное новообразование других уточненных частей центральной нервной системы (D33.7), Доброкачественное новообразование костей черепа и лица (D16.4), Доброкачественное новообразование краниофарингеального протока (D35.3), Доброкачественное новообразование оболочек головного мозга (D32.0), Доброкачественное новообразование черепных нервов (D33.3), Другие уточненные врожденные аномалии мозга (Q04.8), Злокачественное новообразование большого мозга, кроме долей и желудочков (C71.0), Злокачественное новообразование височной доли (C71.2), Злокачественное новообразование гипофиза (C75.1), Злокачественное новообразование других и неуточненных черепных нервов (C72.5), Злокачественное новообразование желудочка мозга (C71.5), Злокачественное новообразование зрительного нерва (C72.3), Злокачественное новообразование костей черепа и лица (C41.0), Злокачественное новообразование краниофарингеального протока (C75.2), Злокачественное новообразование лобной доли (C71.1), Злокачественное новообразование оболочек головного мозга (C70.0), Злокачественное новообразование обонятельного нерва (C72.2), Злокачественное новообразование слухового нерва (C72.4), Злокачественное новообразование: поражение спинного мозга и других отделов центральной нервной системы, выходящее за пределы одной и более вышеуказанных локализаций (C72.8), Злокачественное новообразование: поражение, выходящее за пределы одной и более вышеуказанных локализаций головного мозга (C71.8), Новообразования неопределенного или неизвестного характера головного мозга над мозговым наметом (D43.0), Новообразования неопределенного или неизвестного характера головного мозга под мозговым наметом (D43.1), Новообразования неопределенного или неизвестного характера других частей центральной нервной системы (D43.7), Новообразования неопределенного или неизвестного характера оболочек головного мозга (D42.0), Новообразования неопределенного или неизвестного характера черепных нервов (D43.3)
Общая информация
Краткое описание
Микрохирургическое удаление опухолей основания черепа с применением эндоскопической ассистенции - это методика удаления опухолей, включающая использование эндоскопического оборудования для визуализации операционной раны, идентификации сосудистых и нервных структур и проведения интраоперационного контроля эффективности проведенного вмешательства [1,2].
Задача эндоскопической ассистенции - обеспечить полную визуализацию основных анатомических структур основания черепа, которая недоступна при микроскопической визуализации.
Название протокола: Микрохирургическое удаление опухолей основания черепа с применением эндоскопической ассистенции.
С72.8 Поражение головного мозга и других отделов ЦНС, выходящее за пределы одной и более вышеуказанных локализаций
D32.0 Доброкачественное новообразование оболочек головного мозга
D33.0 Доброкачественное новообразование головного мозга над мозговым наметом
D33.1 Доброкачественное новообразование головного мозга под мозговым наметом
D33.2 Доброкачественное новообразование головного мозга неуточненное
D33.3 Доброкачественное новообразование черепных нервов
D33.7 Доброкачественное новообразование других уточненных частей ЦНС
D35.2 Доброкачественное новообразование гипофиза
D35.3 Доброкачественное новообразование краниофарингеального протока
D42.0 Новообразования неопределенного или неизвестного характера оболочек головного мозга
D43.0 Новообразование неопределенного или неизвестного характера над мозговым наметом.
D43.1 Новообразование неопределенного или неизвестного характера под мозговым наметом
D43.3 Новообразование неопределенного или неизвестного характера черепных нервов
D43.7 Новообразование неопределенного или неизвестного характера других частей ЦНС
Q04.8 Другие уточненные врожденные аномалии мозга
G06.0 Внутричерепной абсцесс и гранулема
Сокращения, используемые в протоколе:
АВМ артерио-венозная мальформация
ЗЧЯ Задняя черепная ямка
КТ компьютерная томография
МРТ магнитно-резонансная томография
ОАК общий анализ крови
ОАМ общий анализ мочи
ПЧЯ передняя черепная ямка
ПЭТ позитронно-эмиссионная томография
СЧЯ средняя черепная ямка
ЦНС центральная нервная система
Хирургическое лечение гипертензивных внутримозговых гематом
Введение
За последние 20 лет был проведен ряд исследований, в том числе рандомизированных, многоцентровых, проспективных и ретроспективных, посвященных вопросам лечения больных с геморрагическим инсультом. Исследовали необходимость проведения хирургического лечения, хирургическую тактику и методы вмешательства, ближайшие и отдаленные результаты. Параллельно оценивали результаты консервативного лечения сходных групп больных, а также разрабатывали рекомендации по обследованию и ведению больных с ОНМК [5, 6, 9, 10, 15, 17, 18, 23, 28].
На основании полученных результатов оказалось, что ни одно исследование не показало убедительных преимуществ хирургического лечения над консервативным, вне зависимости от используемых методов вмешательства. Отдаленные функциональные исходы среди выживших больных были практически одинаковыми в группах оперированных и леченых консервативно [19, 26, 28, 29, 33]. Таким образом, в настоящее время не существует стандартов лечения больных с геморрагическим инсультом, принципы ведения пациентов носят рекомендательный характер и во многом еще определяются традициями лечебных учреждений. Это мотивирует необходимость разработки алгоритма обследования и лечения больных с геморрагическим инсультом.
Геморрагический инсульт в широком смысле охватывает большую группу заболеваний, сопровождающихся кровоизлиянием в мозг или его оболочки. На практике под геморрагическим инсультом чаще понимают кровоизлияние в мозг вследствие гипертонической болезни или атеросклероза (т.н. гипертензивные гематомы).
Выделяют первичные и вторичные внутримозговые кровоизлияния. Гематома, возникающая в результате артериальной гипертонии, является первичным кровоизлиянием и наблюдается в 70-90%.
При вторичном кровоизлиянии гематома возникает вследствие следующих причин [2]:
1. коагулопатии (10-26%) (ятрогенные коагулопатии и тромбоцитопении, при лейкемии, циррозе печени и заболеваниях крови);
2. разрыва артерио-венозной мальформации (7%);
3. васкулопатий (5%) (амилоидная ангиопатия, септический или микотический артериит);
4. кровоизлияний в опухоль (1-3,5%).
Внутримозговая гематома может образоваться также вследствие повышения интенсивности кровотока в области инфаркта мозга. Описана возможность формирования внутримозговых кровоизлияний как осложнения инфекционных заболеваний центральной нервной системы, тромбоза дуральных синусов и эклампсии.
Гипертензивная гематома возникает в результате проникновения крови из патологически измененной артерии в вещество головного мозга.
Небольшие по диаметру артерии, из которых происходит кровоизлияние, расположены в области базальных ядер, таламуса, варолиева моста, а также у поверхности мозга, не имеют развитых анастомозов, являясь часто конечными ветвями. Возможности перераспределения крови и адаптации к изменениям гемодинамики у этих артерий минимальны. В связи с этим, хроническая артериальная гипертония и атеросклероз приводят к выраженным изменениям их стенок. В результате развивающегося липогиалиноза, фибриноидного некроза и истончения мышечного слоя упругость сосудистой стенки уменьшается, а проницаемость увеличивается. Нередко формируются микроаневризмы .
Средний возраст больных с геморрагическим инсультом составляет 60-65 лет, соотношение мужчин и женщин равно 1,6:1. Риск развития геморрагического инсульта значительно повышается после 55 лет и удваивается с каждым последующим десятилетием. Летальность от геморрагического инсульта достигает 40-50%, а инвалидность развивается у 70-75% выживших. Факторами риска в развитии геморрагического инсульта являются высокое артериальное давление, злоупотребление алкоголем, наличие в анамнезе предыдущих нарушений мозгового кровообращения, а также нарушения функции печени, сопровождающиеся тромбоцитопенией, гиперфибринолизом и уменьшением факторов свертывания крови [2].
Существуют два механизма развития кровоизлияния: по типу гематомы и по типу диапедезного пропитывания. Кровоизлияния по типу гематомы встречаются в 85% случаев по материалам аутопсий, имеют типичную локализацию в подкорковых ядрах, полушариях мозга и мозжечке. При данном типе кровоизлияния излившаяся кровь раздвигает мозговое вещество, что сопровождается перемещением отдельных участков мозга. В связи с этим, в первые часы не происходит значительного разрушения мозгового вещества. При кровоизлиянии по типу гематомы размеры гематомы намного превышают объем разрушенной ткани. Кровоизлияния по типу диапедеза встречаются значительно реже, являясь следствием первичной ишемии сосудистой стенки и увеличения ее проницаемости. Такие кровоизлияния чаще имеют небольшие размеры и располагаются преимущественно в таламусе или варолиевом мосту.
Диагностика
Обследование больных в нейрохирургическом стационаре
1) При поступлении больного в отделение нейрохирургии проводится детальный клинико - неврологический осмотр с оценкой тяжести состояния по шкале комы Глазго (стандарт) [2, 8].
2) Производят оценку общей тяжести состояния больного на основании осмотра терапевта, реаниматолога (при необходимости кардиолога, офтальмолога, эндокринолога) и данных лабораторных методов обследования (электрокардиография, рентгенография грудной клетки, анализы крови, коагулография) (рекомендация).
3) Производят КТ (МРТ) головного мозга (рекомендация).
Относительным противопоказанием к проведению КТ головного мозга является выраженная нестабильность гемодинамики - неуправляемая артериальная гипотензия - систолическое давление ниже 90 мм.рт.ст. при постоянной инфузии вазопрессоров или выраженная артериальная гипертензия, требующая экстренной коррекции гипотензивными препаратами - систолическое давление выше 220 мм.рт.мт.
При выполнении КТ (МРТ) следует определить: наличие и топическое расположение патологического очага (очагов); объем каждого вида очага (гипо-, гиперденсивной части) в см3; положение срединных структур мозга и степень их смещения в мм; состояние ликворосодержащей системы мозга (величина, форма, положение, деформация желудочков) с определением вентрикуло-краниальных коэффициентов; состояние цистерн мозга; состояние борозд и щелей мозга.
Объем кровоизлияния определяют либо с помощью программы, поставляемой производителем томографа, либо по формуле АВС/2, где А -наибольший диаметр, В - перпендикулярный диаметр по отношению к А, С -количество срезов х толщину среза. Пациентам, у которых во время хирургического вмешательства планируется использовать нейронавигацию, также производят сканирование в том режиме, который необходим для последующей передачи изображения на конкретную навигационную станцию [12, 27].
На основании результатов нейровизуализации внутримозговые супратенториальные гематомы подразделяют на следующие виды [2]:
· путаменальные (латеральные, составляют ~55% гипертензивных кровоизлияний), расположенные кнаружи от внутренней капсулы и в зависимости от объема, распространяющиеся на скорлупу, бледный шар или ограду;
· таламические (медиальные, ~10%), расположенные кнутри от внутренней капсулы, в таламусе, но могут распространяться на средний мозг и проникать в желудочковую систему, часто формирующиеся вследствие диапедезного пропитывания;
· субкортикальные (лобарные, ~15%), расположенные в белом веществе больших полушарий головного мозга, близко от коры. Часто встречаются у пожилых пациентов (старше 70 лет) и могут быть обусловлены церебральным амилоидозом.
Кровоизлияния в заднюю черепную ямку составляют около 20% от числа всех больных с геморрагическим инсультом и подразделяются на:
· кровоизлияния в ствол мозга, как правило, в варолиев мост (~10%), часто формируются по типу геморрагического пропитывания.
4) Церебральную ангиографию (КТ- или МР-ангиографию) проводят при подозрении на наличие сосудистой мальформации или артериальной аневризмы при отсутствии гипертонического анамнеза, молодом возрасте пациента (менее 45 лет) и расположении гематомы, нетипичном для гипертензивного кровоизлияния, но характерном для разрыва артерио-венозной мальформации или аневризмы (рекомендация). Для артериовенозных мальформаций характерно субкортикальное кровоизлияние, наиболее часто на стыке лобной и теменной, височной и затылочной долей; для артериальной аневризмы - в области основания лобной доли, сильвиевой щели, на стыке лобной и височной долей [21].
Лечение
Хирургическое лечение направлено на устранение компрессии и дислокации мозга, а также окклюзионной гидроцефалии, что приводит к достоверному снижению летальности, а у части больных, у которых консервативное лечение неэффективно, и к уменьшению неврологического дефицита уже в остром периоде заболевания [11, 22, 24, 38, 39].
1) Показанием к хирургическому лечению при геморрагическом инсульте является:
· путаменальное и субкортикальное кровоизлияние объемом более 30 см3, сопровождающееся выраженным неврологическим дефицитом и/или приводящее к дислокации мозга (смещению срединных структур более 5 мм или деформации цистерн ствола мозга) (опция) [2, 3];
· кровоизлияние в мозжечок объемом более 10-15 см3, диаметром более 3 см, сопровождающееся компрессией ствола мозга и/или окклюзионной гидроцефалией (рекомендация); выполнять наружное вентрикулярное дренирование без удаления гематомы мозжечка не рекомендуется ввиду возможного увеличения аксиальной дислокации мозга [2, 3, 29, 35, 36].
· кровоизлияние в мозжечок объемом менее 10-15 см3, сопровождающееся гемотампонадой IV желудочка и окклюзионной гидроцефалией (опция) [2, 3].
· кровоизлияние в таламус, сопровождающееся гемотампонадой желудочков и/или окклюзионной гидроцефалией (рекомендация) [2, 3].
2) Хирургическое вмешательство не показано при угнетении сознания до комы (GCS - 7 баллов и менее) (рекомендация) [2, 3, 25].
3) Относительным противопоказанием к операции является наличие тяжелой соматической патологии (сахарный диабет, почечно-печеночная, сердечно-сосудистая и легочная патология в стадии суб- и декомпенсации, коагулопатии, сепсис), неуправляемая артериальная гипертензия -систолическое давление более 200 мм рт.ст. (опция) [2].
Факторами риска неблагоприятного исхода при хирургическом лечении являются [2, 3, 7, 35]:
· снижение бодрствования до сопора и ниже;
· объем внутримозговой гематомы более 50 см3;
· массивное вентрикулярное кровоизлияние;
· поперечная дислокация 10 мм и более; · деформация цистерн ствола мозга;
· рецидив кровоизлияния.
Целесообразность хирургического удаления гипертензивных гематом таламуса объемом более 10 см3 и ствола, сопровождающихся грубым неврологическим дефицитом, обсуждается, и устоявшегося мнения на этот счет среди нейрохирургов пока нет [24].
Выбор метода хирургического лечения
· Хирургическое вмешательство производят сразу после обследования и определения типа гематомы (опция) [22, 39, 40]. При компенсированном состоянии пациента, нормальном бодрствовании или снижении не глубже оглушения, отсутствии признаков нарастания компрессии мозга, но высоких цифрах артериального давления (систолическое более 200 мм рт.ст.) во избежание трудностей с интраоперационным гемостазом и послеоперационного рецидива гематомы операцию целесообразно отложить до снижения и стабилизации артериального давления (рекомендация). В ряде случаев на протяжении первых суток гематома может продолжать формироваться и склонна к рецидивам, поэтому некоторые нейрохирурги предлагают не производить хирургические вмешательства в течение 6-24 часов от начала заболевания (опция) [13].
· Проведение пункционной аспирации гематомы с использованием метода стереотаксиса (безрамной навигационной станции) показано при путаменальных и мозжечковых гематомах у больных без нарушения бодрствования или с его снижением не глубже оглушения. Вмешательство можно сочетать с локальным фибринолизом сгустков крови (рекомендация) [1, 4, 30]. Для удаления гематомы может быть использован метод нейроэндоскопии (рекомендация) [2, 3, 7, 38, 39].
При фибринолизе для однократного введения используют 5000-60000 МЕ урокиназы, 50-100 тыс. МЕ проурокиназы рекомбинантной, 3 мг тканевого активатора плазминогена, 15-30 тыс. МЕ стрептокиназы. Введение фибринолитика и аспирацию лизированной крови осуществляют каждые 6-12 часов в зависимости от вида препарата. Оптимальное время дренирования гематомы без увеличения риска инфекционных осложнений, связанных с наличием дренажа и интратекальным введением препарата - 24-72 часа (опция) [1, 4, 27, 34].
· Открытые операции показаны при субкортикальных гематомах, а также при путаменальных кровоизлияниях и гематомах мозжечка с клиникой быстрого нарастания дислокационного синдрома (рекомендация) [31].
При субкортикальных кровоизлияниях необходима микрохирургическая ревизия полости гематомы для удаления возможной ангиографически негативной мальформации, частота встречаемости которых может достигать 30%. При путаменальном и мозжечковом кровоизлиянии открытая операция преследует цель быстрого создания наружной декомпрессии мозга и предупреждения или устранения компрессии и дислокации мозга [31, 37].
· При наличии тяжелой соматической патологии возможно удаление субкортикальных гематом одним из мини-инвазивных методов (с использованием метода стереотаксиса, эндоскопии, локального фибринолиза), но только после проведения церебральной ангиографии и исключения сосудистой мальформации (опция) [2].
· При небольших гематомах мозжечка, сопровождающихся смещением и/или окклюзией IV желудочка или сильвиева водопровода и развитием окклюзионной гидроцефалии, показано проведение наружного дренирования желудочков, либо эндоскопической тривентрикулостомии. Наружное дренирование проводят до регресса окклюзионной гидроцефалии и восстановления проходимости желудочковой системы (рекомендация) [2, 14].
· При массивном кровоизлиянии в боковые желудочки возможно их наружное дренирование с проведением локального фибринолиза сгустков крови или их эндоскопического удаления (опция) [1, 3].
· При тяжелом состоянии пациента (снижение бодрствования до глубокого оглушения и сопора, выраженная соматическая патология), которое может потребовать длительной интенсивной терапии в послеоперационном периоде, вмешательство на гематоме необходимо дополнять установкой датчика измерения внутричерепного давления (рекомендация) [2].
Условия для хирургического лечения геморрагического инсульта.
· Для выполнения хирургических вмешательств в операционной необходимо иметь микроскоп и набор микрохирургических инструментов для проведения сосудистых нейрохирургических операций, нейроэндоскопическое оборудование и инструменты, навигационную установку.
· Все операции желательно проводить под общим обезболиванием. У пациентов с тяжелой соматической патологией пункционные операции могут быть выполнены под местной анестезией с внутривенным потенциированием при условии контроля за функцией внешнего дыхания (интубация трахеи) и центральной гемодинамикой (мониторинг АД, ЧСС, адекватная инфузионная терапия через центральную вену) (опция).
Послеоперационный период
После операции пациент должен находиться в отделении нейрореанимации (рекомендация).
В течение 1-2 суток после проведения открытой операции необходимо выполнение контрольной КТ головного мозга. В дальнейшем при отсутствии ухудшения состояния исследование повторяют на 7 и 21 сутки. При проведении локального фибринолиза КТ выполняют каждые 24 часа, после удаления дренажа - на 7 и 21 сутки (опция).
Мониторирование внутричерепного давления проводят до его стойкой нормализации (менее 20 мм рт.ст.), затем датчик удаляют (опция).
Оценка исходов геморрагического инсульта
Для оценки исхода инсульта наиболее часто используют шкалу J. Rankin (1957) (определение уровня независимости больного) [32].
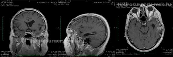
Менингиома средней черепной ямки
Симптомы: систематические боли головные, возникновение проблем в произношении слов, возникновение слабости мышц - данное проявление коснулось именно правой руки, возникли определенные асимметричные явления в мимике лица.
Диагностирование: МРТ, производилось с усилением контрастного типа.

Менингиома средней черепной ямки (до операции)
Лечение: на основании произведенных исследований назначено оперативное вмешательство.
После удаления образования отмечается быстрое восстановление силы мышц в работе правой руки. Полностью прекратились боли головного типа, устранены все нарушения речевого характера. После удаления менингиомы средней черепной ямки производится контроль посредством МРТ.

Менингиома средней черепной ямки (после операции)
Патологии средней черепной ямки сочетаются с возникновением различных нарушений неврологического характера. Нередко проявляются проблемы с памятью, возникают определенные нарушения речевого типа, также проявляются боли головного характера, потеря сознания, эпилептические симптомы. Так как образование растет достаточно медленно, то проявления на первых стадиях развития являются практически незаметными. Соответственно, если головные боли человека беспокоят достаточно существенное количество времени (они формируются на основании сдавливания), то следует обратиться к врачу. Врач непременно должен внимательно изучить симптоматику и произвести обследование, которое может стать основой диагностирования опухолевого образования.
На ранних стадиях операция по иссечению опухоли средней черепной ямки является более простой и не требует серьезного травматизма. На более поздних стадиях процесс лечения будет сочетаться с обязательным облучением, чтобы исключить формирование рецидивных образований.
Нередко бывают ситуации, когда оперативное вмешательство является невозможным по причине того, что менингиома является очень крупной или же затрагивает окружающие вены и кровеносные сосуды или же они располагаются в местах, где есть большая вероятность травмировать важные отделы мозга. В данном случае используется радиохирургия стереотаксическая, которая позволяет убрать поражение и восстановить нормальную жизнь человека. Также данная методика будет применяться в том случае, если невозможно осуществить полное отсечение опухолевых тканей.
Если же такое внедрение также является невозможным, то применяется терапия лучевого характера.
Нужно отметить, что менингиома чаще всего проявляется у женщин в возрасте от 40 до 60 лет, поэтому врачи говорят о том, что существует неоспоримая взаимосвязь с женскими гормонами, а также присутствует возрастной фактор. Также причиной образования могут быть старые серьезные травмы. Нередко такая патология диагностируется у тех, кто проходил лечение облучением или же получил определенное облучение по месту работы, у тех, кто все время соприкасается с токсическими веществами.
Симптоматика заболевания может быть достаточно разной, так как изначально она зависит от того, где именно располагается новообразование. Поэтому при обращении пациента врачу нужно быть предельно внимательным. Ведь именно на начальной стадии развития патологии можно обойтись минимальным количеством методов воздействия, достигая поставленных целей. После проведения операции назначается терапевтическое лечение. Кроме того, пациент все время находится под наблюдением, что позволяет оперативно отреагировать в том случае, если образование восстановит свой рост. Поэтому нужно все время контролировать пациента даже в том случае, если у него не отмечается никакой симптоматики и период восстановления после операции протекает невероятно успешно.
Перелом черепа ( Перелом костей черепа )
Перелом черепа - это нарушение целостности костей черепа. Чаще его причиной становится тяжелая прямая травма. Патология сопровождается локальной болью в месте повреждения. Остальные симптомы зависят от тяжести травмы, поражения мозговых структур и развития осложнений. Диагностика базируется на жалобах, данных анамнеза и объективного осмотра, результатах рентгенографии, КТ, МРТ и других исследований. Лечение определяется видом перелома и тяжестью черепно-мозговой травмы, может быть как консервативным, так и оперативным.
МКБ-10



Общие сведения
Перелом черепа - травматическое нарушение целостности черепа. Обычно сопровождается повреждением мозга и его оболочек, поэтому относится к группе состояний, представляющих опасность для жизни. Тактика лечения зависит от вида перелома черепа и особенностей повреждения мозговых структур и может быть как консервативной, так и оперативной.
Переломы черепа составляют около 10% от всех переломов и около 30% от общего количества тяжелых черепно-мозговых травм и чаще наблюдаются либо у активных людей молодого и среднего возраста, либо у социально неблагополучных граждан (алкоголиков, наркоманов и т. д.). Высокая частота подобных повреждений у первой группы пациентов объясняется их активностью (травмы на производстве, поездки на автомобилях, занятия спортом, в том числе - экстремальным и т. д.). Травмы представителей второй группы чаще связаны с криминалом, либо с несчастными случаями в состоянии алкогольного или наркотического опьянения.

Причины
Как правило, перелом черепа возникает в результате тяжелых травм: падений с большой высоты, автомобильных аварий, ударов по голове твердым массивным предметом и пр. Выделяют два механизма перелома черепа:
- Прямой. В этом случае кость ломается непосредственно в месте приложения силы,
- Непрямой. Действие удара передается на поврежденную кость с других отделов черепа или других костей скелета.
Переломы свода черепа обычно формируются в результате прямой травмы. При этом кости черепа прогибаются внутрь, а первой повреждается внутренняя пластинка черепной кости. Однако, возможны и непрямые переломы свода черепа, при которых поврежденная кость выпячивается кнаружи.
Переломы основания черепа чаще развиваются вследствие непрямой травмы, например, в результате падения с высоты на ноги и таз (в этом случае травматическое воздействие передается через позвоночник) или в результате падения на голову (при этом удар передается с костей свода на кости основания черепа).
Классификация
Выделяют переломы мозгового и лицевого черепа. Изучение и лечение переломов лицевого черепа представляет собой отдельный раздел медицины, находящийся в ведении челюстно-лицевых хирургов. Лечением переломов мозгового черепа занимаются врачи-нейрохирурги, а в деревнях и небольших городах, не имеющих собственных нейрохирургических отделений - травматологи или хирурги.
Все переломы мозгового черепа подразделяются на две большие группы: переломы свода и основания. Переломы основания в травматологии и ортопедии встречаются относительно редко и составляют около 4% от общего количества черепно-мозговых травм. По своему характеру переломы свода, в свою очередь, делятся на:
- Линейные переломы. Повреждение кости напоминает тонкую линию. Смещение костных фрагментов отсутствует. Такие переломы сами по себе наименее опасны, однако они могут становиться причиной повреждения оболочечных артерий и образования эпидуральных гематом.
- Вдавленные переломы. Кость вдавливается в черепную коробку. Из-за этого может повреждаться твердая мозговая оболочка, сосуды и мозговое вещество, следствием чего становятся ушибы и размозжения мозга, внутримозговые и субдуральные гематомы.
- Оскольчатые переломы. При повреждении образуется несколько осколков, которые могут повреждать мозг и мозговые оболочки, вызывая те же последствия, что при вдавленных переломах.
Переломы основания черепа подразделяются на переломы передней, средней и задней черепной ямки. Возможно также сочетание переломов свода и основания черепа.

КТ головы (3D-реконструкция). Перелом лицевого черепа (скуловой дуги) и перелом в области лобно-скулового шва.
Симптомы перелома черепа
Перелом свода черепа
При повреждениях свода черепа обнаруживается рана или гематома волосистой части головы. В области перелома могут иметься видимые или выявляемые при ощупывании вдавления. Следует учитывать, что при линейных переломах такие вдавления отсутствуют. Общие симптомы зависят от тяжести травмы и степени повреждения мозговых структур. Возможны любые нарушения сознания, от его кратковременной потери в момент травмы до комы. При поражении мозга и черепных нервов возникают нарушения чувствительности, парезы и параличи. Может развиваться отек мозга, сопровождающийся тошнотой, рвотой, распирающими головными болями, нарушением сознания и появлением очаговой симптоматики. При сдавлении ствола мозга отмечаются нарушения дыхания и кровообращения, а также угнетение реакции зрачков.
Обычно выявляется закономерность: чем тяжелее черепно-мозговая травма, тем сильнее выражено нарушение сознания. Однако из этого правила есть исключение - внутричерепная гематома, для которой характерен период просветления, сменяющийся потерей сознания. Поэтому удовлетворительное состояние больного не стоит расценивать, как свидетельство отсутствия или незначительной тяжести травмы.
Еще один фактор, который необходимо принимать во внимание - пациенты с переломом черепа нередко находятся в состоянии алкогольного опьянения, которое может затруднять диагностику. Поэтому объективные подтверждения травмы головы (ушибы, раны, гематомы) и свидетельства очевидцев в таких случаях должны становиться поводом для направления больного на немедленное обследование в специализированное отделение.
Перелом основания черепа
При переломах основания черепа симптоматика зависит от сопутствующего повреждения мозга. Кроме того, выявляются признаки, характерные для повреждения определенной черепной ямки. О переломе передней черепной ямки свидетельствует симптом «очков» - кровоизлияния в клетчатку вокруг глаз и истечение спинномозговой жидкости с примесью крови из носа. Иногда наблюдается экзофтальм (выпучивание глаз вследствие кровоизлияния в клетчатку, расположенную позади глаза). При повреждении воздухоносных полостей может выявляться подкожная эмфизема.
Перелом средней черепной ямки сопровождается истечением спинномозговой жидкости из слуховых проходов и образованием кровоподтека на задней стенке глотки. Для перелома задней черепной ямки характерны тяжелые расстройства дыхания и кровообращения (свидетельство повреждения ствола мозга) и кровоподтеки в области сосцевидного отростка (костного выступа за ухом). Следует учесть, что симптом «очков» и кровоподтеки в область сосцевидного отростка появляются не сразу, а через 12-24 часов после травмы.
Перелом черепа положено исключать у всех пациентов с черепно-мозговой травмой. Врач опрашивает больного, выясняя обстоятельства травмы, оценивает его общее состояние, проводит неврологическое обследование (оценивает чувствительность и силу мышц, проверяет рефлексы и т. д.). В ходе осмотра он проверяет состояние зрачков (реакция на свет, равномерность, ширина), наличие или отсутствие отклонения языка от средней линии и равномерность оскала зубов, а также измеряет пульс, чтобы выявить брадикардию, характерную для черепно-мозговой травмы.
Обязательно выполняется обзорная рентгенограмма черепа в двух проекциях, а при необходимости - и в специальных укладках. Назначается компьютерная томография черепа и магнитно-резонансная томография (МРТ головного мозга).

Существует ряд объективных обстоятельств, затрудняющих диагностику переломов черепа, в том числе - тяжелое состояние больного, из-за которого невозможно провести ряд исследований, особенности строения черепа из-за которых на обзорных снимках повреждение костей основания выявляется менее чем у 10% пострадавших и т. д. Поэтому диагноз перелома черепа в ряде случаев выставляется на основании клинической картины и в последующем, после улучшения состояния больного, подтверждается данными объективных исследований.
Лечение перелома черепа
Первая помощь
Всех пациентов с черепно-мозговой травмой необходимо немедленно доставлять в стационар. На этапе первой помощи больного укладывают в горизонтальное положение. Если пострадавший находится в сознании, его кладут на спину. Пациентов в бессознательном состоянии укладывают вполоборота. Для создания такого положения под спину с одной стороны можно подложить небольшие подушки или верхнюю одежду. Голову больного поворачивают в сторону, чтобы при рвоте он не захлебнулся рвотными массами.
Голове создают покой, используя подручные средства: одежду, подушки или валики. Останавливают кровотечение, накладывая на рану давящую повязку. К месту травмы прикладывают холод. Проверяют проходимость дыхательных путей, при необходимости устраняют западение языка, освобождают дыхательные пути от рвотных масс и т. д. По показаниям вводят аналептики (цитизин, диэтиламид никотиновой кислоты) и сердечные гликозиды.
Консервативная терапия
На этапе стационара лечение переломов черепа чаще консервативное, операции проводят по строгим показаниям. Консервативную терапию назначают пациентам с переломами основания черепа, закрытыми переломами свода черепа, субарахноидальными кровоизлияниями, сотрясением и ушибом головного мозга. Всем больным показан постельный режим, длительность которого зависит от тяжести травмы, и гипотермия головы (используются пузыри со льдом). Проводится дегидратационная терапия, назначаются антибиотики и обезболивающие. При переломах основания черепа выполняются повторные люмбальные пункции либо накладывается люмбальный дренаж.
Тактика лечения в каждом конкретном случае определяется тяжестью и особенностями черепно-мозговой травмы. Так, при сотрясениях головного мозга пациентам назначают вазотропные и ноотропные препараты. При ушибах мозга спектр лечебных мероприятий расширяется и включает в себя не только средства для улучшения мозгового кровотока и энергообеспечения мозга, но и метаболическую и противовоспалительную терапию и т. д. В восстановительном периоде применяют ноотропные препараты и лекарственные средства для улучшения мозговой микроциркуляции (циннаризин, винпоцетин).
Хирургическое лечение
Хирургическое лечение может потребоваться при тяжелых переломах черепа, особенно - вдавленных. Под общим наркозом выполняется трепанация, в ходе которой врач создает отверстие в черепе, удаляет из мозга внедрившиеся осколки, инородные тела и разрушенные ткани. Образование внутричерепных гематом в подавляющем большинстве случаев является показанием для срочной операции, в процессе которой хирург удаляет скопившуюся кровь, промывает полость, выявляет и устраняет источник кровотечения.
Показанием к хирургическому вмешательству при переломах основания черепа в остром периоде может стать повреждение лицевого или зрительного нерва, а в отдаленном - продолжающееся истечение спинномозговой жидкости из ушных проходов или носовых ходов. Прогноз при переломах черепа зависит от тяжести черепно-мозговой травмы. Возможно как полное восстановление, так и тяжелые последствия, становящиеся причиной инвалидности больного.
Читайте также:
- Форсированная экспираторная жизненная емкость (ФЭЖЕ). Дыхание при эмфиземе легких
- Детский ботулизм
- Отраженные боли в животе. Отраженные боли в брюшной полости. Причина ( этиология ) отраженных болей в животе.
- Значение и функции андрогенов. Биоинтез и обмен
- Электростимуляция спинного мозга. Техника электростимуляции спинного мозга.
