Полипы шейки матки - лечение, симтомы, причина появления
Добавил пользователь Евгений Кузнецов Обновлено: 21.11.2025
В МКБ 10 код N84.1 присвоен полипу шейки матки. Это заболевание женских репродуктивных органов, которое занимает 3-5% в структуре гинекологической патологии. Несмотря на внедрение в клиническую практику эндоскопических методов лечения, частота рецидивов заболевания колеблется от 25,9% до 78%.
Полипы матки - это экзофитное локальное железистое образование, которое исходит из базального слоя эндометрия или эндоцервикса, имеет сосудистую ножку. Симптомами полипов матки наиболее часто являются маточные кровотечения. Если выявлен полип на шейке матки, надо ли удалять новообразование? Да, потому что вследствие хронической кровопотери у пациенток развивается анемия. Малокровие приводит к временной нетрудоспособности женщин, бесплодию. Средний возраст пациенток, страдающих полипами матки, составляет 45 лет.
Отдельные виды полипов матки (полипы шейки матки с атипией и аденоматозные полипы эндометрия) относятся к предраковым патологическим процессам. По этой причине ответ на вопрос: «Надо ли удалять полип на шейке матки?» однозначен - да. Когда у женщины есть полип шейки матки, опасно ли это? Сами по себе полипы цервикального канала опасности не представляют. Без лечения большой полип шейки матки будет постоянной причиной межменструальных кровотечений, очагом инфекций, передающихся половым путем, мешать беременности и родам.
Причины образования полипа шейки матки
Причины, по которым образуется полип в шейке матки, учёными не установлены. Наиболее вероятными причинами образования полипов шейки матки считают воспаление и гормональные нарушения. Предрасполагающими для возникновения полипов являются следующие факторы:
- Большое количество абортов;
- Хронические аднекситы и кольпиты;
- Отсутствие беременностей в анамнезе.
Образованию полипов матки способствуют патологические гены в клетках эндометрия (HNGIC-gene). Возникновение полипов эндометрия у женщин в постменопаузе связывают с заместительной гормональной терапией и препаратом «Тамоксифен», который пациентки принимают при раке молочной железы. Существует мнение, что полип матки развивается вследствие дисфункции яичников, хронического инфекционно-воспалительного процесса органов малого таза, разного рода травм данной области, полученных в результате выполнения медицинских манипуляций или во время родов.
Виды и симптомы полипов шейки матки
Полипы, расположенные в полости матки носят название полипов эндометрия. В зависимости от гистологического строения их ткани различают следующие виды полипов матки:
- Железистые - полипы, образованные из ткани внутренней оболочки матки (эндометрия), которая содержит железы;
- Железисто-фиброзные - состоят из желез эндометрия и стромы (поддерживающей их соединительной ткани);
- Фиброзные - образованы плотной фиброзной тканью, в которой содержатся и могут единичные железы, развиваются у женщин после 40 лет;
- Аденоматозные - полипы эндометрия, которые имеют высокую вероятность перехода в рак внутренней оболочки матки.
Различают следующие полипы цервикального канала шейки матки: железистые, покрытые однорядным цилиндрическим эпителием, и эпидермизированные, на поверхности которого находится метапластический многослойный эпителий. При наличии полипа цервикального канала у женщины появляются следующие симптомы:
- Нарушения менструального цикла, которые выражаются выражающиеся в увеличении интенсивности кровотечения (гиперполименорее);
- Кровянистые выделения после полового акта, которые возникают в результате травмирования новообразования;
- Межменструальные мажущие выделения.
Пациентки часто предъявляют жалобы на тянущие боли и появление тягучих белей серозного или серозно-гнойного характера. Если перечисленные выше симптомы отсутствуют, образование выявляют случайно при профилактическом гинекологическом осмотре, ультразвуковом исследовании органов малого таза, кольпоскопии. Когда «прорвался» полип шейки матки (выпал во влагалище), появляются боли во время коитуса и кровянистые мажущие выделения после полового акта.

Методы диагностики полипа матки
Гинекологи для установки диагноза полипа шейки матки и цервикального канала проводят следующие основные диагностические мероприятия:
- Осмотр наружных половых органов;
- Осмотр влагалища и шейки матки на зеркалах;
- Бимануальное (двуручное) исследование;
- Ультразвуковое исследование;
- Гистероскопию;
- Гистологическое исследование.
К дополнительным методам диагностики полипа матки относится кольпоскопия и мазок на онкологическую цитологию. Плановому хирургическому лечению подлежат женщины, которые предъявляют типичные для полипа матки жалобы. При осмотре шейки матки на зеркалах у них обнаруживаются образования, которые имеют чёткие контуры, ярко-розовый цвет, чаще грушевидную форму, гладкую поверхность. Они прикрепляются к слизистой цервикального канала и могут выступать за пределы наружного зева шейки матки.
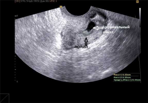
Ультразвуковое исследование (УЗИ) позволяет врачу увидеть утолщение внутреннего слоя матки (эндометрия), наличие полипов (выростов в полости матки). Во время гистероскопии в полости матки определяются разрастания различной величины и формы. Фиброзные полипы эндометрия имеют вид бледных единичных образований округлой или овальной формы, размер которых варьирует от 0,5×1 до 0,5×1,5 см, расположенные на ножке.
Они имеют плотную структуру, гладкую поверхность, мало сосудов. Иногда фиброзные полипы эндометрия достигают больших размеров, и при гистероскопии поверхность полипа, плотно прилегающего к стенке матки, ошибочно считают атрофичной слизистой оболочкой и полип не диагностируют. При обнаружении полипозного образования его необходимо обследовать со всех сторон, оценить величину, локализацию, место прикрепления, а также величину ножки. Фиброзные полипы во время гистероскопии напоминают подслизистые миоматозные узлы.
Железисто-кистозные полипы эндометрия, в отличие от фиброзных, чаще бывают единичными, большими. Их размеры - от 0,5×1 до 5×6 см. Иногда у пациенток встречается несколько полипов. Они имеют продолговатую, конусовидную, неправильную форму, могут быть разделены перемычками. Поверхность гладкая, ровная, иногда над ней выступают кистозные образования с тонкой стенкой и прозрачным содержимым. Цвет полипов может быть бледно-розовым, бледно-жёлтым, серовато-розовым. Нередко верхушка полипа тёмно-багровая или синюшно-багровая. На поверхности полипа видна капиллярная сосудистая сеть.
Аденоматозные полипы эндометрия чаще располагаются ближе к устьям маточных труб. Их размеры небольшие, от 0,5×1 до 0,5×1,5 см. Они выглядят серыми, тусклыми, рыхлыми. Аденоматозные изменения определяются и в ткани некоторых железисто-кистозных полипов. В этом случае характер полипа при эндоскопическом исследовании определить не удаётся. Полипы внутреннего слоя матки изменяют форму при изменении скорости подачи газа или жидкости в полость матки. Они при этом сплющиваются, увеличиваются в диаметре, а при уменьшении расправляются.
Лечение полипов матки
При наличии симптомов полипа шейки консервативная и немедикаментозная терапия не применяется. Лечение состоит из следующих мероприятий:
- Удаление полипа эндометрия матки и цервикального канала;
- Профилактика рака эндометрия;
- Купирование клинических симптомов.
Если выявлен большой полип на шейке матки, как его лечить? Любой полип подлежит удалению. Полноценное удаление полипа эндометрия и цервикального канала производят с помощью гистероскопии. Одиночные полипы на ножке удаляют щипцами или ножницами, которые вводят через операционный канал гистероскопа.
После удаления полипа выполняют контрольную гистероскопию, чтобы убедиться, что ножка полипа иссечена полностью. При множественных полипах и сочетании с гиперпластическими процессами эндометрия проводят раздельное диагностическое выскабливание под контролем гистероскопии. Оперирующие гинекологи весь полученный операционный материал отправляют в лабораторию для гистологического исследования.
Удаление полипа шейки матки
Надо ли удалять полип на шейке матки? Удаление полипов матки хирургическим методом называется полипэктомия. Крупные полипы (размером 1-3см) удаляют путём откручивания. После этого основание ножки полипа прижигают электрическим током.
Удалённую ткань направляют на гистологическое исследование для определения строения полипа. Это необходимо для того чтобы исключить злокачественный характер новообразования. Последующее лечение в значительной степени зависит от результатов гистологии.
Через 4-5дней после удаления полипа матки гинекологи Юсуповской больницы проводят повторное обследование. Оно необходимо для контроля состояния места локализации образования и профилактики эндометрита. После полипэктомии в течение 7-10 дней проводят антибактериальную терапию. Если повысилась температура после удаления полипа шейки матки, следует немедленно обратиться к гинекологу. Гипертермия может быть проявлением осложнения операции. В этом случае врач назначит антибиотики последнего поколения.
Если у пациентки полипы образовались на фоне дисфункции яичников, проводят соответствующую гормональную терапию. В некоторых случаях необходимо длительное гормональное лечение. Его длительность может варьировать от трёх до шести месяцев. В течение этого времени результаты лечения контролируют с помощью гистероскопии и биопсии эндометрия.
Сургитрон
Сургитрон - современный радиохирургический аппарат. Он разработан американской фирмой «ELLMAN International». Аппарат в гинекологии применяют для удаления полипов шейки матки. Удаление полипа цервикального канала радиоволновым методом приносит исключительно положительные результаты. Удаление полипа на шейке матки сургитроном имеет следующие преимущества:
- Отсутствие контактного воздействия;
- Минимальное повреждение тканей, расположенных около полипозного образования;
- Исключение кровопотери при воздействии радиоволн;
- Безболезненность при проведении процедуры;
- Чёткий визуальный контроль всех этапов операции;
- Минимальный послеоперационный период и быстрое выздоровление.
Радиохирургическое удаление полипов шейки матки и цервикального канала сургитроном проводят при наличии следующих показаний:
- Размер полипов больше 10мм;
- Возраст пациентки старше 45 лет;
- Проблемы с зачатием и вынашиванием плода;
- Отсутствие положительного эффекта от консервативного лечения;
- Наличие аденоматозных полипов.
Отзывы женщин, которым удаляли полип шейки матки радиоволновым методом, положительные.
Лазерное удаление полипа в шейке матки
Наиболее благоприятные последствия после удаления шейки матки лазером. Лазерная технология полипэктомии обладает следующими преимуществами:
- Проводится быстро, без травм и необходимости нахождения в стационаре;
- Не приводит к утрате трудоспособности, пациентки после процедуры могут продолжать вести привычную жизнь, восстановление происходит очень быстро;
- После воздействия лазерными лучами не образуются рубцы на шейке матки, кровопотеря минимальная;
- Патологические новообразования удаляются послойно, здоровые ткани не травмируются.
После удаления полипа шейки матки биологический материал отправляют в лабораторию на гистологическое исследование. Проводится определение наличия вируса папилломы человека, который является провоцирующим фактором возникновения множества новообразований.
Инновационные методы лечения полипов матки
В настоящее время гинекологи при выборе метода лечения и тактики ведения пациентки учитывают следующие факторы:
- Размеры образования:
- Его структуру;
- Возраст женщины;
- Состояние эндометрия;
- Причины развития патологии;
- Наличие обменно-эндокринных нарушений.
В настоящее время полипы удаляют с помощью лазера. Данный вид хирургического вмешательства не оставляет рубцов и позволяет сохранить репродуктивную функцию женщины. К инновационным методам лечения полипов матки относится минигистероскопия. Операция отличается отсутствием травматизации шейки и необходимостью в наркозе.
Врач выбирает способ лечения совместно с пациенткой. При этом минигистероскопия позволяет избавиться не только от полипов, но и от миомы матки, гиперплазии эндометрия, внутриматочных синехий. Это щадящий оперативный метод.
Врач имеет возможность послойно контролировать глубину проникновения лазера, тем самым предотвращает травмирование, сокращает кровопотерю и восстановительный период. Лазер запаивает сосуды. Соединительной ткани не остаётся, что благоприятно сказывается на будущей беременности. После обработки лазером реабилитационный период составляет от 6 до 8 месяцев.
Тактика ведения пациенток в послеоперационном периоде
Если врачи удалили полип под наркозом в шейке матки, женщину оставляют под наблюдением до следующего дня. Дальнейшая тактика ведения зависит от результата гистологического исследования. При наличии фиброзных и железисто-кистозных полипах эндометрия 1 раз в год выполняют ультразвуковое исследование органов малого таза. Эти образования не требуют лечения и дополнительного обследования.
Полип на шейке матки при беременности негативно отражается на вынашивании плода. Хотя полипы относятся к доброкачественным образованиям, они требуют обязательного наблюдения у врача и лечения. Опасность патологии заключается в том, что при разрастании полипов возможен выкидыш. По этой причине лечение полипов следует проводить на этапе планирования беременности.
После гистероскопии на протяжении некоторого времени пациентку могут беспокоить спазматические боли. На протяжении двух-трёх недель могут наблюдаться незначительные выделения. Спустя неделю после операции пациентке необходимо пройти гинекологический осмотр. Врач, руководствуясь возрастом пациентки, причиной образования полипа и его характером, назначает восстановительную терапию.
При повышении температуры, появлении обильных кровянистых выделений, темной слизи с неприятным цветом, сильных и острых болях необходимо обращаться к врачу. В данном случае можно предполагать наличие осложнения - воспаления матки, её перфорацию или гематометр (скопление крови в матке). Воспаление после удаления полипа шейки матки возникает очень редко. Оно обычно спровоцировано тем, что операция проводилась на фоне скрытой инфекции, воспалительного процесса или в процессе хирургического вмешательства нарушены правила антисептики и антисептики.
Перфорация образуется в результате прокола стенки органа из-за рыхлости его структуры или плохого расширения шейки. Мелкие перфорации зарастают самостоятельно, а крупные врачи ушивают.
Для того чтобы восстановительный период протекал быстрее и без осложнений, пациентке после операции рекомендуют строго соблюдать правила личной гигиены. В это время ей не рекомендуется принимать ванны, посещать сауны и бани, купаться в открытых водоёмах. Рекомендуется принимать тёплый душ.
На протяжении месяца противопоказан приём аспирина, чрезмерные физические нагрузки, подъём тяжестей. Следует исключить спринцевания и половые контакты. Для того чтобы пройти обследование и лечение полипа матки современными методами, звоните в контакт цент Юсуповской больницы.
Полипы матки, влагалища, вульвы: симптомы, диагностика, лечение

Одна из самых распространенных гинекологических проблем, с которыми сталкивается современная женщина — полипы матки и влагалища. Единичные выросты называются полипом, а множественные скопления — маточным полипозом. Такие новообразования требуют лечения — медикаментозного или хирургического.
Чем опасны полипы
Любые полипы, где бы они не располагались, следует лечить. Даже если новообразования доброкачественные, состояние диагностируется как предраковое. Для женщин, планирующих иметь детей, патология особенно опасна, ведь она приводит к бесплодию.

Рассмотрим 2 вида полипов:
- Аденоматозный полип . Вид аденомы, проявляющийся в разрастании ткани эндометрия — слизистой оболочке, покрывающей внутреннюю поверхность матки (во время менструации функциональные слои эндометрия выходят с выделениями). Аденома — доброкачественная опухоль, и появляется только в органах с железистым эпителием, но со временем может переродиться в онкологию — рак. Риск повышается при запущенном состоянии. Аденоматозный полип появляется и на других органах, но возникновение его в матке наиболее опасно для жизни.
- Железистый полип . Уже из названия ясно, что этот тип полипов образован из желез и ткани эндометрия. Такие полипы маленькие и самые безопасные среди подобных новообразований. Диаметр железистого полипа не превышает 1,5 см. Железистые полипы почти всегда доброкачественные, хотя известны случаи, когда рак эндометрия развивался как раз из такого очага. Бывает, что просвет желез образует кисту, тогда диагностируется железисто-кистозный полип. Отдельным подвидом железисто-кистозный полип не является. Такие полипы образуются в виде узла и находятся в строме слизистой оболочки, который находится в местах отвода маточных труб.
Диагностика
На первом приеме врач вряд ли может поставить диагноз, так как определить нахождение полипа во внутренней полости матки без тщательного обследования невозможно. Существуют объективные и субъективные причины, которые могут вызвать подозрения на маточный полипоз.
- боли внизу живота;
- общее недомогание.
- результаты общего и биохимического анализа крови;
- анализ влагалищных мазков;
- результаты гинекологического УЗИ;
- гистероскопия.
Если диагноз подтверждается гинекологом, то врач дает направление на биопсию. Дальнейшее лечение будет целиком зависеть от результатов гистологического исследования. В большинстве метод лечения аденоматозных и железистых полипов — оперативное вмешательство.
Полипы матки
Матка — это полый орган женской репродуктивной системы, внутреннюю поверхность которого выстилает слизистая оболочка — эндометрий. Эндометрий обладает специфическими физиологическими и функциональными свойствами. Иногда отмечается патологическое разрастание железистых структур эндометрия - полип тела матки, которое чаще всего не относят к онкологическим состояниям.

Полипы маточной полости могут иметь различную форму, размер и место локализации, что напрямую определяет влияние такого новообразования на репродуктивное и сексуальное здоровье женщины. Так как любые полипозные структуры склонны к дальнейшему росту, медики рекомендуют избавляться от полипов тела матки сразу же после обнаружения.
Причины появления полипов тела матки
Еще совсем недавно гинекологи считали полипы следствием перенесенных беременности и родов, однако в последние годы все чаще полипозные новообразования диагностируются у подростков и молодых нерожавших девушек, а также встречаются у женщин климактерического возраста.
По результатам исследований было установлено, что основная причина, провоцирующая патологическое разрастание эндометрия — гормональные расстройства. Это объясняет частое проявление заболевания в периоды беременности, лактации и полового созревания. Кроме того, полипы могут стать следствием эрозии, травмирования эндометрия в процессе оперативного вмешательства, а также осложнения воспалительных процессов слизистой оболочки.
Симптомы полипов в матке
Единичный полип маточной полости, как и множественный полипоз, может длительное время не проявляться, протекая совершенно бессимптомно. Часто пациентка узнает о развитии подобной структуры, только когда полип травмируется или отрывается. Внимательное отношение к состоянию собственного здоровья поможет определить полипы по следующим симптомам:
- Влагалищное кровотечение или необильные мажущие выделения крови через несколько дней после менструации;
- Ощущение дискомфорта или даже неинтенсивная болезненность во время полового акта;
- Тянущие длительно сохраняющиеся боли внизу живота;
- Нарушения регулярности менструального цикла.
Заметив любой признак из указанных выше симптомов, необходимо немедленно обратиться за профессиональной медицинской помощью.
Диагностика и лечение полипов тела матки
Выделяют несколько способов диагностирования полипа тела матки:
- УЗИ, подтвержденное кольпоскопией;
- Гистероскопия - визуальный осмотр маточной полости с использованием специального оптического оборудования;
- Рентгенологическое исследование матки - метрография.
После установления наличия полипозной структуры специалист определяет предпочтительный способ удаления новообразования. Чаще всего применяется методика полипэктомии, которая заключается в откручивании тела полипа и прижигании основания воздействием электрического тока. Существует и менее травматичный способ — удаление полипов методом радиоволновой хирургии. В нашей клинике используется новый радионож Фотек.
При множественных полипах практикуется выскабливание полости матки. Полипы, удаленные в процессе вмешательства и окружающие их ткани направляются на гистологическое исследование (исследование на рак). Если анализ устанавливает присутствие атипичных (переродившихся) клеток, врач предполагает возможный онкологический процесс.
Если вы заметили у себя признаки наличия патологии, то обратитесь в медцентр Диана. Здесь диагностику и лечение полипа тела матки можно произвести с применением новейшего оборудования экспертного класса под профессиональным контролем высококвалифицированных специалистов.
Полип шейки матки
Полип шейки матки — это доброкачественное новообразование, которое сформировалось путем патологического разрастания эпителия (покровной ткани), выстилающего шеечный канал. Такие структуры могут иметь различную форму и размеры, однако вне зависимости от этих характеристик, в случае выявления такого нароста, необходимо произвести его удаление, ведь полипы негативно влияют на репродуктивную и сексуальную функцию женщины.
Полипы шейки матки опасны и по другим причинам — высока вероятность их травмирования, а также возможно злокачественное перерождение новообразования. Столкнуться с подобной проблемой может женщина любого возраста, однако наибольший риск отмечается в период серьезных гормональных перестроек - половое созревание, беременность, климакс и т.д.
Причины формирования полипов шейки матки
Часто полипы шейки матки образуются без какой-либо видимой причины и длительное время не дают о себе знать, развиваясь бессимптомно. Тем не менее выявили несколько ключевых факторов, повышающих риск развития полипов в шеечном канале:
- Гормональный дисбаланс . Эта причина может иметь как возрастной или физиологический характер (климакс, беременность), так и формироваться на фоне таких гинекологических патологий, как миома матки, дисфункция яичников, эндометриоз.
- Психоэмоциональное напряжение . Длительное воздействие стрессовых факторов, переутомление, нервная нестабильность - все это может спровоцировать разрастание эпителиальных (покровных) тканей шеечного канала на фоне снижения естественной иммунной защиты.
- Механическое травмирование . Такие гинекологические манипуляции, как диагностическое выскабливание или гистероскопия, могут сопровождаться повреждением слизистой оболочки шейки, что впоследствии приводит к формированию полипозных структур.
- Инфекционно-воспалительные процессы . Любое воспаление шейки матки, такое как эндоцервицит или последствия инфекционного процесса, сочетаются с риском развития полипа.
Симптомы полипов шейки матки
Первые признаки полипоза часто развиваются, когда новообразование уже достигает существенных размеров. В это время женщины отмечают постоянные тянущие боли внизу живота, дискомфорт и болезненность в процессе интимной жизни и сексуального возбуждения, нехарактерные выделения из влагалища (бели, кровянистые, серозные). Особенно наглядно эти симптомы проявляются в период менопаузы, когда любое кровомазание считается поводом для обращения за медицинской помощью.
Достаточно часто формирование полипов сопровождается бесплодием. Если же беременность наступила несмотря на полипоз, специалисты рекомендуют отложить лечение до послеродового периода, и только в редких случаях назначается оперативное удаление подобных новообразований на ранних сроках беременности.
Диагностика и лечение
Выявить наличие полипа шеечного канала можно в процессе классического гинекологического осмотра. Подтверждение диагноза требует проведения кольпоскопии и цервикоскопии или процедуры гинекологического УЗИ. Способ удаления определяется специалистом индивидуально, на основании возраста и состояния здоровья пациентки, а также исходя из размера и места локализации новообразования.
Чаще всего полипы удаляют методом палипэктомии или радиоволновым холодным методом — это малотравматичная современная процедура. Если гинеколог считает нужным, проводят выскабливание эпителия.
Полип влагалища
Полипы влагалища — это доброкачественные новообразования, которые разрастаются на слизистых оболочках и эпителиальных (покровных) тканях. Одно из мест локализации полипозных структур — влагалище. Образования в данном случае чаще всего представляют собой множественные небольшие бугорки, имеющие широкое основание.
Существует несколько причин, провоцирующих развитие патологического разрастания тканей влагалища, однако вне зависимости от вызвавшего процесс фактора полипы во влагалище нужно удалять.
Причины образования полипов влагалища
Выделяют несколько причин, провоцирующих рост полипов:
- Вирус папилломы человека . Папилломавирус имеет более ста разновидностей, каждый из которых формирует приоритетное место локализации. Такой вид папилломы, как остроконечные кондиломы, достаточно часто поражает слизистые ткани половых органов, в том числе и влагалища. Обычно они визуально напоминают дольчатую цветную капусту, имея при этом красновато-розовый цвет. Полипы, вызванные вирусом папилломы человека, как правило, проявляют множественное разрастание и локализуются близко к выходу из влагалища.
- Механические повреждения слизистой оболочки . Травмы влагалища во время медицинских манипуляций и родов, сопровождающихся разрывами слизистой оболочки, неизбежно приводят к формированию рубца. Со временем на участке грубой соединительной ткани может отмечаться появление отдельных полипов.
- Хламидиоз и другие инфекции, передающиеся половым путем . Инфекционно-воспалительный процесс — один из ведущих факторов, стимулирующих образование влагалищных полипов.
- Гормональные расстройства . Гормональные перестройки, а также заболевания, сопровождающиеся эндокринным дисбалансом, часто способствуют формированию полипов. Иногда сам процесс роста полипа происходит в цервикальном канале, а после тело новообразования выпадает в просвет влагалища, где и диагностируется.
Симптомы полипов влагалища
Полипы влагалища могут длительное время не проявляться какими-либо специфическими симптомами. Тем не менее некоторые женщины отмечают зуд и жжение пораженной области, которые возникают чаще всего после полового акта.
При интимной близости из-за травмирования новообразований могут развиваться кровотечение или скудные сукровичные выделения. В некоторых случаях отмечаются болезненность и дискомфорт внизу живота, однако такое явление встречается относительно редко.
Лечение полипов влагалища
Выявляют наличие патологического разрастания слизистой оболочки влагалища обычно в процессе стандартного вагинального осмотра, который может быть дополнен кольпоскопией для окончательного подтверждения диагноза.
В отличие от полипоза тела или шейки матки, влагалищные наросты могут быть ликвидированы такими методикам, как лазерная и радиоволновая коррекция, криодеструкция, электрокоагуляция и химическое удаление. Применение последней методики ограничено в период беременности. Определив причину развития полипоза, специалист также назначит лечение, направленное на устранение фактора, вызвавшего заболевание.
Полип вульвы
Вульва — это совокупность наружных половых органов женщины. Полипы часто заселяют области половых губ, клитора, а также преддверия влагалища.

Патологическое разрастание слизистых оболочек сопровождается появлением нароста или бугорка, который может увеличиваться в размере или образовывать дольчатые структуры, внешне напоминающие цветную капусту. Благодаря открытой локализации новообразований они, в отличие от полипов тела матки или цервикального канала, значительно проще диагностируются и, как правило, удаляются на ранней стадии, что позволяет избежать перерождения опухоли в злокачественную форму.
Причины полипов вульвы
Часто полипами называют не классические полипы, а остроконечные кондиломы, первичная причина формирования которых — проникновение в кровь пациентки вируса папилломы человека. На фоне сниженной иммунной реакции и гормонального дисбаланса папилломавирус вызывает патологическое деление клеток эпителия, что в конечном итоге и приводит к росту кондилом. На начальном этапе такие структуры могут иметь вид множественных бугорков, которые в процессе разрастания сливаются в одну объемную опухолевидную папиллому.
Главный фактор образования полипов вульвы — механическое травмирование наружных женских половых органов. Заживление ранки в этом случае сопровождается образованием шрама или рубца, основу которого составляет грубая соединительная ткань. Именно она и становится зоной локализации одиночных полипов.
Также полипоз вульвы может отмечаться на фоне гормональных перестроек, таких как беременность, половое созревание или климактерический период, и воспалительно-инфекционных процессов, обычно это инфекции, передающиеся половым путем.
Диагностика и лечение полипов вульвы
Диагностика полипов вульвы не представляет труда. Гинеколог может поставить диагноз после простого физикального осмотра, который часто совмещают с гинекологическим, с целью исключения вероятности разрастания полипов влагалища и шейки матки.
Удаление полипов вульвы может быть проведено следующими способами:
- Лазерная методика - патологический нарост разрушается под действием направленного лазерного луча. Методика считается наименее травматичной и соответственно наиболее безопасной среди всех известных на сегодня способов иссечения эпидермальных новообразований.
- Радионож — радиоволновая терапия предпочтительна для любого гинеколога. Она имеет множество преимуществ, в том числе и перед лазерным удалением. В частности радионожом можно взять ткань полипа на анализ, тогда как лазер выпаривает новообразования целиком.
- Криодеструкция - замораживание патологических участков ткани воздействием экстранизких температур посредством аппликаций жидкого азота.
- Электрокоагуляция - методика предполагает использование электрического тока в качестве агрессивного деструкционного агента.
- Хирургическое иссечение - применяется относительно редко в силу высокого уровня травматичности и длительного периода заживления тканей.
Лечение полипов в Санкт-Петербурге
В клинике Диана удаление полипов проводят опытные оперирующие гинекологи. В современном отделении гинекологии есть все необходимое для качественного и комфортного лечения таких заболеваний.
Полипы матки и шейки матки - в чем разница?

В настоящее время полипы матки довольно распространенная патология, с которой гинекологам приходится сталкиваться в амбулаторной практике. Эти образования часто остаются бессимптомными, но если они растут из слизистой оболочки в полости матки, они могут быть одной из наиболее распространенных причин аномального кровотечения из половых путей у женщин.
Симптоматические полипы матки — важное показание обратиться к гинекологу и принять решение об их удалении.
Полипы матки - что это такое?
Полип матки представляет собой протрузию, доброкачественную гипертрофию слизистой оболочки каплевидной, округлой формы. В подавляющем большинстве полипы — доброкачественные поражения и не имеют тенденции быть злокачественными.
Полипы матки обычно диагностируются случайно, потому что они часто не дают никаких симптомов в течение длительного времени. Патология обнаруживается у 5-12% женщин, а самая высокая заболеваемость полипами матки приходится на репродуктивный возраст. Однако они могут возникать и после менопаузы.
Полипы шейки матки и тела матки - причины и диагностика
Среди полипов можно выделить две основные группы, относящиеся к разным частям одного и того же органа. Это полипы шейки матки и полипы полости матки. Несмотря на схожее по звучанию название и близость обеих структур (шейки матки и полости матки), это самостоятельные варианты заболевания, с разными методами диагностики и дальнейшего ведения.
Бывает и так, что оба типа полипов сосуществуют друг с другом у одной и той же пациентки. Их часто путают с миомой матки, но это также два совершенно разных заболевания.
Полипы шейки матки
Полипы шейки матки обычно не являются поводом для беспокойства с точки зрения онкологии, так как риск трансформации их в злокачественную форму составляет всего 0,1%. Обычно полип шейки матки может быть диагностирован во время классического гинекологического осмотра с использованием зеркала.
Во время осмотра шейного диска врач может заметить поражение, выходящее из цервикального канала, обычно достигающее до 3 см. Реже полип прячется внутри канала.
В отличие от полипов матки, ультразвук обычно не может выявить полипы шейки матки, если они не достигают больших размеров.
Полипы эндометрия
Как и в случае с полипами шейки матки, полипы полости матки (тела) обычно не являются поводом для беспокойства по поводу рака, поскольку частота их малигнизации составляет около 1%. Важно отметить, что они также не классифицируются как предраковое состояние.
Однако симптомы, которые могут давать эти новообразования, характерны и для других заболеваний, именно поэтому исключение ракового процесса является золотым стандартом ведения в случае полипов полости матки. Причины возникновения этих полипов до конца не изучены, но считается, что решающую роль играет повышенная концентрация женских половых гормонов - эстрогенов.
Полипы полости матки могут достигать размеров до нескольких, реже десятка, сантиметров. Они встречаются поодиночке или группой, а к слизистой они фиксируются толстым основанием или выступающей ножкой. Частота возникновения полипов эндометрия увеличивается с возрастом.
При подозрении на полип тела матки, или полип эндометрия, врач начнет консультацию с проведения опроса о тревожных симптомах. Дальнейшее лечение будет включать гинекологическое обследование, не способное визуализировать полипы полости матки, но выявляющее сопутствующие патологии, и ультразвуковое исследование - самый простой способ увидеть возможное изменение между 5-м и 10-м днем цикла. Именно в эти дни слизистая оболочка, выстилающая матку, еще относительно тонкая и не успела вырасти с продолжительностью цикла.
Полипы шейки матки - симптомы
Полипы шейки матки могут вызывать неприятные симптомы, однако чаще патология остается бессимптомной. Если симптомы есть, то это:
- кровянистые выделения между месячными;
- кровянистые выделения после полового акта;
- выделения из влагалища с примесью крови или без нее.
Также было доказано, полипоз может быть причиной повышенной предрасположенности к интимным инфекциям.
Симптомы полипов эндометрия
К симптомам полипов тела матки относятся:
- кровянистые выделения между менструациями;
- длительные или более обильные ежемесячные кровотечения, чем раньше;
- иногда бывают и кровянистые выделения из влагалища.
Эти симптомы могут также возникать после менопаузы, что должно побудить больную к более широкой диагностике и исключению ракового процесса, дающего аналогичную симптоматику.
Полипы шейки матки - лечение
В случае визуализации поражения, которое по своим особенностям напоминает полип шейки матки, гинеколог назначает полипэктомию, удаляя полип с помощью специальных инструментов для его «скручивания».
Процедура обычно короткая - до нескольких минут и проводится в рамках одного дня. В зависимости от решения врача и восприятия боли пациенткой, процедура может проводиться под коротким, внутривенным наркозом или даже без анестезии.
Удаление полипа шейки матки обычно также сопровождается процедурой кюретажа канала полости матки, что особенно важно в связи с возможным рецидивом полипа после его неполного удаления, а также для исключения возможного ракового процесса.
После процедуры, полученный в ходе нее материал передается на гистопатологическое исследование для окончательного подтверждения диагноза. В зависимости от лаборатории, обычно приходится ждать результата около 3-4 недель.
Лечение полипов полости матки
В случае подозрения на полип в полости матки дальнейшее лечение включает в себя выполнение гистероскопии, а значит и обследования, которое заключается во введении небольшой камеры через шейку матки внутрь матки и визуальной оценке ее полости.
Специальный инструмент гистероскоп дает возможность удалить очаг поражения вместе с кюретированным материалом из полости матки. Удаленные ткани отдают на гистопатологическое исследование, как в случае с полипами шейки матки. Процедура обычно длится до нескольких минут и проводится под коротким, внутривенным наркозом.
Удаление полипа шейки матки - рекомендации после операции. Полипы матки и влияние на фертильность
Влияние на фертильность и дальнейшие рекомендации после процедуры обусловлены типом полипа. Полипы на шейке матки не оказывают существенного влияния на фертильность и показаний к сохранению перерыва в усилиях забеременеть после процедуры удаления нет.
Если полип шейки матки обнаружен во время беременности, решение о его удалении обычно откладывается до родов. Бывает и так, что полип самопроизвольно отпадает во время родов под влиянием гормонов.
В свою очередь, в случае полипов эндометрия бывает, что они препятствуют имплантации эмбриона в полости матки. Это означает бесплодие, поэтому женщинам детородного возраста часто рекомендуется их удалять. После процедуры по удалению полипа из тела матки рекомендуется трехмесячный перерыв до зачатия.
Полипы во влагалище
Полип влагалища чаще всего диагностируется у женщин старше 40 лет, которые хотя бы раз рожали. В настоящее время заболевание выявляют и у более молодых женщин. В 99% случаев полипы влагалища являются доброкачественными новообразованиями. Они часто протекают бессимптомно. Врачи Юсуповской больницы диагностируют вагинальный полип во время гинекологического обследования. С помощью лабораторных исследований убеждаются в доброкачественности новообразования.
Разрастаясь, полипозные образования доставляют дискомфорт и нарушают качество половой жизни пациентки. В 1% случаев полип влагалища может переродиться в злокачественную опухоль. По этой причине онкологи рекомендуют незамедлительно удалить новообразование. Врачи Юсуповской больницы выполняют удаление полипов во влагалище с помощью малоинвазивных методик, которые не травмируют ткани и не представляют опасности для пациентки.

Причины образования
Рост полипов во влагалище провоцируют несколько факторов:
- Вирус папилломы человека. Слизистую оболочку вагины поражают остроконечные кондиломы. Они красно-розового цвета, внешне напоминают цветную капусту. Папилломавирус вызывает образование множества полипов, большинство из которых располагается ближе к выходу из влагалища;
- Механические повреждения слизистой оболочки вагины часто возникают во время медицинских манипуляций, родов, при введении во влагалище инородных тел. Заживление разрывов слизистой часто происходит с образованием рубцов. На участках вагины, покрытых грубой соединительной тканью, образуется грануляционный полип влагалища. Лактационная аменорея усугубляет течение патологического процесса;
- Нарушения гормонального равновесия вследствие возрастных изменений в организме или эндокринных заболеваний способствуют возникновению полипов во влагалище. Иногда полип образуется в цервикальном канале, затем новообразование выпадает в просвет вагины, где и диагностируется во время визуального осмотра гинекологом;
- Хламидиоз и другие инфекционные заболевания, которые передаются во время полового акта, вызывают изменения слизистой оболочки влагалища и на её отдельных участках вырастают полипозные образования;
- Эссенциальная гипертензия;
- Ожирение.
Гинекологи Юсуповской больницы устанавливают причину полипа влагалища с помощью современных диагностических методов и проводят терапию, направленную на ликвидацию провоцирующего фактора.
Симптомы
Долгое время полипы во влагалище не проявляют себя. Полипозные образования выявляет гинеколог во время профилактического осмотра. Иногда у пациенток, страдающих полипами влагалища, возникают следующие симптомы:
- Кровянистые выделения;
- Болезненные ощущения во время полового акта;
- Дискомфорт в области влагалища.
Эти признаки могут быть проявлением многих заболеваний женской репродуктивной системы. При их появлении немедленно записывайтесь на приём к гинекологу Юсуповской больницы. Полипы могут располагаться в разных отделах влагалища. Их количество увеличивается во время беременности.
При увеличении размеров полипа во влагалище может увеличиваться объём кровопотери во время месячных и длительность менструации. Появляются выделения независимо от периода цикла. Они иногда носят характер белей, при инфицировании приобретают неприятный запах.
Полипы, которые расположены у входа во влагалище, пациентка может обнаружить сама. В этой части вагины чаще локализуются кондиломы. Гинеколог выявляет полипы влагалища во время гинекологического осмотра. Они имеют вид наростов на стенке вагины, могут располагаться на тонкой ножке или широком основании. Иногда полипы образуются в шейке матки или цервикальном канале и «выпадают» в вагину.
В Юсуповской больнице проводят осмотр женских половых органов с помощью современного эндоскопического прибора. Он позволяет врачу осмотреть слизистую оболочку всего влагалища, шейку матки. Поскольку полипы кроме влагалища могут располагаться на слизистой оболочке других женских репродуктивных органов, для их диагностики используют ультразвуковое исследование малого таза.
Для того чтобы убедиться в доброкачественном характере новообразования, из влагалища берут мазок на цитологию и выполняют биопсию. Во время операции проводят гистологическую экспресс-диагностику и, если морфологи не выявляют в препарате атипичных клеток, производят удаление полипов во влагалище. В Москве процедуру по доступным ценам выполняют врачи Юсуповской больницы.
Для того чтобы вывить вирус папилломы человека, идентифицировать тип вируса простого герпеса, который может вызывать образование полипов во влагалище, проводят полимеразную цепную реакцию (ПЦР). Исследование уровня онкомаркеров косвенно позволяет исключить злокачественный характер заболевания.
Полип культи влагалища может образоваться после операций в области влагалища и лапаротомий. Часто гинекологи выявляют слегка кровоточащие грануляционные полипы влагалища. Они имеют воспалённую поверхность. Гинекологи выполняют гистологическое исследование в том случае, когда грануляционный полип не исчезает или даже увеличивается после нескольких прижиганий ляписом. Особое внимание врачи Юсуповской больницы уделяют полипозным образованиям в культе влагалища после операций по поводу предракового заболевания или рака.
Лечение
Для удаления полипа из влагалища используют эндоскоп. Отделение новообразования от стенки влагалища производят с помощью следующих методов:
- Электрокоагуляции - эндопетлей «отжигают» полип, воздействуя на него электрическим током. Метод отличается высокой эффективностью, минимальной кровопотерей, малым риском инфицирования, быстрым заживлением раневой поверхности;
- Криодеструкции - разрушения тканей при обработке полипа жидким азотом. Метод эффективен и приводит к быстрому восстановлению слизистой оболочки влагалища. Благодаря профессионализму врачей Юсуповской больницы окружающие ткани во время выполнения процедуры не повреждаются;
- Химического прижигания - нанесения на поверхность полипа химических веществ, которые разрушают новообразование;
- Механическое выскабливание - применяется редко, поскольку после иссечения полипа скальпелем остаётся раневая поверхность, которая может инфицироваться, слизистая оболочка влагалища восстанавливается длительно, высокий риск рецидива заболевания.
В Юсуповской больнице гинекологи выполняют удаление полипов влагалища с помощью лазерного луча. Воздействие лазером позволяет быстро и эффективно избавить женщину от заболевания, способствует быстрому восстановлению слизистой оболочки вагины. После процедуры лазерного удаления полипа влагалища пациентка на следующий день может приступить к выполнению своих обязанностей. Риск рецидива болезни минимальный. Для того чтобы записаться на приём к онкологу-гинекологу, звоните по телефону контакт центра Юсуповской больницы.
Полипы матки - очаговая гиперплазия эндометрия, характеризующаяся патологическим разрастанием слизистой полости матки в виде одиночных или множественных новообразований на широком основании или ножке. Полипы матки проявляются маточными кровотечениями, периодическими болями, бесплодием. Полипы матки диагностируются в ходе комплексного гинекологического обследования - осмотра, УЗИ, гистероскопии, гистологического исследования. Лечение полипов матки хирургическое, включающее полипэктомию и кюретаж полости матки, иногда - надвлагалищную ампутацию или экстирпацию матки.

Общие сведения
Полипы матки, или полипы эндометрия, являются локальными доброкачественными выростами из базального слоя эндометриоидных клеток, возвышающимися над слизистой матки в виде отдельных бугорков. Величина полипов матки варьирует в широких пределах - от нескольких миллиметров (величины кунжутного семечка) до нескольких сантиметров (мячика для гольфа). Полипы эндометрия могут быть как одиночными, так и множественными, связанными со стенкой матки тонкой ножкой или широким основанием. В случае множественных полипов эндометрия говорят о полипозе матки.
Обычно эндометриоидные полипы не распространяются за полость матки, но в редких случаях могут прорастать через цервикальный канал во влагалище. Полипы матки выявляются у пациенток различных возрастных групп - молодых девушек, женщин среднего и климактерического возраста; частота патологии колеблется от 6 до 20%. Полипы эндометрия нередко сочетаются с полипами цервикального канала. Полипы матки в гинекологии расцениваются как предраковое состояние и подлежат обязательному удалению.
Классификация полипов матки
Структура полипа матки представлена тремя основными компонентами: эндометриальными железами, эндометриальной стромой и центральным сосудистым каналом. Поверхность полипа покрыта эпителием, ножка включает фиброзную строму и толстостенные сосуды. Полипы матки могут изъязвляться, инфицироваться, некротизироваться, подвергаться клеточной метаплазии.
По морфологической структуре принято выделять полипы матки железистого, железисто-фиброзного, фиброзного и аденоматозного типа. Полипы матки железистого типа образованы тканью эндометрия, содержащей железы; чаще развиваются в молодом возрасте. Железисто-фиброзные полипозные образования микроскопически представлены железами эндометрия и соединительной тканью (стромой); встречаются у женщин зрелого возраста. Полипы матки фиброзного типа образованы преимущественно плотной соединительной тканью, в которой присутствуют единичные железы; такие полипы обычно диагностируются у женщин старше 40 лет. Аденоматозные полипы матки состоят из железистого эпителия с признаками пролиферации, структурной перестройки желез; имеют предпосылки к переходу в рак эндометрия, поэтому требуют к себе повышенного внимания.
Среди полипов матки отдельно различают плацентарные полипы, формирующиеся из фрагментов неудаленной полностью плаценты вследствие осложненного аборта, родов, самопроизвольного прерывания беременности, замершей беременности. Плацентарные полипы матки проявляются длительными, обильными кровотечениями, что в дальнейшем может привести к инфицированию и бесплодию.
Причины развития полипов матки
В генезисе полипов матки главная роль отводится нейрогормональному влиянию и воспалительным изменениям эндометрия. Полипы матки, как правило, развиваются на фоне гормональной дисфункции яичников и гиперэстрогении, которые сопровождаются очаговой гиперплазией эндометрия в виде полиповидных разрастаний слизистой. Наряду с полипами матки у таких пациенток могут встречаться и другие заболевания, обусловленные эстрогенией, - железистая гиперплазия эндометрия, фиброма матки, аденомиоз, мастопатия, поликистозные яичники и т. д.
Возникновению полипов матки способствуют хронические половые инфекции и женские воспалительные заболевания (эндометрит, аднексит, оофорит), травматизация матки хирургическими абортами, выскабливаниями эндометрия, длительным ношением ВМС. К группе риска по развитию полипов эндометрия относятся женщины с артериальной гипертензией, ожирением, болезнями щитовидной железы, сахарным диабетом, иммунными нарушениями, нервно-психическими травмами.
Симптомы полипов матки
Независимо от строения полипов матки, все они вызывают сходную симптоматику. После периода бессимптомного течения возникают дисфункциональные маточные кровотечения, которые могут носить циклический или ациклический характер. При полипах матки отмечаются меноррагии - обильные месячные, сукровичные предменструальные выделения, мажущие кровяные выделения вне менструации и после полового акта, метроррагии, кровотечения в менопаузе. Постоянные кровопотери часто приводят к значительной анемизации, сопровождающейся бледностью кожных покровов, головокружением, слабостью.
Для полипов матки больших размеров типично появление патологических слизистых белей, схваткообразных болей внизу живота, дискомфорта и болей во время полового акта. У женщин репродуктивного возраста полипы эндометрия часто вызывают бесплодие, у беременных - увеличивают риски выкидыша и преждевременных родов.
Симптомы полипов матки сходны с проявлениями эндометриоза, миомы матки, угрозы выкидыша, поэтому требуют профессионального обследования у гинеколога.
Диагностика полипов матки
Обследование по поводу полипов матки включает сбор гинекологического и репродуктивного анамнеза, проведение влагалищного осмотра, УЗИ малого таза, гистероскопии и метрографии, раздельного диагностического выскабливания с гистологическим исследованием эндометрия.
При гинекологическом осмотре в зеркалах можно обнаружить полипы шейки матки, в то время как полипы эндометрия обычно недоступны визуализации и пальпации. При проведении УЗИ малого таза обращает внимание наличие расширенной полости матки, утолщенного эндометрия с четкими разрастаниями слизистой однородной структуры.
Стандартом обследования при полипах матки является проведение гистероскопии - осмотра полости матки гибким прибором с видеокамерой, введенным через цервикальный канал. При этом визуально в полости матки определяются одиночные или множественные, округлые или продолговатые образования, цвет которых может быть бледно-розовым, желтоватым или темно-багровым. С помощью гистероскопии определяется количество, размеры, месторасположение полипов, а также производится их одномоментное удаление под визуальным контролем с последующей морфологической верификации диагноза.
Для получения образцов тканей также проводится диагностическое выскабливание эндометрия. В процессе метрографии - рентгенографии полости матки с контрастным веществом выявляются неровные очертания полости матки и наличие в них полиповидных выростов. Перед планированием трансцервикального удаления полипов матки требуется обследование женщины на инфекции (микоплазмоз, хламидиоз, гонорею, трихомониаз, кандидоз), бактериологическое, онкоцитологическое и микроскопическое исследование мазков из половых путей.
Оптимальным методом лечения полипов матки служит эндоскопическая полипэктомия - удаление образований в ходе гистероскопии с последующим выскабливанием эндометрия. Полипы на ножке удаляют с помощью «откручивания», ложе полипа прижигают электрокоагуляцией или криогенным методом для исключения рецидивов. После полипэктомии и выскабливания на 3-4 сутки проводится контрольное гинекологическое УЗИ.
После гистерорезектоскопии полипов матки в течение 10 дней могут отмечаться кровянистые мажущие выделения из половых путей, спазматические боли. Для профилактики инфекции на этот период ограничивается сексуальная активность. Дальнейшая лечебная тактика определяется гистотипом полипа матки, возрастом пациентки и имеющимися нарушениями менструального цикла.
При фиброзной структуре полипа матки и отсутствии менструальной дисфункции лечение ограничивается полипэктомией с кюретажем матки. Железистые или железисто-фиброзные полипы матки после их удаления в любом возрасте требуют дополнительного гормонального лечения. Для нормализации гормональных процессов производится подбор оральной контрацепции (КОК - этинилэстрадиол в комбинации с диеногестом или дезогестрелом), установка гормонального внутриматочного средства «Мирена», лечение гестагенами (прогестерон, норэтистерон, дидрогестерон).
В случае выявления аденоматозных полипов матки требуется более радикальное лечение. Женщинам пременопаузального и постменопаузального возраста производится удаление матки - надвлагалищная ампутация или гистерэктомия. При онконастороженности или наличии эндокринных нарушений показано выполнение пангистерэктомии - удаления матки с аднексэктомией.
Прогноз и профилактика полипов матки
Особенностью течения полипов матки служит их наклонность к рецидивам. Рецидивирующие полипы матки в 1,5% случаев подвержены злокачественному превращению; наибольший риск развития рака эндометрия сопряжен с аденоматозными полипами. Поэтому после окончания лечения по поводу полипов матки пациентки остаются под наблюдением гинеколога. При отсутствии лечения полипов матки развивается анемия, бесплодие. Наличие полипов эндометрия повышает вероятность выкидыша и требует учета этого фактора во время ведения беременности.
Профилактика полипов эндометрия состоит в своевременном и тщательном пролечивании воспалительных заболеваний матки и придатков, коррекции дисфункции яичников, осторожном проведении внутриматочных манипуляций.
Читайте также:
