Послеоперационное удаление конкрементов из общего желчного протока. Чрезкожное удаление камней из холедоха.
Добавил пользователь Владимир З. Обновлено: 21.11.2025
Хроническое заболевание желчевовыдящих путей, при котором в желчном пузыре (чаще) и желчных протоках образуются камни, называется желчнокаменной болезнью (ЖКБ).
Если камни выявляются в общем желчном протоке, то такая форма желчнокаменной болезни называется холедохолитиазом.
Заболевание известно с древних времен. Впервые камни желчного пузыря были обнаружены при вскрытии трупов и описаны Галеном, великим врачом-хирургом, писателем и философом, жившим во второй половине II века нашей эры в древнем Риме. В эпоху Возрождения в трудах Gentile de Foligno в 1341 г. также встречается упоминание о ЖКБ.
одробное описание камней желчного пузыря появилось в середине XYIII века (C.Galeati), и тогда же впервые было предпринято изучение их химического состава. Все сведения о ЖКБ, содержащиеся в трудах различных авторов, были суммированы Альбрехтом Галлером (1755). В своих работах он показал, что желчные камни встречаются не только у людей, но и у лошадей, свиней, коров, сурков, обезьян и других животных.
Все камни желчного пузыря и протоков он разделил на 2 группы:
- Большие яйцеобразные, часто одиночные, состоящие из "безвкусного желтого вещества, которое при подогревании плавится как сургуч и способно гореть".
- Более мелкие, темно окрашенные, многогранные, которые часто находят не только в желчном пузыре, но и в желчных протоках.
С середины XIX века существуют различные теории происхождения желчных камней. Из них можно выделить два основных направления.
Сторонники одного из них причину возникновения ЖКБ видели в ненормальном состоянии печени. Такая печень вырабатывает желчь измененного состава, в результате плотные её части выпадают в осадок, образуя камни. Другие исследователи в качестве основной причины заболевания считали застой желчи и воспаление желчевыводящих путей и желчного пузыря.
Более основательные работы по ЖКБ появились уже в ХХ веке. Кроме детального изучения структуры желчных камней, была разработана теория возникновения холелитиаза. В основу её легла концепция «застойного желчного пузыря» и нарушения обмена веществ.
Заболеваемость желчнокаменной болезнью

Заболеваемость ЖКБ в последнее десятилетие резко повысилась и продолжает возрастать. По данным National Institutes of Health (1992), желчнокаменной болезнью страдает 10-15% взрослого населения мира. Обращаемость к врачам по поводу камней желчных протоков и желчного пузыря на территории Российской Федерации составляет примерно 1 млн. человек в год.
Женщины болеют в 3-5 раз чаще, чем мужчины, причем холелитиаз у них встречался также чаще (в 5-6 раз), чем у мужчин.
Современное представление о причинах, приводящих к камням желчного пузыря
- Во-первых, это нарушение обмена веществ, отражающееся на химическом составе желчи. В состав желчи, являющейся сложным химическим раствором, входят плохо растворимые вещества. Для того, чтобы они не выпали в осадок, необходимо сохранение их в строгих пропорциях. Если же их процентное соотношение нарушается в ту или иную сторону, то происходит образование осадка, который затем может превратиться в камни.
- Во-вторых, это нарушение правильного движения желчи по желчевыводящим путям. Возникновение препятствий для оттока желчи в двенадцатиперстную кишку, длительные периоды голодания приводят к застою желчи в желчном пузыре, ее сгущению и выпадению осадка.
В свою очередь, образование камней способствует нарушению нормального процесса пищеварения: происходят сбои в образовании, хранении и выделении желчи, которая является одним из важнейших компонентов для правильного переваривания пищи. Существуют группы людей, у которых велик риск заболевания ЖКБ и хроническим калькулезным холециститом.
Выделяют следующие факторы риска:
- Наследственность. Вероятность развития камней желчного пузыря и протоков повышается при наличии прямых родственников, страдающих данной патологией.
- Болезни, связанные с нарушениями обмена веществ: сахарный диабет, подагра, ожирение, атеросклероз, снижение функций щитовидной железы.
- Заболевания печени: цирроз, жировой гепатоз, хронический гепатит.
- Заболевания органов пищеварения, например, панкреатит, дуоденит, колит, дисбактериоз и прочие. Иногда встречается так называемая "триада Сейнта" - сочетание желчнокаменной болезни с диафрагмальной грыжей и дивертикулезом толстой кишки.
- Гиподинамия.
- Неправильное питание: злоупотребление жирной калорийной пищей, сладостями.
- Длительное голодание, диеты. Перерыв в еде более 8 часов, как и продолжительная диета, не содержащая жиров животного происхождения, ведет к застою в желчном пузыре.
- Прием некоторых медикаментов, таких как стероидные гормоны и оральные контрацептивы.
- Изменение гормонального баланса на фоне беременности.
- Курение и злоупотребление спиртными напитками.
Проявления заболевания чрезвычайно разнообразны. Чаще всего выделяют следующие формы ЖКБ:
- латентная,
- диспептическая хроническая,
- болевая хроническая,
- хроническая рецидивирующая,
- прочие формы.
В определенном смысле, названные формы можно рассматривать как стадии развития ЖКБ. У одного и того же больного после периода латентного течения могут появиться диспептические расстройства, через некоторое время - умеренно выраженный болевой синдром и, наконец, типичные приступы печеночной колики. Однако, такое развитие заболевания далеко не обязательно. Нередко, первым его проявлением может оказаться приступ острого холецистита и печеночной колики.
Характеризуется жалобами, связанными с нарушением процесса пищеварения. Появляется чувство тяжести под ложечкой, изжога, метеоризм, неустойчивый стул. Обычно эти ощущения возникают периодически, но могут иметь и постоянный характер. Чаще они отмечаются после еды. Причем, их появление больные часто связывают с употреблением определенной пищи: жирных, жареных, острых блюд. Появление жалоб может быть связано и с приемом слишком больших порций еды.
Протекает без приступов острой боли. Боли носят ноющий характер, локализуются под ложечкой и в области правого подреберья, усиливаются после еды,особенно жирной пищи. Характерна иррадиация их в область правой лопатки. Длительное существование камней в желчном пузыре может продолжаться неопределенно долгое время, но, в конечном счете, приводит к возникновению в нем воспалительного процесса.
Одним из частых проявлений хронического калькулезного холецистита является постоянная тяжесть и боль в правом подреберье, тошнота, усиливающаяся при приеме жирной и острой пищи. Мелкие камни могут проявляться печеночной коликой: приступом острой боли в правой половине живота, иногда - в подложечной области. Приступ может быть спровоцирован приемом жирной острой пищи или алкоголя, а также тряской при езде или стрессом. Рвота и тошнота - частые спутники боли. Характерна иррадиация боли в правую лопатку, правое плечо или правую руку. Причиной болевого приступа может быть вклинивание камня в шейку желчного пузыря. Это приводит к сильному спазму. Сам желчный пузырь в это время значительно сокращается, пытаясь вытолкнуть желчь, но ей мешает выйти застрявший камень. Продолжительность болевого приступа различна - от нескольких минут до многих часов и даже суток. Если препятствие устранилось и камень перестал перекрывать выход из желчного пузыря - симптомы быстро идут на убыль. Прекращается рвота, нормализуется температура; общее самочувствие улучшается. Некоторое время сохраняется слабость и чувство разбитости, изредка отмечаются диспептические явления. Состояние больного может оставаться вполне удовлетворительным до следующего приступа, который может развиться через несколько дней, недель, месяцев или лет.
Последствия хронического холецистита
Люди, длительно страдающие хроническим холециститом, в конечном итоге рискуют своим здоровьем и даже жизнью. Воспалительный процесс из желчного пузыря распространяется на соседние органы, в первую очередь, на поджелудочную железу и печень. Почти у всех таких больных присутствует хроническая форма панкреатита и изменения в печени. При этом в желчном пузыре происходят необратимые изменения, что ведет за собой три варианта развития болезни.
- 1. Процесс образования камней в желчном пузыре не останавливается. Присоединение инфекции и воспаления создают благоприятные условия для роста и образования новых камней. Пузырь наполняется камнями и перестает быть резервуаром для накопления желчи. Он не может выполнять свои основные функции в пищеварительном процессе. Пища усваивается плохо.
- 2. Частые воспаления желчного пузыря из-за приступов печеночной колики приводят к изменению стенки желчного пузыря: она обрастает спайками, а мышцы заменяются на плотную рубцовую ткань. Полость пузыря резко уменьшается в размере, образуется «рубцово-сморщенный пузырь», который также не участвует в процессе пищеварения.
- 3. При блокировании пузырного протока камнем пузырь становится большим и перерастянутым. Переполняясь желчью, которая не находит выхода, пузырь теряет способность к сокращению, и даже после выхода камня из протока остается растянутым, при этом вытолкнуть желчь он уже не способен. Постепенно содержимое становится бесцветным - “белая желчь”. Развивается водянка желчного пузыря. Иногда - бессимптомно (по-видимому, больной просто забывает о перенесенном приступе). Однако, если водянка появилась после приступа печеночной колики, увеличенный желчный пузырь довольно долго остается болезненным. Такой желчный пузырь также оказывается выключенным из процесса пищеварения. Кроме того, желчь, которая остается в желчном пузыре и не обновляется, при присоединении инфекции легко нагнаивается, развивается эмпиема желчного пузыря.
Необходимо проводить дифференциальный диагноз желчной (печеночной) колики от приступа острого калькулезного холецистита. Это воспаление желчного пузыря, спровоцированное наличием в нем камней, которое проявляется не только сильным болевым синдромом, но и наличием лихорадки, признаков интоксикации, иногда положительными перитонеальными симптомами и требует экстренного стационарного лечения. Появление у больного ЖКБ лихорадки, желтухи, снижения артериального давления требует исключения таких возможных осложнений как острый холецистит, панкреатит, холангит и др.
Основные методы диагностики камней желчного пузыря
Лабораторные исследования
- При обострении ЖКБ наблюдаются изменения в клиническом анализе крови: увеличивается количество лейкоцитов с появлением их юных форм, повышается СОЭ, что говорит о наличии воспалительного процесса. Могут возникать изменения биохимических показателей крови: повышение уровня печеночных трансаминаз, амилазы, липазы, общего билирубина. В большинстве же случаев бессимптомного камненосительства анализ крови может быть не изменен. Также без изменений лабораторных показателей могут проходить непродолжительные приступы желчной колики.
Инструментальная диагностика
- 1. Наиболее доступным и эффективным методом скрининговой диагностики всех стадий ЖКБ является ультразвуковое исследование органов брюшной полости (УЗИ). УЗИ печени и желчного пузыря позволяет увидеть камни в полости пузыря, определить их размеры, подвижность, оценить размеры остаточной полости желчного пузыря, выявить признаки воспаления или деформации его стенки. Также при УЗИ хорошо видны внутри- и внепеченочные желчные протоки, можно оценить их деформацию, расширение и наличие в них дополнительных включений (конкрементов).
- 2. Более точную диагностику состояния желчевыводящих путей показывает магнитно-резонансное исследование - МР-холангиография.
При выполнении МР - холангиографии получают изображение желчного пузыря, пузырного протока, сегментарных, долевых протоков, общего печеночного протока, холедоха и главного панкреатического протока. Можно оценить их деформацию, выявить расширение или сужение их просвета на отдельных участках. Появляется возможность точной визуализации камней не только в желчном пузыре, но и в просвете желчных протоков. К дополнительным методам обследования при ЖКБ можно отнести компьютерную томографию (КТ) и видеодуоденоскопию. - 3. Компьютерная томография (КТ) брюшной полости выполняется при подозрении на патологию соседних органов (печени, поджелудочной железы), при подозрении на онкологическую патологию в желчевыводящей системе.
- 4. Видеогастродуоденоскопия - эндоскопическое исследование, которое напоминает виидеогастроскопию, но выполняется с помощью специального эндоскопа с боковой оптикой, которая позволяет хорошо рассмотреть область большого дуоденального сосочка или «фатерова сосочка» (место впадения желчных протоков в двенадцатиперстную кишку).
Консервативное лечение камней в желчном пузыре
В арсенале врачей имеются препараты урсодезоксихолиевой кислоты, которая меняет химический состав желчи. Это препараты хенофальк и урсофальк, их назначают с целью медикаментозного литоза (растворения камней). Лечение следует проводить на фоне строгого соблюдения диеты и режима питания, а также противовоспалительной терапии. Длительность лечения составляет до 2,5-3 лет и не всегда достигает желаемого результата. Следует помнить, что истинные «камни», состоящие в основном из кальция, не растворяются. Поэтому медикаментозное лечение может использоваться только на начальных стадиях заболевания, когда осадок в желчи в основном представлен холестериновыми камнями.
Операция по удалению желчного пузыря с камнями
Холецистэктомия - удаление желчного пузыря - основной метод хирургического лечения. Операцию проводят либо открытым способом через разрез брюшной стенки, либо лапароскопически - эндовидеохирургическая холецистэктомия. Цель операции: удаление желчного пузыря с камнями. Отличие заключается лишь в том, какими инструментами работает хирург и каким способом желчный пузырь с камнями извлекается.
При открытой хирургической операции разрез, через который удаляется пузырь, может проводиться от мечевидного отростка до пупка, или второй доступ - в правом подреберье. Лапароскопический метод менее травматичный - специальные инструменты и оптику вводят через 4 небольших надреза на коже. С помощью этих инструментов и удаляется желчный пузырь.После такой операции рубцы малозаметны. Длительность пребывания на больничной койке составляет 2-3 дня. Через неделю - пациент здоров.
Главное для пациента
В современном мире ЖКБ является хорошо изученной патологией, а лапароскопическая операция - "золотым стандартом лечения". К сожалению, многие люди не обращают внимания на начальные проявления заболевания, не проходят диспансеризацию или профилактическое обследование для обнаружения конкрементов в желчном пузыре. В результате заболевание выявляется на поздних стадиях, когда медикаментозное лечение не только неэффективно, но и противопоказано, а успешность малоинвазивной хирургической операции также становится сомнительной.
При наличии описанных выше жалоб, а также перечисленных факторов риска, необходимо обратиться к хирургу или врачу-гастроэнтерологу для получения рекомендаций по обследованию и подбора оптимального лечения или проведения профилактических мероприятий.
В нашей Клинике выполняется полный спектр диагностики, хирургического и эндоскопического лечения ЖКБ и ее осложнений. Хирургические операции в большинстве случаев выполняются малоинвазивно с применением лапароскопических и эндоскопических технологий.
Оформите заявку на сайте, мы свяжемся с вами в ближайшее время и ответим на все интересующие вопросы.
Послеоперационное удаление конкрементов из общего желчного протока. Чрезкожное удаление камней из холедоха.
Холедохолитотомия — это операция по удалению камней из общего жёлчного протока через разрез. Основным показанием к операции является заболевание холедохолитиаз.
Операция проводится при неэффективности или невозможности проведения эндоскопического лечения при холедохолитиазе.
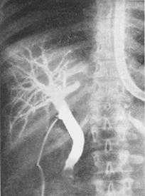
Необходимым условием при выполнении данной операции является проведение интраоперационной холангиографии через пузырный проток под рентгенологическим контролем для исключения «немых» камней в холедохе.

Интраоперационная холангиография

Конкремент в дистальный отделе холедохе
Методика операции
Методика холедохолитотомии включает доступ к общему желчному протоку в печёночно-двенадцатиперстной связке, при этом необходимо четко визуализировать место слияния общего печеночного протока и пузырного протока, провести ревизию всех отделов холедоха. На фоне холедохолитиаза общий желчный проток обычно расширен, что облегчает проведение манипуляций на нем. При этом следует помнить, что проток тонкостенный, за ним может располагаться воротная вена. Опасным является непреднамеренное ранение задней стенки холедоха или вены при проведении холедохотомии.
Для выполнения разреза стенку холедоха берут на две держалки с последующим вскрытием стенки между ними в продольном направлении, что позволяет контролировать длину разреза. Нити необходимо накладывать и подтягивать, чтобы приподнять переднюю стенку протока и избежать ранения задней. Разрез общего жёлчного протока необходимо проводить непосредственно у двенадцатиперстной кишки (ДПК) как можно дистальный, чтобы сократить длину слепого ретродуоденального «мешка» в случае формирования холедохоеюноанастомоза.
После вскрытия просвета проводят удаление конкрементов с обязательным зондированием протока мягкими пластиковыми бужами. Зондирование протока следует проводить только эластичными Буэми, которые могут искривляться и принимать форму протока. Применение жестких металлических бужей или форсированное зондирование протока может привести к ранению его или ДПК, формированию ложного хода с последующим развитием гнойно-воспалительного процесса. Зонд должен свободно проходить в ДПК, не встречая препятствий.
Дренирование
Наиболее частым вариантом окончания операции на общем желчном протоке является его дренирование. Как правило, применяем Т-образный дренаж Кера, который достаточно прочно фиксируется в протоке, а его удаление в дальнейшем не сопровождается осложнениями.

Дренаж типа Кера
Наиболее часто срезаем верхнюю часть дренажа в виде узкой полоски на всем протяжении горизонтальной ветви, что способствует более легкому его удалению в дальнейшем. Дистальный Бранка, идущая в направлении ДПК не должна быть длинен 2-3 см, а проксимальная - не должна перекрывать бифуркацию общего печеночного протока. После окончания введения дренажной трубки в неё вводят физиологический раствор и проверяют, достаточно ли герметично стоит дренаж, нет ли подтекание между стенкой дренажа и протока.
Глухой шов на общий желчный проток можно наложить при ПОЛНОЙ уверенности в его хорошей проходимости и при минимально травматический манипуляциях на нем (например, после лёгкого удаления одиночного невклиненного камня). Как и большинство хирургов, мы редко прибегаем к такому завершению операции, поскольку намного безопаснее произвести временное дренирование, если проток был вскрыт и проводилась его инструментальная ревизия. Кроме того, возможно выполнение глухого шва при выполнении дренирования через пузырный проток (дренаж Холстеда-Пиковского).
Дренирование по Холстеду-Пиковскому
Если нет уверенности, что удалены все камни из общего жёлчного протока, обнаружены множественные камни во внутрипеченочных протоках, операцию следует закончить формированием билиодигестивного анастомоза (на выключенной по Ру петле тонкой кишки длиной не менее 80 см).
Холедохолитотомия в отделении торако — абдоминальной хирургии и онкологии РНЦХ
Операция по удалению камней из желчного протока — не редкий случай в нашей врачебной практике. В отделении есть все необходимое для получения высопрофессиональной медицинской помощи — опытные врачи, новейшее современное оборудование. Комфортные условия пребывания и отзывчивый персонал помогут быстро восстановиться после операции.
Лечение в нашем отделении проводится в рамках программ ОМС, ДМС, ВМП, а также на коммерческой основе. Ознакомьтесь, как попасть на лечение в отделение торако-абдоминальной хирургии и онкологии РНЦХ им. акад. Петровскаого.
Для записи на консультацию позвоните по телефонам:
Отправьте заявку на консультацию, заполнив форму на нашем сайте и прикрепив необходимые документы.
Холедохолитиаз
Холедохолитиаз - одна из форм проявления желчнокаменной болезни, при которой конкременты обнаруживаются не в желчном пузыре, а в желчных протоках. Чаще всего - в холедохе, общем желчном протоке.
Причём они либо попадают туда из желчного пузыря, либо образуются непосредственно в холедохе. Как правило, лечение такого заболевания оперативное. Отметим, что заболевание является достаточно серьёзным особенно в тех случаях,когда развиваются тяжёлые осложнения в виде перекрытия протока, тогда возникает угроза жизни пациенту.
Как камни появляются в желчном протоке?
Обычно они формируются в желчном пузыре и перемещаются с током желчи через пузырный проток. При этом общий вид камней, находящихся в пузыре и в протоках, их микроструктура и химический состав идентичны. Доказательством пузырного происхождения конкрементов считается наличие на их поверхности граней, которые формируются вследствие соприкасания нескольких камней в желчном пузыре. Вероятность перемещения камней в холедох тем больше, чем шире диаметр пузырного протока. В некоторых случаях камнеобразование может происходить непосредственно в просвете самого холедоха. Это возникает при условии затруднения оттока желчи по протокам.
Причинами образования камней в желчевыводящих путях могут быть:
- Стеноз терминального (конечного) отдела холедоха.
- Проникновение из двенадцатиперстной кишки некоторых гельминтов (аскариды, кошачья двуустка).
- Выработка желчи с особо высокими литогенными свойствами в некоторых географических регионах (т.н. дальневосточный холедохолитиаз). Механизм образования такой желчи пока неизвестен. В этих случаях холедохолитиаз считается первичным.
- Иногда камни в желчных протоках выявляют спустя некоторое время (несколько месяцев, иногда несколько лет) после холецистэктомии,проведенной ранее. Это могут быть как не обнаруженные до операции и при ее выполнении камни («резидуальные» или «забытые»), так и вновь образованные («рецидивирующий» холедохолитиаз), которые сформировались в желчных протоках уже после хирургического вмешательства из-за нарушений обмена веществ, застоя желчи или наличия инфекции.
Диагностика холедохолитиаза не может основываться только на клинике. Пузырные камни в общем желчном протоке клинически выявляются не всегда, и могут существовать бессимптомно длительное время. Только появление приступа печеночной колики с последующей желтухой наводит на мысль о возможной проблеме в желчевыводящих путях. Характер печеночной колики при холедохолитиазе ничем не отличается от таковой, исходящей из желчного пузыря. Хотя иногда боль может локализоваться несколько выше и медиальнее, чем при холецистолитиазе, в надчревной области. Еще реже наблюдается непереносимая боль при внезапной закупорке камнем области дуоденального сосочка (так называемый “сосочковый илеус”).
При наличии мелких (менее 5-7 мм) конкрементов в желчном пузыре у любого больного с желчнокаменной болезнью следует подозревать присутствие камней в холедохе, так как такие размеры позволяют им беспрепятственно мигрировать через пузырный проток. Особенно следует насторожиться при билирубинемии (даже небольшом повышении билирубина в сыворотке крови). Обычно одновременно повышается уровень щелочной фосфатазы, вероятно повышение уровня аминотрансфераз. Однако, после устранения обструкции (закупорки), уровень аминотрансфераз, как правило быстро нормализуется. Тогда как уровень билирубина нередко остается повышенным в течение 2 недель, еще дольше сохраняется повышенный уровень щелочной фосфатазы.
Лабораторная диагностика.
Бессимптомный холедохолитиаз может не сопровождаться изменениями в лабораторных анализах. При развитии воспаления в крови повышается уровень лейкоцитов, СОЭ. При нарушении оттока желчи наблюдают повышение концентрации билирубина (за счёт прямой фракции), повышение уровня аминотрансфераз (трансаминаз) и щелочной фосфатазы в биохимическом анализе крови, увеличивается содержание жёлчных пигментов в моче. Может отсутствовать стеркобилин в кале. Очень грозным лабораторным симптомом является повышение амилазы крови, так как это говорит о поражении поджелудочной железы.
Инструментальная диагностика.
Ультразвуковое исследование органов брюшной полости (УЗИ) - наиболее доступный метод обследования желчных путей, по сути скриннинг-метод. Чувствительность его на предмет выявления расширения общего желчного протока составляет до 90%. Однако, не всегда специалисту ультразвуковой диагностики удается осмотреть терминальный отдел холедоха (зону слияния общего желчного и панкреатического протоков, и их впадения в двенадцатиперстную кишку), т. е. очень важный для постановки правильного диагноза отдел. Осмотру может мешать газ или жидкость (даже в небольшом количестве), находящиеся в кишке.
Поэтому во многих случаях приходится прибегать к дополнительным методам:
- Эндоскопическое УЗИ (эндосонография). Осмотр проводится специальным эндосонографическим датчиком через просвет желудка и двенадцатиперстной кишки. При таком осмотре эффективность правильной диагностики повышается до 85-100%.
- MPT-холангиография. Точность данного метода исследования составляет до 97%. При выполнении МРТ- холангиографии получают изображение желчного пузыря и пузырного протока, сегментарных, долевых желчных протоков, общего печеночного протока, холедоха и панкреатического протока. Появляется возможность точной визуализации камней в просвете протоков, их сужения или расширения. К большим преимуществам МРТ-холангиографии относится ее неинвазивность и отсутствие необходимости в использовании контрастных веществ.
Следующие два метода диагностики являются инвазивными, поэтому могут применяться только при нахождении пациента в стационаре. Речь идет об эндоскопической ретроградной холангиопанкреатографии (ЭРХПГ) и чрескожной чреспеченочной холангиографии (ЧЧХГ).
- ЭРХПГ - стандартный способ диагностики холедохолитиаза, в руках опытного врача-эндоскописта эффективен в 90 - 95% случаев. Однако этот метод сопряжён с возможным развитием серьезных осложнений: гиперамилаземии, холангита, панкреатита, забрюшинной перфорации двенадцатиперстной кишки, кровотечения. Поэтому его использование должно быть обоснованным.
- Чрескожную чреспеченочную холангиографию применяют у больных с обтурационной желтухой при невозможности выполнения ретроградной панкреатохолангиографии. При этом под контролем УЗИ или рентгеновской установки через кожу пунктируют расширенный проток правой или левой доли печени. После эвакуации желчи в просвет желчного хода вводят контрастное вещество и выполняют серию снимков. Это позволяет получить четкое изображение желчных путей, определить причину механической желтухи и уровень препятствия.
К дополнительным методам обследования можно отнести компьютерную томографию и видеодуоденоскопию.
- Компьютерная томография (КТ) брюшной полости используется при подозрении на сдавление желчных протоков извне, или наличия новообразования в их просвете.
- Видеодуоденоскопия - эндоскопическое исследование, при котором используется специальный эндоскоп с боковой оптикой, позволяющий хорошо осмотреть область большого дуоденального сосочка или «фатерова сосочка» (место впадения желчных протоков в двенадцатиперстную кишку). Это очень важное исследование, поскольку иногда причиной холедохолитиаза является патология именно фатерова сосочка (воспаление, рубцовая стриктура, опухоль, или вклиненный конкремент).
Основные проявления холедохолитиаза
Приступ желчной колики.
Конкременты в гепатикохоледохе травмируют его стенку. Повреждение слизистой происходит особенно легко в наиболее узкой части - в области большого дуоденального сосочка. Поэтому главный и самый яркий симптом печеночной колики - это боль. Ощущение боли при холедохолитиазе практически не отличается от колики при холецистолитиазе. Характерна иррадиация её в спину или поясницу. Боль может приобретать опоясывающий характер в том случае, если перекрытие конкрементом произошло в области фатерова сосочка, расположенного в 12-перстой кишке. В таком случае происходит нарушение оттока и желчи, и панкреатического сока, в результате страдает поджелудочная железа.
Механическая (подпеченочная) желтуха.
Когда камни обтурируют проток, то в желчевыводящих путях повышается давление, последние расширяются, но закупорка камнем мешает поступлению желчи в кишечную трубку, появляется так называемый ахоличный стул (осветление кала) и темная моча (цвета пива).
Таким образом, развивается механическая желтуха. Затруднение оттока желчи по желчевыводящим путям приводит к тому, что в крови появляется билирубин - желчный пигмент, которым насыщаются ткани больного человека. Кожа человека, его склеры, слизистые оболочки приобретают желтую окраску.
Однако полная закупорка и постоянная желтуха при холедохолитиазе бывают не так часто. В то же время любое препятствие оттоку желчи создает благоприятные условия для развития инфекции и воспалительного процесса в протоках. Возникает холангит, который легко развивается на фоне повреждений слизистой оболочки. Вследствие многократной травмы и воспаления могут сформироваться сужения просвета протока на его протяжении и в области большого дуоденального сосочка - стенозирующие холангит и папиллит. Распространение воспалительного процесса вверх, в сторону печени, может привести к тяжелому осложнению: холангиогенному абсцессу печени. Следует также отметить, что диаметр общего желчного протока, конечно, отражает состояние гипертензии в нем, но так бывает далеко не всегда - при нешироких протоках также может образоваться холедохолитиаз. Воспалительный процесс проявляется повышением температуры тела, ознобами, кожным зудом. В типичных случаях холангит сопровождается септической лихорадкой. Менее типичны для холедохолитиаза малые температурные пики, сопровождающие приступы болей.
При латентном холедохолитиазе характерны жалоба на тупую боль под правой реберной дугой.
При диспептической форме холедохолитиаза больной жалуется на нехарактерную давящую боль под правой реберной дугой или в надчревной области, на диспепсию, тошноту, отрыжку, газы и непереносимость жирной пищи.
1. Холангит. Как говорилось ранее, при наличии камней в желчных протоках инфекция имеет условия для своего развития, это приводит к воспалению - холангиту. При возникновении этого осложнения появляется высокая температура с ознобами и проливными потами, сильные боли в правом подреберье, тошнота, рвота. выраженная общая слабость. Опасность данного осложнения связана с тем, что на фоне развивающейся инфекции нарушается функция печени. Кроме того, если лечение не проводить своевременно, существует опасность формирования абсцесса печени, как говорилось выше, а в дальнейшем - развития общего сепсиса и печеночной недостаточности.
2. Желтуха. Всегда имеет застойный характер. Закупорка, как правило, бывает неполной и интенсивность повышения билирубина колеблется. Подозрительной в отношении холедохолитиаза должна быть не только любая желтуха на фоне печеночной колики, но и мимолетная субиктеричность, особенно, если она часто повторяется. Однако, даже тяжелый холедохолитиаз далеко не всегда проявляется желтухой. Еще Kehr отмечал, что иногда при нагромождении камней желчь, «словно горный ручей, свободно переливается через камни». Более чем у 1/3больных холедохолитиазом желтухи не бывает. Значительно реже случается проявление желтухи без сопутствующей ей желчной колики.
3. Острый панкреатит. Общий желчный проток и проток поджелудочной железы у людей в 70% случаев сливаются в одно русло и вместе впадают в 12-перстную кишку. Когда этот общий канал перекрывается камнем (обычно это случается в месте выхода в 12-перстную кишку), то и желчь, и ферменты поджелудочной железы теряют возможность выделяться в кишечник. Происходит повышение давления в желчных и поджелудочных протоках, что приводит к тяжелому осложнению - острому панкреатиту. Острое воспаление поджелудочной железы - очень тяжелое заболевание, часто смертельное. Требуется немедленное хирургическое лечение для того, чтобы устранить это препятствие, а также проведение других лечебных мероприятий.
Камни в желчных протоках - операция
Лечение холедохолитиаза может быть только хирургическим. Однако, это не означает обязательного выполнения большой операции с большим разрезом на животе.
Наиболее часто при холедохолитиазе проводится удаление конкрементов желчных протоков эндоскопическим способом.
В стационаре пациенту проводят ЭРХПГ для уточнения наличия камня, его локализации и других параметров. Если диагноз холедохолитиаза подтвержден, это исследование превращается из диагностического в лечебное. Выполняется рассечение суженной зоны Фатерова сосочка (папиллосфинктеротомия), дробление камней (литотрипсия) или их удаление (экстракция). Тактика хирурга зависит от размеров камня. Камни более 2 см обычно дробят, менее 1 см чаще отходят самостоятельно в течение 2 суток. Но как показывает практика, в большинстве случаев, чтобы удалить или обеспечить самостоятельное отхождение камней, приходится прибегать к эндоскопической папиллосфинктеротомии. Редко удается этого избежать.
Когда невозможно удалить камень эндоскопическим методом, прибегают к хирургической операции. Операцию выполняют классическим методом или путем лапароскопии. Во время операции проводят рассечение холедоха (холедохотомию) специальным инструментом и удаление камней. Во всех случаях лечения холедохолитаза одномоментно проводят удаление желчного пузыря (если он не был удален ранее). В дальнейшем после хирургического лечения необходимо проходить послеоперационное обследование, соблюдать рекомендации по режиму, питанию и приему медикаментов, которые будут назначены лечащим врачом в стационаре.
В любом случает тактика обследования и лечения должна определяться специалистом и направляться от простых методов диагностики и лечения к более сложным.
В нашей Клинике выполняется полный спектр диагностики, хирургического и эндоскопического лечения желчнокаменной болезни и ее осложнений. Оперативное лечение в большинстве случаев проводится малоинвазивно с применением лапароскопических и эндоскопических технологий.
Закупорка желчных протоков
Закупорка желчных протоков - механическое препятствие на пути продвижения желчи из печени и желчного пузыря в двенадцатиперстную кишку. Развивается на фоне желчнокаменной болезни, опухолевых и воспалительных заболеваний желчевыводящих путей, стриктур и рубцов общего желчного протока. Симптомами патологии являются боли в правом подреберье, желтуха, ахоличный кал и темная моча, значительное повышение уровня билирубина в крови. Диагноз ставится на основании исследований биохимических проб крови, РХПГ, УЗИ, МРТ и КТ органов брюшной полости. Лечение обычно хирургическое - возможно проведение эндоскопического, лапароскопического либо расширенного оперативного вмешательства.

Общие сведения
Закупорка желчных протоков - опасное осложнение различных заболеваний пищеварительной системы, которое приводит к развитию механической желтухи. Наиболее частой причиной закупорки желчных протоков является желчнокаменная болезнь, поражающая до 20% людей. По наблюдениям специалистов в сфере гастроэнтерологии и абдоминальной хирургии, женщины страдают ЖКБ в три раза чаще, чем мужчины.
Затруднение оттока желчи из печени и желчного пузыря сопровождается постепенным развитием клинической картины подпеченочной (механической) желтухи. Острая закупорка желчных путей может развиться сразу после приступа желчной колики, однако этому практически всегда предшествуют симптомы воспаления желчных путей. Несвоевременное оказание помощи пациенту с закупоркой желчных протоков может привести к развитию печеночной недостаточности и даже смерти больного.

Причины
Вызвать обструкцию желчных путей может как их закупорка изнутри, так и сдавление извне. Механическое препятствие оттоку желчи может быть полным или частичным, от степени обструкции зависит яркость клинических проявлений. Существует ряд заболеваний, которые могут способствовать нарушению прохождения желчи из печени в двенадцатиперстную кишку. Закупорка протоков возможна при наличии у пациента: конкрементов и кист желчных путей; холангита или холецистита; рубцов и стриктур протоков.
Патологическое состояние может возникать на фоне опухолей поджелудочной железы, гепатобилиарной системы; панкреатита, гепатита и цирроза печени; увеличения лимфатических узлов ворот печени; паразитарных инвазий; травм и оперативных вмешательств на желчных путях. Факторами риска являются ожирение или, наоборот, быстрая потеря веса; травмы правой половины брюшной полости; недавние оперативные вмешательства на желчных путях; инфекции гепатобилиарной системы и поджелудочной железы на фоне значительного ослабления иммунитета.
Патогенез
Патогенез закупорки желчных протоков многокомпонентный, началом обычно служит воспалительный процесс в желчных путях. Воспаление приводит к утолщению слизистой, сужению просвета протоков. Если в этот момент в протоки попадает конкремент, он не может самостоятельно покинуть холедох и вызывает полное или частичное перекрытие его просвета. Желчь начинает скапливаться в желчных путях, вызывая их расширение. Из печени желчь может сначала попадать в желчный пузырь, значительно растягивая его и вызывая обострение симптомов холецистита.
Если в желчном пузыре есть конкременты, они могут попадать в пузырный проток и перекрывать его просвет. При отсутствии оттока желчи по пузырному протоку может развиться эмпиема или водянка желчного пузыря. Неблагоприятным прогностическим признаком при закупорке желчных путей является секреция слизистой холедоха беловатой слизи (белой желчи) - это говорит о начале необратимых изменений в желчных протоках. Задержка желчи во внутрипеченочных протоках приводит к деструкции гепатоцитов, попаданию желчных кислот и билирубина в кровоток.
В кровь попадает активный прямой билирубин, не связанный с белками крови, из-за чего он вызывает значительное повреждение клеток и тканей организма. Желчные кислоты, содержащиеся в желчи, облегчают всасывание и обмен жиров в организме. Если желчь не попадает в кишечник, нарушается всасывание жирорастворимых витаминов А, D, Е, К. Из-за этого у пациента развивается гипопротромбинемия, нарушение свертываемости крови, другие симптомы гиповитаминоза. Дальнейший застой желчи во внутрипеченочных путях приводит к значительному повреждению паренхимы печени, развитию печеночной недостаточности.
Симптомы
Симптомы закупорки желчных протоков обычно появляются постепенно, острое начало встречается достаточно редко. Обычно развитию клиники желчной обструкции предшествует инфекция желчевыводящих путей. Пациент предъявляет жалобы на повышение температуры, потерю веса, схваткообразные боли в правом подреберье. Кожа приобретает желтушный оттенок, больного беспокоит зуд кожных покровов. Отсутствие желчных кислот в кишечнике приводит к обесцвечиванию кала, а повышенное выведение прямого билирубина почками - к появлению мочи темного цвета. При частичной закупорке возможно чередование обесцвеченных порций кала с окрашенными.
Осложнения
На фоне деструкции гепатоцитов нарушаются все функции печени, развивается острая печеночная недостаточность. В первую очередь страдает дезинтоксикационная деятельность печени, что проявляется слабостью, повышенной утомляемостью, постепенным нарушением функционирования других органов и систем (легких, сердца, почек, головного мозга). Если пациенту не будет оказана помощь до наступления этого этапа заболевания, прогноз крайне неблагоприятный. При отсутствии своевременного хирургического лечения патологии у больного может развиться сепсис, билирубиновая энцефалопатия, цирроз печени.
Диагностика
Начальные проявления закупорки желчных протоков напоминают симптомы холецистита или желчной колики, с которыми пациент может быть госпитализирован в отделение гастроэнтерологии. Предварительная диагностика осуществляется с помощью такого простого и безопасного метода, как ультрасонография поджелудочной железы и желчных путей. Если будут обнаружены конкременты желчных путей, расширение холедоха и внутрипеченочных желчных протоков, для уточнения диагноза может потребоваться проведение МР-панкреатохолангиографии, КТ желчевыводящих путей.
Для уточнения причины механической желтухи, расположения конкремента, степени закупорки желчных путей проводится чрескожная чреспеченочная холангиография, динамическая сцинтиграфия гепатобилиарной системы. Они позволяют обнаружить нарушение динамики желчи, ее оттока из печени и желчного пузыря. Наиболее информативным методом диагностики является ретроградная холангиопанкреатография. Данная методика включает в себя одновременное эндоскопическое и рентгенологическое исследование желчевыводящих путей. При обнаружении камней в просвете протока во время проведения этой процедуры может быть произведена экстракция конкрементов из холедоха. При наличии опухоли, сдавливающей желчный проток, берется биопсия.
В биохимических пробах печени отмечается повышение уровня прямого билирубина, щелочной фосфатазы, трансаминаз, амилазы и липазы крови. Протромбиновое время удлиняется. В общем анализе крови может быть выявлен лейкоцитоз со сдвигом лейкоформулы влево, снижение уровня эритроцитов и тромбоцитов. В копрограмме обнаруживается значительное количество жира, желчные кислоты отсутствуют.
Лечение закупорки желчных протоков
Всем пациентам требуется консультация абдоминального хирурга. После проведения всех обследований, выяснения локализации и степени обструкции, определяется тактика оперативного лечения. Если состояние пациента тяжелое, может потребоваться его перевод в отделение интенсивной терапии для проведения антибактериальной, инфузионной и дезинтоксикационной терапии.
До стабилизации состояния больного проведение расширенной операции может быть опасным, поэтому используют неинвазивные методики облегчения оттока желчи. К ним относят экстракцию конкрементов желчных протоков и назобилиарное дренирование при РПХГ (через зонд, введенный выше места сужения желчных протоков), чрезкожную пункцию желчного пузыря, холецистостомию и холедохостомию. Если состояние пациента не улучшается, может потребоваться более сложное вмешательство: чрескожное транспеченочное дренирование желчных протоков.
После того, как состояние больного нормализуется, рекомендуют использование эндоскопических методик лечения. Во время эндоскопии проводят расширение (эндоскопическое бужирование) желчных путей при их рубцовом стенозе и опухолевых стриктурах, введение в желчные пути специальной пластиковой или сетчатой трубки для сохранения их просвета (эндоскопическое стентирование холедоха). При обтурации конкрементом рубцово-суженного сосочка двенадцатиперстной кишки может потребоваться эндоскопическая баллонная дилатация сфинктера Одди.
Если удалить конкременты и другие препятствия для оттока желчи эндоскопическим способом не получается, требуется проведение расширенной операции. Во время такого оперативного вмешательства производится вскрытие холедоха (холедохотомия), поэтому в дальнейшем нужно предотвратить просачивание желчи через швы желчного протока в брюшную полость. Для этого производится наружное дренирование желчных путей по Керу (Т-образной трубкой), а после холецистэктомии - наружное дренирование желчных протоков по Холстеду (поливинилхлоридным катетером, введенным в культю пузырного протока).
Прогноз и профилактика
Прогноз при своевременном оказании медицинской помощи благоприятный. Значительно ухудшает течение заболевания и результаты лечения раковая обструкция холедоха. Профилактика заключается в лечении хронических воспалительных заболеваний гепатобилиарной системы, желчнокаменной болезни. Рекомендовано соблюдение здорового образа жизни, правильное питание с исключением жирной, жареной и экстрактивной пищи.
Холедохолитиаз - это наличие в желчных протоках конкрементов, вызывающих нарушение желчеоттока. Симптомы холедохолитиаза определяются степенью перекрытия протока камнем и включают боль, желтуху, иногда повышение температуры тела. На начальных стадиях заболевание может проходить бессимптомно. Для постановки точного диагноза проводят УЗИ печени и желчного пузыря, холедохоскопию, эндоскопическую ретроградную холангиопанкреатографию, чрескожную чреспеченочную холангиографию, МР-холангиопанкреатографию, оценивают биохимические пробы печени. Удаляют камни хирургическим путем либо эндоскопическим методом.
МКБ-10



Холедохолитиаз - это одна из форм желчнокаменной болезни, при которой камни образуются в холедохе или попадают туда из желчного пузыря. Конкременты в желчном пузыре - явление очень распространенное. Они встречаются приблизительно у трети женщин и у четверти мужчин на территории Европы и Северной Америки. Среди пациентов с желчнокаменной болезнью около 5-15% страдают холедохолитиазом.
После удаления желчного пузыря риск холедохолитиаза увеличивается, но протекает он в таких случаях в основном бессимптомно. Важность этой проблемы также связана с частыми осложнениями, которые требуют неотложной помощи и создают риск для жизни пациента. Диагностику и лечение холедохолитиаза проводят в отделениях гастроэнтерологии и абдоминальной хирургии.
Причины холедохолитиаза
Основная причина холедохолитиаза - миграция камней небольшого размера из желчного пузыря в протоки. По статистике, данное явление провоцирует приблизительно 85% всех случаев заболевания. Перемещение конкрементов осуществляется за счет увеличения давления в желчном пузыре, усиления сократительной функции его стенок. Большое значение имеет размер камня: чем меньше конкремент, тем больше шансов, что он мигрирует в протоки.
Непосредственно в холедохе камни образуются приблизительно у 10-15% пациентов. Предрасполагает к камнеобразованию в желчных путях:
- воспаления протоков (холангит);
- механических повреждений желчных протоков во время операции либо при инвазивном эндоскопическом обследовании;
- первичный склерозирующий холангит;
- кисты в желчных протоках;
- стриктуры, образовавшиеся после воспалительных заболеваний и манипуляций;
- глистные инвазии (гельминтозы).
В основе патогенеза холедохолитиаза лежит повышение давления в желчных протоках. В результате камень перемещается из одного отдела в другой, вызывая раздражение стенок, отек и дальнейшее перекрытие просвета холедоха. Если камень небольшой, а в холедохе и в области фатерова сосочка нет стриктур, он может самостоятельно выйти в просвет двенадцатиперстной кишки. В противном случае произойдет полная либо частичная закупорка желчного протока. В результате нарушается эвакуация желчи, холедох выше места закупорки расширяется, возникает воспаление, формируется благоприятная среда для роста бактерий.
Симптомы холедохолитиаза
Около 15% всех случаев холедохолитиаза протекают бессимптомно. Такое течение наблюдается у пациентов с удаленным желчным пузырем и в тех случаях, когда камни небольшого размера быстро эвакуируются из холедоха в двенадцатиперстную кишку, не вызывая закупорки, с которой связаны основные проявления заболевания.
Одним из первых симптомов холедохолитиаза является боль. Она носит глубокий висцеральный характер, частично напоминает боль при остром холецистите; может быть тупой, ноющей или достаточно резкой, с небольшими изменениями интенсивности. Боль локализуется в эпигастрии или в правом подреберье, часто отдает в спину. Когда камень опускается в область фатерова сосочка, болевой синдром может приобрести опоясывающий характер, как при остром панкреатите. Если в этом отделе камень не блокируется, он выходит в просвет двенадцатиперстной кишки, и все симптомы самостоятельно исчезают до следующего приступа.
Второй симптом холедохолитиаза - желтуха. Развивается она приблизительно через 12 часов после появления боли, иногда процесс может затянуться на сутки. При этом болевой синдром уменьшается или исчезает полностью. Особенность желтухи при холедохолитиазе - ее перемежающийся характер. Интенсивность желтизны кожи и слизистых то усиливается, то ослабевает. Это позволяет дифференцировать заболевание с раком головки поджелудочной железы, острыми вирусными гепатитами, лептоспирозом, которые тоже могут иногда протекать с выраженным болевым синдромом. При затяжном течении холедохолитиаза со значительной закупоркой протока у пациентов обесцвечивается кал, вплоть до ахолии, темнеет моча.
Осложняется холедохолитиаз холангитом, панкреатитом, при длительном течении - вторичным билиарным циррозом. При присоединении холангита (воспаления желчных путей), кроме основных симптомов, у больного наблюдается повышение температуры, признаки интоксикации (тошнота, рвота, сильная общая слабость). Иногда пациенты жалуются на интенсивную боль в спине. Панкреатит проявляется сильными болями с левой стороны либо болями опоясывающего характера, непрерывной рвотой, снижением перистальтики или полным парезом кишечника. В крови повышается уровень ферментов поджелудочной железы. Цирроз печени развивается долго, после частых рецидивов холедохолитиаза, осложнявшихся холангитом.
Для уточнения диагноза холедохолитиаза проводят ряд исследований. Начинают с УЗИ печени и желчного пузыря, биохимических проб печени.
- Биохимические показатели. В анализе крови часто определяют повышенный уровень билирубина, щелочной фосфатазы. АЛТ, АСТ в большинстве случаев остаются в пределах нормы. Изменения в биохимическом составе крови могут быть незначительными, быстро приходят в норму, когда камень эвакуируется из просвета холедоха. При бессимптомном течении делают скрининговые исследования биохимии крови, при которых можно обнаружить периодические умеренные подъемы уровня билирубина и щелочной фосфатазы.

- Сонография. Для уточнения наличия холедохолитиаза целесообразно проводить другие исследования. УЗИ печени и желчного пузыря позволяет обнаружить расширение протоков, признаки застоя желчи, конкременты в просвете холедоха или желчного пузыря.
- Лучевые методы. Если УЗИ не дало полной картины, дополнительно проводят ЭРХПГ. Преимущество данной методики в том, что можно одновременно осуществить операцию по удалению камня из протока. Одним из методов уточнения диагноза холедохолитиаза является чрескожная чреспеченочная холангиография. В сложных случаях проводят МР-холедохопанкреатографию. Компьютерная томография (КТ) желчевыводящих путей используется редко, так как она недостаточно информативна в данном случае.

КТ органов брюшной полости. Плотный конкремент (красная стрелка) в расширенном общем желчном протоке (синяя стрелка)
Лечение холедохолитиаза
Наиболее часто при холедохолитиазе проводится экстракция конкрементов желчных протоков при РХПГ. Во время эндоскопии через сфинктер Одди вводят специальный баллонный катетер, который расширяет проток и дает возможность легко удалить камень. Если камень большой, проводят холедохотомию или сфинктеротомию. Методика ЭРХПГ позволяет удалить камень в 85% случаев. Конкременты размером больше 18 мм предварительно подвергают дроблению. Делают это с помощью механического литотриптора, методом лазерной либо магнитно-волновой литотрипсии. После дробления эффективность экстракции конкрементов желчных протоков при РХПГ повышается до 90%.
Когда невозможно удалить камень эндоскопическим методом, прибегают к хирургическому вмешательству. Операцию выполняют классическим методом или путем лапароскопии. Во время операции проводят холедохотомию или полное удаление желчного пузыря (холецистэктомию). Удалять желчный пузырь рекомендуют во всех случаях повторного возникновения холедохолитиаза. Консервативное лечение холедохолитиаза проводится редко, только в тех случаях, если оперативное вмешательство невозможно.
В связи с тем, что холедохолитиаз часто дает осложнения, прогноз при этом заболевании довольно серьезный. Без своевременного лечения редко удается избежать обструкции, механической желтухи, холангита, в запущенных случаях - панкреатита и цирроза. Послеоперационные осложнения (особенно после классического открытого вмешательства) составляют около 15%, поэтому сейчас для лечения холедохолитиаза стараются чаще применять эндоскопическую и лапароскопическую методики.
После удаления камня рецидивы на протяжении пяти лет развиваются приблизительно у четверти всех пациентов. При повторном приступе холедохолитиаза рекомендуют удалять желчный пузырь. Для профилактики назначают урсодезоксихолевую кислоту. Принимать ее нужно не меньше, чем шесть месяцев в году, иначе эффективность лечения окажется сомнительной.
Читайте также:
- Как бороться с послеродовой депрессией?
- Энтерококки. Особенности энтерококков. Эпидемиология энтерококков. Клинические проявления поражений энтерококками. Выявление энтерококков. Диагностика энтерококков.
- Лечение опухоли спинного мозга и ее прогноз
- Теория дискордантной дисфункции в механизме развития шума в ушах (тиннитуса)
- Техника, этапы операции при травме двенадцатиперстной кишки
