Посттравматическая пневмония после ранений груди - причины, диагностика
Добавил пользователь Евгений Кузнецов Обновлено: 11.12.2025
Примерно у 30% пострадавших с сочетанной травмой имеются тяжелые повреждения груди [10]. Легкие, занимающие большую часть плевральной полости и располагающиеся в непосредственной близости от костного каркаса грудной клетки, повреждаются в большинстве этих наблюдений прямо или косвенно. При этом чаще возникают ушибы и разрывы, значительно реже образуются полости в легком [4, 7, 11, 12]. Анализ литературы [2] свидетельствует о терминологической путанице таких понятий, как ушиб легкого, контузия, разрыв, гематома легкого. Ушиб легкого, впервые подробно описанный Morgagni [6] в 1761 г., является наиболее распространенным видом повреждения легкого при закрытой сочетанной травме (17-70%) и служит одним из важнейших факторов, определяющих возникновение осложнений и летальных исходов в посттравматическом периоде [1, 2, 10]. В англоязычной литературе R. Smith [6] в 1840 г. впервые описал множественные заполненные кровью полости в легком без разрыва плевры у погибшего от закрытой травмы груди. В современных публикациях травматические полости в легком обозначаются как полостные легочные образования, псевдокисты, псевдокистозные гематомы, травматические кисты, травматические полости легкого, пневматоцеле, гемопневматоцеле и др. [4, 5, 9, 11, 12]. В отличие от ушибов легкого, по данным литературы [4, 7], частота этих видов повреждения составляет не более 2% всех легочных травм и 0,1% закрытых травм груди. В эксперименте [8] было доказано, что тяжесть и распространенность повреждения легкого зависят от двух факторов: скорости удара и степени эластичности грудной клетки. Высокая скорость повреждающего фактора приводит к альвеолярной травме или субплевральным гематомам, тогда как низкая скорость - к центральным разрывам легкого или разрывам крупных бронхов. Эластичность грудной клетки у молодых людей обусловливает полную передачу силы удара на легкое, которое разрывается из-за резкого увеличения внутритканевого давления, в то время как костный каркас остается целым. Этим объясняется тот факт, что более 80% пострадавших с гематомами легких - лица моложе 30 лет и дети [4, 5, 7, 13]. Методы лечения варьируют от обширных резекционных вмешательств [3] до исключительно консервативной терапии [4, 7, 12].
Материал и методы
За последние 10 лет (2000-2009 гг.) в НИИ скорой помощи им. Н.В. Склифосовского находились на лечении 156 пострадавших с различными формами легочных кровоизлияний после закрытой травмы груди. Среди них мужчин было 134 (85,9%), женщин - 22 (14,1%). Средний возраст пациентов составил 34,3 года (от 15 до 83), тогда как при всех наблюдениях закрытой травмы груди - 48,1 года. Алкогольное опьянение при поступлении было зафиксировано у 41 (26,3%) пострадавшего, суицидальный характер травмы - у 11 (7,05%). В течение первых 2 ч после травмы в стационар было доставлено большинство пострадавших (113, или 72,4%), позже суток - 17 (10,9%) человек. По механизму травмы превалировали дорожно-транспортные происшествия и падение с высоты (табл. 1). Травма груди имела односторонний характер в 85 наблюдениях (справа - 50, слева - 35) и двусторонний в 71 наблюдении. Сопутствующие повреждения представлены в табл. 2. Патологическое содержимое в плевральной полости имелось у 115 (73,7%) из 156 пациентов с легочными кровоизлияниями, в том числе гемопневмоторакс был у 83, гемоторакс - у 20, пневмоторакс - у 12. Пневмомедиастинум наблюдали у 52 (33,3%) пациентов, при этом только у 1 пострадавшего он был единственным клиническим проявлением травмы легкого, у остальных эмфизема средостения сочеталась с пневмотораксом или гемопневмотораксом. Легочное кровотечение различной степени наблюдалось только у 86 (55,1%) пострадавших. Продолжительность легочного кровотечения варьировала от 1 до 27 сут (в среднем 6,5 сут). Изолированное повреждение груди диагностировано у 39 пациентов, что составило 25% всех наблюдений легочных кровоизлияний. Сочетанная травма груди имелась у 117 (75%) пострадавших, 74 из них потребовались хирургические вмешательства на других анатомических областях, среди которых видеолапароскопическая санация брюшной полости (9), лапаротомия, спленэктомия (17), ушивание разрывов печени (5), холецистэктомия (2), остеосинтез позвоночника (6), костей конечностей (9), трепанация черепа (2) и хирургическая обработка ран (19). Из 117 наблюдений сочетанной травмы груди повреждение двух анатомических областей выявлено у 37, трех - у 44, четырех - у 27, пяти - у 9 пострадавших. Соотношение изолированной и сочетанной травмы у пострадавших с легочными кровоизлияниями составило 1:3, тогда как в целом при закрытой травме груди - 3:2. Сопутствующие заболевания имелись у 53 (34%) пациентов, среди которых доминировали алкогольная зависимость и сердечно-сосудистые заболевания.
Во всех 156 наблюдениях выполнялась полипозиционная рентгенография груди. Оценивали как характер патологических изменений легких, так и наличие содержимого в полости плевры, переломов костного каркаса груди. Исследование проводили сразу при поступлении, далее с периодичностью 1 раз в 1-3 дня в зависимости от характера выявленных изменений. В целом нами проанализировано 776 рентгенограмм (от 2 до 8 исследований). Верификация данных рентгенологического исследования проведена путем их сопоставления с результатами КТ, интраоперационными и секционными данными.
В 145 наблюдениях легочных кровоизлияний была выполнена спиральная компьютерная томография (СКТ) грудной клетки, всего 396 исследований (от 1 до 7), на 1-2, 5-6 и 9-10-е сутки после травмы, далее в зависимости от характера остаточных изменений 1 раз в 10 дней.
Диагностическая бронхоскопия проводилась пострадавшим с признаками легочного кровотечения при поступлении, а также при подозрении на гематому легкого по данным лучевой диагностики. Первичное исследование выполняли всего у 81 пострадавшего, кратность и количество санационных бронхоскопий зависела от интенсивности легочного кровотечения и динамики патологического процесса.
Для математической обработки полученных данных использовали статистические пакеты MS Excel и Statistica v6.0. Результаты исследований проверены на достоверность по t-критерию Стьюдента, χ 2 - критерию Пирсона. В случае отклонения от нормального распределения для сравнения данных использовали непараметрический критерий Манна-Уитни для несвязанных выборок. Достоверными считали различия при p
Результаты и обсуждение
Значительный рост числа выявленных легочных кровоизлияний за последний год связан с расширением показаний к КТ в диагностике закрытой травмы. Так, если в 2008 г. легочные кровоизлияния были диагностированы только у 14 (1,5%) из 953 пострадавших с закрытой травмой груди, то в 2009 г. - у 82 (6,3%) из 1294. При этом частота повреждений легких при закрытой травме груди осталась практически на одном уровне: 50,9% (485 наблюдений) в 2008 г. и 47,6% (616) в 2009 г. О значительной распространенности этого вида повреждения свидетельствует и тот факт, что в 2009 г. из 41 умершего в течение 48 ч после закрытой сочетанной травмы груди на аутопсии различные повреждения легких были выявлены у 32, в том числе легочные кровоизлияния у 27 (65,9%).
Анализ результатов исследования позволил выделить следующие разновидности легочных кровоизлияний при закрытой травме груди: 1) ушиб или геморрагическое пропитывание легкого; 2) разрыв легкого с формированием полости, заполненной кровью (гематома) и/или газом - гемопневматоцеле или пневматоцеле. Геморрагическое пропитывание различной интенсивности и распространенности имелось во всех 156 наблюдениях, из них в 101 в сочетании со скоплениями крови и/или газа в толще легкого.

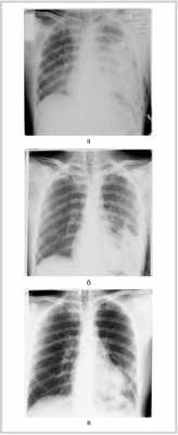
У 31 (19,9%) из 156 пострадавших (в том числе у 5 с легочным кровотечением) при рентгенографии в 1-е сутки после травмы патологических изменений легочной ткани не было выявлено. У 28 (17,9%) пострадавших оценить состояние легких при первом исследовании не представлялось возможным из-за значительного пневмоторакса и/или гемоторакса, что потребовало срочного дренирования плевральной полости и повторного исследования. Патологические изменения легочных полей были обнаружены у 125 пострадавших, однако имелись неточности в интерпретации результатов исследования. Так, негомогенное затенение легочного поля выявлено у 86 (55,1%) пациентов, что расценивалось как ушиб или гематома легкого (рис. 1, а), Рисунок 1. Рентгенограммы пациента после закрытой травмы груди. а — 1-е сутки: негомогенное затенение левого легочного поля за счет ушиба; б — 10-е сутки: положительная динамика в виде повышения прозрачности верхних и средних отделов левого легочного поля. На фоне сохраняющегося затенения нижней доли левого легкого определяются две полости с горизонтальным уровнем жидкости; в — 30-е сутки: положительная динамика — усиление прозрачности легочного поля, уменьшение размеров полостей в легком при одновременном исчезновении газового компонента. в том числе у 28 пострадавших эти изменения дифференцировать от гидроторакса не представлялось возможным. В 17 (10,9%) наблюдениях снижение прозрачности легких было расценено как интерстициальный отек или гиповентиляция, у 13 (8,3%) - как пневмония. Лишь в 2 наблюдениях были выявлены тонкостенные полости с газом и жидкостью в легком на фоне некоторого снижения прозрачности легочного поля, все остальные наблюдения травматических газосодержащих легочных полостей в течение первых 3-4 сут, по данным рентгенологического исследования, остались незамеченными из-за сопутствующего ушиба ткани легкого. В одном наблюдении гематома нижней доли правого легкого была расценена как расширение тени сердца.
На основании данных СКТ на 1-2-е сутки после травмы у всех 145 обследованных были выявлены изменения легких в виде полиморфных участков повышения плотности паренхимы от -256 до 38 ед.Н с нечеткими контурами, неправильной формы, сливного характера и с четкой визуализацией просвета бронхов, что было расценено как геморрагическое пропитывание ткани легкого или ушиб. Распространенность ушиба легкого ни в одном наблюдении не совпадала с долевыми или сегментарными границами. Ушиб одного легкого выявлен в 79 наблюдениях (справа - 46, слева - 33) и обоих - в 66. У 64 пациентов зоны ушиба имелись одновременно в двух долях, у 17 он был тотального характера, распространяясь на все легкое, у 13 пострадавших ушиб занимал лишь один сегмент. Распространенность ушиба в среднем составила 4,2 сегмента легкого.

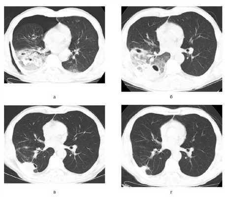
Разрывы легкого с образованием полостей в толще ткани в сочетании с очагами ушиба на основании данных СКТ были верифицированы у 97 пациентов (рис. 2, а), Рисунок 2. Спиральные компьютерные томограммы пациента после закрытой травмы груди. а — 1-е сутки: коллабирование правого легкого на 1 /3 объема за счет пневмоторакса. В проекции VII—X сегментов правого легкого и X сегмента левого легкого определяются зоны ушибов, на этом фоне контуры гематомы нечеткие, что затрудняет оценку ее объема. В нижней доле правого легкого определяются включения газа; б — 9-е сутки: обратное развитие ушиба левого легкого; объем и интенсивность ушиба правого легкого уменьшились, визуализируется гематома объемом 103 см 3 с наличием включений газа объемом 31 см 3 , по ходу междолевой плевры единичное включение газа 5 см 3 ; в — 29-е сутки: положительная динамика в виде уменьшения объема травматической полости до 60 см 3 и обратного развития ушиба нижней доли правого легкого; вокруг полости и в прилежащей междолевой плевре определяются участки пневмофиброза; г — 3,5 мес: обратное развитие травматической полости с формированием субплевральн однако в большинстве этих наблюдений имелись трудности в определении точных размеров и объема гематомы легкого из-за коллабирования или наличия массивного ушиба ткани легкого. По этой же причине не были диагностированы разрывы крупных бронхов, имевшие место у 3 пострадавших с легочными кровоизлияниями. Истинные гематомы легкого без включений газа при первичном исследовании определялись у 23 пациентов, объем их составил от 3,5 до 194 см 3 (в среднем 49,2±16,5 см 3 ). У 57 пострадавших структура гематомы при первичном исследовании была неоднородной за счет включений плотности газа, у 17 пациентов полость в легком содержала только газ. Диаметр газосодержащих полостей в легком колебался от 3 до 116 мм (в среднем 41,9±12,3 мм), объем от 3 до 370 см 3 . В 16 из 97 наблюдений определялись множественные полости в легком, в том числе в 12 - односторонние, в 4 - двусторонние.
Фибробронхоскопия при легочных кровоизлияниях позволяла дифференцировать источник и интенсивность легочного кровотечения, а в 2 из 3 наблюдений разрывов бронха - установить точный диагноз. Следует отметить, что у 12 пострадавших, находившихся на ИВЛ, признаки состоявшегося легочного кровотечения установлены только при бронхоскопии.
Базовая терапия включала антибиотики широкого спектра действия, коррекцию показателей гомеостаза, отхаркивающие и обезболивающие препараты, щелочные ингаляции, а также санационные бронхоскопии, постуральный дренаж и гемостатическую терапию при наличии признаков легочного кровотечения. На фоне комплексного консервативного лечения у 154 пострадавших отмечалась постепенная положительная динамика, что проявлялось регрессией очагов ушиба и полостей в легком, однако у 67 из них в посттравматическом периоде имелись воспалительные осложнения со стороны легких, 2 умерли от шока и кровопотери на 3-4-е сутки после травмы.
Из 115 пострадавших с гемопневмотораксом дренирование плевральных полостей выполнено у 94, пункция плевральной полости - у 5. У 16 пострадавших с минимальным гемопневмотораксом проводилось динамическое наблюдение и консервативное лечение. Дополнительные пункции и/или дренирование плевральных полостей произведено в 35 наблюдениях, дренирование переднего средостения в связи с нарастающей эмфиземой - в 1.
Положительная динамика рентгенологической картины при легочных кровоизлияниях характеризовалась снижением интенсивности затенения легочных полей начиная с 3-5-х суток после травмы. На этом фоне в указанные сроки в 29 наблюдениях выявлены ранее не определявшиеся очаговые, интенсивные, округлой формы тени с четкими контурами, в том числе в 7 наблюдениях - с горизонтальным уровнем жидкости (рис. 1, б). При сравнении с данными СКТ из указанных 29 наблюдений газовые включения в гематоме легкого имелись в 11. В динамике во всех этих наблюдениях отмечалась тенденция к уменьшению размеров гематомы при одновременном снижении интенсивности затенения (рис. 1, в). Полости, заполненные только газом, по данным рентгенологического метода визуализировались только в 3 наблюдениях.
Воспалительные и гнойные торакальные осложнения имелись у 80 пострадавших, что составило 51,3% общего числа больных с легочными кровоизлияниями. Среди них пневмония была у 45 (28,8%) больных, экссудативный плеврит - у 23 (14,7%), серозно-фибринозный перикардит - у 6 (3,8%), абсцесс легкого - у 22 (14,1%), гнойный трахеобронхит - у 26 (16,7%), эмпиема плевры - у 22 (14,1%) и сепсис - у 12 (7,7%) больных. Нагноение травматических полостей отмечалось только в 3 (2,97%) из 101 наблюдения, в остальных 19 наблюдениях деструкция легочной ткани развилась на фоне ушиба. В отличие от абсцедирования как исхода ушиба легкого, у пострадавших с нагноением травматических полостей мы не наблюдали типичной картины абсцессов легкого, вероятно, из-за исходного дренирования в бронхи. Трансторакальное дренирование абсцессов легких произведено в 6 наблюдениях в сроки от 12 до 34 сут после травмы. В одном наблюдении хронического абсцесса, осложненного на 130-е сутки аррозионным легочным кровотечением из ветви нижней легочной вены, произведена правосторонняя торакотомия, нижняя лобэктомия. В другом наблюдении показанием к правосторонней торакотомии, плеврэктомии и нижней лобэктомии явилось также осложнение посттравматического абсцесса легкого - эмпиема плевры с множественными бронхоплевральными свищами. Остальным 14 пациентам проводилось комплексное консервативное лечение.
Средняя продолжительность стационарного лечения у выживших пострадавших с неосложненным течением легочных кровоизлияний составила 21,1 дня, при развитии осложнений - 48,2 дня.
Умерли 15 человек, что составило 9,6% всех наблюдений легочных кровоизлияний. В течение первых 10 дней после травмы умерли 6 пострадавших. У всех умерших была тяжелая сочетанная травма, показатели тяжести повреждений и тяжести состояния умерших и выживших пострадавших значительно различались. Средние значения по шкалам ISS, RTS и TRISS составили 42,3 и 22,5, 5,871 и 7,221, 44,6 и 9,2 балла соответственно. Среди умерших оказались 4 из 8 пациентов, перенесших экстренную торакотомию в сроки от 26 ч до 9 сут после травмы. Двое пострадавших умерли на 3-4-е сутки после травмы от шока и кровопотери. Пневмония была основной причиной смерти остальных 13 пациентов, у 9 из которых она имела абсцедирующий характер с развитием сепсиса [7].
Таким образом, легочные кровоизлияния возникают преимущественно у лиц молодого возраста, причем в 3 раза чаще при сочетанной закрытой травме груди, чем при изолированной. Основным методом диагностики легочных кровоизлияний при закрытой травме груди является спиральная компьютерная томография, которая позволяет уточнить характер повреждения легкого и объективно документировать динамику патологического процесса. Консервативное лечение независимо от распространенности легочного кровоизлияния дает возможность добиться регрессии патологического процесса у большинства пострадавших. Хирургическое вмешательство, заключающееся в резекции части легкого и устранении источника продолжающегося легочного кровотечения, требуется в 5,1% наблюдений. Тактика хирургического лечения зависит не от формы легочного кровоизлияния или величины полостей в легком, а исключительно от интенсивности внутриплеврального или легочного кровотечения. Высокий показатель гнойно-септических осложнений при легочных кровоизлияниях, в том числе пневмонии (28,8%) и абсцессов легкого (14,1%), диктует необходимость ранней диагностики этого вида повреждения и проведения профилактических мероприятий.
Повреждения легких
Повреждения легких - травмы легких, сопровождающиеся анатомическими или функциональными нарушениями. Повреждения легких различаются по этиологии, тяжести, клиническим проявлениям и последствиям. Типичными признаками травм легкого служат резкая боль в груди, подкожная эмфизема, одышка, кровохарканье, легочное или внутриплевральное кровотечение. Повреждения легких диагностируются с помощью рентгенографии грудной клетки, томографии, бронхоскопии, плевральной пункции, диагностической торакоскопии. Тактика устранения повреждений легких варьирует от консервативных мероприятий (блокады, физиотерапия, ЛФК) до оперативного вмешательства (ушивание раны, резекция легкого и т. д.).
МКБ-10

Общие сведения
Повреждения легких - нарушение целостности либо функции легких, вызванное воздействием механических или физических факторов и сопровождающееся расстройствами дыхания и кровообращения. Распространенность повреждений легких чрезвычайно велика, что связано, прежде всего, с большой частотой торакальной травмы в структуре травматизма мирного времени. В этой группе травм высок уровень летальности, длительной нетрудоспособности и инвалидности. Повреждения легких при травмах груди встречаются в 80 % случаев и в 2 раза чаще распознаются на вскрытиях, чем при жизни пациента. Проблема диагностики и лечебной тактики при повреждениях легких остается сложной и актуальной для травматологии и торакальной хирургии.

Причины
Закрытые повреждения легких могут являться следствием удара о твердую поверхность, сдавления грудной клетки, воздействия взрывной волны. Наиболее частыми обстоятельствами, в которых люди получают подобные травмы, служат дорожно-транспортные аварии, неудачные падения на грудь или спину, удары в грудь тупыми предметами, попадание под завал в результате обрушений и т. д. Открытые травмы обычно сопряжены с проникающими ранениями грудной клетки ножом, стрелой, заточкой, военным или охотничьим оружием, осколками снарядов.
Кроме травматических повреждений легких, возможно их поражение физическими факторами, например, ионизирующим излучением. Лучевые повреждения легких обычно возникают у пациентов, получающих лучевую терапию по поводу рака пищевода, легких, молочной железы. Участки поражения легочной ткани в этом случае топографически соответствуют применявшимся полям облучения.
Причиной повреждений легких могут являться заболевания, сопровождающиеся разрывом ослабленной ткани легких при кашле или физическом усилии. В некоторых случаях травмирующим агентом выступают инородные тела бронхов, которые могут вызывать перфорацию бронхиальной стенки. Еще один вид повреждений, о котором следует упомянуть особо, это вентилятор-индуцированное повреждение легких, возникающее у больных, находящихся на ИВЛ. Эти повреждения могут быть вызваны токсичностью кислорода, волюмотравмой, баротравмой, ателектотравмой, биотравмой.
Классификация
Общепринято деление всех повреждений легких на закрытые (с отсутствием дефекта грудной стенки) и открытые (с наличием раневого отверстия). Группа закрытых повреждений легких включает в себя:
- ушибы легкого (ограниченные и обширные)
- разрывы легкого (одиночные, множественные; линейные, лоскутные, многоугольные)
- размозжение легкого
Открытые повреждения легких сопровождаются нарушением целостности париетальной, висцеральной плевры и грудной клетки. По виду ранящего оружия они делятся на колото-резаные и огнестрельные. Ранения легких могут протекать с закрытым, открытым или клапанным пневмотораксом, с гемотораксом, с гемопневмотораксом, с разрывом трахеи и бронхов, с эмфиземой средостения или без них. Повреждения легких могут сопровождаться переломом ребер и других костей грудной клетки; быть изолированными или сочетаться с травмами живота, головы, конечностей, таза.
Для оценки тяжести повреждения в легком принято выделять безопасную, угрожаемую и опасную зоны. В понятие «безопасной зоны» входит периферия легких с мелкими сосудами и бронхиолами (так называемый «плащ легкого»). «Угрожаемой» считается центральная зона легкого с расположенными в ней сегментарными бронхами и сосудами. Опасной для травм является прикорневая зона и корень легкого, включающая бронхи первого-второго порядка и магистральные сосуды - повреждение этой зоны легкого приводит к развитию напряженного пневмоторакса и профузного кровотечения.
Посттравматический период, следующий за повреждением легких, делится на острый (первые сутки), подострый (вторые-третьи сутки), отдаленный (четвертые-пятые сутки) и поздний (начиная с шестых суток и т. д.). Наибольшая летальность отмечается в острый и подострый периоды, тогда как отдаленный и поздний периоды опасны развитием инфекционных осложнений.
Симптомы повреждений легких
Закрытые повреждения легкого
Ушиб, или контузия легкого возникает при сильном ударе или сдавлении грудной клетки в отсутствие повреждения висцеральной плевры. В зависимости от силы механического воздействия такие повреждения могут протекать с внутрилегочными кровоизлияниями различного объема, разрывом бронхов и размозжением легкого.
Незначительные ушибы нередко остаются нераспознанными; более сильные сопровождаются кровохарканьем, болью при дыхании, тахикардией, одышкой. При осмотре часто выявляются гематомы мягких тканей грудной стенки. В случае обширной геморрагической инфильтрации легочной ткани или размозжения легкого возникают явления шока, респираторный дистресс-синдром. Осложнениями ушиба легкого могут стать посттравматическая пневмония, ателектаз, воздушные кисты легкого. Гематомы в легочной ткани обычно рассасываются на протяжении нескольких недель, однако при их инфицировании возможно формирование абсцесса легкого.
К разрыву легкого относятся травмы, сопровождающиеся ранением легочной паренхимы и висцеральной плевры. «Спутниками» разрыва легкого служат пневмоторакс, гемоторакс, кашель с кровянистой мокротой, подкожная эмфизема. На произошедший разрыв бронха может указывать шоковое состояние пациента, подкожная и медиастинальная эмфизема, кровохарканье, напряженный пневмоторакс, выраженная дыхательная недостаточность.
Открытые повреждения легких
Своеобразие клиники открытых повреждения легких обусловлено кровотечением, пневмотораксом (закрытым, открытым, клапанным) и подкожной эмфиземой. Следствием кровопотери служит бледность кожи, холодный пот, тахикардия, падение АД. Признаки дыхательной недостаточности, вызванные коллапсом легкого, включают затруднение дыхания, синюшность, плевро-пульмональный шок. При открытом пневмотораксе в процессе дыхания воздух входит и выходит из плевральной полости с характерным «хлюпающим» звуком.
Травматическая эмфизема развивается в результате инфильтрирования воздухом околораневой подкожной клетчатки. Она распознается по характерному хрусту, возникающему при надавливании на кожу, увеличению объемов мягких тканей лица, шеи, грудной клетки, иногда всего туловища. Особо опасно проникновение воздуха в клетчатку средостения, которое может вызвать компрессионный медиастинальный синдром, глубокие нарушения дыхания и кровообращения.
В позднем периоде проникающие ранения легкого осложняются нагноением раневого канала, бронхиальными свищами, эмпиемой плевры, легочным абсцессом, гангреной легкого. Гибель больных может произойти от острой кровопотери, асфиксии и инфекционных осложнений.
Вентилятор-индуцированные повреждения легких
Баротравма у интубированных пациентов возникает вследствие разрыва тканей легких или бронхов в процессе ИВЛ с высоким давлением. Данное состояние может сопровождаться развитием подкожной эмфиземы, пневмоторакса, коллапса легкого, эмфиземы средостения, воздушной эмболии и угрозы жизни больного.
Механизм волюмотравмы основан не на разрыве, а на перерастяжении легочной ткани, влекущем за собой повышение проницаемости альвеолярно-капиллярных мембран с возникновением некардиогенного отека легких. Ателектотравма является результатом нарушения эвакуации бронхиального секрета, а также вторичных воспалительных процессов. Вследствие снижения эластических свойств легких на выдохе происходит коллабирование альвеол, а на вдохе - их разлипание. Последствиями такого повреждения легких может стать альвеолит, некротический бронхиолит и другие пневмопатии.
Биотравма представляет собой повреждение легких, вызванное усилением продукции факторов системной воспалительной реакции. Биотравма может возникать при сепсисе, ДВС-синдроме, травматическом шоке, синдроме длительного сдавления и других тяжелых состояниях. Выброс указанных веществ повреждает не только легкие, но становится причиной полиорганной недостаточности.
Лучевые повреждения легких
Лучевые повреждения легких протекают по типу пневмонии (пульмонита) с последующим развитием постлучевого пневмофиброза и пневмосклероза. В зависимости от срока развития могут быть ранними (до 3-х месяцев от начала лучевого лечения) и поздними (спустя 3 месяца и позднее).
Лучевая пневмония характеризуется лихорадкой, слабостью, экспираторной одышкой разной степени выраженности, кашлем. Типичны жалобы на боль в груди, возникающую при форсированном вдохе. Лучевые повреждения легких следует дифференцировать с метастазами в легкое, бактериальной пневмонией, грибковой пневмонией, туберкулезом.
В зависимости от выраженности респираторных нарушений различают 4 степени тяжести лучевых повреждений легких:
- беспокоит небольшой сухой кашель или одышка при нагрузке;
- беспокоит постоянный надсадный кашель, для купирования которого требуется применение противокашлевых препаратов; одышка возникает при незначительной нагрузке;
- беспокоит изнуряющий кашель, который не купируется противокашлевыми препаратами, одышка выражена в покое, больной нуждается в периодической кислородной поддержке и применении глюкокортикостероидов;
- развивается тяжелая дыхательная недостаточность, требующая постоянной кислородотерапии или ИВЛ.
Диагностика
На вероятное повреждение легкого могут указывать внешние признаки травмы: наличие гематом, ран в области груди, наружное кровотечение, подсасывание воздуха через раневой канал и т. д. Физикальные данные разнятся в зависимости от вида травмы, однако чаще всего определяется ослабление дыхания на стороне пораженного легкого.
Для правильной оценки характера повреждений обязательна рентгенография грудной клетки в двух проекциях. Рентгенологическое исследование позволяет выявить смещение средостения и коллапс легкого (при гемо- и пневмотораксе), пятнистые очаговые тени и ателектазы (при ушибах легкого), пневматоцеле (при разрыве мелких бронхов), эмфизема средостения (при разрыве крупных бронхов) и другие характерные признаки различных повреждений легких. Если позволяют состояние пациента и технические возможности, желательно уточнение рентгеновских данных с помощью компьютерной томографии.
Проведение бронхоскопии особенно информативно для выявления и локализации разрыва бронхов, обнаружения источника кровотечения, инородного тела и т. д. При получении данных, указывающих на наличие воздуха или крови в плевральной полости (по результатам рентгеноскопии легких, УЗИ плевральной полости) может выполняться лечебно-диагностическая плевральная пункция. При сочетанных травмах часто требуются дополнительные исследования: обзорная рентгенография органов брюшной полости, ребер, грудины, рентгеноскопия пищевода с бариевой взвесью и др.
В случае неуточненного характера и объема повреждений легких прибегают к диагностической торакоскопии, медиастиноскопии или торакотомии. На этапе диагностики больной с повреждением легких должен быть осмотрен торакальным хирургом и травматологом.
Лечение повреждений легких
Тактические подходы к лечению повреждений легких зависят от вида и характера травмы, сопутствующих повреждений, тяжести дыхательных и гемодинамических нарушений. Во всех случаях необходима госпитализация пациентов в специализированное отделение для проведения всестороннего обследования и динамического наблюдения. С целью устранения явлений дыхательной недостаточности больным показана подача увлажненного кислорода; при выраженных расстройствах газообмена осуществляется переход на ИВЛ. При необходимости проводится противошоковая терапия, восполнение кровопотери (переливание кровезаменителей, гемотрансфузия).
При ушибах легких обычно ограничиваются консервативным лечением: производится адекватное обезболивание (анальгетики, спирто-новокаиновые блокады), бронхоскопическая санация дыхательных путей для удаления мокроты и крови, рекомендуется дыхательная гимнастика. С целью профилактики нагноительных осложнений назначается антибиотикотерапия. Для скорейшего рассасывания экхимозов и гематом используются физиотерапевтические методы воздействия.
В случае повреждений легких, сопровождающихся возникновением гемопневмоторакса, первоочередной задачей является аспирация воздуха/крови и расправление легкого посредством лечебного торакоцентеза или дренирования плевральной полости. При повреждении бронхов и крупных сосудов, сохранении коллапса легкого показана торакотомия с ревизией органов грудной полости. Дальнейший объем вмешательства зависит от характера повреждений легкого. Поверхностные раны, расположенные на периферии легкого, могут быть ушиты. В случае выявления обширного разрушения и размозжения ткани легкого производится резекция в пределах здоровых тканей (клиновидная резекция, сегментэктомия, лобэктомия, пульмонэктомия). При разрыве бронхов возможно как реконструктивное вмешательство, так и резекционное.
Прогноз
Прогноз определяется характером повреждения легочной ткани, своевременностью оказания неотложной помощи и адекватностью последующей терапии. В неосложненных случаях исход чаще всего благоприятный. Факторами, отягощающими прогноз, являются открытые повреждения легких, сочетанная травма, массивная кровопотеря, инфекционные осложнения.
Ушиб легкого ( Контузия легкого , Сотрясение легкого )
Ушиб лёгкого - это повреждение лёгочной ткани с сохранением целостности висцеральной плевры, возникающее в результате тупой травмы или сдавления грудной клетки. Сопровождается болями в груди, одышкой, в ряде случаев - кровохарканьем. Диагноз устанавливается на основании данных анамнеза, осмотра, результатов рентгенологического исследования и компьютерной томографии грудной полости, бронхоскопии. Лечение травмы легкого проводится консервативно, с применением анальгетиков, антибиотиков, кортикостероидов, физиотерапии, ЛФК. При необходимости осуществляется респираторная поддержка.


Ушиб (контузия, сотрясение) лёгкого относится к закрытым травматическим повреждениям грудной клетки. Чаще всего встречается у пострадавших в дорожно-транспортных происшествиях. По данным медицинской статистики, ушиб легкого наблюдается у 30-55% пациентов с торакальными травмами. Нередко сочетается с переломами рёбер, иногда − с разрывом лёгкого. При обширных повреждениях и размозжениях лёгочной паренхимы в 50-60% случаев развивается жизнеугрожающее состояние - острый респираторный дистресс-синдром. У 10-40% травматологических больных контузия лёгочной ткани заканчивается летально.

Причины ушиба лёгкого
Травматическое повреждение лёгких происходит в результате механического воздействия на грудную клетку. К контузии приводит сильный удар тупым предметом или взрывной волной в область груди. Ушиб возникает как на стороне воздействия, так и в противоположном лёгком (из-за противоудара). Наиболее часто причиной такого рода травм являются автокатастрофы. Подавляющее большинство пострадавших составляют водители, ударившиеся грудью о рулевую колонку. Выраженное сотрясение лёгких, вплоть до размозжения тканей, возникает в результате падения с высоты на спину или живот, а также при сдавлении грудной клетки тяжёлыми предметами.
Патогенез
Сильный удар в грудную клетку травмирует её костный каркас. Внутренняя поверхность прогнувшихся рёбер повреждает лёгкое, вызывая его ушиб. Травмируется сосудистая сеть, лёгочная паренхима пропитываются кровью. Тяжёлая травма нередко сопровождается отрывом бронхов. Из-за рефлекторного смыкания голосовой щели нарастает внутригрудное давление, ведущее к разрыву межальвеолярных перегородок. В результате этого образуются кисты, заполненные воздухом (пневмоцеле) и кровью (гематоцеле). От противоудара возникают аналогичные повреждения с другой стороны. Происходит смещение органов грудной полости и ушиб лёгких о контрлатеральную половину грудной клетки, позвоночник. Пропитанная кровью лёгочная ткань частично теряет эластичность, что приводит к нарушению газообмена и кислородному голоданию.
Характер травматического повреждения ткани лёгких зависит от размеров поверхности воздействующего предмета и силы удара. Исходя из площади травматической инфильтрации паренхимы, ушиб лёгких бывает ограниченным и обширным. Распространённость и локализация зоны ушиба имеет клиническое и прогностическое значение. Массивная контузия лёгочной паренхимы нередко приводит к смерти пострадавшего на месте происшествия. По тяжести течения выделяют три степени патологического процесса:
- Лёгкая степень. Ограниченный ушиб локализуется поверхностно, в периферических участках лёгкого. Занимает 1-2 лёгочных сегмента. Дыхательная недостаточность отсутствует.
- Средняя степень. Зона ушиба распространяется на несколько сегментов. Возможны отдельные фокусы размозжения паренхимы, повреждения сосудов среднего калибра. Присутствует умеренная дыхательная недостаточность. Насыщение крови кислородом 90-95%.
- Тяжёлая степень. Наблюдается обширное поражение альвеолярной ткани с размозжением, повреждением прикорневых структур, магистральных сосудов. Развивается острая дыхательная недостаточность, содержание кислорода в периферической крови резко снижается.
Симптомы ушиба лёгкого
Клинические проявления при незначительной контузии лёгких могут отсутствовать. Пациенты часто не придают значения болевому синдрому при ограниченном поверхностном повреждении лёгкого, принимая его за признак ушиба грудной стенки или перелома ребра. Боль локализуется на стороне поражения, усиливается при глубоком вдохе, нажатии на грудную стенку, наклонах и движениях туловища. Интенсивность болевого синдрома зависит от площади и глубины ушиба. Выраженная двусторонняя торакалгия появляется при обширной травматизации лёгочной ткани.
Кровохарканье (кашель с примесью крови в мокроте) свидетельствует о среднетяжёлом или тяжёлом характере травматического процесса. Возникает в течение первых суток после травмы, может быть однократным или повторяющимся в течение 1-7 дней. Отсутствие кровохарканья не исключает контузию лёгких. Другими специфичными симптомами серьёзного повреждения респираторной системы являются признаки «шокового» лёгкого. Пострадавшего беспокоит прогрессивно нарастающая одышка, тахикардия, снижение артериального давления. Кожные покровы пациента бледнеют, появляется цианоз. Косвенными признаками закрытой лёгочной травмы могут служить кровоподтёки в месте удара.
Осложнения
Ограниченный поверхностный ушиб лёгкого обычно протекает без последствий. При отсутствии своевременной медицинской помощи среднетяжёлая лёгочная травма чревата опасными осложнениями. Самым частым из них (25-30% пострадавших) является посттравматическая пневмония, способная самостоятельно привести к гибели больного. Нередко лёгочный ушиб завершается формированием участков пневмофиброза. После травмы иногда остаются заполненные воздухом полости. При субплевральном расположении такие кисты могут стать причиной пневмоторакса. Приблизительно 5% пациентов, получивших ушиб лёгкого, становятся инвалидами из-за развивающейся впоследствии хронической лёгочно-сердечной недостаточности. Без адекватного лечения «шоковое» лёгкое обязательно приводит к летальному исходу.
При подозрении на ушиб лёгкого пациента обязательно осматривает торакальный хирург или травматолог. Уточняются обстоятельства травмы. При осмотре необходимо обратить внимание на цвет кожных покровов, наличие гематом, ссадин в области груди и спины, позу пострадавшего. Из-за болевого синдрома при одностороннем ушибе пациент щадит травмированную половину грудной клетки, поддерживает её рукой. Дыхательная недостаточность вынуждает больного занимать положение сидя с опущенными вниз ногами (ортопноэ). Для уточнения диагноза требуется проведение:
- Физикального исследования. Пальпаторно определяется усиление боли при надавливании на грудь или спину в проекции ушиба. Нередко удаётся прощупать места переломов рёбер. При аускультации выслушиваются влажные мелко- и среднепузырчатые хрипы в повреждённом лёгком.
- Лабораторных анализов. Клинический анализ крови малоинформативен сразу после травмы. Выполняется для исключения сопутствующего внутреннего кровотечения. На лёгочное повреждение может указывать наличие эритроцитов в анализе мокроты. Исследование газового состава крови позволяет уточнить степень гипоксемии. Для быстрого определения насыщения крови кислородом используется пульсоксиметрия.
- Лучевых методик. Участки инфильтрации лёгочной ткани, соответствующие зоне ушиба, определяются на рентгенограмме через 24-48 часов от момента травмы. Рентгенография легких позволяет выявить пневмо- и гемоторакс, повреждение костного каркаса. При тяжёлой травме органов дыхания предпочтительнее выполнить компьютерную томографию. Она помогает определить наличие пневмоцеле, ателектазов, отдифференцировать ушиб от разрыва лёгкого.
- Эндоскопии бронхов.Бронхоскопия является вспомогательным методом. Назначается по показаниям. При наличии кровохарканья помогает выявить источник кровотечения. Отёк и гиперемия слизистых оболочек бронхов являются косвенными признаками ушиба респираторных органов. Одновременно выполняется лечебная санация бронхов.

КТ ОГК. Контузионный очаг в нижней доле правого легкого (красная стрелка) у пациента с торакальной травмой: перелом ребра справа (синяя стрелка), пневмоторакс справа (зеленая стрелка).
Лечение ушиба лёгкого
При отсутствии жалоб пациент с подозрением на ушиб ткани лёгкого госпитализируется в отделение хирургии или травматологии на 1-2 суток под наблюдение. Пострадавшему с диагностированным травматическим повреждением дыхательной системы рекомендуется полный покой. Обычно назначается консервативное лечение. Основные принципы медикаментозной терапии:
- Адекватное обезболивание. Применяются нестероидные противовоспалительные препараты. При выраженном болевом синдроме, сопутствующих переломах рёбер, позвоночника выполняются лечебные субплевральные блокады межрёберных нервов. При неосложнённом небольшом лёгочном ушибе для выздоровления достаточно ограничить физическую активность пациента и назначить анальгетики.
- Купирование острой дыхательной недостаточности. Назначается оксигенотерапия через носовой катетер. Для улучшения функции газообмена используются кортикостероидные гормоны. Для стабилизации гемодинамики применяется инфузионно-трансфузионная терапия. При нарастании дыхательных расстройств пострадавший переводится на искусственную вентиляцию лёгких.
- Профилактика пневмонии. Нарушение дренажной функции респираторного тракта является показанием для санации дыхательных путей. При появлении первых клинических и рентгенологических признаков пневмонии назначаются антибиотики широкого спектра действия, обычно цефалоспоринового ряда.
Показанием для хирургического вмешательства являются отрывы крупных бронхов, повреждения магистральных сосудов. В восстановительном периоде широко используются физиотерапевтические процедуры (магнитолазерная терапия, спелеолечение), массаж, лечебная физкультура, дыхательная гимнастика. Рекомендуются регулярные пешие прогулки, плавание.
Прогноз и профилактика
Ограниченный ушиб паренхимы лёгкого разрешается полностью и без каких-либо последствий в течение двух недель. Прогноз при повреждениях средней степени тяжести в основном благоприятный. Однако отсутствие эффективного лечения, пожилой возраст и сопутствующая патология нередко провоцируют развитие тяжёлых последствий. Причиной смерти становятся обширные глубокие ушибы с разрывами и размозжением лёгочной паренхимы. Соблюдение мер личной безопасности, правил охраны труда помогают избежать травм. Своевременное обращение в лечебное учреждение и выполнение рекомендаций медицинского персонала являются профилактикой осложнений.
1. Клинические рекомендации по оказанию медицинской помощи пострадавшим с повреждениями груди в чрезвычайных ситуациях (проект)/ Саввин Ю.Н. Краснов С.А., Поярков А.М. - 2015.
3. Ранняя функционально-лабораторная диагностика ушиба легких у пострадавших с тяжелой сочетанной травмой/ Немченко Н.С. и осавт.// Вестник Российской военно-медицинской академии. - 2013 - №1(41).
Пневмония
Пневмония - острое поражение легких инфекционно-воспалительного характера, в которое вовлекаются все структурные элементы легочной ткани, преимущественно - альвеолы и интерстициальная ткань легких. Клиника пневмонии характеризуется лихорадкой, слабостью, потливостью, болью в грудной клетке, одышкой, кашлем с мокротой (слизистой, гнойной, «ржавой»). Пневмония диагностируется на основании аускультативной картины, данных рентгенографии легких. В остром периоде лечение включает антибиотикотерапию, дезинтоксикационную терапию, иммуностимуляцию; прием муколитиков, отхаркивающих, антигистаминных средств; после прекращения лихорадки - физиотерапию, ЛФК.

Пневмония - воспаление нижних дыхательных путей различной этиологии, протекающее с внутриальвеолярной экссудацией и сопровождающееся характерными клинико-рентгенологическими признаками. Острая пневмония встречается у 10-14 человек из 1000, в возрастной группе старше 50 лет - у 17 человек из 1000. Актуальность проблемы заболеваемости острой пневмонией сохраняется, несмотря на внедрение новых антимикробных препаратов, также как сохраняется высокий процент осложнений и летальность (до 9%) от пневмоний.
Среди причин смертности населения пневмония стоит на 4-ом месте после заболеваний сердца и сосудов, злокачественных новообразований, травматизма и отравлений. Пневмония может развиваться у ослабленных больных, присоединяясь к течению сердечной недостаточности, онкологических заболеваний, нарушениям мозгового кровообращения, и осложняет исход последних. У пациентов со СПИДом пневмония является основной непосредственной причиной гибели.
Причины и механизм развития пневмонии
Среди этиофакторов, вызывающих пневмонию, на первом месте стоит бактериальная инфекция. Чаще всего возбудителями пневмонии являются:
- грамположительные микроорганизмы: пневмококки (от 40 до 60%), стафилококки (от 2 до 5%), стрептококки (2,5%);
- грамотрицательные микроорганизмы: палочка Фридлендера (от 3 до 8%), гемофильная палочка (7%), энтеробактерии (6%), протей, кишечная палочка, легионелла и др. (от 1,5 до 4,5%);
- микоплазмы (6%);
- вирусные инфекции (вирусы герпеса, гриппа и парагриппа, аденовирусы и т. д.);
- грибковые инфекции.
Также пневмония может развиваться вследствие воздействия неинфекционных факторов: травм грудной клетки, ионизирующего излучения, токсических веществ, аллергических агентов.
Факторы риска
К группе риска по развитию пневмонии относятся пациенты с застойной сердечной недостаточностью, хроническими бронхитами, хронической носоглоточной инфекцией, врожденными пороками развития легких, с тяжелыми иммунодефицитными состояниями, ослабленные и истощенные больные, пациенты, длительно находящиеся на постельном режиме, а также лица пожилого и старческого возраста.
Особо подвержены развитию пневмонии курящие и злоупотребляющие алкоголем люди. Никотин и пары алкоголя повреждают слизистую оболочку бронхов и угнетают защитные факторы бронхопульмональной системы, создавая благоприятную среду для внедрения и размножения инфекции.
Инфекционные возбудители пневмонии проникают в легкие бронхогенным, гематогенным или лимфогенным путями. При имеющемся снижении защитного бронхопульмонального барьера в альвеолах развивается инфекционное воспаление, которое через проницаемые межальвеолярные перегородки распространяется на другие отделы легочной ткани. В альвеолах происходит образование экссудата, препятствующего газообмену кислорода между легочной тканью и кровеносными сосудами. Развиваются кислородная и дыхательная недостаточность, а при осложненном течении пневмонии - сердечная недостаточность.
В развитии пневмонии выделяется 4 стадии:
- стадия прилива (от 12 часов до 3 суток) - характеризуется резким кровенаполнением сосудов легких и фибринозной экссудацией в альвеолах;
- стадия красного опеченения (от 1 до 3 суток) - происходит уплотнение ткани легкого, по структуре напоминающей печень. В альвеолярном экссудате обнаруживаются эритроциты в большом количестве;
- стадия серого опеченения - (от 2 до 6 суток) - характеризуется распадом эритроцитов и массивным выходом лейкоцитов в альвеолы;
- стадия разрешения - восстанавливается нормальная структура ткани легкого.
1. На основании эпидемиологических данных различают пневмонии:
- внебольничные (внегоспитальные)
- внутрибольничные (госпитальные)
- вызванные иммунодефицитными состояниями
- атипичного течения.
2. По этиологическому фактору, с уточнением возбудителя, пневмонии бывают:
- бактериальными
- вирусными
- микоплазменными
- грибковыми
- смешанными.
3. По механизму развития выделяют пневмонии:
- первичные, развивающиеся как самостоятельная патология
- вторичные, развивающиеся как осложнение сопутствующих заболеваний (например, застойная пневмония)
- аспирационные, развивающиеся при попадании инородных тел в бронхи (пищевых частиц, рвотных масс и др.)
- посттравматические
- послеоперационные
- инфаркт-пневмонии, развивающиеся вследствие тромбоэмболии мелких сосудистых ветвей легочной артерии.
4. По степени заинтересованности легочной ткани встречаются пневмонии:
- односторонние (с поражением правого или левого легкого)
- двусторонние
- тотальные, долевые, сегментарные, субдольковые, прикорневые (центральные).
5. По характеру течения пневмонии могут быть:
- острые
- острые затяжные
- хронические
6. С учетом развития функциональных нарушений пневмонии протекают:
- с наличием функциональных нарушений (с указанием их характеристик и выраженности)
- с отсутствием функциональных нарушений.
7. С учетом развития осложнений пневмонии бывают:
- неосложненного течения
- осложненного течения (плевритом, абсцессом, бактериальным токсическим шоком, миокардитом, эндокардитом и т. д.).
8. На основании клинико-морфологических признаков различают пневмонии:
- паренхиматозные (крупозные или долевые)
- очаговые (бронхопневмонии, дольковые пневмонии)
- интерстициальные (чаще при микоплазменном поражении).
9. В зависимости от тяжести течения пневмонии делят на:
- легкой степени - характеризуется слабо выраженной интоксикацией (ясное сознание, температура тела до 38°С, АД в норме, тахикардия не более 90 уд. в мин.), одышка в покое отсутствует, рентгенологически определяется небольшой очаг воспаления.
- средней степени - признаки умеренно выраженной интоксикации (ясное сознание, потливость, выраженная слабость, температура тела до 39°С, АД умеренно снижено, тахикардия около 100 уд. в мин.), частота дыхания - до 30 в мин. в покое, рентгенологически определяется выраженная инфильтрация.
- тяжелой степени - характеризуется выраженной интоксикацией (лихорадка 39-40°С, помутнение сознания, адинамия, бред, тахикардия свыше 100 уд. в мин., коллапс), одышкой до 40 в мин. в покое, цианозом, развитием осложнений. Рентгенологически определяется обширная инфильтрация.
Симптомы пневмонии
Крупозная пневмония
Характерно острое начало с лихорадки свыше 39°С, озноба, болей в грудной клетке, одышки, слабости. Беспокоит кашель: сначала сухой, непродуктивный, далее, на 3-4 день - с «ржавой» мокротой. Температура тела постоянно высокая. При крупозной пневмонии лихорадка, кашель и отхождение мокроты держатся до 10 дней.
При тяжелой степени течения крупозной пневмонии определяется гиперемия кожных покровов и цианоз носогубного треугольника. На губах, щеках, подбородке, крыльях носа видны герпетические высыпания. Состояние пациента тяжелое. Дыхание поверхностное, учащенное, с раздуванием крыльев носа. Аускультативно выслушиваются крепитация и влажные мелкопузырчатые хрипы. Пульс, частый, нередко аритмичный, АД снижено, сердечные тона глухие.
Очаговая пневмония
Осложнения пневмонии
Особенности течения пневмонии обусловлены степенью тяжести, свойствами возбудителя и наличием осложнений. Осложненным считается течение пневмонии, сопровождающееся развитием в бронхолегочной системе и других органах воспалительных и реактивных процессов, вызванных непосредственно воспалением легких. От наличия осложнений во многом зависит течение и исход пневмонии. Осложнения пневмонии могут быть легочными и внелегочными.
Легочными осложнениями при пневмонии могут быть:
- обструктивный синдром
- абсцесс, гангрена легкого
- парапневмонический экссудативный плеврит.
Среди внелегочных осложнений пневмонии часто развиваются:
- острая сердечно-легочная недостаточность
- эндокардит, миокардит
- менингит и менингоэнцефалит
- инфекционно-токсический шок
- анемия
- психозы и т. д.
При диагностике пневмонии решаются сразу несколько задач: дифференциальная диагностика воспаления с другими легочными процессами, выяснение этиологии и степени тяжести (осложнений) пневмонии. Пневмонию у пациента следует заподозрить на основании симптоматических признаков: быстрого развития лихорадки и интоксикации, кашля.
- Физикальное исследование. Определяется уплотнение легочной ткани (на основании перкуторного притупления легочного звука и усиления бронхофонии), характерной аускультативной картины - очаговых, влажных, мелкопузырчатых, звучных хрипов или крепитации.
- Лабораторная диагностика. Изменения в общем анализе крови при пневмонии характеризуются лейкоцитозом от 15 до 30 • 109/л, палочкоядерным сдвигом лейкоцитарной формулы от 6 до 30%, повышением СОЭ до 30-50 мм/ч. В общем анализе мочи может определяться протеинурия, реже микрогематурия. Баканализ мокроты при пневмонии позволяет выявить возбудителя и определить его чувствительность к антибиотикам.
- Рентгенография легких.Рентгенограммы при пневмонии обычно делают в начале заболевания и спустя 3-4 недели для контроля разрешения воспаления и исключения другой патологии (чаще бронхогенного рака легких). При любых видах пневмоний чаще процесс захватывает нижние доли легкого. На рентгенограммах при пневмонии могут выявляться следующие изменения: паренхиматозные (очаговые или диффузные затемнения различной локализации и протяженности); интерстициальные (легочный рисунок усилен за счет периваскулярной и перибронхиальной инфильтрации).
- УЗИ. По данным эхокардиографии и УЗИ плевральной полости иногда определяется плевральный выпот.

Лечение пневмонии
Пациентов с пневмонией, как правило, госпитализируют в общетерапевтическое отделение или отделение пульмонологии. На период лихорадки и интоксикации назначается постельный режим, обильное теплое питье, высококалорийное, богатое витаминами питание. При выряженных явлениях дыхательной недостаточности больным пневмонией назначают ингаляции кислорода. Основные направления терапии:
- Антибиотикотерапия. Основным в лечении пневмонии является антибактериальная терапия. Назначать антибиотики следует как можно ранее, не дожидаясь определения возбудителя. Подбор антибиотика осуществляет врач, никакое самолечение недопустимо! При внегоспитальной пневмонии чаще назначают пенициллины (амоксициллин с клавулановой к-той, ампициллин и т. д.), макролиды, цефалоспорины. Выбор способа введения антибиотика определяется тяжестью течения пневмонии. Для лечения внутрибольничных пневмоний используют пенициллины, цефалоспорины, фторхинолоны (ципрофлоксацин, офлоксацин и т. д.), карбапенемы, аминогликозиды. При неизвестном возбудителе назначают комбинированную антибиотикотерапию из 2-3 препаратов. Курс лечения может продолжаться от 7-10 до 14 дней, возможна смена антибиотика.
- Симптоматическая терапия. При пневмониях показано проведение дезинтоксикационной терапии, иммуностимуляции, назначения жаропонижающих, отхаркивающих и муколитических, антигистаминных средств.
- Физиолечение. После прекращения лихорадки и интоксикации режим расширяют и назначают проведение физиотерапии (электрофорез с кальцием хлоридом, калием йодидом, гиалуронидазой, УВЧ, массаж, ингаляции) и ЛФК для стимуляции разрешения воспалительного очага.
Лечение пневмонии проводится до полного выздоровления пациента, которое определяется нормализацией состояния и самочувствия, физикальных, рентгенологических и лабораторных показателей. При частых повторных пневмониях одной и той же локализации решается вопрос о хирургическом вмешательстве.
При пневмонии прогноз определяется рядом факторов: вирулентностью возбудителя, возрастом пациента, фоновыми заболеваниями, иммунной реактивностью, адекватностью лечения. Неблагоприятны в отношении прогноза осложненные варианты течения пневмоний, иимунодефицитные состояния, устойчивость возбудителей к антибиотикотерапии. Особенно опасны пневмонии у детей до 1 года, вызванные стафилококком, синегнойной палочкой, клебсиеллой: летальность при них составляет от 10 до 30%.
При своевременных и адекватных лечебных мероприятиях пневмония заканчивается выздоровлением. По вариантам изменений в легочной ткани могут наблюдаться следующие исходы пневмонии:
- полное восстановление структуры легочной ткани - 70 %;
- формирование участка локального пневмосклероза - 20 %;
- формирование участка локальной карнификации - 7%;
- уменьшение сегмента или доли в размерах - 2%;
- сморщивание сегмента или доли - 1%.
Профилактика
Меры предупреждения развития пневмонии заключаются в закаливании организма, поддержании иммунитета, исключении фактора переохлаждения, санации хронических инфекционных очагов носоглотки, борьбе с запыленностью, прекращении курения и злоупотребления алкоголем. У ослабленных лежачих пациентов с целью профилактики пневмонии целесообразно проведение дыхательной и лечебной гимнастики, массажа, назначение антиагрегантов (пентоксифиллина, гепарина).
1. Внебольничная пневмония у взрослых: практические рекомендации по диагностике, лечению и профилактике (Пособие для врачей)/ Чучалин А.Г., Синопальников А.И., Козлов Р.С., Тюрин И.Е.,С.А. Рачина// Клиническая микробиология и антимикробная химиотерапия. - 2010 - Т. 12, №3.
3. Внутренние болезни в 2-х томах: учебник/ Под ред. Мухина Н.А., Моисеева В.С., Мартынова А.И. - 2010.
4. Пневмонии: сложные и нерешенные вопросы диагностики и лечения/ Новиков Ю.К.// Русский медицинский журнал. - 2004 - №21.
Читайте также:
- Физическая нагрузка под водой. Потребление кислорода и удаление двуокиси углерода
- Повышение чувствительности цветовой допплерографии. Цветовая допплерография на ранних сроках беременности
- Хирургическая анатомия желудка. Формы, стенки и кривизна желудка.
- Тератома глазницы: признаки, гистология, лечение, прогноз
- Характеристика субъективных шумов в ухе. Артериальные ушные шумы
