Повреждения нижней челюсти при удалении зуба. Повреждения верхнечелюстной пазухи
Добавил пользователь Евгений Кузнецов Обновлено: 22.01.2026
Опухоли челюстей - новообразования челюстных костей, исходящие непосредственно из костной ткани или структур одонтогенного аппарата. Опухоли челюстей могут проявлять себя клинически болевым синдромом, деформацией кости, асимметрией лица, смещением и подвижностью зубов, нарушением функции ВНЧС и глотания, нередко - прорастанием в полость носа, верхнечелюстную пазуху, орбиту и т. д. Диагностика опухолей челюстей предполагает рентгенологическое обследование, КТ, сцинтиграфию; при необходимости консультации окулиста, отоларинголога, риноскопию. Лечение доброкачественных опухолей челюстей - только хирургическое (выскабливание, резекция фрагмента челюсти, удаление зубов); злокачественных - комбинированное (лучевая терапия и операция).
МКБ-10


Общие сведения
Опухоли челюстей - остеогенные и неостеогенные, доброкачественные и злокачественные новообразования челюстных костей. На долю опухолей челюстно-лицевой области приходится около 15% всех заболеваний в стоматологии. Опухоли челюстей могут возникать в любом возрасте, в т. ч. довольно часто они встречаются у детей. Опухоли челюстей разнообразны по своему гистогенезу и могут развиваться из костной и соединительной ткани, костного мозга, тканей зубного зачатка, околочелюстных мягких тканей.
По мере своего роста опухоли челюстей вызывают значительные функциональные нарушения и эстетические дефекты. Лечение опухолей челюстей представляет собой технически непростую задачу, требующую объединения усилий специалистов в области челюстно-лицевой хирургии, отоларингологии, офтальмологии, нейрохирургии.

Причины
Вопрос о причинности возникновения опухолей челюстей находится в процессе изучения. На сегодняшний день доказана связь опухолевого процесса со следующими состояниями:
- одномоментной или хронической травмой (ушибом челюсти, повреждением слизистой оболочки полости рта разрушенными кариесом зубами, зубным камнем, краями пломб, некорректно подогнанными коронками и протезами и пр.)
- длительно текущими воспалительными процессами (хроническим периодонтитом, остеомиелитом челюсти, актиномикозом, синуситами и т. д.)
- не исключается вероятность развития опухолей челюсти на фоне инородных тел верхнечелюстной пазухи: пломбировочного материала, корней зубов и пр.
- воздействием неблагоприятных физических и химических факторов (ионизирующего излучения, радиойодтерапии, курения и пр.).
Вторичные злокачественные опухоли челюстей могут являться метастазами рака молочной железы, предстательной железы, щитовидной железы, почки, результатом местного распространения рака языка и др. Рак челюсти может развиваться на фоне предраковых процессов - лейкоплакии полости рта, доброкачественных опухолей полости рта (папиллом), лейкокератоза и т. п.
Классификация
Среди опухолей челюстей различают одонтогенные (органоспецифические) новообразования, связанные с зубообразующими тканями, и неодонтогенные (органонеспецифические), связанные с костью. Одонтогенные опухоли челюстей, в свою очередь, могут быть доброкачественными и злокачественными; эпителиальными, мезенхимальными и смешанными (эпителиально-мезенхимальными).
- Доброкачественные одонтогенные опухоли челюстей представлены амелобластомой, обызвествленной (кальцифицирующейся) эпителиальной одонтогенной опухолью, дентиномой, аденоамелобластомой, амелобластической фибромой, одонтомой, одонтогенной фибромой, миксомой, цементомой, меланоамелобластомой и др.
- Злокачественные одонтогенные опухоли челюстей включают одонтогенный рак и одонтогенную саркому. К остеогенным опухолям челюстей относятся костеобразующие (остеомы, остеобластомы), хрящеобразующие (хондромы), соединительнотканные (фибромы), сосудистые (гемангиомы), костно-мозговые, гладкомышечные и др.
Симптомы опухолей челюстей
Доброкачественные одонтогенные опухоли челюстей
Амелобластома - наиболее частая одонтогенная опухоль челюстей, склонная к инвазивному, местно-деструирующему росту. Поражает преимущественно нижнюю челюсть в области ее тела, угла или ветви. Развивается внутрикостно, может прорастать в мягкие ткани дна полости рта и десны. Чаще проявляется в возрасте 20-40 лет.
В начальном периоде амелобластома протекает бессимптомно, однако по мере увеличения размеров опухоли возникает деформация челюсти, асимметрия лица. Зубы в области поражения часто становятся подвижными и смещаются, может отмечаться зубная боль. Опухоль верхней челюсти может прорастать в полость носа, гайморову пазуху, орбиту; деформировать твердое нёбо и альвеолярный отросток. Нередки случаи нагноения, рецидивирования и малигнизации амелобластомы. Клиническое течение таких опухолей челюсти, как амелобластическая фиброма и одонтоамелобластома, напоминает амелобластому.
Одонтома чаще возникает у детей в возрасте до 15 лет. Обычно опухоли имеют небольшие размеры, протекают бессимптомно, однако могут вызывать задержку прорезывания постоянных зубов, диастемы и тремы. Опухоли большой величины могут приводить к деформации челюсти, образованию свищей.
Одонтогенная фиброма развивается из соединительной ткани зубного зачатка; чаще возникает в детском возрасте. Рост опухоли медленный; локализация - на верхней или нижней челюсти. Одонтогенная фиброма обычно бессимптомна; в некоторых случаях могут отмечаться ноющие боли, ретенция зубов, воспалительные явления в области опухоли.
Цементома - доброкачественная опухоль челюсти, практически всегда спаянная с корнем зуба. Чаще развивается в области премоляров или моляров нижней челюсти. Протекает бессимптомно или с нерезко выраженной болезненностью при пальпации. Изредка встречается множественная гигантская цементома, которая может являться наследственным заболеванием.
Доброкачественные неодонтогенные опухоли челюстей
Остеома может иметь внутрикостный или поверхностный (экзофитный) рост. Опухоль может распространяться в верхнечелюстную пазуху, полость носа, глазницу; препятствовать припасовке зубных протезов. Остеомы нижнечелюстной локализации вызывают боль, асимметрию нижней части лица, нарушение подвижности челюсти; верхнечелюстной локализации - нарушения носового дыхания, экзофтальм, диплопию и другие нарушения.
Остеоид-остеома сопровождается интенсивным болевым синдромом, обостряющимся по ночам, во время приема пищи; асимметрией лица. При осмотре полости рта определяется выбухание кости (чаще в области премоляров и моляров нижней челюсти), гиперемия слизистой оболочки.
Остеобластокластома (гигантоклеточная опухоль челюсти) преимущественно встречается в молодом возрасте (до 20 лет). Развитие клинической картины характеризуется нарастанием боли в челюсти, асимметрии лица и подвижности зубов. Ткани над опухолью изъязвляются; образуются свищи; отмечается повышение температуры тела. Истончение кортикального слоя приводит к возникновению патологических переломов нижней челюсти.
Гемангиома челюсти сравнительно редко бывает изолированной и в большинстве случаев сочетается с гемангиомой мягких тканей лица и полости рта. Сосудистые опухоли челюстей проявляются повышенной кровоточивостью десен, кровотечениями из корневых каналов при лечении пульпита или периодонтита, из лунки при удалении зуба и пр. При осмотре может выявляться флюктуация, расшатанность зубов, синюшность слизистой оболочки.
Злокачественные опухоли челюстей
Злокачественные опухоли челюстей встречаются в 3-4 раза реже доброкачественных. При раке челюсти рано возникают боли, имеющие иррадиирующий характер, подвижность и выпадение зубов, возможны патологические переломы челюсти. Злокачественные опухоли челюстей разрушают костную ткань; прорастают околоушные и поднижнечелюстные железы, жевательные мышцы; метастазируют в шейные и поднижнечелюстные лимфоузлы.
Карцинома верхней челюсти может прорастать в глазницу, полость носа или решетчатый лабиринт. В этом случае отмечаются рецидивирующие носовые кровотечения, односторонний гнойный ринит, затруднение носового дыхания, головные боли, слезотечение, экзофтальм, диплопия, хемоз. При вовлечении ветвей тройничного нерва беспокоят оталгии.
Злокачественные опухоли нижней челюсти рано инфильтрируют мягкие ткани дна полости рта и щек, изъязвляются, кровоточат. Вследствие контрактур крыловидной и жевательной мышц затрудняется смыкание и размыкание зубов. Остеогенные саркомы отличаются стремительным ростом, быстро прогрессирующей инфильтрацией мягких тканей, асимметрией лица, нестерпимой болью, ранним метастазированием в легкие и другие органы.
Диагностика
В большинстве случаев опухоли челюстей диагностируются уже в поздних стадиях, что объясняется неспецифичностью симптоматики или бессимптомным течением, низкой онкологической настороженностью населения и специалистов (стоматологов, отоларингологов и др.). В выявлении опухолей челюстей могут помочь тщательный сбор анамнеза, визуальное и пальпаторное исследование мягких тканей лица и полости рта. Обязательным этапом диагностики является:
- Рентгенологическое обследование. Рентгенография и КТ челюстей, рентгенография и КТ придаточных пазух носа. Определенную диагностическую ценность может представлять сцинтиграфия, термография.
- Биопсия. При обнаружении увеличенных шейных или подчелюстных лимфоузлов выполняется пункционная биопсия лимфатического узла.
- Консультации смежных специалистов. При подозрении на злокачественную опухоль челюсти необходима консультация отоларинголога с проведением риноскопии и фарингоскопии; офтальмолога с комплексным офтальмологическим обследованием.
- Диагностические операции. В ряде случаев приходится прибегать к диагностической гайморотомии или диагностической пункции околоносовой пазухи с последующим цитологическим исследованием промывных вод. Окончательная гистологическая верификация осуществляется с помощью морфологического исследования биоптата.

Лечение опухолей челюстей
Лечение большей части доброкачественных опухолей челюстей - хирургическое. Наиболее оптимальным является удаление новообразования с резекцией челюстной кости в пределах здоровых границ; такой объем вмешательства позволяет предотвратить рецидивы и возможную малигнизацию опухоли. Зубы, прилегающие к опухоли, также часто подлежат экстракции. Возможно удаление некоторых доброкачественных опухолей челюстей, не склонных к рецидивированию, щадящим методом с помощью кюретажа.
При злокачественных опухолях челюстей используется комбинированный метод лечения: гамма-терапия с последующим хирургическим лечением (резекцией или экзартикуляцией челюсти, лимфаденэктомией, экзентерацией глазницы, операцией на околоносовых пазухах и пр.). В запущенных случаях назначается паллиативная лучевая терапия или химиотерапевтическое лечение.
В послеоперационном периоде, особенно после обширных резекций, больным может потребоваться ортопедическое лечение с помощью специальных шин, реконструктивные операции (костная пластика), длительная функциональная реабилитация для восстановления функций жевания, глотания, речи.
Прогноз
При своевременном и радикальном лечении доброкачественных одонтогенных и неодонтогенных опухолей челюстей прогноз для жизни хороший. В случае нерадикально выполненной операции или неправильной оценки характера опухоли есть вероятность рецидива или малигнизации. Течение злокачественных опухолей челюстей крайне неблагоприятное. При раке и саркоме челюсти пятилетняя выживаемость пациентов после комбинированного лечения составляет менее 20%.


Ороантральное соустье - это ятрогенное состояние, которое может являться как осложнением хирургических стоматологических операций, так и эндодонтического лечения. Перфорация верхнечелюстной пазухи чаще всего возникает при проведении следующих процедур:
- Удаление зуба. Большая часть осложнений развивается после экстракции первых моляров верхней челюсти, реже - вторых и третьих моляров (зубов мудрости), премоляров, корни которых располагаются непосредственно в гайморовой пазухе. Ороантральная перфорация также может стать следствием неосторожного кюретажа лунки удаленного зуба.
- Дентальная имплантация. Повреждение дна пазухи возможно при установке зубного импланта в область верхней челюсти. Это происходит при неточных расчетах, когда длина искусственного корня оказывается больше высоты костной ткани альвеолярного отростка.
- Стоматологические операции. По данным литературы, явные и скрытые прободения случаются при выполнении 22-30% операций синус-лифтинга. Стоматологические вмешательства, которые также могут осложняться перфорацией, включают цистэктомию, резекцию верхушки корня зуба, секвестрэктомию.
- Пломбирование каналов. При лечении пульпита чрезмерное расширение корневых каналов или помещение в них избыточного количества пломбировочного материала может привести к перфорации корня. Еще одной возможной причиной является установка внутриканального штифта в канал зуба.
Факторы риска
Этиофакторами, предрасполагающими к вскрытию дна верхнечелюстной пазухи, выступают:
- анатомические особенности зубов и челюстей: расположение корней премоляров и моляров в полости пазухи, длинные расходящиеся корни, атрофия костной ткани;
- специфика строения и состояние гайморовых пазух: пневматический тип синусов, острый гнойный или хронический гайморит;
- местные заболевания, способствующие истончению костной ткани: пародонтит, апикальный периодонтит, гранулемы корня зуба, одонтогенные кисты;
- общие заболевания, снижающие плотность костей: остеопороз, сахарный диабет;
- травматичные действия врача-стоматолога, несоблюдение техники манипуляций, неправильная тактика ведения больных.
Патогенез
При пневматическом типе строения слизистая оболочка гайморовой пазухи отделена от корней зубов тонкой кортикальной пластинкой или непосредственно соприкасается с ними. Поэтому любая травматичная стоматологическая манипуляция (эндодонтическая, хирургическая) способна привести к прободению дна пазухи. Перфорацией принято считать дефект давностью не более 3-х недель. В дальнейшем происходит эпителизация хода с формированием свища.
В зависимости от диаметра дефекта различают 3 вида дефектов:
- малые - до 5 мм;
- средние - 5-7 мм;
- большие - свыше 7 мм.
По срокам течения процессы могут быть острыми (обнаруживаются непосредственно в процессе стоматологической манипуляции или после ее завершения) и хроническими (выявляются спустя несколько суток). По форме соустья делятся на точечные, круглые, щелевидные, овальные, неправильной формы.
По расположению различают следующие виды перфораций:
- альвеолярно-синусные - локализуются на альвеолярном отростке;
- вестибуло-синусные - открываются в преддверие полости рта;
- палато-синусные - расположены с небной стороны.
Симптомы
Острая перфорация, как правило, обнаруживается по ходу выполнения манипуляции или сразу после ее окончания. На вскрытие дна верхнечелюстной пазухи указывает выделение пенистой крови (пузырьков воздуха) из лунки извлеченного зуба. При проведении носоротовой пробы струя воздуха поступает из пазухи в ротовую полость с характерным свистом. Сам врач может заподозрить перфорацию по ощущению «провала» эндодонтического инструмента в пустоту после преодоления препятствия.
Если перфорация не выявлена и не устранена в кабинете стоматолога сразу же, уже в ближайшие дни возникает отек щеки на стороне соустья, ограничение при открывании рта, появляются кровянистые выделения из носа. Тембр голоса пациента становится назальным, гнусавым. Больные жалуются на ощущение тяжести, распирания или давления в области соответствующего верхнечелюстного синуса.
Осложнения
Нераспознанные перфорации неизбежно влекут за собой развитие инфекционно-воспалительных осложнений ‒ перфоративного гайморита. Нарушается общее состояние: появляется заложенность носа, гнойные выделения с примесью крови, головные боли, повышенная температура. Наличие свища обусловливает попадание из ротовой полости в пазуху жидкой пищи. Возможно формирование поднадкостничных абсцессов, периостита, остеомиелита челюсти. Генерализация гнойной инфекции ЧЛО приводит к развитию одонтогенных внутричерепных осложнений.
Пациентов с ороантральным соустьем курируют хирурги-стоматологи и врачи-отоларингологи. Предположить перфорацию верхнечелюстной пазухи можно на основании анамнеза: недавнее лечение пульпита либо периодонтита, удаление зуба, имплантация, стоматологическая операция. Для подтверждения диагноза и исключения осложнений проводится:
Лечение перфорации верхнечелюстной пазухи
Консервативное ведение
Безоперационное лечение ороантрального соустья возможно только в случае его немедленного обнаружения. Если прободение дна пазухи произошло во время экстракции зуба, необходимо приложить все усилия для сохранения в лунке кровяного сгустка. С этой целью устанавливается йодоформная турунда или накладывается альвеолярная повязка (альвожил, альвостаз), которая фиксируется швами. Возможно закрытие раны фибриновым или тканевым клеем, фибриновой пленкой, защитными пластинками.
Назначается медикаментозная терапия, направленная на предупреждения инфицирования: антибиотики, антигистаминные, закапывание сосудосуживающих капель в нос. В течение недели пациенту следует избегать чихания, кашля, сморкания. При соблюдении рекомендаций за это время перфорация до 2-5 мм закрывается самостоятельно.
Хирургическое лечение
Сформировавшиеся ороантральне фистулы диаметром более 5 мм, протекающие свыше 3-х недель, требуют хирургического вмешательства. Если во время перфорации в полость пазухи проникли инородные тела, выполняется гайморотомия, удаление посторонних предметов и измененных тканей с последующей пластикой перфоративного отверстия. Все операции делятся на 3 группы:
- пластика местными тканями: мобилизация, перемещение и подшивание к краям раны альвеолярного, вестибулярного, щечного или комбинированного лоскута;
- пластика аутотрансплантатами: забор костных фрагментов из подбородочной области, нижней челюсти, скулового отростка, ребра с их последующей фиксацией металлическими винтами;
- пластика синтетическими материалами: для закрытия перфорации синуса применяются различные аллогенные (коллагеновые пластинки, консервированная твердая мозговая оболочка, деминерализованный костный матрикс, консервированный амнион), ксеногенные (био-осс, остеопласт) и синтетические материалы (коллапан и др.).
Прогноз и профилактика
При своевременном обнаружении перфорации верхнечелюстного синуса и оперативном принятии надлежащих мер по ее закрытию заживление происходит в течение одной недели. Нераспознанные соустья, особенно осложненные ПОВС, требуют длительного лечения хирургическими методами. В последующем не исключены рецидивы свища. Профилактика заключается в проведении полноценного обследования пациента перед стоматологическим лечением, точном соблюдении протокола процедуры, атравматичном выполнении манипуляций.
1. Перфорация дна верхнечелюстной пазухи (клинический случай)/ Филимонова Л.Б., Кулаева Е.С.// Наука молодых - Eruditio Juvenium. - 2015.
2. Современная тактика лечения больных одонтогенным верхнечелюстным синуситом с ороантральным свищом/ Магомедов М.М., Хелминская Н.М., Гончарова А.В., Старостина А.Е.// Вестник оториноларингологии. - 2015. - 80(2).
3. Обзор методов пластики одонтогенных перфораций верхнечелюстного синуса (обзор литературы)/ Лазутиков Д.О., Морозов А.Н., Чиркова Н.В., Гаршина М.А., Романова Л.М.// Вестник новых медицинских технологий. - 2018.
4. Перфорация верхнечелюстного синуса при удалении зуба: хирургические аспекты использования биоматериалов/ Кошель В.И., Сирак С.В., Щетинин Е.В., Кошель И.В., Дыгов Э.А.// Международный журнал прикладных и фундаментальных исследований. - 2015. - №3.
Травмы придаточных пазух носа
Травмы придаточных пазух носа - это переломы стенок одного или нескольких параназальных синусов с возникновением косметического дефекта и функциональных нарушений. Основные симптомы: острая локальная боль, выраженный отек тканей, подкожные гематомы или раны, носовые кровотечения, деформация наружного носа и «проваливание» тканей в зоне проекции пазух. Постановка диагноза проводится на основе данных анамнеза, результатов физикального обследования, рентгенографии, магнитно-резонансной и компьютерной томографии. Основный метод лечения - хирургический, подразумевающий реконструкцию синусов.



Травмы придаточных пазух носа - наиболее распространенный вариант повреждений ЛОР-органов. Согласно данным различных источников, они составляют от 45 до 55% среди всех травм в отоларингологии. Чаще всего наблюдается травматическое поражение лобной пазухи - порядка 60% от общего числа случаев.
Статистически чаще травмы околоносовых синусов встречаются у мужчин. Средний возраст пациентов колеблется в пределах 20-35 лет. Бактериальные осложнения развиваются преимущественно на фоне открытых, комбинированных повреждений. Более чем в 70% случаев внутричерепные гнойные процессы формируются после травм фронтальной пазухи.

Повреждения околоносовых синусов могут иметь различное происхождение. В современной травматологии с учетом условий, в которых была получена травма, выделяют несколько этиопатогенетических групп. В их список входят следующие травматические поражения:
- Бытовые. К ним относятся случайные падения с высоты собственного роста, падения при эпилептических приступах, в состоянии алкогольной или наркотической интоксикации, травмы криминального характера.
- Спортивные. Повреждения параназальных пазух часто наблюдаются у профессиональных боксеров, мастеров различных видов единоборств.
- Дорожно-транспортные. Сюда входят комбинированные травмы, которые характеризуются нарушением структурной целостности всего лицевого скелета и, как результат, околоносовых пазух.
- Производственные. Это травмы, связанные с несоблюдением правил техники безопасности или техногенными катастрофами.
- Военные. Нарушение целостности стенок синусов может быть обусловлено огнестрельными или осколочными ранениями, ударной волной при сильном взрыве.
Травмы околоносовых пазух типа 1 по Gruss возникают после прямого удара по спинке носа, который смещает носовые кости и срединные стенки орбиты в межорбитальное пространство. При этом фронтальный отросток верхней челюсти смещается назад и в сторону, образуя 1-2 обломка. Травмы 2 типа формируются при ударе по костно-хрящевой части носа и центральной области лица. Они дополняются деструкцией перпендикулярной пластинки, сошника и четырехугольного хряща, что приводит к седловидной деформации наружного носа.
Переломы 3-го типа являются сопутствующим явлением при тяжелых переломах лобной кости, глазницы, верхней или нижней челюсти. 4 тип характеризуется сочетанными переломами скуловых костей и верхней челюсти, вследствие чего нижняя стенки орбиты смещается вниз. Травмы 5-го типа - это открытые повреждения, при которых происходит обширное разрушение костной ткани и ее частичная утрата через кожные дефекты.
Основываясь на механизме получения травмы и характере ранящего предмета, все травматические повреждения параназальных синусов можно разделить на два варианта:
- Открытые. При них нарушается целостность кожных покровов, в результате чего образуются края, стенки и дно раны. В роли последнего чаще всего выступает одна из стенок синуса.
- Закрытые. Характеризуются переломом костей без разрыва покрывающей их кожи.
Согласно классификации по Gruss J. S., выделяют пять клинических типов повреждений придаточных пазух носа:
- Тип 1. Изолированное повреждение носо-глазнично-решетчатого комплекса.
- Тип 2. Переломы вышеупомянутой анатомической структуры в сочетании с травмами верхних челюстей. На основе локализации переломов выделяют 3 подтипа: центральный, центральный и правый или левый боковой, центральный и двусторонний.
- Тип 3. Массивное травматическое повреждение костного комплекса. Может комбинироваться с черепно-мозговыми травмами (подтип А) или переломами ФОР-1, ФОР-2 (подтип Б).
- Тип 4. Переломы стенок пазух с дистопией и деформацией обриты. Имеет два подтипа: с глазо-глазничным смещением (вариант А) и с глазничной дистопией (вариант Б).
- Тип 5. Травмы пазух, которые сопровождаются потерей костной ткани.

КТ ППН. Геморрагическое содержимое (красная стрелка) в левой в/челюстной пазухе, перелом (синяя стрелка) латеральной ее стенки.
Симптомы травм ППН
Сочетанные повреждения околоносовых пазух почти всегда сопровождаются сотрясением головного мозга. Клинически это проявляется разлитой головной болью, звоном в ушах, головокружением, тошнотой, рвотой или потерей сознания, обильным носовым кровотечением. Последнее требует немедленного проведения передней или задней тампонады носа. Тяжелые открытые травмы характеризуются разрывом кожи, выстоянием из раны костных обломков и визуализацией полостей синусов, быстро заполняющихся кровью.
Изолированные закрытые переломы стенок фронтальной или гайморовой пазухи могут наблюдаться и без сопутствующего сотрясения. Их основными симптомами являются ноющая боль в месте удара, которая усиливается при касании, ярко выраженный местный отек, нарушение носового дыхания, подкожные кровоизлияния и скудные кровянистые выделения из носа.
Общее состояние пациента остается удовлетворительным. Через некоторое время отечность тканей уменьшается, визуализируются внешние дефекты - углубления на лице, отвечающие западению передней стенки лобной или верхнечелюстной пазухи. В первые 24 часа температура тела может повышаться до субфебрильных цифр, затем при отсутствии бактериальных осложнений - возвращаться к нормальным показателям.
Все возможные осложнения делятся на две группы: гнойные и негнойные. Наиболее распространена первая группа, а именно - гнойно-полипозные воспаления лобной и решетчатой пазухи. Довольно часто встречаются гаймориты и сфеноидиты. Реже развиваются гнойные пахименингиты, эпидуральные и субдуральные абсцессы, вызванные травмами фронтального синуса. Также может наблюдаться остеомиелит костей лицевого черепа и острые гнойные поражения кожи в области травмы - рожистое воспаление, фурункулы, подкожная эмпиема.
Основная причина всех этих осложнений - отсутствие современной антибактериальной терапии. К негнойным последствиям травм относятся стойкая назальная ликворея, клапанная пневмоцефалия и склонность к регулярным кровотечениям из носа.
Подобные травмы диагностируются без особых сложностей. В подавляющем большинстве случаев для постановки диагноза достаточно объективного осмотра, анамнестических сведений и результатов рентгенографии. При полном обследовании, необходимом для точного определения характера травмы и возможных осложнений, используется:
- Опрос пациента. Важнейшую роль играет определение условий и механизма получения травмы. Также уточняются первичные симптомы, наличие эпизодов потери сознания, характер носовых выделений.
- Физикальный осмотр. При внешнем осмотре травматолог или отоларинголог определяет выраженность местного отека, наличие открытых ран или костной деформации. Проведение пальпации, как правило, невозможно из-за сильного болевого синдрома. При наличии глубоких ран в зонах проекции пазух осуществляется их зондирование с целью изучения глубины раневого канала и структурной целостности других стенок полости синуса.
- Передняя риноскопия. Позволяет оценить выраженность отека слизистых оболочек носовой полости и общую деформацию носовых ходов, найти участки разрывов, источники кровотечения.
- Рутинные лабораторные анализы. На фоне травм в общем анализе крови может возникать незначительное повышение уровня лейкоцитов и увеличение СОЭ. Развитие инфекционных осложнений сопровождается высоким нейтрофильным лейкоцитозом и СОЭ выше 15-20 мм/ч. При открытых травмах и массивных кровопотерях определяются признаки постгеморрагической анемии - снижение уровня гемоглобина и эритроцитов.
- Рентгенография околоносовых пазух. Показана при всех вариантах травм придаточных синусов носа. Позволяет визуализировать нарушение структурной целостности костей, образование костных обломков, их размеры и характер смещения, формирование гематом, заполнение полостей пазух кровью, наличие инородных тел. При недостаточной информативности рентгенограммы или подозрении на повреждение внутримозговых структур используется КТ и МРТ.
- Компьютерная и магнитно-резонансная томография. Проведение КТ лицевого скелета позволяет детализировать обнаруженные изменения, выявить минимальные скопления крови в пазухах и маленькие костные фрагменты, идентифицировать эмфизему орбиты и пневмоцефалию. МРТ головного мозга с контрастным усилением используется для диагностики сопутствующих повреждений головного мозга и разрывов регионарных кровеносных сосудов, поиска рентгенонегативных костных обломков.

КТ придаточных пазух носа. Тотальное снижение пневматизации правой в/челюстной пазухи на фоне нарушения целостности и элевации ее дна (красная стрелка) вблизи корней 1-го моляра (синяя стрелка).
Лечение травм ППН
Основное лечение - хирургическое. Его суть заключается в устранении наружного дефекта, восстановлении функциональных возможностей синусов и проходимости носовой полости, профилактике внутричерепных осложнений. Все используемые мероприятия разделяются на следующие группы:
- Первая медицинская помощь. Оказывается пострадавшему непосредственно на месте происшествия, включает в себя остановку кровотечения путем наложения повязки на рану, тампонаду носа, приложение к области травмы пакетов со льдом, введение обезболивающих препаратов.
- Оперативное вмешательство. Хирургическая тактика варьируется в зависимости от характера повреждений и присутствующих неврологических нарушений. В ходе операций проводится удаление некротизированных тканей, репозиция костных отломков, восстановление нормальной формы полости пазух, установка дренажных систем и другие ситуативные мероприятия. При легких закрытых изолированных травмах допускается консервативное лечение путем пункционной аспирации крови из пораженной пазухи.
- Медикаментозное лечение. Заключается в системной антибиотикотерапии препаратами широкого спектра действия, местном использовании антисептических растворов, вазоконстрикторов, антигистаминных и гемостатических средств. Сильный болевой синдром купируется введением наркотических анальгетиков. При сопутствующем сотрясении головного мозга показана дегидратационная и седативная терапия.
Исход во многом зависит от степени тяжести травматических повреждений, своевременности и полноценности проведенного лечения, характера развившихся осложнений. При своевременно оказанной первой помощи, правильно проведенной операции и адекватной антибиотикотерапии прогноз благоприятный. Приблизительный срок потери трудоспособности - до 1 месяца с момента оперативного вмешательства. Профилактика включает предотвращение травматизации черепно-лицевой области, соблюдение техники безопасности на производстве, использование средств индивидуальной защиты при управлении транспортом и др.
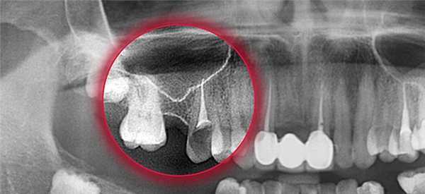
Перфорация гайморовой пазухи при удалении зуба
Удаление зубов в практике стоматолога происходит практически каждый день и относится к рутинным операциям. Однако при проведении удаления нередко бывают осложнения, при которых требуется дальнейшая терапия. Одним из таких осложнений признаётся перфорация гайморовой пазухи при удалении зуба.
Особенности строения

Строение имеет особенности, которые помогают её легко повредить:
- Иногда толщина пластинки кости между дном полости корнями зубов не превышает один миллиметр.
- Встречается вариант расположения корня второго и первого моляров, когда они проникают в полость и отграничены от неё только слизистой, которая выстилает пазухи.
- Костная пластинка быстро истончается при воспалительных процессах.
- Небольшая толщина трабекул кости верхней челюсти.
Такие особенности строения обусловливают лёгкое повреждение её стенки, даже когда врачом не нарушено никаких правил и не приложено значительной силы.
Что такое перфорация гайморовой пазухи
Образование дефекта гайморовой пазухи - это осложнение при проведении манипуляций на верхней челюсти. Образуется отверстие между полостью рта и основной пазухой. Это может произойти при удалении коренных зубов верхней челюсти (моляров и премоляров) или при протезировании. А также при сложном эндодонтическом лечении корня зуба и удалении кистозных образований. Дефект формируется в месте лунки зуба.

Как происходит перфорация
Механизм возникновения дефекта гайморовой полости при экстракции зуба заключается в том, что происходит перфорация тонкого костного слоя между верхушкой корня и верхнечелюстной пазухой. Слой костной ткани в этом месте может быть толщиной всего один миллиметр. Повредить его очень легко. Перфорации чаще бывают при удалении первого моляра, так как его корни нередко в силу особенностей строения вдаются в полость основной пазухи верхней челюсти.
Причины возникновения перфорации.
Далеко не всегда стоматолог виноват в возникновении этого осложнения. Оно нередко может появиться в силу индивидуальных анатомических особенностей пациента. А также оно может быть обусловлено течением воспалительного процесса в ткани, окружающей корень.
Причины возникновения перфорации могут быть следующими:
- Прободение гайморовой пазухи при удалении зуба возникает чаще всего. Дно её перфорируется при резком удалении зуба с приложением больших усилий.
- У части больных корни верхних зубов внедряются в полость пазухи. При удалении зубов автоматически происходит нарушение целостности костной пластинки. При лечении возможно попадание материала для пломбирования в полость.
- При технически сложном эндодонтическом лечении. При таком виде лечения воспалительный очаг находится глубоко в толще десны или под корнем зуба. Вместо удаления больного зуба, стоматолог пытается его сохранить. В процессе такого вида лечения легко повреждается костная пластинка.
- В процессе установки импланта в кость верхней челюсти с последующим протезированием зуба может быть легко повреждена гайморова полость. Это происходит потому, что имплант похож на шуруп и должен быть ввинчен в кость. При дефектах проведения этой манипуляции или анатомо-топографических особенностях у больного может быть повреждена костная пластинка верхней челюсти (неправильно подобран размер импланта, были дефекты подготовки к имплантированию). Врач не учитывает перед постановкой импланта то, что при удалении зуба толщина костной пластинки быстро уменьшается.
- Прободение может произойти при хроническом воспалении тканей окружающих зуб (периодонтит). При этой патологии костная пластинка расслаивается и становится тонкой. Если в такой ситуации приходится удалять зуб, перфорация возникает практически всегда.
- Проведение манипуляции по удалению ретинированного зуба из гайморовой полости.
- Часто бывает перфорация при проведении процедуры резекции корня зуба. Необходимость в этой манипуляции возникает при экстракции корня с нагноившейся кистой.
Симптомы перфорации пазухи верхней челюсти
Как проявляется перфорирование гайморовой пазухи. Существуют специфические симптомы, когда это происходит.

- Кровотечение из лунки зуба с включением пузырьков воздуха. При выдохе через нос численность пузырьков возрастёт.
- При перфорации, кровотечение бывает не только из зубной лунки. Оно может быть из носового хода, который близок к пазухе.
- Больной говорит «в нос» или гнусавит.
- Затем возникает ощущение свободного прохождения воздуха через зубную лунку.
- Больной иногда отмечает распирание и чувство тяжести в области средней трети лица со стороны поражения.
Если прободение не было распознано сразу, и лечение не проводилось, то к предыдущей клинике присоединяются симптомы гайморита.
- Повышается температура тела.
- Усиливается ощущение распирания в проекции гайморовой пазухи.
- Носовое дыхание затруднено.
- Слизистая носа на стороне поражения отёчна.
- Нарастает общая слабость.
- Ломящая боль в носовой области.
- Гнойное отделяемое из носового хода на той стороне, где была манипуляция.
Методы определения перфорации
Выявить эту патологию можно только на основании характерной клиники. Если есть сомнения, выполняется полный спектр диагностических манипуляций, включая инструментальные методы.

Чтобы диагностировать дефект костной пластинки, для последующего его устранения, необходимо при осмотре пациента выполнить манипуляции:
- Тщательно осмотреть зубную лунку, после того как удалили корень зуба.
- Выполнить зондирование её дна.
- Попросить пациента зажать нос и выдохнуть через нос. Воздух выйдет в рот через зубную лунку.
- Если пациент надувает щёки, воздух проходит в носовую полость. Но этот приём может спровоцировать воспаление пазухи, его нельзя часто применять.
Инструментальные методы диагностики включают:
- зондирование зубной и канала перфорации при помощи тонкого зонда;
- компьютерная томография;
- рентгенография, на снимках можно увидеть дефект и инородные тела;
- общий анализ крови.
Лечение перфорации пазухи при удалении зуба
Тактика ведения больного при перфорации зависит в первую очередь от состояния самой пазухи и времени выявления этого дефекта. Лечить этот дефект должен только квалифицированный специалист.
Лечение перфорации основной пазухи верхней челюсти имеет задачи:
- Закрытие дефекта.
- Предупредить процесс воспаления в пазухе.
- Назначить лечение, если есть воспаление.
- Если есть инородные частицы, то они должны быть извлечены.
Если перфорация была сразу же замечена и признаков инфицирования нет, то лечебные мероприятия следующие:
- Сохранение сгустка крови в зубной лунке.
- Провести мероприятия по предупреждению его инфицирования (наложение тампона с раствором йода).
- Наложить швы на десну, при необходимости.
- Лечение проводится, пока не вырастут грануляции и не будет закрыт дефект.
- Тампон из лунки не извлекают.
- Если дефект не закрывается самостоятельно, его закрывают пластиковой пластиной. Её фиксируют к зубам.
- Назначение курса лекарственной терапии, направленного на противодействие воспалению.
Если перфорация осложнена разрывом десны и пенетрацией инородных частиц в мягкие ткани, окружающие лунку зуба, выполняют пластическое закрытие дефекта в этот же день. Или через некоторое время, когда будет уверенность, что ткани будут держать швы. Перед этим удаляют все инородные тела и иссекают участки, подвергшиеся некрозу. Манипуляцию выполняют под рентген контролем, чтобы удостовериться, что там нет инородного тела. Если произошло проникновение в полость инородного тела, то необходимо делать операцию в условиях стационара.
- Вскрытие основной пазухи верхней челюсти.
- Удаление зуба из гайморовой пазухи (его обломков) и иных инородных тел.
- Иссечение некротических участков.
- Закрытие дефекта.
Последствия перфорации гайморовых пазух
Если не замечено наличие дефекта и больной, несмотря на симптомы, не обращается к врачу, это грозит наступлением серьёзных и опасных для здоровья последствий.

- Выраженная воспалительная реакция.
- Формирование остеомиелита.
- Генерализация инфекции.
- Развитие абсцесса и флегмоны.
- Выпадение здоровых зубов в зоне свища.
- Хронический синусит.
- Менингит.
- Энцефалит.
- Тромбоз кавернозного синуса.
Чтобы избежать формирования осложнений пациент при любом неблагополучии после удаления зуба должен посетить стоматолога.
Застарелая перфорация пазух
При несвоевременном обнаружении и ликвидации дефекта острое воспаление утихнет. В течение месяца у пациента образуется свищ. Он соединяет поверхность десны и полость пазухи. Присоединяются признаки хронического воспалительного процесса. Это будет являться тяжелым осложнением.
У больного есть жалобы:
- Наличие тупых болей в верхней части щеки, постоянного характера. Они иррадиируют в область глаза и височную область.
- Ощущение заложенности носа с одной стороны.
- Отделение гноя из носа и из свищевого отверстия на верхней челюсти.
- Припухлость средней трети лица на стороне поражения.
- Движение воздуха через дефект.
- Трудности при разговоре.
- Попадание жидкости изо рта в нос.
Терапия застарелых процессов сопряжена со значительными трудностями. Больным показано оперативное лечение в стационаре.
- Вскрытие основной пазухи верхней челюсти.
- Извлечение инородных тел.
- Иссечение некротических участков и грануляций.
- Иссечение тканей, формирующих свищ.
- Закрытие дефекта.
После проведённой операции в обязательном порядке назначается лекарственная терапия с применение антибиотиков, противовоспалительных и противоотёчных препаратов курсом две недели.
Преимущества лечения в нашей клинике
Подводя итоги можно понять, что получить дефект перегородки полости верхней челюсти очень легко. Это зависит как от действий стоматолога, так и от индивидуальных анатомических особенностей пациента.
Обращаясь за лечением в нашу клинику в Москве, вы можете быть уверены, что таких осложнений у вас гарантированно не будет. У нас проводят профилактику осложнений.
Для этого у нас назначают обязательный комплекс профилактических мероприятий по их предотвращению:
- Мы проводим полное обследование больных перед проведением всех стоматологических манипуляций.
- Выполняем исчерпывающую оценку анатомо-топографических особенностей пациента.
- Мы соблюдаем все этапы стоматологических манипуляций.
Вы останетесь довольны качеством стоматологических услуг, если обратитесь к нам в клинику. В нашей клинике есть самое современное оборудование на уровне стандартов лучших европейских и американских стоматологических клиник. Мы можем предложить вам полный спектр всех диагностических процедур в одном месте. Наши врачи прошли обучение в ведущих мировых центрах стоматологии и владеют новейшими методиками лечения и протезирования. Мы поможем даже в самых сложных случаях. Мы разрабатываем индивидуальный курс лечения с учетом всех особенностей больного. Мы используем только проверенные методики лечения и материалы самого высокого качества. Наша клиника сделала доступными самые высококачественные стоматологические услуги. С полным спектром наших возможностей по лечению и диагностике вы можете ознакомиться на нашем сайте.

Такой термин, как гайморова (верхнечелюстная) пазуха, у большинства людей связан с гайморитом. Человек имеет две такие пазухи, местом расположения которых является костная полость над верхней челюстью. Они вместительные и достигают в размерах до десяти сантиметров кубических. Нередко в процессе удаления зубной единицы происходит перфорация. Чаще причиной такого состояния является неопытность хирурга, а также особенность анатомии верхнего зубочелюстного аппарата. Чтобы не допустить развития серьезных последствий, необходимо своевременное лечение патологии.
Что это
Перфорация гайморовой пазухи — это осложнение, которое стоматолог может спровоцировать в процессе удаления жевательных зубных единиц, расположенных вверху. Это обуславливается особенностями анатомического строения, которыми затрагиваются корни зубов и дно пазух.
Обычно корни зубов верхней челюсти отделяются от дна пазух костной пластиной. В области расположения первых 2 коренных единиц пластина имеет толщину всего 0,2-1,2 миллиметра. В некоторых случаях отмечается вдавливание верхушек таких зубов в пазухи. Кроме того, может наблюдаться их выступ дальше пазухового дна.
Кость, которая служит барьером, отделяющим корни зубов от гайморовой пазухи, со временем при наличии периодонтита способна рассасываться. Это приводит к слиянию расположенной в очаге поражения ткани со слизистой этой кости.
В процессе удаления зуба происходит разрыв слизистой, через лунку образуется симбиоз с полостью рта.
В большинстве случаев перфорация гайморовой пазухи возникает в результате посещения стоматолога. Именно проведение стоматологических процедур по удалению зубных единиц провоцирует развитие такого патологического состояния. В этом случае говорят, что произошла перфорация дна верхнечелюстной пазухи.
Однако не всегда можно утверждать, что виноват именно специалист. Часто лечащий врач с особой аккуратностью проводит процедуру, однако прободение все равно не удается избежать.
Удаление верхних зубов
В это случае повреждение дна пазухи возможно при проведении быстрого и усиленного удаления зубной единицы с помощью стоматологических щипцов. Однако, не исключено, что такое явление связывают и с особенностями анатомического строения, что делает пазухи более уязвимыми.
Эндодонтическое лечение
Это сложная процедура, которая подразумевает проведение стоматологических манипуляций в десневых тканях, корне или зубе. То есть, при таком терапевтическом мероприятии необходимо глубокое проникновение в десневую ткань или зубную полость, что также может спровоцировать болезнь.
Лечение такого типа используется при крайне осложненных случаях, когда отмечается инфицирование зубной единицы или полное ее разрушение, однако возможность сохранить зуб все же есть.
Имплантация
Процедура подразумевает собой восстановление полностью утраченной единицы и ее корня посредством искусственного имплантата. Его вживляют в костную ткань с помощью специального механизма, для изготовления которого берется безопасный и прочный сплав.
Операция достаточно сложная и стоит не дешево. Основная цель ее заключается в том, чтобы произвести замену зубного корня специальным приспособлением, которое по форме напоминает шуруп. Если процедура вживления проходила с нарушением определенных правил, то возрастает вероятность повреждения костной пластины.
Периодонтит хронической формы
Данная патология представляет собой воспалительный процесс, который затрагивает ткани расположенные вокруг зубной единицы. Под воздействием данного патологического состояния происходит истончение и отслаивание костной пластины, которая служит разделителем между гайморовой пазухой и верхним коренным зубом.
В результате такого процесса зуб подвергается удалению. Даже если все манипуляции проводить очень аккуратно, то перфорацию все равно предотвратить не удастся.
Резекция корня
Это один из способов лечения периодонтита, подразумевающий удаление корневой верхушки с гнойным содержимым. При проведении таких процедур с верхними зубами редко, редко, когда удается избежать перфорации.
Прежде чем обращаться к тому или иному специалисту с целью удаления зуба, необходимо достаточно внимательно изучить все отзывы не только о клинике в целом, но и о враче.
Важно понимать, что гайморова пазуха не является изолированной. В ней постоянно происходит циркулирование воздуха. Поэтому, если есть данное патологическое состояние, то вытекающая кровь будет содержать воздушные пузырьки. Кроме того, часть кровяной массы будет проникать внутрь пазухи.
Для постановки правильного диагноза необходимо обратиться к высококвалифицированному специалисту, который по результатам анализов назначает наиболее эффективные терапевтические мероприятия.
Если человек имеет хоть какие-то сомнения относительно присутствия патологии, он должен сразу посетить хирурга-стоматолога или лор-врача.
Среди наиболее частых признаков, которые могут свидетельствовать о том, что имеется повреждение гайморовой пазухи, выделяют:
- Кровоточивость зубной лунки, которая образуется после проведения процедуры удаления зубной единицы. При этом в крови наблюдается большое количество пузырьков воздуха. Число их, как правило, увеличивается при глубоком вдохе пациента.
- Кровотечение из ноздри, расположенной ближе к месту повреждения. Как правило, при качественном удалении кровь вытекает только из лунки.
- Изменение голоса. Человек начинает гнусавить. Такое состояние не сразу замечается после проведения устранения зубной единицы, поскольку в полость рта помещают тампон, которые препятствует разговору.
- Ощущение прохождения воздушного потока через сформировавшуюся после устранения зуба лунку. При этом пациент отмечает давление в верхней челюсти.
Когда перфорация пазухи возникает при проведении процедуры имплантации, то наблюдается как бы проваливание хирургического инструмента глубже того расстояния, на котором он должен находиться. При возникновении такой ситуации грамотный специалист сразу определит, что костная мембрана подверглась прободению.
При несерьезных повреждениях, которые не были замечены ни специалистом, ни пациентом, начинают проявляться более опасные симптомы:
- сильный воспалительный процесс;
- формирование обширного гнойного содержимого;
- частые мигрени;
- постоянная болезненность в области верхней челюсти.
В момент начала воспаления у пациента возникают трудности с дыханием. На одной стороне носа наблюдается отечность. Кроме того, такой процесс сопровождается общей слабостью и повышением температуры тела.
При возникновении подобных симптомов необходимо поставить врача в известность о недавно вырванном зубе или установке имплантата.
Для диагностирования перфорации дна гайморовой пазухи в результате удаления зубной единицы в большинстве случаев бывает достаточно изучить типичную клиническую картину. Если же возникают сомнения, а также появились подозрения на осложнения при имплантации или проведении эндодонтии, то дополнительно назначаются инструментальные методы исследования.
К ним относятся:
- Рентгенография. Делают рентген пазуховой области. В случае появления перфорации на снимках будут видны затемненные участки - скопление в полости пазухи кровяного содержимого. Кроме того, можно также обнаружить частички корня зуба, материал, предназначенный для проведения пломбирования, или элементы импланта. Также рентген может проводиться с использованием контрастного вещества, которое вводят в полость через сформированный перфорационный свищ.
- Компьютерная томография. Благодаря данному методу диагностики можно выявить перфорацию и наличие инородного тела более точно.
- Зондирование. Лунку или перфоративный канал исследуют при помощи тонкого зонда. Такая процедура определяет присутствие или отсутствие костного дна. Инструмент будет легко и беспрепятственно проходит через мягкие ткани.
- Общий анализ крови. Назначают при возникновении подозрений на застарелую перфорацию. По его результатам можно установить присутствие в человеческом организме активного инфекционного очага.
Только после проведения всех необходимых обследований врач принимает решение о методах лечения патологии.
Терапевтические мероприятия
В большинстве случаев лечение перфорации не обходится без оперативного вмешательства. Избежать подобной операции можно, только если патология возникла в результате проведения манипуляций по удалению зуба и сразу была обнаружена специалистом.
При этом также своевременно были предприняты все необходимые меры по предотвращению дефекта. В таких ситуациях чаще всего перегородку ушивают или в отверстие помещают турунду, которую предварительно смачивают специальным составом, обладающим противовоспалительными свойствами.
Это позволяет предотвратить проникновение и распространение инфекции. Также при проведении таких процедур происходит более быстрое зарастание отверстия.
В течение нескольких недель больной регулярно наблюдается у специалиста, который через день проводит осмотр и меняет турунду.
Однако, не во всех случаях рану зашивают сразу. Иногда бывает достаточно того, что в ране нет инородного тела. После этого лечащий врач следит за тем чтобы она не начала кровоточить. Для предотвращения повторных кровотечений, рану тампонируют на семь дней, а на десну накладывают швы.
Если повреждение стенки гайморовой пазухи было достаточно давно, то избежать хирургического вмешательства невозможно. При проведении процедуры верхнечелюстную пазуху вскрывают и все отмершие ткани, и инородные тела удаляют.
После такого лечения врач назначает курс приема антибиотиков, который длится на протяжении двух недель. При этом также необходимо употреблять противовоспалительные и антигистаминные лекарственные средства.
Последствия
Если своевременно не принять меры по устранению перфорации гайморовой пазухи, а также при полном отсутствии терапевтических мероприятий, возрастает риск развития опасных осложнений. Среди часто встречающихся возможных последствий выделяют:
- Гайморит. Представляет собой разновидность синусита и сопровождается воспалительными процессами в пазухах носа с скоплением гнойного содержимого. Такое состояние часто наблюдается при распространении инфекции. Патология сопровождается головными болями, повышением температуры, выделениями из носа гнойного характера.
- Потеря неповрежденных зубных единиц. Воспаление тканей вокруг лунки распространяется также и на здоровые зубы, что приводит к сильным болезненным ощущениям, требующим дополнительного проведения терапевтических мероприятий.
- Остеомиелит. Данный патологический процесс сопровождается формированием гноя и отмирание костной ткани. Для болезни характерна также высокая температура, болезненность десневой ткани и зубов, отечность слизистой оболочки.
- Менингит. Является одним из наиболее опасных осложнений. В результате такого заболевания не исключен летальный исход больного. Развитию патологии способствует воспалительный процесс в пазухе, который распространяется в дальнейшем на ткани головного мозга.
Предотвратить перфорацию верхнечелюстной пазухи не так легко, поскольку не всегда все зависит от самого человека. Но если возникли подозрения на патологию, то лучше сразу обратиться к специалисту, который проведет все необходимые исследования и назначит грамотное лечение.
Читайте также:
