Повышенная стираемость зубов: причины, симптомы и лечение
Добавил пользователь Евгений Кузнецов Обновлено: 21.01.2026
Что такое гиперестезия (повышенная чувствительность зубов)? Причины возникновения, диагностику и методы лечения разберем в статье доктора Ахметсагирова Руслана Владимировича, стоматолога со стажем в 15 лет.
Над статьей доктора Ахметсагирова Руслана Владимировича работали литературный редактор Маргарита Тихонова , научный редактор Сергей Федосов и шеф-редактор Лада Родчанина

Определение болезни. Причины заболевания
Гиперестезия зубов — это повышенная чувствительность тканей зуба к различным раздражителям:
- химическим — реакция на сладкое или кислое (например, лимон);
- механическим — ответ на прикосновение зубной щетки, жёсткую пищу;
- температурным — реакция на горячие или холодные напитки.
В этом состоянии зубы реагируют на привычные предметы и действия сильнее, чем обычно.

Распространённость гиперчувствительности у взрослых в России достигает 40-74 % [1] [2] . Многих людей гиперестезия сопровождает всю жизнь, начиная с подросткового возраста. Чаще всего заболевание возникает в 20-30 лет, причём у женщин оно встречается чаще, чем у мужчин [15] .
Причины повышенной чувствительности зубов:
- Резкие движения зубной щёткой с чрезмерным надавливанием в неправильном направлении, которые повреждают дентин — твёрдую ткань зуба.
- Использование зубной щётки со слишком жёсткой щетиной и отбеливающей зубной пасты с сильно абразивными частицами.
- Частое употребление в пищу натуральных соков, газировок и других кислых продуктов, повреждающих дентин.
- Стоматологические заболевания, при которых отсутствует или повреждается часть эмали: клиновидный дефект и различные эрозии.
- Оголение корней зуба из-за неправильного прикуса, гингивита, пародонтита, пародонтоза, ортодонтического лечения зубов (например, установки и ношения брекетов), скопления зубного камня на зубах (особенно под десной), излишней нагрузки на зубы, заболеваний, связанных с нехваткой микроэлементов или гормональными нарушениями.
- Воздействие ионизирующей радиации (например, при работе на вредном производстве).
Гиперчувствительность также может возникнуть после снятия зубных отложений, гигиенической чистки или профессионального отбеливания. Это связано с временным повреждением дентина. Такая гиперестезия вскоре проходит.
В группу риска развития гиперчувствительности зубов входят люди с булимией, ксеростомией (сухостью во рту), а также те, кто часто употребляет продукты с повышенной кислотностью или жевательный табак [15] .
При обнаружении схожих симптомов проконсультируйтесь у врача. Не занимайтесь самолечением - это опасно для вашего здоровья!
Симптомы гиперестезии зубов
Главным показателем гиперестезии зубов является чрезмерная чувствительность. Обычно пациенты жалуются на острые кратковременные боли от действия температурных, химических и механических раздражителей (10-30 секунд). Им больно вдыхать прохладный воздух, есть горячую пищу, а также кислые, солёные и сладкие продукты. Эти ощущения возникают регулярно на одни и те же триггеры. Иногда боли временно затихают, т. е. наступает ремиссия, но при контакте с раздражителем они возникают снова.
Болезненные ощущения могут доставлять только незначительный дискомфорт. Но в некоторых случаях они бывают настолько сильными, что пациенту становится трудно чистить зубы или принимать пищу. Например, при обострённой реакции на горячее человеку с гиперестезией приходится питаться слегка нагретой едой. Интенсивность боли также зависит от индивидуальной переносимости человека и может сопровождаться яркой эмоциональной реакцией.
У людей с гиперчувствительностью зубов, как правило, наблюдается убыль твёрдой ткани в виде клиновидного дефекта. Чаще всего твёрдая ткань истончается на жевательной поверхности зуба либо у режущего края. Особенно часто она становится тоньше на внешней (вестибулярной) поверхности клыков, резцов и небольших коренных зубов.


Границы гиперчувствительности могут затрагивать как один, так и несколько зубов, расположенных рядом друг с другом. Чем больше зубов подвержены гиперчувствительности, тем более сильными и длительными будут симптомы [3] .
Патогенез гиперестезии зубов
Существует множество причин, которые способствуют появлению гиперестезии зубов. С развитием технологий и появлением высокотехнологичного оборудования учёным удалось установить общие закономерности патогенеза. Они связаны с обнажением дентина — основной твёрдой ткани зуба. Он обнажается не только на фоне кариеса и болезней пародонта (окружающих тканей зуба), но в результате некариозных поражений: гипоплазии (недоразвитии зубов), эрозии эмали, клиновидных дефектов и др.
На уровне коронки дентин покрыт эмалью, а на уровне корня зуба — тонким слоем цемента [15] . Он имеет очень тонкие канальцы. От их количества и диаметра зависит развитие гиперестезии: при гиперчувствительности эти показатели зачастую превышают норму.

Возникновение гиперестезии на фоне убыли дентина из-за истончения эмали, оголения коронки или корней зуба, разрушения эмали или цемента будет сопровождаться высокой проницаемостью дентина или появлением новых дентинных канальцев. Это приводит к раздражению одонтобластов — клеток, которые образуют дентин и улавливают наружные раздражители (еду, прохладный воздух и др.).
С расширением дентинных канальцев, как и при появлении новых, увеличивается скорость течения жидкости, находящейся в канальцах. Это изменение раздражает на одонтобласты, вследствие чего появляется болевая реакция.

Дентинная жидкость также проникает в микропоры эмали, которые соединены с дентинными канальцами. Поэтому при высушивании, истончении и увеличении пористости эмали также повышается восприимчивость отростков одонтобластов, что приводит к появлению болевого синдрома.
Согласно исследованиям, центральную роль в патогенезе некариозных поражений зубов у женщин играют системные гормонально-метаболические нарушения, и в первую очередь — снижение уровня эстрадиола в крови [4] . Также у женщин с некариозными поражениями зубов наблюдается низкий уровень ионизированного кальция и магния в крови, повышение биохимических маркёров костной резорбции (разрушения). Это приводит к нарушению минеральной плотности костной ткани [5] . Невысокий уровень эстрогенов в крови считается ведущей патогенетической предпосылкой появления эрозий, клиновидных дефектов и патологической стираемости зубов. Эти некариозные поражения являются маркёрами появления таких болезней, как остеопения и остеопороз, а гиперестезия зубов сигнализирует об усиливающейся дисфункции.
Классификация и стадии развития гиперестезии зубов
По распространённости гиперестезия бывает двух типов:
- Ограниченная гиперчувствительность — затрагивает один или несколько зубов. Обычно связана с единичными кариозными поражениями, клиновидными дефектами и др.
- Генерализованная гиперчувствительность — затрагивает большое количество зубов либо все зубы. Связана с оголением шеек и корней зубов из-за заболеваний пародонта, патологической стёртостью зубов, множественным кариесом, распространённой прогрессирующей формой эрозии зубов.
По происхождению гиперестезию также подразделяют на две большие группы:
- Гиперестезия дентина на фоне утраты либо дефекта твёрдых тканей зуба. Связана с кариесом, препарированием зуба, клиновидными дефектами, патологической стираемостью и эрозией.
- Гиперестезия дентина, не связанная с убылью жёстких тканей зуба. Возникает в связи с оголением шеек и корней зубов при пародонтозе и пародонтите, реакцией зубов на фоне нервно-психологических или эндокринных болезней.
По клинической картине выделяют три степени тяжести гиперестезии:
- Первая степень — зуб болезненно реагирует на температурный раздражитель (холод, тепло). Порог электровозбудимости дентина при электроодонгометрии (измерении чувствительности) достигает 5-8 мкА.
- Вторая степень — зуб болезненно реагирует на температурные и химические триггеры (солёное, сладкое, кислое, горьковатое). Порог электровозбудимости дентина достигает 3-5 мкА.
- Третья степень — зуб болезненно реагирует на все виды раздражителей, включая тактильный (при прикосновении зубной щётки и др.). Порог электровозбудимости дентина достигает 1,5-3,5 мкА [6] .
Осложнения гиперестезии зубов
Все осложнения гиперестезии связаны с болезненной реакцией зубов. П ри несвоевременном или неполном лечении гиперчувствительности боль может повлиять на психоэмоциональное состояние больного и привести к возникновению или прогрессированию нервно-психических, эндокринных и желудочно-кишечных заболеваний.
Воздействуя на центральную нервную систему, гиперестезия может активизировать такие нервные расстройства, как чрезмерная раздражительность и стресс. Чувствительность зубов к воздуху вынуждает человека сводить общение к минимуму. Это приводит к нарушению коммуникации, снижению социальной активности и не даёт профессионально развиваться.
Болезненная реакция зубов на раздражители не позволяет полноценно питаться. Это может поспособствовать развитию заболеваний желудочно-кишечного тракта ( гастрита , язвы , холецистита ) либо привести к нехватке питательных веществ в организме.
Одной из самых нешуточных болезней, к которой может привести гиперестезия, считается пульпит — воспаление нерва внутри зуба [7] . Это связано с систематическим раздражением отдалённых нервных волокон и нехваткой компенсаторных сил организма. Пульпит может развиваться в среднем от полугода до года при сильной чувствительности зуба. Однако это осложнение возникает не так часто.

Также важно учитывать, что гиперестезия не только появляется на фоне клиновидных дефектов, но и является их предвестником. Поэтому при гиперчувствительности с виду здорового зуба необходимо обязательно обратиться к стоматологу, чтобы предупредить развитие патологии [5] .
Диагностика гиперестезии зубов
В ходе осмотра гиперчувствительного зуба нередко выявляют изменения твёрдых тканей зуба либо состояния его пародонта. Иногда наблюдается незначительное оголение шейки или корня зуба. Оголённый дентин тонкий, ровный, блестящий, немного пигментированный.
Также в рамках осмотра проводят два теста: холодовой и тактильный. При холодовом тесте близко к чувствительному зубу подаётся струя воздуха температурой 20°C. При тактильном тесте осуществляется зондирование проблемного участка. В обоих случаях на гиперестезию будут указывать неприятные ощущения, которые быстро проходят.

Помимо осмотра проводится электроодонтометрия (ЭОМ) — измерение порогового возбуждения рецепторов пульпы и дентина во время пропускания через них электрического тока. Перед проведением ЭОМ зубы высушиваются и изолируются от слюны. "Пассивный" электрод фиксируется на губе пациента. "Активный" электрод, смоченный токопроводящим препаратом, прикладывают к зубу в определённых местах. В это время подаётся ток. Он увеличивается до тех пор, пока у пациента не возникнет первая болевая реакция. Эту процедуру повторяют несколько раз, чтобы проверить полученные результаты. В зависимости от значений тока можно с уверенностью предположить тот или иной диагноз, например, пульпит, периодонтит или кариес.

Во время диагностики важно отличить гиперестезию дентина от острого пульпита. При этом важно обратить внимание на продолжительность болезненных ощущений (при пульпите боль длительная и возникает в основном ночью), а также на состояние пульпы (при пульпите зуб откликается на токи выше 20 мкА, а при гиперестезии — 2-6 мкА) [8] .
Лечение гиперестезии зубов
Лечение гиперестезии направлено на то, чтобы снизить скорость течения жидкости в дентинных канальцах. Этого можно достигнуть следующими способами:
- закупоркой микропор эмали с помощью десенситайзеров — препаратов, снижающих чувствительность зубов;
- уменьшением размеров микропор с помощью минерализующих средств, например, гелей с высоким содержанием фтора и кальция. К ним относятся гели R.O.C.S. Medical Minerals, GC Tooth Mousse;
- закрытием или сужением дентинных канальцев с помощью лазера [14] ;
- препарированием и пломбировкой зуба при кариозных поражениях;
- операцией на десне при её опущении в результате пародонтоза;
- исправлением прикуса.

В 1935 г. стоматолог L. Grossman выделил основные свойства идеального средства для борьбы с гиперестезией [12] . По его мнению, оно должно быстро и действовать, долгое время быть эффективным, не раздражать пульпу, не провоцировать боль и не изменять цвет зубов. Таких препаратов сейчас довольно много. Десенсибилизирующие средства (снижающие чувствительность зубов) выпускают в форме геля, зубной пасты, ополаскивателя, лака и др. Чаще всего используют зубные пасты.
При гиперестезии лёгкой степени, как правило, достаточно аппликаций различных растворов.
Стронция хлорид используется в форме 25 % водного раствора и 75 % пасты. При втирании пасты появляются устойчивые соединения стронция с твёрдой тканью зуба. Это средство является хорошей профилактикой гиперестезии после препарирования зубов и снятия зубных отложений.
Для устранения гиперестезии также используют 30 % водный раствор цинка хлорида. После него проводят аппликацию с 10 % раствором калия ферроцианида. Он запечатывает канальцы образующимся осадком. Длительность аппликаций — одна минута. Также показано использование пасты, в состав которой входят щёлочи: натрия гидрокарбонат, карбонат натрия, калия, магния. Она притягивает к себе дентинную жидкость, которая содержится в микропорах эмали, и снижает чувствительность зубов.
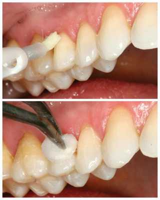
Современным средством лечения гиперестезии является бифлюорид-12 — специальный бесцветный лак, содержащий фтор, и флюокаль — стоматологический гель с содержанием натрия фторида. Они аккуратненько наносится на зубы кисточкой либо поролоновым тампоном. Оба средства создают покрытие, которое насыщает эмаль и дентин ионами фтора, что приводит к снижению чувствительности. Флюокаль также может использоваться в форме раствора для аппликаций. Обычно курс лечения такими аппликациями включает всего 2-3 процедуры. Лак, как правило, используется как вспомогательный метод, усиливающий действие основного препарата [15] .

Устранение гиперестезии с помощью лазера, как показали исследования, является предпочтительным методом лечения. Оно направлено на сужение канальцев дентина с помощью объединения белков дентинной жидкости, частичного подплавления твёрдых тканей и расслабления внутренних нервных рецепторов. Побочных эффектов у лазеротерапии нет [15] .

Лечение генерализованной гиперестезии направлено на устранение причины заболевания, поэтому оно не только снимает симптомы, но и влияет на ход развития болезни. Лечение должно быть комплексным. Помимо терапии основной причины гиперестезии, необходимо восстановить минеральный состав эмали и дентина, нормализовать содержание фосфора и кальция в организме. Для этого назначают глицерофосфат кальция, кламин или фитолон, а также поливитаминные препараты. Приём фосфорно-кальциевых средств на протяжении всего курса лечения обеспечивает хороший прогноз. В противном случае восстановление нормальной чувствительности будет длительным.
Чтобы устранить боль в начале лечения помимо использования зубной пасты с фосфатом требуется электрофорез 2,5 % раствором глицерофосфата кальция. Курс такой физиотерапии составляет 10 сеансов. При гиперестезии на фоне нарушения неврологического статуса показано использование гальванического воротника по Щербаку (также не менее 10 сеансов).
Как показали исследования, эффект комплексного лечения гиперестезии наступает быстро и сохраняется довольно долго. Содержание фосфата и кальция в тканях зуба увеличивается, уровень кальция и фосфата в крови нормализуется.
Во время лечения гиперестезии любой степени необходимо:
- подобрать средства индивидуальной гигиены;
- контролировать вредные привычки (не кусать ногти, карандаши);
- скорректировать рацион (исключить газировку, липкие сладости, чаще употреблять овощи, фрукты и молочные продукты);
- надевать на ночь каппу (при бруксизме) [14] .
Прогноз. Профилактика
В большинстве случаев прогноз гиперестезии благоприятный. Своевременное качественное лечение снижает или нормализует чувствительность зубов.
Гиперестезия зубов
Гиперестезия зубов - обостренная чувствительность тканей зубов к механическим, химическим, температурным раздражителям. Проявляется резкими, интенсивными болями в момент действия раздражителя и быстро проходящими после прекращения его действия, чувством оскомины. Может развиваться при употреблении в пищу кислого, сладкого, соленого, холодного или горячего, при чистке зубов, что вызывает чувство дискомфорта. Гиперестезия зубов может быть обусловлена их механическим повреждением, эрозиями и истончением эмали. Лечение зависит от причины гиперестезии. Оно включает полную санацию ротовой полости, проведение глубокого фторирования, применение препаратов с солями калия и специальный уход за полостью рта.

Общие сведения
Гиперестезией зубов называют их повышенную чувствительность, которая характеризуется внезапным появлением болей ноющего или острого характера. Боли возникают без явных на то причин и так же внезапно проходят. Гиперестезии не обусловлены никакими стоматологическими заболеваниями, и они не являются осложнением кариеса. Температурные, химические и механические раздражители провоцируют гиперестезии зубов.
Причины гиперестезий зубов
Около половины взрослого населения обращаются за медицинской помощью с жалобами на повышенную чувствительность зубов. В большей степени это люди в возрасте от 30 до 60 лет. Женщины чаще подвержены гиперестезиям зубов, тогда как дети и люди старческого возраста практически не страдают. Это обусловлено тем, что в молодом возрасте дентин имеет мало повреждений, а в старческом он склеротичен, поэтому болевые реакции менее выражены.

Гиперестезии зубов наблюдаются при патологиях некариозного характера. Это истирание зубов или их патологическая стираемость, эрозии и клиновидные дефекты, сопровождающиеся убылью эмали и обнажением дентина.
Начальный кариес с локализацией в пришеечной области вызывает деминерализацию зубной эмали из-за повышения ее проницаемости под воздействием кислот. Это приводит к появлению гиперестезий зубов.
Непрофессиональное лечение кариеса и несоблюдение техники пломбирования и протравливания зубов часто осложняется появлением гиперестезий зубов. Травматические повреждения в виде расколов, сколов, трещин и обломов части коронки зуба ведут к повышению чувствительности из-за нарушения целостности зубной эмали.
Отбеливание зубов, особенно непрофессиональное, ведет к выходу из эмали макро- и микроэлементов, что повышает проницаемость зубной эмали и ведет к гиперчувствительности зубов в ответ на незначительные раздражители. При этом частые отбеливания, врожденная слабость зубной эмали и наличие нелеченных кариозных патологий усиливают болезненные ощущения. То есть, у лиц с большим количеством кариозных поражений, риск появления гиперестезии зубов выше.
Заболевания пародонта воспалительного и дистрофического характера, ведут к рецессии десны и к обнажению шеечной зоны зуба, это усиливает чувствительность зубов. Рецессию десны вызывают заболевания пародонта, и механические травмы, короткие уздечки верхней и нижней губ, языка и некачественно изготовленные зубные протезы и коронки. Использование жестких зубных щеток и агрессивная чистка зубов, неправильное использование зубных нитей, пренебрежение изоляцией десны во время отбеливания травмируют десну и приводят к ее рецессии с последующим возникновением гиперестезий зубов.
Гиперестезии зубов возникают и в результате травматичного проведения профессиональной чистки зубов, когда зубная эмаль повреждается инструментами или же прибегают к излишнему полированию области шейки и корня зуба. Кроме болевой реакции из-за местных раздражителей, гиперестезии зубов могут быть связаны с патологическими состояниями организма. Такие гиперестезии зубов называют системными или функциональными, к ним приводят психоневрозы, эндокринопатии, заболевания желудочно-кишечного тракта, нарушения обмена веществ и возрастные гормональные изменения.
Клинические проявления гиперестезий зубов
Гиперчувствительность зубов появляется при употреблении сладкого, кислого, соленого и острого. Холодная и горячая пища, воздух и прикосновения у пациентов с гиперестезиями также вызывают болезненные ощущения. При этом характер болей может быть незначительным и проявляться лишь дискомфортом, так и интенсивным со значительным болевым синдромом.
При незначительной интенсивности гиперестезий, зубы реагируют лишь на температурные раздражители. При средних проявлениях ткани зуба чувствительны как к переменам температур, так и к химическим раздражителям. Глубокие поражения зубной эмали проявляются интенсивностью гиперчувствительности зубов, зубы остро реагируют на все типы раздражителей, в том числе и на тактильные.
Во время появления болей отмечается повышенное слюноотделение, разговор и принятие пищи сопровождаются болезненностью, пациенты принимают вынужденное положение, при котором щеки минимально соприкасаются с зубами. Из-за этого лицо выглядит одутловатым.
Гигиена полости рта становится затрудненной, а в некоторых случаях невозможной. Это приводит к появлению зубного налета, что провоцирует множественный кариес, воспалительные и деструктивные изменения тканей пародонта. Эти факторы лишь усиливают проявления гиперестезий, в дальнейшем присоединяется рецессия или гиперплазия десен, которые еще более усиливают симптоматику. Таким образом, отсутствие лечения на начальном этапе гиперестезии зубов, приводит к постепенному прогрессированию и к присоединению других заболеваний полости рта.
Диагностика и лечение гиперестезий зубов
Диагностику проводят во время визуального и инструментального осмотров стоматолога. При этом выявляются трещины эмали, ее сколы и другие изменения. В результате осмотра выясняется степень чувствительности зубной эмали к различным раздражителям. В зависимости от степени выраженности гиперестезий, назначается схема лечения. Если гиперестезии появились в результате повреждений зубов, то их коррекция приводит и к исчезновению неприятных симптомов. Обязательно проводят профессиональную гигиену полости рта и лечение всех кариозных очагов.
Одна из методик устранения гиперестезии зубов заключается в воздействии на механизм развития. Перекрывая дентинные канальцы, добиваются прекращения тока зубной жидкости и восстановления давления внутри канальцев. Для этого применяют препараты, уплотняющие и перестраивающие структуру дентина. Они образуют соединения, закупоривающие дентинные канальцы. Также при таком методе лечения происходит связывание активного вещества с белками твердых тканей, которые оседая в канальцах, укрепляют их. Препараты для проведения такой методики содержат цитраты и ионы кальция, фтора и магния.
Эта методика применяется в виде наложения фторсодержащих препаратов (лаков и гелей) на зубную эмаль. Применение лечебных фторидосодержащих зубных паст, оказывает ежедневное воздействие, за счет чего достигается глубокое фторирование зубов. Фториды физически блокируют канальцы дентина, а ионы фтора вступают во взаимодействие с ионами кальция и заполняют дентинные канальцы нерастворимым соединением фторида кальция. Постепенно преципитаты скапливаются в канальцах и уменьшают их просвет. Скорость тока жидкости в дентинном канальце снижается и в результате ответная реакция на внешние раздражители становится менее выраженной.
Если же препарат содержит соли стронция, в частности соли соляной кислоты, то обтурация канальцев происходит за счет оседания комплекса солей с белковой матрицей дентина. Помимо этого, симптоматика гиперестезии зубов снижается из-за стимуляции образования заместительного дентина. Препараты, содержащие стронций, вызывают перестройку и уплотнение дентина, замещая кристаллы эмали на кристаллы кальциево-стронциево-гидроксиаппатитных соединений. Соединения кальция и стронция способны плотно закупоривать входные отверстия дентинных канальцев, за счет чего и уменьшается болезненность при гиперестезиях зубов.
Вторым направлением терапии гиперестезий зубов является снижение возбудимости нервных окончаний в дентинных канальцах. Для этого применяют соли калия, в результате происходит диффузия ионов калия в канальцы. При их кумуляции в нужном количестве они окружают сенсорные нервные окончания, создавая защитную оболочку и блокируя передачу нервных импульсов.
Уход за полостью рта при гиперестезии зубов
Существуют специальные средства ухода за полостью рта, которые при регулярном применении помогают пациентам устранить неприятные ощущения и не допустить развития гиперестезий с ярко-выраженным болевым синдромом. Это зубные пасты, длительность их использования определяется субъективными ощущениями пациента. При отсутствии болей можно переходить на обычные гигиенические пасты. Состав лечебных паст различен, поэтому следует периодически менять их, дабы повысить их эффективность.
Пасты должны содержать нитраты или хлориды калия, фторидовые соединения натрия, хлориды стронция, соединения кальция и цитраты. В зависимости от производителя состав паст и процентная концентрация активных веществ может быть различной. Но используя различные пасты, достигается эффект от воздействия по все направлениям. Поэтому периодическая замена паст более эффективна, чем длительное использование одной пасты.
В остальное время необходимо использовать зубные пасты с низким уровнем абразивности, либо гелевые зубные пасты. Зубные щетки должны быть мягкими или очень мягкими в зависимости от выраженности болевого синдрома. Важно выбирать зубные щетки, у которых кончики щетинок закруглены или сглажены, а форма подстрижки ровная. Целесообразно использование эликсиров для ополаскивания чувствительных зубов.
Соблюдая правильную технику чистки зубов и поддерживая гигиену полости рта можно уменьшить проявления гиперестезий. Рекомендуется использовать небольшое количество зубной пасты и проводить чистку зубов без лишних усилий не более рекомендованного стоматологом времени. После приема кислых, сладких блюд нужно хорошо прополаскивать полость рта.
Использование дополнительных предметов ухода, таких как зубная нить или зубочистка, не должно травмировать десневые сосочки.
Заболевания твердых тканей зуба
Заболевания твердых тканей зуба - патологический процесс, сопровождающийся деминерализацией и разрушением эмали, дентина, цемента. При кариесе пациенты жалуются на гиперестезию. В отличие от пульпита, самопроизвольной боли нет, повышенная чувствительность проходит сразу после устранения причинного фактора. При некариозных поражениях развивается локальная или диффузная деструкция тканей. С целью диагностики заболеваний твердых тканей зуба проводят сбор жалоб, физикальный осмотр, рентгенографию, ЭОД. Лечение заболеваний твердых тканей зуба направлено на реминерализацию эмали и дентина, восстановление анатомической формы и утраченных функций зубов.

Заболевания твердых тканей зуба - нарушение структуры эмали, дентина, цемента кариозного или некариозного происхождения. На сегодняшний день распространенность кариеса достигает высоких цифр. По данным статистики, у 90% людей во время профилактического осмотра выявляют скрытые кариозные полости. Чаще поражения обнаруживают на зубах верхней челюсти (за исключением моляров). В большинстве случаев встречается фиссуральный и апроксимальный кариес, реже - пришеечный, циркулярный. Крайне редко диагностируют кариозные поражения вестибулярной или оральной поверхности. Среди всех заболеваний твердых тканей зуба в детском возрасте выявляют преимущественно кариес и такие врожденные некариозные патологии, как гипоплазия, флюороз, наследственные аномалии развития. Если у молодых людей частота диагностирования клиновидных дефектов и гиперестезии зубов составляет не больше 5%, то с возрастом наблюдается явный прирост приобретенных некариозных заболеваний твердых тканей зуба, к 60 годам повышенную стираемость и клиновидные дефекты обнаруживают у каждого второго пациента.
Причины и классификация
Кариозные заболевания твердых тканей зуба возникают при неудовлетворительном уровне гигиены. Налет, скапливающийся в пришеечной области и в интерпроксимальных промежутках, содержит большое количество микроорганизмов, под воздействием которых происходит вымывание минеральных веществ из эмали и дентина с последующим расплавлением органического матрикса. Весомая роль в развитии кариозных заболеваний твердых тканей зуба отводится качественному и количественному составу слюны. При гипосаливации нарушаются процессы естественного очищения зубов, вследствие чего вероятность кариозного процесса существенно возрастает. К общим предрасполагающим факторам, способствующим возникновению кариозных заболеваний твердых тканей зуба, относят неправильное питание (чрезмерное употребление рафинированных углеводов), дефицит микро- и макроэлементов, патологии эндокринной системы, проживание в местности с низким уровнем фтора в питьевой воде.
Врожденные некариозные заболевания твердых тканей зуба проявляются при нарушении фолликулярного развития. Перенесенные беременной женщиной инфекционные заболевания, болезни органов ЖКТ - все это может привести к прорезыванию у ребенка зубов с признаками гипоплазии. Флюорозные поражения бывают не только врожденными, но и приобретенными. Возникают при поступлении в организм повышенного количества ионов фтора. Наследственные заболевания твердых тканей зуба развиваются в результате изменения структуры генов, кодирующих формирование эмали и дентина. Выполнение горизонтальных движений во время чистки может привести к появлению клиновидных дефектов. Эрозия и некроз эмали появляются при гиперфункции щитовидной железы. Кислотный некроз также может становиться следствием нейрогенных заболеваний, интоксикации организма. Артикуляционная перегрузка отдельной группы зубов при дефектах зубного ряда приводит к повышенному стиранию режущих краев. Признаки патологической стираемости нередко обнаруживают при сниженном содержании в крови паратгормона.
Всего различают две группы заболеваний твердых тканей зуба:
1. Кариозные поражения. Основная причина - воздействие на ткани зуба кислотообразующих и протеолитических микроорганизмов.
2. Некариозные дефекты. К этой категории относят врожденные и приобретенные поражения, развивающиеся на фоне общесоматической патологии, вследствие профессиональных вредностей, при окклюзионной перегрузке зубов.
Симптомы заболеваний твердых тканей зуба
На начальной стадии заболеваний твердых тканей зуба кариозного происхождения выявляют участок деминерализации эмали в виде матового или пигментированного пятна. При зондировании в участке поражения эмаль гладкая. Жалобы отсутствуют. Только после окрашивания зоны деминерализации пациенты указывают на появление точечной пигментации, которую невозможно удалить с помощью обычной чистки. Дефект эмали формируется при поверхностном кариесе. Поражение в пределах плащевого и припульпарного дентина выявляют при среднем и глубоком кариесе соответственно. При глубокой кариозной полости высоки риски перфорации пульповой камеры и развития пульпита. Дефект, заполненный детритом, с подрытыми мягкими стенками и дном свидетельствует об остром течении кариозных заболеваний твердых тканей зуба. В этом случае пациенты жалуются на кратковременную чувствительность при употреблении сладких продуктов, холодных напитков. После устранения провоцирующего фактора болезненность исчезает. Пигментированные плотные стенки кариозной полости обнаруживают при хронизации заболеваний твердых тканей зуба, жалобы на гиперестезию возникают редко.
При гипоплазии - врожденном заболевании твердых тканей зуба - со щечной стороны фронтальной группы зубов и на буграх моляров появляются пятна белого или желтого цвета. В ходе осмотра эмаль гладкая. При флюорозе на поверхности зубов возникают светло-желтые или коричневые точки, штрихи, пятна. Также флюорозные поражения могут сопровождаться деструкцией эмали. При наследственных заболеваниях твердых тканей зуба происходит раннее прогрессирующее разрушение эмали и дентина. Клиновидный дефект представляет собой участок в пришеечной зоне клиновидной формы с основанием, обращенным к десне. Эмаль плотная, блестящая. При эрозии - приобретенном некариозном заболевании твердых тканей зуба - на щечных поверхностях резцов образуются дефекты овальной формы. Характерным признаком кислотного некроза являются темные пятна, в центральной части которых во время зондирования удается выявить размягченные ткани.
Диагностика заболеваний твердых тканей зуба
Диагностика заболеваний твердых тканей зуба сводится к анализу жалоб, данных, полученных в ходе физикального осмотра, результатов дополнительных методов исследования. При кариозном поражении эмаль шероховатая, определяется утрата блеска. У пациентов со средним кариесом при зондировании дна полости болезненности не возникает. Препарирование эмалево-дентинной границы болезненное. При глубоком кариозном поражении наблюдается равномерная болезненность по всему дну. При нанесении метиленового синего деминерализированная зона окрашивается. При неосложненных кариозных заболеваниях твердых тканей зуба на рентгенограмме периапикальные изменения отсутствуют. Значения ЭОД в пределах от 2-12 мкА, что подтверждает витальность пульпы.
При некариозных заболеваниях твердых тканей зуба эмаль гладкая, плотная, утраты блеска не наблюдается. При нанесении метиленового синего некариозные поражения не окрашиваются. ЭОД в пределах нормы, снижение показателей возможно при наследственных патологиях, приобретенном дисколорите. У пациентов с некариозными заболеваниями твердых тканей зуба (за исключением несовершенного дентиногенеза) патологические периапикальные изменения отсутствуют. Кариозные заболевания твердых тканей зуба дифференцируют с пульпитом, периодонтитом, а также с некариозными поражениями. Пациента обследует стоматолог-терапевт.
Лечение заболеваний твердых тканей зуба
На начальной стадии заболеваний твердых тканей зуба кариозного происхождения показана реминерализирующая терапия. Если участки поражения меловидного цвета, после нанесения аппликаций кальций- и фторсодержащих препаратов возможна регрессия патологического процесса. Пигментированные пятна подлежат сошлифовыванию с последующем восстановлением зуба стеклоиономерными или композитными материалами. При среднем и глубоком кариесе проводят препарирование полости. Для удаления некротически измененных размягченных тканей врач-стоматолог использует экскаватор или микромотор. С целью антисептической обработки в стоматологии применяют растворы на основании хлоргексидина биглюконата. При глубоком кариозном поражении на дно отпрепарированной полости ставят лечебную и изолирующую прокладки. Коронковую часть зуба восстанавливают с помощью светоотверждаемых композиционных материалов.
Реминерализирующая терапия показана также пациентам с некариозными заболеваниями твердых тканей зуба. Флюорозные пятна сошлифовывают, после чего проводят прямой или непрямой виниринг. Внутрь назначают кальцийсодержащие препараты. Основным методом лечения наследственных заболеваний является протезирование. Выбор мероприятий, направленных на устранение клиновидных дефектов, зависит от симптоматики. При отсутствии жалоб дефект не устраняют. В случае гиперестезии целостность пришеечного участка восстанавливают путем реставрирования. Прогноз при заболеваниях твердых тканей зуба благоприятный. При своевременном обращении пациентов в клинику, квалифицированном лечении удается устранить гиперестезию, эстетический дефект, предотвратить развитие осложнений.
Стираемость зубов
Некариозное разрушение зубов называется патологическим , если заметна интенсивная убыль эмали и твердой ткани зубов.
Стираемость зубов встречается почти у десяти процентов людей.

Физиологическая стираемость зубов с возрастом начинается почти у всех пожилых людей. Патологическая стираемость зубов отличается ранним выраженным разрушением твердых тканей всех зубов одновременно.
Сначала начинается обнажение дентина, более мягкой ткани зубов. Дентин обнажается, его стирание продолжается еще более ускоренными темпами. Повышенная стираемость зубов приводит к образованию острых краев эмали на зубах. Острые края царапают и травмируют губы, щеки, язык.
Повышенная стираемость зубов приводит к уменьшению высоты коронковой части зуба, это уменьшает размер нижней части лица. Происходят патологические изменения в височно-челюстном суставе нижней челюсти, он начинает болеть. При этом ухудшается слух . Еще в первой стадии потери твердых тканей зубы становятся чувствительными к изменениям температуры, химическим и механическим раздражителям.
Стираемость зубов бывает:
- вертикальной;
- смешанной;
- горизонтальной;
- генерализованной;
- компенсированной.
Стираемость зубов: причины и что делать
Причинами такой потери твердых тканей может быть аномалия прикуса, профессиональные вредные раздражители, разные этиологические факторы. Бывают такие патологии как флюороз и гипоплазия.

Иногда стираются зубы при отсутствии соседних, неправильном протезировании. Часто повышенная стираемость зубов у работающих с неорганическими кислотами.
Лечение стираемости зубов, их восстановление зависят от того, какие причины привели к этому явлению. По результатам обследования проводится либо реставрация зубов либо установка коронок при этом врач пришлифовывая форму зубов, постепенно добиваясь полного окклюзионного равновесия. Это такое равновесие, которое приводит к равномерной нагрузке на все зубы, устраняет болевой синдром и нормализует функционирование челюстей.
Стоимость восстановления зубов
Что делать, если стираются зубы? Обратитесь в стоматологическую клинику «Дент Сервис», Ясенево. Врачи-стоматологи помогут решить проблему и восстановить красивую улыбку.
Бруксизм у взрослого: причины, симптомы и лечение ночного скрежета зубами во сне

Причин для начала лечения бруксизма у взрослого человека может быть очень много. Кажется, что непроизвольное скрежетание зубами во время сна — это вовсе не патология, а обыкновенная физиологическая особенность организма. Большего заблуждения представить нельзя — бессознательные спазмы жевательных мышц приводят к невероятно серьезным проблемам. Утрата анатомической формы клыков, резцов и моляров, появление трещин, откалывание кусков коронок — вот основные последствия диагноза.
Причины возникновения бруксизма
Недуг может развиваться под воздействием самых разных факторов. Центральными источниками подобных патологий становятся:
- нарушения, связанные с неврологией — постоянный сильный стресс, регулярные переживания, отсутствие нормального режима сна и питания, недостаток физических нагрузок;
- расстройства в области желудочно-кишечного тракта — гастрит, колит, холецистит, хроническая язва, панкреатит, воспаление желчного пузыря;
- болезни паразитарного типа — глистные инвазии, токсоплазмоз, трихинеллез, трихоцефалез и так далее;
- инфекционные поражения — грипп, вирусные гепатиты, мононуклеоз, лямблиоз.
Неврогенная
«Все болезни от нервов» — врачи давно установили, что данная поговорка действительно является правдой. Нередко непроизвольные спазмы жевательных мышц сопровождаются целым комплексом симптомов:
- регулярные головные боли;
- постоянная бессонница;
- признаки лунатизма;
- недержание мочи;
- тремор конечностей;
- эпилептические припадки.
Все упомянутые неприятности — это своеобразные знаки, указывающие на то, что центральная или периферическая нервная система работает неправильно. На начальном этапе от бруксизма (если он действительно вызван неврологическими проблемами) можно избавиться путем нормализации жизненного ритма. Здоровый сон, систематические физические нагрузки, правильное питание, сокращение стрессовых моментов — вот комплекс, который должен помочь.

Психологическая
О том, что такое бруксизм, можно ли его вылечить и чем он опасен, стоматология знает достаточно давно. Однако бессознательные спазмы жевательных мышц часто вызываются далеко не физиологическими причинами. Многие психологи придерживаются мнения о том, что такая патология является ярким признаком эмоциональной нестабильности. К формированию диагноза приводят:
- регулярные переживания;
- сильный и частый стресс;
- депрессивные состояния;
- неправильные реакции на веселые или печальные события;
- перепады настроения.
Часто от подобных проблем страдают люди, не сумевшие забыть и пережить неприятные вещи из своего далекого прошлого. Избавиться от неблагоприятной симптоматики у них получается только после консультаций у опытных психологов.
Стоматологическая
Наверное, самая классическая и наиболее логичная причина появления бруксизма — это какой-либо челюстно-лицевой дефект приобретенного или врожденного формата. Диагностировать нужную патологию можно по таким признакам, как:
- ярко выраженная аномалия прикуса;
- неправильное расположение резцов, клыков, моляров и премоляров;
- нарушение целостности зубных рядов;
- излишняя скученность коронок;
- сверхкомплектность;
- неграмотно проведенное протезирование;
- проблемы в области височно-челюстных суставов.
Некорректное распределение нагрузки на жевательные мышцы приводит к их перенапряжению. Впоследствии мускулатура страдает от спазмов, начиная работать в ненормированном режиме.
Остеопатическая
О причинах бруксизма, лечении ночного скрежета зубами во сне и профилактике заболевания могут рассказать, в том числе и врачи-остеопаты. Они считают, что мышечные пучки ротовой полости сокращаются вследствие попыток, предпринимаемых нервной системой с целью подавления блокировки черепно-мозговых швов.
Стопроцентный диагноз для такого явления устанавливается еще в момент проблемных родов. Именно тогда человек может получить травму, вызывающую аномалию прикуса и целый перечень других, не менее значимых симптомов. Впрочем, эксперты, занимающиеся научными исследованиями, в остеопатические подоплеки данной патологии верят редко.
Клинические признаки заболевания
С причинами скрежета зубами (ночного бруксизма) во сне у взрослых мы разобрались, а теперь переходим к его основной симптоматике:
- громкий скрип челюстей, особенно в ночное время суток;
- регулярные мигрени;
- головокружения, периодически доводящие до обмороков;
- чувство боли в области челюстно-лицевых суставов;
- усталость, сонливость, беспричинная депрессия;
- повышенная чувствительность к температурным изменениям;
- неприятие слишком горячей или холодной пищи;
- постепенное расшатывание зубных рядов;
- громкий звон, писк и шум в ушах;
- обильное слезотечение, насморк;
- инфекции десен, появление покраснений и отеков.
Причем каждый симптом может быть следствием другой, не менее неприятной патологии. Провести диагностику и понять, почему появился синдром бессознательного спазма жевательных мышц, можно с помощью сотрудников стооматологического центра «Дентика».

Лечение ночного бруксизма у взрослых по симптомам и видам: последствия болезни
Может показаться, что рассматриваемое заболевание безобидно и ни к каким серьезным проблемам привести не может. Однако оставленный без должного внимания недуг становится причиной быстрой утраты анатомически правильной формы челюсти. Более того, из-за него появляются трещины и сколы на клыках, резцах, молярах и премолярах, а ортопедические конструкции (такие, как, например, пломбы), перестают показывать эффективность.
Бессознательные спазмы жевательных мышц доводят до того, что человек не может нормально есть, говорить, открывать и закрывать рот. Благодаря разнообразным ортодонтическим нарушениям, стоматологи, желающие ослабить негативную симптоматику, вынуждены делать выбор в сторону сложных операций. Процесс восстановления с легкостью затягивается на долгие годы — именно поэтому начинать функциональную терапию следует как можно раньше.
Осложнения
Бруксизм (сильный скрежет зубами) — это диагноз, который, в случае прогрессии, становится причиной возникновения самых разных проблем:
- гипертрофия мускулатуры лицевой области;
- гингивит, пародонтоз, пародонтит и стоматит;
- фиброз мягких тканей и слизистых оболочек;
- стачивание клыков, резцов, моляров и премоляров;
- нарушение общей эстетики лица;
- аномалии прикуса, жевательные дисфункции;
- кариес и зубной камень.
Неприятности начинаются и в плане психосоматики. Пациент, страдающий от сопутствующих патологических процессов, перестает нормально спать, говорить и принимать пищу. Рано или поздно к нему приходит депрессия, вызванная, в том числе и невозможностью быстрой терапии.
Диагностика
- стоматологии;
- невропатологии;
- психологии;
- челюстно-лицевой хирургии;
- отоларингологии;
- сомнологии и так далее.
Подобное комплексное изучение патологического процесса производится неспроста. Дело в том, что болезнь может возникать из-за самых разных признаков. Иногда она проявляется вследствие физиологических проблем: неправильного прикуса, аномалий жевательных мышц, сверхкомплектности зубного ряда. В других случаях заболевание является следствием психосоматических регрессий. Частый стресс, сильные переживания, отсутствие регулярных физических нагрузок — все это также может стать первопричиной.
Методы лечения
Основной причиной того, почему взрослый человек ночью страдает от скрежета зубами во сне, систематически становится простое перенапряжение. Терапевты, работающие с подобными пациентами, дают им следующие рекомендации:
- научитесь расслаблять челюстно-лицевые мышцы, аккуратного пережевывайте еду;
- организуйте собственный трудовой день, постарайтесь минимизировать случаи появления стрессовых ситуаций, откажитесь от алкогольсодержащих напитков;
- воспользуйтесь классическими средствами успокоения, начните принимать расслабляющие ванны и пить отвары, настои, сборы и чаи;
- добавьте в свою жизнь фитнес, позвольте организму устать, а затем нормально выспаться.
Нередко перечисленных методик не хватает и тогда к ним приходится добавлять системы комплексных врачебных вмешательств. Если избавиться от патологических процессов самостоятельно не получается, нужно обращаться к стоматологам, профильным хирургам и терапевтам.

Как вылечить последствия бруксизма зубов у взрослого: психотерапия
- частые депрессивные состояния;
- мощные переживания;
- неврозы и стрессы;
- мысли о суициде;
- безудержный смех;
- беспричинная грусть и так далее.
Основное направление действий специалиста, к которому на прием попал такой пациент — это обучение. Врач расскажет о том, как следует правильно справляться со стрессовыми событиями, а также постарается избавить человека от его страхов и обид, заложенных с детства. Стоит сказать, что грамотная психотерапия окажет комплексный эффект. Она повлияет на улучшение качества жизни в целом.
Препараты для лечения
- наборы разнообразных витаминов и минералов — группа В, кальций, магний, фосфор, йод, цинк;
- средства для седации организма — простые и безрецептурные марки, такие как Ново-Пассит, настой валерианы, пустырник;
- миорелаксанты, отвечающие за непосредственное «ослабление» нужных мышечных групп — например, Флексен.
Заниматься самолечением нельзя — все перечисленные препараты лишь борются с симптоматикой, никак не влияя на первопричину болезни. При неграмотном применении они только ухудшают ситуацию. Именно поэтому медикаментозную терапию должен назначить квалифицированный доктор, собравший анамнез и познакомившийся с результатами анализов и обследований.
Ортодонтия
Врачи-ортодонты давно нашли простое и эффективное средство, позволяющее их пациентам избавляться от неприятностей, связанных с бруксизмом. Они предлагают людям процесс установки окклюзионных кап. Такие конструкции не только устраняют неприятный, разрушительный для клыков, резцов и моляров скрежет, но и защищают ряды от негативных физических воздействий. Носить подобный аксессуар можно совершенно спокойно. Никаких проблем как с более сложными ортодонтическими устройствами (например, протезами), не будет. Соответствующие аппараты делятся на несколько групп:
- дневные — используются в течение всего дня, характеризуются полной незаметностью;
- ночные — применяются только во время сна, обладают чуть более ярко выраженным действием;
- резонирующие — показывают максимальную эффективность, назначаются только пациентам, которые сильно запустили патологический процесс.
Установить агрегат можно как на одну, так и на обе челюсти, в зависимости от показаний и личных предпочтений.
Как лечится бруксизм (скрежет зубами во время сна у взрослого человека): физиопроцедуры
Еще один результативный метод борьбы с проявлениями синдрома неконтролируемых спазмов жевательных мышц — это разнообразные физиологические процедуры:
- всевозможные виды челюстно-лицевого массажа;
- электростимуляция определенных участков;
- согревающие компрессы, в том числе и на основе трав;
- лазерное лечение, организуемое путем задействования современной аппаратуры.
Каждое из представленных мероприятий может проводиться сотрудниками стоматологического центра «Дентика». Основная цель подобных операций заключается в расслаблении мышц лица для последующего нормирования их тонуса. Эффективность физиопроцедур увеличивается, если к ним добавляются другие методы терапии.
Нетрадиционное лечение
- остеопатическими сеансами - в качестве замены для антидепрессантов и седативных лекарств;
- йогой и медитацией - в виде еще одного средства для успокоения и борьбы с излишним стрессом;
- мануальными методиками, позволяющими снизить активность жевательных мышц для их последующего успокоения.
Последняя и самая действенная техника — это массаж. Выполнять его должен мастер, обладающий нужным образованием или прошедший профильные квалификационные курсы.
Прогноз и профилактика
Как взрослому избавиться от скрежета зубами во сне и начать бороться с признаками бруксизма ночью? Ответ на эти вопросы могут дать стоматологи, психологи, остеопаты, челюстно-лицевые хирурги, ортодонты и даже отоларингологи. От данной патологии страдают порядка 10% людей, живущих на планете. Врачи давно научились бороться с соответствующим заболеванием. Они назначают терапевтические сеансы, проводят консультации и собирают анамнез. Следующий этап — непосредственное лечение, включающее в себя различные профильные методики.
Имплантация зубов


Имплантация зубов в клинике «Дентика» — современный и недорогой метод восстановления зубного ряда, когда на место корня устанавливается винтообразный титановый стержень: цена установки импланта демократична и доступна для каждого пациента.
Читайте также:
- Влияние глии на состав межклеточной среды. Гематоэнцефалический барьер.
- УЗИ, МРТ при синдроме Меккеля-Грубера у плода
- Инсультоподобные состояния у детей. Паралич Тодда
- ИФА в диагностике вирусных гепатитов. Возможности иммуноферментного анализа
- Клиника сибирской язвы. Формы поражения при сибирской язве
