Преимущества протеза на аттачменах при IB классе. Кламмерный протез при IB классе
Добавил пользователь Евгений Кузнецов Обновлено: 01.01.2026
Бюгельный протез - это самый лучший вариант съемного протезирования, применяемый только при частичном отсутствии зубов. Этот тип протеза получил свое название от немецкого слова «бюгель», что означает «дуга». Соответственно, от традиционных протезов из пластмассы или нейлона - его будет отличать наличие металлического каркаса, к которому (в области отсутствующих зубов) - уже будет привариваться базис с искусственными зубами (рис.1).
Базисом называют ту часть протеза, в которой находятся искусственные зубы (его делают из акриловой пластмассы, реже - из нейлона или материала Acry-free). Металлический каркас придает дополнительную прочность конструкции, что позволяет значительно уменьшить объем и толщину пластмассового базиса у съемного протеза. Это означает - 1) протез будет занимать меньший объем в полости рта, 2) к нему будет быстрое привыкание, 3) ношение протеза будет более удобным и комфортным.
Бюгельный протез на нижнюю челюсть -
На рис.1-3 вы можете увидеть - как может выглядеть бюгельный протез на нижнюю челюсть. Металлическая дуга такого протеза всегда будет располагаться с внутренней поверхности альвеолярного отростка нижней челюсти (немного ниже язычной поверхности передних нижних зубов). В отличие от бюгельных протезов на верхнюю челюсть, конструкция которых может иметь огромное количество вариантов - конструкция бюгельных протезов для нижней челюсти всегда однотипна.
Бюгельный протез на верхнюю челюсть -
Бюгельный протез на верхнюю челюсть будет также иметь металлическую дугу, которая может занимать на твердом небе - переднее, срединное или заднее положение, либо быть «кольцевидной». В последнем случае дуга будет располагаться по периметру твердого неба, оставляя открытой центральную его часть. Положение дуги имеет большое значение для комфортного жевания, дикции, сохранения вкусовых ощущений. Но выбор будет зависеть не от ваших предпочтений, а от клинической ситуации в полости рта.
Например, от - 1) количества и расположения отсутствующих зубов, 2) рельефа неба, точнее говоря от выраженности торуса и высоты свода неба, 3) выраженности у пациента рвотного рефлекса. По комфортности лучшим вариантом является заднее положение дуги, т.е. в проекции жевательной группы зубов (не доходя 4-5 мм до границы твердого и мягкого неба). В этом случае дуга не будет мешать языку, не будет страдать дикция, сохранится привычный комфорт при жевании пищи, а также не пострадает и выраженность вкусовых ощущений.
Варианты бюгельных протезов на верхнюю челюсть -
Важные отличия бюгельных протезов - от протезов других типов:
Но выше мы перечислили еще не все преимущества - за что пациенты любят бюгельные протезы. Дело в том, бюгельный протез (лучше чем все остальные типы съемных протезов) - позволит вам безболезненно и качественно пережевывать пищу. Эта возможность достигается за счет специальных систем крепления протеза к опорным зубам - это могут быть опорно-удерживающие кламмера, либо специальные микрозамки (аттачмены), либо так называемые «телескопические коронки».
Дело в том, что обычные протезы из акриловой пластмассы передают жевательное давление - не на сохранившиеся зубы, а на десну под пластмассовым базисом протеза. Это приводит к болезненности при жевании, а также к ускоренной атрофии костной ткани под протезом. Бюгельный протез за счет кламмеров, аттачменов или телескопических коронок способен передавать большую часть жевательного давления - именно на опорные зубы, а не на ткани под базисом протеза.
Виды бюгельных протезов -
Как мы уже сказали выше - любой вариант бюгельного съемного протеза будет иметь металлический каркас. Чаще всего его традиционно делают из кобальт-хромового сплава (КХС), но также возможно применение титана, а также сплавов с драгоценными металлами. Протез на каркасе из титана является самым современным вариантом. Применение титана позволяет уменьшить массу протеза в 2 раза (в сравнении, если каркас будет сделан из КХС), а меньшая масса обеспечит не только комфорт, но и быстрое привыкание к протезу.
Базис протеза (он имеет розовый цвет) - может быть традиционно из акриловой пластмассы, либо из немного эластичных материалов «Acry-free» или нейлона. Но самые главные различия в бюгельных протезах касаются их способа фиксации на опорных зубах. Существуют 3 возможных системы фиксации этого типа протеза, каждый из которых мы подробно разберем в этой статье.
- бюгельный протез на кламмерах,
- бюгельный протез на аттачменах (микрозамках),
- бюгельный протез на телескопических коронках.
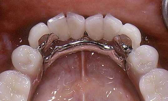
Бюгельный протез на кламмерах -
Бюгельный протез с кламмерной фиксацией является одним из самых популярных типов съемных протезов у пациентов (рис.1-11). Кламмерами называют ответвления от металлического каркаса протеза, которые обхватывают сохранившиеся опорные зубы с разных сторон, обеспечивая этим надежную фиксацию протеза в полости рта. Но кламмера выполняют не только удерживающую функцию, но и опорную.
Это означает, что они обеспечивают распределение жевательной нагрузки таким образом, чтобы с протеза она передавалась не только на десну, но и на опорные зубы. В результате примерно 1/3 жевательной нагрузки кламмера передают с протеза на опорные зубы, а остальные 2/3 нагрузки распространяются с базиса протеза на десны. А вот у протезов из пластмассы или нейлона вся жевательная нагрузка идет только на десны - из-за чего и возникает болезненность при пережевывании пищи.
Бюгельный протез на кламмерах: фото
Как вы уже поняли - кламмера в большинстве случаев делают из металла, и именно поэтому этот тип бюгельного протеза обладает одним большим минусом. Дело в том, что металлические кламмера будут хорошо видны, если они попадают в линию улыбки (рис.10). Конечно, в некоторых ситуациях зубной техник может разместить кламмера на протезе таким образом, что они не попадут в линию улыбки, но, к сожалению, сделать это у каждого пациента - бывает не всегда возможно.
Некоторым выходом из этой ситуации может быть замена удерживающих металлических кламмеров, попадающих в линию улыбки, на нейлоновые. Этим кламмерам можно придать любой цвет (белый или розовый), и они практически не заметны при улыбке. Но делать все кламмера протеза только из нейлона тоже нельзя, т.к. нейлон обладает высокой эластичностью, а значит протез будет хуже фиксироваться в полости рта.
Бюгельный протез на кламмерах: видео 1-2
Бюгельный протез на аттачменах -
Каждый микрозамок состоит из 2 частей - одну часть монтируют на теле бюгельного протеза, вторую - на металлокерамических коронках, ближних к протезу. При соединении частей микрозамка - он защелкивается, и открыть его можно только при помощи специального движения или приспособления. Аттачмены различаются по принципу действия - они могут быть рельсовые, шаровидные, ригельные и др. В каждом конкретном клиническом случае - врач-ортопед совместно с зубным техником подбирает наиболее целесообразный вид аттачменов для этого пациента.
Односторонний бюгельный протез с микрозамком -
Двухсторонний бюгельный протез с микрозамками -
Протез на микрозамках на верхнюю челюсть -
Большим плюсом наличия микрозамков является - 1) в отличие от кламмеров микрозамки совершенно не видны при улыбке, что обеспечивает хорошую эстетику, 2) очень комфортное пережевывание пищи, 3) отличная фиксация протеза на зубах. Например, такой протез будет надежно удерживаться на зубах - даже при концевых дефектах зубных рядов (рис.15-16), т.е. когда все остальные типы протезов будут просто спадывать.
Важно : еще раз обращаем внимание, что при этом типе протезирования несколько зубов обязательно берутся под металлокерамические коронки. Последние необходимы, т.к. в них фиксируются половина механизмов микрозамков. Например, чтобы фиксировать двухсторонний бюгельный протез - потребуется 2 микрозамка и, соответственно, по 2 «спаянных» друг с другом металлокерамических коронки с каждой стороны зубного ряда. Такое количество коронок необходимо для того, чтобы не было перегрузки опорных зубов, на которые с протеза будет передаваться жевательное давление.
Для одностороннего концевого протеза нужен только 1 микрозамок (рис.12-13). Жевательная нагрузка распределяется при замковом протезировании следующим образом - примерно 1/2 нагрузки идет на десну, а оставшаяся 1/2 распределяется по опорным зубам (взятым под металлокерамические коронки). Учитывая такое распределение нагрузки, жевание протезом на аттачменах будет еще более комфортным, чем протезом с кламмерной фиксацией.
Бюгельный протез на аттачменах: видео 3
Виды микрозамков в бюгельных протезах -
Лучшие типы микрозамки это «МК-1» и «Bredent» (производства Германии), но существует и большое количество более дешевых, но менее надежных аналогов. Предпочтительнее всего делать МК-1 , хотя они и еще дороже, чем Bredent. Однако замки МК-1 являются замками ригельного типа, и поэтому их можно использовать не при всех клинических ситуациях в полости рта. В свою очередь Bredent - это микрозамки фрикционного типа (они используют силу трения).
Бюгельный протез на телескопических коронках -
Это самый лучший вариант бюгельных протезов, даже в сравнении с протезами на аттачменах (при условии достаточного количества зубов, взятых под телескопические коронки). Этот вариант бюгельного протеза позволяет получить самую лучшую эстетику и комфорт при пережевывании пищи. При данном типе протезирования фиксация протеза осуществляется за счет специальных телескопических коронок.


Телескопические коронки состоят из 2-х частей:
- нижней части - металлических колпачков, которые фиксируются на обточенных под коронки зубах,
- верхней части - самих коронок, которые соединены с металлическим каркасом бюгельного протеза.
Таким образом, фиксация бюгельного протеза осуществляется за счет того, что верхние части телескопических коронок надеваются на нижние. Нужно отметить, что такой вид протезирования в России применяется недостаточно часто - в виду его сложности (требуется высочайшая точность в изготовлении колпачков и металлического каркаса протеза), а с этим связана и его высокая стоимость. Такой вариант бюгельных протезов обычно стоит не меньше, а то и дороже, чем бюгельные протезы на микрозамках.
Бюгельный протез на телескопических коронках: фото
Шинирующий бюгельный протез -
Нужно отметить, что бюгельному протезу (помимо восстановления жевательной эффективности) - можно параллельно придать и другие функции. Например, речь идет о шинировании подвижных зубов при пародонтите. Шинирующий бюгельный протез будет иметь с внутренней стороны тонкую металлическую дугу (изогнутую по форме зубов), которая будет плотно обхватывать шейки зубов (рис.20-21).
Такая дуга способствует уменьшению подвижности передних зубов и их стабилизации. Однако существует и альтернативное мнение, что извлечение такого шинирующего протеза из полости рта, а также процесс его фиксации на зубах - сопровождается слишком большим давлением металлической дуги на ослабленные передние зубы, что наоборот может привести к расшатыванию зубов.
Шинирующий бюгельный протез: фото


Бюгельный протез: цена в Москве и регионах
Бюгельный протез является самым популярным типом протезов при частичном отсутствии зубов. Подробнее ознакомиться с отзывами на этот тип протезирования - вы можете в статье: «Отзывы на бюгельный протез». Теперь давайте разберемся - сколько стоит бюгельный протез в клиниках на 2022 год (в клиниках эконом-класса и средней ценовой категории).
- Бюгельный протез на кламмерах -
стоимость простого бюгельного протеза с кламмерной фиксацией составит в Москве от 40 000 рублей, а в российских регионах цена составит - от 35 000 рублей. Стоимость сложного бюгельного протеза с кламмерной фиксацией (при наличии сложной разветвленной системы кламмеров), а также шинирующего бюгельного протеза составит в Москве уже от 45 000 до 50 000 рублей.
- Бюгельный протез на телескопических коронках -
стоимость такого протеза начинается от 75 000 рублей, а в среднем может составить около 90 000 рублей. Обычно необходимое количество телескопических коронок уже входит в эту стоимость, однако некоторые клиники могут не включать в стоимость протеза - стоимость изготовления металлических колпачков. Это нужно уточнять на консультации.
Бюгельные протезы на каркасе из титана -
Все приведенные выше цены характерны для бюгельных протезов, металлический каркас которых выполнен из кобальт-хромового сплава (КХС). Мы уже говорили, что титан в 2 раза легче КХС, а также примерно до 5 раз прочнее. Кроме того, титан имеет намного большую биосовместимость с тканями и дает намного меньший риск возникновения аллергических реакций на металлы. Но и стоят протезы с каркасом из титана значительно дороже.
Стоимость самого простого бюгельного протеза с кламмерной фиксацией (не более 2-х кламмеров) - составит минимум от 50 000 рублей. В свою очередь цена на бюгельные протезы из титана, имеющие сложную конструкцию, может быть в диапазоне от 60 000 и до 110 000 рублей. Надеемся, что наша статья оказалась Вам полезной!
Источники:
1. Личный опыт работы врачом-стоматологом,
2. «Ортопедическая стоматология. Учебник» (Трезубов В.Н.),
3. National Library of Medicine (USA),
4. «Съемные протезы: учебное пособие» (Миронова М.Л),
5. «Восстановление зубов бюгельными протезами (Фадеев Р.А.).
Бюгельный протез на аттачментах Bredent

Бюгельный протез на аттачментах — наиболее эстетичный вариант съемного протезирования.
В основе его конструкции находится дугообразный каркас или бюгель, выполненный из прочного металла. На него крепится полимерный базис с искусственными зубами из керамики или других материалов.
Фиксируется протез на опорных зубах, накрытых металлокерамической коронкой. С внутренней стороны коронки располагается миниатюрный замок-аттачмент, который надежно пристегивает к себе протез.
Установить фиксирующий механизм можно не только в коронке зуба, но и в здоровом корне.
Наши врачи


Бюгельный протез на аттачменах: устройство протеза
Замковые крепления являются отличной альтернативой крючкам-кламмерам. Главное преимущество аттачментов — это их незаметность во рту при разговоре или улыбке. Фиксация протеза происходит с внутренней стороны зубов либо в межзубном пространстве. Бюгельная конструкция состоит из металлического сетчатого каркаса, искусственных десен седловидной формы и керамических зубных коронок. Опорные зубы накрывают металлокерамической коронкой снабженной замком-аттачментом. Другая его половина будет закреплена на бюгельную конструкцию. Во время надевания протеза две половинки замка плотно защелкиваются.
Конструкция аттачмента Bredent

Немецкая фирма Bredent является производителем самых различных видов аттачментов. Однако зачастую ее ассоциируют лишь с шаровидным видом крепления.
- Патрицы - металлического шарика, который располагается на коронке опорного зуба, импланте или прямо в корне;
- Матрицы - пластиковой детали с углублением по размеру патрицы.
Защелкиваться аттачмент может механическим способом, винтовым или магнитным. Шаровидные крепления стали популярны благодаря своей универсальности и надежности, но далеко не всегда это единственно правильное решение.
Бюгельный протез на аттачменах: расположение замкового крепления
Расположение замкового крепления будет различаться от участка протезирования и состояния опорных зубов.
Внутрикоронковые крепления - в них патрица не выступает за край коронки зуба. Такие крепления выполняются жестким методом и требуют дополнительного опорного зуба.
Внекоронковые крепления - металлическая патрица выступает за край зуба. Такая конструкция бывает нежесткой и требует тщательного гигиенического ухода.
Внутрикорневые аттачменты - устанавливаются внутри корневого канала и требуют предварительную подготовку зубного корня. После установки затвора полость цементируется. Чаще всего такие системы устанавливают на челюсть лишенную зубов.
Вспомогательные аттачменты устанавливаются в любой части протеза. Их используют в протезах, которые сочетают в себе съемную и стационарную часть.
Жесткий или мягкий аттачмент
Для того, чтобы создать правильную нагрузку на все части протеза и во избежание перегрузки опорных зубов используют аттачменты различной жесткости.

Различают три типа жесткости:
- Красный - жесткий аттачмент;
- Желтый - средней жесткости;
- Зеленый - мягкий.
Тип жесткости аттачмента подбирает специалист с учетом всех особенностей конструкции. При выборе жесткого крепления, вся жевательная нагрузка ложится на опорные зубы. Таким образом, при помощи регулировки жесткости аттачмента можно выбрать наиболее правильное положение протеза, при котором вся жевательная система будет сбалансирована.
Преимущества протезов на аттачментах Bredent
Протезы на аттачментах Bredent приобретают всю большую популярность из-за надежности, равномерности распределения жевательной нагрузки и высокой эстетичности улыбки после их установки.
- легкость и прочность всей конструкции и креплений;
- возможность сбалансировать протез для распределения жевательной нагрузки;
- отсутствие влияния на артикуляцию;
- возможность ремонта съемной части протеза;
- длительный срок службы.
Недостатки протеза на аттачментах
Протез на аттачментах относится к классу высокотехнологичных конструкций, соответственно его цена будет значительно выше более простых аналогов.
- сложная конструкция протеза требует высококвалифицированного подхода;
- опорные зубы необходимо обтачивать под коронки с замковым механизмом;
- замки со временем ломаются и требуют замены (особенно пластиковые);
- каждые полгода протез требует перебазировки.
Несмотря на высокую цену бюгельный протез на аттачментах сложно переоценить. С основными задачами протезирования, удобством использования и высокой эстетикой он справляется отлично. Аттачменты Bredent имеют высокую репутацию среди ортодонтов и имеют все необходимые качества для успешного протезирования.
Крепление современных протезов на аттачменах
Аттачмены — крепления небольшого размера, применяющиеся в съемном и несъемном протезировании. С помощью аттачменов протез надежно крепится к имплантам или опорным зубам. Благодаря надежности фиксации человек не испытывает дискомфорт во время пережевывания пищи и разговора. Главное преимущество системы attachment — эстетичность и надежность.

Аттачменты и их классификация
Замковые крепления (аттачмент) являются частью общей ортодонтической съемной конструкции и обеспечивают ее устойчивость и амортизацию. Данное устройство состоит из двух частей, которые располагаются на протезе и на зубе. Замковый механизм обеспечивает надежную фиксацию съемного или стационарного протеза в полости рта и обладает отличными свойствами амортизации.
Строение замковой конструкции можно сравнить с кнопочным механизмом: одна часть располагается на протезе, вторая — на зубе. Механизм защелкивается, и конструкция надежно фиксируется в полости рта.
Аттачмены стоматология разделяет на несколько видов в соответствии с разнообразием форм и размеров, типом замкового соединения.
- по размерам — макро и микроустройства;
- по функциональным характеристикам — подвижные и жесткие;
- по качеству исполнения — точные и полуточные;
- по месту расположения — внутрикоронковые/внекоронковые, внутрикорневые/накорневые, межкоронковые, вспомогательные.
Замковые крепления состоят из двух компонентов — патрицы и матрицы. Патрица располагается на поверхности опорного зуба, матрица — непосредственно на протезе. Они характеризуются скользящей конфигурацией, удерживают протез в стабильном равновесии. В момент крепления матрица защелкивается, обхватывая патрицу. Материалом изготовления attachment является пластик или металл.

Внутрикоронковые и внекоронковые аттачмены
Внутрикоронковые крепления отличаются расположением матрицы — она не выступает за контур импланта или твердых тканей зуба. Все внутрикоронковые соединения выполняются жестким методом и требуют наличие дополнительного опорного зуба к уже имеющемуся.
Внекоронковые крепления отличаются выступающей частью патрицы за коронку опорного зуба. Данные конструкции выполняют нежесткими. Недостатком является затруднение при чистке: необходимо использовать дополнительные инструменты гигиены полости рта — нити, ирригаторы. Иначе происходит скопление бактериального налета.
Корневые и внутрикорневые аттачмены перед установкой требуют обработки корней опорных зубов. Внутрикорневые крепления монтируются в корне зуба, а затем цементируются.
Вспомогательные аттачмены могут располагаться в любой части протеза. По своей структуре они бывают фрикционными, винтовыми и затворными. Затворы и межкоронковые соединения используют в комбинированных протезах для соединения стационарной и съемной частей.
- рельсовое;
- ригельное;
- штанговое;
- шаровидное.
Наибольшее распространение получил шаровидный замок, в котором патрица выполнена из металла, а матрица — из пластика. Такое крепление незаметно в полости рта и не вызывает эстетического неудобства, в отличие от кламмерной системы фиксации. Матрица с патрицей могут защелкиваться разными способами: винтовым, механическим, магнитным.

Правило светофора
- мягкие — зеленого цвета;
- средней жесткости — желтого цвета;
- жесткие — красного цвета.
Тип жесткости подбирает ортодонт в соответствии с потребностью пациента и особенностями конструкции протезов. В жестком соединении механическая нагрузка при жевании передается на опорные зубы. В мягком (лабильном) варианте механическая нагрузка равномерно распределяется по всей челюсти.
Виды протезов на аттачменах
Конструкции отличаются между собой типом замковых креплений — протез на аттачменах изготовляют по особой технологии, монтируя патрицу на коронку зуба заранее. Патрица представляет собой выступающий элемент шаровидной формы, который при защелкивании заходит в паз на протезе — матрицу.
- частично-съемных;
- покрывающих;
- разборных мостовидных;
- на имплантах.
Показания к применению
- частичная адентия;
- патологическая стираемость эмали;
- заболевания пародонта;
- недопустимость установки имплантов;
- клинические виды нарушения прикуса.
Противопоказания тоже имеются:
- невозможность установки коронки с вмонтированной патрицей;
- некоторые виды заболевания пародонта, не позволяющие установку коронок на зуб.
Важно! Что такое аттачмент? Это фиксирующий замок на протезах, который препятствует убыванию костной ткани челюсти, в отличие от традиционных замковых элементов. Аттачмент снижает жевательную нагрузку на десны.
Протезы на аттачменах имеют неоспоримое преимущество перед другими видами креплений — эстетический комфорт.

Бюгельные конструкции
Аттачмены Бредент — бюгельный протез — используются для крепления искусственной десны к зубам. Основной особенностью конструкций Бредент является замковый скрытый механизм, надежно удерживающий протез в полости рта.
Бюгельные протезы Bredent отличаются равномерным распределением нагрузки при жевании на всю челюсть, а не только на опорные зубы. Замочки легко открываются, позволяя вынимать конструкцию для санирования и очищения.
Сэндвич-протезы
Данные ортодонтические конструкции — новинка в стоматологии. Сэндвич представляет собой привычный покрывной условно-съемный протез на аттачменах — в этом его инновационное отличие. Сэндвич держится на опорных зубах и не имеет небного перекрытия.
Обычные съемные протезы опираются на десны, конструкции на аттачменах фиксируются к опорным зубам с помощью замочков. К недостаткам сэндвич-конструкций на замковом креплении является высокая цена — от 100 000 рублей за челюсть. Однако если сравнивать с имплантацией, себестоимость изделий на замковых креплениях обходится в разы дешевое.
Установка и особенности использования
Перед установкой ортодонтических конструкций на аттачменах стоматолог-ортодонт назначает санирование полости рта и лечение десен. Затем следует серия клинико-лабораторных диагностик для подбора правильной конструкции. Далее проводится примерка конструкции с attachment без фиксации. Это необходимо для получения точного слепка челюсти.
После этой процедуры мастер изготавливает искусственную челюсть в соответствии с полученным оттиском. Далее ортодонт устанавливает конструкцию и фиксирует в полости рта.
Бюгельные и сэндвич-протезы на аттачменах требуют внимательного ухода — их необходимо ополаскивать после еды. Особенно тщательно нужно следить за чистотой замковых креплений. Если протез начал балансировать в полости рта, нужно обратиться к ортодонту для замены утративших прочность крепежных элементов.
Чтобы замки надежно фиксировали протез и долго служили, нужно относиться к ним бережно. Прежде всего, следует исключить повышенную механическую нагрузку при жевании. Однако этого не достаточно — многое зависит и от конструкции изделий и оценки механической нагрузки на корни зубов при жевании. Это зависит от мастерства и опыта ортодонта.
Протез не должен оказывать деформирующего влияния на кость челюсти, корень зуба и зубную коронку, чтобы процесс жевания был полноценным. Неравномерное распределение механической нагрузки в полости рта сказывается на состоянии замкового крепления — attachment. К сожалению, не качественно смоделированный протез может стать причиной утраты здоровых зубов со временем.
Искусство моделирования протеза состоит в правильной оценке адекватной нагрузки на здоровые зубы и создании равновесия внутри челюсти при жевании. Для этого моделируют на челюсти-антагонисте соответствующую равновесию конструкцию. — в этом случае проблем с утратой зубов не будет.

Преимущества
Протезы на аттачменах приобрели популярность у пациентов стоматологических клиник, прежде всего, из-за эстетического удобства при использовании. Вновь обретенная радость наслаждения любимой пищи, отсутствие дискомфорта при общении дорогого стоят.
- легкость в использовании, прочность замка;
- равномерность распределения жевательной нагрузки;
- разборная конструкцию можно отремонтировать, заменив испорченные детали;
- четкость артикуляции при ношении протезов;
- нет необходимости снимать протез во время сна.
Пациенты отмечают полностью восстановленную жевательную функцию, отсутствие болевых ощущений при пережевывании пищи. Это возможно только за счет перераспределения механической нагрузки равномерно на всю челюсть. Конструкция не выпадает и не сдвигается во время приема пищи.
- сложная модификация attachment требует высококвалифицированного подхода к изготовлению и установке;
- себестоимость готовых изделий находится на высокой ценовой планке;
- для использования протезов на замках необходимо обтачивать под коронки здоровые зубы;
- замковый механизм быстро ломается.
Как часто следует обновлять замочки? Максимум через полтора года конструкция требует замены из-за ослабления фиксирующих элементов. Однако стоимость замены деталей не высокая — в пределах 1000 рублей. Ортодонт заменит замок за несколько минут с помощью специальных инструментов.
Частой замены требуют пластиковые детали устройства, они больше подвержены деформации. Однако несмотря на имеющиеся недостатки, популярность ортодонтических систем на аттачменах растет. Конструкции имеют больше положительных характеристик, чем отрицательных.

Крепкая фиксация, удобство в использовании, легкость очищения и отсутствие дискомфорта при общении — все виды аттачменов получили высокую оценку пациентов стоматологических клиник. Несмотря на высокую цену, attachment система окупается длительностью эксплуатации и недорогим обслуживанием.
Протезы с креплением на крючках уходят в прошлое. Система аттачмент более совершенна и удобна. Ассортимент замковых креплений составляет более ста наименований. Каждый вид отличается от другого особенным способом крепления, размерами и функционалом. Разброс цен на протез с интегрированной системой attachment составляет от 100 до 1200 условных единиц. В стоимость входит цена за диагностику, установку, само ортодонтическое изделие и замка к нему.
Бюгельные протезы на аттачменах
Среди разновидностей дугообразных ортопедических конструкций существует бюгельный протез на аттачменах. В отличие от кламмерных устройств крепежные элементы в нем расположены внутри и абсолютно незаметны для окружающих.
Аттачмены - это замки, состоящие из двух частей (съемной и несъемной). Первая находится на самом протезе, вторая фиксируется к искусственной коронке, надетой на опорный зуб. При установке бюгельного протеза на аттачменах обе части соединяются, за счет чего изделие надежно удерживается в полости рта.
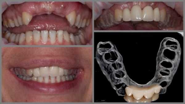
Бюгельные протезы на аттачменах: фото до и после



Изготовление бюгельного протеза на аттачменах
Бюгельные протезы на замках аттачменах создаются в несколько этапов:
- Стоматолог-ортопед вместе с пациентом решает, какое именно замковое крепление будет в изделии - кнопочное, балочное, рельсовое и т.д.;
- С помощью шкалы Вита определяется оттенок опорных зубов — это нужно для того, чтобы съемный протез на аттачменах смотрелся как можно естественнее.
- Делается слепок челюсти.
- В лаборатории отливаются металлическая дуга и крепления, затем к ней присоединяются пластмассовая десна и искусственные зубы.
- Протез примеряется пациентом и, если необходимо, корректируется.
Бюгельные протезы на аттачменах: показания и противопоказания
Главные показания к применению аттачментов или протезов на замковых креплениях - это отсутствие возможности осуществить имплантацию и наличие в ротовой полости как минимум двух опорных зубов.
А к противопоказаниям можно отнести следующие факторы:
- плохое состояние пародонта;
- резорбция (разрушение) костной ткани челюсти;
- патологическая стираемость зубной эмали;
- серьезные дефекты опорных зубов;
- неглубокое дно ротовой полости;
- короткая уздечка языка;
- низкое небо;
- глубокий прикус;
- малая высота клинических коронок зубов;
- аллергия на материалы компонентов протезов на аттачменах;
- инфекции полости рта, дыхательных путей, внутренних органов;
- неврологические и сердечнососудистые болезни.
Преимущества и недостатки
Аттачмены или протезы на замковых креплениях имеют множество преимуществ:
- высокая прочность и долговечность (устройство способно прослужить до семи лет);
- возможность провести полноценное протезирование даже при отсутствии большей части зубов;
- оптимальное распределение жевательного давления: равномерная нагрузка приходится на всю челюсть;
- компактный размер: зубные протезы на аттачменах не закрывают небо, поэтому их ношение не вызывает рвотного рефлекса, нарушений дикции и восприятия вкусов;
- короткий адаптационный период: после нескольких дней привыкания пациент перестает испытывать дискомфорт.
- отсутствие риска развития протезного стоматита;
- возможность предупредить расшатывание и выпадение оставшихся зубов;
- применение стандартных материалов замков при изготовлении бюгельного протеза с системой фиксации на аттачменах: это позволяет легко подобрать замену;
- возможность контролировать износ конструкции.
Однако данный вид высокотехнологичного протезирования не лишен и определенных недостатков:
- дольно высокая цена, поскольку изготовление бюгельных протезов на замках аттачменах требует применения дорогостоящих материалов и специализированного оборудования, а также самой высокой квалификации сотрудников зуботехнической лаборатории;
- в некоторых случаях помимо обтачивания опорных зубов может потребоваться их депульпирование;
- при использовании пластмассовых замковых креплений их нужно часто менять;
при поломке ортопедической конструкции ремонт может занять длительное время, поскольку это весьма трудоемкий процесс.
Бюгельный протез на кламмерах
Наиболее распространенным типом съемного протезирования является бюгельный протез на кламмерах. В основе этой конструкции лежит металлическая дуга, к которой сверху прикрепляется искусственная (пластмассовая) десна и зубные коронки. Такое устройство можно использовать для замещения зубов и на нижней и на верхней челюстях.
Кламмеры для зубных протезов — это металлические полукруглые замки, которые являются частью литого каркаса. Они с двух сторон обхватывают опорные зубы, благодаря чему достигается достаточно надежная фиксация конструкции во рту.
Бюгельный протез на кламмерах: фото до и после
Помимо выполнения удерживающей функции кламмеры способствуют равномерному распределению нагрузки при жевании между зубами и деснами. Так, при использовании кламмерного бюгельного протеза примерно треть давления оказывается на опорные зубы, а две трети — на десну. При этом в состоянии покоя крепежный элемент не должен никоим образом оказывать воздействие на зуб и его связочный аппарат.
Показания и противопоказания
Бюгельный протез с кламмерной фиксацией может быть рекомендован в следующих случаях:
- отсутствие одного (редко) или нескольких зубов;
- наличие концевого дефекта — одностороннего или двухстороннего;
- расшатанные зубы при пародонтите или пародонтозе (протезы на кламмерах используются здесь также и для шинирования);
- отсутствие возможности применить другие виды протезирования.
Имеются и противопоказания, некоторые из которых имеют временных характер. Например:
- несоблюдение гигиены полости рта;
- острые заболевания зубов и десен;
- беременность.
К общим противопоказаниям к применению бюгельного протеза на кламмерах относится отсутствие опорных зубов, аллергические реакции организма на материалы, используемые в конструкции, а также ряд серьезных заболеваний (онкология, сахарный диабет, психические расстройства и т.д.).
Преимущества и недостатки бюгельных протезов на кламмерах
Этот вариант имеет немало достоинств, обусловливающих его популярность. К ним можно отнести:
- Надежность фиксации. Кламмеры для зубных протезов обеспечивают весьма устойчивое крепление.
- Прочность конструкции за счет литого металлического каркаса.
- Удобство в использовании. Протез быстро перестает восприниматься как инородное тело.
- Физиологическая нагрузка на челюсть.
- Отсутствие необходимости обтачивать опорные зубы.
- Доступная цена. Стоимость бюгельного протеза на кламмерах ниже, чем у аналогов с креплениями на микрозамках или телескопических коронках.
Однако у данной конструкции есть и недостатки. Прежде всего, необходимо сказать, что съемный протез на кламмерах не слишком эстетичен. Хотя искусственные зубы и десны выглядят вполне естественно и практически неотличимы от натуральных, кламмеры могут быть заметны окружающим, когда вы улыбаетесь или разговариваете. Другой минус — определенный дискомфорт при приеме пищи. И наконец, возможны проблемы с дикцией — особенно если человек использует протез на нижней челюсти на кламмерах. Поэтому прежде чем остановить свой выбор на этом варианте, посоветуйтесь со стоматологом-ортопедом и взвесьте все «за» и «против».
Срок службы и как ухаживать
Средний срок службы кламмерного бюгельного протеза составляет от пяти до семи лет, что очень неплохо для съемных устройств. Это связано, во-первых, с высокими прочностными характеристиками конструкции. А во-вторых, под бюгелем мягкие ткани атрофируются намного медленнее, чем под пластмассовыми аналогами, поэтому его замена потребуется нескоро.
Уход за бюгельным протезом с кламмерной фиксацией не отличается особой сложностью. После каждого приема пищи его нужно ополаскивать водой, а утром и вечером тщательно чистить щеткой со специальными пастами. Периодически (примерно раз в неделю) протез рекомендуется замачивать в антибактериальном растворе.
Читайте также:
