Причина опоясывающего герпеса. Механизм развития опоясывающего герпеса
Добавил пользователь Евгений Кузнецов Обновлено: 11.12.2025
Опоясывающий герпес (herpes zoster), или опоясывающий лишай, вызывается вирусом Varicella zoster.
Такое название обусловлено тем, что вирус является возбудителем двух различных по клиническим проявлениям заболеваний: ветряной оспы и опоясывающего лишая. Вирус Varicella zoster отличается нейродерматотропностью.
Опоясывающий лишай - это вирусное заболевание, для которого характерно поражение нервной системы, слизистой оболочки рта и кожи. Его рассматривают как повторную инфекцию на фоне снижения иммунитета, развившегося в результате контакта организма с вирусом в прошлом. Считается, что заболевание возникает в результате активизации вируса, находящегося в латентном состоянии в нервных ганглиях. Чаще всего опоясывающий лишай возникает в весенний и осенний периоды. Болеют преимущественно люди в возрасте 40-70 лет, причем мужчины несколько чаще, чем женщины. У более пожилых больных заболевание протекает тяжелее и нередко осложняется постгерпетической невралгией.
Что провоцирует / Причины Опоясывающего герпеса:
Опоясывающий лишай в большинстве случаев возникает на фоне ослабления защитных сил организма в результате перенесенной пневмонии, болезней крови, новообразований и других истощающих иммунитет заболеваний. Как правило, после болезни остается стойкий иммунитет. Однако у лиц, страдающих тяжелыми хроническими заболеваниями (онкологические, болезни крови), возможны рецидивы. Инфекция передается контактным и воздушнокапельным путями.
Опоясывающий герпес характеризуется лихорадкой, болями невралгического характера и эритематозновезикулярными высыпаниями на коже и слизистой оболочке по ходу пораженных периферических нервов. Страдают ганглии некоторых черепных и межпозвоночных нервов, чаще с одной стороны. При поражении первой и третьей ветвей тройничного нерва, а также узла тройничного нерва (герпетический ганглионит) возникают высыпания везикул на слизистой оболочке рта. Одновременно элементы поражения возникают в области иннервации и на коже. Локализация процесса только на слизистой оболочке рта встречается редко.
У лиц преклонного возраста часто на фоне общих тяжелых заболеваний, цитостатической, кортикостероидной терапии развивается генерализованный опоясывающий лишай. Он характеризуется тяжелым течением с выраженными явлениями интоксикации и генерализацией пузырьковых высыпаний, сходных с сыпью при ветряной оспе. Могут поражаться также мозговые оболочки и легкие, что нередко приводит к летальному исходу.
Симптомы Опоясывающего герпеса:
Локализация поражений может быть различной. Чаще всего высыпания пузырьков наблюдаются на кожных покровах и слизистой оболочке по ходу ветвей тройничного нерва, в зоне межреберных нервов, на конечностях.
После эпителизации эрозий на слизистой оболочке рта и отпадения корок на коже процесс завершается, оставляя после себя временную пигментацию. Общая продолжительность заболевания составляет 2-3 нед. Прогноз, как правило, благоприятный, однако у лиц преклонного возраста, а также у страдающих тяжелыми заболеваниями, сопровождающимися резким снижением иммунитета (лейкоз, онкологические заболевания), возможны осложнения в виде постгерпетических невралгий, гиперестезии и гиперпатии, длящиеся несколько месяцев или лет. Чаще подобные явления наблюдаются у лиц пожилого возраста, причем чем старше больной, тем выше вероятность развития постгерпетических осложнений.
Диагностика Опоясывающего герпеса:
Опоясывающий герпес следует дифференцировать от:
Важное значение в диагностике опоясывающего герпеса имеют односторонность поражения, отсутствие рецидивов, выраженный болевой симптом, локализация везикул строго в зоне, иннервируемой пораженным нервом. Для постановки окончательного диагноза используют следующие дополнительные методы исследования: общий клинический анализ крови, вирусологический (выделение вируса из свежих везикул, крови, цереброспинальной жидкости или смыва из зева), цитологический.
Лечение Опоясывающего герпеса:
Основные задачи лечения при опоясывающем лишае - действие на возбудителя заболевания, снятие болевого симптома, нормализация трофики нервных стволов, профилактика постгерпетических невралгий.
Применяют противовирусные препараты, метисазон (по 0,6 г 2 раза в день после еды в течение 6 дней); бонафтон (по 0,1 г 3-5 раз в день, три 5дневных цикла с перерывами 1-2 дня ) ; ацикловир (по 0,8 г 5 раз в день в течение 5 дней). Эффективно использование дезоксирибонуклеазы. Препарат вводят внутримышечно в дозе 25 мг через каждые 4 ч или по 50 мг 2-3 раза в день в течение 7-10 дней. Наступает быстрое купирование процесса. Лечение дезоксирибонуклеазой также снижает вероятность постгерпетических невралгий.
Местное лечение заключается в использовании с первых дней заболевания препаратов противовирусного действия (теброфен, флореналь, госсипол, мегосин, оксолин, интерферон). В период разрешения везикулярной сыпи показаны кератопластические средства: масло шиповника, облепихи, витамин А, каротолин, мазь "Актовегин" и др.
Эффективна с первых дней заболевания лазерная терапия (гелийнеоновый, инфракрасный лазеры), УФлучи.
Патогенетическую основу болевого симптома и герпетических невралгий при опоясывающем лишае составляют развивающая отечность нервных стволов и их ущемление в узких костных пространствах. Для устранения отека и нормализации микроциркулягорных нарушений назначают дегидратационную терапию: салицилаты (ацетилсалициловая кислота, натрия салицилат по 0,5 г 1-3 раза в день); 40 % раствор глюкозы; диакарб (по 0,125-0,25 г 2 раза в день утром и вечером). Своевременное проведение дегидратационной терапии достаточно быстро (уже в первые сутки) снимает острый болевой синдром, способствует быстрому купированию воспалительного процесса.
Для снятия болевого симптома назначают анальгетики, проводят новокаиновые блокады, электрофорез новокаина по ходу пораженного нерва.
Симптомы симпаталгии купируют ганглиоблокаторами: ганглероном - пи 1 мл внутримышечно, на курс 6-8 инъекций; пахикарпином - по 0,05 г 3 раза в день.
Для коррекции микроциркуляторных нарушений назначают курантил по 0,025-0,05 г 3 раза в день в течение 5-7 дней.
Повышение защитных сил организма и его сопротивляемости достигается назначением витаминов: В, (1-2 мл 6 % раствора внутримышечно, на курс до 15 инъекций), В12 (в возрастающих дозах 200-500 мкг в сутки) внутримышечно, при улучшении состояния 100 мкг в сутки, в течение 2 нед, аскорбиновая кислота - по 0,3-0,5 г в сутки. Применяют также ларифан - индуктор интерферонов - по 10 мг подкожно 1 раз в день в течение 2 дней с последующим интервалом 3-4 дня. Курс введения препарата не должен превышать 2 нед. Используют адаптогены (препараты женьшеня, элеутерококка, аралии маньчжурской).
К каким докторам следует обращаться если у Вас Опоясывающий герпес:
Вас что-то беспокоит? Вы хотите узнать более детальную информацию о Опоясывающего герпеса, ее причинах, симптомах, методах лечения и профилактики, ходе течения болезни и соблюдении диеты после нее? Или же Вам необходим осмотр? Вы можете записаться на прием к доктору .
Опоясывающий лишай (герпес Зостер). Проявления в полости рта
Рекомендовано
Экспертным советом
РГП на ПХВ «Республиканский центр
развития здравоохранения»
Министерства здравоохранения
и социального развития
Республики Казахстан
от «15» октября 2015 года
Протокол № 12
Название протокола: Опоясывающий лишай (герпес Зостер).
Опоясывающий лишай - инфекционное заболеваний вызываемое нейротропным вирусом (вирус Зостер) семейства герпес [7].
Код протокола:
Код (коды) по МКБ-10:
B 02 опоясывающий лишай (Herpes zoster)
Сокращения, используемые в протоколе:
ПЦР - полимеразная цепная реакция
ДНК - дезоксирибонуклеиновая кислота
Дата разработки/пересмотра протокола: 2015 год
Категория пациентов: взрослые.
Пользователи протокола: дерматолог, инфекционист, невропатолог, врач-стоматолог общей практики, терапевт, врач общей практики.
Оценка на степень доказательности приводимых рекомендаций.
Таблица - 1 Шкала уровня доказательности:
| А | Высококачественный мета-анализ, систематический обзор РКИ или крупное РКИ с очень низкой вероятностью (++) систематической ошибки результаты которых могут быть распространены на соответствующую популяцию. |
| В | Высококачественный (++) систематический обзор когортных или исследований случай-контроль или Высококачественное (++) когортных или исследований случай-контроль с очень низким риском систематической ошибки или РКИ с не высоким (+) риском систематической ошибки, результаты которых могут быть распространены на соответствующую популяцию. |
| С | Когортное или исследование случай-контроль или контролируемое исследование без рандомизации с не высоким риском систематической ошибки (+). Результаты, которых могут быть распространены на соответствующую популяцию или РКИ с очень низким или невысоким риском систематической ошибки (++ или +), результаты которых не могут быть непосредственно распространены на соответствующую популяцию. |
| D | Описание серии случаев или неконтролируемое исследование или мнение экспертов. |
| GPP | Наилучшая фармацевтическая практика. |
Классификация
Клиническая классификация: [7]
В 02.2 Опоясывающий лишай с другими осложнениями со стороны нервной системы.
В 02.20 Постгерпетическая невралгия тройничного нерва
В 02.21 Постгерпетическая невралгия других черепных нервов
В 02.8 Опоясывающий лишай с другими осложнениями
В 02.8Х Проявления в полости рта
В 02.9 Опоясывающий лишай без осложнений
Клиническая картина
Cимптомы, течение
Диагностические критерии постановки диагноза [2,3,4,5,6,7,10,11]
Жалобы и анамнез: [2,3,4,5,6,7,10,11]
Анамнез:
В анамнезе ветряная оспа, контакт с инфицированным лицом или снижение иммунитета организма, наличие стресса, обострение соматического заболевания.
Физикальное обследование: [2,3,4,5,6,7,10,11]
На слизистой оболочке полости рта и коже пораженной стороны появляются везикулы диаметром от 1 до 6 мм, которые быстро лопаются, образуя единичные или сливные эрозии, покрытые фибринозным налетом. Отмечается регионарный лимфаденит. На коже пузырьки образуют корочки, после их отпадения остается пигментация кожи. Реже пузырьки могут иметь геморрагическое содержимое (геморрагическая форма) или некротизируются (гангренозная форма).
Диагностика
Перечень диагностических мероприятий:
Основные (обязательные) диагностические обследования, проводимые на амбулаторном уровне:
1. Сбор жалоб и анамнеза.
2. Визуальный осмотр слизистой полости рта и кожных покровов.
Дополнительные диагностические обследования, проводимые на амбулаторном уровне:
1. Цитологическое исследование.
2. Обнаружение вируса герпеса 3 типа (ВПГ-III) в биологическом материале методом ПЦР.
Минимальный перечень обследования, который необходимо провести при направлении на плановую госпитализацию: нет
Основные (обязательные) и дополнительные диагностические обследования, проводимые на стационарном уровне (при экстренней госпитализации проводятся диагностические обследования не проведенные на амбулаторном уровне): нет
Диагностические мероприятия, проводимые на этапе скорой неотложной помощи: нет
Инструментальные исследования: нет.
Показания для консультации специалистов:
· консультация невропатолога - для комплексного лечения
· консультация дерматолога - для исключения кандидоза другой локализации
· консультация терапевта, врача общей практики - для выявления соматической патологии.
Лабораторная диагностика
Лабораторные исследования: [7,10]
· цитологическое - многоядерные гигантские клетки.
обнаружение вируса герпеса 3 типа (ВПГ-III) в биологическом материале методом ПЦР - обнаружение ДНК вируса Зостер.
Дифференциальный диагноз
Дифференциальный диагноз:
Таблица - 2. Дифференциальная диагностика
| Нозологическая форма | Опоясывающий лишай | Простой герпес полости рта | Невралгия ветвей тройничного нерва | Рожистое воспаление | Экзема |
| Жалобы | наличие односторонних высыпаний по невральным сегментам, подъем температуры 40° | Наличие везикулярных высыпаний в полости рта, подъем температуры до 39° | Наличие болей по ходу тройничного нерва, наличие «триггерной зоны» | Наличие гиперемии кожи на ограниченном участке | Наличие элемента поражения связано с воздействием аллергена |
| Объективные данные | односторонняя везикулярная сыпь по ходу невральных сегментов в виде «гроздьев винограда», «гирлянд» | одиночные или множественные везикулярные высыпания в полости рта, быстро вскрывающиеся с образованием эрозий и афт, явления катарального и язвенно-некротического гингивита | изменений на коже и в полости рта нет, имеется снижение чувствительности, наличие болезненности при пальпации мест выхода ветвей тройничного нерва, «триггерные (курковые) зоны» | поражение с типичной локализацией на лице или нижних конечностях, увеличение лимфоузлов, типичные красные и болезненные пятна с неровными краями, похожими на пламя, при покое боли исчезают. | острая воспалительная отечная эритема с последующим высыпанием группы быстро вскрывающихся микровезикул, на месте которых обнажаются точечные эрозии - так «серозные колодцы», из глубины которых выделяется серозный экссудат, образуя обильно мокнущую поверхность, постепенно серозная жидкость подсыхает, образуя серовато-жёлтые корки |
| Дополнительные методы исследования | Цитологически гигантские многоядерные клетки, ПЦР - ДНК вируса Зостер | Цитологически гигантские многоядерные клетки, ПЦР - ДНК вируса герпеса простого | Не требуется | Лабораторные методы исследования не имеют самостоятельного значения | Общий клинический анализ крови - повышение количества эозинофилов (норма 0-5). |
Лечение
ликвидация воспалительного процесса и увеличение периода ремиссии.
Тактика лечения: [4,5,7,8,9,10,12] лечение проводится на амбулаторном уровне.
Объем лечебных мероприятий определяется формой болезни, размером очага, быстротой развития процесса.
Немедикаментозное лечение: [4,5,7,10] Режим III. Стол №15.
Медикаментозное лечение: [4,5,7,8,9,10,12]
Медикаментозное лечение, оказываемое на амбулаторном уровне:
Местная медикаментозная терапия:
Обезболивающие препараты:
1. Лидокаина гидрохлорид, 1% для аппликаций на слизистую полости рта перед приемом пищи до стихания болевых ощущений.
При непереносимости:
2. Прокаин, 5мг/мл, 0,5%, для аппликаций на слизистую полости рта, с целью обезболивания перед приемом пищи и обработкой элементов поражения до стихания болевых ощущений.
Антисептики:
3. Хлоргексидина биглюконат, 0,05%, для обработки полости рта 3 раза в день в течение 10 дней.
Противовирусные препараты (выбрать один из них):
4. Ацикловир, 5%, для аппликаций на слизистую оболочку 3-4 раза в день в течение 7-14 дней в зависимости от степени тяжести.
5. Пенцикловир, 1%, для аппликаций на пораженный участок каждые 2 ч (примерно 8 раз/сут), курс в течение 4 дней Интерферон, 2 мл, растворить в 2 мл теплой воды в виде аппликаций 5-6 раз в день в течение 7-14 дней в зависимости от степени тяжести.
Эпителизирующие препараты:
6. Токоферола ацетат, 30%, в виде аппликаций на слизистую полости рта, 3 раза в день до полной эпителизации элементов поражения.
Общая медикаментозная терапия:
Нестероидные противовоспалительные препараты (выбрать один из них):
1. Парацетамол, 500мг, перорально, 1таблетка 3 раз в сутки, максимально до 5-7 дней.
2. Ибупрофен, 200мг, 1 таблетка 3 раза в сутки, максимальная суточная доза 2,4г, максимально не более 5 дней.
Противовирусные препараты (выбрать один из них):
3. Ацикловир, 200мг, перорально, 1 таблетка 5 раз в день в течение 7-14 дней в зависимости от степени тяжести.
Другие виды лечения: нет.
Хирургическое вмешательство: нет.
Индикаторы эффективности лечения:
удовлетворительное состояние, стойкая ремиссия.
Препараты (действующие вещества), применяющиеся при лечении
| Ацикловир (Acyclovir) |
| Ибупрофен (Ibuprofen) |
| Лидокаин (Lidocaine) |
| Парацетамол (Paracetamol) |
| Пенцикловир (Penciclovir) |
| Прокаин (Procaine) |
| Токоферол (Tocopherol) |
| Хлоргексидин (Chlorhexidine) |
Госпитализация
Показания для госпитализации с указанием типа госпитализации:
Показания для плановой госпитализации: нет.
Показания для экстренной госпитализации: тяжелое течение с риском развития энцефалита, менингита.
Профилактика
Профилактические мероприятия:
· устранение контакта с этиологическим фактором;
· общее оздоровление организма;
· диспансерное наблюдение;
Дальнейшее ведение: диспансерное наблюдение два раза в год.
Информация
Источники и литература
- Протоколы заседаний Экспертного совета РЦРЗ МЗСР РК, 2015
- Список использованной литературы: 1. Приказ МЗ РК №473 от 10.10.2006г. «Об утверждении Инструкции по разработке и совершенствованию клинических руководств и протоколов диагностики и лечения заболеваний». 2. Анисимова И.В., Недосеко В.Б., Ломиашвили Л.М. Заболевания слизистой оболочки рта и губ. - 2005. - 92 с. 3. Диагностика в терапевтической стоматологии: Учебное пособие / Т.Л.Рединова, Н.Р.Дмитракова, А.С.Япеев и др. - Ростов н/Д.: Феникс, 2006. -144с. 4. Заболевания слизистой оболочки полости рта и губ / Под ред. Проф.Е.В.Боровского, проф.А.Л.Машкиллейсона. - М.:МЕДпресс, 2001. -320с. 5. Зазулевская Л.Я. Болезни слизистой оболочки полости рта. Учебник для студентов и практических врачей. - Алматы, 2010. - 297 с. 6. Лангле Р.П., Миллер К.С. Атлас заболеваний полости рта: Атлас / Перевод с английского под ред. Л.А.Дмитриевой. -М.: ГЭОТАР-Медиа, 2008. -224с. 7. Терапевтическая стоматология. Национальное руководство. Москва, Гэотар-Медиа, 2009, 908с. 8. Hügler P , Siebrecht P , Hoffmann K , Stücker M , Windeler J , Altmeyer P and Laubenthal H. Prevention of postherpetic neuralgia with varicella-zoster hyperimmune globulin.- European journal of pain (London, England), 2002, 6(6), 435 9. Gopal MG , Shannoma , Sharath Kumar BC , Ramesh M , Nandini AS and Manjunath NC. A Comparative study to evaluate the efficacy and safety of acyclovir and famciclovir in the management of herpes zoster.- Journal of Clinical and Diagnostic Research, 2013, 7(12), 2904 10. Laskaris G. Treatment of Oral Diseases. A Concise Textbook.- Thieme, Stuttgart/New York, 2006, p.300 11. Laskaris G. Color Atlas of Oral Diseases, 3rd edition.- Stuttgart: ThiemeVergal, 2003 12. Pan B-C , Hou X-W and Li X-P. Curative effect of recombinant human interferon alpha2b gel combined with aciclovir on herpes zoster.- Chinese Journal of Biologicals, 2008, 21(8), 711
Информация
Список разработчиков протокола с указание квалификационных данных:
1. Есембаева Сауле Сериковна - доктор медицинских наук, профессор, директор Института стоматологии Казахского Национального медицинского университета им.С.Д.Асфендиярова;
2. Баяхметова Алия Алдашевна - доктор медицинских наук, профессор, заведующая кафедры терапевтической стоматологии Казахского Национального медицинского университета им.С.Д.Асфендиярова;
3. Сухочева Татьяна Михайловна - кандидат медицинских наук, ассистент кафедры терапевтической стоматологии Казахского Национального медицинского университета им.С.Д.Асфендиярова;
4. Тулеутаева Светлана Толеуовна - кандидат медицинских наук, зав.кафедры стоматологии детского возраста с курсом хирургической стоматологии Карагандинского государственного медицинского университета;
5. Манекеева Замира Тауасаровна - врач стоматолог Института стоматологии Казахского Национального медицинского университета им.С.Д.Асфендиярова.
6. Тулеутаева Райхан Есенжановна - кандидат медицинских наук, доцент кафедры фармакологии и доказательной медицины Государственного медицинского университета г.Семей .Указание на отсутствие конфликта интересов: нет
Рецензенты:
1. Жаналина Бахыт Секербековна - доктор медицинских наук, профессор РГП на ПХВ Западно-Казахстанский государственный медицинский университет им. М.Оспанова, заведующая кафедрой хирургической стоматологии и стоматологии детского возраста;
2. Маргвелашвили Владимир Владимирович - доктор медицинских наук, профессор, руководитель Департамента стоматологии и челюстно-лицевой хирургии Тбилисского государственного университета им. И. Джавахишвили.Указание условий пересмотра протокола: пересмотр протокола через 3 года и/или при появлении новых методов диагностики и/или лечения с более высоким уровнем доказательности.
Опоясывающий герпес (опоясывающий лишай) - симптомы и лечение
Что такое опоясывающий герпес (опоясывающий лишай)? Причины возникновения, диагностику и методы лечения разберем в статье доктора Александрова Павла Андреевича, инфекциониста со стажем в 14 лет.
Над статьей доктора Александрова Павла Андреевича работали литературный редактор Маргарита Тихонова , научный редактор Сергей Федосов
Определение болезни. Причины заболевания
Опоясывающий герпес (опоясывающий лишай) — это инфекционное заболевание, которое возникает у людей, переболевших ветряной оспой. Его вызывает вирус Varicella zoster (вирус ветряной оспы), который активизируется из латентного состояния и поражает задние корешки спинного мозга, межпозвоночные нервные узлы (ганглии) и кожу.
Клинически характеризуется умеренно выраженным синдромом общей инфекционной интоксикации, везикулёзной сыпью по ходу чувствительных нервов, вовлечённых в процесс, и выраженными болями.
![Опоясывающий герпес: сыпь по ходу чувствительных нервов]()
Этиология
Семейство — Herpesviridae (от греч. herpes — ползучий)
Вид — вирус герпеса 3 типа — Varicella zoster (VZV, HHV-3).
Varicella zoster — ДНК-содержащий клеточно-ассоциированный вирус овальной формы. В диаметре он достигает 120-179 нм. Покрыт липидной оболочкой с гликопротеиновыми шипиками. Имеет антигены как снаружи, так и внутри (сердцевинные антигены). Их количество и качество непостоянно. Других вариантов патогена не найдено.
![Varicella zoster]()
После того, как человек перенёс ветряную оспу, вирус ретроградным обратным путём перемещается по отросткам нервных клеток (аксонам) к ганглиям. Там он пожизненно сохраняется в латентном состоянии. Антигены вируса на поверхности инфицированных нейронов отсутствуют. Это не позволяет иммунной системе распознать данные клетки.
Для животных непатогенен. Очень неустойчив во внешней среде, изменяется при нагревании. Солнечная радиация, свежий воздух при проветривании, стандартные дезинфицирующие средства и жирорастворители убивают вирус почти мгновенно [1] [2] [5] [7] [9] [10] .
Эпидемиология
Заболеванию подвержены люди, которые перенесли ветряную оспу (как правило, давно) при снижении иммунореактивности организма. К ним относятся пожилые, беременные, ВИЧ-инфицированные, люди после стресса или трансплантации органов — получающие иммуносупрессивную терапию (подавление нежелательных реакций иммунной системы) и другие иммунодепрессированные контингенты.
Так как заболевание развивается из-за реактивации вируса, уже находящегося в организме, опоясывающий герпес называют эндогенной болезнью.
Заболевание не носит массовый характер. У него нет чёткой сезонности. Чуть чаще болеют женщины и представители белой расы.
Люди с опоясывающим герпесом являются источником распространения вируса и могут быть опасны в плане заражения ветряной оспой у ранее не болевших людей, особенно детей.
В среднем заболеваемость находится на уровне 10-12 случаев на 1000 человек старше 60 лет. В последнее десятилетие наблюдается рост заболеваемости в более младших возрастных группах.
У ВИЧ-инфицированных опоясывающий герпес — достаточно частое проявление при снижении уровня СД4 (белых кровяных телец) ниже 0,5 на 10 9 /л. При отсутствии прогрессирующей иммуносупрессии повторные рецидивы наблюдаются редко (не более 5 % случаев) [1] [3] [5] [7] [10] .
При обнаружении схожих симптомов проконсультируйтесь у врача. Не занимайтесь самолечением - это опасно для вашего здоровья!
Симптомы опоясывающего герпеса
Инкубационный период в привычном понимании отсутствует, так как опоясывающий герпес — это не первичная инфекция. Может пройти вся жизнь, а манифестация так и наступит, хотя вирус в организме присутствует.
Предугадать развитие болезни сложно. Её начало и проявления широко различаются и зависят от степени тяжести. Заболеванию может предшествовать стресс, травма или ОРЗ.
Выделяют симптоматику отдельных форм опоясывающего лишая.
Ганглиокожная форма
Эта форма начинается с продромы — лёгкое недомогание, нарушения чувствительности, умеренные болевые ощущения в местах будущих высыпаний. Этот период длится до семи дней. Затем боли становятся выраженными, появляется лихорадка, умеренно выраженный синдром общей инфекционной интоксикации. Иногда боли усиливаются даже при дуновении ветра (т.н. аллодинические боли — от неболевых раздражителей).
Через 3-10 дней в этих местах на фоне покраснения появляется везикулёзная сыпь. При этом интенсивность боли обычно снижается. Сыпь возникает с одной стороны, ограниченная областью иннервации одного сенсорного ганглия. Везикулы имеют тенденцию к группировке.
![Везикулёзная сыпь при опоясывающем герпесе]()
В дальнейшем содержимое везикул мутнеет, иногда вскрывается. Через 4-5 дней от появления сыпи появляются корочки. Они исчезают на 2-4 неделе болезни.
![Образовавшиеся корочки]()
Разрешаются в ысыпания бесследно, но только при отсутствии расчёсов и глубоких воспалительных повреждений. А вот болевые феномены могут сохраняться длительно, иногда до года. Это требует своевременной противовирусной терапии и купирования боли.
В целом боли при опоясывающем герпесе достаточно выраженные, усиливаются при движении, прикосновении (даже незначительном). Их можно расценить как острые (с продромы и до одного месяца), подострые (1-4 месяца) и хронические (более 4 месяцев - постгерпетическая невралгия - типичная нейропатическая боль). Характер болей может быть различным - постоянным и спонтанным, чаще жгучим, давящим. Иногда боли сравнивают с ударом тока. Они могут причинять значительные физические страдания больным, нарушать сон, изматывать пациента.
Локализация болей и сыпи соответствует проекции поражённых нервов.
![Локализация опоясывающего герпеса]()
Глазная форма
Высыпания появляются на лице, носе и глазах. Это связано с поражением тройничного нерва и гассерова узла. Сыпь распространяется от уровня глаза до теменной области, резко прерывается по срединной линии лба. Иногда процесс затрагивает глаз.
![Глазная форма опоясывающего герпеса]()
Ушная форма
Поражается коленчатый узел. При этом захватывается ушная раковина, наружный слуховой проход. Может возникнуть паралич лицевого нерва и лицевой мускулатуры — т.н. синдром Ханта. Теряется вкусовая чувствительность.
![Высыпания в ухе и парез лицевого нерва]()
Гангренозная (некротическая) форма
Возникает глубокое поражение кожи. Формируются грубые рубцы, иногда с геморрагическим пропитыванием содержимого — геморрагическая форма. Чаще всего развивается у пожилых людей с отягощённым соматическим анамнезом — сахарным диабетом, язвенной болезнью и т. д.
![Гангренозный опоясывающий герпес]()
Менингоэнцефалитическая форма
Чаще наблюдается при расположении сыпи на голове. Повышается температура, возникают головные боли, тошнота и рвота, не приносящая облегчения, менингеальный синдром, нарушения сознания, кома. Летальность при этом состоянии — свыше 60 %.
Диссеминированная форма
Возникает при СПИДе. Высыпания распространяются по всему кожному покрову. Часто при этом поражаются внутренние органы — лёгкие, мозг, печень, почки. Прогноз неблагоприятный.
Ганглионевралгическая форма
Характерные высыпания отсутствуют, но есть явный болевой синдром. Диагностика крайне затруднительна. Из-за очень позднего диагноза лечение сводиться лишь к купированию боли. Применение противовирусных препаратов в отсроченный период явно не влияет на процесс.
Опоясывающий герпес при беременности
У беременных опоясывающий герпес (при отсутствии ВИЧ) обычно не имеет каких-либо отличий. Он не влияет на течение беременности и не вызывает поражения плода/ребёнка [2] [3] [6] [8] [10] .
Патогенез опоясывающего герпеса
Даже спустя много лет после перенесённой ветряной оспы вирус сохраняется в межпозвоночных нервных узлах и задних корешках спинного мозга. Под воздействием провоцирующего фактора (ВИЧ, стресса, приёма иммунодепрессантов, онкологии, радиации, пересадки органов и других) он активизируется и выходит из нервных клеток. Продвигаясь по аксонам чувствительных нервных стволов (чаще межрёберных, тройничного нерва) до кожного покрова, вызывает характерное поражение кожи — болезненную везикулёзную сыпь.
Такой процесс происходит у людей с наличием специфических антител класса G в низких концентрациях и сниженным уровнем клеточного иммунитета.
![Проникновение вируса ветряной оспы в кожу]()
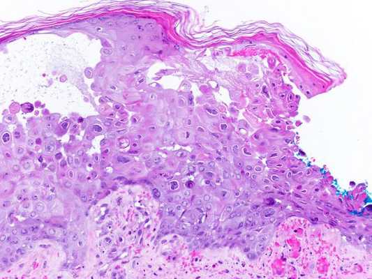
Патоморфологические изменения кожи напоминают изменения при простом герпесе:
- возникает внутриклеточный и межклеточный отёк эпидермиса;
- в верхних отделах росткового слоя образуются пузырьки;
- происходит баллонирующая дегенерация и дистрофия цитоплазмы — клетки шиповатого слоя округляются, увеличиваются и отделяются друг от друга и разрушаются;
- появляются гигантские клетки, которые содержат несколько ядер, в том числе с эозинофильными включениями.
![Строение кожи при опоясывающем герпесе]()
В патогенезе болезни ведущими являются не эпителиотропные свойства вируса, а нейротропные. Из-за часто повторяющихся болевых стимулов, частичного повреждения миелиновой оболочки, покрывающей аксоны и нейроны, и участков чувствительных нервов вирус повышает чувствительность ноцицепторов центральной нервной системы [1] [2] [5] [7] [10] .
Классификация и стадии развития опоясывающего герпеса
МКБ-10 (Международная классификация болезней) выделяет семь вариантов опоясывающего герпеса (B02):
- B02.0 — опоясывающий лишай с энцефалитом;
- B02.1 — опоясывающий лишай с менингитом;
- B02.2 — опоясывающий лишай с другими осложнениями со стороны нервной системы: постгерпетический ганглионит узла коленца лицевого нерва, полиневропатия, невралгия тройничного нерва;
- B02.3 — опоясывающий лишай с глазными осложнениями: блефарит, конъюнктивит, иридоциклит, ирит, кератит, кератоконъюнктивит, склерит;
- B02.7 — диссеминированный опоясывающий лишай;
- B02.8 — опоясывающий лишай с другими осложнениями;
- В02.9 — опоясывающий лишай без осложнений.
По клинической картине выделяют две основные формы заболевания:
- Типичная (без осложнений и с осложнениями):
- эритематозная — покраснения;
- везикулёзная — покраснение с образованием везикул (пузырьков);
- пустулёзная — покраснение, везикулы, нагноение пузырьков;
- буллёзная — тяжело протекающая форма с появлением на коже пузырей, наполненных экссудатом, впоследствии нередко нагнаивающихся.
- Атипичная (без осложнений, с осложнениями):
- абортивная — наблюдается лишь гиперемия, иногда возникают папулы, но без везикул, т. е. без пузырьков;
- геморрагическая — содержимое везикул пропитывается кровью;
- гангренозная — с некрозом тканей;
- генерализованная — обширные высыпания, поражающие несколько участков кожи;
- диссеминированная (в т. ч. у ВИЧ-инфицированных) — обширные высыпания с поражениями внутренних органов; крайне неблагоприятный прогноз;
- опоясывающий герпес с поражением органа зрения (офтальмогерпес с развитием кератита, эписклерита, иридоциклита) и неврита зрительного нерва;
- опоясывающий герпес с поражением слизистой полости рта, глотки, гортани, ушной раковины и слухового прохода.
По степени тяжести заболевание может быть:
- лёгким;
- среднетяжёлым;
- тяжёлым (с осложнениями) [1][2][10]
Осложнения опоясывающего герпеса
- Поперечный миелит — острое воспаление серого и белого вещества одного или нескольких прилегающих сегментов спинного мозга. Возникают головные, шейные и спинные боли. Затем добавляется чувство слабости, опоясывающей скованности груди и живота — двигательные параличи, задержка мочи и кала. Для диагностики проводится МРТ и анализы ликвора.
- Менингоэнцефалит — резкое повышение температуры, сильная головная боль, тошнота, рвота, менингеальный симптомы, нарушение сознания. Диагностируется с помощью МРТ и анализов ликвора. Прогноз неблагоприятный.
- Офтальмогерпес — покраснение, нарушение зрения, боль в глазу. В итоге приводит к глаукоме и слепоте.
- Отит — боли в ухе, повышение температуры тела, выделения из уха, нарушения слуха. Может привести к глухоте.
- Ганглионеврит — воспаление нервного ганглия с относящимися к нему нервными стволами. Сопровождается выраженными стреляющими, жгучими болезненными ощущениями, которые возникают из-за малейших воздействий на поражённый очаг. Возникает в основном у пожилых больных при отсутствии своевременного лечения.
- Бактериальная суперинфекция — нагноение участков высыпаний.
![Бактериальная суперинфекция]()
- Диссеминация у больных СПИДом — распространение вируса. Приводит к бронхиту, эзофагиту, гастриту, колиту, циститу, миозиту, перикардиту, плевриту, перитониту, пневмонии, гепатиту, миокардиту и артриту[1][4][9][10] .
Диагностика опоясывающего герпеса
Лабораторная диагностика:
- Клинический анализ крови: нормоцитоз (нормальные размеры эритроцитов) или лейкопения (сниженное количество лимфоцитов). При присоединении вторичной флоры возможен нейтрофильный лейкоцитоз — чрезмерно повышенный уровень нейтрофилов. СОЭ в норме или повышена.
- Биохимический анализ крови: как правило, без существенных отклонений, зависит от распространённости процесса и наличия сопутствующих заболеваний.
- ИФА-диагностика крови: выявление повышенного титра IgG антител как маркера инфицирования вирусом, нарастание титра в 4 раза, иногда появление IgM к вирусу ветряной оспы.
- ПЦР биологического материала (отделяемого высыпаний, ликвора, крови): выявление ДНК вируса.
- Экспресс-методы — изучение под микроскопом мазков-отпечатков из высыпаний: обнаруживаются гигантские многоядерные клетки — симпласты — с внутриядерными включениями и специфические антигены с моноклональными антителами. Проводится в основном в научных целях.
- Общий анализ мочи неинформативен [1][2][5][7][9][10] .
Дифференциальная диагностика:
- везикулёзный осповидный риккетсиоз — пребывание на очаговой территории, факт укусу клеща, первичный аффект, панваскулит (воспаление стенок сосуда), генерализованная лимфаденопатия;
- инфекция простого герпеса — одиночные пузырьки, чаще в области губ и половых органов, отсутствие явных болей; — контакт с больным ветряной оспой или опоясывающим герпесом, отсутствие ветряной оспы в прошлом, единичные несливающиеся везикулы по всему телу, отсутствие болей в местах высыпаний;
- энтеровирусная инфекция — теплое время года, преимущественное поражение кистей и стоп, в основном папулёзные элементы сыпи, часто в совокупности с синдромом поражение ЖКТ;
- укусы блох и клопов — яркая зудящая сыпь — папулы, гиперемия в местах укусов — первичные аффекты, наличие элементов в основном на открытых участках кожи;
- болевая форма терапевтических заболеваний до характерных высыпаний — стенокардия, инфаркт, печёночная и почечная колики — заключение делается на основании характерных изменений биохимии, УЗИ и ЭКГ;
- рожистое воспаление — отсутствие везикул, характерный вид пламени [1][3][4][10] .
Лечение опоясывающего герпеса
Пациентов с тяжёлыми формами опоясывающего герпеса необходимо госпитализировать в инфекционный стационар. Остальные больные при отсутствии серьёзных сопутствующих состояний могут лечиться на дому.
В первую очередь показан приём препаратов прямого противогерпетического действия (на основе ацикловира) в высоких дозировках. Он снижает выраженность и длительность инфекционного и постинфекционного (болевой синдром) процесса.
Начать такое лечение нужно как можно раньше — не позднее семи дней от начала болезни и трёх дней от появления сыпи.
При применении препаратов в более поздние сроки их эффективность резко снижается, так как вирус уже достиг пика своего развития и вызвал каскад иммунонейропатологических реакций.
Использование местных средств против герпеса — мазей и кремов — оказывает слабый терапевтический эффект.
Для подсушивающего, местного антисептического действия используют любой местный антисептик подобного рода — цинковые болтушки, растворы бриллиантового зелёного.
При обширных поражениях, сопровождающихся выраженной воспалительной реакцией, используются противовоспалительные средства, глюкокортикостероиды и противоаллергические препараты.
При выраженных болях (ганглионевритах) стандартные противоболевые средства (НПВС) малоэффективны, поэтому предпочтение следует отдавать антиконвульсантам центрального действия и антидепрессантам. Физиотерапия ослабляет болевые ощущения. Приём витаминов, БАДов и т. п. явного значения не имеет [1] [2] [3] [8] [10] .
Прогноз. Профилактика
При неосложнённых и локализованных формах болезни прогноз благоприятный. При развитии ганглионевритических болей может существенно снизиться качество жизни на достаточно длительный срок (до года), а при менингоэнцефалитической и диссеминированной формах — на ещё более серьёзный срок, нередки летальные исходы.
Профилактика болезни в очаге заражения не проводится. Если опоясывающим герпесом болел ВИЧ-инфицированный пациент, то достаточно проветрить помещение.
В целях неспецифической профилактики опоясывающего герпеса нужно постараться вести здоровый образ жизни, сбалансировано и полноценно питаться, избегать стрессовых ситуаций.
В качестве специфической профилактики используются вакцины против ветряной оспы — "Варилрикс" и "Окавакс". Их можно делать как до болезни ветряной оспы (детям и неболевшим взрослым), так и после (пожилым людям с риском реактивации вируса).
Опоясывающий лишай (опоясывающий герпес)
Что такое Опоясывающий лишай (опоясывающий герпес) -
Опоясывающий лишай (herpes zoster, опоясывающий герпес) - спорадическое заболевание, возникающее в результате активизации латентного вируса ветряной оспы. Характеризуется воспалением задних корешков спинного мозга и межпозвоночных ганглиев, а также появлением лихорадки, общей интоксикации и везикулезной экзантемы по ходу вовлеченных в процесс чувствительных нервов.
Заболевают лица, ранее перенесшие ветряную оспу. Заболевают преимущественно лица пожилого и старческого возраста. Частота заболевания варьирует от 5 до 10 на 1000 человек в возрасте 60-80 лет. У некоторых больных (около 2% среди больных с нормальным иммунитетом и у 10% больных с иммунодефицитами) заболевание возникает повторно. При контакте не болевших ранее детей с больными опоясывающим лишаем у них развивается типичная ветряная оспа.
Что провоцирует / Причины Опоясывающего лишая (опоясывающего герпеса):
Возбудитель заболевания - вирус семейства Herpesviridae, вызывающий опоясывающий лишай и ветряную оспу. Как и многие другие представители семейства Herpesviridae, вирус нестоек во внешней среде: быстро гибнет при нагревании, под воздействием ультрафиолетовых лучей и дезинфицирующих средств. Способен долго сохраняться при низкой температуре и выдерживать повторное замораживание.
Патогенез (что происходит?) во время Опоясывающего лишая (опоясывающего герпеса):
Опоясывающий лишай часто возникает у лиц, которые подвергаются различным воздействиям, ослабляющим иммунитет (больные лейкозами, лимфогранулематозом, новообразованиями, получающие химиотерапию, длительно получающие кортикостероиды и иммунодепрессанты, особенно часто инфекция развивается у больных с синдромом приобретенного иммунодефицита). Заболевают лица старческого возраста в связи с возрастным снижением иммунной защиты. В результате активизируется латентная инфекция вирусом ветряной оспы, который в течение нескольких десятилетий сохранялся в организме, не вызывая каких-либо клинических проявлений. Обязательным компонентом активизации инфекции является своеобразный вирусный ганглионеврит с поражением межпозвоночных ганглиев (или ганглиев черепных нервов) и поражение задних корешков. Вирус может вовлекать в процесс вегетативные ганглии и обусловливать менингоэнцефалит. Могут поражаться и внутренние органы. Таким образом, в картине опоясывающего лишая в отличие от ветряной оспы на первый план выступают не столько эпителиотропные, сколько нейротропные свойства вируса.
Симптомы Опоясывающего лишая (опоясывающего герпеса):
Инкубационный период при опоясывающем лишае (от перенесения первичной инфекции до активизации) продолжается многие годы.
Начальный период заболевания может проявляться продромальными признаками: головной болью, недомоганием, субфебрильной температурой тела, познабливанием, диспептическими расстройствами. Одновременно могут возникать боли, жжение и зуд, а также покалывание и парестезии по ходу периферических нервных стволов в зоне будущих высыпаний. Интенсивность этих субъективных локальных признаков различна у отдельных больных. Продолжительность начального периода варьирует от 1 до 3-4 сут; у взрослых его наблюдают чаще и он обычно длиннее, чем у детей.
Сначала экзантема имеет вид ограниченных розовых пятен величиной 2-5 мм, однако в тот же или на следующий день на их фоне образуются мелкие, тесно сгруппированные везикулы с прозрачным серозным содержимым, расположенные на гиперемированном и отёчном основании. В большинстве случаев экзантему сопровождают увеличение и болезненность регионарных лимфатических узлов; у детей часто выявляют признаки катара верхних дыхательных путей.
Экзантема локализуется соответственно проекции того или иного чувствительного нерва. Чаще всего поражение бывает односторонним: по ходу межрёберных нервов, ветвей тройничного нерва на лице, реже по ходу нервов конечностей. В ряде случаев наблюдают поражение кожи в области гениталий. В динамике заболевания с промежутками в несколько дней могут появляться новые пятна с развитием на их фоне везикулярных элементов. Через несколько дней эритематозный фон, на котором располагаются везикулы, бледнеет, их содержимое становится мутным. В дальнейшем везикулы подсыхают, образуются корочки, отпадающие к концу 3-й недели заболевания, оставляя лёгкую пигментацию.
Повышенная температура тела держится несколько дней, симптомы токсикоза исчезают с её нормализацией.
Выделяют следующие клинические формы опоясывающего лишая:
1) ганглиокожные;
2) ушные и глазные;
3) гангренозную (некротическая);
4) опоясывающий лишай с поражением вегетативных ганглиев;
5) менингоэнцефалитическую;
6) диссеминированную;
7) абортивную.Наиболее распространенная ганглиокожная форма болезни начинается остро с лихорадки, симптомов общей интоксикации и резко выраженных жгучих болей в месте будущих высыпаний. Через 3-4 дня (иногда только через 10-12 дней) появляется характерная сыпь. Локализация болей и сыпи соответствует пораженным нервам (чаще межреберным) и имеет опоясывающий характер. Боли иногда становятся нестерпимыми, усиливаются при малейшем прикосновении к коже, при охлаждении, движении. На месте везикулезной сыпи вначале возникает инфильтрация и гиперемия кожи, на которой затем сгруппированно появляются пузырьки, заполненные прозрачным, а затем и мутным содержимым. Пузырьки засыхают и превращаются в корочки. Иногда болезнь характеризуется интоксикацией и невралгическими болями, сыпь отсутствует. При появлении кожных высыпаний боли становятся обычно менее интенсивными.
Характерные клинические симптомы имеют глазная и ушная формы опоясывающего лишая. При глазной форме поражается тройничный узел (гассеров узел) и высыпания локализуются по ходу ветвей тройничного нерва (на слизистых оболочках глаза, носа, на коже лица). При ушной форме в процесс вовлекается коленчатый узел, а высыпания появляются на ушной раковине и вокруг нее, могут быть и в наружном слуховом проходе. Может развиться паралич лицевого нерва. Высыпанию предшествуют симптомы общей интоксикации и лихорадка. Резко выражена невралгия тройничного нерва, которая может продолжаться в течение нескольких недель. При глазной форме наблюдаются специфический вирусный кератит, реже ирит, глаукома.
Гангренозная (некротическая) форма опоясывающего лишая развивается обычно у ослабленных лиц. Отмечается глубокое поражение кожи с формированием в последующем рубцов. Можно думать, что в генезе этих форм определенную роль играет наслоение бактериальной инфекции.
Менингоэнцефалитическая форма встречается относительно редко. Заболевание отличается тяжелым течением, летальность выше 60%. Эта форма начинается с ганглиокожных проявлений, чаще в области межреберных нервов, хотя может быть и в шейном отделе. В дальнейшем появляются симптомы менингоэнцефалита (атаксия, галлюцинации, гемиплегия, менингеальные симптомы, может наступить кома). Время от появления кожных высыпаний до развития энцефалопатии колеблется от 2 дней до 3 нед.
Генерализованная форма. Иногда через несколько дней после возникновения локализованной экзантемы единичные или множественные везикулы появляются на всех участках кожи и даже на слизистых оболочках, что нередко ошибочно расценивают как присоединение к опоясывающему герпесу ветряной оспы. При генерализованном характере экзантемы, а также в тех случаях, когда локализованный герпес не проходит в течение 2-3 нед, следует подозревать иммунодефицит или развитие злокачественных новообразований.
Абортивная форма. Характерны быстрое исчезновение эритематозно-папулёзной сыпи и отсутствие везикул.
Любая из приведенных выше форм может сопровождаться поражением вегетативных ганглиев с развитием необычных для опоясывающего лишая симптомов (вазомоторные расстройства, синдром Горнера, задержка мочеиспускания, запоры или понос).
Тяжесть заболевания часто непосредственно связана с локализацией экзантемы. Случаи с расположением высыпаний в области иннервации надглазничного, лобного и носоресничного нервов отличают интенсивные невралгические боли, гиперемия и отёк кожи, поражение век, а иногда и роговицы.
Длительность клинических проявлений опоясывающего герпеса при абортивной форме составляет в среднем несколько дней, при остром течении - 2-3 нед, при затяжном - более месяца.
Боли в области экзантемы при опоясывающем лишае имеют выраженный вегетативный характер: они жгучие, приступообразные, усиливаются в ночные часы и нередко сопровождаются выраженными эмоциональными реакциями. Часто наблюдают локальные парестезии и расстройства кожной чувствительности. Возможны корешковые парезы лицевого и глазодвигательных нервов, конечностей, брюшных мышц, сфинктера мочевого пузыря.
Заболевание может протекать с развитием серозного менингита; воспалительные изменения в ликворе не всегда сопровождаются выраженной менингеальной симптоматикой. В редких случаях в острый период наблюдают энцефалит и менингоэнцефалит. Описаны случаи полирадикулоневропатии и острой миелопатии.
За первым эпизодом опоясывающего лишая обычно следует стойкая ремиссия; рецидивирование заболевания наблюдают не более чем в нескольких процентах случаев. Большинство больных выздоравливают без остаточных явлений, однако невралгические боли могут сохраняться долго, в течение нескольких месяцев и даже лет.
Осложнения опоясывающего лишая: поперечный миелит, сопровождающийся двигательным параличом.
Опоясывающий лишай у ВИЧ-инфицированных и с другими иммунодефицитами протекает тяжелее. Длительность периода появления сыпи увеличивается до 1 нед, корки, покрывающие пузырьки, подсыхают не ранее 3-й недели заболевания. Наибольшему риску развития прогрессирующего опоясывающего лишая подвержены больные лимфогранулематозом или лимфомой, примерно у 40% из них может быть сыпь, распространенная по всей поверхности кожи. У 5-10% лиц с диссеминированными кожными проявлениями развивается вирусная пневмония, менингоэнцефалит, гепатит и другие тяжелые осложнения.
Диагностика Опоясывающего лишая (опоясывающего герпеса):
При развернутой клинической картине ганглиокожных форм опоясывающего лишая диагноз трудностей не представляет. Ошибки часто возникают в начальном периоде болезни, когда имеются симптомы интоксикации, лихорадка и резкие боли. В этих случаях ошибочно ставят диагноз стенокардии, плеврита, инфаркта легкого, почечной колики, острого аппендицита и др. Дифференцируют от простого герпеса, рожи, острой экземы; генерализованную форму опоясывающего лишая - от ветряной оспы. Для лабораторного подтверждения диагноза используются обнаружение вируса при микроскопии или с помощью иммунофлюоресцентного метода, выделение вируса на культурах тканей, серологические методы.
Лабораторную диагностику опоясывающего лишая в широкой практике не проводят.
Лечение Опоясывающего лишая (опоясывающего герпеса):
Впервые дни болезни проводятся мероприятия, направленные на борьбу с интоксикацией, снятие болей и предупреждение генерализации инфекции. Широкое распространение ветряной оспы обусловливает наличие антител в нормальном человеческом иммуноглобулине. Этот препарат назначают внутримышечно возможно раньше в дозе 5-10 мл. Достаточно однократного введения. Обязательно введение человеческого иммуноглобулина при лечении лиц, у которых болезнь возникла на фоне применения цитостатиков, кортикостероидов, иммунодепрессантов, при наличии тяжелых сопутствующих заболеваний (лейкозы, лимфогранулематоз, ВИЧ-инфекция и др.). Препараты, угнетающие иммуногенез, должны быть отменены. Антибиотики назначают лишь при возникновении вторичных бактериальных осложнений. При высокой лихорадке для борьбы с интоксикацией вводят 5% раствор глюкозы, раствор Рингера-Локка, изотонический раствор натрия хлорида. Назначают витамины. Трудную задачу представляет снятие мучительных болей. Используют ненаркотические анальгетики в сочетании с транквилизаторами, иногда приходится прибегать к назначению наркотиков. Дополнительно проводят электрофорез новокаина, новокаиновую блокаду, назначают диатермию.
При появлении герпетических высыпаний местно применяют те же препараты, что и при ветряной оспе. При гангренозных формах повторно вводят увеличенные дозы (10-20 мл) нормального человеческого иммуноглобулина, внутримышечно назначают антибиотики, обладающие противостафилококковой активностью (оксациллин, эритромицин, гентамицин, рифампицин). Местно используют мази, содержащие антибиотики (тетрациклиновая, эритромициновая). При тяжелых формах болезни используют внутривенное введение рибавирина в дозе 15 мг/кг в сутки в виде длительной (в течение 12 ч) внутривенной инфузии. Введение ацикловира не уменьшает болей, но предупреждает развитие висцеральных осложнений.
Прогноз благоприятный, за исключением энцефалитической формы.
Профилактика Опоясывающего лишая (опоясывающего герпеса):
К каким докторам следует обращаться если у Вас Опоясывающий лишай (опоясывающий герпес):
Вас что-то беспокоит? Вы хотите узнать более детальную информацию о Опоясывающего лишая (опоясывающего герпеса), ее причинах, симптомах, методах лечения и профилактики, ходе течения болезни и соблюдении диеты после нее? Или же Вам необходим осмотр? Вы можете записаться на прием к доктору .
Опоясывающий герпес (herpes zoster) (опоясывающий лишай)
Опоясывающий герпес (опоясывающий лишай) - вирусная инфекция человека, поражающая кожные покровы и нервную систему, имеющая общую этиологию и тесную патогенетическую связь с ветряной оспой. Согласно современным представлениям, опоясывающий герпес относят к инфекционным заболеваниям в силу вирусной природы, контагиозности больных, развития при нём типичной клинической триады - общих инфекционных симптомов, характерной экзантемы и разнообразных неврологических нарушений с поражениями ЦНС и периферической нервной системы.
Возбудитель заболевания - вирус семейства Herpesviridae , вызывающий опоясывающий лишай и ветряную оспу. Как и многие другие представители семейства Herpesviridae, вирус нестоек во внешней среде: быстро гибнет при нагревании, под воздействием ультрафиолетовых лучей и дезинфицирующих средств. Способен долго сохраняться при низкой температуре и выдерживать повторное замораживание.
Опоясывающий герпес встречают в виде спорадических случаев; заболеваемость повышается в холодное время года. Заболевают преимущественно лица старшего возраста, ранее перенёсшие ветряную оспу. Индекс заболеваемости составляет 12-15 на 100 000 населения. У небольшой части больных герпес возникает повторно. Контагиозность больных с опоясывающим герпесом доказана ещё в 1888 г., когда были описаны случаи заболевания ветряной оспой детей, контактировавших с больными опоясывающим герпесом. В дальнейшем накоплено много наблюдений, свидетельствующих о том, что у детей, ранее не болевших и контактировавших с больным опоясывающим лишаем, развивается типичная ветряная оспа.
Опоясывающий герпес развивается как вторичная эндогенная инфекция у лиц, перенёсших ветряную оспу в клинически выраженной или латентной форме. Её основная причина - реактивация возбудителя после его длительной (от нескольких месяцев до десятков лет) латентной персистенции в организме, вероятнее всего в спинальных ганглиях и ганглиях черепных нервов. Патогенез латентной инфекции и лабораторные методы её выявления пока не изучены. Принято считать, что реактивация вируса и развитие клинических проявлений в виде опоясывающего герпеса происходят при ослаблении иммунитета (прежде всего клеточного) и могут быть спровоцированы различными факторами: стрессовыми состояниями, физическими травмами, переохлаждением, инфекционными заболеваниями и т.д. Риск возникновения опоясывающего лишая значительно возрастает у лиц пожилого и преклонного возраста, а также у больных, страдающих онкологическими и гематологическими заболеваниями, получающих гормональную, лучевую терапию и химиотерапию.
В основе патологоанатомической картины заболевания лежат воспалительные изменения в спинальных ганглиях и связанных с ними участках кожных покровов, иногда также в задних и передних рогах серого вещества, задних и передних корешках спинного мозга и мягких мозговых оболочках.
Буллёзная форма. Везикулы сливаются в крупные пузыри, содержимое которых может стать геморрагическим (геморрагическая форма). В отдельных случаях множественные везикулы, тесно прилегающие друг к другу, образуют очаг поражения сливного характера в виде сплошной ленты; при его подсыхании образуется сплошной тёмный струп (некротическая форма).
В продромальный период в зависимости от локализации поражённого нерва дифференциальную диагностику проводят с плевритом, невралгией тройничного нерва, аппендицитом, почечной коликой, желчнокаменной болезнью. При появлении высыпаний дифференцируют с простым герпесом, ветряной оспой, рожей (при буллёзной форме опоясывающего герпеса), поражениями кожи при онкологических и гематологических заболеваниях, сахарном диабете и ВИЧ-инфекции.
Опоясывающий герпес отличает типичная клиническая триада - сочетание общеинфекционных симптомов, характерной, чаще односторонней экзантемы и разнообразных неврологических нарушений со стороны центральной и периферической нервной системы. Боли в области экзантемы жгучие, приступообразные, усиливаются в ночные часы. В динамике с промежутками в несколько дней могут появляться новые высыпания.
Читайте также:
- Рекомендации по анализу рентгенограммы пяточной кости в боковой проекции (медиолатеральной)
- Облитерирующий ксеротический баланит
- Этапы и техника операции при переломе латеральной лодыжки
- Лучевые признаки поражения легких при эозинофильном гранулематозе с полиангиитом
- Причины otopathia interna. Нарушения слуха и вестибулярной функции при артериосклерозе











