Рекомендации по анализу рентгенограммы пяточной кости в боковой проекции (медиолатеральной)
Добавил пользователь Валентин П. Обновлено: 21.11.2025

Рентген пяточной кости является самым доступным, информативным и относительно безопасным способом исследования костных и мягких тканей стопы. Такое исследование часто применяется в травматологии, хирургии, ортопедии и помогает выявлять как механические повреждения пятки, так и различные врождённые или приобретённые патологии в этой области.
К преимуществам рентгенографии относят:
- неинвазивность и точность;
- минимальную дозу облучения при высоком качестве снимка.
При использовании цифрового рентгеновского оборудования снимки можно увеличивать для более подробного рассмотрения, а также записывать на электронный носитель.
Что такое рентген пяточной кости?
Из всех костей стопы пяточная имеет наибольший размер. При ходьбе, беге, прыжках на неё приходится большая нагрузка, с чем и связан повышенный травматизм. Рентгеновское исследование позволяет понять, насколько серьёзной является травма пятки, увидеть, есть ли перелом и какого он вида (со смещением или без).
Другой распространённой проблемой считается такое заболевание стопы, как пяточная шпора. Возникает оно по причине ношения неправильной обуви, развития артрита или артроза, но чаще всего из-за сформировавшегося плоскостопия. Если данную болезнь не лечить, она может вызывать такие осложнения, как подпяточный бурсит (воспаление слизистых сумок) и фасциит (воспаление мышечной ткани стопы). Основным методом диагностики перечисленных патологий является рентген, который сегодня можно сделать практически в каждой государственной или частной клинике.
Показания к проведению рентгенографии пятки
Рассмотрим случаи, когда может быть назначена рентгенография пяточной кости:
- Травма стопы в области пятки. Причины возникновения разнообразны - травма на производстве, спортивная травма, перелом вследствие ДТП и так далее.
- Сильная боль в области пятки. Проявляется в основном утром или после дневного сна, когда человек после некоторого времени отдыха встаёт и опирается на пятку.
- Боли в области пятки при ходьбе.
- Измененная походка (смещение центра тяжести на пальцы).
- Подозрение на развитие болезней суставов - артрита, артроза.
- Подозрение на наличие воспалительных заболеваний костной ткани - остеомиелита и др.
- Подозрение на злокачественные и доброкачественные костно-суставные новообразования.
Что показывает рентген пяточной кости?

С помощью рентгена в первую очередь оценивается целостность пяточной кости. Затем анализируют её форму и расположение по отношению к другим костям стопы. При выявлении переломов пятки изучается их локализация и направленность. Если перелом оскольчатый, важно оценить, как расположены осколки, нет ли смещения.
На снимке довольно четко могут визуализироваться новообразования на кости пятки. В этом случае оцениваются: их размер и локализация, - после чего делается вывод о возможной природе отклонения.
Подготовка к рентгенографии
Рентген пяточной кости при переломе или других патологиях можно проводить без какой-либо подготовки. Главное, чтобы на стопе во время исследования не было металлических предметов.
Для защиты от лишнего рентгеновского облучения тело пациента закрывается специальными свинцовыми фартуками. Исследованию подвергается только интересующая область - стопа.
Как проводится обследование?
Рентген-фото пяточной кости может быть выполнено в различных проекциях.
Прямая рентгенография
Для съёмки в прямой проекции пациенту нужно лечь на спину на стол рентгеновского аппарата. Ноги сгибаются в коленях, а стопы упираются в стол.
Рентгенография с нагрузкой
Нагрузка на пяточную кость возникает тогда, когда человек стоит. Соответственно, для выполнения рентгенографии с нагрузкой пациенту необходимо встать и перенести вес на стопу.
Интерпретация результатов

Сразу после съёмки снимки проявляются, рентгенолог приступает к расшифровке. Рентгенограмма позволяет выяснить причину боли, определить характер патологического процесса. Для точной интерпретации результата врач может сравнивать снимки здоровой и больной пяток.
При выявленном заболевании плантарного фасциита (так называется пяточная шпора) специалист даёт подробное описание снимка, где отмечает наличие остеофита с указанием его длины и локализации. Обычно остеофиты на снимке видны в проекции верхнего края задней бугристости таранной кости.
Симптомы перелома пяточной кости
Первое, на что жалуется пациент при переломе пяточной кости, - это боль. Она может возникать в движении или сохраняться и в состоянии покоя. При осмотре могут быть выявлены отёки, которые распространяются до ахиллова сухожилия. Также среди симптомов перелома встречаются: уплощение и расширение пятки, гематома в центре подошвы.
При пальпации в месте повреждения пациент чувствует резкую боль. В положении стоя он не может опереться на поврежденную стопу.
Противопоказания к рентгенографии пяточной кости
Современное оборудование делает процедуру рентгенографии максимально безопасной. Доза лучевой нагрузки минимальна и сопоставима с естественным фоном. Абсолютных противопоказаний к рентгенографии не выделяется, но проходить её следует только по назначению врача.
С осторожностью рентген пятки назначают беременным женщинам и детям в возрасте до 15 лет.
Рентгенография стопы: что показывает, особенности проведения в двух проекциях

Рентген стопы, что показывает практика, - это наиболее информативный и простой метод исследования патологий костной ткани. Основан на способности разных по плотности и структуре тканей по-разному пропускать ионизирующие лучи. Результат рентгенографии - отчётливый и информативный снимок, который помогает выявлять патологии костей и точно ставить диагнозы.
Показания для рентгена
Рентгенография стопы показана в следующих случаях:
- Пациент жалуется на болезненность в области стопы. Боль может проявляться при хождении, после долгой нагрузки или в состоянии покоя.
- Деформация стопы. Чаще всего возникает в области плюснефалангового сустава и характеризуется нарушением расположения фаланг большого пальца по отношению друг к другу. Подобное искривление приводит к появлению шишки с внешней стороны стопы и становится не только косметическим дефектом, но и приносит множество неприятных ощущений и ограничений.
- Воспаления и инфекции костей и суставов (артрит, артроз и проч.).
- Механические травмы стопы (удары, ушибы, переломы).
- Плоскостопие.
- Врождённая патология развития стопы.
Какие патологии стопы видно на рентгене?
В число патологий, которые могут быть выявлены, благодаря проведению рентгена в двух проекциях, входят:
- артрит и артроз;
- подагра;
- плоскостопие различных степеней;
- пяточная шпора;
- вальгусная деформация большого пальца стопы.
Подготовка к процедуре

Предварительной подготовки для проведения рентгенографии стопы не требуется. Однако есть одно условие - пациент перед ней должен снять украшения и аксессуары из металла, находящиеся в исследуемой области. Чтобы защитить пациента от лишнего излучения, на части тела, не подлежащие исследованию, накладываются специальные свинцовые фартуки.
Как делают рентген стопы?
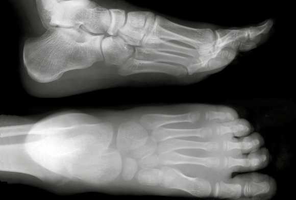
Рентген стопы в двух проекциях
Рентген стопы в двух проекциях чаще всего назначается для диагностики переломов, а также деформирующих патологий, таких как артрит или артроз. Также этот метод исследования дает возможность оценить изменения в суставе большого пальца при подагре.
- Для съёмки в прямой проекции пациент ложится на стол рентгеновского аппарата, вытягивает ноги вперёд. Делается снимок одновременно двух стоп, даже если тревожные симптомы отмечаются только в одной.
- Для съёмки в боковой проекции пациенту необходимо перевернуться на бок. Рентгенолог располагает трубку рентген-аппарата так, чтобы лучи проходили перпендикулярно к боковой поверхности стопы.
Для более детального изучения могут быть сделаны снимки и в других проекциях:
- Косая. Рентгеновские лучи должны проходить через стопу под углом 45 градусов.
- Тыльно-подошвенная. Трубка аппарата устанавливается так, чтобы рентгеновские лучи проходили вертикально к поверхности стопы. Во время проведения процедуры пациент отклоняет голень обследуемой ноги немного назад.
Рентген стоп с нагрузкой
Рентген стоп с нагрузкой (как его делают, будет описано ниже) позволяет получать данные об особенностях структуры и анатомии суставов. Обычно такую методику исследования применяют при подозрении на плоскостопие у детей. Показаниями для выполнения рентгеновского исследования с нагрузкой служат:
- аномалии костно-суставной системы;
- необходимость диагностики форм плоскостопия;
- различные деформации стопы.
Когда пациент проходит назначенный курс лечения, исследование повторяют.
Расшифровка результатов
Разобраться в том, что показывает рентген стопы, в первую очередь должен врач-рентгенолог. Он не ставит предварительных диагнозов, а просто описывает анатомические особенности костей стопы. В задачу рентгенолога входит выявление переломов, новообразований, очагов воспаления и прочих отклонений от нормы. На основании описания снимка диагноз будет выставлен лечащим врачом - хирургом, ортопедом, онкологом или другим.
В норме рентген стопы здорового человека должен визуализировать однородные по структуре кости, целостность которых не нарушена. Контуры костей должны быть равномерными и чёткими, без затемнений.
Симптомы плоскостопия

Для выявления плоскостопия обычно выполняют рентген ступней с нагрузкой в боковой проекции. Для этого ступня ставится на подставку внутренней стороной к рентгеновской кассете. Другая нога отводится в сторону. При такой укладке на снимках отмечают три черты:
- I - проходит от первого пальца к пяточной кости;
- II - проходит от точки соединения пяточной кости с первой чертой до ладьевидно-клиновидного сочленения;
- III - проходит от этого же сочленения к первой плюсневой кости.
Соотнося эти линии, измеряют высоту и угол их пересечения. Высота - это перпендикуляр, опущенный из точки соединения второй и третьей черт вниз, на первую горизонтальную. В норме высота должна быть больше 35 мм, а угол - от 125 до 130°.
Отклонение от указанных норм говорит о наличии плоскостопия. Для выявления степени патологии нужно оценить, насколько фактические параметры стопы отличаются от нормальных:
- I степень. Высота свода равна 25-35 мм, угол - 131-140°. При такой патологии пациента беспокоит усталость в ногах при физической нагрузке.
- II степень. Высота свода равна 17-24 мм, угол - 141-155°. В этом случае пациент чувствует усиление боли при длительной ходьбе и физических усилиях.
- III степень. Высота - меньше 17 мм, угол - больше 155°. При такой патологии пациент постоянно чувствует боли в голенях, пояснице и ступнях.
Травмы и переломы
Переломы и трещины на рентгене стопы визуализируются как небольшие вытянутые затемнения с неровными контурами. По снимку нужно оценить, где именно располагается линия излома или трещины, есть ли осколки, имеет ли место их смещение. Чтобы уточнить локализацию перелома, кроме рентгена, проводят и внешний осмотр, пальпируют стопу. В месте перелома при нажатии пациент чувствует острую боль.
Противопоказания к диагностике
При рентгеновской съёмке стопы организм пациента подвергается минимальной лучевой нагрузке. Абсолютных противопоказаний к рентгену стоп не выделяется, но в ряде случаев назначение нужно делать с осторожностью. Это касается беременных женщин, а также детей, не достигших возраста 15 лет.
Как часто можно делать рентген стоп?
Чтобы определить, как часто можно делать рентген стоп в двух проекциях, нужно знать какую дозу облучения выдаёт рентгеновский аппарат за одну съёмку. Далее можно обратиться к СанПиНам, где указано, какая доза облучения допустима для пациента ежегодно. Сравнив эти два параметра, можно будет сделать вывод о частоте проведения диагностической процедуры.
Обычно впервые рентген назначают, когда появились признаки патологии. Затем дают повторное направление через некоторое время (например, через месяц) для оценки эффективности лечения. Такая частота проведения рентгена вполне допустима.

Наши медицинские центры
- Взрослое отделение
- Диагностика
- Консультации
- Центр лечения боли
- Центр здоровья сердца
- Центр здоровья женщины
- Центр эндокринологии
- Детское отделение
- Массаж
- Нефрология
- Оториноларингология
- Офтальмология
- Эндокринология
Запись по ОМС на МРТ и КТ
Включить версию для слабовидящих?
Настоящим я даю своё согласие ООО «Диагностический центр «Энерго» (далее - Общество) (ИНН: 7810812758, юридический адрес - 196084, город Санкт-Петербург, ул. Киевская, д. 5 к. 4, помещ. 20-н), далее - «Оператор», и третьим лицам, осуществляющим обработку моих персональных данных по поручению Оператора, на обработку указанных сведений обо мне, в целях содействия в трудоустройстве.
Я соглашаюсь на сбор, запись, систематизацию, накопление, хранение, уточнение (обновление, изменение), извлечение, использование, передачу (предоставление, доступ), блокирование, удаление, уничтожение моих персональных данных, а также на осуществление любых других действий, предусмотренных действующим законодательством Российской Федерации, совершаемых с использованием средств автоматизации или без использования таких средств.
Настоящее согласие дано мною лично и добровольно. Настоящее согласие действует до момента его отзыва при отсутствии у Оператора других законных оснований для обработки персональных данных и может быть отозвано мной в любой момент в письменной форме путем направления уведомления Оператору по адресу, указанному выше.
Мы используем cookie-файлы, IP-адреса и данные об устройствах для аналитики, чтобы Ваше посещение сайта было удобным и персонализированным. Вы можете отключить cookie-файлы в настройках вашего браузера. Продолжая пользоваться нашим сайтом, Вы даете согласие на обработку перечисленных данных и принимаете условия Политики обработки и обеспечения безопасности ПДн.
Рекомендации по анализу рентгенограммы пяточной кости в боковой проекции (медиолатеральной)
Назначение снимка то же, что и снимка в прямой проекции. Снимок стопы в боковой проекции в вертикальном положении больного с упором на исследуемую конечность производят с целью выявления плоскостопия.
Укладки больного для выполнения снимков. Больной лежит на боку.
Исследуемая конечность слегка согнута в коленном суставе, латеральной поверхностью прилежит к кассете. Противоположная конечность согнута в коленном и тазобедренном суставах, отведена вперед. Кассету размером 18 х 24 см располагают на столе таким образом, чтобы стопа была уложена либо по длиннику ее, либо по диагонали. Подошвенная поверхность стопы перпендикулярна плоскости кассеты. Пучок рентгеновского излучения направляют отвесно на медиальный край стопы соответственно уровню оснований плюсневых костей (рис. 444).


При выполнении снимка с целью изучения функционального состояния свода стопы для выявления плоскостопия больной стоит на невысокой подставке, перенеся основной упор на исследуемую конечность. Кассету размером 18 х 24 см помещают вертикально на длинное ребро у внутренней поверхности стопы. Пучок рентгеновского излучения направляют в горизонтальной плоскости соответственно проекции клиновидно-ладьевидного сустава, который находится на уровне прощупываемой под кожей
бугристости ладьевидной кости (рис. 445, а). Для того чтобы изображение нижнего края пяточной кости проецировалось несколько отступя от края пленки, в подставке, на которой стоит больной, должна быть прорезь, в которую погружают длинное ребро кассеты на глубину 3—4 см (рис.445, б).
Информативность снимка. На снимке стопы в боковой проекции хорошо видны кости предплюсны: пяточная, таранная, ладьевидная, кубовидная и клиновидная. Кости плюсны проекционно наслаиваются друг на друга. Из всех костей наиболее отчетливо видна V плюсневая кость (рис. 446). На снимках стопы могут быть выявлены различные травматические, воспалительные и опухолевые поражения костей.
Изменения мягких тканей особенно наглядно видны на электро-рентгенограммах (рис. 447, а, б).
СНИМКИ СТОПЫ В КОСЫХ ПРОЕКЦИЯХ
Назначение снимка. Снимок стопы в косой проекции применяют главным образом для выявления переднего отдела стопы — предплюсны и фаланг, состояние которых не может быть детально изучено на снимке стопы в боковой проекции из-за проекционного суммирования изображения.
Укладка больного для выполнения снимка. При рентгенографии стопы в косой проекции чаще всего применяют косую внутреннюю подошвенную проекцию. При этом больной лежит на «здоровом» боку. Исследуемая стопа медиальной поверхностью прилежит к кассете. Подошвенная поверхность располагается к плоскости кассеты под углом 35 — 45°.
Кассета размером 18X24 см находится в плоскости стола.
Пучок рентгеновского излучения следует центрировать отвесно на тыльную поверхность стопы соответственно основанию плюсневых костей (рис. 448).
Иногда прибегают к укладке стопы в косой наружной подошвенной проекции.
Исходное положение стопы такое же, как для снимка в прямой проекции, а затем приподнимают внутренний край стопы на 35—40°.

Информативность .снимков. На снимках видны кости предплюсны: таранная, ладьевидная, кубовидная и клиновидные, суставные щели между ними. Раздельно отображаются все кости плюсны и фаланг, видны их переднебоковые и зад небоковые поверхности. Прослеживаются рентгеновские суставные щели плюснефаланговых и межфаланговых суставов (рис. 449).
В этом случае снимки стоп в косых проекциях по сравнению с другими снимками являются наиболее информативными для выявления переломов плюсневых костей и фаланг (рис. 450, а, б).

СНИМКИ ПЯТОЧНОЙ КОСТИ
Назначение снимков — изучение формы и структуры пяточной кости при различных заболеваниях и травме
Укладки больного для выполнения снимков. Рентгенографию пяточной кости осуществляют в боковой и аксиальной проекциях.
Для изучения пяточной кости в боковой проекции чаще всего используют рентгенограмму стопы в боковой проекции, но иногда при той же укладке больного производят прицельный снимок пяточной кости, соответствующим образом диафрагмируя пучок рентгеновского излучения и направляя его в проекцию центра пяточной кости (рис, 451).
Укладку для выполнения снимка пяточной кости в аксиальной проекции производят следующим образом. Больной лежит на спине, обе ноги вытянуты. Стопа исследуемой конечности находится в положении максимального тыльного сгибания (рис. 452, а). Иногда ее оттягивают в тыльном направлении с помощью бинта, перекинутого через стопу, который удерживает сам больной.
Кассета размером 13X18 см лежит на столе в продольном положении. Стопа прилежит к ней задней поверхностью пятки.
Центральный пучок рентгеновского излучения скашивают в краниальном направлении под углом 35—45° к вертикали и направляют на пяточный бугор.
Снимок в этой же проекции может быть выполнен и при вертикальном положении больного. Больной упирается подошвой снимаемой конечности в поверхность кассеты, отставляя ногу назад таким образом, чтобы голень находилась под углом около 45° к плоскости кассеты. Для фиксации тела больному следует опереться на спинку поставленного пред ним стула.
Пучок рентгеновского излучения направляют под углом 20° к вертикали на задневерхний отдел бугра пяточной кости (рис. 452, б).
Информативность снимков. На рентгенограммах пяточной кости в боковой проекции выявляются структура и контуры пяточной и таранной костей (рис. 453).
На снимке в аксиальной проекции хорошо видны пяточный бугор, его медиальная и латеральная поверхности (рис. 454). Снимки информативны для выявления различных патологических изменений, переломов, пяточной шпоры (рис. 455), изменений структуры кости, в частности после травмы (рис. 456) и др.

СНИМКИ ПАЛЬЦЕВ СТОПЫ
Назначение снимков. Снимки пальцев стопы чаще всего выполняют при травмах.
Укладки больного для выполнения снимков. Пальцы стопы хорошо видны на рентгенограммах стопы в прямой и косой проекциях. При необходимости в этих же проекциях выполняют прицельные снимки пальцев, соответствующим образом суживая пучок рентгеновского излучения и центрируя его на область пальцев (рис. 457, а).
В отдельных случаях прибегают к рентгенографии пальцев в боковой проекции, подкладывая под исследуемый палец завернутую в светонепроницаемую бумагу рентгеновскую пленку р а з м е р о м 4 x 5 см. При этом в случаях рентгенографии I и V пальцев стопу укладывают соответственно на латеральную и медиальную поверхности и отвесно на исследуемый палец центрируют пучок рентгеновского излучения. При рентгенографии I I , I I I , и IV пальцев вышерасположенные пальцы оттягивают бинтом книзу или кверху таким образом, чтобы их изображение проекционно не наслаивалось на изображение фаланг исследуемого пальца (рис. 457, б).
На рентгенограмме пальцев стопы в прямой проекции хорошо видны фаланги, частично — плюсневые кости, межфаланговые и плюснефаланговые суставы (рис. 458).

Теги: стопа
234567 Начало активности (дата): 30.12.2019 18:33:00
234567 Кем создан (ID): 989
234567 Ключевые слова: стопа, рентгенограмма, кости предплюсны, плюсневые кости, фаланги
12354567899
Рентгенография костей нижних конечностей по всей длине
Запишитесь на рентгенографию костей нижних конечностей по всей длине
Обслуживание на двух языках: русский, английский.
Оставьте свой номер телефона, и мы обязательно перезвоним вам.
Информацию из данного раздела нельзя использовать для самодиагностики и самолечения. В случае боли или иного обострения заболевания диагностические исследования должен назначить только лечащий врач. Для постановки диагноза и правильного назначения лечения следует обращаться к Вашему лечащему врачу.

В Клиническом госпитале на Яузе проводятся рентгенологические исследования тазовых костей, бедренной кости, костей голени, рентген нижних конечностей по всей длине, в положении стоя с осевой нагрузкой.
- Качественная диагностика
Рентген - исследование проводится на современном цифровом оборудовании опытными врачами-экспертами - Редкие исследования
Рентгенография нижних конечностей с отображением по всей длине. Рентген - топограмма нижних конечностей. Рентген ног стоя. Цифровая «сшивка» рентгеновских снимков. - Безопасность
Современный цифровой аппарат PHILIPS обеспечивает наивысшее качество рентгеновского снимка при минимальной лучевой нагрузке
Нижние конечности испытывают постоянную нагрузку. Именно поэтому они больше других частей тела подвержены травмам и повреждениям. Спровоцировать появление боли в ногах может огромное количество факторов. Определить, что именно служит причиной дискомфорта , поможет рентген нижних конечностей.
Рентген нижних конечностей - диагностическая процедура, которая позволяет оценить целостность костей, выявить наличие дегенеративных изменений и остеопороза. Она также назначается для оценки эффективности проводимого лечения и при подозрении на наличие новообразований костной ткани.
Показания к рентгену ног по всей длине
- Предоперационная подготовка;
- оценка результатов лечения (сравнение до и после терапии);
- костно-травматические заболевания;
- ревматоидный артрит и другие костно-воспалительные и воспалительные изменения;
- ограничение подвижности и функциональности суставов;
- распространённость онкологических процессов костей;
- дегенеративно-дистрофические заболевания костей и суставов.
Как подготовиться?
Рентген нижних конечностей не требует от пациента никакой подготовки. Процедура малоинвазивна и не доставляет никаких неприятных ощущений.
Как проводится рентген конечностей?
В среднем длительность проверки ног составляет 10-15 минут. В зависимости от исследуемой области, при проведении исследования пациенту нужно будет лечь, встать или сесть. Также специалист подскажет, нужно ли согнуть или выпрямить конечность. Затем лаборант аккуратно зафиксирует конечность. Больному нужно несколько секунд провести неподвижно, после чего он отправляется ждать снимок и описание исследования.
При необходимости рентген нижних конечностей может быть проведен с нагрузкой на стопу. Это помогает оценить ту форму ноги, которая характерна для ходьбы. Подобные снимки отображают стопу с учетом давления, за счет чего лучше визуализируется плоскостопие.
Инновации
Современные технологии, реализованные в нашем госпитале, позволяют:
- выполнить рентген - исследование конечностей по всей длине или какой-то локальной области (костей, суставов, позвоночника),
- провести функциональные пробы в положении стоя - рентгенографию нижних конечностей по всей длине с нагрузкой.
Эти исследования часто необходимы при планировании ортопедических операций, при оценке осевых искривлений в травматологии, ортопедии, неврологии. - Полученные изображения сразу передаются на сервер, где становятся доступны докторам, ведущим лечение пациента. По желанию пациента результаты исследования могут быть сохранены на цифровой носитель, распечатаны на плёнке, предоставлены докторам в любой точке мира.
- При необходимости можно запросить дополнительное (второе) мнение специалиста по обнаруженной патологии.
Цены на рентгенографию костей нижних конечностей по всей длине
- Брюшная полость и таз
- Обзорная рентгенография органов брюшной полости в одной проекции 3 000 руб.
- Обзорная рентгенография почек и мочевых путей в одной проекции 4 000 руб.
- Внутривенная (экскреторная) урография, четыре снимка, с контрастированием 7 000 руб.
- Ретроградная цистогрфия, с контрастированием 8 000 руб.
- Уретрография, с контрастированием 5 000 руб.
- Верхняя конечность
- Рентгенография одного пальца кисти в двух проекциях 3 000 руб.
- Рентгенография одной лопатки в одной проекции 3 000 руб.
- Рентгенография одной лопатки в двух проекциях 3 500 руб.
- Рентгенография ключицы в одной проекции 3 000 руб.
- Рентгенография ключицы в двух проекциях 3 500 руб.
- Рентгенография акромиально-ключичного сочленения в одной проекции 3 000 руб.
- Рентгенография одного плечевого сустава в одной проекции 3 000 руб.
- Рентгенография одного плечевого сустава в двух проекциях 3 500 руб.
- Рентгенография одного сустава в дополнительной проекции 2 000 руб.
- Рентгенография плечевой кости в двух проекциях 3 500 руб.
- Рентгенография одного локтевого сустава в двух проекциях 3 500 руб.
- Рентгенография костей предплечья в двух проекциях 3 500 руб.
- Рентгенография одного лучезапястного сустава в одной проекции 3 000 руб.
- Рентгенография одного лучезапястного сустава в двух проекциях 3 500 руб.
- Рентгенография одной кисти в двух проекциях 3 500 руб.
- Рентгенография двух кистей в одной проекции 4 000 руб.
- Рентгенография кистей с захватом лучезапястных суставов в одной проекции (определение костного возраста) 3 500 руб.
- Голова
- Рентгенография черепа в двух проекциях 3 500 руб.
- Рентгенография черепа в дополнительных и специальных проекциях (кранио-вертебральный переход, твердое небо), одна проекция 2 000 руб.
- Рентгенография первого шейного позвонка (атланта) через открытый рот в одной проекции 3 000 руб.
- Рентгенография околоносовых пазух в одной проекции 3 000 руб.
- Рентгенография околоносовых пазух в двух проекциях 3 500 руб.
- Рентгенография костей носа в двух проекциях 3 000 руб.
- Рентгенография костей лицевого скелета, орбиты в одной проекции 3 000 руб.
- Рентгенография турецкого седла (боковые правая и левая проекции, 2 снимка) 3 500 руб.
- Рентгенография скуловой кости в двух проекциях 3 500 руб.
- Рентгенография нижней челюсти в одной проекции 2 500 руб.
- Рентгенография нижней челюсти в двух проекциях 3 000 руб.
- Грудная клетка
- Рентгенография органов грудной полости в одной проекции 2 500 руб.
- Рентгенография органов грудной полости в двух проекциях 3 000 руб.
- Рентгенография органов грудной полости в трех проекциях 3 500 руб.
- Рентгенография грудины в одной проекции 3 500 руб.
- Рентгенография грудино-ключичных сочленений в одной проекции 3 000 руб.
- Рентгенография ребер (прицельная) в одной проекции 3 000 руб.
- Рентгенография ребер (прицельная) в двух проекциях 3 500 руб.
- Нижняя конечность
- Рентгенография обеих стоп в одной проекции 4 000 руб.
- Рентгенография одной стопы в двух проекциях 4 000 руб.
- Рентгенография бедренной кости в двух проекциях 3 500 руб.
- Рентгенография костей голени в двух проекциях 3 500 руб.
- Рентгенография пяточной кости в одной проекции 2 500 руб.
- Рентгенография пяточной кости в двух проекциях 3 000 руб.
- Рентгенография одного пальца стопы в двух проекциях 2 500 руб.
- Кости таза и тазобедренные суставы
- Рентгенография костей таза в одной проекции 3 500 руб.
- Рентгенография одного крупного сустава в дополнительной проекции 2 500 руб.
- Рентгенография обоих тазобедренных суставов в одной проекции 3 000 руб.
- Рентгенография обоих тазобедренных суставов в двух проекциях 4 000 руб.
- Рентгенография обоих тазобедренных суставов в трех проекциях 5 500 руб.
- Рентгенография одного коленного сустава в одной проекции 2 500 руб.
- Рентгенография одного коленного сустава в двух проекциях 3 000 руб.
- Рентгенография одного надколенника в одной проекции 2 500 руб.
- Рентгенография одного надколенника в двух проекциях 3 000 руб.
- Рентгенография одного голеностопного сустава в двух проекциях 3 000 руб.
- Рентгенография обеих стоп с нагрузкой с рентгеноморфометрией в двух проекциях 5 000 руб.
- Рентгенография крестцово-подвздошных сочленений в двух проекциях 4 500 руб.
- Рентгенография нижних конечностей по длине, сшивка 5 900 руб.
- Позвоночник
- Рентгенография первого и второго шейного позвонка в одной проекции 3 500 руб.
- Рентгенография первого и второго шейного позвонка в двух проекциях 4 000 руб.
- Рентгенография шейного отдела позвоночника в двух проекциях 3 500 руб.
- Рентгенография шейного отдела позвоночника с функциональными пробами 4 500 руб.
- Рентгенография грудного отдела позвоночника в двух проекциях 3 500 руб.
- Рентгенография крестцово-подвздошных сочленений 3 500 руб.
- Рентгенография пояснично-крестцового отдела позвоночника в одной проекции 3 000 руб.
- Рентгенография пояснично-крестцового отдела позвоночника в двух проекциях 3 500 руб.
- Рентгенография пояснично-крестцового отдела позвоночника с функциональными пробами 4 500 руб.
- Рентгенография крестца и копчика в двух проекциях 3 500 руб.
- Рентгенография краниовертебрального сочленения в одной проекции 2 500 руб.
- Постуральная цифровая рентгенограмма всего позвоночника в одной проекции 4 500 руб.
- Постуральная цифровая рентгенограмма всего позвоночника в двух проекциях 5 900 руб.
- Рентгенография поясничного отдела позвоночника и костей таза у детей в одной проекции 3 500 руб.
- Маммография
- Маммография одной молочной железы (после мастэктомии) 2 500 руб.
- Маммография одной железы (прицельная) в двух проекциях 2 500 руб.
- Маммография обеих молочных желез 3 500 руб.
- Дуктография одной молочной железы 8 000 руб.
- Вмешательства под контролем рентгенографии
- Гистеросальпингография, с контрастированием 8 000 руб.
- Интраоперационный рентгенконтроль 8 000 руб.
- Эндоскопия
- Капсульная эндоскопия 60 000 руб.
Внимание! Цены на сайте могут отличаться.
Пожалуйста, уточняйте актуальную стоимость у администраторов по телефону.
Рентгенография пяточной кости
Рентгенография пяточной кости является незаменимым и доступным методом исследования и широко используется травматологами и ортопедами для диагностики патологии пяточной кости. Пяточная кость самая крупная кость стопы и ввиду анатомических особенностей на нее приходится большая часть нагрузки, что провоцирует ее травмирование. Рентген пяточной кости незаменим в диагностике и оценке эффективности лечения пяточной шпоры (фасциита плантарного), кроме того исследование проводится для определения новообразований и травм пяточной кости.
Преимущества:
- Неинвазивность и точность диагностики
- Минимальная доза облучения при высоком качестве снимка, что обеспечивает наша рентгенологическая система
- Возможность записи снимков на электронный носитель пациента (цифровое оборудование)
Что показывает рентген пяточной кости
Рентгенография пяточной кости позволяет врачу определить:
- состояние пяточной кости (целостность, форму);
- повреждения пяточной кости (подвывихи, трещины и переломы);
- врожденные особенности строения;
- доброкачественные и злокачественные опухоли костно-суставных образований;
- плоскостопие;
- пяточную шпору;
- остеохондропатии (болезнь Хаглунда-Шинца);
- артроз и артрит;
- синовит;
- подагру;
- степень патологических изменений пяточной кости.
Показания к исследованию
Проведение рентгенографии пяточной кости показано при подозрении на:
- перелом кости;
- ушиб пятки;
- туберкулез пяточной кости;
- злокачественную опухоль кости;
- пяточную шпору;
- остеомиелит;
- остеопороз.
Также исследование проводится при наличии:
- сильной боли или жжения в пятке;
- гематомы и отека пяточной области;
- признаков бурсита, фиброзита;
- ограничения подвижности;
- пяточной шпоры;
- измененной походки (смещение центра тяжести на пальцы).
Обязательно выполняется рентген пяточной кости после проведения лечения пяточной шпоры для оценки эффективности.
Как проводится обследование
Особой подготовки к обследованию не требуется, оно может выполняться по экстренным и плановым показаниям. Исследуемую область следует освободить от металлических предметов.
Длительность процедуры составляет 10 минут.
Рентгенография пяточной кости проводится двумя способами:
- прямая рентгенография — пациент лежит на спине с согнутыми ногами, подошвы упираются в стол;
- рентгенография с нагрузкой — больной стоит на ноге, которую необходимо исследовать, перенеся вес на стопу.
Рентген пяточной кости выполняется в прямой и/или боковой проекциях.
Цены на услуги Вы можете посмотреть в прайсе или уточнить по телефону, указанному на сайте.
Цены на рентгенографию пяточной кости
- Брюшная полость и таз
- Обзорная рентгенография органов брюшной полости в одной проекции 3 000 руб.
- Обзорная рентгенография почек и мочевых путей в одной проекции 4 000 руб.
- Внутривенная (экскреторная) урография, четыре снимка, с контрастированием 7 000 руб.
- Ретроградная цистогрфия, с контрастированием 8 000 руб.
- Уретрография, с контрастированием 5 000 руб.
- Верхняя конечность
- Рентгенография одной лопатки в одной проекции 3 000 руб.
- Рентгенография одного пальца кисти в двух проекциях 3 000 руб.
- Рентгенография одной лопатки в двух проекциях 3 500 руб.
- Рентгенография ключицы в одной проекции 3 000 руб.
- Рентгенография ключицы в двух проекциях 3 500 руб.
- Рентгенография акромиально-ключичного сочленения в одной проекции 3 000 руб.
- Рентгенография одного плечевого сустава в одной проекции 3 000 руб.
- Рентгенография одного плечевого сустава в двух проекциях 3 500 руб.
- Рентгенография одного сустава в дополнительной проекции 2 000 руб.
- Рентгенография плечевой кости в двух проекциях 3 500 руб.
- Рентгенография одного локтевого сустава в двух проекциях 3 500 руб.
- Рентгенография костей предплечья в двух проекциях 3 500 руб.
- Рентгенография одного лучезапястного сустава в одной проекции 3 000 руб.
- Рентгенография одного лучезапястного сустава в двух проекциях 3 500 руб.
- Рентгенография одной кисти в двух проекциях 3 500 руб.
- Рентгенография двух кистей в одной проекции 4 000 руб.
- Рентгенография кистей с захватом лучезапястных суставов в одной проекции (определение костного возраста) 3 500 руб.
- Голова
- Рентгенография черепа в двух проекциях 3 500 руб.
- Рентгенография черепа в дополнительных и специальных проекциях (кранио-вертебральный переход, твердое небо), одна проекция 2 000 руб.
- Рентгенография первого шейного позвонка (атланта) через открытый рот в одной проекции 3 000 руб.
- Рентгенография околоносовых пазух в одной проекции 3 000 руб.
- Рентгенография околоносовых пазух в двух проекциях 3 500 руб.
- Рентгенография костей носа в двух проекциях 3 000 руб.
- Рентгенография костей лицевого скелета, орбиты в одной проекции 3 000 руб.
- Рентгенография турецкого седла (боковые правая и левая проекции, 2 снимка) 3 500 руб.
- Рентгенография скуловой кости в двух проекциях 3 500 руб.
- Рентгенография нижней челюсти в одной проекции 2 500 руб.
- Рентгенография нижней челюсти в двух проекциях 3 000 руб.
- Грудная клетка
- Рентгенография органов грудной полости в одной проекции 2 500 руб.
- Рентгенография органов грудной полости в двух проекциях 3 000 руб.
- Рентгенография органов грудной полости в трех проекциях 3 500 руб.
- Рентгенография грудины в одной проекции 3 500 руб.
- Рентгенография грудино-ключичных сочленений в одной проекции 3 000 руб.
- Рентгенография ребер (прицельная) в одной проекции 3 000 руб.
- Рентгенография ребер (прицельная) в двух проекциях 3 500 руб.
- Нижняя конечность
- Рентгенография обеих стоп в одной проекции 4 000 руб.
- Рентгенография одной стопы в двух проекциях 4 000 руб.
- Рентгенография бедренной кости в двух проекциях 3 500 руб.
- Рентгенография костей голени в двух проекциях 3 500 руб.
- Рентгенография пяточной кости в одной проекции 2 500 руб.
- Рентгенография пяточной кости в двух проекциях 3 000 руб.
- Рентгенография одного пальца стопы в двух проекциях 2 500 руб.
- Кости таза и тазобедренные суставы
- Рентгенография костей таза в одной проекции 3 500 руб.
- Рентгенография одного крупного сустава в дополнительной проекции 2 500 руб.
- Рентгенография обоих тазобедренных суставов в одной проекции 3 000 руб.
- Рентгенография обоих тазобедренных суставов в двух проекциях 4 000 руб.
- Рентгенография обоих тазобедренных суставов в трех проекциях 5 500 руб.
- Рентгенография одного коленного сустава в одной проекции 2 500 руб.
- Рентгенография одного коленного сустава в двух проекциях 3 000 руб.
- Рентгенография одного надколенника в одной проекции 2 500 руб.
- Рентгенография одного надколенника в двух проекциях 3 000 руб.
- Рентгенография одного голеностопного сустава в двух проекциях 3 000 руб.
- Рентгенография обеих стоп с нагрузкой с рентгеноморфометрией в двух проекциях 5 000 руб.
- Рентгенография крестцово-подвздошных сочленений в двух проекциях 4 500 руб.
- Рентгенография нижних конечностей по длине, сшивка 5 900 руб.
- Позвоночник
- Рентгенография первого и второго шейного позвонка в одной проекции 3 500 руб.
- Рентгенография первого и второго шейного позвонка в двух проекциях 4 000 руб.
- Рентгенография шейного отдела позвоночника в двух проекциях 3 500 руб.
- Рентгенография шейного отдела позвоночника с функциональными пробами 4 500 руб.
- Рентгенография грудного отдела позвоночника в двух проекциях 3 500 руб.
- Рентгенография крестцово-подвздошных сочленений 3 500 руб.
- Рентгенография пояснично-крестцового отдела позвоночника в одной проекции 3 000 руб.
- Рентгенография пояснично-крестцового отдела позвоночника в двух проекциях 3 500 руб.
- Рентгенография пояснично-крестцового отдела позвоночника с функциональными пробами 4 500 руб.
- Рентгенография крестца и копчика в двух проекциях 3 500 руб.
- Рентгенография краниовертебрального сочленения в одной проекции 2 500 руб.
- Постуральная цифровая рентгенограмма всего позвоночника в одной проекции 4 500 руб.
- Постуральная цифровая рентгенограмма всего позвоночника в двух проекциях 5 900 руб.
- Рентгенография поясничного отдела позвоночника и костей таза у детей в одной проекции 3 500 руб.
- Маммография
- Маммография одной молочной железы (после мастэктомии) 2 500 руб.
- Маммография одной железы (прицельная) в двух проекциях 2 500 руб.
- Маммография обеих молочных желез 3 500 руб.
- Дуктография одной молочной железы 8 000 руб.
- Вмешательства под контролем рентгенографии
- Гистеросальпингография, с контрастированием 8 000 руб.
- Интраоперационный рентгенконтроль 8 000 руб.
- Эндоскопия
- Капсульная эндоскопия 60 000 руб.
Читайте также:
