Пример МРТ при опухоли грудной клетки и сердца
Добавил пользователь Евгений Кузнецов Обновлено: 22.01.2026
Одним из наиболее информативных методов диагностики заболеваний лёгких является компьютерная томография (КТ). А что мы знаем об МРТ лёгких? Почему она не так распространена? Каковы реальные возможности этого метода диагностики? Например, покажет ли МРТ лёгких пневмонию (воспаление лёгких)? Как и кем принимается решение, что лучше сделать - МРТ, КТ, рентген или флюорографию лёгких? И от чего зависит такое решение?
О возможностях и роли МРТ в диагностическом репертуаре методов исследования лёгких рассказывает исполнительный директор «Клиника Эксперт» Оренбург, врач-рентгенолог Юрий Андреевич Подлевских.
— Юрий Андреевич, в настоящее время существует мнение, что МРТ, несмотря на широкие диагностические возможности, не так хороша для обследования лёгких. Расскажите, пожалуйста, с чем связано такое мнение и делают ли вообще МРТ лёгких?
— Такое мнение, на мой взгляд, вполне объяснимо и связано с принципом работы аппарата МРТ. С появлением метода магнитно-резонансной томографии специалисты использовали его возможности для оценки различных органов и систем. Оказалось, что органы, содержащие воздух, такие как лёгкие, кишечник, желудок, просматривались на снимках хуже, чем анатомические структуры с высоким содержанием воды (точнее, протонов водорода, на которые воздействует магнитное поле). Это такие органы, как печень, почки, головной мозг и некоторые другие. В связи с этим магнитно-резонансная томография лёгких недостаточно информативна в клиническом отношении, поэтому и делают её довольно редко.
Впервые я начал знакомиться с этой темой в 2013 году. В попадавшихся мне публикациях зарубежных коллег приводились примеры возможностей МРТ в диагностике патологий лёгких, проводилась сравнительная оценка эффективности магнитно-резонансной и компьютерной томографии в отношении заболеваний этих органов. То есть, можно сказать, что вопрос о целесообразности использования МРТ для выявления болезней лёгких находится сегодня на стадии изучения.
Подробнее о КТ лёгких читайте в нашей статье: КТ лёгких: каковы возможности этого метода диагностики?
— Что показывает МРТ лёгких? Можно ли, например, на МРТ увидеть воспаление лёгких?
— При проведении магнитно-резонансной томографии мы получаем определённый объём информации о лёгких. Но этой информации будет недостаточно, и качество её будет заметно хуже, чем у альтернативных методов диагностики, в частности компьютерной томографии.
С помощью МРТ мы сравнительно хорошо выявляем наличие изменений в лёгких, но понять, что же это за патологический процесс, будет достаточно сложно. В компьютерной томографии есть ряд рентгенологических признаков, благодаря которым можно различить, что это - туберкулёз, воспаление лёгких или опухолевое образование. При МРТ дифференцировать выявленные изменения сложнее. Если на МРТ-снимках видны изменения, для дальнейшего уточнения диагноза пациент направляется на компьютерную томографию.
— Чем ещё МРТ лёгких отличается от КТ лёгких? И, если можно, расскажите, пожалуйста, об отличиях МРТ лёгких от других хорошо известных методов исследования, в частности от рентгена и флюорографии
— В основе компьютерной томографии, рентгенографии (рентгена) и флюорографии, в отличие от МРТ, лежит использование рентгеновских лучей. Флюорография - это скрининговый метод выявления определённых патологий, чаще всего туберкулёза лёгких или опухолей. Разрешающая способность этого метода, качество изображения не позволяют в полной мере оценить состояние лёгких.
Рентгенография, которую часто в обиходе называют рентгеном, отличается операторозависимостью. То есть результаты такой диагностики зависят от квалификации рентген-лаборанта, а также врача, который описывает снимок. При использовании этого метода существует риск не заметить патологические изменения малых размеров и некоторые заболевания на начальных стадиях. Поэтому для раннего эффективного выявления патологий лёгких широко используют компьютерную томографию.
Хочу заметить, что при этом лучевая нагрузка также различается: если при флюорографии она минимальна, то при компьютерной диагностике доза облучения уже заметно выше.
Отличие магнитно-резонансной томографии от вышеперечисленных методов - прежде всего в физическом принципе работы аппарата, который создаёт магнитное поле, и, соответственно, никакого облучения во время этого исследования пациент не получает.
— Как понять, какой метод диагностики подойдёт человеку в каждом конкретном случае? Сможет ли пациент сам принять правильное решение, что лучше сделать - МРТ, КТ, рентген или флюорографию лёгких? Или нужно всегда консультироваться с доктором?
— Я категорически против того, чтобы пациент самостоятельного принимал решение о необходимом ему методе диагностики. Я считаю, что он может решить пройти диагностику, опираясь на свои ощущения, симптомы. А вот какой именно метод исследования ему показан, чтобы ответить на все интересующие вопросы и дать максимально полную информацию о состоянии его здоровья, должен решать врач.
Выбор метода диагностики в каждом отдельном случае зависит от того, что конкретно мы хотим обнаружить. На сегодняшний день на МРТ лёгких врачи не направляют, так как вокруг его информативности, чувствительности и специфичности в отношении лёгочной патологии ещё ведутся дискуссии. Но в частных клиниках пациенты порой обращаются за такой услугой. Я рекомендую пациентам при выборе этого метода исследования лёгких детально обсуждать с рентгенологом возможности такой диагностики, её целесообразность, а также уточнять, на какие клинические вопросы могут быть получены ответы.
— Юрий Андреевич, сегодняшнее состояние МРТ-диагностики заболеваний лёгких стало понятнее. А каковы, на ваш взгляд, перспективы этого исследования?
— Мне кажется, что МРТ как метод выявления лёгочной патологии будет использоваться в будущем всё чаще. Со временем количество наработок, публикаций, связанных с особенностями патологии лёгких на МРТ-снимках, будет увеличиваться. Это позволит нам расширять возможности диагностики. Некоторые из наших коллег, которые работают с пациентами с коронавирусной инфекцией, уже представляют отчёты о том, какие изменения в лёгких обнаруживаются при этом заболевании на КТ- и МРТ-снимках. Что интересно, на этих изображениях много сходных признаков. Наработанной базы по этим случаям на данный момент, конечно, мало, но это вопрос времени.
Беседовала Севиля Ибраимова
Записаться на КТ лёгких можно здесь
ВНИМАНИЕ: услуга доступна не во всех городах
Редакция рекомендует:
Для справки:
Подлевских Юрий Андреевич
Выпускник Оренбургской государственной медицинской академии 2012 года по специальности «Педиатрия».
В 2013 году завершил обучение в интернатуре по направлению «Рентгенология» и прошёл усовершенствование по специальности «Магнитно-резонансная томография».
В настоящее время занимает должность исполнительного директора «Клиника Эксперт» Оренбург. Принимает по адресу: пр-кт Гагарина, д. 17 пом.1
МРТ сердца что показывает
В арсенале врачей много методов диагностики сердца - ЭКГ, ЭхоКГ, рентгенография, КТ, коронарная ангиография (рентгеновское исследование сердечных сосудов с контрастом), катетеризация, радиоизотопное исследование. Когда делают МРТ сердца, что показывает это исследование, и чем оно лучше других методов?
Делают ли МРТ сердца?
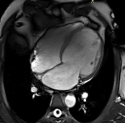
Магнитно-резонансная томография не так давно используется в диагностике сердечных заболеваний. Ближе всего она напоминает ЭхоКГ, только разрешающие способности метода намного выше. Можно заметить самые наименьшие очаги изменения тканей, четко увидеть все структуры органа и крупных сосудов. Определить основные параметры: толщину стенок в районе желудочков, предсердий, объем камер сердца. Кроме получения статических данных можно сделать оценку динамических показателей: как двигаются клапаны, измерить скорость кровотока внутри сердца и сосудов, силу сокращения предсердий и желудочков.
Сердце все время находится в движении: оно сокращается, чтобы вытолкнуть кровь в крупные сосуды. Затем расслабляется, наполняясь в это время кровью, которая поступает из больших вен. Снимки органа делают в момент, когда он неподвижен. Для этого синхронизируют МРТ с ЭКГ. На качество снимков влияют также дыхательные движения грудной клетки. Поэтому иногда врач говорит, чтобы пациент на время задержал дыхание. Все это способствует получению более качественных и четких снимков.
Томографию сердца с использованием магнитного поля можно делать взрослым, пожилым людям, детям. При наличии серьезных показаний проводят МРТ во время беременности (за исключением 1 триместра и совсем не используют контраст), новорожденным. Это объясняется тем, что исследование не оказывает лучевую нагрузку на организм. Противопоказания касаются только тех людей, у которых внутри тела вживленные электронные приспособления (кардиостимулятор) или металлические тела (осколки, импланты, искусственные суставы, клипсы для сосудов).
Когда назначают МРТ сердца?
МРТ сердца назначает кардиолог или кардиохирург. Сердце отвечает за кровоснабжение всех органов кровью, обогащенной кислородом. При сердечных болезнях люди отмечают:
- Боли в области сердца.
- Перебои в работе органа, аритмии, учащенное или редкое сокращение.
- Вялость, повышенную утомляемость, головные боли.
- Человек может испытывать головокружения из-за недостатка питания мозга кровью, терять сознание.
- Кожа бывает бледной, с синюшным оттенком, влажной из-за повышенной потливости.
- При воспалительных процессах повышается температура тела.
- Для детей с пороками сердца характерно отставание в развитии, плохой набор массы тела.
Перед тем, как сделать МРТ сердца и коронарных сосудов, необходимо пройти ЭКГ, ЭхоКГ. Многие вопросы будут решены после проведения этих простых и дешевых диагностических приемов. При выявлении отклонений на них МРТ позволяет уточнить причины и более подробно увидеть, описать место патологии.
- При травмах грудной клетки, если есть подозрение на ранение сердца, сосудов.
- Перед оперативным вмешательством или внутрисердечными манипуляциями (катетеризация сердца). Знание точного расположения всех структур органа, а у каждого человека есть индивидуальные отличия, помогает сократить время проведения манипуляции, оптимизировать действия хирурга и добиться лучших результатов.
- После операции на сердце смотрят на результаты (правильность расположения искусственных структур, как с ними работает орган). Через время состояние контролируют: не сместились ли шунты, искусственные клапаны. После операции аортокоронарного шунтирования исследование делают спустя 1,5 месяца.
- При выявлении на УЗИ пороков сердца, миокардитов, кардиомиопатий, болезней перикарда, сосудов, опухолей.
- При ИБС.

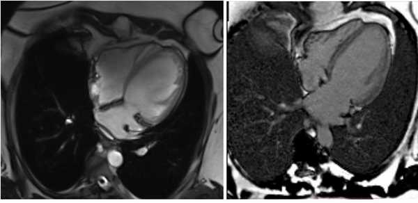
МРТ сердца. Расширение полости левого желудочка. Фиброзные изменения миокарда левого желудочка.
Какие заболевания показывает МРТ сердца?
Что показывает МРТ сердца:
- Анатомические изменения в области сердца и крупных сосудов. Нарушения в строении клапанного аппарата, миокарда, перикарда, эндокарда. Выявляет внутрисердечные тела (тромбы, эмболы, паразиты, инородные тела). Видны опухоли соседних органов, которые сдавливают сердце или распространяются на него.
- Функциональные нарушения: изменение кровотока в камерах сердца, сосудах, нарушение сократимости кардиомиоцитов, движений клапанов в систолу и диастолу сердечного цикла. Фазово-контрастный режим МРТ покажет скорость кровотока. Кино-МРТ делается для получения видео, на котором можно изучить сокращения органа в реальном времени.

МРТ сердца. Расширение камер сердца. Поствоспалительный фиброз миокарда межжелудочковой перегородки.
Кардиомиопатия
При кардиомиопатии клетки миокарда имеют аномальное строение, не способны выполнять нагрузку. Поэтому меняется форма сердца, объем полостей, функциональные показатели. На МРТ можно дифференцировать рестриктивный, гипертрофический и дилатационный типы кардиомиопатии.
Ишемическая болезнь сердца
Изменения клеток миокарда под действием гипоксии наблюдаются при ИБС. Степень повреждения клеток и величина участка ишемии зависит от длительности кислородного голодания, калибра перекрытого сосуда.
МРТ показывает степень и место сужения коронарных артерий, позволяет дифференцировать спазм артерии и атеросклероз, тромбоз. МРТ коронарография проводится с применением контраста. У более современных томографов есть специальная опция бесконтрастной коронарографии.
На МРТ можно отличить преходящие изменения миокарда от развившегося некроза (инфаркта), а также свежий рубец от застаревшего (следствие ранее перенесенного инфаркта). Можно оценить, насколько рубцовая ткань ухудшает сократимость органа. Это влияет на выбор лечебных мероприятий, прогноз заболевания и жизни человека.
Пороки сердца
При подозрении на порок сердца или для уточнения данных при подтвержденном диагнозе. Пороки - нарушения в строении органа, которые влияют на его работу. Они могут быть:
- Врожденными. Их выявляют в детском возрасте. Развиваются во внутриутробном периоде из-за воздействия неблагоприятных факторов. Могут проявляться в неправильном строении перегородки между предсердиями, желудочками (отверстия, отсутствие перегородки), функционировании зачаточных элементов (боталлов проток), аномалиях в месте выхода из сердца аорты. Тяжелые дефекты несовместимы с жизнью, многие требуют срочного оперативного вмешательства.
- Приобретенными. Последние являются следствием ревматического процесса. При воспалении в эндокарде клапаны деформируются, сморщиваются, не смыкаются плотно, а пропускают часть крови не в том направлении. Это затрудняет работу сердца, а организм страдает от гипоксии. Процент насыщения крови кислородом снижается из-за смешивания артериальной и венозной крови внутри сердечных полостей.
Патология сосудов
На МРТ с контрастированием видны расположение аорты, легочных артерий, крупных венозных стволов (легочных, полых вен), строение их стенки, сколько крови протекает за минуту. При сканировании сосудистой системы можно выявить расширение аорты (аневризму), ее расслоение, атеросклероз, воспалительные изменения.
При ТЭЛА (тромбоэмболии легочной артерии) видно место, где тромб перекрыл просвет легочной артерии, его размеры, протяженность. С помощью МРТ можно контролировать ход тромболитической терапии: насколько уменьшился тромб или рассосался полностью. Это позволяет корректировать дозы препаратов. При отсутствии эффекта провести оперативное лечение.
Подозрение на опухоли
Онкологические образования в сердце - редкое явление. Если на УЗИ есть сомнительные очаги, рекомендуется проверить пациента на МРТ. Это позволит достоверно сказать, какое новообразование, где расположено, его размеры, охарактеризовать границы патологического очага и состояние ближайших к нему здоровых тканей. Встречаются миксомы, фибромы, фиброэластомы, рабдомиомы. При злокачественных процессах можно заметить прорастание опухоли в соседние органы, лимфатические узлы, наличие метастазов.
Патология перикарда
Возможны воспалительные заболевания перикарда, кисты, отсутствие этой оболочки на участке сердца из-за нарушения развития. Врач дает оценку характеру выпота в сердечной сумке при экссудативном перикардите (кровь, серозная, фибринозная жидкость, гной), его количеству.
Подготовка к МРТ сердца
Подготовка к исследованию нужна в том случае, если планируется выполнение томографии с использованием контраста:
- диагностика пороков сердца;
- ИБС;
- кардиомиопатия;
- опухоли;
- исследование сосудов.
Изображения органа и сосудов получаются при этом более четкими, патологические зоны лучше выделяются на фоне здоровых тканей.
Контраст нельзя вводить:
- Беременным, кормящим женщинам.
- При серьезных заболеваниях почек, когда значительно снижена их выделительная функция.
- При индивидуальной непереносимости гадолиния.
Даже у здоровых людей введение гадолиния может вызвать тошноту, рвоту, если проводить исследование на полный желудок. Поэтому до проведения МРТ лучше не есть за 6 - 8 часов.
Если пациент принимает какие-то препараты, необходимо заранее обсудить это с врачом. Возможно, их отменят на период обследования.
Как делают МРТ сердца?
Обследование проходит внутри томографа. Перед этим снимают все предметы, которые могут содержать металл. Даже в косметике, татуировках могут присутствовать следы металла. Надевают специальную одежду из натуральных тканей, без металлических застежек.
Больной ложится удобно на стол. Над областью сердца располагают катушку. Под рукой у исследуемого - тревожная кнопка на случай, если он будет себя плохо чувствовать. Можно воспользоваться наушниками, берушами, чтобы уменьшить дискомфорт от издаваемого томографом шума. Свободное общение с врачом во время обследования помогает сохранять спокойствие больному, в нужные моменты задерживать дыхание.
Процедура не связана с болью. Все, что чувствует человек, находящийся внутри сильного магнитного поля, - тепло внутри тела. Это нормально и не вредно, быстро проходит сразу после исследования. Также могут «затекать» отдельные части тела из-за длительного неподвижного состояния.
Если пациент испытывает боль, страх, ему сложно спокойно лежать, дают успокоительные препараты. Длительность МРТ сердца около 40 минут, с контрастированием сосудов - до 1 часа.
Контрастное вещество вводят внутривенно, оно содержит соли гадолиния.
Расшифровка снимков МРТ сердца
Для расшифровки пригодится вся информация, которая имеется у больного: заключения специалистов, предыдущие снимки МРТ, результаты других исследований - ЭхоКГ, ангиографии, ЭКГ. Кроме статичных снимков сердце просматривают в режиме его естественной работы - для этого делают видео.
Всегда ли делают МРТ сердца и сосудов, зависит от диагноза, мнения лечащего врача. Если тактика лечения понятна, томографическое обследование не проводится. Обязательным считается выполнение такой диагностики при патологии перикарда, ишемической болезни сердца, кардиомиопатии, травмах грудной клетки, пороках, опухолях.
С помощью МРТ есть возможность получить исчерпывающую информацию о строении органа, заметить малейшие отклонения в его работе. И при этом процедура абсолютно безопасна, является международным стандартом в современном обследовании сердца и коронарных сосудов.
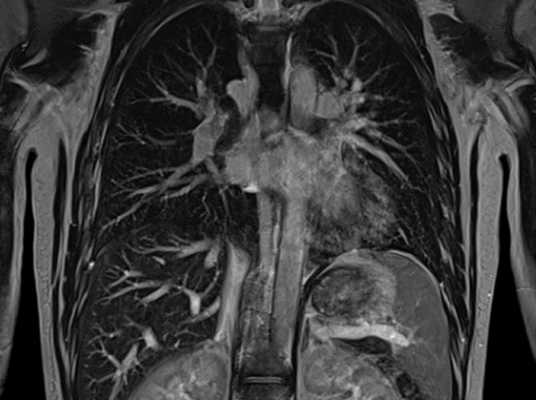
Что показывает МРТ органов грудной клетки
В грудной клетке расположено множество жизненно важных органов, патологии которых сложно диагностировать классическими способами: они скрыты за костями грудины, ребрами, позвоночником, мягкими тканями. Информативным способом, который способен показать структуру, а также функциональность органов, расположенных здесь, врачи называют МРТ — магнитно-резонансную томографию с контрастом или без него. Метод идеально подходит для исследования находящихся внутри грудины органов, сосудов, желез, лимфоузлов, но наиболее эффективным его считают в диагностике опухолевых процессов.
Какие органы проверяют на МРТ грудной клетки?
Чтобы понять, что показывает МРТ грудной клетки, важно понимать суть метода. Он состоит в способности мощного магнитного поля провоцировать резонанс молекул водорода, который в больших количествах содержится в органах грудной клетки (сокращенно ОГК). Магнитно-резонансный томограф улавливает резонансные колебания и отображает их на теле-экране в виде серии монохромных снимков, представляющих собой срезы обследуемой области определенной толщины: чем мощнее МР-аппарат, тем «тоньше» срезы и точнее результаты. Также на основе полученных данных можно сделать трехмерную модель любой структуры, находящейся в полости груди.

Магнитно-ядерная томография не очень информативна при исследовании костных тканей. Плохо видны на снимках и легкие, в которых слишком много воздуха. В процессе дыхания они двигаются, что не позволяет получить четкие изображения легочных тканей. Чтобы повысить четкость картинки, врач может попросить пациента во время сканирования периодически задерживать дыхание на вдохе. Та же проблема наблюдается при попытке проверить сердечную мышцу — ее ритмичные сокращения мешают обследовать миокард на патологии. Однако временно остановить сердце невозможно, поэтому оно фактически является единственным органом в груди, который проверяют с помощью так называемой синхронизации с пульсом/ЭКГ.
В медицинской практике МРТ грудной клетки делают, чтобы визуализировать следующие органы:
- плевру и ее полость;
- среднюю и нижнюю часть трахеи;
- легкие;
- перикард и сердце;
- диафрагму;
- лимфатические сосуды и узлы средостения;
- вилочковую железу;
- межпозвоночные диски грудного отдела позвоночника;
- спинной мозг в области грудного отдела позвоночника.
При использовании контрастного вещества список диагностируемых органов и структур расширяется за счет крупных и мелких кровеносных сосудов. С помощью этого дополнения МР-сканирование показывает не только строение кровеносной сети, но также особенности ее функционирования и изменения в скорости и направлении кровотока. Благодаря тому, что контраст хорошо накапливается в патологических новообразованиях, контрастное МРТ обладает высокой информативностью в диагностике опухолей органов средостения, включая легкие и лимфатическую систему.
Когда назначают МРТ органов грудной клетки?
Показаниями к проведению МРТ ОГК является подозрение на возникновение в этой области патологических процессов: воспалений, дегенеративных и атрофических изменений, опухолей, нарушений кровоснабжения и очагов инфекций, травм и врожденных пороков развития. Чаще всего магнитно-ядерное сканирование является очередным этапом диагностики, когда проведенные ранее исследования (УЗИ, КТ или рентгенография) выявили аномалии, но не помогли врачу определить конкретное заболевание.
В число прямых показаний к проведению диагностики этим методом включены:
- состояния, указывающие на пороки клапанной системы сердца, атрофию или дистрофию миокарда, прочие врожденные или приобретенные кардиопатологии;
- явные гемодинамические нарушения, которые являются симптомом атеросклероза крупнейших артерий, аневризмы аорты и других сосудистых заболеваний;
- симптомы воспалительных и инфекционных процессов в дыхательной системе — хронический кашель, отхаркивание мокроты с кровью или гноем, затрудненное дыхание, одышка или приступы удушья;
- симптомы опухолевых процессов в грудной клетке — тупые хронические боли, затрудненное дыхание, сухой хронический кашель, резкая потеря веса и т. д.;
- признаки патологий спинного мозга в грудном отделе позвоночника — нарушение чувствительности и двигательной активности верхнего плечевого пояса, хронические головные боли, опоясывающие боли в области груди, нарушения дыхания, не связанные с заболеваниями легких;
- подозрение на заболевания лимфатической системы в области исследования.
В ряде случаев даже при наличии показаний МРТ груди из-за противопоказаний. К абсолютным относятся:
- наличие в организме несъемных металлических элементов — кардиостимулятора, инсулиновой помпы, стентов и клипс на сосудах;
- несъемные металлические зубные протезы из ферромагнитных сплавов;
- первая треть беременности;
- психические нарушения, при которых человек не может соблюдать неподвижность или находиться в замкнутом пространстве;
- вес обследуемого больше 120 кг.
В число относительных противопоказаний включены клаустрофобия, состояние сразу после получения травмы, когда больного беспокоит сильная боль, не дающая соблюдать спокойствие. Чтобы боль прошла, а пациент смог расслабиться и сохранять неподвижность, перед проведением процедуры ему вводят седацию или наркоз. Есть у метода и другие относительные противопоказания. Узнать, делают ли МРТ органов грудной клетки при имеющихся проблемах со здоровьем, можно у рентгенолога накануне исследования.
Подготовка к МРТ грудной полости
Стандартное обследование без контрастирования не требует специальной подготовки. Достаточно консультации с врачом, который будет проводить диагностику. Во время нее ему необходимо проверить, есть ли у пациента безусловные или относительные противопоказания к проведению сканирования. Женщинам дополнительно рекомендуется сделать незадолго до МРТ тест на беременность, чтобы убедиться в ее отсутствии. Пациентам с неуравновешенной психикой, страхом замкнутого пространства, повышенной тревожностью врач посоветует за 1-2 часа до МРТ принять успокоительное средство.

В отличие от описанного выше случая, подготовка к контрастной томографии выглядит не так просто. Так как вводимый препарат может спровоцировать тошноту, за несколько часов до диагностики пациентам рекомендуется воздержаться от еды и питья. Также следует проконсультироваться с рентгенологом относительно постоянно принимаемых лекарств: некоторые препараты могут быть несовместимыми с контрастирующими веществами.
Непосредственно перед процедурой специалист расскажет, как проходит МР-сканирование, сколько по времени оно занимает, что можно почувствовать во время работы томографа. Также он попросит снять сковывающую движения, имеющую металлическую фурнитуру одежду, аксессуары, украшения и пирсинг, оставить в раздевалке телефон, часы и другие устройства.
Как делают МРТ грудной клетки?
Если в процессе подготовки не выявлено противопоказаний, приступают к проведению МР-сканирования. Пациента укладывают на подвижный стол томографа и фиксируют его в нужном положении с помощью ремней и мягких валиков. При необходимости обследуемому вводят необходимое количество контраста (рассчитывается исходя из массы тела).
Медсестра подтверждает, что посмотрела и убедилась в отсутствии на теле пациента металлических предметов, после чего она с врачом покидает помещение с томографом. Общение с обследуемым с этого момента продолжается по громкой связи. Врач включает томограф, стол задвигается в кольцо аппарата и начинается сканирование.
Диагностика без контрастирования длится около получаса. При введении контраста МРТ грудной клетки продолжается на 15 минут дольше. В редких случаях врачу потребуется сделать повторное сканирование, если снимки получились смазанные, что удлинит время процедуры еще на 10-15 минут.
После окончания сканирования пациент может сразу встать, одеться и покинуть кабинет. Заключение и расшифровка МРТ патологий в области грудной клетки обычно занимают около часа. Получить их можно в электронном виде на флешке или в распечатанном виде. Получить их можно как на руки, так и по электронной почте.
Что лучше МРТ или КТ грудной клетки?
Однозначно назвать один из методов — МРТ или КТ — лучшим для диагностики патологий органов грудной клетки, нельзя. Они имеют принципиальные отличия и используются для обследования разных по структуре тканей и органов.
МРТ идеально определяет отклонения мягких тканей и находящихся в грудной клетке органов. Наиболее информативен этот метод для выявления опухолей, особенно злокачественных, нарушений гемодинамики. Преимуществами метода врачи называют:
- отсутствие лучевой нагрузки, благодаря чему метод можно использовать несколько раз подряд, например, для отслеживания динамики после курса лечения и операции;
- высокая четкость картинки;
- возможность дифференцировать доброкачественные и злокачественные опухоли.
В список недостатков МРТ при обследовании грудной клетки входят неэффективность метода при диагностике патологий костных тканей (ребер и позвоночника), а также легких — на снимках не видны признаки пневмонии, переломы и трещины костей. При подозрении на наличие аномалий в этих структурах лучше делать компьютерную томографию.
Что показывает МРТ грудного отдела
МРТ грудного отдела - это не лучевое томографическое сканирование с использованием высокотехнологичного оборудования - магнитно-резонансного томографа. В результате сканирования врач рентгенолог получает многочисленные снимки серединной части позвоночника и осуществляет их расшифровку. Послойные сканы грудного отдела позволяют неврологам, хирургам, вертебрологам детально визуализировать отклонения в строении позвонков, наличие патологических процессов в спинном мозге, нарушение кровообращения в зоне спины, наличие новообразований или метастазов в позвоночнике. Безопасность метода для пациентов позволяет проводить исследование часто, что дает возможность следить за динамикой лечения. Это выгодно отличает МРТ позвоночника от рентгенографии или КТ позвоночника.
Показания
МРТ грудного отдела позвоночника показано в следующих случаях:
- боли в спине, в области груди;
- ощущение онемения конечностей;
- ограниченная подвижность в грудном отделе, скованность движений;
- подозрение на остеохондроз;
- межпозвоночные грыжи, болезнь Шойермана;
- наличие признаков кисты и опухоли (остеохондрома, остеосаркома, глиомы, нейрофибромы, менингиомы);
- механические травмы позвоночного столба, расщепление позвоночника;
- аномалии внутриутробного развития позвоночника.
Бесплатная консультация о диагностике
Если сомневаетесь, запишитесь на бесплатную консультацию.
Или проконсультируйтесь по телефону
Что видно на МРТ грудного отдела позвоночника
По ходу получения томографических снимков врач-рентгенолог проводит детальную проверку анатомических структур грудного отдела. Пристальное внимание в ходе расшифровки результатов сканирования уделяется следующим аспектам:
- Статика позвоночника: грудной кифоз сохранен, выпрямлен, усилен; есть ли признаки правостороннего или левостороннего сколиоза.
- Отклоняются ли от нормы соотношения позвонков.
- Каковы показатели высоты и формы тел позвонков, суставных щелей.
- Есть ли симптомы костных дегенеративных изменений остеофитов.
- Есть ли патологические перестройки костного мозга.
- Имеется ли унковертебральный артроз.
- Насколько заострены фасетки дугоотросчатых и реберно-позвонковых суставов.
- Качество тканей желтой связки и паравертебральных тканей.
- Локация, высота и гидрация межпозвонковых дисков
- Наличие протрузий, грыжевых образований, пролапса компрессией нервных корешков, стеноза межпозвонковых отверстий.
- Признаки миелопатии и структурных изменений в спинном мозге
Пример заключения МРТ грудной отдел позвоночника
Как подготовиться к процедуре
Обратившись в информационную службу Общегородского центра записи на диагностику, пациент узнает все детали подготовки и прохождения процедуры в его конкретной ситуации. В общем и целом для МР обследования грудного отдела позвоночника подготовительный этап отсутствует, и период восстановления тоже не нужен - после МРТ пациент может продолжить заниматься своими обычными делами.
Следует только иметь ввиду, что если в Вашем теле есть любые импланты, эндопротезы, у Вас должна обязательно быть документация, в которой указан точный состав материала их изготовления. Его обязательно попросят предъявить перед началом процедуры.
Как делают МРТ грудного отдела
В диагностических клиниках МРТ проводится следующим образом:
- человек снимает с тела все предметы из металла;
- ложится на платформу аппарата;
- оператор фиксирует на груди пациента специальную МРТ катушку;
- платформа перемещается внутрь томографа;
- сканирование сопровождается шумом работающего томографа.
По длительности исследование без введения контрастного вещества занимает примерно 15-20 минут, если требуется контрастное вещество, то время исследования увеличивается до 40-60 минут.
Как сделать качественно МРТ
После сканирования Вы должны получить МРТ снимки в электронном виде в формате DICOM, записанные на CD диск или флешку. Одной печати томографических изображений на рентгенологической пленке недостаточно для качественного анализа результатов магнитно-резонансной томографии.
МРТ диагностика должна быть проведена в соответствии с техническими требованиями по минимальному срезу сканирования. Он не должен превышать 2-4 мм в зависимости от модели томографа. Уточнить толщину среза можно в заключении, которое рентгенолог Вам выдаст после окончания диагностики. Помните, чем меньше шаг сканирования, тем детальнее точнее будут результаты томографии.
При проведении онкоскрининга обязательно нужно осуществлять МРТ с болюсным или динамическим контрастным усилением. Кроме того, существуют минимальные требования к мощности самого томографа. При подозрении на онкологическое заболевание исследование следует осуществлять на МРТ аппарате с индукцией магнитного поля не менее 1.5 Тесла!
Если МРТ исследование проводится повторно, в протоколе обследования обязательно должна быть отмечена динамика изменений по отношению к предыдущим снимкам.
Сами МРТ снимки должны быть четкими без зернистости и размывов от артефактов движения!
Результаты магнитно-резонансной томографии
Чаще всего по завершении процедуры пациент получает на руки письменное заключение врача и CD диск со снимками. Подождать результат нужно будет в течение часа. После получения результатов нужно обратиться за консультацией к своему лечащему врачу, который выставляет окончательный диагноз и назначает тактику лечения.
Противопоказания
Магнитно-резонансное исследование выгодно отличается от компьютерной томографии и рентгенографии своей безопасностью и безвредностью. В ходе сканирования организм человека не получает никакой радиационной нагрузки. Однако у этой формы томографии тоже есть ряд ограничений. Поскольку томограф - это большой магнит, эту процедуру нельзя проводить:
- лицам с имплантированными электронными приборами в теле (например, кардиостимулятор, нейростимулятор, импланты внутреннего уха, инсулиновые помпы);
- людям с металлом в организме (намагничивающиеся осколки, пластины, шунты, штифты, скобы, аппарат Илизарова).
Необходимость спокойно лежать в замкнутой камере может помешать лицам с клаустрофобией и синдромом навязчивых движений пройти данное обследование без применения успокоительных препаратов.
Остальные ограничения носят относительный характер и могут быть разрешены в ходе консультации с рентгенологом перед диагностикой.
Услуга - Хочу дешево! Как сделать МРТ недорого по максимально дешевой цене в СПб
Для записи на МРТ обследование лучше заранее уточнить все моменты, которые могут повлиять на качество и стоимость диагностики: класс оборудования, квалификацию специалистов, необходимость применения контрастирования, стоимость услуги в выбранной медицинской клинике, и что входит в эту услугу. Вот несколько практических советов, как возможно сделать МРТ по адекватной цене:
- Самый недорогой способ сканирования - это услуга МРТ в ночное время, когда действуют максимальные скидки. Ее предоставляют многие частные круглосуточные клиники. Самые большие скидки обычно предлагают на обследование в период с 24.00 до 7.00.
- В СПб отмечается общий сезонный спад спроса на медицинские услуги в январе и августе. Поэтому некоторые медицинские центры для активного привлечения клиентов снижает стоимость на МРТ в это время.
- Ряд клиник СПб предоставляют льготы на МРТ определенным категориям пациентов: ветеранам, инвалидам, многодетным семьям, студентам, что позволяет сэкономить на стоимости. Данные о таких дисконтных программах можно уточнить при записи на обследование.
- МРТ входит в перечень медицинских услуг, которые жители Санкт-Петербурга могут получить по полису обязательного медицинского страхования. Бесплатная МРТ по ОМС потребует от пациента получения направления от лечащего врача и сопряжена с ожиданием квоты на диагностику. Среднее время ожидания составляет 2 месяца. Если стоит под вопросом онкологический диагноз, сканирование проводят в срочном режиме в течение 14 дней.
Почему МРТ процедура считается безопасной
Магнитно-резонансная томография не несет в себе вредной лучевой нагрузки, не облучает человека и не оказывает какого-либо вредного воздействия на организм.
Магнитно-резонансная томография является совершенно безболезненной. При прохождении диагностики отсутствует какое-либо хирургическое вмешательство. Если применяется введение контрастного вещества, то возможен небольшой дискомфорт, поскольку препарат вводится внутривенно. Перед введением контрастного вещества пациент должен сообщить врачу, нет ли у него аллергических реакций на препараты.
Так как процедура абсолютно безвредна, ее можно делать неограниченное количество раз и совмещать с любыми другими формами диагностики - УЗИ, КТ, рентгеном.
Что лучше делать - магнитно-резонансную томографию или компьютерную томографию грудного отдела позвоночника
МРТ грудного отдела и КТ грудного отдела активно используется для диагностики патологий средней части спины. В целом они дополняют друг друга. Благодаря процедуре МРТ грудного отдела позвоночника можно хорошо визуализировать межпозвоночные диски, спинной мозг и нервные корешки. С ее помощью выявляются новообразования, сильные ушибы, грыжи, протрузии. Посредством КТ грудного отдела можно хорошо оценить костные структуры, размеры позвоночного канала, его сужение или деформацию. На КТ снимках будут видны даже самые минимальные изменения в структуре позвонков. При вопросе об оперативном вмешательстве магнитно-резонансная и компьютерная томография играют решающую роль. Комплексные результаты КТ и МРТ позвоночника покажут, точно ли нужна операция и позволят разработать план оперативного вмешательства. Поскольку физика получения изображения на МРТ и КТ отличается - магнитно-резонансная томография работает на прицепе ядерного магнитного резонанса, а компьютерная томография использует рентгенологической излучение, то эти обследования имеют разный перечень противопоказаний. При магнитно-резонансной томографии нет опасного излучения для организма человека, в то время как в КТ исследовании присутствуют рентгеновские лучи. Поэтому компьютерная томография категорически запрещена беременным и не желательна для детей малого возраста. МРТ из-за использования сильного магнитного поля не применяется для обследования пациентов с металлическими имплантами в теле и электронными приборами жизнеподдержания.
КТ органов грудной клетки: что покажет и как поможет пациенту?
Компьютерная томография органов грудной клетки (КТ ОГК) - один из современных методов диагностики. Когда и с какой целью может понадобиться сделать КТ органов грудной клетки? Что туда входит?
На эти и другие вопросы отвечает заместитель главного врача по лучевой диагностике, врач-рентгенолог высшей квалификационной категории «Клиника Эксперт» Курск Юлия Александровна Руцкая.
— Юлия Александровна, как часто к вам обращаются пациенты для проведения КТ органов грудной клетки?
— К нам в клинику за такой услугой обращаются ежедневно. Компьютерная томография органов грудной клетки составляет в среднем более трети от всех исследований за день. Сейчас, в период эпидемии коронавирусной инфекции, эти цифры, конечно, гораздо выше.
— Что показывает КТ грудной клетки?
— Всё, что входит в грудную клетку. Прежде всего, исследование позволяет изучить состояние лёгких. Мы можем оценить расположение сосудов и бронхов, их проходимость, выяснить, нет ли новообразований, воспалительных процессов, врождённых патологий в лёгких. Также с помощью этого исследования можно увидеть пищевод, дилатацию (расширение) камер сердца и крупных сосудов, состояние лимфатических узлов средостения.
Кроме того, мы видим каркас, образованный рёбрами, грудным отделом позвоночника, грудиной. Эти костные структуры оцениваются на наличие деструктивных изменений.
— Какие заболевания могут быть выявлены или исключены при проведении этого исследования?
— Основные патологии, которые можно обнаружить - это пневмонии (воспаление лёгких) различной природы, в том числе вирусной, туберкулёз, выявление которого имеет социальную значимость, и рак лёгких. Также выявляются интерстициальные заболевания лёгких, диффузно поражающие легочную ткань; скопление жидкости в плевральной полости; опухоли и метастазы в легких, костях и средостении (например, тимома, лимфома, дермоидные опухоли, кисты, опухоли пищевода); аномалии строения костей.
Читайте материалы по теме:
— Юлия Александровна, расскажите, пожалуйста, как делают КТ органов грудной клетки
— Прежде всего пациент проходит процедуру оформления в нашей клинике. Это занимает 5-10 минут. Затем лаборант провожает его в раздевалку, где пациент раздевается до пояса. Обязательное требование - снять все металлические украшения. Пациент ложится на специальный стол томографа на спину. Сам томограф - это устройство в виде кольца, которое плавно вращается вокруг пациента и производит съёмку.
По команде рентгенолога пациент делает вдох и задерживает дыхание 2-3 раза на определённое время (от 10 до 30 секунд). Далее идёт обработка информации, полученной рентгенологом с компьютера томографа. Врач в течение следующих 10-15 минут предварительно просматривает снимки. В случае, если изменений не обнаружено, результат сообщается пациенту сразу, но на описание снимков специалисту необходимо время. Заключение высылается пациенту через несколько часов на электронную почту, либо он может забрать его самостоятельно из клиники на следующий день.
Читайте материал по теме:
— А с какой целью и как проводится КТ органов грудной клетки с контрастом? В чём особенность этой разновидности исследования?
— Такое исследование проводится, например, при подозрении на наличие тромба в лёгочной артерии. Это состояние угрожает жизни человека, для уточнения диагноза требуется контрастирование. Кроме того, КТ ОГК с контрастом мы проводим, когда есть объёмные образования в средостении или корнях лёгких. Контрастирование позволяет детально изучить локализацию и распространение опухоли, оценить её природу, расположение сосудов в ней.
Контрастный препарат представляет собой йодсодержащее вещество, которое вводится с помощью специального шприца-колбы в начале процедуры.
— Требуется ли подготовка к этому исследованию? Если да, то как подготовиться к КТ органов грудной клетки?
— К традиционному КТ-исследованию ОГК специальной подготовки не требуется. Если необходимо провести исследование с контрастированием, пациенту необходимо предварительно сдать анализы крови, позволяющие оценить скорость клубочковой фильтрации почек и уровень креатинина. Также врач выясняет, нет ли у пациента в анамнезе тяжёлых аллергических реакций, бронхиальной астмы, индивидуальной непереносимости йода.
— В каких случаях делать КТ органов грудной клетки противопоказано?
— Абсолютные противопоказания - это беременность и избыточный вес (более 150 кг). Исследование с контрастом не проводится при тяжёлой почечной недостаточности, индивидуальной непереносимости йода, используется с осторожностью при сахарном диабете, патологиях щитовидной железы.
— А можно ли делать КТ органов грудной клетки детям?
— Можно, в любом возрасте, только при наличии прямых показаний и отсутствии противопоказаний. Хочу заметить, что для этого обязательно необходимо направление от специалиста с обоснованием проведения именно этого исследования.
— А если на КТ органов грудной клетки хочет записаться взрослый человек, нужно ли ему для этого брать направление у доктора?
— Желательно, потому что из направления врач-рентгенолог получает предварительную информацию о предполагаемом диагнозе и, опираясь на неё, решает, как лучше провести исследование, а также определяется с дальнейшей тактикой ведения пациента.
Если вам нужно сделать КТ органов грудной клетки, записаться на исследование можно здесь
ВНИМАНИЕ: услуга доступна не во всех городах
Руцкая Юлия Александровна
Выпускница лечебного факультета Курского государственного медицинского университета 2002 года
В 2004 году окончила интернатуру по рентгенологии
В настоящее время - заместитель главного врача по лучевой диагностике, врач-рентгенолог высшей квалификационной категории в «Клиника Эксперт» Курск. Принимает по адресу: ул. Карла Либкнехта, д. 7
Другие статьи по теме
Компьютерная томография костей черепа - исследование довольно распространённое. Однако при некоторых болезнях. КТ височных костей: когда бывает нужно это исследование?
Когда необходима КТ головного мозга? Как её проводят? Насколько безопасно такое исследование? Не только МРТ. Что покажет КТ головного мозга?
Доктор направил вас на МСКТ для определения количества кальция в артериях сердца. МСКТ для определения коронарного кальция: что это за исследование?
Читайте также:
- Артериальная гипотензия: причины, симптомы и лечение
- Советы косметолога. Практичные и полезные советы косметолога по уходу за собой
- Химиотерапия рака яичка и ее эффективность
- Тубулярная аденома: причины возникновения аденомы кишечника с дисплазией, диагностика и лечение в клинике
- Отклонение электрической оси вправо. Значение узловатости комплекса QRS.
