Пример поражения печени при дифтерии. Дифтерийный гепатит
Добавил пользователь Евгений Кузнецов Обновлено: 13.12.2025
Дифтерия - острая антропонозная бактериальная инфекция с общетоксическими явлениями и фибринозным воспалением в месте входных ворот возбудителя.
Краткие исторические сведения
Заболевание известно со времён глубокой древности, о нём упоминают в своих трудах Гиппократ, Гомер, Гален. На протяжении многих веков неоднократно менялось название болезни: «смертельная язва глотки», «сирийская болезнь», «петля палача», «злокачественная ангина», «круп». В XIX веке П. Бретонно, а позже его ученик А. Труссо представили классическое описание болезни, выделив её как самостоятельную нозологическую форму под названием «дифтерит», а затем «дифтерия» (греч. diphthera - плёнка, перепонка).
Э. Клебс (1883) обнаружил возбудитель в плёнках из ротоглотки, через год Ф. Лёффлер выделил его в чистой культуре. Спустя несколько лет был выделен специфический дифтерийный токсин (Э. Ру и А. Йерсен, 1888), обнаружен антитоксин в крови больного и получена антитоксическая противодифтерийная сыворотка (Э. Ру, Э. Беринг, Ш. Китазато, Я.Ю. Бардах, 1892-1894). Её применение позволило снизить летальность от дифтерии в 5-10 раз. Г. Рамон (1923) разработал противодифтерийный анатоксин. В результате проводимой иммунопрофилактики заболеваемость дифтерией резко снизилась; во многих странах она даже была ликвидирована.
В Украине с конца 70-х годов и особенно в 90-х годах XX столетия на фоне снижения коллективного антитоксического иммунитета, прежде всего у взрослого населения увеличилась заболеваемость дифтерией. Эту ситуацию обусловили дефекты вакцинации и ревакцинации, смена биоваров возбудителя на более вирулентные и ухудшение социально-экономических условий жизни населения.
Возбудитель дифтерии - грамположительная неподвижная палочковидная бактерия Corynebacterium diphtheriae. Бактерии имеют булавовидные утолщения на концах (греч. согуnе - булава). При делении клетки расходятся под углом друг к другу, что обусловливает характерное расположение их в виде растопыренных пальцев, иероглифов, латинских букв V, Y, L, паркета и т.д. Бактерии образуют волютин, зёрна которого располагаются на полюсах клетки и выявляются при окрашивании. По Найссеру бактерии окрашиваются в коричнево-жёлтый цвет с синими утолщёнными концами. Выделяют два основных биовара возбудителя (gravis и mitts), а также ряд промежуточных (intermedius, minimus и др.). Бактерии прихотливы и растут на сывороточных и кровяных средах. Наибольшее распространение получили среды с теллуритом (например, среда Клауберга II), так как возбудитель резистентен к высокой концентрации теллурита калия или натрия, ингибирующей рост контаминирующей микрофлоры. Основной фактор патогенности - дифтерийный экзотоксин, относимый к сильно действующим бактериальным ядам. Он уступает лишь ботулиническому и столбнячному токсинам. Способность к токсинообразованию проявляют лишь лизогенные штаммы возбудителя, инфицированные бактериофагом, несущим ген tox, кодирующий структуру токсина. Нетоксигенные штаммы возбудителя не способны вызывать болезнь. Адгезивность, т.е. способность прикрепляться к слизистым оболочкам организма и размножаться, определяет вирулентность штамма. Возбудитель долго сохраняется во внешней среде (на поверхности предметов и в пыли - до 2 мес). Под воздействием 10% раствора перекиси водорода погибает через 3 мин, при обработке 1% раствором сулемы, 5% раствором фенола, 50-60° этиловым спиртом - через 1 мин. Устойчив к низкой температуре, при нагревании до 60 °С гибнет через 10 мин. Инактивирующее действие оказывают также ультрафиолетовые лучи, хлорсодержащие препараты, лизол и другие дезинфицирующие средства.
Резервуар и источник инфекции - больной человек или носитель токсигенных штаммов. Наибольшая роль в распространении инфекции принадлежит больным дифтерией ротоглотки, особенно со стёртой и атипичными формами болезни. Реконвалесценты выделяют возбудитель в течение 15-20 сут (иногда до 3 мес). Большую опасность для окружающих представляют бактерионосители, выделяющие возбудитель из носоглотки. В различных группах частота длительного носительства варьирует от 13 до 29%. Непрерывность эпидемического процесса обеспечивает длительное носительство даже без регистрируемой заболеваемости.
Механизм передачи - аэрозольный, путь передачи - воздушно-капельный. Иногда факторами передачи могут стать загрязнённые руки и объекты внешней среды (предметы обихода, игрушки, посуда, бельё и др.). Дифтерия кожи, глаз и половых органов возникает при переносе возбудителя через контаминированные руки. Также известны пищевые вспышки дифтерии, обусловленные размножением возбудителя в молоке, кондитерских кремах и др.
Естественная восприимчивость людей высокая и определяется антитоксическим иммунитетом. Содержание в крови 0,03 АЕ/мл специфических антител обеспечивает защиту от заболевания, но не препятствует формированию носительства патогенных возбудителей. Дифтерийные антитоксические антитела, передающиеся трансплацентарно, защищают новорождённых от заболевания в течение первого полугодия жизни. У переболевших дифтерией или правильно привитых людей вырабатывается антитоксический иммунитет, его уровень - надёжный критерий защищённости от этой инфекции.
Основные эпидемиологические признаки. Дифтерию как заболевание, зависящее от привитости населения, по мнению специалистов ВОЗ, можно успешно контролировать. В Европе широкие программы иммунизации были начаты в 40-х годах, и заболеваемость дифтерией быстро снизилась до единичных случаев во многих странах. Значительное снижение иммунной прослойки всегда сопровождает рост заболеваемости дифтерией. Это произошло в Украине в начале 90-х годов, когда на фоне резкого снижения коллективного иммунитета был отмечен небывалый подъём заболеваемости прежде всего взрослых людей. Вслед за повышением заболеваемости взрослых в эпидемический процесс оказались вовлечёнными и дети, не имевшие антитоксического иммунитета, часто в результате необоснованных отводов от прививок. Миграция населения в последние годы также способствовала широкому распространению возбудителя. Периодические (в многолетней динамике) и осенне-зимние (внутригодовые) подъёмы заболеваемости также наблюдают при дефектах вакцинопрофилактики. В этих условиях заболеваемость может «сдвигаться» с детского на более старший возраст с преимущественным поражением лиц угрожаемых профессий (работников транспорта, торговли, сферы обслуживания, медицинских работников, педагогов и др.). Резкое ухудшение эпидемиологической обстановки сопровождают более тяжёлое течение болезни и увеличение летальности. Подъём заболеваемости дифтерией совпал с увеличением широты циркуляции биоваров gravis и intermedius. Среди заболевших по-прежнему преобладают взрослые. Среди привитых дифтерия протекает легко и не сопровождается осложнениями. Занос инфекции в соматический стационар возможен при госпитализации больного стёртой или атипичной формой дифтерии, а также носителя токсигенного возбудителя.
Основные входные ворота инфекции - слизистые оболочки ротоглотки, реже - носа и гортани, ещё реже - конъюнктива, уши, половые органы, кожа. Размножение возбудителя происходит в области входных ворот. Токсигенные штаммы бактерий выделяют экзотоксин и ферменты, провоцируя формирование очага воспаления. Местное действие дифтерийного токсина выражается в коагуляционном некрозе эпителия, развитии гиперемии сосудов и стаза крови в капиллярах, повышении проницаемости сосудистых стенок. Экссудат, содержащий фибриноген, лейкоциты, макрофаги и нередко эритроциты, выходит за пределы сосудистого русла. На поверхности слизистой оболочки в результате контакта с тромбопластином некротизированной ткани фибриноген превращается в фибрин. Фибриновая плёнка прочно фиксируется на многослойном эпителии зева и глотки, но легко снимается со слизистой оболочки, покрытой однослойным эпителием, в гортани, трахее и бронхах. Вместе с тем при лёгком течении заболевания воспалительные изменения могут быть ограничены лишь простым катаральным процессом без формирования фибринозных налётов.
Нейраминидаза возбудителя значительно потенцирует действие экзотоксина. Основную его часть составляет гистотоксин, блокирующий синтез белка в клетках и инактивирующий фермент трансферазу, ответственную за образование полипептидной связи.
Дифтерийный экзотоксин распространяется по лимфатическим и кровеносным сосудам, обусловливая развитие интоксикации, регионарного лимфаденита и отёка окружающих тканей. В тяжёлых случаях отёк нёбного язычка, нёбных дужек и миндалин резко суживает вход в глотку, развивается отёк шейной клетчатки, степень которого соответствует тяжести болезни. Токсинемия приводит к развитию микроциркуляторных нарушений и воспалительно-дегенеративных процессов в различных органах и системах - сердечно-сосудистой и нервной системах, почках, надпочечниках. Связывание токсина со специфическими рецепторами клеток проходит в виде двух фаз - обратимой и необратимой.
В обратимую фазу клетки сохраняют свою жизнеспособность, а токсин может быть нейтрализован антитоксическими антителами.
В необратимую фазу антитела уже не могут нейтрализовать токсин и не препятствуют реализации его цитопатогенной активности.
В результате развиваются общетоксические реакции и явления сенсибилизации. В патогенезе поздних осложнений со стороны нервной системы определённую роль могут играть аутоиммунные механизмы.
Антитоксический иммунитет, развивающийся после перенесённой дифтерии, не всегда защищает от возможности повторного заболевания. Антитоксические антитела оказывают защитный эффект в титрах не менее 1:40.
Дифтерия
Дифтерия - острое инфекционное заболевание бактериальной природы, характеризующееся развитием фибринозного воспаления в области внедрения возбудителя (поражается преимущественно верхние дыхательные пути, слизистая оболочка ротоглотки). Передается дифтерия воздушно-капельным и воздушно-пылевым путем. Инфекция может поражать ротоглотку, гортань, трахею и бронхи, глаза, нос, кожу и половые органы. Диагностика дифтерии основывается на результатах бактериологического исследования мазка с пораженной слизистой или кожи, данных осмотра и ларингоскопии. При возникновении миокардита и неврологических осложнений требуется консультация кардиолога и невролога.
МКБ-10
Общие сведения
Дифтерия - острое инфекционное заболевание бактериальной природы, характеризующееся развитием фибринозного воспаления в области внедрения возбудителя (поражается преимущественно верхние дыхательные пути, слизистая оболочка ротоглотки).
Причины дифтерии
Дифтерию вызывает Corynebacterium diphtheriae - грамположительная неподвижная бактерия, имеющая вид палочки, на концах которой располагаются зерна волютина, придающие ей вид булавы. Дифтерийная палочка представлена двумя основными биоварами и несколькими промежуточными вариантами. Патогенность микроорганизма заключается в выделении сильнодействующего экзотоксина, по токсичности уступающего только столбнячному и ботулиническому. Не продуцирующие дифтерийный токсин штаммы бактерии не вызывают заболевания.
Возбудитель устойчив к воздействию внешней среды, способен сохраняться на предметах, в пыли до двух месяцев. Хорошо переносит пониженную температуру, погибает при нагревании до 60 °С спустя 10 минут. Ультрафиолетовое облучение и химические дезинфицирующие средства (лизол, хлорсодержащие средства и др.) действуют на дифтерийную палочку губительно.
Резервуаром и источником дифтерии является больной человек или носитель, выделяющий патогенные штаммы дифтерийной палочки. В подавляющем большинстве случаев заражение происходит от больных людей, наибольшее эпидемиологическое значение имеют стертые и атипичные клинические формы заболевания. Выделение возбудителя в период реконвалесценции может продолжаться 15-20 дней, иногда удлиняясь до трех месяцев.
Дифтерия передается по аэрозольному механизму преимущественно воздушно-капельным или воздушно-пылевым путем. В некоторых случаях возможна реализация контактно-бытового пути заражения (при пользовании загрязненными предметами быта, посудой, передаче через грязные руки). Возбудитель способен размножаться в пищевых продуктах (молоке, кондитерских изделиях), способствуя передаче инфекции алиментарным путем.
Люди обладают высокой естественной восприимчивостью к инфекции, после перенесения заболевания формируется антитоксический иммунитет, не препятствующий носительству возбудителя и не защищающий от повторной инфекции, но способствует более легкому течению и отсутствию осложнений в случае ее возникновения. Детей первого года жизни защищают антитела к дифтерийному токсину, переданные от матери трансплацентарно.
Классификация
Дифтерия различается в зависимости от локализации поражения и клинического течения на следующие формы:
- дифтерия ротоглотки (локализованная, распространенная, субтоксическая, токсическая и гипертоксическая);
- дифтерийный круп (локализованный круп гортани, распространенный круп при поражении гортани и трахеи и нисходящий круп при распространении на бронхи);
- дифтерия носа, половых органов, глаз, кожи;
- комбинированное поражение различных органов.
Локализованная дифтерия ротоглотки может протекать по катаральному, островчатому и пленчатому варианту. Токсическая дифтерия подразделяется на первую, вторую и третью степени тяжести.
Симптомы дифтерии
Дифтерия ротоглотки развивается в подавляющем большинстве случаев заражения дифтерийной палочкой. 70-75% случаев представлены локализованной формой. Начало заболевания - острое, поднимается температура тела до фебрильных цифр (реже сохраняется субфебрилитет), появляются симптомы умеренной интоксикации (головная боль, общая слабость, потеря аппетита, побледнение кожных покровов, повышение частоты пульса), боль в горле. Лихорадка длится 2-3 дня, ко второму дню налет на миндалинах, прежде фибринозный, становится более плотным, гладким, приобретает перламутровый блеск. Налеты снимаются тяжело, оставляя после снятия участки кровоточащей слизистой, а на следующие сутки очищенное место вновь покрывается пленкой фибрина.
Локализованная дифтерия ротоглотки проявляется в виде характерных фибринозных налетов у трети взрослых, в остальных случаях налеты рыхлые и легко снимающиеся, не оставляющие после себя кровоточивости. Такими становятся и типичные дифтерийные налеты спустя 5-7 дней с начала заболевания. Воспаление ротоглотки обычно сопровождается умеренным увеличением и чувствительностью к пальпации регионарных лимфатических узлов. Воспаление миндалин и регионарный лимфаденит могут быть как односторонними, так и двусторонними. Лимфоузлы поражаются несимметрично.
Локализованная дифтерия довольно редко протекает в катаральном варианте. В таком случае отмечается субфебрилитет, или температура остается в пределах нормы, интоксикация мало выражена, при осмотре ротоглотки заметна гиперемия слизистой и некоторая отечность миндалин. Боль при глотании умеренная. Это наиболее легкая форма дифтерии. Локализованная дифтерия обычно заканчивается выздоровлением, но в некоторых случаях (без должного лечения) может прогрессировать в более распространенные формы и способствовать развитию осложнений. Обычно же лихорадка проходит на 2-3 день, налеты на миндалинах - на 6-8 сутки.
Распространенная дифтерия ротоглотки отмечается довольно редко, не более чем в 3-11% случаев. При такой форме налеты выявляются не только на миндалинах, но и распространяются на окружающую слизистую ротоглотки. При этом общеинтоксикационный синдром, лимфоаденопатия и лихорадка более интенсивны, чем при локализованной дифтерии. Субтоксическая форма дифтерии ротоглотки характеризуется интенсивными болями при глотании в горле и области шеи. При осмотре миндалин, они имеют выраженный багровый цвет с цианотичным оттенком, покрыты налетами, которые также отмечаются на язычке и небных дужках. Для данной формы характерна отечность подкожной клетчатки над уплотненными болезненными регионарными лимфоузлами. Лимфаденит зачастую односторонний.
В настоящее время довольно распространена токсическая форма дифтерии ротоглотки, нередко (в 20% случаев) развивающаяся у взрослых. Начало обычно бурное, быстро происходит повышение температуры тела до высоких значений, нарастание интенсивного токсикоза, отмечается цианоз губ, тахикардия, артериальная гипотензия. Имеет место сильная боль в горле и шее, иногда - в животе. Интоксикация способствует нарушению центральной нервной деятельности, возможно возникновение тошноты и рвоты, расстройства настроения (эйфория, возбуждение), сознания, восприятия (галлюцинации, бред).
Токсическая дифтерия II и III степени может способствовать интенсивному отеку ротоглотки, препятствующему дыханию. Налеты появляются достаточно быстро, распространяются по стенкам ротоглотки. Пленки утолщаются и грубеют, налеты сохраняются на две и более недели. Отмечается ранний лимфаденит, узлы болезненные, плотные. Обычно процесс захватывает одну сторону. Токсическая дифтерия отличается имеющимся безболезненным отеком шеи. Первая степень характеризуется отеком, ограничивающимся серединой шеи, при второй степени он доходит до ключиц и при третьей - распространяется далее на грудь, на лицо, заднюю поверхность шеи и спину. Больные отмечают неприятный гнилостный запах изо рта, изменение тембра голоса (ринофония).
Гипертоксическая форма протекает наиболее тяжело, развивается обычно у лиц, страдающих тяжелыми хроническими заболеваниями (алкоголизм, СПИД, сахарный диабет, цирроз и др.). Лихорадка с потрясающим ознобом достигает критических цифр, тахикардия, пульс малого наполнения, падение артериального давления, выраженная бледность в сочетании с акроцианозом. При такой форме дифтерии может развиваться геморрагический синдром, прогрессировать инфекционно-токсический шок с надпочечниковой недостаточностью. Без должной медицинской помощи смерть может наступить уже в первые-вторые сутки заболевания.
Дифтерийный круп
При локализованном дифтерийном крупе процесс ограничен слизистой оболочкой гортани, при распространенной форме - задействована трахея, а при нисходящем крупе - бронхи. Нередко круп сопровождает дифтерию ротоглотки. Все чаще в последнее время такая форма инфекции отмечается у взрослых. Заболевание обычно не сопровождается значительной общеинфекционной симптоматикой. Различают три последовательных стадии крупа: дисфоническую, стенотическую и стадию асфиксии.
Дисфоническая стадия характеризуется возникновением грубого «лающего» кашля и прогрессирующей осиплости голоса. Продолжительность этой стадии колеблется от 1-3 дней у детей до недели у взрослых. Затем возникает афония, кашель становится беззвучным - голосовые связки стенозируются. Это состояние может продлиться от нескольких часов и до трех дней. Больные обычно беспокойны, при осмотре отмечают бледность кожных покровов, шумное дыхание. Ввиду затруднения прохождения воздуха могут отмечаться втягивания межреберных пространств во время вдоха.
Стенотическая стадия переходит в асфиксическую - затруднение дыхания прогрессирует, становится частым, аритмичным вплоть до полной остановки в результате непроходимости дыхательных путей. Продолжительная гипоксия нарушает работу мозга и ведет к смерти от удушья.
Дифтерия носа
Проявляется в виде затруднения дыхания через нос. При катаральном варианте течения - отделяемое из носа серозно-гнойного (иногда - геморрагического) характера. Температура тела, как правило, в норме (иногда субфебрилитет), интоксикация не выражена. Слизистая носа при осмотре изъязвлена, отмечают фибринозные налеты, при пленчатом варианте снимающиеся наподобие клочьев. Кожа вокруг ноздрей раздражена, могут отмечаться мацерации, корочки. Чаще всего дифтерия носа сопровождает дифтерию ротоглотки.
Дифтерия глаз
Катаральный вариант проявляется в виде конъюнктивита (преимущественно одностороннего) с умеренным серозным отделяемым. Общее состояния обычно удовлетворительное, лихорадка отсутствует. Пленчатый вариант отличается формированием фибринозного налета на воспаленной конъюнктиве, отечностью век и отделяемым серозно-гнойного характера. Местные проявления сопровождаются субфебрилитетом и слабовыраженной интоксикацией. Инфекция может распространяться на второй глаз.
Токсическая форма характеризуется острым началом, бурным развитием общеинтоксикационной симптоматики и лихорадки, сопровождающейся выраженным отеком век, гнойно-геморрагическими выделениями из глаза, мацерацией и раздражением окружающей кожи. Воспаление распространяется на второй глаз и окружающие ткани.
Дифтерия уха, половых органов (анально-генитальная), кожи
Эти формы инфекции довольно редки и, как правило, связаны с особенностями способа заражения. Чаще всего сочетаются с дифтерией ротоглотки или носа. Характеризуются отеком и гиперемированностью пораженных тканей, регионарным лимфаденитом и фибринозными дифтерийными налетами. У мужчин дифтерия половых органов обычно развивается на крайней плоти и вокруг головки, у женщин - во влагалище, но может легко распространяться и поражать малые и большие половые губы, промежность и область заднего прохода. Дифтерия женских половых органов сопровождается выделениями геморрагического характера. При распространении воспаления на область уретры - мочеиспускание вызывает боль.
Дифтерия кожи развивается в местах повреждения целостности кожных покровов (раны, ссадины, изъязвления, бактериальные и грибковые поражения) в случае попадания на них возбудителя. Проявляется в виде серого налета на участке гиперемированной отечной кожи. Общее состояния обычно удовлетворительно, но местные проявления могут существовать долго и медленно регрессировать. В некоторых случаях регистрируется бессимптомное носительство дифтерийной палочки, чаще свойственное лицам с хроническими воспалениями полости носа и глотки.
Осложнения
Наиболее часто и опасно дифтерия осложняется инфекционно-токсическим шоком, токсическим нефрозом, недостаточностью надпочечников. Возможны поражения со стороны нервной (полирадикулоневропатии, невриты) сердечно-сосудистой (миокардит) систем. Максимально опасна с точки зрения риска развития летальных осложнений токсическая и гипертоксическая дифтерия.
Диагностика
В анализе крови картина бактериального поражения, интенсивность которого зависит от формы дифтерии. Специфическая диагностика производится на основании бактериологического исследования мазка со слизистых оболочек носа и ротоглотки, глаз, гениталий, кожи и др. Бакпосев на питательные среды необходимо осуществить не позднее 2-4 часов после забора материала.
Определение нарастания титра антитоксических антител имеет вспомогательное значение, производится с помощью РНГА. Дифтерийный токсин выявляют с помощью ПЦР. Диагностика дифтерийного крупа производится при осмотре гортани с помощью ларингоскопа (отмечается отек, гиперемия и фибринозные пленки в гортани, в области голосовой щели, трахее). При развитии неврологических осложнений больному дифтерией необходима консультация невролога. При появлении признаков дифтерийного миокардита назначают консультацию кардиолога, ЭКГ, УЗИ сердца.
Лечение дифтерии
Больные дифтерией госпитализируются в инфекционные отделения, этиологическое лечение заключается в ведении противодифтерийной антитоксической сыворотки по модифицированному методу Безредки. При тяжелом течении возможно внутривенное введение сыворотки.
Комплекс терапевтических мер дополняют препаратами по показаниям, при токсических формах назначают дезинтоксикационную терапию с применением глюкозы, кокарбоксилазы, введением витамина С, при необходимости - преднизолона, в некоторых случаях - плазмаферез. При угрозе асфиксии производят интубацию, в случаях непроходимости верхних дыхательных путей - трахеостомию. При угрозе развития вторичной инфекции назначается антибиотикотерапия.
Прогноз и профилактика
Прогноз локализованных форм дифтерии легкого и среднетяжелого течения, а также при своевременном введении антитоксической сыворотки - благоприятен. Усугублять прогноз может тяжелое течение токсической формы, развитие осложнений, позднее начало лечебных мероприятий. В настоящее время ввиду развития средств помощи больным и массовой иммунизации населения смертность от дифтерии - не более 5%.
Специфическая профилактика осуществляется планово всему населению. Вакцинация детей начинается с трехмесячного возраста, ревакцинация осуществляется в 9-12 месяцев, 6-7, 11-12 и 16-17 лет. Прививки осуществляются комплексной вакциной против дифтерии и столбняка или против коклюша, дифтерии и столбняка. При необходимости производят вакцинацию взрослых. Выписка больных производится после выздоровления и двукратного отрицательного бактериологического исследования.
Гепатит А (болезнь Боткина) - симптомы и лечение
Что такое гепатит А (болезнь Боткина)? Причины возникновения, диагностику и методы лечения разберем в статье доктора Александрова Павла Андреевича, инфекциониста со стажем в 14 лет.
Над статьей доктора Александрова Павла Андреевича работали литературный редактор Маргарита Тихонова , научный редактор Сергей Федосов

Определение болезни. Причины заболевания
Вирусный гепатит А (Hepatitis A viruses, HAV) — острое инфекционное заболевание, вызываемое вирусом гепатита А, клинически характеризующееся синдромом общей инфекционной интоксикации, синдромом нарушения пигментного обмена, синдромами энтерита, холестаза, увеличением печени и в некоторых случая селезёнки, сопровождающееся нарушением функции печени, преимущественно доброкачественного течения.

Этиология
семейство — пикорнавирусы (Picornaviridae)
вид — вирус гепатита А (HAV)

Во внешней среде очень устойчив: при температуре окружающей среды около 4°C сохраняется несколько месяцев, при 2°C — несколько лет, при замораживании очень длительно, при комнатной температуре — несколько недель. В растворе хлорсодержащих средств (0,5-1 мг/л) гибнет в течение часа, при 2,0-2,5 мг/л — в течение 15 минут, ультрафиолетовое облучение приводит к гибели в течение минуты, при кипячении сохраняется до 5 минут. В кислой среде желудка не погибает.
Наиболее значимым маркером вирусного гепатита А являются антитела класса М (анти-HAV IgM), которые образуются в начальный период заболевания и выявляются до 5 месяцев. Появление анти-HAV IgG (маркера перенесённой ранее инфекции) начинается с 3-4 недели заболевания. Антиген вируса выявляется в каловых массах за 7-10 дней до начала манифестных (явно выраженных) проявлений болезни. [1] [2] [4]
Эпидемиология
Заражение гепатитом А происходит при контакте с источником инфекции — живым человеком (больной различными формами заболевания и вирусоноситель). Больные с типичными формами являются главным источником распространения вируса (от конца скрытого и всего желтушного периодов).
Ежегодно в мире регистрируется примерно 1,5 млн случаев заболевания (количество субклинических и бессимптомных форм сложно даже представить). Смертность по миру в 2016 г., по данным ВОЗ, составила 7134 человек [10] .
Условно существует территориальное распределение по уровням инфицирования населения: высокий, средний и низкий.
Районы с высоким уровнем инфицирования это преимущественно Юго-Восточная Азия, Средняя Азия, Африка, Центральная Америка (плохие санитарные условия и низкий доход) — большинство населения к периоду взросления уже переболели и имеют иммунитет, вспышки болезни встречаются редко.
Районы со средним уровнем инфицирования — страны с переходной экономикой, развивающиеся, имеющие различия в санитарно-гигиенических условиях на территории одного региона, например Россия (большая часть населения к периоду взросления не болела и не имеет иммунитета к вирусу, возможны большие вспышки болезни).
Районы с низким уровнем инфицирования — развитые страны с высоким уровнем дохода и хорошими санитарно-гигиеническими условиями, например США, Канада, Европа, Австралия. Большинство людей не имеет иммунитета и не болела, вспышки случаются редко и чаще среди групп риска [7] .
В окружающую среду вирус выделяется преимущественно с фекалиями.
Механизм передачи: фекально-оральный (пути — водный, контактно-бытовой, пищевой), парентеральный (редко при переливании крови), половой (орально-анальный контакт).
Восприимчивость населения высокая.
Факторы риска заражения:
- высокая скученность населения;
- несоблюдение правил личной гигиены и правил хранения, обработки и приготовления продуктов питания;
- неудовлетворительное состояние объектов водоснабжения;
- бытовой очаг заболевания.
Кто находится в группе риска
- путешественники (особенно в страны жаркого климата и с плохими социальными условиями);
- гомосексуалисты;
- люди, употребляющие наркотики (любые), алкоголики;
- медработники (непривитые и не болевшие);
- бездомные;
- люди, имеющие постоянные контакты (в силу профессии или иных причин) с мигрантами из неблагополучных по гепатиту А регионов.
Характерна осенне-весенняя сезонность, повышенная привязанность к жарким южным регионам.
Иммунитет после перенесённого заболевания стойкий, пожизненный, то есть повторно заболеть нельзя [1] [3] [4] [7] [10] .
При обнаружении схожих симптомов проконсультируйтесь у врача. Не занимайтесь самолечением - это опасно для вашего здоровья!
Симптомы гепатита А
Заболевание начинается постепенно. Инкубационный период гепатита А протекает 7-50 дней.
Синдромы вирусного гепатита А:
- общей инфекционной интоксикации;
- нарушения пигментного обмена (желтуха);
- энтерита (воспаление слизистой тонкой кишки);
- холестаза (уменьшение количества желчи, поступающей в двенадцатиперстную кишку);
- гепатолиенальный (увеличение печени и селезёнки);
- отёчный;
- нарушения функции печени.
Типичное течение болезни — это желтушная форма болезни средней степени тяжести (устаревшее название — желтуха или болезнь Боткина).
Начальный период болезни (преджелтушный) имеет продолжительность от 2 до 15 дней и может протекать по нескольким вариантам:
При осмотре обнаруживается увеличение печени и, в меньшей степени, селезёнки, чувствительность края печени, повышение ЧСС (пульса), носовые кровотечения. В конце периода моча темнее, а кал становится светлее.
Следующий период (желтушный) длительностью около 7-15 дней характеризуется снижением выраженности симптомов предшествующего периода (то есть с появлением желтухи самочувствие улучшается). Усиливается желтушное окрашивание склер, кожных покровов и слизистой оболочки ротоглотки. Моча приобретает цвет тёмного пива, кал белеет. Присутствует общая слабость, недомогание, плохой аппетит, чувство тяжести и переполненности в правом подреберье, больной расчёсывает себя из-за зуда кожи (лихенификация), появляются петехии (мелкие кровоизлияния) на коже.

При врачебном исследовании выявляется увеличение печени и селезёнки, явственно положителен симптом Ортнера (болезненность при поколачивании ребром ладони по правой рёберной дуге), гипотония (может быть и нормотония), токсическая брадикардия (снижение ЧСС), появляются периферические отёки, возможны боли в суставах (артралгии).
Далее при благоприятном течении заболевания (которое наблюдается в большинстве случаев) происходит регресс клинической симптоматики, осветление мочи и потемнение кала, более медленное спадение желтушности кожи, склер и слизистых оболочек.
При типичном циклическом течении — после периода желтухи (разгара заболевания) — наступает период реконвалесценции (выздоровления): общее состояние нормализуется, стираются признаки нарушения пигментного обмена, возникает «пигментный криз» — уменьшение желтушности кожи и слизистых оболочек, осветление мочи и потемнение кала. Выявляется чёткая тенденция к нормализации патологически изменённых лабораторных показателей, в основном печёночных аминотрансфераз, билирубина и протромбина.
Под нетипичным течением болезни подразумеваются лёгкие безжелтушные формы гепатита А (отсутствие симптомов или лёгкая слабость без желтухи, тяжесть в правом подреберье), фульминантные формы.
При редком фульминатном течении (за несколько часов или суток) появляется острая печёночная энцефалопатия (синдром острой печёночной недостаточности — уменьшение размеров печени, печёночный запах изо рта, неадекватное поведение, положительные пробы письма и счёта, рвота «кофейной гущей», резкое повышение уровня АЛТ и АСТ), быстро развивается кома и смерть. [1] [2] [4]
Факторы, увеличивающие риск тяжёлого течения гепатита А:
Последствия для беременных
У беременных гепатит А протекает в целом несколько тяжелее, чем у небеременных. Примерно в 36 % случаев возможно развитие слабости родовой деятельности, преждевременные роды (31-37 неделя) и послеродовые кровотечения. Вирус не проникает через плаценту, то есть какого-то специфического действия на плод не оказывает. В грудном молоке вирус не содержится [1] [2] [4] [7] .
Патогенез гепатита А
Воротами для проникновения вируса является слизистая оболочка органов желудочно-кишечного тракта, где происходит его первичное размножение в эндотелиальной выстилке тонкого кишечника и мезентериальных лимфоузлах.

Далее происходит гематогенное распространение вирусных частиц и проникновение их в печень, где они локализуются в ретикулогистиоцитарных клетках Купфера и гепатоцитах. В результате этого происходит повреждение клеток:
- проникновение вируса в клетку;
- захват лизосомой;
- разрушение белковой оболочки вируса;
- сборка белков по программе вирусной РНК;
- встраивание этих белков в цитолемму клетки;
- образование патологических пор в оболочке клетки;
- поступление внутрь клетки ионов натрия и воды;
- баллонная дистрофия (разрушение ультраструктур клетки и образование крупных вакуолей) с последующим некрозом (его объём, как правило, ограничен);
- гибель клетки и лимфоцитарная иммунная реакция, приводящая к основному объёму поражения.

В дальнейшем вирус попадает в желчь, с ней он проникает в кишечник и выводится в окружающую среду с фекалиями. Вследствие компетентных реакций иммунной защиты размножение вируса заканчивается, и он покидает организм больного. [2] [3] [4]
Классификация и стадии развития гепатита А
По степени разнообразия проявлений выделяют две формы гепатита А:
- клинически выраженная (желтушная, безжелтушная, стёртая);
- субклиническая (инаппарантная).
По длительности течения также выделяют две формы гепатита А:
- острая циклическая (до трёх месяцев);
- острая затяжная (более трёх месяцев).
Степени тяжести гепатита А:
- лёгкая;
- среднетяжёлая;
- тяжёлая;
- фульминатная (молниеносная).
Согласно МКБ-10 (Международной классификации болезней десятого пересмотра), заболевание подразделяют на три вида:
- В15. Острый гепатит А;
- В15.0. Гепатит А с печёночной комой;
- В15.9. Гепатит А без печёночной комы. [2][4]
Осложнения гепатита А
Заболевание может привести к следующим осложнениям:
- печёночная кома (дисфункция центральной нервной системы, связанная с тяжёлым поражением печени — встречается крайне редко);
- холецистохолангит (выраженные боли в правом подреберье, нарастание желтухи и зуда кожи);
- гемолитико-уремический синдром, преимущественно у детей (гемолитическая анемия, тромбоцитопения, острая почечная недостаточность);
- развитие аутоиммунного гепатита I типа.
Гепатит А не приводит к формированию хронических форм, однако из-за выраженного воспалительного процесса возможно появление длительных резидуальных (остаточных) явлений:
- дискинезия (нарушение моторики) желчевыводящих путей;
- постгепатитная гепатомегалия (увеличение размеров печени из-за разрастания соединительной ткани);

- постгепатитный синдром (повышенная утомляемость, аснено-невротические проявления, тошнота, дискомфорт в правом подреберье). [1][5]
Диагностика гепатита А
Методы лабораторной диагностики:
- Клинический анализ крови — нормоцитоз или лейкопения, лимфо- и моноцитоз, нейтропения, СОЭ в норме или снижена.
- Биохимический анализ крови — повышение общего билирубина и в большей степени его связанной фракции (реакция Эрлиха), повышение аланинаминотрансферазы и аспартатаминотрансферазы, снижение протромбинового индекса, повышение тимоловой пробы (снижение альбуминов и повышение гамма-глобулинов), повышение гамма-глутамилтранспептидазы, щелочной фосфатазы и другие показатели.
- Биохимический анализ мочи — появление уробилина и желчных пигментов за счёт прямого билирубина. Ранее, особенно в вооруженных силах, для выявления больных на начальной стадии практиковалось использование пробы Разина: утром производится опускание индикаторной полоски в мочу (при наличии уробилина она меняет цвет), и военнослужащий с подозрением на заболевание госпитализировался для углублённого обследования. Тест на уробилин становится положительным в самом начале заболевания — в конце инкубационного периода из-за болезни печёночной клетки.
- Серологические тесты — выявления анти-HAV IgM и анти-HAV IgG методом ИФА (иммуноферментного анализа) в различные периоды заболевания и HAV RNA с помощью ПЦР-диагностики (полимеразной цепной реакции) в острый период.
- Ультразвуковое исследование органов брюшной полости — увеличение печени и иногда селезёнки, реактивные изменения структуры печёночной ткани, лимфаденопатия ворот печени.
Обследование лиц, бывших в контакте с больным
Лица, контактирующие с больным вирусным гепатитом А, подлежат осмотру врачом-инфекционистом с последующим наблюдением до 35 дней со дня разобщения с больным. Наблюдение включает термометрию, осмотр кожных покровов, определение размеров печени и селезёнки, а также лабораторное обследование (АЛТ, общий билирубин, антитела классов М и G к вирусу гепатита А вначале и через три недели от первичного обследования).
Дифференциальная диагностика проводится со следующими основными заболеваниями:
- в начальный период: ;
- гастрит, гастроэнтероколит;
- полиартрит;
- энтеровирусная инфекция;
- в желтушный период: ;
- псевдотуберкулёз; ;
- желтухи другой этиологии (гемолитическая болезнь, токсические поражения, опухоли ЖКТ и другие заболевания);
- гепатиты другой этиологии (вирусные гепатиты В, С, Д, Е и другие, аутоиммунные гепатиты, болезнь Вильсона — Коновалова и т.п.) [1][2][3][4][9] .
Лечение гепатита А
Этиотропная терапия (направленная на устранение причины заболевания) не разработана.
Медикаменты
В зависимости от степени тяжести и конкретных проявлений назначается инфузионная терапия с глюкозо-солевыми растворами, обогащёнными витаминами. Показано назначение сорбентов, препаратов повышения энергетических ресурсов, при необходимости назначаются гепатопротекторы, в тяжёлых случаях — гормональные препараты, препараты крови, гипербарическая оксигенация и плазмаферез.

Нужна ли госпитализация
В случае лёгких форм гепатита А лечение может проводиться на дому (при наличии условий). Госпитализация потребуется, начиная со среднетяжёлых форм, лицам групп риска по тяжёлому течению, пациентам с осложнёнными формами, беременным и детям. Каких-либо особенностей при дальнейшем лечении вирусного гепатита А у детей нет.
Режим постельный или полупостельный. При гепатите А нарушаются процессы образования энергии в митохондриях, поэтому предпочтителен длительный отдых.
Лечение в стационаре и выписка
Лечение гепатита А проходит в инфекционном отделении больницы. Выписка пациентов происходит после появления стойкой и выраженной тенденции к клиническому улучшению, а также улучшения лабораторных показателей.
Критерии выписки больных:
- стойкая и выраженная тенденция к клиническому улучшению (отсутствие интоксикации, уменьшение размеров печени, регресс желтухи);
- стабильное улучшение лабораторных показателей (нормализация уровня билирубина, значительное снижение уровня АЛТ и АСТ).
При неосложнённых формах реконвалесценты (выздоравливающие больные) подлежат наблюдению в течении трёх месяцев с осмотром и обследованием не реже одного раза в месяц. [2] [3] [6]
Физиотерапия
В фазе реконвалесценции, особенно при затяжных формах болезни, возможно применение физиотерапевтических методов лечения:
- грязевых аппликаций на область правого подреберья;
- акупунктуры;
- массажа проекции области печени, желчного пузыря, желчевыводящих протоков.
Диета
Показана диета № 5 по Певзнеру — механически и химически щадящая, употребление повышенного количества жидкости и витаминов, запрет алкоголя. Исключается острое, жареное, копчёное, ограничивается кислое и соль. Все блюда готовятся на пару, тушатся, отвариваются и подаются только в тёплом виде.
Прогноз. Профилактика
Прогноз заболевания, как правило, благоприятный. Пациенты выздоравливают спустя 1-3 месяца после выписки из стационара. В редких случаях заболевание приобретает затяжной характер.
Критерии излеченности:
- отсутствие интоксикации;
- полная нормализация уровня билирубина, АЛТ и АСТ;
- нормализация размеров печени и селезёнки;
- появление в крови антител к вирусу гепатита А класса G (Anti-HAV-IgG).
Неспецифические мероприятия, позволяющие снизить количество случаев инфицирования:
- обеспечение условий и факторов потребления безопасной питьевой воды (водоснабжение);
- обеспечение и контроль за соблюдением утилизации сточных вод (канализационное хозяйство);
- контроль за качеством обследования персонала, связанного с пищевой промышленностью;
- контроль и соблюдение технологии хранения, приготовления и транспортировки пищевых продуктов и воды.
К личным профилактическим мерам относится тщательное мытьё рук после посещения туалета, смены подгузников, а также перед приготовлением или приёмом пищи.
Вакцинация
Специфическим профилактическим мероприятием является проведение иммунизации против гепатита А: практически у 100% привитых двукратно людей вырабатывается стойкий иммунитет, предотвращающий развитие заболевания. Вакцинация — это самый лучший способ предотвратить заражение.
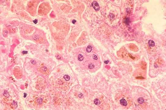
Пример поражения печени при дифтерии. Дифтерийный гепатит
С целью повышения качества диагностики дифтерийной инфекции проведено клинико-лабораторное обследование 125 больных с различными формами дифтерии, включающее комплексное исследование показателей гликопротеидов и изоферментного спектра аминотрансфераз. Установлено, что в развитии патологического процесса при дифтерийной инфекции значительную роль играют нарушения метаболизма соединительной ткани, а изоферментный спектр аминотрансфераз характеризуется выраженным дисбалансом с преимущественным увеличением митохондриальных изоферментов. Степень выявленных изменений четко коррелируют с тяжестью болезни, а патологические сдвиги при токсических формах заболевания сохраняются после окончания острой фазы заболевания в периоде осложнений дифтерии.
Достигнутые за последние годы научные успехи позволили на качественно новом уровне подойти к решению многочисленных вопросов, связанных с проблемами эпидемиологии, патогенеза, клиники, лечения и профилактики дифтерийной инфекции [1, 2, 3, 6, 8, 10]. Вместе с тем, некоторые разделы патогенеза дифтерийной инфекции исследованы недостаточно. К настоящему времени не вызывает сомнений роль дисбаланса гликопротеидов в развитии патологического процесса при инфекционных заболеваниях [9, 11]. Однако при дифтерии практически не изучались такие важнейшие параметры обмена гликопротеидов как гексозы, фукоза, сиаловые кислоты, не определена их роль как критериев диагностики и оценки тяжести состояния пациента. Необходимость и целесообразность динамического мониторинга за такими ключевыми параметрами гомеостаза, как показатели аминотрансфераз крови в настоящее время несомненна [4, 9, 11]. В то же время, уровень изоферментов, который позволяет, в большинстве случаев, на качественно более высоком уровне подойти к вопросам диагностики и прогнозирования течения болезни [4, 9, 11], при дифтерии, практически не изучался.
Таким образом, комплексное исследование, целью которого явилось повышение качества диагностики и прогнозирования течения дифтерийной инфекции на основании изучения баланса гликопротеидов, изоферментов аминотрансфераз, является актуальным и своевременным.
Материалы и методы исследования.
Обследовано 125 взрослых пациентов с дифтерией ротоглотки. Из них носители дифтерийной палочки (ДП) составили 15 человек (12%), больные легкой формой дифтерии ротоглотки - 25 человек (20%), среднетяжелой - 12 человек (9,6%), тяжелой - 73 человека (58,4%), из которых субтоксическая форма регистрировалась у 15 человек, токсическая 1-й степени - у 15 человек, токсическая 2-й степени - у 15 человек, токсическая 3-й степени - у 28 человек. Средний возраст пациентов - 38,1±2,9 лет (от 18 до 50 лет), мужчин было 58 человек (46,4%) и женщин - 67 (53,6%). Больные обращались в стационар, в основном, на 2-5 сутки от начала заболевания (в среднем - на 3,5±0,9 день болезни). Из исследования исключались пациенты с другими формами дифтерии, хроническим алкоголизмом, сопутствующими заболевания в фазе обострения. Фоновые состояния и сопутствующие заболевания регистрировались в 36,8% случаев и существенного влияния на тяжесть и течение дифтерийного процесса не оказывали. Большинство обследованных поступило в осенне-зимне-весенний период. Диагноз дифтерия / носительство ДП устанавливался на основании эпидемиологических данных, жалоб, анамнеза заболевания, характерной клинической картины в соответствии с действующей классификацией дифтерии [7] и подтверждался при бактериологическом обследовании в 92,8% случаев (носительство, локализованные и распространенные формы - 100%). У большинства пациентов выделялся токсигенный вариант "gravis" дифтерийной палочки (94%).
При постановке диагноза, оценке тяжести, характера осложнений дифтерии, сопутствующей патологии учитывались общепринятые критерии [7], результаты лабораторных и инструментальных методов обследования. Кроме того всем больным в динамике (носители - однократно) проводилось определение суммарного количества гликопротеидов по концентрации общих гексоз в крови (D. Handel, W. Kitlak, 1963 в модификации Ю.П. Федянина и Е.П. Ляпиной, 1995). Изучалась концентрация общих гексоз и белковосвязанных гексоз в моче (D. Handel, W. Kitlak, 1963 в модификации С.И. Вайстуха, 197. Фукогликопротеиды измеряли по общей фукозе в крови (Z. Dische, L. Shettles, 1948 в модификации Ю.П. Федянина и Е.П. Ляпиной, 1995). Исследовались белковосвязанная и общая фукоза в моче (D. Handel, W. Kitlak, 1963 в модификации С.И. Вайстуха, 197. Сиалогликопротеиды в крови оценивались по сиаловым кислотам (E. L. Hess et al., 1957). Также определялись митохондриальные изоферменты АлАТ, АсАТ и ГГТ (мАлАТ, мАсАТ и мГГТ) в сыворотке крови (Ю.П. Федяниным с соавт., 1988). При определении общей активности АлАТ, АсАТ, ГГТ и их митохондриальных изоферментов использовались диагностические наборы «Био-Ла-Тест» фирмы «Лахема» (Чехия).
Результаты и обсуждения.
Анализ клинической картины, проведенный у 125 больных с различными по тяжести формам дифтерии ротоглотки, позволил констатировать, что на современном этапе это хорошо изученное и давно известное инфекционное заболевание сохраняет свои основные клинические признаки, которые позволяют диагностировать данную патологию и проводить дифференциальный диагноз.
При оценке отдельных показателей, отражающих метаболизм соединительной ткани, было установлено, что уровень сиаловых кислот повышается при дифтерийной инфекции в диапазоне от 1,3 раз при лёгких формах болезни до 2,1 раз при самых тяжёлых, с сильной достоверной корреляцией в зависимости от тяжести заболевания. Быстрота восстановления сдвигов в тесте также чётко зависела от тяжести болезни, и если при легких формах нормализации показателей наблюдались уже к 9-10 дню, то токсические формы дифтерии 3-й степени характеризовались сохранением достоверных отличий даже через две недели от момента госпитализации.
Уровень гексоз в крови у больных с различными формами дифтерии чётко коррелировал с тяжестью патологии, а увеличение показателя было в пределах 1,3-2,3 раза, с крайними показателями соответственно при лёгких и токсических 3-й степени формах болезни. В динамике наблюдения нормализация теста происходила при лёгких формах болезни уже к 9-10 дню, в то время как при тяжёлых случаях нарушения состояния сохранялись и на 9-10, 14-15 дни пребывания больных в стационаре.
Анализируя полученные данные важно отметить, что у больных с дифтерией, наряду с наличием характерного специфического воспаления на месте внедрения возбудителя, всосавшийся в кровоток дифтерийный экзотоксин вызывает каскад патологических реакций практически во всех звеньях гомеостаза, самоподдерживающихся и самоускоряющихся, вызывающих функциональные и структурные изменения во многих органах и тканях [1, 2, 3, 6, 8, 10]. Поэтому четко трактовать механизмы выявленных нарушений показателей метаболизма соединительной ткани в крови сложно, с учетом поражения при токсических формах дифтерии печени, как основного органа, в котором осуществляется синтез гликопротеидов [9]. Вместе с тем, значение установленных сдвигов для объективизации диагностики и оценки тяжести пациента с дифтерией, несомненно.
Общие гексозы в моче у больных достоверно увеличивалась на фоне симптомов интоксикации и активного процесса в ротоглотке. Выраженность изменений прямо коррелировала тяжестью заболевания (увеличение от 1,3 раз при лёгких формах до 2,1 раз при токсических 3-й степени), и если при лёгких формах нормализация показателей наступала уже к 4-5 дню болезни, то тяжёлые формы сопровождались пролонгированными сдвигами на фоне развивающихся осложнений дифтерии. Важно отметить, что при общей направленности степень нарушений экскреции связанных с белком гексоз была существенно выше, чем общих гексоз. Содержание фукозы в моче в острый период заболевания повышалось в 1,3 раза при среднетяжёлых (лёгкие формы практически норма) и 2 раза при токсических формах 3-й степени (прямая сильная достоверная корреляция с тяжестью). Связанная с белком фукоза увеличивалась несколько больше: в 1,8 раз и 3,1 раз соответственно. В динамике развития болезни сохранение отклонений в тестах у больных токсическими формами дифтерии в периоде осложнений свидетельствовало о сложном, многокомпонентном характере патологических сдвигов при тяжёлой дифтерии даже по завершению острого периода болезни. Выявленные изменения и дисбаланс маркёров обмена гликопротеидов в моче в определённой степени отражают нарушения метаболизма соединительной ткани на уровне целостного организма, однако развивающееся у больного дифтерией поражение мочевыделительной системы также, по всей видимости, играет свою роль в формировании данных сдвигов, подчёркивая важность динамической оценки показателей экскреции гексоз и фукозы.
Диагностическая ценность определения спектра изоферментов аминотрансфераз к настоящему времени не вызывает сомнений [4, 9,11]. При исследовании активности АлАТ, АсАТ, ГГТ у больных различными формами дифтерии нами установлено, что в зависимости от тяжести патологии (от лёгких до токсических 3-й степени форм) показатели ферментов увеличивались в диапазоне 1,4-4,0 раз, 1,3-4,2 раз и 1,4-4,2 раз соответственно. Необходимо отметить, что существенных различий в степени увеличения различных ферментов в острый период болезни не выявлено, что, по всей видимости, служит отражением полиорганного характера патологии при дифтерийной инфекции, особенно в её тяжёлых формах. Корреляционный анализ выявил прямые сильной степени достоверные связи между увеличением активности аминотрансфераз и тяжестью заболевания. В динамике процесса нормализация показателей активности АлАТ, АсАТ, ГГТ происходила у больных лёгкими, среднетяжёлыми, субтоксическими и токсическими 1-й степени формами к 9-10 дню болезни, в то время как у больных с токсическими формами 2-й и 3-й степени на фоне развивающихся осложнений дифтерии активность ферментов оставалась повышенной. При оценке активности митохондриальных изоферментов АлАТ, АсАТ, ГГТ выявлено, что степень их увеличения была на 10-50% выше, чем суммарной активности этих ферментов. Причём в динамике заболевания восстановление активности мАсАТ несколько отставало от нормализации мАлАТ и мГГТ, что, наиболее вероятно, свидетельствует о пролонгированном характере цитолитических процессов в мышечных клетках, в том числе миокарда. Существенно большие сдвиги в спектре митохондриальных изоферментов в сравнении с суммарной активностью аминотрансфераз служат косвенным подтверждением имеющихся в литературных источниках указаний на то, что митохондрии являются одной из ключевых точек в прямом и/или опосредованном влиянии дифтерийного токсина на клетки [5] а также, несомненно, подчёркивают значимость определения этих показателей для динамического наблюдения за больными с дифтерией.
При анализе показателей сиаловых кислот, гексоз, и фукозы в крови, активности АсАТ, мАсАТ, АлАТ, мАлАТ, ГГТ, мГГТ у носителей дифтерийной палочки существенных отличий от группы здоровых не выявлено, что, в известной степени, подтверждает правомочность использования термина «носительство» в отношении данной группы обследованных.
Осуществлённый статистический анализ отношений между показателями обмена гликопротеидов и спектра изоферментов аминотрансфераз позволил установить, что по всем параметрам прослеживаются достоверные прямые средней и сильной степени корреляции, отражающие взаимосвязи между развивающимися при дифтерии патологическими процессами в соединительной ткани и структурной целостностью мембран клеток организма.
Читайте также:
