Пример повреждения связок голеностопа. Травма передней межберцовой связки
Добавил пользователь Евгений Кузнецов Обновлено: 13.12.2025
Повреждения связок голеностопного сустава - частичный или полный разрыв связок, расположенных в области данного анатомического образования. Чаще всего травма происходит в зимнее время при подворачивании стопы на льду, обледенелых ступенях и площадках. Клиника зависит от тяжести повреждения (растяжение, надрыв, полный разрыв), включает локальную отечность, боль, различное по объему ограничение движений в суставе и нарушение ходьбы. Диагностика осуществляется на основании жалоб и клинических симптомов, для исключения перелома назначается рентгенография. В лечении могут использоваться физиотерапевтические методы, наложение гипсовой лонгеты, лечебные пункции, теплые ванны и массаж.
МКБ-10

Общие сведения
Повреждения связок голеностопного сустава - достаточно частая травма. Растяжения, надрывы и разрывы связок составляют 10-12% от общего количества повреждений голеностопа. Надрывы, растяжения и разрывы связок этой анатомической зоны - одна из самых распространенных спортивных травм (около 19% всех повреждений у спортсменов). В ряде случаев нарушение целостности связочного аппарата может сочетаться с подвывихом или вывихом голеностопного сустава.
Причины
Чаще всего повреждение связок голеностопного сустава происходит в зимнее время при подворачивании стопы на льду, обледенелых ступенях и площадках. Кроме того, повреждение связок может наступить в результате прыжка с высоты (зачастую - небольшой) или ходьбы по неровной поверхности.
Патанатомия
Существует три группы связок, принимающих участие в фиксации голеностопного сустава. По наружной поверхности сустава расположены пяточно-малоберцовая, передняя и задняя таранно-малоберцовая связки, которые проходят вдоль наружной лодыжки и удерживают таранную кость от бокового смещения.
По внутренней поверхности сустава проходит дельтовидная (внутренняя коллатеральная) связка, состоящая из глубокого и поверхностного слоев. Поверхностный слой крепится к таранной и ладьевидной костям, глубокий - к внутренней части таранной кости. Третья группа связок, представленная межберцовым синдесмозом, задней поперечной, задними и передними межберцовыми связками, соединяет берцовые кости между собой. Чаще всего встречается повреждение наружной группы связок, обычно страдает передняя таранно-малоберцовая связка.
Классификация

Выделяют три типа повреждений связочного аппарата голеностопного сустава:
- Разрыв отдельных волокон. В быту такое повреждение обычно называют растяжением связок голеностопного сустава, однако, это название не соответствует действительному положению вещей, поскольку связки совершенно неэластичны и не могут растягиваться.
- Надрыв связок голеностопного сустава. Разрывается значительная часть волокон, но связки при этом продолжают выполнять свою поддерживающую функцию.
- Полный разрыв связок голеностопного сустава или их отрыв от места прикрепления.
Симптомы повреждения связок
Все три вида повреждений связочного аппарата голеностопного сустава сопровождаются одинаковыми клиническими признаками, однако, выраженность этих признаков напрямую зависит от тяжести повреждения. Пациент жалуется на боли при ходьбе. Визуально выявляется припухлость и кровоподтек в области повреждения. Пальпация травмированных связок болезненна. Возможен гемартроз.
При растяжении связок голеностопного сустава отек локальный, пострадавший испытывает боли, но сохраняет способность ходить. При надрыве связок голеностопного сустава отек распространяется на наружную и переднюю поверхность стопы. Ходьба затруднена из-за боли. Полный разрыв связок голеностопного сустава сопровождается гемартрозом, выраженным отеком, кровоподтеками, распространяющимися на тыльную и подошвенную поверхность стопы. Ходьба резко затруднена, иногда - невозможна из-за боли.
Диагностика
Диагноз устанавливается на основании жалоб, анамнеза и данных объективного осмотра. Несостоятельность связок подтверждается положительным симптомом «выдвижного ящика», для проверки которого врач одной рукой держит голень пациента, а другой - смещает стопу. При разрыве передней порции боковых связок стопа смещается кпереди. При разрыве боковых связок отмечается увеличение боковой подвижности стопы. Исследование проводится травматологом-ортопедом в сравнении со здоровым суставом. Для исключения перелома осуществляют рентгенографию.
Лечение повреждения связок
Лечение первой и второй степени повреждения проводится амбулаторно. Пациенту с растяжением связок голеностопного сустава рекомендуют накладывать на сустав тугую восьмиобразную повязку. В первые двое суток с момента травмы к месту повреждения прикладывают холод, а затем - тепло. Со 2-3 дня назначают физиолечение (массаж, аппликации озокерита и парафина, переменное магнитное поле). Больному разрешают ходить.
Тугая повязка будет максимально эффективной только, если соблюдать технику ее наложения. При повреждении наружной группы связок стопу выводят в положение пронации (подошвенной стороной кнаружи), при травме внутренней группы связок - в положение супинации (подошвенной стороной кнутри), при надрывах и разрывах межберцовых связок - в положение сгибания. Таким образом обеспечивается минимальное натяжение поврежденных связок. Бинт накладывают так, чтобы каждый тур повязки сближал концы травмированных связок.
При растяжениях связок голеностопного сустава трудоспособность восстанавливается в срок от 7 до 14 дней. При надрывах связок голеностопного сустава на голень больного накладывают гипсовую лонгету сроком на 10 дней. Физиолечение назначают со 2-3 дня с момента травмы. На время лечения гипс снимают. Трудоспособность восстанавливается примерно через 3 недели.
Больных с полным разрывом связок голеностопного сустава госпитализируют в отделение травматологии и ортопедии. При выраженном болевом синдроме вводят 1-2% новокаин в область повреждения. При гемартрозе выполняют пункцию для удаления крови и введения в сустав 10-15 мл новокаина. На ногу накладывают гипсовую лонгету сроком на 2-3 недели. Назначают УВЧ на область травмы.
Для улучшения питания поврежденной области пациенту с первых дней рекомендуют двигать пальцами стопы, напрягать мышцы голени, сгибать и разгибать коленный сустав. После снятия повязки назначают ЛФК, массаж и теплые лечебные ванны. В течение двух месяцев с момента повреждения показано ношение тугой повязки для полного восстановления связки и предупреждения ее повторных разрывов в месте заживления.
Разрывы и растяжения связок голеностопа

Одной из самых распространенных разновидностей повреждений костно-мышечной системы является травма связок голеностопного сустава (ГС), определяемая пациентами, как «подворачивание стопы». Наиболее часто «подворачивание» происходит во внутреннюю сторону и сопровождается травмированием латеральных голеностопных связок («инверсионное» повреждение). В свою очередь, подворачивание стопы наружу («эверсионное» повреждение), происходит значительно реже и характеризуется травмированием дельтовидной (медиальной) голеностопной связки.
Такого рода повреждения влекут за собой развитие сильной степени отеков, появление болевых ощущений и хромоты. При этом следует отметить, что, в отличие от переломов тех или иных участков голеностопа, травма его связок позволяет хотя бы незначительно нагружать больную конечность, что говорит о высокой вероятности благоприятного исхода лечения. Конечно, в медицинской практике наблюдаются ситуации, когда у пациентов, вследствие сильного подворачивания, нарушается суставная функциональность. Однако, такие случаи крайне редки и, при наличии своевременного и грамотного врачебного воздействия, полностью устраняются.

Рис. 1 Наиболее распространенный (инверсионный) тип травмирования связок ГС
Анатомические и функциональные особенности голеностопа
Голеностопный сустав образован сочленением таранной кости с малоберцовой и большеберцовой костями, удерживаемыми посредством межкостной мембраны, а также межберцовыми (задней и передней) связками. При этом, таранная кость, показанная на рисунке 2, размещается в образованной двумя берцовыми костями U-образной «вилке».

Рис. 2 Таранная кость (Т) размещена в U-образной «вилке». Межберцовый дистальный синдесмоз, образованный сочленением малоберцовой (Fib) и большеберцовой (Tib) костей и стабилизирующийся благодаря синдесмозным связкам (отмечены красным цветом), отвечает за нормальное функционирование голеностопа.
В свою очередь, таранная кость, соединяющаяся с пяточной и образующая подтаранный сустав, выполняет функцию шарнира.
За стабилизацию голеностопа, помимо синдесмозных, отвечают латеральные коллатеральные связки, проходящие с наружной стороны.

Рис. 3 Латеральные связки голеностопа.
Так называемым медиальным стабилизатором, обеспечивающим нормальное движение костей ГС между собой, является трехпорционная дельтовидная связка. Важно отметить, что, подобно таранно-малоберцовой, данная связка, обычно, страдает от чрезмерного растяжения, и лишь в исключительных случаях подвержена полному разделению.

Рис. 4 Дельтовидная связка (обведена желтым) состоит из порций, соединяющих большеберцовую кость с таранной (отмечена красным), ладьевидной (отмечена синим), и пяточной (отмечена зеленым).
Травмирование передней таранно-малоберцовой связки (далее ПТМС), имеющей внешний вид утолщенной капсулы и исключающей, наряду с пяточной малоберцовой связкой (далее ПМС), инверсию ГС, происходит намного чаще, чем травмирование связок других видов. При подворачивании происходит удлинение (растяжение) ПТМС, что, как следствие, ведет к нестабильности голеностопа.
ПМС проходит от пяточной кости к верхней части наружной лодыжки и считается самостоятельной связочной структурой.
Задняя таранно-малоберцовая связка (далее ЗТМС), проходящая от тыльной стороны таранной кости к тыльному краю наружной лодыжки, повреждается крайне редко. Те или иные ее повреждения наблюдаются при существенных вывихах ГС.
Передняя нижняя межберцовая связка (далее ПНМС), отвечающая за стабилизацию U-образной «вилки» берцовых костей, подвергается травмированию в случае ротации зафиксированной на той или иной поверхности стопы. Зачастую, образующийся после заживления данного вида связки рубец, может спровоцировать развитие импинджмента.

Рис. 5 Анатомия ПНМС
Состоящая из фиброзной ткани межкостная мембрана, как правило повреждается одновременно с межберцовыми связками заднего и переднего типов. Это приводит к расхождению берцовых костей и полной утрате суставом стабильности.
Типы травм голеностопных связок
В травматологии те или иные повреждения голеностопных связок имеют следующего вида классификацию:
- 1 степень: легкое травмирование без удлинения связки и без утраты голеностопом стабильности;
- 2 степень: травма, приводящая к незначительному растяжению и частичному разрыву связки, а также вероятной дестабилизации сустава;
- 3 степень: наблюдается полное разделение связок, сильная боль, отек и, разумеется, утрата суставных функций.
Частота и интенсивность повреждений связок ГС
Как показывает медицинская практика, повреждения связок ГС наблюдается у, порядка, 2,15 пациентов из 1000, обратившихся в травмпункты, больницы и приемные отделения в течение года. Травмы данной категории практически с одинаковой частотой встречаются у лиц женского и мужского пола и, в большей степени, вызваны занятиями спортом.
При диагностировании серьезных повреждений голеностопа важно своевременно и наиболее точно определить травмированный элемент (кость или связку). При этом, достаточно часто травмы ГС имеют комбинированный тип (разрыв/растяжение связки и перелом).
В этом случае, наличие существенных болевых ощущений в передней области пяточной кости, может говорить о наличии перелома на данном участке. Боль, проходящая снаружи голени, как правило говорит о травмировании малоберцовых сухожилий и т.д.
Симптоматика травм связок ГС
Люди с травмированными связками ГС, как правило, сопрягают момент повреждения сустава с подворачиванием стопы наружу (редко), либо внутрь (часто). При этом у пациентов наблюдается отечность, сильные боли, сложности с совершением движений, покраснение кожных покровов, а также иного вида симптоматика.
Однако, если травма не была обнаружена, специалист может диагностировать инфекцию мягких тканей (флегмону).

Рис. 6 Травма связок ГС может сопровождаться покраснением кожных покровов и отечностью
В процессе физикального диагностического осмотра, специалистом, с целью выявления болезненной области, указывающей на наличие повреждений именно в этом участке, производится пальпация ладьевидной, пятой плюсневой и передней части пяточной костей.
По устранении болевых ощущений и отечности, становится вполне возможным оценить устойчивость голеностопа. При этом, состояние ПМС диагностируется путем пальпации таранной кости, а состояние ПТМС - путем проведения так называемого теста «выдвижного ящика».

Рис. 7 Тестирование по методу «выдвижного ящика»
Данный тест выполняется, когда пациент находится в сидячем положении, согнув колени и свесив стопы. Специалист захватывает голень и выполняет смещение пятки во внутреннюю часть и вперед. Точкой вращения здесь является дельтовидная связка.
Высокие травмы голеностопных связок
Различного рода травмирования межберцового синдесмоза, находящегося выше уровня голеностопа, носят название высоких травм связок ГС. Данный вид повреждений, хотя и менее распространен, характеризуется сложностью и тяжестью последствий. Причиной высоких травм связок ГС является, к примеру, внезапная смена бега при ротации полностью стоящей на поверхности стопы.
С целью диагностирования межберцового синдесмоза, лечащий специалист использует тест наружной ротации, либо сжимает берцовые кости пациента, что, при наличии травмы будет провоцировать сильные болевые ощущения в исследуемой области.
Особенности диагностирования повреждений голеностопа
В случае, когда пациент с трудом встает на ногу, а в районе лодыжки ощущается сильная боль и дискомфорт - специалистом, в качестве диагностической методики, назначается рентгенографическое исследование.
Если на полученном снимке удается распознать, к примеру, перелом лодыжки изолированного типа, врач может дополнительно назначить рентген голени (точнее верхней ее трети).
Важно отметить, что рентген применяется не только для определения тех или иных видов переломов, но и с целью выявления повреждений синдесмоза.

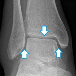
Рис. 8 Форма вилки голеностопа полностью соответствует форме таранной кости. При этом, ширина щели сустава (отмечена стрелками) одинакова с каждой стороны.
Еще одним методом диагностирования нестабильности голеностопа, применяемым в хронических случаях, является стресс-рентгенография.
МРТ - также достаточно популярная методика диагностики травм связок ГС. Как и стресс-рентгенография, она актуальна при наличии хронических болей для выявления различного рода повреждений межберцового синдесмоза.
Лечение травм связок ГС
Консервативные методы
Изначально лечение любых видов травм связок ГС осуществляется одновременно по 4-м пунктам:
- минимизация физической активности и нагрузок на голеностоп;
- местное использование ледяных компрессов для снятия отечностей;
- наложение умеренно тугой повязки, предотвращающей развитие отека;
- размещение поврежденной стопы выше уровня бедра.
Использование противовоспалительных лекарственных препаратов нестероидного действия (например, ибупрофена), в подавляющем большинстве случаев, обеспечивает достаточно эффективное купирование воспалительных процессов и болевых ощущений.
После устранения ярко выраженной симптоматики травмирования связок голеностопа, специалист может назначить физиотерапевтические процедуры, способствующие скорейшему восстановлению поврежденных тканей (в том числе и мышц), а также увеличению объема совершаемых движений, мышечной силы и пр.
Здесь следует заметить, что иногда, после устранения наиболее выраженных симптомов, пациенты все равно чувствуют некоторую нестабильность сустава (функциональная нестабильность) наряду с отсутствием проприоцептивной чувствительности. В этом случае, для улучшения самочувствия, специалист может порекомендовать:
- упражнение «восьмерка», выполняемое больной конечностью;
- стояние на одной ноге на различных поверхностях с поворачиванием головы в разные стороны.
Все эти упражнения могут выполняться, как под руководством врача, так и в домашних условиях.
Хирургические методики
Лечение с применением хирургических методик, направленное на восстановление утраченных функций, обычно показано пациентам с регулярно повторяющимися травмами связок ГС. Даже в случае устойчивых деформационных изменений связок, стабилизация голеностопа может обеспечиваться мышечными тканями.
Однако, следует сказать, что травмы связок ГС могут, в ряде случаев, повлиять на появление посттравматического остеоартрита.
Артроскопия голеностопного сустава
Артроскопические операции актуальны при наличии внутрисуставных травм ГС, разрыве связок, а также переломе хондрального типа. Наиболее часто специалисты прибегают к малоинвазивным артроскопическим методикам, направленным на восстановление связок ГС. Такие вмешательства отличаются хорошей переносимостью, минимальным травмированием тканей, а также способствуют быстрому восстановлению и, что наиболее важно, эффективному устранению последствий травмы.
Профилактичика травм ГС
Наиболее результативным вариантом лечения считается профилактика повреждений голеностопа. Этого можно добиться тейпированием ГС, фиксацией посредством специальных ортопедических ортезов, особым набором упражнений, растяжением ахилла, укреплением мышечной ткани и т.д.
При этом, к наиболее явным факторам риска специалисты относят имеющиеся ранее травмы ГС, полую стопу, занятия баскетболом, футболом и иными аналогичными видами спорта и т.д.
Стоимость услуг
Первое посещение лечащего специалиста
- Ознакомление с происхождением заболевания, основными жалобами пациента и т.д.
- Осмотр в клинических условиях
- Симптоматика недуга
- Ознакомление с результатами гематологических анализов, данных рентгенографии, МРТ, КТ
- Диагностирование травмы
- Назначение лечения
Повторное посещение специалиста
- Анализ результатов диагностики, проведенной при первом посещении лечащего специалиста
- Уточнение диагноза
- Назначение лечения
Восстановление связок голеностопа по хирургической методике артроскопического типа
- Пребывание в стационаре
- Введение анестезионных препаратов эпидурального типа
- Стабилизирующая артроскопическая операция на голеностопе
- Расходные материалы
- Импланты (биодеградируемого типа)
Послеоперационное посещение врача
- Послеоперационный осмотр в клинических условиях
- Ознакомление с послеоперационными результатами рентгенограмм, МРТ, КТ
- Предоставление рекомендаций по реабилитации
- Внутрисуставное введение препарата на основе гиалуроновой кислоты (в случае необходимости)
- Снятие операционных швов
Отзывы о враче
Меня зовут Воробьева Елена. В августе 2021 Денис Сергеевич сделал мне операцию по замене тазобедренного сустава. В феврале 2022 года я пришла на очередной осмотр. Доктор сказал, что у меня все абсолютно .
Обратился к Денису Сергеевичу на консультацию по поводу проведения эндопротезирования коленного сустава. Ранее в той же клинике был поставлен диагноз гонартроз с рекомендацией оперироваться. Доктор .
У бабушки (91 год) был сложный перелом плеча со смещением. Никто не брался ей помочь, а в больницу с ковидом отправлять бабушку было страшно. Несколько врачей сказали, что ничем помочь не могут. От .
Мне, Митрополевский Татьяне Валентиновне, 1949 г. Рождения, была выполнена операция тотального цементного эндопротезирования левого тазобедренного сустава. Первая аналогичная операция на правом суставе .
Проживаю в Ростовской области. Последние два года очень беспокоила боль в тазобедренном суставе, уже ничего не помогало, и я решилась на эндопротезирование. По совету ростовского хирурга обратилась .
Больше года ежеминутно я чувствовала мигрирующую боль в области таза, боль усиливалась после сидения и лежания на боку. Прошла весь путь врачей от гинекологии, урологии, проктологии, неврологии и тому .
Обратилась к врачу с сильнейшей болью в тазобедренного суставе, практически не могла ходить. Денис Сергеевич внимательно осмотрел, назначил обследование, по результатам которого провел манипуляции .
Якушев Денис Сергеевич - травматолог-ортопед, но ещё и врач и человек с большой буквы. В 2016 году доктор Якушев Д.С. прооперировал тазобедренный сустав справа у моей мамы. Операция была экстренная .
Очень понравилось всё! Врач подробно рассказал обо всем, объяснил ситуацию. Понятно и доступно! Внимательность, профессионализм! Приятно было пообщаться. Специалиста рекомендую на все 100%!
Хочу сказать большое спасибо Якушеву Денису Сергеевичу! Обратился к нему с отрывом сухожилия бицепса. Диагноз был поставлен очень оперативно и сразу назначена плановая операция. Операцию сделали по .
Мне понравился весь мед персонал, а главное, мой лечащий врач - Якушев Денис Сергеевич. Этот человек на своем месте. Я живу в ростовской обл., хорошие люди дали номер телефона Денис Сергеевич, созвонились .
Хотим выразить огромную благодарность Якушеву Денису Сергеевичу! Спасибо Вам большое за Ваш профессионализм и внимательность, за теплое, доброжелательное отношение к нам и желание помочь! Пациенту .
С 2011 года у моей свекрови (сейчас ей 70 лет) появились сильнейшие боли в правой ноге в области бедра и колена. Мы с мужем неоднократно ее записывали к различным травматологам-ортопедам и неврологам .
Народ! Спешу сообщить, что наша медицина жива, пока у неё есть такие доктора, как Якушев Денис Сергеевич - Травматолог-ортопед, не ошиблась, именно с большой буквы. 28.01.2020 доктор Якушев Д.С.
В январе 2020 г. мужу сделали операцию по замене правого тазобедренного сустава в ФНКЦ МФБА России. Оперировал травматолог-ортопед Якушев Денис Сергеевич. Операция прошла прекрасно, всего за 1 ч. 10 .
Повреждение связок
Повреждение связок - частичное или полное нарушение целостности связок в результате травматического воздействия. Широко распространено, может быть полным или частичным. Причиной обычно становится бытовая или спортивная травма. Чаще страдают связки голеностопного и коленного сустава. Повреждение связок проявляется болями, нарастающим отеком, ограничением опоры и движений. Нередко в травмированной области на 2-3 день появляется выраженная гематома. Диагноз выставляют на основании осмотра, при необходимости назначают рентгенографию, УЗИ и МРТ. Лечение чаще консервативное.
Повреждение связок - травма, при которой разрывается связка или ее отдельные волокна. Наряду с ушибами, является одним из самых широко распространенных травматических повреждений. Обычно возникает в результате бытовой или спортивной травмы, может наблюдаться у людей любого возраста. Нижние конечности страдают чаще верхних. Существует определенная сезонность, например, количество повреждений связок голеностопного сустава резко увеличивается в зимнее время, особенно в период гололедицы.
Непосредственной причиной травмы является чрезмерное давление или амплитуда движений, превышающая эластичность тканей связки. Наиболее распространенные механизмы - подворачивание ноги, реже выворачивание руки (например, при неудачном падении или занятии контактными видами спорта). Степень повреждения связок может существенно различаться - от незначительного растяжения, все симптомы которого проходят в течение 2-3 недель, до полного разрыва, при котором необходимо оперативное лечение.
Повреждение связок: классификация, диагностика, лечение
Вне зависимости от локализации травмы, в травматологии различают три степени повреждения связок:
- 1 степень (растяжение) - разрыв части волокон связки при сохранении ее непрерывности и механической целостности. В быту такое повреждение обычно называют растяжением связок, хотя на самом деле связки не эластичны и не способны растягиваться. Сопровождается умеренной болью. Кровоизлияние отсутствует, отек незначительный. Отмечается нерезкое ограничение опоры и движений.
- 2 степень (надрыв) - разрыв большей части волокон связки. Сопровождается отеком и образованием кровоподтека. Движения болезненны, ограничены. Может выявляться незначительная нестабильность сустава.
- 3 степень - разрыв связки. Наблюдается сильная боль, большой кровоподтек, выраженная отечность и нестабильность сустава.
Диагноз повреждения связок устанавливают с учетом механизма травмы и данных осмотра. В целом - чем ярче выражены клинические признаки, тем больше волокон связки должно быть разорвано. Вместе с тем, следует учитывать, что отек и кровоизлияние нарастают с течением времени, поэтому при совсем свежих полных разрывах симптомы могут быть менее яркими, чем при надрывах давностью 2-3 суток. Для оценки степени повреждения связок назначают УЗИ или МРТ сустава.
Повреждение связок дифференцируют с переломами и вывихами. При вывихе наблюдается выраженное смещение костей относительно друг друга, сустав сильно деформирован, нормальные анатомические соотношения нарушены, движения невозможны, при попытке пассивных движений выявляется пружинящее сопротивление. При повреждении связок внешний вид сустава изменен только из-за отека, анатомические соотношения не нарушены, движения возможны, но ограничены из-за боли, пружинящее сопротивление отсутствует.
При переломе обычно наблюдается деформация, крепитация и патологическая подвижность. Однако это - необязательные признаки нарушения целостности костей, в ряде случаев (например, при переломе наружной лодыжки без смещения) они могут отсутствовать. Другие симптомы перелома (отек, ограничение движений, боль и нарушение опоры) аналогичны клиническим проявлениям повреждения связок, поэтому для постановки окончательного диагноза необходимо рентгенологическое обследование. При необходимости также назначают МРТ или УЗИ.
Лечение неполных повреждений связок осуществляют в травмпункте. Больным назначают покой, физиотерапию и возвышенное положение конечности. В первые сутки к области повреждения рекомендуют прикладывать холод (например, грелку со льдом), затем - сухое тепло. При ходьбе накладывают тугую повязку, чтобы «удержать» сустав и защитить связки от дальнейшей травматизации. В покое повязку снимают. Ни в коем случае не следует оставлять эластичный бинт на ночь - это может стать причиной нарушения кровоснабжения и спровоцировать увеличение отека конечности. При сильных болях пациентам советуют принимать обезболивающие препараты. Период активного лечения обычно составляет 2-4 недели, полное восстановление связки происходит примерно через 10 недель.
При полных разрывах связок больных госпитализируют в травматологическое отделение. Проводят иммобилизацию, конечности придают возвышенное положение, назначают анальгетики и физиотерапию. В дальнейшем в зависимости от локализации повреждения может быть показана как консервативная терапия, так и оперативное лечение. Как правило, операцию по восстановлению целостности связки выполняют в плановом порядке. Однако в ряде случаев хирургическое вмешательство может осуществляться сразу при поступлении. В последующем в обязательном порядке проводят реабилитационные мероприятия.
Повреждение связок голеностопного сустава
Является самым распространенным повреждением связок. Обычно возникает при подворачивании стопы кнутри. Чаще страдают связки, расположенные между малоберцовой и таранной или малоберцовой и пяточной костями. При повреждении 1 степени (растяжении) пациент жалуется на неинтенсивные боли при ходьбе, отек сустава незначительный или умеренный, функция ходьбы не нарушена. 2 степень повреждения связок (надрыв) сопровождается выраженным отеком, распространяющимся на наружную и переднюю поверхность стопы; отмечается значительное ограничение движений, ходьба затруднена, но обычно возможна. При 3 степени (полном разрыве) возникают интенсивные боли, отек и кровоизлияние распространяются по всей стопе, включая ее подошвенную поверхность, ходьба часто невозможна.
На МРТ голеностопного сустава определяется частичный или полный разрыв связки. На рентгенограммах голеностопного сустава при 1-2 степени повреждения связок изменения отсутствуют, при 3 степени иногда просматривается небольшой фрагмент костной ткани, оторвавшийся от кости в области прикрепления связки.
Лечение растяжения связок в первые сутки включает в себя холод и тугое бинтование. Со 2-3 дня назначают физиолечение: УВЧ, переменные магнитные поля, в последующем - парафин или озокерит. Выздоровление, как правило, наступает через 2-3 недели. При надрывах связки на конечность накладывают гипсовую лонгету на 10 и более дней. В остальном лечение - как при растяжении связок, срок восстановления составляет несколько недель. При полных разрывах на сустав сначала накладывают лонгету, после спадания отека гипс циркулируют и сохраняют не менее 2 недель. В последующем повязку модифицируют, чтобы ее можно было снимать при проведении ЛФК, массажа и физиотерапии. Гипс сохраняют до 1 месяца, затем в течение 2 месяцев рекомендуют ношение специального поддерживающего голеностопника или эластичного бинта для предупреждения повторного повреждения связок. Хирургическое лечение обычно не требуется.
Повреждение боковых связок коленного сустава
Повреждение боковых связок возникает при форсированном боковом отклонении голени. Если голень отклоняется кнаружи, возможно повреждение внутренней связки, если кнутри - повреждение наружной связки. Внутренняя связка страдает чаще, но обычно не разрывается, а лишь частично надрывается, в отдельных случаях возникают полные разрывы. Наружная связка поражается реже, при этом, как правило, наблюдаются полные разрывы, отрывы от надмыщелка бедра или отрывы от головки малоберцовой кости вместе с небольшим костным фрагментом.
Пациент жалуется на боль, затруднение движений и ходьбы. Сустав отечен, может выявляться гемартроз. Пальпация области связки болезненна, движения ограничены. При значительных надрывах и полных разрывах наблюдается избыточная боковая подвижность голени. При частичных разрывах накладывают гипсовую лонгету, назначают УВЧ. При полных разрывах внутренней связки проводят консервативную терапию, которая включает в себя иммобилизацию, ЛФК и физиотерапию.
Полные разрывы наружной связки сопровождаются значительным расхождением концов, поэтому при таких травмах требуется хирургическое вмешательство. В ходе операции поврежденные концы связки сшивают либо осуществляют пластику связки с использованием сухожилия двуглавой мышцы бедра. При отрывах фрагмента малоберцовой кости производят фиксацию отломка винтом. В послеоперационном периоде проводят реабилитационные мероприятия: массаж, ЛФК и физиолечение.
Повреждение крестообразных связок коленного сустава
Крестообразные связки, расположенные в полости коленного сустава, повреждаются при запредельных движениях. Передняя крестообразная связка обычно разрывается при ударе по задней поверхности согнутого коленного сустава, задняя - при ударе по передней поверхности голени или резком разгибании коленного сустава. Разрывы и надрывы крестообразных связок, как правило, возникают при спортивной травме: во время игры в футбол, борьбы, занятий горнолыжным спортом и т. д.
В момент повреждения связок коленного сустава появляется резкая боль. Движения становятся болезненными, объем сустава увеличивается, в нем образуется гемартроз. Отличительным признаком разрыва крестообразных связок является симптом «выдвижного ящика». Врач пытается сместить согнутую голень больного назад или вперед. При разрывах передней крестообразной связки отмечается избыточное смещение голени вперед, при разрывах задней крестообразной связки - избыточное смещение голени назад.
Для исключения переломов выполняют рентгенографию коленного сустава. Для оценки степени разрыва связок назначают МРТ коленного сустава или артроскопию. Лечение включает в себя пункции коленного сустава, иммобилизацию сроком до 1 месяца, ЛФК, физиотерапию и массаж. Операции обычно осуществляют спустя 5-6 недель с момента травмы, поскольку раннее хирургическое вмешательство может стать причиной развития контрактуры сустава. Исключение - отрывы связок с костным фрагментом и смещением отломка, в таких случаях показана срочная операция.
Показанием к отсроченному восстановлению связок являются нарушения ходьбы и разболтанность сустава. Простое сшивание не обеспечивает желаемого результата, поэтому травматологи осуществляют пластическую реконструкцию связок с использованием трансплантата из связки надколенника. В отдельных случаях поврежденные связки заменяют искусственными материалами. В послеоперационном периоде назначают антибиотики, анальгетики, массаж, физиотерапию и ЛФК. Пациенту рекомендуют избегать чрезмерных нагрузок на коленный сустав.
Повреждения связок коленного сустава
Повреждение связок коленного сустава - распространенная травма, которая чаще наблюдается у активных молодых людей и обычно возникает в быту или во время занятий спортом. Причиной повреждения связок коленного сустава являются чрезмерные движения в суставе (переразгибание, скручивание конечности по оси, приведение или отведение голени). Иногда повреждение происходит в результате удара или давления на голень. Пациенты с повреждением связок коленного сустава жалуются на боли, ограничение подвижности и отечность в районе сустава. Диагноз устанавливается по данным анамнеза и клинического осмотра, для исключения перелома возможно проведение рентгенографии. Дополнительно назначается МРТ коленного сустава, диагностическая пункция или артроскопия.

Повреждение связок коленного сустава - распространенная травма, которая чаще наблюдается у активных молодых людей и обычно возникает в быту или во время занятий спортом. Причиной повреждения связок коленного сустава являются чрезмерные движения в суставе (переразгибание, скручивание конечности по оси, приведение или отведение голени). Иногда повреждение происходит в результате удара или давления на голень.
Выделяют следующие степени повреждения связок коленного сустава:
- I степень. Частичный разрыв связок коленного сустава (рвутся отдельные волокна). Такое повреждение нередко называют растяжением связок коленного сустава, хотя на самом деле связки не эластичны и растягиваться не могут;
- II степень. Неполный разрыв связок (надрыв связок коленного сустава);
- III степень. Полный разрыв связок коленного сустава. Как правило, сочетается с повреждением других элементов сустава (капсулы, менисков, хрящей и т. д.).
С учетом локализации травмы в травматологии выделяют повреждения боковых (наружной и внутренней) и крестообразных (передней и задней) связок.
Повреждение боковых связок
Анатомия
Две коллатеральные (боковые) связки расположены по боковым поверхностям коленного сустава. Коллатеральная малоберцовая (латеральная боковая) связка вверху укрепляет сустав снаружи. Вверху она прикрепляется к наружному мыщелку бедра, внизу - к головке малоберцовой кости. Коллатеральная большеберцовая (медиальная боковая) связка, соответственно, располагается по внутренней поверхности сустава. Вверху она крепится к внутреннему мыщелку бедра, внизу - к большеберцовой кости. Кроме того, часть ее волокон прикрепляется к капсуле сустава и внутреннему мениску, поэтому повреждения внутренней боковой связки нередко сочетаются с травмой внутреннего мениска.
Повреждение наружной боковой связки коленного сустава
Наружная боковая связка повреждается реже внутренней. Повреждение связок коленного сустава возникает при чрезмерном отклонении голени кнутри (например, при подворачивании ноги). Разрыв часто бывает полным, может сочетаться с отрывным переломом части головки малоберцовой кости.
Симптомы
Больной жалуется на боли в области повреждения, которая усиливается при отклонении голени кнутри. Движения ограничены. Сустав отечен, определяется гемартроз. Выраженность симптомов зависит от степени повреждения связок коленного сустава. При полном разрыве выявляется разболтанность (избыточная подвижность) в суставе.
Повреждение внутренней боковой связки коленного сустава
Внутренняя боковая связка травмируется чаще, однако, обычно ее повреждение бывает неполным. Травма возникает при чрезмерном отклонении голени кнаружи. Данное повреждение связок коленного сустава нередко сочетается с разрывом внутреннего мениска и повреждением капсулы сустава, что может быть диагностировано при проведении МРТ коленного сустава.
Сустав отечен, определяется болезненность при прощупывании, движениях, отклонении голени кнаружи. Выявляется гемартроз. Движения ограничены. Полный разрыв сопровождается избыточной подвижностью в суставе.
Лечение повреждений боковых связок коленного сустава
Растяжение и надрыв связок коленного сустава травматологи лечат консервативно. Место повреждения обезболивают раствором новокаина. При большом количестве крови в суставе проводят пункцию. На ногу накладывают гипсовую шину от лодыжек до верхней трети бедра.
Полный разрыв внутренней боковой связки также лечат консервативно. При полном разрыве наружной боковой связки требуется хирургическое вмешательство, поскольку ее концы, как правило, отдаляются друг от друга, и самостоятельное сращение становится невозможным. В ходе операции выполняют лавсановый шов связки или ее сухожильную аутопластику. При расслоении связки используют трансплантаты. В случае отрывного перелома головки костный фрагмент винтом фиксируют к малоберцовой кости.
При сращении связки ее длина нередко увеличивается за счет рубцовой ткани. В результате укрепляющая функция связки снижается, коленный сустав становится нестабильным. Если другие структуры сустава (капсула, крестообразные связки) не компенсируют эту нестабильность, проводится реконструктивная операция (перемещение места прикрепления связок или сухожильная пластика).
Повреждение крестообразных связок
Крестообразные связки располагаются внутри коленного сустава и соединяют суставные поверхности большеберцовой и бедренной кости. Передняя крестообразная связка вверху прикрепляется к задневерхней поверхности наружного мыщелка бедра, проходит через сустав кпереди и кнутри, а затем крепится к суставной поверхности большеберцовой кости в ее передневнутренней части.
Задняя крестообразная связка прикрепляется к передневерхней поверхности внутреннего мыщелка бедра, проходит в полости сустава кзади и кнаружи, а затем крепится к суставной поверхности большеберцовой кости в ее задненаружной части. Передняя крестообразная связка не дает голени соскальзывать кпереди, а задняя крестообразная связка удерживает голень от соскальзывания кзади.
Причиной повреждения передней крестообразной связки становится удар или давление на заднюю поверхность согнутой голени. Задняя крестообразная связка повреждается при переразгибании голени или удар по передней поверхности голени. Чаще встречается повреждение передней крестообразной связки. Нередко наблюдается триада Турнера («несчастная триада»): сочетание разрыва передней крестообразной связки с повреждением наружной боковой связки и разрывом внутреннего мениска.
Симптомы
Коленный сустав отечен, болезненен. Определяется жидкость (гемартроз). Основным клиническим признаком разрыва крестообразных связок является симптом выдвижного ящика (чрезмерная подвижность голени в переднезаднем направлении). Врач сгибает расслабленную ногу пациента под углом 90 градусов, после чего одной рукой придерживает бедро, а другой двигает голень кзади и кпереди.
Если голень смещается кпереди, это говорит о несостоятельности передней крестообразной связки. Если голень смещается кзади, значит, нарушена целостность задней крестообразной связки. В случае частичного разрыва (растяжения) крестообразных связок данный симптом может быть отрицательным. Для более полного исследования сопутствующих повреждений при повреждении связок коленного сустава проводят диагностическую артроскопию коленного сустава.
МРТ коленного сустава. Повреждение (отек, разволокнение, частичный разрыв) передней крестообразной связки.
Лечение
При частичных разрывах проводится консервативное лечение: пункция сустава, наложение гипсовой шины на срок до 5 недель. Полный разрыв связок является показанием к операции. Восстановить целостность связок можно классическим методом (через открытый доступ) или эндоскопически (с использованием артроскопа). Менее травматичными являются артроскопические операции. При свежих повреждениях связок коленного сустава конец связки подшивают к кости, при застарелых разрывах производят лавсанопластику или замещение связки аутотрансплантатом из собственной связки надколенника. Операцию выполняют через 5-6 недель с момента травмы. Хирургическое вмешательство в более ранние сроки не проводят, так как оно может повлечь за собой развитие контрактуры (ограничения движений) в суставе.
Пример повреждения связок голеностопа. Травма передней межберцовой связки
- Обувь по индивидуальной ортопедической колодке
Повреждение межберцового синдесмоза
Повреждение межберцового синдесмоза
Большеберцовая и малоберцовая кости соединены между собой в дистальном отделе межберцовым синдесмозом, который расположен над голеностопным суставом. Синдесмоз обеспечивает конгруентность двух суставов - дистального большеберцово-малоберцового и голеностопного, правильность соотношения и подвижность берцовых костей в нескольких плоскостях. В состав межберцового синдесмоза входят 4 связки.
Дистальная передняя связка размером 20 мм проходит под углом к горизонтальной и сагиттальной плоскости. Связка обладает наименьшей прочностью изо всех структур синдесмоза. Она удерживает обе берцовые кости, поддерживает прочность вилки берцовых костей и препятствует ротации таранной кости. Дистальная задняя связка расположена горизонтально, идет под углом к горизонтальной плоскости и имеет 2 слоя. Это самая прочная связка, которая взаимодействует с передней связкой, удерживает вилку голеностопного сустава и предотвращает трансляцию таранной кости назад. Нижняя поперечная связка покрывает край большеберцовой кости и образует заднюю хрящевую губу. Связка предохраняет берцовые кости от давления со стороны таранной кости и препятствует её трансляции. Межкостная тибио-фибулярная связка расположена между выступами большеберцовой кости над щелью голеностопного сустава. Это короткая и мощная связка шириной в 20 мм с пучками, расходящимися вперед и назад. Связка является стабилизатором дистального сочленения большеберцовой и малоберцовой костей. Связка демпферирует растяжение вилки голеностопного сустава.

Рис. 1. Анатомия межберцового синдесмоза
Обе берцовые кости вместе с верхним и нижним межберцовыми сочленениями образуют конструкцию в виде рамки. В межберцовых суставах берцовые кости совершают ротацию вдоль продольной оси голени и трансляцию в горизонтальной плоскости. Амплитуда наружной ротации большеберцовой кости при сгибании составляет 5-6°, а при ходьбе общая амплитуда ротации в 3 раза больше. Малоберцовая кость совершает движения относительно большеберцовой в трех направлениях: вперед-назад, вверх-вниз и ротируется вокруг собственной оси. При разгибании стопы блок таранной кости входит в вилку голеностопного сустава своей передней широкой частью, в результате чего вилка голеностопа расширяется до 1,5 мм, малоберцовая кость смещается назад и поворачивается наружу. При сгибании стопы блок таранной кости выходит из вилки голеностопного сустава, что вызывает сужение вилки и малоберцовая кость движется в обратном направлении. Положение стопы в голеностопном суставе влияет на нагрузку, которую испытывают связки. В нейтральном положении стопы большая часть нагрузки приходится на переднюю и межкостную связки и меньшая часть нагрузки - на заднюю связку. При разгибании стопы происходит увеличение нагрузки на заднюю связку и уменьшение нагрузки на переднюю связку, при сгибании стопы растяжение связок уменьшается. Доля нагрузки на переднюю нижнюю связку составляет 35%, на глубокую часть задней нижней связки- 33%, на межкостную - 22%, на поверхностную часть задней нижней связки- 9%. Межберцовый синдесмоз взаимодействует с мембраной, натянутой между берцовыми костями. При нагрузке по оси голени синдесмоз растягивается одновременно с мембраной, что позволяет распределить нагрузку по костям голени. Большеберцовая кость, которая располагается по оси сегмента, воспринимает 5/6 нагрузки, приходящейся на голень, а малоберцовая кость воспринимает оставшуюся 1/6 часть нагрузки.
Межберцовый синдесмоз является стабилизатором голеностопного сустава при движении стопы в сагиттальной и горизонтальной плоскости. В межберцовом синдесмозе основными стабилизаторами являются задняя, нижняя поперечная и межкостная связки. Задняя связка является самой прочной связкой, которая препятствует трансляции таранной кости назад, межкостная связка амортизирует расширение вилки берцовых костей. Синдесмоз взаимодействует со связками по медиальной и латеральной поверхности сустава. Движение малоберцовой кости ограничены связками на передней поверхности капсулы тибио-фибулярного сустава. При разгибании стопы латеральная лодыжка в дистальном тибио-фибулярном суставе смещается назад и наружу. Если стопа принимает нейтральное положение, то нагрузка на заднюю связку становится меньше, чем на переднюю связку. При сгибании стопы малоберцовая кость в межберцовом суставе смещается вперед и во внутрь, блок таранной кости устанавливается в вилке голеностопа своей узкой частью, в межберцовом синдесмозе происходит уменьшение натяжения связок, нагрузка на связки синдесмоза распределяется равномерно. Стабилизации заднего отдела стопы и ограничение нагрузки на межберцовый синдесмоз происходит благодаря напряжению трехглавой мышцы голени. При ходьбе большеберцовая и малоберцовая мышцы своим напряжением обеспечивают устойчивость берцовых костей. Мышцы одновременно сближают берцовые кости и кости предплюсны, что сдерживает расширение синдесмоза во фронтальной плоскости и противодействует колебаниям туловища.

Рис. 2. Механизм разрыва синдесмоза
Повреждение синдесмоза связано, во-первых с сочетанием наружной ротации в голеностопе с пронацией стопы в 2/3 случаев и с супинацией в 1/3 случаев, и, во-вторых, с комбинацией наружной ротации с переразгибанием в голеностопе. Чаще травма имеет место при подворачивании стопы. Реже травма происходит во время прыжка при приземлении. Когда стопа установилась на опору, голень продолжает разгибаться на фиксированной стопе, широкая часть блока таранной кости входит в вилку голеностопного сустава, раздвигает ее и травмирует связки. При разрыве передней связки диастаз между костями составляет 2 мм, при сочетании разрыва передней малоберцовой и межкостной связки диастаз увеличивается в два раза, при дефекте всех связок он достигает 7 мм. После травмы голеностопного сустава развивается нестабильность дистального тибио-фибулярного сустава и недостаточность синдесмоза. Частота растяжения синдесмоза среди всех повреждений связок голеностопа составляет 10 -17% .
Повреждение синдесмоза одновременно дестабилизирует дистальное межберцовое сочленение и голеностопный сустав, в результате чего образуется подвывих или вывих таранной кости в голеностопном суставе. Выход из строя связок синдесмоза сопровождается разрывом межкостной мембраны. Если действует ротационная сила, то повреждение межберцового синдесмоза сочетается с переломом костей. Нарушение целостности синдесмоза и межкостной мембраны наблюдают при спиралевидном переломе малоберцовой кости. Во время травмы синдесмоза у пациента возникает резкая боль, которая локализуется над голеностопным суставом. В ранние сроки после травмы острое повреждение межберцового синдесмоза имеет яркие проявления. Боль сопровождается нарушением движения в суставе. При осмотре у больного выявляют расширение вилки голеностопного сустава, смещение малоберцовой кости, наружную ротацию стопы, ограничение разгибания в голеностопном суставе. При хронической нестабильности межберцового синдесмоза жалобы носят непостоянный характер и не всегда соответствуют патологической подвижности берцовых костей.

Рис. 3. Повреждение межберцового синдесмоза, наружная ротация таранной кости, вид спереди и сзади
Для диагностики повреждения синдесмоза пользуются специальными тестами. Врач делает ротацию стопы наружу до возможного предела, а затем увеличивает степень поворота стопы, что вызывает боль по передней поверхности голени. Врач давит своим пальцем на таранную кость под внутренней лодыжкой в латеральном направлении, что вызывает смещение таранной кости наружу с крепитацией и болью. Врач сдавливает двумя руками на обе кости голени в средней трети в поперечном направлении, что вызывает боль дистальней места сдавления в области синдесмоза. Врач захватывает пальцами наружную лодыжку спереди и сзади и смещает ее в назад и вперед. При этом появляется боль над лодыжкой в области синдесмоза.
На рентгенограмме в переднее-задней проекции основными проявлениями недостаточности синдесмоза являются расширение вилки голеностопного сустава, расширение медиальной суставной щели и наклон таранной кости во фронтальной плоскости, травматическая эрозия плафона большеберцовой кости. Задний вывих малоберцовой кости в дистальной части голени виден, как заднее смещение малоберцовой кости относительно большеберцовой кости. Делают рентгенограммы с внутренней и наружной ротацией голени на которых имеется асимметрия суставной щели, расширение вилки голеностопного сустава, смещение наружной лодыжки назад и наклон таранной кости. Синдесмоз может оказаться поврежденным при отсутствии рентгенологических изменений. Самым информативным методом, который позволяет рассмотреть состояние отдельных связок, выявить дефект синдесмоза и определить соотношение костей голени является МРТ.
![]() | ![]() |
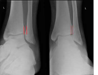
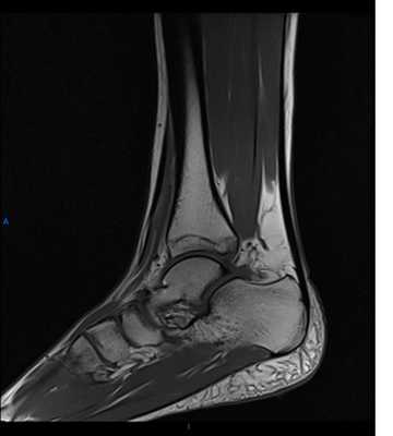
| Рис. 4. Разрыв межберцового синдесмоза, увеличено расстояние между большеберцовой и малоберцовой костями | Рис. 5. Разрыв передне-нижней связки синдесмоза на магнитно-резонансной томограмме |
В остром периоде после травмы прибегают к холодовым аппликациям для снятия отека. Накладывают лонгету на стопу и голень, или тутор - стоподержатель, который ограничивает сгибание-разгибание в голеностопном суставе, чтобы таранная кость не раздвигала вилку голеностопа и не травмировала синдесмоз. После того, как отек спадает, накладывают циркулярную гипсовую повязку сроком до 8 недель. После снятия гипса носят эластический брейс.
![]() | ![]() |
| Рис. 6. Тутор-стоподержатель ортопедический на голеностопный сустав | Рис. 7. Тутор-стоподержатель ортопедический на голеностопный сустав регулируемый |
Хирургическую операцию делают при разрыве предней и задней связок межберцового синдесмоза, разрыве связок с расхождением берцовых костей более 2 мм, разрыве связок с нарушением функции голеностопного сустава. При остром повреждении синдесмоза, который дает нестабильность, делают операцию, в ходе которой репонируют малоберцовую кость в вырезку большеберцовой и фиксируют кости винтом. При разрыве синдесмоза в сочетании с переломом берцовых костей и переломо-вывихом голеностопного сустава делают остеосинтез обеих берцовых костей и фиксацию синдесмоза путем стяжки вилки голеностопного сустава. При хронической нестабильности, вызванной разрывом синдесмоза, делают такие операции, как реконструкция передней, задней и межкостной связок синдесмоза, тенодез короткой малоберцовой мышцы, аутопластику трансплантатом из сухожилия длинной малоберцовой мышцы, аллопластику с помощью синтетических связок. После вмешательства накладывают гипсовую иммобилизацию. Для восстановления целостности синдесмоза делают операцию фиксацию межберцового синдесмоза винтами или стягивают берцовые кости с помощью связки. Кости временно свинчивают с помощью компрессионного винта на 6 недель. Нога находится в гипсовой повязке в течение 3 недель. После снятия гипса на ногу надевают ортез или тутор. Тутор ограничивает движения стопы в сагиттальной плоскости и оказывает компрессионное воздействие на лодыжки. Благодаря давлению на берцовые кости с двух сторон поддерживается необходимое расстояние между ними, что способствует срастанию связок синдесмоза.
В отдаленные сроки после операции для устойчивости ноги и уверенности в ходьбе рекомендуют ботинки с высокими голенищами или сапоги, которые ограничивают движения берцовых костей и создают умеренную компрессию лодыжек. Жесткий задник препятствует избыточному движению пяточной и таранной костей во фронтальной плоскости. В обуви имеется супинатор для установки стопы в правильном положении.

Рис. 8. Устранение разрыва межберцового синдесмоза после операции фиксации винтами
![]() | ![]() |
| Рис. 9. Тутор пластиковый Персей на голеностопный сустав и стопу | Рис. 10. Высокоинтенсивный ортез голеностопного сустава |




Рис. 11. Ботинки Персей с высокими голенищами Б 101, Б 102, Б 105, Б 108



Рис. 12. Сапоги Персей С 18, С 19, С 23
Bartonicek J. Anatomy of the tibiofibular syndesmosis and its clinical relevance. Surg Radiol Anat, 2003 (25), pp. 379-386
Elgafy H., Semaan H.B, Blessinger B., Wassef A., Ebraheim N.A. Computed tomography of normal distal tibiofibular syndesmosis. Skeletal Radiol, 2010 (39), pp. 559-564
Harper M.C. Delayed reduction and stabilization of the tibiofibular syndesmosis. Foot Ankle Int, 2001 (22), pp. 15-18.
Tourné Y., Molinier F., Andrieu M., Porta J., Barbier G. Diagnosis and treatment of tibiofibular syndesmosis lesions. Orthopaedics & Traumatology: Surgery & Research. 2019, V. 105, I. 8, Supplement, P. S275-S286
Читайте также:






