Пример тяжелого течения ларвального парагонимоза. Клиника тяжелого парагонимоза
Добавил пользователь Евгений Кузнецов Обновлено: 01.02.2026
Паразитарные инвазии легких - наименее изученный раздел пульмонологии, в котором вопросы о жизненном цикле паразита и его взаимоотношении с организмом хозяина (в первую очередь человека) долгое время оставались на уровне представлений первой половины XX века. Так, даже таксономия возбудителя здесь была окончательно уточнена только в начале 80-х годов.
Поражение человека легочной двуусткой в России считалось "экзотической патологией" и спорадически регистрировалось в основном на территории Приморского края, являющегося одним из самых северных ареалов обитания паразитов рода Paragonimus, широко распространенных в Южной и Центральной Америке, Африке, Юго-Восточной Азии и других регионах. В то же время здесь достаточно часто пациентами стационаров различного профиля (как соматических, так и фтизиатрических) становились люди с бронхолегочной патологией неопределенной нозологической принадлежности, длительным течением и толерантностью к традиционным способам терапии. В связи с неясностью диагноза учет таких больных не велся, и только после создания во Владивостоке медицинского вуза, одной из клинических баз которого стала краевая больница, удалось выделить этот контингент пациентов в отдельную группу и начать полноценное комплексное исследование.
На Дальнем Востоке впервые были систематизированы особенности клиники, патогенеза, патологической анатомии, диагностики и лечения ларвального парагонимоза. Научные исследования выполнены авторами предлагаемой статьи совместно с учеными Харбинского университета (КНР).
Патогенез и патологическая анатомия
Среди природно-очаговых заболеваний Дальнего Востока парагонимоз - паразитарная инвазия с преимущественным поражением легких - занимает особое положение не только потому, что Приморский край является самым высокоширотным ареалом обитания парагонимид, но и потому, что именно здесь впервые была описана ларвальная (личиночная) форма этой инфекции. Парагонимоз широко распространен во всем мире, включая Евразийский, Африканский и Американский континенты, но наиболее активно он изучался в странах Азиатско-Тихоокеанского региона, на территории которых расположены основные эндемические очаги.
Жизненный цикл паразита в "классическом варианте" изучен достаточно подробно. В пресноводных водоемах из яйца выходит мирацидий, который внедряется в некоторые виды моллюсков (промежуточные хозяева) и проходит здесь стадию спороцисты, образуя церкарий. Им заражаются пресноводные раки и крабы (дополнительные хозяева), в теле которых формируются метацеркарии (инцистированные). Метацеркарии попадают в организм дефинитивного (резервуарного) хозяина при поедании термически недостаточно обработанного мяса пресноводных ракообразных.
В желудке и дуоденальном отделе кишечника дефинитивного хозяина метацеркарии выходят из цисты (эксцистируются), затем с помощью стилета и ферментов проникают через стенку кишки в брюшную полость, а далее сквозь диафрагму - в плевральные полости и легкие. Направление миграции определяется аэрофильностью возбудителя.
Основное место локализации половозрелых гельминтов - легкие. Здесь взрослые особи образуют кисты, в которых и достигают половой зрелости. Парагонимоз у человека, как считалось до недавнего времени, развивается только в виде перибронхиального кистозного поражения легких с наличием половозрелых паразитов и выделением их яиц во внешнюю среду (мокрота, испражнения). Заболевание имело достаточно четко очерченные клинико-рентгенологические и лабораторные характеристики. Однако в конце 70-х годов в результате независимых исследований японскими и отечественными учеными была установлена возможность длительного обитания личинок в организме дефинитивного хозяина без превращения их в половозрелую форму. В отличие от зарубежных биологов, описавших "мышечные личинки" парагонимов у диких и домашних теплокровных животных, в Приморье ларвальная форма парагонимоза была установлена на основании клинических и экспериментальных исследований. Сегодня можно считать доказанным, что ряд видов парагонимид может вызывать ларвальную инвазию, что зависит в основном от отношений хозяин - паразит, сложившихся в ходе эволюции.
Цикл развития паразита при ларвальном парагонимозе останавливается на стадии личинки (эксцистированный метацеркарий), которая, активно мигрируя из кишечника в легкие, повреждает органы и серозные покровы брюшной и грудной полости. Адекватная экспериментальная картина этой формы парагонимоза получена на белых беспородных крысах, у других животных чаще развивается типичное заболевание с кистозным поражением легких.
Почти у половины больных ларвальный парагонимоз начинается с абдоминального синдрома, который возникает через несколько часов или суток от момента заражения и проявляется болями, а также симптомами кишечной и желудочной диспепсии.
Как показали эксперименты на мышах, протеаза метацеркариев вызывает экссудацию с высоким содержанием эозинофилов и нейтрофилов в перитонеальном выпоте. Морфологически в это время регистрируется картина катарального энтерита с очаговой микродеструкцией кишечной стенки (паразитарные ходы). В лимфатических узлах брюшной полости возникают реактивные неспецифические изменения.
По ходу миграции личинки могут оказаться в мышечных массивах передней брюшной стенки и субсерозных отделах париетальной брюшины. В эксперименте они проникают в различные органы, в том числе и в почки, инициируя развитие паранефрита и межуточного нефрита. К концу первых суток опыта личинки внедряются в диафрагму, проходят через нее и оказываются в грудной полости. В печени также прослеживаются паразитарные ходы и формируется картина межуточного гепатита.
Часть личинок достигает легких, не превращаясь там, однако, в половозрелых паразитов. Локализуясь парабронхиально и мигрируя в легких, личинки обусловливают формирование сложной морфологической картины, когда альтеративно-экссудативные процессы сочетаются с продуктивно-склеротическими. Тем не менее признаки аллергического компонента воспаления присутствуют на всех этапах инвазии: доля эозинофилов в составе тканевых клеточных коопераций доходит до 10-17%. По ходу миграции личинок кроме альтеративно-продуктивных регистрировались и гранулематозные процессы.
Учитывая, что и сами паразиты, и их фрагменты могут быть отнесены к персистирующим антигенным структурам, подобная динамика тканевых реакций является закономерной, и гигантоклеточные гранулемы с высоким содержанием эозинофилов могут считаться относительно специфичными для данного вида инвазии.
Описанный патоморфогенез ларвального парагонимоза обусловливает синдромный полиморфизм болезни, сложности прижизненной клинической, параклинической и биопсийной диагностики.
Клиника и диагностика
Токсико-аллергический синдром, возникающий вслед за абдоминальным или одновременно с ним, наблюдается у подавляющего большинства больных. Его наиболее частые симптомы - общая слабость, потливость, лихорадка, боли в суставах, уртикарная сыпь, похудание. Тяжесть синдрома соответствует выраженности острых воспалительных изменений в органах дыхания. Длительность этих симптомов - около 1,5-3 месяцев, иногда более. Параллельно токсико-аллергическому развивается и главный синдром - легочный. Симптоматика его малоспецифична и заключается, как правило, в болях в грудной клетке, кашле, одышке. Патоморфогенетической основой этого синдрома кроме описанных изменений легких служит выпотной плеврит и иногда перикардит (фибринозный, серозный, серозно-фибринозный). Различают ранние и поздние (реинвазивные) плевриты, исходом которых являются плевральные сращения.
Заболевание протекает с длительной временной утратой трудоспособности, плохо поддается лечению и часто служит фоновым состоянием для обострения хронических болезней бронхо-легочной системы, таких как предсуществующий хронический бронхит, бронхиальная астма, эмфизема легких и др.
С морфологической точки зрения можно выделить ряд изменений, характерных для данного вида инвазии. В остром периоде болезни - это альтеративно-экссудативные реакции с выраженной эозинофилией клеточных коопераций по ходу миграции паразита. В подострой и хронической фазе развиваются пролиферативно-склеротические процессы, также сопровождающиеся эозинофилией. Учитывая волнообразный характер течения болезни и постоянство передвижения личинок, обычно можно видеть пеструю картину чередования экссудативных и продуктивных тканевых реакций. Основу прижизненной диагностики составляет серологическое исследование, биопсия является методом выбора, ценность которого более высока для ориентировочной и дифференциальной диагностики. Наличие личинок в гистологических срезах при биопсии можно считать исключительным феноменом. Более вероятно обнаружение паразитарных ходов, выполненных в зависимости от давности детритом или грануляциями. Не исключено также формирование макрофагальных и эпителиоидных саркоидоподобных гранулем, отличающихся от схожих проявлений гиперергии замедленного типа достаточно выраженной эозинофилией. На основе проведенных экспериментов можно говорить и о неспецифических межуточных реакциях в почках, печени, миокарде, легких.
Параклинические исследования также указывают на высокую специфичность для ларвальной формы инвазии умеренного лейкоцитоза периферической крови с выраженной эозинофилией (до 10% и более) и ускорение СОЭ. Особое место в диагностическом спектре занимают серологические реакции на основе антигена, приготовленного из взрослых трематод: реакция непрямой гемагглютинации, реакция латекс-агглютинации, реакция связывания комплемента, иммуноферментный анализ. Среди них наиболее чувствительны РНГА и ИФА. Последний также хорошо зарекомендовал себя как метод скрининга.
Существование ларвального парагонимоза у человека доказано на примере заболевания, вызываемого Paragonimus westermani ichunensis, личиночный характер инвазии парагонимами вида japonicus и pulmonalis у теплокровных животных подробно рассмотрен в работах японских ученых. Однако анализ литературы позволяет обоснованно распространить этот феномен и на другие виды парагонимид. Описания нетипичного течения парагонимоза, сходные с клинико-морфологическими проявлениями ларвальной формы заболевания, часто встречаются во время обзоров вспышек этой инфекции на разных континентах. Учитывая трудности в постановке диагноза, клинические маски ларвального парагонимоза и обострение сочетанной патологии, можно предположить, что феномен личиночного паразитизма парагонимид распространен гораздо шире, чем считалось до сих пор, и требует дополнительных клинико-экспериментальных и морфологических исследований.
Парагонимоз, как и другие гельминтозы, является причиной разнообразных нарушений обменных процессов в организме человека, что связано с аллергическими, механическими, токсическими и другими видами воздействий гельминтов. В настоящее время при наличии высокоэффективных антигельминтных препаратов лечение должно быть прежде всего этиотропным. На фоне эффективной антигельминтной терапии через сравнительно короткие сроки (3-6 месяцев) часто наблюдается нормализация показателей всех обменных процессов, которые нарушались в процессе инвазии. Однако определенные клинико-морфологические нарушения в ряде случаев требуют дальнейших реабилитационных мероприятий.
Битионол (битин), предложенный японскими специалистами, с эффектом использовался в 60-е годы при типичных формах парагонимоза (М.Yokogawa et al., 1961). Нами было проведено исследование эффективности применения битина при самостоятельной ларвальной форме парагонимоза in vivo и in vitro. К сожалению, применение этого препарата при ларвальной форме инвазии оказалось неэффективным. У большинства больных не было получено даже клинического эффекта, у части больных наблюдался медленный, сходный с самопроизвольным регресс симптоматики, а в каждом 5-м случае через 1-2 месяца развивался рецидив. Аналогичные результаты были получены на экспериментальной модели ларвального парагонимоза.
В 80-е годы стал использоваться празиквантел (билтрицид, азинокс). Механизм действия препарата связан с повышением проницаемости клеточных мембран паразита для ионов кальция. Это вызывает сокращение мускулатуры паразита, переходящее в спастический паралич. Применение билтрицида ознаменовало появление второго препарата для лечения парагонимоза, как и для лечения других трематодозов. Он высокоэффективен при зрелой форме парагонимоза у 90-95% больных.
Билтрицид быстро всасывается в кишечнике, выводится преимущественно почками в течение 4 суток, из них 90% - в течение 1-х суток. Противопоказан в 1-м триместре беременности, следует осторожно назначать больным с заболеваниями печени. Препарат хорошо переносится, побочные явления незначительны. Однако могут наблюдаться тошнота, головная боль, сонливость, боли в эпигастрии, аллергические реакции. Описанные явления исчезают после окончания приема препарата.
Эффективность билтрицида при личиночном парагонимозе по исследованиям авторов высока - 89%, но ниже, чем при типичной форме заболевания. Билтрицид впервые был применен нами при ларвальном парагонимозе в дозе 40-60 мг/кг веса тела. При однодневном курсе лечения дозу делят на 2-3 приема после еды. Эффект билтрицида изучен у 100 больных ларвальным парагонимозом. На фоне явного клинического улучшения уже в ранние сроки (7-10 дней) после курса этиотропного лечения реакция иммунодиффузии (РИД) у 95% больных стала отрицательной. Лишь у 5% больных РИД еще некоторое время оставалась положительной. Примерно у 11% больных через 3-6 месяцев РИД стала вновь положительной, что указывало на отсутствие излечения. Этим больным через 4-6 месяцев был проведен эффективный повторный курс лечения билтрицидом.
На основании собственного опыта мы считаем, что удлинение схемы терапии бильтрицидом при личиночной форме парагонимоза не следует применять. Проведенные исследования по увеличению дозы до 70 мг/кг массы тела или увеличению длительности лечения до 2 дней показали, что существенных дополнительных клинических и лабораторных эффектов при этом не наблюдается. А
вторы проводили исследования эффективности применения аналога бильтрицида - отечественного препарата азинокса. Исследования показали, что эффективность препарата составила лишь 50-60%. Существенно ниже, чем при приеме билтрицида.
Среди клинико-морфологических последствий перенесенного ларвального парагонимоза отмечены интерстициальные изменения в легких и плевросклероз, которые у ряда больных могут нарушать функцию внешнего дыхания. Таким больным рекомендуются стандартные методики рассасывающей медикаментозной терапии, комплекс физиотерапевтических процедур, грязелечение, курортно-климатическое лечение, дыхательная гимнастика, массаж грудной клетки, отказ от курения, общеукрепляющие процедуры - полноценное питание, правильный режим труда и отдыха.
Профилактика парагонимоза весьма проста. В эндемичных для этого вида паразитарной инвазии районах Дальнего Востока нельзя употреблять в пищу блюда, включающие сырое или термически недостаточно обработанное мясо пресноводных ракообразных, дикой и домашней свиньи, а также хищных животных.
Пример тяжелого течения ларвального парагонимоза. Клиника тяжелого парагонимоза
ГБОУ ВПО «Волгоградский государственный медицинский университет», Павших Борцов пл., 1, Волгоград, Российская федерация, 400131
Волгоградский государственный медицинский университет, Волгоград, Россия
Кафедры патологической анатомии, судебной медицины, биологии ФГБОУ ВО «Волгоградский государственный медицинский университет» Минздрава России, Волгоград, Россия
ГБОУ ВПО «Воронежский государственный медицинский университет им. Н.Н. Бурденко», Воронеж, Россия
Легочный ларвальный парагонимоз, имитирующий рак легкого
Журнал: Архив патологии. 2018;80(2): 60‑63
Ларвальный парагонимоз — паразитарное заболевание, вызываемое личинками легочного сосальщика. В отличие от классического варианта парагонимоз ларвальный протекает с большим количеством клинических проявлений, что усложняет диагностику ларвального парагонимоза, так как обилие клинических проявлений приводит к ложной диагностике других заболеваний. Еще одной отличительной чертой данной формы парагонимоза является склонность к генерализации и имитации клинической картины злокачественных новообразований. Приведен пример ларвальной формы парагонимоза с поражением легких, плевры, сердца, печени, правой почки, селезенки, желудка и малого сальника. Диагностические мероприятия не дали точного представления о природе заболевания, поэтому была выполнена диагностическая торакоскопия и взята биопсия из субплевральных диссеминатов с последующим срочным гистологическим заключением, указавшим на наличие железистого рака. Это обстоятельство стало причиной для атипической резекции пораженной доли, однако на 2-е сутки послеоперационного периода пациент умер в результате тромбоэмболии легочной артерии. Посмертно поставлен основной диагноз: хронический, легочный генерализованный парагонимоз (кистозная и пневмосклеротические фазы) с синдромом опухоли.
Парагонимоз — паразитарное заболевание человека из группы трематодозов, вызываемое чаще всего легочным сосальщиком Paragonimus Westermani (легочная двуустка). Взрослый легочный сосальщик — гельминт буро-красного цвета, тело яйцевидной формы, выпуклое со стороны спинки и сплюснутое на брюшной стороне, с развитой мускулатурой. Имеет хорошо видимые невооруженным глазом присоски и шипики, с помощью которых крепится в организме хозяина. Яйца золотисто-коричневого цвета, овальной формы, снабжены крышечкой [1].
Эндемичными регионами парагонимоза являются Азия, Африка и Южная Америка [2, 3]. В Российской Федерации данный вид парагонимоза характерен для территории Дальнего Востока (низовье реки Амура и южное побережье Охотского моря) [4].
Заражение человека происходит чаще всего при употреблении в пищу сырых или недостаточно проваренных, слабопросоленных крабов, раков или креветок. Известно 48 видов легочного сосальщика, из них 16 способны заражать человека и вызывать парагонимоз [4, 5]. Все сосальщики поражают человека, находясь в стадии метацеркариев. С помощью стилетов они пронизывают стенку начального отдела тонкой кишки и попадают в брюшную полость. Затем личинки мигрируют через диафрагму в плевральную полость, попутно инвазируя некоторые органы брюшной полости, в частности поджелудочную железу, печень, малый сальник, селезенку и желудок. После попадания в плевральную полость личинки некоторое время проводят на париетальной плевре, затем, проникая на висцеральную, внедряются в легочную ткань, где достигают зрелости. Однако, согласно проведенным исследованиям [6, 7], не все виды парагонимов в организме человека способны достигать половой зрелости. Именно в таком случае следует говорить о ларвальном (личиночный) парагонимозе. Это обусловлено тем, что отдельные виды легочного сосальщика, такие как P. westermani ichunensis, P. miyazakii, P. huatungensis, могут использовать человека и некоторые виды животных как резервуарных хозяев, и если у животных нет никакой реакции на инвазию, то у человека формируется редкая, труднодиагностируемая патология.
В легочной паренхиме вокруг паразитов развивается гранулематозное воспаление с последующей фиброзной инкапсуляцией с формированием кист и возможным проникновением гельминтов в просвет бронхиол. Диаметр кист может достигать 2 см, их количество варьирует в зависимости от тяжести инфекционного процесса [8].
Редкость данной патологии, а также нетипичная клиническая картина затрудняют дифференциальную диагностику и приводят к ложной диагностике других патологий. В литературе описаны случаи выявления легочной формы парагонимоза, имитирующих симптомы туберкулеза легких и плевры [9—12], рецидивирующего рака легких [13] или опухолевых метастазов в легких [4, 14], церебральной формы с начальной клиникой геморрагического инсульта и лихорадочным синдромом и судорогами [15], абдоминальной формы с поражением двуусткой поджелудочной железы (рассмотренные как кистозно-солидная опухоль) [16].
Для диагностики ларвального парагонимоза большое значение имеют общий анализ крови, который выявляет эозинофилию [1—5], положительные результаты иммуноферментного анализа и полимеразной цепной реакции [3, 4, 17], рентгенография и компьютерная томография (КТ) грудной клетки, при которых выявляются очаговые уплотнения, а также результаты позитронно-эмиссионной томографии [3, 14, 17].
В качестве диагностического примера в связи со сложностями клинической и патоморфологической диагностики из-за нетипичной клинической картины приводим случай заболевания парагонимозом больного, который находился на лечении в областном онкологическом диспансере в 2016 г.
Больной Б., 66 лет, поступил в онкологический диспансер с предварительным диагнозом: диссеминированное злокачественное новообразование легких, правосторонний рецидивирующий плеврит, дыхательная недостаточность (НД) II—III степени; ишемическая болезнь сердца; кардиосклероз (Н-I); хроническая обструктивная болезнь легких (ХОБЛ); стадия опухолевого процесса IV; клиническая группа II.
При поступлении больной жаловался на одышку при минимальной физической нагрузке, ощущение тяжести и тянущую боль в правой половине грудной клетки. Состояние больного средней степени тяжести. Отставаний грудной клетки в акте дыхания нет, дыхание ритмичное, перкуторный легочный звук тимпанический, притуплен в нижних отделах справа. Аускультативно: дыхание везикулярное, ослабленное, в нижних отделах слева не прослушивается. Общий анализ крови: Нb 122 г/л, эр. 4,28·10 12 /л, тр. 203·10 9 /л, л. 8,3·10 9 /л; СОЭ 41 мм/ч. Биохимический анализ крови: мочевина 9,1 ммоль/л, креатинин 132,3 мкмоль/л, общий билирубин 20 мкмоль/л, общий белок крови 62,8 г/л, АЛТ 183,4 ед/л. Для уточнения диагноза и определения тактики лечения проведена КТ грудной клетки, при которой обнаружены осумкованный плеврит левого легкого, правосторонний пневмоторакс с явлением компрессии нижней доли правого легкого, а также выраженный пневмосклероз. Сравнительный анализ с предыдущим результатом КТ подтвердил отсутствие динамики изменений в легких. На основании общего осмотра, лабораторных анализов и данных КТ грудной клетки выставлен основной диагноз: подозрение на рак легкого. Сопутствующие заболевания: специфический плеврит слева; ХОБЛ; пневмосклероз; ДН II—III степени; ишемическая болезнь сердца; кардиосклероз Н-I.
Назначена плановая операция в объеме диагностической торакоскопии справа и плевродеза. В ходе операции при осмотре плевральной полости: плевра покрыта фибрином, контактно кровоточит. Нижняя доля правого легкого в спавшемся состоянии, в дыхании практически не участвует, отмечаются множественные субплевральные диссеминаты. В проекции слияния верхней полой и непарной вены визуализируется лимфатический узел диаметром до 1 см. Произведено вскрытие плевры, взята биопсия лимфатического узла и при срочном гистологическом исследовании поставлен диагноз: лимфаденит. Принято решение выполнить атипичную резекцию нижней доли правого легкого. В ходе операции дополнительно установлен торакопорт в пятом межреберье, атипически удален участок нижней доли с отсевами, при срочном гистологическом исследовании биоптата обнаружены единичные железистые структуры, идентифицированные как железистый рак. Под аэростатическим контролем введено 10 г мелкодисперсного талька (плевродез). Плевральная полость дренирована в третьем и седьмом межреберье по Бюлау. Рана ушита послойно. На следующие сутки после операции пациент жаловался лишь на общую слабость и на боль в послеоперационной ране. По дренажам из плевральной полости отделялась светлая жидкость. Больной переведен из отделения реанимации в хирургическое отделение. В 5 ч утра на 2-е сутки после операции пациент внезапно потерял сознание. Для проведения реанимационных мероприятий он в срочном порядке был переведен в отделение реанимации, где была констатирована смерть.
При патолого-анатомическом исследовании в плевре, легочной паренхиме, миокарде, печени, селезенке, почке, стенке желудка и малом сальнике обнаружены множественные кисты различных размеров. Макроскопические признаки тромбоэмболии правой ветви легочной артерии с геморрагическим инфарктом в правой нижней доле. Резкое полнокровие головного мозга и внутренних органов. Изменения, характерные для ХОБЛ. Утолщение стенок бронхов разного калибра со слизистым содержимым, множественные очаги пониженной воздушности в паренхиме легких. Толщина стенки правого желудочка 1,3 см, левого 2 см. Масса сердца 600 г (легочное сердце).

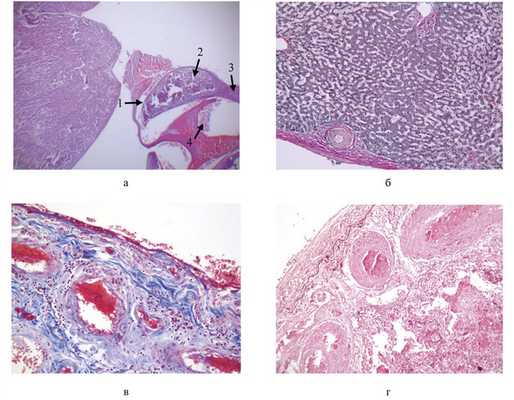
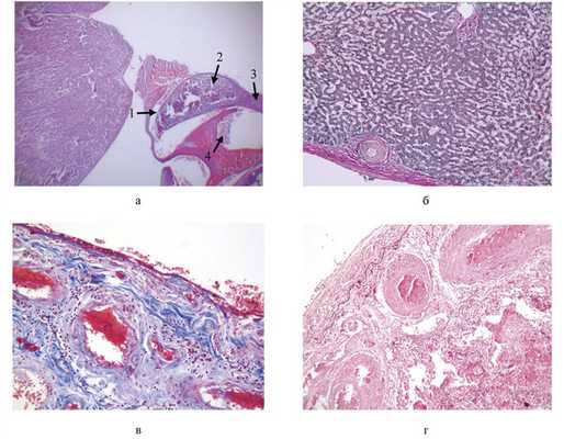
При гистологическом исследовании материала в головном мозге определяется выраженный периваскулярный и перицеллюлярный отек, в миокарде — выраженный интерстициальный отек с воспалительными инфильтратами, содержавшими лимфоциты, плазматические клетки, эозинофилы. Гипертрофированные мышечные волокна с множественными кистами и наличием в них личиночных форм паразита со сформировавшимися соединительнотканными капсулами. В области перикарда определяются прилегающие к нему фрагменты метацеркарии легочной двуустки со скоплениями эритроцитов (см. рисунок, Кистозно-пневмосклеротическая фаза генерализованного ларвального парагонимоза. а — погибшая метацеркария легочной двуустки у перикарда: 1 — кутикула личинки, 2 — тело личинки, 3 — хвост личинки, 4 — cкопление эритроцитов. ШИК-реакция, ×100; б — паразитарная киста в капсуле печени с выраженным фиброзом. Окраска по ван Гизону, ×200; в— соединительнотканные кисты легочной двуустки, располагающиеся под плеврой. Окраска по Маллори, ×400; г— соединительнотканные кисты легочной двуустки, располагающиеся под плеврой. Окраска орсеином, ×400. а). В печени (см. рисунок, б) непосредственно под капсулой и в паренхиме множественные паразитарные кисты с наличием погибших паразитов. В паренхиме правой почки паразитарные кисты, дистрофические изменения эпителия канальцев, очаговая лимфоидно-клеточная инфильтрация по периферии кист и в интерстиции. В ткани легкого (см. рисунок, в, г) множество паразитарных кист, часть из которых замещена фиброзной тканью. Межальвеолярные перегородки утолщены, с очаговой лимфоидно-плазмоцитарной инфильтрацией преимущественно вокруг кист. В селезенке умеренная гиперплазия белой пульпы, паразитарные кисты с наличием эритроцитов в центральной части. В желудке слизистая оболочка с диффузной воспалительной инфильтрацией и тенденцией к формированию эрозии, с участками фиброзирования и дискомплексации желез, обнаружены паразитарные кисты на серозной оболочке и в ней. В жировой ткани малого сальника множественные паразитарные кисты.
Данное наблюдение демонстрирует сложности диагностики кистозно-пневмосклеротической фазы генерализованного ларвального парагонимоза, протекавшего с опухолевым синдромом. Особенность наблюдения заключается в том, что у больного диссеминированный парагонимоз был с полиорганным поражением и образованием множественных фиброзирующихся кист в пораженных органах. Парагонимоз не диагностирован своевременно, специфическая терапия не проводилась, что способствовало прогрессированию воспалительного процесса в легких с вовлечением многих органов, развитием легочного сердца, тромбоэмболии легочной артерии, послужившей непосредственной причиной смерти. Расхождение диагнозов обусловлено редкой патологией с нетипичной клинической картиной (категория II).
Парагонимоз
Парагонимоз - зооантропонозное заболевание из группы биогельминтозов, вызываемое легочным сосальщиком, обычно паразитирующим в легких, реже - мозге и других органах. Парагонимоз может проявляться абдоминальным синдромом, кожным зудом, бронхопневмонией, кровохарканьем, легочным кровотечением, симптомами менингита, судорожными припадками, снижением остроты зрения. Диагноз парагонимоза устанавливают на основании клинической картины, результатов микроскопии мокроты, копроовоскопии, рентгенографии, КТ и МРТ легких и черепа, биопсии, лапароскопии. Лечение парагонимоза проводится противогельминтными средствами; при неэффективности - показано оперативное удаление кист, резекция легкого.
МКБ-10

Общие сведения
Парагонимоз - хроническая паразитарная инвазия, развивающаяся при заражении трематодами рода Paragonimus и протекающая с преимущественным поражением легких. Парагонимоз является природно-очаговым заболеванием с охватом стран Юго-Восточной Азии (Китая, Японии, Кореи, Индонезии, Филиппин, полуострова Индокитай), Центральной и Южной Америки (Перу, Эквадора, Венесуэлы, Колумбии), Западной Африки и Дальнего Востока России (Приамурья и Приморского края). Формированию очагов парагонимоза способствует традиционное употребление населением в пищу термически необработанного мяса пресноводных ракообразных. Вне этих регионов заболеваемость парагонимозом носит спорадический характер.
Причины парагонимоза
Парагонимоз вызывается легочными сосальщиками, включающими несколько близких видов трематод рода Paragonimus. Наиболее часто возбудителем выступает P. westermani, представляющий собой плоского гельминта красно-коричневого оттенка, имеющего форму апельсинового семени. Тело гельминта длиной 7-12 мм имеет кутикулу, покрытую шипиками, а также ротовую и брюшную присоски. Паразит является гермафродитом, после перекрестного оплодотворения откладывает незрелые яйца длиной до 0,12 мм.
Сложный цикл развития трематод проходит со сменой хозяев: основными являются человек и животные (свиньи, собаки, кошки, ондатры, выдры, крысы), первыми промежуточными служат пресноводные моллюски; дополнительными - пресноводные крабы, раки и креветки. Парагонимоз имеет фекально-оральный механизм передачи. Яйца трематод выделяются из организма основного хозяина в окружающую среду с испражнениями, реже с мокротой и дозревают в воде. Вылупившиеся личинки (мирацидии) активно внедряются в ткани моллюсков и последовательно проходят через стадии спороцисты, редии и церкарии. Церкарии способны активно или пассивно проникать в тела крабов и раков, инцистироваться в мышцах и внутренних органах, развиваясь там до инвазионных метацеркарий.
Имеется высокая естественная восприимчивость людей к парагонимозу. Инвазия происходит при поедании сырого мяса зараженных ракообразных (пищевой путь) или при употреблении загрязненной воды (водный путь). В тонкой кишке личинки освобождаются от оболочек, перфорируют кишечную стенку и осуществляют сложную миграцию в легкие через брюшную полость, диафрагму, листки плевры. В легочной паренхиме они формируют вокруг себя фиброзные кисты размером до 10 см, локализующиеся по периферии и у корней легких. Каждая парагонимозная киста заполнена воспалительным экссудатом с примесью крови и слизи, обычно содержит пару паразитов и их яйца, сообщается с бронхиолой. Половая зрелость легочного сосальщика наступает через 5-6 недель после заражения, кладка яиц происходит через 65-90 дней, продолжительность жизни - достигает 5 и более лет.
Трематоды, их яйца и личинки оказывают механическое воздействие на ткани хозяина, провоцируют развитие воспалительных и токсико-аллергических реакций. Миграция личинок через органы брюшной полости и диафрагму вызывает в них кровоизлияния и некроз. Вскрытие парагонимозных кист сопровождается гематогенной диссеминацией трематод и их яиц в ЦНС, мезентеральные лимфоузлы, печень, предстательную железу, кожу и другие органы. Яйца вместе с мокротой откашливаются или проглатываются, попадая в ЖКТ. Полость кисты после выхода или гибели гельминта зарубцовывается, в очагах поражения постепенно развиваются склеротические процессы, наблюдается обызвествление.
Симптомы парагонимоза
Инкубационный период парагонимоза - от нескольких дней до 2-3 недель, клинические проявления зависят от стадии заболевания. Во время миграции метацеркарий из кишечника в брюшную полость отмечается абдоминальный синдром с явлениями энтерита, острого гепатита, доброкачественного асептического перитонита, симптомами острого живота. Возможно появление кожного зуда. Внедрение личинок трематод в легочную ткань проявляется развитием острого бронхита, бронхопневмонии, геморрагического плеврита.
Острый легочный парагонимоз характеризуется лихорадкой (39-40˚С), одышкой, болью в грудной клетке, кашлем с выделением мокроты с примесью крови (кровохарканьем), в половине случаев - легочным кровотечением. У больных отмечается утомляемость, раздражительность, тахикардия. При остром поражении мозга наблюдаются симптомы менингита, менингоэнцефалита: повышение внутричерепного давления, головокружения, сильная головная боль, судорожные припадки с потерей сознания, сужение полей и снижение остроты зрения. В подкожной жировой клетчатке шеи, грудной клетки и живота могут появляться плотные малоболезненные узлы, содержащие гельминтов и яйца. При внелегочной локализации парагонимоза высока частота осложнений и летальность.
Через 2-3 месяца парагонимоз переходит в хроническое течение со сменой периодов обострения и стихания симптомов. Хроническая стадия продолжается до 2-4 лет и сопровождается постепенным угасанием симптомов, появлением изолированных очагов фиброза и кальцификации в легких, развитием пневмосклероза, синдрома «легочного сердца».
Осложнениями легочного парагонимоза является пневмоторакс, легочное кровотечение, плевральные шварты с ограничением подвижности легкого и диафрагмы, в случае присоединения бактериальной инфекции - формирование абсцесса или эмпиемы легкого. Следствием тяжелого поражения головного мозга могут стать эпилепсия, атрофия зрительного нерва, парезы, параличи.
Диагностика парагонимоза
В диагностике парагонимоза используются данные эпидемиологического анамнеза, клинической картины, лабораторных (общего анализа крови, микроскопии мокроты, копроовоскопии) и инструментальных исследований (рентгенографии, КТ и МРТ легких, КТ черепа, биопсии кисты, лапароскопии), результаты аллергопробы с антигенами пангонимусов. В острой стадии парагонимоз диагностируется редко, характерным признаком может служить сочетание изменений в легких с неврологической симптоматикой.
Диагноз парагонимоза подтверждается обнаружением овальных золотисто-коричневых яиц паразита в мокроте и кале больного. В первые 2-3 месяца после заражения более информативны серологические методы (ИФА), выявляющие специфические антитела к антигенам гельминта. В крови при парагонимозе определяется эозинофилия, лимфоцитоз, гипохромная анемия. На рентгенограмме легких парагонимозные кисты представлены в виде размытых кольцевидных затемнений с ровными гладкими границами в одном или нескольких легочных сегментах. При рентгенографии черепа видны кальцификаты в форме «мыльных пузырей». При лапароскопии в брюшной полости обнаруживается выпот геморрагического, фибринозного или фибринозно-гнойного характера, в котором можно выявить незрелых гельминтов. Дифференциальная диагностика осуществляется в отношении туберкулеза, пневмонии, эхинококкоза и новообразований легких, при поражении мозга - опухолей мозга, менингита.
Лечение и прогноз парагонимоза
В ранней стадии парагонимоза проводится десенсибилизирующая терапия антигистаминными препаратами, при тяжелых органных поражениях - короткий курс кортикостероидов. Специфическое лечение парагонимоза включает прием противогельминтных средств (празиквантел, битионол), принимаемых после стихания острых аллергических реакций. При поражении ЦНС лечение парагонимоза проводится только в стационаре. Применяются противосудорожные, мочегонные препараты. При хроническом парагонимозе показаны общеукрепляющие и сердечно-сосудистые средства. В случае неэффективности консервативной тактики проводится резекция легкого, удаление кист легких и мозга.
При своевременном лечении неосложненных случаев легочного парагонимоза наступает выздоровление; при распространенном поражении, развитии пневмосклероза - прогноз серьезный; при множественных кистах головного мозга - крайне неблагоприятный. Профилактика парагонимоза в очагах сводится к исключению из пищи сырого мяса ракообразных, кипячению питьевой воды, охране водоемов от фекального загрязнения.
Парагонимоз: как заражаются гельминтами?

Парагонимоз — это хронически протекающее инфекционное заболевание, имеющее паразитарную природу. Возбудителями данного патологического процесса являются плоские гельминты, называющиеся легочными сосальщиками. В подавляющем большинстве случаев при этой болезни поражается дыхательная система, однако иногда могут затрагиваться и другие внутренние органы, например, головной мозг. При легочном поражении клиническая картина включает в себя одышку, кашель, общий интоксикационный синдром и некоторые другие признаки. При неосложненном течении и своевременно начатой терапии парагонимоз имеет благоприятный прогноз и заканчивается полным выздоровлением пациента. Однако в том случае, если заболевание перешло в хроническую стадию или привело к поражению центральной нервной системы, прогноз становится гораздо более серьезным.
Парагонимоз — это природно-очаговая инфекция. Наибольшее количество случаев ежегодно регистрируется в странах Юго-Восточной Азии, а также Южной Америки. Что касается России, эндемичным регионом относительно этой болезни считается Дальний Восток. В других районах такая патология также встречается, однако она имеет спорадический характер. Стоит заметить, что заражаться парагонимозом могут люди абсолютно любого возраста и пола.
Гельминты, вызывающие парагонимоз, нередко приводят к возникновению различных серьезных осложнений. При поражении дыхательной системы данная патология может осложняться пневмотораксом, образованием плевральных шварт, что ведет к ограничению подвижности легких, а также легочными кровотечениями. Кроме этого, на фоне такого патологического процесса достаточно часто наблюдается вторичное присоединение бактериальной флоры с возникновением гнойно-воспалительных очагов. Гораздо тяжелее протекает парагонимоз, сопровождающийся поражением головного мозга. В этом случае он может стать причиной эпилепсии, паралича и многих других неврологических расстройств.
Как мы уже сказали, возбудителями парагонимоза являются плоские гельминты, которые называют легочными сосальщиками. В подавляющем большинстве случаев данный патологический процесс бывает спровоцирован паразитом Paragonimus westermani. Взрослая особь паразита имеет длину от семи до двенадцати миллиметров и красно-коричневую окраску. Снаружи тело возбудителя покрыто плотной кутикулой, у него имеются ротовая и брюшная присоски.
Основными хозяевами гельминтов являются люди и некоторые виды животных. В качестве первого промежуточного хозяина выступают моллюски, обитающие в пресной воде. Второй промежуточный хозяин — это различные представители ракообразных, например, креветки. Яйца возбудителя выделяются из организма окончательного хозяина и попадают в воду. Из них выходят личинки, внедряющиеся в тело моллюсков. В теле моллюсков паразит проходит несколько стадий своего развития, затем выходит в воду и проникает в тело ракообразных, где и преобразовывается в инвазивную форму.
Человек заражается данной инфекцией посредством фекально-орального механизма. В подавляющем большинстве случаев возбудитель попадает в человеческий организм при употреблении в пищу инфицированного мяса ракообразных. Несколько реже реализуется водный путь заражения. Первоначально паразиты располагаются в тонком кишечнике. Проникая через кишечную стенку, гельминты доходят до легких, где и образуют вокруг себя кистозные элементы, доходящие до десяти сантиметров в диаметре. В каждой кисте обнаруживается воспалительный экссудат, содержащий в себе кровь и слизь, самих паразитов, а также их яйца. Возбудитель достигает своей половой зрелости спустя примерно пять или шесть недель, общая продолжительность его жизни может доходить до пяти и более лет.
Симптомы при парагонимозе: кашель, одышка, интоксикация

С момента заражения до появления первых симптомов может проходить до трех недель. На первых порах преобладают абдоминальные расстройства, представленные болью в животе, тошнотой и рвотой, диареей и так далее. Нередко обнаруживаются зудящие высыпания на коже.
Острый период данного патологического процесса характеризуется повышением температуры тела до тридцати девяти градусов и выше, что сопровождается резкой слабостью, ознобами, ускорением частоты сердечных сокращений и так далее. В обязательном порядке присутствует одышка даже при небольшой физической активности. К другим характерным клиническим проявлениям относятся продуктивный кашель, при котором отходит мокрота с кровянистыми прожилками, боль в груди. Практически у половины пациентов возникают признаки, указывающие на легочное кровотечение.
Спустя примерно два или три месяца заболевание переходит в хроническую стадию. При этом наблюдается периодическая смена ремиссий и обострений. При обострении присутствуют все вышеописанные симптомы, такие как кашель, одышка и так далее. В период ремиссии клиническая картина стихает. По мере развития данной патологии в легких появляются изолированные фиброзные очаги, развивается пневмосклероз.
Диагностика и лечение инфекции
Данная инфекция может быть заподозрена на основании объективного осмотра, общего анализа крови, рентгенографического исследования. Обнаружить возбудителя, а точнее его яйца, можно при микроскопии мокроты и фекалий. Еще одним информативным методом является иммуноферментный анализ, позволяющий выявить антитела к антигенам паразита.
На начальных этапах проводятся десенсибилизирующие мероприятия, в тяжелых случаях назначаются глюкокортикостероиды. В обязательном порядке применяются специфические противопаразитарные препараты. Стоит заметить, что они показаны после того, как затихнут острые аллергические реакции. Остальная терапия имеет симптоматический характер. В тяжелых случаях может потребоваться хирургическое вмешательство.
Профилактика заражения гельминтами


О запорах не принято говорить в открытую. После прохождения данного теста вы узнаете, насколько хорошо функционирует ваш ЖКТ, и получите рекомендации по улучшению пищеварения.
Читайте также:
- Влияние кастрации на голос. Возрастные изменения голоса
- Рекомендации по анализу рентгенограммы органов грудной клетки в аксиальной (лордотической) ПЗ проекции
- Реконструкция мягких тканей ноги при ранениях. Техника
- Терминальные состояния. Начало изучения терминальных состояний
- Туберозный склероз у детей. Диагностика и лечение
