Примеры эффективности внешнего облучения при метастазе в хориоидею
Добавил пользователь Евгений Кузнецов Обновлено: 21.11.2025
Лучевая терапия — это один из ведущих методов противоопухолевого лечения, основанный на использовании ионизирующего излучения. Может применяться как самостоятельный вид терапии, так и в рамках комбинированного/комплексного лечения (совместно с другими методами), в качестве радикальной, нео- и адъювантной, консолидирующей, профилактической и паллиативной терапии.
Эффективность данного метода основана на повреждении ДНК. Существуют различные механизмы, позволяющие более эффективно разрушать опухолевые клетки в сравнении с нормальными. Во-первых, опухолевые клетки более активно делятся, соответственно, их ДНК чаще находится в «рабочем» режиме, когда она менее устойчива к воздействию ионизирующего излучения. По той же причине большая часть острых лучевых реакций представлена мукозитами, то есть воспалением слизистых, которым также свойственно активное деление. Во-вторых, окружающие здоровые клетки способствуют восстановлению поврежденных, подвергшихся лучевому воздействию. Поэтому важно сделать так, чтобы в объём облучения попало как можно меньше здоровой ткани. В-третьих, современное оборудование для лучевой терапии, управляемое командой грамотных специалистов, позволяет подвести максимально высокие дозы прямо в мишень, существенно снижая дозу ионизирующего излучения, приходящуюся к окружающим здоровым органам и тканям.

Виды лучевой терапии
Уже несколько десятилетий человечество изучает воздействие ионизирующего излучение на организм человека. При этом акцентируется внимание как на положительном, так и отрицательном эффекте, возникающем при его применении. Разрабатываются новые методы, которые позволяют добиваться максимального лечебного эффекта при снижении отрицательного действия на организм. Улучшается оборудование для проведения лучевой терапии, появляются новые технологии облучения.
Сейчас классификация методов лучевой терапии довольно обширна. Мы остановимся только на самых распространенных методиках.
Контактная лучевая терапия
При контактной лучевой терапии источник излучения вводится непосредственно в опухоль или прилегает к ее поверхности. Это позволяет прицельно облучать новообразование с минимумом воздействия на окружающие его ткани.
К контактным видам лучевой терапии относятся:
- Аппликационная лучевая терапия. Применяется при лечении поверхностно расположенных опухолей, например, новообразований кожи, слизистых оболочек гениталий. В этом случае используются индивидуально изготовленные аппликаторы, которые накладываются непосредственно на поверхность новообразования.
- Внутриполостная лучевая терапия. Источник ионизирующего излучения вводится в просвет полого органа, например, в пищевод, мочевой пузырь, прямую кишку, полость матки или влагалища. Для облучения используются специальные аппликаторы (их называют эндостатами), которые заполняются радионуклидами.
- Внутритканевое облучение. Источник ионизирующего излучения вводится непосредственно в ткань опухоли. Для этого используются интростаты, которые могут иметь вид игл, шариков, трубочек, заполненных источником излучения.
Кроме того, существует такой вид лечения, как радионуклидная терапия. В этом случае используются открытые источники излучения в виде растворов радионуклидов (радиофармацевтический препарат — РФП), которые при попадании в организм прицельно накапливаются в опухолевых очагах и уничтожают их. Чаще всего РФП вводится внутривенно. Наибольшее распространение получили следующие виды радионуклидной терапии:
- Терапия радиоактивным йодом. Используется для лечения ряда видов рака щитовидной железы, поскольку йод избирательно накапливается в тиреоидной ткани.
- Применение остеотропных РФП используется для лечения метастазов в костях или костных опухолей.
- Радиоиммунотерапия — радионуклиды присоединяют на моноклональные антитела, чтобы добиться прицельного воздействия на опухолевую ткань.
Дистанционная лучевая терапия
При дистанционной лучевой терапии источник излучения находится на расстоянии от тела пациента, при этом на пути его прохождения могут лежать здоровые ткани, которые в процессе проведения терапии также подвергаются облучению, что приводит к развитию осложнений разной степени выраженности. Чтобы их минимизировать, разрабатываются различные технологии, позволяющие сконцентрировать максимальную дозу ионизирующего излучения непосредственно на в мишени (опухоли). С данной целью используются:
- Короткофокусная рентгенотерапия. При облучении используется рентгеновское излучение малой и средней мощности, которое способно проникать в ткани на глубину до 12 мм. Метод назван так из-за того, что источник располагается на коротком расстоянии от облучаемой поверхности. Таким способом лечат неглубокие опухоли кожи, вульвы, конъюнктивы и век, ротовой полости.
- Гамма-терапия. Этот вид излучения имеет большую проникающую способность, поэтому может использоваться для лечения более глубоко расположенных опухолей, нежели рентген-терапия. Однако сохраняющаяся большая нагрузка на окружающие органы и ткани приводят к ограничению возможности использования данного метода в современной онкологии.
- Фотонная терапия. Именно этим видом излучения проводится лучевое лечение большинства онкологических пациентов в современном мире. Достаточно высокая проникающая способность в сочетании с высокотехнологичными способами подведения дозы (IMRT и VMAT), достаточно совершенные системы планирования позволяют очень эффективно использовать этот вид излучения для лечения пациентов с приемлемыми показателями токсичности.
- Применение корпускулярного излучения (электроны, протоны, нейтроны). Эти элементарные ядерные частицы получают на циклотронах или линейных ускорителях. Электронное излучение используют для лечения неглубоких опухолей. Большие надежды возлагаются на протонную терапию, с помощью которой можно максимально прицельно подводить высокие дозы излучения к глубоко расположенным опухолям при минимальном повреждении здоровых тканей за счет выделения радиационной дозы на определённом отрезке пробега частиц, однако пока эти виды излучения играют сравнительно небольшую роль в лечении онкологических заболевания из-за своей высокой стоимости и ряда не до конца решённых технологических аспектов реализации метода.
Этапы лучевой терапии
Весь процесс проведения лучевой терапии делят на три этапа:
- Предлучевая подготовка (КТ-симуляция), этап выбора объёмов облучения и критических структур, этап дозиметрического планирования, верификации плана лучевой терапии.
- Этап облучения.
- Постлучевой этап.
Этап планирования
Как правило, этап планирования занимает несколько дней. В это время проводятся дополнительные исследования, которые призваны дать возможность врачу более точно оценить границы опухоли, а также состояние окружающих ее тканей. Это может повлиять на выбор вида лучевой терапии, режима фракционирования, разовой и суммарной очаговых доз. Основой же данного этапа является выполнение так называемой КТ-симуляции, то есть компьютерной томографии необходимого объёма с определёнными параметрами и в определённом положении тела пациента. Во время КТ-симуляции на кожу пациента и/или его индивидуальные фиксирующие устройства наносятся специальные метки, призванные помочь правильно укладывать пациента в дальнейшем, а также облегчить задачу навигации по время проведения сеансов облучения.
Затем врач-радиотерапевт рисует объёмы облучения и критических структур (тех, на которые будет предписано ограничение дозы) на полученных срезах КТ с учётом данных других диагностических модальностей (МРТ, ПЭТ). Далее формируется задача для медицинского физика, включающая определение доз, которые должны быть подведены к мишени, мишеням или отдельным её частям, а также тех, которые не должны быть превышены в объёмах здоровых органов и тканей. Медицинский физик разрабатывает дозиметрический план в соответствии с заданными параметрами, при соблюдении которых и успешной верификации данного плана на фантоме, можно считать пациента готовым к лучевой терапии.
На этапе подготовки к лучевой терапии пациенту рекомендуется придерживаться нескольких правил:
- Отказаться от средств, раздражающих кожу.
- Если на коже в месте воздействия имеются повреждения или элементы сыпи, следует проконсультироваться с врачом.
- Если предполагается лучевая терапия в челюстно-лицевой области, требуется санация полости рта.
- Воздержаться от загара.
- Главное правило на любом этапе: обсудить все нюансы предстоящих подготовки и лечения с лечащим врачом-радиотерапевтом и строго придерживаться полученных рекомендаций!
Этап облучения
Проведение этапа облучения будет зависеть от выбранного метода лучевой терапии.
Проведение дистанционной лучевой терапии
Продолжительность курса дистанционной лучевой терапии зависит от выбранного режима фракционирования, а также цели лечения. Паллиативные курсы, как правило, короче неоадъювантных и адъювантных, а те, в свою очередь, менее продолжительны, чем радикальные. Однако подведение радикальной дозы возможно и за один-несколько сеансов в зависимости от клинической ситуации. В таком случае курс дистанционной лучевой терапии называется стереотаксической радиотерапией или радиохирургией. Варьирует и кратность сеансов в день и в неделю: чаще всего используются схемы с пятью сеансами в неделю, однако могут быть предложены и 2-3 сеанса в день (гиперфракционирование) и схемы с 1-4 и 6 сеансами в неделю.
Во время облучения пациент в подавляющем большинстве случаев располагается лежа на столе специальной установки. Крайне необходимо соблюдать полную неподвижность во время сеанса облучения. Для достижения этого могут использоваться специальные фиксирующие устройства и системы иммобилизации.
Перед тем как включить установку, медперсонал покидает помещение, и дальнейшее наблюдение осуществляется через мониторы или окно. Общение с пациентом осуществляется по громкой связи. Во время выполнения сеанса, части аппарата и стол с пациентом совершают движения по заданной траектории. Это может создавать шум и беспокойство у больного. Однако бояться этого не стоит, поскольку вся процедура контролируется.
Сам сеанс лучевой терапии может длиться как 5-10, так и 60-120 минут, чаще — 15-30 минут. Само воздействие ионизирующего излучения не вызывает никаких физических ощущений. Однако в случае ухудшения самочувствия пациента во время сеанса (выраженной боли, судороги, приступа тошноты, паники), следует позвать медицинский персонал заранее оговоренным способом; установку сразу отключат и окажут необходимую помощь.
Контактная лучевая терапия (брахитерапия)
Брахитерапия проводится в несколько этапов:
- Введение в облучаемую зону неактивных проводников — устройств, в которые затем имплантируют источник ионизирующего излучения. При внутриполостной лучевой терапии используются приспособления, называемые эндостатами. Их устанавливают непосредственно в полость облучаемого органа и рядом с ним. При внутритканевой лучевой терапии используются интростаты, которые устанавливаются непосредственно в ткань опухоли по заранее просчитанной схеме. Для контроля их установки, как правило, используются рентгенологические снимки.
- Перемещение источника излучения из хранилища в интро- и эндостаты, которые будут облучать опухолевую ткань. Время облучения и особенности поведения пациента будут зависеть от вида брахитерапии и используемого оборудования. Например, при внутритканевой терапии, после установки источника ионизирующего излучения пациент может покинуть клинику и прийти на повторную процедуру через рекомендуемый промежуток времени. Весь этот период в его организме будет находиться интростат с радионуклидами, которые будут облучать опухоль.
Проведение внутриполостной брахитерапии будет зависеть от используемых установок, которые бывают двух типов:
- Установки низкой мощности дозы. В этом случае один сеанс облучения длится около 2-х суток. Под наркозом имплантируются эндостаты. После контроля правильности их установки и введения радионуклидов, пациент переводится в специальное помещение, где должен будет находиться все время, пока длится процедура, соблюдая строгий постельный режим. Разрешается только немного поворачиваться на бок. Вставать категорически запрещено.
- Установки высокой мощности дозы. Время облучения составляет несколько минут. Для установки эндостатов наркоза не требуется. Но во время процедуры все равно необходимо лежать абсолютно неподвижно. Внутриполостная лучевая терапия установкой высокой мощности проводится несколькими сеансами с интервалами от одного дня до одной недели.
Радионуклидная терапия
При радионуклидной терапии пациент принимает радиофармпрепараты внутрь в виде жидкого раствора, капсул или инъекций. После этого он помещается в специальную палату, имеющую изолированную канализацию и вентиляцию. По истечении определенного срока, когда мощность дозы снизится до приемлемого уровня, проводится радиологический контроль, пациент принимает душ и переодевается в чистую одежду. Для контроля результатов лечения проводится сцинтиграфия, после чего можно покинуть клинику.
Как вести себя во время лучевой терапии
Лучевая терапия является серьезным стрессом для организма. У многих пациентов в этот период ухудшается самочувствие. Чтобы его минимизировать рекомендуется придерживаться следующих правил:
- Больше отдыхать. Минимизируйте физическую и интеллектуальную нагрузку. Ложитесь спать, когда почувствуете в этом необходимость, даже если она возникла в течение дня.
- Постарайтесь сбалансировано и полноценно питаться.
- Откажитесь на время проведения терапии от вредных привычек.
- Избегайте плотной обтягивающей одежды, которая бы могла травмировать кожу.
- Следите за состоянием кожи в месте облучения. Не трите и не расчесывайте ее, используйте средства гигиены, которые вам порекомендует врач.
- Защищайте кожу от воздействия солнечных лучей — используйте одежду и головные уборы с широкими полями.

Побочные эффекты лучевой терапии
Лучевая терапия, как и другие методы противоопухолевого лечения, вызывает ряд осложнений. Они могут быть общими или местными, острыми или хроническими.
Острые (ранние) побочные эффекты развиваются во время проведения радиотерапии и в ближайшие недели после неё, а поздние (хронические) лучевые повреждения — через несколько месяцев и даже лет после ее окончания.
Общие реакции
Угнетенное эмоциональное состояние
Подавляющее большинство пациентов, проходящих лечение по поводу злокачественного новообразования, испытывают тревожность, страх, эмоциональное напряжение, тоску и даже депрессию. По мере улучшения общего состояния, эти симптомы стихают. Чтобы облегчить их, рекомендуется чаще общаться с близкими людьми, принимать участие в жизни окружающих. При необходимости рекомендуется обратиться к психологу.
Чувство усталости
Чувство усталости начинает нарастать через 2-3 недели от начала терапии. На это время рекомендуется оптимизировать свой режим дня, чтобы не подвергаться ненужным нагрузкам. В то же время нельзя полностью отстраняться от дел, чтобы не впасть в депрессию.
Изменение крови
При необходимости облучения больших зон, под воздействие радиации попадает костный мозг. Это в свою очередь приводит к снижению уровня форменных элементов крови и развитию анемии, повышению риска кровотечения и развития инфекций. Если изменения выражены сильно, может потребоваться перерыв в облучении. В ряде случаев могут назначать препараты, стимулирующие гемопоэз (кроветворение).
Снижение аппетита
Обычно лучевая терапия не приводит к развитию тошноты или рвоты, но снижение аппетита наблюдается довольно часто. Вместе с тем, для скорейшего выздоровления требуется полноценное высококалорийное питание с высоким содержанием белка.
Локальные осложнения
Побочные реакции со стороны кожи
Вероятность развития кожных реакций и их интенсивность зависят от индивидуальных особенностей пациента. В большинстве случаев через 2-3 недели в области воздействия возникает покраснение. После окончания лечения оно сменяется пигментированием, напоминающим загар. Чтобы предотвратить чрезмерные реакции, могут назначаться специальные кремы и мази, которые наносятся после окончания сеанса. Перед началом следующего их необходимо смыть теплой водой. Если реакция выражена сильно, делают перерыв в лечении.
Реакции со стороны полости рта и горла
Если облучают область головы и шеи, могут развиться лучевой стоматит, который сопровождается болью, сухостью во рту, воспалением слизистых, а также ксеростомия вследствие нарушения функции слюнных желез. В норме эти реакции проходят самостоятельно в течение месяца после окончания лучевой терапии. Ксеростомия может беспокоить пациента в течение года и более.
Осложнения со стороны молочной железы
При прохождении лучевой терапии по поводу рака молочной железы могут возникать следующие реакции и осложнения:
- Покраснение кожи груди.
- Отек груди.
- Боль.
- Изменение размера и формы железы из-за фиброза (в некоторых случаях эти изменения остаются на всю жизнь).
- Уменьшение объема движения в плечевом суставе.
- Отек руки на стороне поражения (лимфедема).
Побочное действие на органы грудной клетки
- Воспаление слизистой пищевода, которое приводит к нарушению глотания.
- Кашель.
- Образование мокроты.
- Одышка.
Последние симптомы могут свидетельствовать о развитии лучевого пневмонита, поэтому при их возникновении следует немедленно обратиться к вашему врачу.
Побочные реакции со стороны прямой кишки/петель кишечника
- Расстройство стула — диарея или наоборот, запоры.
- Боли.
- Кровянистые выделения из заднего прохода.
Побочные действия со стороны мочевого пузыря
- Учащенное болезненное мочеиспускание.
- Наличие примеси крови в моче иногда может быть настолько выраженным, что моча приобретает кроваво-красный цвет.
- Наличие патологических примесей в моче — кристаллы, хлопья, гнойное отделяемое, слизь.
- Уменьшение емкости мочевого пузыря.
- Недержание мочи.
- Развитие везиковагинальных или везикоректальных свищей.
Побочные эффекты при облучении опухолей забрюшинного пространства, печени, поджелудочной железы
- Тошнота и рвота.
- Ознобы после сеансов.
- Боли в эпигастрии.
Химиолучевая терапия
Лучевая терапия довольно редко проводится в качестве самостоятельного лечения. Чаще всего она сочетается с каким-либо другим видом лечения: хирургическим, а чаще всего — с лекарственным. Это может быть как вариант одновременной химиолучевой терапии, так и последовательной, а также варианты сочетания лучевой терапии с иммунотерапией, таргетной и гормональной терапии. Такие виды лечения могут иметь ощутимо более высокую противоопухолевую эффективность, однако необходимо тщательно оценить риски совместных побочных эффектов, поэтому принятие решения о любом объёме лечения с онкологической патологией должен принимать мультидисциплинарный онкологический консилиум.
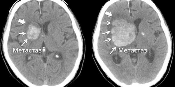
Метастазы в головном мозге
Метастатический рак мозга (другое название — вторичный рак мозга) — распространение раковых клеток в головном мозге из злокачественной опухоли, расположенной в другой части тела. Некоторые факты и цифры:
- Вторичный раз могла встречается в 10 раз чаще, чем первичный, то есть тот, который изначально развивается в головном мозге; в головной мозг возникают у 20-40% онкологических больных (в среднем у каждого четвертого);
- Ежегодно метастатический раз мозга диагностируют у 50 000 — 70 000 россиян;

Пару десятилетий назад при множественных метастазах в головной мозг на пациенте можно было ставить крест - нейрохирургические учреждения, делавшие успехи в терапии первичных опухолей головного мозга, таких больных не брали, потому как оперативное лечение в этом случае уже было почти невозможным. Даже в столице не более трёх специалистов готовы были попробовать лучевую терапию, между тем как по данной теме было защищено несколько диссертаций, демонстрирующих очень неплохой результат. Но практическая деятельность сталкивалась с клиническими трудностями, делающими спасение пациента весьма трудоёмким.
Метастазы злокачественных опухолей в головном мозге постигают каждого четвёртого больного, при посмертном исследовании их находят у шести из десяти. Метастазы выявляются на порядок чаще, чем первичные опухоли центральной нервной системы, которыми охотно занимаются нейрохирурги. Российская онкологическая статистика учитывает только первичные опухоли головного мозга и вообще первичные раки, но не знает, сколько больных имеют метастазы куда бы то ни было, а не только в головной мозг.

Метастазы в головном мозге.
Любая опухоль метастазирует в мозг, но чаще всего рак лёгкого, особенно крайне агрессивный мелкоклеточный — до 80% больных, а также рак молочной железы, кишки, почки и меланома, но все они метастазируют много реже рака лёгкого. Сегодня метастазы в головном мозге находят чаще, чем в конце прошлого века, чему весьма способствуют методы нейровизуализации — КТ и МРТ и увеличение выживаемости онкологических больных в результате успехов онкологической науки. Заметно повысилась и активность онкологов, не только решающихся на лечение самых непростых больных, но и имеющих возможность выхаживать таких пациентов.

Андрей Львович Пылёв, главный врач сети "Евроонко", онколог, кандидат медицинских наук
Как правило, большинство больных к моменту выявления внутричерепных метастазов имеют другие, подчас неизлечимые и распространённые, очаги опухоли, состояние их оставляет желать лучшего, а локальная терапия внутричерепных метастазов чревата ранним рецидивом. Внедрение высокотехнологичного лечения, как хирургического, так и лучевого, помогло избавиться от профессионального пессимизма и увеличило 5-летнюю выживаемость пациентов, придав их жизни вполне приемлемое качество.
Почему возникают метастазы в головном мозге?
Метастазирование — довольно сложный процесс. Он состоит из нескольких этапов. Опухоль должна прорасти в соседние ткани, затем ее клетки отрываются и проникают в кровеносные или лимфатические сосуды. Мигрируя с током крови, раковые клетки оседают в разных органах. Какое-то время они «дремлют», затем начинается бурный рост.
Чаще всего — в 48% случаев — метастазы в мозг связаны с раком легких. Наиболее агрессивен немелкоклеточный рак легкого — он метастазирует в мозг в 80% случаев. Реже встречаются метастазы при раке молочной железы (15%), мочеполовой системы (11%), остеогенной саркоме (10%), меланоме (9%), раке головы и шеи (6%).

Метастаз в головном мозге в динамике
Клинические проявления метастазов
Симптоматика зависима от размеров внутричерепных опухолевых очагов, их количества и расположения. Принципиально клинические симптомы можно разделить на две группы:
- локальные, обусловленные расположением опухоли в конкретном отделе мозга, отвечающем за определённые функции определённого органа;
- общемозговые симптомы, связанные с размером дополнительной опухолевой ткани, мешающей функционированию самого мозга.
К примеру, опухоль рядом со структурами, обеспечивающими иннервацию глаза, проявится выпадением полей зрения, когда глазом не воспринимаются отдельные участки сектора обзора. Множество мелких узлов даст картину отёка головного мозга, поскольку лишние граммы опухоли в замкнутой черепной коробке мешают нормальной циркуляции жидкостей и сдавливают нормальные ткани.
У половины больных вторичные новообразования головного мозга откликаются головной болью, очень часто интенсивность боли меняется вместе с положением головы, когда при наклоне под определённым углом частичное восстановление циркуляции ликвора временно приводит к уменьшению боли. К сожалению, со временем рост метастазов сделает боль постоянной, а замкнутость пространства приведёт к невыносимой интенсивности. Нередки головокружения и двоение, если смотреть обоими глазами.

Коридор клиники Евроонко
У каждого пятого пациента развиваются двигательные нарушения вплоть до пареза половины тела. У каждого шестого страдают интеллектуальные способности, столько же мучается от изменений поведения, нарушений движений и походки, чуть реже отмечаются судороги, но и совершенно бессимптомное течение, когда метастатические образования выявляют лишь при обследовании, тоже не редкость. Тем не менее, при увеличении размеров опухоли даже в такой относительно благоприятной ситуации довольно быстро нарушаются функции организма.
Отёк ткани вокруг опухоли — перифокальный отёк вкупе с повышением внутричерепного давления (ВЧД) вызывают общемозговые симптомы с головной болью, головокружением, двоением, рвотой при малейшем движении или даже при открывании глаз, постоянной икотой, приводят к угнетению сознания вплоть до мозговой комы. Снижение частоты сердцебиений и дыханий при очень высоком «верхнем» систолическом давлении свидетельствуют о крайне высоком и чреватом гибелью внутричерепном давлении.
В практике выделяют варианты развития первичной симптоматики при метастазах рака в центральную нервную систему по превалирующему комплексу клинических признаков.
- Похожий на инсульт апоплексический вариант, развивается остро и проявляется очаговыми нарушениями — свидетельством поражения определённого участка мозга. Такой вариант, как правило, связан либо с закупоркой сосуда, либо его разрывом опухолью с последующим кровоизлиянием в головной мозг.
- Ремиттирующий вариант характеризуется волнообразным течением, когда симптомы то уменьшаются, то прогрессируют, напоминая атеросклеротическое поражение сосудов.
У некоторых больных метастазы головного мозга протекают бессимптомно. Обнаруживают их только во время обследования.
Как диагностируют метастазы в головном мозге?
«Золотой стандарт» в диагностике метастатического рака головного мозга — магнитно-резонансная томография (МРТ). Во время этого исследования получают изображения внутренних структур тела, используя сильное магнитное поле. По снимкам врач может судить о количестве, размерах, расположении метастатических очагов.

Биопсия — исследование, во время которого получают фрагмент ткани и исследуют его на предмет раковых клеток. Если у человека уже диагностирован рак в другом органе и обнаружены очаги в головном мозге, потребности в данном методе диагностики обычно нет. Биопсия нужна, если есть очаги в мозге, но не найдена первичная опухоль.
Лечение метастазов
Без лечения продолжительность жизни больного от момента выявления метастатического поражения головного мозга едва ли превышает месяц, но это в среднем. Только добавление высоких доз гормонов способно двукратно увеличить продолжительность жизни и несколько улучшить её качество, но опять только на время, тогда как химиолучевое лечение может дать до полугода жизни.
Тактика лечения зависит от некоторых факторов:
- Количество, размер и расположение метастазов;
- Возможность удалить очаги хирургическим путем;
- Чувствительность первичной опухоли к химиопрепаратам и лучевой терапии;
- Общее состояние больного;
- Наличие других метастазов, возможность бороться с ними.
Прогностически неблагоприятна локализация опухоли в недоступной для манипуляций задней черепной ямке, нарушение циркуляции ликвора и вероятность вклинения опухоли в естественные черепные отверстия.
Несомненно, что только хирургическое пособие вкупе с дополнительным лекарственным и лучевым лечением даёт большие надежды. Но нейрохирургическое вмешательство возможно при одном или единичных опухолевых узлах, и, конечно, технически доступных. Паллиативную операцию выполняют при угрожающем нарастании давления и кровотечении, когда удаление даже одного из множества узлов способно радикально улучшить клиническую картину, чтобы присовокупить в дальнейшем консервативное лечение. Возможны разные варианты удаления опухолевых узлов.

При технически не удаляемых и чувствительных к противоопухолевым лекарствам видах рака, таких как молочная железа, мелкоклеточный рак лёгкого и герминогенные опухоли яичка, на первом этапе прибегают к химиотерапии, к которой в дальнейшем присоединяют облучение всего массива головного мозга. При радиочувствительных опухолях лечение можно начать с тотального облучения мозга. При опухолях не более 3,5 см и менее четырёх узлов как единственный метод эффективна стереотаксическая радиохирургия. К опухоли подводят с разных сторон несколько пучков радиоволн, они пересекаются в одном месте - там, где находится метастаз. В итоге раковые клетки уничтожаются, а окружающие здоровые ткани получают минимальную безопасную дозу. В комплексе с облучением мозга и химиотерапией результат лучше.

Система для стереотаксической радиохирургии
Лучевая терапия всегда сопровождается нарастанием отёчности ткани мозга, поэтому облучение всегда проводится на фоне дегидратации — симптоматической терапии, разгружающей от излишней жидкости. Поэтому радиолог может отказать в лечении пациенту, устойчивому к мочегонным препаратам, а также при уже смещённом головном мозге, поскольку дальнейшее смещение может стать для больного фатальным. Не возьмут на облучение тяжёлого пациента с выраженными клиническими проявлениями, тем более с судорогами или мутным сознанием. Уже после одного-двух сеансов облучения к имеющемуся высокому внутричерепному давлению присоединится лучевой отёк ткани, и без того очень неважное состояние пациента ухудшиться.
Возможны варианты последовательностей и сочетания методов, как при впервые выявленных метастазах в головной мозг, так и при рецидиве после лечения. Во всяком случае, при невозможности активной тактики и прогрессировании процесса клинические руководства рекомендуют прибегнуть к химиотерапии на фоне наилучшей поддерживающей симптоматической терапии (стероиды, обезболивающие, противосудорожные препараты и др.). Схема определяется первичной опухолью, то есть при раке лёгкого помогают одни препараты, при раке почки — другие. Химиотерапию проводят до выявления признаков прогрессии опухоли.
Терапия метастазов злокачественных опухолей в головной мозг не дело энтузиастов-одиночек, это работа команды онкологов, нейрохирургов, радиологов, химиотерапевтов и реаниматологов, вооружённых знаниями и отличным оборудованием для диагностики и лечения, как в клиниках «Евроонко».
Каковы прогнозы при метастазах в головной мозг?
Прогноз зависит от типа первичной опухоли, количества метастазов, возраста и состояния пациента. В среднем пациенты живут 2-3 месяца. Но если метастазы единичные, пациенту меньше 65 лет, и в организме нет других метастазов, средняя продолжительность жизни может составить 13,5 месяцев.
Врачи онкологи и реаниматологи «Евроонко» знают, как помочь пациенту с метастатическим раком. Грамотное лечение избавит от тяжелых симптомов, подарит драгоценное время.
Динамика метастатического поражения хориоидеи на фоне полихимиотерапии (клинический случай)
В качестве иллюстрации приводим собственное клиническое наблюдение. Пациентка Ш., 34 года, в октябре 2020 года обратилась с жалобами на искажения предметов и снижение остроты зрения правого глаза в течение двух недель.
Анамнез: в октябре 2010 года у пациентки выявлен рак правой молочной железы, а в феврале 2011 года выполнена радикальная мастэктомия. В предоперационном периоде пациентка получила 4 цикла полихимиотерапии (ПХТ) по схеме FAC (фторурацил, адриамицин (доксорубицин), циклофосфамид) и радикальный курс дистанционной лучевой терапии на область правой молочной железы, парастернальную, надключичную и аксилярную области традиционным фракционированием с разовой очаговой дозой 2 Гр. Суммарная очаговая доза - 64 Гр. В послеоперационном периоде проведено 4 цикла ПХТ по схеме АТ (доксорубицин, таксотер). Далее в течение 5 лет пациентка получала гормональную терапию аналогами лютеинизирующего рилизинг-гормона, в течение 3 лет использовался тамоксифен и в течение 2 лет - анастрозол. В сентябре 2020 года были выявлены метастазы в правом легком и лимфоузлах средостения. Спустя месяц (октябрь 2020 г.) выявлен метастатический узел в желудке.
На момент обращения к офтальмологу: максимальная острота зрения (МОЗ) правого глаза - 0,7 н/к, левого - 0,8 с sph -0,5Д=0,9. ВГД OD=15,3 мм рт.ст., OS - 17,2 мм рт.ст. Передний отрезок обоих глаз - без патологии. При офтальмоскопии на глазном дне правого глаза выявлен отек в макулярной зоне, по ходу верхне-височной аркады - незначительно проминирующий округлый очаг желтоватого цвета размером 1-1,5 ДД. Перипапилярно с носовой стороны имелся плоский округлый очаг размером 1 ДД, на средней периферии в наружной половине диагностированы два плоских округлых очага желтоватого цветы с «пестрой» поверхностью размерами 1 ДД (рис. 1). На глазном дне левого глаза парамакулярно выявлены два плоских очага желтоватого цвета размерами 1 ДД. По ходу верхне-носовой аркады в 1,5 ДД от ДЗН визуализировали плоский очаг желтоватого цвета с пестрой поверхностью размером 1 ДД, на средней периферии снизу - 2 округлых очага желтоватого цвета с «пестрой» поверхностью размерами 2 и 1,5 ДД (рис. 2). В общей сложности было выявлено 9 очагов: 4 - в правом глазу и 5 - в левом.
По данным УЗИ обоих глаз зон проминенции выявлено не было. При проведении ОКТ в макулярной зоне правого глаза выявлена отслойка нейроэпителия (ОНЭ) высотой 309 мкм. Субфовеолярно с распространением в сторону верхне-височной аркады визуализировано расширение хориоидального комплекса с ровным профилем передней поверхности, асимметрией формы скатов хориоидального комплекса и неравномерной умерено рефлективной структурой. В зоне максимальной проминенции очага хориокапилляры не визуализировались. В надлежащей сетчатке - участки утолщения слоя ретинального пигментного эпителия, отек фоторецепторного и ядерных слоев. Аналогичные изменения имели и остальные очаги, в том числе на парном глазу. На поверхности и/или по скатам очагов выявлена ОНЭ. Толщина хориоидального комплекса в зоне максимальной проминенции очагов варьировала от 391 до 1062 мкм на правом глазу и 535-1254 мкм - на левом.
На основании данных анамнеза, билатерального многофокусного поражения с характерной ОКТ-картиной [6, 12-14] был поставлен диагноз метастатического поражения хориоидеи. Следует отметить, что описываемые в литературе неровности передней поверхности хориоидального комплекса («lumpy, bumpy») характерны для метастазов больших размеров [6, 13, 14], а на ранних стадиях процесса он может быть ровным или иметь незначительную неровность [15], что и имело место в данном случае.
Ранее симптоматическим лечением метастазов хориоидеи была признана лучевая терапия (дистанционная гамма-терапия или облучение узким медицинским протонным пучком), приводящая к регрессии опухолевого узла, резорбции субретинальной жидкости и повышению остроты зрения [2]. Считают, что лучевая терапия требует длительного периода лечения, что может быть неудобным и непрактичным у тяжелобольных пациентов [6]. Первые работы по успешному применению ПХТ в лечении пациентов с диссеминированным метастатическим процессом появились еще в 1970-80-х гг. [16], но, несмотря на это, долгое время эффективность ПХТ ставилась под сомнение [17]. В последние годы при многофокусном билатеральном поражении хориоидеи в сочетании с метастазами другой локализации предпочтение отдают системной химиотерапии, иммуно- или гормональной терапии [6].
С учетом наличия диссеминированного метастатического процесса пациентке была рекомендована консультация онколога. В октябре-ноябре пациентка получила 6 циклов ПХТ по схеме ТС (паклитаксел, карбоплатин).
На фоне проведенного лечения пациентка отметила уменьшение искажений перед правым глазом, при этом МОЗ повысилась до 0,8 н/к. При осмотре глазного дна правого глаза отмечено уменьшение размеров очага по ходу верхне-височной аркады и ОНЭ в макулярной зоне. Очаги в перипапиллярной зоне и на средней периферии с височной стороны не определены (рис. 4). При осмотре глазного дна левого глаза отмечено уменьшение размеров очагов по ходу верхне-носовой и нижне-височной аркад, а парамакулярно расположенные очаги уже не определялись (рис. 5).
По данным ОКТ на правом глазу субфовеолярная ОНЭ уменьшилась до 43 мкм. Толщина хориоидального комплекса в зонах, ранее соответствовавших зонам максимальной проминенции очагов, уменьшилась до 232-451 мкм на правом глазу и до 206-587 мкм - на левом (рис. 6, 7).
Уменьшение толщины хориоидального комплекса сопровождалось усилением рефлективности хориоидального комплекса с «уплотнением» его структуры, что скорее всего свидетельствует о формировании рубца на месте хориоидального метастаза. В фовеолярной зоне правого глаза появились участки деструкции РПЭ (штрихообразная гипертрансмиссия). В сетчатке над остальными очагами выявлено увеличение гиперрефлективных изменений на уровне РПЭ. На участках ранее существовавшей ОНЭ отмечено уменьшение рефлективности слоя фоторецепторов, она сохранялась только вокруг наиболее крупных очагов.
Приведенное наблюдение свидетельствует о большей информативности оптической когерентной томографии для выявления начальных, офтальмоскопически «скрытых» метастазов в хориоидею. Это позволяет рекомендовать обязательное билатеральное ОКТ-исследование не только макулярной зоны, но и средней периферии у больных с онкологическим анамнезом. Есть основания полагать, что его можно использовать и для оценки проводимого лечения (особенно это заметно на метастазах малых размеров), в частности, полихимиотерапии.
Меланома хориоидеи
Меланома хориоидеи — это пигментная опухоль злокачественного характера собственной сосудистой оболочки глаза (хориоидеи). Данная опухоль является одной из самых частых внутриглазных новообразований. Меланома хориоидеи является основной причиной смертности и инвалидизации онкобольных с поражением органа зрения. Заболевание может протекать практически бессимптомно, но при этом имеет высокую склонность к метастазированию, поэтому проблема ее выявления на начальных стадиях является крайне актуальной.
Этиологические факторы
Большинство случаев меланомы хориоидеи являются спорадическими, то есть обусловлены теми или иными мутациями клетки-предшественницы меланоцитарного звена, которая может дать начало патологическому опухолевому клону. Кроме того, есть предположение о наследственной причине данного заболевания. Воздействие такого типичного провоцирующего фактора для меланомы кожи, как повышенная инсоляция, для этой опухоли также не исключается.
В группе риска находятся пожилые люди (средний возраст манифестации опухоли — 60 лет). Немного чаще болеют мужчины. Склонны к появлению меланомы хориоидеи обладатели светлой кожи и волос, невусов и веснушек.
Клиническая картина
Жалобы пациентов зависят от размера и локализации меланомы хориоидеи, а также от наличия сопутствующих осложнений, к которым относятся: отслойка сетчатки вторичного характера, появление дегенеративных процессов в сетчатке, помутнение хрусталика.
На первичном приеме у офтальмолога обычно определяется снижение остроты зрения, появление перед глазом слепых участков (скотом), гемианопсий (выпадения половин поля зрения). В случае позднего обращения, больные жалуются на боль в глазу (вторичная глаукома), расширение сети сосудов. Также на склере может определяться пигментное пятно (экстраокулярный рост новообразования).
Стадии развития меланомы хориоидеи
Согласно международной классификации различают 4 стадии развития данной опухоли. Критерии распространенности опухолевого процесса:
- Т1 — размер меланомы 10 мм и менее, толщина — 2,5 мм и менее.
- Т2 — размер новообразования 10-16 мм, наибольшая толщина составляет 2,5-10 мм.
- Т3 — размером 16 мм и/или толщина более 10 мм без распространения за пределы глазного яблока.
- Т4 — наибольший размер опухоли 16 мм и/или толщина более 10 мм с распространением за пределы глазного яблока.
Также выделены 4 клинические стадии меланомы хориоидеи. Для каждой из них характерны определенные симптомы заболевания:
- Для первой, так называемой стадии «спокойного глаза», свойственно отсутствие ярких клинических проявлений и жалоб. Возможно наличие помутнения сетчатки, также могут определяться дефекты поля зрения.
- Вторая стадия характеризуется появлением боли в глазах, воспаления, покраснения глазного яблока, отека век.
- На третьей стадии меланома хориоидеи выходит за границы глазного яблока, формируется экзофтальм, склера теряет целостность.
- Четвертая стадия сопровождается генерализацией процесса. Общее состояние пациента ухудшается. Больные жалуются на сильную боль, снижается масса тела, нарастает интоксикация. Появляются метастазы меланомы внутренних органов: печени, легких, костей. Поражение того или иного органа провоцирует появление соответствующих симптомов. Может выявляться дальнейшее снижение остроты зрения, чувство пелены или тумана перед глазами. Данные проявления вызываются кровотечениями в стекловидное тело, помутнением хрусталика.
Симптомы второй и третьей стадии меланомы хориоидеи ярко выражены при расположении опухоли в центральной или парацентральной части глазного дна. Для периферической локализации новообразования характерно длительное отсутствие субъективных ощущений. В этом случае меланома выявляется либо случайно, либо на стадии распада опухоли и ее вторичных проявлений.

Виды меланомы глаза
Разработана классификация меланомы хориоидеи по морфологическому признаку. В зависимости от клеточной структуры, выделяют следующие типы данной опухоли:
- Веретеноклеточный.
- Эпителиоидный.
- Смешанный (микстмеланома).
- Фасцикулярный.
- Некротический.
Данная классификация имеет определенные недостатки, так как некротическая меланома хориоидеи определяется клинически, а вот определить ее клеточную принадлежность из-за обширного некроза невозможно. Веретенообразный и фасцикулярный тип имеют сходный прогноз. В связи с этим, в настоящее время морфологически принято выделять только 2 типа: веретеноклеточный и эпителиоидный. Смешанная форма занимает промежуточное положение. Ее прогноз зависит от преобладания тех или иных клеток. Наименее благоприятной прогностически считается эпителиоидноклеточная меланома хориоидеи.
Диагностика
Учитывая клинические особенности меланомы хориоидеи, ее диагностика, особенно на начальных этапах, представляет определенные трудности. Помимо анализа жалоб больного и клинико-анамнестических данных, учитываются результаты следующих инструментальных исследований:
- Биомикроскопии.
- Офтальмоскопии.
- Ультразвукового исследования глаза.
- Диафаноскопии и др.
Меланома хориоидеи является новообразованием с высоким риском появления метастазов. Поэтому при обследовании пациента необходимо использовать также методы диагностики метастатических очагов: УЗИ органов брюшной полости и лимфатических узлов, рентгенографию легких, КТ, МРТ.

Способы лечения меланомы хориоидеи
Выделяют органосохраняющие методы лечения данной опухоли и хирургический метод без сохранения глаза. В случаях, когда не удается сохранить глаз, производят энуклеацию — изолированное удаление глазного яблока или экзентерацию — иссечение вместе с глазным яблоком всего содержимого орбитальной полости.
Показания к энуклеации:
- Опухоль значительного размера.
- Распространение меланомы на диск зрительного нерва.
- Полное отсутствие зрительной функции.
- Экстрабульбарный рост опухоли.
- Вторичная глаукома.
После удаления глазного яблока, проводится имплантация внутреннего протеза и последующее наружное протезирование. Эти меры позволяют не только достичь хорошего косметического результата, но и препятствуют деформации лица.

К органосохраняющим методам лечения меланомы хориоидеи относятся:
Лучевая терапия. В зависимости от способа подведения излучения, лучевую терапию при данном заболевании проводят контактным или дистанционным способом. Контактное облучение, или брахитерапия, представляет собой имплантацию радиоактивных элементов вблизи очага меланомы.
Показания к проведению брахитерапии:
- Отсутствие признаков распада.
- Диаметр новообразования до 15 мм.
- Отстояние от диска зрительного нерва не менее 2 диаметров самого диска.
Брахитерапия является самым эффективным методом органосохраняющего лечения при меланоме хориоидеи. Его применение способно снизить вероятность образования метастазов опухоли.
В составе системного лечения, актуально проведение иммунной терапии. Также при оказании помощи больным с меланомой хориоидеи в поздних стадиях учитываются особенности ее метастазирования. Для данной опухоли характерно изолированное поражение печени метастазами. В таких случаях с успехом применяется химиоэмболизация данного органа.
Такой распространенный метод лечения меланомы кожи, как таргетная терапия, при меланоме хориоидеи не применяется, так как при данном виде опухоли отсутствуют специфичные BRAF-мутации.
Профилактика и диспансерное наблюдение
Рекомендовано пожизненное наблюдение за больными, которые получали лечение меланомы хориоидеи. После проведения лучевой терапии и удаления новообразования, офтальмолог должен осматривать пациентов каждые полгода в течение 2 лет, а далее — 1 раз в год. С целью раннего выявления метастазов назначают УЗИ органов брюшной полости и рентгенографию легких 1-2 раза в год.
Прогноз для жизни при меланоме хориоидеи
Продолжительность жизни при данном виде рака зависит от локализации и размера опухоли, возраста пациента, морфологии новообразования, проведенного лечения и других особенностей. Пятилетняя выживаемость на начальных стадиях меланомы хориодиеи после применения органосохраняющих радикальных методов составляет 93%, десятилетняя — 89%. На поздних стадиях, при выявлении метастазов печени медиана выживаемости составляет лишь 4-6 месяцев. Для пациентов с метастатическим поражением других органов годичная выживаемость составляет 76%.
Органосохраняющее лечение увеальной меланомы и других внутриглазных опухолей у взрослых
Безоперационное лечение внутриглазных опухолей является важной частью клинической практики Онкологической клиники МИБС. Да, опухоли глаза, значительная доля которых приходиться на увеальную меланому, - немногочисленны. Но современные методы лечения позволяют, при своевременном обращении, сохранить не только глазное яблоко, но и остроту зрения. Поэтому вопрос информирования о возможностях органосохраняющего лечения - важен для общества. Подробнее - в материале МИБС…

Когда речь идет о лечении внутриглазных опухолей, целесообразно рассматривать его на примере увеальной меланомы, как наиболее часто диагностируемой первичной опухоли органов зрения.
Что такое увеальная меланома?
Увеальная меланома - злокачественное новообразование из клеток меланоцитов, растущее внутри глазного яблока, в одном из его слоев. Женщины более подвержены этому заболеванию, наиболее часто диагноз устанавливается у пациентов старше 50 лет.
От локализации опухоли в глазном яблоке зависит ее название:
- меланома хориоидеи (меланома сосудистой оболочки глаза) - наиболее распространенная внутриглазная опухоль взрослых; составляет до 85% увеальных меланом;
- меланома цилиарного тела - опухоль, расположившаяся в тканях “соединительного звена” между радужкой и сосудистой оболочкой, диагностируется в 10% всех случаев увеальных меланом;
- меланома радужной оболочки - наиболее редкая меланома радужки составляет около 5% всех увеальных меланом.
В связи с тем, что подавляющее большинство увеальных меланом приходится на меланому хориоидеи, целесообразно считать тождественными эти два понятия для упрощения понимания подходов к диагностике и лечению. Также справедливо рассматривать указанные подходы и для лечения других внутриглазных опухолей.
Увеальная меланома: лечение
Вся тяжесть выявления увеальной меланомы ложится на плечи офтальмолога, который по ряду симптомов может не только заподозрить наличие опухоли, но и указать на ее тип, проведя комплексную диагностику. Ключевое значение имеет опыт врачей, выполняющих визуальную (офтальмолог) и инструментальную (радиолог) диагностику, в первую очередь, МРТ - в России регистрируется всего около 1000 случаев опухолей глаза в год и возможность получить консультацию коллег, встречавшихся в своей практике с данным заболеванием, гарантирует более высокое качество медицинской помощи. Для того, чтобы повысить точность диагностики в любом регионе России, МИБС предлагает услугу “второе мнение”, заключающееся в дистанционном направлении имеющихся снимков МРТ, КТ, ПЭТ-КТ на рассмотрение специалистам МИБС с получением письменного заключения.
После того, как диагноз “увеальная меланома” будет подтвержден, пациенту совместно с врачом-офтальмологом предстоит ответить на крайне важный вопрос - какой метод лечения выбрать?
Энуклеация (полное удаление) глазного яблока до конца 70-х годов прошлого века являлась единственным действенным способом, которым проводили лечение меланомы хориоидеи. К сожалению, несмотря на развитие альтернативных методов, и сегодня лечение “меланомы глаза” в пределах офтальмологической клиники, в которую обратится пациент за установлением диагноза, во многих случаях будет означать удаление глазного яблока и сопутствующие ему физическую инвалидность и психологическую травму, значительно снижающие качество жизни. К тому же стоимость пластической реконструкции и индивидуального глазного протезирования после энуклеации, зачастую, превышает стоимость высокотехнологичного лечения, демонстрирующего сравнимую эффективность.
Современная офтальмология использует ряд методов, позволяющих избежать удаления глазного яблока: частичная резекция пораженных тканей органа (например, хирургическое лечение меланомы радужной оболочки глаза является наиболее оптимальным ввиду удобного доступа и возможности ранней визуальной диагностики), разрушение опухоли лазером (лазерная фотокоагуляция), термотерапия, криотерапия и лучевое лечение.
Наиболее сложным, с точки зрения принятия оптимального решения, является выбор в пользу лучевого лечения увеальной меланомы, которое при условии соблюдения современных протоколов, показывает эффективность на уровне хирургии. Если применение брахитерапии (контактного подведения радиоактивных элементов к опухоли) может быть предметом дискуссии об эффективности такого лечения, в особенности, при достижении опухолью значительного размера, то более современная радиохирургия на Гамма-ноже, а тем более, лечение увеальной меланомы протонами, демонстрируют показатели эффективности и безопасности, не уступающие даже хирургическому лечению.
Но, по объективным причинам - необходимо дорогостоящее оборудование, а также точное соблюдение протоколов радиохирургии и протонной терапии, - современное лучевое лечение увеальной меланомы не может быть выполнено в офтальмологической клинике. И выбор в пользу “лучей” будет означать не только передачу пациента в профильную клинику, но и оплату пациентом услуг в другом лечебном учреждении. К сожалению, очень часто финансовый интерес офтальмолога становится причиной неполного информирования о возможностях высокотехнологичного лечения внутриглазных опухолей в России.
Радиохирургия сохраняет не только глазное яблоко, но и зрение
Современные методы лучевого лечения опухолей (в т.ч. опухолей глаза) реализуются на сложном оборудовании в специализированных центрах, примерами которых является Онкологическая клиника МИБС и Центр протонной терапии МИБС. Многочисленные исследования подтвердили эффективность высокоточного облучения высокими дозами радиации в лечении меланомы хориоидеи, а опыт и технологии, находящиеся на вооружении специалистов МИБС, позволяют пациенту, независимо от типа и стадии опухоли, получить помощь согласно лучшим международным протоколам.
Чаще всего при увеальной меланоме проводится радиохирургия - управляемая подача тонких пучков элементарных частиц фотонов, из множества пересечений которых формируется зона однородно высокой, смертельной для злокачественных клеток, дозы, соответствующая форме опухоли. В таком случае остальные структуры глаза и находящиеся на пути каждого отдельного пучка излучения здоровые ткани (в т.ч. головного мозга) получают значительно меньшие дозы, размер которых задается исходя из подтвержденных значений толерантных доз (не вызывающих необратимых биологически нарушений).
В зависимости от расположения, формы и размера новообразования, радиохирургия увеальной меланомы может быть выполнена Гамма-ножом или Кибер-ножом. МИБС имеет в своем распоряжении обе этих системы, и выбор наиболее оптимальной технологии производится лечащим врачом после предварительной оценки клинического случая.
Протонная терапия в лечении увеальной меланомы не демонстрирует такого выдающегося преимущества, как при лечении других опухолей - особенность расположения глазного яблока позволяет безопасно подвести высокие дозы радиации и с помощью радиохирургии на Гамма-ноже. При этом стоимость лечения Гамма-ножом несравнимо ниже при одинаковом уровне достигаемой эффективности.

Реальный клинический случай - лечение меланомы хориоидеи Гамма-ножом Gamma-Knife Perfexion в Онкологической клинике МИБС. Снимки МРТ с контрастом (слева - до, справа - после лечения). Меланома хориоидеи на правом снимке, сделанном во время контрольного обследования всего через один месяц (!), не визуализируется - желтые контуры изначального расположения опухоли нанесены для сравнения. Опухоль исчезла. Без операции, с сохранением глазного яблока.
Благодаря органосохранности, оптимальной стоимости и высокой эффективности, количество пациентов МИБС, получивших современное безоперационное лечение увеальной меланомы на Гамма-ноже, составляет уже более трех десятков. Учитывая общую статистику заболеваемости, можно утверждать, что наши врачи и медицинские физики имеют одну из самых высоких компетенций по лечению увеальных меланом не только в России, но и в мире.
Безоперационное вторичных внутриглазных опухолей
Еще одной статистически значимой группой опухолей органов зрения являются метастазы первичных опухолей, расположенных в других частях тела. Метастазы в глазное яблоко чаще всего вовлекают хориоидею, и чаще всего это - метастазы рака легкого. В таком случае радиохирургия также может применяться для разрушения вторичных раков. Но такое решение должно учитывать возможность лечения первичной опухоли и комплексной терапии всех метастазов.
Имеет ли смысл протонная терапия в лечении увеальной меланомы и других внутриглазных опухолей?
В случае с лечением внутриглазных опухолей основное преимущество протонов - минимальное облучение здоровых тканей, - нивелируется тем, что аналогичного уровня безопасности можно достичь и при радиохирургии. И более высокая стоимость лечения протонами делает ее применение при увеальной меланоме нецелесообразным.
Эффективное лечение первичного очага, как профилактика метастазов меланомы хориоидеи
Независимо от того, какой метод был выбран, откладывать лечение увеальной меланомы не стоит - примерно половина пациентов с этим диагнозом погибают от метастазов. Это связано как с активным метастазированием через кровеносные сосуды, так и с низким вниманием к возможным органам-мишеням. Увеальная меланома чаще всего метастазирует в печень (более, чем в 90% случаев метастатического поражения) и легкие (24%). Реже поражаются головной мозг, кожа, кости, лимфоузлы, второй глаз и его орбита.
При своевременном выявлении крупных одиночных метастазов меланомы хориоидеи их лечение также может быть проведено методами радиохирургии и протонной терапии в стенах МИБС.
Если у Вас есть подтвержденный диагноз “увеальная меланома”, или имеются подозрения и Вы уже прошли первичную инструментальную диагностику по месту жительства, обратитесь в любой из Диагностических центров МИБС за “вторым мнением”. Если диагноз подтвердится, наши специалисты смогут дать заключение о возможности и целесообразности применения радиохирургии или протонной терапии, которые доступны пациентам в Онкологической Клинике МИБС и Центре протонной терапии МИБС.
Не дайте болезни шансов - обратитесь сейчас!

Иванов Павел Игоревич
Заведующий отделением нейрорадиологии.
Нейрохирург высшей категории, кандидат медицинских наук.
Действительный член Всемирного Общества пользователей Гамма-Ножа (LGKS).
Действительный член Европейского Общества функциональной и стереотаксической нейрохирургии (ESSFN).
Действительный член Образовательного комитета Международного Общества Стереотаксической Радиохирургии (ISRS) .
Доцент кафедры нейрохирургии Военно-Медицинской Академии им. С.М. Кирова.
Читайте также:
- Экзостозы наружного слухового прохода
- Варианты операций при периодическом расходящемся косоглазии (экзотропии)
- Акустические феномены молочной железы. Внутренняя эхоструктура молочной железы
- Лучевая диагностика поверхностного синдероза нервной системы
- Пересадка сердца. Врожденные пороки сердца у взрослых
