Акустические феномены молочной железы. Внутренняя эхоструктура молочной железы
Добавил пользователь Евгений Кузнецов Обновлено: 22.11.2025
В числе факторов риска злокачественных образований грудных желез первые места занимают искусственный аборт, гинекологические заболевания и генетическая обусловленность. До проведения УЗИ молочных желез могут быть различные жалобы, которые часто имеют место при присутствии ограниченных уплотнений в груди, которые определяются при самостоятельной пальпации. Нередко пациенты, обратившие внимание на увеличение лимфатических узлов, предъявляют сочетанные жалобы на наличие местного уплотнения, часто в сочетании с болезненностью.
До проведения ультразвукового исследования проводиться визуальный осмотр, который включает оценку цвета кожных покровов, наличие «апельсиновой корки» кожи, ее морщинистости над измененной зоной, втяжение соска. Обычно покраснение кожи асимметрично увеличенной молочной железы у молодой женщины в период лактации свидетельствует в пользу острого мастита, а синюшный оттенок цвета кожи с ее морщинистостью у женщины в менопаузе имеет место при инфильтративной маститоподобной форме рака. Втяжение соска может быть связано как дисфункцией мышцы вокруг соска, так и опухолью позадисосковой зоны. Местное стягивание кожи в верхнелатеральном квадранте часто происходит в результате инфильтративной формы рака грудной железы с вовлечением в процесс кожи.

До проведения УЗИ, пальпация грудных желез и регионарных зон лимфоттока имеет важное значение для выявления или же обоснованного подозрения на наличие объемного образования в них. Примерно у 60% женщин при пальпации структура железы не отвечает фазе менструального цикла и или возрасту женщины, при этом регистрируются клинические проявления диффузного фиброаденоматоза. Нередко пальпируются увеличенные подмышечные лимфатические узлы. Над измененными участками кожа может не растягиваться, если опухолевый процесс захватывает премаммарную зону.
В данный момент в Красноярске ультразвуковая диагностика и рентгеновская маммография являются основными методами инструментальной диагностики опухолей грудных желез. У различных пациентов тот или другой метод может иметь приоритет, но их сочетанное применение повышает эффективность диагностики. Например, к неоспоримым преимуществам рентгеновской маммографии в выявлении злокачественных опухолей могут относиться:
- исследование крупной грудной железы с большим количеством жировой клетчатки;
- возможность выявления непальпируемых образований;
- визуализация микрокальцинатов в виде скопления, при отсутствующем солидном компоненте; в виде локальной тяжистой перестройки структуры;
- диагностика внутрипротокового рака малых размеров при проведении дуктографии.
Основными недостатками рентгеновской маммографии являются:
- наличие противопоказаний женщинам до 35 лет, при беременности и лактации;
- диагностика патологий рентгенологически «плотных», состоящих из железистой ткани желез, поскольку в них при раке не выявляются маленькие опухоли, затруднительна дифференциальная диагностика узловых форм дисгормональных гиперплазий и рака молочной железы у молодых женщин;
- невыполнимость достоверной дифференциации кисты и солидных образований;
- особая сложность дифференциальной диагностики узловых форм дисгормональных гиперплазий и рака грудной железы.
Неинвазивность, возможность неоднократного исследования молочной железы в любом возрасте, большое разрешение современных высокочастотных датчиков для исследований рентгенологически «плотных» желез, использование допплеровских методов и эластографии являются превосходством УЗИ перед рентгеновской техникой. Ультразвуковая маммография включает:
- Исследование в серошкальном режиме для выявления и оценки локальных нарушений структуры;
- Оценку степени васкуляризации измененных участков с помощью допплеровских методик;
- При необходимости проведение тонкоигольной пункционной биопсии под контролем УЗИ со следующим гистологическим исследованием полученного материала;
- В сомнительных случаях проведение динамического исследования с коротким интервалом.

Как УЗИ выявляет рак молочной железы?
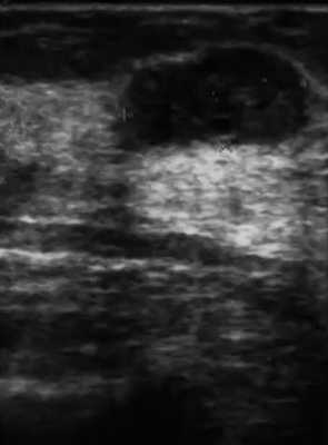
На УЗИ молочных желез в Красноярске мы часто сталкиваемся с распространенным злокачественным образованием, которым является рак. Это то заболевание, с которым дифференцируют все доброкачественные изменения в молочной железе. При опасении на наличие злокачественного образования на УЗИ молочных желез необходимо оценить его контуры, эхоструктуру, место расположения, количество, размеры и форму, дополнительные акустические эффекты, затем оценить состояние протоков и окружающих тканей, в том числе кожные изменения, а также наличие и выраженность васкуляризации. По нашим данным, наиболее типичными знаками для злокачественности опухолевого образования грудной железы являются: неровные контуры с нечеткими границами более чем в 60%, формы распределены равномерно на одну треть случаев (амебообразная, округлая или неправильная). Ориентация образования на УЗИ чаще бывает неопределенная (60%), чем вертикальная (30%) или горизонтальная (10%). Внутренняя эхоструктура в двух третьих случаев гипоэхогенная однородная и в одной третьи случаев неоднородная. Локальная компрессия в 80% случаев не изменяет форму образования, а в половине случаев изменяется состояние кожи над очагами. Можно также в 75% ультразвуковых исследований определить сосудистый рисунок с беспорядочным распределением цветных сосудистых сигналов внутри опухоли.
Наиболее типичной локализацией рака грудной железы является верхненаружной квадрант, в котором на УЗИ регистрируется до 50% всех образований. Такая частота поражения этой области скорее связана с большой концентрацией терминальных млечных протоков. Локализация злокачественных опухолей в других квадрантах выявляется в следующем порядке: позадисосковая зона — 17%; верхний внутренний квадранты — 15%; нижний наружный квадрант — 10%; нижний внутренний квадрант — 5%.
Отечно-инфильтративная и узловая форма рака при ультрасонографии
Различают диффузную (отечно-инфильтративную) и узловую формы рака грудной железы. Отечно-инфильтративная форма рака является следствием инфильтрации опухолевыми клетками лимфатических сосудов грудной железы. Эта форма может возникать при любом из типов рака грудной железы и имеет весьма плохой прогноз. Внешние проявления отечно-инфильтративной формы выражаются покраснением и уплотнением кожи, которая делается похожей на лимонную корочку. При УЗИ молочных желез определяется утолщение кожных покровов, повышение эхогенности подлежащей жировой клетчатки и визуализируется сеть гипоэхогенных, параллельных и перпендикулярных коже трубчатых структур (расширенных и инфильтрированных лимфатических сосудов). На УЗИ имеет место изменения с повышением эхогенности паренхимы грудной железы с неопределенной дифференциацией ее внутреннего состава. Дистальные акустические тени могут скрывать образования, которые расположены ниже. Ультразвуковая картина отечно-инфильтративной формы рака молочной железы очень схожа с диффузной формой мастита.
Диффузную или отечно-инфильтративную форму рака грудной железы еще называют маститоподобной. В таких случаях данные УЗИ могу быть схожими со смешанной формой мастита. При этом кожа железы умеренно утолщена, определяется большой участок поражения неправильной формы, чаще пониженной эхогенности, иногда кистоподобной.
При диффузной форме рака цветное и энергетическое допплеровское картирование выявляют сосудистые сигналы, расположенные хаотично во всех квадрантах пораженной грудной железы на фоне расширенных лимфатических сосудов.
Узловая форма рака грудной железы на УЗИ может обнаруживаться в виде единичных или множественных узлов. Размеры опухоли обусловлены темпами роста и временем их выявления. Имеется особенность ультразвуковых срезов двух морфологических вариантов узловой формы раков грудной железы — четко отграниченных опухолей с экспансивным характером роста и плохо отграниченных раков (скиррозного или звездчатого) с инфильтративным типом роста. При экспансивном (раздвигающем) типе роста опухоли имеют правильную округлую или овальную форму, хорошо очерченные или немного размытые контуры. Опухоль проникает в окружающие ткани, при этом происходит их сжатие и деформация, но не разрушение.
При ультразвуковых исследованиях при округлых и овальных формах контуры опухолей обычно бывают ровными во всех случаях. Границы опухолей при овальной форме чаще бывают четкими. В большинстве случаев, когда встречается округлая форма, а размеры опухоли не превышают 3 см, границы также бывают четкими. При увеличении размеров патологических образований четкость границ фиксируются неравномерно, так в некоторых срезах трудно визуализировать контуры либо из-за появления акустической тени, либо из-за отсутствия четкой дифференциации края опухоли.
При воздействии давлением датчиком на опухоль с экспансивным характером роста имеется минимальное изменение ее формы и симптом «соскальзывания» или смещение образования среди окружающих тканей, что не наблюдается при компрессии инфильтрирующих форм рака. При ультразвуковом исследовании ориентация длинной оси образования по отношению к ультразвуковому лучу. Наиболее часто обнаруживаемая ориентация опухоли при исследовании — неопределенная (60%), более редко встречается вертикальная ориентация (30%) и еще реже — горизонтальная (10%), которая определялась лишь при овальной форме злокачественного новообразования. На рентгеновской маммограмме узловая форма рака грудной железы определяется в виде образования неправильной формы, с нечетким контуром.
При изучении эхогенности опухолей выявлено, что наиболее часто наблюдается однородная структура. При проведении ультрасонографии необходимо помнить, что акустически гомогенная ткань патологического образования при раке молочной железы всегда бывает гипоэхогенной по сравнению с окружающей паренхимой. При этом тенденция к неоднородности внутри опухоли появляется по мере увеличения размеров образования. Так, для опухолей размером до 4 см более характерна однородная их структура, более 5 см — неоднородная.
Узловые формы хорошо отграниченных раков содержат медуллярный, муцинозный, папиллярный, ряд протоковых раков и саркомы. На ультразвуковом исследовании видно, как эти опухоли в процессе своего роста сдавливают окружающие ткани, но они практически не вызывают или вызывают минимальные фиброзные изменения окружающих тканей. На УЗИ молочной железы структура может быть различной и меняется от наличия участков некроза, фиброза, кальцинатов, опухолевых сосудов. С помощью эхографии трудно отличить эти хорошо отграниченные раки от доброкачественных солидных образований.
Медуллярный рак имеет высокую степень клеточной дифференцировки и является специфическим типом протокового рака. Он наблюдается во всех возрастных группах. В характерных случаях в опухоли имеются крупные клетки с атипичными ядрами, частыми митозами. Эти клетки лежат близко друг к другу без образования железистых структур и охвачены воспалительной инфильтрацией.

УЗИ молочной железы при медуллярном раке
Медуллярные раки имеют округлую или дольчатую форму кистозно-солидного строения, хорошо отделены от окружающих тканей, не имеют капсулы. По мере роста медуллярного рака формируются анэхогенные зоны некроза с участками организовавшихся и свежих кровоизлияний. Часто на УЗИ выявляется анэхогенный ободок, который по данным морфологической оценки отвечает за место активного опухолевого роста. Дистальное усиление связано с наличием большего количества солидного компонента опухоли с меньшим содержанием (менее 25%) соединительнотканных структур. При увеличении размеров опухоли кпереди от образования может появиться широкий ободок повышенной эхогенности. При больших размерах опухоль закрепляется к передней грудной стенке, может изъязвляться. Опухоль маленьких размеров клинически похожа на фиброаденому. Кроме того, надо помнить, что медуллярные раки при ультразвуковом исследовании молочных желез не часто обнаруживаются после менопаузы.
УЗИ диагностика. Синдром узлового образования молочной железы. Профессор В. А Изранов. Лекция для врачей

Рассмотрены принципы ультразвукового исследования молочных желез, мягких тканей лица и нижних конечностей до и после выполнения контурной пластики. Представлена нормальная ультразвуковая анатомия мягких тканей описанных анатомических локализаций, ультразвуковые характеристики различных видов имплантатов и филлеров. Подробно изложены оригинальные исследования по ультразвуковой диагностике осложнений после выполнения косметологических и пластических операций с применением В-режима, режимов ЦДК/ЭДК и компрессионной соноэластографии.

Основы ультразвуковой анатомии - Лукас М., Бернс Д.
Руководство предлагает краткие тексты, ультразвуковые изображения с соответствующими фотографиями трупов, цветные анатомические и технические иллюстрации, которые дадут читателям прочную основу в области методик проведения УЗИ и знания региональной ультразвуковой анатомии.

Ультразвуковое исследование с контрастированием в дифференцировке опухолей молочной железы - Сенча А. Н.
Систематизирует знания по основам комплексной первичной и дифференциальной диагностики опухолевой патологии молочных желез, принципам, технике и интерпретации данных мультипараметрического ультразвукового исследования, в том числе с применением эхоконтрастов.

Ультразвуковое исследование молочных желез. Атлас - Сенча А. Н.
Представлен широкий спектр диффузных изменений, воспалительных заболеваний, доброкачественных и злокачественных новообразований молочных желез у женщин и грудных желез у мужчин по результатам применения инновационных технологий ультразвуковой мультипараметрической визуализации, в том числе с применением дуплексного (триплексного) исследования, мультипараметрической визуализации, ультразвуковой эластографии и эхоконтрастных препаратов; дана оценка интеграции результатов ультразвуковых исследований с международной системой BI-RADS.

Классификация BI-RADS в ультразвуковой диагностике новообразований молочной железы - Фисенко Е. П.
Данное методическое пособие позволит врачам ультразвуковой диагностики освоить стандартизацию заключения УЗИ молочной железы с наличием новообразований различного генеза с помощью классификации BI-RADS. Задачей шкалы BI-RADS является отнесение выявленных при мультипараметрическом (комплексном) УЗИ, использующем стандартный В-режим и различные дополнительные ультразвуковые методики (ЦДК, эластография и др.),

Ультразвуковое исследование молочных желез. Шаг за шагом. От простого к сложному - Сенча А. Н.
В системе мультипараметрического исследования молочных желез отдельно рассмотрены возможности серошкальной эхографии, допплерографии, цветокодирующих режимов, различных способов ультразвуковой эластографии, эхоконтрастирования.

Ультразвуковое исследование в маммологии - Заболотская Н. В.
УЗИ анатомия молочных желез в различные возрастные периоды. УЗИ исследование неопухолевых изменений молочных желез. УЗИ исследование опухолевых поражений молочных желез. Ультразвуковое исследование в диагностике заболеваний молочных желез в детском и подростковом возрасте

Ультразвуковое исследование гелевых имплантатов молочной железы и мягких тканей - Фисенко Е. П.
Методика ультразвукового исследования пациентов до и после выполнения контурной и объемной гелевой пластики мягких тканей (лица, молочной железы и ног), нормальной эхографической картине различных видов трансплантатов. Диагностика осложнений гелевой пластики - как оболочечными, так и безоболочечными имплантатами - с использованием традиционного серошкального В-режима и ультразвуковой допплерографии.

Ультразвуковое исследование молочной железы в онкологии - Г. Т. Синюкова
Подробно описана методика осмотра молочной железы и зон регионарного метастазирования, ультразвуковая анатомия молочной железы, а также эхографическая семиотика различных доброкачественных заболеваний молочной железы с использованием допплерографии. Отдельные главы посвящены злокачественным новообразованиям молочной железы, метастазам в лимфатические узлы и изменениям ультразвуковой картины в ходе проведения наиболее используемого лечения - химиотерапии.

Применение международной классификации BI-RADS в маммологической практике. Руководство для врачей - Шумакова Т. А.
BI-RADS подробное описание категорий, присваиваемых в результате комплексного лучевого исследования, упростит внедрение классификации в рутинную практику специалистов, занимающихся оценкой состояния молочных желез

Секреты ультразвуковой диагностики - Догра В.
Допплеровское внутриутробное обследование плодов с задержкой развития. Доброкачественные и злокачественные поражения придатков матки. УЗИ органов брюшной полости. УЗИ в педиатрической практике. Ультразвуковое исследование сосудов

Лучевая диагностика в маммологии: руководство для врачей - Рожкова Н. И.
В руководстве представлены основные методы обследования молочных желез. Методы скрининга: КТ, УЗИ, МРТ, специальные методы рентгенологического исследования, лазерная томография.

Лучевая диагностика. Заболевания молочных желез - Фишер У.
Обзор важнейших заболеваний и патологических состояний, клинических проявлений с тактикой лечения и прогнозом. Изменения соска. Некровянистые выделения из соска. Кровянистые выделения из соска. Распределение микрокальцинатов. Мономорфные микрокальцинаты. Гиалинизированная фиброаденома. Рак молочной железы. Дольковый рак in situ. Медуллярный рак.

Ультразвуковое мультипараметрическое исследование молочных желез - Сенча А. Н.
В системе мультипараметрического исследования молочных желез отдельно рассмотрены возможности серошкальной эхографии, различных способов доплерографии, цветокодированных режимов, ультразвуковой эластографии, контрастирования сосудов органа. Показаны роль и значение инновационных технологий ультразвуковой маммографии в дифференциальной диагностике воспалительных заболеваний, доброкачественных и злокачественных новообразований, в том числе с применением контрастных препаратов последнего поколения.

Ультразвуковая диагностика опухолей мягких тканей - Труфанов Г. Е.
Улучшение лучевой диагностики опухолей и опухолевидных образований мягких тканей путем выполнения комплексного УЗИ. Детально описана УЗ-семиотика этих заболеваний при их визуализации в В-режиме. Показана диагностическая эффективность изучения степени кровоснабжения различных образований с помощью допплерографии. Разработаны дифференциально-диагностические критерии оценки результатов эластографии в определении наличия истинной опухоли и возможной ее злокачественности. Определена высокая диагностическая точность разработанного комплекса УЗ-методик (около 90%).
УЗИ диагностика. Рак молочной железы. Профессор Изранов В. А. Лекция для врачей
- I тип - гипоэхогенная опухоль с дорзальным звуковым усилением (кистоподобный тип)
- IV тип - различима исключительно передняя граница опухоли и выражена дорзальная тень (теневой тип)
- Эхосемиотика карцином молочных желез
- А. Опухоли с высоким содержанием фиброзного компонента (скиррозные, лобулярные, внутрипротоковые инфильтративные карциномы):
- Гипоэхогенные образования неправильной или округлой формы
- с неровными, зазубренными контурами
- неоднородными слабыми сигналами от внутренних структур
- Гипоэхогенное образование неправильной формы
- с неровными, зазубренными контурами
- неоднородными слабыми сигналами от внутренних структур
- Краевые эхосигналы спереди средней интенсивности, сзади слабые или отсутствуют
- дорзальная (латеральная) акустическая тень
- Наблюдается зона инфильтрации тканей железы в виде узкой каемки повышенной или пониженной эхогенности
- Деформация кожи
Клиническая и ультразвуковая анатомия молочных желез. Профессор В. А. Изранов. Лекция для врачей
![Анатомически молочная железа представляет собой сложный альвеолярно-трубчатый орган]()
![Ультразвуковое исследование в таблицах и схемах. На пружинах - Капустин С. В.]()
Ультразвуковое исследование в таблицах и схемах. На пружинах - Капустин С. В.
УЗИ измерения делать легко и быстро. Всегда под рукой. Помещается в карман. Долговечный. На прочных пружинах. Предназначено для специалистов ультразвуковой диагностики
![Ультразвуковая диагностика в акушерстве и гинекологии для начинающих - Н. А. Алтынник]()
Ультразвуковая диагностика в акушерстве и гинекологии для начинающих - Н. А. Алтынник
Рассмотрены все основные аспекты практического освоения материала для проведения ультразвуковых исследований в I, II и III триместрах беременности. Уделено внимание аспектам ультразвукового исследования при многоплодной беременности. Отдельная глава посвящена базовым вопросам проведения ультразвукового исследования в гинекологической практике.
![Основы объемной эхографии в акушерстве - М. В. Медведев]()
Основы объемной эхографии в акушерстве - М. В. Медведев
Подробно рассмотрены вопросы методики проведения объемной эхографии при исследовании различных органов и структур плода в зависимости от срока беременности. Особое внимание уделено применению объемной эхографии в оценке лицевых структур, головного мозга, скелета, конечностей и сердца плода
![Ультразвуковая диагностика в гинекологии: международные консенсусы и объемная эхография - М. В. Медведев]()
Ультразвуковая диагностика в гинекологии: международные консенсусы и объемная эхография - М. В. Медведев
Представлены современные положения ультразвуковой диагностики в гинекологии на основе консенсусов международных групп экспертов по морфологическому ультразвуковому анализу матки, глубокого эндометриоза, опухолей эндометрия и яичников.
Детально представлены вопросы ультразвуковой анатомии плода во II триместре беременности при нормальном развитии и различных врожденных пороках. Отдельная глава посвящена эхографическим маркерам хромосомных аномалий у плода.
![Скрининговое ультразвуковое исследование в 11-14 недель беременности]()
Скрининговое ультразвуковое исследование в 11-14 недель беременности
11-14 недель беременности. Подробно рассмотрены все аспекты протокола ультразвукового скринингового исследования в 11-14 недель беременности. Особое внимание уделено оценке ультразвуковой анатомии плода при нормальном развитии и различных врожденных пороках.
![Скрининговое ультразвуковое исследование в 30-34 недели беременности - М. В. Медведев]()
Скрининговое ультразвуковое исследование в 30-34 недели беременности - М. В. Медведев
Подробно рассмотрены все аспекты протокола ультразвукового скринингового исследования в III триместре беременности. Особое внимание уделено ультразвуковой фетометрии, оценке плаценты, околоплодных вод и пуповины. Детально представлены вопросы ультразвуковой анатомии плода в III триместре беременности при нормальном развитии и различных врожденных пороках с поздней манифестацией.
![Измерения в детской ультразвуковой диагностике: Справочник - Пыков М. И.]()
Измерения в детской ультразвуковой диагностике: Справочник - Пыков М. И.
Все методики исследования внутренних органов ребенка с большим иллюстративным материалом, таблицами, схемами. Для лучшего понимания материала приводятся примеры патологических изменений.
![Детская ультразвуковая диагностика: Учебник. Том 4. Гинекология - Пыков М. И.]()
Детская ультразвуковая диагностика: Учебник. Том 4. Гинекология - Пыков М. И.
Задержка полового развития. Нарушения менструального цикла. Аномалии развития матки и придатков. Аномалии развития яичников. Аномалии развития маточных труб. Патология эндометрия. Диффузная гиперплазия эндометрия. Опухоли внутренних половых органов. Генитальный эндометриоз.
![Детская ультразвуковая диагностика: Учебник. Том 3. Неврология. Сосуды головы и шеи - Пыков М. И.]()
Детская ультразвуковая диагностика: Учебник. Том 3. Неврология. Сосуды головы и шеи - Пыков М. И.
Грамотное ведение ребенка в раннем возрасте с использованием скрининговой нейросонографии. При неврологической патологии нейросонография используется как основной метод лучевой УЗИ диагностики.
![Детская ультразвуковая диагностика. Учебник. т.1. Гастроэнтерология - Пыков М. И.]()
Детская ультразвуковая диагностика. Учебник. т.1. Гастроэнтерология - Пыков М. И.
Подробно рассматриваются возможности эхографии, допплеровских технологий в оценке печени, желчного пузыря, желчных протоков, поджелудочной железы, желудка с брюшным сегментом пищевода, толстой кишки, а также при остром абдоминальном синдроме. Отдельный раздел 1-й главы посвящен трансплантации печени у детей, "нормальному" развитию трансплантата, возможным осложнениям.
![Ультразвуковая диагностика в неотложной неонатологии. III том. Руководство для врачей - Ольхова Е. Б.]()
Ультразвуковая диагностика в неотложной неонатологии. III том. Руководство для врачей - Ольхова Е. Б.
Подробно рассмотрены различные заболевания органов и тканей лица и шеи, грудной клетки, в том числе диафрагмальные грыжи и ателектазы легких у младенцев. Детально представлены возможности ультразвуковой диагностики при патологии органов брюшной полости, в особенности при уникальных, свойственных только периоду новорожденное™ патологических состояниях. Так, целый раздел посвящен портальным тромбозам, их вариантам, оценке и последствиям, изложены различные варианты кишечной непроходимости и особенности их эхографической диагностики, в частности при синдроме Ледда.
![Детская ультразвуковая диагностика. Учебник. т.2. Уронефрология - Пыков М. И.]()
Детская ультразвуковая диагностика. Учебник. т.2. Уронефрология - Пыков М. И.
Книга посвящена одному из самых сложных разделов педиатрии и детской хирургии - диагностике патологии мочевыделительной системы у детей. Подробно рассматриваются все существующие методики ультразвукового исследования мочевыделительной системы у детей.
![Ультразвуковое исследование сосудов - Цвибель В. Пеллерито Дж.]()
Ультразвуковое исследование сосудов - Цвибель В. Пеллерито Дж.
Все аспекты применения допплеровских ультразвуковых исследований, такие как ультразвуковое исследование сосудов головного мозга, артерий и вен верхних и нижних конечностей, сосудов брюшной полости и малого таза у мужчин и женщин.
![Ультразвуковая диагностика в неотложной неонатологии т. 2 - Ольхова Е. Б.]()
Ультразвуковая диагностика в неотложной неонатологии т. 2 - Ольхова Е. Б.
Подробно рассмотрены различные заболевания органов и тканей лица и шеи, грудной клетки, в том числе диафрагмальные грыжи и ателектазы легких у младенцев.
![Ультразвуковая диагностика в неотложной неонатологии. Том 1 - Ольхова Е. Б.]()
Ультразвуковая диагностика в неотложной неонатологии. Том 1 - Ольхова Е. Б.
Патология органов лица и шеи. Нейросонография. 1200 эхограмм, множество клинических примеров и образцы протоколирования ультразвуковых исследований. представлены возможности нейросонографии: ишемические и геморрагические поражения центральной нервной системы различной локализации и степени тяжести, инфекционновоспалительные заболевания головного мозга, аномалии развития.
![Основы ультразвукового исследования сосудов - В. П. Куликов]()
Основы ультразвукового исследования сосудов - В. П. Куликов
Важнейшие сведения о технике исследования, ультразвуковых критериях нормы и патологии кровеносных сосудов, основанные на международных согласительных документах и практическом опыте
![Ультразвуковая диагностика патологии опорно-двигательного аппарата - Ермак Е. М.]()
Ультразвуковая диагностика патологии опорно-двигательного аппарата - Ермак Е. М.
В книге рассмотрены. Костная ткань. Синовиальная среда суставов. Волокнистая хрящевая ткань. Сухожилия, связки, фиброзная мембрана суставной капсулы. Общие подходы к ультразвуковому исследованию суставов
![Ультразвуковая диагностика костно-мышечной системы. Практическое руководство - Юджин МакНелли]()
Ультразвуковая диагностика костно-мышечной системы. Практическое руководство - Юджин МакНелли
Поражения плечевого сустава, подробно изложены семиотика повреждения. Повреждения связочного аппарата коленного сустава, менисков, нетравматических поражений коленного сустава. Методики исследований врожденной дисплазии бедра, туннельные синдромы, ультразвуковая диагностика ревматологических заболеваний, диагностика опухолевых и псевдоопухолевых заболеваний мягких тканей, а также инвазивные вмешательства под ультразвуковым контролем
![УЗИ. Эхокардиография в таблицах и схемах - М. К. Рыбакова]()
УЗИ. Эхокардиография в таблицах и схемах - М. К. Рыбакова
Подробно описаны нормальная анатомия и физиология сердца, патология клапанного аппарата, мокарда, перикарда, плевральных полостей, аорты, протезированных клапанов сердца, приведены стандартные позиции эхокариографического исследования и расчеты.
![УЗИ учебник. Эхокардиография от Рыбаковой - М. К. Рыбакова, В. В. Митьков]()
УЗИ учебник. Эхокардиография от Рыбаковой - М. К. Рыбакова, В. В. Митьков
Алгоритмы тактики проведения исследования и диагностики по всем разделам эхоКГ. Большое внимание уделено - оценке легочной гипертензии, клапанных пороков сердца, ишемической болезни сердца и ее осложнений. Большое количество схем и рисунков
![Учебник ультразвуковых исследований костно-мышечной системы - Болвиг Л.]()
Учебник ультразвуковых исследований костно-мышечной системы - Болвиг Л.
Представлен широкий спектр патологии, включающий патологию и травмы мышц, связок, сухожилий, костной системы, основных тунельных компартмент синдромов ( сдавления нервных стволов в фиброзно-костных каналах). Разбираются опухолевые заболевания мягких тканей
![Практическое руководство по ультразвуковой диагностике. Общая ультразвуковая диагностика - В. В. Митьков]()
Практическое руководство по ультразвуковой диагностике. Общая ультразвуковая диагностика - В. В. Митьков
В УЗИ книге представлены разделы, посвященные ультразвуковым диагностическим системам, физическим принципам ультразвуковой диагностики, ультразвуковой диагностике заболеваний печени, желчевыводящей системы, поджелудочной железы, пищевода, желудка, кишечника, селезенки, почек, мочевого пузыря, предстательной железы и семенных пузырьков, надпочечников, органов мошонки, лимфатической системы, молочных, щитовидной, околощитовидных и слюнных желез, органов грудной клетки.
![Эхография в гинекологии - Озерская И. А.]()
Эхография в гинекологии - Озерская И. А.
Каждая глава состоит из небольшого этио-патогенетического раздела, подробно освещены вопросы эхографической диагностики, включая данные цветового картирования, допплерометрии, новых, недостаточно распространённых методик и дифференциально-диагностические критерии. Каждая глава иллюстрирована большим количеством эхограмм
![Пренатальная эхография: дифференциальный диагноз и прогноз - М. В. Медведев]()
Пренатальная эхография: дифференциальный диагноз и прогноз - М. В. Медведев
Подробно рассмотрены определение, частота, классификация, риск хромосомных и сочетанных аномалий, риск нехромосомных синдромов и эхографические критерии при наиболее часто встречающихся врожденных пороках.
![Атлас ультразвуковой диагностики - Аллахвердов Ю. А.]()
Атлас ультразвуковой диагностики - Аллахвердов Ю. А.
Атлас иллюстрирован 978 эхограммами, сопровождающимися поясняющими графическими рисунками и текстами описания ультразвуковых признаков нормы и патологии, включающими также варианты краткого описания эхограмм. Описание ультразвукового исследования заболеваний каждого отдельного органа предваряется кратким изложением его нормальной эхографической анатомии.
Отзывы
Отзыв
Очень нужная книга в библиотеке специалиста ультразвуковой диагностики. Сканограммы хорошего качества, охвачены большинство встречающихся патологий. Рекомендую
Акустические феномены молочной железы. Внутренняя эхоструктура молочной железы
![]()
Современные методы лечения
УЗИ молочных желез: толкование результатов, нормы и возможные изменения
УЗИ молочных желез (узи груди) - это один из инструментальных методов исследования структуры молочной железы, который позволяет врачу выявить наличие некоторых заболеваний, сопровождающихся появлением уплотнений и других образований в ткани молочных желез. УЗИ молочных желез это совершенно безопасный и безболезненный методы диагностики.
Для каких целей проводится УЗИ молочных желез?
УЗИ молочных желез является безболезненным, безопасным и доступным и методом исследования структурных изменений тканей молочной железы. При самопальпации (самостоятельное ощупывание молочных желез с целью выявления уплотнений) и пальпации врачом-маммологом в глубине тканей молочной железы могут быть выявлены образования, которые подлежат дальнейшему изучению (например, с помощью УЗИ).
Кроме того, с помощью УЗИ молочных желез могут быть выявлены очень мелкие образования (узелки или кисты), которые не удается прощупать через кожу. Особое внимание при УЗИ молочных желез уделяется также регионарным (местным) лимфатическим узлам, изменения в которых появляются при раке молочной железы.
Каковы условия проведения УЗИ молочных желез?
УЗИ молочных желез - это простой метод диагностики, не требующий специальной подготовки перед процедурой.
В какой день менструального цикла проводят УЗИ молочных желез?
Кому рекомендуется пройти УЗИ молочных желез?
УЗИ молочных желез рекомендуется проходить профилактически (даже при отсутствии каких-либо изменений в молочных железах) всем женщинам старше 35 лет минимум один раз в 2 года, а женщинам после 50 лет 2 раза в год. Кроме того, УЗИ молочных желез может быть назначено врачом-маммологом с целью уточнения характера изменений молочной железы при некоторых заболеваниях (например, мастопатия, фиброаденома молочной железы и др.), травмах, а также для оценки эффективности лечения некоторых заболеваний молочной железы.
Какие заболевания могут быть выявлены с помощью УЗИ молочных желез?
УЗИ молочных желез позволяет врачу выявить наличие в молочной железе очагов, характер, форма и плотность которых позволяют предположить диагноз и при необходимости назначить дополнительные методы исследования (маммография - рентгенография молочной железы, пункция молочной железы и др.) Итак, с помощью УЗИ молочных желез могут быть выявлены следующие заболевания:
Мастопатия
Мастопатия представляет собой доброкачественное заболевание молочной железы, которое развивается на фоне гормональных расстройств имеющих место в организме жещины. Основными симптомами мастопатии являются: боли в грудях, усиливающиеся перед началом менструации, скудные прозрачные выделения из сосков, а также определение уплотнений в молочных железах при ощупывании.
Диффузная форма мастопатии проявляется на УЗИ молочной железы в виде многочисленных мелких уплотнений, более или менее равномерно расположенных по всей молочной железе. При диффузной мастопатии с преобладанием кистозного компонента в ткани молочной железы определяется множество мелких кист (полостей с жидкостью). При диффузной мастопатии с преобладанием фиброзного компонента в ткани молочной железы определяются множественные мелкие очаги уплотнения, соответствующие разрастанию соединительной (фиброзной) ткани. Узловые формы мастопатии (фиброаденомы) представляют собой ограниченный участок уплотнения в молочной железе. Как правило, фиброаденома развивается на фоне предшествовавшей диффузной мастопатии. Наличие нескольких фиброаденом в ткани молочной железы носит название фиброаденоматоз.
Мастит
Мастит - это воспалительное заболевание одной или обеих молочных желез, которое, как правило, развивается у кормящих матерей на фоне лактостаза (застоя молока). Основными симптомами мастита являются: выраженные боли в молочной железе, покраснение, припухлость кожи над очагом воспаления, повышение температуры тела.
При мастите УЗИ молочной железы определяет наличие воспалительного отека (повышенное содержание жидкости в молочной железе).
Абсцесс молочной железы
Абсцесс молочной железы, как правило, является следствием не леченого мастита и представляет собой ограниченное скопление гноя в ткани молочной железы. Чаще всего абсцесс молочной железы является следствием перенесенного мастита. Симптомы абсцесса молочной железы те же, что при мастите.
УЗИ при абсцессе молочной железы выявляет наличие ограниченного (обычно, округлого) образования, заполненного жидкостью (гноем). Вокруг абсцесса имеется воспалительный отек.
Киста молочной железы
Киста молочной железы представляет собой полость заполненную жидкостью, которая располагается посреди здоровой ткани. Как правило, киста молочной железы развивается при нарушениях гормонального фона и образуется из расширенного протока молочной железы. Симптомы кисты молочной железы долгое время отсутствуют и появляются только тогда, когда киста достигла больших размеров: чувство тянущей боли, жжения, распирания в молочной железе. На УЗИ киста молочной железы выглядит в виде округлого образования, заполненного жидкостью. Как правило, для подтверждения диагноза требуется произвести пункцию кисты молочной железы (забор содержимого кисты для анализа).
Злокачественная опухоль (рак) молочной железы
Основными симптомами рака молочной железы являются: наличие уплотнения в ткани молочной железы при ощупывании, изменение внешних контуров молочной железы (асимметрия по сравнению со здоровой молочной железой).
Злокачественное новообразование (рак) молочной железы на УЗИ проявляется в виде уплотнения, которое не имеет четких границ и прорастает в соседние области (инфильтративный рост). Размеры злокачественного новообразования, его расположение, наличие изменений в регионарных (местных) лимфатических узлах имеют большое значение в определении стадии заболевания. Как правило, при обнаружении на УЗИ молочных желез признаков, характерных для опухоли, требуется подтверждение диагноза с помощью дополнительных методов исследования (пункция, или биопсия молочной железы).
Читайте также:



























