Примеры ретинобластомы в сочетании с хромосомными аномалиями
Добавил пользователь Владимир З. Обновлено: 22.01.2026
Ретинобластома - злокачественное внутриглазное новообразование, развивающееся из нейроэктодермы сетчатки и встречающееся преимущественно у детей раннего возраста. Для клиники ретинобластомы характерна потеря центрального и бинокулярного зрения, боль, лейкокория, развитие косоглазия, экзофтальма, вторичного воспаления и глаукомы. Обследование при подозрении на ретинобластому включает исследование зрения, измерение внутриглазного давления, осмотр глазного дна, проведение УЗИ глаза, рентгенографии орбиты и придаточных пазух носа, КТ головного мозга, люмбальной пункции. Пациентам с ретинобластомой выполняется фотокоагуляция, криотерапия опухоли; при невозможности сохранения органа зрения - энуклеация пораженного глаза с последующим глазопротезированием.

Общие сведения
Ретинобластома - злокачественное новообразование детского возраста, поражающее сетчатку, сосудистую оболочку глаза, орбиту и часто дающее отдаленные метастазы. На долю ретинобластомы приходится 2,5-4,5% случаев всех злокачественных новообразований у детей до 15 лет. В большинстве случаев ретинобластома развивается в возрасте до 5 лет, пик заболеваемости приходится на 2-3 года. В офтальмологии опухоль с одинаковой частотой встречается у девочек и мальчиков.

Причины ретинобластомы
В 50-60% случаев ретинобластомы имеют генетическое (врожденное) происхождение. Более половины детей с ретинобластомой рождается от родителей, имевших в детстве аналогичное заболевание. Врожденная ретинобластома обычно выявляется у детей в возрасте до 30 месяцев. В этом случае ретинобластома, как правило, сочетается с другими врожденными аномалиями - пороками сердца, расщелинами неба («волчьей пастью»), кортикальным детским гиперостозом и др. У больных с генетической формой ретинобластомы имеется повышенный риск развития злокачественных новообразований другой локализации.
Спорадические случаи ретинобластомы встречаются реже и возникают по неизвестным причинам. К числу факторов риска негенетической формы ретинобластомы принято относить высокий возраст родителей, их занятость на металлургических производствах, неблагоприятные экологические и алиментарные факторы, вызывающие аберрации в хромосомах ретинальных и половых клеток. Данная форма опухоли проявляется у детей более старшего возраста и крайне редко - у взрослых.
Современные воззрения на гистогенез ретинобластомы позволяют ее отнести к опухолям нейроэктодермального происхождения. Ретинобластома может исходить из клеток любого ядерного (зернистого) слоя сетчатки. При микроскопическом исследовании определяются отсутствие стромы, очаги некроза и кальцификаты, разная степень дифференцировки опухолевых клеток.
Для ретинобластомы характерен быстрый рост, метастазирование по зрительному нерву в головной мозг, а также гематогенное распространение в костный мозг и трубчатые кости.
Классификация ретинобластомы
По происхождению ретинобластомы делятся на наследственные и спорадические. Наследственные ретинобластомы обычно поражают одновременно оба глаза. Спорадические ретинобластомы, как правило, поражают один глаз и развиваются локально, с образованием единичного (унилатерального) опухолевого узла.
По степени дифференцировки опухолевых клеток различают дифференцированную форму опухоли - ретиноцитому и недифференцированную форму - ретинобластому, которая встречается чаще и является более злокачественной.
Ретинобластома может иметь эндофитный тип роста в направлении центра глазного яблока: при этом происходит разрушение слоев сетчатки и стекловидного тела. При другом варианте роста - экзофитном, ретинобластома инфильтрирует сетчатку, распространяясь в субретинальное пространство. Экзофитные опухоли могут вызывать отслойку сетчатки и скопление транссудата в субретинальном пространстве. В редких случаях (1-2%) встречается инфильтративная форма ретинобластомы, которая ведет к диффузному истончению сетчатки, накоплению экссудата в передних отделах глаза, развитию передних спаек и псевдогипопиона.
Согласно клинической классификации ретинобластомы по системе TNM, выделяют степени развития первичной опухоли:
- Т1 - ретинобластома занимает до 25% глазного дна
- Т2 - ретинобластома распространяется на площадь более 25%, но менее 50% поверхности сетчатки
- ТЗ - ретинобластома распространяется более чем на половину сетчатки или выходит за ее пределы, но сохраняет интраокулярное расположение
- Т4 - ретинобластома выходит за пределы орбиты.
- N1 - имеются метастазы в регионарных (околоушных, подчелюстных, шейных) лимфоузлах.
- Ml - определяются отдаленные метастазы ретинобластомы в головном мозге, костном мозге, костях, печени и др. органах.
Симптомы ретинобластомы
В клиническом течении ретинобластомы различают четыре последовательные стадии.
I - стадия покоя. В этом периоде субъективные симптомы отсутствуют. При осмотре пораженного глаза выявляется лейкокория (симптом «кошачьего глаза») - белый зрачковый рефлекс, обусловленный просвечиванием опухолевой массы через зрачок. К ранним признакам ретинобластомы относят потерю центрального и бинокулярного зрения, вследствие чего может развиваться косоглазие.
II - стадия глаукомы. Сопровождается воспалительными явлениями в глазу - гиперемией, светобоязнью, слезотечением, развитием иридоциклита и увеита. На фоне опухолевой инвазии отмечается локальный болевой синдром. Разрушение ретинобластомой трабекулярного аппарата приводит к затруднению оттока ВГЖ, увеличению внутриглазного давления и возникновению вторичной глаукомы.
III - стадия прорастания. Характеризуется развитием экзофтальма различной степени выраженности, инвазией мягких тканей орбиты и разрушением ее стенок, прорастанием ретинобластомы в придаточные пазухи и субарахноидальное пространство.
IV - стадия метастазирования. Протекает с выявлением отдаленных диссеминированных очагов в костном мозге, печени, трубчатых костях, головном мозге, костях черепа. Распространение ретинобластомы происходит по мягкой мозговой оболочке, зрительному нерву, лимфогенным и гематогенным путем. На этой стадии страдает общее состояние пациента: развивается интоксикация, слабость, мозговые симптомы (тошнота, рвота, головная боль).
Диагностика ретинобластомы
Дети с семейным анамнезом ретинобластомы должны находиться под постоянным наблюдением офтальмолога. На развитие ретинобластомы обычно указывает триада симптомов: лейкокория, косоглазие, расширение зрачка с ослаблением его реакции на свет. При появлении данных признаков проводится тщательное офтальмологическое обследование ребенка, включающее биомикроскопию, прямую и обратную офтальмоскопию, визометрию, тонометрию, гониоскопию, исследование бинокулярного зрения, экзофтальмометрию, измерение угла косоглазия. При помутнении оптических сред важная роль в выявлении ретинобластомы принадлежит УЗИ глаза.
Интраокулярная биопсия может привести к диссеминации злокачественных клеток внутри глаза, поэтому к ее проведению прибегают только при наличии абсолютных показаний. Для оценки распространенности ретинобластомы используются рентгенография орбиты, рентгенография околоносовых пазух, КТ и МРТ головного мозга, сцинтиграфия печени, остеосцинтиграфия. Для оценки возможного отдаленного метастазирования прибегают к выполнению люмбальной пункции с исследованием цереброспинальной жидкости; пункции костного мозга и исследованию миелограммы.
В процессе диагностики ретинобластому следует дифференцировать от рубцовой ретинопатии, дисплазии сетчатки, гамартом, мягкотканных сарком, метастазов нейробластомы, поражений орбиты при лимфоме и лейкемии.
Дети с ретинобластомой должны быть проконсультированы неврологом и отоларингологом.
Лечение ретинобластомы
Лечение ретинобластомы проводится с учетом стадии опухолевого поражения. При этом может использоваться хирургическое вмешательство, лучевая и лекарственная химиотерапия, лазеркоагуляция, криотерапия, термотерапия. Правильное сочетание этих методов во многих случаях позволяет сохранить глаз и зрение. В случает двусторонней ретинобластомы, в отношении каждого глаза определяется дифференцированная тактика в зависимости от степени его поражения опухолью.
В настоящее время офтальмохирурги и офтальмоонкологи стремятся придерживаться максимально консервативного ведения ретинобластомы. При поражениях переднего участка сетчатки и диаметре опухоли до 7 мм прибегают к криодеструкции ретинобластомы; при поражении задних отделов и размерах опухоли до 4 мм показана фотокоагуляция. Возможно проведение термотерапии - комплексного воздействия на опухоль с помощью микроволновой терапии, ультразвукового и инфракрасного излучения.
При массивном внутриглазном поражении, развитии глаукомы, утрате и невозможности восстановления зрения прибегают к энуклеации глаза с последующим глазопротезированием. При экстраокулярном распространении ретинобластомы показана экзентерация глазницы.
Ретинобластома чрезвычайно чувствительна к лучевому лечению. Лучевая терапия при ретинобластоме позволяет добиться хороших результатов в сочетании с органосохраняющими и хирургическими методами лечения. При этом возможно как наружное дистанционное, так и контактное облучение с помощью аппликаций радиоактивных веществ. Осложнением лучевой терапии может являться развитие постлучевой катаракты, лучевого кератита, ксероза.
Химиотерапия в лечении ретинобластомы используется при массивном внутриглазном поражении, опухолевой инвазии зрительного нерва, региональных метастазах. Наиболее эффективным признано сочетание нескольких цитостатиков (винкристина, этопозида, карбоплатина).
Прогноз и профилактика ретинобластомы
При своевременной диагностике и выявлении ретинобластомы на ранней стадии возможно стойкое излечение пациента с помощью органосохраняющих методов - фотокоагуляции, криотерапии, лучевой терапии. При энуклеации глаза также наблюдается высокая выживаемость, однако данная операция сопровождается потерей глаза как органа зрения и образованием косметического дефекта. Факторами неблагоприятного прогноза ретинобластомы служат прорастание опухоли в зрительный нерв, инвазия хориоидальной оболочки, экстрасклеральное распространение опухоли, двустороннее поражение.
Для профилактики ретинобластомы необходимо медико-генетическое консультирование семей с наследственными случаями рака сетчатки, обследование детей раннего возраста из групп риска.
Ретинобластома: клиника, диагностика и лечение
Ретинобластома - эмбриональная детская опухоль сетчатки глаза. Среди всех детских злокачественных новообразований, поражающих глазное яблоко, ретинобластома имеет наибольшее распространение.
На протяжении последнего десятилетия частота выявления данной патологии увеличивается. В настоящее время встречаемость ретинобластомы составляет 1 случай на 10-20 тысяч живых новорожденных.
Шестьдесят процентов выявленных опухолей являются ненаследственными (спорадическими); остальные 40% составляют наследственно-обусловленные формы.

Около 90% случаев ретинобластомы диагностируются до 3 лет. Пик заболевания - 2 года. Заболевание одинаково часто выявляется среди мальчиков и девочек.
Билатеральное (двухстороннее) поражение встречается у четверти больных наследственно-обусловленной формой. У 25% больных с наследственной формой заболевания встречается двухсторонняя (мед. - «билатеральная») локализация.
Причины. Роль наследственности в заболеваемости ретинобластомой.
Ген этого заболевания называется «ген Rb». Это один из первых открытых и более всего изученных генов, отвечающих за развитие онкологических заболеваний. Его характеристики:
- располагается в срединном отделе длинного плеча хромосомы 13q14.1;
- состоит из 27 экзонов;
- занимает 180000 пар нуклеотидов геномной ДНК;
- в норме экспрессируется в клетках всего организма.
Большая часть наследственных и спорадических фактов заболевания обуславливаются делецией в срединном участке длинного плеча хромосомы 13.
В 1971 году Knudson выдвинул гипотезу, согласно которой есть единый механизм формирования ретинобластомы - как наследственной, так и нет, - связанный с инактивацией или утратой двух аллелей гена Rb.
Когда происходит герминальная мутация, все ретинобласты гетерозиготного носителя уже обладают инактивированным аллелем Rb. Чтобы сформировалась ретинобластома, будет достаточно лишь одной телесной мутации, которая затронет оставшуюся копию гена. Переход Rb из гетерозиготного состояния в гомозиготное и является причиной инактивации двух аллелей Rb. Этим и инициируется злокачественное перерождение клетки.
Ненаследственная форма чаще всего проявляется односторонним новообразованием. Ее обнаруживают в 60% случаев. Возникает такая патология в первые 3 года жизни. Данная форма объясняется мутацией в двух аллелях RB1 гена, однако лишь в клетках сетчатки.
Двустороннее поражение может объясняться тем, что в половых клетках родителей присутствует непроявившаяся мутация. Ее они передали ребенку, и возникла болезнь. Также объяснить возникновение такой ретинобластомы можно мутацией de novo, происходящей на ранних стадиях развития эмбриона.
То есть, билатеральные формы патологии при спорадическом типе следует относить к врожденным формам.
Особенности клиники наследственных форм - это:
- ранний возраст заболевающих;
- многофокусность;
- двухстороннее расположение;
- мультицентрический рост новообразования с преобладанием смешанных и экзофитных форм;
- наличие у кого-то в семье такой же опухоли;
- молекулярные и хромосомные аномалии Rb гена.
Если в поколениях не было такого заболевания, характер опухоли односторонний и однофокусный, то можно предполагать, что мутация возникла в родословной впервые.
- сниженная острота зрения;
- лейкокория (вы можете увидеть на рис. 1 этот симптом, называемый также «кошачий глаз»), то есть свечение зрачка бело-желтым цветом, когда от поверхности опухоли отражается свет, это нередко заметно на фотографиях;
- косоглазие;
- ослабление прямой реакции зрачка на свет;
- расширение зрачка.

Рис. 1. Симптом «кошачьего глаза»
По мере того, как новообразование растет и распространяется, формируются: вторичная (на фоне основного заболевания) глаукома, буфтальм (у маленьких детей - увеличение глазного яблока), воспалительные изменения (иридоциклит, увеит). Когда возникает отек орбитальной клетчатки, есть вероятность выпячивания глаза (экзофтальма).
АВС (Амстердам)
В Амстердаме в 2001-м году предложили международную классификацию интраокулярной (внутриглазной) ретинобластомы. Главная цель этой классификации - определить четкие показания к тому, чтобы проводить органосохраняющую терапию. Если поражение двухстороннее, то классификация применяется отдельно к каждому глазу.
Клинические группы, в соответствии с классификацией:
- А - интраретинальные новообразования до 3 мм в размере, располагающиеся в 1,5 мм от диска зрительного нерва и более 3 мм от центральной ямки.
- В - остальные опухоли, располагающиеся отдельно, ограниченные сетчаткой с вероятным наличие субретинальной жидкости в не более чем 3 мм от основы опухоли, не сопровождающееся субретинальным обсеменением (рис. 2).
- С - раздельные опухоли с местным обсеменением стекловидного тела над новообразованием и субретинальным обсеменением в не более чем 3 мм от образования с вероятностью наличия жидкости в субретинальном пространстве в 3-6 мм от основания опухоли.
- D - рассеянные опухоли с крупными опухолевыми массами, разнокалиберными отсевами в стекловидном теле и/или субретинальном пространстве в более чем 3 мм от новообразования с субретинальной жидкостью более 6 мм от образования, включая полную отслойку сетчатки (рис. 3 и 4).
- Е - определяется одним из перечисленных ниже факторов неблагоприятного прогноза:
- новообразование прилегает к хрусталику;
- неоваскулярная глаукома;
- высыхание, утрата функции глаза (фтизис);
- кровоизлияние, ввиду которого утрачена прозрачность стекловидного тела;
- опухоль, располагающаяся кпереди от передней поверхности стекловидного тела и также захватывающая цилиарное тело и переднюю часть глаза;
- некротизированная опухоль с асептическим целлюлитом орбиты;
- ретинобластома в диффузной инфильтративной форме.
![]()
Применяются следующие клинические методы:
- сбор анамнеза;
- оценка жалоб ребенка;
- физикальный осмотр;
- инструментальные обследования.
Особое внимание врач обращает на наличие наследственного фактора.
Проводится окулистом с медикаментозным расширением зрачка. Врач осматривает глаз с боковым освещением, делает биомикроскопию, офтальмоскопию, тонометрию. Если обследуется совсем маленький ребенок, то применяется наркотический сон.
Является обязательным исследованием, в соответствии со стандартом обследования при таком заболевании. Одной из самых информативных методик признана УЗ-биолокация. Благодаря ей, выявляются плюс-ткани, и это позволяет отличить ретинобластому от отслойки сетчатки, эндофтальмита, фиброза стекловидного тела, ретролентальной фиброплазии.
Чтобы определить величину затухания УЗ в опухоли используют квантитативную эхографию. Для получения информации о динамике злокачественного процесса важное значение имеет УЗ-эхобиометрия. С ее помощью определяют степень проминенции (т. е. то, насколько оно выступающее) новообразования.
МРТ головного мозга и орбит
Магнитно-резонансная томография дает возможность в деталях увидеть распространение процесса за пределы глазного яблока и точно определить стадию болезни. Такое исследование нужно проводить всем пациентам, у которых ретинобластома диагностирована впервые. Контраст при МРТ повышает информативность.
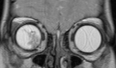
![Визуализация ретинобластомы с помощью МРТ. Клиническая группа В]()
Рис. 2. Визуализация ретинобластомы с помощью МРТ. Клиническая группа В
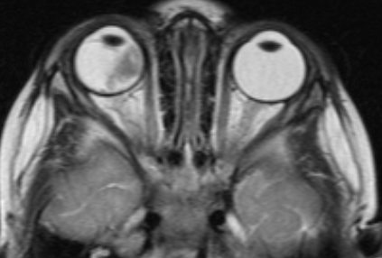
![Визуализация ретинобластомы с помощью МРТ. Размеры образования соответствуют клинической группе D]()
Рис. 3. Визуализация ретинобластомы с помощью МРТ. Размеры образования соответствуют клинической группе D
![Визуализация ретинобластомы с помощью МРТ. Фронтальное изображение орбит. Клиническая группа D]()
Рис. 4. Визуализация ретинобластомы с помощью МРТ. Фронтальное изображение орбит. Клиническая группа D
Исследование спинномозговой жидкости, костного мозга
Проводится больным, у которых процесс достаточно сильно распространен, чтобы уточнить, есть ли дистантные (удаленные от очага) метастазы.
Цитология цереброспинальной жидкости при прорастании новообразований в субарахноидальное пространство позволяет обнаружить клетки опухоли.
Методы лечения
Сегодня самое пристальное внимание уделяется органосохраняющим методикам. Кроме местной и системной химиотерапии, лучевой терапии, если есть показания, применяются:- фотокоагуляция (удаление новообразования путем воздействия на него мощным световым потоком);
- криодеструкция (разрушение опухоли холодом);
- лазерная деструкция (удаление опухоли лазером).
Принципы органосохраняющей терапии при лечении ретинобластомы
- Больным из группы А проводят только местное лечение (лазерную коагуляцию, криодеструкцию, диатермокоагуляцию).
- Больным из группы В показано 6 курсов двухкомпонентной ПХТ (полихимиотерапии), а также дополнительно - одна из методик местного лечения (лазерная деструкция, криодеструкция, брахитерапия).
- Тем, кто относится к группам С и D, назначаются 6 курсов ПХТ, состоящей из трех компонентов. Лечение дополняют местной химиотерапией и, если существует необходимость, физическими способами деструкции опухоли.
Пациентам из группы Е показана энуклеация (то есть удаление глазного яблока, предполагающее также пересечение наружных глазных мышц и зрительного нерва). В течение 5-7 дней после хирургического вмешательства выполняют глазное протезирование. Подбор постоянного протеза осуществляется в течение 1,5 месяцев после операции.
Энуклеация глаза имеет четкие показания:
- пациент должен относиться к группе Е по амстердамской классификации АВС;
- двусторонняя форма заболевания, необратимая утрата функции одного глаза;
- отсутствие возможности после консервативного лечения оценить степень поражения глаза ввиду катаракты или кровоизлияния в стекловидное тело;
- если поражение обоих глаз зашло слишком далеко и нет шанса восстановить зрение, проводится двусторонняя энуклеация (удаляются оба глаза).
Хирургическое лечение сочетается с ПХТ, облучением, лазерной деструкцией и др.
ПХТ (консервативная терапия) после энуклеации
Показана в следующих случаях:
- прорастание опухоли в зрительный нерв и экстрабульбарное распространение;
- большие или множественные узлы новообразования, локализация опухоли в перипапиллярной зоне, интраокулярная диссеминация (распространение) процесса в радужку, стекловидное тело и др., вовлечение в злокачественный процесс хориоидеи и зрительного нерва.
Если имеет место ретроламинарное распространение образования, то ПХТ дополняется лучевым лечением.
Если опухоль прорастает до линии резекции зрительного нерва и/или имеет место экстрасклеральное распространение, то таких пациентов относят к группе высокого риска. Им показана дистанционная лучевая терапия в сочетании с ПХТ, а затем - высокодозная ПХТ с последующей аутотрансплантацией (пересадкой собственных) периферических стволовых клеток крови.Предлагаем ознакомиться с несколькими наиболее часто применяемыми схемами ПХТ, которые показаны при данном заболевании:
- «Циклофосфан» в дозировке 400 мг/м2 в день. Если вес ребенка - менее 12 кг, то дозировка рассчитывается как 13 мг на кг веса в сутки. Дни 1-5, внутривенно, капельно.«Карбоплатин» в дозировке 500 мг/м2. Если вес ребенка - до 12 кг, то рассчитывается как 12 мг на кг веса в сутки. 5-й день, внутривенно, капельно.
Локальная (местная) химиотерапия
Данная химиотерапия показана пациентам из групп С и D в сочетании с системной ПХТ. Методика заключается в том, что с помощью супертонкого катетера через внутреннюю сонную и бедренную артерию прямо в устье глазной артерии вводится цитостатический препарат под названием «Мелфалан». Перед этим проводится каротидная ангиография внутренней сонной артерии, чтобы визуализировать строение сосудов.
Химиотерапия «Мелфаланом» (селективная внутриартериальная) проводится через 3-4 недели после 1-го курса системной химиотерапии. Дозировка составляет 5-7,5 мг/м2:
- дозировка 5 мг/м2 показана, когда одновременно лечатся оба глаза;
- если поражен только один, то нужно вводить 7,5 мг/м2.
В стекловидное тело (мед. - «интравитреально») вводится 16 мкг «Мелфалана» (это 0,05 мл). Эта концентрация эффективна по отношению к опухолевым отсевам и безопасна.
Физические методы лечения
К ним относятся:
- лазерная деструкция;
- фотокоагуляция;
- криодеструкция;
- транссклеральная диатермокоагуляция.
Рассмотрим данные методики подробно.
Выполняется на аргоне, может применяться для терапии заболевания в 1-й стадии и при небольших опухолевых узлах. При двусторонних ретинобластомах для терапии оставшегося глаза данную методику применяют в комплексе с другими. Наиболее часто ее сочетают с облучением, химиотерапией. Обычно - на последних этапах лечения.
Преимущество такой технологии - выраженная реакция тканей, находящихся вблизи очага поражения. Это позволяет проводить лазерную деструкцию, когда опухоли располагаются рядом со зрительным нервом.
Сочетается с другими методиками (ПХТ, лучевым лечением и др.) на последних этапах терапии. Рекомендуется применять данный метод при 1-й стадии болезни и небольших опухолях: выстояние узла - до 8 мм, поражение глазного дна - до 25% площади.
Вначале формируют двойной вал коагулянтов вокруг образования, чтобы нарушить его кровоснабжение и создать хориоретинальный барьер. Когда пройдет 3-4 недели, начинают разрушающую коагуляцию («выпаривание») опухолевой ткани. Для этого нужно 2-7 сеансов с перерывом в 3-4 недели. В течение всего курса рассасываются кровоизлияния и отечность.
Методика противопоказана, когда:
- новообразование расположено близко к диску зрительного нерва и макулярной зоне;
- опухоль большая.
Показано применение этой методики в сочетании с фотокоагуляцией. Охлаждающими веществами выступают углекислый газ и жидкий азот.
- размер опухоли от 0,5 до 7 диаметра диска зрительного нерва, образование «вдается, вминается» (то есть «проминирует») на 3-3,5 мм.
Преимущество перед диатермокоагуляцией - меньшее повреждение склеры.
Данная методика направлена на то, чтобы разрушить сосуды, которые питают опухоль, а также коагулировать («выпарить») опухолевую ткань. Применяется в сочетании с фотокоагуляцией.
Показания ограничены только случаями неэффективности других методов. Это связано с малой эффективностью и выраженной послеоперационной реакцией у пациентов.Может проводиться в качестве профилактического воздействия после операции. Делается каждый день со 2-3-го послеоперационных дней. Разовая экспозиционная доза - 1,8 Гр, суммарная очаговая - 35-50 Гр. Курс терапии составляет 1-2 серии облучения с интервалом 1,5-2 месяца.
Чтобы профилактировать появление катаракты в зоне воздействия и лучевой кератит, при двусторонней форме заболевания по каплям вливают 2%-й только что приготовленный раствор «Цистеина» или 1%-й р-р «Тауфона» перед каждым сеансом. Дозировка - 2 капли 6 раз с интервалом 15 минут.
![]()
Наблюдение, объем и сроки обследования
При обнаружении болезни на ранних стадиях выживаемость достигает 100%.
После окончания лечения за детьми с этим заболеванием обеспечивается диспансерное наблюдение у окулиста в поликлинике и в онкодиспансере по месту жительства. Специалист (врач-окулист) должен осматривать ребенка 1 раз в 2 месяца в 1-й год после окончания терапии, а затем:
- во 2-й год - 1 раз в 3 месяца;
- в следующие 2 года - 1 раз в 6 месяцев;
- далее - 1 раз в год.
С такой же периодичностью должны проводиться и осмотры онкологом.
Офтальмологическое исследование проводится с медикаментозным расширением зрачка. Детей младшего возраста обследуют в состоянии наркотического сна.
Если в семье были случаи ретинобластомы, то впервые офтальмолог должен осмотреть ребенка еще в роддоме.
Больные постоянно состоят на учете.
Также под диспансерным наблюдением должны находиться маленькие дети, появившиеся на свет в семьях, в которых есть больные ретинобластомой.
![Ретинобластома: клиника, диагностика и лечение]()
![]()
Авторская публикация:
Иванова Светлана Вячеславовна
Врач-детский онколог, научный сотрудник, кандидат наук
НМИЦ онкологии им Н.Н. Петрова![]()
Под научной редакцией:
Кулева Светлана Александровна
Заведующий отделением, врач- детский онколог, ведущий научный сотрудник, профессор
НМИЦ онкологии им. Н.Н. ПетроваЧто вам необходимо сделать
Если вы хотите узнать побольше о бесплатных возможностях ФБГУ НМИЦ онкологии им. Н.Н. Петрова Минздрава России, получить очную или заочную консультацию по диагностике и лечению, записаться на приём, ознакомьтесь с информацией на официальном сайте.
Если вы хотите общаться с нами через социальные сети, обратите внимание на аккаунты в ВКонтакте и Одноклассники.
Диагностика ретинобластомы: увидеть, чтобы видеть
![]()
Ретинобластома (РБ) — это агрессивная интраокулярная (внутриглазная) злокачественная опухоль сетчатки преимущественно детского возраста. Выживаемость пациентов и их шансы сохранить зрение напрямую зависят от ранней диагностики заболевания.
РБ имеет нейроэктодермальное происхождение и возникает в результате злокачественной трансформации клеток эмбриональной ретины [1].Постулат «опухоль — болезнь генома» во многом обязан своим возникновением РБ. Она стала опухолью-пионером на заре генетической революции в изучении канцерогенеза. Печальный каскад событий внутри клеток в ходе злокачественной трансформации ассоциирован с мутациями в одноименном гене ретинобластомы Rb1, расположенном в 13 хромосоме. Он стал первым идентифицированным геном-онкосупрессором, функция которого — удержать в здоровых клетках неконтролируемый рост. Характер изменений (аберраций) в гене Rb1 определяет фенотип заболевания, то есть биологические свойства опухолевых клеток, и, соответственно, клиническую картину онкологического процесса [2].
Врожденная (наследственная) ретинобластома
Для инициации роста опухоли необходимо двуаллельное повреждение генов согласно модели «двойного удара» инактивации гена-онкосупрессора опухоли (A. Кнудсон, 1971 год). Врожденные мутации этого гена присутствуют во всех клетках организма (и в опухолевой, и в здоровых тканях). Тип наследования мутаций — аутосомно-доминантный, при этом фенотипическое проявление повреждения аллеля варьируется в популяции, что называют неполной пенетрантностью. Такие аберрации характеризуются как мутации зародышевой линии или герминальные и являются «первым ударом» по гену Rb1. «Добивает» его функцию приобретенная соматическая мутация («второй удар») [3].
При наследственной форме чаще наблюдается двусторонний (бинокулярный) характер поражения, а также мультифокальный рост с возникновением множества очагов.
Поскольку все клетки в организме имеют измененный ген Rb1, его функция в них также нарушена. Это увеличивает риск возникновения опухолей других локализаций и гистогенеза, (рак легких, мочевого пузыря, кожи, саркомы костей, мягких тканей, опухоли головного мозга). Вероятность развития второй злокачественной опухоли сохраняется на протяжении всей жизни, особенно при проведении лучевой терапии [2].Спорадическая (ненаследственная) ретинобластома
Спорадическая форма РБ представлена односторонней (монокулярной) одноочаговой опухолью. Развивается позже наследственных форм и диагностируется в течение первых 3 лет жизни. Эта форма обусловлена мутацией в обеих аллелях гена Rb1 только в клетках сетчатки (то есть оба аллеля гена повреждены соматическими мутациями) [2].
Возможен вариант трехсторонней РБ. Это сочетание двусторонней РБ с опухолью в области шишковидной железы (эпифиза), которая также может занимать и срединные структуры мозга. Симптомы распространения опухоли диагностируются через 2-3 года после выявления двусторонней РБ. Признаки внутричерепного поражения могут предшествовать симптомам опухоли глаз. У детей возникает головная боль, рвота, головокружение [4].
РБ встречается с частотой 1:15000 новорожденных во всем мире. Случаи РБ составляют 14 % от числа всех случаев злокачественных опухолей у детей до 1 года и 3 % — у детей до 15 лет. Метастазирование и возникновение второго типа опухолей (главным образом, сарком) — основные факторы, влияющие на смертность пациентов с РБ [5].
РБ развивается бессимптомно, манифестирует появлением лейкокории («свечение» или белое отражение от зрачка, кошачий глаз) или косоглазия [5].
Свечение возникает при отражении света от поверхности белых опухолевых масс (рис.1) [6].![]()
Рис.1 | Лейкокория — наиболее распространенный начальный симптом ретинобластомы [6]
Данный феномен возможен при распространении роста до передних отделов глаза, что, к сожалению, указывает на длительное течение заболевания. Получение белого отражения от зрачка отмечается также при фотографировании ребенка со вспышкой. Такой способ «скрининга» доступен родителям, задача педиатра — проинформировать о многогранной важности регулярного пополнения семейного архива.
Появление белого рефлекса вместо обычного красного рефлекса при офтальмоскопии — самый часто обнаруживаемый признак (рис. 2.1-2.5) [7]. Стратегия «know the glow» (узнать свечение) подразумевает акцент на раннюю доофтальмологическую диагностику РБ. Поэтому педиатрам и врачам общей практики также важно владеть элементарными навыками оценки состояния органа зрения. Начинать осмотры необходимо с возраста 1 месяца и продолжать в течение всего периода детства [5].![]()
Рис. 2.1 | Нормальный красный рефлекс
![]()
Рис. 2.2 | Правый глаз: нормальный красный рефлекс. Левый глаз: отсутствие красного рефлекса — показание для консультации офтальмолога.
![]()
Рис. 2.3 | Правый глаз: нормальный красный рефлекс. Левый глаз: изменение цвета при оценке красного рефлекса (белый), в данном случае — левосторонняя катаракта.
![]()
Рис. 2.4 | Правый глаз: нормальный красный рефлекс. Левый глаз: изменение цвета при оценке красного рефлекса (желто-белый), в данном случае — левосторонняя ретинобластома.
Обнаружение «неправильного» цвета — показание для консультации офтальмолога.![]()
Рис. 2.5 | Правый глаз: нормальный красный рефлекс. Левый глаз: красный рефлекс менее яркий, а отражение роговицы (белое пятно на роговице) не отцентрировано. Это указывает на вторичное косоглазие, для обнаружения причин которого требуется консультация офтальмолога.
Второй характерный симптом РБ — косоглазие — обнаруживается при вовлечении центральной области сетчатки — макулы (рис.3) [8].
Рис. 3 | Косоглазие — второй по частоте симптом ретинобластомы [8].
К более редким симптомам РБ относятся:
- гетерохромия радужки при развитии увеита;
- мидриаз с отсутствием реакции зрачка на свет;
- рубеоз радужки при ишемии значительной площади сетчатки;
- гифема (кровь в передней камере глаза);
- гемофтальм (кровоизлияние в стекловидное тело);
- помутнение стекловидного тела при его обсеменении;
- псевдогипопион — узелки опухоли при распространении опухолевых отсевов в переднюю камеру глаза;
Оценка характеристик интраокулярной РБ проводится отдельно для каждого глаза. В настоящее время используется Международная классификация интраокулярной ретинобластомы (International Classification for Intraocular Retinoblastoma, ICRB) (табл. 1 [10] и рис. 4 [11]), определяющая возможности и виды органосохраняющего лечения, особенно актуальна эта система стадирования для выбора химиотерапии.
.![]()
Рис. 4 | Международная классификация интраокулярной ретинобластомы: стадии А-Е [11]. Характеристика стадий представлена в таблице 1.
Классификация Reese-Ellsworth (R-E; 1963) была разработана для определения возможности сохранения глаза с применением наружного облучения, что является неоднозначным вопросом в современной практике. Подходы к использованию дистанционной лучевой терапия (ДЛТ) изменяются ввиду высокого риска вторых злокачественных опухолей. Самые частые варианты новообразований в зоне облучения — это фибросаркомы, остео- и веретеноклеточные саркомы, вне зоны облучения — мягкотканные саркомы, остеосаркома, рак щитовидной железы, меланома [5].
![]()
Табл. 1 | Международная классификация интраокулярной ретинобластомы (2005) [10].
Важность верной маршрутизации пациента обусловлена ограниченным числом медицинских организаций в Российской Федерации, которые способны обеспечить терапию РБ (НИИ детской онкологии и гематологии ФГБУ «НМИЦ онкологии им. Н.Н. Блохина», ФГБУ «НМИЦ ГБ им. Гельмгольца», ФГАУ «МНТК "Микрохирургия глаза" им. акад. С.Н. Федорова») [12].
Основные этапы диагностического пути:
- Онкологическая настороженность родителей и ближайшего окружения ребенка, педиатров.
- Консультация офтальмолога каждые 3 месяца в течение 1-го года жизни, включающая офтальмоскопию с медикаментозным мидриазом, далее не реже 1 раза в 6 месяцев.
- Раннее направление в онкологический диспансер при подозрении на патологию.
- При подтверждении диагноза — направление в федеральные медицинские учреждения, способные оказать высокотехнологичную медицинскую помощь по форме 057/у-04.
- Молекулярно-генетический анализ пациента и его семьи (братьев, сестер и родителей).
Краткий алгоритм диагностического поиска представлен на схеме:
![]()
При офтальмоскопии классический вид РБ — это единичные или множественные узелки белого или кремового цвета, часто с выраженными внутрипозиционными кровеносными сосудами. Существует три основных паттерна роста: эндофитный (в полость стекловидного тела), экзофитный (в субретинальное пространство), смешанный (наличие клонов опухолевых клеток в стекловидном теле и в передней камере на фоне куполообразной отслойки сетчатки) и диффузный инфильтрирующий. Последний вариант — самый редкий, но и самый коварный. При диагностике не обнаруживается однозначно интерпретируемая опухолевая масса, вместо этого выявляется диффузное утолщение без классической кальцификации. Клинические симптомы при таком типе роста включают хемоз (отек конъюнктивы), псевдогипопион (клеточная инфильтрация передней камеры глаза, имитирующая скопление гноя в передней камере глаза, то есть гипопион) и псевдовитреит (клеточная инфильтрация, напоминающая промежуточный увеит, локализованный в стекловидном теле, то есть витреит или гиалит) [5].
Инструментальные исследования помогают провести дифференциальную диагностику и уточнить характеристики опухоли. Как и при многих других нозологиях, первое место ввиду простоты использования и быстроты получения информации занимает ультразвуковое исследование (УЗИ). РБ имеет характерные ультразвуковые признаки. Она представлена округлым или неправильной формы внутриглазным образованием с отложениями кальция. Кровоток в опухолевой ткани не определяется. Дополнить УЗИ может флюоресцентная ангиография, которая особенно информативна при множественных внутриглазных опухолях.
Среди методов визуализации особое место занимает магнитно-резонансная томография (МРТ), которая используется для оценки инвазии зрительного нерва и наличия трехстороннего поражения (опухоль шишковидной железы (пинеобластома) и примитивные нейроэктодермальные внутричерепные опухоли, ассоциированные с мутациями Rb1). Компьютерная томография в настоящее время не рекомендована, так как лучевая нагрузка может явиться триггером второй опухоли при герминальных мутациях Rb1 [13].
В аспекте гистологической верификации онкологического диагноза РБ — настоящий «бунтарь». Биопсия этой опухоли сопряжена с высоким риском метастазирования, что упраздняет первичную патоморфологическую оценку. Однако гистологическое исследование РБ обязательно после энуклеации. Необходимо проверить все удаленные ткани. Это единственный способ установить патоморфологическое стадирование, определяющее риски метастазирования и смертности. К признакам высокого риска относят наличие опухолевых клеток по линии резекции зрительного нерва и/или выход опухоли за пределы склеры (рис.6) [14].
.![]()
Рис. 5 | Ретинобластома с тяжелой степенью анаплазии и патоморфологическими признаками высокого риска. Слева вверху: клиническая картина ретинобластомы группы Е; справа вверху: макроскопическая картина энуклеированного глаза — белесоватые массы, заполняющие весь задний отдел склеры; слева внизу: гистологическая картина тяжелой анаплазии; справа внизу: постлиминарный зрительный нерв и массивная хориоидальная инвазия (окраска гематоксилин и эозин) [14].
РБ становится высококурабельной опухолью со значительно возросшими возможностями проведения органосохраняющего лечения. Логичным условием применения таких методов является ранняя диагностика и точная характеристика опухолевого процесса. «Ораторы восхваляли глаз, певцы воспевали его, но действительная оценка глаза покоится в безмолвной тоске тех, кто имел глаз и лишился его», — А. Грефе. Хотим ли мы подвергнуть детей осознанию этой истины на собственном опыте? Возможно, лучшая мультидисциплинарная команда в детской онкологии — это родители, ближайшее окружение и врачи неонкологического профиля, которые смогли бы заподозрить болезнь на максимально раннем этапе. Только тогда передача эстафеты команде клинических специалистов онкологического центра может обернуться счастливой победой [15].
4 метода лечения и симптомы ретинобластомы глаза
Злокачественные опухоли могут проявляться в самых разных формах и поражать разные органы, в том числе глаза. Рак сетчатки - ретинобластома - при ранней диагностике не так опасен, как другие виды онкологии. Если правильно скомбинировать методы, можно добиться полного выздоровления и отсутствия рецидивов в 95% случаев.
![ретинобластома у детей]()
Главное о ретинобластоме
Ретинобластома - злокачественное образование, состоящее из клеток нейроэктодермы сетчатки. Болезнь поражает сетчатку, сосудистую оболочку и орбиту. Опухоли сетчатки растут очень быстро, метастазы через зрительный нерв проникают в головной мозг, откуда через кровь попадают в костный мозг и трубчатые кости.
- Опухоль занимает 25% глазного дна (Т1).
- Новообразование занимает 25-50% поверхности сетчатки (Т2).
- Охватывает больше половины сетчатки и распространяется за ее пределы, но внутриглазное расположение сохраняется (Т3).
- Опухоль выходит за границы орбиты (Т4).
- Метастазы в региональных лимфоузлах (N1).
- Метастазы в мозге, костях и внутренних органах (MI).
Ретинобластомы составляют 2-4% от всех случаев злокачественных образований у пациентов до 15 лет. Опухоль развивается преимущественно у детей до 5 лет, большая часть больных - дети в возрасте 2-3 года. Риск возникновения не зависит от пола.
Эта опухоль представляет собой типичный наследственный рак. У многих людей, которые имели ретинобластому, рождаются дети с аналогичным диагнозом. Вероятность развития опухоли у второго ребенка, когда ретинобластома была диагностирована у первого, составляет 6%. Если в одной семье есть несколько больных детей, опасность возрастает до 50%. Несмотря на злокачественную природу, болезнь излечима. Своевременное лечение обеспечивает выживаемость подавляющего большинства пациентов.
Структура ретинобластомы
Глаза человека начинают формироваться на раннем этапе внутриутробного развития. В этот период появляются клетки ретинобласты, которые способны быстро делиться. Из них образуются клетки сетчатки, но мутации в генах мешают ретинобластам формировать зрелые клетки. Вместо этого незрелые ретинобласты продолжают множиться, образуя опухоль.
Название опухоли обусловлено тем, что она формируется из ретинобластов, а точнее из зачатков нервной ткани сетчатки (нейроэктодерма). Ретинобластома может образоваться из клеток любого ядерного слоя сетчатки. В такой опухоли нет стромы, имеются очаги некроза и кальцификаты.
![ретинобластома глаза]()
Основная причина развития односторонних ретинобластом - соматические мутации. Двусторонние появляются вследствие мутаций хромосом в половых клетках.
В 40% случаев диагностируют врожденную ретинобластому, и болезнь проявляется в первые 30 месяцев жизни ребенка. Нередко врожденная опухоль сочетается с другими аномалиями развития (порок сердца, кортикальный детский гиперостоз, расщелина неба). Повышается риск возникновения злокачественных очагов в других органах.
Причины приобретенной ретинобластомы не выяснены. К факторам риска врачи относят поздний возраст деторождения, работу на металлургических фабриках, загрязнение экологии. У взрослых приобретенную форму диагностируют очень редко, чаще у детей дошкольного возраста.
Классификация опухолей сетчатки
Ретинобластомы делят на наследственные и спорадические (случайные). Наследственные опухоли поражают оба глаза, а случайные обычно имеют форму единичного узла в одном глазу.
- дифференцированная (ретиноцитома);
- недифференцированная (ретинобластома);
- смешанная.
Ретинобластома - более злокачественная форма - встречается гораздо чаще. Ее клетки группируются преимущественно вокруг сосудов, образуя псевдорозетки. А вот клетки ретиноцитомы образуют истинные розетки (опухоль формируется вокруг светлого пространства), эта форма имеет более благоприятное течение.
Как растет ретинобластома
Существует несколько типов роста рака сетчатки. Рост опухоли может быть направлен внутрь сетчатки или наружу. В редких случаях ретинобластома прорастает в окружающие ткани так хаотично, что определить ее границы не удается.
- Эндофитный. Опухоль распространяется на внутренний слой сетчатки и стекловидное тело, прорастая в направлении глазного яблока. Узлы бугристые, большое количество новообразованных сосудов. Быстрый рост ретинобластомы вызывает помутнение стекловидного тела.
- Экзофитный. Опухоль формируется в подсетчаточном пространстве (между сенсорной частью и пигментным эпителием). Рост ретинобластомы вызывает субтотальную отслойку сетчатки и накоплении транссудата.
- Смешанный. Состояние, при котором сочетаются признаки двух предыдущих типов. Клоны клеток опухоли распространяются и в стекловидное тело, и в подсетчаточное пространство. Для этого типа характерны кровоизлияния в переднюю камеру и стекловидное тело.
- Диффузный. Этот тип диагностируют редко. При диффузной форме инфильтрируются все слои сетчатки, опухоль прорастает в переднюю камеру глаза и симулирует воспаление. В этом случае границы ретинобластомы определить сложно, развивается диффузное истончение сетчатки, а в передней камере глаза скапливается экссудат. Возникают передние спайки и псевдогипопионы (кристаллы холестерина). Наблюдается ишемия сетчатки и неоваскуляризация радужки, степень которых зависит от стадии заболевания. Новообразованные сосуды могут блокировать отток внутриглазной жидкости и вызывать повышение внутриглазного давления (вторичная глаукома).
При распространении за пределы глазного яблока происходит смещение глаза и развивается экзофтальм. Ретинобластома может проникнуть в орбиту, околоносовые пазухи и нос, в полость черепа. Обширное метастазирование опухоли приводит к гибели пациента.
![симптомы ретинобластомы]()
Проявления ретинобластомы напрямую зависят от размеров опухоли, ее локализации и типа роста. Небольшие очаги, которые не дают выраженных симптомов, можно обнаружить во время профилактического осмотра. У 20-40% больных заболевание захватывает оба глаза. Опухоль во втором глазу может проявиться не сразу, иногда разница по времени составляет несколько лет.
Лейкокория является первым симптомом, который замечают даже родители. Это беловато-желтый отсвет, возникающий при отражении света от опухолевой массы. Если ретинобластома расположена в центре глаза, одним из ранних симптомов может быть косоглазие.
- Покой. Для этой стадии характерно отсутствие субъективных симптомов. Во время осмотра может быть выявлен синдром «кошачьего глаза» (зрачковый рефлекс, просвечивание опухоли через зрачок). Ранним признаком ретинобластомы выступает потеря центрального и бинокулярного зрения, что нередко становится причиной косоглазия у ребенка.
- Глаукома. На этой стадии отмечается воспаление в глазу, сопровождаемое светобоязнью, слезотечением, покраснением слизистой. Часто развиваются увеиты и иридоциклиты. Поскольку начинается распространение опухолевых клеток, возникает болевой синдром. Когда опухоль поражает трабекулярный аппарат, развивается вторичная глаукома. Пациенты начинают жаловаться на боль.
- Прорастание. Эта стадия начинается с экзофтальма (выпячивание глаз). Опухоль врастает в мягкие ткани орбиты и разрушает ее стенки, позже проникает в придаточные пазухи и между оболочками мозга.
- Метастазирование. Очаги опухоли формируются в костном мозге, печени, костях, головном мозге и даже костях черепа. Распространение начинается с мягкой мозговой оболочки по зрительному нерву, а дальше лимфогенными и гематогенными путями (через лимфу и кровь). На четвертой стадии развития ретинобластомы ухудшается общее самочувствие пациента (слабость, интоксикация, тошнота, головные боли).
![диагностика ретинобластомы]()
Полная диагностика рака сетчатки
Если в семейном анамнезе есть случаи ретинобластомы, детей нужно регулярно показывать офтальмологу. У ретинобластомы есть своя триада симптомов: лейкокория (белый цвет зрачка), косоглазие и расширение зрачка при слабой реакции на свет. Пациентов с опухолью консультирует офтальмолог, возможно подключение невролога и отоларинголога.
- биомикроскопия (изучение переднего отдела глаза при помощи щелевой лампы);
- офтальмоскопия (осмотр глазного дна);
- визометрия (определение остроты зрения);
- тонометрия (измерение внутриглазного давления);
- гониоскопия (визуальное исследование переднего отрезка глазного яблока);
- экзофтальмометрия (определение выстояния глазного яблока из орбиты);
- проверка бинокулярного зрения;
- определение угла косоглазия;
- УЗИ глазного яблока (помогает при помутнении оптических сред).
Интраокулярная биопсия нежелательна, поскольку она может спровоцировать распространение клеток по лимфатическому и кровеносному руслу. К этому методу прибегают только в крайнем случае, когда опухоль не просматривается другими способами.
- рентгенография орбиты и пазух носа;
- КТ и МРТ головного мозга;
- остеосцинтиграфия (визуализация костно-суставного аппарата);
- сцинтиграфия печени (лучевой метод визуализации органов и тканей).
Чтобы выявить отдаленное метастазирование, проводят люмбальную пункцию и дальнейшее исследование цереброспинальной жидкости и костного мозга. Дополнительно делают миелограмму (мазок пунктата костного мозга, который отражает состав клеток миелоидной ткани).
- рубцовая ретинопатия;
- ретинит Коутса;
- гамартома (доброкачественная аномалия тканевого развития);
- эндофтальмит;
- дисплазия сетчатки;
- отслойка сетчатки;
- мягкотканная саркома;
- ретролентальная фиброплазия;
- фиброз стекловидного тела;
- метастазы нейробластомы;
- метастатическая офтальмия;
- поражение орбиты при лейкемии и лимфоме;
- болезнь Гиппеля-Линдау;
- паразитарные заболевания (личиночный гранулематоз, токсоплазмоз).
Принципы лечения ретинобластомы
План лечения разрабатывается врачом в зависимости от стадии ретинобластомы. Если имеется двустороннее поражение, тактику лечения разрабатывают для каждого глаза отдельно.
Что нужно учитывать при выборе лечения:
- поражен один глаза или оба;
- степень ухудшения зрительной функции;
- выход опухоли за пределы глазного яблока;
- распространение на зрительный нерв;
- влияние на центральную нервную систему;
- наличие метастазов.
В ходе лечения может быть использовано несколько разных методов, их правильное сочетание во многом определяет шансы на сохранение зрения и глаза. Современные методы диагностики позволяют выявить ретинобластому на ранней стадии, когда для успешного лечения еще достаточно криотерапии, фотокоагуляции и лучевого воздействия.
![опухоль сетчатки]()
- хирургическое вмешательство;
- лучевая химиотерапия;
- лекарственная химиотерапия;
- криотерапия;
- лазерная коагуляция;
- термотерапия.
Современная медицина предпочитает консервативное лечение ретинобластомы. Такая тактика эффективна только при наличии небольших единичных образований, которые остаются в пределах глаза, но за границами макулярной и перипапиллярной зон.
Для лечения рака глаза активно применяют криотерапию и фотокоагуляцию, позволяющие сохранить зрение и редко дающие осложнения. Криотерапия воздействует на поражения в передней камере глазного яблока, а фотокоагуляция - в задней. Контроль за ходом лечения осуществляют при помощи офтальмоскопии и ультразвукового исследования.
- Брахитерапия. Техника локального облучения опухолей, которая заключается в подшивании к глазу офтальмоаппликатора (радиоактивная пластинка). Преимущество метода заключается в том, что можно подводить максимальные дозы излучения непосредственно к очагу без воздействия на здоровые ткани глаза и организм.
- Криодеструкция. Метод воздействия низкими температурами. При замораживании клетки опухоли перестают расти и разрушаются. Лечение осуществляют при помощи аппарата с наконечником в несколько миллиметров. Криодеструкция применима к опухолям в переднем отделе сетчатки, которые не превышают 7 мм в диаметре.
- Фотокоагуляция. Лечение с применением лазерного луча. Эффективно при размерах ретинобластомы до 4 мм и расположении в заднем отделе сетчатки.
- Транспупиллярная диод-лазерная термотерапия (ТТТ). Бесконтактное лечение внутриглазных опухолей, основанное на инфракрасном излучении. Метод заключается в длительном прогревании ретинобластомы до 45-55°С.
Лучевая терапия для лечения рака сетчатки
К лучевой терапии обращаются с целью сохранить зрительные функции. Ретинобластома очень чувствительна к лучевой терапии: 75% пациентов справляются с болезнью исключительно при помощи этого метода, но для закрепления эффекта рекомендована криотерапия.
Возможно применение разных лучевых методик при лечении ретинобластомы, но обычно прибегают к наружному облучению с двумя латеральными полями, включающими сетчатую оболочку. Это обусловлено тем, что у большинства пациентов имеются множественные опухоли мультифокального происхождения.
Поле облучения захватывает также стекловидное тело и 10 мм доступной части зрительного нерва. Дозы лучевой терапии варьируются в высоких пределах (3500 Гр при I-III группе, 4500 Гр при IV-V группе). Детей до трех лет облучают под наркозом на специальном столе для фиксации.
Для лечения ретинобластомы можно применять радиоактивные пластинки. Их применение ограничено, но они хорошо воздействуют на маленькие опухоли вне оптического диска. Методика не рекомендована при врожденных ретинобластомах, поскольку высок риск сосудистых повреждений и кровотечений ввиду мультифокального поражения.
Чтобы предотвратить развитие постлучевой катаракты, используют специальные блоки. Поскольку есть риск рецидива опухоли в передней части сетчатки, после лучевой терапии рекомендованы дополнительные криопроцедуры.
Локальная и системная химиотерапия при ретинобластоме
Хирургическое лечение и лучевая терапия эффекты в 80-90% случаев ретинобластомы. Химиотерапия показана при массивном поражении, затрагивании зрительного нерва и орбиты, а также при наличии региональных метастазов.
В случае ретинобластомы самым эффективным комплексом химиотерапевтических препаратов признаны Винкристин, Вепезид и Карбоплатин. Возможно применение Винкристина, Доксорубицина и Циклофосфана, но практика показывает, что последний цитостатик повышает риск рецидива и приводит к стерилизации.
Химиотерапия может быть системной и локальной. К локальным методам относят интраартериальный и интравитреальный. Первый подразумевает введение препаратов в артерию, которая снабжает кровью зону расположения ретинобластомы. Второй - введение препаратов в стекловидное тело, когда оно поражено опухолью или соприкасается с ее очагами на сетчатке.
Энуклеация при ретинобластоме
Самым эффективным методом лечения рака глаза является энуклеация - удаление глазного яблока. В ходе операции зрительный нерв отсекают максимально далеко, поэтому этот метод показывает наилучшие результаты при лечении ретинобластомы. Через 6 недель после операции можно осуществить протезирование для устранения визуального дефекта. Поскольку пациенты с ретинобластомой чаще всего дети, энуклеация сопряжена с некоторыми сложностями. После удаления глазного яблока кости орбиты начинают расти активнее, вызывая сильный дефект.
- обширное поражение и отсутствие возможности восстановить зрение;
- массивное обсеменение стекловидного тела;
- опухоль поражает заднюю камеру глаза и достигает задней капсулы хрусталика;
- локализуется вблизи цилиарного тела или занимает большую часть переднего отдела глаза;
- глаукома на фоне разрастания сосудов;
- запущенные вторичные осложнения (увеит, катаракта, гемофтальм, гифема);
- наступление слепоты с невозможностью восстановить зрение.
![лечение ретинобластомы]()
После энуклеации глаз отправляют на гистологический анализ. Если опухоль поразила зрительный нерв и сосудистую оболочку или вышла за пределы склеры, это указывает на плохой прогноз для пациента. Когда ретинобластома выходит за границы орбиты, рекомендована экзентерация орбиты (удаление содержимого орбиты).
- прорастание ретинобластомы в зрительный нерв;
- поражение склеры;
- экстрабульбарное распространение опухоли;
- расположение в перипапиллярной зоне;
- наличие больших и множественных опухолевых узлов;
- проникновение очагов в стекловидное тело, радужку, передний отрезок глаза;
- вовлечение хориоидеи.
Прогноз и профилактика рака сетчатки
Правильная диагностика ретинобластомы на ранней стадии - залог успешного лечения. Пока опухоль не распространилась, возможно органосохраняющее лечение (фотокоагуляция, криотерапия, лучевое воздействие). Обеспечить выживаемость пациента может энуклеация, но результатом будет потеря зрения и образование визуального дефекта.
- проникновение опухоли в зрительный нерв;
- поражение хориоидальной оболочки;
- распространение ретинобластомы за пределы глазного яблока;
- опухоли в обоих глазах.
Поскольку в подавляющем большинстве случаев заболевание имеет врожденную природу, профилактикой будет генетическое консультирование семей, в которых были случаи рака сетчатки. Очень важно регулярно обследовать детей из групп риска и соответствующих по возрасту.
Читайте также:
- Гигантоклеточный артериит (болезнь Хортона): лечение, симптомы, причины возникновения
- Выявление антитромбоцитных антител: тест Карпаткина
- Аномальное маточное кровотечение: случай успешного лечения гормональными контрацептивами
- Техника и этапы эндоскопической операции на верхнечелюстной пазухе при гайморите
- Синдром Пфаундлера-Гурлер (Pfaundler-Hurler)

























