Принципы ампутации пальцев кисти и костей запястья
Добавил пользователь Владимир З. Обновлено: 13.12.2025
Переломы кисти диагностируют у 30% пациентов, которые обращаются к травматологу. Распространенность травмы объясняется тем, что при угрозе падения человек автоматически выставляет руки перед собой, что приводит к тяжелым повреждениям. Перелом костей кисти имеет выраженную клиническую картину, но для уточнения диагноза необходимо сделать рентген.
Из каких костей состоит кисть
Кисть состоит из 27 мелких костей, которые довольно хрупкие, легко травмируются.
В запястье 8 коротких костей с губчатой структурой, которые расположены в два ряда. Верхний ряд идет от мизинца к большому пальцу, состоит из гороховидной, трехгранной, полулунной и ладьевидной костей. Все кости, кроме гороховидной, присоединяются к лучевой кости - это лучезапястный сустав.
В структуру нижнего ряда входят крючковидная, головчатая, трапециевидная и многоугольная кости. Они соединены с трубчатыми пястными костями, которые крепятся к костям фаланг пальцев.
Почему ломаются кости кисти?
Перелом кисти - открытая или закрытая травма, при которой наблюдается полное либо частичное повреждение костных составляющих. Чаще всего оно связано с внешним механическим воздействием на кисть. Это может быть падение груза, удар тяжелым предметом, падение с упором на кисть, зажатие ладони между твердыми поверхностями.
У пожилых людей повреждения костей кисти возникают чаще, поскольку с возрастом уменьшается плотность костных тканей. Риск перелома даже при незначительном ушибе увеличивается при наличии в анамнезе остеопороза, гормональных нарушений, если человек бесконтрольно принимает диуретики.
Виды переломов кисти
В травматологии переломы кисти классифицируют по нескольким признакам. С учетом нарушения целостности кожи переломы бывают открытыми и закрытыми. Выделяют травматические переломы, которые получены в результате падения или удара, и патологические переломы, при которых повреждения костных структур возникают у людей преклонного возраста без причины или после слабого воздействия.
Виды переломов по характеру повреждений:
- простой - разрушение кости без отломков происходит в одном месте;
- фрагментарный - при травме образуется две линии разлома, между отломками находится фрагмент целой костной ткани;
- оскольчатый - кость раздроблена на множество мелких отломков;
- размозженный - самый тяжелый вид травмы, при котором нарушается анатомическая форма некоторых частей костного образования.
Степень тяжести перелома кисти определяют по направлению линии перелома и наличию смещения костных отломков. Переломы со смещением лечить приходится дольше, чем травмы без осложнений.

Виды переломов по типу повреждения:
- полный - кость ломается в одном или нескольких местах;
- неполный - на кости образуются трещины;
- по типу веточки - эту травму часто диагностируют у детей, разрушения костных структур не затрагивают область надкостницы.
Если разрушена середина кости, такой перелом называют диафизарным, при травмировании головки кости - эпифизарным. При переломе костей внутрь сустава диагностируют перелом Беннета или Роландо, это внутрисуставная травма. Если линия разлома не затрагивает сочленение, это внесуставный перелом.
Виды переломов по месту локализации
Выделяют три группы переломов кисти: костей запястья, пястных костей и фаланг пальцев.
Переломы костей запястья диагностируют редко, чаще всего страдает ладьевидная кость, которая ломается на две части. Часто перелом усугубляется вывихом. На месте перелома нередко образуются ложные суставы, кисты внутри кости. Продолжительность иммобилизации - 1-6 месяцев.
Переломы пястных костей - самый распространенный вид травмы. Его разновидности:
- Перелом I пястной кости происходит при сильном ударе согнутым большим пальцем по твердому предмету.
- Внутрисуставный или внесуставный перелом основания первой пястной кости. Перелом Беннета характеризуется смещением травмированной кости к лучевой кости, при этом треугольный фрагмент не смещается, поскольку его удерживают связки. Перелом Роланда - вывих пястного костного фрагмента к лучевой кости с одновременным разломом первой пястной кости на несколько отломков.
- Перелом средней части первой пястной кости. Выявляют редко после прямого удара по кости.
- Переломы II, III, IV, V пястных костей - следствие падения на кулак или удара кулаком по твердой поверхности. Чаще всего наблюдается повреждение сразу нескольких костных структур, чаще всего четвертой и пятой.
- Переломы фаланг пальцев - частая травма. Виды - винтообразный, оскольчатый, поперечный, внутрисуставный, внесуставный.
Как распознать перелом кисти?
При нарушении целостности одной или нескольких костей кисти проявляются характерные общие и специфические симптомы.
Основные проявления перелома кисти:
- сильная боль в поврежденной области - в ладонях и пальцах находится много нервных окончаний и болевых рецепторов;
- обширный отек - распространяется не только на кисть, но и на лучезапястный сустав, предплечье;
- подкожное кровоизлияние - гематома может быть небольшой или охватывать значительную площадь;
- кожные покровы над травмированной костью приобретают синюшный оттенок, становятся горячими на ощупь;
- нарушение подвижности кисти - даже незначительное движение приводит к усилению болевого синдрома;
- часть кисти или пальцы деформируются, под кожей можно увидеть отломки костей;
- для открытых переломов характерно наличие ран, в которых видны поврежденные костные и мышечные ткани.
При повреждении области запястья пострадавший не может сжать руку в кулак. При любом движении возникает сильная боль, которая отдает в ладьевидную кость, фаланги 3 и 4 пальца. При разрушении костей у основания пальца выраженный болевой синдром возникает при попытке пошевелить указательным пальцем. При этом большой палец расположен неестественно - в согнутом виде прижат к кисти. При нарушении целостности костей пальцев наблюдается деформация, отклонение по вертикальной оси фаланг.
Если костные отломки смещаются, под кожей появляется твердое образование. При пальпации возникает боль, образование легко сдвигается, при этом хорошо слышен хруст при трении частей костей друг о друга.
Переломы кисти часто сопровождаются осложнениями. При разрыве нервов человек не может управлять кистью, поскольку сигналы от головного мозга не доходят к мышцам и связкам, снижается или полностью исчезает чувствительность руки. При разрыве сухожилий чувствительность не нарушается, но пострадавшему сложно выполнять многие движения.
Диагностические мероприятия

При подозрении на перелом кисти необходимо обратиться к травматологу. Первоначальный диагноз врач ставит на основе сбора анамнеза, анализа жалоб пациента и внешнего осмотра. Чтобы исключить вывихи или сильный ушиб, назначают рентген в двух или трех проекциях.
В некоторых случаях сразу сделать рентген не получается из-за сильного отека мягких тканей. В таких случаях обследование проводят через 8-10 дней. На это время поврежденную руку фиксируют жесткой гипсовой повязкой или полимерными бинтами.
Методы лечения

При переломе костей кисти необходимо полностью восстановить функции поврежденной конечности. Для этого сопоставляют костные отломки, накладывают гипс, затем потребуется реабилитация. Репозицию костей проводят под местной, реже общей, анестезией.
Гипсовую повязку накладывают от головки пястных костей до верхней трети предплечья. К повязке фиксируют большой палец. Через 2-3 недели делают повторный рентген.
При неправильном наложении гипса могут возникнуть отдаленные последствия. Если повязка наложена слишком туго, она сдавливает ткани, пережимаются сосуды. За несколько недель иммобилизации из-за нарушения кровообращения сочленение атрофируется, развивается ишемическая контрактура.
Если гипс или лангета наложены слабо, пациент совершает непроизвольные движения кистью. Это приводит к смещению, неправильному сращиванию костей, нарушается анатомия кисти.
Осложнением открытого перелома кисти может стать остеомиелит. Болезнь развивается при проникновении бактерий из внешней среды на костные ткани, из-за чего формируется полость с гноем. Признаки - сильная, постоянная боль, повышение температуры тела, симптомы выраженной интоксикации. Снижается плотность костей, что часто становится причиной повторного перелома на месте предыдущего.
Для устранения болевого синдрома назначают нестероидные противовоспалительные средства, если они не помогают - глюкокортикостероиды. Чтобы ускорить процесс регенерации костных тканей, необходимо принимать хондропротекторы, препараты кальция.
Когда требуется операция при переломе кисти?
При выявлении осложнений требуется хирургическое вмешательство. Существует несколько видов вмешательств:
- Остеосинтез. Во время операции края разрушенной кости скрепляют с помощью скоб или металлических штифтов. Затем накладывают гипсовую фиксирующую повязку.
- Костная пластика. В травмированную область помещают целую костную ткань пациента или донора, или искусственный имплантат. Это позволяет ускорить процесс восстановления поврежденных костей.
- Артродез. Операцию проводят при множественных оскольчатых переломах кисти. Кости неподвижно фиксируют в нужном положении при помощи искусственных фиксаторов, сустав не двигается.
- Эндопротезирование - поврежденные костные структуры заменяют искусственными имплантатами.
Метод оперативного вмешательства врач подбирает индивидуально для каждого пациента. При этом учитываются возраст и общее состояние пациента, характер повреждений, наличие противопоказаний.
Реабилитационный период

Восстановительный период начинается после снятия гипса. Для восстановления кровообращения в кисти и пальцах, подвижности суставов, устранения атрофии мышц назначают массаж, физиопроцедуры и лечебную физкультуру.
Массаж улучшает работу мышц и гемодинамику. Пассивное воздействие способствует разработке сочленений, улучшению подвижности суставов.
Комплекс упражнений лечебной гимнастики подбирает врач с учетом вида и степени тяжести перелома кисти. Первые сеансы ЛФК нужно выполнять под наблюдением специалиста, затем заниматься можно самостоятельно дома.
Несколько простых упражнений для восстановления подвижности кисти:
- Медленно сжимать и разжимать кулак.
- Соединять большой палец поочередно с остальными пальцами.
- Соединить все пальцы, кроме мизинца, его нужно отвести в сторону.
- С небольшим усилием переплетать пальцы на обеих кистях.
- Полезно завязывать шнурки, собирать алмазную мозаику или фигуры из спичек.
Начинать нужно с 3-5 повторов, постепенно увеличивать нагрузку. При появлении сильной боли, отечности или покраснения занятия прекратить, проконсультироваться с лечащим врачом. После полного восстановления подвижности кисти можно выполнять упражнения с отягощением, чтобы развить мышечную силу.

Физиотерапию назначают для ускорения выздоровления. Дополнительно курсовое лечение нужно проходить каждые 6 месяцев для поддержания терапевтического эффекта.
Для восстановления подвижности кисти после перелома назначают следующие физиопроцедуры:
- магнитотерапию;
- электрофорез;
- лазеротерапию;
- лечение ультразвуком;
- аппликации с парафином, озокеритом.
При своевременном обращении к травматологу, выполнении всех рекомендаций врача поврежденные кости кисти восстанавливаются полностью без негативных последствий.
Продолжительность реабилитационного периода - 3-8 месяцев. Все это время пациенту необходимо носить фиксирующую повязку.
Чтобы снизить риск травмы кисти, необходимо соблюдать правила техники безопасности на рабочем месте, носить удобную обувь, чтобы избежать падений. Во время активного отдыха, занятий спортом не забывать о защитных приспособлениях. Для предотвращения хрупкости костей необходимо правильно питаться, вести здоровый образ жизни, принимать витаминные комплексы.
Вопрос - ответ
Чем отличаются растяжение и перелом лучезапястной кости?
При растяжении связки растягиваются, частично или полностью разрываются, но целостность костных структур не нарушается. При разрыве связок боль резкая, но кратковременная. Через время она появляется вновь из-за развития воспалительного процесса внутри тканей. При переломе боль слабая, но постоянная, ноющая, не пульсирующая. При растяжении I, II степени подвижность запястья практически не нарушается, но любое движение сопровождается болью. При переломе двигать кистью невозможно. Прикладывание холода при растяжении помогает надолго избавиться от боли. При переломах такая процедура дает кратковременный эффект.
Какие правила оказания первой помощи при подозрении на перелом кисти?
Правильно оказанная первая помощь помогает избежать развития осложнений после травмы. Сначала поврежденную руку нужно осмотреть, при возможности снять все украшения, на 10-15 минут приложить холодный компресс. Если есть раны, их нужно аккуратно очистить, обработать перекисью, закрыть стерильной повязкой. Если видны отломки, самостоятельно вправлять их нельзя. Травмированную кисть нужно обездвижить - прибинтовать руку к туловищу, не затрагивая область кисти. При сильной боли можно дать обезболивающее, но лучше воздержаться от приема лекарств, чтобы не смазать клиническую картину. После оказания первой помощи доставить пострадавшего в травмпункт.
Сколько нужно носить гипс?
Продолжительность иммобилизации зависит от количества сломанных костей, сложности перелома. При неосложненных переломах гипс нужно носить 2-3 недели. При тяжелых травмах, после операции - 2-6 месяцев.
Ампутация пальца

Ампутация пальца - операция по удалению пальца при его некрозе или гангрене. Является частным элементом некрэктомии при гангрене. Выполнять ампутацию фаланги пальца можно лишь тогда, когда есть уверенность в достаточном кровообращении остающихся тканей. Только при данном условии рана после удаления пальца заживет, в противном случае можно ожидать прогрессирования некротического процесса.
Также к показаниям ампутации части тела служит непоправимые деформации конечности при: врожденных, паралитических, травматическая ампутация пальца
Малые ампутации в Инновационном сосудистом центре
В нашей клинике ампутации выполняются только при тотальном некрозе на фоне критической ишемии. Для определения четких показаний к ампутации мы обязательно выполняем рентгеновское исследование и детальную оценку кровотока. Большие ампутации пальцев стопы на фоне критической ишемии выполняются только при полном восстановлении кровотока и отграничении некротического процесса.
Подготовка к операции
Операция проводится по срочным показаниям. С целью подготовки необходимо выполнить клинические анализы крови и мочи, электрокардиограмму. С целью прогнозирования заживления раны необходимо оценить степень кровообращения тканей стопы.
Анестезия при ампутации пальца руки
Обезболивание при операции достигается с помощью перидуральной анестезии. Местная анестезия нами не применяется, так как из за тугого инфильтрата трудно оценить кровоточивость тканей и выбрать адекватные границы для разреза.
Для контроля за жизненно-важными функциями во время операции применяется неинвазивный мониторинг пульса и артериального давления.
Как проводится операция
- Пациент укладывается на спину. Операционное поле обрабатывается в нужных пределах и изолируется стерильными простынями.
- При гангрене ампутация должна выполняться двухмоментно. Сначала проводится удаление мертвых тканей в пределах здоровых, а через несколько дней, при условии отсутствия инфекции формируется культя.
- Удаление пальца может проводиться с пересечением фаланговых или плюсневых костей, тогда операция называется ампутацией, либо проводится вычленение пальца в суставе - экзартикуляция.
- После вмешательства врач обязательно оценивает кровоточивость раны, если она слабая, то уровень отсечения должен быть выше. Необходимо патологоанатомическое исследование ампутированной конечности для выяснения причин и характера поражения.
Осложнения хирургического лечения
Так как ампутация пальца ноги или руки является небольшой по объему операцией, то риск для жизни невелик. Основные осложнения после вмешательства развиваются при неправильном определении показаний к этой операции. Если ампутация проводится на уровне тканей с плохим кровоснабжением, то рана после такой ампутации никогда не заживет, а напротив нагноится и будет распространяться дальше. В такой ситуации необходимо произвести повторную операцию на более здоровых тканях. На руках, выполняя ампутацию пальцев кисти необходимо стремиться к максимальному сохранению длины и функциональности, не выходя за пределы пястной кости, так как рука - основной рабочий инструмент в жизни человека.
Раннее ушивание культи, особенно при диабетической гангрене (у пациентов с сахарным диабетом) может привести к бурному распространению гнойно-некротического процесса и сепсису. Именно поэтому в нашей клинике принят двухмоментный способ вмешательства.
При пограничном уровне кровообращения или плохой технике операции может образоваться длительно незаживающая рана культи или концевой остеомиелит кости. В данном случае необходимы повторные операции удаления воспаленных тканей.
Прогноз
Прогноз зависит от состояния кровообращения в ноге. При достаточном кровообращении рана в послеоперационном периоде быстро заживает с образованием хорошего рубца. Пациент свободно пользуется ногой без какого-либо нарушения функции.
При порочной культе, с трофическими язвами приходится выполнять повторные операции и экзартикуляции фаланг и плюсневых костей.
Ампутация верхней конечности

Ампутация верхней конечности - операция удаления части или всей конечности при тотальном ее разрушении или невозможности сохранить ее жизнеспособность. Ампутации верхних конечностей, как правило, менее распространены, чем ампутации нижних конечностей (по статистике 5-10% от всех ампутаций). Есть много факторов, определяющих уровень ампутации, но как и при остальных ампутациях, одной из целью является сохранение длины пораженной конечности. Как правило, чем длиннее оставшаяся конечность и чем больше суставов сохранено, тем проще последующее протезирование.
Подготовка
Перед операцией пациенту проводится ряд необходимых диагностических обследований: - Клинические анализы крови и мочи, биохимический анализ крови - УЗИ артерий и вен верхних конечностей - Рентгенографию легких, костей верхней конечности. - Электрокардиограмму Пациент обязательно осматривается сосудистым хирургом, реконструктивно-пластическим хирургом и кардиологом. Пациент подписывает информированное добровольное согласие на операцию.
Обезболивание
Анестезия при ампутациях: общая, проводниковая или местная инфильтрационная анестезия. Пациент лежит на спине, выпрямленная рука укладывается на столике рядом с операционным столом. Рука обрабатывается раствором антисептика, операционное поле укрывается стерильными простынями.
Уровни ампутации
- Пальцы или часть кисти. При повреждении пальцев кисти большое значение имеет оставление первого (большого) пальца и мизинца (пятого пальца), либо возможность оставить их более длинными, так как они участвуют в важной функции хватания.
- Кисть (на уровне запястья, вычленение запястья)
- Ниже локтевого сустава, на уровне предплечья. Несмотря на то что сохранение длины культи является важным фактором, нижней отдел предплечья имеет тонкий кожно-фасциальный слой, что может послужить проблемой для укрытиями им костных опилов и впоследствии привести к образованию ран. Поэтому как правило ампутация выполняется на границе нижней и средней трети предплечья. Выкраиваются два лоскута. В ране перевязываются сосуды, обрабатываются нервы. Кости перепиливаются, обрабатываются костные опилы. Рана дренируется и ушивается. Ампутация Крукенбурга выполняется как вторичное вмешательство при ампутации на уровне предплечья. Используется при ампутации двух рук или у слепых людей. Формируется функциональная культя в виде «клешни», что позволяет совершать хватательные движения.
- В локтевом суставе (вычленение локтевого сустава).
- Ампутация на уровне плеча как правило делается на 4 см выше локтевого сустава, это позволяет изготовить функциональный протез с механизмом сгибания, разгибания и ротации. Культя формируется двумя кожно-фасциальными лоскутами, длинным с передней поверхности плеча и коротким — с задней. Рана культи дренируется.
Ампутации в плечевом суставе (вычленение плечевого сустава) и выше плечевого сустава выполняются крайне редко при наличии абсолютных показаний.
Осложнения
- Гематомы. Как правило тщательный гемостаз и дренирование ран сводят к минимуму образования послеоперационных гематом.
- Нагноение культи, инфекции. В послеоперационном периоде проводятся перевязки, наблюдение ран, антибиотикотерапия.
- Некроз культи как правило связан с недостаточным кровоснабжением тканей и может привести к более высокому уровню ампутации.
- Контрактуры. Обычно предотвращаются немедленным послеоперационным активным движением (если нет противопоказаний) и наложением гипсовой лонгеты на сустав.
- Невриномы при вовлечении в послеоперационный рубец могут вызывать каузалгии (жгучие боли). Если консервативное лечение не эффективно, производится оперативное удаление невриномы.
- Тромбоз глубоких вен и тромбоэмболия легочной артерии. Для профилактики этих состояний пациенту назначаются профилактические дозы низкомолекулярных гепаринов.
- Фантомные боли - болезненные ощущения в отсутствующем сегменте конечности.
Лечение в нашей клинике
В Инновационном сосудистом центре врачи прилагают все усилия, чтобы сохранить конечность, однако в случае невозможности это сделать мы максимально сохраняем длину и функцию культи руки. В последнее время отмечаются большой прогресс в реабилитации людей с ампутацией верхних конечностей. Связано это с появлением новых функциональных бионических протезов. Поэтому даже высокие уровни ампутации позволяют большому количеству пациентов хорошо адаптироваться для повседневной жизни после таких протезирований.
В послеоперационном периоде врачи клиники и реабилитационного центра производят перевязки, наблюдение за раной, занимаются подготовкой культи для протезирования.
Протезирование может быть косметическим и функциональным. Косметическое протезирование позволяет устранить косметический дефект после ампутации, однако не несет никакой функциональной пользы. Современные бионические протезы являются электро-механическими устройствами, позволяющими компенсировать часть функций утраченной конечности. Сигналы для действия таких протезов снимаются с мышц и передаются на механические приводы функционального протеза. К сожалению, такие устройства доступны очень немногим пациентам.
Размозжение и травматическая ампутация на уровне запястья и кисти
Размозжение и травматическая ампутация на уровне запястья и кисти - отсечение, отторжение части или всей конечности в результате механического воздействия 1.
Соотношение кодов МКБ-10 и МКБ-9:
| МКБ-10 | МКБ-9 | ||
| Код | Название | Код | Название |
| S67. | Размозжение запястья и кисти | 84.22 | Реимплантация пальца руки |
| S67.0 | Размозжение большого и другого пальца (ев) кисти | 84.23 | Реимплантация предплечья, запястья или кисти. |
| S67.8 | Размозжение другой и неуточненной части запястья и кисти | 84.01 | Ампутация и дезартикуляция пальца руки |
| S68. | Травматическая ампутация на уровне запястья и кисти. | 84.02 | Ампутация и дезартикуляция большого пальца руки |
| S68.0 | Травматическая ампутация большого пальца кисти (полная) (частичная) | 84.03 | Ампутация кисти |
| S68.1 | Травматическая ампутация другого одного пальца кисти (полная) (частичная) | 84.04 | Дезартикуляция лучезапястного сустава |
| S68.2 | Травматическая ампутация двух и более пальцев кисти (полная) (частичная) | ||
| S68.3 | Сочетанная травматическая ампутация части пальца(ев) и других частей запястья и кисти | ||
| S68.4 | Травматическая ампутация на уровне запястья. | ||
| S68.8 | Травматическая ампутация других частей запястья и кисти | ||
| S68.8 | Травматическая ампутация запястья и кисти на неуточненном уровне. | ||
Дата разработки протокола: 2016 год.
Пользователи протокола: врачи скорой неотложной помощи, фельдшеры, травматологи-ортопеды, хирурги, нейрохирурги, ангиохирурги, врачи общей практики.
Категория пациентов: взрослые.
Шкала уровня доказательности:
Класс I - польза и эффективность диагностического метода или лечебного воздействия доказана и/или общепризнаны.
Класс II - противоречивые данные и/или расхождение мнений по поводу пользы/эффективности лечения.
Класс IIа - имеющиеся данные свидетельствуют о пользе/эффективности лечебного воздействия.
Класс IIb - польза/эффективность менее убедительны.
Класс III - имеющиеся данные или общее мнение свидетельствует о том, что лечение неполезно/неэффективно и в некоторых случаях может быть вредным.
| А | Высококачественный мета-анализ, систематический обзор РКИ или крупное РКИ с очень низкой вероятностью (++) систематической ошибки результаты которых могут быть распространены на соответствующую популяцию. |
| В | Высококачественный (++) систематический обзор когортных или исследований случай-контроль или Высококачественное (++) когортное или исследований случай-контроль с очень низким риском систематической ошибки или РКИ с невысоким (+) риском систематической ошибки, результаты которых могут быть распространены на соответствующую популяцию. |
| С | Когортное или исследование случай-контроль или контролируемое исследование без рандомизации с невысоким риском систематической ошибки (+). Результаты которых могут быть распространены на соответствующую популяцию или РКИ с очень низким или невысоким риском систематической ошибки (++ или +), результаты которых не могут быть непосредственно распространены на соответствующую популяцию. |
| D | Описание серии случаев или неконтролируемое исследование или мнение экспертов. |

Автоматизация клиники: быстро и недорого!
- Подключено 300 клиник из 4 стран
- 800 RUB / 4500 KZT / 27 BYN - 1 рабочее место в месяц

Автоматизация клиники: быстро и недорого!
- Подключено 300 клиник из 4 стран
- 1 место - 800 RUB / 4500 KZT / 27 BYN в месяц
Мне интересно! Свяжитесь со мной
Классификация
По механизму отчленения:
· гильотинные;
· электропилой;
· от раздавливания;
· скальпированные (при наличии обширной скальпированной раны культи — следствия травматического воздействия, обусловившего также и ампутацию);
· тракционные (отрывы).
Виды повреждений:
· неполное отчленение;
· полное отчленение;
· обширное повреждение (дефект) костей и мягких тканей.
Причины:
· рельсовая травма (переезд колесом поезда или трамвая);
· падение на конечность большого груза;
· отсечение конечности циркулярной пилой;
· попадание конечности в движущиеся части каких-либо механизмов;
· взрывные повреждения.
Диагностика (стационар)
ДИАГНОСТИКА НА СТАЦИОНАРНОМ УРОВНЕ
Диагностические критерии
Жалобы и анамнез:
боли в области пораженного участка кисти;
• нарушения функции кисти (ограничения движения в суставах, снижение/отсутствие хватательной способности кисти);
• деформация фаланг кисти;
• указание на травму.
Физикальное обследование:
• кровотечение из области пораженного участка кисти;
• пальпация сломанной кости болезненна, иногда прощупываются сместившиеся отломки (в виде ступеньки);
• движения в суставах кисти ограниченные, резко нарушена хватательная функция;
• кисть полностью/частично отделена на уровне запястья.
NB! Наиболее резистентны к травме кожа и кости, поэтому объём размозжения мягких тканей значительно превышает размер раны. Кожа культи отслоена на большом протяжении проксимальнее раны. При отрыве конечности культи нервов и сосудов могут располагаться проксимальнее уровня отрыва. Раздавленные магистральные сосуды культи тромбированы, кровоточат только мышечные ветви и сосуды кости.
Лабораторные исследования: нет
Инструментальные исследования:
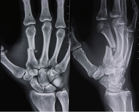
• рентгенологическое обследование в стандартных двух проекциях на уровне запястья и кисти (переднезадней и боковой) - линии переломов могут быть поперечными, косыми, спиральными, продольными, краевыми с отрывом места прикрепления сухожилий, внутрисуставными и внесуставными.

Диагностический алгоритм:
Перечень основных диагностических мероприятий:
· общий анализ крови;
· общий анализ мочи;
· группа крови;
· резус - фактор;
· анализ крови на ВИЧ;
· HBs-антиген;
· RW;
· биохимический анализ крови (билирубин общий АЛТ, АСТ, мочевина, креатинин, белок общий);
· рентгенография пораженного участка кости или суставов;
· ЭКГ.
Перечень дополнительных диагностических мероприятий:
· ангиография сосудов.
Лечение
Препараты (действующие вещества), применяющиеся при лечении
| Алпростадил (Alprostadil) |
| Амоксициллин (Amoxicillin) |
| Ацетилсалициловая кислота (Acetylsalicylic acid) |
| Ванкомицин (Vancomycin) |
| Гепарин натрия (Heparin sodium) |
| Дипиридамол (Dipyridamole) |
| Кетопрофен (Ketoprofen) |
| Кеторолак (Ketorolac) |
| Клавулановая кислота (Clavulanic acid) |
| Клопидогрел (Clopidogrel) |
| Левофлоксацин (Levofloxacin) |
| Метамизол натрия (Metamizole) |
| Метронидазол (Metronidazole) |
| Моксифлоксацин (Moxifloxacin) |
| Пентоксифиллин (Pentoxifylline) |
| Сульбактам (Sulbactam) |
| Трамадол (Tramadol) |
| Тримеперидин (Trimeperidine) |
| Цефазолин (Cefazolin) |
| Цефтазидим (Ceftazidime) |
| Цефтриаксон (Ceftriaxone) |
| Цефуроксим (Cefuroxime) |
| Ципрофлоксацин (Ciprofloxacin) |
| Эртапенем (Ertapenem) |
Группы препаратов согласно АТХ, применяющиеся при лечении
| (J01DC) Цефалоспорины второго поколения |
| (J01DD) Цефалоспорины третьего поколения |
Лечение (скорая помощь)
ДИАГНОСТИКА И ЛЕЧЕНИЕ НА ЭТАПЕ СКОРОЙ НЕОТЛОЖНОЙ ПОМОЩИ
Диагностические мероприятия:
· сбор жалоб и анамнеза, клиническая диагностика повреждения;
· физикальное обследование.
Медикаментозное лечение:
Противошоковая терапия;
Наркотические анальгетики:
· тримеперидин 10 мг в/м, в/в;
Опиоидные анальгетики:
· трамадол 50 мг, в/м, в/в.
Ненаркотический анальгетик:
· метамизол натрия 250/500 мг в/в.
| № | Препарат, формы выпуска | Дозирование | Длительность применения | Уровень доказательности |
| Опиоидные анальгетики | ||||
| 1 | Тримеперидин | |||
Первая помощь при размозжении и травматической ампутации на уровне запястья и кисти

NB! При неполном отчленении следует избегать скручивания тканей неповрежденного участка, что может ухудшить остаточный кровоток, а при иммобилизации нельзя допускать сдавления сегмента.

Рисунок - 1. Двухпакетный (один полиэтиленовый пакет вложен в другой) способ упаковки отчлененного (ампутированного) сегмента.

Рисунок - 2. Трёхпакетный (полиэтиленовые пакеты вложены друг в друга) способ упаковки отчлененного (ампутированного) сегмента.
NB! Продолжительность сохранения жизнеспособности отчлененного сегмента зависит от вида (полная, неполная) ампутации, «тепловой» или «холодовой» сохранности ампутированной конечности. При t° до + 4° сохранность в часах: Пальцы - 16. Кисть - 12. При t° более + 4° Пальцы - 8. Кисть - 6.
Лечение (стационар)
ЛЕЧЕНИЕ НА СТАЦИОНАРНОМ УРОВНЕ
Тактика лечения:
· неотложная помощь - окончательная остановка кровотечения;
· выведение пострадавшего из состояния травматического шока и стабилизация показателей гемодинамики и дыхания;
· экстренное оперативное вмешательство, которое проводится по правилам неотложной хирургии. Основная цель оперативного вмешательства - реплантация кисти.
Хирургическое вмешательство:
Травматологический этап - остеосинтез (кости часто приходится укорачивать на длину до 1 см, чтобы предупредить натяжение сосудисто-нервных пучков). Остеосинтез отломков с помощью компрессирующих винтов-шурупов. Остеосинтез отломков с помощью титановых блокируемых пластин, спиц.
Микрохирургический этап - восстановление целостности сухожилий разгибателей пальцев. Восстановление целостности сухожилий сгибателей пальцев. Ауто и аллопластика сухожилий. Перемещение сухожилий. Восстановление целостности артерий с использованием микрохирургической техники и оптики. Сшивание нервов с использованием микрохирургической техники и оптики. Восстановление целостности вен с использованием микрохирургической техники и оптики. Реконструктивное восстановление сосудисто-нервного пучка с использованием микрохирургической техники и оптики.
Свободное, без натяжения ушивание кожной раны.
NB! формирование культи при невозможности реплантации кисти при сильном размозжении тканей, опасности развития анаэробной инфекции
Немедикаментозное лечение;
· режим I,II,III;
· диета - №15.
Медикаментозное лечение (в зависимости от степени тяжести заболевания):
После проведенной операции проводится медикаментозная терапия. Основными принципами проводимых консервативных мероприятий являются антикоагулянтная терапия с целью профилактики тромботических осложнений (УД - В) 13. Гепарин/его фракционированные аналоги. Начальная доза гепарина составляет 5000 ЕД парентерально/подкожно под контролем АЧТВ.
Антибактериальная терапия применяется для профилактики развития гнойно-септических осложнений (УД - А) [15]. При воспалении послеоперационной раны и для профилактики послеоперационных воспалительных процессов применяются антибактериальные препараты.
Купирование болевого синдрома: НПВС в стандартной дозировке при наличии показаний, при необходимости назначаются наркотические анальгетики.
Гемотрансфузия должна проводится по показаниям (интраоперационно и\или послеоперационном периоде).
Антиагрегантная терапия с целью улучшения реологических свойств крови (УД - А) [22,23].
· ацетилсалициловая кислота 75-325 мг/сут перорально;
· клопидогрель 75 мг, 300 мг 1 раз в сутки перорально;
· дипиридамол 50-600 мг/сут перорально.
NB! Длительность антиагрегантной терапии, режим дозирования индивидуальный, с учетом мониторинга лабораторных показателей.
Ангиопротекторы показаны в качестве дополнительной терапии с целью коррекции микроциркуляции (УД - В) [16,17]
· алпростадил 20-60 мкг в/в 1-2 раза в сутки;
· пентоксифиллин 100-300 мг/сут парентерально; или 400 мг перорально 2-3 раза в сутки.
Назначаются эмпирические препараты широкого спектра действия до получения результатов бактериологического исследования.
Таблица - 1. Схема эмпирической терапии.
| Степень тяжести | Вероятный возбудитель | Препарат | Дозировка |
| Умеренная (применяются пероральные формы антибактериальных средств) | Staphylococcus aureus; Streptococcus spp | Амоксициллин/клавуланат Амоксициллин/сульбактам Цефуроксим | 625 мг 3р/сут; 1000мг 2р/сут; 500мг2/сут. |
| Средней степени тяжести (ступенчатая терапия или только парентеральная терапия) | Streptococcus spp; Enterobacteriaceae; obligate anaerobes MRSA | Цефтриаксон Цефтазидим Левофлоксацин Моксифлоксацин Эртапенем Ванкомицин Цефалоспорины 2-3 поколения + метронидазол | 1-2 г 1р/сут 3-6 г/сут 500 мг 2р/сут 400мг 1 р/сут 1г 1р/сут 2г/сут |
NB! Продолжительность антибактериальной терапии 7-14 дней.
| № | Препарат, формы выпуска | Дозирование | Длительность применения | Уровень доказательности |
| Антикоагулянтная терапия | ||||
| 1 | Гепарин | Парентерально (профилактика и лечение). Начальная доза 5000 ME внутривенно, затем подкожно или внутривенно в виде инфузии. Поддерживающие дозы: непрерывно внутривенно по 1000-1250 МЕ/ч, 1000 мл изотонического раствора натрия хлорида; регулярно внутривенно по 5000-10 000 ME каждые 4-6 ч; подкожно каждые 6 ч по 5000 ME. | 5-7 суток под контролем АЧТВ | А |
| Периоперационная антибиотикопрофилактика при проведении оперативного вмешательства | ||||
| 2 | Цефазолин | 1-2 г в/в | однократно за 0,5-1 ч до операции (если операция более 3 ч: повторно через 4 ч) | А |
| При аллергии на β-лактамные антибиотики | ||||
| 3 | Ванкомицин | 1 г в/в | 1 раз за 2 часа до разреза кожных покровов. Вводится не более 10 мг/мин; продолжительность инфузии должна быть не менее 60 мин. | А |
| Антибиотикотерапия при инфицировании | ||||
| 4 | Амоксициллин клавуланат | |||
Другие виды лечения: нет.
Показания для консультации специалистов:
· консультация невропатолога: при наличии неврологической патологии;
· консультация терапевта: при изменениях на ЭКГ, сопутствующей патологии;
· консультация нефролога при ОПН на фоне реперфузионного синдрома.
Показания для перевода в отделение интенсивной терапии и реанимации:
· травматический и геморрагический шок, нарушение дыхательной и сердечной деятельности.
Индикаторы эффективности лечения:
· купирование болевого синдрома;
· восстановление кровотока и чувствительности;
· стабильный остеосинтез репонированных костных отломков;
· восстановление двигательной и хватательной функции кисти;
· первичное заживление ран.
МЕДИЦИНСКАЯ РЕАБИЛИТАЦИЯ: смотрите протокол по медицинской реабилитации профиль «Травматология (взрослая)».
Госпитализация
Показания для плановой госпитализации: нет.
Показания для экстренной госпитализации:
· размозжение запястья и кисти;
· травматическая ампутация на уровне запястья и кисти.
Информация
Источники и литература
Информация
| MRSA (methicillin-resistant Staphylococcus aureus) | - | метициллинрезистентный золотистый стафилококк |
| АЧТВ | - | активированное частичное тромбопластиновое время |
| ВИЧ | - | вирус иммунодефицита человека |
| КТ | - | компьютерная томография |
| RW | - | реакция Вассермана |
| НПВС | - | нестероидные противовоспалительные средства |
| ОПН | - | острая почечная недостаточность |
| ЭКГ | - | электрокардиография |
Список разработчиков протокола с указанием квалификационных данных:
1) Баймагамбетов Шалгинбай Абыжанович - доктор медицинских наук, заместитель директора по клинической работе РГП на ПХВ «Научно-исследовательский институт травматологии и ортопедии» МЗСР РК.
2) Баубеков Мейрам Бейсембаевич - кандидат медицинских наук, старший научный сотрудник, заведующий отделением микрохирургии и травмы кисти РГП на ПХВ «Научно-исследовательский институт травматологии и ортопедии» МЗСР РК.
3) Игимбаев Тимур Киндешевич - кандидат медицинских наук, доцент кафедры общей хирургии, травматологии и ортопедии РГП на ПХВ «Карагандинский государственный медицинский университет» МЗСР РК.
4) Ихамбаева Айнур Ныгымановна - врач клинический фармаколог АО «Национальный центр нейрохирургии».
Указание на отсутствие конфликта интересов: нет.
Список рецензентов: Дюсупов Ахметкали Зейнолдаевич - доктор медицинских наук, профессор, заведующий кафедрой медицина катастроф РГП на ПХВ «Государственный медицинский университет города Семей» МЗСР РК.
Указание условий пересмотра протокола: пересмотр протокола через 3 года после его опубликования и с даты его вступления в действие или при наличии новых методов с уровнем доказательности.
Ампутация кисти
Ампутация - это операция, подразумевающая удаление части или всей конечности. Проводится при невозможности сохранить ее жизнеспособность при полном разрушении. Операция ведет к получению инвалидности, требует прохождения длительной реабилитации. Ампутация кисти проводится на разных уровнях, и во всех случаях основной задачей является сохранение длины пораженной конечности. Чем больше величина оставшейся руки, тем проще выполнить дальнейшее протезирование.
Что из себя представляет операция ампутации кисти
Данная операция подразумевает удаление руки посредством отсечения мягких тканей и кости. Данную разновидность вмешательства принято называть экзартикуляцией. Травматическая ампутация может выполняться по суставу или кости. Если же хирургическое вмешательство выполняется с вычленением сустава, это будет называться экзартикуляцией.
Процедура необходима в той ситуации, когда есть прямая угроза для жизни пациента. Обычно отсечение конечности выполняется, если другие методы терапии не дали положительных результатов. Оно позволяет предупредить развитие негативных последствий и осложнений.
Наиболее распространённые причины, по которым проводится ампутация кисти
Процедура проводится в крайнем случае, когда травмированную конечность не удаётся сохранить. Есть ряд показаний, когда необходимо отсечение кисти.
- Злокачественные образования, поразившие мягкие ткани и кости.
- Попадание человека в ДТП.
- Осложнения сахарного диабета.
- Гангрена, вызванная негативным влиянием химических веществ, ожогами или обморожениями.
- Травматические поражения.
- Атеросклероз, сопровождающийся дальнейшим отмиранием тканей.
- Трофические язвы, которые длительный период не поддаются лечению.
Есть также относительные показания, при которых вопрос об отсечении конечности решается в индивидуальном порядке. К ним относятся острые раневые инфекции, злокачественные опухоли, деформация конечностей.
Перед выполнением хирургического вмешательства пациента направляют на обязательные обследования. Он обязан сдать клинический анализ крови и мочи. Выполняется УЗИ артерий и вен верхних конечностей. Необходим биохимический анализ крови.
Перед отсечением конечности обязательно выполняется обезболивание. Могут использоваться разные виды анестезии, они подбираются в зависимости от ситуации. Например, может быть использована инфильтрационная, общая или проводниковая.
Пациент должен лежать на спине, а выпрямленную руку укладывают на стол. Врач обрабатывает руку антисептиком, а операционное поле укрывает стерильными простынями.
Чтобы подобрать подходящий вид обезболивания, пациент предварительно консультируется с анестезиологом. Необходимо выяснить, нет ли у человека непереносимости или аллергии на определенные виды наркоза, медикаментозные препараты.
Принято выделять несколько разных уровней ампутации руки:
- Пальцы или часть кисти. Если наблюдается повреждение пальцев кисти, важно оставить большой и мизинец. Они непосредственно участвуют в процессе хватания.
- Кисть. Отсечение проводится на уровне запястья.
- Ниже локтевого сустава. Для врачей важно сохранить максимальную длину культи, но нижний отдел предплечья отличается тонким кожно-фасциальным слоем. Это может стать проблемой и привести к образованию ран. По этой причине ампутацию обычно выполняют на уровне нижней и средней трети предплечья, выбирается граница между этими зонами. Хирурги выкраивают два лоскута. В области раны обязательно перевязывают сосуды, а также обрабатывают нервы. Кости необходимо перепилить, а затем выполнить их обработку. Рану подвергают дренированию, затем проводят ушивание. Также может проводиться ампутация Крукенберга. Она представляет собой вторичное вмешательство при отсечении конечности на уровне предплечья. Применяется для слепых пациентов или в случае ампутации обеих рук. Врач стремится сформировать функциональную культю, которая по форме напоминает «клешни». Благодаря этому удаётся совершать хватательные действия.
- В области локтевого сустава. Проводится вычленение локтевого сустава.
- На уровне плеча. Обычно отсечение проводится на 4 см выше локтевого сустава. Благодаря этому удается создать функциональный процесс, имеющий механизм сгибания, а также разгибания. Культю удаётся сформировать с помощью двух кожно-фасциальных лоскутов. Врач во время процедуры дренирует рану.
Вычленение плечевого сустава проводится в редких случаях. Для этого должны быть абсолютные показания.
Возможные осложнения
Ампутация кисти считается трудоемкой процедурой. Она может привести к возникновению определенных осложнений. Есть риск развития гематом, нагноения культи, некроза. Также встречаются тромбоз глубоких вен, фантомные боли, невриномы, контрактуры.
Врачи стремятся предупредить развитие осложнений, проводя их профилактику. Также от пациента требуется соблюдать все врачебные рекомендации.
Реабилитация начнётся после того, как произойдёт ампутация кисти. В первое время пациент может жаловаться на фантомные боли, депрессию. Считается, что вовремя начатая физическая реабилитация помогает бороться с депрессивными состояниями.
Важно предупредить атрофию мышц и нервных окончаний. Человек обязан каждый день делать определённые упражнения. После заживления культи часто ставится временный протез. После выписки человек оформляет инвалидность, ищет постоянный протез. Он постепенно возвращается к нормальной жизни.
Преимущества проведения операции в клинике «Чудо Доктор»
Клиника «Чудо Доктор» готова качественно провести ампутацию кисти и предупредить развитие негативных последствий. Врачи не только выполнят отсечение конечности, но и помогут пройти реабилитацию.
Преимущества обращения в клинику:
- Операцию проводят опытные специалисты с высокой квалификацией.
- Процедура выполняется под наркозом или местным обезболиванием.
- Лечение после операции проходит в условиях стационара, человек находится в комфортных условиях.
- Врачи проводят безошибочную диагностику и назначают эффективное лечение.
Клиника «Чудо Доктор» работает больше 23 лет. За это время она заслужила отличную репутацию. Можно записаться на прием к врачу на официальном сайте клиники. Для этого нужно выбрать отделение, специалиста, дату и время. Также можно позвонить по телефону медицинского центра, чтобы задать консультанту интересующие вопросы и назначить приём.
Читайте также:
- Ведение больных с артериальной гипотензией. Коррекция гиповолемии.
- Осложнения криптита прямой кишки. Хронический криптит прямой кишки.
- Примеры семейной эксудативной витриоретинопатии симулирующей ретинобластому
- Регуляция массы тела. Лечение ожирения
- Послеоперационный уход после остеохондральной аутотрансплантации коленного сустава
