Профилактика ишемии мозга при временном клипировании аневризмы. Анестезиологические методы
Добавил пользователь Владимир З. Обновлено: 20.01.2026
Медицинское компьютерное оборудование для диагностики функционального состояния организма у больных, здоровых и спортсменов.
АНЕСТЕЗИЯ ПРИ КЛИПИРОВАНИИ АНЕВРИЗМЫ ГОЛОВНОГО МОЗГА
До сих пор не проводилось обширных рандомизированных контрольных клинических исследований, демонстрирующих преимущество одного вида анестезии перед всеми другими. Сколько кетамина и сукцинилхолина вы используете для индукции? Применяете ли вы вслед за этим галотан и закись азота для поддержания анестезии? Представление о том, что все препараты равнозначно применимы для целей нейрохирургии (клипирование аневризм и др.), глубоко ошибочно и основывается на некорректных примерах (1). Итак, как мы принимаем решение в отсутствие очевидных доказательств? Когда нет выбора, мы исходим из наших собственных умозаключений, основанных на косвенных доказательствах. А эти косвенные доказательства в свою очередь базируются на экспериментальных данных «о специфических вредных влияниях, выявляемых в опытах на животных с искусственно созданной патологией, и результаты этих исследований мы принимаем в качестве показаний для большинства больных несмотря на то, что они могут быть вредны для оставшегося меньшинства» (2). Эксперты расходятся во мнении, что считать лучшим, и даже нет единого мнения о том, что должно быть исключено. Целью этой лекции является выражение моих взглядов и доводов, которыми я их постараюсь подтвердить. И в заключение я надеюсь убедить вас в том, что необходимо обширное рандомизированное контрольное, с учетом исходов исследование.
Введение
От 1 до 2 процентов разрывов аневризм происходит во время индукции в наркоз и интубации трахеи (3, 4). По закону Лапласа, когда аневризма увеличивается и ее стенки становятся тоньше, требуется меньшее давление для достижения разрыва (5). По аналогии с раздутым баллоном аневризма может увеличиться или за счет повышения давления изнутри, или за счет уменьшения давления снаружи. Таким образом, либо повышение среднего АЛ (САД), либо внезапное падение давления цереброспинальной жидкости (ДЦЖ) или ткани мозга могут увеличить трансмуральное давление, что увеличит напряжение стенок аневризмы с угрозой ее разрыва (6, 7). Следовательно, нам необходимо избегать быстрых колебаний внутричерепного давления (ВЧД), вызываемых либо напрямую за счет повышения САД, либо косвенно, за счет рикошетной внутричерепной гипертензии после резкого снижения САД или падения ВЧД изза потери цереброспинальной жидкости. Для вводного наркоза и интубации я выбираю тиопентал (57 мг/кг), недеполяризующий мышечный релаксант (панкурониум 0.120.15 мг/кг), фентанил (710 нг/кг) и 1.5 мг/кг лидокаина за 23 минуты до интубации. Тиопентал я выбираю изза того, что он снижает ВЧД и давление в самой аневризме за счет уменьшения церебрального кровотока (ЦК); (8) панкурониум изза того, что это не сукцинилхолин ( большая операция, длительность которой зависит как от хирургической бригады, так и от трудности выделения аневризмы); фентанил потому, что это не суфентанил или альфентанил ( длительность). Именно здесь и начинается головоломка. Как было показано в различных исследованиях, ни опиоиды короткого действия, ни сукцинилхолин не оказывают вредного влияния на исход. С другой стороны имеются данные, что все три препарата способны повышать ВЧД у людей в количествах, в которых обычно они не применяются (911). Но вдруг это придется сделать, ведь один человек не похож на другого? И в связи с этим, когда я не уверен в индивидуальном ответе ВЧД, стараюсь избегать препаратов, применение которых может вызвать неблагоприятный эффект даже в единичном случае, хотя в большинстве случаев их применение не таит в себе никаких неприятностей (12, 13).
Поддержание анестезии
У больных САК выше 3й степени, где с достаточной вероятностью можно ожидать отсроченный выход из анестезии, я предпочитаю использовать инфузию 46 мг/кг/час тиопентала, прекращаемую за 1 час до закрытия дефекта, и небольшие дополнительные болюсы пропофола по мере необходимости. Температура тела поддерживается между 3534°С.
Возможно самым спорным аспектом приведенных выше рекомендаций является использование тиопентала, хотя достаточно хорошо известно (1517), что назначение барбитуратов в подобных ситуациях является полезным. Самым главным механизмом защитного действия барбитуратов считается снижение метаболизма головного мозга. Однако некоторые авторы (18) оспаривают действующую гипотезу, что снижение метаболизма мозга имеет существенный защитный эффект. Дело в том, что все известные средства снижения метаболизма головного мозга одновременно влекут за собой отрицательные эффекты с учетом особенностей действия препаратов, методик и токсинов, которые уменьшают границы метаболизма головного мозга до шаткого равновесия между защитой и повреждением.
Nakashima et al. в проведенном недавно исследовании установили, что для равнозначного снижения метаболизма головного мозга, достигаемого при помощи гипотермии, пентобарбитола или изофлюрана, гипотермия приводит к существенному удлинению времени деполяризации коры головного мозга и опасности остановки сердца (19). Verhaegen et al. обнаружили, что на фоне ишемии гипотермия снижает метаболизм головного мозга в гораздо большей степени, чем пентобарбитол или изофлюран (20). На основании вышеизложенного мы считаем, что умеренная гипотермия находится ближе всего к защитной части континуума, затем на некотором расстоянии от нее располагаются анестетики (обратимые нейротоксины), а перемещаясь в повреждающий конец континуума, мы находим необратимые нейротоксины, рядом с которыми располагается тупая травма. Суть здесь заключается в том, что польза от снижения метаболизма головного мозга остается постоянной, в то время как цена этого варьирует от малого до летального.
В дополнение к снижению метаболизма головного мозга пентобарбитал часто снижает повышенное ВЧД, рефрактерное к действию гипервентиляции и маннитола (14). В экспериментах на обезьянах удалось показать, что определенный защитный эффект барбитуратов в условиях фокальной ишемии обусловлен вазоконстрикцией в зонах здорового мозга и шунтированием церебрального кровотока в поврежденные области. Доказано, что в дополнение к уменьшению метаболизма головного мозга барбитураты снижают приток Са в клетку, угнетают образование свободных радикалов, усиливают ГАМКэргическую активность, уменьшают степень отека головного мозга и препятствуют перемещению глюкозы через гематоэнцефалический барьер. Среди других потенциально значимых защитных эффектов барбитуратов недавно обнаружена их полезная роль в уменьшении метаболизма головного мозга за счет способности уменьшать транспорт глюкозы в клетки и блокирования Na каналов (21, 22, 23, 24). Возможно, это и есть ведущие механизмы снижения метаболизма головного мозга под действием барбитуратов.
Почему до минимума сведено использование ингаляционных анестетиков?
Ингаляционные анестетики галотан, энфлюран, изофлюран, севофлюран и дезфлюран уменьшают церебральное сосудистое сопротивление, вызывают дилятацию сосудов и дозозависимое увеличение церебрального кровотока и обьема крови, повышение ВЧД. Закись азота также повышает церебральный кровоток и ВЧД за счет стимуляции церебрального метаболизма и увеличивает частоту случаев послеоперационной рвоты. Исходя из этих и других соображений (28), использование закиси азота при нейрохирургических вмешательствах всегда требует осторожности и учета строгих показаний. При использовании ингаляционных анестетиков степень нарушения ауторегуляции мозгового кровотока увеличивается по мере возрастания дозы. Происходящее повышение ВЧД в сочетании со снижением системного кровяного давления, обусловленного действием ингаляционных анестетиков, может снизить церебральное перфузионное давление до критического уровня с риском развития нарушений мозгового кровотока от локальной до генерализованной ишемии. Влияние севофлюрана на мозговой кровоток и активность СО2 у людей до сих пор остается дискутабельной, но большинство полученных в последнее время доказательств свидетельствует об их снижении (30). Следует учесть и потенциальную токсичность продукта деградации севофлюрана, т.н. компонента А, которая в настоящее время продолжает изучаться и может оказаться ложной. В последних работах было продемонстрировано, что другой новый анестетик дезфлюран существенно повышает ВЧД у нейрохирургических больных с повреждениями мозговых структур, расположенных над мозжечковым наметом, несмотря на наличие гипокапнии (31). Подобное влияние является следствием симпатоадреналовой стимуляции (32). Гипервентиляция и производимая при этом гипокапния не устраняют увеличения мозгового кровотока, обусловленного действием N2O. Несмотря на то, что изофлюран считается самым безопасным из ингаляционных анестетиков, предположение о том, что он обеспечивает достаточную защиту мозга, неправомерно (33, 34).
Вазоспазм
Клинически выраженная вазоспастическая симптоматика наблюдается у 45% больных с САК в течение 3 месяцев после операции (35). Своеобразным стандартом нефармакологической помощи стала методика трех Г гипертензивной гиперволемии и гемодилюции. Больные, у которых после операции возникает новый очевидный неврологический дефицит, должны обследоваться при помощи транскраниальной допплер флоуметрии или других методов исследования церебрального кровотока, чтобы подтвердить наличие вазоспазма после того, как на компьютерной томографии установлено наличие гидроцефалии или повторного САК. Коллоиды, но не на основе гидроксиэтилкрахмала, вводятся внутривенно до ЦВД 10-15 мм рт.ст. и давления заклинивания легочных капилляров 1520 мм рт.ст.. Самым частым осложнением методики трех Г является отек легких, затем следуют другие легочные осложнения, осложнения со стороны сердца и повышенный риск повторного кровотечения.
Вывод
Многие из приведенных выше рекомендаций совершенно приемлемы прежде всего замена пропофола на тиопентал. В самом деле, из многообразия препаратов и методов общей анестезии, применяемых во время клипирования аневризм, для практической деятельности следует выбрать те, которые обладают может быть и незначительными, но более выгодными свойствами. Все принимаемые нейроанестезиологом решения должны иметь главной целью улучшение результатов оперативного лечения и сведение к минимуму неблагоприятных воздействий.
Профилактика ишемии мозга при временном клипировании аневризмы. Анестезиологические методы
ФГБВОУ ВПО «Военно-медицинская академия им.С.М. Кирова», Санкт-Петербург
ФГБУ «НМИЦ им. В.А. Алмазова» Минздрава России, Санкт-Петербург, Россия;
РНХИ им. проф. А.Л. Поленова — филиал ФГБУ «НМИЦ им. В.А. Алмазова» Минздрава России, Санкт-Петербург, Россия
ФГБУ «НМИЦ им. В.А. Алмазова» Минздрава России, Санкт-Петербург, Россия
Кафедра биофизических методов в медицине факультета повышения квалификации медицинских работников медицинского института Российского университета дружбы народов;
Детская городская клиническая больница №9 им. Г.Н. Сперанского
ФГБУ «Национальный медицинский исследовательский центр им. В.А. Алмазова» Минздрава России, 197341, Санкт-Петербург, Россия
Хирургическая тактика временного клипирования применяется при операциях по поводу церебральной аневризмы (ЦА) в 23—52% случаев [1]. Известно, что впервые временное клипирование артерии артериального круга большого мозга выполнил G. Jefferson [1] в 1928 г. во время операции по поводу Ц.А. Превентивное временное клипирование, по некоторым данным, позволяет снизить частоту интраоперационных разрывов аневризм в 2,5—7 раз, т. е. до 4,2—15% [1]. Летальность после операций с использованием превентивного временного клипирования в 3—5 раз ниже, чем после операций с вынужденным временным клипированием, выполненным на фоне кровотечения из аневризмы [1, 2]. В настоящее время для выполнения временного клипирования применяют съемные клипсы с низким давлением браншей, не приводящим к повреждению интимы артерий [3]. Некоторые хирурги [4], учитывая эффективность и относительную безопасность превентивного временного клипирования, рассматривают возможность его рутинного применения в хирургии аневризм. К осложнениям временного клипирования относят ишемию головного мозга, ангиоспазм, повреждение эндотелия и тромбирование артерии, подвергнутой окклюзии [5]. Длительность временного клипирования артерий при открытых нейрохирургических операциях по поводу ЦА является одним из наиболее значимых факторов риска ишемии мозга [6].
Цель исследования — изучение эффективности интраоперационного введения препарата цитофлавин для профилактики ишемического повреждения головного мозга при открытых нейрохирургических операциях клипирования ЦА с использованием временной окклюзии приводящей артерии в условиях общей анестезии.
Материал и методы
В проспективное когортное одноцентровое исследование включены 40 пациентов (7 мужчин и 33 женщины) в возрасте от 40 до 70 лет с ЦА, оперированных одной нейрохирургической бригадой в период 2015—2018 гг. на базе нейрохирургического отделения № 6 (рук. — д.м.н., проф. В.Ю. Черебилло) ФГБУ «НМИЦ им. В.А. Алмазова» Минздрава России.
Критериями включения явились следующие признаки:
— выполнение открытой микрохирургической операции клипирования ЦА;
— плановое интраоперационное использование методики временного клипирования питающей аневризму артерии;
— выполнение оперативного вмешательства в «холодном» периоде без разрыва ЦА;
— возраст пациентов от 40 до 70 лет;
— наличие информированного согласия.
— пациенты в остром периоде разрыва ЦА;
— комбинированный способ лечения ЦА (эндоваскулярная эмболизация для предотвращения повторного кровоизлияния с последующим открытым вмешательством);
— больные с нейродегенеративными заболеваниями и исходным когнитивным дефицитом.
Методом конвертов определяли пациентов, которым интраоперационно до временной окклюзии питающего артериального сосуда вводили цитофлавин. Эти больные составили основную группу (n=27). В группу сравнения вошли 13 пациентов, которым цитофлавин не вводили.

Хирургическая тактика использования временного клипирования приводящего (-их) артериального (-ых) сосуда (-ов) коллегиально обсуждалась в каждом конкретном случае предстоящего нейрохирургического вмешательства на основании заключения нейрохирургического диагностического комплекса: МРТ, КТ головного мозга, КТ-ангиографии сосудов головного мозга, осмотра неврологом и нейрохирургами. Анестезиолог участвовал в обсуждении больных. Общая характеристика пациентов представлена в табл. 1. Таблица 1. Общая характеристика больных Примечание. ГБ — гипертоническая болезнь, ФП — фибрилляция предсердий; ЯБДК — язвенная болезнь двенадцатиперстной кишки.
Риск анестезии и операции был определен как для пациентов с III степенью тяжести состояния по ASA-классификации. Хронические заболевания, имевшиеся у некоторых включенных в исследование пациентов, были вне обострения по клиническим и лабораторным данным, представленным в истории болезни. Оперативное вмешательство проводилось на 2—4-е сутки от даты госпитализации.
Премедикация включала бензодиазепиновый анксиолитик фенорелаксан 1 мл внутримышечно вечером накануне операции и утром в день операции. Интраоперационный гемодинамический мониторинг включал инвазивное измерение САД, ДАД, среднее АД, ЧСС, SpO2 («Philips» IntelliVuе MX800), мониторинг периферической температуры и нейромышечной проводимости (TOF), BIS-мониторинг глубины анестезии, у 8 пациентов — абсолютную и относительную церебральную оксиметрию (FORE-SIGHT MC-2010, CAS Medical Systems; INVOS, «Somanetics Corporation»).
После установки периферической венозной линии и инфузии 0,9% раствора натрия хлорида в периферическую вену начинали индукцию анестезии по схеме: миорелаксант недеполяризующего типа действия рокурония бромид 0,6 мг/кг → пропофол 2,0 мг/кг →фентанил 5,0 мкг/кг, затем выполняли интубацию трахеи без технических трудностей оротрахеальной методикой. ИВЛ осуществляли в режиме нормовентиляции (etCO2 — 37—40 мм рт.ст.) наркозно-дыхательным аппаратом Dreger Zeus. Поддержание анестезии осуществляли методом тотальной внутривенной анестезии (ТВВА): пропофол 5—6 мг/кг/ч в сочетании с фентанилом 5 мкг/кг/ч. Глубина анестезии соответствовала во всех случаях показаниям BIS-мониторинга — 38—32. Миоплегия — глубокий нейромышечный блок (TOF-мониторинг, значение TOF «0», «Philips» IntelliVuе MX800) путем микроструйного введения рокурония бромида 0,6 мг/кг/ч.
После вводного наркоза и кожного разреза на костной части операции на этапе доступа к аневризме в структуре инфузионной терапии анестезиологического пособия вводили внутривенно капельно препарат цитофлавин (ООО «НТФФ «ПОЛИСАН», г. Санкт- Петербург) в количестве 10 мл в разведении 200 мл физиологического раствора в течение 30—40 мин, заканчивая введение до наложения временной клипсы на питающий аневризму артериальный сосуд [7].
Операция заключалась в проведении костнопластической трепанации черепа, широком раскрытии базальных цистерн с аспирацией ликвора, что позволяло уменьшить мозг в объеме и улучшить доступ к артериям основания мозга. Используя операционный микроскоп и микрохирургическую технику, выделяли вначале несущую артерию, затем по возможности одну или две отводящие артерии. В случае интраоперационного разрыва аневризмы это позволяло осуществить наложение временных клипс. Микрохирургическую операцию проводили с превентивным временным клипированием приводящего сосуда, на питающую аневризму артерию накладывали временную клипсу с короткими интервалами окклюзии сосуда. В некоторых случаях анатомические условия позволяли оперирующему нейрохирургу принять решение о клипировании шейки аневризмы без выполнения временной окклюзии питающего сосуда.
Интраоперационное состояние мозга расценивали как удовлетворительное (влажный, податливый, пульсирующий, стабильный в объеме мозг, интраоперационные условия позволяют без дополнительных фармакологических средств и кратковременной гипервентиляции осуществить хирургический доступ к сосудам основания мозга) либо неудовлетворительное (пролабирующее в трепанационный дефект мозговое вещество, увеличенное в объеме, слабо пульсирующее либо пульсация полностью отсутствует, отечный мозг).

Длительность временной окклюзии сосуда, питающего аневризму, в выделенных группах больных представлена в табл. 2. Таблица 2. Характеристика оперативного вмешательства и общей анестезии в исследуемых группах пациентов
Гемостаз осуществляли в течение 10—15 мин без каких-либо особенностей.
Объем кровопотери в среднем составил 210,8±44,24 мл. Отмечались время пробуждения больных после окончания операции и сроки экстубации в послеоперационном периоде. Уровень неврологического дефицита в раннем послеоперационном периоде определяли при неврологическом осмотре через 1, 6 ч после пробуждения и утром 1-х послеоперационных суток. Контроль СКТ головного мозга выполняли всем пациентам в 1-е послеоперационные сутки. Данные, полученные при нейровизуализации, наряду с неврологической картиной позволяли судить о развитии либо отсутствии локального ишемического повреждения головного мозга вследствие длительной окклюзии питающей аневризму артерии при наложении временных клипс.
Статистическая обработка материала выполнялась на ЭВМ с использованием стандартного пакета программ прикладного статистического анализа Statistica v.7.0. Параметрические данные представлены в виде среднего значения (М) и ошибки средней (m). Сравнительный анализ параметрических данных между группами сравнения проводили с помощью критерия Уэлча, а непараметрических данных — критерия Манна—Уитни. Статистически значимыми считали различия данных и корреляции при p
Результаты и обсуждение

В условиях миоплегии и ТВВА пропофол +фентанил (глубина анестезии 32—38 по BIS-мониторингу) у всех пациентов отмечалось удовлетворительное интраоперационное состояние мозга. В обеих исследуемых группах по ходу операции оперирующие нейрохирурги, принимая во внимание анатомическую особенность аневризмы, ее шейки и приводящих артериальных сосудов, отказывались от тактики временной окклюзии приводящего сосуда и клипировали аневризму одномоментно. Таким образом, в основной группе и группе сравнения были выделены подгруппы пациентов, хирургическая тактика у которых состояла в клипировании ЦА без временной окклюзии приводящей артерии (табл. 3). Таблица 3. Сравнительная характеристика пациентов исследуемых групп с временным клипированием и без временного клипирования ЦА Примечание. *p

Сравнительная характеристика пациентов с временным клипированием ЦА в исследуемых группах представлена в табл. 4. Таблица 4. Сравнительная характеристика пациентов с временным клипированием ЦА в исследуемых группах
Максимальная продолжительность временного клипирования в основной группе с использованием цитофлавина составила 54 мин (суммарно за 4 эпизода) у пациентки 40 лет при клипировании аневризмы левая ПМА—ПСА локализации. Реакция пробуждения с последующей экстубацией отмечалась спустя 2,5 ч после операции без продленной седации в отделении реанимации; неврологического дефицита в послеоперационном периоде не отмечалось. Максимальная продолжительность временного клипирования в группе сравнения без использования цитофлавина составила 37 мин (суммарно за 4 эпизода) у пациентки 67 лет при клипировании аневризмы левая ПМА—ПСА локализации. В этом случае отмечалось замедленное пробуждение — через 8 ч после окончания операции с экстубацией через 9 ч от времени конца операции.
Известно, что формирование инфаркта головного мозга при временном клипировании зависит от длительности прекращения кровотока по питающей артерии, уровня остаточного линейного мозгового кровотока (ЛМК) в ее бассейне и толерантности мозга к гипоксии [5]. Временная окклюзия питающей аневризму артерии в условиях нейромониторинга показала, что переносимость окклюзии артерии индивидуальна у каждого больного и изменяется в зависимости от возраста, тяжести состояния, адекватности коллатерального кровообращения и т. д. [8, 9].
Г. А. Асатуряном и соавт. [10, 11] было установлено, что максимальное снижение ЛМК регистрируется при временном клипировании СМА — до 14 мл/100 г/мин, при временном клипировании ВСА ЛМК снижается до 18 мл/100 г/мин, при временном клипировании ПМА — до 39 мл/100 г/мин. Однако лакунарные инфаркты мозга после операций с применением временного клипирования, по данным КТ, выполненной после операции, чаще регистрируют в бассейнах базилярной артерии (БА) и СМА в зонах кровоснабжения отходящих от них перфорирующих ветвей — в базальных ганглиях и таламусе. Поддержание коллатерального кровообращения на адекватном уровне обеспечивается механизмом ауторегуляции мозгового кровотока (АМК). Во всех случаях нарушения АМК мозговой кровоток становится напрямую зависим от системного АД, а коллатеральное кровообращение в бассейне окклюзированной артерии неэффективно [12]. В.В. Крылов и соавт. [6, 13] показали, что применение временного клипирования во время оперативного вмешательства в остром периоде субарахноидального кровоизлияния (САК) чаще, чем в «холодном» периоде, приводит к развитию локальной ишемии головного мозга, а тяжесть состояния больного в остром периоде разрыва ЦА, уровень внутричерепного давления и выраженность церебрального ангиоспазма коррелируют с послеоперационной летальностью. Данная закономерность связана с морфологическими изменениями стенки сосудов, происходящими после САК [14]. Под влиянием воздействия агрессивной среды, в которую попадает сосуд после геморрагии, наступает другое качественное состояние артерии, которое изменяет просвет сосуда: к явлениям констрикции (спазма) присоединяются явления стеноза, развивается констриктивно-стенотическая артериопатия [6]. Констриктивно-стенотическая артериопатия (так называемый вазоспазм) включает такие процессы, как повреждение эндотелия, отек, дезорганизация соединительной ткани, контрактурная дегенерация гладкомышечных клеток, что не позволяет сосуду спонтанно вернуться в нормальное состояние. Установлено, что на 11—24-е сутки после САК в суженном просвете артерии выявляются пристеночные тромбы с признаками лизиса. В условиях необратимой артериопатии наложение клипсы на сосуд может усугублять локальную церебральную ишемию, которая не разрешается даже после удаления съемного клипса [14]. Риск ишемических осложнений повышен у пациентов в стадии суб- и декомпенсации (III—V степени по шкале Hunt—Hess), у которых наиболее часто обнаруживаются констриктивно-стенотическая артериопатия и нарушение ауторегуляторных механизмов мозгового кровообращения [12, 15].
Таким образом, проблема фармакологической защиты мозга от ишемии на фоне превентивного временного клипирования как в «холодном» периоде (без разрыва ЦА), так в остром периоде разрыва ЦА с формированием САК и церебрального ангиоспазма требует дальнейшего изучения.
Заключение
Временное клипирование питающей аневризму артерии с короткими интервалами окклюзии сосуда в сочетании с интраоперационным внутривенным введением цитофлавина расширяет переносимость окклюзии артерии у пациентов, оперированных в «холодном» периоде, сокращает сроки послеоперационного пробуждения, экстубации и реанимационного койко-дня, уменьшает возможность развития неврологического дефицита в послеоперационном периоде.
Авторы заявляют об отсутствии конфликта интересов.
The authors declare no conflicts of interest.
Сведения об авторах
Клипирование аневризмы сосудов головного мозга

Аневризма сосудов головного мозга - это серьезное заболевание, при котором в стенке артерий головного мозга образуется локальное выпячивание, обусловленное истончением и потерей эластичности пораженного участка стенки. Как показывает статистика, с данной патологией сталкивается около 5% населения. При отсутствии лечения она может осложняться таким жизнеугрожающим состоянием, как разрыв аневризмы. Основным методом лечения этой болезни является хирургическое вмешательство. В данное статье мы поговорим о такой оперативной технике, как клипирование аневризмы сосудов головного мозга.
Суть метода, его преимущества и недостатки

В 2012 году ученые из Новосибирского научно-исследовательского института патологии кровообращения им. акад. Е.Н. Мешалкина опубликовали работу, по результатам которой было установлено, что микрохирургическое клипирование остается достаточно надежным и эффективным методом выключения церебральных аневризм для пациентов, находящихся в хорошем клиническом состоянии.
Клипирование аневризм сосудов головного мозга является довольно сложной операцией, требующей проведения трепанации черепа. Суть данного метода заключается в наложении специального устройства, называемого клипсой, на шейку аневризмы с внешней стороны сосуда. Таким образом патологически измененный участок отсекается от общего кровотока.
Как мы уже сказали, первоочередным недостатком данного метода является сложность проведения операции. Кроме этого, осуществить клипирование не удастся в том случае, если аневризма расположена глубоко в головном мозге. Также нельзя исключать вероятность развития различных послеоперационных осложнений.
Однако, несмотря на это, клипирование аневризм сосудов головного мозга считается одним из наиболее эффективных методов выключения пораженного сосудистого участка из мозгового кровотока.
Показания и противопоказания к операции
Основными показаниями к проведению клипирования аневризмы являются размер выпячивания более 7-10 миллиметров, а также наличие риска разрыва патологически измененного участка сосуда.
Абсолютными противопоказаниями являются:
- Сосудистый спазм, выявляющийся с помощью рентгеноконтрастного исследования;
- Тяжелые соматические патологии в стадии обострения;
- Нарушение свертываемости крови;
- Декомпенсированный сахарный диабет;
- Острые инфекции.
Возможные осложнения и прогноз

Как показывает статистика, с различными осложнениями при проведении клипирования аневризмы сосудов головного мозга сталкиваются около 8% пациентов, для 10% из которых все заканчивается летальным исходом.
Данная операция может сопровождаться как незначительными, так и крайне серьезными осложнениями. В ближайшем периоде пациент может столкнуться с повторными кровотечениями, послеоперационным спазмом сосудов, тромбоэмболией.
В отдаленном периоде нередко наблюдаются частые головные боли, речевые и психомоторные расстройства, проблемы с памятью, двигательные нарушения и так далее.
Прогноз при таком хирургическом вмешательстве более чем в 80% случаев благоприятный. Большинству пациентов удается вернуться к исходному образу жизни, части из них - к трудовой деятельности.
Читайте далее

Мозг ребенка и жиры пищи: зачем нужны омега-3 кислоты?
Питание многих детей к школьному возрасту существенно отличается от здорового, сбалансированного рациона.
Клипирование аневризмы головного мозга: показания, проведение, альтернативы, реабилитация

Аневризма - это патология, которая характеризуется расширением просвета сосуда, выпячиванием сосудистой стенки и формированием аневризматического мешка, обусловленная воздействием факторов врожденного или приобретенного характера. Как правило, аневризма развивается в стенке артерий, а не вен, и чаще всего локализуется в сосудах головного мозга и в аорте.
Операция клипирования аневризмы, используется в основном при локализации в сосудах головного мозга, поэтому речь пойдет о данной патологии.
Аневризма головного мозга встречается не только у взрослых, но и у детей. В последнем случае развитие патологии обусловлено врожденными причинами, в частности, формированием сосудистой (артерио-венозной) мальформации, или неправильного развития сосудов головного мозга плода во время беременности. У взрослых аневризма может никак себя не проявлять с детского возраста, или формироваться под воздействием приобретенных причин - атеросклероза, сифилиса, патологии сосудов и др.
Из клинических проявлений аневризмы головного мозга можно отметить как незначительные признаки (головные боли, тошнота, общая слабость, нечеткость и помутнение зрения), так и яркую симптоматику, обусловленную не только значительными размерами аневризмы, но и спонтанным ее разрывом с возникновением кровоизлияния в мозг. Опасность аневризмы в том, что человек с ее разрывом и кровоизлиянием может просто мгновенно погибнуть или остаться глубоким инвалидом. Поэтому при диагностированной аневризме сосудов головного мозга принимается решение о ее клипировании или эмболизации.
Сущность методики, преимущества и недостатки
Клипирование аневризмы головного мозга - это наложение специального устройства, называемого клипсой, на шейку аневризмы с внешней стороны сосуда. Такая операция является одной из самых сложных в нейрохирургии и проводится с помощью открытого доступа - трепанации черепа.

Клипирование аневризмы головного мозга
Эмболизация аневризмы, как альтернатива открытому клипированию - это внутрисосудистое, (эндоскопическое, эндоваскулярное) вмешательство, целью которого является заполнение аневризмы изнутри баллоном или спиралью, которые полностью «выключают» аневризматический мешок из кровотока.

Каждый из методов имеет свои преимущества и недостатки. Так, например, эндоваскулярное вмешательство менее травматично для пациента, после него не остаются рубцы, а также минимален риск возникновения инфекционных осложнений. В то же время клипирование аневризмы предпочтительнее, так как оно более надежно в плане отключения аневризмы от мозгового кровотока.
Недостатком клипирования является тот факт, что операцию невозможно осуществить при глубоком расположении аневризмы в головном мозге пациента. Недостатком обеих методик является риск возникновения постоперационных осложнений (не более 8%).
Таким образом, выбор методики осуществляется не только в зависимости от исходного состояния аневризмы, но и от ее локализации. Поэтому в каждом случае должны быть тщательно взвешены и оценены показания для операции и риски возможных осложнений.
Показания к операции
Операция на аневризме сосудов головного мозга показана, если у пациента обнаружено аневризматическое выпячивание, размером более 7-10 мм, подтвержденное инструментальными методами диагностики:
- Ультразуковым исследованием сосудов головного мозга,
- МРТ и/или КТ головного мозга, в том числе с использованием рентгеноконтрастного вещества, введенного в сосудистое русло пациента,
- Спинномозговой пункцией с исследованием ликвора (спинномозговой жидкости) на предмет субарахноидального кровоизлиянияпри разорвавшейся аневризме.
Противопоказания для операции
Тактика хирургического лечения у пациентов с кровоизлиянием определяется на основании шкалы, разработанной специально для нейрохирургов (шкала Hunt и Hess (1968); шкала WFNS SAH Scale (1988)). Основными критериями здесь является наличие клинических проявлений аневризмы, двигательных или речевых нарушений, а также сосудистого спазма у пациента (ангиоспазма), диагностированного по результатам рентгеноконтрастного исследования. Так, у пациента с выраженным ангиоспазмом следует воздержаться от операции, так как риск постоперационных осложнений превышает пользу от операции.
Кроме этого, операция противопоказана при наличии у пациента тяжелых острых соматических заболеваний или декомпенсации хронических заболеваний - острого инфекционного процесса, нарушения свертываемости крови, тяжелого сахарного диабета, тяжелого обострения бронхиальной астмы и др.
Подготовка к клипированию аневризмы головного мозга

Подготовка к клипированию или к эндоваскулярному лечению аневризмы различается в зависимости от того, по каким показаниям проводится вмешательство.
Так, при проведении операции в плановом порядке пациент должен получить консультацию невролога, нейрохирурга, а также предоставить этим врачам методы обследования, подтверждающие диагноз и/или выписки из стационара, где пациент получал лечение.
Из необходимых анализов, требующихся для госпитализации в клинику, практикующую подобные операции, следует отметить общеклинические анализы крови и мочи, анализ крови на свертываемость, анализ крови на антитела к ВИЧ и вирусным гепатитам, и флюорографию.
После необходимого обследования и консультации нейрохирурга, определившего показания для клипирования, пациент направляется на госпитализацию в соответствующую клинику. Далее начинается этап непосредственно предоперационной подготовки.
При проведении операции по экстренным показаниям, когда пациент поступает в нейрохирургический стационар с клиникой развившегося внутримозгового кровотечения, после необходимого минимума обследований (КТ, МРТ или УЗИ сосудов) начинается предоперационная подготовка. Проводится коррекция высокого или низкого артериального давления, коррекция гиповолемии (обезвоживания) и водно-электролитного состава крови с помощью препаратов и лечебных растворов (физ. раствор, глюкоза, Рингер и др).
Как проводится операция?
Операция на аневризме всегда проводится с использованием общего наркоза.
При клипировании после осуществления доступа к головному мозгу обнажаются ткани, под которыми располагается аневризма. Далее острым путем рассекаются прилегающие ткани и обнажается несущая артерия. При выделении шейки аневризмы на нее накладывается клипса. При малых размерах аневризмы используются оптические инструменты с увеличением масштаба операционного поля. Иногда у пациента во время операции обнаруживается сложное анатомическое строение аневризмы и окружающих тканей, а также значительные размеры аневризматического выпячивания. В этом случае может быть использовано временное наложение клипс, которые снимаются после осуществления основного этапа операции - наложения клипсы на шейку аневризмы.

техника клипирования аневризмы головного мозга
При эндоваскулярном вмешательстве доступ к аневризме осуществляется путем пункции бедренной артерии и ведения зонда под МРТ-контролем к месту операции. На конце зонда располагается баллон, вводимый в просвет аневризмы. После того, как баллон установлен и зафиксирован в аневризме, происходит эмболизация («закупорка») аневризмы, и она становится функционально неактивной.

эндоваскулярная эмболизация аневризмы
Все этапы операции осуществляются под строгим МРТ или КТ-контролем. После вмешательства пациент около пяти суток находится в отделении реанимации, после чего может быть переведен в отделение нейрохирургии.
Какова стоимость операции
В связи с тем, что клипирование аневризмы является очень сложной и опасной операцией, ее проводят не во всех крупных городах России. Так, клиники с соответствующей кадрово-технической оснащенностью существуют в Москве, Тюмени, Уфе, Кирове, Волгограде, Краснодаре и некоторых других областных центрах.
Относительно стоимости операции следует отметить, что плановое вмешательство может быть выполнено по квоте, выделенной из средств Минздрава РФ, но для этого пациент должен обратиться в региональный отдел Минздрава и предоставить все документы, подтверждающие необходимость проведения вмешательства.
В том случае, когда пациент ждать несколько недель или месяцев не намерен, он может быть прооперирован в любом городе на свое усмотрение, но за свой счет. Стоимость операций при этом зависит от многих факторов и составляет от 12 тыс руб до 180 тыс руб при эндоскопической операции и от 22 тыс руб до 170 тыс руб при клипировании аневризмы.

аневризма до/после операции
Возможные осложнения
Осложнения при клипировании аневризмы составляют не более 8%. Однако определенный риск все равно существует, поэтому пациент должен быть тщательно осведомлен о всех возможных последствиях. Последствия могут быть как незначительными, так и серьезными, и даже жизнеугрожающими.
В первом случае после операции у пациента нарушается память, речь, внимание, развиваются двигательные нарушения, а также возникают интенсивные головные боли.
В последнем случае осложнения обусловлены развитием постоперационного сосудистого спазма, приводящего к возникновению ишемии и отека легких. Несмотря на тяжесть этих состояний, все они могут быть скоррегированы соответствующей терапией в условиях реанимационного отделения (антиоксиданты, нейропротекторы, маннитол и др).
При эндоваскулярном вмешательстве возможно прободение стенки сосуда или аневризмы баллоном или спиралью, а также тромбоэмболические осложнения, могущие стать причиной летального исхода.
Профилактикой осложнений является технически правильное проведение оперативного вмешательства, а также беспрерывное наблюдение за пациентом в раннем постоперационном периоде.
Образ жизни

Разумеется, операция по устранению аневризмы в подавляющем большинстве случаев приводит к полному ее выключению из кровотока, и отсутствию риска ее разрыва с кровоизлиянием в ткани мозга. Но это не означает, что пациент после операции может сразу приступить к привычному образу жизни, который он вел до вмешательства. Да, жизнь после операции меняется кардинально, и каждому пациенту перед хирургическим лечением следует это учитывать. Зачастую многим людям после операции приходится заново учиться ходить, принимать пищу, разговаривать, читать и писать. Но это вовсе не означает, что стоит отказывать от клипирования аневризмы, так как ее разрыв без хирургического лечения может стать причиной гибели.
После выписки из стационара, где проводилась операция, пациент направляется на долечивание и реабилитацию в поликлинику по месту жительства. На этом этапе лечением пациента занимается невролог, нейрохирург (если есть в штате поликлиники) и эпилептолог (если у пациента была или наблюдается симптоматическая эпилепсия). Кроме этого, немаловажную роль в реабилитации играют врач-реабилитолог, врач ЛФК, логопед, психолог и другие специалисты.
Прогноз
Прогноз в большинстве случаев после операции на аневризме головного мозга благоприятный. Однако, не стоит забывать о постоперационной летальности, которая в общем (по данным разных клиник), составляет не менее 10%. В то же время летальность среди пациентов, не получивших хирургического лечения, колеблется в пределах 20%. То есть летальность среди лиц, получивших оперативное лечение, ниже в два раза, чем среди лиц, такое лечение не получивших.
Относительно прогноза для здоровья можно сказать, что для 7% пациентов операция на аневризме является инвалидидизирующей, а 80-90% прооперированных пациентов возвращаются практически к исходному уровню здоровья. Относительно трудового прогноза - более 40% пациентов могут вернуться к трудовой деятельности.
В заключение следует отметить, что все показания и противопоказания к клипированию и к эндоскопическому лечению аневризмы определяются только врачами при очном осмотре пациента. Конечно, операция на головном мозге - это не банальная царапина, но в том случае, когда врач открыто говорит пациенту о том, что без операции он может умереть - на хирургическое вмешательство следует согласиться. Самое главное при этом - позитивный настрой и вера в благополучный исход операции, ведь летальный исход и осложнения, как правило, более вероятны у пациентов с гигантскими размерами аневризмы, а также с повторными кровоизлияниями в мозг.
Операция на аневризму сосудов головного мозга: показания, проведение, реабилитация после

Аневризма мозговых сосудов - очень коварная патология. Долгое время она может протекать бессимптомно, и ее обладатель даже не догадывается о наличии аномалии. Вместе с тем, любая аневризма несет в себе риск кровоизлияния, последствия от которого могут стать фатальными, поэтому операция на аневризму - единственно верное решение при ее обнаружении.
Аневризма мозговых сосудов чаще имеет артериальное строение, может располагаться в самых разных отделах черепа и иметь размеры от микроскопических до гигантских. Конечно, риск разрыва несоизмеримо выше при крупном образовании, но и при мелких аневризмах он есть.
По статистике, аномалии мозговых сосудов можно обнаружить у 5% населения, а разрыв их приходится на самый активный возраст - 30-50 лет. У детей кровоизлияния из аневризм встречаются крайне редко.

виды аневризм сосудов головного мозга
По размеру аневризмы бывают мелкими, средних размеров, крупными и гигантскими, одно- и многокамерными. В зависимости от локализации бывает аневризма сонной артерии (внутренней), передней и средней мозговых, вертебро-базилярного бассейна. Примерно 15% случаев составляют множественные сосудистые аномалии.
Из всех кровоизлияний внутри черепа субарахноидальное - одно из самых тяжелых, а причиной его в 85% случаев становится сосудистая мальформация. Кровь при этом проникает под мягкую мозговую оболочку, сдавливает мозг, нарушает движение ликвора, провоцирует тяжелые неврологические нарушения, а дислокация структур ствола мозга имеет высокий риск гибели в острейшем периоде заболевания.
Оперативное лечение аневризм проводится к отделениях сосудистой хирургии. Оно ставит целью не только борьбу с последствиями разрыва образования, но и его профилактику, что еще более важно. Диагностировать аневризму можно с помощью МРТ, но только в том случае, если пациент сам обратится за помощью. Бессимптомные формы патологии часто остаются вне поля зрения врачей, составляя большую угрозу для здоровья и жизни больных.
При появлении любых признаков нарушения деятельности мозга, сильных головных болей, особенно, повторяющихся, при неблагополучном семейном анамнезе в плане сосудистой патологии мозга следует как можно раньше обратиться за помощью для исключения или подтверждения диагноза, а также своевременного хирургического лечения, которое поможет не допустить развития сценария, угрожающего жизни.
Показания и сроки выполнения операции при аневризме головного мозга
Показанием к операции при аневризме сосудов головного мозга считается уже само наличие аневризмы, даже если она небольшая и протекает бессимптомно. Пациенты с аневризмами живут в буквальном смысле на пороховой бочке, которая может «рвануть» в любой момент. Стресс и постоянные переживания от осознания этого риска могут спровоцировать колебания давления и ангиоспазм, тем самым приблизив момент разрыва, поэтому операцию если и откладывают, то не на длительное время.

Лишь в редких случаях врачи могут принять выжидательную тактику: когда аневризма очень маленькая, расположена глубоко, и операция может нанести больший вред, недели ее наличие, однако, как показывает практика, зачастую нерешительность врача и промедление играют отрицательную роль - патология прогрессирует и следует разрыв.
Неразорвавшиеся аневризмы требуют планового хирургического лечения в нейрохирургии или сосудистом отделении, при этом важно, чтобы его проводили специалисты, имеющие достаточный опыт подобных вмешательств, а клиника имела минимальные показатели смертности и инвалидности среди пациентов.
Часто больные, у которых диагностирована аневризма, сами мучаются вопросом: делать или не делать операцию? Наслушавшись и начитавшись о возможных последствиях лечения, боясь неврологических осложнений от вмешательства, они всерьез задумываются об отказе от него. В таких случаях стоит все же думать не столько о рисках плановой операции, которая может быть малоинвазивной и безопасной, сколько о вероятности кровоизлияния с совсем другой негативной статистикой.

разрыв аневризмы мозга
Разрыв аневризмы в обязательном порядке подлежит хирургической коррекции, но есть некоторые различия по срокам ее выполнения, которые связаны с индивидуальными особенностями течения патологии.
В острейшем и остром периоде кровоизлияний (первые две недели с момента разрыва) показаниями к операции считают:
- Состоявшийся разрыв при неосложненном течении патологии;
- Стабильное состояние пациента;
- Большой риск повторного кровоизлияния;
- Угроза выраженного спазма сосудов и, как следствие, ишемии мозга.
Пациентам в тяжелом и критическом состоянии в этот срок выполняется хирургическая операция только по жизненным показаниям - сдавление мозга, смещение стволовых структур, острая гидроцефалия, массивные очаги некроза мозговой ткани. В иных случаях операцию откладывают на момент стабилизации состояния.
По прошествии первых 14 суток с момента излития крови из аневризмы операцию проводят больным:
- В тяжелом состоянии по причине осложненного течения (выраженный ангиоспазм);
- С аневризмами, трудно доступными для удаления.
Повторное кровоизлияние - одно из опаснейших осложнений, которое дает крайне высокие показатели летальности, поэтому требует экстренной хирургической помощи. Если состояние больного столь тяжело, что операция чрезвычайно рискованна, то наблюдение осуществляют в нейрореанимации, оказывая паллиативную помощь - дренирование желудочков для снижения давления в черепе.
Вопрос хирургического лечения разорвавшихся аневризм при сильной ишемии мозга остается открытым и спорным, до сих пор точно не определены четкие показания к операции у таких пациентов. Вмешательство и общий наркоз могут усугубить повреждение мозговой ткани, поэтому операцию проводят сразу же только при компенсированном ангиоспазме, в других случаях тактика выжидательная.
Предоперационная подготовка

аневризма сосудов мозга на снимке
При плановых клипированиях аневризмы специалисты располагают временем для тщательного обследования пациента и подготовки его к вмешательству. В качестве консервативной терапии назначаются антигипертензивные средства, препараты, нормализующие ритм сердца при аритмиях, проводится коррекция липидного спектра при наличии отклонений.
Перед планированием операции больной подвергается всевозможным обследованиям, включая анализы крови, мочи, коагулограмму, кардиограмму и т. д., как и при других оперативных вмешательствах. Для локализации и уточнения характера сосудистого образования проводят КТ, МРТ с контрастированием, ангиографию, ультразвуковое исследование с допплером.
В случае разорвавшихся аневризм больной поступает в стационар с клиникой острого субарахноидального или внутримозгового кровоизлияния и направляется в нейрохирургическое отделение, времени на обследования фактически нет, поэтому приходится ограничиваться минимумом, позволяющим определиться с расположением мальформации.
Как трепанация, так и эндовазальная хирургия предполагают общий наркоз, хотя в последнем случае возможно применение местной анестезии. Перед операцией пациент беседует с хирургом и анестезиологом (кроме случаев коматозного состояния и острого кровотечения), не ест ближайшие 8 часов до операции, старается выспаться. Волосы в месте трепанации сбриваются.
Техника операций по удалению аневризм
Основными видами вмешательств на сосудистых мальформациях мозга признаны:
- Удаление аневризмы при открытом доступе;
- Эндоваскулярная методика.
Лечение аневризмы при трепанации
Эффективность открытых операций достигает 98%, проводятся они при достаточной доступности аневризмы и в случае разрыва. Пациенту проводится общий наркоз, хирург осуществляет трепанацию черепа, разрезает твердую мозговую оболочку, отыскивает целую аневризму либо место ее разрыва. Далее необходимо выключить мальформацию из общего кровотока. Делается это обычно с помощью металлической клипсы, напоминающей прищепку, которая помещается на сосуд, питающий аневризму, и перекрывает движение по нему крови.
После «выключения» аневризмы твердая мозговая оболочка ушивается, костный лоскут укладывается на место, накладываются швы на кожный лоскут. При сильном отеке мозга возможна декомпрессионная трепанация с оставлением открытого костного окна до того момента, как отек спадет и не будет угрожать смещением стволовых структур. Фрагмент кости на время помещается в клетчатку живота для сохранения жизнеспособности, а затем возвращается на место.

Открытая операция на мозге может повлечь повреждение его ткани и неврологические расстройства впоследствии, поэтому важно действовать предельно осторожно. При наличии кровоизлияния, сгустки и жидкая кровь удаляются из черепа, при проникновении ее в желудочковую систему производится дренирование полостей мозга.
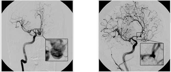
После клипирования аневризмы важно оценить сохранность кровотока по здоровым сосудам мозга еще до того, как операционная рана будет ушита. С этой целью используют интраоперационную допплерографию микродатчиком. Если кровоток в порядке, то операцию можно считать успешной и завершать.
Видео: открытое клипирование аневризмы внутренней сонной артерии
Эндоваскулярное лечение
К числу малоинвазивных вмешательств относят эндовазальное лечение аневризм мозга. Показаниями к нему являются:
- Глубокое и труднодоступное расположение сосудистого клубка;
- Близость жизненно важных структур, что делает открытую операцию очень опасной;
- Старческий возраст и сопутствующая патология, препятствующие общему наркозу и трепанации;
- Неэффективность клипирования при трепанации.

эндоваскулярное лечение аневризм мозга
Доступ при эндоваскулярной операции осуществляют через бедренную артерию, в которую вводят катетер, доставляющий к аномальным сосудам отделяющийся баллон или специальные спирали, вызывающие прекращение кровотока в образовании. Могут быть использованы также стенты, блокирующие аневризму, но обеспечивающие беспрепятственное движение крови по магистралям мозга.
Сначала в просвет аневризмы устанавливается самая крупная спирать, затем полость заполняется более мелкими, которые вызывают тромбоз и выключение аневризмы из кровотока. При широкой шейке питающего сосуда установка спиралей дополняется стентированием.
Разновидностью эндоваскулярного лечения является эмболизация сосудов аневризмы, когда стенки их склеиваются при помощи спирта, хирургического геля, специальных составов. Для устранения аневризмы может потребоваться несколько таких процедур.
При проведении операций на сосудах мозга используется операционный микроскоп, специальный стол с фиксирующей скобой, эндоскопическая и микрохирургическая техника. Состояние кровотока контролируется микродатчиками УЗИ.
Видео: репортаж о малоинвазивном лечении аневризмы мозга
Послеоперационный период
После операции на аневризме минимум сутки пациент находится в отделении нейрореанимации под пристальным контролем врачей. В этот период он получает медикаментозную поддержку в виде анальгетиков, диуретиков, ноотропных препаратов и нейропротекторов в случае состоявшегося кровотечения. Проводится профилактика отека мозга и вторичных неврологических осложнений.
При улучшении самочувствия через сутки больного переводят в отделение нейрохирургии, при ухудшении показана экстренная компьютерная томография, возможно - повторное вмешательство.
Любые операции на сосудах мозга чреваты осложнениями, особенно это касается открытых трепанаций и манипуляций непосредственно вблизи тканей мозга. Среди последствий операции вероятны:
- после разрыва аневризмы, по причине которого возможны некрозы нервной ткани и неврологический дефицит;
- Повторные кровоизлияния;
- Инфекционно-воспалительные изменения в зоне вмешательства (кране редко);
- Тяжелые неврологические нарушения.
Реабилитация после операции на аневризме включает двигательную активность, массаж, физиотерапевтическое лечение. Если неразорвавшаяся аневризма была клипирована эндоскопически, то уже на 3-4 сутки пациент возвращается к привычной жизни, необходимости в каких-либо специальных восстановительных мероприятиях нет.
При состоявшемся кровоизлиянии может потребоваться длительное время для восстановления нарушенных функций мозга. Хорошо, если период реабилитации пройдет в специализированном центре для инсультных больных или санатории. Там специалисты определят необходимые физические занятия и их интенсивность, проведут курсы массажа, обеспечат консервативное лечение неврологических расстройств.
Прооперировать аневризму можно также платно. Стоимость открытой операции колеблется в пределах 20-50 тысяч рублей, эндоваскулярной - начиная с 12-15 тысяч. В цену включены расходные материалы, оплата работы персонала, условия пребывания в больнице и его продолжительность.
В целом, прогноз при своевременно пролеченной аневризме без разрыва благоприятный. В случае кровоизлияний он определяется массивностью гематомы и тем, как сильно был задействован в этом мозг. До 80% больных успешно восстанавливаются, не менее половины из них возвращаются к трудовой деятельности.
Сложнее дело обстоит при повторных кровотечениях из аневризматических сосудов. Смертность при этом достигает 50% и более, четверть больных навсегда остаются глубокими инвалидами. Именно это обстоятельство и заставляет проводить экстренные операции при первичном кровоизлиянии для предупреждения рецидива, риск которого очень высок в первые дни и недели с момента разрыва аневризмы.
Читайте также:
- Возможности ангиографии головного мозга в нейрохирургии
- Рекомендации по анализу рентгенограммы плечевого сустава в аксиальной ПЗ проекции (метод Страйкера)
- Синдром Курциуса III (Curtius III)
- Сигнальный транспорт и неизбирательный поток белков
- Лучевые признаки поражения легких при синдроме Берта-Хога-Дьюба
