Протезирование зубов мостовидными протезами. Изготовление, плюсы, минусы мостовидных протезов
Добавил пользователь Евгений Кузнецов Обновлено: 11.12.2025
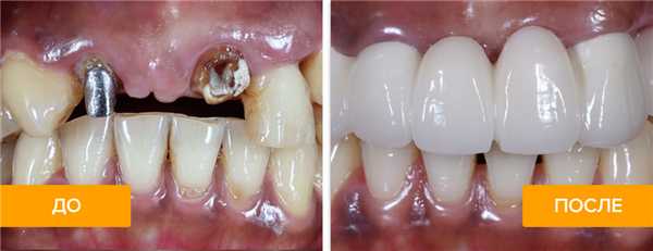
Потеря нескольких или всех зубов может стать настоящей катастрофой. К счастью, с помощью моста на имплантах возможно быстро восстановить жевательную функцию и вернуть красоту улыбки. Подробнее о преимуществах, особенностях и этапах лечения, расскажет врач, хирург-имплантолог/пародонтолог Алина Маратовна Гайналова.
Врач стоматолог-пародонтолог, хирург-имплантолог

Мост на имплантах - что это?
Это ортопедическая конструкция, состоящая из трех и более коронок. Опорой им служат импланты, вкрученные в челюстную кость. Мост позволяет избавить от дефектов зубного ряда как во фронтальном, так и в боковых отделах челюсти. Также его применяют для восстановления зубного ряда при полной адентии. Материал коронок для моста выбирают в зависимости от клинической ситуации (используют диоксид циркония, керамику или металлокерамику).
Плюсы моста на имплантах
- В процессе установки не задействуются здоровые, соседние зубы (не нужно обтачивать эмаль, удалять нервные окончания).
- Могут использоваться для восстановления крайних зубов (устранения концевого дефекта).
- Долгий срок службы — до 20 лет.
- Период адаптации — 1-2 дня.
- Лучшее решение, если у пациента нет 3 и более зубов подряд.
Когда ставят мост на имплантах?
Нет 3 зубов

Устанавливают два опорных титановых стержня и нагружают тремя коронками (одна из них глухая/полая).
Нет 4 зубов

Если нехватка зубов в зоне улыбки — можно закрепить конструкцию из 4-х коронок на 2-х имплантах, установленных вместо вторых резцов.
Если в боковой области (жевательном отделе) — самое надежное решение — зафиксировать мостовидный протез из 4-х единиц на 3-х имплантах.
Нет 5 и более зубов

В такой клинической ситуации, чтобы зубной мост служил надежно, применяется правило — одна глухая коронка между двумя имплантами (другие вариации повышают риски слома конструкции).
Ставят ли мост, если нет 2 зубов подряд?
Нет. Мостовидный протез устанавливают только при отсутствии 3-х и более зубных единиц. Лучшим решением в такой клинической ситуации — установка двух имплантов, нагруженных отдельными коронками.
Полный мост на всю верхнюю или нижнюю челюсть
Ортопедическую конструкцию при полной адентии устанавливают почти всегда, он состоит из 12-14 коронок и позволяет быстро вернуть целостность зубного ряда, однако существуют различия в установке на верхней и нижней челюстях:
Кость нижней челюсти — плотная, больше подвергается нагрузкам. Для крепления моста может подойти протокол ”все-на-четырех”, при котором мост держится на 4 имплантах. Их вживляют по одному в зоны боковых зубов (с каждой стороны челюсти) и два во фронтальный отдел.

Верхнечелюстная кость отличается меньшим объемом и более рыхлой структурой. Для надежного крепления моста врач может действовать по протоколу “все-на-шести”. Крепит мостовидный протез на 6 титановых стержней. При недостаточном объеме костной ткани для фиксирования моляров и премоляров хирург может использовать скуловые импланты.

Количество вживляемых штифтов может доходить до 8. Чаще всего это требуется на верхней челюсти из-за ее анатомических особенностей. Реже на нижней (например, если у пациента крупная челюсть).
Материалы для изготовления протезов на имплантах
Металлокерамика
Металлический каркас, покрытый фарфором. Коронки из этого материала достаточно прочные (выдерживают жевательную нагрузку), но менее эстетичные (просвечивается металл), поэтому обычно их устанавливают вместо боковых зубов. Могут прослужить до 10 лет (при полном соблюдении врачебных рекомендаций).
- Плюсы : доступная цена.
- Минусы : со временем теряют вид (металл темнеет, керамическое покрытие может треснуть), могут вызвать аллергию.
Керамика
Как правило, ее применяют во фронтальном отделе для получения красивой голливудской улыбки (особенно изделия E-max). Достаточно хрупкие, поэтому их не рекомендуют ставить в дистальный отдел. Срок службы — до 12 лет.
- Плюсы : гипоаллергенность, смотрятся, как свои зубы.
- Минусы : цена выше, чем у металлокерамики, не способны выдержать большую жевательную нагрузку, в основном используются только при одиночных реставрациях.
Диоксид циркония
Циркониевые коронки (безметалловые) смотрятся естественно, выдерживают большое давление и не деформируются, поэтому могут быть использованы как во фронтальном отделе, так и на боковых зубах. Прослужат от 15 до 20 лет, а при хорошем уходе - пожизненно.
- Плюсы : биосовместимые, не окрашиваются, обладают достаточной прочностью для установки в дистальный отдел, максимально похожи на свои зубы (особенно изделия).
- Минусы : высокая стоимость.
Как устанавливают мост?
Алексей Исаевич Якубов
стоматолог-ортопед, имплантолог, хирург, главврач клиники «Академcтом» с 20 летним опытом работы.
Мнение врача
Пациенты часто задают мне вопрос: “Буду ли я ходить без зубов во время приживления имплантов?” Если речь идет о зоне улыбки, то нет. Если нет противопоказаний, можно установить титановые стержни и через несколько часов нагрузить их адаптационным, облегченным протезом (протокол — одноэтапная имплантация с немедленной нагрузкой).
Зубной мост на имплантах или на своих зубах: что лучше?
Установка моста на свои зубы - дешевле, но имеет ряд недостатков: для фиксирования коронки обтачиваются соседние единицы, есть ограничения по жевательной нагрузке. Мостовидные протезы с опорой на имплантах лишены этих минусов.
Вопросы - ответы
1. Как ухаживать за ортопедической конструкцией на имплантах?
- Полоскать рот после еды (ополаскивателем или водой ).
- Использовать щётку и зубную пасту — это главные инструменты в борьбе с болезнетворными бактериями.
- Раз в 6 месяцев приходить на осмотр к стоматологу для профилактики.
2. Какие есть противопоказания к имплантации?
- Плохая свертываемость крови.
- Болезни иммунной, эндокринной, сердечно-сосудистой систем.
- Декомпенсированный сахарный диабет.
- Злокачественные опухоли в ротовой полости.
- Плохая гигиена и воспаления в полости рта.
- У женщин беременность/период лактации.
- Недостаток костной ткани.
- Проблемы с прикусом.
- Инфекционные заболевания в состоянии обострения.
3. Можно ли курить до и после имплантации?
Из-за курения может развиться периимплантит, поэтому врачи рекомендуют отказаться от сигарет за 2-3 недели до операции, 3-4 недели после (лучше всего бросить или свести к минимуму употребление табака).
Периимплантит - воспаление костной ткани и слизистой оболочки вокруг импланта, отторжение титанового стержня.
Чем опасно курение?
- Горячий дым приводит к ожогу тканей слизистой, нарушает функции слюнных желез, вызывает сухость во рту, что значительно замедляет регенерацию.
- Никотин вызывает продолжительный спазм кровеносных сосудов, находящихся в слизистой, замедляет кровоток, поступление питательных веществ и кислорода в ткани.
Перечисленные факторы также приводят к снижению иммунитета ротовой полости, росту числа болезнетворных бактерий, воспалению тканей вокруг импланта.
Для курящих пациентов существуют особые виды имплантов, методики и спец рекомендации — с их помощью можно избежать воспаления и отторжения искусственного корня.
Мостовидные протезы на зубы
В ситуации, когда на челюсти нет одного или нескольких зубов, расположенных подряд, или они частично разрушены, может помочь мостовидный протез. Установка зубного моста - это один из способов восстановить целостность и эстетику зубного ряда. Однако из-за большого разнообразия и особенностей мостовидных протезов не просто определить, что лучше всего подойдет в конкретной клинической ситуации.
Врач стоматолог-пародонтолог

В материале, подготовленном стоматологами клиники «Академстом», собраны ответы на самые часто задаваемые вопросы.
Из этой статьи вы узнаете:
Зубной мост - что это?
Это ортопедическая конструкция, которая закрывает единичные или множественные дефекты зубного ряда. Состоит из полых и цельных коронок, соединенных друг с другом в один мост. Полые (ложные) фиксируются на опорных зубах или имплантах, цельные - закрывают утерянные зубные единицы.
Показания и противопоказания к установке
Показания к установке мостовидных протезов:
- Отсутствие от 1 до 3 зубов (очень редко - до 4 единиц).
- Повреждена коронковая часть зуба (его большая часть отсутствует, требуется установка коронки).
- Противопоказания к установке дентальных имплантатов.
- На верхней или нижней челюсти нет 4 и более резцов, моляров. Слишком большая нагрузка на конструкцию быстро приведет к расшатыванию опор. В такой клинической ситуации показана установка моста на имплантатах или изготовление съемного протеза.
- Низкая высота клинической коронки зубов.
- Плохое состояние опорных зубных единиц (патологичная подвижность зубов 2 степени) и тканей (восполнения слизистой, наличие кариеса, пародонтита/пародонтоза).
- Патологии, связанные с нарушением работы челюстей (аномальный прикус).
- Патологическое, интенсивное изнашивание дентина и зубной эмали.
Плюсы и минусы
- Намного комфортнее, чем съемные протезы. Их не нужно снимать на ночь, обрабатывать, к тому же процесс привыкания занимает всего 2-3 дня.
- Скорость лечения намного выше, чем при использовании имплантов.
- Приемлемая цена.
- Не требуется хирургическое вмешательство.
- Разнообразие вариантов (пластмассовые, керамические, металлические, металлокерамические).
- Срок службы - 10-15 лет (в 3-4 раза выше чем у съемных конструкций).
- Не вызывают дефекта речи, не мешает пережевыванию.
- Приходится депульпировать опорные зубы. Особенно болезненно, если они здоровые, так как обнажение дентина влечет за собой появление кариеса. Кроме того, рано или поздно наступает перегрузка опоры из-за того, что они несут на себе нагрузку отсутствующих зубов.
- Нарушается естественная микроподвижность зубов из-за жесткого каркаса протеза.
- Неремонтопригодность. Скол, кариес или эндодонтическое лечение требует полного удаления конструкции. После этого, опоры могут быть непригодны для повторного протезирования.
- Эстетика не всегда на высоком уровне (зависит от материала).

Мостовидные протезы лучше всего ставить в ситуации, когда опорные зубы имеют больше пломбы и в них удалены нервы. Если соседние зубы здоровые, избежать их обточки и депульпирования помогает восстановление зубного ряда с помощью детальных имплантов.
Виды мостовидных протезов зубов
Классифицируют их по: материалу, методу крепления, способу изготовления.
Металлические
Бывают цельнолитыми или штампованными. Штампованные мостовидные протезы - устаревшие, практически не используются. Цельнолитые, более современные. Отливаются по слепкам в единый блок из металла. Оптимальное решение для протезирования жевательного отдела.
- Невысокая цена.
- Плотный обхват зубной шейки (защищает от возникновения кариеса).
- Низкая эстетика. Нельзя использовать в зоне улыбки.
- Большая нагрузка на опоры.
Адгезивные

Адгезивные мостовидные протезы - это временная конструкция, сроком службы до 2 лет. Обычно используется при подготовке к другому виду протезирования, например, к имплантации. Изготавливаются из композитного материала, прямо во рту пациента.
- Быстрота изготовления + установки. Весь процесс - 1-1,5 часа.
- Не выполняется обточка эмали. Исключение - использование крепления на основе стекловолокна.
- Хорошая эстетика.
- Не используются при множественных дефектах.
- Не подходит для восстановления премоляров/моляров.
- Конструкция не выдерживает значительных нагрузок, достаточно хрупкая.
Пластмассовые
Наряду с адгезивными, пластмассовые протезы применяют в стоматологии, как временное решение. Например, защитные колпачки служат временными коронками в период остеоинтеграции титановых стержней.
- Срок службы - всего 2-3 года.
- Мягкие, не выдерживают нагрузки, быстро протираются.
- Сложно подобрать оттенок (мало вариантов).
Металлокерамические

Состоят из металлического каркаса, на который наносится слой фарфора (для улучшения эстетических свойств). Используются такие конструкции при протезировании в дистальном отделе челюсти, так как в зоне улыбки будет заметно различие в зубном ряду.
- Прочное металлическое основание. Может служить 10-15 лет.
- Лучшее соотношение цены и качества.
- Большой выбор оттенков под цвет эмали.
- Нельзя использовать в зоне улыбки. Просвечивается металл. Смотрятся неестественно.
- В процессе ношения образуется синюшный оттенок на мягких тканях, появляются аллергические реакции (если установлена стандартная металлокерамика).
- Невозможно установить при запущенных аномалиях прикуса.
Безметалловые
К ним относятся:
- Мостовидные протезы с коронками из диоксида циркония и керамической облицовкой. Изготавливают их по двух технологиям CAD/CAM. Сначала заготовки из кристаллического оксида фрезеруют на станке по заранее снятым оттискам, а затем покрывают слоем керамики. Такие конструкции - чрезвычайно прочные. Они служат до 20 лет. Могут использоваться при протезировании как во фронтальном, так и в жевательном отделе.
- Керамические (без цельнометаллического литого каркаса). Не такие прочные, как цирконивые аналоги, зато максимально естественные, эстетичные. Особенно хороши в этом аспекте протезы с коронками из IPS E-max. Это один из лучших вариантов, если речь идет о протезировании в «зоне улыбки». Однако из-за хрупкости, их невозможно использовать в дистальном отделе.
- Отличная эстетика. Смотрятся, максимально естественно.
- Долгий срок службы.
- Легкий вес.
Методы крепления
Зубной мост данного типа крепится несколькими способами:

На соседних резцах, молярах
Для этого в цельнолитой конструкции крайние коронки оставляются полыми. Перед установкой требуется обработка соседних единиц: обточка зубной эмали, удаление нервов и чистка каналов, сокращающая срок их жизни. Крепление осуществляется с помощью специального клея.
Мост крепится композитным составом к задней стороне опор, которые подвергаются незначительной обработке (или вообще не подвергаются).
На специальных замках
Благодаря этому мостовидный протез становится частично съемным. При необходимости его можно снять и поставить обратно.

В случае использования титановых стержней с искусственной коронкой, депульпирование или любая друга обработка резцов/клыков/премоляров не требуется.
Если говорить о соединении моста со слизистой, то различают следующие три типа:
Между конструкцией и десной есть незаметное свободное пространство, облегчающее гигиенический уход и сокращающее риск возникновения аллергической реакции, натирания десны.
Мостовидный протез крепится только, с одной стороны (задней). Актуально для фронтального отдела, где важна хорошая эстетика.
Идет надежный обхват десны с обеих сторон (обеспечивается дополнительная устойчивость и неподвижность конструкции). Однако такой метод затрудняет гигиенический уход и может спровоцировать натирание слизистой.
Как устанавливают мостовидные протезы: этапы
- Осмотр и проведение диагностического исследования ротовой полости.
- Если осмотр и диагностика помогли выявить кариозные поражение, воспалительные процессы и другие отклонения в состоянии твердых/мягких тканей, выполняется санация полости рта.
- Врач производит обточку, депульпирование и укрепление опор под коронки моста (если выбран соответствующий метод крепления
Как врач решает какое количество зубов будет использовано в качестве опоры? Зависит от состояния опорного аппарата, то есть - длины корней и наличия/отсутствия заболевания пародонта. Если зубы неподвижны и пародонт здоров, то даже при отсутствии 3 зубов могут использоваться всего две опоры. Перегрузки опор не будет, так как их запаса прочности хватит, чтобы удерживать конструкцию. Если же, выявлена подвижность зубов, количество опор может возрасти. Есть схемы, помогающие врачу точно рассчитать количество опор в той или иной клинической ситуации.
Почему опоры подвергаются депульпированию? Это особенно актуальное в тех случаях, когда требуется сошлифовать большой слой эмали под искусственную коронку и есть риск травмировать пульпу, или сосудисто-нервный пучок, который находится в глубине зуба. Но такая процедура требуется не всегда. Все зависит от типа коронок. Например, под безметалловые изделия убирается лишь 1 мм с боковой поверхности и 1,5 мм с жевательной, что позволяет сохранить соседние зубы живыми и увеличить их срок эксплуатации.
После обточки снимаются слепок для изготовления моста и выбирается его цвет. Данные отправляются в зуботехническую лабораторию (срок изготовления до двух недель). Пока пациент ждет мостовидный протез, обточенные единицы закрываются временной пластиковой конструкцией.
- Финальная примерка, подгонка и установка. Ортопед примеряет мост. Он должен плотно прилегать к поверхности. При этом ничего не должно мешать пациенту смыкать челюсти. Если доработка конструкции под анатомические особенности ротовой полости не требуется, выполняется ее фиксация. Для этого используется особый цементный состав.
Уход за мостовидными протезами

На самом деле, рекомендации по уходы - не сложные. Однако от их соблюдения напрямую зависит срок службы изделия.
- Полоскание - два раза в день после употребления пищи.
- Использование стоматологического ершика, ирригатора или зубной нити для очистки труднодоступных межзубных промежутков
- Щетина зубной щетки должна быть средней жесткости или мягкой.
- Врачи рекомендуют использовать фторсодержащую неабразивную пасту.
- Посещение кабинета стоматолога каждые 6 месяцев.
Вопросы и ответы
1. Что лучше: имплантаты или мостовидный протез?
Протезирование мостовидными конструкциями актуально лишь при отсутствии от 1 до 3 зубов. Если межзубной промежуток больше, то установка такого моста неэффективна. Увеличивается нагрузка на опоры, они быстро расшатываются и разрушаются. Кроме того, использование мостовидного протеза не останавливает атрофию костной ткани.
Использование имплантов помогает: сберечь соседние резцы или моляры от перегрузок и остановить убыль альвеолярного отростка. Они полностью берут на себя функции зуба и опоры. Мостовидные протезы, закрепленные на имплантатах, служат гораздо дольше. Кроме того, применение титановых стержней снимает ограничение на количество зубов, которые можно восстановить. Например, при полной адентии челюсти, вернуть красивую и здоровую улыбку можно по протоколу одномоментной имплантации All-on-4. В челюсть вживляются 4 импланта, которые нагружаются протезом из 10-14 коронок.

2. Можно ли установить мостовидный протез с опорой на 1 зуб?
Да. Для этого используются консольные мостовидные протезы с односторонней опорой. Они изготавливаются в зависимости от клинической ситуации. Например, если у пациента отсутствует пятый зуб, шестой может быть его опорой, так как он легко выдержит нагрузку пятого, за счет достаточной корневой системы и больших размеров. Однако, консольные мосты не ставятся на боковые 6 и 7 зубы (не выполняют все жевательные функции).
Мостовидный протез на имплантах

Мостовидный протез на имплантах относится к несъемному типу протезирования и на сегодняшний день считается лучшим вариантом для восстановления нескольких отсутствующих зубов. О том, что представляет собой данная конструкция, читайте в нашем материале.
Содержание статьи
Несъемный мостовидный протез на имплантах
Несъемный мостовидный протез на имплантах представляет собой цельную конструкцию, которая устанавливается при отсутствии нескольких зубов подряд (чаще всего трех-четырех). Конечно, восстановить зубы можно и с помощью операции по имплантации (один титановый корень на один зуб), однако сделать это удается далеко не всегда. Недостаток кости, риск нарушения кровообращения сосудов мягких тканей, а также высокая стоимость лечения — вот основные причины, по которым одиночная имплантация в данном случае не проводится. Главное правило при установке мостовидных протезов с опорой на имплантаты заключается в том, что количество титановых корней не должно быть меньше двух штук, в противном случае обеспечить надежную фиксацию будет невозможно. Если у пациента наблюдается полная адентия (отсутствие всех зубов), врач может предложить мостовидный протез на шести имплантатах, хотя в таких случаях чаще всего применяется съемная конструкция. Использовать в качестве опоры одновременно натуральные зубы и имплантаты также нельзя (нарушается распределение жевательной нагрузки).
Материалы мостовидных протезов на имплантатах
Значительная часть мостовидного протеза имитирует коронковую часть зубов и изготавливается из нескольких видов материалов, которые различаются областью применения и ценой.

Самый популярный материал для изготовления протезов. На металлический каркас наносятся слои керамики, а затем конструкция выдерживается в специальной печи. Такие коронки достаточно прочные и стоят относительно недорого, однако металл имеет свойство окисляться, что негативно сказывается на эстетике (может появиться синюшный контур).
Керамические коронки

Безметалловые конструкции, которые обладают отличной эстетикой, но при этом не слишком прочные. Идеально подходят для замещения фронтальной группы зубов.
Циркониевые коронки

Очень прочные и эстетичные изделия, которые могут успешно заместить все группы зубов. Отличаются большим сроком службы, но и большей стоимостью.
Этапы установки мостовидного протеза с опорой на импланты
В основе данной методики лежит имплантологическое лечение, которое имеет ряд противопоказаний. В частности, заболевания крови, иммунной системы, а также онкологические болезни являются серьезным ограничением для проведения имплантации. Перед тем как установить мостовидный протез с опорой на импланты, пациент проходит ряд процедур.
1. Первичная консультация
Определяются показания и противопоказания к установке мостовидного протеза. Делается панорамный снимок челюсти.
2. Предварительные процедуры
Санация полости рта, лечение зубов и десен при необходимости. В случае атрофии костной ткани проводится операция по ее наращиванию.
3. Вживление имплантатов
Имплантация может быть одноэтапной и двухэтапной. В первом случае сразу же устанавливаются абатменты и временные конструкции. При двухэтапном протоколе имплантаты зашиваются в десну и приживляются в течение нескольких месяцев.
4. Установка мостовидного протеза
После установки имплантатов и снятия слепков в лаборатории изготавливается постоянная несъемная конструкция, которая устанавливается пациенту на место временного протеза.
Установка протеза может осуществляться двумя способами: с помощью винтовой фиксации, когда коронка и абатмент соединяются посредством винта, а затем конструкция соединяется с имплантатом, либо посредством цементной фиксации, когда имплантат соединяется с абатментом, а мостовидный протез крепится к абатменту с помощью медицинского цемента.
Преимущества и недостатки
Среди всех ортопедических конструкций мостовидный протез на имплантах считается одной из самых современных и надежных, поэтому преимуществ у данной системы гораздо больше, чем недостатков.
- Высокие функциональные и эстетические показатели.
- Правильное распределение жевательной нагрузки.
- Долговечность конструкции.
- Для установки протеза не нужно обтачивать соседние зубы.
- Высокая стоимость.
- Костная ткань в участках, не нагруженных имплантатами, может атрофироваться.
Мостовидные протезы на имплантах — цены в Москве
Цена на мостовидный протез с опорой на импланты варьируется и зависит от целого ряда факторов. Ключевые из них — количество вживленных титановых корней и материал, из которого изготовлена коронковая часть зуба. Важными факторами также являются марка вживляемых имплантатов и уровень клиники, где проводится лечение. Впрочем, стоматологии часто предлагают акции на подобную услугу: введите поисковой запрос «мостовидный протез на имплантах цена под ключ» — и вы сможете увидеть информацию о скидках. Средние же цены на мостовидные протезы на имплантах выглядят примерно так.
Виды мостовидных протезов

К сожалению, в мире вряд ли найдется хоть один человек, ни разу в жизни не столкнувшийся с зубной болью, кариесом или какой-либо другой стоматологической проблемой. Своевременное обращение к специалисту, а также регулярные профилактические осмотры, как правило, помогают избежать потери и вынужденного удаления зубов. Однако порой по той или иной причине, например, в результате травмы или осложненного кариеса наступает частичная адентия, или отсутствие одного или нескольких зубов. На протяжении многих десятилетий фиксация мостовидных протезов остается самым популярным решением подобной проблемы. Давайте разберемся, какие плюсы и минусы имеет зубной мост и насколько он эффективен.
Мостовидные протезы: показания к установке
Для начала определимся, что такое зубной мост. Мостовидные протезы зубов - это несъемная ортопедическая конструкция, состоящая из коронок на опорные зубы и одного, двух или максимум трех искусственных зубов между ними, надежно соединенных между собой и с опорными коронками. В редких случаях искусственных зубов может быть четыре, но, чем протяженнее конструкция, тем ниже ее прочность и выше риск повреждения. Прямым показанием к установке мостовидного протеза является отсутствие одного или нескольких зубов подряд и невозможность по той или иной причине (например, по состоянию здоровья или в силу финансовых обстоятельств) установить имплантат или имплантаты.
Зубные мосты делятся на виды по материалу и по способу изготовлению, по методу их установки и типу конструкции. В первую очередь, рассмотрим подробнее различие мостовидных протезов по материалу изготовления.
Мостовидные протезы из металлов и сплавов
Металлический мостовидный протез уходит в прошлое, хотя еще лет пятнадцать назад металл, особенно золото, был самым популярным материалом в ортопедии. С одной стороны, стоматологические металлы и сплавы очень прочные, им не страшны сколы и сильная жевательная нагрузка. Однако эстетические характеристики металлических ортопедических конструкций близки к нолю, а риск возникновения аллергической реакции, напротив, очень высок. Ко всему прочему, металлические мосты довольно тяжелые, в результате чего опорные зубы разрушатся намного быстрее, чем при использовании для изготовления мостов других материалов. Тем не менее, с появление диоксида циркония все перечисленные недостатки стали неактуальными.

Пластмассовые мостовидные протезы
Оговоримся сразу, что пластмассовые зубные мосты, как и другие ортопедические конструкции из пластмассы, в современной стоматологии используются исключительно в качестве временной меры. Например, в период изготовления постоянных конструкций из других материалов. Дело в том, что стоматологическая пластмасса, хоть и является гипоаллергенной и способна довольно хорошо имитировать цвет и прозрачность натуральной эмали, все же уступает по прочности всем другим материалам: и металлу, и керамике, и металлокерамике, а также подвержена изменению цвета под воздействием слюны и пищи. Пластмассовые мостовидные протезы изготавливаются в максимально короткие сроки и стоят относительно недорого, благодаря чему они доступны для временного применения, однако не подходят для длительного. И даже укрепление пластмассовой конструкции каркасом из металла продлевает срок ее службы весьма незначительно, а риск возникновения аллергической реакции увеличивает в разы.

Керамические мостовидные протезы
Керамические, или цельнокерамические, зубные мосты изготавливаются из специальной стоматологической гипоаллергенной керамики, способной идеально имитировать анатомическую форму зубов и максимально точно воспроизводить цвет и прозрачность эмали. Для изготовления зубных коронок керамика идеальна, а вот зубные мосты из нее, особенно длинные, заменяющие более одного зуба, уступают по прочности как металлическим, так и металлокерамическим.

Металлокерамические мостовидные протезы
Оптимальным вариантом для протезирования зубов мостовидными протезами являются зубные мосты из металлокерамики. Они представляют собой все те же колпачки на опорные зубы в виде керамических коронок и керамические искусственные зубы между ними, однако опорные коронки имеют каркас из металла, а по всей протяженности зубного моста проходит металлическая балка, придающая всем элементам конструкции дополнительную прочность и надежно скрепляющая их между собой. Таким образом, металлокерамические зубные мосты сочетают в себе прочность металлических ортопедических конструкций и эстетику цельнокерамических.

Цельнолитые, штампованные и адгезивные зубные мосты
Как уже упоминалось выше, мостовидные протезы делятся на несколько видов не только по материалу изготовления, но и по способу. Скажем сразу, что на сегодняшний день самыми популярными, равно как и самыми прочными и эффективными, являются литые, или цельнолитые, зубные мосты. В отличие от штампованных, или паяных, мостов, представляющих собой несколько отдельных элементов (опорные коронки и искусственные зубы), спаянные друг с другом уже после изготовления, цельнолитые зубные мосты отличаются особой прочностью и надежностью. Что же касается адгезивным мостовидных протезов, они изготавливаются из композитных материалов, похожих на пломбировочные материалы, непосредственно в полости рта пациента и закрепляются на стекловолоконной дуге, установленной в пазах опорных зубов. Подобные конструкции значительно уступают по прочности и по эстетическим качествам, а также по сроку службы как литым, так и паяны мостам.

Несьемные и съемные мостовидные протезы
И последняя характеристика, по которой различаются зубные мосты, - это способ их установки, а точнее - принцип их соединения с десной. По этому принципу мостовидные протезы делятся на промывные, касательные и седловидные. Как явствует из названия, между промывным зубным мостом и десной имеется промывное отверстие, практически незаметное для глаза, но позволяющее промывать его при помощи ирригатора или же полоскания, а также сокращающее риск возникновения аллергии и натирания десны протезом. Касательный тип установки предполагает соприкосновение моста с десной только с одной стороны, что, опять же облегчает гигиену, зато делает мост внешне не отличимым от натуральных зубов, что особенно важно в зоне улыбки. Седловидные зубные мосты, как, опять же, понятно из названия, как бы «надеваются» на десну, обхватывая ее с обеих сторон. Это придает мосту дополнительную прочность, однако затрудняет гигиену и способно провоцировать натирание и раздражение слизистой.
Изготовление и установка мостовидных протезов
Установка зубных мостов делится на несколько этапов. В первую очередь, врач проводит предварительный осмотр, чаще всего включающий в себя рентгеновский снимок, на котором оценивает объем будущих работ и составляет смету. Порой требуется удаление поврежденных или разрушенных зубов, а в некоторых случаях и предварительное ортодонтическое лечение, так как нарушения прикуса являются одним из противопоказаний к установке зубных мостов. Далее стоматолог препарирует опорные зубы: депульпирует их при необходимости и обтачивает под коронки. После этого снимаются слепки, по которым зубной техник в зуботехнической лаборатории изготавливает несъемную конструкцию. Следующий этап - примерка и установка мостовидного протеза.

Срок службы зубного моста
Уход за любыми ортопедическими конструкциями включает в себя стандартную ежедневную гигиену полости рта, а также применение при необходимости дополнительных средств, как то: ирригаторы, ополаскиватели, специальные щетки и ершики. А вот от использования флосса, или зубной нити, в зоне установки зубного моста, скорее всего, придется отказаться. После установки мостовидного протеза лечащий врач даст вам подробные рекомендации по уходу за ним.
Конечно же, наиболее эффективным, надежным и эстетичным способом восстановления утраченных или отсутствующих зубов является установка зубных имплантов. В отличие от мостовидных протезов с опорой на собственные зубы пациента, дентальные имплантаты с установленными на них зубными мостами, полностью восстанавливают не только эстетику зубного ряда, с этим прекрасно справляются и зубные мосты, но и функцию траченных зубов.

Под функцией подразумевается полноценное участие в речи и процессе жевания, сопровождающееся правильным распределением нагрузки (чем, увы, не могут похвастаться мосты, у которых вся нагрузка приходится на опорные зубы), а также предотвращение убыли костной ткани, которая неизбежна при использовании мостовидных конструкций, так как искусственные зубы в них не имеют собственной опоры и не нагружают кость челюсти. Помимо прочего, имплантаты не требуют обточки соседних зубов, без чего, к сожалению, не обходится установка обычных зубных мостов.

Цена на зубной мост в Санкт-Петербурге
В стоимость мостовидного протеза входит снятие слепков, изготовление самой конструкции и ее установка. В зависимости от ценового уровня клиники, квалификации врача и материала изготовления протеза, зубной мост, состоящий из трех элементов - двух опорных коронок и одного искусственного зуба между ними, обойдется в среднем от 3 000 рублей до 20 000 рублей, верхняя же ценовая планка очень высока и может доходить до сотни тысяч. Итак, мостовидные зубные протезы уступают и по прочности и по эффективности зубным имплантатам, единственное их преимущество перед последними - это значительно более низкая стоимость. Однако срок службы мостовидных конструкций ограничен 1-15 годами, чем протяженнее конструкция, тем меньше этот срок, в то время как имплантаты служат своим владельцам всю жизнь и требуют только своевременной замены коронок. Таким образом, при пересчете на длительный срок стоимость имплантатов и мостов практически сравнивается.
Виды зубных мостов, какие лучше, как ставят и сколько они стоят
Пробелы зубного ряда становятся причиной сразу нескольких проблем. Среди них некорректная работа пищеварительного тракта, атрофия костной ткани, деформация челюсти. Именно этого стараются избежать врачи, когда предлагают установить зубной мост из металлокерамики или металла. Самого же пациента чаще беспокоит эстетическая составляющая.

Когда необходим протез
Прямое показание — потеря четырех фронтальных или трех жевательных зубов, расположенных рядом. В этом случае установка мостов на зубы решит и практические, и эстетические проблемы. В остальных ситуациях врач может предложить импланты, каждый из которых является полным аналогом естественного зуба и устанавливается отдельно.
Как выглядит зубной мост и его конструкция
Зубной мост или мостовидный протез — это постоянная, несъемная ортодонтическая конструкция. Цель размещения ее в полости рта — замещение удаленных или потерянных позиций. Крайние места занимают искусственные коронки для здоровых зубов или другие опорные приспособления. Промежуточная часть отдается под искусственные зубы.
Зубной мост на 3 зуба на фото:

Для удерживания протеза в ротовой полости необходимы опорные зубы. На них крепится вся конструкция. По способу крепления различают два вида зубных мостов:
- Классический, когда здоровые зубы, ставшие опорой, закрываются коронкой полностью.
- Адгезивный. В этом случае конструкцию устанавливают на половинки или даже четвертинки коронок, крепя к естественной основе специальным стоматологическим клеем.
В пользу второй разновидности говорит возможность максимально сохранить опорные зубки в их первоначальном виде. Однако решить, какой протез лучше поставить тому или иному пациенту, может только врач.
Материалы зубных мостов
Комфорт пациента, эстетические качества, а также срок службы моста в большой степени зависят от материала. Лучшими характеристиками располагают металл и металлокерамика. Именно эти материалы чаще всего используются стоматологами.
Известны также пластиковые мостики. Но их можно применять только для временного ношения, так как ни долговечностью, ни удобством они не отличаются. Средний срок службы изделия из пластмассы, даже в случае, когда основой служит металлическая конструкция, составляет 4 года. За это время пластик меняет цвет (темнеет, желтеет) и разрушается под воздействием щелочной среды ротовой полости.
Временный мост на зубы из пластика — оптимальный выбор для ношения в том случае, если постоянное изделие еще не готово, а пробелы доставляют ощутимые неудобства. Обычно такое бывает в зоне улыбки.
Зубной мост из металлокерамики
Несъемный зубной мост из металлокерамики прочен и красив. В его основе лежит надежный металлический каркас. Верхняя часть покрывается керамикой. Служит такой мост, известный еще и как мерилендский мостовидный протез, не менее 7 лет. Все это время он сохраняет естественный оттенок эмали и все особенности заданной формы. Но, несмотря на массу положительных сторон, металлокерамический мост имеет противопоказания к установке.

Когда нельзя вставлять металлокерамический протез
Список противопоказаний открывает отсутствие более четырех соседних зубов. Для решения такой проблемы должны применяться другие методы. Также не рекомендуется установка металлокерамики при:
- парафункции жевательных мышц;
- острых стадиях пародонтита;
- недостаточной высоте опор.
Как любая современная наука, стоматология не стоит на месте. Еще вчера поставить протез из металлокерамики было невозможно при многих заболеваниях. Сегодня этот перечень значительно сокращен. Новые способы крепления, улучшенное качество материалов, усовершенствованная технология сделали процесс доступнее.
Металлические зубные мосты
По способу изготовления выделяется два вида: металлические мосты на зубы могут быть литые и штампованные. В качестве исходного сырья выступают никель, золото, кобальт и хром. Наиболее предпочтительны цельнолитые протезы. Они выдерживают экстремальную жевательную нагрузку, имеют длительный срок службы и отличаются точностью формы. Бесспорные плюсы протезов из металла:
- удобство пациента, обеспеченное технологичным исполнением, точным повторением анатомической формы;
- возможность монтажа в сложных случаях: при истирании твердых тканей, деформации челюсти.
И главное преимущество — низкая стоимость. Это один из самых популярных видов протезирования. Если не включать в состав сплава драгоценные металлы, цена одной коронки не превысит сумму в три тысячи рублей.
Минусы использования металлических сплавов
Присутствие такого материала во рту может давать металлический привкус, будет лучше, если верхним слоем мостика станет керамика. Это один из недостатков. Второй минус — отсутствие эстетики «родного» зуба. Этот недостаток особенно важен, когда подбирается мостовидный протез на передние зубы, и на первый план выходит внешняя привлекательность конструкции.
Ниже можно посмотреть, как выглядит зубной мост на фото, если для протезирования выбран исключительно металл:

И третий минус — возможность окисления. Стоматология знает немало случаев, когда слизистой желудка был нанесен урон старыми металлическими протезами. Во избежание таких ситуаций важно вовремя обратиться к стоматологической помощи, узнать у специалиста, какие зубные мосты лучше, и заменить устаревшую конструкцию.
Как ставят мост на зубы
Неправильно подобранный вид протеза, неточности в изготовлении, непрофессионально выполненное препарирование — все это причины осложнений, которые бывают после установки мостов. Поэтому ставить протезирующие конструкции лучше в профильных клиниках. В них действует следующий алгоритм:
- Полноценный осмотр ротовой полости, включающий рентген и оценку клинической ситуации.
- Санация ротовой полости.
- Удаление нервов, пломбировка каналов и обточка опорных зубов.
- Изготовление слепков.
- Производство и примерка протеза, выявление и устранение допущенных неточностей.
Только после этого мостовидные конструкции фиксируются при помощи медицинского цементирующего раствора, а пациент получает исчерпывающую консультацию по уходу за протезом.

Дополнительные услуги
Многие стоматологии в Москве предлагают услугу компьютерного моделирования, когда пациент на видео может оценить внешний вид будущего протеза, его размер и форму. Поскольку несъемные мосты ставятся надолго, пренебрегать этой услугой не стоит. Видео покажет плюсы и минусы, позволит наладить результативный диалог врача и пациента.
В особо сложных случаях врач может предложить сделать импланты на опорные позиции. За счет этого сокращается промежуточная часть протеза, решается проблема досрочного выпадения. Стоимость и срок реставрации в этом случае увеличатся.
Мосты или импланты: что выбрать
Некоторым пациентам не нравится, как выглядит мост на зубах. Другие боятся сломать опоры во время обточки. Врачи к этому могут добавить еще несколько моментов:
- неравномерное распределение давления на жевательную поверхность;
- нарушение целостности эмали зубов;
- небольшой срок эксплуатации.
Даже если во рту установлен мерилендский металлокерамический протез, через 7-10 лет он придет в негодность. В этом несъемные зубные мосты проигрывают современным имплантам, «живущим» 20 и более лет. Однако только врач может предложить импланты, а также решить, нужны ли на зубы мостики и из какого материала их сделать.
Выбор пациента может ограничиваться внешними характеристиками и стоимостью. Перед тем как принять решение, стоит узнать, сколько стоит поставить мост на зубы и в какую сумму выльется монтаж имплантов.
Удачное сочетание
Бывают ситуации, когда лучшим выходом становится сочетание двух методик: установки моста и вживления импланта. Такой подход применяется при абсолютной адентии - полном отсутствии зубов и их замещающих в ротовой полости. Тогда вмонтированные искусственные зубы используются в качестве опоры, а между ними устанавливается протез. Это лучшее решение для нежелающих пользоваться классическими вставными челюстями.

Как снять
Если о том, как ставят зубные мосты, написано немало, то статьи об их снятии — редкость. Но практика показывает, что процесс отработан и не представляет сложности для врача. На первых этапах техник добивается крошения адгезивных материалов, расположенных на двух опорных зубах. Для этого используют пневматические или специализированные ультразвуковые установки. Затем протез аккуратно поддевается щипцами и вынимается из полости рта.
Пациент не испытывает неприятных ощущений, боли. Здоровые зубы во время снятия не расшатываются, не выпадают. Позже на них можно повторно установить новый протез.
На фотографии изображен снятый мостовидный протез на передние зубы:

Практика показывает, что протез может отслужить больше, чем ему отведено гарантией. А при хорошем состоянии и аккуратно выполненном снятии его можно вставить обратно после решения возникших проблем: лечения кариеса, купирования воспалительного процесса, устранения загрязнений. Чаще повторной установке подвергается мост на передние зубы, так как уход за ним прост и доступен.
Возможные проблемы и осложнения
Изобретя мост, стоматология решила проблемы многих пациентов. Однако и эта технология имеет свои недостатки. К ним относятся такие осложнения, как:
- воспаление слизистой в месте соприкосновения с зубным протезом;
- атрофия пародонта;
- шатание и выпадение опорных зубов;
- пульпит;
- патологическое истирание здоровых зубов-антагонистов;
- изменение прикуса;
- аллергия.
Возникновение осложнений зависит от того, как делают мосты на зубы, соблюдают ли технологию, проводят ли обследование на переносимость материалов. Обращаться к врачу стоит при любом ощутимом дискомфорте. Даже если протез шатается, но боли нет.
Что делать, если шатается зубной мост
Причин, по которым мерилендский протез может шататься, три:
- Сломался или выпал один из опорных зубов.
- Сломались два опорных зуба.
- Разрушился состав, на котором держатся крепящиеся элементы.
Чтобы понять причину, врач должен знать, сколько стоит зубной мост в полости рта (если подходит к концу срок службы), какие ощущения испытывает пациент. Неизбежен внимательный осмотр и рентгенологическое исследование корней опорных зубов. Только после этого доктор определит, отчего шатается зубной мост и что делать.
Стоит отметить, что временные меры по укреплению здесь не помогут. Выход только один — снятие протеза. Второго не дано. Особенно если сломался или выпал опорный зуб.
Условно-съемное протезирование
Существует еще один способ фиксации зубных протезов, который стоматологи называют условно-съемным. Это не временный вариант — такой мост ставится на долгое время. По сути, это такой же протез, но с одной лишь промежуточной частью. А вместо коронок у него находятся крепления замкового типа.
Условно-съемный мостовидный протез на фото:

Такой протез может ставиться на естественные и искусственные зубы. Он позволяет сохранить эмаль нетронутой и легко снимается, даже если опорный зуб еще не выпал.
Доверьтесь врачу
Разобраться, как ставятся на зубы мосты и какие бывают варианты, сегодня несложно. Фото и видео в интернете, научные публикации и телевизионные передачи, демонстрирующие, как ставят мост на зубы, делают эту задачу максимально простой. Но грамотно оценить клиническую ситуацию, правильно подобрать вид протеза и сохранить здоровые зубы может только врач. Поэтому лучше доверить свое здоровье и внешний вид профессионалам.
Читайте также:
