Псориаз: случай успешного лечения обострившейся болезни аппликациями из Нафталановой нефти
Добавил пользователь Владимир З. Обновлено: 01.01.2026
ЗАО Фармацевтическое научно-производственное предприятие «Ретиноиды», Москва, Россия, 111123
Первый Московский государственный медицинский университет им. И.М. Сеченова
ЗАО «Ретиноиды», Москва, Россия, 111123
ФБУН «Санкт-Петербургский научно-исследовательский институт эпидемиологии и микробиологии им. Пастера», Санкт-Петербург, Россия
Научный дерматологический центр ЗАО "Ретиноиды", Москва
Экспериментальное исследование действия на сальные железы нафталанской нефти в составе препарата для накожных аппликаций
Журнал: Клиническая дерматология и венерология. 2017;16(2): 44‑47
Материал и методы
Препарат Нафтадерм (линимент нафталанской нефти 10%), имеющий запатентованный состав (патент РФ с приоритетом от 19.01.99), в течение почти 15 лет выпускает ЗАО «Ретиноиды».
В исследовании были использованы беспородные мыши-самцы массой 30—35 г, содержавшиеся в условиях вивария Экспериментальной биологической клиники ЗАО «Ретиноиды» в соответствии с санитарно-эпидемиологическими требованиями к устройству, оборудованию и содержанию экспериментально-биологических клиник (вивариев) (Постановление № 51 от 29.08.14 об утверждении СП 2.2.1.3218−1).
Были исследованы две группы мышей по 8 особей в каждой. Контрольную группу составили животные без воздействия, опытную — мыши, которым в течение 2 нед ежедневно однократно наносили на лишенный волосяного покрова (с применением триммера) участок спины площадью 2×2 см препарат Нафтадерм в разовой дозе 0,3 г. Первую аппликацию проводили через 2 дня после стрижки. Контрольные мыши также подвергались выстриганию шерсти на спине.
Животных выводили из эксперимента на следующий день после окончания аппликаций путем дислокации шейных позвонков. Фрагменты кожи спины (у опытных животных из зоны нанесения препарата) фиксировали в расправленном состоянии в 10% забуференном формалине, дегидратировали в спиртах возрастающей концентрации и заливали в смесь Histomix («Биовитрум», Россия). Срезы окрашивали гематоксилином и эозином и изучали под световым микроскопом Axioskop 2 («Carl Zeiss», Германия). Число профилей ацинусов СЖ подсчитывали при использовании объектива с 40-кратным увеличением в 20 полях зрения подряд от каждого животного. Микрофотографирование и определение площади сечений секреторных отделов СЖ проводили на аппаратно-программном комплексе, включающем микроскоп Axioskop 2, камеру AxioCam и систему формирования изображения AxioVision («Carl Zeiss», Германия). У каждого животного определяли площади 30 расположенных подряд профилей ацинусов.
Статистическую обработку результатов морфометрических исследований проводили с использованием t-критерия Стьюдента. Статистически значимыми считали результаты с уровнем вероятности не менее 95%.
Результаты
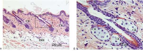
Эпидермис кожи контрольных мышей в высоту насчитывает от базальной мембраны до зернистого слоя 2—3 клетки, образует кнаружи небольшие выступы. Эпидермальные гребешки и сосочки отсутствуют. Зернистый слой тонкий состоит из 1—2 слоев плоских кератиноцитов с базофильными гранулами кератогиалина в цитоплазме. Роговой слой представлен узкой, прилежащей к клеточному эпидермису, пластиной компактного кератина, над которым располагаются рыхлые кератиновые пласты. Сально-волосяные комплексы расположены равномерно, содержат относительно крупные профили СЖ (рис. 1, а, б). Дерма представлена коллагеновыми и эластическими волокнами с диффузно расположенными резидентными клетками: зрелыми фибробластами, немногочисленными макрофагами, лимфоцитами, тучными клетками.

Рис. 1. Кожа спины интактных мышей-самцов (контроль). а — обзор, б — выделенный фрагмент. Окраска гематоксилином и эозином. Примечание. Здесь и на рис. 2: а — обзор, б — выделенный фрагмент. Окраска гематоксилином и эозином. Эп — эпидермис, Д — дерма, СЖ — сальные железы (на рис. 2а указаны стрелками), ПЖК — подкожная жировая клетчатка; профили ацинусов сальных желез обведены с указанием их площадей.
Эпидермис кожи мышей после аппликаций препарата Нафтадерм неравномерно утолщен; его высота до зернистого слоя составляет 4—6 клеток и более. Зернистый слой также шире, чем в контроле, представлен 2—3 рядами крупных клеток. В роговом слое ширина прилежащей к клеточному эпидермису пластины компактного кератина визуально увеличена. В дерме наблюдается диффузный, умеренно выраженный полиморфно-клеточный инфильтрат, представленный лимфоцитами, макрофагами с примесью нейтрофилов, эозинофилов, тучных клеток. Бо́льшая часть волосяных фолликулов находится в стадии анагена, их наружные эпителиальные влагалища утолщены, кератиновые пласты глубоко проникают в воронку. Сальные железы встречаются не во всех полях зрения, уменьшены в размерах, профили их секреторных отделов редуцированы — иногда до 1—2 клеток (рис. 2, а, б). Морфометрические исследования выявили у опытных животных статистически значимое снижение числа профилей ацинусов в поле зрения микроскопа и их средней площади по сравнению с контролем (см. таблицу).
Морфометрические показатели сальных желез мышей-самцов после двухнедельных ежедневных аппликаций препарата Нафтадерм (n=8; M±m) Примечание. * — достоверное отклонение от интактного контроля (р<0,005).

Рис. 2. Кожа мышей-самцов после окончания 2-недельных аппликаций препарата Нафтадерм.
Заключение
Одним из проявлений фармакологической дерматотропной активности НН при наружном применении содержащих ее препаратов является экспериментально доказанный себостатический эффект.
Случай лечения ограниченного нейродермита рук с использованием нафталана
В МУП Хозрасчетную поликлинику г. Уфы обратилась женщина среднего возраста с жалобами на поражение кожи рук.
Жалобы
Поражены обе кисти рук до предьплечий. Поражение носит локализованный характер. Изменение кожи сопровождается сильным зудом. Ухудшение заболевания пациентка связывает с сезонным обострение в осенне-зимний период. Отмечает усиление зуда в ночное время. Болезненные высыпания доставляют эмоциональный и физический дискомфорт.
Пациентка регулярно принимала препараты, снимающие зуд, в том числе и гормональные, назначенные в поликлинике по месту прописки. В ночное время зуд периодически удавалось снять обливанием рук горячей водой из крана.
Анамнез
Первые симптомы заболевания заметила пять лет назад, когда работала аппаратчицей на производстве стекловолокна. При ежегодном медицинском осмотре обратилась с жалобами на зуд кожи рук к врачу-дерматологу. Получив устные рекомендации и опасаясь неблагоприятного исхода заболевания поменяла место работы. По совету знакомых устроилась оператором линии на Уфимский фанерно-плитный комбинат. Улучшения состояния кожных покровов не наблюдалось. Изначально процесс локализовался только на кистях рук, но постепенно состояние ухудшалось: пятна на руках увеличивались и сливались, образовывались наибольшие площади поражения.
Пациентка росла и развивалась соответственно возрасту. Хроническими заболеваниями не болела. Замужем, в браке есть дети. Наследственность не отягощена. Вредных привычек не имеет. Алкоголь употребляет по праздникам в незначительных количествах.
Обследование
Рост — 174 см. Масса тела — 73 кг. Индекс Брока — 95% (норма). Телосложение по астеническому типу, пропорциональное. При осмотре в очагах поражения отмечено покраснение и усиление кожного рисунка, кожа отёчна, инфильтрирована. Цвет поражённых участков кожи лилово-красный, края очагов на границе участка с непоражённой кожей нечёткие. В последнее время на поверхности появились мелкие узловатые высыпания.
Проведены клинико-лабораторные исследования: общие анализы крови и мочи без патологии. Результаты анализов крови на сифилис и антитела к ВИЧ отрицательные. При иммунологическом исследовании крови отмечалось повышение содержания в сыворотке крови IgE, повышение уровня IgG и уменьшение IgM.
Диагноз
Лечение
Пациентке назначена десенсибилизирующая, иммуностимулирующая и общеукрепляющая терапия. Показано соблюдать диету №5 по Певзнеру. Для наружной терапии использовалась нафталановую нефть в виде аппликаций. Перед применением нефть нагревали до температуры 38°С, наносили на кожу медицинским шпателем, фиксация осуществлялась пищевой полиэтиленовой плёнкой, затем руки укрывались термоодеялом. Противопоказания к применению нафталановой нефти (наличие мокнутия) отсутствовали. Время экспозиции составляло 15-20 минут, процедуры повторяли через день. После манипуляций нефть удалялась сухой тканью. Затем пациентка принимала тёплый душ.
По окончании лечения отмечалась значительная положительная динамика. Пациентка чувствовала себя хорошо. Высыпания практически исчезли, зуд купировался полностью.
В результате правильного лечения ограниченного нейродермита возможно достижение длительной ремиссии, но при условии соблюдения правильного режима: ограничения контакта с физическими и химическими раздражителями. Аппликации из нафталановой нефти при лечении данного заболевания доказывают свою эффективность. Они усиливают кровообращение за счёт снижения теплоотдачи и согревания кожи, тем самым разрешая инфильтрат, а накопление влаги под слоем нефти способствует разрыхлению рогового слоя эпидермиса и более глубокому проникновению лекарственных веществ.
Случай успешного лечения пустулёзного псориаза ладоней и подошв
В клинику 5 декабря 2020 года обратился пациент с жалобами на болезненные высыпания и жжение в области ладоней и стоп, болезненность большого пальца правой стопы и изменение ногтей.
Высыпания локализовались на ладонях и стопах. Болезненность умеренная, усиливалась при ходьбе и контакте с водой.
Боль часто усиливалась к концу рабочего дня. Обезболивающие препараты облегчали её на несколько часов, но полностью не устраняли. После сна боль, как правило, снижалась или полностью исчезала.
Впервые высыпания появились в 2001 году. Пациент связывал их со стрессом. Количество обострений не помнит.
Высыпания на стопах появились месяц назад. Боли в области большого пальца правой стопы беспокоят две недели.
Самостоятельно периодически использовал крем Акридерм, который временно оказывал положительный эффект.
Был осмотрен ревматологом и хирургом. Ревматолог поставил диагноз «п сориатический артрит, олигоартритический вариант на фоне очагового псориаза ладоней и подошв » . Хирург предположил, что это псориаз.
Сопутствующие заболевания: гипертоническая болезнь II стадии, алиментарное ожирение II степени, остеохондроз поясничного отдела позвоночника.
Патологический процесс расположен на ладонях и подошвах, представлен полиморфной сыпью в виде папул, пустул, чешуек и единичных эритематозно-сквамозных бляшек на локтях и передней поверхности правой голени (см. фото).
На ногтевых пластинах есть углубления, напоминающие ямочки напёрстка. Наблюдается частичный онихолизис (отслоение ногтя от ногтевого ложа) и п одногтевая псориатическая эритема. При такой экземе под ногтями образуются кровоизлияния, выглядящие как красные точки или пятна. Сами ногти толстые, мутные, слоятся, околоногтевой валик кончиков пальцев воспалён.
По результатам МРТ шейного отдела позвоночника выявлены дегенеративные изменения межпозвонковых дисков, дискоэкзофитарные комплексы позвонков С3-С4, С5-С6, С6-С7, спондилёз, спондилоартрозы шейного отдела позвоночника.
По результатам общего анализа крови: СОЭ (скорость оседания эритроцитов) 46 мм/ч, размер, количество лейкоцитов увеличено (13,3 × 10^9/л), С-реактивный белок 30,68, мм/л, ревмофактор 11,3 МЕ/л, мочевая кислота 457 мкм/л, холестерин 5,54 ммоль/л.
Факторы, провоцирующие псориаз: как избежать обострений

Псориаз — распространенное дерматологическое заболевание, которое с древних времен и по сегодняшний день вызывает много вопросов. Болезнь не представляет угрозы для окружающих, она не имеет инфекционного компонента, но при этом может существенно испортить качество жизни самому больному. Важная задача, стоящая перед врачами, — донести до пациента информацию, что провоцирует псориаз, сформировать рекомендации, как максимально исключить эти факторы. Эффективное лечение псориаза всегда основано на взаимодействии врача и пациента, на систематическом выполнении всех рекомендаций и коррекции образа жизни.
Проявляется псориаз розовыми приподнятыми пятнами на теле. Они вызывают зуд, склонны к слиянию и образованию обширных бляшек. Это очаги хронического воспаления, а чешуйки, которыми покрыты бляшки, говорят врачам о том, что в этом месте клетки эпителия делятся с бешеной скоростью, во много раз активней, чем это должно быть в норме.
Причины псориаза не ясны до конца. На данный момент предполагается аутоиммунная природа заболевания. Также врачи считают, что есть генетические факторы, предрасполагающие к появлению псориаза, потому что очень часто встречаются семейные случаи. Спровоцировать дебют могут инфекции, стресс, переохлаждение. При этом псориаз протекает волнообразно, эпизоды обострения сменяются ремиссией. И от правильно назначенного лечения и образа жизни пациента, от его систематического ухода за кожей напрямую зависит длительность спокойных периодов. В острые периоды улучшить состояние помогает мазь от псориаза.
Так как вылечить псориаз окончательно врачи пока не могут, основная цель — добиться стойкой длительной ремиссии, улучшить качество жизни пациента и максимально очистить от бляшек кожу. Мы расскажем, может ли острая пища вызвать псориаз, как влияют на рецидивы некоторые лекарственные препараты, какие факторы могут спровоцировать новое обострение.
Какие продукты провоцируют псориаз
Как ни странно, есть пища, провоцирующая псориаз. Под запретом любые острые, копченые и сильно соленые блюда, они нарушают процесс всасывания в кишечнике. Также спровоцировать рецидив могут цитрусовые, которые блокируют фолиевую кислоту из-за содержащегося в них колхицина. А фолиевая кислота важна для восстановления кожи. Нельзя употреблять в пищу консервированные продукты, которые могут послужить триггером к новому обострению.

Вот еще продукты, провоцирующие псориаз:
- торты, пирожные, газированные напитки, содержащие большое количество сахара;
- алкоголь;
- полуфабрикаты.
Желательно питаться блюдами, приготовленными дома, тогда можно контролировать состав и калорийность. Диета должна быть богата овощами и фруктами, медленными углеводами и белком, который легко усваивается.
Лекарства, вызывающие рецидивы болезни
Фармакологические препараты также могут влиять на течение болезни. Если говорить о том, какие лекарства провоцируют псориаз, то в первую очередь это антибиотики, нестероидные противовоспалительные препараты, бета-блокаторы. Существенное влияние оказывают вакцины и сыворотки, потому что они затрагивают напрямую иммунитет, некорректная работа которого и лежит в основе псориаза. Также провоцируют псориаз лекарства от повышенного давления, от психических заболеваний. Это не значит, что человек, страдающий от псориаза, не должен заниматься лечением других болезней, например, гипертонии, не вакцинироваться, но он должен сообщать врачам о наличии дерматологических проблем, не заниматься самолечением и не покупать в аптеке самостоятельно назначенные себе средства.
Какую роль играют паразиты в течении болезни
Существует паразитарная теория развития псориаза. Дело в том, что у людей, у которых уже установлен этот диагноз, часто обнаруживаются кишечные паразиты. Конечно, это не первопричина появления болезни, но не исключено, что паразиты влияют на иммунную систему человека, создают постоянную напряженность иммунитета, вырабатывают аллергичные токсины, могут вызывать эпизоды псориаза. Если говорить о том, какие паразиты провоцируют псориаз, то стоит выделить следующие:
- аскариды;
- острицы;
- лямблии;
- бычий цепень и другие.
У больных псориазом должна быть выявлена и вылечена любая паразитарная инвазия. Это поможет снизить вероятность обострений.
Профилактика рецидивов псориаза
Новый эпизод может быть вызван стрессом, переохлаждением, гормональными изменениями. Также провоцирует псориаз тесная синтетическая одежда, грубые швы, важно носить только свободную одежду из натуральных тканей — хлопка и льна. Летом нужно защищать кожу от ультрафиолетового излучения, использовать солнцезащитную косметику с фильтрами. Больные псориазом должны избегать ссадин и порезов, соблюдать гигиену, не допускать обезвоживания кожи и использовать регулярно эмоленты. Тогда можно будет добиться длительной и стойкой ремиссии.
А если вы хотите узнать об этой болезни больше, читайте статью "Все о псориазе во время беременности".
Стойкая ремиссия при псориазе - реально ли и как добиться

Псориаз - хроническое заболевание, причины развития которого до сих пор точно неизвестны. В связи с этим его относят к неизлечимым хроническим болезням. В их течении выделяются периоды обострения и ремиссии. Они могут иметь разную длительность. Но в любом случае цель лечения - добиться стойкой ремиссии. Для начала стоит понять, что это такое - псориаз в стадии ремиссии, а уже затем рассмотреть способы и правила ее достижения.
Что такое ремиссия
Ремиссия происходит от лат. Remissio, что означает «уменьшение, ослабление». В медицине такой термин применяют к периоду в течении хронического заболевания, когда его симптомы и признаки значительно ослабевают или исчезают.
Таким образом, ремиссия - не полное выздоровление, а период улучшения, который может длиться разное количество времени. Термин применяют только к хроническим рецидивирующим заболеваниям, к которым относят и псориаз. Его нельзя вылечить, но можно добиться ремиссии и поддерживать ее в течение длительного времени. Еще эту стадию развития псориаза называют регрессивной.
Описание ремиссии псориаза
Так, ремиссия псориаза - период облегчения или почти полного исчезновения признаков и симптомов. Необходимо сразу сказать, что единого способа нет, и кому-то это дается легко, а другим приходится проявить огромную силу воли. На сложность в достижении ремиссии влияют следующие факторы:
- степень выраженности заболевания;
- длительность лечения;
- на каком уровне находится общее здоровье человека;
- наличие сопутствующих заболеваний.
По этим причинам схему терапии всегда подбирают индивидуально, а лечение псориаза у детей отличается от лечения взрослых.

Ремиссия при псориазе имеет 2 формы:
- Полную, когда кожа полностью очищается от бляшек, проходят зуд, покраснения и шелушение.
- Неполную, когда остаются «дежурные» бляшки, которые появляются в наиболее характерных местах: на локтях, коленях, по линии роста волос.
От перечисленных факторов зависит и то, как долго длится ремиссия псориаза. В среднем период облегчения продолжается от 6 месяцев до 6 и более лет, но четких временных границ не существует. На длительность влияет то, насколько строго человек соблюдает предписания врача, проходит ли лечебные и профилактические курсы, а также их правильность и эффективность. Именно эти факторы становятся условием сохранения и продления состояния ремиссии.
Как добиться ремиссии при псориазе
Чтобы добиться стойкой ремиссии при псориазе, врач назначает поддерживающую терапию. Она может включать прием лекарств и применение специальной мази от псориаза. Дополнительно корректируется питание и назначаются витаминно-минеральные комплексы, даются рекомендации относительно образа жизни.
Самые важные советы:
- Постоянно наблюдаться у врача, приходить на профилактические приемы.
- Продолжать курс терапии еще некоторое время после исчезновения симптомов, но только по согласованию с врачом.
- Строго соблюдать диету, индивидуально составленную врачом.
- Исключить действие провоцирующих факторов.
- Придерживаться правильного распорядка дня с достаточным количеством сна, отдыха и физических нагрузок.
- Пройти лечение для устранения хронических очагов инфекций. Ухудшить состояние могут синусит, ринит, гайморит, тонзиллит, кариес и другие заболевания внутренних органов.
Исключить факторы риска
В первую очередь для достижения ремиссии необходимо исключить все, что может спровоцировать обострение. Многие пациенты отмечают, что рецидив произошел без видимых причин. Но на самом деле они просто остались незамеченными. Существует ряд факторов, способных спровоцировать прогрессирование псориаза:
- затяжная депрессия;
- сильное эмоциональное потрясение;
- перепады температуры или резкая смена климата;
- гормональные изменения (переходный возраст у детей и менопауза у женщин);
- курение и злоупотребление алкоголем;
- инфекционные заболевания.

Конкретные рекомендации по устранению негативных факторов зависят от локализации высыпаний. Например, при лечении псориаза на руках нужно обязательно исключить воздействие на кожу химических веществ. Не менее важно избегать повреждений (ссадин, царапин, порезов), поскольку на их месте могут появляться новые бляшки. При псориазе волосистой части головы ухудшить состояние может неправильно подобранный шампунь или неаккуратное расчесывание, а также окрашивание.
Соблюдать диету
Важным условием достижения и сохранения ремиссии выступает соблюдение диеты. Она исключает продукты, которые могут оказывать на организм неблагоприятное действие. К таким относятся:
- цитрусовые,
- орехи,
- пряности,
- свинина,
- алкоголь,
- жирная рыба,
- молоко,
- сладости.

Рацион при псориазе должен быть сбалансированным и разнообразным. Полезно употреблять сырые овощи и фрукты. Мясо должно быть постным, а рыба - нежирной (лосось, морской окунь). Из молочных продуктов хорошо переносятся обезжиренный творог, йогурт и кефир.
Принимать назначенные лекарства
Конкретный курс лекарственных препаратов назначает врач. Периодически специалисты рекомендуют проводить чистку организма с помощью сорбентов: Активированного угля, Энтеросгеля, Сорбекса, Смекты. В дополнение к ним могут применяться:
- антигистаминные для купирования аллергических приступов;
- фолиевая кислота, витаминные и поливитаминные комплексы;
- препараты для восстановления кишечной микрофлоры.

Поддерживать хороший настрой
Один из самых серьезных отпечатков на течение псориаза накладывает психологическое состояние человека. Если чрезмерно фиксировать внимание на симптомах, есть риск столкнуться с психологическими расстройствами и депрессией. А любой стресс может негативно повлиять на течение заболевания и вызвать рецидив.

В такой ситуации может потребоваться помощь психотерапевта. Улучшить психоэмоциональное состояние помогут занятия йогой. Они особенно рекомендованы тем, кто страдает от псориаза. Также полезно совершать пешие прогулки, заниматься спортом и принимать солнечные ванны (особенно при склонности к зимним обострениям псориаза).
Читайте также:
