Рабдомиома сердца. Виды рабдомиом сердца. Признаки рабдомиомы сердца.
Добавил пользователь Евгений Кузнецов Обновлено: 31.10.2025
Опухоли сердца характеризуются высокой частотой летальных исходов. Наибольшего успеха в лечении можно добиться только на ранних сроках заболевания. Особенно это касается злокачественных новообразований, которые практически всегда диагностируются слишком поздно. Выполнение операции в таких случаях уже невозможно, и остается лишь стараться продлить жизнь пациенту и облегчить его страдания.
Как часто встречаются опухоли сердца
Опухоли сердца встречаются нечасто (примерно 0,05 % от всех онкослучаев). Самые распространенные (75 %) из первичных - это доброкачественные образования. Злокачественные более редкие - около 25 %. У взрослых наиболее часто диагностируется миксома, у детей - рабдомиома, фиброма. Злокачественные образования в сердце практически всегда наблюдаются только у мужчин. Самыми частыми опухолями сердца считаются метастазы рака других органов.
Наиболее вероятные причины
К сожалению, несмотря на многочисленные научные исследования, в ходе которых были обнаружены различные генетические мутации и антигены вирусных частиц, до сих пор неизвестна причина возникновения сердечных опухолей. Однако точно установлено, что многие из них имеют наследственную этиологию.
Какие виды встречаются
Итак, все опухоли сердца можно разделить на 3 вида:
- Первичные доброкачественные - к ним относятся миксомы, рабдомиомы, липомы, тератомы, ангиомы, папиллярные фиброэластомы.
- Первичные злокачественные - представлены главным образом саркомами (ангиосаркомы, фибросаркомы), также встречаются эндотелиома, мезотелиома.
- Вторичные злокачественные - это метастазы рака других органов (молочной железы, легких, желудка). Появление их в сердце свидетельствует о глубоко запущенном онкологическом процессе.
Подробнее остановимся на самых распространенных разновидностях - это миксома, рабдомиома, ангиосаркома.
Миксома
Миксома - самая частая первичная опухоль сердца (около 50 %). Несмотря на схожие названия, миксома сердца и миксоматоз митрального клапана - это абсолютно разные заболевания.

Миксома чаще наблюдается у женщин от 30 до 50 лет. Она может располагаться в любой полости, но чаще встречается в левом предсердии. Примерно в 3 % случаев патология развивается в рамках наследственного синдрома, который называется комплекс Карни. У таких пациентов наблюдается большое количество пигментных пятен на коже, фиброаденоматоз молочных желез и синдром Иценко-Кушинга, вызванный аномальной гиперпродукцией гормонов коры надпочечников (ожирение, растяжки багрового цвета на коже живота и бедер, высокий уровень глюкозы в крови).
Обычно миксома имеет достаточно большие размеры - от 2 до 15 см, из-за чего она может практически полностью перекрыть сердечную камеру.
Примерно у 20 % пациентов при маленьком размере опухоли наблюдается бессимптомное течение. Один из главных признаков болезни - «миксомная интоксикация». У человека повышается температура тела, начинают болеть суставы, он теряет в весе, в крови снижается уровень гемоглобина, и появляются «воспалительные маркеры» - лейкоцитоз, высокие СОЭ и С-реактивный белок. На первый взгляд может создаться впечатление, что у пациента хроническая инфекция (например, туберкулез) или аутоиммунное заболевание из области ревматологии.
Развитие такой симптоматики объясняется иммунной реакцией организма на белки, вырабатываемые опухолью. После удаления миксомы эти признаки быстро исчезают.
Две главные проблемы, которые приносит миксома - препятствие кровотоку внутри сердца и тромботические осложнения.
Из-за того, что в левый желудочек попадает меньшее количество крови, люди с миксомой довольно часто испытывают головокружения, теряют сознание. Быстрый рост опухоли приводит к стремительному развитию симптомов хронической сердечной недостаточности (ХСН) - одышки, постоянной усталости, отеков ног, тяжести в правом боку и т. д. Характерные черты ХСН при миксоме - быстрота возникновения (от 3 до 6 месяцев) и устойчивость к лекарственной терапии.
Частое осложнение - кардиоэмболии. На поверхности опухоли образуются тромбы, которые закупоривают артерии, приводя к остановке кровотока в разных частях тела. Из-за рыхлой структуры новообразования его фрагменты могут отделяться и уходить в «свободное плавание».
Подозревая миксому, первым делом я выполню аускультацию сердца. Почти всегда мне удается выслушать патологический диастолический шум, который становится интенсивнее в положении стоя.
Для исключения комплекса Карни я назначаю анализы для определения уровня гормонов коры надпочечников - малый и большой дексаметазоновый тесты, кортизол слюны, суточной мочи и т. д.
Рутинные методы диагностики (ЭКГ и рентгенография) бесполезны для выявления не только миксомы, но и всех других опухолей сердца. Более информативными в этом плане признаны визуализирующие методы исследования, т. е. при проведении которых мы можем увидеть как сам орган, так и его полости. К таким диагностическим методам относятся:
- (УЗИ сердца, Эхо-КГ) - главный способ диагностики миксом. На мониторе опухоль определяется как образование округлой формы с четкими краями, обычно находится в области межпредсердной или межжелудочковой перегородки в близости от створок клапанов. Миксома располагается на ножке, благодаря чему она может перемещаться из предсердия в желудочек и обратно. Иногда требуется проведение чреспищеводной эхокардиографии.
- Компьютерная или магнитно-резонансная томография (КТ, МРТ) - это дополнительные исследования. Их я назначаю при неясной УЗИ-картине, или чтобы лучше оценить объем разрастания опухоли.


Единственным способом лечения миксомы является ее хирургическое удаление. Выполняется полостная операция под общей анестезией - вскрывается грудная клетка, пациента подключают к аппарату искусственного кровообращения.
Во избежание рецидивов производится полное удаление опухоли вместе с подлежащими тканями. Если образовавшийся дефект в стенке сердца большой, его закрывают «заплаткой» из перикарда или синтетического материала. Затем полости активно промывают и отсасывают жидкость. Это делается для того, чтобы остатки клеток опухоли не закупорили мелкие сосуды. После удаления миксомы ее образец обязательно отправляют в гистологическую лабораторию.
Часто бывает так, что из-за больших размеров образования повреждаются клапаны, поэтому пациенту может потребоваться их протезирование или пластика с последующим приемом антикоагулянтов (Варфарин). Если миксома возникла в рамках комплекса Карни, то дополнительно требуется удаление обоих надпочечников и пожизненный прием гормональных препаратов (Кортефф, Кортинефф).
Рабдомиома
Рабдомиома - самая частая доброкачественная опухоль сердца у детей до 15 лет. Примерно в половине случаев она сочетается с таким тяжелым наследственным заболеванием, как туберозный склероз. Новообразование представляет собой несколько плотных узлов, растущих из мышечной стенки желудочков или межжелудочковой перегородки. Они могут занимать от 25 до 80 % объема камеры.
Из-за того, что опухоль произрастает из стенки миокарда, она сдавливает проводящую систему сердца, поэтому на первый план у человека с рабдомиомой выступают симптомы аритмий:
- приступы учащенного сердцебиения, сопровождающиеся чувством страха и нехватки воздуха;
- неритмичность пульса;
- ощущение «замирания», перебоев в работе сердца;
- головокружение, потемнение в глазах;
- потеря сознания и следующий за ней судорожный припадок, напоминающий эпилепсию (приступ Морганьи-Адамса-Стокса).
Для диагностики рабдомиомы я назначаю 2 инструментальных исследования:
- электрокардиография - на пленке ЭКГ мне часто удается обнаружить различные нарушения ритма и проводимости (суправентрикулярная и желудочковая тахикардии, экстрасистолии, атриовентрикулярные и внутрижелудочковые блокады);
- эхокардиография - на УЗИ сердца видны образования в толще миокарда округлой формы, которые могут прорастать в просвет камер.
В некоторых случаях из-за дегенерации опухоли рабдомиомы уменьшаются в размерах, а у детей до 4 лет они могут вообще полностью исчезнуть. Если симптомов нет, то никакого лечения не нужно.
Рак сердца
Первичные злокачественные новообразования сердца главным образом представлены саркомами. Мужчины подвержены им в 3 раза больше, чем женщины. При саркомах опухоль чаще располагается в правых отделах органа.
Ввиду быстрого роста симптомы рака сердца появляются довольно быстро. Стремительно (буквально в течение нескольких недель) возникают признаки хронической сердечной недостаточности, нарушений ритма. Нередко скапливается жидкость в перикардиальной сумке, что может привести к тампонаде сердца (его сдавливанию) и очень быстрой смерти.
Так как это злокачественная опухоль, ее появление будут сопровождать и общие (конституциональные) симптомы:
- слабость;
- отсутствие аппетита;
- потеря веса;
- длительная лихорадка.
Как и в диагностике других опухолей сердца, решающую роль играет эхокардиография, но для подтверждения саркомы требуется взять кусочек образования (биопсия) и провести гистологическое исследование.
К сожалению, у 80 % пациентов на момент установления диагноза саркома сердца опухоль уже распространилась за пределы органа и дала метастазы. Это очень снижает успех лечения.
Иногда, в случае отсутствия метастаз, прибегают к такой тяжелой операции, как трансплантация сердца и легких. Она позволяет продлить жизнь пациентам на 3 - 4 года.
Какой прогноз на жизнь
При миксомах риск смерти составляет примерно 30 %. Самые частые непосредственные причины - инсульт и сердечная недостаточность. Тем не менее, прогнозы после миксомы сердца можно считать благоприятными, так как у пациента есть шанс на полное выздоровление благодаря хирургическому иссечению опухоли. При правильно проведенной операции риск рецидива болезни минимальный (около 4 %). Жизнь после удаления миксомы сердца (я имею в виду ее продолжительность) может практически не отличаться от таковой у здорового человека.
Рабдомиомы в большинстве своем регрессируют, т. е. уменьшаются в размерах, а иногда и полностью исчезают без какого-либо лечения. И все-таки у пациентов есть риск смерти от тяжелых нарушений ритма сердца.
При саркоме сердца прогноз крайне неблагоприятный. Большинство пациентов умирают в течение года после того, как у них появляются первые симптомы.
Реабилитация после удаления опухоли: как ее пройти
После удаления опухоли, особенно в первые 6 месяцев, пациенту необходимо соблюдать определенный режим, а именно избегать физических нагрузок (поднятие тяжестей, бег и т. д.). Также нужно регулярно проходить обследование, включающее осмотр врача-кардиолога, снятие электрокардиограммы, проведение эхокардиографии. Желательно восстанавливаться в специальных учреждениях - в кардиологическом санатории или реабилитационном центре.
Для подготовки материала использовались следующие источники информации.
Рабдомиома сердца у детей
Рабдомиома сердца у детей - это доброкачественное новообразование, которое формируется из эмбриональной мышечной ткани. Причины патологии точно не выяснены, среди провоцирующих факторов на первом месте находится туберозный склероз. Заболевание имеет вариабельную клиническую картину: протекает с признаками аритмии, застойной сердечной недостаточности, обструктивных пороков сердца. Диагностика рабдомиомы требует проведения ЭКГ и ЭхоКГ, МРТ сердца, гистологического анализа опухолевых биоптатов. Лечение показано для симптоматических и осложненных форм заболевания, в основном проводится хирургическим способом.
МКБ-10


Общие сведения
Рабдомиома — самая распространенная доброкачественная опухоль сердца у детей раннего возраста и вторая по частоте среди школьников. В структуре новообразований сердца у новорожденных она занимает 58,6%, у детей старше 1 месяца —39,3%. Общая частота сердечных опухолей составляет 0,003% среди всех госпитализированных пациентов, поэтому абсолютное количество случаев рабдомиомы невысоко. Однако заболевание имеет полиморфную клиническую картину и способно вызывать тяжелые кардиоваскулярные нарушения, поэтому оно не теряет актуальности в педиатрии и детской кардиологии.

Причины
На сегодня рабдомиома сердца у детей рассматривается как врожденная патология, этиологическая структура которой пока не установлена. Среди возможных предрасполагающих факторов называют тератогенное воздействие в первом триместре беременности, экстрагенитальные заболевания у матери, осложнение текущей беременности. Одной из значимых причин развития рабдомиомы является туберозный склероз, который ассоциирован с данным вариантом опухоли сердца.
Патогенез
Новообразование возникает из 2-х типов эмбриональных мышечных клеток: сократительных волокон миокарда либо специализированных клеток Пуркинье. Заболевание представляет собой результат диспластических процессов в миокарде, происходящих в эмбриональном периоде развития ребенка. Предшественниками опухолевых клеток являются остаточные полипотентные клетки, которые способны к стремительному росту и дифференцировке в разные типы клеточных элементов.
В 90% случаев рабдомиома сердца у детей имеет множественный характер, поражает полости желудочков и межжелудочковую перегородку. Около трети случаев заболевания сопровождаются разрастанием опухоли в миокарде предсердий. Поражения сердечных клапанов встречается крайне редко. Чаще всего новообразование имеет внутриполостной рост и постепенно увеличивается в размерах, уменьшая полезный объем сердечных камер.
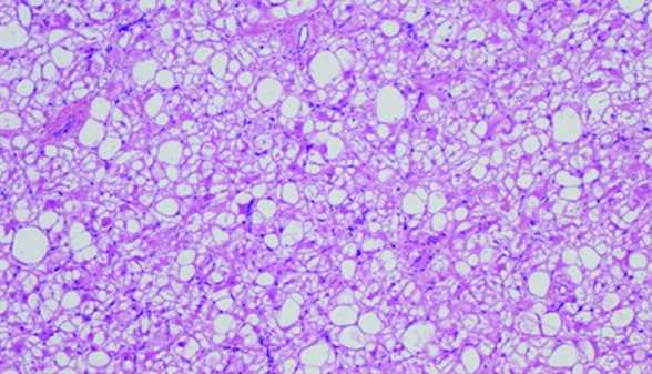
Новообразование имеет округлую форму, растет на ножке или на широком основании. Его диаметр составляет 1-10 см. По гистологическому строению опухоль имеет ячеистый характер. Ячейки выполнены из крупных паукообразных клеток, в которых присутствует центрально расположенное ядро и большие вакуоли с полисахаридным содержимым. При исследовании клеток под большим увеличением определяются миофибриллы и поперечная исчерченность.
Симптомы рабдомиомы сердца у детей
Клинические проявления зависят от особенностей расположения и размеров новообразования. При единичных или мелких множественных рабдомиомах значимые расстройства гемодинамики не возникают. Наблюдаются нарушения ритма и проводимости по типу наджелудочковой тахикардии, синдрома слабости синусового узла, синдрома Вольфа-Паркинсона-Уайта. Они проявляются приступами головокружения, учащенного сердцебиения, ощущения замирания или перебоев в работе сердца.
При расположении рабдомиомы в межжелудочковой перегородке возможна полная атриовентрикулярная блокада с приступами Морганьи-Адамса-Стокса. Это тяжелое состояние проявляется у детей в виде синкопальных эпизодов, судорожных пароксизмов, фибрилляции желудочков. Сердечный ритм может восстанавливаться самопроизвольно в течение 5 минут, если это не происходит и медицинская помощь отсутствует, наступает клиническая смерть.
Внутриполостные рабдомиомы сердца у детей, отличающиеся быстрым экзофитным ростом, вызывают обструктивные нарушения кровотока. Пациенты предъявляют жалобы на выраженную одышку, особенно при физической нагрузке, боли в сердце различной интенсивности, приступы головокружения и обмороки. При длительном существовании патологии у детей замедляется рост и физическое развитие. Гипоперфузия головного мозга вызывает задержку психического развития.
Опухоль на ножке, расположенная в левом желудочке, по клинической картине имитирует синдром гипоплазии левых отделов сердца либо субаортальный стеноз. При рабдомиоме правых отделов сердца симптомы схожи с правожелудочковой сердечной недостаточностью. При обструкции трикуспидального клапана возникает выраженный цианоз кожи вследствие право-левого предсердного шунтирования крови.
Осложнения
Рабдомиома сердца, которая сопровождается нарушениями гемодинамики либо тяжелыми аритмиями, со временем приводит к развитию декомпенсированной сердечной недостаточности. Фибрилляция желудочков, атриовентрикулярная блокада и другие формы аритмии без экстренного лечения становятся причиной нарушений сознания и внезапной сердечной смерти. У детей рабдомиома зачастую сочетается с другими врожденными пороками сердца.
Более трети пациентов с множественными опухолями страдают от туберозного склероза. Поражение нервной системы при этом заболевании проявляется судорогами, задержкой интеллектуального развития вплоть до олигофрении, расстройствами поведения: агрессивностью, СДВГ, аутизмом. На теле возникают кофейные пятна, участки шагреневой кожи, мягкие дерматофибромы. Характерна гамартома зрительного нерва, множественные поражения внутренних органов.
Диагностика
Первичное обследование проводится у неонатолога или педиатра, после чего показана консультация детского кардиолога. Сначала необходимо уточнить анамнез беременности и родов, оценку новорожденного по шкале Апгар, показатели физического и психического развития в раннем возрасте. При физикальном осмотре выявляют признаки кардиальной патологии, в том числе врожденных пороков. Для постановки диагноза рабдомиомы необходимы следующие виды диагностики:
- Эхокардиография. УЗИ сердца — основной метод визуализации, с помощью которого определяют размеры и форму образования, выясняют его взаимоотношения с клапанным аппаратом, контролируют динамику роста. Эхокардиография более информативна для диагностики внутриполостных рабдомиом. ЭхоКГ проводится не только в постнатальном периоде, но и антенатально с 26-й недели гестации.
- Электрокардиография. При проведении ЭКГ определяют неспецифические знаки кардиальной патологии: гипертрофию миокарда предсердий и желудочков, смещение сегмента ST относительно изолинии, отклонение электрической оси сердца. По данным электрокардиограммы диагностируют вид и степень тяжести нарушений ритма.
- МРТ сердца. Магнитно-резонансная томография — «золотой стандарт» для диагностики апикальных опухолей. Исследование дополняется применением радиоактивных меток и контрастированием, чтобы четко разграничить здоровые и опухолевые ткани. Под контролем МРТ выполняется прицельная биопсия подозрительного новообразования.
- Гистологический анализ. Исследование биоптатов путем электронной микроскопии - основной метод верификации диагноза, который позволяет отличить рабдомиому сердца от других вариантов опухолей. Диагностически значимым является определение клеток с поперечной исчерченностью, крупными ядрами, полисахаридными включениями.
Дифференциальная диагностика
При постановке диагноза необходимо исключить другие типы доброкачественных опухолей, характерных для детского возраста. Дифференциальная диагностика проводится с фибромами, миксомами, гемангиомами и интраперикардиальными тератомами. Подозрение на инвазивный рост образования требует дифференцировки со злокачественными процессами: рабдомиосаркомой, тератобластомой, фибросаркомой. При постановке диагноза у новорожденных исключают ряд врожденных кардиоваскулярных пороков.

Лечение рабдомиомы сердца у детей
Консервативная терапия
Этот тип сердечного новообразования имеет склонность к спонтанному регрессированию, поэтому при отсутствии симптоматики ограничиваются динамическим наблюдением за пациентом. Показаны регулярные консультации детского кардиохирурга с проведением контрольных ЭхоКГ. Нарушения сердечного ритма подлежат симптоматической антиаритмической терапии. Новорожденным назначают простагландин Е1 для ликвидации гемодинамических сдвигов.
Хирургическое лечение
При внутриполостном расположении опухоли и наличии клинической симптоматики необходимо оперативное вмешательство. Объем операции включает полное или частичное удаление рабдомиомы, после которого новообразование не рецидивирует, поскольку имеет доброкачественный тип роста. При интрамуральной локализации опухолевой ткани рассматривается вопрос о трансплантации сердца, хирургических способах лечения тяжелых вариантов аритмии.
Экспериментальная терапия
В медицинской литературе описаны случаи успешного применения препарата на основе эверолимуса - иммунодепрессанта и ингибитора пролиферации. Медикамент угнетает дифференцировку, рост и миграцию клеток, благодаря чему успешно применяется при различных опухолевых процессах. Он используется у детей с сочетанной рабдомиомой и туберозным склерозом, чтобы запустить регресс объемного образования.
Прогноз и профилактика
Исход зависит локализации, размеров, клинических проявлений и возможностей лечения новообразования. Некрупные бессимптомные или подлежащие хирургическому удалению опухоли имеют благоприятный прогноз, в остальных случаях возможны жизнеугрожающие осложнения. Эффективные меры профилактики не разработаны. Если семейный анамнез будущих родителей отягощен по туберозному склерозу, обязательны прицельные ЭхоКГ плода для исключения сердечных рабдомиом.
1. Естественное течение рабдомиомы сердца у детей/ А.А. Свободов, В.П. Докторова, А.А. Купряшов, М.Р. Туманян// Педиатрия, Журнал им. Г.Н. Сперанского. - 2017. - №3.
2. Опыт лечения рабдомиом сердца в сочетании с нарушениями ритма у детей/ Л.А. Бокерия, О.Л. Бокерия, П.П. Рубцов, А.А. Ахобеков и др.// Анналы аритмологии. - 2014. - №4.
3. Рабдомиома сердца у детей/ Е.В. Бордюгова, А.В. Дубовая, А.А. Бурка, И.Ю. Мокрик и др.// Здоровье ребенка. - 2012. - №2.
Опухоли сердца
Опухоли сердца - разнородные по гистологическому строению новообразования, первично возникающие из тканей сердца или прорастающие в них из других органов. Опухоли сердца, в зависимости от их типа, локализации и размера, могут вызывать одышку, кашель, тахикардию, аритмии, боли за грудиной, сердечную недостаточность, тампонаду сердца, тромбоэмболии. Диагностика опухолей сердца проводится с учетом данных ЭхоКГ, рентгенографии, вентрикулографии, МРТ и МСКТ сердца, ЭКГ, биопсии. При выявлении первичных доброкачественных опухолей сердца производится их радикальное иссечение; лечение первичных злокачественных и метастатических новообразований обычно паллиативное (лучевая терапия, химиотерапия).

Опухоли сердца - гетерогенная группа новообразований, произрастающая из тканей и оболочек сердца. Опухоли могут развиваться из любых тканей сердца и возникать в любом возрасте. Новообразования могут прорастать сердечную мышцу, перикард, поражать клапаны и перегородки сердца. У плода они могут быть обнаружены с помощью фетальной эхокардиографии, начиная с 16-20 нед. внутриутробного развития. Первичные опухоли сердца встречаются в кардиологии с частотой 0,001-0,2%; вторичные (метастатические) - в 25-30 раз чаще. Все опухоли сердца несут потенциальную опасность возникновения смертельно опасных осложнений - сердечной недостаточности, аритмий, перикардита, тампонады сердца, системных эмболий.
Классификация
Опухоли сердца, представляющие самостоятельные заболевания, являются первичными; опухоли, метастазирующие по кровеносным и лимфатическим сосудам либо прорастающие из соседних органов, - вторичными. Причины развития первичных опухолей сердца неизвестны. Вторичные опухоли сердца чаще представлены метастазами рака молочной железы, желудка, легких, реже - рака щитовидной железы и почек.
По морфологическому принципу опухоли сердца подразделяются на доброкачественные (составляют 75%) и злокачественные (составляют 25%). По происхождению злокачественные новообразования могут быть как первичными, так и метастатическими, вторичными. Среди доброкачественных опухолей встречаются миксомы сердца (50-80%), тератомы, рабдомиомы, фибромы, гемангиомы, липомы, сосочковые фиброэластомы, кисты перикарда, параганглиомы и др. В число злокачественных новообразований входят саркомы, мезотелиомы перикарда и лимфомы.
К псевдоопухолям относятся инородные тела сердца, организованные тромбы, образования воспалительного характера (абсцессы, гуммы, гранулемы), эхинококковые и другие паразитарные кисты, конгломераты кальциноза. Отдельную группу составляют экстракардиальные опухоли средостения и перикарда, сдавливающие сердце.
Первичные доброкачественные опухоли сердца
Миксомы
Половина случаев среди всех первичных опухолей сердца приходится на миксому. Спорадические миксомы сердца в 2-4 раза чаще обнаруживаются у женщин. Встречается наследственный комплекс Карни с аутосомно-доминантным типом наследования, характеризующийся мультицентрическими опухолями различной локализации, - миксомами сердца, пигментными опухолями кожи, фиброаденомами молочных желез, кистами яичников, узловой дисплазией надпочечников, миксоидными опухолями яичек, аденомами гипофиза, шванномами периферических нервов.
Преимущественной локализацией миксом является левое предсердие (около 75%). Миксомы, имеющие ножку, пролабируют через митральный клапан, затрудняя опорожнение левого предсердия и заполнение желудочка во время диастолы. Макроскопически миксомы могут иметь слизевидную, твердую, дольчатую или рыхлую структуру. Неоформленные рыхлые миксомы представляют наибольшую опасность в плане развития системной эмболии.
Сосочковые фиброэластомы
Среди первичных опухолей сердца вторыми по частоте являются доброкачественные сосочковые фиброэластомы, преимущественно поражающие аортальный и митральный клапаны. Морфологически они представляют бессосудистые папилломы с ветвями, напоминающими актинии, отходящими от центрального ядра. Чаще всего они имеют ножку, однако в отличие от миксом, не вызывают дисфункции клапанов, но увеличивают вероятность эмболии.
Рабдомиомы
Рабдомиомы среди всех доброкачественных опухолей сердца составляют 20% и являются самым частым новообразованием у детей. Обычно рабдомиомы множественны, имеют интрамуральную локализацию в перегородке или стенке левого желудочка, поражают проводящую систему сердца. Течение рабдомиомы могут сопровождаться тахикардией, аритмиями, сердечной недостаточностью. Данные опухоли сердца часто ассоциированы с туберозным склерозом, аденомами сальных желез, доброкачественными новообразованиями почек.
Фибромы
Соединительнотканные опухоли сердца также, главным образом, встречаются у детей. Могут поражать клапаны и проводящую систему сердца, вызывать механическую обструкцию, имитируя клапанный стеноз, клиническую картину сердечной недостаточности, гипертрофической кардиомиопатии, констриктивного перикардита. Фибромы сердца могут являться частью синдрома базально-клеточного невуса (синдрома Горлина).
Прочие доброкачественные опухоли сердца
Гемангиомы встречаются в 5-10 % случаев всех первичных опухолей сердца. Чаще они не вызывают клинической симптоматики и выявляются при плановом обследовании. Реже внутримиокардиальные гемангиомы сопровождаются нарушениями атриовентрикулярной проводимости, а при прорастании предсердно-желудочкового узла могут приводить к внезапной смерти.
Липомы сердца могут развиваться в любом возрасте. Обычно это опухоли на широком основании, локализующиеся в эпикарде или эндокарде. Течение липом чаще бессимптомное; при достижении больших размеров они могут вызывать аритмии, нарушения проводимости, изменение формы сердца, выявляемое рентгенологически.
Феохромоцитомы могут иметь интраперикардиальную или миокардиальную локализацию, сопровождаться секрецией катехоламинов. Кисты перикарда на рентгенограммах грудной клетки часто имитируют опухоли сердца или экссудативный перикардит. Чаще они протекают бессимптомно, иногда могут вызывать симптомы компрессии органов грудной клетки.
Злокачественные опухоли сердца
Мезотелиомы перикарда относительно редки и встречаются преимущественно у мужчин. Они обычно метастазируют в плевру, позвоночник, мозг, окружающие мягкие ткани.
Первичные лимфомы чаще поражают лиц, страдающих иммунодефицитом (в т. ч. ВИЧ-инфекцией). Эти опухоли сердца склонны к чрезвычайно быстрому росту и сопровождаются сердечной недостаточностью, аритмиями, тампонадой и синдромом верхней полой вены.
Метастатические опухоли сердца чаще всего поражают перикард, реже - сердечную мышцу, эндокард и сердечные клапаны. Как и первичные опухоли сердца, они могут вызывать одышку, острый перикардит, тампонаду сердца, нарушения ритма, атриовентрикулярную блокаду, застойную сердечную недостаточность. В сердце могут метастазировать рак легких, груди, почечный рак, саркома мягких тканей, лейкоз, меланома, лимфома, саркома Капоши.
Симптомы опухолей сердца
Проявления опухолей сердца обусловлены типом новообразования, его локализацией, величиной, способностью к распаду. Внесердечные опухоли проявляются лихорадкой, ознобом, снижением массы тела, артралгией, кожными высыпаниями. При сдавлении опухолью камер сердца или венечных артерий, возникают одышка, боли в груди. Рост опухоли или кровотечение может приводить к развитию тампонады сердца.
Опухоли сердца с интрамиокардиальным ростом (рабдомиомы, фибромы), сдавливающие или внедряющиеся в проводящую систему, сопровождаются атриовентрикулярной или интравентрикулярной блокадой, пароксизмальными тахикардиями (наджелудочковыми или желудочковыми).
Внутриполостные опухоли сердца, главным образом, нарушают функцию клапанов и препятствуют току крови из камер сердца. Они могут вызывать явления митрального и трикуспидального стеноза или недостаточности, сердечной недостаточности. Симптоматика внутриполостных опухолей сердца обычно возникает при смене положения тела в связи с изменением гемодинамики и физических сил, действующих на опухоль.
Часто первыми проявлениями опухолей сердца служат тромбоэмболии в сосуды системного или легочного круга кровообращения. Опухоли из правых отделов сердца могут вызывать эмболию легочной артерии, легочную гипертензию и легочное сердце; опухоли левых отделов сердца - преходящую мозговую ишемию и инсульт, инфаркт миокарда, ишемию конечностей и др. Возникновение инфарктов внутренних органов у лиц молодого возраста при отсутствии врожденных и приобретенных пороков сердца, мерцательной аритмии и инфекционного эндокардита заставляет думать о наличии опухоли сердца.
Ввиду вариабельности клинической картины и множественности морфологических форм опухолей сердца, их диагностика является непростой задачей.
Данные ЭКГ при опухолях сердца полиморфны и малоспецифичны: они могут отражать признаки гипертрофии камер сердца, нарушения проводимости и ритма, ишемию миокарда и т. д. Рентгенография органов грудной клетки чаще всего выявляет увеличение размеров сердца и признаки легочной гипертензии. Более чувствительным методом диагностики опухолей является УЗИ сердца: с помощью чреспищеводной ЭхоКГ лучше визуализируются опухоли предсердий, путем трансторакальной ЭхоКГ - опухоли желудочков.
При сомнительных результатах диагностики выполняется МРТ и МСКТ сердца, радиоизотопное сканирование, зондирование полостей сердца и вентрикулография. Для верификации гистологической структуры опухоли сердца проводится ее биопсия в процессе катетеризации или диагностической торакотомии. При экссудативном перикардите ценную диагностическую информацию может дать цитологическое исследование жидкости, полученной при пункции перикарда. Дифференциальная диагностика опухолей сердца проводится с ВПС, миокардитом, кардиомиопатиями, перикардитом, амилоидозом сердца.
Лечение опухолей сердца
Опухоли сердца лечатся хирургическим путем. Операции при опухолях сердца могут включать удаление внутриполостной опухоли, удаление опухоли миокарда или перикарда, перикардэктомию, удаление кисты перикарда. В ходе радикальной операции производится иссечение опухоли сердца с прилежащими окружающими тканями, ушивание или пластика дефекта. Доброкачественные опухоли сердца в большинстве случаев могут быть удалены радикально. В некоторых случаях пациенты могут нуждаться в пластике или протезировании клапанов.
Удаление первичных злокачественных опухолей сердца малоэффективно. В этом случае чаще всего прибегают к частичному (паллиативному) удалению опухоли с последующим проведением лучевой или химиотерапии. При вторичных опухолях сердца лечение также паллиативное.
Прогноз
Удаление единичных доброкачественных опухолей сердца обычно сопровождается хорошими отделенными результатами - 3-хлетняя выживаемость составляет 95%. В дальнейшем пациентам показано наблюдение кардиолога и кардиохирурга с ежегодным проведением эхокардиографии для своевременного выявления рецидива опухоли сердца. Множественные опухоли сердца снижают выживаемость в течение ближайших 5 лет до 15 %. При первичных и метастатических опухолях сердца прогноз весьма неблагоприятный; хирургическое лечение малоэффективно, химиотерапия и лучевая терапия на прогноз практически не влияют.
Рабдомиома сердца

Экспертный класс по доступной цене. Монокристальные датчики, полноэкранный режим отображения, эластография, 3D/4D в корпусе ноутбука. Гибкая трансформация в стационарный сканер при наличии тележки.
Первичные опухоли сердца в большой референсной детской клинике встречаются с частотой 0,001-0,003% от всех госпитализированных и не более чем в 0,01% всех случаев аутопсий с равным распределением по полу [1, 2], из них 40-60% у детей раннего и младшего возраста приходится на рабдомиому [3]. Рабдомиома сердца - самая частая опухоль сердца у детей дошкольного возраста, является гамартомой из кардиомиоцитов, не метастазирует. В более старшем возрасте на первое место выдвигаются фибромы, миксомы, тератомы, рабдомиосаркомы и др. [4].
Рабдомиомы сердца часто являются проявлением туберозного склероза, одной из форм факоматозов, наследуются аутосомно-доминантно, могут появляться спорадически. Рабдомиомы сердца выявляются более чем у половины пациентов с туберозным склерозом. У 51-86% детей с рабдомиомой сердца имеются признаки туберозного склероза либо в семейном анамнезе, либо его клинико-радиологические признаки [5].
Известны 2 гена, определяющие туберозный склероз: TSC1 на хромосоме 9q34 (определяет синтез гамартина) и TSC2 на хромосоме 16p13 (определяет синтез туберина). Гамартин и туберин ответственны за рост и развитие кардиомиоцитов, подавляя неконтролируемый рост и предупреждая развитие опухолей. Нарушение их синтеза ведет к развитию туберозного склероза и рабдомиомы сердца. Фенотип заболевания не зависит от того, какой из генов, TSC1 или TSC2, подвергся экспрессии. TSC1 или TSC2 обнаруживаются только у 80% больных туберозным склерозом. Причина каждого пятого случая остается неизвестной. Истинная частота туберозного склероза, факоматозов вообще и рабдомиомы сердца не определена. Гены туберозного склероза обнаруживаются с частотой 1:6000-1:9000 населения, а манифестные случаи заболевания регистрируются редко: с частотой 1:150 000 населения [6].
Клиническая картина рабдомиомы сердца очень неспецифична и определяется временем манифестации новообразования (плод, новорожденный, ребенок, подросток, взрослый), скоростью роста новообразования, числом опухолей сердца, их расположением. Рабдомиома сердца, вытесняя функционирующий миокард или располагаясь в области выносящих и входящих потоков, способна привести к перегрузке предсердий, полых вен, отекам, сердечной недостаточности. Возможны нарушения ритма, особенно при расположении опухоли в кавоатриальных и атровентрикулярных областях. Опухолевые клетки могут выступать как дополнительный путь проведения импульса. Сдавление опухолью коронарных сосудов приводит к инфарктоподобной картине на ЭКГ. Рабдомиомы сердца, формирующиеся уже у плода, могут привести к его гибели, при небольших размерах опухоли они выявляются при плановых скрининговых обследованиях в акушерских центрах [7]. Но рабдомиомы сердца могут формироваться на протяжении жизни.
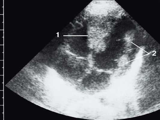
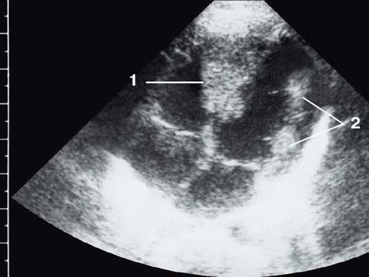
Широкое внедрение в практику ультразвуковой диагностики позволило перейти от аутопсийной статистики к прижизненному выявлению. Эхокардиография - первый метод выявления рабдомиомы сердца и контроля состояния пациента в динамике. Учитывая очень большое число семейных случаев, необходимо обследование всех ближайших родственников, особенно при наличии у них пятен цвета кофе с молоком, депигментированных по типу шагреневой кожи, параунгвальных и параореолярных фибром, ранних миом матки, инфантильных спазмов, судорожных припадков и других признаков факоматозов. При семейных обследованиях рабдомиомы сердца могут выявляться у совершенно бессимптомных носителей (рис. 1, 2).

Рис. 1. Эхокардиограмма ребенка (девочки) с рабдомиомой. Крупный узел рабдомиомы в межжелудочковой перегородке (1) и менее крупные узлы в задней стенке левого желудочка (2). Эхоплотность образований выше, чем миокарда.

Рис. 2. Эхокардиограмма матери этого же ребенка. В межжелудочковой перегородке несколько эхоплотных образований (стрелки).
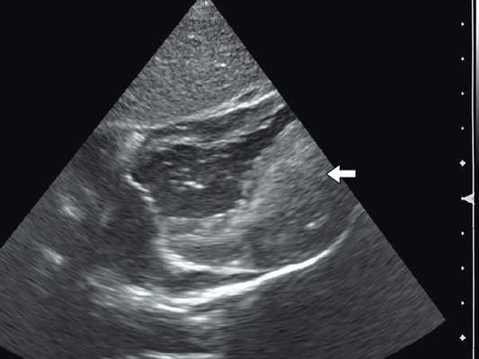
Рабдомиома сердца эхографически выглядят как достаточно четко очерченные образования. Чаще всего располагаются в миокарде левого желудочка, реже - в правом, еще реже - в предсердиях, кавоатриальных и атриовентрикулярных соединениях, эпикарде. Метастазирование не типично [8]. Наличие двух и более рабдомиом четко коррелирует с туберозным склерозом, одиночные рабдомиомы сердца такой связи, как правило, не имеют. По нашему опыту (18 пациентов), чем меньше объем новообразования, тем выше акустическая плотность, приближающаяся к эталонной эхоплотности (эндо-, эпи- и перикард). Эхоплотность больших рабдомиом практически не отличается от эхоплотности миокарда. В толще новообразования выявляются мелкие эхонегативные очажки (области некрозов) и эхопозитивные очажки (отложения кальция) (рис. 3).

Рис. 3. Эхокардиограмма гигантской рабдомиомы (стрелка) у девочки марфаноидного статуса без признаков туберозного склероза (субксифоидальный доступ).
Рост рабдомиомы сердца медленный. Описаны случаи обратного развития одиночных рабдомиом сердца [9]. Рабдомиомы сердца, сопровождающиеся нарушениями ритма, гемодинамики, подвергаются оперативному лечению. При невозможности резекции опухоли, ее прогрессировании, угрозе фатальных нарушений ритма и некурабельной сердечной недостаточности не исключена трансплантация сердца [3, 9]. Приводятся сведения об эффективности такого мощного противоопухолевого препарата, как эверолимус, подавляющего пролиферацию, дифференциацию, рост и миграцию клеток [10].
Заключение
Рабдомиома сердца - относительно нередкое новообразование у детей и подростков, во многих случаях семейное, что требует обязательного обследования родственников. Первый метод диагностики - эхокардиография. Этот же метод незаменим для динамического контроля. Прогноз при множественных рабдомиом сердца, при расположении опухолевого узла в области привносящих или выносящих трактов, нарушающих функцию клапанов, с упорными и тяжелыми нарушениями ритма - плохой. Прогноз во многом определяется и неврологическими поражениями при туберозном склерозе. Хирургическое лечение сводится к иссечению участка опухоли, выступающего в полость камеры сердца. Удалить опухоль радикально невозможно. При больших рабдомиомах сердца не исключена трансплантация донорского органа. Химиотерапия применяется ограниченно.
Литература
УЗИ аппарат HM70A
Рабдомиома сердца. Виды рабдомиом сердца. Признаки рабдомиомы сердца.

Заболевания
Рабдомиома
Сердечная рабдомиома - самая распространенная опухоль сердца у детей, чаще всего возникающая в возрасте до 1 года. Анатомически они считаются гамартомами. Большинство рабдомиом сердца связаны с туберозным склерозом (ТС) и появляются в миокарде желудочков, предсердиях, кавоатриальном соединении или поверхности эпикарда.
Эпидемиология
Первичные опухоли сердца крайне редки и встречаются только у 0,2% детей. Сердечные рабдомиомы - самая частая сердечная опухоль у детей (45%). Большинство из них диагностируются в возрасте до 1 года. По оценкам, заболеваемость составляет примерно 1 на 20000 новорожденных.
Клиническая картина
Большинство сердечных рабдомиом протекает бессимптомно, хотя может иметь широкий спектр клинических проявлений. Иногда они могут проявляться обструкцией выводящего тракта левого желудочка или рефрактерными аритмиями.
Патофизиология
Кардиальная рабдомиома относится к гамартоматозному подтипу. Чаще всего её можно определить на сроке от 20 до 30 недель беременности. Обычно поражаются межжелудочковая перегородка, левый и правый желудочки, а также атриовентрикулярные клапаны. Она растет в миокарде сердечной мышцы.
Гистологическое исследование
Сердечная рабдомиома состоит из клеток, напоминающих клетки эмбриональной сердечной мышцы. Гистопатологическое исследование выявляет аномальную архитектуру миоцитов, вакуолизацию и паутинные клетки.
Радиологические особенности
Может определяться как одно или несколько солидных гиперэхогенных масс, относительно ткани миокарда она более однородна и гиперэхогенна. Образования могут имитировать диффузное утолщение миокарда. Рабдомиома также может выступать в полость желудочков.
МРТ также может использоваться в качестве дополнения к ЭХОКГ в случаях неоднозначных и противоречивых результатов. МРТ позволяет лучше локализировать опухоль и может быть полезна в случае хирургической резекции. Также данная методика обеспечивает более надежную оценку систолической функции желудочков
- T1: изоинтенсивно соседнему миокарду;
- T2: гиперинтенсивное поражение соседнего миокарда;

Увеличенные набухшие миоциты с прозрачной цитоплазмой и центрально расположенным ядром, связанные с периферией клетки нитями цитоплазмы
Читайте также:
- Нейрофиброма сосудистой оболочки глаза: признаки, гистология, лечение, прогноз
- Лечение боли в груди и инфаркта миокарда от употребления кокаина
- Агаммоглобулинемия Х-сцепленная инфантильная. Синдром Гарднера. Синдром Пейтца—Егерса.
- Пример развития меланомы из меланоцитомы диска зрительного нерва
- Синдром Пирингер-Кухинки (Piringer-Kuchinka)
