Рабочие слепки для изготовления коронок зубов. Слепочные массы
Добавил пользователь Валентин П. Обновлено: 28.01.2026
Первым необходимым условием изготовления качественного зубного протеза или коронки является получение точного оттиска (слепка). Оттиски предназначены для изготовления моделей челюсти (отливаются в зуботехнической лаборатории) - точной репродукции поверхности твердых и мягких тканей, расположенных на протезном ложе (органы и ткани, находящиеся в непосредственном контакте с протезом) и его границах, а также моделей будущих ортопедических конструкций.
Оттиски получают при помощи термопластических, эластических или других (кроме гипса) масс. Слепок или модель челюсти получают с помощью гипса на основании сделанного ранее оттиска протезного ложа.. Если оттиск является обратным (негативным) отображением поверхности твердых и мягких тканей, то модель челюсти - позитивное отображение тканей протезного ложа.
Оттиски снимают специальными оттискными ложками (стандартными или индивидуальными). Ложка должна быть хорошо подобрана, что обеспечит качественное изготовление модели по оттиску. При выборе ложки учитываются анатомические особенности полости рта. Стандартные ложки изготавливают фабричным путем из стали, дюралюминия или пластмассы. Металлические ложки после стерилизации можно использовать повторно.
Анатомические оттиски снимают стандартной ложкой без учета функционального состояния тканей протезного ложа. Функциональные оттиски снимают индивидуальной ложкой, учитывая состояние мягких тканей во время жевания, глотания, речи. Функциональный оттиск, как правило, снимается с беззубых челюстей. Функциональные ложки делают индивидуально либо из быстротвердеющей пластмассы, либо из полистирола. Компрессионный оттиск снимают с использованием вязких, плотных оттискных материалов, разгружающие оттиски (когда требуется минимальное давление на ткани протезного ложа) - с использованием текучего материала и перфорированной ложки.
Двойные (двуслойные) оттиски снимают в два этапа: основа - из плотного вязкого материала, которая потом коррегируется вторым слоем текучей массы. Из оттискных материалов для получения двойных оттисков чаще применяют силиконовые материалы, которые выпускаются в виде двух паст - основной и катализаторной. При получении двойных оттисков часто проводят процедуру ретракции десны - фармакомеханическое расширение десневой бороздки (кармана) для введения в нее оттискного материала для точного отображения уступа, шейки зуба и дна бороздки.
Получение гипсовых моделей челюстей. Оттиски снимают для получения различных моделей челюстей: рабочие (основные) модели челюстей (на них создают зубные, челюстные, лицевые протезы, аппараты), вспомогательные модели челюстей (модели зубного ряда челюсти, противоположной протезируемой), диагностические модели челюстей (для уточнения диагноза, планирования конструкции протеза), контрольные модели челюстей (диагностические модели, изготовленные на разных этапах протезирования и ортодонтического лечения).
Модели челюстей изготавливают из гипса. Для этого полученный предварительно оттиск промывают под струей воды комнатной температуры, а затем дезинфицируют. Для снятия внутреннего напряжения в оттискном материале и улучшения смачиваемости (текучести) гипса поверхность оттиска обрабатывают специальной жидкостью (например, Хера-СВЕ, Фиксакрил и др.) Затем замешивают порошок гипса с водой, полученной массой порционно заполняют оттиск. После застывания гипса полученную модель вынимают из оттиска. В ортопедической стоматологии применяют обожженный или полуводный гипс (CaSO4)2xH2O. Гипс ранее применяли и для изготовления оттисков, но в настоящее время этого не делают, поскольку появились гораздо более пластичные и не травмирующие оттискные массы. Для изготовления моделей челюстей (протезного ложа) , особенно для изготовления моделей бюгельных протезов, используют высокопрочный супергипс, полученный с помощью насыщенного пара низкого давления при термической обработке гипсового камня.
Сияющая голливудская улыбка от ведущих специалистов стоматологии. Запишитесь на прием!
Оттискные слепочные массы
Слепочные массы могут классифицироваться различными методиками. Систематизация этих материалов развивалась вместе со стоматологией. Химики и врачи разрабатывали новые вещества, которые не входили в текущую классификацию, потому приходилось придумывать что-нибудь совершенно новое. Как следствие, классификация по Оксману, которая применялась в течение долгого времени, в настоящее время практически не применима. Однако она заложила основу для остальных методик систематизации, и потому сейчас изучается в медицинских ВУЗах. Эта классификация применялась до 1980 года, а позже была вытеснена системой Нападова. Однако система Нападова была «локальной», то есть применялась исключительно советскими и российскими врачами. В международном медицинском сообществе всё ещё применялась методология Оксмана. Она разделяла стоматологические материалы по методу их затвердевания. Учитывая, что некоторые вещества не затвердевают в принципе (например, агаровые массы), она оказалась неподходящей для современной клинической деятельности. В 2002 году ассоциация Nurt разработала собственную методику классификации, ориентированную на международное применение. Именно она сейчас используется стоматологами. Альтернативами для Nurt можно назвать классификации по Нуртадову, Ибрагимову и Поюровскому, разработанные и опубликованные в 2006, 2007 и 2008 годах соответственно.
Классификация слепочных масс по Nurt
Использующаяся сейчас классификация слепочных материалов, разработанная сообществом Nurt, является достаточно полной и всеобъемлющей, и включает подавляющее большинство применяющихся в настоящее время масс и средств. В ней материалы разделяются согласно основе и характеристикам затвердевания одновременно. Классификация по Nurt подразумевает разделение на три большие группы - твёрдые оттискные, эластичные (на гидроколлоидной основе) и эластомерные. В первую группу входят:
- Гипс, естественный и синтетический. Это классическое вещество для получения оттисков, которое обеспечивает достаточно точное воспроизведение анатомических особенностей челюсти, однако затвердевает в течение долгого времени. Зато благодаря жесткости он позволяет проводить любые работы с оттиском, включая шлифовку. Примером такого материала является гипс Фуджи Рок от производителя CG;

- Компаунды с термопластичной основой. Эти материалы обеспечивают большую скорость затвердевания за счет уплотнения при внешнем высокотемпературном воздействии, сохраняя установленную форму для обеспечения аккуратного слепка;
- Материалы на основе цинк-оксид-эвгенола - известного в терапевтической стоматологии вещества, которое, помимо прочего, обладает антисептическими свойствами и высокой скоростью затвердевания.
Группа эластичных материалов включает в себя всего 2 подгруппы:
- Обратимые, на основе агара. Благодаря высокой гибкости позволяют получать слепки даже очень чувствительных зубов, а биологическая совместимость сводит риск появления аллергической реакции на мягких тканях и дентине к нулю;
- Необратимые, на основе альгинатов. Они также отличаются высочайшей эластичностью, гибкостью и биологической совместимостью, но абсолютно одноразовые - подкорректировать форму слепка после его получения невозможно. К таким массам относится Гидрогум 5 (Hydrogum) от Zhermak или Упин (YPEEN) от производителя Spofa Dental.

Последняя подгруппа - эластомерных масс - включает в себя полимерные вещества с максимальной упругостью и очень широким диапазоном стеклования. Поэтому они обеспечивают высокое удобство использования:
- Каучуковые на основе полисульфидов. Они отличаются высокой точностью, однако довольно узкой сферой применения. Такие материалы используются во время получения слепков зубов при установке частичных протезов - мостов и коронок. Преимуществом является высокая прочность после отвердевания (катализатором служит оксид свинца), в том числе и на разрыв, благодаря чему они могут использоваться для получения оттисков при сложной топологии костной ткани или недостаточно глубокой шлифовке установленных штифтов. Недостаток - высокая текучесть. После получения оттиска необходимо практически сразу приступить к изготовлению протеза. В противном случае гравитационное воздействие уже через несколько дней заметно деформирует отпечаток;
- На основе полиэфиров. Такие материалы, несмотря на некоторую сложность в изготовлении оттискной массы, позволяют получать отпечатки максимальной точности. Однако сфера их применения ограничена. Они используются для получения отпечатков нескольких зубов без глубокого поднутрения. Данное требование обусловлено свойствами материала - затвердевание происходит достаточно быстро, и вещество становится жестким. Поэтому слепки зубов при глубоком поднутрении могут деформироваться во время снятия. Примером может служить Импрегум - IMPREGUM Garant L DuoSoft (3M ESPE);

- Силиконовые поликонденсационные материалы (так называемый «тип К») лучше всего использовать для получения одиночных вкладок. Они отличаются максимальным удобством в использовании благодаря чистоте - не пачкаются ни руки, ни перчатки, ни одежда. Кроме того, они позволяют получить многослойные оттиски. Однако вследствие необратимости реакции конденсации они требуют высокой скорости работы - уже через час полученные слепки совершенно непригодны для использования из-за деформации модели. А гидрофобность приводит к некоторой неточности полученного оттиска. Примером такой массы является Зета плюс - ZETA PLUS База (Zhermack);

- Силиконовые аддитивные материалы (так называемый «тип А») применяются для получения более точных оттисков вследствие отсутствия гидрофобности и улучшенных эксплуатационных свойств. Кроме того, поэтому они подходят при изготовлении не только мостов и коронок, но и съемных частичных протезов. Недостатком таких материалов является высокая стоимость, вследствие чего для получения моделей малой сложности лучше использовать другие вещества. Существуют даже гидрофильные силиконы для высокоточных слепков смоченных поверхностей. Пример А-силиконов - Силагум (Silagum) Putty.

Таким образом, каждый из оттискных материалов обладает как своими преимуществами, так и недостатками. Поэтому выбирать массу следует исходя из конкретного сценария использования, типа протезирования и особенностей топологии мягких и твёрдых тканей.
Оттискные массы
Оттискная масса должна удовлетворять следующим требованиям: давать точный отпечаток протезного ложа; быть безвредной и не обладать неприятным запахом и вкусом; легко вводиться и выводиться из полости рта; не деформироваться при выведении из полости рта; не растворяться под действием слюны; размягчаться при температуре, не вызывающей ожога слизистой полости рта; затвердевать в течение 2-5 минут; не соединяться с гипсом модели и легко отделяться от него; сохраняться при комнатной температуре, не теряя своих свойств.
Кристаллизующиеся (твердые) оттискные массы. К твердым оттисным массам относятся гипс, цинк-эвгенольные массы, Дентол-М, Дентол-С. В настоящее время гипс практически не применяется в стоматологической практике для изготовления оттисков из-за его непластичности, травматичности, непрочности, плохой биосовместимости с тканями полости рта. Цинк-оксиэвгенольные оттискные материалы в своем составе имеют окись цинка, эвгенол, наполнитель, ускоритель структурирования, канифоль, бальзам, пластификатор, красители. Оттискные материалы этой группы выпускаются в виде двух раздельно хранимых паст, одна из которых содержит эвгенол (или гвалкол), другая - окись цинка. Структурирование происходит при взаимодействии окиси цинка с эвгенолом (при смешивании двух паст). Такой материал дает минимальную усадку, прочен, высопластичен. Применяется в основном для снятия оттисков с беззубых челюстей. Термопластические оттискные массы. Особенностью термопластических оттискных масс является размягчение и затвердевание только под воздействием температуры. Они размягчаются при нагревании и затвердевают при охлаждении. Термопластические массы - это многокомпонентные системы на основе природных или синтетических смол, наполнителя, модифицирующих добавок, пластификатора и красителей. К этой группе, в первую очередь, относится воск, а также гуттаперча. Термомассы должны размягчаться при температуре, не вызывающей ожога тканей полости рта, и затвердевать при температуре, несколько большей, чем температура полости рта. К ним относятся массы Вайнштейна, массы Керра, Ортокор, Стомапласт, Дентафоль и др.
Эластические оттискные массы. К эластичным оттискным массам относится большая группа различных веществ, характерной особенностью которых является способность приобретать в результате структурирования эластичные, упругие свойства. На основе агар-агара (продукта, получаемого из некоторых морских водорослей-агарофитов), разработаны 2 группы эластических материалов: гидроколлоидные и альгинатные.
Альгинатные оттисные массы имеют в своем составе основной компонент - альгинат натрия (натриевую соль альгинатной кислоты). Это: Альгэласт-66 (паста-порошок), Стомальгин-66 (порошок), Новальгин (порошок), Ортопринт, Гидрагум, Дупафлекс, Триколоральгин, Пальгафлекс, Пропальгин и др. К достоинствам альгинатных масс относятся: высокая эластичность и твердость, хорошее воспроизведение рельефа твердых и мягких тканей полости рта, простота применения, отсутствие неприятного запаха, хорошая переносимость пациентами. Рабочие модели из этих масс получают при изготовлении полных и частичных протезов. Однако, альгинатные массы не применяют при цельлитых конструкциях из-за неудовлетворительной точности отображения пришеечных, поддесневых областей, а также высокой усадки этих материалов. Кроме того, отливку моделей по альгинатным оттискам желательно производить в течение 10-15 минут (из-за высокой усадки), что не всегда удобно.
Силиконовые (резиноподобные) оттискные материалы. В настоящее время в стоматологической практике протезирования зубов все шире используются силиконовые массы на основе кремнийорганических полимеров - силиконовых каучуков. Они выпускаются комплектом в виде паст и жидких катализаторов, при смешивании которых в течение нескольких минут происходит вулканизация и образуется эластичный продукт, долгое время не теряющий своих свойств. По типу вулканизации силиконовые массы разделяются на С- и А-силиконы. С-силиконы отвердевают под воздействием реакции поликонденсации. Материалы этого класса подвержены достаточно сильной усадке (меньшей, однако, чем у альгинатных масс) из-за образования побочных продуктов - спирта и воды. Модели по оттискам из С-силиконов отливают через 1-2 часа. А-силиконы отвердевают за счет реакции полимеризации, при которой практически не возникает побочных продуктов. Модели по ним можно отливать без потери качества в сроки до месяца, но желательно - в течение недели. К недостаткам этого вида материалов относится отсутствие у них хорошей адгезии к оттискными ложками. Одним из наиболее часто применяемых силиконовых материалов является Сиэласт-69. Время его вулканизации (отвердевания) в полости рта составляет 4-5 минут. Материалы Сиэласт-0,3 и Сиэласт-0,5 предназначены для снятия двойных оттисков, для чего в их состав включены основная и корригирующая пасты и жидкий катализатор. Широко применяются силиконовые пасты Экзафлекс (Япония), Кольтекс+Кольтофлекс (Швейцария), Дентафлекс (Чехия), Цафо-Тевезил, ДЛ-Кнет, Панасил, Формасил II, Альфасил, Гаммасил, Дегуфлекс (Германия) и др.
В наших клиниках только передовые методики лечения и диагностики проблем полости рта. Мы ждем Вас!
Слепочные материалы (Оттискные)
Оттискные материалы в стоматологии используются для создания точного слепка зубов, по которому отливают модель для изготовления съёмных и постоянных протезов, зубных коронок и вкладок. Качество будущего зубного протеза напрямую зависит от точности рельефной копии.
Существует несколько видов оттискных материалов:
- Эластичные оттискные материалы - подходят для любых видов протезирования. Характерной особенностью этого вида является то, что во время извлечения из полости рта они становятся пластичными. Основной состав этих материалов представлен альгиновой кислотой, гипсом, натриевой солью и наполнителями. Эластичные материалы дают достаточно точный отпечаток протезного ложа, не реагируют на слюну, прекрасно дезинфицируются и легко снимаются с модели.
- Твёрдые оттискные материалы - отвердевают во рту. Состоят в основном из гипса и цинкоксидэвгеноловой пасты. Применяются для изготовления всех видов протезов и моделей челюсти. При изъятии из ротовой полости слепок ломают, а уже после собирают и делают модель. Плохо отображают мелкие углубления и впадины, деформируются при контакте со слюной.
- Термопластичные слепочные материалы - ставятся тверже или мягче в зависимости от температуры. Также используются для изготовления разных видов зубных протезов и коронок. В состав материалов этого вида входят термопластичные вещества, смолы и наполнители. Термопластичные вещества - это парафин, церезин, стеарин, пчелиный воск. Материалы могут быть обратимыми и необратимыми. Обратимые подлежат многоразовому использованию после стерилизации, а необратимые при повторном использовании теряют свою пластичность.
В стоматологической практике применяют все виды оттискных материалов, их выбор зависит от требуемого уровня точности и сложности воспроизведения деталей зубного рельефа. Купить оттискные материалы можно в специализированных магазинах или заказать в интернете.
Плюсы и минусы цифровой и традиционной техники получения слепков
Технологии, а за ними техники и методики, активно развиваются и буквально врываются в стоматологию, которая всё также остается максимально консервативной. В этой статье автор описал недостатки и преимущества различных техник получения слепков.

Преимущества цифровых оттисков
Техника цифрового снятия оттисков идеально подходит для изготовления цельнокерамических коронок, если расположение зуба позволяет выполнить трехмерный снимок сканером. На цифровом оттиске легко отобразить границу препарирования под коронку с плечевой массой, если она не слишком глубоко расположена под десневой бороздой, и отсутствует воспаление тканей.
Поговорим о преимуществах цифровых сканеров
Печать реставраций на фрезерном станке в стоматологии
Отличительная особенность цифровых слепков заключается в том, что их можно сразу же использовать для фрезеровки реставрации прямо в кабинете стоматолога (если есть необходимое оборудование), вместо того, чтобы отправлять данные в лабораторию. В частных стоматологических кабинетах врачи вынуждены предлагать несложные реставрации, поскольку у них зачастую недостаточно ресурсов для более сложных процедур. Многие частные врачи уже оценили преимущества цифровой техники, поскольку на таком оборудовании за один прием можно выполнить сканирование зуба, изготовить реставрацию и установить ее в область препарирования. И все это - за одну процедуру, которая займет не более 2 часов, при этом не требуется обращаться в лабораторию.
Фото 1: Вид 20 зуба, где требуется установить коронку

Фото 2: С помощью интраолярного сканера выполняют снимки зубных дуг, при этом губы и щеки изолированы с помощью приспособления OptraGate

Фото 3: Снимок подготовленного под коронку зуба

Фото 4: Определена модель реставрации

Фото 5: Выполнена установка циркониевой коронки на 20 зуб

В большинстве случаев цифрового слепка достаточно для изготовления реставрации, но иногда может потребоваться физическая модель, выполненная на основе цифровых мерок. Это характерно для сложных случаев, например, когда одновременно устанавливают несколько коронок, мостов или имплантатов. Автор статьи говорит о том, что старается всегда изготовить предварительную модель, поскольку она позволяет заранее оценить и проанализировать процесс установки, форму реставрации и окклюзию. Он считает, что работа с предварительной моделью гарантирует максимальную точность установки. Для хорошей реставрации требуется точно снять мерки зубов, выполнить качественный дизайн реставрации и проследить, чтобы на итоговом изделии не было дефектов.
Результат реставрации также во многом зависит от профессионализма сотрудников зуботехнической лаборатории. Поэтому необходимо тщательно подойти к выбору партнерской организации, где будут создавать реставрации с оптимальными характеристиками и предлагать различные виды материалов. Следует внимательно отнестись к выбору материала для реставрации, принимая во внимание особенности клинического случая и пациента. Невозможно хорошо установить изделие, которое изначально было выполнено неточно, поэтому работа сотрудников лаборатории должна соответствовать высоким стандартам. Необходимо иметь возможность быстрой передачи данных и общения врача и сотрудника лаборатории. И дополнительно обязательно врач должен передать данные об оттенке и материале для реставрации и выполнить цифровые фотографии зубов.
Преимущества традиционных слепков
Другой врач-стоматолог является сторонником традиционной техники снятия слепков. Он подчеркивает, что применяя эту технику, необходимо соблюдать ряд правил. Во-первых, необходимо работать так, чтобы слепочную массу точно и аккуратно помещать на зуб. Различные слепочные материалы должны обладать правильными характеристиками. Так, материалы с низкой вязкостью должны обладать пластичностью, чтобы легко распределяться по поверхности и точно покрывать зуб, не иметь при этом дефектов, трещин или пустот в структуре. Материалы с высокой вязкостью выступают в роли основы, поэтому они должны быстро затвердевать, создавая точный оттиск подготовленной под реставрацию области. Второй автор статьи говорит, что выполняет снятие оттисков в два этапа: сначала базовый слепок материалом AlgiNot, затем наносит финишную массу 3M Imprint 4 VPS, которая хорошо распределяется по поверхности и быстро затвердевает.
Описанные выше свойства слепочных материалов позволяют создавать точные модели зубов без погрешностей, повторяющие все анатомические изгибы, в том числе и под десневой бороздой. Итоговое краевое прилегание коронки полностью зависит от снятого слепка. При правильном снятии оттиска удается избежать кариеса или раздражения мягких тканей в области десневой борозды.
Максимальная точность: одно из основных преимуществ традиционной техники - точная передача анатомических особенностей поверхности зуба, на которые будет установлена коронка, мост или перед имплантацией, с помощью физической модели. Это позволят изготавливать реставрации, максимально повторяющие форму зуба.
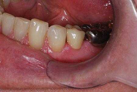
Фото 6: Фото 7 зуба перед снятием слепка для изготовления коронки

Фото 7: Нанесение слепочной массы Injecting 3M Imprint 4 Light Body с помощью шприца

Фото 8: Итоговый слепок 7 зуба, выполненный из массы 3M Imprint 4 Super Quick Light и массы 3M Imprint 4 Super Quick Heavy

Фото 9: Гипсовая модель, выполненная на основе слепка

Фото 10: Установленная цельнокерамическая коронка на 7 зубе

Быстрое затвердевание: с помощью традиционной техники можно выполнить оттиск зуба за 2 минуты, что практически сопоставимо со временными затратами на цифровые слепки.
Повторяет анатомию труднодоступных мест: одна из основных причин, по которой традиционная техника не утратила своей актуальности - возможность слепочной массы проникать глубоко в труднодоступные места, например, в десневой карман и запечатлять в них форму. Цифровые технологии не всегда могут справится с этой задачей: во-первых, некоторые интраолярные сканеры слишком большие и их невозможно разместить удобно, чтобы сделать снимок в труднодоступной области. Во-вторых, сложно сканировать части зуба ниже десневого края, для этого необходимо расширить десневую борозду. При этом используя удобный шприц для слепочного материала, можно поместить массу непосредственно в область препарирования, тем самым получив слепок, повторяющий все анатомические части зуба. Так достигается максимальная точность гипсовой модели. Затем модель сканируют в лаборатории с помощью аналогичных цифровых технологий и изготавливают реставрацию с помощью современных фрезеровочных станков.
Сложности в снятии оттиска в области десневого края
Одна из наибольших сложностей при снятии оттисков состоит в том, что прилегающие ткани десны могут мешать запечатлеть часть зуба, скрытую за десневым карманом.
Чтобы избежать подобных затруднений, автор статьи рекомендуют обязательно выполнить одну из процедур:
- ввести ретракционную нить с медикаментозной пропиткой в десневую бородку препарированного зуба, что обеспечит ее открытие. Таким образом, слепочная масса попадет в десневой карман, и на итоговом оттиске будет отображена скрытая часть зуба.
- с помощью лазера удалить часть мягких тканей, чтобы немного обнажить десневой карман. Эта методика также эффективно позволяет запечатлеть на оттиске части зуба, расположенные ниже десневого края.
Традиционная техника считается универсальной, поскольку позволяет выполнить оттиск любого зуба, вне зависимости от его расположения, запечатляя все его части до необходимой глубины, скрытой за десневой бороздой. Применяя современные быстрозатвердевающие слепочные массы, врач может выполнить слепок с гарантированно высокой точностью. Тем не менее, путем цифрового сканирования также можно создать реставрации высокой точностью за короткое время. Очевидно, что стоматолог должен уметь применять обе техники в зависимости от конкретного клинического случая.
Несомненно, иногда цифровые CAD/CAM технологии в стоматологии существенно упрощают процесс работы и позволяют выполнять безупречные реставрации. Но в сложных случаях, когда требуется выполнить оттиск труднодоступного зуба, сделать слепок частей, находящихся ниже десневого края, или изготовить модель сразу нескольких зубов для реставрации, - лучшей техникой по-прежнему остается традиционное нанесение слепочного материала с последующим изготовлением гипсовой модели.
В конечном итоге, выбор той или иной техники зависит от привычки врача и предлагаемых услуг. Сегодня нам доступны компьютерные возможности, которых не было еще несколько лет назад, позволяющие изготавливать максимально точные реставрации.
Читайте также:
- УЗИ, МРТ при аномалии предшественника аллантоидного стебелька у плода
- Особенности артикуляции согласных. Артикуляция гласных букв
- Малые ядерные РНК (UмяРНК) и малые ядерные рибонуклеопротеидные частицы (мяРНП)
- Омфалит у ребенка. Флегмона новорожденных
- Нарушения функции почек при сердечной недостаточности. Эхокардиография при СН с нормальной фракцией выброса
