Радикулит - причины, симптомы, диагностика и лечение
Добавил пользователь Валентин П. Обновлено: 28.01.2026
Информацию из данного раздела нельзя использовать для самодиагностики и самолечения. В случае боли или иного обострения заболевания диагностические исследования должен назначать только лечащий врач. Для постановки диагноза и правильного назначения лечения следует обращаться к Вашему лечащему врачу.
Для корректной оценки результатов ваших анализов в динамике предпочтительно делать исследования в одной и той же лаборатории, так как в разных лабораториях для выполнения одноименных анализов могут применяться разные методы исследования и единицы измерения.
Пояснично-крестцовый радикулит: причины появления, при каких заболеваниях возникает, диагностика и способы лечения.
Определение
Пояснично-крестцовый радикулит, или радикулопатия - это симптомокомплекс, который возникает в результате защемления и воспаления корешков спинномозговых нервов в поясничном и/или крестцовом отделах позвоночника.
Обычно данное состояние развивается у людей старше 45, но последние годы на радикулит стали жаловаться и молодые.
Развитию радикулопатии подвержены люди, чья работа связана с тяжелым физическим трудом либо длительным пребыванием в одной позе, профессиональные спортсмены; больные аутоиммунными заболеваниями; те, у кого наблюдается избыточный вес и/или метаболические заболевания.
Для радикулита характерны боль в пояснице в сочетании с простреливающей или тянущей болью по боковой или задней поверхности ноги (иногда вплоть до стопы), онемение и парестезии, слабость мышц, усиление боли при подъеме прямой ноги.
Разновидности радикулита
Радикулопатия может стать следствием механического повреждения либо инфекционного процесса. Повреждение может развиться как в межпозвонковых дисках, так и непосредственно в теле позвонка или его отростках.
Боль при радикулите может быть острой (люмбаго), стреляющей или колющей (ишиас) жгучей или ноющей (люмбоишиалгия).
- Люмбаго - острая боль, появляющаяся внезапно в результате резкого поднятия тяжестей, чихания, кашля, из-за переохлаждения поясницы (например, под кондиционером) либо спазмирования мышц поясницы, либо межпозвоночных грыж.
- Ишиас - стреляющая или колющая боль, которая иррадиирует в ягодицы, бедра, икроножные мышцы, в результате чего пациент может жаловаться на слабость мышц («ноги не держат») и даже онемение конечностей.
- Люмбоишиалгия - жгучая или ноющая боль, которая локализуется в ягодичных мышцах и бедрах. Для нее характерно постепенное нарастание.
- Грыжа или протрузия (выпячивание) межпозвонкового диска.
- Спондилез - хроническое дегенеративное поражение позвоночника, развивающееся вследствие старения организма, перегрузок или травм.
- Спинальный стеноз.
- Остеофиты - разрастания костной ткани, напоминающие по форме крючки или шипы.
- Сакрализация или люмбализация крестца.
- Спондилоартроз - хроническое заболевание межпозвоночных суставов, проявляющееся дегенеративными изменениями в хрящевых тканях и приводящее к уменьшению высоты межпозвоночных дисков, уплотнению связок, деформации межпозвоночных суставов.
- Анкилозирующий спондилит (болезнь Бехтерева).
- Переломы позвонков (в том числе компрессионные на фоне остеопороза).
- Гормональные изменения, снижающие прочность хрящевой и костной ткани.
Диагностика и обследования при радикулите
Перед назначением инструментальных обследований врач собирает анамнез и проводит физиологические тесты, позволяющие выявить симптомы «натяжения» — специфические признаки патологии корешков нервных окончаний.
Для диагностики заболеваний позвоночника назначают:
- рентген пояснично-крестцового отдела позвоночника с функциональными пробами;
- клинический анализ крови с определением концентрации гемоглобина, количества эритроцитов, лейкоцитов и тромбоцитов, величины гематокрита и эритроцитарных индексов (MCV, RDW, MCH, MCHC), лейкоформула и СОЭ (с микроскопией мазка крови при наличии патологических сдвигов);
Синонимы: Общий анализ крови, ОАК. Full blood count, FBC, Complete blood count (CBC) with differential white blood cell count (CBC with diff), Hemogram. Краткое описание исследования Клинический анализ крови: общий.
Радикулит
Радикулит — (лат. radicula — корешок) — поражения корешков спинного мозга, вызывающие моторные, вегетативные и болевые нарушения. Радикулит проявляется интенсивным болевым синдромом, снижением мышечной силы, рефлексов и чувствительности в зоне, иннервируемой пораженным спинномозговым нервом. Диагностика радикулита осуществляется при помощи рентгенографии, КТ и МРТ позвоночника, по показаниям возможно проведение миелографии и люмбальной пункции. В лечении применяют обезболивающие и противовоспалительные препараты, блокады, физиотерапевтические процедуры, мануальные техники, вытяжение позвоночника, лечебную физкультуру и массаж.
Общие сведения
Радикулит — (лат. radicula — корешок) — поражения корешков спинного мозга, вызывающие моторные, вегетативные и болевые нарушения. Этиологическими факторами радикулита являются дегенеративно-дистрофические изменения в позвоночнике, такие как остеохондроз, деформирующий спондилез, а также различные аномалии развития позвоночника (сакрализация, спондилолистез, добавочные ребра, аплазия позвонков). Провоцировать воспалительные процессы в позвоночнике способны также переохлаждения, травмы, инфекции (грипп, туберкулез, сифилис, цереброспинальный менингит), а также корешковые формы нейровирусных заболеваний (клещевой энцефалит и др.).
Болевой синдром при радикулите может проявляться в результате поднятия тяжести, неловкого движения, инфекции или простуды, когда происходит растяжение или разрыв фиброзного кольца диска, студенистый диск выдвигается за пределы своих границ, а на его месте образуется межпозвоночная грыжа. Зачастую выдвинутый диск или остеофиты сдавливают не только спинномозговой корешок, но и близлежащие оболочки и ткани, которые в свою очередь служат дополнительным источником болевого синдрома. Кроме того, в его патогенезе играют роль еще два фактора: дискалгия и мышечно-тоническая боль.
Классификация радикулитов
В зависимости от топографии воспалительного процесса радикулиты подразделяют на ряд форм: пояснично-крестцовый, грудной, шейный, которые в свою очередь могут быть хроническими или острыми.
Кроме того, различают первичные радикулиты (токсического, инфекционного происхождения) и вторичные, обусловленные аномалиями позвоночника и спинного мозга. При менингорадикулите воспалительный процесс развивается одновременно в корешках спинномозговым нервом. и оболочках спинного мозга.
Симптомы радикулита
Основные симптомы радикулита — боли, снижение рефлексов, частичное расстройство чувствительности, вегетативные нарушения. Первые приступы боли, связанные с надрывом фиброзного кольца межпозвоночного диска, носят диффузный характер (напоминают «миозиты» или «прострелы»). И только с образованием грыжи диска, которая сдавливает корешок, формируется корешковый синдром, когда возникают ощущения покалывания и онемения. В области пораженного корешка развивается иннервация и, как следствие, снижение или полное отсутствие чувствительности (температурной, тактильной и болевой). Со временем нарастает слабость мышц, расположенных в зоне пораженного корешка, вплоть до полной их атрофии.
Симптомами первичных радикулитов (инфекционной и токсической этиологии) являются проявления, соответствующие заболеванию, вызвавшему радикулит (в случае ОРВИ - повышение температуры, озноб и т. д.). При пояснично-крестцовом радикулите локализация боли, усиливающейся при ходьбе и кашле, возможна в поясничной области, голени, бедре или стопе. На начальной стадии заболевание протекает по типу люмбаго, люмбалгии и люмбоишиалгии.
Основной симптом люмбаго — внезапная острая боль в пояснице, возникающая в результате поднятия тяжести, неловкого движения или переохлаждения. В инициации болевого синдрома играет роль раздражение рецепторов фиброзного кольца диска или подвывих межпозвонковых суставов. Ограничена подвижность в поясничном отделе позвоночника, тонус поясничных мышц повышен, они болезненны при пальпации. В большинстве случаев сильнейшие боли («прострелы») не позволяют больным находиться в положении стоя или ходить.
Люмбалгия — тупая боль подострого характера в области поясницы. Зачастую рецидивирует. Затруднено положение сидя, ходьба и любые движения в пояснице. В ряде случаев симптомы натяжения (Ласега, Вассермана) слабоположительные. При люмбоишиалгии боль в области поясницы (как острого, так и подострого характера) иррадирует в одну или обе ноги. Развиваются нейромышечные, вегето-сосудистые и трофические нарушения в нижней конечности. Наблюдается повышенный тонус мышц поясницы, ограничение движений и выравнивание поясничного лордоза.
Для частичного снятия болевого синдрома при радикулитах больные принимают «защитную» позу: сидят, подогнув под себя ногу и упершись руками в кровать, или лежат, подложив под живот подушку. Меняется походка: в движении больные стараются опираться преимущественно на здоровую ногу. Довольно часто отмечаются повышенный тонус поясничных мышц, анталгический сколиоз, реже кифоз. При пальпации болезненными становятся паравертебральные точки в поясничной области, задняя поверхность бедра, подколенная ямка, пятка (точка Гара) и середина стопы (медиопланатарная точка Бехтерева), и это едва ли не определяющий симптомокомплекс пояснично-крестцового радикулита.
Первые симптомы шейного радикулита — боль в шее (односторонняя), вынужденное положение головы (гипопластическая кривошея), повышенный тонус шейных мышц, патологический лордоз шеи. Боль нарастает при кашле, чихании и любом движении головы. При образовании грыжи диска и сдавливания корешков болевые ощущения распространяются и на руку (проксимальные отделы), переднюю поверхность грудной клетки или лопатку. Наблюдается снижение глубоких рефлексов и парестезии (в дистальных отделах руки). Боль при радикулитах может обостряться по ночам, в таких случаях больные вынуждены подолгу ходить, «укачивая» больную руку.
Развитие грудного радикулита начинается с рефлекторно-ирритативных симптомов (болезненность паравертебральных точек, мышечно-тонические нарушения). На корешковой стадии грудного радикулита проявляются расстройства чувствительности в области пораженных корешков, двигательные расстройства (парез разгибателей пальцев и кисти в целом). В случаях, когда воспалительный процесс затрагивает симпатические образования руки, наблюдаются вегето-сосудистые нарушения (отечность, потливость, похолодание). Возможно развитие спондилокоронарного синдрома. Он проявляется болями в области сердца во время сгибания и разгибания туловища, поворотах наклонах и т. д. такие боли плохо поддаются лечению обычными коронарорасширяющими средствами.
Осложнения при радикулитах
Поражение спинномозговых корешков и образование грыжи межпозвоночных дисков может привести к сдавлению (или закупорке) крупных корешковых вен и радикуломедуллярных артерий. Уменьшение кровотока может повлечь за собой развитие ишемий различной этиологии и, как следствие, инфаркт спинного мозга, при котором нарушаются чувствительная и двигательная функции человека. В таком состоянии возможно определение группы инвалидности.
Диагностика радикулитов
Рентгенологическое исследование позвоночника при различных формах радикулита обычно выявляет остеохондроз, который довольно часто встречается. Поэтому обследование должно быть развернутым. В целях исключения деструктивных процессов в позвоночнике показана спондилограмма. Однако она не способна верифицировать дискогенную этиологию заболевания. При пояснично-крестцовых радикулитах проводится люмбальная пункция, которая обнаруживает небольшое повышение содержания белка.
Для распознавания этиологии радикулитов необходимо тщательное изучение анамнеза, клиники, а также большого объема параклинических данных (клинический анализ крови, миелография, спондилограмма, исследование цереброспинальной жидкости, МРТ и КТ позвоночника и т. д.) Следует отметить, что при дискогенных радикулитах, как правило, страдают только один-два корешка. А в случаях грудных радикулитов следует исключить вертеброгенный остеохондроз, здесь причина сдавления корешков кроется в иных заболеваниях. Кроме того, радикулит необходимо дифференцировать от острого миозита мышц спины.
Лечение радикулитов
Лечение проводится вертебрологом или неврологом. Ведущая триада в лечебном процессе — иммобилизация позвоночника (жесткая постель), тепло и анальгетики (диклофенак, индометацин и т. д.). Она позволяет в первую очередь купировать обострение болей. В случаях гипералгических форм радикулита следует добавить внутримышечное введение анальгетиков (амидопирин+бутадион, метамизола натрия). Рекомендовано и местнораздражающие средства — перцовый пластырь, растирания. Большое значение в лечении радикулитов имеют физиотерапия, блокады спазмированных мышц, вытяжение. После частичного снятия болевого синдрома следует присоединить ЛФК, массаж и мануальную терапию. При затяжном люмбоишиалгическом синдроме больным назначают инъекции витаминов группы В. Применение витамина В12 в больших дозах оказывает выраженный болеутоляющий эффект. В тяжелых случаях возможно проведение новокаиновых блокад (с витамин В12, гидрокортизоном и т. д.) или внутривенные инфузии диазепама, дифенгидрамина, эуфиллина.
В случае непрекращающихся болей (не взирая на 3-4 месяца терапии), рекомендовано предложить больному операцию на позвоночнике (удаление межпозвоночной грыжи). Обязательным показанием к оперативному вмешательству при радикулите могут служить парализующий ишиас, обусловленный сдавлением конского хвоста, с развитием нарушений функций тазовых органов. Для лечения рецидивов рекомендовано санаторно-курортное лечение с применением грязевых аппликаций, сероводородных и радоновых ванн.
Прогноз
Благоприятный прогноз возможен в случае своевременной диагностики и развернутого лечения, включающего все возможные направления. Только при таком подходе можно ожидать выздоровления, не опасаясь рецидивов. В случае развития ишемии и, как следствие, инфаркта спинного мозга невозможно прогнозировать полное выздоровление, так как последствием таких осложнений зачастую становятся нарушение двигательной и чувствительной функций организма.
Профилактика радикулита
Профилактика радикулитов включает в себя меры, направленные на поддержание правильной осанки, укрепление мышц спины. Рекомендуется избегать чрезмерных нагрузок на позвоночник. Правильная осанка во время сна и бодрствования минимизирует напряжение, которое испытывает позвоночный столб. Не следует спать на слишком жестких матрацах. Вопреки бытующему мнению они способны искажать положение позвоночника и нарушать его функцию. Чтобы избежать этого и сохранить естественный изгиб позвоночника рекомендуется подкалывать небольшие подушки под шею и поясницу или использовать полужесткий матрац, который способен поддержать естественное положение позвоночника.
Поддержание правильной осанки весьма важно и в повседневной работе. Поднимая предметы с пола, рекомендуется согнуть ноги в коленях, не наклоняя при этом туловище. Таким образом, нагрузка переместится со спины на ноги. Рекомендуется избегать неудобных поз (продолжительное сидение за столом с опущенной головой, сидение перед телевизором, уронив подбородок на грудь и т.д.). Кроме того, большую роль в профилактике радикулита имеет гимнастика, способствующая укреплению мышц спины, а также занятия спортом и закаливание, которые повышают устойчивость организма к физическим нагрузкам и переохлаждениям.
Радикулит (радикулопатия) - симптомы и лечение
Что такое радикулит (радикулопатия)? Причины возникновения, диагностику и методы лечения разберем в статье доктора Тихонова Игоря Витальевича, невролога со стажем в 14 лет.
Над статьей доктора Тихонова Игоря Витальевича работали литературный редактор Вера Васина , научный редактор Роман Люкманов и шеф-редактор Маргарита Тихонова
Определение болезни. Причины заболевания
Радикулит — это термин, в переводе с латинского языка обозначающий воспаление нервного корешка. Такое название невропатологи более 100 лет назад использовали для описания болевого синдрома в шее, спине и конечностях, считая, что причиной радикулита является воспалительный процесс.
Однако благодаря развитию медицинской науки и диагностических возможностей в последующие годы было установлено, что воспалительной реакции в своём истинном значении в нервных корешках при большинстве подобных болевых синдромах не происходит. Редкое исключение составляют случаи, когда инфекционный процесс в суставе и окружающих мягких тканях распространяется на проходящее вблизи нервное волокно (частота встречаемости менее 0,01% среди всех болевых синдромов).
Факторы риска
Болевые синдромы возникают в связи с раздражением спиномозговых корешков не только путём воспаления, но и по причине их повреждения или сдавления. Это может возникать при спондилоартрозе, спондилолистезе, остеопорозе, опухоли позвоночника и спинного мозга, компрессионном переломе позвонка и поперечных отростков, значительной межпозвонковой грыже. А также при инфекционных заболеваниях (остеомиелит, туберкулёз, сифилис).

Выражения «радикулит шейный», «радикулит поясничный» и другие широко употребляется среди пациентов, на разных интернет-сайтах, встречаются в профессиональной медицинской литературе и, к сожалению, нередко используются медицинскими работниками для обозначения различных болевых синдромов в верхних, нижних конечностях и области позвоночника.
В случае разнообразных поражений нервного корешка или нервного волокна в любой анатомической области в настоящее время в международных научных медицинских сообществах (EFNS, IASP, ICF, WHO и др.) принято использовать термин «радикулопатия» (radiculopathy; лат. radicula — корешок + греч. рathos — страдание, болезнь). По МКБ-10 радикулит (радикулопатию) кодируют как M54.1.
При обнаружении схожих симптомов проконсультируйтесь у врача. Не занимайтесь самолечением - это опасно для вашего здоровья!
Симптомы радикулопатии зависят от степени и вида поражения нервного корешка.
Признаки радикулита
В случае, когда возникает нарушение в двигательных волокнах корешка, симптомом будет снижение (парез) или полное отсутствие (плегия) двигательной функции в мышечной группе, которая связана с центральной нервной системой с помощью данного нервного волокна.
При поражении чувствительных волокон корешка симптомами будут снижение или отсутствие различных видов чувствительности (тактильной, температурной, вибрационной и др.) — гипо- или анестезия.
Соответственно, если повреждены двигательные и чувствительные волокна, симптомами радикулопатии будут снижение силы и чувствительности в соответствующем анатомическом участке.
Также к возможным симптомам радикулита относится снижение или отсутствие рефлекса (гипо- или арефлексия), участие в котором принимает поражённый нервный корешок.
Следует отметить, что симптомы боли не являются истинными симптомами радикулопатии, однако зачастую могут быть сопутствующими симптомами другого заболевания, одновременно присутствующего при радикулопатии. Локализоваться болевые ощущения могут в шее, спине, конечностях, в зависимости от поражённого участка.

Достаточно редко могут возникать различные вегетативные симптомы (чрезмерное потоотделение, бледность или покраснение). [5] [8] [10]
Симптомы корешкового синдрома шейного отдела
- боль;
- нарушение чувствительности (онемение, ползание "мурашек");
- снижение мышечной силы в области шеи и руки с одной стороны при одностороннем поражении; при двустороннем — симптоматика будет соответствующей.
Симптомы корешкового синдрома грудного отдела
- боль;
- нарушение чувствительности "опоясывающего" типа справа или слева от позвоночника; в зависимости от конкретного корешка оно может возникать в области от подмышек и верхних краёв лопаток до поясницы и пупка.
Симптомы корешкового синдрома поясничного отдела
- слабость;
- чувствительные нарушения в мышцах ног с характерной "простреливающей" болью, распространяющейся в ягодицу и/или бедро с одной стороны.
Патогенез радикулита
Основной механизм возникновения радикулопатии — механическое сдавление нервного корешка. Это может возникать в результате травм, а также в связи с воздействием вертебральных (позвоночных) структур при выраженном спондилоартрозе, спондилолистезе, остеопорозе, опухоли позвоночника и спинного мозга, компрессионном переломе позвонка и поперечных отростков, значительной межпозвонковой грыже. Частой локализацией поражения в этих случаях является экстрадуральный отдел нервного корешка. [8]

При инфекционных заболеваниях (остеомиелит, туберкулёз, сифилис) чаще страдают интрадуральные участки корешков (менингорадикулиты). [10]
Если диск патологически изменён, то в любой момент движения может возникнуть сжатие нервного корешка. Для того, чтобы устранить сдавление, в повреждённом участке организма включаются компенсаторные механизмы: окружающие ткани отекают, фиксируются мышечные волокна. Происходящая иммобилизация сдавленного нервного корешка с возникающим болевым симптомом не позволяет больному двигаться с прежней интенсивностью, снижая нагрузку на травмированный участок позвоночника.

Классификация и стадии развития радикулита
По уровню возникновения радикулопатии различают:
- шейную;
- грудную;
- поясничную;
- крестцовую;
- смешанную.
По причине возникновения радикулопатии бывают:
- дискогенными (при поражении межпозвонкового диска);
- спондилогенными (при поражении тела позвонка и его отростков).
По механизму возникновения:
По топографическому расположению (указывается конкретный нервный корешок (слева или справа) и его цифровое и анатомическое название в зависимости от уровня расположения):
- Радикулопатия С1-8 (шейный);
- Радикулопатия Th1-12 (грудной);
- Радикулопатия L1-5 (поясничный);
- Радикулопатия S1-3 (кресцовый).

Стадии радикулопатии
Общепризнанной и универсальной классификации стадий развития радикулопатии не существует, потому что нет единственной причины развития синдрома. Например, при инфекционном воспалении (истинном радикулите) описывают стадии воспаления. При компрессии корешка грыжей межпозвонкового диска или его секвестром (фрагментом разрушенного диска) — стадии, присущие процессу сдавления корешка.
Тем не менее, в течении радикулопатии можно выделить:
- дебют — впервые возникший корешковый синдром;
- обострение — повторное развитие синдрома;
- прогрессирование — нарастание синдрома;
- стабилизацию или регресс симптомов;
- ремиссию.
В некоторых источниках выделяют неврологическую и невротическую стадии. Врачи такую классификацию не используют.
Осложнения радикулита
Осложнения радикулопатии при отсутствии правильного лечения могут проявляться в виде нарушения двигательных и чувствительных функций в иннервируемой области или конечности, вплоть до полного отсутствия чувствительности (анестезия) и движений (плегия) в случае необратимого поражения нервного волокна. [8] [10]
Диагностика радикулита
Когда следует обратиться к врачу
Невролога следует посетить как можно скорее:
- при острой боли в шее или спине;
- внезапной или постепенно нарастающей слабости в мышцах руки или ноги;
- стойком нарушении чувствительности.
Подготовка к посещению врача
При посещении невролога следует:
- зафиксировать время возникновения жалоб и попытаться описать обстоятельства, в которых они появились, например при неловком движении, падении, непривычной физической нагрузке, длительной неудобной позе;
- найти положения, при которых боль уменьшается и усиливается;
- запомнить принимаемые лекарства и их дозы;
- не забыть медицинскую документацию о ранее проведённых анализах и обследованиях.
Сбор жалоб
Первым диагностическим мероприятием при радикулопатии является сбор жалоб и уточнение данных анамнеза заболевания пациента. Проводится классический неврологический [8] [10] и вертеброневрологический [4] [7] осмотр.
Используются различные шкалы, тесты, опросники для самостоятельного заполнения пациентом: опросники нейропатической боли DN4 и PainDETECT, визуальная аналоговая шкала, опросник Роланда-Морриса и другие. [2]
Неврологический осмотр при радикулите
Методика полного неврологического осмотра:
- Первый этап:
- врач выявляет общемозговые и менингеальные симптомы, например головную боль, тошноту, скованность мышц затылка, болезненность при надавливании на глазные яблоки;
- оценивает функции черепных нервов, например вестибулярную;
- определяет силу мышечных групп и их тонус;
- исследует сухожильные рефлексы;
- проверяет наличие патологических рефлексов;
- выявляет нарушения координации и чувствительности.
- Второй этап: невролог оценивает когнитивные, эмоциональные и речевые функции.
- Третий этап:
- доктор исследует позу пациента в положениях сидя, стоя и лёжа;
- оценивает симметрию тела;
- определяет объём движений во всех отделах позвоночника и конечностях;
- проверяет симптомы "натяжения" — специфические признаки патологии корешков, например появление боли при покашливании, сгибании ноги в коленном суставе и т. д.;
- исследует чувствительность: болевую и тактильную, при необходимости температурную и проприоцептивную (вибрационную, мышечно-суставную).
Компьютерная томография
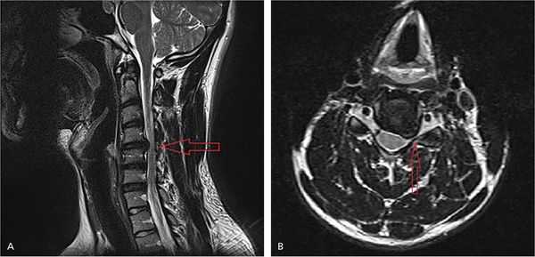
Для уточнения локализации повреждения нервного корешка проводятся нейровизуализационные методы диагностики. Самым информативным является магнитно-резонансная томография (МРТ). Метод позволяет выяснить причину радикулопатии: с его помощью можно увидеть сам нервный корешок и структуры, которые его окружают.
ЯМРТ и МРТ — это один и тот же метод диагностики. В его основе лежат принципы ядерно-магнитного резонанса (ЯМР). Однако метод распространился под названием магнитно-резонансной томографии (МРТ), а не ядерно-магнитной резонансной томографии (ЯМРТ).

На рисунке А (вид сбоку) стрелкой указана локализация грыжи межпозвонкового диска на уровне шейных С4-С5 позвонков. Грыжа выступает в позвоночный канал и смещает или сдавливает спинной мозг. На рисунке В (вид сверху) стрелкой отмечена та же грыжа, которая выступает влево и сдавливает нервный корешок.
Для определения уровня и степени поражения нервного волокна выполняется электромиография (ЭМГ). При необходимости может быть проведена стимуляционная ЭМГ (на поверхность кожинакладываются электроды) или игольчатая ЭМГ (в исследуемую мышцу вводятся электроды-иглы). [1]

При наличии противопоказаний к проведению МРТ можно использовать КТ. Противопоказаниями могут быть установленный кардиостимулятор, инсулиновая помпа или массивный ферромагнитный имплант. Однако с помощью КТ лучше визуализируются не мягкие ткани, к которым относят нервные корешки, а костные структуры.
Рентгенография
Рентгенография при радикулопатии является неинформативным методом, поскольку позволяет визуализировать только костные структуры. Назначение рентгенографии оправдано в случаях, когда есть подозрение на трещину, перелом позвонков и их отростков, остеопороз и спондилолистез (проводится рентгенография определённого отдела позвоночника в положении пациента стоя с функциональными пробами на сгибание/разгибание в боковой проекции).
Рентгенография сильно проигрывает МРТ в точности диагностики.
Лечение радикулита
Первая помощь. Ограничение движения
Необходимо исключить или уменьшить влияние фактора, который привёл к развитию корешкового синдрома: асимметричной позы, поднятия тяжестей и т. п.
До проведения неврологического осмотра следует воздерживаться от физических нагрузок. Требуется покой и обезболивание: при отсутствии противопоказаний можно принять ибупрофен.
Лечение радикулопатии начинается с выяснения причины заболевания и её устранения. Если компрессию нервного корешка вызывает межпозвонковая грыжа, лечение будет направленно на снижение отёка в области грыжи и нервного корешка различными консервативными способами, а при их неэффективности рекомендуется хирургическое воздействие, направленное на декомпрессию нервного волокна.
В большинстве случаев при своевременном обращении к квалифицированному специалисту радикулопатию удаётся вылечить консервативным способом, используя:
- медикаментозное лечение радикулита (капельницы, лечебные блокады, препараты для приёма внутрь и в виде инъекций);
- мануальную терапию;
- физиотерапию;


Эти методы направлены на снижение отёка, улучшение кровообращения и выведение накопившихся продуктов метаболизма в области сдавленного нервного корешка. [3] [5] [6] [9]
Хирургическое лечение
При нестабильности позвонков, массивной межпозвонковой грыже, деструкции позвонка и других сложных случаях может потребоваться консультация нейрохирурга и операция. Вид вмешательства определяет врач, оценив симптомы, эффективность консервативной терапии и данные МРТ.
Медикаментозное лечение острой боли при радикулите
Для уменьшения боли при радикулопатии применяют широкий спектр препаратов. В первую очередь — нестероидные противовоспалительные средства (НПВС) в таблетках, капсулах, гелях и мазях.
К НПВС относятся:
Существуют лекарственные формы с доставкой действующего вещества через кожу, например обезболивающие пластыри с лидокаином.
При упорной нейропатической боли и неэффективности НПВС используют противоэпилептические препараты с обезболивающим эффектом, например габапентин и прегабалин.
При недостаточной эффективности консервативной терапии применяют гормональные средства, которые вводят в околокорешковое пространство: дексаметазон и бетаметазон.
Лечение при хроническом болевом синдроме
При хронизации боли врач может рекомендовать приём противоэпилептических средств и антидепрессантов, которые обладают обезболивающим эффектом. При исчерпанных возможностях устранения боли возможна нейрохирургическая операция: установка противоболевого стимулятора, морфиновой помпы или пересечение корешка.
Особенности лечения при беременности
При беременности, в особенности в третьем триместре, многие лекарства нельзя применять. Врачи, как правило, назначают местные препараты и нелекарственные методы: лечебную гимнастику и ношение корсетов.
Домашние средства лечения
Домашнее лечение корешкового синдрома возможно только после исчерпывающей консультации врача. Доктор порекомендует упражнения для самостоятельных занятий. При необходимости врач объяснит, как носить корсет, и при запросе от пациента расскажет, как применять домашние физиотерапевтические приборы.
Лечение радикулита народными средствами
Эффективность и безопасность методов народной медицины научно не доказана. Их применение может быть опасным для здоровья и жизни пациента.
Прогноз. Профилактика
При раннем выявлении причины возникновения радикулопатии и её устранении прогноз на выздоровление будет благоприятный с восстановлением всех утраченных чувствительных и двигательных функций в иннервируемой области.
Осложнения в виде различных нарушений чувствительности и разной степени пареза (слабости) в мышцах могут оставаться на довольно продолжительный период в случаях не устранения основной причины радикулопатии, например, при большой межпозвонковой грыже.
Выраженное поражение нервного корешка приводит к его гибели и отсутствию всех видов чувствительности и движений в иннервируемой области.
Радикулит пояснично-крестцовый
- рентген пояснично-крестцового отдела позвоночника с функциональными пробами;
Рентгенологическое исследование в трех проекциях пояснично-крестцового отдела позвоночника для определения состояния и структурной целостности позвонков.
Читайте также:
- КТ, МРТ при осложнениях риносинусита
- Современные методы лечения зубов
- После удаления кисты челюсти. Уход после удаления опухоли ротовой полости
- Стратификация риска в отделении неотложной помощи. Предоперационная стратификация риска перед некардиальными операциями
- Рентгенограмма при искусственном поясничном межпозвонковом диске
