Рак мочевого пузыря: случай успешного лечения мужчины с сахарным диабетом
Добавил пользователь Евгений Кузнецов Обновлено: 22.01.2026
Реконструкция нижних мочевых путей после цистэктомии с созданием резервуара низкого давления с изоперистальтическим мочеточнику афферентным подвздошно-кишечным тубулярным сегментом позволяет выполнять резекцию мочеточников, пересекающих подвздошные сосуд
Реконструкция нижних мочевых путей после цистэктомии с созданием резервуара низкого давления с изоперистальтическим мочеточнику афферентным подвздошно-кишечным тубулярным сегментом позволяет выполнять резекцию мочеточников, пересекающих подвздошные сосуды, и минимизировать риск стеноза, а также обеспечить защиту от рефлюкса. Результаты наблюдения за 100 больными в сроки от 3 до 96 месяцев показали, что увеличение функциональной емкости достигается спустя 3-12 месяцев и происходит параллельно с улучшением удержания мочи (к году дневное — 92%, ночное — 80%). Рефлюксов в верхние мочевые пути и рецидивов опухоли не наблюдалось [99].
После операций транспростатической цистопростатэктомии по поводу рака мочевого пузыря Hayakawa M., Hatano T. с соавт. (1994) конструировали удерживающий мочевой резервуар по модифицированной технике Стьюдера и производили анастомозирование нижнего отверстия чаши с оставшейся простатической капсулой или остатком простатической части уретры [67]. Эта техника считается простой, с низким риском кровопотери из центральной вены верхушки простаты. Мочеиспускание осуществляется по уретре, а не по кожным отверстиям, ни у одного из семи оперированных не было диагностировано пиелонефрита.
Применение хирургической техники создания оптимальной сферической конфигурации ортотопического мочевого резервуара из сигмовидной кишки после радикальной цистэктомии по поводу локально распространяющегося или поверхностного рецидивирующего рака мочевого пузыря имело успех у 24 пациентов при наблюдении до 6 лет [53]. Дневное удержание мочи отмечено у 95%, а ночное у 29-43% в различные сроки после операции. Емкость мочевого резервуара была 414-492 мл, а диапазон давления при максимальной емкости — 23-54 мл. Остаточный объем мочи после мочеиспускания был минимальным. Cheng C., Whitfield H. N. (1990) исследовали тубуляризированные и детубуляризированные кишечные сегменты подвздошной кишки. Различий не обнаружено: сокращения, свойственные кишке, появлялись несколько позже при ДТ, частота и амплитуда была одинаковой и не зависела от размера сегмента. Экскреторная урография не выявляла нарушений анатомии верхних мочевых путей. Однако изотопные исследования обнаруживали функциональные нарушения независимо от хирургической техники. Предотвратить эти изменения можно, не допуская чрезмерных увеличений объема пузыря [48]. С использованием техники Camey type 2 (создание артифициального пузыря из подвздошой кишки низкого давления) удалось добиться менее благоприятных результатов: восстановление дневного удержания у всех больных достигалось через 3 месяца, а ночного лишь у 75% оперированных, часто с применением оксибутинина для удержания мочи. Отмечались высокие подъемы давления [61].
Обследование условий мочеиспускания у 12 больных раком мочевого пузыря, перенесших радикальную цистэктомию и формирование нового пузыря из сегмента подвздошной кишки, по Studer показало, что пациенты с искусственным или вновь созданным мочевым пузырем мочатся напряжением брюшного пресса и расслаблением мышц тазового дна [87; 105]. Для достижения у таких пациентов мочеиспускания с участием гладкомышечных элементов важно, чтобы резервуар был открыт в каудальной части, сохранив эластичность выхода резервуара. Обследования были проведены во время мочеиспускания по схеме “давление-объем” и цистоуретрография. В группе с хорошим мочеиспусканием (максимальная скорость 15 мл/с и более) устье мочевого резервуара было воронкообразным, у пациентов с частым и плохим мочеиспусканием (максимальная скорость 9 мл/с) устье не образовывало воронки даже при напряжении мышц живота.
Рассматривая вопрос об удержании мочи после формирования удерживающих отведений, некоторые авторы придают большое значение следующим основным параметрам: 1) давлению, развиваемому в резервуаре, 2) сопротивлению оттоку и 3) детубуляризации, которая способна значительно уменьшить непроизвольные сокращения кишки. Наиболее физиологичным механизмом удержания мочи является наружный сфинктер у мужчин. Другие факторы - сокращение резервуара, недержание от переполнения, уменьшение тонуса сфинктера, потеря нормального пузырно-уретрального рефлекса — имеют важное значение для ночного недержания. Благодаря пониманию этих элементов становится возможно усовершенствование конструкции удерживающего физиологичого заместителя мочевого пузыря [105].
Формирование искусственного пузыря у женщин с достижением эффекта удержания мочи является серьезной проблемой. У них возможно сохранить нормальное мочеиспускание в условиях сохранения уретры после радикальной цистэктомии, что улучшает качество жизни. При выборе типа операции ортотопического замещения мочевого пузыря у женщин следует стремиться к тому, чтобы эта процедура не увеличивала риск локальных рецидивов. В противном случае должно быть отдано предпочтение периодическим катетеризациям удерживающей подкожной стомы [47; 49; 64; 84; 112].
Тем не менее, по данным Stein J. P. с соавт. (1994), реконструкция нижних мочевых путей у женщин была очень успешной с использованием подвздошного резервуара Коха и двухсторонней уретероподвздошной уретростомией (показаниями для цистэктомии были переходноклеточный рак и аденокарцинома мочевого тракта). Достигнуто 100%-ное дневное и ночное удержание мочи: 12 из 14 оперированных мочились произвольно, а две нуждались в прерывистой катетеризации [102].
Рецидив опухоли наблюдали лишь у одной пациентки с обширной мезенхимальной опухолью, потребовавшей операции создания удерживающего кожного резервуара Коха, остальные живы в течение 4 лет наблюдений и полностью удовлетворены лечением.
Возможно, отличные клинические и функциональные результаты, полученные при ортотопическом отведении мочи у женщин Stein J. P. (1997), объясняются тщательным отбором больных для этих операций с обязательной предоперационной оценкой состояния шейки мочевого пузыря и интраоперационным анализом замороженных срезов дистального края при цистэктомии. Авторы считают, что точное мониторирование остающейся части уретры обязательно у всех женщин, направляемых на удерживающее отведение [102].
Осложнения после радикальной цистэктомии и отведений мочи наблюдаются у 25-35% больных: инфицирование раны (10%), обструкция кишки (10%), кровотечения и стенозы анастомозов наблюдаются, по данным различных авторов, в диапазоне 1,5-29% [47].
Lugagne P. M. с соавт. (1997) считают, что в течение первого года после операции сложно отличить истинный стеноз от отека, и называют U-образный пузырь фактором, уменьшающим риск обструкции. Эта техника требует минимальной диссекции подвздошной части мочеточника [83].
Анализ различных видов отведений мочи после цистэктомии позволил Kakizoe T. (1990) сделать следующие заключения.
1. Отведение мочи после цистэктомии в проводник из подвздошной кишки требует ношения внешнего приспособления.
2. Удерживающий подвздошно-кишечный резервуар (Kock pouch) связан с наличием стомы, которая периодически катетеризируется, имеет технические сложности операции и возможные осложнения функционирования эфферентного ниппельного сосцевидного клапана.
3. Уретеросигмостомия является безопасной и простой операцией, обеспечивающей удержание мочи, но сопряжена с нарушением электролитного баланса, мочевой инфекцией, образованием камней почек и др., что ограничивает показания к ее проведению.
4. Создание искусственного мочевого пузыря из детубулиризированного сегмента толстой, подвздошной, либо сигмовидной кишки обеспечивает достижение дневного к 3 месяцам и ночного к 6 месяцам удержания мочи без нарушений баланса электролитов сыворотки, за исключением единственного случая умеренной гиперхлоремии (кислотный баланс и функцию почки наблюдали до 27 месяцев) [75].
- Опыт выполнения цистэктомии у 140 больных раком мочевого пузыря (рецидивные, множественные и большие опухоли с вовлечением устьев мочеточников и шейки) позволил проанализировать эффективность различных операций:
- отведение мочи на кожу и в кишечник на протяжении имеет массу недостатков;
- тонкокишечная пластика с мочеиспусканием через уретру сопряжена с ранними тяжелыми осложнениями (некроз кишечного трансплантата и перитонит или флегмона таза, недержание мочи или перемежающееся затруднение мочеиспускания, образование камней в искусственном пузыре, рубцовые изменения соустьев трансплантата с уретрой и мочеточниками);
- операция Бриккера усовершенствована для создания удержания мочи (проведение кишечного сегмента через прямую мышцу живота), при этом осуществляется самокатетеризация кишечного сегмента.
- илеокутанеостомия по Бруку не предусматривает удержания мочи и имеет местные осложнения (выпадение и западение илеостомы, стриктура, параилеостомическая грыжа, перистомальный дерматит) [7].
В задачи реконструкции нижних мочевых путей входит не только отведение мочи и защита ВМП, но и обеспечение самопроизвольного мочеиспускания [102; 103]. Уродинамические исследования после операций цистопростатэктомии по поводу рака мочевого пузыря и его замещения детубуляризированным подвздошно-кишечным сегментом по Studer-Zingg показали, что для достижения полной реабилитации после операции больные должны быть хорошо инструктированы в плане тренировки для предотвращения перерастяжения нового резервуара путем регулярного мочеиспускания для достижения удержания. Емкость пузырей была нормальной у всех оперированных, давление обычно 15 см вод. ст., за исключением одного, у которого превышало 35 см и наблюдалось дневное и ночное недержание мочи [95].
Замещение мочевого пузыря после радикальной цистэктомии по поводу рака резервуаром Hautmann обеспечило хорошие результаты спустя 6-24 месяцев [57].
Удержание мочи достигается хорошей тренировкой и зависит от содействия пациента, что позволяет обеспечить удовлетворительное дневное и ночное удержание. Неблагоприятные последствия этого вида пластики, по мнению Gattegno B. (1990), состоят в отдаленном будущем в риске неполного опорожнения и чрезмерного растяжения искусственного пузыря [61].
Качественные характеристики жизни у пациентов с различными формами отведения мочи после цистэктомии, по мнению Gerharz E. W. (1997), изменяются существенно. Удерживающий стомальный и выбранный ортотопический мочевой резервуары - прогрессивный шаг, заменивший традиционное отведение мочи. Многие технические проблемы могут быть сегодня решены, что способствует также снижению частоты специфических ранних и поздних осложнений [62].
Урологи имеют дело с психологическими и социальными последствиями лечения, а люди хотят жить полноценной общественной, личной и профессиональной жизнью в обществе. Поэтому не только фактор выживаемости играет роль в оценке результатов операции. Анкетирование пациентов в плане оценки ими качества жизни показало, что удерживающее отведение по всем пунктам оказывается предпочтительнее цистостомии.
Таким образом, по данным литературы, на выбор способа пластики после цистэктомии влияют:
1) объем оставшейся ткани мочевых путей и ее функциональная полноценность;
2) общее физическое и психологическое состояние пациента;
3) технические навыки хирурга.
После пластической операции большое значение имеет поведение больного. У пациентов с одинаковыми физиологическими характеристиками успех операции может определяться отношением каждого пациента, его обязательностью в выполнении послеоперационных рекомендаций и мануальной сноровкой. При оценке функции мочеиспускания у пациентов с артифициальным мочевым пузырем следует принимать во внимание:
1) функцию нижних мочевых путей (мочевого пузыря, мочеиспускательного канала), согласованность или разобщенность их деятельности);
2) функцию верхних мочевых путей.
Методы оценки функционального состояния мочевых путей целесообразно подразделить на субъективные и объективные.
К субъективным относятся самочувствие больного (дневное и ночное удержание мочи, полноценность ощущения опорожнения мочевого пузыря) согласно индивидуальной оценке больного и врача (анамнез), полноценность его жизни, психологическая и социальная адаптация.
Объективными методами являются результаты общеклинических анализов крови и мочи, расширенных биохимических и других лабораторных исследований, функциональные методы оценки уродинамики (ультразвуковая, рентгенологическая и радиоизотопная диагностика, цистометрия, флоуметрия).
Эти методы характеризуют состояние анастомозов и емкость резервуара, состояние верхних мочевых путей.
Ультразвуковые методы в комплексной диагностике функционального состояния артифициального мочевого пузыря позволяют определить объем V-образного резервуара и остаточной мочи. Способ прост, неинвазивен, не имеет противопоказаний и не дает осложнений. Он позволяет получать данные об анатомо-функциональном состоянии исследуемого органа [31].
Для выявления функциональной полноценности почек у больных после цистэктомии с замещением мочевого пузыря изолированным сегментом кишечника предпочтение следует отдавать радиоизотопной ренографии, так как биохимические исследования, направленные на определение степени почечной недостаточности, и экскреторная урография не обнаруживают отклонений от нормы у большинства больных [31].
Дневное и ночное удержание мочи зависят от вида операции (тотальная или субтотальная резекция мочевого пузыря) и конечного объема сформированного кишечного резервуара, который определяется формой этого резервуара и тканью использованного отдела желудочно-кишечного тракта, а также временем, прошедшим после операции. По мнению различных авторов, удержание мочи днем и ночью может достигать 60-97% в разные сроки после операций.
У всех больных, перенесших энтероцистопластику, сохранялось удержание мочи в дневное время. Ночное недержание мочи было свойственно больным, которым кишечная пластика производится после экстирпации мочевого пузыря с резекцией либо с удалением всей предстательной железы. При сохранении шейки мочевого пузыря ночное недержание мочи не наблюдается. Урофлоуметрические исследования показали, что функциональная длина уретры у больных после цистэктомии с резекцией простаты уменьшается (40-50 мм) при сохраненном отрицательном пузырно-уретральном давлении. Замыкательная функция уретры у больных с артифициальным кишечным мочевым пузырем оказывается вполне удовлетворительной, а причиной недержания мочи в ночное время считают гипорефлексию кишечного мочевого резервуара [31].
Согласно данным Французской ассоциации урологов (1987), удержание мочи в дневное время было отличным после операций тубуляризированной илеоцистопластики или удовлетворительным (умеренное недержание напряжения) у 91% пациентов, ночное удержание было отличным (без прокладок, без утечки) или приемлемым (одна прокладка/менее трех подъемов ночью) у 44% пациентов, остальные пользовались специальными приспособлениями. Начиная с 1985 года благодаря детубуляризации улучшились показатели удержания мочи: частота ночного мочеиспускания снизилась с 44-60 до 20% среди оперированных. Замещение мочевого пузыря оказывается предпочтительнее удерживающего отведения мочи у пациентов с сохраненным уретральным и наружным сфинктерами. Дневное удержание различно в де- и недетубуляризированных кишечных резервуарах.
Объем сформированного мочевого резервуара определяется размером взятого для пластики отдела желудочно-кишечного тракта, вида ткани, “жизнеспособностью” трансплантата и временем после пластики. Объем и форма артифициального мочевого пузыря являются анатомическим (структурным) показателем, определяющим такой важный функциональный критерий, как внутрипузырное давление.
Создание нового пузыря низкого давления из детубуляризированного сегмента тазового отдела толстой кишки при раке мочевого пузыря после радикальной цистпростатэктомии является приемлемой процедурой для сохранения комфортности жизни и обеспечивает защиту верхних мочевых путей от повреждений из-за рефлюксов.
Период адаптации толстокишечного трансплантата, при наблюдении за динамикой нормализации накопительной функции артифициального мочевого пузыря, — более короткий, чем тонкокишечного. Уже через 6 месяцев максимальная емкость артифициального мочевого резервуара составляет 226-334 мл, тонкокишечного через год - 320 мл. Чем раньше восстановлено уретральное мочеиспускание, тем быстрее происходит адаптация кишечного мочевого пузыря к новым условиям [31].
Лоран О. Б., Зайцев А. В. считают, что восстановление эвакуаторной функции артифициального мочевого пузыря происходит быстрее у пациентов с округлой формой резервуара. Через 1-1,5 месяца после операции остаточной мочи практически не определяли, в то время как в “петлевых” пластиках в отдельных случаях ее объем может составить 100 мл. В ранние сроки после операции наблюдается выделение кишечной слизи с мочой, однако ее продукция в тонкой кишке более выраженна, чем в толстой, и в течение первых месяцев практически прекращается. Нейромеханические осложнения илеоцистопластики, проявившиеся нарушением его эвакуаторной функции, имели место у двух пациенток после “петлевых” пластик, и повторные операции с детубуляризацией созданной ранее артифициальной части восстановили у них адекватное произвольное мочеиспускание [24].
Выбор отдела кишечника, используемого для реконструкции мочевого пузыря, имеет чрезвычайно большое значение и определяет функциональные результаты оперативного вмешательства. Предпочтительнее оказывается подвздошная кишка, хирургическая анатомия которой дает возможность выполнять различные варианты цистопластики, так как она имеет хорошо выраженную и мобильную брыжейку, достаточную длину и менее инфицирована по сравнению с толстой кишкой. Тип и размер отдела желудочно-кишечного тракта, взятого для создания нового мочевого резервуара, непосредственно влияет на рН, содержание азота (мочевины) и на бактериурию.
Рак мочевого пузыря: случай успешного лечения мужчины с сахарным диабетом
15 октября 2021 года в клинику «Семейная» в Рязани обратился 67-летний мужчина с жалобами на зуд и белый налёт на головке полового члена.
Жалобы
Помимо зуда пациента беспокоило затруднённое мочеиспускание, сгустки крови в моче и раздваивание струи.
Анамнез
Впервые болезнь дала о себе знать в 2019 году. Тогда мужчина обратился в городскую клиническую больницу. У пациента нашли полип мочевого пузыря и провели операцию, после чего он 2 года не обращался в больницу.
Накануне появления крови в моче мужчина выпил алкоголь и съел солёную рыбу. Тогда же появились и другие симптомы.
Курит с 15 лет по 1-2 пачки сигарет в день. Выпивает алкоголь 2-3 раза в неделю, предпочитает пиво. Работает охранником в клинике. Болеет сахарным диабетом 2-го типа и принимает сахаропонижающие препараты (глюкозурики).
Обследование
При осмотре кожа обычного цвета. Живот мягкий и безболезненный. Простукивание поясницы с обеих сторон не вызывало дискомфорт. Почки и мочевой пузырь не прощупывались. Наружные половые органы развиты по мужскому типу, головка покрыта густым белым налётом.
Предстательная железа на ощупь была тугоэластичной, увеличенной и безболезненной, междолевая борозда — сглаженной.
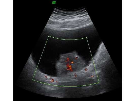
- по правой боковой стенке — светло-серое (изоэхогенное) неоднородное образование с нечёткими неровными контурами и единичными очагами кровотока размером 45×35 мм;
- содержимое мочевого пузыря — мелкодисперсная взвесь.
- лейкоциты — 6-9 в п/зр;
- белок — ++;
- глюкоза — 20+;
- эритроциты — сплошь покрывают все поля зрения;
- бактерии — +++.
- уретра — свободна, проходима;
- ёмкость мочевого пузыря — 230 мл;
- слизистая мочевого пузыря бледно-розовая, по правой боковой стенке — неровное образование бледно-розового цвета на широком основании;
- устья в типичном месте, щелевидные.
Диагноз

Лечение
Пациенту назначили операцию по удалению опухоли мочевого пузыря, перед которой мужчина прошёл медикаментозное лечение:
- кровоостанавливающие препараты — 5 дней;
- местные и системные противогрибковые средства — 7 дней;
- уросептики — 2 недели.
Послеоперационный период протекал без осложнений. Химиотерапию перенёс хорошо. Чтобы скорректировать лечение диабета, мужчину направили на дополнительную консультацию к эндокринологу.
Пациент отметил, что на фоне терапии ему стало лучше, после чего мужчину выписали из больницы. Чтобы наладить мочеиспускание, мужчине посоветовали увеличить количество потребляемой жидкости и исключить из рациона солёную и насыщенную специями пищу, жирные, жареные и копчёные продукты, наваристые бульоны, выпечку из сдобного и слоёного теста.
- в течение 2-3-х недель не заниматься спортом;
- воздержаться от сексуальной активности;
- не напрягаться во время дефекации;
- при необходимости принимать слабительное.
Заключение
Этот клинический случай подтверждает необходимость ежегодного обследования как для выявления новых болезней, так и для коррекции лечения сопутствующих заболеваний. Например, нельзя долго принимать глюкозурики. При этом высокий уровень глюкозы в моче не только поддерживает воспаление, но и «кормит» опухоль. Чтобы лечение было максимально эффективным, необходимо соблюдать рекомендации специалистов.
Рак мочевого пузыря у мужчин: симптомы и лечение
Согласно статистике экспертов из США, рак мочевого пузыря - четвертая по распространенности злокачественная опухоль у мужчин, он входит в десятку причин мужской смертности от онкологических заболеваний.
У представителей сильного пола данное заболевание, хотя и встречается чаще, но зачастую протекает не так агрессивно, как у женщин. Если вовремя обратить внимание на симптомы и обратиться к врачу, рак мочевого пузыря можно выявить на относительно ранней стадии и успешно с ним бороться. Но даже при запущенном раке не стоит сдаваться: больному все еще можно помочь.
Мы знаем, в каких клиниках есть врачи, которые обладают большим опытом в лечении рака мочевого пузыря, подскажем, куда обратиться за помощью. Свяжитесь со специалистом Центра Комплексной Медицины:8 (495) 215-50-60
Причины рака мочевого пузыря у мужчин
Основной фактор риска - курение. Эксперты считают, что оно вызывает примерно половину случаев рака мочевого пузыря. Среди мужчин больше курильщиков, и это, вероятно, отчасти объясняет, почему у представителей сильного пола этот тип рака встречается чаще.
У вас, возможно, сейчас возник вопрос: при чем тут мочевой пузырь, ведь сигаретный дым соприкасается только с легочной тканью? Дело в том, что канцерогены из него проникают в кровь и распространяются в разные органы. У курильщиков повышен риск рака поджелудочной железы, пищевода, желудка и других органов. Если бросить курить, риски снизятся в течение нескольких лет.
Другие факторы риска:
- Возраст. Примерно 90% больных старше 55 лет.
- Близкие родственники, у которых диагностирован рак мочевого пузыря.
- Воздействие токсичных веществ. В группе повышенного риска мужчины, которые работают на предприятиях, где приходится постоянно контактировать с химикатами.
- Хроническое раздражение слизистой: инфекцией и воспалением, камнями, инородными телами.
Виды рака мочевого пузыря у мужчин
Тип опухоли определяют в зависимости от того, какие особенности строения имеют раковые клетки при изучении под микроскопом:
- Чаще всего - в 90-95% случаев - встречаются уротелиальные карциномы (уротелиальный рак). Именно они сильнее всего связаны с курением. Выделяют два подтипа уротелиальных карцином: папиллярные и плоские.
- На аденокарциномы приходится 1-2%. Их главная причина - хроническое воспаление и раздражение слизистой оболочки.
- Еще 1-2% приходятся на плоскоклеточный рак. Он тоже возникает из-за воспаления и раздражения.
В мочевом пузыре встречаются и другие злокачественные опухоли, но намного реже.
Симптомы рака мочевого пузыря у мужчин
Основной признак рака мочевого пузыря у мужчин - примесь крови в моче. Она появляется эпизодически и хорошо заметна. Моча приобретает кровавый цвет. Как правило, боли при этом не беспокоят. Симптом возникает, затем на некоторое время исчезает, из-за этого многие не обращаются к врачу, считая, что «прошло само».
Иногда крови настолько мало, что заметить ее внешне невозможно, она обнаруживается лишь с помощью анализов. Если в мочевом пузыре образуются кровяные сгустки, которые нарушают отток мочи, беспокоят боли.
Другие возможные симптомы:
- Частые мочеиспускания.
- Жжение во время мочеиспусканий.
- Сильные, мучительные позывы.
- Нарушение оттока мочи.
При раке мочевого пузыря у мужчин 4 стадии присоединяются дополнительные симптомы. Если возникают костные метастазы, появляются боли в костях. Если опухоль распространяется в легкие, беспокоит хронический упорный кашель, в мокроте появляется примесь крови.
Стадии рака мочевого пузыря у мужчин
Поначалу опухоль небольшая, находится на поверхности слизистой, не прорастает глубже и может быть легко удалена. Это - стадия 0 или «рак на месте» (in situ). С каждой новой стадией опухоль все сильнее
прогрессирует, и с ней все сложнее бороться:
- Стадия 1: новообразование глубже проросло в стенку органа, но пока не добралось до слоя мышц.
- Рак мочевого пузыря у мужчин 2 стадии пророс в мышечный слой стенки, но пока не затронул жировую ткань, которая находится вокруг мочевого пузыря, и лимфоузлы.
- Стадия 3: опухоль проросла в соседние ткани, простату, близлежащие лимфоузлы.
- Стадия 4 - это рак мочевого пузыря у мужчин с метастазами (подстадия 4B) или опухоль, которая проросла в стенки таза, брюшной полости, распространилась в лимфоузлы за пределами таза (подстадия 4A).
Диагностика рака мочевого пузыря у мужчин
Обычно, если мужчина обращается к врачу с симптомами, описанными выше, в первую очередь назначают анализ мочи. Он помогает проверить, есть ли в моче примеси крови и признаки воспаления. Далее могут быть назначены следующие методы диагностики:
- Цитологическое исследование мочи: в ней пытаются обнаружить раковые клетки.
- УЗИ помогает выявить опухоль и другие патологии (камни, воспаление, увеличение простаты).
- КТ и МРТ позволяют получить более точную картину по сравнению с УЗИ, оценить размеры, количество и расположение опухолей.
- Во время цистоскопии врач вводит в мочевой пузырь через уретру специальный инструмент с видеокамерой - цистоскоп - и осматривает слизистую оболочку. Обнаружив патологически измененные участки слизистой, можно провести биопсию.
Лечение рака мочевого пузыря у мужчин
Выбор тех или иных методик лечения зависит от стадии и степени агрессивности рака.
Хирургия
Операция при раке мочевого пузыря у мужчин - основной метод лечения. Если опухоль не успела прорасти в мышечный слой, можно выполнить ее трансуретральную резекцию. Разрез во время этой операции не нужен. Врач вводит через уретру специальный инструмент с петлей и удаляет новообразование. Иногда для этого применяют лазер. После операции в мочевой пузырь может быть на час введен раствор химиопрепарата, чтобы уничтожить раковые клетки, которые остались внутри, и предотвратить рецидив.
Если опухоль успела достаточно сильно вырасти, прибегают к цистэктомии - полному или частичному удалению мочевого пузыря у мужчин при раке. Обычно вместе с мочевым пузырем удаляют часть мочеточников, ближайшие лимфатические узлы, предстательную железу и семенные пузырьки. В дальнейшем выполняют реконструктивно-пластическую операцию. Например, если мочевой пузырь полностью удален, врач может заменить его на резервуар из отрезка кишки, к которому подсоединит концы мочеточников и мочеиспускательного канала.
Последствия операции при раке мочевого пузыря у мужчин. Хирург может сохранить нервы, которые отвечают за эрекцию. Тем не менее, всегда есть риск эректильной дисфункции.
Химиотерапия при раке мочевого пузыря у мужчин
При системной химиотерапии обычно применяют комбинацию из двух препаратов. Этот вид лечения назначают в следующих случаях:
- Перед операцией, чтобы уменьшить опухоль и упростить ее удаление.
- После операции, чтобы снизить риск рецидива.
- Вместе с лучевой терапией, когда операция невозможна.
Лучевая терапия
Иммунотерапия
Иммунопрепараты активируют иммунную систему и заставляют ее бороться с опухолевой тканью. Внутрь мочевого пузыря можно ввести вакцину БЦЖ или интерферон. Внутривенно вводят ингибиторы контрольных точек - данные препараты блокируют молекулы, которые мешают иммунной системе атаковать раковые клетки.
Сколько живут мужчины с раком мочевого пузыря?
Прогноз при раке мочевого пузыря у мужчин определяется стадией и степенью агрессивности опухоли, возрастом, состоянием здоровья, сопутствующими заболеваниями. Используют специальный показатель - пятилетнюю выживаемость - он обозначает процент пациентов, выживших в течение 5 лет.
Пятилетняя выживаемость при раке мочевого пузыря у мужчин на разных стадиях составляет:
- На стадии 0: 98%.
- На стадии I: 88%.
- На стадии II: 63%.
- На стадии III: 46%.
- На стадии IV: 15%.
В какой клинике можно получить наилучшее лечение?
Обратитесь за помощью к специалистам Центра Комплексной Медицины. Мы подберем оптимальную в вашем случае клинику и врача. Мы сотрудничаем с лучшими онкоцентрами России, а при необходимости порекомендует, куда можно обратиться за границей.
Рак мочевого пузыря: симптомы, стадии, лечение
Рак мочевого пузыря развивается из слизистой оболочки органа. Он бывает разных типов: чаще всего встречается уротелиальная карцинома, реже - папиллярные карциномы, плоскоклеточный рак, аденокарциномы. Мужчины страдают реже, чем женщины, но у женщин такие опухоли обычно более агрессивны.
Мы знаем, где можно получить наиболее эффективное лечение при раке мочевого пузыря. Свяжитесь со специалистами Центра Комплексной Медицины, и мы подберем для вас подходящего врача, подскажем, в какую клинику в Москве лучше обратиться:8 (495) 215-50-60
Причины рака мочевого пузыря
Риск возникновения опухоли повышают следующие факторы:
- Курение
Самый главный фактор риска. У курильщиков риск рака мочевого пузыря повышен примерно в три раза. - Профессиональные вредности
Работники некоторых предприятий контактируют с химикатами, которые повышают риск опухоли. - Недостаточное поступление жидкости в организм
Люди, которые постоянно пьют много воды, реже болеют. Считается, что снижению рисков способствуют частые опорожнения органа, во время которых вымываются вредные вещества. - Возраст
Примерно 90% больным больше 55 лет. - Воспаление и хроническое раздражение слизистой мочевого пузыря
Злокачественному перерождению клеток способствует хронический цистит, камни в мочевом пузыре, катетеры, установленные на длительное время. - Врожденные аномалии мочевого пузыря
- Неблагоприятная наследственность (рак мочевого пузыря у близких родственников)
- Мутации в некоторых генах : RB1, PTEN.
- Длительный прием химиопрепарата циклофосфамида, лучевая терапия в области таза.
Факторы риска лишь повышают вероятность заболевания, но не вызывают его со стопроцентной вероятностью.
Признаки рака мочевого пузыря
Характерный симптом рака мочевого пузыря на ранних стадиях - примесь крови в моче. Из-за этого моча приобретает розовый, оранжевый или темно-красный цвет. Иногда крови настолько мало, что она не видна визуально, но ее можно обнаружить с помощью анализа.
Другие возможные проявления: частые мочеиспускания, боль и жжение во время посещения туалета, мучительные позывы, слабая струя мочи. Аналогичные симптомы возникают при мочеполовых инфекциях, поэтому распознать по ним рак зачастую непросто.
На поздних стадиях мочеиспускания становятся невозможны, возникает боль в пояснице, постоянное чувство усталости, отеки на ногах, боли в костях, снижается аппетит и вес. Такие проявления характерны для рака мочевого пузыря с метастазами.
Степени рака мочевого пузыря
Стадию рака определяют в зависимости от того, насколько глубоко опухоль успела прорасти в стенку органа, распространилась ли она в лимфатические узлы, имеются ли отдаленные метастазы:
- Рак мочевого пузыря 1 стадии ограничивается слизистой оболочкой, он не врастает в мышечный слой стенки органа.
- Рак мочевого пузыря 2 стадии врастает в мышечный слой, но не прорастает в жировую клетчатку, которая окружает мочевой пузырь, не распространяется в регионарные лимфоузлы, нет метастазов.
- Рак мочевого пузыря 3 стадии прорастает в жировую клетчатку, либо распространяется в регионарные лимфоузлы. При этом нет отдаленных метастазов.
- Рак мочевого пузыря 4 стадии прорастает в стенку брюшной полости или таза, либо имеются отдаленные метастазы.
От стадии зависит тактика лечения и прогноз.
Операция при раке мочевого пузыря
Варианты хирургического лечения зависят от стадии рака:
- Если имеется небольшая поверхностная опухоль, можно выполнить трансуретральную резекцию мочевого пузыря. Для этого вмешательства не требуется разрез, и даже не всегда нужна общая анестезия. Хирург вводит через мочеиспускательный канал специальный инструмент и удаляет им опухоль.
- Если опухоль проросла в мышечный слой, но имеет небольшие размеры, орган можно попытаться сохранить. Хирург выполняет резекцию: удаляет только пораженную часть мочевого пузыря, а также ближайшие лимфатические узлы. Их отправляют на биопсию, чтобы проверить, нет ли в них раковых клеток.
- Чаще всего приходится выполнять удаление мочевого пузыря при раке - цистэктомию. При этом у мужчин удаляют семенные пузырьки и простату, у женщин - верхнюю часть влагалища, матку вместе с ее шейкой и маточные трубы. Также удаляют регионарные лимфоузлы. После такого вмешательства требуется реконструктивно-пластическая операция, чтобы восстановить способность к выведению мочи.
Химиотерапия при раке мочевого пузыря
Врач может назначить химиотерапию перед операцией (неоадъювантную), чтобы уменьшить опухоль в размерах. Адъювантная химиотерапия после операции помогает предотвратить рецидив. При запущенных опухолях химиотерапия становится основным методом лечения - она помогает продлить жизнь больного.
Обычно используют комбинации химиопрепаратов:
- доксорубицин + метотрексат + винбластин + цисплатин;
- цисплатин + гемцитабин;
- карбоплатин, либо доцетаксел, либо паклитаксел;
- цисплатин + метотрексат + винбластин.
Иногда химиопрепараты вводят внутрь мочевого пузыря. Химиотерапию можно применять в сочетании с лучевой терапией - химиолучевая терапия.
Лучевая терапия
Лучевую терапию назначают после хирургического вмешательства, во время которого не был удален весь мочевой пузырь, в качестве основного лечения на ранней стадии (если противопоказано хирургическое вмешательство), для борьбы с болью и другими симптомами на поздних стадиях.
Иммунотерапия
При запущенных опухолях, которые не реагируют на химиотерапию, применяют иммунопрепараты - ингибиторы контрольных точек. Они блокируют молекулы, с помощью которых опухолевые клетки подавляют активность иммунитета. Иногда на ранних стадиях рака в мочевой пузырь вводят вакцину БЦЖ - она стимулирует местные защитные механизмы.
Сколько живут с раком мочевого пузыря?
Прогноз пятилетней выживаемости при раке мочевого пузыря определяется стадией:
- Стадия 1 : 88%.
- Стадия 2 : 63%.
- Стадия 3 : 46%.
- Стадия 4 : 15%.
Куда обратиться за помощью?
В России есть клиники, в которых применяются наиболее современные препараты, врачи работают в соответствии с международными протоколами. В Москве доступны те же методы лечения рака мочевого пузыря, что и за рубежом. Центр Комплексной Медицины работает с лучшими онкологическими клиниками столицы:
Карцинома мочевого пузыря
Карцинома мочевого пузыря - что это такое и сколько проживёт человек? Карцинома является разновидностью рака мочевого пузыря. У мужчин рак злокачественная опухоль возникает чаще, чем у женщин. Преимущественно карцинома встречается в возрасте от 40 до 60 лет. Для лечения больных карциномой созданы все условия в Юсуповской больнице:
- Палаты любого типа и степени комфортности;
- Диагностическая аппаратура ведущих фирм США и западноевропейских стран;
- Высокая квалификация врачей;
- Профессионализм и внимательное отношение персонала к пожеланиям пациентов;
- Диетическое питание, которое по качеству не отличается от домашней кухни.
Пациенты Юсуповской больницы имеют возможность проходить сложные диагностические и лечебные процедуры в клиниках-партнёрах и на кафедрах медицинских институтов. Благодаря программам исследований, которые проводятся на базе Юсуповской больницы, пациенты могут получать лекарственные препараты, которые отсутствуют в других онкологических клиниках.
Прогноз пятилетней выживаемости улучшается при ранней диагностике заболевания. К неблагоприятным факторам прогноза инвазивных карцином относят множественность поражения, размеры опухоли более трёх сантиметров, наличие фоновых изменений в виде карциномы ин ситу мочевого пузыря, что повышает риск развития рецидива. Урогенитальный рак мочевого пузыря характеризуется инфильтративным ростом уже на стадии выявления заболевания. В таком случае прогноз особенно неблагоприятный.

Причины
Карцинома мочевого пузыря возникает под воздействием следующих повреждающих факторов:
- Канцерогенов (никотина, бензола или анилиновых красителей);
- Отягощённой наследственностью;
- Онкогенными вирусами.
У женщин происходит инфицирование мочевого пузыря вследствие короткой уретры, вследствие чего развивается урогенитальная карцинома мочевого пузыря.
Стадии и виды
Различают 4 стадии карциномы мочевого пузыря. О нулевой стадии онкологи говорят в том случае, когда в мочевом пузыре обнаруживаются раковые клетки, которые не фиксировались в слизистой оболочке органа. На первой стадии опухоль проникает в глубину слоёв стенки органа, но не затрагивает мышечный слой. При второй стадии новообразование поражает мышечный слой, но не прорастает в него. Третья стадия заболевания характеризуется прорастанием стенки мочевого пузыря. На четвёртой стадии карциномы опухоль прорастает все слои стенки мочевого пузыря, распространяется в окружающую орган жировую клетчатку, метастазирует в лимфатические узлы и внутренние органы.
Различают 3 степени карциномы мочевого пузыря:
- Уротелиальная карцинома мочевого пузыря g1 (прогноз оптимистичный) характеризируется тем, что клетки опухоли почти ничем не отличаются от здоровых. клеток, и именно поэтому она является уротелиальной карциномой мочевого пузыря. Опухоль низкой степени злокачественности. Она обладает небольшим уровнем роста и не имеет тенденции к распространению;
- Инвазивная уротелиальная карцинома мочевого пузыря g2 - клетки опухоли отличаются от здоровых, опухоль быстро растёт и распространяется по организму;
- Уротелиальная карцинома мочевого пузыря g3 является наиболее опасным видом злокачественной опухоли, быстро прогрессирует и даёт метастазы.
Папиллярная уротелиальная карцинома мочевого пузыря образуется из доброкачественных опухолей с высоким потенциалом малигнизации. Плоскоклеточная метаплазия часто встречается в карциномах высокой степени анаплазии. При веретеноклеточном варианте онкологи нередко выявляют регионарные и отдаленные метастазы. В случае превалирования лимфоэпителиомоподобного варианта прогноз относительно благоприятен. Такие варианты уротелиальной карциномы, как микропапиллярная, саркомоподобная, с железистой дифференцировкой, имеют худший прогноз.
Переходно-клеточная карцинома - наиболее часто встречающийся вид рака мочевого пузыря. Опухоль развивается из клеток переходного эпителия. Агрессивным клиническим течением отличаются мелкоклеточная, перстневидноклеточная, плоскоклеточная карциномы. Инвазивная уротелиальная карцинома мочевого пузыря буквально прорастает стенку органа.
Оценку степени распространённости опухоли онкологи Юсуповской больницы проводят в соответствии с классификацией по системе TNM. Чаще всего предварительную клиническую стадию устанавливают по данным цистоскопии, ультразвукового и гистологического исследования биопсийного материала.
При неинвазивных поражениях слизистой мочевого пузыря базальный слой уротелия сохраняет ровный чёткий контур. Под ним находится непрерывная базальная мембрана. В участках инвазии контур утрачивается. В области последней отмечаются явления фиброза и воспалительная инфильтрация.
Злокачественная опухоль, инфильтрирующая строму «широким фронтом», менее агрессивна, чем та, которая имеет «щупальцеобразный» рост. Выделяют и другие других формы инвазивного роста злокачественного новообразования:
- Микропапиллярный;
- Микрокистозный;
- Гнёздный.
Уротелиальная карцинома мочевого пузыря принципиально отличается от прогрессирующих поверхностных карцином по своим молекулярно-патогенетическим механизмам развития.
Симптомы и диагностика
Длительное время карцинома мочевого пузыря протекает бессимптомно. Типичными признаками рака мочевого пузыря являются появление крови в моче и боль при мочеиспускании. Если опухоль препятствует прохождению мочи из почек в мочевой пузырь, развивается дисфункция почек. Она выражается болью в поясничной области. Если новообразование блокирует уретру, процесс мочеиспускания становится весьма затруднительным.
Гематурия (появление крови в моче) бывает первой жалобой у 90% пациентов. Гематурия характеризуется наличием эритроцитов в моче. Микрогематурию обнаруживают только при проведении микроскопического исследования. Макрогематурию можно увидеть, поскольку моча приобретает красный или ржавый цвет.
Учащённое, болезненное мочеиспускание, затруднённое начало, неприятные ощущения после мочеиспускания встречаются у 25% пациентов. Отёк наружных половых органов, ног возникает при сдавливании вен лимфатических сосудов. Боль в тазу и животе наблюдается при запущенной опухоли.
Симптомы карциномы мочевого пузыря неспецифичные и встречаются при других болезнях мочевыводящих путей. Только опытный специалист определит настоящую причину присутствия крови в моче и назначит адекватное лечение. Юсуповская больница оснащена современной аппаратурой для проведения качественной диагностики. Чем раньше обнаружена болезнь, тем эффективнее будет лечение карциномы мочевого пузыря и тем лучше прогноз.
При подозрении на карциному мочевого пузыря онкологи проводят комплексное обследование пациента с помощью следующих методов:
- Цитологического исследования мочи;
- Компьютерной томографии брюшной полости;
- Ультразвукового исследования.
Для оценки распространения заболевания проводят дополнительные диагностические процедуры: остеосцинтиграфию, рентгенологическое исследование органов грудной клетки. В Юсуповской больнице существует возможность проведения всех диагностических исследований для достоверного выявления патологии мочевого пузыря с помощью новейшей аппаратуры с высокой разрешающей способностью.
Онкологи Юсуповской больницы проводят комплексное лечение карциномы мочевого пузыря. Оно включает хирургические, медикаментозные и лучевые методы. Лечебную тактику определяют на заседании Экспертного Совета с участием профессоров и врачей высшей категории. Основным оперативным вмешательством является трансуретральная резекция мочевого пузыря. Его выполняют на ранней стадии заболевания. В последующем проводят иммунотерапию или лучевое лечение.
Если опухоль прорастает в большую часть стенки мочевого пузыря, хирурги выполняют радикальную цистэктомию (удаление мочевого пузыря) с последующей пластикой (формированием искусственного мочевого пузыря из толстой или тонкой кишки). Пластическая операция позволяет восстановить мочеиспускание естественным путем. Лучевое и химиотерапевтическое лечение используют дополнительно к оперативному вмешательству для предотвращения возврата заболевания.
Внутрипузырная химиотерапия снижает риск возникновения местных рецидивов. Химиотерапевты назначают пациентам цитостатические препараты до и после оперативного вмешательства, что увеличивает безрецидивный период и является наиболее эффективным методом лечения распространённой карциномы мочевого пузыря. Стандартный индукционный курс БЦЖ состоит из 6 еженедельных инстилляций. У 40-60 % больных возникает необходимость в проведении повторного курса
Лучевая терапия помогает уменьшить размеры опухоли. Это облегчает оперативное вмешательство. Облучение опухоли выполняют при кровотечении. Радиотерапия заметно снижает боль при метастазах в костях.
По окончании лечения пациенты находятся под наблюдением онколога Юсуповской больницы. Это позволяет своевременного выявить возможный рецидив заболевания. После осмотра пациента онколог назначает общий анализ и цитологическое исследование мочи, анализ крови. При наличии показаний выполняет цистоскопию и применяет рентгенологические методы диагностики.
Профилактика
Профилактика рака мочевого пузыря включает:
- Устранение профессиональных вредностей;
- Защиту от промышленных канцерогенов (ношение защитной одежды, исключение непосредственного контакта с химикатами);
- Радикальное лечение всех доброкачественных папиллом мочевого пузыря;
- Адекватная терапия цистита;
- Отказ от курения;
- Употребление достаточного количества жидкости;
Получить ответы на вопросы, касающиеся диагностики и лечения карциномы мочевого пузыря, уточнить стоимость операции вы можете по телефону. Контакт центр Юсуповской больницы работает круглосуточно 7 дней в неделю.
Читайте также:
- Диагностика тромбоэмболии легочной артерии. Неотложная помощь при тромбоэмболии легочной артерии.
- КТ, МРТ при внутричерепном идиопатическом воспалительном псевдотуморе
- Выделения у женщин с запахом. Нормальный запах выделений
- Палеоспинальный путь передачи боли. Палеоспиноталамический путь боли
- Частота рака легких. Эпидемиология рака легкого
