Рак прямой кишки. Признаки прямой кишки
Добавил пользователь Евгений Кузнецов Обновлено: 10.01.2026
Рак прямой кишки - злокачественное новообразование, связанное с повышенным риском местного рецидива. Большая сложность объясняется непростыми анатомическими особенностями прямой кишки:
- Ограничением костными структурами таза;
- Расположением вблизи от мышц тазового дна и других органов;
- Наличием анального сфинктера, нескольких уровней кровоснабжения и оттока лимфы в различных направлениях.
Это ухудшает прогноз после лечения заболевания.
Врачи Юсуповской больницы проводят диагностику рака прямой кишки, ранних метастазов и рецидивов с помощью новейшей аппаратуры ведущих мировых производителей. Онкохирурги выполняют радикальные операции, иссекают опухоль в пределах здоровых тканей.
После операции назначают новейшие химиотерапевтические препараты, которые уничтожают раковые клетки. Первичный очаг и пути метастазирования облучают с помощью современных аппаратов для радиотерапии. Всё это в комплексе позволяет улучшить прогноз выживаемости после операции по поводу рака прямой кишки 2,3 и 4 стадии.

Особенности лечения рака прямой кишки
Врачи Юсуповской больницы проводят мультидисциплинарное лечение рака прямой кишки. Проводится радикальное или местное лечение, выполняются сфинктеросохраняющие операции или брюшно-промежностная экстирпация прямой кишки с открытого доступа или лапароскопическим путём. Для прогноза заболевания имеют значение следующие факторы:
- Опыт хирурга;
- Хирургическая техника;
- Оценка распространённости опухоли на предоперационном этапе.
Хирурги Юсуповской больницы имеют большой опыт выполнения оперативных вмешательств на прямой кишке, виртуозно выполняют все разработанные сегодня операции. До начала хирургического лечения проводится комплексное обследование пациента. Оно включает анализ жалоб и истории развития болезни, пальцевое исследование прямой кишки, ректороманоскопию. Для определение регионарных и отдалённых метастазов выполняют ультразвуковое исследование, компьютерную и магнитно-резонансную томографию.
В соответствии с рекомендациями Национального Института Рака проводят предоперационную или послеоперационную лучевую терапию, в основном в комбинации с химиотерапевтическим лечением. Она улучшает локальный контроль над опухолью, несмотря на то, что не всегда увеличивает общую выживаемость при раке прямой кишки.
Для того чтобы улучшить прогноз выживаемости при раке прямой кишки в Юсуповской больнице во время операции определяют проксимальную границу прямой кишки (место слияния теней). Эндоскопическое определение наиболее важно для назначения неоадъювантной терапии в случае, если опухоль находится на расстоянии 15 см над краем анального канала по отметкам на ригидном ректоскопе.
Классификация рака прямой кишки tnm
В России принята TNM классификация рака прямой кишки. Выделяю 4 стадии рака прямой кишки.
Критерий Т обозначает «опухоль». Тx устанавливают в том случае, когда недостаточно данных для оценки первичной опухоли. Tis - это преинвазивная карцинома. При T1опухоль распространяется в подслизистый слой стенки кишки. Т2 обозначает, что новообразование распространяется на мышечный слой прямой кишки и не прорастает её стенку. Если опухоль прорастает все слои стенки кишки с распространением в жировую клетчатку без поражения соседних органов, онкологи применяют обозначение Т3. Для новообразований, расположенных в верхнеампулярном отделе прямой кишки и ректосигмоидном отделах ободочной кишки (покрытых брюшиной), символ Т3 характеризует распространение раковой опухоли до субсерозного слоя. Она не прорастают серозную оболочку.
На стадии Т4 новообразование прорастает в окружающие органы и ткани или серозную оболочку при локализации в верхнеампулярном отделе прямой кишки и ректосигмоидном отделах ободочной кишки (покрытых брюшиной). Т4а обозначает прорастание висцеральной брюшины, Т4б - прорастание в другие органы.
Критерий N - лимфатический узел. Nх говорит о том, что недостаточно данных для оценки регионарных лимфатических узлов. Если нет поражения регионарных лимфатических узлов, состояние обозначают как N0. При N1имеются метастазы в 1-3 регионарных лимфатических узлах:
- N1а - в одном регионарном лимфатическом узле;
- N1б - в двух или трёх лимфатических узлах;
- N1с - имеются диссеминаты в брыжейке без поражения регионарных лимфатических узлов;
- N2 - метастазы в более чем трёх регионарных лимфатических узлах;
- N2а - поражено 4-6 лимфатических узлов;
- N2б - метастазы в семи и более лимфатических узлах.
Критерий M обозначает наличие метастазов:
- МО - отсутствуют признаки отдалённых метастазов;
- М1 - есть отдалённые метастазы;
- М1а - наличие отдалённых метастазов в одном органе;
- М1б - отдалённые метастазы присутствуют более чем в одном органе или по брюшине.
Нулевая стадия рака прямой кишки устанавливается в случае Тis, N0, M0. Первая стадия определяется как T, N0, M0. При IIA стадии ситуация выглядит как Т3, N0, M0, IIB -Т4а, N0, M0, IIC - Т4б, N0, M0. Рак прямой кишки 3 стадия имеет 3 варианта течения:
- IIIA - Т1 - Т2, N1/ N1с M0 или Т1 N2а M0;
- IIIB -Т3 - Т4а N1/ N1с, M0, Т2 - Т3 N2а M0 или Т1 - Т2 N2б M0;
- IIIС - Т4а N2а M0, Т3 - Т4а N2б M0 или Т4б, N1 - N2, M0.
Диагноз «рак прямой кишки 4 степени» устанавливается при любом размере опухоли независимо от количества поражённых лимфатических узлов в случае наличия отдалённых метастазов. Для адекватного стадирования опухоли в Юсуповской больнице проводят исследование как минимум 12-15 лимфоузлов в удалённом препарате, но меньшее число после облучения.
Симптомы рака прямой кишки
На начальной стадии заболевания рак прямой кишки имеет бессимптомное течение. Его выявляют во время рутинного обследования. Наиболее частыми признаками злокачественной опухоли прямой кишки являются следующие симптомы:
- Примесь крови в кале;
- Изменение частоты, консистенции и формы стула;
- Запоры, чередующиеся с поносами;
- Боль в животе;
- Тенезмы (постоянные, режущие, тянущие, жгущие боли в области прямой кишки, без выделения кала).
Боль в прямой кишке полости таза является грозным симптомом. На поздней стадии развития рака прямой кишки возникают осложнения:
- Массивное кровотечение;
- Толстокишечная непроходимость;
- Прободение;
- Прорастание в другие органы;
- Формирование ректовагинального, прямокишечного или ректопузырного свища.
Лимфоваскулярная инвазия, периневральная инвазия, наличие депозитов опухоли вне лимфоузлов относятся к отрицательным прогностическим факторам. При раке прямой кишки 4 стадии продолжительность жизни небольшая.
Прогноз выживаемости при раке прямой кишки
Определение стадии рака прямой кишки имеет первостепенное значение для выработки показаний к оперативному вмешательству, поскольку лучшего способа лечения не существует. Для локализованных опухолей вероятность излечения выше. Вовлечение в патологический процесс регионарных лимфатических узлов резко снижает благоприятный прогноз. Важными показателями являются размер новообразования и глубина его прорастания. Некоторые факторы взаимосвязаны: чем больше размер опухоли, тем более вероятен риск метастазирования в регионарные лимфоузлы.
При выявлении рака прямой кишки первой стадии, или стадии IIA вероятность полного излечения составляет 90%. При стадии II B прогноз пятилетнее выживаемости ухудшается до 70%. Если диагностирован рак прямой кишки 3 стадия, излечиваются 50% больных. Даже при наличии опухоли четвёртой стадии имеют шанс излечиться от 10% до 20% больных. Если вторичные очаги поражения образовались в лёгких или костях, прогноз будет чрезвычайно неблагоприятным. Рак прямой кишки обычно распространяется сначала в лимфатические узлы, а затем - в печень. Если в печени определяется единственный метастаз, его удаляют хирургическим путём. Когда у пациента выявлена высокодифференцированная аденокарцинома прямой кишки, прогноз оптимистичный.
Лечение рака прямой кишки
Когда диагноз и стадия рака прямой кишки не вызывают сомнений, профессора и врачи высшей категории на заседании экспертного совета принимают решение о тактике лечения. Применяют хирургическое лечение, облучение новообразования до и после операции. Химиотерапию проводят в соответствии с международными общепринятыми стандартами.
Пациентам Юсуповской больницы доступны все самые современные методы лечения рака прямой кишки, включая такие, как брюшно-промежностная экстирпация прямой кишки лапаротомическим или лапароскопическим методом, колостомия, хирургическое удаление метастазов в печени.
Брюшно-промежностная экстирпация прямой кишки выполняется под общей анестезией. Сначала хирург-онколог выполняет рассечение передней брюшной стенки и производит отсечение сигмовидной кишки на 10-15 см выше новообразования. Затем нисходящий участок сигмовидной кишки выводит наружу и подшивает к брюшной стенке, формируя колостому для последующего вывода каловых масс.
Затем накладывает швы на рану и выполняет доступ через промежность. Сначала выполняется круговой разрез тканей вокруг заднего прохода, потом удаляет прямую кишку и окружающие её ткани. Промежность наглухо ушивает. После операции прогноз пятилетней выживаемости хороший.
Колостомия - операция, при которой формируется специальное отверстие, которое называется колостома. Через него из организма удаляются каловые массы. Оперативное вмешательство производится после удаления прямой кишки. При необходимости, выполняется пластика прямой кишки. Операции проводят (в абсолютном большинстве случаев) малотравматичным лапароскопическим методом.
Паллиативные резекции выполняются при наличии отдалённых метастазов рака. Они помогают предупредить в послеоперационном периоде такие осложнения, как кровотечения из распадающейся опухоли, выраженный болевой синдром, зловонные, раздражающие ткани кишечные выделения. Тем самым улучшается качество жизни запущенных онкологических больных.
Химиотерапия является одним из методов комбинированного лечения рака прямой кишки. Пациентам проводят адъювантную (дополнительную) химиотерапию после операции при поражении опухолью регионарных лимфатических узлов. Иммуномодулирующая терапия заключается в назначении пациентам после хирургического лечения при отсутствии метастазов в регионарных лимфоузлах цитостатика и иммуномодулятора.
Лучевая терапия используется в качестве предоперационного метода лечения рака прямой кишки (для уменьшения стадийности рака). Облучение проводят после операции для сокращения частоты рецидивов. Радиотерапию используют в качестве основного метода лечения местнораспространённого неоперабельного рака прямой кишки.
Полную информацию о диагностике и лечении этого вида рака Вам предоставят специалисты контакт центра. Звоните по телефону Юсуповской больницы, клиника работает ежедневно и круглосуточно. Вас запишут на консультацию онколога в удобное для вас время.
Рак прямой кишки
Рак прямой кишки - одна из самых серьезных болезней нашей цивилизации, которая занимает 4 место среди всех онкологических патологий и 2-е место среди опухолей желудочно-кишечного тракта.
Рак прямой кишки - что это такое?
Это злокачественное онкологическое заболевание происходит из эпителия прямой кишки. Этой опухоли присущи характерные черты любого злокачественного образования - быстрый рост, прорастание в соседние ткани, метастазирование.
Подвержены болезни мужчины и женщины в равной степени. Рост числа заболевших отмечается с 45 лет, а пик заболеваемости приходится на 75-летних.

О заболевании
Слизистая оболочки конечного участка толстой кишки покрыта цилиндрическим эпителием с большим количеством желез. Их клетки продуцируют слизь. Под влиянием факторов риска появляются патологические клетки с бесконтрольным делением и утратой механизма апоптоза - запрограммированной гибели. Постепенно из них формируется опухоль прямой кишки.
Предположительно установлены причины рака прямой кишки:
- Неправильное питание.
Преобладание в рационе мясной пищи, животных жиров с одновременным дефицитом растительной клетчатки ухудшает прохождение кала, способствует запорам и развитию колоректальных опухолей. - Роль наследственности — замечена при возникновении некоторых форм новообразований.
- Предраковые патологии — полипы, болезнь Крона, неспецифический язвенный колит.
- Иммунодефицитные состояния, карцинома половых органов или молочной железы у женщин.
Виды рака прямой кишки
Тип опухоли определяется ее локализацией:
- Аноректальное расположение характерно для 5-8% случаев.
- Ампулярное встречается чаще других, до 80%. Это патология в самой широкой части кишки.
- Надампулярная локализация до 12% больных.
Характер роста опухоли может быть:
- экзофитный - растет в просвет кишечника;
- эндофитный - прорастает толщу стенки, инфильтрирует ее, может охватывать циркулярно;
- смешанный рост.
По гистологической картине новообразование бывает:
- железистый рак (аденокарцинома);
- солидный;
- перстневидно-клеточный;
- скирр;
- плоскоклеточный.
Симптомы рака прямой кишки, первые признаки
Развитие опухолевого процесса вызывает отдаленные признаки рака прямой кишки:
- слизь и кровь в кале;
- гнойные выделения;
- чувство переполненного кишечника;
- вздутие живота;
- боль в области прямой кишки;
- хроническая усталость, утомляемость;
- анемия;
- потеря веса.
На начальных стадиях проявления болезни может не быть. При выявлении анемии неизвестного происхождения стоит искать причину скрытого кровотечения. Возможно, это рак.
Поздние стадии характеризуются поражением других органов:
- прорастание в соседние органы, образование межорганных свищей;
- гнойно-воспалительные процессы - парапроктит, флегмона малого таза;
- перфорация опухоли надампулярной локализации с развитием перитонита;
- кровотечение.
Как выглядит рак прямой кишки - фото

На фото рака прямой кишки можно заметить, что он значительно сужает просвет кишечника. Это является причиной запоров, переполненного живота, метеоризма.

На этом фото карцинома растет инфильтративно, охватывая стенку.
Диагностика
После обращения к врачу, определяют симптомы, которые беспокоят пациента и позволяют предположить болезнь ректального отдела.
Общий анализ мочи и крови отражают состояние организма, наличие воспаления, анемию, работу почек и мочевого пузыря
Этот метод позволяет выявить опухоли аноректальной локализации. Определяют состояние сфинктера, слизистой оболочки.
Для обследования внутренней поверхности прямой кишки в более удаленных участках:
— ректороманоскопия - изучение кишечника с помощью жесткой трубки с оптическим прибором на конце;
— колоноскопия - исследование с помощью гибкого эндоскопа, позволяет обследовать весь кишечник.
Из подозрительных и измененных участков берут части тканей, которые изучаются на предмет раковых клеток или диспластических предраковых процессов.
Для дифференциальной диагностики рака, обнаружения на ранней стадии изменений, которые могут привести к онкологии.
Для определения распространенности злокачественного процесса. Можно выполнять абдоминально - через брюшную стенку, и трансректально - через анальное отверстие.
Часто возникает сочетание опухолей кишечника с гинекологическими карциномами - раком тела матки, яичников, а также молочной железы.
С применением контрастного вещества. На снимках заметны дефекты наполнения кишечника, патологические разрастания тканей, стенозы, вызванные новообразованием.
Выявляет даже небольшие по размеру патологические очаги, метастазы и инвазию опухоли в соседние органы, ее топографическое положение относительно других структур. Метод безопасен, не создает радиационную нагрузку, в отличие от КТ.
Стадии рака прямой кишки
Течение ракового процесса при отсутствии должного лечения прогрессирует. Стадия определяется по степени поражения самого кишечника, прорастанием ее через стенку, наличием метастазов в лимфоузлах, отдаленных поражениях других органов.
В связи с этим опухоли делят на 4 стадии. Такое распределение универсально для любых злокачественных опухолей.
1 стадия - опухоль небольших размеров, растет на слизистом слое, не поражает соседние органы и лимфоузлы.
2 стадия делится на А и Б. 2А - это поражение от трети до половины окружности кишечной трубки, но растет строго в стенке или просвете, метастазов нет. 2Б - размер очага такой же, но есть метастазы в околокишечных лимфоузлах.
3А - опухоль занимает более половины окружности кишки, прорастает через все слои и околокишечную клетчатку. Могут быть единичные метастазы в ближайших лимфоузлах.
3Б - любой размер опухоли, метастазы в отдаленных лимфоузлах, принимающих лимфу от ректальной области.
4 стадия - метастазы распространяются по внутренним органам и отдаленным лимфатическим узлам. Размер первичной опухоли может быть любой.
Методы лечения рака прямой кишки
Небольшой размер опухоли и ее прорастание только через слизистый и подслизистый слой прямой кишки, не затрагивая мышечный и серозный, позволяет выполнить хирургическое удаление самой опухоли. Иногда возможно проведение операции через кишку с помощью колоноскопа.
Если она проросла в мышечный слой, то показана резекция прямой кишки или экстирпация (полное удаление органа). Также удаляется параректальная клетчатка и лимфоузлы, в которых в 20% случаев уже обнаруживаются метастазы. Для проведения операции используют два доступа - лапаротомия (рассечение брюшной стенки) и лапароскопия (операция с помощью видеооборудования через несколько проколов на животе).
Тип операции выбирается исходя из локализации опухоли. Высокое расположение позволяет провести удаление новообразования и временно вывести конец кишки на брюшную стенку - сформировать колостому для дефекации. Такая манипуляция нужна, если пока сшить между собой концы кишки невозможно. Вторым этапом через некоторое время восстанавливают целостность кишечника.

При низком расположении опухолевого процесса, если ниже ее не осталось здоровых тканей, проводят удаление пораженного участка и анального отверстия, накладывают колостому на брюшную стенку.
Прогноз выживаемости
После проведения радикальной операции выживаемость в течение 5 лет колеблется в пределах 34-68%. На исход лечения влияет стадия, на которой была диагностировна опухоль, состояние самого пациента, его возраст, сопутствующие заболевания.
В зависимости от стадии опухолевого процесса, пятилетняя выживаемость определена следующими цифрами:
- 1 стадия - до 77%;
- 2 стадия - до 73%;
- 3 а стадия - 46%;
- 3 б стадия - 43%.
4 стадия не рассматривается в данной статистике. Радикальные операции зачастую провести невозможно, т.к. метастазы опухоли диссеминрованы по всему организму. Летальный исход зависит от общего состояния больного.
Противопоказания
Операция противопоказана при следующих условиях:
- тяжелые хронические заболевания пациента - артериальная гипертензия, ишемическая болезнь сердца, когда невозможно дать наркоз;
- преклонный возраст пациента;
- запущенные стадии рака.
При распространенном процессе с метастазированием во многие органы применяют паллиативные резекции, направленные на облегчение состояния больного. Симптоматические операции - наложение обходных анастомозов, чтобы разгрузить кишечник и избежать осложнений на последних стадиях рака.
Лечение до и после операции
Химиотерапия и лучевая терапия показаны для больных с опухолями 2 и выше стадиями.
Если до операции были выявлены метастазы в нескольких лимфоузлах, а опухоль проросла мышечный слой, то на этапе подготовки к операции проводят лучевую терапию коротким курсом в течение 5 дней. Это позволяет уничтожить ранние метастазы, уменьшить размер самого образования.

Лечение рака прямой кишки после хирургического вмешательства проводится после получения патоморфологических данных об удаленных тканях. Решается вопрос о проведении облучения или его сочетании с химиотерапией. Лучевая терапия после операции уничтожает оставшиеся клетки в зоне первичной опухоли и предупреждает ее рецидив. У неоперабельных больных она облегчает состояние.
Чувствительность к химиотерапии выявляется у 30% больных. Ее назначают с лечебной целью для уничтожения метастазов.

Также химиотерапию проводят адьювантно - для предупреждения распространения карциномы, если выявлялось поражение нескольких лимфоузлов. Этот способ терапии улучшает качество и продолжительность жизни пациентов с метастазами. Применяют препараты платины, 5-фторурацил, лейковарин, фолинат кальция. Лекарства вводятся внутривенно капельно, курсами по несколько дней. Также применяют химиотерапию в сочетании с лучевой до проведения операции при местнораспространенной форме рака. Такое комбинированное лечение проводят в течение 1-1,5 месяца, а после окончания облучения через 6 месяцев выполняют операцию.

Что вам необходимо сделать
Если вы хотите узнать побольше о бесплатных возможностях ФБГУ НМИЦ онкологии им. Н.Н. Петрова Минздрава России, получить очную или заочную консультацию по диагностике и лечению, записаться на приём, ознакомьтесь с информацией на официальном сайте.
Если вы хотите общаться с нами через социальные сети, обратите внимание на аккаунты в ВКонтакте и Одноклассники.
Рак анального канала - симптомы и лечение
Что такое рак анального канала? Причины возникновения, диагностику и методы лечения разберем в статье доктора Медковой Юлии Сергеевны, проктолога со стажем в 6 лет.
Над статьей доктора Медковой Юлии Сергеевны работали литературный редактор Юлия Липовская , научный редактор Сергей Федосов и шеф-редактор Лада Родчанина

Определение болезни. Причины заболевания
Рак анального канала — редкое онкологическое заболевание, основным фактором развития которого является наличие в организме вируса папилломы человека (ВПЧ).

Анальный канал — это короткая трубка длиной в среднем около 2 сантиметром у женщин и 3 сантиметров у мужчин, в которую переходит прямая кишка. Это завершающий участок пищеварительного тракта. Анальный канал образован мышечным комплексом, который включает в себя два сфинктера (внутренний и наружный) и самые дальние пучки леваторов (мышц, поднимающих задний проход). Сфинктеры как два кольца расположены друг над другом и разделены особенной анатомической структурой — зубчатой линией, которая позволяет чувствовать позыв к испражнению.

Частота встречаемости рака анального канала в настоящий момент составляет 2 на 100 000 в год, есть тенденция к повышению на 1-3 % ежегодно [1] . Частота распространения заболевания растёт в связи с ростом распространенности наиболее сильных факторов риска — вируса иммунодефицита человека (ВИЧ) и вируса папилломы человека (ВПЧ), главным образом подтипа ВПЧ-16 [2] [3] [4] .
Данное заболевание зачастую ассоциировано со снижением иммунитета, например, после пересадки органов или на фоне приёма медикаментов [2] . Другими факторами риска являются:
- как ВПЧ-ассоциированное состояние;
- аутоиммунные заболевания (например, системная красная волчанка);
- ревматоидный артрит; ;
- полипы анального канала;
- курение сигарет [3] ;
- тяжелое течение свищевой формы болезни Крона [4][5][6] .
Рак анального канала не является наследственным заболеванием, его развитие связано прежде всего с ВПЧ.
Рак анального канала в 100% случаев приводит к летальному исходу при отсутствии лечения. Но злокачественные опухоли данной локализации можно полностью вылечить, если вовремя начать терапию. По статистике наиболее часто данное заболевание развивается после 45 лет, однако люди между 35 и 44 годами составляют 10 % больных [7] .
Распространение злокачественного процесса в лимфатические узлы диагностируют у 15-30 % пациентов в момент установки диагноза. Отдаленные метастазы в другие органы, например, лёгкие, печень и кости, встречаются в 10-17 % случаев. При длительном росте опухоль может повреждать элементы сфинктерного аппарата, который регулирует процесс дефекации.
При обнаружении схожих симптомов проконсультируйтесь у врача. Не занимайтесь самолечением - это опасно для вашего здоровья!
Симптомы рака анального канала
Наиболее частой жалобой, с которой обращаются к врачу-колопроктологу пациенты при наличии рака анального канала, является боль в области заднего прохода [2] .
Зачастую при появлении кровянистых следов на бумаге или капель крови в области заднего прохода люди путают эти настораживающие симптомы с проявлениями геморроя или анальной трещины. Часто это является причиной, по которой пациенты откладывают диагностику.
Наличие «шишки» или язвочки также может быть тревожным сигналом — даже самые, на первый взгляд, безобидные дефекты могут оказаться злокачественной опухолью.

Зуд в области заднего прохода — это не всегда признак анальной трещины или аллергической реакции, иногда злокачественные опухоли анального канала также могут сопровождаться этим симптомом.
Иногда аноректальные свищи могут быть проявлением онкологического процесса в области анального канала, но это достаточно редкий симптом. Аноректальные свищи проявляются гнойными или кровянистыми выделениями из заднего прохода или патологического отверстия в перианальной области, а также периодическими повышениями температуры.
Недержание кала в результате распространения опухоли на мышцы-сфинктеры — тревожный симптом, который требуется срочного начала лечения.
Увеличение паховых лимфатических узлов также может свидетельствовать о распространении заболевания.
Другим симптомом может быть ощущение инородного тела в области заднего прохода. При пальцевом исследовании прямой кишки может пальпироваться объёмное образование [3] .
Патогенез рака анального канала
Имеющиеся в научной литературе данные указывают на связь между инфицированием онкогенными типами вируса папилломы человека (ВПЧ) с развитием предраковых и злокачественных поражений ануса [8] . В настоящее время до 88 % злокачественных опухолей анального канала, имеющих гистологическое строение плоскоклеточного рака, являются положительными на ВПЧ. Самый распространенный онкогенный тип вируса папилломы человека — 16 тип. В некотором проценте случаев обнаруживается инфицирование вирусом папилломы человека 9 типа [9] .
ВПЧ может оставаться в ядрах клеток эпителия после первоначального инфицирования слизистой оболочки, которое обычно происходит в результате сексуального контакта [10] . Генотипы ВПЧ высокого риска (16 и 18) кодируют не менее трёх специальных "онкологических" белков со стимулирующими свойствами: белки E5, E6 и E7. Внедрение ДНК вируса в геном клетки-хозяина влияет на развитие процессов, приводящих к возникновению рака анального канала. В процессе интеграции ВПЧ происходит разрушение области E2 вирусного генома в ДНК инфицированных клеток, что приводит к потере подавляющей функции белка Е2. Это приводит к увеличению количества белков Е6 и Е7, которые участвуют в росте новообразований, связанных ВПЧ [12] .
Классификация и стадии развития рака анального канала
Существует несколько классификаций опухолей анального канала. Одна из них, Международная гистологическая классификация, отражает особенности строения опухоли. По данным на 2015 год, подавляющее большинство новообразований (70-80 %) являются плоскоклеточным раком. На втором месте — железистый рак (аденокарцинома). Отдельно стоит выделить доброкачественные опухоли, способные к перерождению, и предраковые состояния — плоскоклеточные папилломы, остроконечные кондиломы, воспалительные клоакогенные полипы, олеогранулемы и дисплазии анального канала различной степени дифференцировки, наиболее опасными из которых являются низкодифференцированные [13] .
Стадирование рака анального канала в современном медицинском мире осуществляется по международной классификации TNM. Итак, буква T расшифровывается как Tumor (опухоль). Это значение отражает размер опухоли. Таким образом, существует семь возможных значений данного параметра:
- Tx — данных на момент оценки не достаточно;
- T0 — первичной опухоли по данным обследований нет;
- Tis — опухолевые клетки, расположенные поверхностно, без вовлечения более глубоких структур (преинвазивный рак);.
- T1 - наибольший диаметр опухоли составляет 2 см и менее;
- T2 - опухоль размером от 2 до 5 см;
- T3 - опухоль больше 5 см в своем наибольшей диаметре;
- Т4 - опухоль прорастает в окружающие органы и ткани (например, влагалище или мочевой пузырь), но если опухолевый процесс распространяется на кожу, подкожную жировую клетчатку или сфинктерный аппарат, то её не классифицируют как Т4.

Буква N определяет распространение онкологического процесса в регионарные (местные) лимфатические узлы — наличие или отсутствие метастазов.
Регионарные лимфоузлы анального канала:
- мезоректальные лимфатические узлы (структуры, расположенные вокруг прямой кишки);
- латеральные (по ходу внутренних подвздошных сосудов);
- паховые;
- поверхностные лимфатические узлы.
По классификации TNM выделяют следующие состояния регионарных лимфоузлов:
- Nx — данных на момент оценки недостаточно;.
- N0 — нет поражения регионарных лимфатических узлов;
- N1 — есть данные о метастазах в лимфатические узлы мезоректальной клетчатки;
- N2 — есть данные о метастазах во внутренние подвздошные и/или паховые лимфоузлы с одной стороны;
- N3 — есть данные о метастазах во внутренние подвздошные и/или паховые лимфоузлы с двух сторон.

Буква М в классификации TNM отражает распространение опухолевого процесса в отдаленные органы:
- М0 — нет отдаленных метастазов;
- М1 — есть отдаленные метастазы [13] .
На основании сочетания параметров Т, N и М устанавливается стадия заболевания — I, II, III или IV.
- I стадия - небольшая опухоль без метастазов
- II стадия - более крупная опухоль без метастазов
- III стадия - любая опухоль с метастазами только в окружающие её лимфатические узлы
- IV стадия - любая опухоль с метастазами в другие органы, вне зависимости от наличия метастазов в ближайших лимфатических узлах.
Осложнения рака анального канала
Рак анального канала — заболевание, способное к быстрому распространению. Лечение при постановке диагноза следует начать незамедлительно.
Учитывая злокачественную природу новообразования, опухоль способна распространяться на соседние органы, провоцируя появление соответствующих симптомов — боль при сексуальном контакте, нарушения мочеиспускания, импотенция, гнойные осложнения, появление стриктуры (выраженного сужения) анального канала, возникновения проблем с удержанием кала при поражении мышц-сфинктеров [17] .
На момент диагностирования 12 % больных имеют отдалённые метастазы. В дальнейшем метастазы развиваются ещё у 10-20 % пациентов [22] [23] . Наиболее часто поражается печень, реже — лёгкие, лимфатические узлы, брюшина и костная ткань.
Диагностика рака анального канала
При появлении симптомов рака анального канала следует обратиться к врачу-колопроктологу. Тщательное пальцевое обследование анального канала, прямой кишки и визуальный осмотр (ректороманоскопия) перианальной области может дать важную информацию о наличии, местоположении и распространенности опухоли анального канала.
У женщин осмотр и пальпация влагалища и области промежности помогают определить степень вовлечения в заболевание перегородки между прямой кишкой и влагалищем. Если пальцевое исследование сопровождается выраженной болезненностью, следует повторить осмотр в условиях операционной с общей или спинальной анестезией.
При подозрении на злокачественный процесс врач должен взять биопсию — кусочек измененных тканей, который потом отправляется на гистологическое исследование.
Приблизительно у трети пациентов с раком анального канала определяются увеличенные паховые узлы, но только 50 % из них оказываются метастатическими [16] . Лимфатические узлы с метастазами около прямой кишки могут быть обнаружены также при пальцевом обследовании, но современные методы лучевой диагностики для визуализации опухоли более точны.
Позитронно-эмиссионная томография(ПЭТ) позволяет оценить состояние лимфатических узлов с выявлением патологического поглощения, даже если клинические свидетельств поражения отсутствуют. Кроме того при подозрении на поражение лимфатических узлов следует провести биопсию. В случае отрицательного результата по данным биопсии рекомендовано диагностическое хирургическое вмешательство — полноценное удаление пахового лимфатического узла для более точного и расширенного гистологического исследования.

В диагностике рака анального канала широко используется магнитно-резонансная томография (МРТ). Этот безопасный с точки зрения облучения метод позволяет оценить степень инвазии (распространения) опухоли на окружающие структуры, а также заподозрить наличие метастатических лимфатических узлов.
С целью исключения метастазов в отдаленные органы, например, лёгкие и печень, часто применяют компьютерную томография (КТ) с внутривенным контрастированием. Этот метод необходим также и для составления плана лечения опухоли.
Анализ крови на маркер SCC (онкомаркер) может быть информативен только в процессе лечения для контроля за его эффективностью, в качестве первичной диагностики сдавать его не нужно.
Лечение рака анального канала
В лечении образований анального канала применяются различные методики, но в большинстве случаев полного излечения удается достичь без применения радикального хирургического вмешательства.
При кондиломах или низкодифференцированной дисплазии анального канала (предраковых состояниях) применяются местные препараты (например, 5-фторурацил) или выполняется локальное иссечение новообразования. Однако существует высокий процент рецидивов образований (около 59 %), что требует тщательного наблюдения после лечения.
При карциноме in situ (без метастазирования) выполняется локальное иссечение в пределах здоровых тканей. Выполнение лазерного удаления опухоли возможно в отдельных клинических ситуациях [17] .
Небольшие опухоли анального канала (T1N0) могут быть удалены с помощью локального иссечения в пределах здоровых тканей (1 см от границы опухоли). При рецидивах опухоли после локального иссечения повторное малоинвазивное вмешательство возможно лишь у пациентов, которым можно сохранить функцию держания (нормальной работы сфинктера).
Карциномы T2N0 имеют повышенный риск метастазирования в паховые лимфатические узлы, в этом случае проводится облучение как первичной опухоли, так и паховых лимфатических узлов с обеих сторон. Применение химиолучевой терапии целесообразно в отдельных клинических ситуациях. Это позволяет увеличить эффективность лечения раннестадийных опухолей на 55 % [18] .
Стандартом лечения образований на более поздних стадиях (T3-T4 или N1-N3) является применение химиолучевой терапии. Выявление единичных клеток опухоли по данным биопсии после прохождения терапии может говорить о ремиссии заболевания, однако в таких случаях следует выполнять повторную биопсию через 6 недель. Для пациентов, которые уже проходили курсы химиолучевой терапии, в случае рецидива эффективно оперативное вмешательство — брюшно-промежностная экстирпация прямой кишки с выведением постоянной стомы (трубки) на переднюю брюшную стенку. При данном вмешательстве прямая кишка удаляется навсегда [19] .

В случаях местнораспространенной карциномы методом выбора является химиолучевая терапия.
Лечение местнораспространненых опухолей анального канала подразумевает выполнение лучевой терапии в комбинации с применением 5-фторурацила и митомицина С. Эта стратегия позволяет уменьшить количество рецидивов на 23 % по сравнению с лучевой терапией. По результатам наблюдения в течение 13 лет было выявлено значительное снижение онкологической смертности на 33 % в группе комбинированной терапии [20] .
Текущие рекомендации по лечению пациентов с раком анального канала старше 75 лет не подразумевают снижение дозы излучения у пациентов, физическое состояние которых удовлетворительно (не имеющих тяжелых сопутствующих заболеваний и ведущих активный образ жизни) [20] .
При рецидивах опухоли в области тазовых лимфоузлов показано выполнение лучевой терапии (если не выполнялась ранее).
Лимфодиссекция — удаление лимфоузлов вместе с опухолью и подкожной клетчаткой в месте её образования (операция Дюкена) выполняется в случае неэффективности лучевой терапии.
Прогноз. Профилактика
После завершения курса химиотерапии обязательны регулярные осмотры пациента на протяжении следующих двух лет. Это необходимо для того, чтобы вовремя отследить возникновение рецидива. Окончательный эффект химиотерапии оценивается спустя 6 месяцев после завершения лечения.
Гистологическая форма опухоли анального канала не влияет на прогноз заболевания. Один из наиболее важных неблагоприятных для прогноза факторов — поражение лимфатических узлов, которое провоцирует развитие рецидива. Неблагоприятным фактором является также мужской пол [14] .
У ВИЧ-инфицированных пациентов заболевание протекает тяжелее, однако антиретровирусная терапия позволяет применять стандартные для новообразований методы лечения.
В нескольких исследованиях изучалось влияние курения на прогноз при раке анального канала. Их результаты достоверно указывают, что у курильщиков течение заболевания проходит хуже, а прогноз при лечении более неблагоприятен [15] .
Определенный выбор образа жизни может помочь предотвратить рак анального канала. Одной из наиболее важных задач является предотвращение инфицирования ВПЧ. Некоторые способы снижения вероятности заражения ВПЧ:
- использовать презервативы во время полового акта;
- исключить табакокурение;
- вакцинирование против ВПЧ — помогают защитить от определенных типов вируса. Применение вакцины против ВПЧ по исследованиям сопровождалось значительным снижением риска развития рака анального канала [21] . Но если вирус папилломы человека уже присутствует в организме, вакцина не будет эффективной.
В рамках скрининга рака анального канала следует раз в три года начиная с возраста 40 лет выполнять колоноскопию, а также обращаться к врачу-колопроктологу при появлении любых новообразований в перианальной области.
Рак прямой кишки - это злокачественная опухоль дистального отдела толстого кишечника эпителиального происхождения. Клинически проявляется наличием патологических примесей в кале (слизи, крови), кровотечением из прямой кишки, болью в крестце и промежности, слабостью, похуданием, анемией. Методами диагностики являются исследование кала на скрытую кровь, определение лабораторных маркеров, ректороманоскопия, биопсия с морфологическим исследованием. Лечение хирургическое (резекция или экстирпация прямой кишки), с возможным назначением химиотерапии при метастазах рака в регионарные лимфатические узлы.
МКБ-10


Общие сведения
Рак прямой кишки - различные по гистологическому строению и локализации злокачественные новообразования прямой кишки. Среди злокачественных поражений ЖКТ данная патология составляет 45%; вместе с тем, 70% случаев рака толстого кишечника локализуется именно в его дистальном отделе. Заболевание чаще встречается в странах с западным характером питания и реже в - Азии и Африке.
Рак прямой кишки в полтора раза чаще возникает у мужчин, риск его развития повышается с возрастом, в группу риска входят лица старше сорока лет. Предположительно это связано с возрастными изменениями в эпителиальных клетках внутрикишечной выстилки. Несмотря на доступность прямой кишки для осмотра и исследования, большинство случаев рака данной локализации диагностируется уже на поздних сроках, когда радикальные методы лечения оказываются малоэффективными. Пятилетняя выживаемость при раке прямой кишки составляет 40-60%, что обусловливает актуальность данной проблемы для специалистов в области практической онкологии и проктологии.
Причины
Отмечена зависимость развития рака прямой кишки от особенностей питания. Болезнь чаще встречается у людей, употребляющих пищу, богатую жирами и бедную растительной клетчаткой. Рацион питания, перегруженный мясными продуктами, способствует возникновению злокачественных образований в толстом кишечнике. Кроме того, факторами, повышающими риск развития раковой опухоли, являются хронические воспалительные заболевания толстого кишечника, болезнь Крона, неспецифический язвенный колит, врожденные патологии (семейный диффузный полипоз, ферментные недостаточности). Обменные заболевания (сахарный диабет, метаболический синдром, ожирение) также являются канцерогенными факторами.
Полипы прямой кишки являются одним из распространенных предраковых состояний, озлокачествляющиеся приблизительно в 4% случаев (риск озлокачествления прямо пропорционален размеру и распространенности полипов), в особенности опасен в отношении малигнизации семейный полипоз. Наследственный фактор также играет определенную роль в заболеваемости раком прямой кишки. Увеличивают риск развития злокачественного процесса и снижают вероятность благоприятного исхода при лечении курение и злоупотребление алкоголем.
Классификация
Рак прямой кишки классифицируется согласно международной классификации TNM, где T - размер опухоли и степень поражения ею стенки кишки, N - поражение регионарных лимфоузлов, а M - наличие метастазов в отдаленных органах.
Помимо этого, в нашей стране нередко применяется классификация рака по стадиям (I; IIa; IIb; IIIa; IIIb; IV) в зависимости от величины опухоли, степени прорастания ею стенки кишечника и окружающих тканей, имеющихся метастазов. Окончательный диагноз рака прямой кишки осуществляется после хирургического удаления и цитологического исследования опухоли и лимфатических узлов.
Симптомы рака
Чаще всего ранние стадии рака прямой кишки протекают без клинической симптоматики, что значительно затрудняет диагностирование и своевременное выявление злокачественного процесса. Со временем прогрессирование опухоли начинает проявляться разнообразными симптомами. Самые распространенные проявления: нарушение дефекации (запоры или поносы), кишечная непроходимость, кровотечение из заднего прохода, примесь крови в кале, анемия неясной этиологии, боль внизу живота, «ленточный» («карандашный») стул. По мере развития онкологического процесса усиливается выраженность общей симптоматики, включающей отсутствие аппетита, общую слабость, недомогание, потерю веса вплоть до кахексии.
Осложнения
Рак прямой кишки осложняется кровотечением, а при регулярных потерях крови - анемией, снижением массы тела вплоть до истощения. Пациенты с онкологическими патологиями поздних стадий страдают от интоксикации организма продуктами некроза опухолевой ткани. Рак прямой кишки может способствовать развитию инфекционного воспаления. Химиотерапия способствует развитию таких побочных эффектов как облысение, слабость, потеря аппетита, диарея, тошнота.
Диагностика рака прямой кишки предполагает опрос больного, выявление жалоб, сбор анамнеза. При этом обращают внимание на канцерогенные риски, имевшие место опухолевые образования и семейный онкоанамнез. Лабораторные методы включают общий и биохимический анализ крови, тестирование на онкомаркеры, копрограмму.
Для раковых опухолей прямой кишки характерно выявление ракового эмбрионального антигена и онкомаркера СА-19-9. Выявление онкомаркеров может также свидетельствовать о неспецифическом язвенном колите, доброкачественных опухолях. Концентрация эмбрионального ракового антигена повышается у заядлых курильщиков.
К инструментальным методам диагностики опухолей толстого кишечника относится ректороманоскопия (обследуется внутренняя стенка прямой и сигмовидной кишки), колоноскопия (эндоскопическое исследование всего толстого кишечника), ирригоскопия (рентгенографическое исследование толстого кишечника с контрастным веществом).
Эндоскопические методики позволяют подробно изучить состояние слизистой оболочки кишечной стенки, имеющиеся опухолевые образования, произвести биопсию для последующего гистологического и цитологического исследования. Диагностика рака прямой кишки производится только на сновании обнаружения раковых клеток при цитологическом исследовании биоптата.
Кроме того, обнаружить опухолевое образование в кишечнике возможно с помощью ультразвукового исследования (для обследования прямой кишки производят интраректальное УЗИ), магнитно-резонансной и компьютерной томографии. Спиральная компьютерная томография (МСКТ) применяется для исследования органов и систем на предмет выявления метастазов, а так же позволяет осуществить прицельную биопсию печени при наличие в ней сомнительных в отношении метастазирования участков.

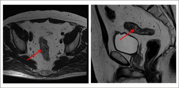
МРТ органов таза. Злокачественная опухоль стенки прямой кишки; выраженное мягкотканное утолщение стенки органа с признаками инфильтративного роста
Методикой с высокой степень специфичности в отношении выявления метастазов является позитронно-эмиссионная томография (ПЭТ). Методика заключается в ведении в организм позитрон-излучающих изотопов и сканирование их распределения в тканях. Пораженные злокачественными клетками ткани склонны накапливать радиоизотопы и определяться при сканировании в виде участков с повышенным излучением. Ангиографию производят для визуализации сосудистой сети перед операцией (во избежание постоперационных осложнений и массированных кровотечений).
Основной методикой лечения данного злокачественного новообразования является хирургическое удаление опухоли, прилежащих тканей и лимфоузлов. Выбор методики осуществляется хирургом-онкологом в зависимости от стадии заболевания, размера опухоли, степени поражения метастазами лимфатических узлов и других органов и тканей.
Удаление полипа прямой кишки часто выполняется в процессе проведения колоноскопии методом электрокоагуляции. Если при последующей гистологии тканей полипа обнаруживают злокачественные клетки, которые однако не распространяются на основание полипа, лечение на данном этапе можно считать достаточно полным. Однако такой подход можно считать оправданным только на начальной стадии болезни. В большинстве случаев рака прямой кишки требуется радикальная резекция или экстирпация (полное удаление) прямой кишки с наложением постоянной колостомы, иногда - последующей реконструктивной операцией.
При выявлении рака на поздних стадиях с глубоким прорастанием в окружающие ткани и присутствием множественных метастазов, производят паллиативную операцию: удаление опухоли для освобождения просвета кишечника и облегчения состояния пациента. Излечение на поздних стадиях раковых опухолей невозможно. В онкологической практике в большинстве случаев хирургическое удаление опухоли сочетают с химиотерапией или радиолучевой терапией для профилактики рецидивирования и подавления распространения злокачественных клеток.
Метод химиотерапевтического лечения подразумевает использование лекарственных препаратов, подавляющих рост злокачественных клеток. К сожалению, цитотоксические препараты, применяющиеся при химиотерапии, недостаточно специфичны в отношении раковых клеток и такое лечение имеет массу побочных эффектов. Однако комбинированное применение химиотерапии и хирургического лечения при своевременно выявленном раке прямой кишки дает заметный положительный эффект и значительно снижает риск рецидива заболевания, увеличивая выживаемость пациентов.
Лучевая терапия при раке прямой и толстой кишки иногда применяется в качестве дополнительной меры профилактики рецидивов после оперативного удаления опухоли, а также может использоваться для уменьшения размеров образования и облегчения симптоматики.
Прогноз и профилактика
Выявление и удаление рака прямой кишки на ранних стадиях способствует 5-летней выживаемости в 90% случаев. Однако, только 39% выявленных колоректальных злокачественных опухолей находятся на пригодной для успешного излечения стадии, в остальных случаях, даже с применением паллиативного удаления опухоли, прогноз неблагоприятен. Если в течение 5-ти лет после удаления опухоли не отмечено ее рецидива, то подтверждают выздоровление. Рак IV стадии излечению не подлежит.
Профилактические меры включают регулярное обследование лиц, входящих в группу риска (люди старше 50 лет, больные с хроническими заболеваниями толстого кишечника). Особое внимание уделяется пациентам с полипами толстого кишечника. В скрининговые мероприятия входят: ежегодный анализ кала на скрытую кровь, сигмоидоскопия каждые 5 лет, каждые 10 лет - колоноскопия. Лица, страдающие семейным полипозом, подлежат обследованию каждые 2-3 года. План обследования граждан, входящих в группу онкологического риска, обсуждается с врачом индивидуально.
Общие меры профилактики рака прямой кишки включают активный образ жизни, правильное сбалансированное питание, богатое растительной клетчаткой без перегруженности животными жирами, отказ от курения и злоупотребления алкогольными напитками, своевременное выявление и лечение заболеваний, провоцирующих развитие злокачественных опухолей.
Опухоли прямой кишки
Опухоли прямой кишки - это новообразования ректального отдела кишечника злокачественной или доброкачественной природы. Симптомами неоплазий данной локализации служат неприятные ощущения в области анального канала, запоры, слизистые и кровянистые выделения из заднего прохода, а также нарушения общего состояния. Для диагностики используются клинические анализы, эндоскопия кишечника с биопсией, компьютерная томография и рентгенологические исследования. Лечебные мероприятия предусматривают радикальные хирургические вмешательства, медикаментозную и лучевую терапию.
Опухоли прямой кишки представляют собой гетерогенную группу новообразований, различных по гистоструктуре, темпам роста и клиническому течению, развивающихся в дистальном сегменте толстого кишечника. Наиболее серьезной проблемой считается рак прямой кишки, уровень смертности при котором один из самых критических в мире. В последнее время заболеваемость раком прямой кишки выросла в несколько раз. Распространенность опухолей ректального отдела составляет около 35-40% от всех новообразований кишечника. Патология чаще выявляется у возрастных пациентов, в основном болеют жители высокоразвитых стран Северной Америки, Западной Европы, Австралии, России. Изучением особенностей развития опухолевых процессов прямой кишки занимаются специалисты в сфере клинической онкологии и проктологии.
Основными причинами развития опухолей прямой кишки являются предраковые заболевания, единичные и множественные полипы кишечника, хронические запоры, пролежни и язвы прямой кишки, нарушения иммунной системы, негативное влияние канцерогенов и генетические факторы. У большинства больных раком данной локализации наблюдается иммунный дисбаланс, при котором клетки противоопухолевого иммунитета перестают функционировать должным образом. В результате происходит образование и дальнейшее размножение опухолевых клеток. Иммунный механизм развития опухолей прямой кишки, как правило, сочетается с другими механизмами канцерогенеза. В частности, большую роль в формировании онкологического процесса играет хроническое воспаление кишечника.
К предраковой патологии кишечника относят такие распространенные болезни, как проктит, геморрой, анальная трещина, парапроктит, проктосигмоидит, неспецифический язвенный колит и болезнь Крона. Важную роль в развитии опухолей играют канцерогены, такие как нитриты, промышленные яды, химикаты, радиация, насыщенные жиры, различные вирусы и так далее. Одним из важнейших факторов появления опухолей прямой кишки является наследственная предрасположенность: повышенный риск заболеваемости отмечается у людей, ближайшие родственники которых имеют колоректальный рак.
Опухоли прямой кишки могут иметь доброкачественный или злокачественный характер. Доброкачественные новообразования включают эпителиальные, неэпителиальные опухоли и карциноид. Эпителиальные новообразования представлены полипами, ворсинчатыми опухолями и семейным диффузным полипозом толстого кишечника. Выделяют следующие виды полипов прямой кишки: железистые и ворсинчато-железистые (аденопапилломы, аденомы); милиарные (гиперпластические); фиброзные; ювенильные (кистозно-гранулирующие). За полип может быть принята подслизистая карциноидная опухоль прямой кишки. Ворсинчатая опухоль характеризуется множественными сосочковыми разрастаниями ректального эпителия, представленными либо отдельным узлом на ножке, либо достаточно обширным участком неоплазии, поражающим значительную часть прямой кишки. Такая опухоль имеет очень высокий потенциал малигнизации и поэтому подлежит радикальному удалению в кратчайшие сроки после выявления.
Неэпителиальные новообразования прямой кишки встречаются крайне редко, они развиваются из мышечной, жировой, нервной и соединительной ткани, сосудов системы крово- и лимфообращения. Эти новообразования обычно локализуются в подслизистом или мышечном слое, под серозной оболочкой, а в тех участках, где она отсутствует - распространяются на окружающую параректальную клетчатку. Среди доброкачественных опухолей прямой кишки неэпителиальной природы чаще всего диагностируют фибромы, миомы, липомы, кавернозные ангиомы, нейрофибромы, лимфангиомы.
Карциноид представляет собой нейроэндокринное новообразование, продуцирующее гормоноподобные вещества (серотонин, простагландины, гистамин и другие). Клиника определяется веществом, которое выделяет опухоль, и его концентрацией. Карциноид требует оперативного лечения.
Злокачественные опухоли прямой кишки также разделяются на эпителиальные (рак: железистый - аденокарцинома, плоскоклеточный, перстневидно-клеточный, солидный, скирр, смешанный; меланома, меланобластома) и неэпителиальные (лейомиосаркома, лимфома, ангиосаркома, неврилеммома, рабдомиома и неклассифицируемые опухоли). Около 70% опухолей прямой кишки представлены раком. По характеру роста опухолевого узла выделяют эндофитные, экзофитные, диффузные опухоли и плоскоклеточный рак кожи анального отверстия и заднего прохода. В 85% случаев рак локализуется в ампулярной части прямой кишки.
Симптомы опухолей
Доброкачественные опухоли прямой кишки зачастую протекают бессимптомно, особенно при их небольших размерах. Если новообразование имеет крупные размеры, то оно манифестирует кишечной непроходимостью и незначительными кровянистыми выделениями из анального отверстия. Доброкачественные новообразования обычно не нарушают общего состояния больного и не сопровождаются обильными выделениями из прямой кишки, хотя развитие воспалительного процесса на фоне множественного полипоза может приводить к появлению хронических кровотечений, поносов с выделением большого количества окрашенной кровью слизи, анемизации пациента, нарастанию общей слабости и истощения. Полипы, расположенные в области анального сфинктера, могут выпадать наружу и ущемляться.
Злокачественные опухоли прямой кишки на ранних стадиях развития могут никак не проявляться. Ситуация усложняется еще и тем, что многие больные зачастую не придают должного внимания симптомам. У большинства пациентов, у которых диагностируется рак прямой кишки, имеется хроническая проктологическая патология, например, геморрой, анальная трещина, свищи прямой кишки или парапроктит. Данные заболевания имеют схожую с опухолями клиническую симптоматику. Поэтому пациенты могут воспринимать клинику рака прямой кишки как очередные проявления своей хронической болезни. В основном люди обращаются в больницу только при наличии серьезных симптомов.
Опухоли прямой кишки проявляются выделениями из анального отверстия, симптомами раздражения кишечника, нарушением проходимости каловых масс и признаками ухудшения общего состояния. Выделения могут быть слизистыми или кровянистыми. При низкой локализации опухоли выделения имеют вид алой крови. Если новообразование находится в ампулярном, среднем и верхнем сегменте прямой кишки или в ректосигме, то характерны слизисто-кровянистые выделения во время дефекации. Симптомом раздражения ректального отдела кишечника является приступообразная боль. Также больных может беспокоить дискомфорт внизу живота и ощущение сдавливания кишечника. Пациенты отмечают появление ложных позывов на дефекацию.
Вначале заболевание может проявляться расстройством стула, за которым следует кишечная непроходимость. Опухоли прямой кишки крупных размеров, напротив, манифестируют преимущественно запорами. Болезнь часто сопровождается такими симптомами, как вздутие кишечника и болезненное урчание. Если у больного развилось нарушение проходимости кишки, его беспокоит задержка стула и отхождения газов, интенсивные боли по ходу кишечника, рвота и др. При прогрессировании рак прямой кишки проявляется общими симптомами, такими как немотивированная общая слабость, бледность кожных покровов, снижение работоспособности, уменьшение массы тела вплоть до кахексии, снижение аппетита. Также при этом заболевании часто наблюдается длительно персистирующая субфебрильная температура.
Для раннего выявления рака прямой кишки очень важно знать все возможные клинические проявления болезни. Ранние признаки злокачественных опухолей прямой кишки в основном неспецифичны. Они могут наблюдаться при многих других заболеваниях. Однако длительное сохранение таких симптомов, как общая слабость, субфебрилитет, запоры и дискомфорт в прямой кишке, должно насторожить пациента и доктора. Выделение крови при дефекации и признаки кишечной непроходимости свидетельствуют о поздних стадиях заболевания.
Злокачественная опухоль прямой кишки нередко осложняется такими угрожающими для жизни состояниями, как прорастание новообразования в окружающую клетчатку и соседние органы, перфорация опухоли с развитием парапроктита, флегмоны малого таза либо пельвиоперитонита, профузное кровотечение и обтурационная кишечная непроходимость.
Несмотря на доступность опухолей прямой кишки для визуализации, их диагностика на сегодняшний день чаще всего является запоздалой. Комплексное обследование пациента с подозрением на данную патологию заключается в сборе клинических данных (жалобы, семейные анамнез, пальцевое исследование, осмотр в зеркалах), проведении инструментальных и различных лабораторных методов исследования.
Из инструментальных методик наибольшее значение имеют ректороманоскопия с биопсией, патогистологическим и цитологическим исследованием тканей; УЗИ и КТ для оценки распространенности процесса, визуализации метастазов; обзорная рентгенография ОБП, ирригоскопия; лапароскопия для визуализации и удаления внутрибрюшинных метастазов. Лабораторная диагностика включает общеклинические анализы крови, кала, мочи, биохимический скрининг, пробы на скрытую кровь.
Лечение опухолей прямой кишки
Выбор тактики ведения пациентов с новообразованиями данной локализации является прерогативой хирурга-онколога и проктолога. Для лечения опухолей прямой кишки используются хирургические, лучевые и медикаментозные методики. Лечение доброкачественных опухолей прямой кишки заключается в резекции новообразования. При этой группе заболеваний химиотерапия и лучевая терапия не назначается.
Основной метод лечения злокачественных опухолей прямой кишки - оперативное вмешательство, в ходе которого с опухолью удаляются все близлежащие лимфоузлы. Принцип оперативного вмешательства определяют с учетом степени прогрессирования процесса. Если патологический процесс перешел на близлежащие ткани и органы, то хирурги используют комбинированные оперативные техники. Хирургические операции при опухолях прямой кишки должны быть радикальными.
Важную роль в лечении злокачественных опухолей прямой кишки играет лучевая терапия. Ее используют в том случае, если новообразование прорастает в мышечную оболочку кишечника или же метастазирует в регионарные лимфоузлы. Лучевую терапию можно проводить непосредственно перед операцией для профилактики рецидивов опухолевого процесса. Максимальная очаговая доза облучения при раке прямой кишки составляет 45 Гр.
Химиотерапия используется при незначительном прогрессировании болезни. Она проводится либо до вмешательства для уменьшения размеров образования (неоадъювантное лечение), либо после операции для снижения риска возникновения послеоперационных рецидивов (адъювантное лечение). Для терапии злокачественных форм применяется 5-фторурацил в сочетании с оксалиплатином или фолиновой кислотой. В ряде случае химиотерапию комбинируют с лучевой терапией для получения лучшего результата в достижении ремиссии.
На прогноз выживаемости при злокачественных опухолях прямой кишки в основном влияет уровень распространенности онкологического процесса. На начальных стадиях рака 5-летняя выживаемость больных составляет 95-100%. Однако, на 4-й стадии болезни в течение года выживает только 10% пациентов. Если у пациента обнаружены отдаленные метастазы, то средняя продолжительность его жизни составляет 10 месяцев. Признаком хорошего прогноза при раке кишечника является отсутствие рецидивов на протяжении 4 лет после проведенного оперативного лечения. При доброкачественных новообразованиях прямой кишки прогноз, как правило, благоприятный.
Профилактика опухолей прямой кишки предполагает отказ от приема алкоголя и курения, а также соблюдение правильного питания, которое включает большое количество овощей и фруктов, а также своевременное лечение предопухолевых состояний. Лицам, относящимся к группе риска, показано регулярное прохождение медосмотра с выполнением эндоскопии кишечника и исследованием кала на скрытую кровь.
2. Клинические рекомендации по диагностике и лечению больных раком прямой кишки / Ассоциация онкологов России - 2014
Читайте также:
- Дефицит гормона роста. Человеческий гормон роста (hGH)
- Гиперкалиемический дистальноканальцевый ацидоз
- Частота поражений глаз ядохимикатами в сельском хозяйстве
- Осложнения эхинококкоза легких. Операции при эхинококкозе легкого
- Автоматизм атриовентрикулярного соединения. Миграция суправентрикулярного водителя ритма
