Рак шейного отдела пищевода - лучевая диагностика
Добавил пользователь Евгений Кузнецов Обновлено: 13.12.2025
Рак пищевода - это злокачественное заболевание, при котором в тканях пищевода появляются опухолевые клетки.
Рак пищевода относится к частым формам злокачественных опухолей (5-7%), возникая значительно чаще у мужчин, главным образом в зрелом и пожилом возрасте. Чаще всего рак поражает нижний и средний отделы пищевода.
Как и другие опухоли слизистых оболочек верхнего отдела пищеварительного тракта, рак пищевода чаще имеет плоскоклеточное строение. На 2 месте по частоте находится аденокарцинома, чаще всего развивающаяся у пациентов с пищеводом Берретта.
Что провоцирует / Причины Рака пищевода:
К внешним факторам, способствующим развитию рака пищевода, относят неправильное питание, в частности злоупотребление очень горячей пищей, а также курение, злоупотребление алкоголем. Курение увеличивает риск развития заболевания в 2-4 раза. Злоупотребление алкоголем - в 12 раз.
Риск заболевания повышается при дефиците витаминов, особенно А и С, ожоге щёлочью (даже через много лет после воздействия).
Предраковыми заболеваниями можно считать ахалазию пищевода, пищевод Берретта (риск последующего развития карциномы - 10%).
Отмечена роль географических факторов. Частота карцином в 400 раз больше в некоторых районах Китая и Ирана, что, как полагают, обусловлено включением в диету большого количества маринованной пищи, нитрозаминов, плесневых грибов и уменьшенным содержанием в рационе селена, свежих фруктов и овощей.
Симптомы Рака пищевода:
Клиническая картина рака пищевода довольно яркая. Первая жалоба больного - ощущение затруднения прохождения грубой пищи по пищеводу. Этот симптом, именуемый дисфагией, вначале выражен нерезко, и потому сами больные и врачи не придают ему должного значения, относя его появление за счет травмы пищевода грубым комком пищи или костью. В отличие от других доброкачественных заболеваний пищевода, дисфагия при раке не носит перемежающегося характера и, раз появившись, снова и снова начинает беспокоить больного. Присоединяются загрудинные боли, иногда жгучего характера, означающие распространение опухоли за пределы стенки пищевода. Реже болевые ощущения опережают дисфагию.
Испытывая затруднение прохождения пищи по пищеводу, больные вначале начинают избегать особо твердой пищи (хлеб, мясо, яблоки, картофель), прибегая к протертой, промолотой пище, затем вынуждены ограничиваться только жидкими продуктами - молоком, сливками, бульоном. Начинается прогрессивное похудание, нередко доходящее до полной кахексии. В дальнейшем наступает полная непроходимость пищевода, и все, что больной принимает, выбрасывается обратно (срыгивания, пищеводная рвота). При застое пищи в пищеводе появляется запах изо рта.
При поражении органов грудной полости могут появляться характерные симптомы, зависящие от вовлечения в опухолевой процесс тех или иных органов средостения: тупые боли в груди, одышка, тахикардия после еды, изменение тембра голоса, приступы кашля, набухание надключичной ямки.
Общие неспецифические симптомы: адинамия, утомляемость, апатия, похудание, беспричинный субфебрилитет.
Метастазирование
Рак пищевода метастазирует как лимфогенным путем - в лимфатические узлы средостения и левой надключичной области, так и по кровеносным путям, чаще всего поражая печень (20%), лёгкие (10%), костную систему, головной мозг.
Для рака шейного отдела пищевода характерно раннее метастазирование в средостение, клеточные пространства шеи, надключичные области. Рак грудного отдела пищевода метастазирует по ходу лимфатических пространств подслизистой оболочки пищевода, в лимфатические узлы средостения и околопищеводную клетчатку. Рак нижнего отдела пищевода метастазирует в лимфатические узлы верхнего отдела малого сальника. Для запущенных форм всех локализаций характерны вирховские метастазы в левой надключичной области.
Метастазирование редко играет главную роль в причинах смерти, основное влияние оказывает прогрессирующее общее истощение на почве распространения первичной опухоли.
Рецидивы рака пищевода наступают вследствие недостаточного радикализма операции или при неизлеченности опухоли лучевой терапией.
Диагностика Рака пищевода:
Указанные симптомы, выраженные даже в самой незначительной степени, должны вызвать самое серьезное подозрение на наличие рака.
Лабораторные исследования не играют большой роли в распознавании рака пищевода, ибо анемия наступает обычно поздно. Скорее наблюдают ложное повышение содержания гемоглобина за счет сгущения крови при нарушении питания и обезвоживания больных.
Диагностические мероприятия заключаются в первую очередь в рентгенологическом обследовании, при котором выявляют сужение просвета пищевода с неровными контурами и ригидными, инфильтрированными стенками. Выше сужения пищевод обычно несколько расширен. Иногда степень сужения столь велика, что даже жидкий барий очень тонкой струйкой с трудом проходит в желудок.
Второй основной метод исследования - эзофагоскопия, дающая возможность глазом увидеть в просвете пищевода опухоль или суженный участок, оценить распространенность и степень сужения.. Иногда только стойкость рентгенологической и эзофагоскопической картины позволяет отличить рак пищевода от его спазма, при котором самопроизвольно или после введения антиспастических средств сужение исчезает и восстанавливаются нормальные просвет и проходимость пищевода. Завершающий этап диагностики - биопсия под контролем эзофагоскопа для гистологического или цитологического исследования.
С целью выяснения степени распространенности опухолевого роста в средостении, оценки местного распространения опухоли по лимфатическим сосудам, а также для обнаружения возможных отдалённых метастазов возможно применение компьютерной томографии (КТ). Бронхоскопию выполняют для оценки возможности прорастания опухоли в трахеобронхиальное дерево. В диагностически сложных случаях возможно применение медиастиноскопии.
С целью выявления метастазов показана обзорная рентгенография органов грудной клетки, УЗИ печени.
Лечение Рака пищевода:
Радикальное лечение рака пищевода может быть проведено двумя методами. Чисто лучевое лечение методом дистанционной гамма-терапии в известном проценте случаев дает удовлетворительные результаты. То же относится и к чисто хирургическому лечению.
Химиотерапия практически не оказывает влияния на длительность жизни больных. Более обнадёживающие результаты получены при сочетаниях химио- и лучевой терапии. Химиотерапия и лучевая терапия, проводимая перед операцией, уменьшает размеры опухоли и улучшает отдалённые результаты оперативного лечения.
Наблюдаемые у ряда больных неудачи побудили в последнее время шире прибегать к комбинированному лечению. На первом этапе проводят дистанционную гамма-терапию и после 2-3-недельного интервала производят оперативное вмешательство.
Хирургическое лечение проводят при поражениях нижней трети или дистальной части средней трети пищевода. Преимущество оперативного вмешательства - восстановление просвета органа. Применяют операции двух типов. При раке нижнего отдела пищевода удаляют (резецируют) пораженный участок, отступя вверх и вниз от краев опухоли не менее чем на 5-6 см. При этом нередко уносят и верхний отдел желудка, а затем создают пищеводно-желудочное соустье, вшивая конец пищевода в культю желудка. Второй тип операции носит название операции Торека, которую чаще выполняют при раке среднего отдела пищевода. Больному предварительно накладывают гастростому (подшивание стенки желудка к передней брюшной стенке и создание соустья) для питания, а затем производят полное удаление пищевода, выводя его верхний конец на шею. Больные живут, питаясь через зонд, вводимый в гастростомическое отверстие, и лишь по истечении 1-2 лет, при условии, если не выявляются метастазы, восстанавливают нормальное прохождение пищи, заменяя отсутствующий пищевод тонкой или толстой кишкой. Расчленение этих операций на несколько этапов необходимо, так как крайне ослабленные больные раком пищевода не переносят одномоментных сложных вмешательств.
Разумеется, что особо большое внимание уделяют подготовке этих больных и ведению послеоперационного периода. С момента поступления больного в стационар ежедневно или через день он получает внутривенные введения питательных жидкостей, витаминов, белковых препаратов, плазмы и крови. Через рот, если это возможно, дают частыми небольшими порциями высококалорийную белковую пищу и различные соки.
Уход в послеоперационном периоде зависит от характера вмешательства. Так, наложение гастростомы не является тяжелой операцией, но необходимо получить от врача инструкции о сроках начала кормления больного, которое, пока не восстановятся его силы, проводит медицинская сестра. Для этого толстый желудочный зонд вводят в отверстие гастростомы, направляя его влево, в тело желудка и стараясь ввести поглубже, но без насилия. Надев на зонд воронку, через нее медленно, небольшими порциями вводят приготовленные заранее смеси из молока (или сливок), яиц, бульона, сливочного масла. Иногда добавляют разведенный спирт. В дальнейшем диету расширяют, но пища всегда остается жидкой, протертой. Больные питаются часто и небольшими порциями до 5-6 раз в день.
Несравненно более тяжело протекает послеоперационный период после таких сложных вмешательств, как выполняемая в грудной полости операция Терека и пластика пищевода. У этих больных проводят комплекс противошоковых мероприятий (переливание крови, кровезаменяющих растворов, жидкостей и др.), применяют сердечно-сосудистые средства, кислород и, как после всех торакальных операций, активную отсасывают из дренажей, оставленных в грудной полости. Питание после пластического замещения пищевода сохраняется через гастростому и прекращается лишь после полного сращения по линии соединения перемещенной кишки с пищеводом и желудком, когда нет опасения питать больного через рот. Гастростома в дальнейшем заживает самостоятельно.
При запущенном заболевании (прорастание опухоли в трахеобронхиальное дерево, органы средостения, либо наличие отдалённых метастазов) паллиативного эффекта можно достичь, проведя трубку большого диаметра через место обструкции пищевода опухолью, чтобы тем самым позволить пациенту глотать слюну и жидкую пищу. Иногда для сохранения просвета применяют бужирование пищевода или расширители с силиконовыми трубками. Лазеры используют для прижигания опухоли с целью восстановления просвета органа. При полной дисфагии накладывают гастростому.
Профилактика Рака пищевода:
Основой профилактики всех форм рака (в том числе и рака пищевода) является своевременное выявление и лечение предраковых заболеваний (в данном случае - ахалазии пищевода, пищевода Берретта), а так же выявление рака на ранних стадиях, дающее возможность провести успешное радикальное лечение.
Поэтому необходимо систематически проходить профилактические осмотры и сообщать врачу о любых нарушениях здоровья, затруднениях глотания, прохождения грубой пищи.
Поскольку к внешним факторам, способствующим развитию рака пищевода, относят неправильное питание (злоупотребление очень горячей, маринованной пищей, дефицит витаминов А и С), а также курение и злоупотребление алкоголем, с профилактической целью целесообразно отказаться от вредных привычек и нормализовать питание.
К каким докторам следует обращаться если у Вас Рак пищевода:
Вас что-то беспокоит? Вы хотите узнать более детальную информацию о Рака пищевода, ее причинах, симптомах, методах лечения и профилактики, ходе течения болезни и соблюдении диеты после нее? Или же Вам необходим осмотр? Вы можете записаться на прием к доктору .
Рак желудка
Рак желудка представляет собой злокачественное поражение эпителия слизистой оболочки органа. По статистике, рак желудка находится в пятерке «лидеров» среди всех онкологических заболеваний по частоте возникновения и занимает второе место по частоте смертельных исходов.
В большинстве случаев столь плачевная статистика связана со сложностями ранней диагностики.
Что такое рак желудка?
Рак желудка — это злокачественная опухоль, формирующаяся из клеток слизистой оболочки органа.
Несмотря на распространенность этого типа новообразований, каждый случай требует индивидуального подхода и разработки стратегии диагностики, лечения, а также тщательного стадирования. По мере развития, новообразование прорастает стенку желудка, может распространяться на соседние органы, метастазировать в отдаленные внутренние органы
Характерные черты заболевания
Рак желудка имеет ряд специфических черт:
- Чаще всего поражает пациентов старше 55 лет. В последние годы болезнь стала «молодеть», в редких случаях заболеть может даже ребенок.
- Мужчины страдают раком желудка чаще женщин.
- Часто протекает без выраженных симптомов или имеет скудную симптоматику, в связи с чем диагностика на ранних стадиях затруднена.
Причины рака желудка
Среди причин рака желудка называют:
- Преклонный возраст
- Осложненная наследственность
- Неправильное питание, гиподинамия, ожирение
- Наличие хронических заболеваний ЖКТ
- Полипоз желудка
- Курение, злоупотребление алкоголем
Виды рака желудка
В подавляющем большинстве, около 90% всех клинических случаев, речь идет об аденокарциноме.
Помимо аденокарциномы выделяют и другие виды опухоли желудка:
- Плоскоклеточный рак.
- Дифференцированный рак желудка.
- Железисто-плоскоклеточный рак и др.
По формам роста выделяют:
- Грибовидные опухоли. Такая опухоль склонна к позднему метастазированию, имеет экзофитный рост, четко отграничена от окружающих тканей.
- Опухоль изъязвленная. Имеет блюдцеобразную форму, углубление по центру. Также как и в первом случае четко отграничена от окружающих тканей и поздно метастазирует.
- Язвенно-инфильтративная опухоль. Прорастает стенки органа, не имеет четких границ.
- Диффузно-инфильтративная опухоль. Представляет собой смешанную форму. Имеет вид многочисленных изъязвлений, склонна к инфильтративному росту.
Исходя из расположения, могут быть:
- Опухоль дна желудка.
- Передней стенки.
- Задней стенки.
- Кардиальной зоны.
- Малой кривизны.
- Большой кривизны.
- Пилорической части.
Симптомы и первые признаки
- Чувство слабости.
- Нарушения со стороны психики: апатичность, индифферентное отношение к окружающему миру, депрессивное состояние.
- Чувство распирания в надчревной области.
- Диспепсические явления, среди которых: тошнота, длительно протекающая изжога.
- Резкое снижение веса (немотивированное, вне диеты).
- Болевой синдром различной степени интенсивности.
- Нарушения сна.
- Чувство переполненности желудка, плохой аппетит.
Отличить признаки рака желудка не просто. Точку в вопросе ставят диагностические мероприятия.
На развитых стадиях заболевания наблюдаются следующие симптомы опухоли желудка:
- Резкое снижение массы тела.
- Рвота без облегчения состояния.
- Тошнота.
- Ноющие боли, иррадиирующие в спину, поясницу. Чем более развита опухоль, тем интенсивнее боль.
- Кровотечения из ЖКТ, обусловленные разрушением сосудов. Проявляются рвота с кровью, черный стул и т.д.
- Анемия.
Как выглядит рак желудка?
На представленном фото рака желудка представлен внешний вид опухоли по стадиям развития.

Диагностика
Диагностика необходима, чтобы ответить на следующие вопросы:
- Оценка размеров злокачественной опухоли и ее распространенности.
- Определение локализации процесса.

Диагностика включает в себя два типа исследований: Выявление опухоли и оценку степени распространения опухолевого процесса для выработки оптимальной тактики лечения.
Методы диагностики
- Рентгенография желудка. Заключается в рентгенографическом исследовании органа с применением специального контрастирующего вещества, которое пациент выпивает до проведения процедуры. Это безболезненный и информативный способ обследования.
- ФГДС (фиброгастродуоденоскопия). Минимально инвазивное исследование, в ходе которого в желудок больного вводится специальный гибкий зонд с источником света и миниатюрной камерой. Позволяет визуально оценить состояние пищевода, желудка, начальных отделов тонкого кишечника. Параллельно с выполнением исследования производится забор биоматериала.
- Биопсия. Суть этого исследования состоит в заборе участка ткани для гистологического анализа. Может проводиться как во время ФГДС, так и в процессе проведения операции.
- Компьютерная томография. Дает возможность получить детальнейшие изображения структур желудка. Процедура абсолютно безболезненна и длится не долее 10-15 минут.
- Эндоузи (эндоскопическое ультразвуковое исследование). Процедура по своему характеру схожа с ФГДС, однако аппарат для ее проведения имеет дополнительный датчик, позволяющий более детально оценить глубину прорастания опухоли в слои стеки желудка.
- Лапароскопия. Минимально инвазивная операция, проводимая как в диагностических, так и в лечебных целях. Суть ее состоит во введении в брюшную полость через точечные разрезы специальных инструментов. Проводится под общим наркозом.

Оценка общего состояния здоровья больного.
- Общий анализ крови. Проводится с целью оценить количество гемоглобина, форменных элементов крови (лейкоцитов, эритроцитов, тромбоцитов). Для точности исследование следует выполнять натощак.
- Биохимия крови. Проводится для оценки количества АЛТ, АСТ, билирубина, амилазы, билирубина, глюкозы, альбумина и других показателей.
- Общий анализ мочи. Проводится для оценки работы выделительной системы человека.
- ФВД (функция внешнего дыхания). Проводится для оценки состояния легких. Суть исследования состоит в определении жизненного объема легких.
- Электрокардиография. Назначается для оценки функционального состояния сердца.
- ЭхоКГ (эхокардиография). Назначается для оценки анатомии и функционального состояния сердца.
Диагноз «рак желудка» выставляется только после полного обследования, в том числе обязательного гистологического исследования.
Методы лечения
Возможны следующие методы лечения рака желудка:
- Основным методом лечения больных раком желудка является хирургический.
Операция может производиться классическим либо лапароскопическим способами. В ходе хирургического вмешательства может быть удалена часть желудка или весь желудок, части окружающих органов, лимфоузлы и т.д. Все зависит от размера новообразования и его распространенности на другие органы.

Также может применяться в качестве паллиативной меры химиотерапия.
Прогноз рака желудка
Выживаемость зависит от степени распространения опухолевого процесса и общего состояния больного. В целом, можно представить следующие цифры прогноза при раке желудка:
- При I стадии заболевания пятилетняя выживаемость максимальна и достигает 90%.Около трех четвертей пациентов добиваются полного излечения.
- При IV стадии прогноз крайне неблагоприятный: смертность достигает 95%.
Противопоказания при лечении рака желудка
Существует несколько противопоказаний для оперативного вмешательства:
- Тяжелое состояние больного при болезнях сердца, легких, почек, печени.
- Наличие генерализованного опухолевого процесса.
В первом случае при переходе основных заболеваний в фазу компенсации возможно поставить вопрос о возможности хирургического лечения.
Лечение после операции
- Химиотерапия. Это внутривенное введение специальных препаратов, убивающих раковые клетки. Применяется после операции или в качестве самостоятельного метода терапии.
- Лучевая терапия. Применяется при диффузно растущих опухолях как метод дополнительного лечения либо назначается в паллиативных целях.
- Эндоскопические манипуляции. Применяются для улучшения состояния больных, не способных питаться естественным путем и т.д.
Профилактика рака желудка
Профилактика предполагает изменение рациона. В нем должно быть больше растительной пищи. Не стоит злоупотреблять копчеными, жареными и жирными продуктами. Они обладают канцерогенными свойствами. Также нельзя переедать. На алиментарные причины приходится порядка 35% всех случаев возникновения рака.
Необходимо отказаться от злоупотребления алкоголем, курения. Также важно своевременно лечить воспалительные заболевания желудка, такие как гастрит. Хронический воспалительный процесс — это благодатная почва для развития рака желудка.
Рак желудка — тяжелая и крайне опасная патология. Для ее лечения необходимо приложить максимум усилий, но не всегда это бывает оправдано. Куда проще предотвратить страшную болезнь. Чтобы это сделать, достаточно придерживаться указанных рекомендаций, и каждый год проходить профилактические осмотры.
Рак пищевода
Рак пищевода представляет собой опухоль злокачественного характера, происходящую из эпителиальных клеток пищевода. Заболевание берет начало с внутреннего слоя, то есть слизистой оболочки, а затем распространяется наружу, преодолевая подслизистый и мышечный слои.

Существует два основных вида такого заболевания:
- Плоскоклеточный рак. Он возникает из клеток, составляющих слизистую оболочку пищевода. Чаще всего встречается в зоне шеи, а также двух верхних третей грудной клетки.
- Аденокарцинома, другими словами - железистый рак. Чаще всего диагностируется в нижней трети пищевода. Вначале происходит замещение железистого эпителия плоскоклеточным (при пищеводе Барретта).
Статистика
Чаще всего (до 80% случаев) новообразование находится в нижне- и среднегрудном отделах пищевода. С частотой 10-15% случаев диагностируется рак шейного отдела пищевода.
Факторы риска
Основные факторы риска возникновения и развития такой болезни:
- мужской пол, потому что мужчины чаще подвержены вредным привычкам - курению и употреблению спиртного в больших количествах;
- возраст - чем он больше, тем выше риск, лишь 15% пациентов были младше 55-ти лет;
- избыточная масса тела;
- курение и злоупотребление спиртным;
- употребление очень горячих напитков и еды;
- пищевод Барретта (когда в нижней части пищевода возникает клеточное перерождение, вызываемое кислотным повреждением хронической формы);
- рефлюкс;
- ахалазия (когда нарушена запирательная функция отверстия между желудком и пищеводом);
- рубцы в пищеводе, приведшие к его сужению;
- синдром Пламмера-Винсона (для такого синдрома характерна триада, то есть три вида нарушений одновременно: нарушенная глотательная функция, суженный пищевод, железодефицитная анемия);
- контакт с химикатами.
Примерно у 1/3 заболевших диагностирован ВПЧ (вирус папилломы человека).
Риск заболеть этим видом рака можно снизить, если разнообразно питаться, не пить крепкий алкоголь, а при наличии синдрома Барретта отслеживать изменения в слизистой оболочке.
Скрининг этого заболевания не проводится. Однако при повышенном риске появления рака пищевода рекомендуется проходить эндоскопическое исследование, при необходимости с биопсией подозрительной зоны.
Симптомы
Обычно рак пищевода обнаруживается на поздних стадиях, когда терапия уже осложнена, или случайно.
Наиболее частая симптоматика включает следующее:
- Дисфагия. Этот симптом представляет собой нарушенную функцию глотания. Пациенты описывают свое состояние как ощущение «комка в горле». Заболевшие начинают уменьшать порции пищи, избегают твердой еды. На поздних стадиях возможно употребление только жидкой пищи.
- Повышенное слюноотделение. Больше слюны в ротовой полости начинает вырабатываться для того, чтобы помочь продвинуться пищевому комку через суженный просвет пищевода.
- Дискомфорт и боль в грудине. Эти симптомы не всегда относятся к раку пищевода, они могут вызываться межреберной невралгией, стенокардией, гастроэзофагеальным рефлюксом. Поэтому не являются специфическими.
- Снижение массы тела. При затрудненном глотании и общей слабости заболевший человек начинает отказываться от еды, поэтому похудение часто сопровождает рак пищевода.
Есть и более редкие симптомы:
- кашель;
- икота;
- хриплый голос;
- рвота;
- костные боли (при наличии метастазов);
- пищеводное кровотечение (после того как кровь проходит по ЖКТ, стул окрашивается в черный цвет);
- как следствие кровотечения - анемия (человек становится бледным, слабым, быстро утомляется, испытывает постоянную сонливость).
Важно! Наличие подобных симптомов еще не означает рак. Однако нужно обязательно обратиться к врачу и обследоваться.
Классификация рака пищевода
По области возникновения:
- внутригрудной отдел пищевода;
- шейный отдел (от нижней границы перстневидного хряща до входа в грудную полость);
- верхняя грудная зона (от входа в грудную полость до области бифуркации трахеи);
- средняя грудная область (проксимальная часть пищевода распространяется от зоны бифуркации трахеи до соединения пищевода с желудком);
- нижняя грудная область (дистальная часть пищевода примерно 10 см в длине, включая абдоминальную часть пищевода, распространяется от зоны бифуркации трахеи до соединения пищевода и желудка).
По характеру роста опухоли:
- в просвет пищевода (экзофитный);
- язвенный (эндофитный);
- круговая форма (инфильтративный склерозирующий).
По степени дифференцировки новообразования:
- степень не определена - Gx;
- высокодифференцированное образование - G1;
- умеренно дифференцированное - G2;
- малодифференцированное - G3;
- недифференцируемое - G4.

Стадии рака пищевода

Предлагаем ознакомиться с таблицей стадирования заболевания:

Диагностирование осуществляется инструментальными и лабораторными методами.
- Рентгенография с бариевым контрастом. Пациент принимает внутрь сульфат бария, который обволакивает стенки пищевода. Это позволяет увидеть на снимке рельеф стенок и обнаружить сужение просвета. На ранней стадии рак может иметь вид небольших круглых выпуклостей, то есть бляшек. На поздней стадии развития новообразование принимает вид большой опухоли неправильной формы, которая может вызывать сильное сужение пищевода. Рентгенография также позволяет диагностировать трахеопищеводную фистулу, то есть когда из-за разрушения новообразованием стенки пищевода на всю толщину пищевод начинает сообщаться с трахеей.

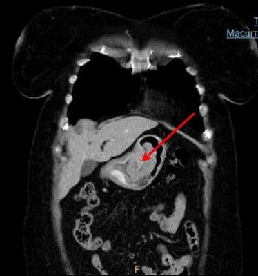
Рентгенодиагностика рака пищевода

Эндоскопическая картина аденокарциномы

Эндоскопическая картина плоскоклеточного рака
Лабораторные исследования
- Клинический анализ крови. Позволяет выявить анемию, которая возникает из-за кровотечения или скудного рациона.
- Биохимический анализ крови. Он показывает состояние внутренних органов, а именно почек, печени и др.
- Анализ на онкомаркеры СА 19-9, РЭА.
- Исследование биоматериала, взятого во время биопсии. В нем определяют рецепторы белка HER2. При их наличии против новообразования можно использовать таргетную терапию.
Лечение
Основной метод лечения - хирургическая операция, однако комплексный подход позволяет улучшить результаты. Поэтому различные методики комбинируются.
Хирургическое лечение
В ходе операции удаляют пищевод целиком или его часть, все зависит от распространенности и локализации патологического процесса.
Когда опухоль находится в шейном отделе, удаляют большую часть пищевода. После этого желудок поднимают и подшивают к оставшейся части пищевода. Кроме того, вместо удаленной части методом пластической операции может быть использована часть толстой или тонкой кишки. При возможности выполнения резекции шейного отдела пищевода может быть выполнена пластика кишкой с микрососудистым анастомозом сосудов на шее.

При локализации опухоли в шейном отделе пищевода с большим распространением приходится выполнять операцию в объеме: удаления фаринголарингоэктомии с одномоментной пластикой пищевода желудочным трансплантатом, с пришиванием его к корню языка.
Хирургическое вмешательство по удалению части пищевода с последующим замещением трансплантатом может быть проведено открытым способом или методом торакоскопии и лапароскопии.
При любом типе вмешательства удаляют регионарные лимфоузлы, которые потом исследуют в лаборатории методом гистологии. Если в них обнаруживаются раковые клетки, то после операции пациенту прописывают лучевое лечение или химиотерапию в комбинации с ЛТ.
Также существуют паллиативные операции. Их проводят для того, чтобы пациент мог питаться, если из-за опухоли он не может глотать. Этот тип вмешательства называется гастростома, то есть введение через переднюю брюшную стенку в желудок специальной трубки для питания.
Лучевая терапия
Применяется ионизирующее излучение с целью уничтожения клеток новообразования. Такая терапия может проводиться:
- Тем пациентам, которым по состоянию здоровья нельзя делать операцию. В этом случае облучение, обычно вместе с химиотерапией, представляет собой основную методику лечения.
- При локализации опухоли в области шейного отдела пищевода химиолучевая терапия является первым этапом комбинированного метода лечения.
- Перед операцией вместе с химиотерапией. Это нужно, чтобы уменьшить опухоль и обеспечить ее лучшее удаление (называется «неоадъювантная терапия»).
- После хирургического вмешательства вместе с химиотерапией. Таким образом воздействуют на остаточную опухоль, которую нельзя было увидеть во время операции (носит название «адъювантная терапия»).
- Для облегчения симптоматики при распространенном раке пищевода. Позволяет снизить интенсивность болевого синдрома, устранить кровотечение и трудности с глотанием. В данном случае это паллиативная терапия.
Разновидности лучевого лечения:
- Наружное (дистанционное). Источник ионизирующего излучения находится на расстоянии от пациента.
- Контактное (называется «брахитерапия»). Источник излучения эндоскопическим методом размещается как можно ближе к новообразованию. Ионизирующие лучи проходят малое расстояние, поэтому достигают опухоли, но мало затрагивают расположенные рядом ткани. Лечение позволяет уменьшить новообразование и восстановить проходимость.

Дозное распределение, получаемое при дистанционной конформной лучевой терапии и внутрипросветной брахитерапии
Химиотерапия
Данная методика представляет собой введение в организм препаратов, затормаживающих жизнедеятельность опухолевых клеток или уничтожающих их. Лекарственные средства принимаются внутрь или вводятся в вену, после чего попадают в кровоток и достигают почти всех областей организма.
Химиотерапия осуществляется циклами. Это связано с тем, что действие препарата направлено на те клетки, которые постоянно делятся. Введение повторяется через определенное число дней, что связано с клеточным циклом. Циклы химиотерапии, как правило, имеют продолжительность 2-4 недели, больным обычно показано несколько циклов.
Как и облучение, химиотерапия показана в адъювантном и неоадъвантном режимах. Также она применяется, чтобы облегчить симптоматику тем больным, у которых рак распространен и не поддается хирургическому лечению.
- «Цисплатин» и «5-фторурацил» («5-FU»);
- «Паклитаксел» и «Карбоплатин»;
- «Цисплатин» совместно с «Капецитабином»;
- схема ECF: «Эпирубицин», «Цисплатин» и «5-FU»;
- схема DCF: «Доцетаксел», «Цисплатин» и «5-FU»;
- «Оксалиплатин» совместно либо с «Капецитабином», либо с «5-FU»;
- «Иринотекан».
Таргетная терапия
Направлена на блокировку роста новообразования путем воздействия на определенные мишени, то есть на те молекулы, которыми определяются деление и рост опухоли. Если в биоматериале, взятом методом биопсии, находят такие белковые молекулы, то может быть эффективна именно таргетная терапия.
Паллиативные методы
При проведении паллиативной терапии применяют следующие методики:
- Бужирование, то есть расширение пищевода.
- Установку стентов эндоскопическим методом. Стенты - это полые цилиндры, которые устанавливаются в просвет пищевода, чтобы обеспечить проходимость пищи.

Стентирование рака пищевода
Лечение рака пищевода изменяется в зависимости от стадии
0 стадия
Опухоль на этой стадии - это не истинный рак. В ней содержатся аномальные клетки. Такое состояние называют «дисплазией», это разновидность предраковых заболеваний. Аномальные клетки имеют вид раковых, но встречаются только во внутренней оболочке пищевода (эпителии), они не растут в глубокие слои пищевода.
Обычно применяются эндоскопические методики лечения:
- PDT, или фотодинамическая терапия;
- RFA, то есть радиочастотная абляция;
- EMR, эндоскопическое удаление опухоли слизистой оболочки (после этого обеспечивается длительное наблюдение с применением эндоскопии, чтобы вовремя заметить рецидив, если он возникнет).
I стадия
Новообразование затрагивает мышечную или собственную пластинку слизистой, но не поражает другие органы и лимфоузлы.
- Рак T1. Заболевание на ранней стадии, когда оно находится только в небольшой зоне слизистой и не достигло подслизистой основы (новообразования Т1а), может быть удалено путем эндоскопической резекции в рамках слизистой или подслизистого слоя. Иногда медики рекомендуют хирургически удалить часть пищевода, а затем провести облучение и химиотерапию.
- Рак Т2. Опухоль затрагивает мышечную пластинку слизистой. Таким пациентам перед операцией проводятся химиотерапия и облучение. Исключительно хирургическое удаление рекомендовано, только когда новообразование менее 2 см в размере.
Когда рак локализуется в зоне шеи, вместо операции в качестве основного метода лечения могут быть рекомендованы облучение и химиотерапия.
II и III стадии
На второй стадии опухоль распространяется на главный мышечный слой пищевода либо его наружную оболочку. Также новообразование поражает 1 или 2 расположенных рядом лимфоузла.
При третьей стадии новообразование прорастает на наружную оболочку пищевода, может распространяться на соседние органы, им поражены регионарные лимфоузлы. Рекомендовано комбинированное лечение, которое включает операцию и предваряющие ее химиотерапию либо химиотерапию в сочетании с облучением. Если по состоянию здоровья для пациента есть риск не пережить операцию, то химиотерапия в сочетании с облучением становится основным методом лечения.
IV стадия
Рак затрагивает отдаленные лимфоузлы, есть метастазы в отдаленных органах (легких, печени). На такой стадии основная цель лечения - как можно более долгий контроль над распространением и размером новообразования. Пациентам проводится симптоматическое лечение для облегчения боли, восстановления возможности питаться и др. Применяется лучевая терапия и химиотерапия.
Профилактика
Чтобы предупредить такое заболевание, нужно исключить алкоголь и курение, контролировать массу тела. Если у человека присутствует повышенный риск развития этого типа рака (это такие патологии, как пищевод Барретта, ахалазия кардии, стриктуры пищевода, хронические эзофагит), то он должен регулярно обследоваться с обязательным применением эндоскопии.
Важно! Если рано диагностировать рак пищевода, то его можно вылечить с вероятностью от 85% до 100%.
Когда лечение рака завершено, нужно регулярно проходить контрольные обследования:
- После радикального лечения, сочетающего хирургию, химиотерапию и лучевую терапию: в первые 2 года - каждые 3-6 месяцев, в следующие 3-5 лет - каждые 6-12 месяцев, затем - каждый год.
- Тем, у кого был обнаружен ранний рак и кто подвергся эндоскопическому удалению слизистой: в первый год - каждые 3 месяца эндоскопическое обследование, во 2-й и 3-й годы - каждые полгода, затем - каждый год.


Авторская публикация:
Бекяшева Зоя Салаватовна
Ординатор хирургического отделения опухолей головы и шеи
НМИЦ онкологии им Н.Н. Петрова

Под научной редакцией:
Раджабова Замира Ахмедовна
Заведующий отделением опухолей головы и шеи, врач-онколог, научный сотрудник, доцент, кандидат наук
НМИЦ онкологии им. Н.Н. Петрова
Что вам необходимо сделать
Если вы хотите узнать побольше о бесплатных возможностях ФБГУ НМИЦ онкологии им. Н.Н. Петрова Минздрава России, получить очную или заочную консультацию по диагностике и лечению, записаться на приём, ознакомьтесь с информацией на официальном сайте.
Если вы хотите общаться с нами через социальные сети, обратите внимание на аккаунты в ВКонтакте и Одноклассники.
Рак пищевода — это общее название для злокачественных опухолей, образующихся из тканей пищевода. Наиболее часто рак развивается из эпителия слизистой пищевода (карцинома), но встречаются и другие формы заболевания. Болезнь чаще диагностируется у мужчин, средний возраст больного — 50-60 лет.
Акции

Полное обследование на онкологические заболевания для мужчин и женщин.

Онкоконсилиум может потребоваться как при лечении в «СМ-Клиника», так и пациентам других медицинских учреждений с целью получения альтернативного мнения.

«СМ-Клиника» предоставляет своим пациентам предоперационное обследование со скидкой до 72%!
Консультация врача-хирурга по поводу операции бесплатно!
Содержание статьи:
Рак пищевода - злокачественное новообразование, развивающееся преимущественно из эпителия внутренней слизистой оболочки органа. Опухоль растет в толщу стенки и вдоль пищевода, дает ранние метастазы в близлежащие лимфатические узлы из-за обширной лимфатической сети в окружающей клетчатке.
Рак пищевода считается болезнью пожилых людей. Крайне редко он выявляется у людей в возрасте до 30 лет. В среднем заболевание диагностируется в 64 года у мужчин и после 70 лет - у женщин. Мужчины страдают им чаще женщин, в общей структуре онкологических заболеваний у мужчин этот вид опухоли составляет 2,5%, у женщин - 0,5%.
Злокачественная опухоль пищевода занимает шестое место по распространенности среди всех раковых новообразований и первое - среди опухолей органов пищеварения.
Болезнь отличается медленным течением и, зачастую, поздним выявлением, так как больные обращаются к врачу, когда сужение органа, вызванное опухолью, занимает до ⅔ его просвета. При некоторых локализациях рака пищевода оперативное лечение невозможно, а химиотерапия часто оказывается неэффективной.
Причины и факторы риска заболевания
Злокачественное перерождение клеток слизистой оболочки пищевода могут спровоцировать многие факторы. Условно их можно разделить на несколько групп.
- Алиментарные (пищевые). Это привычка есть слишком горячую или слишком холодную пищу, избыток в меню острых блюд, солений, маринадов, продуктов с плесневыми грибами, недостаток фруктов и овощей, авитаминоз, особенно недостаток витаминов A, B, E.
- Вредные привычки - курение и алкоголь.
- Профессиональные вредности и воздействие химических веществ. Сюда относятся как случайные ожоги пищевода едкими веществами, так и постоянное воздействие вредных веществ на производстве (работа в плохо проветриваемых помещениях, вдыхание токсических газов, производственной пыли) либо в быту (проживание в местностях с загрязненным воздухом, частыми задымлениями из-за пожаров).
- Различные заболевания. Спровоцировать развитие новообразования могут ожирение, гастроэзофагеальный рефлюкс, грыжи пищеводного отверстия диафрагмы, ахалазия пищевода, болезнь Баретта. Две последних патологии многократно повышают риск возникновения опухоли.
- Наследственная предрасположенность.
Симптомы рака пищевода
Нередко больные обращаются за медицинской помощью, когда у них затрудняется проглатывание пищи. К этому моменту опухоль уже достигает значительных размеров, что существенно ухудшает прогноз выживаемости. Однако существуют и ранние признаки заболевания, которые свойственны и другим патологиям. Важно обратиться к врачу уже при их появлении для своевременной постановки диагноза и начала лечения.
Если новообразование располагается в верхнем или среднем отделе пищевода, первыми симптомами будут поперхивание и неприятные ощущения (жжение, саднение, незначительная боль) при проглатывании твердой пищи. При развитии опухоли в нижнем отделе, в месте соединения пищевода с желудком, ранним признаком является постоянное срыгивание воздуха. К ранним признакам рака пищевода, характерным для опухолей всех его отделов, относятся диспепсические явления - отрыжка, изжога, тошнота.
Поздние признаки злокачественного новообразования пищевода - это симптомы дисфагии, или нарушения акта глотания.
Они разделяются на степени со II по V (I относится к ранним признакам).
- II - затрудненное глотание твердой пищи, для проглатывания пищу необходимо запивать водой. Для облегчения прохождения пищи возникает обильное слюноотделение. Могут наблюдаться срыгивания слюной и слизью, пищеводная рвота вследствие задержки пищи выше места сужения.
- III - невозможность проглотить твердую пищу, срыгивание при попытке глотания. Больные могут питаться только жидкой и полужидкой пищей.
- IV - возможно глотание только жидкости.
- V - полная непроходимость пищевода. Больные не могут проглотить воду, слюну.
По мере развития симптомов дисфагии, из-за застоя пищи в месте сужений, происходит ее разложение, сопровождающееся местными воспалительными изменениями, появляются гнилостный запах изо рта, боли, вначале периодические, потом постоянные. Может возникнуть как незначительное, так и обильное кровотечение. Скопление пищи может привести к ее забросу в дыхательные пути (в основном это случается в ночное время) и аспирационной пневмонии. На поздних стадиях есть риск возникновения свищей между пищеводом и трахеей, средостением. Из-за затруднения глотания больные ограничивают себя в еде, теряют вес, вплоть до истощения.
Виды рака пищевода
Классификацию патологии проводят по разным критериям.
По месту расположения опухоли и метастазов:
- Рак шейного (верхнего) отдела пищевода. Диагностируется реже остальных видов, не более чем в 10% случаев. Дает ранние метастазы в средостение, шейную клетчатку и надключичное пространство. Метастазы также распространяются в лимфоузлы шеи, подключичные, медиастинальные и паратрахеальные.
- Рак грудного (среднего) отдела. Самый распространенный, занимает долю в 60% от всех злокачественных новообразований пищевода. Ранние метастазы определяются в окружающей клетчатке, лимфоузлах средостения, малого сальника. Поздние - в бронхах, легких, печени.
- Рак брюшного (нижнего) отдела. Составляет 30% всех случаев рака пищевода. Ранние метастазы обнаруживаются в поддиафрагмальных, параэзофагеальных, околокардиальных лимфоузлах, в узлах, находящихся вдоль левой желудочной артерии и малой кривизны желудка. Поздние метастазы выявляются в костях, печени.
Для всех видов характерны метастазы Вирхова - поздние метастазы в лимфоузлы левой надключичной области.
По направлению роста и внешнему строению:
- Эндофитная (язвенная) форма. Ее доля - около 30% всех случаев рака пищевода. Растет вглубь органа, провоцируя его спазм и стеноз. Эндофитная форма делится на:
- блюдцеобразный рак - опухолевое образование в форме кольца с приподнятыми, хорошо определяемыми краями и изъязвлением в середине;
- язвенный рак - новообразование не отграничено валиком от прилежащей ткани, распространяется на нее в виде «языков» или «кинжалов».
- полипозный рак - образование растет в виде множества узлов неправильной формы, напоминающих цветную капусту, держится на хорошо различимой ножке;
- грибовидный - похож на полипозный, но опухоль более четкой формы, напоминающей гриб;
- узловой - напоминает полипозный и грибовидный, но без четко выраженной ножки;
- мозговидный - мягкое образование, быстро распространяющееся по слизистой оболочке и быстро распадающееся.
Смешанный рак пищевода - одна из форм переходит в другую. Так, полипозная опухоль может изъязвляться и приобретать блюдцеобразное очертание.
Классификацию язвенная, склерозирующая и узловая также используют для макроскопического описания строения новообразования.
По гистологическому строению:
- Плоскоклеточный рак (карцинома). Развивается из многослойного плоского эпителия в верхнем слое слизистой оболочки пищевода. Самый распространенный - 98% случаев злокачественных образований пищевода. Бывает ороговевающим и неороговевающим (более агрессивный).
- Цилиндроклеточный рак (аденокарцинома). Развивается из цилиндрических клеток желез пищевода, находящихся в подслизистом слое. Часто бывает вторичным, распространяющимся из желудка. Часто и быстро дает метастазы.
- Саркома пищевода. Возникает из стромальной (соединительной или мышечной) ткани. Бывает смешанной с другими видами, крайне злокачественная, часто рецидивирует.
- Редкие опухоли - мукоэпидермоидный, мелкоклеточный рак, меланома. Характеризуются высокой злокачественностью.
- Недифференцированный рак - гистологический вид опухоли определить невозможно из-за низкой дифференциации клеток.
По дифференциации клеток:
- Высокодифференцированный рак - клетки максимально схожи со здоровыми, но имеют признаки атипии. Течение - медленное, больше вероятность благополучного исхода. Дает единичные метастазы, хорошо реагирует на терапию.
Умеренно дифференцированный. Промежуточная форма, отличается умеренной злокачественностью. Относительно благоприятный прогноз при своевременной диагностике. - Низкодифференцированный - аномальная неодинаковая структура клеток (полиморфизм), которые быстро делятся и растут. Отличается сильной злокачественностью.
- Недифференцированный рак - наиболее агрессивный, часто бывает вторичным. В этой ситуации тяжесть состояния обусловлена имеющимся первичным очагом.
Степени рака пищевода
Стадирование учитывает глубину проникновения опухоли, наличие регионарных и отдаленных очагов метастазирования.
I новообразование в слизистой оболочке и подслизистом слое. Просвет пищевода в норме. Метастазы отсутствуют. II опухоль помимо слизистого и подслизистого слоев, затрагивает мышечную ткань. Просвет пищевода незначительно уменьшен. Возможны отдельные метастазы в регионарные лимфоузлы. III опухоль переходит на внешнюю оболочку, не затрагивая соседние органы. Просвет пищевода сильно стенозирован. В регионарных лимфоузлах - многочисленные метастазы. IV новообразование проникает во все слои пищевода, переходит на близлежащие органы. Выявляются регионарные и отдаленные метастазы. В международной классификации используется обозначение TNM, где T (x, 0, Is, 1, 1a, 1b, 2, 3, 4a, 4b) - первичная опухоль, N (x, 0, 1, 2, 3) - регионарные лимфоузлы, M (0,1) - отдаленные метастазы.
Диагностика рака пищевода
При первичном обращении врач соберет анамнез жизни и болезни пациента (вредные привычки, профессиональные вредности, жалобы, когда появились первые симптомы), проведет визуальный осмотр, пальпацию лимфоузлов, даст направление на общие анализы крови, мочи, биохимический анализ крови.
Дополнительно назначаются следующие исследования:
- эндоскопическое ультразвуковое исследование пищевода, как правило, совмещается со взятием биопсии; с контрастом - для выявления сужений пищевода; с контрастным усилением - для выявления метастазов в регионарных лимфоузлах, отдаленных метастазов;
- позитронно-эмиссионная томография - для подтверждения метастатической природы увеличенных лимфоузлов;
- бронхоскопия - для исключения проникновения процесса в бронхи;
- торакоскопия, УЗИ брюшной полости - для оценки вовлеченности в процесс органов грудной полости и желудочно-кишечного тракта, обнаружения метастазов; .
Лечение рака пищевода
Лечебные мероприятия подбираются онкологом, хирургом, радиологом и другими специалистами в зависимости от времени выявления злокачественного новообразования, локализации опухоли, ее стадии, отсутствия или наличия метастазов, общего состояния больного.
При возможности оперативного лечения оно, как правило, сочетается с лучевой терапией. Во время операции может проводиться как полное иссечение опухоли с прилежащими тканями и расположенными рядом лимфоузлами, так и ее частичная резекция для освобождения просвета пищевода. Для замещения части удаленного пищевода используется ткань тонкого или толстого кишечника.
При невозможности хирургического лечения рака пищевода методикой выбора становится лучевая терапия. Также, в качестве паллиативного лечения, может применяться фотодинамическая терапия - в опухолевую ткань вводится светочувствительный элемент, и она разрушается лазером. Процедура проводится для облегчения глотания, полностью уничтожить с ее помощью опухоль нельзя.
Химиотерапия при этом виде рака обычно применяется как вспомогательный метод, для подавления активности малигнизированных клеток.
После лечения все пациенты состоят на учете у онколога, регулярно проходят обследование.
Прогноз заболевания
Как и при других онкопатологиях, выживаемость и возможность излечения зависят от времени обнаружения опухоли. Рак пищевода - один из наиболее трудно поддающихся лечению. В целом, при поздней диагностике и отсутствии терапии продолжительность жизни с момента постановки диагноза составляет не более 5-7 месяцев. При раннем выявлении - до 6-7 лет.
Прогноз выживаемости зависит от локализации опухоли и наличия метастазов. При проведении комплексной терапии (оперативное лечение и лучевая/химиотерапия) выживаемость более 5 лет составляет:
- при выявлении рака на I стадии - 80-90%;
- на II - 40-50%;
- на III - 5-10%.
Новые методики лечения помогают повысить продолжительность жизни пациентов. Применение стереотаксической радиохирургии (кибернож) в комплексе с лучевой терапией на линейном ускорителе увеличивает выживаемость на 25%. Радикальная программа лучевой терапии с дифференцированным облучением первичной опухоли, зон перифокальной инфильтрации, а также путей регионарного метастазирования, повышает выживаемость при всех стадиях рака пищевода на 15%.
При неоперабельной опухоли применяется лучевая терапия, которая позволяет увеличить продолжительность жизни до 12 месяцев у 10% больных.
Профилактика рака пищевода
Специфической профилактики заболевания не существует. Снизить риск развития рака помогут отказ от алкоголя и курения, нормализация питания и веса, регулярное обследование органов желудочно-кишечного тракта, обращение к врачу при первых признаках заболевания. Больным с гастроэзофагеальной болезнью показано ежегодное эндоскопическое обследование, с пищеводом Барретта - биопсия.
Михайлов Алексей Геннадьевич оперирующий онколог, врач высшей квалификационной категории, к.м.н. стаж: 21 год
Информация в статье предоставлена в справочных целях и не заменяет консультации квалифицированного специалиста. Не занимайтесь самолечением! При первых признаках заболевания необходимо обратиться к врачу.
Рак пищевода - злокачественная опухоль, формирующаяся из разросшегося и переродившегося эпителия стенки пищевода. Клинически рак пищевода проявляется прогрессирующими расстройствами глотания и, как следствие, снижением массы тела в результате недостаточного питания. Первоначально, как правило, обнаруживают опухолевое образование при рентгенографии, эндоскопическом исследовании, КТ или УЗИ. Диагноз - рак пищевода - устанавливают после проведения гистологического исследования биоптата новообразования на предмет обнаружения злокачественных клеток.
![Эндоскопия пищевода Барретта - предракового состояния]()
![КТ грудной клетки. Выраженное циркулярное мягкотканное утолщение стенки пищевода в нижней трети]()
Общие сведения
Как и всякое злокачественное новообразование, рак пищевода имеет тем более неблагоприятный прогноз, чем позднее выявлено заболевание. Раннее обнаружение рака способствует более выраженному эффекту, опухоли на 3-4 стадии обычно не подлежат полному излечению. При прорастании раковой опухолью стенок пищевода поражаются окружающие ткани средостения, трахею, бронхи, крупные сосуды, лимфатические узлы. Опухоль склонна к метастазированию в легкие, печень, может распространяться по пищеварительному тракту в желудок и кишечник.
Факторы риска развития рака пищевода
![Эндоскопия пищевода Барретта - предракового состояния]()
В настоящее время механизмы развития рака пищевода до конца не изучены. Факторами, способствующими возникновению злокачественной опухоли, являются: курение, злоупотребление алкоголем, употребление излишне горячей и слишком холодной пищи, производственные вредности (вдыхание токсических газов), содержание тяжелых металлов в питьевой воде, химические ожоги пищевода при проглатывании едких веществ.
Регулярное вдыхание воздуха, содержащего пылевую взвесь вредных веществ (при проживании в задымленной местности, работе в непроветриваемых помещениях с высокой концентрацией производственной пыли), также может способствовать развитию рака.
Заболеваниями, способствующими развитию рака пищевода, является гастроэзофагеальная болезнь, ожирение, кератодермия. Грыжи пищевода, ахлозия (расслабление нижнего сфинктера пищевода) способствуют регулярному рефлюксу - забросу содержимого желудка в пищевод, что в свою очередь ведет к развитию специфического состояния: болезни Барретта.
Болезнь Баррета (пищевод Баррета) характеризуется перерождением эпителиальной выстилки пищевода по типу желудочного эпителия. Это состояние считают предраковым, как и большинство эпителиальных дисплазий (нарушений развития ткани). Отмечено, что рак пищевода чаще возникает у лиц старше 45 лет, мужчины страдают им в три раза чаще женщин.
Развитию рака способствует питание, содержащее недостаточное количество овощей, зелени, белка, минералов и витаминов. Нерегулярное питание, склонность к перееданию также оказывают негативное влияние на стенки пищевода, что может способствовать снижению защитных свойств. Одним из факторов озлокачествления предраковых образований является снижение иммунитета.
Рак пищевода классифицируется согласно международной номенклатуре TNM для злокачественных новообразований:
- по стадии (Т0 - предрак, карцинома, неинвазивная эпителиальная опухоль, Т1 - рак поражает слизистую, Т2 - опухоль прорастает в подслизистый слой, Т3 - поражены слои вплоть до мышечного, Т4 - проникновение опухоли сквозь все слои стенки пищевода в окружающие ткани);
- по распространению метастазов в региональных лимфоузлах (N0 - нет метастазов, N1 - есть метастазы);
- по распространению метастазов в отдаленных органах (М1 - есть, М0 - нет метастазов).
Также рак может классифицироваться по стадиям от первой до четвертой в зависимости от распространенности опухоли в стенке и ее метастазирования.
Рак пищевода ранних стадий чаще всего не проявляется клинически, симптоматика начинает проявляться при наличии уже довольно крупной опухоли, мешающей продвижению пищи. Самым распространенным симптомом рака пищевода является расстройство глотания - дисфагия. Больные стремятся принимать жидкую пищу, более твердая застревает в пищеводе, создавая ощущение «комка» за грудиной.
При прогрессировании опухоли может отмечаться болезненность за грудиной, в глотке. Боль может отдавать в верхнюю часть спины. Снижение проходимости пищевода способствует возникновению рвоты. Как правило, продолжительный недостаток питания (связанный с затрудненным приемом пищи) приводит к общей дистрофии: снижению массы тела, расстройству работы органов и систем.
Часто рак пищевода сопровождается постоянным сухим кашлем (возникает рефлекторно как следствие раздражения трахеи), охриплостью (хронический ларингит). На терминальных стадиях развития опухоли в рвоте и кашле можно обнаружить кровь. Все клинические проявления рака пищевода неспецифичны, но требуют безотлагательного обращения к врачу. Регулярного диспансерного наблюдения у гастроэнтеролога требуют больные, страдающие болезнью Баррета, как лица с высоким риском развития рака пищевода.
Как всякое новообразование, опухоль пищевода можно назвать злокачественной только после проведения биопсии и выявления раковых клеток. Для визуализации опухли применяются: рентгенография легких (иногда можно увидеть формирование очагов рака в легких и средостении), контрастная рентгенография с барием позволяет обнаружить опухолевое образование на стенках пищевода. Эндоскопическое исследование (эзофагоскопия) позволяет детально осмотреть внутреннюю стенку, слизистую, обнаружить новообразование, исследовать его размер, форму, поверхность, наличие или отсутствие изъязвлений, некротизированных участков, кровоточивости. При эндоскопическом ультразвуковом исследовании можно определить глубину прорастания опухоли в стенку пищевода и окружающие ткани и органы.
УЗИ брюшной полости дает информацию о наличие метастазов рака пищевода. МСКТ и магнитно-резонансная томография позволяет получить детальные снимки внутренних органов, выявить изменения лимфоузлов, органов средостения, состояние сосудов и прилегающих тканей. Позитронно-эмиссионная томография (ПЭТ) дополняет эти исследования, выявляя злокачественные ткани. При лабораторном исследовании крови определяется присутствие онкомаркеров.
![КТ грудной клетки. Выраженное циркулярное мягкотканное утолщение стенки пищевода в нижней трети]()
Тактика лечения рака пищевода зависит от его локализации, размера, степени инфильтрации стенки пищевода и окружающих тканей опухолью, наличием или отсутствием метастазов в лимфоузлах и других органах, общего состояния организма. Как правило, в выборе терапии принимает участие несколько специалистов: гастроэнтеролог, онколог, хирург, специалист по лучевой терапии (радиолог). В большинстве случаев комбинируют все три основных методики лечения злокачественных новообразований: хирургическое удаление опухоли и пораженных тканей, радио-лучевая терапия и химиотерапия.
Хирургическое лечение рака пищевода заключается в резекции части пищевода с опухолью и прилежащими тканями, удаление располагающихся рядом лимфатических узлов. После чего оставшийся участок пищевода соединяют с желудком. При этом для пластики пищевода могут использовать как ткань самого желудка, так и кишечную трубку. Если опухоль не подлежит полному удалению, то ее иссекают частично, чтобы освободить просвет пищевода.
В послеоперационном периоде пациенты питаются парентерально, пока не восстановится возможность употреблять пищу обычным способом. Для предупреждения развития инфекции в послеоперационном периоде больным назначают антибиотикотерапию. Для уничтожения оставшихся злокачественных клеток дополнительно возможно проведение курса лучевой терапии.
Лучевая противораковая терапия заключается в облучении пораженного участка тела рентгеновским излучением высокой интенсивности. Существует внешняя радиационная терапия (облучение проводят из внешнего источника в область проекции облучаемого органа) и внутренняя радиотерапия (облучение введенными в организм радиоактивными имплантантами). Нередко лучевая терапия становится методикой выбора при невозможности осуществления хирургического удаления опухоли.
Химиотерапия при раке пищевода применяется в качестве вспомогательного метода подавления активности раковых клеток. Химиотерапию проводят с помощью сильных цитотоксических препаратов. Больным, которым невозможно произвести хирургическую коррекцию просвета пищевода, с целью облегчения глотания показана фотодинамическая терапия. Эта методика заключается в ведении в опухолевую ткань светочувствительного вещества, после чего воздействуют на рак лазером, разрушая его. Однако добиться с помощью этой методики полного уничтожения злокачественного образования нельзя - это паллиативная терапия. По окончании курса противоопухолевого лечения все больные обязательно находятся на онкологическом учете и регулярно проходят комплексное обследование.
Осложнения рака пищевода и его лечения
Основное осложнение рака пищевода - это похудание, возникающее в результате прогрессирующей дисфагии. Также могут возникать различные алиментарные расстройства (алиментарная дистрофия, гиповитаминоз) как следствие недостаточности питания. Злокачественная опухоль может осложняться присоединением бактериальной инфекции. Помимо этого, опухоль может изъязвляться и кровоточить.
Химиотерапия зачастую сопровождается выраженными побочными эффектами: облысение (алопеция), тошнота и рвота, диарея, общая слабость, головные боли. Пациенты, которым проводилась фотодинамическая терапия, должны избегать прямых солнечных лучей в ближайшие месяцы, поскольку их кожа приобретает особую чувствительность к свету.
Прогноз при раке пищевода
Излечение рака пищевода возможно на ранних стадиях, когда злокачественный процесс ограничен стенкой пищевода. В таких случаях хирургическое иссечение опухоли в сочетании с радио-лучевой терапией дает весьма положительный эффект, есть все шансы к полному выздоровлению. Когда рак обнаружен уже на стадии метастазирования и опухоль прорастает в глубокие слои, прогноз неблагоприятный, полное излечение, как правило, невозможно.
В тяжелых случаях, старческом возрасте и при невозможности полного удаления опухоли применяют паллиативное лечение для восстановления нормального питания. Выживаемость пациентов с неоперированным раком пищевода не превышает 5%.
Специфической профилактики рака пищевода не существует. Желательно избегать курения и злоупотребления алкоголем, регулярно проводить обследование пищеварительного тракта на предмет заболеваний, являющихся предраковыми состояниями, следить за своим весом.
В случае имеющейся гастроэзофагеальной болезни регулярно проводить эндоскопическое обследование. Больным с пищеводом Баррета показана ежегодная биопсия.
Читайте также:
- Обследование ребенка с нарушением слуха
- Стафилококковые и стрептококковые инфекции у детей: импетиго, фурункул, периорбитальный целлюлит, синдром ошпаренной кожи
- Реакция ЧСС на физическую нагрузку. Хронотропный индекс
- Частичные агонисты. Изменение ответа на лекарство при десенсебилизации
- Диагностика центральной нейроцитомы по КТ, МРТ


