Рак яичка - частота, причины
Добавил пользователь Евгений Кузнецов Обновлено: 09.01.2026
онкологическими заболеваниями. В 2% случаев рака яичка наблюдается двухстороннее поражение. Пик заболеваемости приходится на третий и четвёртый десяток жизни. Для лечения рака яичка в Юсуповской больнице созданы все необходимые условия:
- Европейский уровень комфорта в палатах;
- Внимательное отношение медицинского персонала;
- Использование новейшей диагностической аппаратуры ведущих мировых производителей;
- Применение инновационных методов противоопухолевой терапии.
Онкологи в совершенстве владеют техникой операций, применяют химиотерапевтические препараты, которые обладают высокой эффективностью и минимальным спектром побочных эффектов.
Причины
Рак яичка представляет собой злокачественное новообразование, которое происходит из железистой или эпителиальной ткани яичка (реже из придатков). Данной опухоли свойственен быстрый рост, раннее метастазирование в регионарные лимфатические узлы и отдалённые органы. Онкологам известны следующие факторы риска развития рака яичка:
- Крипторхизм - выявляют у 22% пациентов, страдающих злокачественной опухолью яичка;
- Травма органов мошонки в прошлом - имела место у 20% больных раком яичка;
- Орхит (воспаление мужских половых желез);
- Синдром Клайнфельтера (генетическое заболевание, которое характеризуется дополнительной женской половой Х хромосомой;
- Контралатеральная опухоль или интратубулярное (внутрипротоковое) герминогенное новообразование.
Причиной рака яичка может быть гормональный дисбаланс. У большинства пациентов с герминогенными опухолями отмечено снижение концентрации половых гормонов и повышение концентрации гонадотропинов. В связи с генетической предрасположенностью высокая вероятность развития рака яичка у ближайших родственников.
Симптомы
Фото злокачественных новообразований мужских половых желез можно найти в интернете. Основополагающим проявлением злокачественного опухолевого процесса является появление в тканях мошонки плотного образования, которое увеличивает размеры половой железы. Пациенты предъявляют следующие жалобы:
- Болезненность в животе и мошонке;
- Припухлость яичка;
- Чрезмерная утомляемость и слабость;
- Резкое похудение;
- Частая субфебрильная гипертермия с подъёмом температуры тела до 37,5°с.
При этом мошонка сильно опухает и увеличивается в размерах. При дальнейшем развитии опухолевого процесса возникают затруднения дыхания и одышка, увеличение лимфоузлов, слабость, боль в спине и позвоночнике.
Пациент отмечает появление следующих симптомов:
- Заметное снижение или отсутствие либидо (полового влечения);
- Болезненность и увеличение грудных желез;
- Интенсивный рост волос на лице и теле.
- Задолго до наступления половой зрелости.
При метастазировании опухоли в печень пациенты отмечают боль в правом подреберье, желтуху, увеличение объёмов живота.
Различают следующие стадии рака яичка, определяемые на основании международных критериев по системе TNM (опухоль, лимфоузел, метастазы):
- T1 - опухоль не пересекает границ белочной оболочки;
- T-2 - новообразование также ограничено, но уже имеется деформация мошонки и увеличение яичка;
- T-3 - опухоль пронизывает белочную оболочку, прорастая в окружающие ткани;
- T-4 - раковый процесс распространяется за границы яичка, опухоль прорастает в семенной канатик или мошонку.
В случае стадии N-1 при рентгенологической и радиоизотопной диагностике выявляются регионарные метастазы в лимфатические узлы. При N-2 стадии заболевания увеличенные регионарные лимфатические узлы с метастазами легко определяются при осмотре и пальпации. О стадии М1 говорят тогда, когда с помощью диагностических исследований обнаруживаются отдалённые метастазы в печень, почки, головной мозг, лёгкие.

Клиницисты часто применяют следующую классификацию рака яичка:
- I - новообразование локализовано в пределах яичка;
- II - опухолевый процесс распространяется в лимфоузлы, расположенные вокруг аорты;
- IIa - размер лимфоузлов с метастазами не превышает 2 см;
- IIb - размеры лимфатических узлов варьируют от 2 до 5 см;
- IIc - размеры лимфоузлов превышают 5 см;
- III -0 в опухолевый процесс вовлекаются грудные и шейные лимфатические узлы;
- IV - метастазы распространяются на отдалённые органы.
По гистологическому строению различают семиномные и несеминомные опухоли яичка.
Опухоль придатка яичка
Опухоли придатка яичка относятся к редким онкологическим заболеваниям. Болезнь возникает и прогрессирует у молодых мужчин в возрасте до 35 лет. В течение длительного времени заболевание может протекать бессимптомно. В Юсуповской больницы созданы все условия для лечения пациентов, страдающих раком придатка яичка;
- Комфортные условия пребывания в палатах;
- Ранняя диагностика заболевания с помощью аппаратуры ведущих мировых производителей;
- Использование для терапии рака новейших противоопухолевых препаратов и методик лучевой терапии;
- Внимательное отношение персонала.
Точная причина возникновения рака придатка яичка не установлена. Учёные предполагают, что опухолевый процесс развивается под воздействием следующих провоцирующих факторов:
- Отягощённой наследственности;
- Хронических заболеваний эндокринной системы;
- Крипторхизма;
- Вредных привычек;
- Радиационного излучения;
- Травм и микротравм мужских половых желез.
Большинство новообразований придатка яичка развиваются из герминогенных клеток и называются герминоклеточными опухолями. Их разделяют на 2 основных типа: семиному и несеминомные опухоли. Эти новообразования имеют разные характеристики и отличаются по способности к распространению, применяемым методам лечения.
Диагностика
Базовая программа диагностики рака яичек в клинике онкологии включает следующие мероприятия:
- Биопсию тканей опухоли с последующим гистологическим исследованием;
- Процедуры визуальной диагностики (компьютерную томографию, позитронно-эмиссионную томографию, магнитно-резонансную томографию);
- Ультразвуковое исследование (УЗИ);
- Комплексное лабораторное исследование крови (клинические и биохимические анализы, определение уровня онкомаркеров).
Биопсия яичка - диагностическая процедура, которая заключается во взятии образцов ткани семенников для дальнейшего гистологического исследования. Имеется 2 основные разновидности биопсии яичка: открытая и пункционная. При подозрении на рак яичка делается открытая биопсия. В процессе диагностической операции проводится срочное исследование биоптата. При подтверждении онкологического процесса хирурги удаляют половую железу вместе с семенным канатиком.
Компьютерную томографию и другие методы визуальной диагностики используют для выявления отдалённых метастазов, рецидивов заболевания, контроля эффективности лечения. Ультразвуковое исследование яичек при подозрении на опухоль проводится со следующей целью:
- Для исключения опухоли или ее подтверждения как при наличии, так и при отсутствии пальпируемых изменений;
- В случае увеличении размеров яичка;
- При наличии эпидидимита или гидроцеле;
- При лейкемиях, наличии забрюшинных опухолей, забрюшинных метастазов неизвестной опухоли;
- Для контроля химиотерапии или лучевой терапии рака яичка;
- Для динамического наблюдения за пациентами с ранее леченными злокачественными опухолями яичка;
- При наличии конкрементов в яичке для ранней диагностики опухоли.
При любом изменении эхоструктуры яичка врачи сонологи прежде всего исключают злокачественную опухоль. Первоначально новообразование преимущественно локализуется по задней части яичка. В течение длительного времени объём и форма мужской половой железы могут не изменяться. В большинстве случаев опухоль является гипоэхогенной с мелкими беспорядочными внутренними эхосигналами (лимфома, семинома), но возможны гиперэхогенные (эмбриональная карцинома, тератомы, хорионэпителиома) и смешанные структуры.
Эхографическое исследование, которое выполняют в Юсуповской больнице с помощью современных аппаратов с высокой разрешающей способностью, позволяет рано обнаружить даже опухоли, которые не определяются при пальпации, оценить их распространённость, односторонность или двусторонность поражения.
По данным УЗИ нельзя говорить о стадии опухоли (Т1, Т2), так как часто не видно прорастания опухоли в белочную оболочку (Т1) или придаток (Т2). Также невозможно эхографически разграничить лимфому яичка и лейкемическую инфильтрацию, интерстициальную опухоль и новообразование, происходящее из герминативного эпителия.
При наличии симптомов рака яичка у мужчин (фото есть в интернете) в Юсуповской больнице определяют наличие и уровень следующих онкомаркеров:
- Альфа-фетопротеина (АФП);
- β-субъединицы хорионического гонадотропина человека (ХГЧ);
- Лактатдегидрогеназы (ЛДГ).
Альфа-фетопротеин - это вещество белковой природы, которое вырабатывается в желточном мешке (в эмбриональном периоде), в последствие продуцируется клетками печени и желудочно-кишечного тракта. Нормальные значения АФП не превышают 15 нг/мл. Повышение содержания АФП может быть связано с раком яичка. АФП повышается у 70% больных с эмбриональной карциномой яичка и у 75% больных опухолью желточного мешка, но никогда не повышается у пациентов, страдающих другими видами новообразований яичка.
Хорионический гонадотропин представляет собой белковый гормон. Нормальные значения ХГЧ - до 5 МЕд/мл. Уровень ХГЧ повышается при наличии рака яичка:
- Хориокарциномы;
- Эмбриональной карциномы;
- Опухоли желточного мешка;
- Семиномы.
Лактатдегидрогеназа - фермент, который вырабатывается гладкой, поперечнополосатой и сердечной мышцами, рядом других тканей. Ценность данного маркера при раке яичка невысока. Поэтому реальным признаком злокачественной опухоли мужской половой железы считается повышение ЛДГ более 2000 Ед./л.
Определение уровня опухолевых маркеров при раке яичка помогает поставить диагноз, уточнить стадию заболевания, определить тактику лечения и оценить его эффективность, а также способствуют раннему выявлению рецидивов опухоли. По результатам диагностических процедур урологи Юсуповской больницы определяют следующие клинические показатели:
- Наличие злокачественного процесса;
- Характер изменения тканей и гормонального фона;
- Точная локация даже самых мельчайших очагов поражения;
- Наличие метастазов.
Анализируя полученные результаты, историю болезни и общее состояние здоровья пациента, урологи Юсуповской больницы на заседании Экспертного Совета с участием профессоров и врачей высшей категории строят наиболее оптимальную схему лечения.
Лечение
Лечение рака яичка в Юсуповской больнице проводится по европейским стандартам, которые основаны на принципах доказательной медицины. Врачи, которые занимаются лечением пациентов, страдающих злокачественными опухолями семенников, прошли подготовку в ведущих урологических и онкологических клиниках Европы. Комплексное лечение злокачественных новообразований мужских половых желез включает хирургическую операцию, лучевую и химиотерапию.
Хирурги через разрез в паховой области под общей анестезией удаляют яичко вместе с семенным канатиком. Такая операция называется радикальная паховая орхиэктомия. Во время оперативного вмешательства при наличии показаний удаляют близлежащие лимфатические узлы паховой области и брюшной полости. Удаление одного яичка не оказывает влияния на эректильную и репродуктивную функцию мужчины. Вторым этапом операции может быть установка протеза яичка.
Курс лучевой терапии пациенты проходят как до операции, так и после хирургического вмешательства. Наиболее восприимчивы к облучению семиномы. При лечении рака яичка рентгеновскими лучами воздействуют на нижнюю часть живота для того чтобы уничтожить раковые клетки в регионарных лимфатических узлах.
После лучевой терапии органов репродуктивной системы может развиться мужское бесплодие. Если пациент в будущем планирует иметь детей, до начала лечения рака яичка производится забор спермы, которую в дальнейшем замораживают при сверхнизких температурах и хранят в
Опухоли яичка
Опухоли яичка - группа образований, развивающаяся из тканей яичек (мужских половых желез, расположенных в мошонке). Опухоли яичка могут быть злокачественными и доброкачественными. Данный вид опухолей относится к визуализируемым и часто обнаруживается пациентами самостоятельно.
Частота злокачественных опухолей составляет до 90 % от всех случаев опухолей яичка. Доброкачественные опухоли яичка встречаются очень редко. Особенность доброкачественных опухолей - отсутствие быстрого роста, они длительно не метастазируют. Лечение доброкачественных опухолей заключается в хирургическом удалении образования.
Рак яичка чаще встречается в молодом возрасте (25-35 лет), являясь самой часто встречающейся опухолью у мужчин до 50 лет.
Виды опухолей яичка
Яички состоят из различных клеток, каждая из которых может стать основной для развития нескольких видов злокачественной опухоли. Знание о том, из каких клеток образовалась опухоль, достаточно важно, поскольку это влияет на выбор тактики лечения и прогноз заболевания.
Определение типа опухоли возможно посредством микроскопического изучения.
Классификация
Наиболее часто из всех опухолей яичка встречаются герминогенные опухоли, они развиваются из зародышевых клеток. Данные опухоли при правильной тактики возможно полностью излечить, однако важным условием является своевременное их обнаружение и лечение в профильном центре.
Герминогенные опухоли (составляют 95 % опухолей яичка)
- семинома,
- несеминома (эмбриональная карцинома, опухоль желточного мешка, постпубертатная тератома).
Опухоли полового канатика и стромы (
- опухоль из клеток Лейдига,
- опухоль из клеток Сертоли,
- гранулезно-клеточная опухоль.
Другие опухоли (доля всех случаев опухолей яичек точно не определена)
Факторы риска развития опухолей яичка
Однозначных факторов риска развития опухолей яичек не существует. К одной из наиболее вероятных причин относят крипторхизм - неопущение яичка. При нормальном развитии яички до рождения находятся в брюшной полости и к моменту рождения ребенка самостоятельно опускаются в мошонку. Примерно у 3 % детей одно или оба яичка могут не опуститься в мошонку. В таких случаях проводится оперативное вмешательство. Хирургическое лечение крипторхизма до пубертатного периода снижает риск развития опухолей яичка.

На увеличение вероятности развития опухоли яичка может повлиять профессиональная деятельность, считается, что у работников газовой, нефтяной промышленности, шахтеров и пожарных риск развития опухоли яичка повышен. Вероятность возникновения опухоли яичка среди белых мужчин в 5-10 раз превышает таковую у афроамериканских мужчин. У мужчин Азии и Африки риск возникновения опухоли яичка очень низкий. Травма и оперативное вмешательство на мочеполовых органах достоверно не увеличивают риск развития опухоли яичек.
Опухоль яичка может проявляться в виде безболезненного образования мошонки или яичка. Ниже в таблице указаны возможные симптомы.

При распространенном процессе больного могут беспокоить различные симптомы: кашель, одышка, боли в спине, головные боли, тошнота, рвота. Если у вас появились эти симптомы, то необходимо срочно обратиться к врачу-онкологу или урологу.
Симптомы опухоли яичка
Опухоль яичка может быть обнаружена пациентом или его половым партнером. При обнаружении любого образования в яичке необходимо срочно обратиться к врачу.
Для своевременного обнаружения опухоли яичка мы рекомендуем выполнять самообследование.


Чаще всего опухоли яичка путают с воспалительными заболеваниями. Эпидидимит - это воспаление придатка яичка, в большинстве случаев инфекционного характера, требующее проведения противовоспалительной терапии. Если болезненность, отек сохраняются после курса лечения, включающего антибиотики, необходима дальнейшая диагностика.

Обследование пациента на приеме у врача начинается с осмотра. Врач проведет процедуру осмотра, пальпацию грудной клетки на предмет гинекомастии (увеличение молочных желез), брюшной полости, яичек, оценит состояние паховых и периферических лимфатических узлов.
Инструментальные методы
Ультразвуковое исследование (УЗИ) мошонки является предпочтительным начальным визуализирующим исследованием для оценки образования яичка. УЗИ может подтвердить наличие новообразования, определить его расположение и оценить состояние противоположного яичка (рис. 4). Чувствительность метода достаточно высокая - от 92 % до 98 %.
Компьютерная томография органов грудной клетки, брюшной полости, малого таза используются для оценки распространения опухолевого процесса (рис.5).
Как дополнительная диагностическая процедура, может быть использована магнитно-резонансная томография головного мозга.
Обязательным условием диагностики опухолей яичка является анализ крови на биологические опухолевые маркеры. К ним относятся АФП (альфа-фетопротеин), β -ХГЧ (β единица хорионического гонадотропина человека) и ЛДГ (лактатдегидрогеназа).
Наличие опухолевого образования в яичке, выявленное при УЗИ, повышенный уровень опухолевых маркеров (всех или одного из них) требуют немедленного направления пациента на оперативное лечение в специализированный онкологический центр.
При обнаружении первичной опухоли в забрюшинном пространстве необходимо пройти полное обследование, предусмотренное для опухоли яичка.

Снимок УЗИ яичка
Стадии
При обнаружении злокачественной опухоли необходимо выяснить, насколько распространился опухолевый процесс, то есть определить стадию заболевания. От этого зависит дальнейшее лечение.
Доброкачественные опухоли яичка не стадируются.
Стадии злокачественного заболевания варьируются от I до III. Самая ранняя стадия рака яичка — это стадия 0 (или неоплазия зародышевых клеток in situ). Выделяют III стадии злокачественной опухоли яичка. В зависимости от стадии заболевания, прогностических признаков (уровень опухолевых маркеров, наличие вторичных опухолевых изменений в органах), согласно разработанным стандартам, принимается решение о лечебной тактике.
Лечение пациентов с диагностированными злокачественными опухолями яичка должно проводиться в специализированном центре у онкологов, имеющих большой опыт ведения больных с данным заболеванием.
Если у вас или у вашего близкого появились симптомы, подозрительные на опухоль яичка, необходимо незамедлительно обратиться к врачу.
Хирургическое лечение
Хирургический метод является первичным этапом в лечении всех видов опухолей яичка. На первом этапе при обнаружении опухоли проводят операцию по удалению яичка (орхфуникулэктомию). Как правило, проводится радикальная паховая орхфуникулэктомия (хирургическое удаление яичка). Операция носит лечебно-диагностический характер, поскольку помимо удаления опухоли, позволяет установить морфологический диагноз (определить разновидность опухоли), что необходимо для определения дальнейшей тактики.
Радикальная паховая орхфуникулэктомия
Операция по удалению яичка при раке называется радикальной паховой орхфуникулэктомией. Опухоль удаляется вместе с яичком и семенным канатиком.
Орхфуникулэктомия может быть отложена, если пациент находится в крайне тяжелом состоянии (в этом случае лечение начинают с химиотерапии по жизненным показаниям).

Опухоль в яичке
После получения гистологического заключения о характере опухоли, данных обследования: КТ грудной клетки, брюшной полости, КТ/МРТ малого таза, уровень опухолевых маркеров, проводится стадирование, определение прогноза, и командой специалистов принимается решение о лечебной тактике.
При планировании химиотерапии необходимо обсудить с врачом риск нарушения фертильности и необходимость криоконсервации спермы. Процедура должна быть выполнена до начала химиотерапии.
Химиотерапия
Химиотерапия является одним из основных методов лечения при злокачественных опухолях яичка. Данные опухоли обладают высокой чувствительностью к химиотерапии, и полное излечение возможно даже при большом распространении опухолевого процесса. Химиотерапия не используется для лечения доброкачественных опухолей яичка.
Химиотерапия обычно проводится циклами длительностью 3 недели. При злокачественных опухолях яичка очень важно строго соблюдать интервалы между циклами химиотерапии.
Схема и длительность лечения зависят от стадии заболевания, группы прогноза, лечения, полученного ранее, и индивидуальных особенностей пациента.
Возможные побочные эффекты химиотерапии
Химиопрепараты действуют на быстро растущие клетки, делящиеся опухолевые клетки. Но при этом химиотерапия повреждает нормальные ткани организма, такие как клетки костного мозга (где образуются новые клетки крови), слизистой оболочки полости рта, кишечника и волосяных фолликулов. Побочные эффекты химиотерапии зависят от типа и дозы используемых лекарств и продолжительности лечения. Чаще всего из осложнений встречаются: снижение показателей крови (снижение уровня лейкоцитов, нейтрофилов, гемоглобина, тромбоцитов), выпадение волос, стоматит (воспаление слизистой полости рта: отечность, покраснение, появление налетов, язв), тошнота и рвота, слабость, диарея, снижение аппетита.
Большинство побочных эффектов кратковременны и проходят через некоторое время после окончания лечения, но некоторые из них могут длиться долгое время, такие как потеря слуха, повреждение почек или легких. Поэтому химиотерапия должна проводиться по абсолютным показаниям в соответствии с разработанными рекомендациями, и больной в течение длительного времени должен быть под наблюдением онколога.
После проведения химиотерапии и обследования обсуждается вопрос об удалении оставшихся опухолевых очагов. Одним из видов оперативного лечения является удаление забрюшинных лимфатических узлов (забрюшинная лимфодиссекция).
В зависимости от типа опухоли и стадии заболевания лимфатические узлы вокруг крупных кровеносных сосудов (аорта и нижняя полая вена) могут быть удалены после проведения химиотерапии. Не всем пациентам с опухолью яичка необходимо удалять лимфатические узлы, поэтому важно обсудить это (и возможные варианты) со своим врачом. Это сложная и долгая операция. В большинстве случаев делается большой разрез посередине живота для возможности удаления лимфатических узлов. Удаление забрюшинных лимфатических узлов должно выполняться хирургом, который делает это часто. Опыт имеет большое значение.
Последствия лимфодиссекции
Удаление забрюшинных лимфатических узлов - серьезная операция. Она не вызывает импотенции, у мужчин сохраняется эректильная функция. Но во время данной операции могут повреждаться некоторые нервы, контролирующие эякуляцию. Если эти нервы повреждаются, то когда мужчина эякулирует, сперма не выходит через уретру, а уходит обратно в мочевой пузырь. Это называется ретроградной эякуляцией, данное осложнение может затруднить отцовство.
При распространенном процессе (когда есть метастазы в других органах) для получения наилучшего результата и снижения риска возврата заболевания могут проводиться различные виды операций с целью удаления всех опухолевых очагов. Если оставшиеся опухолевые очаги не удаляются или удаляются не полностью, риск возврата заболевания увеличивается в несколько раз.
Чаще операция успешна, когда ее проводят опытные врачи.
Лучевая терапия
Лучевая терапия при опухолях яичка в настоящий момент практически не используется, так как имеет низкую эффективность. Применение лучевой терапии может использоваться в качестве локального (местного) контроля при метастазах в головном мозге.
Фертильность
Злокачественные опухоли яичка наиболее часто возникают у мужчин репродуктивного, молодого возраста, когда они заводят семью и детей. При проведении химиотерапии возникает высокий риск нарушения фертильности, поэтому необходимо до начала лечения обсудить с лечащим врачом необходимость криоконсервации спермы. Криоконсервация спермы - метод хранения эякулята, который подразумевает его замораживание (чаще всего в жидком азоте), с последующим восстановлением функций сперматозоидов после размораживания. Криоконсервация должна быть выполнена до начала химиотерапии.
Обследование перед проведением криоконсервации:
- спермограмма (метод исследования эякулята для оценки оплодотоворяющей способности);
- криотест спермы (проводится для того, чтобы выяснить, не снижается ли качество спермы после размораживания);
- анализ крови на инфекции: сифилис, ВИЧ 1,2 (IgG и IgM), гепатиты В и С;
- мазок из уретры на половые инфекции.
После прохождения обследования сперма собирается методом мастурбации. В течение нескольких минут после этого биоматериал попадает в эмбриологическую лабораторию. Проводятся манипуляции по очищению и концентрации сперматозоидов, добавляются специальные вещества для защиты сперматозоидов, и сперма помещается в специальные тонкие ёмкости. Ваш контейнер маркируется (отмечаются индивидуальные данные) и далее хранится при очень низких температурах.
Наблюдение
Все пациенты со злокачественной опухолью яичек должны тщательно длительно наблюдаться - до 10-15 лет после первичного лечения, так как, несмотря на проведенное лечение, остается риск развития рецидива заболевания. Риск рецидива опухоли наиболее высок в течение двух лет после первичного лечения.
Последующее наблюдение включает сбор анамнеза, осмотр, опухолевые маркеры, УЗИ мошонки с эластографией, пахово-подвздошных областей, брюшной полости и забрюшинного пространства, рентгенографию органов грудной клетки. График наблюдения зависит от стадии заболевания. При обнаружении рецидива варианты лечения включают химиотерапию, хирургическое лечение.
Прогноз
Достижения в лечении рака яичек являются одними из величайших достижений современной медицины. Сегодня излечение достижимо у 95 % всех пациентов с опухолями яичек, у 80 % пациентов с распространенной формой заболевания. Несмотря на это, метастатическая форма опухоли остается неизлечимой примерно у 10 % пациентов. Прогноз зависит от гистологического типа рака яичка, распространенности опухолевого процесса, проводимого лечения. В некоторых регионах Российской Федерации выживаемость пациентов с опухолью яичек достигает всего 60 %. Это связано с различными причинами (редкость опухоли, поздняя обращаемость пациентов, низкая осведомленность врачей).
НМИЦ онкологии им. Н. Н. Петрова является специализированным центром по лечению опухолей яичка с многолетним опытом терапии данной группы онкологических заболеваний. В нашем Центре работает команда высококвалифицированных профессионалов - врачей-онкологов, включая хирургов (урологов, торакальных и абдоминальных хирургов), специалистов по лекарственной терапии взрослых и детей (химиотерапевтов, онкопедиатров), лучевой диагностике, морфологов, анестезиологов, реаниматологов, радиологов. Тактика ведения каждого пациента с опухолью яичка неоднократно обсуждается мультидисциплинарной командой.
Если у вас или у вашего близкого появились симптомы, подозрительные на опухоль яичка, необходимо незамедлительно обратиться к врачу. Учитывая высокий процент полного излечения данной группы заболеваний, высокую эффективность лекарственной терапии, в нашем Центре вы сможете оперативно получить всю необходимую помощь у специалистов, имеющих большой опыт в лечении этой патологии.
Факторы риска и причины рака яичка у мужчин
Рак яичек относится к редким онкологическим заболеваниям, в год обнаруживается 10 случаев на 100 тыс. мужчин., а в онкоурологии на эту болезнь приходится 5% от всех опухолей. Чаще всего с ней сталкиваются мужчины в возрасте 20-40 лет и пожилые старше 60 лет. В 95% случаев рак яичек герминогенный, т. е. развивается из первичных половых клеток, в 5% — это гонадные стромальные опухоли из клеток Сертоли (участвуют в выработке спермы) и клеток Лейдига (источник тестостерона). В этой статье рассмотрим причины рака яичек у мужчин.

Причины возникновения рака яичек у мужчин
Точные причины опухоли яичек у мужчин неизвестны. Медициной установлены только факторы риска, повышающие вероятность возникновения такого заболевания. У многих больных с раком яичка есть крипторхизм — неопущение желез в мошонку. Риск появления опухолевого процесса в неопустившемся яичке в 10 раз выше.
Другим фактором риска является наследственность. Если у отца или брата мужчины был рак яичка, то вероятность его развития тоже является высокой. Еще к факторам риска относятся:
- уже перенесенный рак яичка;
- синдром Клайнфельтера (хромосомное заболевание, при котором в мужском кариотипе есть одна или несколько дополнительных женских хромосом);
- инфицирование вирусом иммунодефицита человека.
Провоцировать развитие опухоли могут заболевания эндокринной системы: гипогонадизм, гинекомастия. Также в список факторов риска входят травмы мошонки, полученные в любом возрасте.

У детей
В детском возрасте в 90% случаев причиной возникновения рака яичка выступает переход в злокачественную форму особой опухоли — тератомы. Это доброкачественная опухоль, развивающаяся из первичных половых клеток, которые при нормальном развитии должны трансформироваться в сперматозоиды. Озлокачествление происходит редко, но все же бывает. Причем особенно опасны малигнизировавшиеся тератомы в области неопустившегося яичка. Такие опухоли долгое время не вызывают симптомы и не выявляются даже при осмотре, а обнаруживаются уже на поздней стадии.
Почему важно как можно раньше обратиться к врачу
Вне зависимости от причины рака яичек мужчине важно как можно раньше пройти диагностику. В первую очередь необходимо осмотр урологом, который проведет опрос для сбора анамнеза и проведет пальпацию мошонки для выявления первичной опухоли.
Для подтверждения или опровержения предварительного диагноза проводятся УЗИ и МРТ мошонки, анализ сывороточных маркеров крови и биопсия. Ранняя диагностика при появлении симптомов рака яичек очень важна, поскольку на первой-второй стадии прогноз благоприятного исхода составляет 90-95%. Государственный центр урологии приглашает вас на прием, чтобы вы смогли получить грамотную консультацию специалиста и пройти необходимое лечение в рамках ОМС. Для записи воспользуйтесь онлайн-формой или позвоните нам по контактному телефону.
Акопян Гагик Нерсесович - врач уролог, онколог, д.м.н., врач высшей категории, профессор кафедры урологии ФГАОУ ВО Первый МГМУ им. И.М. Сеченова
Герминогенные опухоли у детей
К таким опухолям относятся злокачественные и доброкачественные образования, формирующиеся из первичных половых клеток. В период формирования и развития человеческого эмбриона эти клетки перемещаются, поэтому герминогенные образования могут формироваться и вне гонад (органов, выделяющих половые клетки): в головном мозге, забрюшинной, крестцово-копчиковой зоне, средостении и других областях.
Распространенность
На частоту встречаемости таких новообразований влияет возраст пациента:
- до 15 лет - 2-4%;
- в подростковом возрасте (15-19 лет) - около 14%.
Для детского возраста существует два периода, когда заболеваемость находится на пике:
В последние годы большинство исследователей говорят о росте числа случаев обнаружения герминогенных образований. Особенно ярко эта тенденция прослеживается у мужской части населения, с локализацией опухолей в яичках. У мужчин за последние годы заболеваемость возросла с 2 до 4,4 на 100 000 человек.
Частая причина возникновения герминогенных опухолей злокачественного характера - различные генетические аномалии, например, синдром Klinefelter либо атаксия-телеангиоэктазия, чистая и смешанная дисгенезия гонад, крипторхизм, гермафродитизм и т. д.
Гистологическая классификация
- Герминома (если локализуется в яичке - семинома, в яичнике - дисгерминома, в других анатомических зонах - герминома).
- Тератома:
- зрелая;
- незрелая - различается по степеням незрелости:
- первой степени;
- второй;
- третьей.
- Эмбриональная карцинома.
- Новообразование желточного мешка.
- Хориокарцинома.
- Гонадобластома.
- Герминогенные новообразования смешанного типа.
Клиническая картина
Клиническая картина данного заболевания характеризуется многообразием. И в первую очередь она определяется тем, где расположена опухоль. Наиболее частые локализации:
- 27% - в области копчика;
- 26% - в яичниках;
- 18% - в яичках;
- 15% - в головном мозге.
В гораздо более редких случаях такие опухоли диагностируются в средостении, забрюшинном пространстве, желудке, на шее (то есть в носоглотке), в мочевом пузыре, печени, во влагалище.

Рисунок 1. Варианты расположения герминогенных образований у детей.
Яичко
Первичные образования в яичках (они называются тестикулярные) в детском возрасте диагностируются редко. Чаще всего их обнаруживают у детей в возрасте до 2-х лет, при этом 25% - уже при рождении.


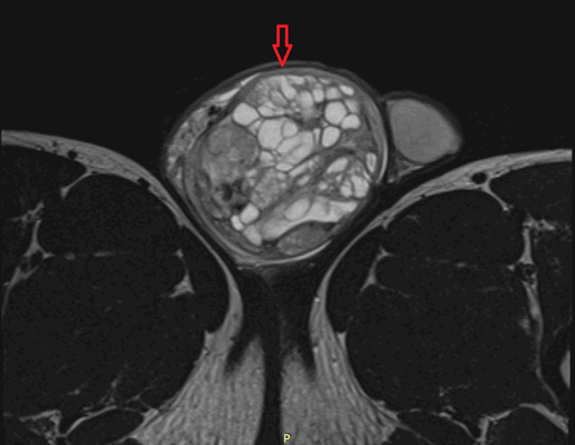
Рисунок 2. - семинома яичка: а — макропрепарат, б — МРТ.
По гистологической (то есть тканевой) структуре это наиболее часто новообразования желточного мешка либо доброкачественные тератомы.
Второй пик возникновения опухолей яичка - пубертат. В этот период растет частота заболеваемости злокачественными тератомами. Семиномы встречаются у детей крайне редко.
Припухлость яичка, которая быстро увеличивается и не причиняет ребенку боли, чаще всего обнаруживается родителями. 10% таких новообразований сочетается с «водянкой яичка» (мед. «гидроцеле») и другими врожденными патологиями, особенно мочевыводящей системы.
При осмотре видно плотное новообразование, бугристое, без признаков воспаления. Диагноз опухоли до операции подтверждает повышенный уровень альфа-фетопротеина (АФП).
Новообразование при этом содержит элементы желточного мешка.
Симптоматика метастазов в парааортальных лимфоузлах - боль в пояснице.
Яичники
Овариальные (расположенные в яичниках, яичниковые) опухоли наиболее часто проявляются болью в животе. При осмотре пальпируется опухоль в малом тазу, часто - в брюшной полости. Также за счет асцита (скопления в брюшной полости жидкости) увеличен живот. Нередко у девочек с таким диагнозом бывает лихорадка.
Самая часто диагностируемая герминогенная опухоль - это дисгерминома. Преимущественно ее обнаруживают во второй декаде жизни. У маленьких девочек встречается редко. Такое заболевания сравнительно быстро распространяется, поражая брюшину и второй яичник. Обычно новообразования односторонние, имеют большие размеры. В связи с этим частое явление - разрыв капсулы новообразования.


Рисунок 3. - тератома яичника а -УЗИ, б — МРТ.
Злокачественные тератомы обычно проявляются неспецифической клинической картиной, которая связана с наличием опухоли:
- увеличенный объем живота;
- боль;
- нарушение менструального цикла (наблюдается не всегда).
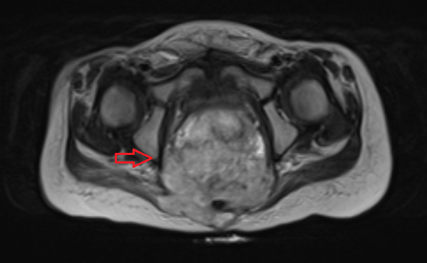
Крестцово-копчиковая зона
По частоте выявления это третья зона расположения герминогенных опухолей. В 75% случаев диагностируется до 2-х месяцев, почти всегда это доброкачественная, зрелая тератома. Новообразования у таких больных выявляются в промежности или области ягодиц. Наиболее часто опухоли характеризуются большими размерами. Иногда новообразования выявляются в старшем возрасте и распространены внутри брюшины. В таких случаях по результатам гистологии выявляется злокачественная природа, часто с элементами новообразования желточного мешка.
Опухоли в крестцово-копчиковой зоне часто приводят к трудностям с актом дефекации и мочеиспускания (дизурические расстройства).

Рисунок 4. Крестцово-копчиковая тератома у ребенка.

Рисунок 5. Крестцово-копчиковая тератома у ребенка 2-х лет (МРТ).
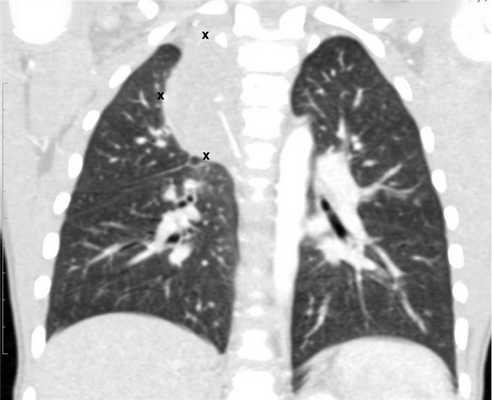
Средостение
В средостении в большинстве случаев присутствуют крупные опухоли, но при этом синдром сдавления верхней полой вены диагностируется редко.

Рисунок 6. — КТ органов грудной клетки - семинома средостения.
Гистологическая картина новообразования в основном смешанного происхождения, имеет тератоидный компонент и клетки, которые характерны для новообразования желточного мешка.
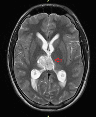
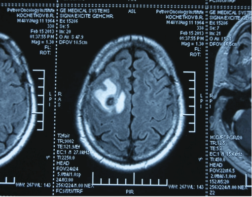
Головной мозг
Герминогенные новообразования в данной области - это примерно 2-4% от всех внутричерепных (интракраниальных). Патология в 75% случаев диагностируется у мальчиков, за исключением турецкого седла, где новообразования в основном локализуются у девочек.
Герминомы формируют инфильтрирующие опухоли больших размеров, часто являющиеся источниками субарахноидальных (между мягкой и паутинной оболочками мозга) и вентрикулярных (желудочковых) метастаз.

Рисунок 7. - Герминома головного мозга.
Влагалище
Почти всегда это новообразования желточного мешка. Все описанные в медицине случаи обнаруживались в возрасте до 2-х лет. Такие опухоли обычно имеют симптомы в виде кровянистых выделений и кровотечений из влагалища.
Опухоль имеет вид полиповидных масс, исходит из задней и боковых стенок влагалища.
Герминогенные новообразования выделяют АФП, а также хорионический гонадотропин (ХГ). Способность секретировать эти вещества выражается по-разному, в зависимости от морфологии опухоли.
В норме АФП выделяется клетками желточного мешка и печени эмбриона и является его важным сывороточным белком. Когда плод переходит на более поздние этапы развития выработка АФП переключается на выработку альбумина. Поэтому у новорожденных АФП определяется в сыворотке крови в очень высоких концентрациях, постепенно снижающихся и к 1-му году достигающих нормальных для взрослого человека значений. АФП имеет период полураспада - 4-5 суток.
ХГ в норме вырабатывается синцитиотрофобластами плаценты. Герминогенные новообразования продуцируют его трофобластическими структурами, а также гигантскими клетками синцитиотрофобласта. Интактный сывороточный ХГ имеет полупериод жизни - 24-36 часов.
Высокоспецифичный метод определения ХГ и АФП у детей значительно повышает качество диагностики, так как его эффективность приближается к 100%. Маркеры опухоли определяют на этапе дифференциальной диагностики, после хирургического вмешательства и перед каждым курсом химиотерапии. Полноценное обследование невозможно без определения маркеров в динамике.
Еще одним маркером любых герминогенных опухолей является лактатдегидрогиназа (ЛДГ). Однако активность этого показателя менее специфична, чем уровни ХГ и АФП. Активность ЛДГ на поздних стадиях развития несеминомных новообразований повышена у 50-60% пациентов, на поздних стадиях развития семиномы - у 80%.
Процесс диагностики включает несколько этапов:
- Сбор и оценка анамнеза, а также других имеющихся у пациента болезней и патологий.
- Общий осмотр.
- Генетическая диагностика.
- Рентгенография органов грудной клетки (данное обследование обязательно, потому что оно дает возможность подтвердить диагноз при первичных новообразованиях средостения и наличии метастазов в легких).
- УЗИ. «Ультразвук» нужен для того, чтобы выявить первичный очаг как гонадной (в половых органах), так и внегонадной герминогенной опухоли. Его также проводят в ходе терапии, чтобы оценить ее эффективность.
- КТ (расшифровка: компьютерная томография), МРТ (расшифровка: магнитно-резонансная томография), ПЭТ-КТ (расшифровка: позитронно-эмиссионная томография, совмещенная с КТ). Эти обследования необходимы, чтобы рассмотреть структуры организма послойно и визуализировать опухоль. Они показывают, как сильно распространен патологический опухолевый процесс на находящиеся рядом ткани и органы, есть ли поражение костей. КТ - это самый чувствительный метод для обнаружения метастазов в легких. Проведение МРТ и КТ головного мозга необходимо, чтобы обнаружить и визуализировать герминогенные новообразования эпифиза.

Рисунок 8. КТ органов брюшной полости - на снимках вы можете увидеть опухоль яичника.

Рисунок 9. - метастаз в головной мозг при герминогенной опухоли.
Детям проводится операция по удалению опухоли и химиотерапия. Очередность действий зависит от расположения и распространенности процесса. Обычно если поражены гонады, то нужно в первую очередь удалять опухоль, а химиотерапию проводить после операции. Если КТ/МРТ показали четкую инфильтрацию (прорастание) в окружающие ткани либо наличие метастазов в лимфоузлах, легких, печени и других органах, то сначала проводят первичную химиотерапию после определения опухолевых маркеров и инструментальной визуализации.
Показания к химиотерапии и количество курсов определяются тем, насколько распространен процесс, каков уровень онкомаркеров в крови, а также характером проведенной операции.
Стандартные препараты химиотерапии - это этопозид, блеомицин, цисплатин. При наличии обширного поражения легких, дыхательной недостаточности любой степени для того, чтобы не допустить блеомициновой токсичности в легких, в качестве альтернативы могут быть проведены другие схемы лечения.
Необходимо отдельно сказать о том, что при проведении пациенту системной лекарственной терапии нужно строго соблюдать временные рамки - очередной цикл проводится на 22-й день.
При проведении химиотерапии необходимо регулярно оценивать ее эффективность. Для этого каждые 2 цикла и после ее завершения проводится КТ тех областей, которые изначально были поражены опухолями. Также перед каждым циклом проверяется уровень онкомаркеров в крови. Если на фоне терапии или после ее окончания уровень онкомаркеров растет либо замедляется его снижение, то это говорит о том, что опухолевый процесс активен и нужно проводить вторую линию химиотерапии.
Лучевая терапия показана чаще при локализации процесса в головном мозге. Она позволяет точно, локально воздействовать на опухоли.
Процент общей выживаемости при герминогенных новообразованиях:
- I стадия - 95%
- II стадия - 80%
- III стадия - 70%
- IV стадия - 55%.
Прогностическими факторами являются:
- уровень онкомаркеров;
- гистологическое строение опухоли;
- распространенность процесса.
Неблагоприятные факторы - это большие размеры новообразования, поздняя диагностика, разрыв опухоли, устойчивость к химиотерапии (невосприимчивость лекарственного лечения), рецидив заболевания.


Авторская публикация:
ФАСЕЕВА НАТАЛЬЯ ДМИТРИЕВНА,
детский онколог
Что вам необходимо сделать
Если вы хотите узнать побольше о бесплатных возможностях ФБГУ НМИЦ онкологии им. Н.Н. Петрова Минздрава России, получить очную или заочную консультацию по диагностике и лечению, записаться на приём, ознакомьтесь с информацией на официальном сайте.
Если вы хотите общаться с нами через социальные сети, обратите внимание на аккаунты в ВКонтакте и Одноклассники.
Лечение и прогноз рака яичка у мужчин
Среди онкологических болезней рак яичек занимает около 1,5-2% всех злокачественных опухолей у мужчин. Заболевание достаточно редкое, но при этом агрессивное и часто становится причиной ранней онкологической смертности. Большинство пациентов, которые сталкиваются с раком яичка, старше 40 лет. Чаще опухоль развивается с одной стороны, на двухстороннее поражение приходится всего 1-2% случаев. Лечение рака яичка традиционно может включать лучевую и химиотерапию, а также операционное вмешательство.

Причины рака яичка
На протяжении жизни мужчины есть три возрастных пика, когда наблюдается повышенная вероятность развития рака яичка:
- 10 лет. В 90% случаев причиной рака яичка у детей выступает эмбриональная доброкачественная тератома, которая перешла в злокачественную форму.
- 20-40 лет. Рак яичка могут спровоцировать травмы мошонки, радиационное излучение и эндокринные заболевания, такие как гинекомастия, гипогонадизм, бесплодие. Еще риск возникновения болезни высок при синдроме Клайнфельтера или синдроме Дауна.
Еще один пик, когда повышен риск развития рака яичка, приходится на возраст старше 60 лет. Также причиной может выступать наследственность. Если среди родственников первой линии были случаи такого диагноза, то вероятность столкнуться с ним повышается в 5 раз.
У многих пациентов с таким диагнозом имеется крипторхизм - неопущение желез в мошонку. При такой патологии одно или оба яичка отсутствуют в мошонке ввиду задержки их опускания по паховому каналу. Подобная аномалия часто становится причиной рака яичек у мужчин. Она в 10 раз повышает риск развития такого онкологического заболевания.
По каким симптомам можно заподозрить рак яичка
Первым симптомом рака яичек у мужчин выступает появление уплотнения, которое доставляет боль при пальпации. Состояние напоминает острый орхоэпидидимит. Болевой синдром наблюдается и в целом в пораженном яичке или мошонке. На ее фоне может отмечаться ощущение тяжести внизу живота. По мере роста опухоли мошонка становится несимметричной и подвергается отекам.
Дальнейшие симптомы и признаки рака яичка у мужчин связаны с тем, что опухоль дает метастазы. У больного наблюдается увеличение забрюшинных лимфоузлов. Они сдавливают нервные корешки, вызывая боли в спине и кишечную непроходимость.
Если блокируются лимфатические пути, могут возникать боли в нижних конечностях. При гормонально активном раке отмечаются снижение либидо и импотенция. Как и для многих онкологических заболеваний, для рака яичка характерны резкое похудение, постоянная повышенная температура и быстрая утомляемость.
Виды и стадии заболевания
Опухоль яичка может развиваться из стромы или семенного эпителия. В первом случае диагностируется герминогенный рак, и на него приходится 95%, во втором - негерминогенный. В ряде случаев диагностируются смешанные новообразования. К герминогенным опухолям относятся:
- эмбриональный рак,
- семинома,
- хориокарционома,
- злокачественная тератома.
Негерминогенные опухоли яичка:
- лейдигома,
- сертолиома,
- саркома.
При определении схемы лечения особое значение приобретают стадии рака яичка, которые определяют по TNM-критериям.
- T1 - опухоль не выходит за границы яичка и придатка.
- T2 - опухоль прорастает в белочную оболочку.
- T3 - оказывается затронут семенной канатик.
- T4 - опухоль полностью прорастает в семенной канатик и ткани мошонки.
Классификация по регионарному метастазированию (N):
- N1 - размер метастазов не превышает 2 см, затронуты только регионарные лимфоузлы.
- N2 - метастазы увеличиваются и достигают в диаметре уже 5 см.
- N3 - размер метастазов превышает 5 см.
Классификация по отдаленному метастазированию обозначается буквой M. M1a указывает на метастазы в легких и нерегионарных лимфатических узлах, а M1b - на распространение опухоли на другие органы.
Как проводится диагностика рака яичка
Поэтапная диагностика рака яичек у мужчин начинается с консультации уролога, который проводит внешний осмотр мошонки с диафаноскопией (просвечиванием тканей). В список дополнительных обследований также входят:
- сонография (УЗИ органов мошонки);
- анализа на сывороточные маркеры;
- магнитно-резонансная и компьютерная томография;
- сцинтиграфия.
Анализы крови при раке яичка направлены на выявление специальных онкомаркеров, чувствительных именно к этому виду опухоли. Окончательный диагноз можно поставить с помощью биопсии. Обычно ее проводят в срочном порядке в процессе диагностической операции. Если рак подтверждается, то сразу производят удаление пораженной половой железы.
В вопросе, как определить рак яичка у мужчин, важное значение имеет выявление метастазов. Отдаленное метастазирование можно выявить с помощью:
- УЗИ брюшной полости,
- рентгенографии грудной клетки,
- сонографии почек,
- остеосцинтиграфии,
- МРТ и КТ.
Методы лечения рака яичка и прогноз
Органосохраняющие операции при раке яичка практикуются при двухстороннем поражении или опухоли единственной железы. Резекция яичка производится с последующим проведением адъювантной лучевой терапии, которая направлена на снижение риска рецидива. Классический тип проводимой операции - орхиэктомия. При поражении лимфатических узлов дополнительно проводится забрюшинная лимфаденэктомия.
Лечение рака яичек у мужчин детородного возраста начинается с обследования у онколоуролога. Это объясняется тем, что у таких пациентов сочетание операции с лучевой или химиотерапией может привести к бесплодию. Если мужчина имеет желание в будущем иметь детей, ему необходимо предварительно прибегнуть к криоконсервации спермы.
Лечение и прогноз рака яичка неразрывно связаны между собой. На стадии T1-T2 выздоравливают около 90-95% больных. При метастазах прогноз несколько ухудшается и процент выживаемости снижается уже до 50%. Поэтому так важно вовремя обратиться к врачу.
Если вас беспокоят те или иные симптомы, запишитесь на прием к урологу, чтобы получить квалифицированную помощь и пройти необходимое обследование. Все медицинские услуги в нашем центре предоставляются по полису ОМС, поэтому вы можете пройти лечение рака яичка бесплатно.
По будням Вы можете попасть на прием к урологу в день обращения

Акопян Гагик Нерсесович - профессор, доктор медицинских наук, онколог, уролог в Москве
Прием ведет врач высшей категории, уролог, онколог, доктор медицинских наук, профессор. Автор более 100 научных работ.
Онкоурологический стаж - более 15 лет. Помогает мужчинам и женщинам решать урологические и онкоурологические проблемы.
Проводит диагностику, лечение и сложные операции при таких диагнозах, как:
- опухоли почек и верхних мочевых путей;
- рак предстательной железы и мочевого пузыря;
- мочекаменная болезнь;
- аденома простаты;
- гидронефроз, стриктура мочеточника и др.
На консультации уролог подробно ответит на все интересующие вас вопросы
Если не дают покоя затрудненное или учащенное мочеиспускание, боль в поясничной области, кровь в моче, а также другие симптомы (о том, что еще должно вас насторожить, читайте тут), обратитесь за помощью к врачу урологу.
- знакомство врача с историей болезни пациента;
- осмотр;
- постановку предварительного диагноза, назначение анализов и необходимых процедур.
* Если вы планируете обследоваться сразу после встречи с врачом, отправляйтесь в клинику с наполненным мочевым пузырем.
Не оттягивайте посещение клиники - приходите на консультацию уролога в Государственный центр урологии в Москве - клинику урологии имени Р. М. Фронштейна Первого Московского Государственного Медицинского Университета имени И.М. Сеченова. Доверьте свое здоровье грамотному специалисту!
Чтобы встреча с врачом прошла максимально эффективно, подготовьтесь к первичной консультации
- Возьмите с собой больничные выписки; результаты всех обследований, которые Вы проходили в последние 2-3 года (включая рентгены и томографии); заключения специалистов.
- Из обязательных документов нужно принести паспорт, полис.
Записаться на прием к урологу в Москве можно несколькими способами:
Запись на прием
В будний день мы сможем назначить вам консультацию уже через несколько часов после обращения.
Читайте также:
