Гистиоцитозы - история изучения
Добавил пользователь Владимир З. Обновлено: 11.12.2025
ФГБОУ ВО СЗГМУ им. И.И. Мечникова Минздрава России, Санкт-Петербург; СПб ГБУЗ «ДГМКЦ ВМТ им. К.А. Раухфуса», Санкт-Петербург
ФГБОУ ВО СЗГМУ им. И.И. Мечникова Минздрава России, Санкт-Петербург ; СПб ГБУЗ «ДГМКЦ ВМТ им. К.А. Раухфуса», Санкт-Петербург
Гистиоцитозы представляют собой группу заболеваний, которые объединяет пролиферативный процесс в моноцитарно-макрофагальной системе с накоплением в очагах поражения патологических гистиоцитов и формированием специфических гранулем.
Возможна иммунопатологическая и опухолевая природа заболевания. В пользу иммунопатологической природы гистиоцитоза свидетельствуют высокая частота спонтанных ремиссий, низкая летальность и отсутствие хромосомных аномалий в клетках из очагов поражения, в пользу опухолевой природы — клональный характер пролиферации клеток Лангерганса в очагах поражения.
Клинические проявления гистиоцитоза весьма разнообразны, что определяет трудность диагностики. В патологический процесс могут вовлекаться различные органы и ткани: кожа, лимфатические узлы, наружное и среднее ухо, плоские кости, костный мозг, печень, селезенка, легкие, эндокринные железы, желудочно-кишечный тракт, головной мозг.
В статье представлен клинический случай гистиоцитоза, диагностированный у ребенка 1 мес. 3 нед., клинические проявления которого маскировались под симптомы наружного диффузного отита.
Описание данного клинического случая преследует цель обратить внимание на особенности течения рецидивирующих наружных и средних отитов у грудных детей, т. к. за маской данных заболеваний может скрываться гистиоцитоз.
Ключевые слова: наружный и средний диффузный отит, дети грудного возраста, гистиоцитоз, компьютерная томография.
Clinical observation of histiocytosis, proceeding under the mask of an acute otitis externa, in a child of 1 month 3 weeks
M.V. Molchanova 1,2 , S.I. Alexeenko 1,2 , S.A. Artyushkin 1
1 Mechnikov Northwestern State Medical University, Saint Petersburg
2 Raukhfus Children City Multi-Profile Clinical Center of High Medical Technologies, Saint Petersburg
A histiocytosis is a group of diseases that combine the proliferative process in the monocyte-macrophage system with the accumulation of pathological histiocytes in the lesions and a formation of specific granulomas.
There is a possibility of an immunopathological and tumor nature of the disease. A high incidence of spontaneous remission, low mortality and an absence of chromosomal abnormalities in cells from lesions are in favor of the immunopathological nature of histiocytosis. In favor of the tumor nature — the clonal nature of the Langerhans cells proliferation in the lesions.
Clinical manifestations of histiocytosis are very diverse, which determines the difficulty of diagnosis. Various organs and tissues can be involved in the pathological process: skin, lymph nodes, external and middle ear, flat bones, bone marrow, liver, spleen, lungs, endocrine glands, gastrointestinal tract, brain.
The article presents a clinical case of histiocytosis diagnosed in a child of 1 month 3 weeks, the clinical manifestations of which were masked under the symptoms of an acute otitis externa.
The description of this clinical case is intended to draw attention to the peculiarities of the course of recurrent otitis externa and otitis media in infants, as the “mask” of these diseases may be histiocytosis.
Key words: acute otitis externa and otitis media, infants, histiocytosis, computerized tomography.
For citation: Molchanova M.V., Alexeenko S.I., Artyushkin S.A. Clinical observation of histiocytosis, proceeding under the mask of an acute otitis externa, in a child of 1 month 3 weeks // RMJ. 2018. № 10(II). P. 102-104.
Для цитирования: Клиническое наблюдение гистиоцитоза у ребенка 1 месяца 3 недель, протекавшего под маской наружного диффузного отита. РМЖ. 2018;10(II):102-104.
В статье представлен клинический случай гистиоцитоза, диагностированный у ребенка 1 мес. 3 нед., клинические проявления которого маскировались под симптомы наружного диффузного отита.
Введение
Гистиоцитозы представляют собой группу заболеваний, разнообразных по клиническим проявлениям и прогнозу, которые объединяет пролиферативный процесс в моноцитарно-макрофагальной системе с накоплением в очагах поражения патологических гистиоцитов и формированием специфических гранулем 3. Современная классификация гистиоцитозов включает 3 нозологические формы: гистиоцитоз из клеток Лангерганса, злокачественный гистиоцитоз и вирус-ассоциированный гемофагоцитарный синдром [2, 5].
Гистиоцитоз из клеток Лангерганса — крайне редкое заболевание: в детском возрасте встречаются 3-4 случая на 1 млн населения, у взрослых — 1 случай на 560 000 населения 6.
Этиология и патогенез гистиоцитоза до конца не изучены [2, 6, 9]. Возможна иммунопатологическая и опухолевая природа заболевания. В пользу иммунопатологической природы гистиоцитоза свидетельствуют высокая частота спонтанных ремиссий, низкая летальность (у детей — 15%, у взрослых — 3%) и отсутствие хромосомных аномалий в клетках из очагов поражения. В пользу опухолевой природы говорит клональный характер пролиферации клеток Лангерганса в очагах поражения [10].
Клинические проявления гистиоцитоза весьма разнообразны, что определяет трудность диагностики. В патологический процесс могут вовлекаться различные органы и ткани: кожа, лимфатические узлы, наружное и среднее ухо, плоские кости, костный мозг, печень, селезенка, легкие, эндокринные железы, желудочно-кишечный тракт, головной мозг [2, 6, 11].
Среди ЛОР-органов наиболее часто поражаются наружное и среднее ухо с кровянисто-гнойными выделениями из наружного слухового прохода, имитируя таким образом наружный и средний гнойный отит.
Верификация диагноза проводится на основании биопсии пораженных очагов с последующим гистологическим и иммуногистохимическим исследованиями материала [2].
Клинический случай гистиоцитоза
Вашему вниманию предлагается случай своевременно диагностированного гистиоцитоза у ребенка грудного возраста.
Девочка Г., 1 мес. 3 нед., поступила в ЛОР-отделение СПб ГБУЗ «ДГМКЦ ВМТ им. К.А. Раухфуса» в экстренном порядке с жалобами на геморрагические выделения из правого уха.
Из анамнеза заболевания известно, что за 2 нед. до поступления на фоне полного здоровья родители заметили геморрагические выделения из правого уха у девочки в небольшом количестве. Факт травмы родители отрицали. К ЛОР-врачу амбулаторно не обращались. Появившиеся выделения из правого уха повторно побудили родителей обратиться в дежурный ЛОР-стационар.
Из анамнеза жизни известно, что девочка от первой беременности, первых срочных родов. Беременность протекала без особенностей. При рождении: масса тела — 3650 г, рост — 53 см, закричала сразу, оценка по шкале Апгар — 8/8 баллов. Девочка находилась на грудном вскармливании, отмечались достаточные весовые прибавки. Проходила регулярные плановые осмотры в декретированные сроки у педиатра и специалистов в поликлинике по месту жительства. Девочка наблюдается у хирурга, онколога по месту жительства по поводу образования боковой поверхности грудной клетки слева (лимфангиома?).
При поступлении: ребенок в сознании, активен, сон не нарушен, аппетит не снижен. Температура тела 36,5 °С. Общий соматический статус без отклонений от возрастной нормы.
Проведена оценка ЛОР-статуса. Риноскопия: носовое дыхание удовлетворительное. Слизистая носа розовая, носовые раковины обычные, отделяемого нет. Фарингоскопия: слизистая глотки розовая, налетов не обнаружено.

Выполнена отоскопия. AD: заушная область не изменена. Кожа наружного слухового прохода незначительно гиперемирована, инфильтрирована. В наружном слуховом проходе отмечается гнойно-геморрагическое отделяемое. На задневерхней стенке наружного слухового прохода на границе с барабанной перепонкой визуализируется образование розового цвета, однородное, с четкими контурами, размер 7×5,5 мм, при дотрагивании кровоточит. Барабанная перепонка обозрима не полностью, серая. AS: заушная область не изменена. Наружный слуховой проход широкий, свободный. Барабанная перепонка серая, контуры четкие.
Ребенок госпитализирован в ЛОР-отделение, проведено дообследование: клинический анализ крови, общий анализ мочи, копрограмма, бактериологическое исследование патологического отделяемого из правого уха, УЗИ органов брюшной полости, желудка, биохимический анализ крови, ЭКГ, консультация педиатра.
После угасания острого воспалительного процесса наружного слухового прохода справа выполнена компьютерная томография височных костей с внутривенным введением контрастного вещества.
В клиническом анализе крови отмечались признаки анемии легкой степени тяжести (эритроциты 3,09×10 12 , гемоглобин 100 г/л).
В общем анализе мочи, копрограмме, УЗИ органов брюшной полости, желудка патологии не выявлено.
В результате бактериологического исследования отделяемого из наружного слухового прохода справа выделен Staphylococcus aureus, чувствительный к амоксициллину в комбинации с клавулановой кислотой, цефотаксиму, цефтриаксону.
ЭКГ: синусовый ритм с ЧСС 138 уд./мин, нормальное положение электрической оси сердца. Поворот против часовой стрелки (R1, V1-V6); неполная блокада правой ножки пучка Гиса.
Девочка консультирована педиатром. Диагноз: Образование боковой поверхности грудной клетки слева (лимфангиома?). Анемия легкой степени тяжести.
Проведена консервативная терапия: системная антибактериальная терапия (цефтриаксон по 400 мг 1 р./сут в/м 10 дней); антигистаминная терапия (диметинден (капли) по 3 капли 3 р./сут внутрь); интраназально вводился вазоконстриктор (оксиметазолин 0,01% по 1 капле 2 р./сут); местный антибактериальный препарат (в правое ухо: рифамицин по 3 капли 3 р./сут 10 дней).
На фоне проводимой терапии воспалительные явления стихли, однако при отоскопии сохранялось образование на задневерхней стенке наружного слухового прохода справа.
С целью уточнения распространенности процесса назначена компьютерная томография височных костей с внутривенным введением контрастного вещества.
По данным компьютерной томографии височных костей, выполненной по стандартной программе до и после внутривенного введения контрастного вещества, на задней стенке наружного слухового прохода справа определяется мягкотканное образование однородной структуры, овальной формы с четкими контурами, размером 7×5,5 мм. Образование прилежит к барабанной перепонке, несколько смещает ее внутрь, умеренно накапливает контрастный препарат. Просвет наружного слухового прохода в данной области сужен до 1 мм. Костных деструктивных изменений не выявлено. Антрум и барабанные полости с обеих сторон пневматизированы. Слуховые косточки прослеживаются четко. Улитки без особенностей (рис. 1).
В условиях операционной под внутривенным наркозом при отомикроскопическом контроле удалено образование наружного слухового прохода справа. Материал направлен на гистологическое исследование.
По результатам патоморфологического исследования: гистологическая картина лангергансоклеточного гистиоцитоза.
Девочка консультирована детским онкологом. Рекомендован пересмотр блоков и стекол с выполнением иммуногистохимического исследования материала в НМИЦ ДГОИ им. Д. Рогачева.
Катамнез: по результатам гистологического и иммуногистохимического исследования в НМИЦ ДГОИ им. Д. Рогачева диагноз подтвержден. После выписки из ЛОР-отделения ДГМКЦ ВМТ им. К.А. Раухфуса девочка прошла обследование у онколога, другие очаги не выявлены. Системная терапия онкологом не назначалась. В течение года 1 раз в 3 мес. консультируется онкологом, оториноларингологом, ребенку проводится отомикроскопия — отмечается стойкая ремиссия.
Заключение
Описание данного клинического случая преследует цель обратить внимание на особенности течения рецидивирующих наружных и средних отитов у грудных детей, т. к. за маской данных заболеваний может скрываться гистиоцитоз.
Список литературы Свернуть Развернуть
Контент доступен под лицензией Creative Commons «Attribution» («Атрибуция») 4.0 Всемирная.
Гистиоцитозы - история изучения
ФГУ "НИИ пульмонологии" ФМБА России
ФГБУ "НИИ морфологии человека" РАМН, Москва
Научно-исследовательский институт скорой помощи им. Н.В. Склифосовского, Москва
ФГБОУ ВО «Первый Московский государственный медицинский университет им. И.М. Сеченова» Минздрава России, 119991, Москва, Россия;
ФГБУ «Научно-исследовательский институт пульмонологии Федерального медико-биологического агентства», 115682, Москва, Россия
ГБУЗ "НИИ скорой помощи им. Н.В. Склифосовского" Департамента здравоохранения Москвы;
ФГУ "НИИ пульмонологии" Федерального медико-биологического агентства России, Москва, Россия
Патоморфологические особенности лангергансоклеточного гистиоцитоза легких
Журнал: Архив патологии. 2014;76(6): 56‑60
Приведена клинико-рентгенологическая характеристика лангергансоклеточного гистиоцитоза легких (ЛКГЛ). Описаны патогистологические изменения в легких, охарактеризован клеточный состав гранулемы, приведены методы, позволяющие подтвердить диагноз ЛКГЛ. Приведено наблюдение ЛКГЛ с тяжелой дыхательной недостаточностью, по поводу которой проведена двусторонняя трансплантация легких с гистологическим исследованием удаленных легких.
Лангергансоклеточный гистиоцитоз легких (ЛКГЛ) (ранее используемые названия: легочная эозинофильная гранулема, легочный лангергансоклеточный гранулематоз, легочный гистиоцитоз Х) является редким заболеванием легких, его распространенность оценивают как 1:560 000 или 3-5% всех интерстициальных заболеваний легких. ЛКГЛ выявляют, как правило, в возрасте 20-40 лет у пациентов-курильщиков (обычно стаж курения свыше 10 пачек/лет) [1]. Курение считается единственным этиологически доказанным фактором заболевания. ЛКГЛ морфологически характеризуется формированием гранулем лапчатого вида, в состав которых входят клетки Лангерганса, пигментированные макрофаги, эозинофилы, лимфоциты, плазматические клетки.
Клетки Лангерганса впервые описаны P. Langerhans [2], впоследствии Birbeck при электронно-микроскопическом исследовании обнаружил, что клетки Лангерганса содержат в цитоплазме характерные гранулы, или Х-тельца [3].
Предполагают, что дендритические клетки могут появляться в легких из циркулирующих дендритических клеток под действием хемокинов, в результате дифференцировки предшественников под действием местных цитокинов, а также, возможно, в результате пролиферации предполагаемых клеток-предшественников непосредственно в легком или легочных макрофагов, трансдифференцирующихся в дендритические клетки [4].
«Эпителиальный» тип дендритических клеток характеризуется экспрессией CD1a, E-кадхерина, лангерина и S-100 [4].
Считают, что скопление клеток Лангерганса в легких происходит в результате пролиферации предполагаемых клеток-предшественников, возможно клональной. Однако ЛКГЛ не имеет характерных черт опухолевого заболевания, поскольку клетки Лангерганса пролиферируют медленно, болезнь часто спонтанно регрессирует. Кроме того, в конечной фиброзно-кистозной стадии заболевания клетки Лангерганса практически отсутствуют [5].
Некоторые авторы доказали, что пролиферация клеток Лангерганса при этом заболевании является клональной, однако это само по себе не подтверждает неопластический характер болезни и не указывает на злокачественный потенциал пролиферирующих клеток [6].
Таким образом, является ли настоящее заболевание воспалительным или неопластическим, в настоящее время не доказано.
Цель работы - описать клинико-рентгеноморфологические особенности ЛКГЛ.
Пациенты предъявляют неспецифические жалобы на кашель с отделением скудного количества мокроты, на одышку. Реже возникают жалобы на слабость, субфебрилитет, снижение массы тела, в единичных случаях - на кровохарканье, и тогда дифференциальный диагноз проводят прежде всего с туберкулезом легких. Гистиоцитоз легких в 10% наблюдений осложняется спонтанным пневмотораксом, который клинически проявляется внезапной резкой болью в грудной клетке и усилением одышки. Кроме того, у ряда больных выявляют тяжелую легочную гипертензию. Гистиоцитоз легких может протекать бессимптомно, в этом случае диагноз удается установить после выполнения рентгенологического исследования легких.
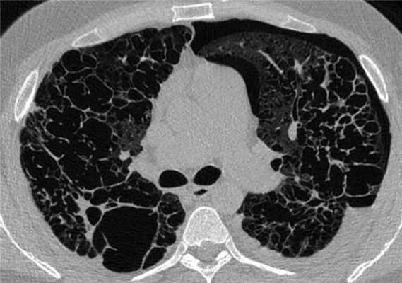
Рентгенологическая картина гистиоцитоза легких меняется в зависимости от стадии развития заболевания. Наиболее информативным рентгенологическим методом исследования при ЛКГЛ является компьютерная томография высокого разрешения (КТВР). На ранних стадиях заболевания при выполнении КТВР выявляют мелкие (3-6 мм, реже до 1 см) симметричные узелки в верхних и средних отделах легких, по мере прогрессирования заболевания появляются полости (рис. 1) Рисунок 1. КТ легких. Множественные симметричные узелки и полости в верхних отделах легких. , число которых со временем нарастает при одновременном регрессе узелков [7]. При длительном течении заболевания определяются множественные полости и участки «сотового легкого» (рис. 2) Рисунок 2. КТ легких. Множественные полости и участки «сотового легкого». . Для гистиоцитоза легких, в отличие от других интерстициальных заболеваний легких, патогномонично симметричное поражение верхних и средних отделов легких, поражение нижних отделов легких имеет место при тяжелом течении заболевания. Гистиоцитоз у взрослых чаще протекает в форме изолированного поражения легких, однако в 15% наблюдений имеет место поражение костей скелета, реже лимфатических узлов, кожи и других органов [8].
При гистологическом исследовании выявляют перибронхиолярные гранулемы типичного лапчатого вида (рис. 3) Рисунок 3. Перибронхиолярная гранулема «лапчатого вида», в состав которой входят гистиоциты, пигментированные макрофаги, эозинофилы и лимфоциты. Окраска гематоксилином и эозином. ×100. за счет распространения на прилежащие межальвеолярные перегородки разнообразного состава. Обязательным компонентом гранулем являются клетки Лангерганса, которые представляют собой клетки с эозинофильной цитоплазмой с плохо очерченными границами, ядра этих клеток бобовидной формы с извитой ядерной мембраной, ядрышки отсутствуют (рис. 4) Рисунок 4. Гранулема, состоящая из гистиоцитов и большого числа эозинофилов. Окраска гематоксилином и эозином. ×200. [9]. В состав гранулем могут входить пигментированные макрофаги и эозинофилы, лимфоциты, плазматические клетки, фибробласты, изредка гигантские клетки инородных тел. После стихания процесса на месте гранулемы остается «звездчатый» рубец. Наличие пигментированных макрофагов в составе гранулем и в просветах альвеол отражает аддикцию к курению. Помимо гранулем характерной лапчатой формы обнаруживают гранулемы неправильной формы, а также инфильтраты различной величины (рис. 5) Рисунок 5. Перибронхиолярный инфильтрат, состоящий из гистиоцитов, пигментированных макрофагов, эозинофилов, лимфоцитов. Окраска гематоксилином и эозином. ×100 . На поздних стадиях развития заболевания гистологически определяются участки интерстициального фиброза с наличием кистозных полостей, выстланных однорядным кубическим эпителием, в стенках которых определяются очаговые лимфогистиоцитарные инфильтраты (рис. 6) Рисунок 6. Интерстициальный фиброз с наличием кистозных полостей, выстланных кубическим эпителием, с очаговыми лимфогистиоцитарными инфильтратами в их стенках. Окраска гематоксилином и эозином. ×100. .
При выявлении типичных лапчатых гранулем диагноз ЛКГЛ становится очевиден. Однако при выявлении лишь мелких перибронхиолярных инфильтратов (рис. 7) Рисунок 7. Мелкий перибронхиолярный инфильтрат, состоящий из гистиоцитов и лимфоцитов. Окраска гематоксилином и эозином. ×400. либо только участков интерстициального фиброза с очаговой лимфогистиоцитарной инфильтрацией установить диагноз становится затруднительно. В сомнительных случаях диагноз подтверждает иммуногистохимическое исследование с антителами к CD1a, S100 и CD207 (лангерина), которое выявляет клетки Лангерганса в составе инфильтратов и гранулем (рис. 8, 9) Рисунок 8. Клетки Лангерганса в перибронхиолярном инфильтрате. Иммуногистохимическая реакция с антителами к CD1a. ×400 Рисунок 9. Клетки Лангерганса в мелком перибронхиолярном инфильтрате. Иммуногистохимическая реакция с антителами к CD1a. ×400. .
В качестве демонстрации тяжелого течения ЛКГЛ приводим следующее наблюдение.

Пациент П., 36 лет с анамнезом курения 20 пачка/лет, в настоящее время отказался от курения в связи с тяжестью состояния. Предъявлял жалобы на одышку в покое, усиливающуюся при минимальной физической нагрузке, кашель с отделением светлой мокроты и редкие эпизоды кровохарканья. Впервые за медицинской помощью обратился в 2010 г., был диагностирован рецидивирующий правосторонний пневмоторакс (3 эпизода), выполнен плевродез. В дальнейшем пациент стал отмечать одышку, не купирующуюся бронходилататорами. В 2013 г. в течение 6 мес принимал кортикостероиды. В июне и июле 2013 г. перенес 3 эпизода левостороннего пневмоторакса. При КТВР в июле 2013 г. выявлены множественные воздушные полости во всех отделах легких (рис. 10) Рисунок 10. КТВР. Множественные тонкостенные полости, сливающиеся между собой, субплевральные участки интерстициального фиброза. , сливающиеся между собой, а также участки «сотового легкого», внутригрудные лимфатические узлы увеличены до 1,8 см. При рентгенологическом исследовании костей скелета литические очаги не выявлены. На ЭКГ выявлено резкое отклонение электрической оси сердца вправо и блокада задней ветви левой ножки пучка Гиса, что отражает перегрузку правых отделов сердца. При ЭхоКГ выявлена трикуспидальная регургитация 2-й степени с градиентом давления 50 мм рт.ст. и дилатация правых отделов сердца как подтверждение вторичной легочной артериальной гипертензии. При исследовании функции внешнего дыхания ЖЕЛ =2,39 л (46,1%), ОФВ 1 =1,30 л (30,4%), ОФВ 1 /ЖЕЛ =54,51%, DLCO =10,40 (29,6%), что отражает выраженное нарушение вентиляции легких по обструктивному типу. В связи с тяжестью состояния в сентябре пациент был включен в лист ожидания трансплантации легких в НИИ СП им. Н.В. Склифосовского, в октябре выполнена успешная двусторонняя пересадка легких. В настоящее время состояние пациента удовлетворительное.

При макроскопическом исследовании висцеральная плевра обоих легких неравномерно утолщена с фрагментами спаек, на разрезах во всех отделах легких определяются множественные округлые воздушные полости диаметром от 1 до 5 см (рис. 11) Рисунок 11. Макропрепарат легкого на разрезе. Множественные полости различного размера. .
При гистологическом исследовании в ткани легкого выявляются поля интерстициального фиброза с множественными гистиоцитарными инфильтратами и наличием полостей, выстланных однорядным кубическим эпителием, в сохранной ткани легкого стенки альвеол несколько утолщены за счет пролиферации миофибробластов, что подтверждено при проведении иммуногистохимической реакции с антителами к актину гладких мышц (рис. 12 а, б) Рисунок 12. Пролиферация гладкомышечных клеток в стенках альвеол. а - окраска гематоксилином и эозином. ×100, б - иммуногистохимическая реакция с антителами к SMA. ×100. , в части просветов - скопления пигментированных макрофагов. Гистиоцитарная природа клеток подтверждена экспрессией в них CD1a (рис. 13) Рисунок 13. Инфильтрат из клеток Лангерганса в стенке кистозной полости. Иммуногистохимическая реакция с антителами к CD1a. ×40. . Отмечается фиброэластоз интимы ветвей легочной артерии с реканализацией части из них.
Особенностью приведенного клинического наблюдения является субтотальное поражение легких с участками интерстициального фиброза и признаками вторичной артериальной гипертензии, а также пролиферация миофибробластов в межальвеолярных перегородках.
ЛКГЛ является редким заболеванием легких с многообразными патоморфологическими проявлениями, варьирующими от мелких перибронхиолярных инфильтратов до субтотального интерстициального фиброза, диагностика которого опирается на иммуногистологическое исследование с антителами к CD1a, S100 и CD207 (лангерину).
Гистиоцитоз из клеток Лангерганса - группа заболеваний клеток с длинным отростками-дендритами. Они образуются в костном мозге и в норме находятся в коже, слизистых оболочках и в легких. Эти клетки были открыты в позапрошлом веке Паулем Лангергансом и с тех пор носят его имя.
Гистиоцитозы из клеток Лангерганса бывает двух типов:
Гистиоцитоз из клеток Лангерганса с изолированным поражением легких
Этот вид гистиоцитоза является не опухолевым, а реактивным процессом. В этом случае заболевшие клетки остаются нормальными и есть вероятность, что они поправятся сами. Чаще всего он развивается в ответ на воздействие на легкие (курение!) у предрасположенных людей. Появляется сухой кашель, одышка, а при компьютерной томографии вместо нежной губчатой ткани легких доктор видит участки без легочной ткани - буллы.
Рисунок 1. Нормальная КТ-картина легких Рисунок 2. Легочные КТ-изменения у пациента с гистиоцитозом
Легочная ткань вокруг булл теряет прочность, и, если не приступить к лечению, то она при обычном дыхании может порваться, и воздух из легкого попадет в грудную клетку. Возникает осложнение - пневмоторакс, при котором спадается одно легкое, и больному внезапно становится трудно дышать. В этом случае требуется уже хирургическое лечение: на несколько дней вводят специальные трубочки (дренажи) в грудную клетку, чтобы выпустить воздух. В тяжелых случаях приходится отсекать пораженный участок легкого.
Диагноз
Чтобы установить диагноз «гистиоцитоз из клеток Лангерганса», нужно взять фрагмент легкого на гистологический и иммуногистохимический анализ. Если диагноз подтвердился, то всех пациентов ради исключения системного процесса необходимо обследовать для оценки сохранности костной ткани (рентгенография черепа, костей грудной клетки и таза) и исключить изменения в других органах (печень, кожа…), если есть жалобы.
Лечение
Самая частая причина легочного гистиоцитоза - это курение, поэтому первое действие -- бросить курить. Уже полный отказ от курения приводит к значительному улучшению самочувствия пациента: уменьшается кашель и одышка. Половина пациентов выздоравливает полностью. Если пациент бросил курить, а ему не стало легче, стоит начинать системную терапию преднизолоном или короткими курсами химиопрепаратов. Пациенты с легочным поражением предрасположены к бронхитам или другим инфекциям легких, поэтому для уменьшения риска необходима вакцинация от наиболее частых инфекций - гриппа и пневмококка.
Гистиоцитоз из клеток Лангерганса с внелегочным поражением
Причина развития этого вида гистиоцитоза пока неизвестна. Чаще всего болезнь появляется в коже, костях, зубах, в головном мозге, гипофизе… Могут поражаться и легкие. Как правило, пациенты чувствуют себя нормально, пока не появляются жалобы со стороны пораженных органов: боли в месте роста опухоли, одыщка… Если болезнь появляется в гипофизе (это маленький участок мозга, отвечающий за эндокринную систему, обмен веществ), то развивается несахарное мочеизнурение (несахарный диабет) или другие эндокринные расстройства.
Чтобы установить диагноз «гистиоцитоз из клеток Лангерганса», необходимо взять на анализ фрагмент опухоли или измененной ткани. Для исключения системности заболевания необходимо сделать рентгенографию костей, а при наличии жалоб обследовать и другие органы.
Выбор терапии внелегочного гистиоцитоза зависит от того, насколько болезнь распространена. Одиночные поверхностные опухоли кожи можно удалить хирургически или использовать местное облучение. Детей с множественным поражением лечат длительным введением малых доз химиопрепаратов. Когда попытались применить к взрослым детские схемы лечения, то оно тоже подействовало положительно, однако многие пациенты жаловались на неприятные побочные эффекты терапии. Поэтому взрослых пациентов лечат по другим схемам.
Современные методики лечения позволяют полностью вылечить более 65% пациентов с гистиоцитозами.
Все гистиоцитозы можно разделить на три класса.
- с изолированным поражением легких;
- с внелегочным поражением.
II класс - гистиоцитозы из мононуклеарных фагоцитов:
- семейный эритрофагоцитирующий лимфогистиоцитоз;
- вторичный гемофагоцитарный синдром;
- Х-связанный лимфогистиоцитоз,;
- синусовый гистиоцитоз с массивным увеличением лимфоузлов.
III класс - злокачественные гистиоцитарные расстройства:
- острый монобластный лейкоз;
- злокачественный гистиоцитоз/анапластическая крупноклеточная лимфома;
- гистиоцитарная саркома.
Отдельно выделяют те виды гистицитозов, которые пока трудно классифицировать. Это следующие заболевания:
- ксантогранулема;
- гемофагоцитарный лимфогистиоитоз с Т-клеточной лимфомой и эритрофагоцитозом;
- гепатолиенальная Т-клеточная лимфома;
- гистиоцитарный некротизирующий лимфаденит (болезнь Кикучи-Фуджимото);
- дендритический лимфаденит;
- болезнь Розаи-Дорфмана.
О каждом виде гистиоцитозов подробнее мы расскажем дальше.
Когда врач начинает лечить больного с подозрением на лимфому или другую болезнь крови, то ему необходимо понять, в каком состоянии находится очень важный орган пациента, в котором происходит кроветворение - костный мозг. Для этого делаются специальные анализы, о которых мы постараемся рассказать подробнее.
В медицинской терминологии словом «мозг» или «мозговое вещество» обозначает внутреннюю часть органа или ткани, которая отличается от его внешней части. Например, головной мозг лежит внутри черепа, спинной мозг находится в канале из позвонков. Кость тоже не является однородным плотным веществом. На поверхности лежит более плотный, твердый слой, а внутри кость представляет собой губку с более мелкими или крупными ячейками. Строение зависит от того, какую работу она выполняет в организме. Внутри кости, а именно в этих ячейках и находится костный мозг, где он хорошо защищен природой от опасностей внешнего мира. Костный мозг выглядит как обычная кровь, но под микроскопом видно, что он состоит из материнских (стволовых) и созревающих клеток, а также клеток микроокружения. У здорового взрослого человека объем костного мозга равен примерно 3-4 литрам. В толстых костях мозга больше, в тонких - меньше.
Внутри костей для клеток природой созданы поистине «тепличные» условия, поэтому и вредные (патологические) клетки также стремятся занять «теплое местечко», вот почему исследование костного мозга часто является самым важным для постановки диагноза, а значит, и для правильного лечения.
При взятии костного мозга для анализа, как и при взятии любого другого материала из организма используются принципы максимальной пользы, безопасности и безболезненности. Делают это уже десятки лет, поэтому методики надежно отработаны. Чаще всего используют аспирационную биопсию и трепанобиопсию костного мозга.
Аспирационная биопсия костного мозга
Данная процедура нужна для того, чтобы получить на анализ капельку костного мозга. Эта капелька позволяет быстро и точно понять, что происходит с кроветворением, почему что-то пошло не так, есть ли в костном мозге «вредные» клетки и какие они. Сразу же скажем, что при этом и при других анализах, количество костного мозга очень быстро восстанавливается и организм не терпит никакого урона.
Аспирационную биопсию выполняют так. Врач вместе с пациентом решают, из грудины или со спины брать костный мозг. Если выбирают первый вариант, то протирают спиртом кожу над верхней третью грудины, обезболивают новокаином мягкие ткани и специальной иглой и шприцем берут 0,5 миллилитра костного мозга. Если выбирают второй вариант, то на границе ягодичной и поясничной области, отступив от позвоночника в сторону на 10 см, обрабатывают кожу спиртом и обезболивают мягкие ткани. Затем также специальной иглой берут полмиллилитра костного мозга на анализ. Вся процедура от момента протирания кожи спиртом до окончания в опытных руках занимает времени меньше минуты. Как до, так и после нее можно сразу есть, пить, мыться, словом, заниматься повседневными делами.
Получение капельки костного мозга позволяет провести:
- исследование клеточного состава;
- исследование генов и хромосом опухолевых и стволовых клеток;
- проточную цитометрию клеток;
- молекулярно-генетические исследования.
Трепанобиопсия костного мозга
На врачебном языке словом «биопсия» называют взятие жидкой части или кусочка любого органа для исследования, а «трепанобиопсией костного мозга» называется взятие тонкого столбика кости с мозгом внутри для комплексного анализа кроветворных клеток, их взаимодействия с окружающими клетками, изменений структуры кости. Трепанобиопсия костного мозга позволяет обнаружить опухолевые клетки, а также увидеть характерные черты различных заболеваний. Это исследование применяют для того, чтобы уточнить степень заболевания, а иногда только этот анализ позволяет правильно поставить диагноз.
В обычной врачебной работе трепанобиопсию костного мозга делают очень редко, и мало кто знает, что это такое. Именно поэтому кратко опишем, как она делается. Сразу скажем, что во время забора анализа любое прикосновение к любым нервам, позвонкам, спинному мозгу полностью отсутствует. Процедура достаточно простая и может проходить амбулаторно, но делает ее обязательно врач. Пациент может сидеть или лежать в зависимости от своего желания и навыков доктора.
Укажем точки на теле, откуда берут материал. На границе ягодичной и поясничной области, отступив 10 см от позвоночника в сторону, врач находит места, где очень близко к поверхности кожи подходят самые массивные кости человека - подвздошные кости таза. Врач протирает спиртом кожу, тонкой иглой обезболивает мягкие ткани и специальной иглой берет материал. Вся процедура от момента протирания кожи спиртом до получения маленького столбика костной ткани (длиной один-два см) в опытных руках занимает три-четыре минуты. Как до, так и после нее можно сразу есть, пить, мыться, одним словом, заниматься повседневными делами. На месте взятой кости быстро вырастает новая костная ткань. Полученный материал отправляют на гистологическое исследование. При необходимости выполняют углубленное иммуногистохимическое исследование.
Лабораторий, в которых могут квалифицированно проанализировать полученный материал, в городе мало. Кроме того, сама методика анализа очень трудоемкая, поэтому подготовка ответа занимает не менее двух недель.
Исследование клеточного состава (миелограмма)
Капелька костного мозга аккуратно распределяется по стеклышку, окрашивается специальными красками и отправляется в лабораторию. Как правило, микроскопический анализ и написание заключения занимает 1-2 дня. Этот метод относится к одному из самых технически простых, однако специалистов-цитологов, способных правильно оценить то, что видно под микроскопом, в городе очень мало.
Цитогенетическое исследование
Цитогенетическое исследование выявляет болезнь на уровне хромосом.
В школе на уроках биологии мы изучали, что вся информация о человеке зашифрована природой в его генах. Эти гены собраны в особые цепочки, которые спрятаны в ядре клетки. Цепочки генов называются «хромосомами». Цитогенетический анализ хромосом можно провести в момент деления клетки. Анализ возможен только у активно делящихся клеток - стволовых и опухолевых. При некоторых болезнях возникают типичные поломки хромосом, которые можно увидеть в микроскоп, и обнаружение их имеет ключевое значение для диагноза, лечения и предсказания результатов лечения. Для анализа берут около двух миллилитров костного мозга. Цитогенетическое исследование - это очень сложное, трудоемкое дело, которое требует дорогого оборудования, дорогих специальных химических и биологических веществ (реактивов), труда высококвалифицированных лаборантов и врача-цитогенетика. Выполнение такого исследования возможно только в некоторых специализированных больницах и научных центрах. Анализ и написание заключения занимает около 3-4 дней.
Молекулярно-генетические методы исследования (ПЦР и FISH)
Как уже говорилось, в организме человека, как и во всяком живом существе, вся информация зашифрована в генах. У всех людей есть похожие гены (например, те, которые указывают, что у нас одна голова и четыре конечности) и есть непохожие, уникальные (например, те, которые указывают на цвет глаз, оттенок кожи, голос). Для некоторых болезней найдены типичные изменения (мутации) генов, которые вызывают, «запускают» болезнь, и типичные сопровождающие болезнь изменения генов. Чтобы их найти и назначить нужное лечение требуется один-два миллилитра костного мозга больного человека. В некоторых случаях достаточно и крови.
Ученые создали специальные реактивы - белки-ферменты, которые сами находят в исследуемой жидкости нужный ген и делают множество его копий, которые легко обнаружить. Этот метод называется полимеразная цепная реакция (ПЦР). С помощью ПЦР можно обнаружить любой ген - и опухолевый и инфекционный, даже если в организме больного организма опухолевые клетки присутствует в ничтожно малых количествах. Метод очень точен, прост в использовании, но тоже требует чрезвычайно дорогостоящего оснащения (оборудования, реактивов) и труда специалистов. Ответ выдается через 1-2 дня после постановки анализа.
Некоторые гены очень тяжело выявить полимеразной цепной реакцией, тогда на помощь приходит FISH-метод. При FISH-методе используют уже сделанные на заводе светящиеся крупные молекулы настроенные на те гены, которые необходимо обнаружить. Эти молекулы смешивают с кровью пациента, а потом врач лабораторной диагностики по характеру свечения определяет результат. Метод очень точен, однако имеет свои сложности в применении и требует чрезвычайно дорогостоящего оснащения (оборудования, реактивов) и труда высококлассных специалистов. Ответ выдается через 1-2 дня после постановки анализа.
Проточная цитометрия
Чтобы лучше понять этот метод, сравним клетку с плодом киви. Поверхность клетки очень похожа на волосистую кожицу этого фрукта. Волоски клетки - это молекулы-рецепторы, которыми клетки «переговариваются» между собой. По набору этих молекул-волосков можно из многих клеток точно выделять похожие, подобно тому, как по форме одежды можно определить род занятий человека. Опухоль - это множество абсолютно одинаковых клеток, с одним и тем же набором волосков-рецепторов, похожих друг на друга, как солдаты вражеской армии своими мундирами. Используя специальные краски, можно выделить группу одинаковых клеток и с точностью сказать, какая это опухоль, а значит, правильно выбрать лечение и предвидеть его результат.
Как же делается проточная цитометрия? Представим, что можно аккуратно кисточкой покрасить каждый волосок плода киви в свой цвет. Задача фантастически сложная. Тем не менее, с этой задачей справляются врачи-цитометристы, аппараты которых могут в автоматическом режиме за несколько минут покрасить и оценить десятки поверхностных молекул на сотнях тысяч клеток, найти и обозначить больные клетки. При этом метод позволяет исследовать любые клетки в любой жидкости: кровь, костный мозг, плевральную жидкость и т.д. Проточная цитометрия незаменима в диагностике лейкозов и многих других болезней крови, когда необходимо быстро и точно поставить диагноз.
Проточная цитометрия -это очень сложное дело, которое требует дорогого оснащения, труда очень квалифицированного специалиста. Выполняют этот анализ только в некоторых больницах. Несомненный плюс данной методики в том, что можно исследовать любой жидкий материал, что она быстрая и высочайше точная. Анализ и написание заключения занимает 1-2 дня, но сложные случаи могут потребовать больше времени.
Гистологическое исследование
При гистологическом исследовании врач-патологоанатом изучает материал на клеточном уровне. Для этого взятый при биопсии кусочек органа или ткани специальным образом обрабатывают, делают тончайшие срезы и смотрят под микроскопом. При многих заболеваниях имеются типичные изменения в тех или иных органах, поэтому иногда достаточно только гистологического анализа, чтобы точно поставить диагноз. Если же врач обнаруживает изменения, похожие на опухолевые, то для более точного диагноза необходимо дополнительное проведение иммуногистохимического исследования.
С помощью гистологического исследования костного мозга можно ответить на многие вопросы. Например, при необъяснимом уменьшении количества каких-то клеток крови (тромбоцитов, лейкоцитов, эритроцитов) это единственный метод, который позволяет с вероятностью 100% исключить поражение костного мозга лимфомой или другим опухолевым процессом. Этот метод позволяет выяснить, правильно ли происходит кроветворение или есть в нем какие-либо нарушения. Гистологическое исследование незаменимо для выявления поражения костного мозга, например, метастазами, болезнями крови, инфекцией. В связи с длительной лабораторной обработкой материала для анализа время до выдачи результата составляет не менее двух недель.
Иммуногистохимическое исследование
Суть данного метода в целом близка методу проточной цитометрии. С помощью специальных красок и приборов окрашиваются молекулы на поверхности клеток, и врач-патологоанатом изучает результат. Различия состоят в том, что в данной ситуации исследуют не жидкую часть, а твердые кусочки тканей и органов, взятые при биопсии. Этот метод тоже высокотехнологичен, дорогостоящ и требует работы специалиста высокого класса. Немногие лечебные центры способны качественно выполнять данное исследование.
Читайте также:
