УЗИ, МРТ при нейробластоме у плода
Добавил пользователь Евгений Кузнецов Обновлено: 14.12.2025
Большинство девочек на приеме врача ультразвуковой диагностики педиатрического отделения — подростки с разным спектром жалоб. Однако встречаются и пациентки допубертатного возраста, среди которых основной процент детей с признаками раннего полового созревания.
В последние 20 лет наблюдается явная тенденция к более раннему наступлению половой зрелости. В медицинской литературе описаны случаи рождения детей матерями такого возраста, когда их сверстницы еще далеки от пубертата.
Под преждевременным половым развитием (ППР) понимают появление признаков полового созревания в возрасте до 8 лет, соответствующих 2-й стадии по Таннеру с явной тенденцией к прогрессированию.
ППР чаще встречается у девочек, чем у мальчиков, и в основном идиопатического происхождения (30-75 %). В целом же признаки раннего пубертата наблюдаются у 0,5 % девочек в популяции (2,5-3 % всех гинекологических заболеваний детского возраста).

Современная классификация основана на определении вовлеченности в процесс гипоталамо-гипофизарно-яичниковой системы. Различают центральную (истинная или гонадотропин-зависимая) и периферические формы, полную и неполную формы. ППР может протекать по женскому (изосексуальному) и по мужскому (гетеросексуальному) типу (см. табл. 1).
Этиологическая структура данной патологии разнообразна (см. табл. 2).
Таблица 2. Причины преждевременного полового развития у девочек.

ППР центрального происхождения наблюдается с частотой 1 случай на 5-10 тысяч детей и связано с патологией ЦНС двух типов: органического и функционального характера.
Органическое поражение ЦНС обусловлено объемными образованиями гипоталамо-гипофизарной области, а также травмами (в т. ч. родовыми) или инфекционными заболеваниями ЦНС. Особое положение занимают гамартомы гипоталамуса. Они представляют собой скопление нейронов, продуцирующих гонадолиберин, которые не поддаются ингибирующему влиянию ЦНС. При визуализирующих методах исследования гамартомы имеют вид стебельчатого образования в области серого бугра или дна 3-го желудочка.
Среди причин нарушений ЦНС функционального характера наиболее часто встречаются инфекционные заболевания и интоксикации, перенесенные матерью во время беременности, а также самим ребенком в первые годы жизни, осложненное течение беременности и родов, тяжелая соматическая патология у матери.
Идиопатическая форма ППР диагностируется в том случае, когда органическое поражение головного мозга не выявляется. Встречается довольно редко, у 0,6 % здоровых девочек. Однако среди истинных форм является самой распространенной и составляет до 75 %.
Причинами периферического ППР могут быть гормонально-активные опухоли яичников, надпочечников, адреногенитальный синдром на фоне врожденной дисфункции коры надпочечников, злокачественные заболевания печени, применение медикаментозных средств (андрогены, анаболические стероиды, гонадотропные гормоны).
Фолликулярные кисты яичников — частая причина ППР у девочек. Они возникают на фоне транзиторного подъема гонадотропинов (в основном ФСГ). Диаметр этих кист от 0,5 до 1,5 см. Наличие кисты в яичнике не является признаком патологии. Но в некоторых случаях кистозная ткань начинает избыточно продуцировать эстрадиол. Как правило, эти кисты имеют размер 3-4 см. В большинстве случаев фолликулярные кисты через 1,5-2 месяца самопроизвольно регрессируют, и клиника ППР исчезает. Хирургическому лечению подлежат только большие или осложненные кисты.
Полная форма ППР обусловлена преждевременной активацией функции гипоталамо-гипофизарно-яичниковой системы и поэтому расценивается как истинное ППР.
Истинное ППР всегда изосексуальное. При этом у пациенток появляются все признаки половой зрелости (увеличение молочных желез, оволосение лобка, подмышечных впадин, менструации); также характерно опережение физического развития и костного возраста более чем на 2 года.
Такие девочки остаются низкорослыми в связи с преждевременным закрытием зон роста и имеют диспластическое телосложение (короткие конечности, длинное туловище, широкий таз). В дальнейшем у них часто наблюдаются ранняя сексуальность, сексуальная навязчивость, нарушения функции половой системы (пубертатные маточные кровотечения, дисфункциональные маточные кровотечения в репродуктивном возрасте, синдром поликистозных яичников), ранний климакс.
Неполные формы ППР характеризуются преждевременным появлением лишь одного признака полового созревания (менархе, телархе или адренархе) и обусловлены избытком половых гормонов независимо от секреции гонадотропинов. Для неполной формы ППР по изосексуальному типу первым признаком полового развития является преждевременное развитие молочных желез или менархе; по гетеросексуальному типу — появление лобкового (реже подмышечного) оволосения.
Важное отличие истинного ППР состоит в хоть и раннем, но полном и последовательном появлении вторичных половых признаков с одновременным увеличением размеров матки и яичников, а также с ранним формированием маркеров костного и эпифизарного возраста. В свою очередь для периферических форм более характерны нетипичная скорость и изолированность течения.
Однако следует помнить, что примерно в 10 % случаев гонадотропин-независимые формы могут трансформироваться в гонадотропин-зависимые в результате вторичной активации гипоталамо-гипофизарной оси под действием повышенного уровня половых гормонов. Таким образом, неполная форма может быть первым симптомом истинного ППР.
Только тщательный комплексный и объективный осмотр и лабораторно-инструментальное обследование помогут выявить причину и определить форму ППР.
Визуализирующие методы диагностики
Широко применяются в клинической практике КТ, МРТ и УЗИ. Опухолевый вариант церебрального ППР исключают с помощью КТ и МРТ. Эти методы входят в обязательный стандарт плана обследования.
Всем девочкам с ППР показано выполнение УЗИ органов малого таза, а в случае преждевременного изолированного телархе (ПИТ) — еще и УЗИ молочных желез.
Выделяют несколько УЗ-признаков ППР: увеличение размеров матки более 3,4 см, формирование угла между шейкой матки и телом, появление эндометрия (М-эхо) — 100 % признак, но чувствительность данного критерия невысока (42-87 %), увеличение размеров яичников более 1-3 см3.
Многочисленные исследования, проводимые в разных странах, показывают, что у пациенток с центральным ППР, как правило, имеются значительно более высокие показатели всех УЗ-параметров по сравнению со здоровыми детьми. У девочек с полной формой ППР, манифестирующей до 3-летнего возраста, матка в 2 раза превышает нормальные значения, имеется шеечно-маточный угол. Яичники располагаются низко, в среднем объем яичника также превышает возрастную норму более чем в 2 раза. Увеличение объема яичников наблюдается за счет чрезмерно выраженного фолликулярного аппарата. В свою очередь пациентки с ПИТ имеют такие же параметры ОМТ, по данным УЗИ, как и здоровые девочки.
Яичниковая форма ППР возникает при наличии фолликулярной кисты или эстрогенпродуцирующей опухоли яичника. На УЗИ не отмечается увеличение матки и непораженного яичника.
Синдром Мак-Кьюна — Олбрайта — Брайцева — генетически обусловленное заболевание, связанное с мутацией гена GNAS1, расположенного на длинном плече 20-й хромосомы. Является гонадотропин-независимым вариантом ППР изосексуального типа и проявляется наличием пигментных пятен неправильной формы светло-кофейного цвета («кофе с молоком»), фиброзно-кистозной дисплазией костной ткани и эндокринными нарушениями в виде гиперфункции эндокринных желез (ППР, тиреотоксикоз, гиперплазия коры надпочечников, акромегалия с гиперсекрецией СТГ и др.). ППР манифестирует менструальноподобным синдромом. При УЗИ ОМТ обнаруживаются автономно функционирующие фолликулярные кисты яичников, имеющие волнообразное течение, иногда гигантского размера, многокамерные, имитирующие опухоль.
Учитывая, что причинами ППР могут быть врожденный гипотиреоз, ожирение, гормонально-активные опухоли надпочечников, обследование девочек должно включать УЗИ щитовидной железы и надпочечников.
При идиопатической (конституциональной) форме ППР, отсутствуют какие-либо патологические изменения ЦНС, яичников и надпочечников, подтвержденные тщательным всесторонним обследованием. Последовательность и темп физического и полового развития не нарушены, а как бы сдвинуты на более ранний возраст, и эти особенности носят семейный характер.
Таким образом, ППР — не самостоятельная патология, а симптомокомплекс, который выступает проявлением другого заболевания. Встречается не так уж и редко. Установить причины и форму можно только благодаря комплексному подходу. УЗИ служит дополнительным инструментом для диагностики ППР, а также для дифференциации по типу, но только в сочетании с клиническими и лабораторными исследованиями.
Эхография в комплексной диагностике нефробластомы у детей

Экспертный класс по доступной цене. Монокристальные датчики, полноэкранный режим отображения, эластография, 3D/4D в корпусе ноутбука. Гибкая трансформация в стационарный сканер при наличии тележки.
Введение
Нефробластома - трёхкомпонентная эмбриональная опухоль, содержащая эпителиальный, бластный и стромальный элементы (аденомиосаркома). На неё приходится около 8% всех опухолей детского возраста. Наиболее часто (75%) встречается у детей в возрасте от 1 до 5 лет, составляя 97% всех опухолей почек в этом возрасте. В подавляющем большинстве случаев неоплазма обнаруживается спорадически, но в 1% случаев носит семейный характер [1]. В 5% случаев опухоль поражает обе почки, а у 15% больных сочетается с хромосомной патологией, церебральным гигантизмом, гемигипертрофией, спорадической несемейной анириидией, синдромом Видемана-Беквита, гамартомами, нейрофиброматозом и другими аномалиями [2, 3, 4]. Опухоль длительное время растёт бессимптомно. Хотя описаны случаи острого развития опухоли после минимальных травм [5]. Диагностика новообразований забрюшинного пространства затруднена для традиционных методов, что связано с анатомо-топографическими особенностями, длительным отсутствием клинических проявлений, либо отсутствием специфических признаков. Поэтому к моменту пальпаторно обнаруживаемого образования, болей в животе, лихорадки, анорексии, артериальной гипертензии и/или гематурии у 80% детей имеются отдалённые метастазы.
Ведущим в постановке правильного диагноза является визуализация. Основными методами диагностики остаются эхография, традиционная рентгенография (в т.ч. и экскреторная урография), рентгеновская компьютерная томография (РКТ), магниторезонансная томография (МРТ) и ангиография. Единой тактики в применении различных диагностических методик нет [6]. В связи с этим мы поставили целью изучить визуальную семиотику нефробластом.
Материалы и методы
Проанализированы результаты обследования 49 детей, поступивших в Российскую детскую клиническую больницу с подозрением на опухоль почки. В 42 случаях диагноз подтверждён гистологически. Наряду с экскреторной урографией, эхографией, РКТ, МРТ и ангиографией выполнены пункционная биопсия опухоли и изменённых лимфоузлов, оперативные вмешательства. В 7 случаях предполагаемый диагноз нефробластомы не подтвердился. Именно эти случаи вызвали наибольшие сложности в диагностике, что потребовало применения ангиографии. В качестве группы сопоставления для определения информативности и диагностической ценности различных методик, с целью разработки дифференциально-диагностических критериев обследовали 87 детей с нейробластомами.
Результаты
При обследовании детей с нефробластомами в обсуждаемой группе экскреторная урограмма была изменена у 79,6% больных. Это выглядело как нарушение формы, размеров и расположения почек, изменение чашечно-лоханочной системы и мочеточников. Исключение составляла т.н. "немая почка". Феномен свидетельствовал либо о поражении средних сегментов почки со сдавлением мочеточника или почечной вены, либо прорастанием сосудистой ножки внеорганной забрюшинной нейробластомой. Эти случаи снижали значимость экскреторной урографии в дифференциальной диагностике нефробластом.
Эхография и РКТ позволяет значительно точнее определить анатомо-топографические и, в какой-то степени, морфологические характеристики нефробластомы (Рис. 1, 2). У всех наших пациентов опухоль была представлена объёмным образованием в виде солитарных масс преимущественно неправильной формы (95,2%). В области опухолевого узла контур почки был выпуклым (14,3%). В 50% обнаруживалась экзофитная зона с фрагментарно выраженной капсулой (71,4%). Эхографическая картина и изображение поражённой почки на РКТ были весьма схожи. Опухоль выглядела как негомогенная структура с преобладанием гиподенситивных очагов (90,5%). Эхографически кальцинаты при нефробластоме выглядят как редкие небольшие высокоинтенсивные сигналы и обнаруживались редко.

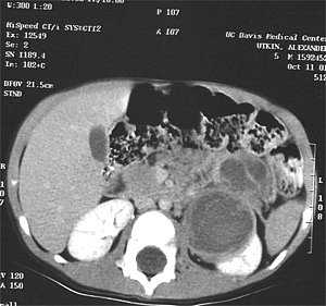
Рис. 1. Рентгеновская компьютерная томограмма опухоли почки. Чётко видно, как часть почки замещена опухолевой массой.

Рис. 2. Ультразвуковое сканирование опухоли почки (нефробластома) с очагами распада.
При в/в "контрастном усилении" (проведено у 33% больных) во всех случаях негомогенность усиливалась. Фокальные участки пониженной плотности ограничивались более резко выраженной линией демаркации, отделявшей опухоль от нормальной резидуальной почечной ткани. Капсула была выражена у 21,4% больных, что в совокупности с отсутствием метастазов позволило диагностировать I стадию заболевания всего в 4,8% случаев.
Бугристость контуров почки свидетельствовала о выходе опухоли за пределы органа. Но чёткость контуров говорила в пользу сохранности капсулы, что при отсутствии метастазов указывало на II-ую стадию заболевания у 14,3% больных.
Таким образом, более 4/5 наших больных на момент 1-ого обследования в клинике имели III-IV стадии опухолевого процесса. Это выражалось нечёткостью контуров почки (81,1%), бугристостью (50%), т.е. прорастанием собственной капсулы. Наряду с этим обнаруживалась инфильтрация околопочечной клетчатки в виде её уплотнения (81,1%), прорастанием в прилежащие органы (33,3%). Опухоль прорастала в надпочечники (21,4%) и поджелудочную железу (4,8%). По 2,4% (по 1 случаю) приходится на прорастание в селезёнку, печень, диафрагму, стенку кишки. В 4,8% выявлено поражение нижней полой вены (прорастание и метастатический тромбоз), что клинически проявлялось выраженной гематурией и отёками ног.
Наиболее часто при нефробластоме поражались регионарные лимфоузлы (81,1%). Поражение лимфоузлов брыжейки было в 16,7% случаев, а забрюшинного пространства - в 14,2%. Метастатическое поражение печени было у 21,4% детей, лёгких - у 14,3%. Одновременное поражение печени и лёгких диагностировано у 11% больных, метастатическое поражение надпочечника - у 21,4% (9 детей), а костей - у 4,8%.
Проведена оценка значимости отдельных методов лучевой диагностики.
Анализ полученных данных показал, что по-прежнему целесообразно применение экскреторной урографии. Её точность составила 79,6%, что несколько выше точности эхографии (77,6%), но существенно уступает РКТ (91,9%) и, тем более, ангиографии (97,6%). Точность РКТ в случае обнаружения исходной локализации опухоли составила в наших исследованиях 91,8% при чувствительности в 97,6%. Это несколько ниже диагностической ценности ангиографии, но существенно выше эхографии. Иначе говоря, экскреторная рентгенография, наряду с эхографией, может использоваться как скрининг-метод. При дифференциальной диагностике выявленных объёмных поражений на опухолевые и неопухолевые результативность экскреторной урографии составила 65,3%, что приближается к диагностической ценности эхографии (69,4%), но существенно ниже таковой у РКТ (87,8%) или ангиографии (95,1%). Соответственно, и точность диагностики при ангиографии (97,6%) приближается к 100%, вполне коррелируя с гистоморфологическими данными. Точность РКТ несущественно уступает ангиографии, составляя 95,9% (p>0,05). Эхография уступает этим двум методикам. При оценке местной распространённости процесса ведущая роль принадлежит РКТ, точность которой достигает 91,8%. Метод ангиографии несколько уступает (82,9%) рентгеновской компьютерной томографии, незначительно превосходя эхографию (79,9%).
В диагностике метастазов в лёгкие оправдано использование рентгенографии, точность которой, по нашим данным, составляет 88,1%, а чувствительность - 96%. РКТ целесообразно использовать только для уточнения диагноза, что обусловлено большей разрешающей способностью аппаратуры.
Проведённые сопоставительные исследования позволили выстроить диагностический ряд радиологических методик. Обзорная рентгенография - метод трагически поздней диагностики. Опухоль становится видна только при достижении ею больших размеров или при появлении кальцинатов.
Кальцинаты при нефробластоме редки. Они значительно чаще обнаруживаются при нейробластоме. Кальцинаты при нейробластоме на обзорных рентгенограммах обнаружены всего у 3 пациентов (3,5%) и выглядели как хлопьевидные включения в проекции тени опухоли. На экскреторных рентгенограммах выявить их не удалось. Значительно чаще (12 детей - 13,8%) они обнаруживались эхографически и выглядели более интенсивными и множественными, чем при нефробластоме. При КТ кальцинаты отмечены у 87 человек (100%).
Дополнительными неспецифическими признаками нефробластомы являются однородная тень средней интенсивности в области проекции почки с неясными включениями, оттеснение тени поясничной мышцы и петель тонкой и ободочной кишки. Опухоль, исходящая из левой почки, оттесняет желудок вверх и латерально, что определяется по смещению газового пузыря [6].
При экскреторной урографии обнаруживаются деформация чашечно-лоханочной системы при её "растянутости". Опухоль большого объёма сдавливает и оттесняет мочеточник. Это может вызвать сложности при дифференциальной диагностике опухоли Вильмса и забрюшинных неорганных опухолей, а также нефробластомы и метастазов в забрюшинные лимфоузлы. "Немая почка", обнаруженная нами у 20,4% больных, свидетельствует о прорастании опухоли в мочеточник и/или поражении средних сегментов почки. Т.к. феномен может наблюдаться и при иных опухолях или сосудистой патологии, то требуются более информативные методики.
При эхографии опухоль выглядит как внутрипочечное эхогенное образование с достаточно чёткими контурами. Плотность образования выше, чем плотность паренхимы почек или даже печени. Оно более однородное и менее плотное, чем нейробластома, хотя и внутри опухоли Вильмса могут обнаруживаться неправильных очертаний гипоэхогенные очаги кровоизлияний, некрозов или расширенные чашечки.
Осмотр сосудов почечной ножки проводится в продольном, поперечном и наклонном направлении. Тромбоз считается достоверным, если выявлен фокус уплотнения в пределах нижней полой или почечной вены. Аналогичные изменения могут обнаруживаться в правых отделах сердца. Большую помощь в диагностике оказывает цветное картирование потока крови. Тем не менее, смещение и сдавление сосудов, тень опухоли затрудняют получение достоверной информации при эхографии. Поэтому перед оперативным вмешательством требуются более объективные методики.
Солидные внутрипочечные образования у детей старше 1 года, обнаруженные эхографически, можно достаточно уверенно трактовать как опухоль Вильмса [7].
В целом, экскреторная урография и эхография позволяют сразу при минимальных затратах и неинвазивно получить большой объём информации. Поэтому экскреторная урография и, особенно, эхография должны стоять в самом начале дифференциальной диагностике поиска и рассматриваться как скрининговые методики [8], а эхография ещё и как наиболее оптимальная методика для динамического наблюдения.
РКТ позволяет расшифровать ложноположительные и ложноотрицательные результаты, полученные при традиционной ретгенографии и эхографии, уточнить топику опухоли, её соотношение с сосудами, с высокой степенью достоверности выяснить наличие или отсутствие метастазов в лимфоузлах, кости и, по показаниям, в лёгкие.
МРТ с высокой степенью достоверности выявляет почечное происхождение опухоли, её границы и распространение по органу. Опухоль Вильмса характеризуется удлинением времени Т1 и Т2 релаксации. Интенсивность сигнала может варьировать за счёт очагов кровоизлияния или некроза в опухоли. Преимуществом МРТ по сравнению с РКТ и эхографией является лучшая визуализация сосудов и, соответственно, диагностика вероятного прорастания опухоли в почечную вену [9]. Во всех остальных случаях диагностическая ценность эхографии, РКТ и МРТ отличаются несущественно.
Ангиография имеет особое значение у пациентов с единственной почкой, двухсторонним поражением, при планировании геминефрэктомии, при диагностике выхода опухоли за пределы капсулы почки, поражения печени, селезёнки, диафрагмы, брыжейки, брюшины, нижней полой вены (диагностическая ценность приближается к 100%), а также при дифференциальной диагностике опухоли Вильмса и нейробластомы (последняя - менее однородна) или неопухолевых состояний.
Всё это склоняет нас в пользу диагностического алгоритма, где отправной методикой поставлена эхография.
Для визуализации объёмного процесса оправдано применение эхографии и экскреторной урографии. Их целесообразно проводить на догоспитальном этапе, не дублируя в клинике. Такая схема позволит исключить высокие повторные лучевые нагрузки и избежать лишних стрессовых ситуаций. Эхография в условиях стационара показана для динамического контроля. С целью дифференциальной диагностики выявленных изменений как опухолевых или неопухолевых, и, в определённой степени, морфо-гистологической принадлежности, целесообразна РКТ. Именно с этой методики должно начинаться обследование в клинике ребёнка при подозрении на наличие у него опухоли Вильмса. РКТ бесспорно показана для выявления метастазов. Несмотря на высокую диагностическую ценность ангиографии, применять её следует строго избирательно, т.к. методика связана с высокой лучевой нагрузкой и является инвазивной. Абсолютным показанием к проведению ангиографии является двухсторонний процесс или поражение единственной почки. У детей первого года жизни рентгеновская компьютерная томография отодвигается на задний план. Несмотря на технические сложности на первое место выдвигаются ангиография, магниторезонансная томография. Это связано с тем, что РКТ у детей грудного возраста чревата опасностью получения множественных артефактов. Последние возникают от спонтанных дыхательных движений, крайне скудной межорганной жировой клетчатки.
Таким образом, при обнаружении объёмного образования почки, требующего и дифференциальной диагностики с нефробластомой, мы рекомендуем определённую последовательность методик, которая определяется и возрастом ребёнка.
Литература
- Risler T., Mueller G.A., Rosendahl W. Nephrologie. Muenchen, 1993. - s. 165.
- Leiber B., Olbrich G. Die klinischen Syndrome. Muenchen, 1993. - Bdd.1.
- Fleming S. Genetics of kidney tumors. // Forum-Genova, 1998. - v. 8. - N 2. - pp. 176 - 184.
- Rahmen N., Abidi F., Ford D., Arbour L., e.a. Confirmation of FWT1 as a Wilms Characteristics of Wilms tumor attributable to FWT1. // Human genetic., 1998. - 103. - N 5. - pp. 547 - 556.
- Ferrosi F., Folegnani F., Bacchini E. Acute onset of Wilms tumor after minor injury. Assessment with computerized tomography and magnetic resonance. // Radiol. Med. Torino., 1998. - v. 96. - N 3. - pp. 272 - 274.
- Босин В.Ю., Филипкин М.А. Болезни мочевой системы. В кн.: "Рентгенодиагностика в педиатрии" под ред. В.Ю. Босина, К.В. Ватолина и др., М., Медицина, 1988. - т.2. - сс. 84 - 86.
- DeCampo J.F. Ultrasound of Willms tumor. //Pediatr. Radiol., 1989. - v.16. - pp. 21-32.
- Siegel M., Ishwaran H., Fletcher B., e.a. Staging of Neuroblastoma at imaging: report of the Radiology diagnostic oncology group. // Radiology, 2002. - v. 223. - 1. - pp. 168 - 175.
- Ho V., Scott F., Hood M., e.a. Renal masses: quantitative assessment of enchancement with dynamic MR Imaging. // Radiology, 2002. - v. 224. - 3. - pp. 695 - 700.
УЗИ аппарат HM70A
Нейробластома
Нейробластома - злокачественное новообразование симпатической нервной системы эмбрионального происхождения. Развивается у детей, обычно располагается в надпочечниках, забрюшинном пространстве, средостении, шее или области таза. Проявления зависят от локализации. Наиболее постоянными симптомами являются боли, повышение температуры и снижение веса. Нейробластома способна к регионарному и отдаленному метастазированию с поражением костей, печени, костного мозга и других органов. Диагноз устанавливается с учетом данных осмотра, УЗИ, КТ, МРТ, биопсии и других методик. Лечение - оперативное удаление неоплазии, радиотерапия, химиотерапия, пересадка костного мозга.

Общие сведения
Нейробластома - недифференцированная злокачественная опухоль, происходящая из эмбриональных нейробластов симпатической нервной системы. Нейробластома является самой распространенной формой рака экстракраниальной локализации у детей раннего возраста. Составляет 14% от общего количества злокачественных новообразований у детей. Может быть врожденной. Нередко сочетается с пороками развития. Пик заболеваемости приходится на 2 года. В 90% случаев нейробластома диагностируется в возрасте до 5 лет. У подростков выявляется очень редко, у взрослых не развивается. В 32% случаев располагается в надпочечниках, в 28% - в забрюшинном пространстве, в 15% - в средостении, в 5,6% - в области таза и в 2% - в области шеи. В 17% случаев определить локализацию первичного узла не удается.
У 70% больных нейробластомой при постановке диагноза выявляются лимфогенные и гематогенные метастазы. Чаще всего поражаются регионарные лимфоузлы, костный мозг и кости, реже - печень и кожа. Крайне редко обнаруживаются вторичные очаги в головном мозге. Уникальной особенностью нейробластомы является способность к повышению уровня дифференцировки клеток с трансформацией в ганглионеврому. Ученые считают, что нейробластома в отдельных случаях может протекать бессимптомно и завершаться самостоятельной регрессией или созреванием до доброкачественной опухоли. Вместе с тем, часто наблюдаются быстрый агрессивный рост и раннее метастазирование. Лечение нейробластомы проводят специалисты в сфере онкологии, эндокринологии, пульмонологии и других областей медицины (в зависимости от локализации неоплазии).
Причины нейробластомы
Механизм возникновения нейробластомы пока не выяснен. Известно, что опухоль развивается из эмбриональных нейробластов, которые к моменту рождения ребенка не созрели до нервных клеток. Наличие эмбриональных нейробластов у новорожденного или ребенка младшего возраста не обязательно приводит к формированию нейробластомы - небольшие участки таких клеток часто выявляются у детей в возрасте до 3 месяцев. В последующем эмбриональные нейробласты могут трансформироваться в зрелую ткань или продолжить делиться и дать начало нейробластоме.
В качестве основной причины развития нейробластомы исследователи указывают приобретенные мутации, возникающие под влиянием различных неблагоприятных факторов, однако определить эти факторы пока не удалось. Отмечается корреляция между риском возникновения опухоли, аномалиями развития и врожденными нарушениями иммунитета. В 1-2% случаев нейробластома носит наследственный характер и передается по аутосомно-доминантному типу. Для семейной формы неоплазии типичен ранний возраст начала болезни (пик заболеваемости приходится на 8 месяцев) и одновременное или практически одновременное образование нескольких очагов.
Патогномоничным генетическим дефектом при нейробластоме является потеря участка короткого плеча 1-ой хромосомы. У трети пациентов в опухолевых клетках обнаруживаются экспрессия либо амплификация N-myc онкогена, подобные случаи рассматриваются как прогностически неблагоприятные из-за быстрого распространения процесса и устойчивости неоплазии к действию химиопрепаратов. При микроскопии нейробластомы выявляются круглые мелкие клетки с темными пятнистыми ядрами. Характерно наличие очагов кальцификации и кровоизлияний в ткани опухоли.
Классификация нейробластомы
Существует несколько классификаций нейробластомы, составленных с учетом размера и распространенности новообразования. Российские специалисты обычно используют классификацию, которую в упрощенном виде можно представить следующим образом:
- I стадия - выявляется одиночный узел размером не более 5 см. Лимфогенные и гематогенные метастазы отсутствуют.
- II стадия - определяется одиночное новообразование размером от 5 до 10 см. Признаки поражения лимфоузлов и отдаленных органов отсутствуют.
- III стадия - выявляется опухоль диаметром менее 10 см с вовлечением регионарных лимфоузлов, но без поражения отдаленных органов, либо опухоль диаметром более 10 см без поражения лимфоузлов и отдаленных органов.
- IVА стадия - определяется неоплазия любого размера с отдаленными метастазами. Оценить вовлеченность лимфоузлов не представляется возможным.
- IVВ стадия - выявляются множественные новообразования с синхронным ростом. Наличие либо отсутствие метастазов в лимфоузлы и отдаленные органы установить не удается.
Симптомы нейробластомы
Для нейробластомы характерно значительное разнообразие проявлений, что объясняется разными локализациями опухоли, вовлечением тех или иных близлежащих органов и нарушением функций отдаленных органов, пораженных метастазами. На начальных стадиях клиническая картина нейробластомы неспецифична. У 30-35% пациентов возникают локальные боли, у 25-30% наблюдается повышение температуры тела. 20% больных теряют в весе либо отстают от возрастной нормы при прибавке массы тела.
При расположении нейробластомы в забрюшинном пространстве первым симптомом заболевания могут стать узлы, определяемые при пальпации брюшной полости. В последующем нейробластома может распространяться через межвертебральные отверстия и вызывать компрессию спинного мозга с развитием компрессионной миелопатии, проявляющейся вялой нижней параплегии и расстройством функций тазовых органов. При локализации нейробластомы в зоне средостения наблюдаются затруднения дыхания, кашель, дисфагия и частые срыгивания. В процессе роста неоплазия вызывает деформацию грудной клетки.
При расположении новообразования в области таза возникают расстройства дефекации и мочеиспускания. При локализации нейробластомы в области шеи первым признаком болезни обычно становится пальпируемая опухоль. Может выявляться синдром Горнера, включающий в себя птоз, миоз, эндофтальм, ослабление реакции зрачка на свет, нарушения потоотделения, гиперемию кожи лица и конъюнктивы на стороне поражения.
Клинические проявления отдаленных метастазов при нейробластоме также отличаются большим разнообразием. При лимфогенном распространении выявляется увеличение лимфоузлов. При поражении скелета возникают боли в костях. При метастазировании нейробластомы в печень наблюдается быстрое увеличение органа, возможно - с развитием желтухи. При вовлечении костного мозга отмечаются анемия, тромбоцитопения и лейкопения, проявляющиеся вялостью, слабостью, повышенной кровоточивостью, склонностью к инфекциям и другими симптомами, напоминающими острый лейкоз. При поражении кожных покровов на коже больных нейробластомой образуются голубоватые, синеватые или красноватые плотные узлы.
Для нейробластомы также характерны метаболические расстройства в виде повышения уровня катехоламинов и (реже) вазоактивных интестинальных пептидов. У пациентов с такими расстройствами наблюдаются приступы, включающие в себя побледнение кожи, гипергидроз, диарею и повышение внутричерепного давления. После успешной терапии нейробластомы приступы становятся менее выраженными и постепенно исчезают.
Диагностика нейробластомы
Диагноз выставляют с учетом данных лабораторных анализов и инструментальных исследований. В список лабораторных методов, используемых в ходе диагностики нейробластомы, включают определение уровня катехоламинов в моче, уровня ферритина и мембрано-связанных гликолипидов в крови. Кроме того, в процессе обследования пациентам назначают тест на определение уровня нейронспецифической енолазы (NSE) в крови. Этот анализ не является специфичным для нейробластомы, поскольку увеличение количества NSE также может наблюдаться при лимфоме и саркоме Юинга, но имеет определенную прогностическую ценность: чем ниже уровень NSE, тем более благоприятно протекает заболевание.
План инструментального обследования в зависимости от локализации нейробластомы может включать в себя КТ, МРТ и УЗИ забрюшинного пространства, рентгенографию и КТ органов грудной клетки, МРТ мягких тканей шеи и другие диагностические процедуры. При подозрении на отдаленное метастазирование нейробластомы назначают радиоизотопную сцинтиграфию костей скелета, УЗИ печени, трепанобиопсию либо аспирационную биопсию костного мозга, биопсию кожных узлов и другие исследования.
Лечение нейробластомы
Лечение нейробластомы может проводиться с использованием химиотерапии, лучевой терапии и оперативных вмешательств. Тактику лечения определяют с учетом стадии болезни. При I и II стадии нейробластомы осуществляют хирургические вмешательства, иногда - на фоне предоперационной химиотерапии с использованием доксорубицина, цисплатина, винкристина, ифосфамида и других препаратов. При III стадии нейробластомы предоперационная химиотерапия становится обязательным элементом лечения. Назначение химиопрепаратов позволяет обеспечить регрессию новообразования для последующего проведения радикальной операции.
В некоторых случаях наряду с химиотерапией при нейробластомах применяют лучевую терапию, однако, в настоящее время этот метод все реже включают в схему лечения из-за высокого риска развития отдаленных осложнений у детей младшего возраста. Решение о необходимости лучевой терапии при нейробластоме принимают индивидуально. При облучении позвоночника учитывают возрастной уровень толерантности спинного мозга, при необходимости применяют защитные средства. При облучении верхних отделов туловища защищают плечевые суставы, при облучении таза - тазобедренные суставы и, по возможности, яичники. На IV стадии нейробластомы назначают высокодозную химиотерапию, выполняют трансплантацию костного мозга, возможно - в сочетании с хирургическим вмешательством и лучевой терапией.
Прогноз при нейробластоме
Прогноз при нейробластоме определяется возрастом ребенка, стадией заболевания, особенностями морфологического строения опухоли и уровнем ферритина в сыворотке крови. С учетом всех перечисленных факторов специалисты выделяют три группы больных нейробластомой: с благоприятным прогнозом (двухлетняя выживаемость составляет более 80%), с промежуточным прогнозом (двухлетняя выживаемость колеблется от 20 до 80%) и с неблагоприятным прогнозом (двухлетняя выживаемость составляет менее 20%).
Наиболее значимым фактором является возраст пациента. У больных младше 1 года прогноз при нейробластоме более благоприятный. В качестве следующего по значимости прогностического признака специалисты указывают локализацию неоплазии. Больше всего неблагоприятных исходов наблюдается при нейробластомах в забрюшинном пространстве, меньше всего - в средостении. Обнаружение в образце ткани дифференцированных клеток свидетельствует о достаточно высокой вероятности выздоровления.
Средняя пятилетняя выживаемость пациентов с нейробластомой I стадии составляет около 90%, II стадии - от 70 до 80%, III стадии - от 40 до 70%. У больных с IV стадией этот показатель существенно меняется в зависимости от возраста. В группе детей до 1 года, имеющих нейробластому IV стадии, пять лет с момента постановки диагноза удается прожить 60% пациентов, в группе детей от 1 до 2 лет - 20%, в группе детей старше 2 лет - 10%. Профилактические меры не разработаны. При наличии случаев заболевания нейробластомой в семье рекомендуется консультация генетика.
Нейробластома плода. Возможности пренатальной диагностики и прогноз

Эталон новых стандартов! Беспрецедентная четкость, разрешение, сверхбыстрая обработка данных, а также исчерпывающий набор современных ультразвуковых технологий для решения самых сложных задач диагностики.
Обычно поражение изолированное, с вовлечением одного надпочечника, двустороннее поражение встречается редко [5]. Иногда антенатально появляются метастазы в печень, кожу, костный мозг и редко в ворсинки плаценты [6]. В этом случае плацента выглядит объемной, но метастатические очаги могут не определяться макроскопически, а диагностируются лишь при гистологическом исследовании. Сосуды ворсинок плаценты содержат скопления клеток нейробластомы, но инвазия стромы наблюдается исключительно редко [7]. Описаны случаи метастазирования в пуповину с последующей гибелью плода [8]. Нейробластомы преимущественно состоят из нейробластов. Макроскопически очаги опухоли хорошо очерчены, но могут инфильтрировать окружающие ткани, капсула отсутствует.
Известно сочетание нейробластом с различными состояниями, в частности с болезнью Гиршпрунга, фетальным алкогольным синдромом, синдромом ДиДжорджа, болезнью Вон Реклинхаузена, синдромом Беквита - Видеманна.
В литературе описан ранний случай диагностики нейробластомы в 19 нед беременности, однако обычно пренатальный диагноз устанавливается при ультразвуковом исследовании в промежутке от 26 до 39 нед гестации [8].
Смещение нижней полой вены визуализирующимся образованием кпереди следует расценивать как признак забрюшинного происхождения этого образования [13]. Кроме того, при больших размерах опухоль надпочечника может смещать окружающие органы.
Цветовое допплеровское картирование помогает идентифицировать питающий опухоль сосуд, отходящий непосредственно от аорты, однако такой единственный сосуд может и не визуализироваться [13].
Как правило, антенатальная диагностика метастазов возможна исключительно редко, так как специфических поражений плаценты при ультразвуковом исследовании не отмечается, описано лишь неспецифическое ее утолщение [14]. В диагностике метастазов может быть информативной МРТ плода.
Геморрагические опухоли надпочечников могут осложняться анемией плода, неиммунной водянкой плода или массивной инвазией печени [10]. Предложены различные объяснения этиологии развития водянки плода: избыточная продукция катехоламинов, приводящая к гипертензии и сердечной недостаточности у плода; вовлечение в патологический процесс печени, вызывающее нарушение венозного возврата и развитие гипопротеинемии [14]; инвазия эритропоэтической ткани клетками опухоли, приводящая к развитию тяжелой анемии или даже гиперсекреции альдостерона корой надпочечников. Кроме того, описано возникновение водянки плода вторично к появлению метастазов в плаценту. Отек плаценты вследствие механического эффекта большого образования может развиваться в некоторых случаях нейробластомы без метастазирования в плаценту [6].
Кроме того, опухоли надпочечников больших размеров могут приводить к дистоции во время родов [8].
Следует помнить и о материнских осложнениях. Очень редко гиперпродукция катехоламинов опухолью надпочечников плода может вызывать избыточное потоотделение, развитие гипертензии и преэклампсии у матери, материнского миррор-синдрома при поражении плаценты [12, 14, 15]. Кроме того, развитие таких материнских осложнений, как правило, связано с высоким уровнем неонатальной смертности, достигающим 70% [1].
Прогноз при нейробластоме зависит от времени диагностики, локализации первичного очага и стадии заболевания. Прогноз лучше у детей до 1 года жизни при низких стадиях опухоли (выживает около 90%) [16]. При нейробластоме, диагностированной пренатально, прогноз, как правило, благоприятный, выживает 90-96% детей [1]. Однако при поражении плаценты прогноз неблагоприятный, часто происходит антенатальная гибель плода или смерть ребенка вскоре после рождения [12, 14].
Обнаружение кальцификатов в опухоли при ультразвуковом исследовании сочетается с лучшим прогнозом, вероятно, вследствие того, что кальцификаты являются свидетельством произошедшего некроза опухоли [12].
Нейробластома in situ может не проявлять себя клинически и даже подвергаться спонтанной регрессии [17, 18].
Течение заболевания у пациентов с нейробластомой, диагностированной пренатально, обычно благоприятное, особенно при изолированном поражении надпочечников [8]. Методом лечения (с хорошими результатами) является хирургическое удаление опухоли непосредственно после рождения [19], химиотерапия показана только в случаях существенного прогрессирования заболевания [20]. Пациенты с "благоприятными" признаками заболевания (небольшие размеры опухоли, ее кистозная структура, отсутствие прогрессирования) должны тщательно наблюдаться и подвергаться хирургическому лечению только при отсутствии регресса образования [11].
В качестве иллюстрации приводим одно из наших клинических наблюдений.
Клиническое наблюдение
Пациентка Т., 40 лет, обратилась для проведения планового скринингового ультразвукового исследования в 32 нед. В ходе предыдущих исследований в 13 и 19 нед патологии не было выявлено.
Супруги здоровы, профессиональных вредностей не имеют. Наследственность не отягощена. Настоящая беременность пятая. В анамнезе двое нормальных родов, два медаборта. На учете в женской консультации пациентка состояла с 6 нед. Беременность протекала без существенных осложнений. Лишь в срок 6-7 нед была диагностирована угроза невынашивания.
Ультразвуковое обследование проводилось на УЗ-сканере SonoAce-X8 (Medison).
При ультразвуковом исследовании обнаружен один живой плод мужского пола. Гестационный срок составил 31 нед 4 дня. Фетометрические показатели соответствовали данному сроку, за исключением окружности живота, превышающей 95-й процентиль за счет гепатомегалии. Нарушений фето-плацентарного кровотока не было выявлено. Патологических изменений плаценты и околоплодных вод не отмечено.
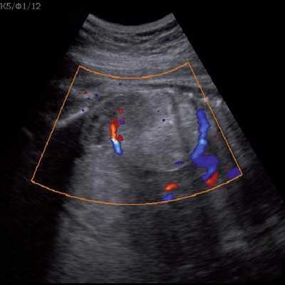
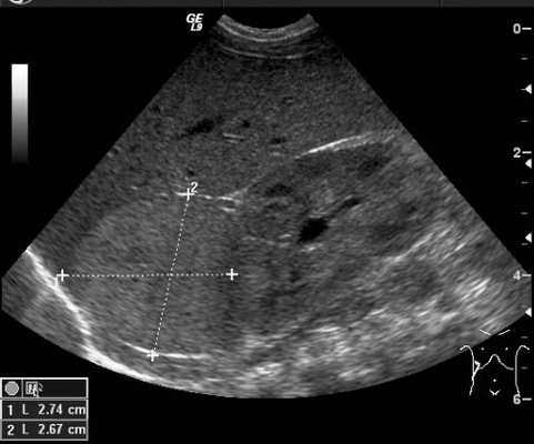
Под диафрагмой справа визуализировалось гиперэхогенное опухолевидное образование несколько неоднородной солидной структуры, с четкими ровными контурами, размером 50x38x35 мм. К нижнему полюсу данного образования прилежала правая почка, имеющая нормальные размеры, форму и структуру. Нижняя полая вена была смещена кпереди и влево. Обращала на себя внимание выраженная гепатомегалия, причем структура печени не была однородной. Она содержала множественные гиперэхогенные включения размерами до 17 мм, окруженные тонким гипоэхогенным периферическим ободком. Цветовое допплеровское картирование(ЦДК) демонстрировало интенсивную периферическую васкуляризацию опухоли (рис. 1-3).

Рис. 1. Нейробластома правого надпочечника плода. Беременность 31 нед 4 дня.

Рис. 2. Кровоток в нейробластоме плода. Цветовое допплеровское картирование. Отчетливо виден питающий сосуд, огибающий образование по его периферии. К нижнему полюсу образования прилежит интактная почка плода.

Рис. 3. Метастазы в печени плода. Поперечное сечение брюшной полости плода. Гепатомегалия. В структуре печени плода определяются округлые включения несколько повышенной эхогенности (стрелки), с гипоэхогенным ободком - метастазы.
Был поставлен диагноз: беременность 31 нед 4 дня. Опухоль правого надпочечника плода с метастазами в печень. Рекомендовано динамическое ультразвуковое наблюдение за темпами роста новообразования и возникновением возможных осложнений.
В срок 32 нед 4 дня была диагностирована антенатальная гибель плода. Родился мертвый ребенок, мужского пола весом 2480 г, длиной 45 см.
В представленном наблюдении картина нейробластомы надпочечника была не совсем классической. То, что это супраренальное образование - очевидно, так как оно прилежало к почке, имеющей нормальную форму, размеры и структуру. Опухоль имела капсулу, однородную гиперэхогенную структуру, что не характерно для нейробластомы надпочечника. Поэтому дифференциальную диагностику проводили с кровоизлиянием в надпочечники, опухолью Вильмса, экстралобарным легочным секвестром, ретроперитонеальной тератомой.
Кровоизлияние в надпочечники, как правило, выглядит эхогенным или неоднородной структуры образованием, иногда может быть полностью анэхогенным и характеризуется изменением ультразвуковой картины при динамическом исследовании, постепенно превращаясь в анэхогенное кистозное образование, в котором с течением времени отмечается утолщение его стенки [13] и образуются кальцификаты. Энергетический допплер демонстрирует полную аваскулярность такого образования. В нашем случае образование имело повышенную эхогенность, несколько неоднородную структуру. При ЦДК в опухоли регистрировался преимущественно периферический кровоток.
Опухоль Вильмса поражает почку (чаще правую), которая в представленном случае была интактна.
Экстралобарная легочная секвестрация является преимущественно левосторонним супраренальным образованием с четким наружным контуром, как правило, гиперэхогенной однородной структурой неправильной формы. Выявляется эта патология уже во II триместре беременности, при ЦДК определяется питающий сосуд.
Тератомы (в том числе и забрюшинной локализации) всегда представлены образованиями неоднородной солиднокистозной структуры вследствие их гистологического строения.
Таким образом, обнаруженное нами образование было отнесено к опухоли надпочечника даже при отсутствии классической картины нейробластомы. Обращали на себя внимание большой размер опухоли и отсутствие выраженных осложнений в виде многоводия, застойной сердечной недостаточности, нарушения фето-плацентарного кровотока. При этом относительно ранняя манифестация (выявление данного комплекса изменений уже в 31 нед), не совсем типичная ультразвуковая морфология опухоли, наличие выраженной гепатомегалии и множественных метастазов позволяли сделать вывод о злокачественном течении заболевания, что, видимо, и обусловило антенатальную гибель плода. В итоге диагноз был подтвержден патоморфологическим исследованием. У недоношенного плода мужского пола живот увеличен в объеме. Справа в забрюшинном пространстве определяется округлое образование (опухоль) размером 50?35?30 мм, эластичной консистенции. Спереди и снизу к опухоли прилежит почка, плотно с ней спаянная. Опухоль исходит из правого надпочечника, который находится на ее верхнем полюсе в виде "шапочки". На разрезе опухоль однородная, желтовато-серая. Левые надпочечники и почка обычного вида. Печень значительно увеличена, занимает около 1/2 объема брюшной полости, доли четко не дифференцируются. Поверхность печени коричневато-красная. На разрезах определяются множественные плотные эластичные узлы диаметром до 15 мм бледно-желтого цвета (рис. 4, 5).

Рис. 4. Органокомплекс, вид спереди.
1 - печень;
2 - опухоль с правым надпочечником;
3 - сердце.
Нейробластома - эмбриональная опухоль, возникающая в процессе внутриутробного или раннего постнатального периода жизни из стволовых нервных клеток - нейробластов.
Впервые описание этой опухоли, названной впоследствии «детской глиомой», дал Рудольф Людвиг Карл Вирхов в 1864 году. Позднее в 1891 году немецким ученым патоморфологом Феликсом Маршандом был определен источник опухоли - клетки симпатической нервной системы и надпочечники. Симпатическая нервная система - это часть автономной (вегетативной) нервной системы. Она контролирует непроизвольную работу внутренних органов человека, например, работу сердца, кишечника, мочевого пузыря, процесс кровообращения.
Эпидемиология
Нейробластома составляет около 7-8% от всех злокачественных новообразований в детском и подростковом возрасте. Это наиболее часто возникающий вид детских новообразований после опухолей кроветворной и центральной нервной системы. Примерно 40% случаев заболевания встречается на первом году жизни, с возрастом количество случаев уменьшается. Средний возраст на момент диагностирования составляет 19 месяцев.
Причины и риски
Причины появления опухоли до конца не изучены. Нейробластома возникает в том случае, когда нормальные нейробласты не созревают в нервные клетки. Вместо этого они продолжают бесконтрольно расти и делиться. Предполагают, что эти несозревшие (эмбриональные) нервные клетки начинают мутировать еще до рождения ребенка, когда начинают меняться хромосомы и/или происходит сбой в регулировании работы генов. Как подтверждают актуальные исследования, у большинства детей болезнь не является наследственной̆. Только около 1% случаев нейробластомы имеют наследственную основу, чаще всего, вследствие мутаций в гене, который̆ называется ALK (или ген киназы анапластической лимфомы), либо в гене PHOX2B. На сегодняшний̆ день нет клинических исследований, доказывающих, что внешние факторы (окружающая среда, вредные условия работы родителей ребенка, прием каких-либо медикаментов, курение и употребление алкоголя во время беременности) могут стать причиной болезни.
Клиническая картина при нейробластоме
Нейробластома может возникать в любой анатомической области, где располагается симпатическая нервная система: надпочечники, шейный, грудной и брюшной симпатический отделы, параганглии.
Самой частой локализацией нейробластомы является забрюшинное пространство (одинаково часто опухоль диагностируется в надпочечниках и паравертебральных забрюшинных ганглиях). У 15% детей нейробластома локализуется в заднем средостении. Реже опухоль возникает в области таза (6%) и шеи (2%) (рис. 1).
Рис. 1. Локализация нейробластомы
При ранних стадиях заболевания у многих детей может не быть никаких симптомов. Опухоль у них находят случайно, например, при плановом УЗИ обследовании младенцев при диспансеризации. Как правило, жалобы у детей появляются тогда, когда опухоль уже успела сильно вырасти и давит на соседние органы, нарушая их работу, или когда опухоль дала метастазы.
Среди общих симптомов заболевания можно выделить следующие: потеря веса, слабость, костные и суставные боли, некупируемая диарея.
Большинство проявлений болезни и их выраженность зависят от расположения опухоли и ее взаимосвязи с соседними органами и тканями. Так, для пациентов в возрасте до 2-х лет при забрюшинной локализации характерно увеличение размеров живота, лихорадка и потеря веса. Нейробластома забрюшинного пространства пальпируется через переднюю брюшную стенку в виде бугристого, несмещаемого опухолевого узла (рис. 2). У детей старшего возраста заболевание может манифестировать болевым синдромом, обусловленным метастатическим поражением костей, респираторными нарушениями, увеличением размеров живота, появлением запоров. У пациентов с большими забрюшинными опухолями можно обнаружить развитую сеть подкожных вен, развернутые края грудной клетки.

Рис. 2. Нейробластома забрюшинного пространства
Локализация опухоли в шейно-грудном отделе симпатического отдела позвоночника вызывает синдром Горнера (сужение зрачка, разные размеры зрачков, покраснение и/или опущение верхнего века и небольшое поднятие нижнего). Другими изменениями в области глаз могут быть кровоизлияния в кожу или слизистую оболочку, «синяки» на веках и под глазами. На поздней стадии болезни иногда появляются черные круги вокруг глаз (гематома в виде очков) (рис. 3).

Рис. 3.1. Симптом «очков»

Рис. 3.2. Симптом «очков» при метастазах в орбиту
Поражение заднего средостения может стать причиной сухого кашля, дыхательных расстройств, деформации грудной клетки, частого срыгивания. При локализации опухоли в полости таза отмечают нарушение функции тазовых органов (периодическое недержание мочи, нарушение акта дефекации), отёки нижних конечностей.
При распространении опухоли в позвоночный канал и сдавлении ею спинного мозга могут развиваться слабость в ногах, неустойивость походки, параличи нижних конечностей, а также дисфункции органов малого таза (задержка мочеиспускания или непроизвольное мочеиспускание, запоры).
Редко, примерно в 2-4% всех случаев, у детей встречается ассоциированный с нейробластомой церебеллярный синдром («опсоклонус-миоклонус» или энцефалопатия Кинсбурна), характеризующийся некоординированными, нерегулярными движениями туловища и конечностей, миоклонусом и хаотичными движениями глазных яблок.
Нейробластома ‒ гормонопродуцирующая опухоль, способная к секреции физиологически активных веществ - катехоламинов ‒ адреналина, норадреналина и дофамина. В моче, как правило, повышено выведение их метаболитов ‒ ванилилминдальной и гомованилиновой кислот. В 95% случаев гормональная активность нейробластомы тем больше, чем выше степень её злокачественности. Эффекты секретируемых гормонов вызывают специфические клинические симптомы нейробластомы ‒ резкое повышение артериального давления, диарею (вызывается секрецией вазоактивного интестинального полипептида), потливость, эмоциональную лабильность, периодическое повышение температуры.
Нейробластома метастазирует чаще всего в костный мозг, кости, в отдаленные лимфатические узлы, печень или кожу, редко — в головной мозг или легкие. Признаки отдалённых метастазов можно обнаружить в виде экзофтальма, кровоизлияний в орбиты, опухолевых узлов на голове.
Среди особенностей течения нейробластомы можно выделить следующие:
- Регрессия - способность опухоли к спонтанному или индуцированному минимальной полихимиотерапией или лучевой терапией уменьшению (инволюции). Как правило, это происходит у детей до 1 года с IVS стадией заболевания.
- Реверсия - способность опухоли трансформироваться из более злокачественных форм в доброкачественные ганглионевромы (спонтанно или индуцированно).
- В некоторых случаях опухолевый процесс имеет обратную направленность: склонность к агрессивному течению и быстрому метастазированию.
Гистологическая классификация
Существующая гистологическая классификация нейробластомы INPC-Shimada основана на степени зрелости (дифференцировки) опухолевой ткани и выделяет 4 категории (от недифференцированных до зрелых форм):
1) нейробластома, бедная шванновской стромой: недифференцированная, низкодифференцированная, дифференцированная;
2) нодулярная ганглионейробластома;
Стадии заболевания
Существует несколько систем стадирования нейробластомы. Наиболее точной является модифицированная система, разработанная Международным противораковым союзом (INSS) (табл. 1).

Лабораторные методы
В клиническом анализе крови при поражении костного мозга может наблюдаться снижение показателей крови: анемия, лейконейтропения, тромбоцитопения.
В сыворотке крови также можно определить специфические для нейробластомы маркеры: нейрон-специфическую енолазу (НСЕ), уровень метаболитов катехоламинов, лактатдегидрогеназу (ЛДГ) и ферритин.
Простым в выполнении специализированным тестом при диагностировании нейробластомы является определение уровня ванилилминдальной и гомованилиновой кислот в анализе мочи. Их также называют «тестом на оценку метаболитов катехоламинов в моче». Данный анализ может проводиться при сборе мочи ребенка в течение суток или в однократной порции мочи.
Перед началом специфической терапии всегда проводится верификация диагноза; диагноз нейробластомы ставится при гистологическом исследовании биоптата первичной опухоли или метастазов, или при сочетании наличия опухолевых клеток в костном мозге и повышенного уровня суточной экскреции катехоламинов.
Молекулярно-генетическое исследование
Для установления степени злокачественности нейробластомы выполняется ряд генетических исследований: мутация MYCN, делеция хромосом 1р или 11q . Наличие данных мутаций является неблагоприятным фактором прогноза заболевания.
Инструментальные методы
Ультразвуковое исследование
Ультразвуковой метод исследования позволяет выявить наличие опухоли и ее расположение по отношению к внутренним органам. УЗИ позволяет оценить степень местного и отдаленного распространения злокачественного процесса и выявляет метастатическое поражение печени и лимфатических узлов (рис. 4).

Рис. 4. УЗИ образования правого надпочечника
Компьютерная томография брюшной полости и забрюшинного пространства
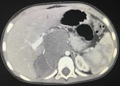
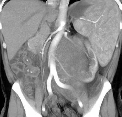
Компьютерная томография более детально дает информацию об анатомическом отношении опухоли к окружающим тканям и органам, позволяет оценить структуру опухоли (рис. 5).

Рис. 5. КТ нейрогенного образования забрюшинного пространства справа
Магнитно-резонансная томография органов брюшной полости, забрюшинного пространства и позвоночника
МРТ органов брюшной полости и забрюшинного пространства ‒ это безопасный и высокоинформативный метод исследования, который позволяет не только уточнить локализацию опухоли, точные размеры новообразования и соотношение его с окружающими тканями, но и выявить метастатические очаги в печени и брюшной полости. Также МРТ дает возможность оценить состояние костных структур и мягких тканей позвоночного столба и позвоночного канала (рис. 6).

Рис. 6. МРТ нейрогенного образования забрюшинного пространства слева
Радиоизотопные исследования
Одним из наиболее информативных специфических методов топической диагностики нейробластом является сцинтиграфия с метайодбензилгуанидином (МЙБГ), меченным 123I. МЙБГ по своей химической структуре сходен с катехоламинами в организме. Это вещество концентрируется в тех опухолях, которые вырабатывают катехоламины. МЙБГ метят радиоактивным изотопом йода (например, 123I) в безопасной для жизни дозе, и готовый препарат внутривенно вводят в кровоток. Накапливаясь в клетках опухоли, он дает излучение. Эти сигналы регистрирует специальная камера и переводит их в изображение. Таким образом, метод позволяет выявить не только первичную опухоль, но и наличие регионарных и отдаленных метастазов (рис. 7).

Рис. 7. Сцинтиграфия с метайодбензилгуанидином (визуализируется первичная паравертебральная опухоль с метастазами в кости черепа)
Остеосцинтиграфия - метод сканирования костей скелета с помощью внутривенного введения радиофармпрепарата. Радиофармпрепарат накапливается участками, пораженными опухолевыми клетками в костях, что видно на снимках, выполняемых гамма-камерой. Таким образом, данный метод исследования позволяет выявить возможные метастазы костей скелета.
Исследование костного мозга (миелограмма и трепанобиопсия) используется для уточнения наличия поражения опухолевыми клетками костного мозга.
Учитывая разнообразные сценарии развития исхода заболевания (от спонтанной регрессии до летального исхода от прогрессирования), в терапии нейробластомы предлагаются риск-адаптированные принципы. Стратификация пациентов проводится согласно факторам риска до начала лечения (как правило, это клинические и молекулярно-генетические данные) и на основании ответа опухоли во время лечения (response-adapted). При выделении групп риска перед началом лечения используются следующие прогностические критерии: стадия заболевания, возраст на момент диагностики, результаты молекулярно-генетических данных — амплификация MYCN и делеция короткого плеча 1р (рис. 8).

Рис. 8. Стратификация пациентов на группы риска согласно наличию факторов неблагоприятного прогноза
Неоадъювантная (предоперационая) полихимиотерапия
- Необходимость проведения полихимиотерапии определяется стадией заболевания и наличием или отсутствием неблагоприятных клинических и биологических факторов (n-myc амплификация, делеции короткого плеча 1р).
- Полихимиотерапия позволяет уменьшить размеры первичной опухоли, чтобы сделать хирургическое вмешательство более безопасным и радикальным.
- Базовыми препаратами для лечения нейробластомы являются винкристин, циклофосфамид, антрациклины, ифосфамид, препараты платины, этопозид.
Особенности хирургического лечения
- При локализованных стадиях заболевания лечение может ограничиться полным удалением опухоли.
- При III-IV стадиях заболевания оперативный этап проводится после проведения предоперационной (неоадъювантной) полихимиотерапии, которая направлена на сокращение размеров опухоли с целью последующего радикального удаления образования.
- В тех случаях, когда полное удаление опухоли невозможно, в послеоперационном периоде лечение дополняется лучевой терапией.
Адъювантная (постоперационная) полихимиотерапия
Лекарственное лечение необходимо начать через 5-7 дней после оперативного вмешательства. При отсутствии показаний для проведения 2-й линии полихимиотерапии в схемах лечения используются те же базовые препараты, как и при неоадъювантной терапии.
Лучевая терапия
- Лучевая терапия используется для уничтожения любых опухолевых клеток, которые невозможно удалить хирургическим путем и/или которые не были разрушены посредством предыдущих терапий.
- При нерадикальном характере операции с наличием активной остаточной опухоли проводится облучение остаточной опухолевой ткани, вовлеченных в процесс лимфатических узлов и зон связи опухоли с окружающими органами и тканями.
- Облучение осуществляется ежедневно, начиная с 5-7-го дня после операции.
- По показаниям проводится облучение метастатических очагов (с лечебной, иногда с противоболевой целью).
В случае наличия неблагоприятных прогностических факторов, в частности выявления в опухоли мутации MYCN онкогена, рекомендовано проведение высокодозной полихимиотерапии с аутологичной трансплантацией гемопоэтических стволовых клеток.
Для больных с высоким риском развития рецидива (распространенные стадии заболевания с наличием неблагоприятных молекулярно-генетических маркеров) рекомендовано проведение «поддерживающей» дифференцирующей терапии 13-цис-ретиноевой кислотой и пассивной иммунотерапией антиGD2 моноклональными антителами.
Иммунотерапия
Иммунотерапия - новый метод лечения нейробластомы, который используется для уничтожения раковых клеток. Дисиалоганглиозид GD2 - молекула- антиген, экспрессируемая клетками нейробластомы, это делает ее идеальной мишенью для иммунотерапии антителами: антитело действует против этой молекулы. Клетки иммунной системы могут способствовать гибели клеток нейробластомы.
В НМИЦ онкологии им. Н.Н. Петрова проводятся все этапы лечения, включая минимально-инвазивные операции (лапаро- и торакоскопические), тандемную трансплантацию и пассивную иммунотерапию.
Интенсифицируя терапию у детей с нейробластомой группы высокого риска (с включением тандемной высокодозной полихимиотерапии в консолидацию и пассивной иммунотерапии в постконсолидацию) удалось повысить результаты выживаемости на 20%.
Рекомендации после лечения
- После успешного лечения нейробластомы ребенку необходимо проходить врачебный контроль, который может включать осмотр и консультацию детского онколога, анализ крови на онкомаркеры (ЛДГ, НСЕ), анализ мочи на метаболиты катехоламинов, УЗИ и КТ/МРТ, сцинтиграфию с МЙБГ и другие исследования.
- Детский онколог проводит осмотр 1 раз в 1,5-2 мес в течение первого года после окончания лечения, 1 раз в 3 мес ‒ в течение 2-го года, 1 раз в 6 мес ‒ на протяжении следующих 2 лет, в дальнейшем ‒ 1 раз в год.
- С учета больных не снимают.
СПИСОК ЛИТЕРАТУРЫ
Авторы:

- Изможерова Рина Игоревна;
- Сенчуров Евгений Михайлович;
- Михайлова Елена Андреевна;
- Иванова Светлана Вячеславовна;
- Фасеева Наталья Дмитриевна;
- Борокшинова Ксения Михайловна;
- Жук Ирина Николаевна.


Под научной редакцией:
Кулева С.А.
Заведующий детским онкологическим отделением, врач-детский онколог, ведущий научный сотрудник, профессор, доктор медицинских наук, главный внештатный детский специалист-онколог Комитета по здравоохранению Санкт-Петербурга
Что вам необходимо сделать
Если вы хотите узнать побольше о бесплатных возможностях ФБГУ НМИЦ онкологии им. Н.Н. Петрова Минздрава России, получить очную или заочную консультацию по диагностике и лечению, записаться на приём, ознакомьтесь с информацией на официальном сайте.
Если вы хотите общаться с нами через социальные сети, обратите внимание на аккаунты в ВКонтакте и Одноклассники.
Читайте также:
