Редкие новообразования дыхательных путей на КТ
Добавил пользователь Дмитрий К. Обновлено: 21.01.2026
Термин «бронхиальная обструкция» означает сужение просвета бронхов патологическими образованиями. Причины этого состояния бывают разными. В результате в легкие перестает поступать достаточное количество воздуха, возникает дыхательная недостаточность. Одновременно нарушается отток слизи, вместе с которой из дыхательных путей выводятся болезнетворные микроорганизмы, и это приводит к воспалению легких — пневмонии.
Если проходимость бронхов нарушена злокачественной опухолью, то употребляют термин «злокачественная бронхиальная обструкция». В онкологии она чаще всего встречается при раке легкого. Как правило, это осложнение возникает при поздних стадиях онкозаболевания. Бронхиальная обструкция ухудшает состояние онкологического пациента, снижает качество и продолжительность жизни.
Химиотерапия и лучевая терапия помогают уменьшить размеры злокачественной опухоли, но с помощью них невозможно быстро улучшить состояние пациента с выраженной бронхиальной обструкцией. Для этого применяются специальные паллиативные методы лечения.
Цели лечения пациентов с бронхиальной обструкцией: максимально оперативно обеспечить нормальную вентиляцию легких, устранить симптомы дыхательной недостаточности. В клиниках федеральной сети «Евроонко» применяются наиболее современные методики, наши врачи готовы помочь в любое время суток.
Причины
По некоторым данным, 40% смертей, связанных с раком легких, обусловлены локо-регионарным процессом, то есть злокачественными опухолями, которые вторглись в окружающие ткани и распространились в регионарные лимфатические узлы. В США ежегодно 80 тысяч пациентов получают лечение по поводу злокачественной обструкции дыхательных путей. У 20-30% больных со злокачественными опухолями легких развиваются осложнения, связанные с бронхиальной обструкцией: ателектаз (спадение легкого), одышка, гипоксемия (снижение содержания кислорода в крови), кровохарканье, пневмония (воспаление легких), дистресс-синдром (опасное для жизни состояние, связанное с воспалением ткани легкого).
Все причины бронхиальной обструкции при онкологических заболеваниях можно разделить на четыре группы:
- Первичные злокачественные опухоли бронхов встречаются довольно редко. Чаще всего это плоскоклеточные и аденоидно-кистозные карциномы.
- Прорастание злокачественной опухоли из соседнего органа в стенку бронха. Чаще всего это рак легкого. Также в бронхи может прорастать рак гортани, пищевода, щитовидной железы.
- Метастазы. В дыхательные пути может метастазировать рак молочной железы, толстой кишки, почки, щитовидной железы и другие злокачественные опухоли. Это редкое явление, оно встречается в 2% случаев.
- Сдавление бронха извне злокачественными опухолями, которые находятся, например, в легком, пищеводе или щитовидной железе.
В зависимости от того, где находится опухоль, выделяют три типа злокачественной бронхиальной обструкции:
- Эндолюминальная (внутрипросветная, внутренняя) — опухоль в стенке бронха.
- Экстралюминальная (внепросветная, внешняя) — злокачественная опухоль в соседнем органе, которая сдавливает бронх.
- Смешанная — сочетание двух предыдущих вариантов.
Симптомы бронхиальной обструкции при раке
В легких случаях злокачественная бронхиальная обструкция проявляется в виде кашля и одышки во время физических нагрузок. Иногда эти симптомы становятся первыми проявлениями онкологического заболевания, пациент обращается к врачу-терапевту, и ему долго не могут установить правильный диагноз. Таких пациентов нередко длительно лечат от других заболеваний, например, бронхиальной астмы или хронической обструктивной болезни легких (ХОБЛ), — обычно подозрение в первую очередь падает именно на эти патологии.
В более тяжелых случаях кашель и одышка беспокоят не только во время физических нагрузок, но и в покое. Присоединяются другие симптомы:
- кровохарканье — в мокроте, которую откашливает больной, появляются примеси крови;
- охриплость голоса;
- дискомфорт, боли в груди;
- ортопноэ — больному легче дышать, когда он сидит, и тяжелее — когда лежит;
- дисфагия — затруднения, чувство дискомфорта при глотании;
- в наиболее тяжелых случаях развивается асфиксия — удушье.
Иногда злокачественная бронхиальная обструкция не вызывает симптомов, и ее выявляют случайно во время компьютерной томографии.
Как сильно злокачественная опухоль должна перекрыть дыхательные пути, чтобы появились симптомы?
На этот вопрос нет однозначного ответа. Часто «выраженной бронхиальной обструкцией» называют состояние, когда диаметр бронха на 50% меньше нормы. Можно встретить информацию о том, что при обструкции трахеи симптомы во время физических нагрузок появляются, когда ее просвет становится меньше 8 мм, а симптомы в покое — когда меньше 5 мм. Но эти данные не подтверждены научно.
Важно понимать, что сила потока воздуха зависит не только от ширины просвета дыхательных путей. Играет роль состояние дыхательных мышц, легких, эластичность грудной стенки. Важна скорость нарастания обструкции, а она, в свою очередь, зависит от скорости роста злокачественной опухоли. Если пациент очень тревожный, сильно напуган, то он будет хуже переносить одышку. Свою лепту вносят сопутствующие заболевания сердца и других органов.
Чтобы правильно оценить состояние больного и подобрать оптимальное лечение, врач должен учитывать многие факторы.
Диагностика
Объем обследования зависит от состояния пациента. Перед тем как приступать к лечению, очень желательно провести тщательную диагностику. Но иногда пациент находится в критическом состоянии, и нет времени выполнить даже обычную рентгенографию. Врач должен хорошо оценить ситуацию, сопоставить преимущества тех или иных методов диагностики с рисками, связанными с отсрочкой лечения.
Рентгенография грудной клетки редко помогает получить ценную информацию. Однако, ее часто проводят при подозрении на бронхиальную обструкцию, так как это быстрый и доступный метод диагностики, он помогает выявить грубые нарушения: крупные опухоли, спадение части или всего легкого.
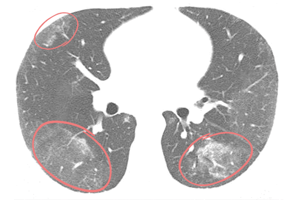
Намного информативнее компьютерная томография. Она позволяет обнаружить злокачественную опухоль, оценить ее размеры, локализацию, тип, степень и протяженность обструкции, состояние соседних анатомических структур, проходимость дыхательных путей ниже места сужения. С помощью КТ можно выявить спадение легкого (ателектаз, коллапс), пневмонию и правильно спланировать лечение.

Для оценки функции легких применяют спирометрию. Этот метод диагностики помогает оценить объем вдыхаемого и выдыхаемого воздуха, скорость его потока. Во время исследования пациенту дают мундштук, соединенный с аппаратом, накладывают на нос зажим и просят дышать ртом через мундштук в разных режимах.
Золотой стандарт в диагностике злокачественной бронхообструкции — бронхоскопия, эндоскопическое исследование бронхов. Во время этой процедуры врач осматривает слизистую оболочку дыхательных путей и, обнаружив патологические образования, может сразу провести биопсию — получить образец ткани для гистологического исследования. Кроме того, во время бронхоскопии можно сразу устранить обструкцию и обеспечить свободное дыхание.
Диагностическая бронхоскопия обычно длится около 30 минут, и ее можно проводить амбулаторно, без госпитализации в стационар. Если нужно выполнить лечебные манипуляции, процедура занимает больше времени. В клиниках «Евроонко» все эндоскопические исследования выполняются в состоянии легкого наркоза — медикаментозного сна. Благодаря этому пациент не чувствует дискомфорта. Пробуждение происходит примерно через 40 минут, а через час можно уехать домой.
Лечение бронхиальной обструкции у онкологических больных
Бронхиальную обструкцию не всегда нужно лечить с помощью операции. Если бронх сужен не сильно, симптомы очень легкие, и опухоль обладает высокой чувствительностью к химиопрепаратам и облучению (например, мелкоклеточный рак легкого), то можно обойтись лучевой терапией и противоопухолевой терапией.
В остальных случаях освободить просвет бронха обычно удается с помощью эндоскопических процедур:
- Удаление микродебридером. Микродебридер представляет собой вращающееся лезвие внутри металлического катетера, через который отсасываются удаленные кусочки тканей. В умелых руках это очень эффективный инструмент. Однако, микродебридер применим только при опухолевой обструкции трахеи и верхних отделов главных бронхов, и его можно использовать только вместе с жестким бронхоскопом.
- Удаление лазером. Лазерный луч одновременно уничтожает опухолевую ткань, останавливает кровотечение и уничтожает болезнетворные микроорганизмы. Важное преимущество лазерной хирургии в том, что она не влияет на работу кардиостимуляторов и дефибрилляторов. Есть данные об успешном применении лазерной хирургии в сочетании с лучевой терапией: лазер удаляет опухолевую ткань сразу, а лучевая терапия обеспечивает отсроченный эффект и помогает предотвратить повторную обструкцию.
- Аргоноплазменная коагуляция предполагает удаление опухолевой ткани с помощью факела аргоновой плазмы. Инструмент представляет собой трубку, внутри которой находится газ аргон и электрод. Когда на электрод подают ток, аргон переходит в состояние плазмы, и в нем возникает искра. Аргоноплазменная коагуляция обеспечивает высокую точность воздействия, минимальную кровопотерю.
- Стентирование — процедура, во время которой в заблокированный участок дыхательных путей устанавливают стент, трубку из полимерного материала или металла. Этот протез расширяет просвет бронха и обеспечивает свободное движение воздуха. Стенты бывают металлическими (обычно из нитинола — сплава никеля и титана) без покрытия или с покрытием из силикона, полиуретана. Существуют модели, полностью изготовленные из силикона. Их размеры бывают разными. Есть стенты для трахеи, бронхов, раздвоенные (Y-стенты).
- Фотодинамическая терапия применяется, когда не требуется немедленного лечения. Пациенту вводят специальный препарат — фотосенсибилизатор, который накапливается в раковых клетках. Спустя некоторое время в дыхательные пути вводят бронхоскоп и воздействуют через него на опухоль светом. Фотосенсибилизатор активируется, и это приводит к гибели раковых клеток.
- Электрокаутеризация — удаление опухолевой ткани путем прижигания электрическим током.
- Криохирургия — уничтожение опухолевой ткани с помощью низкой температуры.
- Брахитерапия — разновидность лучевой терапии. Во время этой процедуры источник излучения вводят прямо в дыхательные пути с помощью бронхоскопа.
- В редких случаях злокачественную опухоль удаляют с помощью жесткого бронхоскопа. С помощью него же можно быстро расширить просвет бронха в экстренных случаях.
Так как злокачественная обструкция бронхов чаще всего встречается при поздних стадиях злокачественных опухолей, все эти процедуры выполняются в паллиативных целях. Их задача — не избавить от рака, а улучшить состояние больного. Но иногда злокачественную опухоль можно полностью удалить, и в таких ситуациях показана радикальная операция.
Прогноз
Если не устранить злокачественную бронхиальную обструкцию, то продолжительность жизни пациента сильно уменьшится. Зачастую выживаемость таких больных составляет всего 1-2 месяца. Доказано, что паллиативные вмешательства помогают не только продлить жизнь, но и существенно улучшить состояние больного.
Лечение онкологических заболеваний на поздних стадиях — основное направление работы федеральной сети клиник экспертной онкологии «Евроонко». Наши врачи обладают большим опытом борьбы с осложнениями рака, в том числе злокачественной бронхиальной обструкцией. Даже если ремиссии добиться невозможно — мы прикладываем все усилия и используем наиболее современные методики, чтобы максимально продлить жизнь пациента и обеспечить его хорошее самочувствие.
Опухоли бронхов
Опухоли бронхов - различные в морфологическом отношении новообразования, растущие в просвет бронха (эндобронхиально) или вдоль его стенки (перибронхиально). Признаками опухоли бронха могут служить: раздражающий кашель, кровохарканье, одышка, свистящее дыхание, рецидивирующие пневмонии. При раке бронха названная симптоматика развивается на фоне общего нарушения самочувствия (слабости, похудания и пр.). В целях диагностики и верификации типа опухоли бронха проводится рентгенография и томография легких, бронхоскопия с эндоскопической биопсией и гистологическим исследованием материала. Удаление опухолей бронхов (с учетом их локализации и гистотипа) может производиться эндоскопически, путем резекции бронха или легкого.
МКБ-10

Общие сведения
Опухоли бронхов - новообразования, различные по происхождению, клеточному составу, характеру роста, течению и прогнозу, исходящие из тканей бронхиального дерева. Прежде всего, все опухоли бронхов подразделяются на доброкачественные и злокачественные. Первая группа новообразований более многочисленна, хотя составляет всего 5-10% от общего числа опухолевых процессов в бронхах. Большая часть опухолей бронхов представлена различными гистологическими вариантами бронхогенного рака. Доброкачественные опухоли легких и бронхов чаще развиваются у лиц молодого возраста (30-40 лет), в одинаковой степени поражают мужчин и женщин; злокачественные новообразования в большинстве случаев выявляются у мужчин старше 50 лет.

В большинстве случаев опухоли бронхов возникают на фоне хронических воспалительных процессов, токсических воздействий, механических повреждений бронхиального дерева. Известно, что формированию злокачественных опухолей часто предшествуют бронхит курильщика, хронический бронхит другой этиологии, пневмокониозы, туберкулез. Наибольшей канцерогенностью обладает табачный дым, токсические соединения которого способствуют метаплазии бронхиального эпителия, а высокая температура нарушает процессы клеточного деления. Наиболее значимыми факторами являются стаж курения, ежедневная «норма» выкуриваемых сигарет, качество табачных изделий. Не следует забывать, что одинаково опасно как активное, так и пассивное курение.
Наиболее подвержены возникновению опухолей бронхов работники вредных производств, контактирующие с углем, асбестом, мышьяком, хромом, никелем, аэрогенными поллютантами. Отмечена связь некоторых опухолей бронхов с определенными вирусными агентами (например, ассоциация плоскоклеточных папиллом бронхов с вирусом папилломы человека). Папилломы бронхов часто сочетаются с папилломатозом гортани и трахеи.
Классификация
По типу роста опухоли легких подразделяются на центральные (произрастающие из крупных бронхов - главных, долевых, сегментарных, субсегментарных) и периферические (развиваются из мелких бронхиальных ветвей 5-го, 6-го порядка). Центральные опухоли с эндобронхиальным ростом доступны визуализации через бронхоскоп, часто обтурируют просвет бронха, вызывая при этом ателектаз сегмента или доли легкого. Периферические опухоли длительное время не вызывают клинически значимых изменений и протекают бессимптомно.
Доброкачественные опухоли могут развиваться из различных элементов бронха, на основании чего выделяют:
- опухоли из эпителия и бронхиальных желез (папилломы (плоскоклеточные, железистые, смешанные), аденомы бронхов (карциноидные, цилиндроматозные, мукоэпидермоидные, смешанные)
- опухоли из мезодермальной ткани (лейомиомы, фибромы, гемангиомы, неврогенные опухоли)
- дисэмбриологические опухоли (гамартомы, гамартохондромы)
Опухоли бронхов следует отличать от эндобронхиальных процессов неопухолевой природы. К последним в пульмонологии относятся инородные тела бронхов, воспалительная гиперплазия бронхов, бациллярный ангиоматоз легкого, амилоидные опухоли, эндометриоз и т. п.
По мере развития доброкачественных опухолей бронхов выделяют фазу бессимптомного течения, начальных клинических проявлений и развернутой клинической картины. С учетом выраженности нарушения бронхиальной проходимости различают стадию частичного стеноза бронха, клапанного стеноза бронха и полной окклюзии бронха. В некоторых случаях доброкачественные опухоли бронхов подвергаются малигнизации и приобретают злокачественное течение (например, малигнизация аденомы бронха с переходом в аденокарциному отмечается у 5-10% больных).
Злокачественные опухоли бронхов (рак бронхов) дифференцируют в зависимости от гистологического типа опухоли (мелкоклеточный, крупноклеточный, плоскоклеточный рак, аденокарцинома, карциносаркома, рак бронхиальных желез, карциноидные опухоли и др.). При этом все формы рака легкого проходят в своем развитии три периода: биологический (от момента зарождения опухоли до появления рентгенологических признаков), доклинический (имеются только рентгенологические признаки опухоли; симптомы отсутствуют) и клинический (выражена клиническая симптоматика). Исчерпывающая классификация стадий рака легкого по TNM-системе представлена в обзоре «Злокачественные опухоли легких».
Симптомы опухолей бронхов
Наиболее яркая клиническая симптоматика развивается при эндобронхиальном росте опухоли, вызывающей нарушение бронхиальной проходимости. На стадии частичного бронхостеноза диаметр просвета бронха практически не изменен, пациента может беспокоить раздражающий кашель с небольшим количеством мокроты, изредка - кровохарканьем. Общее самочувствие не страдает. Рентгенологические признаки опухолевого роста отсутствуют; выявление новообразования возможно только с помощью КТ легких или бронхоскопии.
На стадии клапанного стеноза бронха опухоль уже в значительной мере перекрывает просвет воздухоносных путей. Больного беспокоит постоянный кашель с выделением слизисто-гнойной мокроты, кровохарканье, одышка, свистящее дыхание. Во время выдоха под давлением опухоль может полностью закрывать бронх, в связи с чем на этом этапе возникают признаки нарушения легочной вентиляции, воспалительные изменения. Рентгенологически обнаруживаются сегментарные инфильтраты, опухоль бронхов подтверждается эндоскопически или с помощью линейной томографии.
Полная обтурация бронха опухолью приводит к формированию ателектаза, нагноительных процессов в невентилируемом участке легочной ткани. Клиническая картина соответствует обтурационной пневмонии: лихорадка, кашель с гнойной мокротой, общая слабость, потливость. При аррозии бронхиальных сосудов могут возникать массивные легочные кровотечения.
Карциноидные аденомы бронхов могут продуцировать биологически активные вещества, поэтому при опухолях данного типа нередко развивается карциноидный синдром: бронхоспазм, головокружения, покраснение кожи, чувство жара, аллергические высыпания на коже и т. п.
Опухоли с перибронхиальным ростом, как правило, не вызывают полной обтурации бронха, поэтому симптоматика не выражена. Также малосимптомно и течение периферических опухолей. Обычно клиническая манифестация связана с аррозией сосуда (кровохарканье), сдавлением или прорастанием бронхов (кашель, одышка, повышение температуры и т. д.). При раке бронха, кроме респираторных проявлений, выражены общие нарушения: раковая интоксикация, слабость, кахексия, анемия, болевой синдром.
Беспричинный или длительный надсадный кашель, кровохарканье, одышка, затрудненный выдох и другие признаки неблагополучия со стороны дыхательных путей должны стать поводом для безотлагательного посещения пульмонолога. После оценки аускультативных и других физикальных данных определяется алгоритм диагностического обследования.
Как правило, первым шагом на пути выявления опухоли бронха является рентгенография легких в двух проекциях и томографическое исследование. В большинстве случаев рентгенологически определяется гиповентиляция или ателектаз части легкого; на томограммах - "ампутация" обтурированного опухолью бронха. Для оценки васкуляризации опухоли бронха целесообразно выполнение бронхиальной артериографии или ангиопульмонографии.
Наибольшей ценностью при эндобронхиальных новообразованиях обладает фибробронхоскопия с эндоскопической биопсией. Гистологический анализ биоптата позволяет окончательно определить морфологический тип опухоли. Бронхоскопия может быть информативна и при периферических опухолях - в этом случае эндоскопист фиксирует косвенные признаки опухолевого роста (сужение и деформацию контуров бронха за счет внешнего сдавления, изменение угла отхождения бронхиальных ветвей и пр.). При такой локализации также возможна трансбронхиальная биопсия опухоли. С целью оценки степени нарушения проходимости бронхов выполняется спирометрия.
В плане дифференциальной диагностики наиболее важным представляется разграничение доброкачественных и злокачественных опухолей бронхов. Определение гистотипа, локализации и степени распространенности опухоли бронха позволяет грамотно спланировать последующее лечение.
Лечение опухолей бронхов
Доброкачественные опухоли бронхов с внутрипросветным ростом могут быть удалены различными путями. Так, при одиночных полипах на узкой ножке в качестве метода выбора может рассматриваться эндоскопическое удаление полипа через бронхоскоп с коагуляцией ложа. В остальных случаях, как правило, производится торакотомия с бронхотомией и удалением опухоли, окончатая или циркулярная резекция бронха; а при наличии необратимых изменений в легком (бронхоэктазов, пневмосклероза) - различные виды резекции. Перибронхиальные и периферические доброкачественные опухоли, как правило, удаляются в процессе краевой или сегментарной резекция легкого, лобэктомии.
Совсем иной подход используется в отношении злокачественных опухолей бронхов. Исходя из требований радикальности, объем резекции увеличивается до лобэктомии и даже расширенной пневмонэктомии. Эндобронхиальное удаление (лазерная деструкция, криодеструкция, радиочастотная или аргоноплазменная коагуляция, ФДТ), как альтернатива хирургической операции, применяется лишь на стадии TisN0M0 или при функциональной неоперабельности пациента в крупных центрах торакальной хирургии, где имеется соответствующее техническое оснащение и опыт. Хирургическое лечение рака бронхов дополняется химиотерапией или лучевой терапией; в запущенных случаях эти методы служат единственно возможным способом продления жизни пациента.
После удаления доброкачественные опухоли бронхов могут рецидивировать, особенно в случае продолжающегося воздействия причинно значимых факторов. Эндобронхиальное удаление опухоли может осложниться рубцовым стенозом бронха. Отказ от лечения чреват возникновением жизнеугрожающего кровотечения, развитием необратимых изменений легочной ткани, озлокачествлением опухоли бронха. Прогноз злокачественных опухолей бронхов зависит от стадии онкопроцесса, радикальности проведенного лечения, гистологической формы рака, наличия метастазов на момент установления диагноза.
2. Эндоскопическая хирургия при стенозирующий опухолях трахеи и крупных бронхов: Автореферат диссертации/ Телегина Л.В. - 2017.
3. Современные виды хирургического лечения доброкачественных и карциноидных опухолей трахеи и бронхов: Автореферат диссертации/Мосин И.В. - 1990.
Злокачественные опухоли легких
Злокачественные опухоли легких - общее понятие, объединяющее группу новообразований трахеи, легких и бронхов, характеризующихся бесконтрольным делением и разрастанием клеток, инвазией в окружающие ткани, их разрушением и метастазированием в лимфоузлы и отдаленно расположенные органы. Злокачественные опухоли легких развиваются из средне-, низко- или недифференцированных клеток, значительно отличающихся по структуре и функциям от нормальных. К злокачественным опухолям легких относятся лимфома, плоскоклеточный и овсяноклеточный рак, саркома, мезотелиома плевры, малигнизированный карциноид. Диагностика злокачественных опухолей легких включает рентгенографию, КТ или МРТ легких, бронхографию и бронхоскопию, цитологическое исследование мокроты и плеврального выпота, биопсию, ПЭТ.
Злокачественные опухоли легких - общее понятие, объединяющее группу новообразований трахеи, легких и бронхов, характеризующихся бесконтрольным делением и разрастанием клеток, инвазией в окружающие ткани, их разрушением и метастазированием в лимфоузлы и отдаленно расположенные органы. Злокачественные опухоли легких развиваются из средне-, низко- или недифференцированных клеток, значительно отличающихся по структуре и функциям от нормальных.
Самой частой злокачественной опухолью легких является рак легкого. У мужчин рак легкого встречается в 5-8 раз чаще, чем у женщин. Рак легкого обычно поражает пациентов старше 40-50 лет. Рак легкого занимает 1-е место в ряду причин смерти от рака, как среди мужчин (35%), так и среди женщин (30%). Другие формы злокачественных опухолей легких регистрируются значительно реже.
Причины злокачественных опухолей легкого
Появление злокачественных опухолей вне зависимости от локализации связывают с нарушениями дифференцировки клеток и пролиферации (разрастания) тканей, происходящими на генном уровне.
Факторами, вызывающими подобные нарушения в тканях легкого и бронхов, являются:
- активное курение и пассивное вдыхание сигаретного дыма. Курение является основным фактором риска возникновения злокачественных опухолей легких (в 90% у мужчин и в 70% у женщин). Никотин и смолы, содержащиеся в сигаретном дыме, обладают канцерогенным действием. У пассивных курильщиков вероятность развития злокачественных опухолей легких (особенно рака легкого) возрастает в несколько раз.
- вредные профессиональные факторы (контакт с асбестом, хромом, мышьяком, никелем, радиоактивной пылью). Люди, связанные в силу профессии с воздействием этих веществ, подвержены риску возникновения злокачественных опухолей легких, особенно, если они - курильщики.
- проживание в зонах с повышенным радоновым излучением;
- наличие рубцовых изменений легочной ткани, доброкачественных опухолей легкого, склонных к малигнизации, воспалительных и нагноительных процессов в легких и бронхах.
Данные факторы, влияющие на развитие злокачественных опухолей легких, могут вызывать повреждения ДНК и активизировать клеточные онкогены.
Виды злокачественных опухолей легких
Злокачественные опухоли легких могут изначально развиваться в легочной ткани или бронхах (первичная опухоль), а также метастазировать из других органов.
Рак легкого - эпителиальная злокачественная опухоль легких, исходящая из слизистой бронхов, бронхиальных желез или альвеол. Рак легкого обладает свойством метастазирования в другие ткани и органы. Метастазирование может происходить по 3 путям: лимфогенному, гематогенному и имплантационному. Гематогенный путь наблюдается при прорастании опухоли в кровеносные сосуды, лимфогенный - в лимфатические. В первом случает опухолевые клетки с кровотоком переносятся в другое легкое, почки, печень, надпочечники, кости; во втором - в лимфоузлы надключичиной области и средостения. Имплантационное метастазирование отмечается при прорастании злокачественной опухоли легких в плевру и распространении ее по плевре.
По локализации опухоли по отношению к бронхам различают периферический рак легкого (развивается из мелких бронхов) и центральный рак легкого (развивается из главного, долевых или сегментарных бронхов). Рост опухоли может быть эндобронхиальным (в просвет бронха) и перибронхиальным (в сторону легочной ткани).
По морфологическому строению различают следующие виды рака легкого:
- низко- и высокодифференцированный плоскоклеточный (эпидермоидный рак легкого);
- низко- и высокодифференцированный железистый рак легкого (аденокарцинома);
- недифференцированный (овсяноклеточный или мелкоклеточный) рак легкого.
В основе механизма развития плоскоклеточного рака легкого лежат изменения эпителия бронхов: замещение железистой ткани бронхов фиброзной, цилиндрического эпителия плоским, возникновение очагов дисплазии, переходящих в рак. В возникновении карциномы играют роль гормональные факторы и генетическая предрасположенность, способные активизировать канцерогены, попавшие в организм.
Овсяноклеточный рак относится к злокачественным опухолям легкого диффузной нейроэндокринной системы (АПУД-системы), продуцирующим биологически активные вещества. Этот вид рака легкого дает гематогенные метастазы уже на ранней стадии.
Лимфома - злокачественная опухоль легких, исходящая из лимфатический системы. Лимфома может первично локализоваться в легких или метастазировать в них из других органов (молочных желез, толстого кишечника, прямой кишки, почек, щитовидной железы, предстательной железы, желудка, яичка, шейки матки, кожи и костей).
Саркома - злокачественная опухоль легкого, развивающаяся из интраальвеолярной или перибронхиальной соединительной ткани. Саркома чаще развивается в левом, а не в правом легком, как рак. Мужчины заболевают саркомой чаще женщин в 1,5-2 раза.
Рак плевры (мезотелиомы плевры) - злокачественная опухоль, исходящая из мезотелия - эпителиальной ткани, выстилающей полость плевры. Чаще поражает плевру диффузно, реже - локально (в виде полипозных образований и узлов). В результате плевра утолщается до нескольких сантиметров, приобретает хрящевую плотность, становится шероховатой.
Малигнизированный карциноид приобретает все признаки злокачественной опухоли легкого: неограниченный инфильтративный рост, способность метастазирования в отдаленные органы (другое легкое, печень, головной мозг, кости, кожу, надпочечники, почки, поджелудочную железу). В отличие от рака легкого карциноид растет медленнее и позднее дает метастазы, поэтому радикальная операция дает хорошие результаты, местные рецидивы возникают редко.
Классификация рака легкого
В онкопульмонологии используется классификация рака легкого по международной системе TNM, где:
Т- первичная злокачественная опухоль легкого, ее размер и степень прорастания в ткани:
- ТХ - рентгенологические и бронхологические данные за наличие злокачественной опухоли легких отсутствуют, однако определяются атипичные клетки в смывах из бронхов или в мокроте
- ТО — первичная опухоль не определяется
- Tis — преинвазивный (внутриэпителиальный) рак
- Tl — в окружении легочной ткани или висцеральной плевры определяется опухоль диаметром до 3 см, при бронхоскопии признаков поражения главного бронха не обнаруживается
- Т2 — определяется опухоль диаметром более 3 см, переходящая на главный бронх ниже зоны бифуркации не менее чем на 2 см, либо с прорастанием висцеральной плевры, либо с наличием ателектаза части легкого
- ТЗ — опухоль с прорастанием в грудную стенку, париетальную плевру, перикард, диафрагму, или с распространением на главный бронх, не доходя менее 2 см до бифуркации, или сопровождающаяся ателектазом целого легкого; размер опухоли любой
- Т4 — опухоль распространяется на средостение, миокард, крупные сосуды (аорту, ствол лёгочной артерии, верхнюю полую вену), пищевод, трахею, зону бифуркации, позвоночник, а также опухоль, сопровождающаяся выпотным плевритом.
N - задействованность регионарных лимфоузлов:
- NX — недостаточно данных для оценки регионарных лимфоузлов
- NO — отсутствие метастатического поражения внутригрудных лимфоузлов
- N1 — метастазирование или распространение злокачественной опухоли легких на перибронхиальные или (и) лимфоузлы корня легкого
- N2 — метастазирование злокачественной опухоли легких в бифуркационные или лимфоузлы средостения со стороны поражения
- N3 — метастазирование злокачественной опухоли легких в лимфоузлы корня и средостения на противоположной стороне, надключичные или прескаленные лимфоузлы с любой стороны
M - отсутствие или наличие отдаленных метастазов:
- MX — недостаточно данных для оценки отдаленных метастазов
- МО — отсутствие отдаленных метастазов
- Ml — наличие отдаленных метастазов
G — градация по степени дифференцировки злокачественной опухоли легких (определяется после гистологического исследования):
- GX — невозможно оценить степень клеточной дифференцировки
- GI — высокодифференцированная
- G2 — умереннодифференцированная
- G3 — низкодифференцированная
- G4 — недифференцированная
IV стадии рака легкого:
- I - опухоль легкого размером до 3 см с локализацией в пределах одного сегмента или сегментарного бронха, метастазы отсутствуют.
- II - опухоль легкого размером до 6 см с локализацией в пределах одного сегмента или сегментарного бронха, наличие единичных метастазов в бронхопульмональных лимфоузлах
- III - опухоль легкого размером более 6 см, переходящая на соседнюю долю, соседний или главный бронх, метастазы в трахеобронхиальные, бифуркационные, паратрахеальные лимфоузлы.
- IV— опухоль легкого распространяется на другое легкое, соседние органы, имеются обширные местные и отдаленные метастазы, раковый плеврит.
Знание классификации злокачественных опухолей легких позволяет прогнозировать течение и исход болезни, план и результаты лечения.
Симптомы злокачественных опухолей легких
Проявления злокачественных опухолей легких определяются локализацией, размерами опухоли, ее отношением к просвету бронха, осложнениями (ателектазом, пневмонией), распространенностью метастазов. Ранние симптомы злокачественных опухолей легких малоспецифичны. Пациентов беспокоят нарастающая слабость, повышенная утомляемость, периодическое повышение температуры тела, недомогание. Начало развития опухоли часто маскируется под клинику бронхита, пневмонии, частых ОРВИ. Нарастание и рецидивы этих проявлений заставляют пациента обратиться к врачу.
Дальнейшее развитие злокачественных опухолей легких эндобронхиальной локализации характеризуется упорным кашлем со слизисто-гнойной мокротой и нередко кровохарканьем. Легочное кровотечение говорит о прорастании опухоли в крупные сосуды. С увеличением размеров злокачественной опухоли легких нарастают явления нарушения бронхиальной проходимости - появляется одышка.
Периферические опухоли легких протекают бессимптомно до момента прорастания в грудную стенку или плевру, когда возникают сильные боли в груди. Поздние проявления злокачественных опухолей легких - слабость, похудание, кахексия. В поздних стадиях рак легкого сопровождается массивным, рецидивирующим геморрагическим плевритом.
Диагностика злокачественных опухолей легких
Выраженные физикальные проявления на ранних этапах онкопроцесса в легких нехарактерны. Основным источником выявления злокачественных опухолей легких на стадии отсутствия клиники является рентгенография. Злокачественные опухоли легких могут быть случайно выявлены при проведении профилактической флюорографии. При рентгенографии легких определяются опухоли диаметром более 5-6 мм, участки сужения и неровностей контуров бронхов, ателектаза и инфильтрации. В сложных диагностических случаях дополнительно проводят МРТ или КТ легких.
При периферической локализации опухоли легкого определяется плевральный выпот. Подтверждается диагноз такой злокачественной опухоли легких цитологическим исследованием выпота, полученного путем плевральной пункции, или биопсией плевры. Наличие первичной опухоли или метастазов в легких может устанавливаться при цитологическом исследовании мокроты. Бронхоскопия позволяет осмотреть бронхи вплоть до субсегментарных, обнаружить опухоль, провести забор бронхиальных смывов и трансбронхиальную биопсию.
Глубоко расположенные опухоли диагностируются при помощи пункционной биопсии легкого и гистологического исследования. С помощью диагностической торакоскопии или торакотомии определяется операбельность злокачественной опухоли легких. При метастазировании злокачественной опухоли легких в прескаленные лимфоузлы проводят их биопсию с последующим определением гистологической структуры опухоли. Отдаленные метастазы первичной опухоли легких выявляются при УЗИ-эхолокации, КТ или радиоизотопном сканировании (ПЭТ).
Лечение злокачественных опухолей легких
Радикальным методом лечения злокачественных опухолей легких является их оперативное удаление, которое проводят торакальные хирурги. Учитывая стадию и обширность поражения, производят удаление одной или двух долей легкого (лобэктомия или билобэктомия); при распространенности процесса - удаление легкого и регионарных лимфоузлов (пневмонэктомия). Методом проведения оперативного вмешательства может быть торакотомия или видеоторакоскопия. Одиночные или множественные метастазы в легком оперируют, если произведено удаление первичного очага.
Оперативное лечение при злокачественных опухолях легких не проводится в случаях:
- невозможности радикального удаления опухоли
- наличия отдаленных метастазов
- тяжелых нарушений функций легких, сердца, почек, печени
Относительным противопоказанием к оперативному лечению является возраст пациента старше 75 лет.
В послеоперационном периоде или при наличии противопоказаний к операции проводится лучевая и/или химиотерапия. Часто различные виды лечения злокачественных опухолей легких комбинируют: химиотерапия - операция - лучевая терапия.
Прогноз и профилактика
Без лечения продолжительность жизни пациентов с диагностированными злокачественными опухолями легких составляет около 1 года.
Прогноз при радикально проведенной операции определяется стадией заболевания и гистологическим видом опухоли. Самые неблагоприятные результаты дает мелкоклеточный низкодифференцированный рак. После операций по поводу дифференцированных форм рака I стадии пятилетняя выживаемость пациентов составляет 85-90%, при II стадии - 60%, после удаления метастатических очагов - от 10 до 30 %. Летальность в послеоперационном периоде составляет: при лобэктомии - 3-5 %, при пневмонэктомии - до 10 %.
Профилактика злокачественных опухолей легких диктует необходимость активной борьбы с курением (как активным, так и пассивным). Важнейшими мерами являются снижение уровня воздействия канцерогенов на производстве и в окружающей среде. В предупреждении злокачественных опухолей легких играет роль профилактическое рентгенологическое обследование лиц группы риска (курящих, пациентов с хроническими пневмониями, работников вредных производств и др.).
2. Рак легкого: учебно-методическое пособие для студентов/ Иванов С. А. , Нагла Ю. В., Коннов Д.Ю. - 2011.
Рак бронхов
«Рак бронхов» — термин, который используется врачами редко. В медицине более распространено понятие «бронхопульмональный рак», которое объединяет злокачественные опухоли легких и бронхов. Такой подход к терминологии возник из-за того, что легочная ткань и бронхиальное дерево тесно связаны между собой, как в анатомическом, так и в функциональном смысле.
Некоторые цифры и факты, касающиеся рака бронхов:
- Заболевание чаще всего встречается у людей старшего возраста. Более чем в половине случаев оно диагностируется в возрасте старше 50 лет. Еще 25% случаев приходятся на возрастную группу 40-50 лет.
- Основная причина злокачественных опухолей бронхов — курение. До 80% больных — курильщики.
- Чаще всего опухоль возникает в верхних отделах бронхиального дерева, так как они лучше вентилируются, и канцерогены, которые содержатся во вдыхаемом воздухе, с большей вероятностью приведут к злокачественной трансформации клеток. [1,2]

В каких бронхах возникают злокачественные опухоли?
Воздух, который вдыхает человек, проходит через нос, глотку, гортань, трахею. На уровне верхнего края пятого грудного позвонка трахея заканчивается и делится на два главных бронха. Это место называется бифуркацией трахеи. Главные бронхи — это бронхи первого порядка, они делятся на долевые (второго порядка), затем на сегментарные (третьего порядка), субсегментарные (четвертого порядка), дольковые, и, наконец, на терминальные (концевые) бронхиолы.
Все эти ветви вместе составляют бронхиальное дерево. Стенки крупных и мелких бронхов устроены одинаково: изнутри они выстланы слизистой оболочкой, под ней находится каркас — фиброзно-хрящевая оболочка, снаружи — адвентициальная оболочка.
Раком называют злокачественные опухоли, которые происходят из слизистой оболочки. Они могут возникать в любой части легкого, но чаще всего находятся в области ворот — там, где в легкое входит главный бронх. В двух третях случаев новообразование развивается в бронхах первого, второго и третьего порядка. [2,6,7]
Гистологическая (основанная на внешнем виде опухолевых клеток под микроскопом) классификация бронхопульмонального рака включает четыре основных типа опухолей:
- Мелкоклеточный рак встречается главным образом у курильщиков, отличается высокой агрессивностью, быстро распространяется и с трудом поддается лечению. На его долю приходится около 12% всех случаев бронхопульмонального рака. [3]
- Плоскоклеточный рак вместе с двумя следующими типами объединяется в группу немелкоклеточных опухолей, которые составляют более 80% от всех случаев злокачественных опухолей легкого. Риск развития плоскоклеточного рака сильно связан с курением. [9,11]
- Аденокарцинома наиболее распространена среди женщин и некурящих людей. В отличие от плоскоклеточного рака, аденокарциномы обычно имеют более мелкие размеры и склонны к росту в периферических частях легкого. Отдельно выделяют подгруппу бронхоальвеолярных аденокарцином.
- Крупноклеточный рак состоит из крупных недифференцированных клеток. [1]
В зависимости от того, насколько сильно опухолевая ткань утратила черты нормальной, различают низкодифференцированные и высокодифференцированные опухоли. Первые более агрессивны.
При выборе лечения большое значение имеет расположение опухолевых очагов. В зависимости от этого показателя, бронхопульмональный рак делят на два типа:
- Центральный — опухоль находится в бронхах 1-3 порядка (главные долевые, сегментарные).
- Периферический — опухоль находится в более мелких бронхах. [2]
Стадии
Рак бронхов делят на стадии, в зависимости от того, насколько сильно опухоль распространилась в организме. При этом руководствуются общепринятой классификацией TNM. Буквы в ней обозначают:
- T — размеры первичного очага, степень прорастания в соседние ткани.
- N — поражение регионарных (близлежащих по отношению к первичной опухоли) лимфатических узлов.
- M — наличие отдаленных метастазов.
В зависимости от этих показателей, определяют стадию опухоли, которая обозначается римскими цифрами I-IV. [1,2]

Причины возникновения
Нормальная клетка превращается в опухолевую, когда в ее генах происходят некоторые изменения. Нельзя точно сказать, почему в том или ином случае возникли генетические дефекты, которые привели к злокачественной трансформации. Но известны факторы, которые существенно повышают риск заболевания. Их так и называют — факторы риска.
Основным фактором риска рака бронхов является курение. Вероятность того, что у человека будет диагностирована злокачественная опухоль, напрямую зависит от стажа курения, ежедневного количества выкуриваемых сигарет, возраста, в котором человек начал курить, марки сигарет (качество табака, содержание канцерогенов). Опасно не только активное, но и пассивное курение. Если в квартире постоянно кто-то курит, риск развития злокачественных новообразований бронхов повышен у всех ее жильцов. [13]
Другие факторы риска:
- Профессиональные вредности: работники шахт, заводов, производящих цемент, стекло и стекловолокно.
- Контакт с химическими реактивами, некоторыми летучими веществами, асбестом.
- Загрязнение воздуха радоном — радиоактивным газом, который естественным образом выделяется из почвы при распаде урана.
- Он может накапливаться в помещениях. [12,13]

Симптомы рака бронхов
На ранних стадиях симптомы чаще всего отсутствуют. Опухоль диагностируют случайно во время рентгенографии. В ранней диагностике помогает регулярное прохождение флюорографии. Эксперты Американского онкологического общества рекомендуют курильщикам с большим стажем рассмотреть регулярное прохождение компьютерной томографии. Такие периодические исследования, призванные диагностировать злокачественные новообразования на ранних, бессимптомных, стадиях, называются скринингом.
Возможные симптомы рака бронхов:
- Упорный хронический кашель.
- Мокрота с примесью крови.
- Одышка.
- Боли в грудной клетке.
Даже когда появляются симптомы, распознать злокачественную опухоль бронхов не всегда получается сразу. Картина может напоминать вялотекущую пневмонию, плеврит или другое заболевание. Важно внимательно относиться к своему здоровью. Если у вас появились любые необычные симптомы, если они сохраняются достаточно долго, нужно обратиться к врачу и пройти обследование.
Раковые клетки производят разные вещества, которые поступают в кровоток и могут вызывать патологические изменения в организме. Это приводит к так называемому паранеопластическому синдрому. При раке легких и бронхов опухоль часто влияет на нервную систему. Это проявляется в виде нарушения походки, удержания равновесия, координации движений, глотания, речи, памяти, зрения, сна и др. [1,2]
Методы диагностики
Обычно опухоль выявляют с помощью рентгенографии. Уточнить ее размеры, расположение, количество очагов и их степень прорастания в окружающие ткани помогает КТ, МРТ. Применяют бронхоскопию — эндоскопическое исследование, во время которого специальный инструмент в виде длинного гибкого шланга — бронхоскоп — вводят в бронхиальное дерево и осматривают слизистую оболочку бронхов.
Биопсию можно провести и другими способами: с помощью иглы, введенной в легкое через стенку грудной клетки, во время торакоскопии, плевроцентеза. Также можно провести цитологическое исследование мокроты на предмет раковых клеток.

Обнаружить мелкие метастазы помогает ПЭТ-сканирование. Во время этого исследования в организм вводят сахар со специальной радиоактивной меткой. Радиофармпрепарат накапливается в опухолевых клетках и делает очаги видимыми на снимках, сделанных с помощью специального аппарата. [1,8]
При необходимости врач может назначить другие методы диагностики.
Лечение рака бронхов
При выборе тактики лечения врач должен учитывать многие факторы: стадию и тип опухоли, ее расположение в легком, наличие поражения регионарных лимфатических узлов и отдаленных метастазов, возраст, состояние здоровья пациента, сопутствующие заболевания. [10]
Хирургическое лечение бронхопульмонального рака
Хирургическое удаление опухоли зачастую является основным видом лечения локального рака бронхов и легких, когда отсутствуют отделанные метастазы. Цель радикальной операции — полностью удалить опухолевую ткань. В зависимости от размеров и расположения очагов, прибегают к разным видам хирургических вмешательств:
- Удаление всего легкого — пульмонэктомия.
- Удаление доли легкого — лобэктомия.
- Удаление сегмента легкого — сегментарная резекция.
- Удаление опухоли с некоторым количеством окружающей здоровой ткани — клиновидная резекция.
- Удаление пораженных лимфатических узлов — лимфодиссекция, лимфаденэктомия.
Операция может быть выполнена открытым способом (через разрез) или эндоскопически (видеоассистированная торакоскопическая хирургия, или, сокращенно — VATS). [2,6]
Лучевая терапия
Лучевая терапия при раке бронхов может сочетаться с хирургическим вмешательством. Перед операцией врач может назначить неоадъювантную лучевую терапию (в том числе в сочетании с химиотерапией), это помогает уменьшить опухоль, перевести ее в операбельное состояние. После хирургического лечения применяется адъювантная химиотерапия для уничтожения оставшихся раковых клеток и снижения риска рецидива.
Если опухоль неоперабельна, лучевая терапия становится основным видом лечения. При метастатическом раке она помогает бороться с болью и другими симптомами. [1,7]

Химиотерапия
Химиопрепараты — лекарственные средства, которые уничтожают активно размножающиеся клетки. Таким образом, их мишенью в организме в первую очередь становятся опухолевые клетки, но могут поражаться и здоровые, поэтому химиотерапия часто сопровождается побочными эффектами. Современные врачи знают, как снизить их риск, и как с ними бороться.
Как и лучевая терапия, химиотерапия при раке бронхов и легких бывает адъювантной, неоадъювантной, может выступать в качестве основного метода лечения. Используют разные химиопрепараты с различными механизмами действия. Как правило, врач назначает комбинацию двух или более препаратов. Комбинации подбирают в зависимости от типа и стадии опухоли. [9]
Таргетная терапия и иммунотерапия
Таргетная терапия и иммунотерапия — это современные, наиболее молодые направления в лечении рака, появление которых стало возможным благодаря бурному развитию молекулярной генетики в последние десятилетия:
- Таргетные препараты поражают определенную молекулу-мишень, которую раковые клетки используют для выживания, бесконтрольного размножения, активации роста кровеносных сосудов. Они действуют более прицельно и избирательно по сравнению с классическими химиопрепаратами, и за счет этого более безопасны, но все же обладают некоторыми побочными эффектами.
- Из иммунопрепаратов чаще всего применяют моноклональные антитела, являющиеся ингибиторами контрольных точек — молекул, с помощью которых раковые клетки подавляют работу иммунной системы.
Обычно эти виды лечения применяют на поздних стадиях, когда имеются метастазы. Также на поздних стадиях врачам приходится бороться с таким осложнением рака бронхов и легких, как плеврит. [6,7]
Прогноз выживаемости
Вероятность успешного лечения рака бронхов зависит от многих факторов, но в первую очередь играет роль стадия и тип опухоли. При немелкоклеточном раке легкого, по данным Американского онкологического общества, выживаемость на разных стадиях составляет: [4,5]
- На I стадии — 68-92%.
- На II стадии — 53-60%.
- На III стадии — 13-26%.
- На IV стадии — менее 1%.
Показатели при мелкоклеточном раке легкого:
- На I стадии — 31%.
- На II стадии — 19%.
- На III стадии — 8%.
- На IV стадии — 2%.
На четвертой стадии прогноз зависит от того, где находятся метастазы. Например, если при немелкоклеточном раке вторичные очаги находятся в надпочечниках, прогноз лучше, чем в ситуациях, когда они локализуются в печени или в головном мозге. При мелкоклеточном раке прогноз менее благоприятный, если метастазы находятся в головном мозге, и более благоприятный, если они локализуются в костях или средостении. [3,9]
Имеет значение пол (у женщин прогноз обычно лучше), степень потери веса (плохо, если больной потерял более 5% от первоначальной массы), снижения работоспособности, наличие у опухоли бронхов тех или иных молекулярно-генетических характеристик (если в клетках есть молекулы-мишени, они будут реагировать на лечение таргетными препаратами). [7]
В «Евроонко» применяются наиболее современные методы лечения бронхопульмонального рака. Мы уверены, что помочь можно любому пациенту, даже при четвертой стадии рака. Если не удается добиться ремиссии, как правило, можно продлить жизнь, купировать боли и другие мучительные симптомы. Свяжитесь с нами, чтобы узнать больше.
Читайте также:
- Ранние проявления алкоголизма на ЭКГ. Признаки поражения предсердий сердца
- Трудности диагностики множественного рака желудка. Ошибки выявления множественного рака желудка
- Этапы и техника восстановления сухожилия разгибателей кисти
- Биодоступность и распределение лекарств. Подбор дозы лекарств
- Тромбоэмболии при дорожной травме. Пример тромбоэмболии легочной артерии
