Рекомендации по анализу рентгенограммы лицевого отдела черепа, придаточных пазух в теменно-акантиальной и акантио-теменной проекции по методу Уотерса
Добавил пользователь Евгений Кузнецов Обновлено: 31.10.2025
Рентгенография - это быстрый и надёжный способ определения патологий, которые располагаются в пределах плотных тканей.
Достоинства рентгена черепа заключаются в следующем:
- высокая информативность снимков, выполненных в различных проекциях;
- высокая оперативность;
- неинвазивность и сравнительно простая технология выполнения процедуры;
- доступность - сегодня рентген головы можно пройти практически в любой поликлинике;
- невысокая лучевая нагрузка.
Когда назначают рентген черепа?
Обзорный рентген черепа в разных укладках может быть назначен пациентам, которых беспокоят:
- цефалгия, или, другими словами, головная боль, различной локализации и интенсивности;
- дрожь в конечностях;
- появление пелены перед глазами или темноты;
- кровотечения из носа;
- болезненное пережевывание пищи;
- снижение остроты зрения и слуха;
- случаи обмороков без видимых на то причин;
- появление асимметрии лицевых костей.
Назначать рентгенологическое исследование черепа могут разные специалисты: невролог, хирург, онколог, офтальмолог и другие.
Что показывает процедура?
На рентгеновских снимках хорошо визуализируются:
- кости скул;
- кости нижней челюсти;
- костная пирамида носа;
- клиновидная кость;
- глазницы;
- височно-нижнечелюстные суставы;
- сосцевидные отростки височных костей.
- сформировавшиеся кальцификаты - могут спровоцировать патологическое развитие черепных костей;
- частичное обызвествление опухолей;
- кровоизлияния и гематомы;
- жидкость в придаточных пазухах носа;
- переломы костей черепа.
Подготовка к процедуре
Специальной подготовки рентген головы не требует. Перед процедурой пациент должен снять с себя все металлические украшения, очки, а также по возможности зубные протезы. Если протезы несъёмные или установлен металлический имплант, об этом нужно предупредить рентгенолога заранее. Затем, в зависимости от конфигурации рентгеновского аппарата, пациент принимает позу лёжа, сидя или стоя.
На тело пациента надевается свинцовый жилет или фартук, который предотвратит облучение ниже уровня шеи. Голову закрепляют специальными фиксаторами, так как первым условием получения качественного снимка является неподвижность.
Техника проведения
Для рентгеновской съёмки пациент должен встать, сесть возле рентгеновского аппарата либо лечь на его рабочий стол. Во время съёмки важно сохранять неподвижность и не дышать. Если потребуется сделать снимок в нескольких проекциях, врач подскажет, как нужно поменять позу.
Рентген черепа в 2-х проекциях
Чтобы получить наиболее подробную и полную информацию о состоянии костей носа, снимки могут делать в двух проекциях - прямой и боковой. В первом случае пациент становится лицом к рентгеновскому аппарату, во втором - боком (левым или правым).
Насколько опасно исследование?
Рентген - процедура неинвазивная и безболезненная. Также её можно назвать относительно безопасной, так как лучевая нагрузка минимальная. При этом, разумеется, рентген - не та процедура, которую можно повторять много раз подряд. Существуют определённые нормы и периодичность, которые необходимо соблюдать.
Противопоказания для проведения
Абсолютным противопоказанием для рентгена головы является беременность. Также существуют и относительные ограничения. Это детский возраст до 15 лет, психические заболевания, тяжёлое состояние.
Рентген черепа: расшифровка
При расшифровке рентгена черепа в 2-х проекциях специалистами оцениваются габариты и особенности расположения костей, а также строение пазух носа. Данные показатели должны соответствовать норме по возрастной категории обследуемого.
Рентген позволяет отчасти анализировать и состояние мягких тканей головного мозга (хотя для точной диагностики данного органа лучше использовать МРТ или КТ). На снимках могут визуализироваться опухолевые новообразования, можно оценить их локализацию и размер. Главным признаком новообразования злокачественного характера станет наличие затемнения неравномерной структуры. Если опухоль имеет доброкачественный характер, её контуры будут ровными и чёткими.
Нормальные показатели
Разберёмся в том, что должен показывать рентген черепа в случаях, когда патологий нет. При описании снимков рентгенолог оценивает размеры, форму, толщину и расположение костей черепа, а также систему сосудов, состояние пазух носа и черепных швов. Все перечисленные характеристики должны соответствовать возрасту пациента.
Рентгенография черепа при травме головы
Главные вопросы, на которые должен ответить специалист на основании рентгена при травме головы:
- Нарушена ли целостность костей черепной коробки?
- Если перелом есть, то сопровождается ли он вхождением обломков костей в полость черепа?
- Повреждены ли глазницы, а также пазухи носа и уха?
- Имеет ли место повреждение головного мозга вследствие сдавливания его деформированными костями черепа?

Наши медицинские центры
- Взрослое отделение
- Диагностика
- Консультации
- Центр лечения боли
- Центр здоровья сердца
- Центр здоровья женщины
- Центр эндокринологии
- Детское отделение
- Массаж
- Нефрология
- Оториноларингология
- Офтальмология
- Эндокринология
Запись по ОМС на МРТ и КТ
Включить версию для слабовидящих?
Настоящим я даю своё согласие ООО «Диагностический центр «Энерго» (далее - Общество) (ИНН: 7810812758, юридический адрес - 196084, город Санкт-Петербург, ул. Киевская, д. 5 к. 4, помещ. 20-н), далее - «Оператор», и третьим лицам, осуществляющим обработку моих персональных данных по поручению Оператора, на обработку указанных сведений обо мне, в целях содействия в трудоустройстве.
Я соглашаюсь на сбор, запись, систематизацию, накопление, хранение, уточнение (обновление, изменение), извлечение, использование, передачу (предоставление, доступ), блокирование, удаление, уничтожение моих персональных данных, а также на осуществление любых других действий, предусмотренных действующим законодательством Российской Федерации, совершаемых с использованием средств автоматизации или без использования таких средств.
Настоящее согласие дано мною лично и добровольно. Настоящее согласие действует до момента его отзыва при отсутствии у Оператора других законных оснований для обработки персональных данных и может быть отозвано мной в любой момент в письменной форме путем направления уведомления Оператору по адресу, указанному выше.
Мы используем cookie-файлы, IP-адреса и данные об устройствах для аналитики, чтобы Ваше посещение сайта было удобным и персонализированным. Вы можете отключить cookie-файлы в настройках вашего браузера. Продолжая пользоваться нашим сайтом, Вы даете согласие на обработку перечисленных данных и принимаете условия Политики обработки и обеспечения безопасности ПДн.
Теменно-акантиальная проекция (по уотерсу)
Для визуализации костей лицевой части черепа необходимо отвести изображения каменистых пирамид от лицевых костей. Это можно сделать или с помощью наклона ЦЛ, или разгибания шеи. На рентгенограммах справа (рис. 12-37 и 12-38) показан результат. Подбородок пациента поднят таким образом, чтобы каменистые пирамиды проецировались сразу ниже верхнечелюстных пазух. Центральный луч параллелен подборо-дочно-ушной линии (ПУЛ). Рентгенограмма справа (по Уотерсу, рис. 12-38), при правильно выполненной укладке, описание которой будет приведено далее в настоящей главе, демонстрирует каменистые пирамиды (см. стрелки), спроецированные ниже верхних челюстей и верхнечелюстных пазух. Таким образом, за исключением нижней челюсти, кости лицевого черепа проецируются выше плотных каменистых пирамид, и изображения последних не налагаются на кости лицевого черепа.
Укладки — общие положения
ВЕРТИКАЛЬНОЕ И ГОРИЗОНТАЛЬНОЕ ПОЛОЖЕНИЯ (рис. 12-39 и 12-40)
Общие положения, касающиеся укладки костей лицевого черепа, те же, что и для костей мозгового черепа, как было описано в предыдущей главе.
Если позволяет состояние пациента, проекции костей лицевого черепа выполняются в вертикальном положении. Обычно используют вертикальную стойку снимков с отсеивающим растром. Часто для точной укладки черепа (особенно у тучных пациентов и гиперстеников) легче поставить пациента вертикально, чтобы подогнать различные плоскости и линии укладки. Кроме того, при вертикальном положении лучше видны уровни жидкости в пазухах или других полостях черепа, которые могут являться показателями патологических состояний.
Пациенты с травмой обычно находятся в горизонтальном положении (лежа на спине). Большинство проекций костей лицевого черепа можно выполнять, не двигая пациента, путем изменения углов наклона ЦЛ и/или подбора правильного расположения кассеты, как это описано в главе 19.
РЕНТГЕНОГРАФИЯ В ПЕДИАТРИИ
Общение. Чтобы создать атмосферу доверия и сотрудничества, необходимо понятное объяснение процедуры ребенку и лицу, его сопровождающему. Для поддержания такой атмосферы эффективны приемы для отвлечения внимания ребенка (использование игрушек, других предметов).
Фиксация. Дети (в зависимости от возраста и состояния здоровья) часто не могут долго находиться в требуемом положении. Чтобы не было необходимости держать ребенка, рекомендуется использовать фиксирующие средства, снижая, таким образом, дозу облучения. (В главе 20 приводится подробное описание фиксирующих средств.) Если ребенка нужно держать, то тот, кто это делает, один из родителей или сопровождающий ребенка взрослый должен надеть рентгенозащитный фартук и/или перчатки. Если ребенка сопровождает женщина, должна быть полная уверенность в том, что она не беременна.
Технические условия исследования непостоянны, так как все дети разного роста и с разной патологией. Рекомендуется использовать самое короткое время экспозиции (и высокое значение мА), чтобы уменьшить влияние возможных движений ребенка.
Рекомендации по анализу рентгенограммы лицевого отдела черепа, придаточных пазух в теменно-акантиальной и акантио-теменной проекции по методу Уотерса
НИО гибридных технологий лучевой медицины Первого МГМУ им. И.М. Сеченова Минздрава России, Москва, Россия, 119991
Лучевая диагностика одонтогенного верхнечелюстного синусита
Журнал: Вестник оториноларингологии. 2017;82(2): 46‑50
Цель исследования — проанализировать возможности таких методов лучевой диагностики, как рентгенография, мультиспиральная компьютерная томография (МСКТ) и конусно-лучевая компьютерная томография (КЛКТ) в диагностике одонтогенного верхнечелюстного синусита, а также описать изменения верхнечелюстных синусов, выявляемые с помощью вышеуказанных методов. Были обследованы 166 пациентов с верхнечелюстным синуситом в возрасте от 21 до 81 года, всем пациентам было проведено рентгенологическое исследование. Выявлена низкая эффективность проекционных методов рентгенографии. Применение компьютерной томографии позволило из 166 обследованных пациентов у 110 (66,2%) больных верифицировать диагноз, определить рентгенологические признаки одонтогенной этиологии выявленных изменений и грамотно подобрать дальнейшую тактику лечения. МСКТ и КЛКТ является наиболее информативными методами в диагностике изменений верхнечелюстных синусов одонтогенной этиологии.
Несмотря на значительный прогресс стоматологической помощи населению, в последние годы отмечается увеличение заболеваемости одонтогенным верхнечелюстным синуситом (ОВЧС), что связано со стремительным развитием интервенционной стоматологии [1, 2]. ОВЧС занимает одно из ведущих мест среди воспалительных процессов одонтогенной этиологии [1—4]. Связь ОВЧС с заболеванием зубов зачастую недооценивается специалистами, особенно если она не является очевидной, а зачастую ОВЧС рассматривается как риногенный, что может приводить к неправильному ведению пациентов. В первую очередь это касается хронических форм одонтогенного синусита при относительно бессимптомном его течении [4—8].
По данным отечественных и зарубежных исследователей, ОВЧС составляет не менее 5—8% от общего числа воспалительных заболеваний челюстно-лицевой области [9, 10]. Это объясняется тем, что очаги хронической одонтогенной инфекции не всегда удается установить при визуальном осмотре полости рта. Также они могут быть сопутствующими при риногенной форме синусита и усугублять его течение. Нередко хронический ОВЧС выявляется случайно при рентгенологическом исследовании костей лицевого черепа по поводу другой патологии [5, 7].
Частой причиной развития ОВЧС являются ошибки в эндодонтическом лечении зубов и стоматологической имплантации — проведение инструментов для обработки корневых каналов (корневые иглы, дрильборы, каналонаполнители, пульпэкстракторы), а также пломбировочного материала и импланта за верхушку корня зуба в полость пазухи. Реже инородными телами в полости синусов являются фрагменты корней зубов [1, 2, 5, 12]. К причинам развития ОВЧС также относят инфицирование пазухи при оперативном вмешательстве с перфорацией дна полости верхнечелюстного синуса: наиболее часто (до 80%) при случайном вскрытии пазухи при экстракции и кюретаже лунки после экстракции первого и второго моляров верхней челюсти, реже — при резекции верхушки корня, цистэктомии, удалении ретинированных зубов, секвестрэктомии, подсадке зубного имплантата, удалении новообразования этой области [1, 10, 15].
Ведущая роль в диагностике ОВЧС по-прежнему остается за лучевыми методами исследования. Традиционно для оценки околоносовых синусов, в том числе верхнечелюстных, применяется рентгенография в носо-подбородочной проекции, обзорные рентгенограммы черепа в прямой и боковых проекциях. Для визуализации зубов используются ортопантомография или внутриротовая контактная рентгенография, которые не позволяют достоверно оценить состояние верхнечелюстных синусов [11—14]. С внедрением современных высокотехнологичных методов лучевой диагностики — мультиспиральной компьютерной томографии (МСКТ), конусно-лучевой компьютерной томографии (КЛКТ), магнитно-резонансной томографии (МРТ) — многие врачи стали отказываться от классических рентгенологических методик ввиду их малой информативности [12—14]. При этом в протоколы описания околоносовых синусов не всегда включаются данные о состоянии альвеолярного отростка, зубов верхней челюсти [11, 13]. Это может привести к несвоевременной диагностике и различным местным и общим осложнениям у таких пациентов [15, 16].
Цель исследования — определение возможностей современных лучевых методов исследования — МСКТ и КЛКТ — в диагностике воспалительных изменений верхнечелюстных синусов (ВЧС) одонтогенной этиологии.
Пациенты и методы
В период с 2013 г. по 2015 г. в отделении лучевой диагностики УКБ № 1 Первого МГМУ им. И.М. Сеченова были обследованы 166 пациентов с верхнечелюстными синуситами различной этиологии. У 110 больных (66,2%) была подтверждена одонтогенная этиология заболевания. Анализ распределения больных в соответствии с возрастом и полом показал, что из обследованных больных с ОВЧС большинство — 91 (54,8%) человек — были в молодом и зрелом возрасте от 21 года до 60 лет. Пациентов старше 60 лет было 19 (11,4%) человек, средний возраст пациентов составил 48 лет (от 21 до 81 года). Преобладали лица женского пола (62 (37,3%) женщины и 48 (28,9%) мужчин) трудоспособного возраста.
Сопоставление клинических проявлений одонтогенного ВЧС и рентгенологической картины позволило условно объединить пациентов в две группы: 66 (39,7%) пациентов с острым воспалительным процессом в верхнечелюстном синусе имели соответствующие клинические симптомы заболевания, а 44 (26,5%) пациента жалоб со стороны верхнечелюстных синусов не предъявляли (воспалительный процесс в верхнечелюстном синусе был хроническим).
Комплексное рентгенологическое исследование проводилось во всех случаях. Всем больным была выполнена компьютерная томография (МСКТ или КЛКТ): МСКТ — 76 (45,8%) пациентам, КЛКТ — 90 (54,2%) пациентам. 122 (73,5%) пациентам была выполнена рентгенография околоносовых синусов в носо-подбородочной, полуаксиальной проекциях. Для уточнения состояния зубов верхней челюсти проводилась ортопантомография (n=166, 100%) и внутриротовая контактная рентгенография (n=12, 7,3%).
При оценке и анализе диагностических изображений критериями одонтогенного синусита были следующие признаки: наличие инородного тела металлической плотности, соответствующего пломбировочному материалу или имплантату в полости синуса; глубокий кариес и признаки периодонтита премоляров и моляров верхней челюсти; разрушение нижней костной стенки верхнечелюстных синусов в области патологически измененных зубов.
Результаты и обсуждение
Анализ результатов методов лучевой диагностики позволил выявить признаки ОВЧС в 110 (66,2%) из 166 случаев. 66 (39,7%) пациентов имели характерные клинические симптомы заболевания (головная боль, субфебрильная температура, нарушение сна, ощущение тяжести в соответствующей половине лица при наклоне головы кпереди, заложенность носа только с одной стороны); эти больные были направлены на лучевое обследование оториноларингологами. Остальные 44 (26,5%) человека жалоб со стороны верхнечелюстных синусов не предъявляли; ранее они были направлены на обследование стоматологами и челюстно-лицевыми хирургами по следующим показаниям: 22 (13,2%) пациента — для уточнения стоматологического статуса, 12 (7,3%) пациентов — перед дентальной имплантацией, 10 (6%) пациентов — для послеоперационного контроля после хирургических вмешательств на верхней челюсти. В этих случаях выявленное воспаление верхнечелюстного синуса было диагностической находкой.
Как известно, острое одонтогенное воспаление верхнечелюстного синуса развивается в течение 1—3 дней. Достаточно часто причиной является воспалительный процесс верхней челюсти (острый или обострение хронического). К таким состояниям относят осложнения кариеса зубов, периодонтиты, периостит, остеомиелит, а также нагноение кист зубов или гранулем [7, 8].
Характерными жалобами пациентов с острым верхнечелюстным синуситом были: затруднение носового дыхания, ринорея, потеря обоняния, головная и лицевая боль, ощущение тяжести в соответствующей половине лица при наклоне головы кпереди, субфебрильная лихорадка, а также ночной кашель и нарушение сна. Одонтогенный синусит в отличие от риногенного имеет следующие отличительные признаки: изолированное поражение одного из верхнечелюстных синусов, боль в зубе или в пародонтальных тканях, предшествующая заболеванию, нарушение конфигурации лица в результате отека мягких тканей щеки и боль при пальпации переднелатеральной стенки верхнечелюстной пазухи.
При остром синусите на рентгенограммах определялась утолщенная слизистая оболочка, затемнение и уровень жидкости. При хроническом синусите отмечалось снижение прозрачности синуса.
При оценке и анализе диагностических изображений критериями одонтогенного синусита были следующие признаки: наличие инородного тела металлической плотности, соответствующего пломбировочному материалу или импланту в полости синуса; глубокий кариес и признаки периодонтита премоляров и моляров верхней челюсти; разрушение нижней костной стенки верхнечелюстных синусов в области патологически измененных зубов, а также частичная адентия верхней челюсти в зоне, соответствующей изменениям верхнечелюстного синуса.
При рентгенологическом исследовании у 44 (26,5%) пациентов с острым верхнечелюстным синуситом на обзорной рентгенограмме определялись утолщенная слизистая оболочка и/или субтотальное затемнение с горизонтальным уровнем жидкости. У 78 (47%) пациентов отмечалось тотальное снижение прозрачности синуса, из них у 38 (22,8%) пациентов в полости синуса были обнаружены инородные тела металлической плотности (соответствующие пломбировочному материалу). Однако низкая контрастность жидкости и мягких тканей, суммация теней затрудняли объективную оценку полученных рентгенограмм. Для дополнительной оценки состояния зубов верхней челюсти всем пациентам выполнялась ортопантомография, которая не позволяла достоверно судить о состоянии верхнечелюстных синусов, а у 13 (7,8%) пациентов — точно интерпретировать изменения в области верхушек зубов верхней челюсти (вследствие отражения проекционного наслоения сложных анатомических структур).
По результатам нашего исследования у 24 (14,5%) пациентов были обнаружены признаки хронического периодонтита в области премоляров и моляров верхней челюсти (рис. 1). Глубокий кариес был диагностирован у 4 (2,4%) пациентов, кисты верхней челюсти в области корней премоляров и моляров визуализировались в 6 (3,6%) случаях.

Рис. 1. КЛКТ. Панорамная (а) и мультипланарные реконструкции правого (б) и левого (в) верхнечелюстных синусов пациента М., 37 лет. Диагноз: двусторонний одонтогенный хронический верхнечелюсной синусит. Отмечаются КТ-признаки хронического гранулематозного периодонтита зубов 1.8, 2.7, 2.8 (в виде очагов деструкции у верхушек корней, округлой формы, с четкими ровными контурами). Нижние костные стенки синусов истончены, не прослеживаются в области периодонта зубов 1.8 и 2.8 (указаны стрелками). В нижнем отделе правого верхнечелюстного синуса определяется пристеночное мягкотканное образование гомогенной структуры с полицикличным верхним контуром. Левый верхнечелюстной синус субтотально заполнен мягкотканным содержимым гомогенной структуры с округлым верхним контуром.
Пломбировочный материал был обнаружен у 38 (22,8%) пациентов (рис. 2). Из них у 34 (20,4%) больных в подслизистом слое нижней стенки синуса, у 4 (2,4%) — в верхнем отделе у медиальной стенки синуса (рис. 3). У 8 (4,8%) пациентов диагностированы ошибки стоматологической имплантации: верхушка импланта была погружена в полость синуса, что стало причиной развития хронического одонтогенного верхнечелюстного синусита, а также осложнений в виде хронического полисинусита (n=4; 2,4%).

Рис. 2. МСКТ. Коронарная (а) и сагиттальная (б) реконструкции правого верхнечелюстного синуса пациента К., 29 лет. Диагноз: правосторонний одонтогенный хронический верхнечелюстной синусит. Корни зубов 1.6, 1.7 и 1.8 погружены в полость верхнечелюстного синуса. Состояние после эндодонтического лечения зубов 1.6 и 1.7, с выведением пломбировочного материала за верхушку небного корня 1.7. В области корней зубов 1.6 и 1.7 отмечается разрежение костной ткани с нечеткими неровными контурами (рентгенологические признаки гранулирующего периодонтита). В нижнем отделе синуса определяется пристеночное мягкотканное образование с полицикличным контуром, костные стенки синуса в данной области не прослеживаются.

Рис. 3. КЛКТ. Сагиттальная реконструкция, правый верхнечелюстной синус. Пациент У., 48 лет. Диагноз: правосторонний одонтогенный хронический верхнечелюстной синусит. Зубы 1.6 и 1.7 после эндодонтического лечения, отмечается выведение пломбировочного материала за верхушки корней зуба 1.6 (материал располагается в костной ткани альвеолярного отростка и в подслизистом слое синуса). Определяется разрежение костной ткани в области корней 1.6 и 1.7, костная стенка синуса в данной области не прослеживается (стрелка). В нижнем отделе синуса определяется утолщение слизистой оболочки до 10 мм, в верхнемедиальном отделе синуса визуализируется инородное тело неправильной формы металлической плотности (соответствует фрагментам пломбировочного материала).
В нашем исследовании у 30 (18,1%) пациентов наблюдалось отсутствие зубов верхней челюсти в зоне, соответствующей изменениям верхнечелюстного синуса, что также позволяло судить об одонтогенности верхнечелюстного синусита.
Выводы
1. Высокотехнологичные методы лучевой диагностики (МСКТ или КЛКТ) являются необходимой составляющей комплексной диагностики ОВЧС.
2. Применение компьютерной томографии (МСКТ или КЛКТ) позволяет определить причину ОВЧС и, таким образом, выбрать правильную тактику ведения пациентов.
3. МСКТ или КЛКТ должны быть рекомендованы пациентам до и после эндодонтического лечения зубов и стоматологической имплантации, а также при хирургических вмешательствах на верхней челюсти с целью своевременного выявления возможных патологических изменений верхнечелюстных синусов (в том числе бессимптомных).
Конфликт интересов: авторы статьи подтвердили отсутствие финансовой поддержки/конфликта интересов, о которых необходимо сообщить.
Кафедра ортодонтии Высшего медицинского института г. Пловдив, Республика Болгария
Рентгенологическая оценка трансверальных несоответствий лицевого отдела черепа
Журнал: Стоматология. 2013;92(5): 55‑60
Крыстева С., Матева Н., Боева Т. Рентгенологическая оценка трансверальных несоответствий лицевого отдела черепа. Стоматология. 2013;92(5):55‑60.
Krysteva S, Mateva N, Boeva T. Radiological evaluation of transverse maxillofacial disparity. Stomatologiya. 2013;92(5):55‑60. (In Russ.).
С помощью прямых телерентгенограмм (ТРГ) создана дифференциально-диагностическая графическая модель морфологических и функциональных аномалий нижней челюсти (НЧ). Разработаны 8 графических моделей всевозможных трансверсальных отклонений от нормы ее в положении и морфологии. С их помощью рассматриваются асимметрия НЧ, ротация и трансляция в суставах и их комбинации. Предложенные модели позволяют ортодонту точно дифференцировать трансверсальные аномалии и на этой основе выбрать адекватный план лечения.
Трансверсальные зубочелюстные деформации и связанные с ними асимметрии лица являются трехмерными отклонениями от нормы, так как в большинстве случаев сочетаются с сагиттальными и вертикальными изменениями в челюстно-лицевой области (ЧЛО). Часто используемая телерентгенограмма (ТРГ) черепа в боковой проекции позволяет оценить зубочелюстные отклонения в сагиттальном и вертикальном направлениях. ТРГ черепа в прямой проекции дает ценную информацию о трансверсальных аномалиях в окклюзии и лицевой асимметрии, но редко используется из-за трудностей в определении основных цефалометрических ориентиров [6].
Клинических и параклинических методов исследования трансверсальных аномалий прикуса недостаточно для точного диагностирования и дифференцирования функциональных и морфологических аномалий нижней челюсти (НЧ). Все известные методы ТРГ черепа в прямой проекции помогают установить лишь наличие асимметрии НЧ и то, является ли она структурной [7]. Клиническое изучение движений НЧ может только ориентировать ортодонтов в дифференцировании морфологической и функциональной анатомии НЧ, но и эти данные являются сугубо субъективными, так как зависят от поведения больного и практики ортодонта [3, 8]. Для более полной и точной диагностики и дифференцирования зубочелюстных аномалий Л.С. Персин и соавт. [4] предлагают сочетать цефалометрические анализы с трехмерными изображениями ЧЛО. Появление устройств для лазерного сканирования гипсовых моделей зубных рядов, а также для сканирования головы открывает новые возможности точных методов диагностики. W. Schmid и соавт. [13] провели компьютерную дифференциацию структурных изменений НЧ и ее функциональных нарушений. М.М. Соловьев и соавт. [5] внесли ценный вклад в практику оценки пространственной асимметрии НЧ. Они использовали ТРГ черепа в прямой и боковой проекциях, их анализ основан на линейных и угловых величинах и на этой основе они рассчитывали реальные пространственные размеры НЧ.
Для достижения хороших лечебных результатов следует рассмотреть трансверсальные несоответствия лицевого отдела черепа, НЧ. С этой целью мы разработали графическую модель для определения морфологических аномалий НЧ по ТРГ черепа в прямой проекции. Мы остановились именно на такой модели в силу ее универсальности, простоты применения и точности, опирающихся на математические и геометрические величины.
Материал и методы
1. Выполнение ТРГ черепа в прямой проекции. Голова пациента позиционируется по методу Рикеттса [11]: кончик носа ориентирован на центр кассеты; рентгеновский луч направляется горизонтально на затылочный бугор строго посередине линии, соединяющей слуховые проходы; зубы сомкнуты в положении центральной окклюзии. Использовался стандартный рентгеновский аппарат. Для автоматизации процесса обработки ТРГ черепа в прямой проекции можно применять любую компьютерную чертежную программу (Corel Draw, Solid Works, Auto Cad и т.д.) или негатоскоп, для выполнения чертежей после сканирования и архивирования — программный продукт Corel Draw.

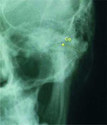
2. Определение цефалометрических точек, необходимых для наших анализов (рис. 1). Рисунок 1. Цефалометрические точки, использующиеся для разработки графических моделей. 2.1. Точка Lo (lateroorbitalae — dextra et sinistra) — пересечение латерального орбитального контура и больших крьльев клиновидной кости [6, 9, 11, 12]. 2.2. Точка Nc — на основе crista galli [6, 11, 12]. 2.3. Точка Co (condilion — dextra et sinistra) — самая высокая точка суставной головки НЧ [6, 9, 11]. 2.4. Точка Ме (mention) — нижняя точка подбородочного симфиза НЧ [6, 11, 12]. 2.5. Точкой О обозначаем середину сегмента Со-Со (см. рис. 1).

3. Построение средней сагиттальной прямой. Средняя сагиттальная прямая (MSR) выбрана методом V. Sassounni [12]: из точки Nc опускаем перпендикуляр к прямой, соединяющей левую и правую точки Lo (рис. 2). Рисунок 2. Средняя сагиттальная прямая (MSR) по V. Sassounni. Этот метод построения базовой линии выбран потому, что клиновидная кость исключительно симметрична и точка Lo — очень хорошая базовая точка для сравнения роста и развития черепа [12].

4. Построение сагиттальной оси НЧ и то, почему оно необходимо, мы объясним ниже. Соединяем уже отмеченные точки Со-Со и из середины полученного таким образом сегмента (точка О) опускаем перпендикуляр, который является сагиттальной осью мандибулы. Обозначим ее pq (рис.3). Рисунок 3. Построение сагиттальной оси НЧ.

Для определения контура суставной головки необходимо знать анатомические околосуставные структуры. Контур суставной головки не очень отчетлив на ТРГ черепа в прямой проекции, и для большей точности мы рекомендуем данный участок дигитального рентгеновского снимка увеличивать с помощью компьютера [9] (рис. 4, см. на цв. вклейке). Рисунок 4. Увеличение контура суставной головки с помощью компьютерной обработки изображения.

Обоснование. Созданная нами методика оценки трансверсальных несоответствий лицевого отдела черепа была продиктована неточностью анализа симметрии НЧ. Является ли НЧ симметричной или нет, обычно определяют по средней сагиттальной оси черепа, но иногда это может ввести в заблуждение. Например, НЧ может быть симметричной, но при ротации в суставах точка Ме перемещается с лицевой оси MSR, что позволяет сделать неверный вывод об асимметричности НЧ. Мы рассматриваем НЧ в качестве отдельного объекта, имеющего свою собственную сагиттальную ось (pq), так как нельзя определять симметричность одного тела (НЧ) относительно сагиттальной оси другого тела (черепа): это приводит к 2 системам координат: 1 — черепа (MSR по V. Sassounni), другая — НЧ (pq) (рис. 5, см. на цв. вклейке). Рисунок 5. Компьютерная графика 2 сагиттальных осей MSR и pq.
При взаимном расположении 2 ординат, которые являются осями симметрии этих 2 объектов (череп и НЧ), возникают 4 варианта: обе оси объединены; одна ось повернута относительно другой; оси параллельны друг другу; оси сдвинуты и повернуты относительно друг друга.
В зависимости от ситуации точка Ме может находиться или не находиться на оси симметрии челюсти (pq), параметры удваиваются, т.е. мы получаем 8 графических моделей.

Графическая модель 1. Средняя сагиттальная прямая MSR совпадает с линией симметрии pq; точка Ме лежит на pq (рис. 6). Рисунок 6. Графические модели 1, 2, 3, 4. Здесь и на рис. 7: MSR — средняя сагиттальная прямая (по V. Sassounni); pq — ось симметрии НЧ; точка О — середина сегмента Со-Со; точка Со (condilion — dextra et sinistra); точка Nс — на основе crista galli; точка Lo (lateroorbitalae — dextra et sinistra); точка Ме (mention); α — угол между двумя осями симметрии (pq и MSR). Вывод: челюсть имеет нормальную симметрию с нормальной позицией сустава.
Графическая модель 2. Ось MSR совпадает с pq; точка Ме не лежит на pq, т.е. сдвинута влево или вправо (см. рис. 6). Вывод: НЧ асимметрична; нормальное положение темпоромандибулярных суставов наблюдается в результате слияния 2 осей симметрии — MSR и pq.
Графическая модель 3. Oсь MSR не совпадает с pq и пересекает ее в точке O; точка Ме лежит на pq (см. рис. 6). Вывод: НЧ симметрична; наблюдается ротация суставных головок.
Графическая модель 4. Ось MSR не совпадает с pq и пересекает ее в точке О; точка Ме не лежит на pq (см. рис. 6). Вывод: НЧ асимметрична, наблюдается ротация суставных головок.

Графическая модель 5. Oсь MSR не совпадает с pq, они пересекаются; точка O не лежит на MSR; точка Ме лежит на pq (рис. 7). Рисунок 7. Графические модели 5, 6, 7, 8. Вывод: НЧ симметрична, наблюдается ротация суставных головок, появляется трансляция в суставе.
Графическая модель 6. MSR не совпадает с pq, они пересекаются; точка O не лежит на MSR; точка Mе не лежит на pq (сдвинута влево или вправо) (см. рис. 7). Вывод: НЧ асимметрична, наблюдаются ротация суставных головок и трансляция в суставе.
Графическая модель 7. Ось MSR параллельна оси pq; точка Mе лежит на pq (см. рис. 7). Вывод: НЧ симметрична; трансляция в суставе.
Графическая модель 8. Oсь MSR параллельна оси pq; точка Mе не лежит на pq (сдвинута влево или вправо) (см. рис. 7). Вывод: НЧ асимметрична; трансляция в суставе.
Результаты и обсуждение
Графические модели, созданные нами по ТРГ черепа в прямой проекции, обеспечивают возможность высокоточной диагностики трансверсальных отклонений НЧ, так позволяют определить асимметрию НЧ, ротацию, трансляцию в суставах и их взаимосвязь. Асимметрия НЧ по данным графических моделей наблюдается при несовпадении точки Mе с осью симметрии НЧ pq, что может возникнуть в результате:
— врожденного отсутствия или недоразвития одной из суставных головок, отсутствия мыщелкового отростка и ветви челюсти и вследствие этого — недоразвития всей половины НЧ на стороне поражения [1]; тогда точка Ме смещается в сторону повреждения;
— одностороннего удлинения тела НЧ, которое усугубляет асимметрию лица по горизонтали; точка Mе смещается в нормальную сторону [7];
— одностороннего удлинения ветви НЧ, которое усугубляет асимметрию по вертикали; точка Mе смещается в сторону деформации [7];
— односторонней гиперплазии, когда подбородок сдвигается в сторону морфологического изменения [7].
Вращательное движение суставов (ротация) означает, что НЧ расположена асимметрично относительно структур черепа, т.е. происходит ее функциональный сдвиг в результате нарушения окклюзионных соотношений. Эти отклонения могут быть вызваны сужением верхней челюсти или местными факторами, такими как неправильно расположенный зуб и др. [3]. В случаях трансверсального нарушения окклюзионных соотношений в боковой части зубов развиваются односторонний перекрестный прикус с одной стороны и лингвальный — с другой и отклонение точки Mе в сторону перекрестного прикуса [3, 10]. Асимметричное положение НЧ сопровождается и асимметричностью суставных пространств. Суставная головка смещается со стороны перекрестного прикуса вверх, назад и наружу, а со стороны без перекрестного прикуса — вниз, вперед и внутрь [8, 10]. Это объясняет наклон сегмента Со-Со к горизонтальной прямой Lo-Lo на графике.
При только вращательном движении суставов (см. рис. 6) слияние MSR и pq исчезает и появляется угол между 2 осями симметрии (вертикальный компонент асимметрии лица); тяжесть деформации зависит от размера этого угла. Точка О (центр сегмента Co-Co) в этом случае лежит на MSR. Будет ли вращение сочетаться с асимметрией НЧ, определяется местоположением точки Ме. Если она лежит на pq, это нормально, но если она отклоняется (влево-вправо) от pq, имеет место асимметричность челюсти (см. рис. 6). Если существует только смещение суставных поверхностей, MSR и pq параллельны. Теоретически в этом случае можно считать, что НЧ с трансверсальным смещением расположена корпусно или почти корпусно относительно оси симметрии [2]. Это смещение, в свою очередь, может привести к асимметричным смещениям суставных ямок относительно оси симметрии черепа [3]. Степень асимметрии НЧ будет зависеть от расположения точки Mе. При ее отклонении от оси симметрии НЧ pq можно признать, что, кроме смещения, в суставных поверхностях НЧ существует и нижнечелюстная асимметрия (см. рис. 7). Перемещение точки O (влево-вправо) от MSR означает наличие (горизонтального) компонента асимметрии. Если MSR непараллельна pq, возникает угол между осями симметрии, т.е. появляется вращательный (вертикальный) компонент. Чем дальше точка О находится от MSR, тем больше смещение (см. рис. 7). При наличии 8 приведенных графических моделей можно провести адекватную диагностику любому пациенту.
Пациентка Д.С., 17 лет, с визуально определяемой асимметрией лица.

Клинический осмотр выявил смещение подбородочного отдела НЧ вправо относительно оси симметрии лица. При интраоральном обследовании установлен правый задний перекрестный прикус и нормальные сагиттальные окклюзионные соотношения моляров и клыков (caninon) с обеих сторон. Выполнена ТРГ, получено изображение оси симметрии MSR лицевого отдела черепа. Установлено смещение точки Ме вправо от MSR, но при построении оси симметрии НЧ pq была доказана ее полная симметрия НЧ. Точка Ме лежит на оси симметрии pq (рис. 8, см. на цв. вклейке). Рисунок 8. Схема фронтальной ТРГ пациентки Д.С.
Схема фронтальной ТРГ пациентки Д.С. показывает, что визуальное представление об асимметрии ошибочно. Причина смещения точки Ме относительно MSR — ротация и трансляция в суставах НЧ. НЧ как отдельное тело вполне симметрична, но смещена и повернута по отношению к другому телу — черепу, а отсюда и первоначальная ошибка в диагнозе. При лечении необходимо обратить внимание на правильное позиционирование мандибулы относительно черепа, т.е. на совпадение 2 осей симметрии — MSR и pq. Было бы лечебной ошибкой начать корректировку асимметрии НЧ, которой реально не существует. Усилия ортодонта в данном случае должны быть направлены на достижение правильных окклюзионных соотношений (рис. 9, 10, 11, см. на цв. вклейке) Рисунок 9. Окклюзионные соотношения после лечения — спереди. Рисунок 10. Окклюзионные соотношения после лечения — справа. Рисунок 11. Окклюзионные соотношения после лечения — слева. и гармоничной лицевой эстетики (рис. 12, см. на цв. вклейке). Рисунок 12. Фото пациентки (анфас) после лечения.
Данный клинический пример соответствует графической модели 5.
Таким образом, разработанные нами 8 графических моделей рентгенологической оценки трансверсальных несоответствий лицевого отдела черепа позволяют точно описать положение и морфологию НЧ. Данная методика поможет внести ясность в диагностику лицевой асимметрии (является она структурной или нет), ориентировать ортодонтов и хирургов в сути проблемы, что в сочетании с клинической функциональной пробой поможет выбрать правильный план лечения.
Рентгенологическое исследование лицевого скелета включает рентгенографию глазницы и ее содержимого, придаточных пазух носа, прицельные снимки отдельных костей лицевого скелета и снимки зубочелюстного аппарата. Большинство анатомических образований лицевого скелета достаточно четко видно на обзорных снимках черепа в прямой передней и задней проекциях, на снимках в носоподбородочной, подбородочной, носолобной, лобной, боковой и аксиальной проекциях.
Однако для более четкого их выявления, по возможности с минимальной суперпозицией изображения других анатомических структур черепа, предложен ряд специальных прицельных снимков.
С целью детального изучения стенок глазниц и придаточных пазух носа широко используют томографическое исследование.
РЕНТГЕНОГРАФИЯ КОСТНЫХ СТЕНОК ГЛАЗНИЦЫ
Верхняя и наружная стенки глазницы прослеживаются на снимке черепа в боковой проекции.
Для более детального изучения стенок глазницы предложен ряд прицельных снимков.
УКЛАДКИ СНИМОК ГЛАЗНИЦЫ В НОСОПОДБОРОДОЧНОЙ ПРОЕКЦИИ
Назначение снимка. Изучение состояния костей, образующих вход в глазницу, костной структуры верхней и наружной ее стенок.
Укладка больного для выполнения снимка сходна с укладкой для выполнения обзорного снимка в этой же проекции. В данном случае используюткассету размером 13X18 см, располагая ее в кассетодержателе в поперечном положении. Больной прилежит к столу подбородком и кончиком носа,переносье соответствует центру кассеты. Центральный пучок излучениянаправляют на центр кассеты. Фокусное расстояние—100 см.
В этой же укладке может быть выполнен снимок одной (правой или левой) глазницы. В таких случаях центр снимаемой глазницы соответствует центру кассеты, и на него отвесно направляют пучок излучения, используя тубус или диафрагмирование пучка излучения с помощью щелевой диафрагмы. Фокусное расстояние—100 см (рис. 88).
Информативность снимка. На снимке хорошо видны вход в глазницу, структура ее стенок, иногда малое и большое крыло клиновидной кости (рис. 89). На снимке в этой проекции могут быть выявлены деструктивные изменения стенок глазницы и инородные тела в ее полости (рис. 90, 91). Для выявления изменений в области верхней стенки глазницы (например, при
диагностике переломов) снимок целесообразно выполнять не в носоподбородочной, а в подбородочной проекции.
На таких снимках верхняя стенка глазницы проекционно искажается в меньшей степени, и все изменения в ее области видны более отчетливо (см. рис. 54, 55).
На прицельном снимке каждой из глазниц в этой же проекции, как правило, небольшие изменения структуры стенок, а также мелкие инородные тела глаза видны лучше. Такие снимки широко используют в офтальмологической практике (рис. 92).
Критерии правильности технических условий съемки и правильности укладки основываются на четкости выявления костной структуры и симметричности изображения глазниц.
Наиболее частые ошибки при выполнении снимка сводятся к асимметрии положения головы.



СНИМОК ГЛАЗНИЦЫ В НОСОЛОБНОЙ ПРОЕКЦИИ
Назначение снимка — изучение контуров костей, образующих вход в глазницу, структуры верхней и наружной ее стенок, ширины и контуров верхних глазничных щелей, а также выявление инородных тел в полости глазницы.

Укладка больного для выполнения снимка, информативность снимка, критерии правильности технических условий съемки и правильности укладки те же, что для снимка крыльев клиновидной кости и верхних глазничных щелей.
В качестве примера информативности снимка глазниц в носолобной проекции для выявления инородных тел глаза и деструктивных изменений стенок приводим два наблюдения.
Одно из них — случай ранения глаза металлической стружкой (рис. 93), другое — случай деструкции верхненаружного края глазницы при доброкачественной опухоли слезной железы (рис. 94).
СНИМОК ГЛАЗНИЦЫ В БОКОВОЙ ПРОЕКЦИИ
Назначение снимка — отображение наружного края, верхней и нижней стенок глазницы, а также выявления инородных тел, находящихся в ее полости.
Укладка больного для выполнения снимка такая же, как для выполнения снимка черепа в боковой проекции (рис. 95).
Кассету размером 13X18 см устанавливают в кассетодержателе в поперечном положении. Наружный край глазницы соответствует центру кассеты, и на него направляют пучок излучения.
Информативность снимка. На снимке хорошо видна наружная стенка глазницы. Для выявления небольших участков измененной костной структуры других стенок информативность снимка, как правило, невысокая из-за суперпозиции анатомических образований противолежащей стороны лицевого скелета. Хорошо видны на снимке в данной проекции инородные тела (рис. 96).
Критерии правильности технических условий съемки и правильности укладки. Правильность подбора физико-технических условий съемки определяется резкостью изображения контуров костей и четкостью костной структуры.
При правильной укладке контуры верхней и нижней стенки правой и левой глазницы совпадают.
Наиболее частые ошибки при выполнении снимка сводятся к неправильному подбору физико-технических условий съемки.


СНИМОК ГЛАЗНИЦЫ В КОСОЙ ПЕРЕДНЕЙ ПРОЕКЦИИ (СНИМОК ЗРИТЕЛЬНОГО КАНАЛА ПО РЕЗЕ)
Назначение снимка. Основное назначение снимка — получение изображения зрительного канала, Как правило, для оценки ширины и формы канала прибегают к последовательной съемке правой и левой глазницы.
Голову поворачивают в сторону и укладывают таким образом, чтобы к экспонируемой половине кассеты прилегали надбровная дуга, скуловая кость и кончик носа, а в центре ее находилась исследуемая глазница. Срединная сагиттальная плоскость головы образует с плоскостью стола угол в 40—50°, открытый кзади. Кассета размером 18Х 24 см располагается на столе в поперечном положении.
Поочередно экспонируют правую и левую половину кассеты, перекрывая неиспользуемую половину листом просвинцованной резины. На кассету накладывают неподвижную отсеивающую решетку.
Пучок излучения направляют отвесно на наружный угол глаза исследуемой стороны (рис. 97).
Информативность снимка. На снимке отображается зрительный канал, имеющий обычно неправильно-округлую форму с четкими резкими контурами. Видны также вход в глазницу, решетчатые ячейки (рис. 98, а, б). Расширение зрительного канала, возникающее при опухолях зрительного нерва, как правило, может быть достоверно выявлено только путем сравнительного анализа снимков правой и левой глазницы (рис. 99, а, б). Поэтому снимки глазниц в косой проекции по Резе всегда следует производить с обеих сторон.

Критерии правильности технических условий съемки и правильности укладки. На снимке должна быть четко видна структура костей.
Изображение зрительного канала при правильной укладке проецируется вблизи наружной стенки глазницы в виде четкой кольцевидной тени.

Наиболее частые ошибки при выполнении снимка. При неправильном угле наклона головы и неправильной центрации пучка излучения отображение зрительного канала нечеткое. При грубом нарушении правил укладки зрительный канал на снимке неразличим.
РЕНТГЕНОЛОГИЧЕСКОЕ ИССЛЕДОВАНИЕ ГЛАЗА СНИМКИ ГЛАЗА С ПРОТЕЗОМ КОМЬЕРГА- -БАЛТИНА
Назначение снимков — локализация инородных тел в глазу и полости глазницы.
Методика выполнения рентгенограмм глазницы с протезом Комбурга — Балтина. Осуществляют анестезию глаза больного путем закапывания в конъюнктивальный мешок 2% раствора дикаина. Протез Комберга — Балтина соответствующего размера после дезинфекции спиртом вводят под веки исследуемого глаза и устанавливают таким образом, чтобы в его отверстии был виден зрачок, а свинцовые метки по краям протеза соответствовали концам вертикального и горизонтального меридианов глаза («12—6 и 3—9 часов»). Снимок исследуемой глазницы производят в носоподбородочной проекции при фиксации взора вниз на кассету. Затем, не меняя положения протеза, выполняют снимок глазницы в боковой проекции с центрацией пучка излучения на пленку через плоскость лимба глаза. При этом больной фиксирует взор на точке, находящейся прямо перед глазами.
Информативность снимка. При правильно проведенном исследовании(правильное наложение протеза, правильная фиксация взора, технически правильное выполнение снимков) после соответствующих расчетов удается точно локализовать рентгеноконтрастные инородные тела, расположенные в глазу и полости глазницы (рис. 101, а, б).

Критерии правильности технических условий съемки и правильности укладки. На снимке должны быть хорошо видны структура стенок глазницы, наложенный на глазное яблоко протез и свинцовые метки на нем. При правильно наложенном протезе метки, соответствующие концам горизонтального меридиана, на снимке в боковой проекции должны совпадать друг с другом .
Наиболее частые ошибки при выполнении снимка — неправильное наложение протеза и смещение взора во время съемки.
БЕССКЕЛЕТНЫЕ СНИМКИ ПЕРЕДНЕГО ОТДЕЛА ГЛАЗА (ПО ФОГТУ)
Назначение снимков — выявление мелких инородных тел в переднем отделе глазного яблока.
Методика выполнения бесскелетных снимков переднего отделе глаза.
После анестезии глаза 2 % раствором дикаина две овальные, вместе сложенные, специально вырезанные по трафарету рентгенографические пленки размером 4X6 см, завернутые в черную бумагу и вложенные в оболочку из тонкой резины, заводят как можно глубже в конъюнктивальный мешок с носовой стороны и придерживают в этом положении (это делает сам больной).
Иногда пленки фиксируют специальным держателем (рис. 102). Рентгеновскую трубку располагают с височной стороны снимаемого глаза. Пучок рентгеновского излучения направляют кпереди от наружной стенки глазницы на передний отдел глазного яблока перпендикулярно пленке.
Для выполнения снимка в аксиальной проекции пленки вводят под глазное яблоко. Рентгеновская трубка находится над больным. Пучок излучения направляют кпереди от верхнего края глазницы через передний отдел глазного яблока перпендикулярно пленке. Во время съемки взор больного направлен прямо вперед. Для маркировки верхнего и нижнего края пленки при выполнении бокового снимка, а также наружного и внутреннего краяпри выполнении аксиального снимка соответственно к нижнему или к наружному краю пленки прикрепляют металлическую скрепку.
Информативность снимка. На бесскелетном снимке, произведенном в боковой проекции (рис. 103, а) видны верхнее и нижнее веко, роговица и передний отдел глазного яблока. На бесскелетном снимке, выполненном в аксиальной проекции, также определяются роговица и передний отдел глазного яблока и, кроме того, ткань верхнего века (рис. 103, б). Бесскелетные снимки весьма информативны для выявления мелких и мельчайших инородных тел, локализующихся в переднем отделе глаза. Их информативность во много раз превосходит обычные снимки, так как при этом исключена суперпозиция костных стенок глазницы.
С целью определения возможных артефактов на рентгенографической пленке, которые могут симулировать инородные тела глаза, снимки производят одновременно на двух, сложенных вместе пленках. Противопоказаниями к выполнению бесскелетных снимков глаза являются свежие прободные ранения рговицы и склеры.

Снимки следует производить с большой осторожностью при недостаточно окрепших рубцах роговицы.
Критерии правильности технических условий съемки и правильности укладки. При правильно подобранных условиях съемки отчетливо виден контур переднего отдела глазного яблока. Информативность переэкспонированных и перепроявленных снимков резко снижается. Снимки следует производить с минимальной выдержкой с целью исключения динамической
нерезкости.
Наиболее частые ошибки при выполнении снимков — завышение технических параметров съемки, динамическая нерезкость изображения, обусловленная недостаточной фиксацией взора, а также и длительной выдержкой.
КОНТРАСТНЫЕ ИССЛЕДОВАНИЯ ГЛАЗНИЦЫ
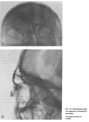
К контрастным исследованиям глазницы прибегают в основном при диагностике опухолей и других объемных процессов в ее полости. Наиболее информативными являются флебография орбиты — контрастирование венозной ее системы — и орбитография — контрастирование ретробульбарного (тенонова) пространства.
При подозрении на сосудистую опухоль в полости глазницы применяют артериографию.
УКЛАДКИ ФЛЕБОГРАФИЯ ОРБИТЫ
Назначение исследования — определение объемного процесса в полости глазницы на основании изменения топографии венозной сети, главным образом верхней глазничной вены.
Методика исследования. Под местной анестезией производят пункцию лобной или лицевой вены. Через иглу вводят полихлорвиниловый катетер с наружным диаметром 0,8—0,9 мм. Катетер фиксируют. Широкой резиновой лентой сдавливают мягкие ткани лба с целью закрытия просвета лобных вен.

Поперечную вену носа и лицевую вену сдавливают с помощью ватных подушечек. После введения 1—2 мл 0,5 % раствора новокаина максимально быстро—за 1—1,5 с—вливают 3—4 мл 50% раствора гипака и производят серию рентгенограмм в задней обзорной и боковой проекциях. Для этого используют специальный ангиографический комплекс, включающий две рентгеновские трубки и две приставки для быстрой смены кассет. При отсутствии такого комплекса после введения контрастного вещества поочередно выполняют прямой и боковой снимки.
Информативность исследования. Топография верхней глазничной вены постоянна. В норме на флебограмме орбиты в боковой проекции верхняя глазничная вена выявляется под верхней ее стенкой. Она имеет плавные изгибы. Часто видны коллатеральные вены, соединяющие ее с нижней глазничной веной, менее постоянной в своей топографии. На флебограмме
орбиты в прямой задней проекции верхняя глазничная вена отображается в форме ромба (рис. 104, а, 6). Отклонение в пробеге верхней глазничной вены, оттеснение ее, а также обрыв, как правило, связаны с объемным процессом в полости глазницы.
ОРБИТОГРАФИЯ
Назначение исследования — выявление объемного процесса в орбите путем контрастирования заглазничного пространства.
Методика исследования. Под местной анестезией вводят иглу через нижнее веко параллельно нижней стенке глазницы на глубину 1,5—2 см, и через нее вливают в теноново пространство 2—3 мл 0,5 % раствора новокаина, а затем 4—5 мл 20 % раствора гипака. Рентгенограммы выполняют через 1 и 10 мин после введения контрастного вещества в прямой (задней) и боковой проекциях.
Информативность исследования. Контрастное вещество равномерно распределяется в жировой клетчатке заглазничного пространства и на снимках в норме имеет типичную конфигурацию: на прямом снимке — форму прямоугольника с закругленными краями и округлым дефектом наполнения в центре в месте прохождения зрительного нерва (рис. 105), а на боковом снимке — конусовидную форму с полусферическим вдавлением в области основания, соответственно заднему полюсу глазного яблока.

При опухолях или других объемных процессах распределение контрастногоещества неравномерное, с наличием дефектов наполнения (рис. 106).
Читайте также:
- Влияние соседних зубов на принципы препарирования зуба под коронку. Рекомендации
- Причины расширения тени сердца, средостения на рентгенограмме. Рентгенологические признаки причин болей в сердце
- Техника разреза для доступа к седалищной и лобковой костям
- Синдром верхней апертуры грудной клетки (ВАГК): атлас фотографий
- Инфекция хеликобактер пилори (Helicobacter pylori): симптомы, лечение, причины и диагностика
