Рекомендации по анализу рентгенограммы пальца стопы в боковой проекции
Добавил пользователь Евгений Кузнецов Обновлено: 22.01.2026
Рентгенологическая экспертиза плоскостопия
Плоскостопие (pes planus) - деформация стопы, характеризующаяся стойким уменьшением высоты ее сводов вплоть до их полного исчезновения. Это самый распространенный вид деформации стопы, который сопровождается также деформацией голеностопных и коленных суставов и искривлением пальцев. Юноши, страдающие плоскостопием, становятся объектом экспертизы на предмет годности их к службе в армии.
Определение степени продольного плоскостопия
Продольное плоскостопие - плоскостопие, при котором уменьшена высота продольного свода стопы.
В продольном своде различают наружный и внутренний отдел. Наружный отдел свода образован пяточной, кубовидной, 4 и 5 плюсневыми костями; он прилегает непосредственно к плоскости опоры. Внутренний отдел свода образуют таранная, ладьевидная, клиновидные, 1 и 2 плюсневые кости.
Методика рентгенологического исследования. Производят рентгенограммы обеих стоп в боковой проекции с нагрузкой. Пациент исследуемой стопой стоит на деревянной подставке, вторую ногу отводит назад, опираясь на стул. (Чтобы увеличить степень плоскостопия и попытаться "откосить" от армии, можно взять в руки какие-либо тяжести, например, ведра с водой ;-)). Кассета размером 18 х 24 см устанавливается вертикально, длинным ребром вдоль внутреннего края стопы. Центральный луч направлен горизонтально через проекцию ладьевидно-клиновидного сустава (схема N1).
Схема N1: Укладка для бокового снимка стопы
Рентгеноморфометрия и рентгеносемиотика. См. схему N2.
На рентгенограмме стопы в боковой проекции проводят три линии:
1-я линия - горизонтальная, касательная к подошвенной поверхности пяточного бугра и головке 1-ой плюсневой кости;
2-я линия проводится от точки касания 1-ой линии с пяточным бугром к нижней точке ладьевидно-клиновидного сочленения;
3-я линия проводится от точки касания 1-ой линии с головкой 1 плюсневой кости к нижней точке ладьевидно-клиновидного сочленения.
В продольном своде стопы различают угол и высоту.
Угол продольного свода стопы образован 2-ой и 3-ей линиями, которые пересекаются в нижней точке ладьевидно-клиновидного сочленения.
Высота продольного свода стопы - это длина перпендикуляра, опущенного из нижней точки ладьевидно-клиновидного сочленения (точки пересечения 2-ой и 3-ей линий) на 1-ю (горизонтальную) линию.
Схема N2: Схема определения угла и высоты продольного свода
В норме угол продольного свода стопы равен 125 - 130°, высота свода >35 мм.
Различают 3 степени продольного плоскостопия.
1 степень - угол свода равен 131 - 140°, высота свода 35 - 25 мм, деформации костей стопы нет.
2 степень - угол свода равен 141 - 155°, высота свода 24 - 17 мм, могут быть признаки деформирующего артроза таранно-ладьевидного сустава.
3 степень - угол свода равен >155°, высота Рентгенодиагностика поперечного плоскостопия
Поперечное плоскостопие - плоскостопие, при котором уменьшена высота поперечного свода стопы.
Поперечный свод образуют головки плюсневых костей, располагающиеся по дуге, образованной выпуклостью к тылу таким образом, что головки 1 и 5 прилежат к плоскости опоры, а 2, 3, 4 находятся над ней. Центр поперечного свода совпадает с головкой 3 плюсневой кости, наиболее удаленной от плоскости опоры.
При развитии поперечного плоскостопия 1-ая плюсневая кость отклоняется кнутри, 2-ая, а затем и другие плюсневые кости перемещаются в подошвенном направлении. 1-ый, а затем и другие межкостные промежутки расширяются, 1-ый палец отклоняется кнаружи (hallux valgus).
В стадии компенсации нагрузка падает как на 1-ю, так и на 2-ю плюсневую кость, которая компенсаторно утолщается.
В стадии субкомпенсации основная нагрузка падает на 2-ю и 3-ю плюсневые кости, которые гипертрофируются, а кортикальный слой их диафизов утолщается.
В стадии декомпенсации головки всех плюсневых костей располагаются в одной горизонтальной плоскости, нагрузка на них падает равномерно, исчезает рабочая гипертрофия 2-ой и 3-ей плюсневых костей.
Методика рентгенологического исследования. Производят рентгенограммы обеих стоп в прямой проекции с нагрузкой. Пациент исследуемой стопой стоит на кассете размером 18 х 24 см, опираясь рукой на стул. Центральный луч направлен в центр кассеты. См. схему N3.
Схема N3: Укладка для прямого снимка стопы
Рентгеноморфометрия
На рентгенограмме стопы в прямой проекции (схема N4); определяют угол отклонения 1-ой плюсневой кости, угол отклонения 1-го пальца и угол расхождения плюсневых костей.
Угол отклонения 1-ой плюсневой кости образован осевыми линиями диафизов 1-ой и 2-ой плюсневых костей; он открыт кпереди и в норме не превышает 11°.
Угол отклонения 1-го пальца образован осевыми линиями диафизов 1-ой плюсневой кости и проксимальной фаланги 1-го пальца; в норме не превышает 18°.
Угол расхождения плюсневых костей образован линиями диафизов 1-ой и 5-ой плюсневых костей; в норме не превышает 18°.
Схема N4: Схема определения углов поперечного свода стопы
ЛИТЕРАТУРА
1. Лагунова И.Г. Рентгеноанатомия скелета. - М.: Медицина, 1981.
2. Рентгенологическая диагностика плоскостопия и косолапости: Методические рекомендации для врачей-курсантов рентгенологов /Новокузнецкий государственный институт усовершенствования врачей. - Новокузнецк, 1987.
3. Садофьева В.И. Рентгено-функциональная диагностика заболеваний опорно-двигательного аппарата у детей. - Л.: Медицина, 1986.
Рентгенография стопы: что показывает, особенности проведения в двух проекциях

Рентген стопы, что показывает практика, - это наиболее информативный и простой метод исследования патологий костной ткани. Основан на способности разных по плотности и структуре тканей по-разному пропускать ионизирующие лучи. Результат рентгенографии - отчётливый и информативный снимок, который помогает выявлять патологии костей и точно ставить диагнозы.
Показания для рентгена
Рентгенография стопы показана в следующих случаях:
- Пациент жалуется на болезненность в области стопы. Боль может проявляться при хождении, после долгой нагрузки или в состоянии покоя.
- Деформация стопы. Чаще всего возникает в области плюснефалангового сустава и характеризуется нарушением расположения фаланг большого пальца по отношению друг к другу. Подобное искривление приводит к появлению шишки с внешней стороны стопы и становится не только косметическим дефектом, но и приносит множество неприятных ощущений и ограничений.
- Воспаления и инфекции костей и суставов (артрит, артроз и проч.).
- Механические травмы стопы (удары, ушибы, переломы).
- Плоскостопие.
- Врождённая патология развития стопы.
Какие патологии стопы видно на рентгене?
В число патологий, которые могут быть выявлены, благодаря проведению рентгена в двух проекциях, входят:
- артрит и артроз;
- подагра;
- плоскостопие различных степеней;
- пяточная шпора;
- вальгусная деформация большого пальца стопы.
Подготовка к процедуре

Предварительной подготовки для проведения рентгенографии стопы не требуется. Однако есть одно условие - пациент перед ней должен снять украшения и аксессуары из металла, находящиеся в исследуемой области. Чтобы защитить пациента от лишнего излучения, на части тела, не подлежащие исследованию, накладываются специальные свинцовые фартуки.
Как делают рентген стопы?
Рентген стопы в двух проекциях
Рентген стопы в двух проекциях чаще всего назначается для диагностики переломов, а также деформирующих патологий, таких как артрит или артроз. Также этот метод исследования дает возможность оценить изменения в суставе большого пальца при подагре.
- Для съёмки в прямой проекции пациент ложится на стол рентгеновского аппарата, вытягивает ноги вперёд. Делается снимок одновременно двух стоп, даже если тревожные симптомы отмечаются только в одной.
- Для съёмки в боковой проекции пациенту необходимо перевернуться на бок. Рентгенолог располагает трубку рентген-аппарата так, чтобы лучи проходили перпендикулярно к боковой поверхности стопы.
Для более детального изучения могут быть сделаны снимки и в других проекциях:
- Косая. Рентгеновские лучи должны проходить через стопу под углом 45 градусов.
- Тыльно-подошвенная. Трубка аппарата устанавливается так, чтобы рентгеновские лучи проходили вертикально к поверхности стопы. Во время проведения процедуры пациент отклоняет голень обследуемой ноги немного назад.
Рентген стоп с нагрузкой
Рентген стоп с нагрузкой (как его делают, будет описано ниже) позволяет получать данные об особенностях структуры и анатомии суставов. Обычно такую методику исследования применяют при подозрении на плоскостопие у детей. Показаниями для выполнения рентгеновского исследования с нагрузкой служат:
- аномалии костно-суставной системы;
- необходимость диагностики форм плоскостопия;
- различные деформации стопы.
Когда пациент проходит назначенный курс лечения, исследование повторяют.
Расшифровка результатов
Разобраться в том, что показывает рентген стопы, в первую очередь должен врач-рентгенолог. Он не ставит предварительных диагнозов, а просто описывает анатомические особенности костей стопы. В задачу рентгенолога входит выявление переломов, новообразований, очагов воспаления и прочих отклонений от нормы. На основании описания снимка диагноз будет выставлен лечащим врачом - хирургом, ортопедом, онкологом или другим.
В норме рентген стопы здорового человека должен визуализировать однородные по структуре кости, целостность которых не нарушена. Контуры костей должны быть равномерными и чёткими, без затемнений.
Симптомы плоскостопия

Для выявления плоскостопия обычно выполняют рентген ступней с нагрузкой в боковой проекции. Для этого ступня ставится на подставку внутренней стороной к рентгеновской кассете. Другая нога отводится в сторону. При такой укладке на снимках отмечают три черты:
- I - проходит от первого пальца к пяточной кости;
- II - проходит от точки соединения пяточной кости с первой чертой до ладьевидно-клиновидного сочленения;
- III - проходит от этого же сочленения к первой плюсневой кости.
Соотнося эти линии, измеряют высоту и угол их пересечения. Высота - это перпендикуляр, опущенный из точки соединения второй и третьей черт вниз, на первую горизонтальную. В норме высота должна быть больше 35 мм, а угол - от 125 до 130°.
Отклонение от указанных норм говорит о наличии плоскостопия. Для выявления степени патологии нужно оценить, насколько фактические параметры стопы отличаются от нормальных:
- I степень. Высота свода равна 25-35 мм, угол - 131-140°. При такой патологии пациента беспокоит усталость в ногах при физической нагрузке.
- II степень. Высота свода равна 17-24 мм, угол - 141-155°. В этом случае пациент чувствует усиление боли при длительной ходьбе и физических усилиях.
- III степень. Высота - меньше 17 мм, угол - больше 155°. При такой патологии пациент постоянно чувствует боли в голенях, пояснице и ступнях.
Травмы и переломы
Переломы и трещины на рентгене стопы визуализируются как небольшие вытянутые затемнения с неровными контурами. По снимку нужно оценить, где именно располагается линия излома или трещины, есть ли осколки, имеет ли место их смещение. Чтобы уточнить локализацию перелома, кроме рентгена, проводят и внешний осмотр, пальпируют стопу. В месте перелома при нажатии пациент чувствует острую боль.
Противопоказания к диагностике
При рентгеновской съёмке стопы организм пациента подвергается минимальной лучевой нагрузке. Абсолютных противопоказаний к рентгену стоп не выделяется, но в ряде случаев назначение нужно делать с осторожностью. Это касается беременных женщин, а также детей, не достигших возраста 15 лет.
Как часто можно делать рентген стоп?
Чтобы определить, как часто можно делать рентген стоп в двух проекциях, нужно знать какую дозу облучения выдаёт рентгеновский аппарат за одну съёмку. Далее можно обратиться к СанПиНам, где указано, какая доза облучения допустима для пациента ежегодно. Сравнив эти два параметра, можно будет сделать вывод о частоте проведения диагностической процедуры.
Обычно впервые рентген назначают, когда появились признаки патологии. Затем дают повторное направление через некоторое время (например, через месяц) для оценки эффективности лечения. Такая частота проведения рентгена вполне допустима.

Наши медицинские центры
- Взрослое отделение
- Диагностика
- Консультации
- Центр лечения боли
- Центр здоровья сердца
- Центр здоровья женщины
- Центр эндокринологии
- Детское отделение
- Массаж
- Нефрология
- Оториноларингология
- Офтальмология
- Эндокринология
Запись по ОМС на МРТ и КТ
Включить версию для слабовидящих?
Настоящим я даю своё согласие ООО «Диагностический центр «Энерго» (далее - Общество) (ИНН: 7810812758, юридический адрес - 196084, город Санкт-Петербург, ул. Киевская, д. 5 к. 4, помещ. 20-н), далее - «Оператор», и третьим лицам, осуществляющим обработку моих персональных данных по поручению Оператора, на обработку указанных сведений обо мне, в целях содействия в трудоустройстве.
Я соглашаюсь на сбор, запись, систематизацию, накопление, хранение, уточнение (обновление, изменение), извлечение, использование, передачу (предоставление, доступ), блокирование, удаление, уничтожение моих персональных данных, а также на осуществление любых других действий, предусмотренных действующим законодательством Российской Федерации, совершаемых с использованием средств автоматизации или без использования таких средств.
Настоящее согласие дано мною лично и добровольно. Настоящее согласие действует до момента его отзыва при отсутствии у Оператора других законных оснований для обработки персональных данных и может быть отозвано мной в любой момент в письменной форме путем направления уведомления Оператору по адресу, указанному выше.
Мы используем cookie-файлы, IP-адреса и данные об устройствах для аналитики, чтобы Ваше посещение сайта было удобным и персонализированным. Вы можете отключить cookie-файлы в настройках вашего браузера. Продолжая пользоваться нашим сайтом, Вы даете согласие на обработку перечисленных данных и принимаете условия Политики обработки и обеспечения безопасности ПДн.
Рентген стопы - подготовка и проведение исследования. Рентген-описание здоровой стопы. Что можно увидеть на снимке при переломе, вальгусной деформации стопы, артрозе и т.д.? Цена, где сделать в Москве, Санкт-Петербурге и других городах.
Сайт предоставляет справочную информацию исключительно для ознакомления. Диагностику и лечение заболеваний нужно проходить под наблюдением специалиста. У всех препаратов имеются противопоказания. Консультация специалиста обязательна!
Когда делают рентген стопы?
Показания к рентгену стопы
Рентген стопы показан к выполнению, когда подозревается травматическое повреждение структур стопы, например, после неудачного падения, автомобильной аварии, занятий спортом и т.д. В таких случаях рентген позволяет выявлять трещины и переломы костей, вывихи в суставах стопы, разрывы и растяжения сухожилий и мышц, наличие посттравматических кист и т.д. Причем рентген стопы показан, даже если после предполагаемой травмы прошло довольно долгое время, и человека ничего не беспокоит, так как некоторые травматические повреждения могут заживать самостоятельно, но при этом оставлять осложнения (например, кисты костей, нестабильность суставов).
Кроме того, рентген стопы показан, если подозревается любое дистрофическое (артроз, остеопороз и проч.), обменное (подагра, рахит и т.д.), воспалительное (артрит, остеомиелит и т.д.) или опухолевое заболевание анатомических структур стопы (киста в кости, доброкачественные и злокачественные опухоли, метастазы). Различные заболевания структур стопы обычно сопровождаются болями, уменьшением объема движений стопой, возможно деформацией частей стопы, частыми переломами и т.д. А это значит, что при наличии таких симптомов показано выполнение рентгена стопы.
Отдельно следует сказать, что показанием для выполнения рентгена стопы является наличие у человека косолапости или плоскостопия. При косолапости рентген выполняется для уточнения расположения костей относительно друг друга, оценки степени косолапости и уточнения вида косолапости. Все эти данные необходимы для проведения коррекционного лечения. После лечения и реабилитации при косолапости вновь делают рентген стоп, чтобы увидеть, насколько удалось приблизить расположение костей стоп к норме.
При плоскостопии рентген выполняется в двух проекциях (задней и боковой) с нагрузкой, чтобы точно установить степень уплощения сводов стопы.
Противопоказания к рентгену стопы

Строго говоря, абсолютных противопоказаний для выполнения рентгена стопы нет. Это означает, что если есть острая и безотлагательная необходимость выполнить рентген стопы, то его можно сделать любому человеку вне зависимости от его возраста, пола, имеющих заболеваний и т.д.
Но все же имеется ряд ограничений, при наличии которых проведение рентгена стопы нежелательно, так как получаемая человеком доза облучения теоретически может негативно отразиться на его состоянии. К таким ограничениям для проведения рентгена стопы относятся беременность, возраст младше 14 лет и неадекватное поведение пациента.
Наличие на стопе гипса, имплантов, металлических конструкций или протезов не является противопоказанием или ограничением для производства рентгена. Но следует помнить, что любые такие инородные конструкции и предметы могут значительно ухудшить качество снимков, создав на них дополнительные тени и пятна, закрывающие анатомические структуры стопы. Поэтому желательно снять все инородные тела и предметы со стопы перед выполнением рентгена, чтобы получить максимально информативные снимки. Но если рентген нужно сделать срочно, и гипс снять нельзя, то исследование все равно выполняется.
Подготовка к рентгену стопы детей и взрослых
Рентген стопы не требует особой специальной подготовки ни у детей, ни у взрослых. Не нужно соблюдать специальную диету, принимать лекарственные препараты и т.д. Однако в качестве подготовки к рентгену стопы нужно накануне исследования удалить с ноги любые инородные предметы (например, пирсинг, кольца на пальцах ног, ножные браслеты, съемные протезы, приспособления для удаления "косточки" и т.д.). Также желательно подготовить такую одежду, которую будет легко снять на время проведения исследования.
Детям в качестве психологической подготовки желательно рассказать о том, что такое рентген, зачем будет сделан снимок и т.д. Обязательно следует сказать ребенку, что рентген - это безболезненная процедура. Также родители должны акцентировать внимание малыша на том, что для получения хороших снимков ему придется посидеть или полежать несколько минут неподвижно, принять позу, которую покажет врач и т.д. Отдельно желательно оговорить, что ребенок должен подчиняться требованиям врача и рентген-лаборанта, ничего не бояться, отвечать на вопросы, вести себя спокойно, не капризничать и проч.
Если человек перед исследованием сильно волнуется, плохо спит, раздражителен, беспокоен, тревожен, то за несколько дней до рентгена можно начать принимать нерецептурные успокоительные препараты (например, Афобазол, Тенотен, Нервохеель, настойка пустырника, настойка валерианы). Прием успокоительных средств позволит прийти в нормальное расположение духа, пройти исследование с максимальной пользой и минимальным нервным напряжением.
Как выполняют рентген стопы?
На первом этапе пациент заходит в приемную рентгенологического кабинета, снимает с ноги обувь, закатывает брюки (или снимает их), убирает любые инородные предметы со стопы. Далее рентген-лаборант проводит пациента в помещение, где установлен рентгеновский аппарат, и выдает защитные свинцовые фартуки. Такие фартуки обязательно надеваются на область половых органов, грудной клетки и живота, чтобы защитить их от проникновения рентгеновских лучей и уменьшить получаемую дозу облучения.
Далее рентген-лаборант показывает, какую позу нужно принять, как расположить и как держать ногу во время производства снимка. Если сам пациент не может удерживать ногу в необходимой позе, то ее фиксируют различными приспособлениями. Если нога будет удерживаться рукой, то на руки обязательно надеваются защитные свинцовые перчатки. В необходимые места подкладывают кассеты с пленкой или датчиками, и на их краях указывают, где расположена левая и правая ноги.
Когда пациент примет нужную позу, все выходят из помещения, где расположился больной, в соседнюю комнату, откуда врач или лаборант управляют рентгеновской установкой и делают необходимые снимки. Однако если пациенту требуется помощь, то в кабинете с рентгеновской установкой остается такой помощник из числа родственников или медицинских работников. Этот помощник обязательно надевает защитные свинцовые фартуки на все части тела.

Сам процесс получения рентгеновского снимка длится только несколько секунд, он совершенно безболезненный и не доставляет никакого дискомфорта. В момент производства снимка пациент услышит шум, издаваемый рентгеновской установкой, а также, возможно, увидит свет и перемещение рентгеновской трубки. Перед началом выполнения снимка врач скомандует пациенту замереть, а после того, как рентгеновская установка закончит работу, медицинский работник скажет, что можно расслабиться.
Далее, если нужно сделать снимки в нескольких проекциях, в помещение с установкой снова войдет рентген-лаборант, поменяет кассету и покажет, в какую позицию нужно поставить ногу. После этого весь процесс повторится, то есть все выйдут из помещения, врач дистанционно включит рентгеновскую установку, выполнит снимки и выключит аппарат.
Когда все снимки будут сделаны, врач или рентген-лаборант войдет в помещение с рентгеновской установкой, снимет защитные фартуки с пациента, и скажет, что исследование завершено. После этого можно одеваться и уходить. Придется только дождаться заключения врача, после чего разрешается заниматься своими обычными делами без каких-либо ограничений.
Пока пациент будет находиться один в помещении с рентгеновской установкой, врач станет наблюдать за ним из соседней комнаты через окно в стене, и оттуда же управлять работой рентген-аппарата. Если вдруг пациенту станет плохо, врач немедленно остановит работу рентгеновского аппарата и окажет необходимую помощь.
Ниже мы рассмотрим рентгенологические признаки нормальной здоровой стопы и изменения на рентгеновских снимках, характерные для некоторых наиболее часто встречающихся заболеваний.
Рентген стопы в норме (рентген-описание здоровой стопы)
На основании состояния тканей стопы, видимых на рентгеновском снимке, врач пишет заключение, в котором есть описательная часть и вывод. В выводе, который часто называется заключением, указывается, что кости и суставы стопы в норме, патологических очагов не выявлено. А в описательной части указывается, какие кости видны, что они развиты нормально, расположены правильно, структура однородная, контуры четкие, ровные, признаков деформации, утолщения или истончения костей нет. Суставные щели не расширены и не сужены, Структура костей нормальная, не измененная. Суставы Шопара и Лисфранка нормальны, признаки выпота, дистрофических или воспалительных изменений в них отсутствуют. Сесамовидные кости целые, не смещены, нормальной структуры.
Конечно, описательная часть протокола исследования не будет слово в слово, как в приведенном выше примере, но врач в ней обязательно укажет, что структура, размеры и расположение костей и суставов нормальны, не изменены.
Рентген стопы при некоторых заболеваниях
Рентген перелома стопы

При подозрении на перелом костей стопы рентген выполняется в обязательном порядке, так как это простое и доступное исследование позволяет диагностировать не только сам перелом, но и определять его вид, степень расхождения костных отломков, расположение отломков, их количество, и т.д. Все эти данные позволяют оценить степень тяжести перелома и определить, какие именно медицинские манипуляции нужно произвести для лечения и восстановления целостности костей.
Переломы или трещины костей стопы на рентгеновском снимке видны как линейный фигурный перерыв единой костной структуры. Перерыв костной структуры виден в форме небольших вытянутых затемнений, имеющих неровные контуры, и расположенных между двумя кусками кости, которые также имеют нечеткий, неровный контур.
Подробнее о переломах
Рентген артрита стопы
Рентгенологическая картина артритов суставов стопы характеризуется сужением суставной щели, эрозией суставных поверхностей сочленяющихся костей, разрушением (деструкцией, склерозом, остеопорозом) субхондральных пластин, кистами в субхондральной костной ткани.
Подробнее об артрите
Рентген артроза стопы
В зависимости от выраженности патологических изменений, выделяют три стадии артроза суставов стопы, каждая из которых характеризуется определенными рентгенологическими изменениями.
Так, для первой стадии артроза стопы характерно сужение суставной щели менее чем на 50 % в сочетании с наличием краевых костных разрастаний размерами не более 1 мм.
Для второй стадии артроза характерно сужение суставной щели более чем на 50 %, наличие костных краевых разрастаний размером более 1 мм, а также деформация и остеосклероз суставных концов костей.
Для третьей стадии артроза характерно отсутствие суставной щели на снимке, выраженные краевые костные разрастания, а также грубая деформация и остеосклероз суставных концов костей.
Подробнее об артрозе стопы
Рентген вальгусной деформации стопы

Вальгусная деформация стопы (Hallux valgus) характеризуется смещением большого пальца на второй палец и появлением характерной выступающей "косточки" у основания большого пальца. В настоящее время это весьма часто встречающаяся патология стопы.
- первая степень вальгусной деформации - угол отклонения большого пальца 15 - 20 o ;
- вторая степень вальгусной деформации - угол отклонения большого пальца 20 - 30 o ;
- третья степень вальгусной деформации - угол отклонения большого пальца 30 - 40 o ;
- четвертая степень вальгусной деформации - угол отклонения большого пальца - больше 40 o .
Рентген варусной деформации стопы
Варусная деформация стопы внешне похожа на косолапость. На снимке варусная деформация характеризуется искривлением плюсневых и фаланговых костей, их смещением кнутри. Кроме того, варусная деформация стопы часто сочетается с плоскостопием.
У детей до 1,5 лет варусное положение стопы считается вариантом нормы.
Где и за сколько можно сделать рентген стопы?
Записаться на исследование
Оператор Вас выслушает и перенаправит звонок в нужную клинику, либо примет заказ на запись к необходимому Вам специалисту.
Цена рентгена стопы
В настоящее время стоимость рентгена стопы в государственных и частных медицинских учреждениях колеблется от 300 до 1100 рублей, в зависимости от количества проекций.
Где сделать рентген стопы?
Рентген стопы можно провести в любом медицинском учреждении, оснащенном рентгеновским аппаратом. Такие аппараты имеются практически во всех государственных городских и районных поликлиниках, а также больницах. Соответственно, сделать рентген стопы можно в любой поликлинике или больнице.
Среди частных медицинских центров рентген стопы обычно выполняют в учреждениях, специализирующихся на диагностике.
Адреса медицинских учреждений, где можно сделать рентген стопы
Ниже мы приведем адреса крупных медицинских учреждений в различных городах, в которых можно сделать рентген стопы.
Рентген стопы в Москве
- "Российский центр рентгенорадиологии", расположенный по адресу ул. Профсоюзная, 86. Телефоны - (495) 333 91 20, (495) 334 15 08, (495) 334 13 96.
- НИИ Скорой помощи им. Склифосовского, расположенный по адресу Большая Сухаревская площадь, 3. Телефоны - (495) 680 41 54, (495) 680 93 60.
- ФНКЦ ФМБА России, расположенный по адресу Ореховый бульвар, 28. Телефоны - (499) 688 83 54.
- НИИ Скорой помощи им. Джанелидзе, расположенный по адресу ул. Будапештская, 12. Телефон - (812) 313 28 58.
- НИИ Онкологии им. Петрова, расположенный по адресу ул. Ленинградская, 68. Телефон - (812) 439 95 25.
Можно сделать в Областной больнице № 1, расположенной по адресу ул. Волгоградская, 185. Телефон - (343) 240 34 59, (343) 351 16 40.
Рентген стопы в Казани
Можно сделать в Межрегиональном клинико-диагностическом центре, расположенном по адресу ул. Карбышева 12а. Телефоны - (843) 291 11 01, (843) 291 10 16, (843) 291 10 24.
Рентген стопы в Новосибирске
Можно сделать в Новосибирской областной клинической больнице, расположенной по адресу ул. Немировича-Данченко, 130. Телефон - (383) 315 98 18.
Рентген стопы в Краснодаре
Можно сделать в Краевой клинической больнице, расположенной по адресу ул. Российская, 140. Телефон - (861) 252 76 28.
Рентген стопы в Воронеже
Можно сделать в Воронежской областной больнице № 1, расположенной по адресу Московский проспект, 151. Телефон - (473) 257 97 77.
Диагностика плоскостопия: осмотр врача, рентген в двух проекциях - видео
Можно ли вылечить плоскостопие, и всегда ли его нужно лечить взрослым людям - видео
Как выбрать обувь для здоровых стоп, при вальгусной и варусной деформации - видео
Автор: Наседкина А.К. Специалист по проведению исследований медико-биологических проблем.
Рекомендации по анализу рентгенограммы пальца стопы в боковой проекции
Назначение снимка то же, что и снимка в прямой проекции. Снимок стопы в боковой проекции в вертикальном положении больного с упором на исследуемую конечность производят с целью выявления плоскостопия.
Укладки больного для выполнения снимков. Больной лежит на боку.
Исследуемая конечность слегка согнута в коленном суставе, латеральной поверхностью прилежит к кассете. Противоположная конечность согнута в коленном и тазобедренном суставах, отведена вперед. Кассету размером 18 х 24 см располагают на столе таким образом, чтобы стопа была уложена либо по длиннику ее, либо по диагонали. Подошвенная поверхность стопы перпендикулярна плоскости кассеты. Пучок рентгеновского излучения направляют отвесно на медиальный край стопы соответственно уровню оснований плюсневых костей (рис. 444).


При выполнении снимка с целью изучения функционального состояния свода стопы для выявления плоскостопия больной стоит на невысокой подставке, перенеся основной упор на исследуемую конечность. Кассету размером 18 х 24 см помещают вертикально на длинное ребро у внутренней поверхности стопы. Пучок рентгеновского излучения направляют в горизонтальной плоскости соответственно проекции клиновидно-ладьевидного сустава, который находится на уровне прощупываемой под кожей
бугристости ладьевидной кости (рис. 445, а). Для того чтобы изображение нижнего края пяточной кости проецировалось несколько отступя от края пленки, в подставке, на которой стоит больной, должна быть прорезь, в которую погружают длинное ребро кассеты на глубину 3—4 см (рис.445, б).
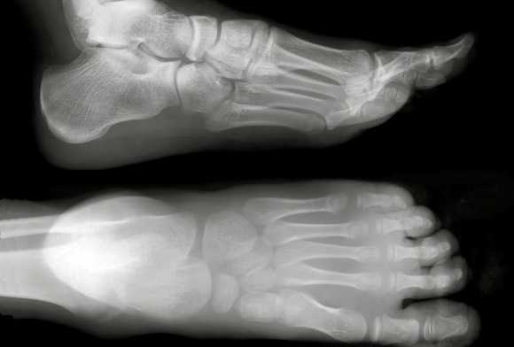
Информативность снимка. На снимке стопы в боковой проекции хорошо видны кости предплюсны: пяточная, таранная, ладьевидная, кубовидная и клиновидная. Кости плюсны проекционно наслаиваются друг на друга. Из всех костей наиболее отчетливо видна V плюсневая кость (рис. 446). На снимках стопы могут быть выявлены различные травматические, воспалительные и опухолевые поражения костей.
Изменения мягких тканей особенно наглядно видны на электро-рентгенограммах (рис. 447, а, б).
СНИМКИ СТОПЫ В КОСЫХ ПРОЕКЦИЯХ
Назначение снимка. Снимок стопы в косой проекции применяют главным образом для выявления переднего отдела стопы — предплюсны и фаланг, состояние которых не может быть детально изучено на снимке стопы в боковой проекции из-за проекционного суммирования изображения.
Укладка больного для выполнения снимка. При рентгенографии стопы в косой проекции чаще всего применяют косую внутреннюю подошвенную проекцию. При этом больной лежит на «здоровом» боку. Исследуемая стопа медиальной поверхностью прилежит к кассете. Подошвенная поверхность располагается к плоскости кассеты под углом 35 — 45°.
Кассета размером 18X24 см находится в плоскости стола.
Пучок рентгеновского излучения следует центрировать отвесно на тыльную поверхность стопы соответственно основанию плюсневых костей (рис. 448).
Иногда прибегают к укладке стопы в косой наружной подошвенной проекции.
Исходное положение стопы такое же, как для снимка в прямой проекции, а затем приподнимают внутренний край стопы на 35—40°.

Информативность .снимков. На снимках видны кости предплюсны: таранная, ладьевидная, кубовидная и клиновидные, суставные щели между ними. Раздельно отображаются все кости плюсны и фаланг, видны их переднебоковые и зад небоковые поверхности. Прослеживаются рентгеновские суставные щели плюснефаланговых и межфаланговых суставов (рис. 449).
В этом случае снимки стоп в косых проекциях по сравнению с другими снимками являются наиболее информативными для выявления переломов плюсневых костей и фаланг (рис. 450, а, б).

СНИМКИ ПЯТОЧНОЙ КОСТИ
Назначение снимков — изучение формы и структуры пяточной кости при различных заболеваниях и травме
Укладки больного для выполнения снимков. Рентгенографию пяточной кости осуществляют в боковой и аксиальной проекциях.
Для изучения пяточной кости в боковой проекции чаще всего используют рентгенограмму стопы в боковой проекции, но иногда при той же укладке больного производят прицельный снимок пяточной кости, соответствующим образом диафрагмируя пучок рентгеновского излучения и направляя его в проекцию центра пяточной кости (рис, 451).
Укладку для выполнения снимка пяточной кости в аксиальной проекции производят следующим образом. Больной лежит на спине, обе ноги вытянуты. Стопа исследуемой конечности находится в положении максимального тыльного сгибания (рис. 452, а). Иногда ее оттягивают в тыльном направлении с помощью бинта, перекинутого через стопу, который удерживает сам больной.
Кассета размером 13X18 см лежит на столе в продольном положении. Стопа прилежит к ней задней поверхностью пятки.
Центральный пучок рентгеновского излучения скашивают в краниальном направлении под углом 35—45° к вертикали и направляют на пяточный бугор.
Снимок в этой же проекции может быть выполнен и при вертикальном положении больного. Больной упирается подошвой снимаемой конечности в поверхность кассеты, отставляя ногу назад таким образом, чтобы голень находилась под углом около 45° к плоскости кассеты. Для фиксации тела больному следует опереться на спинку поставленного пред ним стула.
Пучок рентгеновского излучения направляют под углом 20° к вертикали на задневерхний отдел бугра пяточной кости (рис. 452, б).
Информативность снимков. На рентгенограммах пяточной кости в боковой проекции выявляются структура и контуры пяточной и таранной костей (рис. 453).
На снимке в аксиальной проекции хорошо видны пяточный бугор, его медиальная и латеральная поверхности (рис. 454). Снимки информативны для выявления различных патологических изменений, переломов, пяточной шпоры (рис. 455), изменений структуры кости, в частности после травмы (рис. 456) и др.

СНИМКИ ПАЛЬЦЕВ СТОПЫ
Назначение снимков. Снимки пальцев стопы чаще всего выполняют при травмах.
Укладки больного для выполнения снимков. Пальцы стопы хорошо видны на рентгенограммах стопы в прямой и косой проекциях. При необходимости в этих же проекциях выполняют прицельные снимки пальцев, соответствующим образом суживая пучок рентгеновского излучения и центрируя его на область пальцев (рис. 457, а).
В отдельных случаях прибегают к рентгенографии пальцев в боковой проекции, подкладывая под исследуемый палец завернутую в светонепроницаемую бумагу рентгеновскую пленку р а з м е р о м 4 x 5 см. При этом в случаях рентгенографии I и V пальцев стопу укладывают соответственно на латеральную и медиальную поверхности и отвесно на исследуемый палец центрируют пучок рентгеновского излучения. При рентгенографии I I , I I I , и IV пальцев вышерасположенные пальцы оттягивают бинтом книзу или кверху таким образом, чтобы их изображение проекционно не наслаивалось на изображение фаланг исследуемого пальца (рис. 457, б).
На рентгенограмме пальцев стопы в прямой проекции хорошо видны фаланги, частично — плюсневые кости, межфаланговые и плюснефаланговые суставы (рис. 458).

Теги: стопа
234567 Начало активности (дата): 30.12.2019 18:33:00
234567 Кем создан (ID): 989
234567 Ключевые слова: стопа, рентгенограмма, кости предплюсны, плюсневые кости, фаланги
12354567899
Рентген тазобедренного сустава в двух проекциях
Весь контент iLive проверяется медицинскими экспертами, чтобы обеспечить максимально возможную точность и соответствие фактам.
У нас есть строгие правила по выбору источников информации и мы ссылаемся только на авторитетные сайты, академические исследовательские институты и, по возможности, доказанные медицинские исследования. Обратите внимание, что цифры в скобках ([1], [2] и т. д.) являются интерактивными ссылками на такие исследования.
Если вы считаете, что какой-либо из наших материалов является неточным, устаревшим или иным образом сомнительным, выберите его и нажмите Ctrl + Enter.
Наиболее информативные методы инструментальной диагностики суставных и костных патологий - визуализация, а самый доступный из них - рентген тазобедренного сустава.
Простое рентгенографическое исследование является фундаментальным подходом к диагностике и принятию решения о лечении тазобедренного сустава. [1]
Показания
Направляя пациента на рентгенографию, травматолог, ортопед, хирург или ревматолог имеют возможность оценить состояние структур данного костного сочленения.
Наиболее распространенные показания к проведению рентген-диагностики тазобедренных суставов касаются:
- травматических повреждение тазобедренной области, в частности, переломов шейки бедра;
- врожденного вывиха или дисплазии тазобедренных суставов; ;
- артрита, артроза тазобедренного сустава, деформирующего артроза или коксартроза;
- коксита (воспаления тазобедренного сустава);
- некроза головки бедренной кости;
- остеоартрита, остеомиелита и остеохондроматоза;
- суставных кист и других образований;
- затронувшего суставы костного туберкулеза.
В принципе, жалобы пациента на ощущаемые боли в тазобедренном суставе считаются достаточным поводом для назначения рентгенографии - чтобы установить их точную причину. Если перечисленные выше заболевания и состояния отсутствуют, в протоколе (описании) рентгеновского снимка будет указано, что рентген в норме. Это означает, что полученные изображения всех суставные элементы не имеют анатомических нарушений, подробнее см. - Тазобедренный сустав
Рентген тазобедренных суставов у детей проводится по строгим показаниям - только после достижения ребенком девяти месяцев. Основной патологией является врожденный вывих бедра. Кроме того, рентген может назначаться при боли в тазобедренном суставе у детей разного возраста.
Подготовка
Для проведения рентгенографии подготовка заключается в ограничении приема пищи, вызывающей метеоризм, и очищении кишечника (с помощью клизмы) - за несколько часов до посещения рентгенкабинета.
Непосредственно перед началом процедуры на пациента надевают защиту - в виде специальных экранирующих покрытий, которые предотвращают проникновение рентгеновского облучения в другие части тела и внутренние органы.
К кому обратиться?
Техника проведения рентгена тазобедренного сустава
Стандартизированная техника проведения рентгенографии мало зависит от используемого метода - аналогового или цифрового. Если в первом случае процедура длится около 10 минут, и снимок получают на пленке, то при втором методе время сокращается вдвое, а изображение может быть в двух форматах, в том числе цифровом.
Максимальную визуальную информацию дает рентген тазобедренного сустава в двух проекциях: в прямой проекции (или фронтальной), получаемой фокусировкой рентгеновской трубки перпендикулярно плоскости тела - спереди или сзади, и аксиальной (поперечной или горизонтальной плоскости), фиксирующей элементы сустава сверху вниз - вдоль бедренной кости. Также снимок может делаться при боковой проекции, то есть пациент должен лечь на бок, согнув ногу в коленном и тазобедренном суставах.
При обычной рентгенографии обычно делается переднезадняя и боковая рентгенограмма бедра. Переднезадняя рентгенограмма бедра включает изображения обеих сторон бедра на одной и той же пленке и выступает в направлении середины линии, соединяющей верхнюю часть лобка симфиза и передне-верхнюю подвздошную ость; расстояние между рентгеновской трубкой и пленкой должно составлять 1,2 метра. Если рентгенограммы переднезаднего бедра сделаны в положении лежа на спине, одной из наиболее распространенных ошибок является искажение изображения при повороте бедра снаружи.
Таким образом, либо обе коленные чашечки должны быть направлены вперед, либо нижние конечности должны быть повернуты внутрь на 15-20 ° для приспособления бедренной антиверсии на рентгенограммах переднезаднего бедра.
Если проводится рентген тазобедренных суставов по Лаунштейну (Лауэнштейну), то положение пациента выглядит так: лежа на спине, одна нога в колене сгибается (под углом 30, 45 или 90°), при этом ее ступня опирается на голень выпрямленной ноги; бедро согнутой конечности максимально отводится в сторону так, чтобы тазобедренный сустав занял позицию наружной ротации (то есть головка бедренной кости проворачивается в вертлужной впадине).
Следует иметь в виду, что рентген костей таза и тазобедренных суставов у детей раннего возраста не показывает точных очертаний суставных структур, так как их основная ткань - хрящевая, которую рентгеновские лучи не отображают. Поэтому интерпретацию полученной рентгенограммы - с определением смещения головки бедренной кости по отношению к вертлужной впадине тазовой кости - проводят с помощью накладывания на снимок специальной сетки, основные и вспомогательные линии которой соответствуют анатомически нормальному расположению структур сустава. Используя данные линии, измеряются различные параметры, в том числе центр вертлужной впадины и степень наклона ее крыши (ацетабулярный угол), угол отклонение шейки бедра вперед и т.д.
А если возникает подозрение на нарушение развития ядер окостенения (особенно у недоношенных младенцев) полутора-двухмесячному ребенку следует делать ультразвуковое исследование тазобедренного сустава.
Читайте также:
- Эхокардиография при инфаркте правого желудочка. Значение эхокардиографии при патологии правого желудочка
- Гемостаз. Механизмы свертывания крови. Тромбоцитарный гемостаз. Тромбоцитарная реакция. Первичный гемостаз.
- Токсикометрия. Установление основных параметров токсичности
- Анатомия: Функции (функция) легких
- Двухкамерная атриовентрикулярная электрокардиостимуляция (режимы DVI и DDI)
