Эхокардиография при инфаркте правого желудочка. Значение эхокардиографии при патологии правого желудочка
Добавил пользователь Евгений Кузнецов Обновлено: 22.01.2026
Заболевания сердечно-сосудистой системы являются самыми частыми в процентной структуре болезней. Это основная причина смерти и потери трудоспособности во всем мире. Люди, которые подвержены высокому риску таких патологий, обязательно должны проходить прицельное медицинское обследование для раннего выявления и предупреждения осложнений. К одной из таких процедур относится эхокардиография сердца. Это метод ультразвукового исследования, который позволяет оценить работу сердца и его клапанного аппарата, своевременно диагностировать какие-либо изменения.
Показания
Симптомы заболеваний сердечно-сосудистой системы разнообразны, их легко перепутать с проблемами других органов. Больной обязательно должен обратить внимание на:
- появление перебоев в работе сердца, усиленное сердцебиение;
- одышку, кашель, бледность кожи, появление отеков на нижних конечностях в конце дня;
- слабость, головокружение, частые головные боли, потерю сознания.
Все эти признаки не стоит игнорировать, они должны послужить поводом для обращения к специалисту, который направит на УЗИ сердца.
Непосредственными показаниями к исследованию служат повышение или понижение артериального давления, наличие патологических шумов во время аускультации сердца, изменения, выявленные на электрокардиограмме, а также боли в области сердца или за грудиной (стенокардия). Эхокардиографию обязаны периодически проходить пациенты, которые перенесли инфаркт либо оперативное вмешательство на сердце.
Но не только люди, имеющие проблемы со здоровьем, проходят ЭхоКГ. Его рекомендуют проводить спортсменам, мужчинам после 55, женщинам после 50 лет, беременным. УЗИ сердца также выполняют:
- детям в периоде новорожденности с целью исключения пороков сердца;
- подросткам по достижении 14 лет, так как во время интенсивного роста организма может возникнуть патология сердечной мышцы.
Методика проведения
В отличие от ультразвуковых исследований других органов, УЗИ сердца практически не требует подготовки в плане соблюдения диеты или приема лекарственных препаратов, за исключением отказа от алкоголя. Традиционная методика называется «трансторакальная эхокардиография», так как исследование проводится через поверхность грудной клетки. Пациент раздевается до пояса и ложится на левую сторону на топчан. Участки тела, к которым будет прикладываться датчик, обрабатываются специальным гелем для лучшего проведения ультразвукового сигнала. В дальнейшем звук преобразуется в электрические сигналы и получается эхокардиограмма.
При выявлении препятствий для прохождения ультразвука (ожирение, присутствие искусственных клапанов) и при тяжелых заболеваниях сердца используют чрезпищеводную ЭхоКГ, во время которой датчик вводят через пищевод вплотную к левому предсердию. В течение 4—6 часов до процедуры пациент должен воздержаться от курения, не употреблять воду и пищу. Также следует извлечь съемные зубные протезы, если таковые имеются.
Стресс-ЭхоКГ — это УЗИ сердца с нагрузкой. Ишемическая болезнь является главным показанием к такому методу исследования сердца. Для данной патологии это самый эффективный метод диагностики. Он позволяет выявить ишемию миокарда на самых ранних стадиях возникновения.
В результате каждый показатель проведенного обследования будет описан в заключении, которое зарегистрирует врач кабинета ультразвуковой диагностики.
Расшифровка результатов
Когда вы получите на руки результат, где увидите не совсем понятные цифры и термины, возникнет вопрос о расшифровке эхокардиографии сердца.
Заключение о возможной патологии зависит не только от возраста и пола исследуемого, но и от целей, которые установил врач, направляя вас на УЗИ сердца. Во время исследования анализируются как анатомические структуры (камеры, клапаны, стенки предсердий и желудочков, мышцы и сосуды, околосердечная сумка), так и функции сердца.
При описании клапанов можно выделить два варианта отклонения от нормы:
- недостаточность, при которой створки клапана смыкаются неплотно, в результате чего возникает обратный ток крови;
- стеноз, при котором уменьшается диаметр просвета клапана.
Возможно излишнее образование жидкости между листками перикарда (более 30 мл), в заключении это будет описано словом перикардит.
Нормальные показатели эхокардиографии сердца выглядят следующим образом.
| Левый желудочек | ||
| Показатель | Норма для мужчин | Норма для женщин |
| Масса миокарда | 135-182 г | 95-141 г |
| Индекс массы (ИММЛЖ) | 71-94 г/м 2 | 71-84 г/м 2 |
| Объём желудочка в покое (КДО) | 65-193 мл | 59-136 мл |
| Размер в состоянии покоя (КДР) | 4,6-5,7 см | 4,6-5,7 см |
| Размер в состоянии сокращения (КСР) | 3,1-4,3 см | 3,1-4,3 см |
| Толщина стенки | 1,1 см | 1,1 см |
| Фракция выброса (ФВ) | 55-60 % | 55-60 % |
| Ударный объём (УО) | 60-100 мл | 60-100 мл |
- Правый желудочек (ПЖ): толщина стенки - 3 мм; размерный индекс - 0,75-1,25 см/м 2 ; величина диастолы в покое - 0,8-2,0 см.
- Описание сосудов: диаметр корня аорты - 20-35 мм, устье легочной артерии — 14—20 мм.
Даже подробно изучив все параметры, вы можете лишь сравнить их с вариантами нормы. Поставить диагноз способен только врач-кардиолог, который будет не только основываться на результатах сонографии, но и учитывать все жалобы и симптомы.
Диагностическая ценность
Благодаря стремительному развитию медицины стали доступными методы диагностики, которые отличаются высокой достоверностью результатов, точностью, безопасностью и безболезненностью проведения. Одним из таких методов является эхокардиография.
Благодаря ЭхоКГ можно выявить заболевания миокарда, перикарда, внутрисердечные опухоли и пороки сердца. УЗИ сердца позволяет определить первые признаки ишемической болезни, наличие рубцов после некроза сердечной мышцы (инфаркта миокарда), а также такие угрожающие жизни состояния, как аневризма, внутрисердечные и внутрисосудистые тромбы.
Точность результатов исследования зависит и от разрешения прибора. Современный аппарат УЗИ должен быть снабжен функцией «допплерограф». Это даёт больше информации о кровотоке внутри того или иного сосуда, что крайне важно для диагностики внутриутробного развития.
УЗИ с допплером способно:
- определить, достаточно ли снабжены кровью сосуды плода, в том числе и сосуды пуповины;
- диагностировать гипоксию плода и плацентарную недостаточность;
- прослушать сердцебиение.
Эта функция используется при обследовании беременных и даёт возможность оценить, здоров ли будущий ребенок. Но если УЗИ сердца плода делают во втором триместре беременности, всем будущим мамам рекомендуется проходить эхокардиографию в первом триместре, чтобы выявить возможные отклонения, которые до беременности могли и не проявляться.
Важно знать, что, если нормальные параметры эхокардиографии сердечной мышцы у взрослых сразу записываются в виде цифровых значений, для интерпретации показателей ребенка существуют особые таблицы, в которых врач сопоставляет зафиксированные данные и массо-ростовой критерий малыша.
Выводы
Безусловно, роль УЗИ сердца очень важна для диагностики заболеваний сердечно-сосудистой системы, но не стоит рассматривать ЭхоКГ как единственный метод выявления проблем с сердцем. Также необходима консультация специалиста — врача-кардиолога, который выслушает жалобы, проведет осмотр, при необходимости направит на дополнительные исследования. Только все это в комплексе поможет поставить верный диагноз и назначить адекватную терапию с целью сохранения здоровья.
Для подготовки материала использовались следующие источники информации.
Эхокардиография правого желудочка
Эхокардиография помогает оценить функция правого желудочка, которая играет критическую роль при ряде врожденных и приобретенных сердечных заболеваний. Точное измерение функции правого желудочка важно для планирования лечения и прогнозирования прогноза. До недавнего времени функции правого желудочка уделялось меньше внимания, чем функции левого желудочка. Основными причинами были непонимание его важной роли в кровообращении и трудности в оценке его функции из-за сложной анатомии.
Эхокардиография играет роль в оценке объема и функции правого желудочка, но часто используется в сочетании с другими методами, такими как контрастная вентрикулография, радионуклидная вентрикулография, сверхбыстрая КТ и МРТ. Еще более точную оценку можно сделать, построив петли давление - объем ПЖ (обычно с использованием данных катетеризации сердца).
Клиническое значение функции правого желудочка с оценкой на эхокардиографии
- Инфаркт миокарда. Дисфункция правого желудочка хорошо известна при ИМ. Передний ИМ обычно связан со стойким регионарным поражением ЛЖ и временным глобальным нарушением ПЖ, тогда как нижний ИМ связан со стойким региональным поражением обоих желудочков. Гемодинамические реакции на инфаркт различаются в ПЖ и ЛЖ, что видно по эхокардиографии. У пациентов с обширным инфарктом правого желудочка кардиогенный шок является обычным явлением и требует другого терапевтического подхода, чем инфаркт ЛЖ.
- Пороки сердца, выявляемые на эхокардиографии (например, митральный стеноз, стеноз легочной артерии). Функция правого желудочка может играть важную роль при выборе времени операции.
- Хроническое заболевание легких, вызывающее легочную гипертензию (ЛГ). Функция ПЖ играет важную роль в отдаленном исходе у пациентов с хроническим ограничением воздушного потока в бронхиальнили фиброзом легких. Когда такие заболевания связаны с легочной гипертензией, дилатацией правого желудочка и недостаточностью (что приводит к легочному сердцу), они имеют плохой прогноз.
- Септикемический шок и посткардиотомический шок. Они также связаны с дисфункцией правого желудочка, вероятно, в результате изменений постнагрузки и сократимости правого желудочка.
- Врожденный порок сердца до и после хирургического вмешательства (например, межжелудочковая перегородка, межпредсердная перегородка, сложное заболевание) Оценка функции правого желудочка имеет большое значение. Это важный прогностический маркер у пациентов с шунтами (например, ДМЖП, ДМПП) или сложными состояниями, такими как тетралогия Фалло или транспозиция магистральных артерий.
- Перикардиальный выпот. Диастолический коллапс правого желудочка - важный эхокардиографический индикатор тампонады сердца.

Особенности оценки функции правого желудочка на эхокардиографии
Проводить измерение и оценку ПЖ на эхокардиографии сложно, потому что:
- ПЖ имеет более сложную геометрическую форму, чем ЛЖ, которую сложнее описать.
- Свободная стенка ПЖ имеет сильные неровности, что затрудняет распознавание края.
- Перекрытие правого желудочка и других камер сердца в некоторых позициях при визуализации затрудняет надежное измерение объема.
- Расположение правого желудочка непосредственно под грудиной создает определенные проблемы для эхо-сигнала (ультразвуковой луч не проникает в кость).
- Оценка правого желудочка особенно трудна у людей, которые ранее перенесли торакальные операции или имеют хронические заболевания легких. Для них часто жизненно необходимы исследования функции правого желудочка.
Несмотря на такие ограничения, для оценки размера и функции правого желудочка используются M-режим и 2-D эхокардиография. Лучшими ЭхоКГ доступами для ПЖ обычно являются:
- Подреберный 4-х камерный
- Апикальный 4-х камерный
- Парастернальная длинная ось, с углом наклона датчика, чтобы показать отделы притока и оттока из ПЖ
- Парастернальная короткая ось на уровне MК, папиллярной мышцы и AК.
Можно сделать оценки внутренних размеров ПЖ, толщины стенок и ФВ. Функция правого желудочка чувствительна к сократимости миокарда, преднагрузке и постнагрузке, а также к сократимости ЛЖ, вкладу межжелудочковой перегородки и внутриперикардиальному давлению. Анализ функции правого желудочка должен учитывать все эти факторы, а сама по себе ФВ может быть недостаточно чувствительным показателем к этим факторам. Правосторонняя сердечная недостаточность связана с расширенным гипокинетическим ПЖ. Если правый желудочек имеет такой же размер или больше, чем ЛЖ во всех позициях, то это отклонение от нормы. Обратите внимание, что даже в самых опытных руках адекватное эхокардиографическое исследование правого желудочка может быть получено только примерно у 50% пациентов. Новые методы трехмерного эхо-сигнала улучшили оценку структуры и функции ПЖ.
Эхокардиография и ИБС
Ишемическая болезнь сердца самая распространенная патология сердца. Эхокардиография играет все более важную роль в оценке ишемической болезни сердца. Техники исследования в покое и стресс-эхокардиографии используются в:
- Оценка степени ишемии или инфаркта миокарда (ИМ)
- Прогнозирование артерии, вызывающей ишемию
- Острый ИМ - функция ЛЖ, также ее оценка и после ИМ, ишемическая кардиомиопатия
- Инфаркт правого желудочка
- Осложнения ИМ - митральная регургитация, ДМЖП, пристеночный тромб, аневризма ЛЖ, псевдоаневризма, выпот в перикард, разрыв стенки миокарда
- Аномалии коронарных артерий (например, аневризма, аномальное происхождение по данным трансторакальной и чреспищеводной эхокардиографии)
- Боль в груди при нормальных коронарных артериях - пролапс митрального клапана, аортальный стеноз, гипертрофическая кардиомиопатия.
Оценка ишемии при эхокардиографии
- Ишемия приводит к немедленным изменениям, которые можно обнаружить с помощью эхокардиографии:
- Нарушения движения стенок (гипокинетические, акинетические, дискинетические)
- Нарушения утолщения стенок (уменьшенное или отсутствующее систолическое утолщение или систолическое истончение - этот признак более чувствительный и специфичный для ишемии)
- Нарушения общей функции ЛЖ (например, фракция выброса).

Указанные изменения можно обнаружить с помощью двумерной эхокардиографии, но M-режим также чрезвычайно хорош, поскольку его высокая частота дискретизации делает его очень чувствительным к движению стенок и аномалиям утолщения. Важно, чтобы курсор располагался под углом 90° к стенке. Есть ограниченные области миокарда ЛЖ, которые можно исследовать в М-режиме - наиболее полезно задняя стенка и МЖП. Изменения обратимы, если ишемия кратковременная, например в покое, прием антиангинальных препаратов, проведенная вовремя чрескожная транслюминальная коронарная ангиопластика, тромболизис или аортокоронарное шунтирование (АКШ). Если кровоснабжение миокарда прервано более чем на 1 час, происходят необратимые изменения, включающие инфаркт миокарда и рубцевание.
Прогнозирование вовлеченной артерии при проведении ЭхоКГ. Это делается путем разделения левого желудочка на сегменты. На этом основано стресс-эхокардиография.
Оценка инфаркта миокарда на ЭхоКГ
Эхокардиография может помочь в определении степени инфаркта ЛЖ, оценке поражения ПЖ и обнаружении осложнений. Изменения функции ЛЖ при остром инфаркте миокарда аналогичны изменениям, описанным при ишемии, но быстро становятся необратимыми. Обнаружение поражения правого желудочка важно для определения лечения и прогноза.
Осложнения инфаркта миокарда при использовании эхокардиографии
Многие осложнения острого инфаркта миокарда можно обнаружить с помощью ультразвукового исследования сердца.
- Острая сердечная недостаточность из-за обширного ИМ. Это приводит к отказу насосной функции сердца, что может привести к кардиогенному шоку, а эхокардиограмма показывает серьезное нарушение ЛЖ. Функция миокарда после ИМ указывает на прогноз у пациента. Миокард с рубцами выглядит как тонкий сегмент, который не утолщается во время систолы и имеет ненормальное движение. ЭхоКГ позволяет оценить степень ИМ, оценить систолическую и диастолическую функцию ЛЖ и посмотреть на остаточные осложнения .В следующих двух осложнениях (острая митральная недостаточность (МН) и дефект межжелудочковой перегородки) систолическая функция ЛЖ очень активна, в отличие от ситуации, описанной выше.
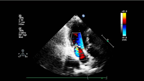
- Острая МН. Это может быть связано с дисфункцией или разрывом сосочковых мышц или разрывом хорды, что может быть определено с помощью 2-D эхокардиографии. Там может быть надрыв сосочковой мышцы или хорды, а струю митральной недостаточности можно увидеть на непрерывном волновом или цветном доплеровском картировании потока.
- Острый дефект межжелудочковой перегородки (ДМЖП). Эта патология часто происходит около верхушки сердца и чаще встречается при нижнем инфаркте левого и инфаркте правого желудочков. Нарушение непрерывности МЖП можно увидеть на 2-D эхокардиограмме в апикальной 4-камерной, парастернальной длинной оси и короткой оси. Цветное допплеровское картирование может точно показать дефект. Импульсно-волновой допплер, перемещенный вдоль правой стороны МЖП (парастернальная длинная ось или иногда четырехкамерная проекция), может показать турбулентную струю сброса.
- Пристеночный тромб часто определяется на двумерной ЭхоКГ. Обычно он располагается возле зоны инфаркта или аневризмы.
- Аневризма ЛЖ. Чаще всего наблюдается на верхушке или около нее. Чаще встречается при переднем ИМ, чем при нижнем, что лучше всего видно на 2-D эхокардиографии. Аневризмы могут различаться по размеру от маленького до очень большого, иногда бывают больше, чем сам ЛЖ.
- Псевдоаневризма (ложная аневризма). Это осложнение встречается редко. Она следует за разрывом свободной стенки ЛЖ и приводит к гемоперикарду (кровь в перикардиальном пространстве), тампонаде и обычно приводит к быстрому летальному исходу. Иногда гемоперикард закупоривает и закрывает отверстие в ЛЖ, и образуется псевдоаневризма. Двухмерное ЭхоКГ - хороший способ диагностировать это состояние, которое важно обнаружить, так как до разрыва требуется срочная хирургическая резекция. Эту патологию бывает трудно отличить от истинной аневризмы, но сообщающаяся шейка обычно уже, чем диаметр аневризмы, стенки тоньше и ее размер изменяется в сердечном цикле (увеличивается в систоле), и она чаще заполнена тромбом.
- Выпот в перикард, осложняющий ИМ, может быть обнаружен с помощью M-режима или 2-D эхокардиографии.

«Гибернация» и «оглушение» миокарда по данным эхокардиографии
Сердце критически зависит от кровоснабжения. Окклюзия коронарной артерии приводит к прекращению сокращения миокарда в течение 1 мин. Гибель клеток миокарда обычно наступает через 15 минут после ишемии.
Нарушение сократительной функции может сохраняться даже после восстановления кровоснабжения без ИМ. Этот эффект получил название оглушения миокарда (оглушение сердца). Это может вызвать обратимую систолическую или диастолическую дисфункцию. Хотя оглушенный миокард жизнеспособен, нормальная функция не может быть восстановлена в течение 2 недель. Рецидивирующие эпизоды ишемии могут привести к потере нормальной функции сердца, и термин «гибернация миокарда» (гибернация) применяется к аналогичному состоянию, но уже к хронической фазе.
Эхокардиографическая оценка анатомии коронарной артерии
В настоящее время эхокардиография еще не может дать очень точную оценку большинства частей коронарной анатомии. Истоки левой и правой коронарных артерий можно увидеть в некоторых исследованиях трансторакальной ЭхоКГ с использованием модифицированного парастернального обзора по короткой оси на уровне аортального клапана.
Аномалии более вероятно будут замечены во время чреспищеводной эхокардиографии, например аномальное отхождение коронарных артерий (например, отхождение от легочной артерии) или свищ коронарной артерии. Аневризма (например, синдром Кавасаки, приобретенное заболевание у детей с коронарными аневризмами, которые могут достигать нескольких сантиметров в диаметре).
ЭХОКАРДИОГРАФИЧЕСКАЯ ДИАГНОСТИКА ИНФАРКТА МИОКАРДА ПРАВОГО ЖЕЛУДОЧКА
В настоящем обзоре описаны соответствующие проекции двухмерной эхокардиографии для исследования правого желудочка и его структуры, диагностики инфаркта иокарда правого желудочка. Представлен ряд параметров для количественной оценки глобальной функции правого желудочка.
Ключевые слова: правый желудочек, эхокардиография, инфаркт миокарда.
Hayrapetyan H.G. 1 , Adamyan K.G. 2 , Arakelyan I.A. 3
1 Associate Professor, MD,PhD, Yerevan State Medical University n.a. M.Heratsi, “Erebouni” MC, Yerevan
2 Acadimic, Professor, PhD, Institute of Cardiology
3 Cardiologist, “Erebouni” MC, Yerevan
ECHOCARDIOGRAPHIC DIAGNOSTICS OF RIGHT VENTRICULAR MIOCARDIAL INFARCTION
Abstract
In this review all required projections of two-dimentional echocardiography are described for investigation of right ventricle and its structure and for diagnostics of right ventricular infarction. A set of parameters of quantitative assessement of global function of right ventricle is explained.
Keywords: right ventricle, echocardiography, myocardial infarction.
Литературные данные частоты ИМ ПЖ колеблятся в широких пределах. По данным патологоанатомических исследований, вовлечение миокарда ПЖ имеет место в 24-90 % случаев ИМ нижней стенки [1, 2]. Клинические проявления ИМ ПЖ наблюдаются у 15-20 %, выраженное поражение ПЖ - у 3-8 % этих больных [3]. ЭхоКГ-ческие исследования показали, что в 40 % случаев у больных ИМ нижней стенки вовлекается ПЖ [4]. Истинная частота изолированного ИМ ПЖ неизвестна.
Эхокардиография (ЭхоКГ), как неинвазивный, доступный, относительно недорогой и без побочных эффектов метод, является средством выбора при исследовании морфологии и функции ПЖ, хотя нередко ее проведение затруднено из-за сложной геометрии и трабекуляции ПЖ, его расположения в грудной клетке [5]. Практические протоколы ЭхоКГ часто включают ограниченное количество изображений ПЖ и редко - количественную оценку или региональный анализ функции ПЖ [6, 7]. Практическое руководство Американского обшества эхокардиографии (American Society of Echocardiography (ASE)) по ЭхоКГ-ческой оценке ПЖ у взрослых рекомендует исследовать ПЖ используя множественные Эхо-КГ-ческие окна и сечения [8]. По этим рекомендациям ЭхоКГ-ческое заключение должно отражать оценку, основанную на качественных и количественных параметрах, включая размеры ПЖ, правого предсердия (ПП), хотя бы один из показателей систолической функции ПЖ, систолическое давление в легочной артерии (ЛА), давление в ПП. В определенных случаях бывает необходимо также определение дополнительных параметров, таких как диастолическое давление в ЛА, оценка диастолической функции ПЖ.
Такой же подход может быть применен и к ПЖ. К сожалению, во многих ЭхоКГ-ческих исследованиях оценка ПЖ ограничивается четырехкамерной верхушечной проекцией. Однако по рекомендациям ASE рутинное двухмерное ЭхоКГ-ческое исследование ПЖ должно включать указанные в таблице и рисунке проекции:
Таблица 1 - Рекомендуемые ЭхоКГ-ческие сечения для оценки ПЖ
ЭхоКГ-ческое сечение
Рекомендуемые измерения
Примечание: КДД - конечно-диастолический диаметр, КСД - конечно-систолический диаметр, ВТПЖ - выносящий тракт правого желудочка, ТК - трикуспидальный клапан, ССТК - систолическое смещение трикуспидального кольца, ФИПС - фракция изменеия площади сечeния.
Сегментарный подход к ПЖ важен особенно, когда наряду с нарушениенм глобальной сократимости имеет место также нарушение региональной сократимости. Определено четыре сегмента ПЖ: выносящий тракт ПЖ (в типичных случаях кровоснабжается ветвями левой передней нисходящей артерии) и передняя, боковая и нижняя (диафрагмальная) свободные стенки (все кровоснабжаются из системы правой коронарной артерии: передняя и боковая стенки - по ветви острого края, нижняя стенка - по задней нисходящей артерии). Однако нет стандартизированной дифференциации сегментов на апикальные и базальные.
Парастернальное сечение приносящего тракта демонстрирует переднюю и нижнюю стенки ПЖ и переднюю и заднюю створки трикуспидального клапана. Существует множество вариаций этого сечения, при которых межжелудочковая перегородка визуализируется лучше нижней стенки ПЖ. Парастернальное сечение по длинной оси показывает выносящий тракт ПЖ, тогда как парастернальное и субкостальное сечения по короткой оси - переднюю, боковую и нижнюю стенки ПЖ. Апикальное четырехкамерное сечение демонстрирует боковую стенку, а субкостальное четырехкамерное сечение - нижнюю стенку ПЖ.
Таким образом, субкостальное четырехкамерное сечение не идентично апикальному четырехкамерному. Сегментарный подход к ПЖ важен также потому, что обьем пораженного миокарда при ИМ ПЖ зависит от уровня окклюзии правой коронарной артерии.
Для количественной оценки глобальной функции ПЖ предложено несколько методов.
1. Фракция укорочения выносящего тракта (ФУВТ) ПЖ (Outflow tract shortening fraction): определяется в парастернальном сечении по короткой оси на уровне основания сердца. ФУВТ просчитывается по формуле:
ФУВТ (%) = (КДДВТ - КСДВТ)/КДДВТ
КДДВТ - конечно-диастолический диаметр выносящего тракта ПЖ
КСДВТ - конечно-систолический диаметр выносящего тракта ПЖ
По данным Lindqvist et al.ФУВТ хорошо коррелирует с продольной функцией, градиентом легочного давления и градиентом давления ПЖ/правое предсердие [13]. Однако требуется большая аккуратность при измереий, от чего зависит достоверность результата.
2. Фракция изменения площади сечения (ФИПС) ПЖ (Fractional area change): этот показатель легко определяется в апикальном четырехкамерном сечении.В конце систолы и диастолы в плоскости трикуспидального кольца проводится прямая линия, от которой очерчивается граница эндокарда.ФИПС просчитывается по формуле:
ФИПС (%) = (КДП - КСП)/КДП
КДП - конечно-диастолическая площадь
КСП - конечно-систолическая плошадь.
3. Систолическое смещение трикуспидального кольца (ССТК) (Tricuspid annular plane systolic excursion - TAPSE): показано, что это хороший показатель для оценки продольной функции ПЖ и показывает степень систолического движения латеральной части трехстворчатого кольца к верхушке [2].. Его можно легко определять при апикальном четырехкамерном сечении, используя двухмерный или М-режимы. При М-режиме курсор направляется от верхушки к латеральной части трикуспидального кольца. В норме его смещение в сторону верхушки превышает 2 см [17]. По рекомендациям ASE ССТК < 16мм ассоцируется с систолической дисфукцией ПЖ [8]. При остром ИМ ПЖ оно снижается и может служить маркером плохого прогноза [18, 19]. По нашим данным ССТК ≤ 14мм при остром ИМ ЛЖ нижней локализации ассоцируется с увеличением госпитальной смертности [20]. ССТК - простой при применении метод, но он имеет свои ограничения: оценка ограничена продольной функцией свободной стенки ПЖ, не учитывая вклад межжелудочковой перегородки и выхосящего тракта ПЖ [21]. ASE рекомендует применять ССТК рутинно как простой метод оценки функции ПЖ.
4. Индекс производидельности миокарда (ИПМ) (the myocardial performance index): этот показатель отличается от предыдущих тем, что характеризует больше физиологические, чем структурные особенности и является параметром оценки глобальной функции, отражающий как систолу, так и диастолу. Индекс просчитывается при импульсноволновой допплер-ЭхоКГ по следующей формуле:
Индекс Tei = (ВИС + АИР)/ВВ
ВИС - время изоволюметрического сокращения
ВИР - время изоволюметрического расслабления, ВВ - время выброса
В отличие от левых отделов сердца, где эти временные интервалы можно определять в течение одного сердечного цикла из-за возможности лоцировать митральный и аортальный клапаны в одной и той же проекции, для определения индекса Tei ПЖ необходимы два разных сердечныех цикла.Так как обычно, ввиду диспозиции трехстворчатого клапана и клапана легочной артерии трудно одновременно записывать трикуспидальный приток и легочный отток, практикуется последовательная запись кровотоков на обоих клапанах. ВВ можно определять в парастернальном сечении по короткой оси на уровне клапана легочной артерии, а ВИС и ВИР - на основании кровотока на трикуспидальном клапане. Для взрослых значение индекса Tei ≤ 0.3 считается нормой,а увеличивается при патологиях, приводящих к дисфункции ПЖ [22]. По рекомендациям ASE ИПМ ПЖ >0.4 при импульсноволновой допплер-ЭхоКГ и > 0.55 при тканевой допплерографии говорит о снижении глобальной функции ПЖ [8]. При ИМ ПЖ индекс повышается до 0,5 и выше 24. По нашим данным высокое значение индекса Tei ПЖ при остром ИМ ЛЖ нижней локализации ассоцируется с достоверным увеличением госпитальной смертности [26]. По данным литературы индекс хорошо коррелирует с легочными давлениями [27]. Применение этого параметра ограничено при псевдонормализации индекса при повышении давления в правом предсердии [8, 22]. Повышенное давление в правом предсердии приводит к укорочению ВИР, что в свою очередь - к снижению индекса Tei.
В клинической практике зачастую пропускается диагностика ИМ ПЖ из-за его недостаточного исследования. ЭхоКГ является неинвазивным методом выбора для исследования ПЖ при остром ИМ, но практические протоколы ЭхоКГ часто включают ограниченное количество изображений ПЖ и редко - количественную оценку. Функцию ПЖ можно оценивать только после его исследования в множественных проекциях. Предложен ряд параметров М- и двухмерной ЭхоКГ для количественной оценки глобальной функции миокарда ПЖ. В клинической практике применяется комбинация этих параметров, поскольку каждый из них дает частичную информацию о состоянии ПЖ. Новейшие, в том числе 3D ЭхоКГ-ческие показатели могут улучшить исследование ПЖ и увеличить информацию о его структурно-функциональном состоянии.
Инфаркт миокарда правого желудочка: как распознать и в чем особенности
Острый инфаркт миокарда правого желудочка без вовлечения других отделов сердца (изолированная форма) - довольно редкое явление среди патологий кардиоваскулярной системы. Чаще всего он возникает одновременно с инфарктом левого желудочка, и это условие существенно ухудшает прогноз заболевания.
Главная причина и механизм развития инфаркта любой локализации - атеросклероз, окклюзия просвета сосуда тромбом или разросшейся бляшкой и некроз ишемизированной ткани.
Это заболевание трудно диагностировать, поскольку его симптоматика отличается от классических проявлений инфаркта, а также оно требует взвешенного назначения терапии.
Особенности инфаркта правого желудочка: анатомия и физиология процесса

Правый желудочек (ПЖ) - это камера сердца с тонкой стенкой, которая через легочные артерии выталкивает кровь, обедненную кислородом, в легкие. Вследствие этого ПЖ работает в условиях низкого давления и гипоксии. Он снабжается кровью и в систолу, и в диастолу - и при напряжении, и при расслаблении сердечной мышцы. Эти факторы делают правый желудочек более устойчивым к развитию инфаркта миокарда (ИМ) по сравнению с левым. Тем не менее, он не защищен от негативного влияния атеросклероза.
Изолированный некроз клеток сердечной мышцы возникает, когда перекрываются тромбами или критически сужаются терминальные (конечные) веточки правой венечной артерии.
Крупноочаговый инфаркт миокарда левого желудочка может переходить на правый, при этом поражается вся задняя стенка сердца. Это частая причина возникновения гастралгической клиники ИМ с характерной болью в животе, рвотой и тошнотой.
При нарушении питания миокарда изменяются условия работы проводящей системы (она посылает электрические импульсы, которые заставляют сердце сокращаться). Это неизбежно приводит к развитию аритмии с особенно опасными формами - фибрилляцией предсердий, синусовой брадикардией и атриовентрикулярной блокадой.
Отличия в клинике и диагностике от других форм
Инфаркт правого желудочка случается примерно у 30% пациентов с нижнезадним (диафрагмальным) инфарктом левого. Изолированный некроз правого встречается значительно реже, всего в 10% случаев.
Из-за омертвения тканей снижается сократимость ПЖ и нарастают симптомы острой сердечной недостаточности. Главная черта инфаркта правого желудочка - отсутствие застоя крови, накопления жидкости в малом круге кровообращения (легких), а также низкое давление.
Инфаркт правого желудочка на ЭКГ выглядит как подъем сегмента ST в нижних грудных отведениях (V3R и V4R) выше изолинии. Его оценивают у всех пациентов с острым ИМ и стенокардией.
Также в диагностике золотым стандартом остается измерение содержания сердечных ферментов и факторов некроза миокарда в сыворотке крови.
Основные клинические признаки инфаркта правого желудочка:
- Набухание яремных (шейных) вен на вдохе.
- Низкое артериальное давление, которое проявляется слабостью, головокружением, тошнотой.
- Увеличение печени. Она растягивается из-за повышенного объема проходящей через нее крови. Возникает боль как, например, при беге или интенсивной нагрузке.
- Накопление жидкости в брюшной полости.
- Отечность нижних конечностей, которая поднимается вверх от лодыжек к животу. При прогрессировании ИМ переходит в отек всего тела.
- Перебои в работе сердца при поражении проводящей системы. Симптоматика бывает разной: от снижения пульса и головокружения до потери сознания вследствие фибрилляции предсердий.
- Боли в области сердца с иррадиацией, характерные для инфаркта в целом, также возникают при поражении правого желудочка. Однако у пожилых, у диабетиков симптомов может не быть вовсе. В этих случаях часто обнаруживают рубцовые изменения на контрольной кардиографии.
Прогноз и нюансы реабилитации
Здоровье и жизнь пациента зависят от умения врача распознать симптоматику и патологические изменения на электрокардиограмме, поставить диагноз и назначить правильное лечение.
Важно знать, что при инфаркте правого желудочка строго запрещено самостоятельно принимать нитраты (нитроглицерин). При их назначении требуется тщательное наблюдение пациента в условиях стационара. Морфин также не подходит для обезболивания и применяется только при острой необходимости, поскольку он расширяет сосуды и приводит к понижению артериального давления и нарушению гемодинамики.
Основное задание терапии - умеренное снижение нагрузки на правый желудочек, контроль частоты и ритмичности сердечных сокращений, регуляция низкого артериального давления путем внутривенного капельного введения физраствора и других восстанавливающих недостающий объем крови препаратов (Реополиглюкин, Реосорбилакт, Стирофундин).
Процесс лечения контролируется с помощью ЭхоКГ и ЭКГ. Для пациента важно сохранять покой, поскольку лишние движения, даже такие, как переход из горизонтального положения в вертикальное при вставании с постели, нагружают сердце и могут привести к усугублению состояния.
Еще одним нюансом восстановления после перенесенного инфаркта является предпочтение медикаментозному лечению, поскольку инвазивные вмешательства и исследования могут дестабилизировать работу сердечно-сосудистой системы. При своевременном назначении тромболитиков операция может не понадобиться.
Последствием трансмурального инфаркта правого желудочка часто является аритмия, которую нужно контролировать во время восстановительного периода, регулярно проводить электрокардиографии и использовать антиаритмические препараты.
Клиника инфаркта миокарда правого желудочка может характеризоваться нетипичной симптоматикой, поэтому требует внимательного отношения со стороны врача и самого пациента. Острый и постинфарктный периоды должны протекать наиболее щадяще, учитывая склонность к дестабилизации артериального давления.
Рекомендации по постинфарктному периоду включают постоянный электрокардиографический контроль, коррекцию образа жизни и прием препаратов, регулирующих ритм сердца.
Читайте также:
