Рекомендации по анализу рентгенограммы плечевого сустава в косой ПЗ проекции (метод Грэши)
Добавил пользователь Евгений Кузнецов Обновлено: 21.11.2025
Направляя пациента на рентгенографию, травматолог, ортопед, хирург или ревматолог имеют возможность оценить состояние структур данного костного сочленения.
Наиболее распространенные показания к проведению рентген-диагностики тазобедренных суставов касаются:
- травматических повреждение тазобедренной области, в частности, переломов шейки бедра;
- врожденного вывиха или дисплазии тазобедренных суставов;
- юношеского эпифизеолита головки бедренной кости;
- артрита, артроза тазобедренного сустава, деформирующего артроза или коксартроза;
- коксита (воспаления тазобедренного сустава);
- некроза головки бедренной кости;
- остеоартрита, остеомиелита и остеохондроматоза;
- суставных кист и других образований;
- затронувшего суставы костного туберкулеза.
В принципе, жалобы пациента на ощущаемые боли в тазобедренном суставе считаются достаточным поводом для назначения рентгенографии — чтобы установить их точную причину. Если перечисленные выше заболевания и состояния отсутствуют, в протоколе (описании) рентгеновского снимка будет указано, что рентген в норме. Это означает, что полученные изображения всех суставные элементы не имеют анатомических нарушений, подробнее см. — Тазобедренный сустав
Рентген тазобедренных суставов у детей проводится по строгим показаниям - только после достижения ребенком девяти месяцев. Основной патологией является врожденный вывих бедра. Кроме того, рентген может назначаться при боли в тазобедренном суставе у детей разного возраста.
Для проведения рентгенографии подготовка заключается в ограничении приема пищи, вызывающей метеоризм, и очищении кишечника (с помощью клизмы) — за несколько часов до посещения рентгенкабинета.
Непосредственно перед началом процедуры на пациента надевают защиту — в виде специальных экранирующих покрытий, которые предотвращают проникновение рентгеновского облучения в другие части тела и внутренние органы.
Стандартизированная техника проведения рентгенографии мало зависит от используемого метода - аналогового или цифрового. Если в первом случае процедура длится около 10 минут, и снимок получают на пленке, то при втором методе время сокращается вдвое, а изображение может быть в двух форматах, в том числе цифровом.
Максимальную визуальную информацию дает рентген тазобедренного сустава в двух проекциях: в прямой проекции (или фронтальной), получаемой фокусировкой рентгеновской трубки перпендикулярно плоскости тела — спереди или сзади, и аксиальной (поперечной или горизонтальной плоскости), фиксирующей элементы сустава сверху вниз — вдоль бедренной кости. Также снимок может делаться при боковой проекции, то есть пациент должен лечь на бок, согнув ногу в коленном и тазобедренном суставах.
При обычной рентгенографии обычно делается переднезадняя и боковая рентгенограмма бедра. Переднезадняя рентгенограмма бедра включает изображения обеих сторон бедра на одной и той же пленке и выступает в направлении середины линии, соединяющей верхнюю часть лобка симфиза и передне-верхнюю подвздошную ость; расстояние между рентгеновской трубкой и пленкой должно составлять 1,2 метра. Если рентгенограммы переднезаднего бедра сделаны в положении лежа на спине, одной из наиболее распространенных ошибок является искажение изображения при повороте бедра снаружи.
Таким образом, либо обе коленные чашечки должны быть направлены вперед, либо нижние конечности должны быть повернуты внутрь на 15-20 ° для приспособления бедренной антиверсии на рентгенограммах переднезаднего бедра.
Если проводится рентген тазобедренных суставов по Лаунштейну (Лауэнштейну), то положение пациента выглядит так: лежа на спине, одна нога в колене сгибается (под углом 30, 45 или 90°), при этом ее ступня опирается на голень выпрямленной ноги; бедро согнутой конечности максимально отводится в сторону так, чтобы тазобедренный сустав занял позицию наружной ротации (то есть головка бедренной кости проворачивается в вертлужной впадине).
Следует иметь в виду, что рентген костей таза и тазобедренных суставов у детей раннего возраста не показывает точных очертаний суставных структур, так как их основная ткань — хрящевая, которую рентгеновские лучи не отображают. Поэтому интерпретацию полученной рентгенограммы — с определением смещения головки бедренной кости по отношению к вертлужной впадине тазовой кости — проводят с помощью накладывания на снимок специальной сетки, основные и вспомогательные линии которой соответствуют анатомически нормальному расположению структур сустава. Используя данные линии, измеряются различные параметры, в том числе центр вертлужной впадины и степень наклона ее крыши (ацетабулярный угол), угол отклонение шейки бедра вперед и т.д.
А если возникает подозрение на нарушение развития ядер окостенения (особенно у недоношенных младенцев) полутора-двухмесячному ребенку следует делать ультразвуковое исследование тазобедренного сустава.
Рентген не проводят при любых острых инфекциях, повышенной температуре, кровотечении, а также при воспалении синовиальной бурсы данного сустава и околосуставных мышечных сухожилий.
Категорически противопоказано проводить рентгенографию беременным и детям первых девяти месяцев жизни (хотя в педиатрии запрет на рентген действует до 14-ти лет).
Каждая рентгенограмма дает важную информацию, необходимую для точной диагностики заболеваний тазобедренного сустава . Как правило, переднезадний профиль предоставляют информацию о форме вертлужной впадины, тогда как другие боковые изображения предоставляют информацию о проксимальных отделах бедра, включая головку бедра.
На рентгенограммах переднезаднего бедра может быть получена следующая информация:
- длина ноги,
- угол шейки,
- покрытие вертлужной впадины: угол наклона латерального центрального края (СЕ) и индекс выдавливания головки бедра,
- глубина вертлужной впадины,
- наклон вертлужной впадины,
- версия вертлужной впадины,
- сферичность головы и
- ширина суставного пространства.
На боковых рентгенограммах тазобедренных суставов оценивается форма и смещение сочленения головки бедра и бедреной кости, а также смещение угла альфа.
Учитывая угол Идельберга-Франка, угол Виберга и MZ-расстоянини децентрализации, статистическими методами можно выделить нормальные и патологические суставы: у взрослых значения тазобедренного сустава от 6 до 15 указывают на нормальную форму сустава; значения между 16 и 21 указывают на небольшую деформацию, а значения от 22 и выше указывают на серьезную деформацию, у детей значения от 15 и выше являются патологическими.
Важно подчеркнуть необходимость использования рентгенограмм в сочетании с результатами физического обследования, поскольку результаты визуализации не всегда связаны с наличием боли, и наоборот.
На рентгене признаки вывиха или дисплазии тазобедренных суставов визуализируются в виде вертикального и бокового смещений головки бедренной кости от вертлужной впадины тазовой кости (измеряемого на полученном снимке и сопоставляемого с анатомической нормой). Поверхность головки бедра часто не соответствует вертлужной впадине тазовой кости, например, при большом размере головки и недостаточной глубине впадины. А угол наклона плоскости входа в нее превышает норму.
Также отмечаются смещение центра вертлужной впадины, уменьшение или увеличение шеечно-диафизарного угла (определяемого между вертикальными осями шейки бедренной кости и ее телом — диафизом).
Еще один немаловажный рентген признак данной патологии — излишний наклон вперед узкой части бедренной кости (шейка бедра), который рентгенологи называют преувеличенной антеторсией.
Рентген-исследование плечевого сустава: диагностические возможности, методика и показания
Для проведения диагностики заболеваний плечевого сустава используют различные методы. Врач опрашивает пациента, просит рассказать, ощущает ли он боль в плече и когда это происходит, при движении или в состоянии покоя. Также проводится визуальный осмотр, пальпация, пациентом выполняется несколько простых тестов, способных продемонстрировать функционирование плечевого сустава.
Если все вышеописанные приёмы не позволяют врачу полностью оценить картину заболевания, обычно переходят к следующей стадии диагностики - рентгену.
Рентген представляет собой способ рассмотрения внутреннего строения костей плечевого сустава пациента с помощью лучей определённого диапазона.
Что показывает рентген плечевого сустава?
Вывих головки плечевой кости
При такой патологической ситуации, как вывих головки плечевой кости, её поверхности полностью утрачивают контакт с поверхностями лопаточной кости. При этом под действием сместившихся костей может отмечаться разрыв суставной сумки и связочного аппарата в соответствующей области.
Рентген в двух проекциях (прямой и осевой) довольно чётко может показать отклонение текущего состояния плечевого сустава от нормы. На снимках можно увидеть, насколько смещена головка плечевой кости, каково направление её смещения, а также наличие переломов костей (если они есть). С помощью рентгена можно определить тип вывиха и предположить развитие возможных осложнений. Не допускается вправлять вывих без предварительного проведения рентгена.
Подвывих
Проведя рентгенографию костей плеча, можно обнаружить подвывих. Это состояние схожее с вывихом, но контакт между поверхностями лопаточной и плечевой кости утрачивается не полностью, а частично.
Перелом шейки плечевой кости, боковой части лопатки или ключицы
Все кости на рентгене отображаются в виде плотных белых образований. Переломы костей, а также трещины на них выглядят на снимках как тёмные полосы, расположенные в различных направлениях и имеющие различную локализацию и размер. Фото-рентген плечевого сустава позволяет обнаружить наличие переломов плечевой кости, ключицы и лопатки. Снимок нужен для того, чтобы определить сложность перелома, увидеть, как расположены осколки костей (если имеет место раздробление).
Неопластический процесс сустава или околосуставных структур
Неопластический процесс, протекающий в плечевых или других суставах, а также в околосуставных структурах - один из самых сложных и опасных. Другими словами, это новообразование, опухоль.
Существует определённая группировка таких опухолей, которая осуществляется на основании их принадлежности к синовиальной ткани (внутрисуставной).
Диагностика неопластических патологий достаточно сложна и может включать не только рентген, но и более сложные процедуры (например, МРТ, КТ, забор материала сустава на биопсию и так далее).
Дегенеративные заболевания суставов
Плечевой сустав наиболее подвержен дегенеративным заболеваниям, таким как артрит или артроз. Преждевременное истирание и разрушение межсуставных хрящей, образование костных шипов, сужение межсуставной щели - все эти и другие симптомы дегенеративных заболеваний приносят человеку дискомфорт, боль в плече при движении и в состоянии покоя. При отсутствии должной терапии артрозы или артриты способны значительно ограничить степень подвижности плечевого сустава, свести на нет работоспособность человека.
Сближение костей плечевого сустава - это первое, что показывает рентген. Межсуставная щель сужается вследствие истирания хрящей, а значит в дальнейшем при активных движениях процесс истирания будет переходить уже непосредственно на костную ткань.
Артриты, артрозы, а также другие дегенеративно-дистрофические заболевания на первых стадиях их проявления могут поддаваться терапии, поэтому важно вовремя провести диагностику и начать лечение.
Подготовка и проведение процедуры
Плечевой сустав, рентген которого нужно произвести, перед процедурой освобождается от одежды. Также рекомендовано снять кольца, цепочки, часы или другие металлические предметы. Пациента укладывают на стол рентгеновского аппарата на живот, на спину или на бок (в зависимости от того, какая проекция снимка необходима). Во время сканирования пациент должен сохранять неподвижность. Это важное условие для получения качественного снимка.
Рентгенография длится несколько секунд. После изготовления снимка его проявляют и делают описание.
Противопоказания к диагностике
Беременным женщинам
Большинство диагностических исследований, за исключением УЗИ, беременным женщинам противопоказано. Рентген проводить нежелательно, так как его ионизирующее излучение может негативно повлиять на развитие плода и вызвать у него серьёзные патологии. В исключительных случаях рентген плечевого сустава может быть назначен беременной, если это жизненные показания. Облучению подвергается только область плеча пациентки, а всё остальное тело тщательно закрывается специальным жилетом или фартуком.
Детям до трех месяцев
Неокрепший детский организм гораздо больше подвержен негативному рентгеновскому излучению, чем организм взрослого. Главная опасность - это возможное злокачественное перерождение клеток тканей, которые попадают в область облучения. Так же, как и в предыдущем случае, рентгенографию плечевого сустава назначают только при крайней необходимости. Разрешается делать рентген детям после 14 лет.
При прохождении в тот же день других рентгенологических исследований
Рентген нельзя делать часто. Повторять данную процедуру дважды в день запрещено.
При наличии инородных металлических тел в области сустава
Металлические элементы могут отражать рентгеновские лучи и препятствовать их прохождению к плёнке, на которой формируется снимок. Пациенты, в суставах которых имеются фиксирующие болты или у которых установлены металлические протезы, на рентген не направляются, так как информативность полученного снимка будет минимальной.
Плюсы и минусы процедуры
Рентген плечевого сустава (плеча), что показывает многолетняя практика, имеет достаточно достоинств, чтобы оставаться одной из самых востребованных диагностических процедур:
Рентген плечевого сустава
Рентген плечевого сустава - часто используемый метод диагностики в практике травматолога-ортопеда, ревматолога, хирурга. Исследование предоставляет доктору ценную информацию о состоянии костных структур, которые образуют сустав, и позволяет в короткие сроки поставить диагноз. Рентгенография проводится быстро, не доставляет пациенту дискомфортных ощущений, позволяет сразу же получить результаты.
В «СМ-Клиника» в Москве можно сделать рентген плечевого сустава по доступной цене. В клинике установлен рентгенологический аппарат экспертного уровня и работают опытные врачи, что гарантирует точность диагностики.
Рентгенография в «СМ-Клиника» это
Цель проведения диагностики
Рентгеновское исследование считается максимально информативным способом изучить состояние костей скелета, поскольку лучи способны задерживаться в костной ткани.
Снимки показывают двухмерное изображение исследуемой области. На рентгенограммах хорошо видны структуры сустава, часть плечевой кости, пояс верхней конечности, состоящий из лопатки и ключицы.
При изучении результатов рентгена плеча врач может выявить признаки таких заболеваний:
- травмы костно-хрящевых структур - внутрисуставные переломы плеча, переломы ключицы и лопатки, переломы хирургической шейки плечевой кости;
- вывихи и подвывихи плечевого сустава;
- дегенеративно-дистрофические изменения сустава при артрозах, артритах, бурситах;
- объемные новообразования тканей плечевого сустава - кисты, абсцессы, доброкачественные и злокачественные опухоли;
- врожденные аномалии развития костей плеча и плечевого пояса;
- инородные тела в области плечевого сустава.
Следует отметить, что рентгенография недостаточно информативна для визуализации хрящей, мышц, связок и сухожилий.
Если врач предполагает, что болевой синдром вызван повреждением мягких тканей, он может назначить УЗИ плечевого сустава, КТ или МРТ плеча.
Показания к рентгену сустава плеча
Рентгенография чаще всего назначается пациентам с острыми или хроническими болями в области плеча. При травмах болевой синдром будет максимально выражен и связан с недавно полученным ударом, падением, бытовой травмой. В этом случае рентген необходимо сделать в кратчайшие сроки.
При хроническом процессе боли чаще имеют умеренную интенсивность, могут быть постоянными или возникать на фоне физической нагрузки, неловких движений. В такой ситуации пациенту также рекомендуется не затягивать с обращением к врачу, чтобы своевременно поставить диагноз и начать лечение.
Сделать рентген плечевого сустава необходимо, если человека беспокоят и другие симптомы:
- ограничение подвижности в плечевом суставе;
- хруст или щелчки во время активных движений рукой;
- деформация плеча;
- покраснение, отечность и повышение местной температуры кожи над суставом.
Исследование также проводится для контроля за состоянием суставных структур у пациентов с хроническими заболеваниями плеча (артрозом, артритом). Результаты рентгенографии позволяют оценивать эффективность назначенной терапии, вовремя обнаруживать признаки осложнений.
После заживления переломов обычно проводится контрольное рентгенологическое исследование: на снимке плечевого сустава врач должен увидеть правильное срастание костных фрагментов.
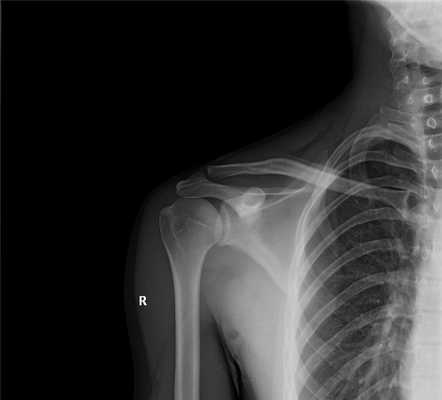
Рекомендации по анализу рентгенограммы плечевого сустава в косой ПЗ проекции (метод Грэши)

21.12.2019
Атлас укладок при рентгенологических исследованиях (Кишковский А.Н.) - Глава 5 Часть 2
УКЛАДКИ ДЛЯ РЕНТГЕНОГРАФИИ ПЛЕЧЕВОГО СУСТАВА СНИМКИ ПЛЕЧЕВОГО СУСТАВА В ПРЯМОЙ ЗАДНЕЙ ПРОЕКЦИИ
Назначение снимков. Снимки дают возможность диагностировать воспалительные, дегенеративно-дистрофические и травматические поражения сустава.
Укладка больного при выполнении снимков. Предложено несколько вариантов укладки: f. Больной лежит на спине. Снимаемая конечность вытянута вдоль туловища, находится в положении супинации (при этом большой бугорок плечевой кости занимает краеобразующее положение).
Кассета размером 18X24 см расположена на столе в продольном положении. Верхний край ее на 3 см выше надплечья.
Центральный пучок рентгеновского излучения направляют отвесно на проекцию суставной щели —на 3—4 см дистальнее плечевого отростка лопатки, легко прощупываемого под кожей (рис. 308).
2. С целью устранения проекционного наслоения плечевого отростка лопатки на головку плечевой кости и для более плотного прилежания головки к кассете предложено верхний край кассеты приподнимать так, чтобы кассета образовывала с плоскостью стола угол в 20—25° (рис. 309).
3. Для детального изучения рентгеновской суставной щели плечевого сустава на всем ее протяжении с целью исключения наслоения изображения головки плечевой кости и суставной поверхности лопатки предложено при укладке больного поворачивать его на 30—45° в исследуемую сторону. При этом задняя поверхность лопатки устанавливается параллельно плоскости кассеты (что контролируется подводимой под нее ладонью), а суставная поверхность лопатки оказывается расположенной перпендикулярно к кассете. Плоскость, соединяющая мыщелки плечевой кости, параллельна плоскости стола (рис. 310).
4. Иногда применяют укладку для рентгенографии плечевого сустава в задней проекции с ротацией плеча внутрь. Положение больного, расположение кассеты, центрация пучка рентгеновского излучения остаются те же; разница лишь в том, что кисть снимаемой руки находится в положении пронации — ладонью к столу (рис.311) — либо рука согнута в локтевом суставе, и кисть лежит на животе больного.


На снимках плечевого сустава хорошо видны головка плечевой кости, суставная впадина лопатки, плечевой отросток лопатки.
На рентгенограмме, произведенной в условиях супинации кисти, хорошо виден большой бугорок плечевой кости, который здесь является краеобразующим (рис.312, 313). На снимках, произведенных в условиях пронации кисти, большой бугорок виден хуже, но по медиальному контуру над хирургической шейкой становится виден малый бугорок (рис.314). Медиальный и латеральный контуры тела плечевой кости при этих двух вариантах укладки на снимках образованы разными ее поверхностями. На снимке при супинации кисти медиальный контур образован внутренней, а латеральный — наружной поверхностью тела плечевой кости; на снимке при пронации кисти медиальный контур отображает переднюю, а латеральный — заднюю поверхность тела плечевой кости.
Наиболее информативными для оценки плечевого сустава являются снимки, выполненные в условиях разгибания верхней конечности и супинации кисти. Снимки в задней проекции с ротацией плеча внутрь являются дополнительными или же выполняются в тех случаях, когда снимок в прямой задней проекции с разгибанием руки произвести не удается.
СНИМОК ПЛЕЧЕВОГО СУСТАВА В АКСИАЛЬНОЙ ПРОЕКЦИИ
Назначение снимка. Снимок предназначен для отображения плечевого сустава в плоскости, перпендикулярной к фронтальной, в которой производятся снимки в прямой задней проекции. Снимок в аксиальной проекции дает возможность определить направление смещения головки плечевой кости при вывихе в плечевом суставе, а также характер смещения отломков при переломах проксимального отдела плечевой кости.
Укладка больного для выполнения снимка. Предложено два варианта укладки: 1. Больной сидит у края стола. Рука отведена в сторону по возможности до горизонтальной плоскости, согнута в локтевом суставе, находится в положении пронации (кисть обращена вниз) и уложена либо на стол, либо на подставки (рис.315). Кассета размером 18X24 см расположена в плоскости стола под плечевым суставом, больной прилегает к ней областью подмышечной впадины. Пучок рентгеновского излучения направлен отвесно на проекцию акромиально-ключичного сустава перпендикулярно к кассете.

2. Больной лежит на спине. Рука отведена по возможности до горизонтальной плоскости, однако достаточно отведение и на 40—50°. Голова повернута в противоположную сторону. Кассету размером 18X24 см устанавливают длинным ребром перпендикулярно к плоскости стола у надплечья, короткое ребро кассеты упирается в шею больного. Пучок рентгеновского излучения направляют в горизонтальной плоскости на центр подмышечной впадины перпендикулярно к кассете (рис.316).
Эту же укладку выполняют и при вертикальном положении больного (рис. 317). При этом кассету можно несколько сместить кзади, что невозможно при съемке в горизонтальном положении больного, и установить центр кассеты соответственно головке плечевой кости.
Информативности снимка. На снимке видны головка плечевой кости, края суставной впадины лопатки, плечевой и клювовидный отростки.
Краеобразующими являются малый бугорок плечевой кости, передняя поверхность диафиза плеча по верхнему контуру и задняя поверхность диафиза плеча по нижнему контуру (рис.318, 319).


Назначение снимков. Назначение снимков такое же, что и снимков плечевого сустава в аксиальной проекции — получить изображение головки плечевой кости в плоскости, перпендикулярной той, в которой выполняют обычный прямой задний снимок.
Укладка больного для выполнения снимков. Существуют два варианта укладки для бокового снимка плечевого сустава: 1.
Больной лежит на животе. Область плечевых суставов максимально приближена к плоскости стола. Верхние конечности вытянуты вдоль туловища. Мыщелки в локтевом суставе снимаемой руки устанавливают в плоскости, перпендикулярной к плоскости стола.
Кассету размером 18X24 см располагают в продольном положении, центру кассеты соответствует головка плечевой кости, на которую и направляют пучок рентгеновского излучения (рис. 320).

Трансторакальный снимок плечевого сустава. Больной сидит боком к стойке с отсеивающей решеткой, плотно прислонясь к ней снимаемым плечом. Рука вытянута вдоль туловища. Противоположная сторона грудной клетки слегка отведена кзади; рука согнута в локтевом суставе, поднята вверх, кисть ее лежит на голове больного. Пучок рентгеновского излучения направлен горизонтально через грудную клетку на головку снимаемого плеча (рис. 321, а). Этот же снимок может быть выполнен и в положении больного лежа (рис. 321, б).
Информативность снимков. На снимках отображены головка, хирургическая шейка и тело плечевой кости в боковой проекции (рис. 322, 323)

При невозможности отвести руку в плечевом суставе для выполнения аксиального снимка, а также при переломах проксимального отдела плечевой кости, когда отведение в плечевом суставе противопоказано из-за возможности еще большего смещения отломков, боковые снимки вполне могут заменить собой снимки в аксиальной проекции. Наиболее щадящим для больного является выполнение трансторакального снимка плечевого сустава, при котором никаких движений в плечевом суставе не производят.
УКЛАДКИ ДЛЯ РЕНТГЕНОГРАФИИ ПЛЕЧА СНИМОК ПЛЕЧА В ПРЯМОЙ ЗАДНЕЙ ПРОЕКЦИИ
Назначение снимка. Снимок в данной укладке выполняют при травмах с целью определения вида и характера перелома, а также для выявления структуры плечевой кости при различных заболеваниях (остеомиелит, опухоли и др.).
Укладка больного для выполнения снимка. Больной сидит боком к столу.
Рука вытянута, располагается на столе либо на подставках. Кисть находится в положении супинации (ладонью вверх). Ось плеча располагается параллельно плоскости стола. Кассету размером 18X24 или 24X30 см в зависимости от роста больного подкладывают под область снимаемого плеча.
Край ее находится в подмышечной впадине. Пучок рентгеновского излучения направляют отвесно в центр кассеты (рис. 324).

Снимок в данной проекции может быть получен и при горизонтальном положении больного на спине. Рука вытянута вдоль туловища, кисть в положении супинации. Расположение кассеты и центрация пучка рентгеновского излучения те же.
Информативность снимка. На рентгенограмме плеча в задней проекции определяются медиальный и латеральный края плечевой кости. По латеральному краю имеется шероховатость, а иногда и выступ в месте прикрепления дельтовидной мышцы.
Медиальный край гладкий. В диафизе хорошо дифференцируются мозговая полость и корковое вещество (рис. 325, 326).

Дистальный метафиз плечевой кости отличается своеобразной структурой, костные балки образуют здесь дугообразные, вогнутые книзу арки, в Критерии правильности укладки. На снимке должен быть захвачен дистальный метаэпифиз плечевой кости с тем, чтобы была возможность определить проксимальный и дистальный концы отображенного участка плечевой кости, медиальную и латеральную ее поверхность.
СНИМОК ПЛЕЧА В БОКОВОЙ ПРОЕКЦИИ
Назначение снимка. Снимки плеча в боковой проекции наряду со снимками в прямой задней проекции выполняют во всех случаях рентгенографии плечевой кости для изучения ее формы, контуров и структуры при различных заболеваниях и травмах.
Укладка больного для выполнения снимка. Больной сидит боком к столу.
Рука отведена в плечевом суставе, согнута в локтевом суставе. Ось плеча находится в плоскости, параллельной плоскости стола.
Кисть — в положении пронации. Кассету размером 18X24 см подкладывают под снимаемое плечо. Короткий край ее находится в подмышечной впадине. Пучок рентгеновского излучения направляют отвесно, в центр кассеты (рис. 327).
Снимок плеча в боковой проекции может быть выполнен и в положении больного лежа на спине, и в вертикальном положении у стойки с отсеивающей решеткой.
В последнем случае положение больного такое же, как для трансторакального снимка плечевого сустава. Пучок рентгеновского излучения направляют в горизонтальной плоскости через подмышечную область противоположной стороны на середину диафиза снимаемой плечевой кости (трансторакальный снимок плеча).

Информативность снимка. На боковой рентгенограмме плечевой кости определяются передняя и задняя поверхности диафиза плеча, четко видны корковое вещество и мозговая полость (рис. 328).
Критерии правильности укладки. На снимке должен быть отображен дистальный метаэпифиз плечевой кости с тем, чтобы можно было правильно определить проксимальный и дистальный концы зафиксированного на снимке отдела плечевой кости.
Костная структура хорошо видна на снимках, выполненных в положении больного сидя у стола или лежа. На трансторакальном снимке костная структура не видна. Прослеживаются только контуры плечевой кости, позволяющие определить направление смещения отломков при травме.
Теги: плечо
234567 Описание для анонса:
234567 Начало активности (дата): 21.12.2019 12:47:00
234567 Кем создан (ID): 989
234567 Ключевые слова: плечевой сустав, укладки, аксимальная проекция, боковая проекция, задняя проекция, костная стркуктура
12354567899
Если все вышеописанные приёмы не позволяют врачу полностью оценить картину заболевания, обычно переходят к следующей стадии диагностики — рентгену.
Рентген представляет собой способ рассмотрения внутреннего строения костей плечевого сустава пациента с помощью лучей определённого диапазона.

Неопластический процесс, протекающий в плечевых или других суставах, а также в околосуставных структурах — один из самых сложных и опасных. Другими словами, это новообразование, опухоль.
Плечевой сустав наиболее подвержен дегенеративным заболеваниям, таким как артрит или артроз. Преждевременное истирание и разрушение межсуставных хрящей, образование костных шипов, сужение межсуставной щели — все эти и другие симптомы дегенеративных заболеваний приносят человеку дискомфорт, боль в плече при движении и в состоянии покоя. При отсутствии должной терапии артрозы или артриты способны значительно ограничить степень подвижности плечевого сустава, свести на нет работоспособность человека.
Сближение костей плечевого сустава — это первое, что показывает рентген. Межсуставная щель сужается вследствие истирания хрящей, а значит в дальнейшем при активных движениях процесс истирания будет переходить уже непосредственно на костную ткань.
Неокрепший детский организм гораздо больше подвержен негативному рентгеновскому излучению, чем организм взрослого. Главная опасность — это возможное злокачественное перерождение клеток тканей, которые попадают в область облучения. Так же, как и в предыдущем случае, рентгенографию плечевого сустава назначают только при крайней необходимости. Разрешается делать рентген детям после 14 лет.
- Безболезненность.
- Кратковременность. Рентген не требует особой подготовки, сканирование длится примерно 2-3 секунды, а на проявление снимков и их описание обычно затрачивается 15-20 минут (в зависимости от тяжести обнаруженной патологии).
- Информативность. Плечевой сустав на рентген-снимках в различных проекциях видно достаточно чётко, поэтому и диагноз можно поставить точно.
- Доступность. Рентген плеча можно сделать практически в любой поликлинике, травмпункте или частной клинике. В последнем случае стоимость рентгена будет невысока (гораздо ниже, чем цена на МРТ или КТ).
Главный минус рентгена — негативное влияние на организм человека ионизирующего излучения. По этой причине рентген нельзя делать часто, что иногда необходимо для отслеживания динамики заболевания. Также рентген не способен точно передать информацию о состоянии мягких тканей (для этого лучше делать МРТ).
Читайте также:
