УЗИ при наботова кисте
Добавил пользователь Евгений Кузнецов Обновлено: 21.01.2026
Киста шейки матки - заболевание, которое возникает по многим причинам. В области шейки матки могут формироваться кисты двух видов: ретенционные (наботовы кисты) и эндометриоидные. Эмбриональная киста шейки матки в МКБ-10 имеет код Q51.6, ретенционная - 88.8 (другие уточненные невоспалительные болезни шейки матки).
Причины образования кист на шейке матки
Наботовы, или ретенционные кисты шейки матки образуются вследствие закрытия выводного протока желез, расположенных на шейке матки. Помимо обычных кист на шейке могут появляться эндометриоидные кисты. Они заполнены кровянистым или синюшным содержимым (менструальной кровью). Эти кисты чаще всего возникают после врачебных манипуляций, которые проводились без учёта фазы менструального цикла.
Существует ряд факторов, которые могут спровоцировать развитие кист шейки матки:
- Чрезмерная скорость заживления повреждений слизистой оболочки шейки матки, полученных во время родов;
- Частые аборты и их осложнения;
- Выход из репродуктивного возраста (период менопаузы) сопровождается истончением оболочки матки, уязвимостью желез, которые остро реагируют на любые раздражения, вырабатывая слизь в больших объёмах;
- Инфекционные заболевания женских репродуктивных органов;
- Использование внутриматочной спирали;
- Нарушение обмена веществ;
- Гормональная дисфункция при заболеваниях яичников, щитовидной железы и других эндокринных желез.
Кисты на шейке матки образуются реже, чем кистозные образования другой локализации. Это связано с тем, что строение эндометрия типичное и нет большой вариабельности клеток, как у яичника. Иногда развивается киста эндоцервикса шейки матки. Причинами развития наботовой кисты шейки матки считают органические поражения цервикального канала после травм, воспалительных процессов, которые приводят к нарушению продукции железами секрета, скапливающегося под оболочкой.
Нормальная шейка матки имеет несколько зон. Покрывает влагалище и переходит на шейку матки многослойный плоский эпителий. Он выделяет слизистый секрет, который исполняет защитную функцию путём элиминации микроорганизмов и выделения слабокислого секрета, препятствующего дальнейшему попаданию микроорганизмов в цервикальный канал. Дальше находится промежуточная зона.

Виды и симптомы кисты шейки матки
Бывают единичные и множественные кисты шейки матки. Единичные кисты образовываются при наличии небольшого дефекта и нарушении оттока секрета из одной железы. Множественные ретенционные кисты шейки матки бывают чаще, поскольку в большинстве случаев блокируется отток секрета сразу из нескольких желез. Такие кисты могут располагаться по всей шейке матки или быть сконцентрированными в одном месте.
Кисты на шейке матки - опасно ли это? Опасность кист шейки матки состоит в том, что они часто протекают бессимптомно и диагностируются только при появлении осложнений. Мелкие кисты эндоцервикса шейки матки выявляют во время профилактического гинекологического исследования или при ультразвуковом исследовании, которое выполняют по поводу другой патологии.
Симптомы заболевания появляются при наличии множественных или больших кист. Первыми признаками кисты шейки матки могут быть неприятные ощущения и болезненность при половом акте, а также выделение из влагалища кровянистого или гнойного содержимого при инфицировании кист.
Если нарушается целостность эпителия и присоединяется инфекционный процесс, к клинической картине заболевания присоединяются следующие симптомы:
- Выраженные болевые ощущения внизу живота;
- Гнойные выделения из влагалища;
- Системные реакции в виде подъема температуры и выраженного интоксикационного синдрома.
Если выявлена киста на шейке матки, чем она опасна? Иногда кисты шейки матки диагностируют при беременности. Тогда могут возникать послеродовые септические осложнения на фоне инфицирования кисты. Поэтому при диагностировании наботовой кисты у беременной женщины её удаляют малоинвазивными методами.
Обследование пациенток с кистой шейки матки
Кисты шейки матки чаще выявляют случайно или же при появлении осложнений. Простая консультация гинеколога с осмотром шейки матки в зеркалах не всегда позволяет установить диагноз, но изменения на шейке часто позволяют заподозрить развитие кистозных образований.
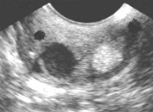
Ультразвуковое исследование с применением полостных датчиков - кисты шейки матки определяются как анэхогенные включения округлой или овоидной формы. Они могут быть как единичными, так и множественными. Чаще всего кистозные образования располагаются в эндоцервиксе, но встречаются и кисты стромы шейки матки. Внутренняя структура кист чаще однородная и анэхогенная, но иногда встречается неоднородное мелкодисперсное или гиперэхогенное содержимое с неровными контурами. Это связано с тем, что кисты возникают при нарушении оттока секрета желез, расположенных не только в слизистой оболочке цервикального канала, но и в мышечном слое. При цервикальном расположении кисты внутреннее содержимое кист не содержит сосудов. Усиление сосудистого рисунка в примыкающей строме не отмечается.
Кольпоскопия - осмотр шейки матки специальным прибором, который обладает увеличительной способностью в несколько десятков раз. Такое обследование позволяет осмотреть шейку матки и увидеть любые изменения эпителия. Цилиндрический эпителий выглядит как сетка клеток с выраженными железами, имеющая вид сосочковой структуры.
Мазок цервикального канала позволяет исключить воспалительные заболевания и метаплазию эпителия шейки матки. При гистологическом исследовании мазка видно расширение железы и её деформация с накоплением секрета. В общеклиническом анализе крови, мочи и бактериальном посеве из влагалища характерных изменения отсутствуют.
Ретенционные кисты шейки матки
Ретенционные кисты шейки матки возникают из-за переизбытка вырабатываемой жидкости в протоке желез. Врождённые ретенционные кисты закладываются в шейке матки во время внутриутробного развития плода. Они проявляются при дисфункции эндокринной системы. Оттоку жидкости может препятствовать густой секрет, инородное тело, рубцовая ткань. В протоке накапливается жидкость, которая его растягивает, что приводит к образованию кисты.
Диагностировать ретенционную кисту довольно трудно по той причине, что она не проявляет себя клиническими симптомами. Для того чтобы определить причину образования, врачи Юсуповской больницы проводят комплексное обследование, которое включает следующие процедуры:
- Кольпоскопию;
- Исследование мазков из влагалища и шейки матки на наличие и характер микрофлоры;
- Ультразвуковое исследование вагинальным датчиком;
- Определение уровня и соотношения гормонов.
Если киста начинает расти или нагнаивается, её удаляют. Для ликвидации больших кист у женщин репродуктивного возраста используют лазерные аппараты последнего поколения, источники радиоволн, проводят криодеструкцию или электрокоагуляцию кисты. Стоит ли удалять кисту шейки матки? После удаления кисты нежелательных последствий не возникает, качество жизни женщины улучшается, исчезает риск развития септических осложнений.
Наботовы кисты шейки матки
Наботова киста шейки матки - что это такое? Наботовы кисты - это новообразования шейки матки, которые являются видами ретенционных кист. Наботовая киста на шейке матки представляет собой мешочек или пузырёк, который содержит слизистый секрет самой железы, формирующийся в результате закупорки выводного протока. Образования выявляют при гинекологическом осмотре у 10-20% женщин репродуктивного возраста.
Наботовые кисты имеют следующие особенности:
- Не передаются половым путём;
- Не имеют симптомов, которые влияют на качество жизни женщины;
- Не вызывают гормональной дисфункции;
- Не преобразуются в злокачественную опухоль.
Сложность диагностики кисты наботовых желез шейки матки заключается в том, что пациенток не беспокоят боли или выделения из влагалища. Отсутствуют и другие признаки недомогания.
Цервикальный канал содержит множество желез, которые выделяют густую слизь. Она, как пробка, перекрывает шеечный канал.
Опасность наботовой кисты заключается в том, что она может воспалиться, в слизи образуется гной. Инфекция легко проникает в матку, а оттуда - в придатки. Это становится причиной следующих заболеваний:
- Оофорита (воспаления яичников);
- Эндометрита (воспаления слизистой оболочки полости матки);
- Сальпингита (воспаления маточных труб);
- Воспалительных заболеваний влагалища или мочевого пузыря.
При нагноении наботовой кисты повышается температура тела, появляется тянущая боль в нижней части живота и слизистые выделения зелёного или жёлтого цвета. Что такое признаки наботовых кист шейки матки? При наличии мелких наботовых кист явные симптомы заболевания отсутствуют.
Лечение наботовой кисты проводят в следующих случаях:
- Значительно увеличиваются размеры кистозного образования;
- Киста нагнаивается;
- Сужается или перекрывается цервикальный канал, что препятствует наступлению беременности.

Лечение кист шейки матки
Если киста обнаружена у женщины моложе 45 лет, обязательно выполняют хирургическое вмешательство. При наличии бессимптомной кисты шейки матки размером менее одного сантиметра в диаметре, придерживаются выжидательной тактики. Такие кисты не трансформируются в злокачественную опухоль, не растут и не вызывают дискомфорта.
Для снятия отёка, боли и других признаков воспаления пациенткам назначают вагинальные свечи «Диклоберл». Иногда проводят лечение ихтиоловой мазью. Этот метод используют давно, но он не всегда эффективен. Тампоны смачивают в ихтиоловой мази и ставят во влагалище на 10-20 минут. Они оказывают противовоспалительное и противоотёчное действие. В случае наличия сопутствующей микрофлоры ихтиол уничтожает микроорганизмы, предотвращает септические осложнения. Консервативные методы лечения используют в качестве симптоматической терапии, которая влияет на развитие кисты.
Применяют следующие методы хирургического лечения кист шейки матки:
- Оперативное вмешательство;
- Электрокоагуляцию;
- Криокоагуляцию;
- Лазерную вапоризацию;
- Радиоволновую терапию.
Оперативное вмешательство заключается в проколе кисты иголкой с аспирацией содержимого. Операцию при наличии больших кист выполняют под контролем УЗИ. Этот довольно простой метод, но при его применении существует риск развития инфекционных осложнений. Электрокоагуляция, криокоагуляция, лазерная вапоризация, радиоволновая терапия - методы, при применении которых врачи используют физические свойства электрического тока, жидкого азота, лазера и радиоволн для удаления кисты.
Диатермокоагуляция. Метод уже давно используется в гинекологической практике и имеет 2 основных способа ведения:
- Контактный - в этом случае прибор имеет непосредственный контакт с тканью новообразования, либо насадка внедряется в толщу ткани;
- Бесконтактный - предполагает наличие микродуги, которая прижигает кисту на некотором расстоянии и не требует контакта с тканью.
Преимуществом данного метода является возможность изучения патологического очага, а также полное иссечение патологических тканей.
К сожалению, риск рецидива кисты шейки матки при удалении с помощью диатермокоагуляции достаточно высок.
Химическое удаление. Удаление кисты шейки матки химическим методом предполагает использование специального раствора. В нашей стране - наиболее яркий представитель - солковагин. Он содержит в своем составе набор сильных кислот: азотную и уксусную.
Недостаток такого метода заключается в прижигании всей поверхности влагалищной части шейки матки, а не только доброкачественных новообразований.
Криодеструкция. Данный метод является частью химического воздействия. Но его уже давно выделили в отдельную методику. В этом случае используется специальный пистолет с жидким азотом. Он замораживает видоизмененные ткани, что способствует их отмиранию. Это происходит потому, что резкое воздействие холодной температуры провоцирует остановку кровообращения в кисте с образованием в капиллярах и сосудах кристаллов льда. Они разрушают ткань изнутри.
Удаление кисты матки (на влагалищной части шейки) не требует дополнительного обезболивания, так как жидкий азот также блокирует проводимость нервных рецепторов, что обеспечивает полное отсутствие болезненных ощущений.
Лазерная терапия. Это относительно новый метод борьбы с доброкачественными новообразованиями, который является одним из наиболее оптимальных на сегодняшний момент.
Лазерное воздействие разрешается молодым пациенткам, которые еще не рожали. Когда показанием для остальных методов является наличие родов в анамнезе.
Методика является достаточно болезненной, поэтому перед процедурой влагалище и шейка матки обрабатывается местным анестетиком, а также вводится проводниковая анестезия.
При этом риск кровотечения сводится к нулю, так как лазерное излучение по ходу прижигания коагулирует поврежденные сосуды.
Часто встречается развитие наботовых кист на эрозии шейки матки. Поэтому подобные методы прижигания можно использовать одновременно при эрозии и кистах шейки матки.
Прижигание шейки матки обычно предшествует хирургическому вмешательству, но что делать раньше, выбирает лечащий врач.
Эндометриоидная киста шейки матки
Эндометриоз - это опухолевый патологический процесс, при котором за пределами полости матки происходит доброкачественное разрастание ткани, которая по морфологическим и функциональным свойствам аналогична эндометрию. Клинические проявления эндометриоза зависят от локализации процесса, степени поражения половых и смежных органов, индивидуального болевого порога. Различают следующие основные симптомы генитального эндометриоза:
- Дисменорея (нарушение менструального цикла), преимущественно альгоменорея - болезненные менструации;
- Болевой синдром различной степени выраженности;
- Диспареуния (боль и дискомфорт во время полового акта).
При расположении эндометриоидной кисты на шейке матки развивается бесплодие.
В Юсуповской больнице обследование пациенток с эндометриозом проводится в следующем объеме и последовательности:
- Стандартное клиническое и гинекологическое, в том числе прямокишечновлагалищное исследование;
- Расширенная кольпоскопия;
- Онкоцитологическое исследование;
- УЗИ малого таза и почек;
- Исследование онкомаркеров (СА-125, СЕА, MCA).
Согласно рекомендациям Американской ассоциации репродуктивной медицины (ASRM), эндометриоз рассматривают как хроническое заболевание, которое требует разработки долгосрочного плана ведения пациентки с максимальным использованием медикаментозной терапии во избежание повторных оперативных вмешательств. Для деструкции эндометриоидной кисты шейки матки используют во время операций различные виды энергии - электрическую, холодовую, лазерную, аргоновый луч. Медикаментозную терапию применяют в виде самостоятельного лечения и с целью профилактики рецидивов после оперативного вмешательства.
Наботовы кисты шейки матки ( Ретенционные кисты шейки матки )
Наботовы кисты шейки матки - это доброкачественные образования, которые формируются при закупорке просвета желез цервикса и скоплении в них слизистых выделений. Патологии может предшествовать псевдоэрозия. Клинические проявления обычно отсутствуют. Содержимое кист иногда становится питательной средой для микроорганизмов, что приводит к присоединению воспаления, сопровождающегося симптомами цервицита. Диагностика основана на данных гинекологического осмотра, кольпоскопии, биопсии и УЗИ малого таза. Лечение проводится методами деструкции, при инфицированных кистах показана антибиотикотерапия.
МКБ-10
Общие сведения
Наботовы (ретенционные) кисты могут встречаться в любом возрасте. У молодых нерожавших девушек они часто сочетаются с эктропионом. В фертильном возрасте у женщин, живущих активной половой жизнью, на фоне цервицита и вагинита нередко диагностируются ретенционные кисты шейки. После наступления климакса из-за снижения уровня эстрогенов и развития атрофических процессов во влагалище могут формироваться множественные мелкие наботовы кисты, которые сочетаются с лейкоплакией, гипоплазией шейки и диффузной или очаговой атрофией цервикса.
Причины
Наботовы кисты не возникают на здоровой неизмененной шейке матки. Патологии предшествует появление зоны метаплазии, замещение нормального многослойного эпителия влагалищной части цервикса цилиндрическими клетками, характерными для шеечного канала. При сохранении провоцирующих факторов наботовы кисты могут рецидивировать. Основными причинами патологии являются:
- Эктопия шейки. В норме стык цилиндрического и многослойного эпителия находится у наружного зева. Смещение границы на экзоцервикс сопровождается процессами пролиферации, во время которой прорастание эпителиальных клеток в железы вызывает их закупорку и нарушение оттока слизи.
- Цервицит. Воспаление шейки матки приводит к отеку, изменению механизма слущивания эпителия, сосудистой реакции. Устья желез сужаются, могут закупориваться, что ведет к формированию наботовых кист. Их содержимое служит средой для размножения патогенных микроорганизмов и поддерживает хроническое воспаление.
- Гормональные изменения. Нарушение баланса половых стероидов выражено в предклимактерическом периоде, а также при различных патологиях в репродуктивном возрасте. Это становится причиной появления зоны трансформации на шейке, в которой происходит перестройка клеток, создаются условия для формирования наботовых кист.
- Травмы цервикса. После неудачных вмешательств, разрывов шейки во время родов эпителиальные клетки способны смещаться из цервикального канала на влагалищную порцию цервикса. Далее запускаются процессы пролиферации, которые могут стать причиной нарушения оттока секрета желез.
Патогенез
В норме шейка снаружи покрыта многослойным эпителием, а цервикальный канал выстилают цилиндрические клетки. Под влиянием гормональных изменений, при воспалении и травмах зона стыка тканей смещается с наружного зева на поверхность шейки, формируется псевдоэрозия. У молодых женщин она может иметь физиологическое происхождение. На этом участке происходят процессы пролиферации тканей, направленные на устранение дефекта.
В цилиндрическом эпителии имеются множественные ходы желез, которые синтезируют слизистый секрет. Зона эктопии нестабильна, в ней запускается восстановление нормального эпителиального покрова. Если эпидермизация происходит за счет разрастания многослойного эпителия по поверхности эктопии, то он перекрывает протоки желез. Выделения скапливаются внутри, ведут к кистозному расширению и образованию наботовых кист.
Вокруг кист возникает перифокальное воспаление, расширяются и пролиферируют сосуды. Стимулируется образование метапластического эпителия, который не относится к патологически измененным тканям, но в присутствии вируса папилломы человека увеличивает риск развития дисплазии и рака. Этот участок тканей около наботовых кист уязвим для любых инфекций. В сами кистозные полости могут проникать возбудители хламидиоза, гонореи и других заболеваний.
Симптомы
Наботовы кисты шейки матки у большинства женщин протекают бессимптомно и становятся случайной находкой при посещении гинеколога. Новообразования минимального размера не ощущаются, не влияют на половую жизнь или способность к зачатию. Крупные кисты способны деформировать шейку матки. В этом случае могут беспокоить тянущие боли внизу живота, над лоном, болезненность во время полового акта.
Патологические бели, слизистые или гноевидные выделения появляются при сочетании наботовых кист с цервицитом или вагинитом. При неспецифической инфекции цвет выделений колеблется от желто-зеленого до серого. Иногда они обильные или умеренные по количеству, вызывают зуд, жжение и раздражение преддверия влагалища. Есть вероятность распространения инфекции восходящим путем в матку и придатки.
Осложнения
Ретенционные кисты редко приводят к тяжелым осложнениям, но при инфицировании становятся очагом, поддерживающим хроническое воспаление. Часто осложняются хламидиозом, при проникновении хламидии киста становится резервуаром для сохранения микроорганизма. Женщины, которые прошли лечение от половых инфекций, на фоне самостоятельного вскрытия кисты могут столкнуться с реинфекцией, что потребует нового курса лечения.
Диагностика
Для диагностики наботовых ообразований пациентка должна обратиться к акушеру-гинекологу. Часто кистозные узелки внешне напоминают преинвазивную форму рака шейки матки, в подобных случаях требуется осмотр онколога. При сочетании с гонореей и другими венерическими болезнями назначается консультация венеролога. Применяют следующие методы диагностики:
- Гинекологический осмотр. При осмотре в зеркалах врач может заметить на слизистой шейки матки ближе к внутреннему зеву единичные или множественные узелки белесого либо бледно-розового цвета. При воспалении ткань вокруг наботовых кист гиперемирована, из шейки появляются выделения.
- Мазок из влагалища. Помогает определить воспалительный процесс, состав микрофлоры. При наличии большого количества лейкоцитов, преобладании кокковой флоры показано противовоспалительное лечение.
- РАР-тест. Мазок на онкоцитологию отражает состояние клеток в области эктопии. В норме должны определяться эпителиальные клетки нормального строения, правильной формы. Настораживает изменение ядерно-цитоплазматического соотношения, появление атипичных клеток и другие признаки дисплазии.
- Кольпоскопия. При осмотре можно выявить наботовы кисты минимального размера. Расширенная кольпоскопия свидетельствует о смещении зоны стыка эпителия на влагалищную часть шейки. При инфекционных процессах отмечаются характерные изменения сосудистого рисунка, снижение количества гликогена.
- Биопсия. Показана при подозрении на дисплазию шейки матки, которая может сопровождать псевдоэрозию и кистозные образования. Проводится во время расширенной кольпоскопии, для гистологического исследования берутся образцы из подозрительных участков.
- Гинекологическое УЗИ. Необходимый этап диагностики при жалобах женщины на боли над лоном, диспареунию. Предпочтение отдается влагалищному исследованию, которое позволяет наиболее точно изучить стояние внутренних половых органов.
Лечение наботовых кист шейки матки
Необходимость лечения кист на цервиксе вызывает споры гинекологов. Многие специалисты утверждают, что при единичных образованиях минимального размера лечение не показано, необходимо регулярное наблюдение, профилактика воспалительных процессов. Согласно другому мнению, наботовы кисты являются провоцирующим фактором для развития инфекционных болезней, служат питательной средой и резервуаром для патогенных бактерий, поэтому требуют удаления.
Консервативная терапия
Лечение проводится амбулаторно под наблюдением врача женской консультации. При подтвержденном воспалении цервикса используют лекарства, предназначенные для борьбы с инфекцией. Предпочтение отдается местным средствам, по показаниям могут применяться системные препараты. Основные направления медикаментозной терапии:
- Антисептики. Для обработки влагалища показаны свечи с антисептиками. Эффективен хлоргексидин, препараты йода (при отсутствии аллергии) в форме влагалищных суппозиториев. Продолжительность курса лечения зависит от выраженности симптомов.
- Антибиотики. Антибактериальные препараты в виде комбинированных свечей помогают при неспецифическом цервиците в сочетании с ретенционными кистами. Системные антибиотики назначаются при специфических инфекциях - хламидиозе, гонорее, трихомониазе.
- Лактобактерии. Рекомендуются после курса антибиотикотерапии образований наботовых желез для восстановления состава нормальной микрофлоры влагалища. В состав некоторых препаратов входят эстрогены, что улучшает процесс колонизации бактериями слизистой оболочки.
Деструктивное лечение
Разрушение капсулы наботовой кисты позволяет удалить ее содержимое, затем производится устранение субстрата для ее формирования - зоны смещенного эпителия. Методы деструкции подбираются индивидуально, определяются возрастом женщины и ее репродуктивными планами. Молодым и нерожавшим рекомендуются щадящие методы, не вызывающие рубцевания шейки матки. Лечение проводят следующими способами:
- Химическое прижигание. Используются ферментные препараты, которые провоцируют химическое повреждение поверхностного слоя тканей шейки матки, разрушают кистозные полости и псевдоэрозию. В отдаленном периоде рубец не формируется, но существует риск рецидива.
- Криодеструкция. После прокола наботовой кисты на ее ложе воздействуют круглым наконечником, заполненным жидким азотом. Возникает холодовой ожог, который постепенно заживает с образованием здоровых тканей.
- Радиоволновой метод. Применяется аппарат «Сургитрон». Вскрытую наботову кисту обрабатывают радиоволнами, которые коагулируют сосуды и ложе. Метод высокоэффективен, не приводит к развитию осложнений, может использоваться у женщин любого возраста.
- Лазерная коагуляция. Прижигание наботовых кист и эрозированной поверхности шейки матки происходит безболезненно. Здоровые ткани не повреждаются, инструмент не соприкасается с поверхностью цервикса, поэтому нет риска инфицирования и последующих осложнений. Период восстановления короткий, рубцевания не происходит.
- Электрокоагуляция. Достаточно травматичная манипуляция, которая применяется у женщин, не планирующих иметь детей. Кисту вскрывают, ее полость и измененные ткани шейки прижигают электрокоагулятором. При заживлении есть риск формирования рубцов, стриктуры цервикального канала.
- Конизация шейки матки. Процедура используется для лечения наботовой кисты шейки матки только при ее сочетании с дисплазией 2-3 степени. Метод заключается в удалении шеечного фрагмента в форме конуса, направленного вершиной к полости матки. Процедура проводится в условиях операционной под общей анестезией.
Прогноз и профилактика
При своевременном обращении к врачу прогноз при наботовых кистах благоприятный. После лечения происходит восстановление эпителиального покрова, развитие деформации или рубцовых изменений шейки матки нехарактерно.
Профилактика заключается в предупреждении формирования псевдоэрозии и ее инфицирования. Для этого нужно избегать случайных половых контактов, во время секса пользоваться презервативом, своевременно проводить лечение вульвовагинита. Женщинам репродуктивного возраста и девушкам, живущим половой жизнью, необходимо посещать гинеколога для профилактического осмотра не менее одного раза в год.
2. Гинекология. Национальное руководство/ под ред. Кулакова В.И., Савельевой Г.М., Манухина И.Б. - 2009.
3. Фоновые заболевания шейки матки. Диагностика и лечение. Учебное пособие для студентов старших курсов/ сост.: Сахаутдинова И.В., Янбаев Д.Ш., Хайбуллина А.Р., Зулкарнеева Э.М. - 2013.
Овариальные кисты
Когда в гинекологии или на форумах женщины обсуждают причины и симптомы кисты, то, как правило, речь идёт именно о кисте яичника. Рассмотрим, что же это за овариальное образование, почему возникает, может ли быть опасна для здоровья и репродуктивной функции, чем ее лучше лечить кисту и когда ее надо удалять.
Овариальная киста представляет собой мешочек с жидкостным содержимым, располагающийся в либо в самом яичнике или на его поверхности, размером от нескольких миллиметров до десятка сантиметров. Возникает она по разным причинам, поэтому некоторые из этих образований не требуют операции, а другие - необходимо удалять.
Виды кист яичников
1. Функциональная киста яичника - возникает в процессе естественного функционирования. К ним относятся:
✔ Фолликулярные - образуются когда, по ряду причин, овуляции не происходит и в месте созревания яйцеклетки образуется пузырек с жидкостью.
✔ Киста желтого тела - образуются в том месте, где после овуляции формируется желтое тело. До 14-16 дня менструального цикла фолликул растет, после чего происходит его разрыв и выход яйцеклетки (овуляция).
Если разрыв фолликула не происходит, на его месте, справа или слева, образуется фолликулярная киста яичника. На месте лопнувшего фолликула образуется желтое тело, которое продуцирует прогестерон. Если же желтое тело не претерпевает обратного развития, образуется киста жёлтого тела яичника. Она может достигать размеров до 10 см.
Эти кисты у женщин обычно не требуют удаления и оперативного лечения. Для того, что бы убедиться в том, что киста на яичнике функциональная, нужно повторно провести УЗИ через некоторое время. Если она исчезла или значительно уменьшилась, значит, для волнений причин нет. В помощь организму возможно назначение на 1-3-6 менструальных цикла гормональных или растительных препаратов ускоряющих ее «рассасывание». В любом случае наблюдение гинеколога и грамотное обследование необходимы.
2. Истинные кисты яичников.
✔ Дермоидные кисты, или тератомы - эти кисты формируются еще до рождения. Их врачи называют «чудо-кистами». Дело в том, что «начинкой» этих кист может быть любая ткань человеческого организма, например жировая, хрящевая, костная. Это абсолютно доброкачественные образования, но часто дермойдные кисты яичников могут воспаляться или перекручиваться, вызывая острую боль, и поэтому требующие удаления.
✔ Цистаденомы - еще один часто встречающийся вид кист яичников. На УЗИ они различаются по своему наполнению и строению стенок. Есть цистаденомы доброкачественные. Есть - вызывающие настороженность. Это не злокачественные образования, но они, из всех остальных кист, с наибольшей вероятностью могут озлокачествлятся. В первом случае, минимально травмируя яичник, кисту удаляют, во втором случае киста удаляется вместе с тканью яичника.
✔ Эндометриоидные кисты - один из вариантов проявления такого заболевания как эндометриоз. Эндометрий - внутренний слой матки, который отторгается каждый месяц, при этом возникает кровотечение - менструация. В яичнике этот эндометрий тоже отторгается, а выделяющаяся при этом кровь скапливается в пределах кисты. Это доброкачественные образования, но при их наличии может повышаться анализ онкомаркера СА-125 в крови.
3. Параовариальная киста яичника.
Они образуются не в яичнике, а из тканей, лежащих рядом с ним. Они всегда доброкачественны, но также могут перекручиваться.
Причины образования
- дисфункция менструального цикла;
- раннее начало менструаций (до 11 лет);
- урогенитальные инфекции и ЗППП;
- заболевания щитовидной железы;
- прием гормональных препаратов;
- гинекологические операции;
- неправильный образ жизни;
- эндокринные нарушения, ожирение;
- нерегулярная половая жизнь;
- редкие оргазмы;
- воспаления в области придатков матки;
- наследственный фактор;
- прерывание беременности.

Симптомы кисты яичника
Как правило, неосложненные кисты яичника протекают бессимптомно и являются случайной находкой при ультразвуковом исследовании. При эндометроидных образованиях признаком является постоянная, ноющая боль в низу живота, усиливающаяся накануне и во время менструации. Этот тип кист очень часто сопровождаются спаечными процессами в малом тазу, что приводит к нарушению работы кишечника и мочевого пузыря (запор, учащенное мочеиспускание), а также - к бесплодию.
Независимо от того, что имеется - киста правого или левого яичника, симптомы у женщины исходя из причины бывают следующие:
- боли в животе слева или справа, порой значительные;
- болезненность во время менструации;
- давление и чувство тяжести внизу живота;
- нарушения и сбои менструального цикла (укорочение или удлинение);
- рвота, тошнота после полового акта, физической нагрузки;
- боли внутри влагалища, иногда сопровождаются кровянистыми выделениями;
- дискомфорт во время дефекации или опорожнения мочевого пузыря.
Часто могут отмечаться незначительное повышение температуры тела, более скудные или обильные менструации. При больших размерах отмечается ассиметричное увеличение живота. Ставить себе диагноз «киста яичника» без УЗИ и осмотра у врача, основываясь лишь на наличие симптомов, нельзя - необходимо пройти обследование у гинеколога.
Киста яичников при беременности
Наличие кисты яичника, только если это не эндометриоидная киста, не влияет на зачатие. Однако если вы планируете беременность заранее, то кисту яичника лучше удалить. Во время беременности она может и не изменить своего размера, но если она начала расти или существует риск перекрута, то после 16 недели беременности ее возможно удалить. Если нет других проблем со здоровьем, зачатие после удаления образования возможно. Более того, во время операции можно устранить не только основную проблему, но и, если есть необходимость, разделить спайки, проверить проходимость труб, удалить очаги эндометриоза и т.д. После лапароскопических операций спайки в брюшной полости практически не образуются, т.к. травмирование тканей минимально.
Может ли киста яичника расти, болеть и лопнуть?
Растущая киста яичника у женщин может осложниться разрывом, нагноением, перекрутом ножки кисты. Провоцирующим фактором может быть половой акт или физическое напряжение. При этом возникают следующие симптомы:
Помимо риска озлокачествления опасность болезни в том, что кисты яичников, фото разных видов который смотрите ниже, могут расти и лопнуть, воспаляться, прорываться, сдавливать соседние органы, например кишечник или мочевой пузырь, и перекручиваться. Причем перекрут ножки кисты может произойти и изолированно, и вместе с яичником и маточной трубой. При этом осложнениях возникает необходимость в экстренном хирургическом вмешательстве, которое всегда хуже, чем заранее запланированное и подготовленное.
Киста шейки матки
Кисты на шейке матки - это нередкая гинекологическая патология, преимущественно вследствие воспалительных изменений или гормонального дисбаланса в женском организме. Бывают кисты единичные и множественные. В гинекологии такие "шишки" на шейке матки называются «Наботовы кисты» или «Овули наботи».Что делать и как лечить, каким методом лучше их удалить или прижечь, где в Москве врачи это делают хорошо и не больно - об этом расскажем в этой статье.
Общая информация
Визуально единичные кисты на шейке матки выглядят как округлые, жидкостные образования разного диаметра, формирующееся на поверхности влагалищной части шейки или в цервикальном канале вследствие закупорки выводного протока шеечных (наботовых) желёз. Переполняясь жидкостью, которая не имеет выхода наружу, выводные протоки цервикальных желез постепенно разбухают и, как результат, образуется небольшая, примерно с горошину, шишка - ретенционная киста шейки матки (фото на странице ниже). По некоторым данным они встречаются у 10-20% пациенток в возрасте 23-45 лет. Множественные Наботовы кисты, в т.ч. эндометриойдные, гинекологи чаще находят у рожавших женщин, единичные ретенционные - у нерожавших, внутри цервикального канала - только на УЗИ.
Особенности:
- не уменьшается под действием лекарств;
- размеры от 1-5 до 30 мм в диаметре (чаще 10-12-15 мм);
- не перерождается в онкологию;
- не влияет на микрофлору влагалища;
- не влияет на беременность, плод, не является причиной выкидыша;
- кисты эндоцервикса от 5 мм. видны на УЗИ;
- присоединение инфекции ведет к воспалению и нагноению.

Причины возникновения
Для понимания механизма возникновения кист шейки матки и причинах, ведущих к этому заболеванию, расскажем сначала о строении шейки в норме. Несмотря на свои относительно небольшие размеры, она представляет собой довольно сложно организованный орган, и патология ее весьма разнообразна.
См. фото:
"Как выглядит киста шейки матки".

Шейка матки выглядит как цилиндр или конус, размером в среднем 3х2 см (может быть больше или меньше), посередине которого находится вход в шеечный канал - эндоцервикс, который ведет в полость матки. Изнутри цервикальный канал выстлан клетками однослойного цилиндрического эпителия. Он имеет множество внутренних желез, вырабатывающих слизь. Они получили свое название по имени автора, их описавшего - "Наботовы железы". Слизь предназначена для создания защитной пробки, препятствующей проникновению в матку бактерий.
Через цилиндрический эпителий она выводится в цервикальный канал (внутренняя область шейки). На поверхности шейки также они имеют выводные протоки, по которым происходит свободное отхождение слизистого секрета во влагалище.
См. фото:
"Киста эндоцервикса на УЗИ".

Снаружи (со стороны влагалища) шейка матки покрыта совершенно другим слоем клеток - многослойным плоским неороговевающим эпителием. Он переходит на влагалищные своды и выстилает полость влагалища изнутри. Он не имеет желез и в меньшей степени изменяется в течение менструального цикла.
Граница между этими двумя видами эпителия чаще всего расположена в области наружного маточного зева (входа в шеечный канал матки) и называется зоной трансформации. В зоне трансформации возникает более 90% цервикальных неоплазий (предраковое состояние) и раковых поражений. Все болезни на шейке касаются этих двух видом эпителия, которые изменяются под воздействием различных причин. По неизвестным пока причинам происходит заполнение протоков Наботовых желез чешуйчатым эпителием и нарушение оттока слизистого секрета желез, что приводит к их заполнению, увеличению, т.е это и является причиной возникновению кисты шейки матки.
Факторы, вызывающие закупорку выводных протоков, как причины кисты шейки матки:
- Возрастные изменения в цервикальной архитектонике;
- Воспалительные процессы шейки матки и цервикального канала (цервициты и т.п.);
- Медицинские манипуляции на шейке, удаление полипа;
- Хирургическое прерывание беременности, в т.ч. мини-аборты;
- Гормональный нарушения;
- Прижигание патологии экзоцервикса лазером или электротоком;
- Наружная форма эндометриоза.
Таким образом, Наботова киста - это одна или несколько образований эндоцервикса шейки матки, располагающихся в области влагалищной части, которые появляются вследствии закупорки протоков желез.
Хотите увидеть, что внутри влагалища? Приглашаем в клинику сделать видеокольпоскопию. Картинка вагины в HD-качестве!
Получите фото кисты шейки матки и других находок! Узнайте подробности про видеокольпоскопию.
Симптомы кисты шейки матки
Женщина с Наботовой кистой обычно не ощущает никаких симптомов и неудобств, связанных с её наличием. Проводя пальцем внутри влагалища, в глубине иногда можно нащупать шишку с небольшую горошину. Такие ретенционные элементы эндоцервикса небольших размеров не имеют определенных проявлений и выявляются при осмотре гинекологическим зеркалом или при кольпоскопии. Они представляют собой округлые образования, чаще белого, бело-желтого цвета, в виде "куполов", "шишек", умеренно плотной консистенции, размерами от нескольких миллиметров до сантиметра и больше. Во многих случаях отмечаются множественные образования. Наиболее частая локализация - наружное отверстие цервикального канала. Эндоцервикальные кисты шейки матки на УЗИ определяются в 30% случаев при отсутствии видимых проявлений на доступной обзору части шейки.

Отсутствие болезненных симптомов не означает, что такую патологию можно оставить без внимания. Внутри кисты находится прозрачная слизь или кровь, которая при проникновении инфекции может загноиться. Воспалительный процесс способен при этом распространиться на всю шейку матки и поразить внутренние половые органы.
Клинические проявления таких осложнений в гинекологии уже более очевидны (повышение температуры, необычные выделения, боли в животе и другие). Игнорирование лечения может стать причиной бесплодия.
Воспаление кисты шейки матки имеет такие симптомы:
- Кровянистые выделения из вагины;
- Боли внизу живота;
- Дискомфорт при интимной близости;
- на ощупь есть "шарик" в глубине влагалища;
- Неприятный запах от гениталий.
Эндометриоз на шейке матки
Отдельно следует упомянуть о таком гинекологическом заболевании, как эндометриойдная киста шейки матки. Она образуется в том случае, когда эндометрий - слизистая из полости матки - внедряется в ткань шейки. Этому могут способствовать повреждения шейки матки во время хирургических абортов, травматичных родов, некоторых гинекологических манипуляций (выскабливания цервикального канала, удаления полипов, введения спирали и т. п.). Здесь клетки эндометрия постепенно разрастаются, циклично прогрессируя одновременно со сменами фаз менструального цикла. По этой причине эндометриоидная киста шейки матки заполнена кровянистым содержимым, имеет синеватый или тёмно-коричневый, "шоколадный" оттенок.
Как лечить кисту шейки матки
Что делать дальше и могут ли быть опасны эти образования? Обычно они не представляет особой опасности для жизни, но от них лучше своевременно избавляться. Почему так? Наросты, шишки на шейке матки содержат слизь, состоящую из многочисленных микроорганизмов и бактерий, либо кровь, и которые могут под воздействием некоторых внешних или внутренних причин воспаляться. Причём подобные неприятности могут случаться, как это часто бывает, в самый неподходящий момент.
Обе разновидности не несут непосредственного риска для здоровья. Тем не менее, специалисты в области гинекологии говорят, что кисты шейки матки надо удалять - вскрывать и делать "прижигание", так как очень часто в крупных и множественных овули наботи может образоваться гнойный инфильтрат. Кстати использование в домашних условиях свечей, мазей, таблеток, "народных средств" и методов нетрадиционной медицины в данном случае абсолютно бессмысленно. Также вызывает недоумение обсуждение данной темы на различных женских форумах (что это за образование, надо ли его лечить и как лучше, есть ли таблетки и т.п. ). Зачем тратить время и слушать мнения в интернете, чаще - от некомпетентных в этой сфере людей, высказывающих свое мнение на медицинские темы, основывая его на собственном опыте. Глупо и не имеет практической пользы в 99% случаев! Гораздо разумнее обратиться в профильное учреждение к грамотному, хорошему гинекологу и узнать, что делать с наботовой кистой от специально обученного специалиста. Естественно, удаление кисты на шейке матки проводится после обследования.
Анализы и диагностика
Присутствие Наботовой кисты шейки матки гинекологи выявляют во время осмотра на кресле с помощью влагалищных зеркал. Не осложнённая ретенционная форма имеет вид белесого или желтоватого выпуклого куполоподобного образования-горошины. Эндометриойдное образование видится как очаг темно-красного или бордового цвета, иногда кровоточащий при прикосновении. Единичные подслизистые очаги малого размера можно увидеть при проведении расширенной кольпоскопии, а ретенционные множественные кисты цервикального канала от 5 мм. в диаметре - с помощью трансвагинального УЗИ малого таза.
Базовый перечень анализов перед лечением:
- Расширенная кольпоскопия
- Цитология цервикального канала
- Анализы на "скрытые инфекции"
- Анализ крови на онкомаркер SCC
- Биопсия (по показаниям)
- Анализы крови (РВ, ВИЧ, Гепатит В,С)
Удаление кисты шейки матки
Надо ли удалять наботовы кисты? Обязательно хирургическому лечению (вскрытию и удалению содержимого с последующей прижиганием ложа радиоволной) подлежат кисты шейки матки больших размеров (препятствующие зачатию, вызывающие гипертрофию, деформацию шейки и другие жалобы), осложненные воспалительным процессом и нагноением. Процедуру желательно проводить в первую половину менструального цикла (на первой или второй неделе после окончания менструации). Дополнительного ухода в последующем не требуется.
Обязателен контрольный осмотр у лечащего гинеколога и кольпоскопия через 1- 1,5 месяца после вскрытия. Далее расскажем про саму процедуру прижигания кисты шейки матки.
help_outline Где в Москве удалить Наботовы кисты, вскрыть безболезненно и хорошо? Вот как это делается в нашей клинике.
1. Во время первичного приёма гинеколог проводит осмотр на кресле, берет анализы на скрытые урогенитальные инфекции, делается расширенная кольпоскопия (осмотр полости влагалища под микроскопом), чтобы убедиться что это действительно Наботова киста, а не какая-либо более серьезная патология) и онкоцитологический мазок на атипические клетки.
2. В следующий визит в клинику, после получения анализов, производится вскрытие капсулы кисты шейки матки радиоволной. Через отверстие в капсуле по задней стенке вытекает содержимое (густая вязкая слизь или кровь). После чего ложе кисты "прижигается" радиоволнами или обрабатывается специальным раствором (Солковагин, пр-во Швейцария). Обычно пациентки сразу благополучно отправляются домой.
3. После удаления кисты шейки матки женщину могут беспокоить 1 - 2 дня слабые ноющие боли внизу живота (если образования были множественные или значительных размеров), небольшие выделения. С 1-го дня после вскрытия овули наботи мы рекомендуем вставлять во влагалище заживляющие свечи «де-пантол». Применение местных медикаментозных средств ускоряет процесс заживления и делает его более комфортным.
Фолликулярная киста яичника: причины, диагностика, тактика лечения

Выпускник медицинского факультета УЛГУ. Интересы: современные медицинские технологии, открытия в области медицины, перспективы развития медицины в России и за рубежом.
- Запись опубликована: 21.04.2022
- Reading time: 4 минут чтения
Фолликулярная киста яичника — одно из наиболее частых изменений у женщин детородного возраста. Это функциональная киста, связанная с гормональными нарушениями. Также в список предикторов развития входят: ранний возраст первой менструации, стрессы, нерегулярные циклы и ожирение. Патология диагностируется с помощью УЗИ.
Краткая информация о патологии
Фолликулярная киста яичника — распространенное, обычно доброкачественное заболевание, макроскопически представляющее собой тканевый резервуар жидкости (пузырек), формирующийся внутри яичника. Такого типа кисты диагностируют у женщин детородного возраста, хотя не исключена возможность развития заболевания и позже. Поэтому в любом возрасте нужны консультации гинеколога и УЗ-контроль.
У возрастных больных изначально простое доброкачественное образование может стать отправной точкой для развития онкологического заболевания — рака яичников.
В ходе правильного процесса созревания яйцеклетки в течение каждого менструального цикла различают стадию третичного фолликула (Граафов пузырек). На следующем этапе этот фолликул разрывается, зрелая яйцеклетка высвобождается и попадает в фаллопиеву трубу. Иногда Граафов пузырек не разрывается (это связано с эндокринными нарушениями) и преобразуется в кисту.
Фолликулярная киста яичника чаще всего занимает внутреннюю часть яичника, растет в полость органа, редко прорастает наружу (экзофитный рост). Фолликулярные кисты могут развиваться как единая инкапсулированная структура (одиночная) или образовывать скопления (множественные).
Если кисты формируются с обеих сторон и покрывают почти всю поверхность яичника, нарушается правильное функционирование органа. Это в свою очередь влияет на фертильность женщины и часто становится причиной бесплодия.
Обычно фолликулярная киста достигает до 4 см, хотя может быть и гораздо больших размеров.
Причины образования фолликулярных кист
Причина образования фолликулярных кист яичников не установлена. Большинство специалистов в области гинекологии обращают внимание на гормональные нарушения в качестве пускового фактора их развития. Кроме того, в список факторов риска входят:
- ранний возраст первой менструации (около 11 лет);
- нерегулярный менструальный цикл;
- стресс;
- чрезмерно развитая жировая ткань (ожирение).
Возникновение кисты яичника само по себе не является наследственной патологией. Наследуется только предрасположенность, например, к эндокринным нарушениям, это и способствует образованию функциональных кист, в том числе фолликулярных кист яичников.
Механизм развития
В яичнике из незрелых яйцеклеток каждый месяц производится по крайней мере одна зрелая яйцеклетка. Слово “производится” не совсем правильное, поскольку сами яйцеклетки и их количество закладываются еще внутриутробно. После достижения половозрелого возраста, они периодически развиваются и созревают.
Яйцеклетки образуются в фолликулах Граафа. Сразу после менструации в одном из яичников, или в обоих сразу, под воздействием гормонов - в основном ФСГ (фолликулостимулирующий гормон, вызывающий рост фолликулов) появляется несколько пузырьков. Пузырьки начинают расти. Они растут около 2 мм в день — но не все. Довольно быстро один из фолликулов берет на себя функцию доминирующего фолликула, остальные исчезают.
Иногда растет несколько доминантных фолликулов - тогда может наступить многоплодная беременность. Эта тенденция производить более одного доминантного фолликула наследуется от матери.
Когда доминантный фолликул достигает 20-22 мм, яичник “переполнен” эстрогенами, вырабатывающимися в клетках, окружающих доминантный фолликул. Под действием эстрогенов происходит каскад гормональных реакций, что в результате приводят к овуляции. Фолликул разрывается, зрелая яйцеклетка захватывается гифами фаллопиевой трубы. С этого момента в течение следующих 24 часов она может быть оплодотворена.
Чтобы произошла овуляция, должны быть выполнены именно эти два условия - фолликул должен быть достаточно зрелым, диаметром около 20 мм, и должен произойти выброс гормонов ЛГ и ФСГ. Обычно эти условия выполняются около 14-го дня цикла, но, по сути, овуляция может произойти уже на несколько дней раньше или через несколько дней.
Если по разным причинам не происходит выброса гормонов, вызывающих овуляцию, то не происходит разрыва доминантного фолликула, он растет дальше. Фолликулы больше 20-22 мм перестают быть фолликулами, постоянно растут, внутри есть жидкость, и все это вместе образует кисту.
Иногда в результате значительно нарушенного гормонального баланса фолликул трансформируется в кисту на более ранней стадии созревания. В следующем менструальном цикле ситуация повторяется, что в свою очередь приводит к скоплению многочисленных кист на яичнике. Это состояние называется поликистозным заболеванием органов, точнее синдромом поликистозных яичников (СПКЯ).
Название описываемой фолликулярной кисты яичника «функциональная» означает, что она участвует в функционировании яичника.
Осложнения в результате фолликулярных кист
Эти кисты не безобидны:
- Большие кисты могут разрываться. Если рядом есть сосуды, возникает риск массивного внутрибрюшного кровотечения. Если к содержимому присоединились бактерии, развивается перитонит;
- Перекрут или ущемление кисты, фиксирующейся в органе тонкой ножкой. Это вызывает сильную боль, тахикардию, тошноту и затем воспаление брюшины;
- Возможна недостаточность яичников. Редкое, но возможное осложнение, приводящее к разрушению здоровой ткани яичников;
- Возможен абсцесс яичника. Возникает после нагноения самой кисты, а затем и всего органа.
Симптомы при развитии кист в яичниках
Фолликулярные кисты яичников в начальной стадии заболевания у большинства больных протекают бессимптомно, особенно при их небольшом размере. Выявляются случайно во время планового визита к гинекологу и контрольного УЗИ.
По мере прогрессирования заболевания происходит постоянное увеличение диаметра кисты на яичнике, что оказывает давление на соседние анатомические структуры. Поэтому симптомы диктуются тем, какой орган сдавливается (вследствие чего нарушается его функционирование).
Характерные симптомы фолликулярной кисты:
- боли внизу живота, описываемые пациентками как ощущение стягивания, перетягивания внизу живота;
- боль в проекции яичника, где локализуется патологическое изменение;
- в случае непосредственной близости к мочевому пузырю, женщины отмечают симптомы дизурии, т.е. боли при мочеиспускании, болезненное давление на мочевой пузырь;
- дискомфорт в животе, преимущественно метеоризм; (иногда возникают прорывные кровотечения);
- боли во время полового акта;
- скручивание или разрыв кисты вызывает перитонеальные симптомы;
- симптомокомплекс «острый живот» — развивается вследствие эвакуации содержимого кисты и воспаления брюшины.
Почувствовав внезапную боль внизу живота, особенно, если диагностирована киста яичника, необходимо срочно обратиться в клинику.
Диагностика при фолликулярных кистах
Окончательный диагноз “фолликулярная киста яичника” ставится на основании трансвагинального УЗИ. Это самый надежный и рекомендуемый метод диагностики этого заболевания. Согласно рекомендациям гинекологических обществ, каждая женщина старше 35 лет должна ежегодно проходить это обследование в рамках профилактики. Особенно это касается пациенток, проходящих гормональное лечение, даже в виде контрацепции, поскольку гормонотерапия способствует формированию изменений такого характера.
При ультразвуковом исследовании врач оценивает форму, размеры кисты, локализацию и содержимое. Признаки, указывающие на наличие кист:
- утолщенная стенка яичника;
- неправильная структура органа;
- киста с многочисленными камерами, образующими перегородки;
- чрезмерная васкуляризация поражения.
В последующем обследовании тоже применяется сонография. Целесообразно перед началом терапии визуализировать структуры яичников на снимке УЗИ, он потребуется в дальнейшем для сравнения картины. УЗИ позволяет контролировать эффективность гормональной терапии, применяемой в случае функциональной кисты.
- Тест на беременность — ее необходимо исключить.
- Анализ на уровень гормонов: эстроген, прогестерон, ФСГ, ЛГ. Их концентрация важна для правильного функционирования яичников.
- Рекомендуется контрольное определение онкомаркера яичников Са-125, особенно когда случайно обнаруженное изменение на УЗИ-картине представляет собой солидное образование.
Лечение фолликулярных кист
- их размера и динамики роста;
- симптомов;
- возраста;
- желания иметь детей (при развитии осложнений и необходимости хирургического вмешательства).
При небольших образованиях назначают динамическое наблюдение (обязательный контроль УЗИ).
Консервативное лечение фолликулярных кист
При увеличенных, растущих, симптоматических ФК, лечение заключается в выравнивании уровня гормонов, чего легко добиться с помощью приема противозачаточных таблеток. Назначают монофазные КОК, преимущественно низкодозированные (Ярина, Диане-35, Жанин, Марвелон, Ригевидон). Решение о выборе конкретного наименования принимает лечащий гинеколог.
Эти виды препаратов:
- уменьшают уже выявленные изменения;
- эффективно защищают, препятствуют образованию новых ФК;
- предотвращают развитие осложнений;
- регулируют цикл.
Хирургическое лечение фолликулярных кист
Иногда фолликулярная киста настолько велика, что сама по себе фармакотерапия не приносит должного эффекта, тогда необходимо хирургическое вмешательство. Другие показания — быстрый рост и осложнения (например, перекрут). Вмешательство (вылущивание образования) выполняется с помощью лапароскопии.
В последнее время для лечения ФК широко используется ТАБ (тонкоигольная аспирационная биопсия) для аспирации содержимого из кист, затем они исчезают. Проводится под контролем УЗИ. Метод позволяет сохранить репродуктивную функцию (нормальную работу яичников), избавляет от симптомов (боли или симптомов, возникающих в результате давления на соседние структуры). Полученную жидкость отправляют на цитологию.
Прогноз излечения фолликулярных кист яичников
Прогноз излечения благоприятный, но необходимо периодическое обследование, поскольку возможен рецидив. Главное — быть в надежных руках врача-гинеколога, выполнять его рекомендации и следить за здоровьем.
Читайте также:
- Психомоторные расстройства при церебральном параличе. Перцепторные расстройства у детей
- Показания для восстановления дистального сухожилия двуглавой мышцы плеча
- Ганглиозидоз на КТ, МРТ головного мозга
- Гиперкальциемия у онкологических больных
- Случай развития рака полового члена на фоне длительного фимоза
