Рекомендации по анализу рентгенограммы тазобедренного сустава в ПЗ проекции в позе лягушки (модифицированный метод Кливза)
Добавил пользователь Евгений Кузнецов Обновлено: 24.12.2025
Направляя пациента на рентгенографию, травматолог, ортопед, хирург или ревматолог имеют возможность оценить состояние структур данного костного сочленения.
Наиболее распространенные показания к проведению рентген-диагностики тазобедренных суставов касаются:
- травматических повреждение тазобедренной области, в частности, переломов шейки бедра;
- врожденного вывиха или дисплазии тазобедренных суставов;
- юношеского эпифизеолита головки бедренной кости;
- артрита, артроза тазобедренного сустава, деформирующего артроза или коксартроза;
- коксита (воспаления тазобедренного сустава);
- некроза головки бедренной кости;
- остеоартрита, остеомиелита и остеохондроматоза;
- суставных кист и других образований;
- затронувшего суставы костного туберкулеза.
В принципе, жалобы пациента на ощущаемые боли в тазобедренном суставе считаются достаточным поводом для назначения рентгенографии — чтобы установить их точную причину. Если перечисленные выше заболевания и состояния отсутствуют, в протоколе (описании) рентгеновского снимка будет указано, что рентген в норме. Это означает, что полученные изображения всех суставные элементы не имеют анатомических нарушений, подробнее см. — Тазобедренный сустав
Рентген тазобедренных суставов у детей проводится по строгим показаниям - только после достижения ребенком девяти месяцев. Основной патологией является врожденный вывих бедра. Кроме того, рентген может назначаться при боли в тазобедренном суставе у детей разного возраста.
Для проведения рентгенографии подготовка заключается в ограничении приема пищи, вызывающей метеоризм, и очищении кишечника (с помощью клизмы) — за несколько часов до посещения рентгенкабинета.
Непосредственно перед началом процедуры на пациента надевают защиту — в виде специальных экранирующих покрытий, которые предотвращают проникновение рентгеновского облучения в другие части тела и внутренние органы.
Стандартизированная техника проведения рентгенографии мало зависит от используемого метода - аналогового или цифрового. Если в первом случае процедура длится около 10 минут, и снимок получают на пленке, то при втором методе время сокращается вдвое, а изображение может быть в двух форматах, в том числе цифровом.
Максимальную визуальную информацию дает рентген тазобедренного сустава в двух проекциях: в прямой проекции (или фронтальной), получаемой фокусировкой рентгеновской трубки перпендикулярно плоскости тела — спереди или сзади, и аксиальной (поперечной или горизонтальной плоскости), фиксирующей элементы сустава сверху вниз — вдоль бедренной кости. Также снимок может делаться при боковой проекции, то есть пациент должен лечь на бок, согнув ногу в коленном и тазобедренном суставах.
При обычной рентгенографии обычно делается переднезадняя и боковая рентгенограмма бедра. Переднезадняя рентгенограмма бедра включает изображения обеих сторон бедра на одной и той же пленке и выступает в направлении середины линии, соединяющей верхнюю часть лобка симфиза и передне-верхнюю подвздошную ость; расстояние между рентгеновской трубкой и пленкой должно составлять 1,2 метра. Если рентгенограммы переднезаднего бедра сделаны в положении лежа на спине, одной из наиболее распространенных ошибок является искажение изображения при повороте бедра снаружи.
Таким образом, либо обе коленные чашечки должны быть направлены вперед, либо нижние конечности должны быть повернуты внутрь на 15-20 ° для приспособления бедренной антиверсии на рентгенограммах переднезаднего бедра.
Если проводится рентген тазобедренных суставов по Лаунштейну (Лауэнштейну), то положение пациента выглядит так: лежа на спине, одна нога в колене сгибается (под углом 30, 45 или 90°), при этом ее ступня опирается на голень выпрямленной ноги; бедро согнутой конечности максимально отводится в сторону так, чтобы тазобедренный сустав занял позицию наружной ротации (то есть головка бедренной кости проворачивается в вертлужной впадине).
Следует иметь в виду, что рентген костей таза и тазобедренных суставов у детей раннего возраста не показывает точных очертаний суставных структур, так как их основная ткань — хрящевая, которую рентгеновские лучи не отображают. Поэтому интерпретацию полученной рентгенограммы — с определением смещения головки бедренной кости по отношению к вертлужной впадине тазовой кости — проводят с помощью накладывания на снимок специальной сетки, основные и вспомогательные линии которой соответствуют анатомически нормальному расположению структур сустава. Используя данные линии, измеряются различные параметры, в том числе центр вертлужной впадины и степень наклона ее крыши (ацетабулярный угол), угол отклонение шейки бедра вперед и т.д.
А если возникает подозрение на нарушение развития ядер окостенения (особенно у недоношенных младенцев) полутора-двухмесячному ребенку следует делать ультразвуковое исследование тазобедренного сустава.
Рентген не проводят при любых острых инфекциях, повышенной температуре, кровотечении, а также при воспалении синовиальной бурсы данного сустава и околосуставных мышечных сухожилий.
Категорически противопоказано проводить рентгенографию беременным и детям первых девяти месяцев жизни (хотя в педиатрии запрет на рентген действует до 14-ти лет).
Каждая рентгенограмма дает важную информацию, необходимую для точной диагностики заболеваний тазобедренного сустава . Как правило, переднезадний профиль предоставляют информацию о форме вертлужной впадины, тогда как другие боковые изображения предоставляют информацию о проксимальных отделах бедра, включая головку бедра.
На рентгенограммах переднезаднего бедра может быть получена следующая информация:
- длина ноги,
- угол шейки,
- покрытие вертлужной впадины: угол наклона латерального центрального края (СЕ) и индекс выдавливания головки бедра,
- глубина вертлужной впадины,
- наклон вертлужной впадины,
- версия вертлужной впадины,
- сферичность головы и
- ширина суставного пространства.
На боковых рентгенограммах тазобедренных суставов оценивается форма и смещение сочленения головки бедра и бедреной кости, а также смещение угла альфа.
Учитывая угол Идельберга-Франка, угол Виберга и MZ-расстоянини децентрализации, статистическими методами можно выделить нормальные и патологические суставы: у взрослых значения тазобедренного сустава от 6 до 15 указывают на нормальную форму сустава; значения между 16 и 21 указывают на небольшую деформацию, а значения от 22 и выше указывают на серьезную деформацию, у детей значения от 15 и выше являются патологическими.
Важно подчеркнуть необходимость использования рентгенограмм в сочетании с результатами физического обследования, поскольку результаты визуализации не всегда связаны с наличием боли, и наоборот.
На рентгене признаки вывиха или дисплазии тазобедренных суставов визуализируются в виде вертикального и бокового смещений головки бедренной кости от вертлужной впадины тазовой кости (измеряемого на полученном снимке и сопоставляемого с анатомической нормой). Поверхность головки бедра часто не соответствует вертлужной впадине тазовой кости, например, при большом размере головки и недостаточной глубине впадины. А угол наклона плоскости входа в нее превышает норму.
Также отмечаются смещение центра вертлужной впадины, уменьшение или увеличение шеечно-диафизарного угла (определяемого между вертикальными осями шейки бедренной кости и ее телом — диафизом).
Еще один немаловажный рентген признак данной патологии — излишний наклон вперед узкой части бедренной кости (шейка бедра), который рентгенологи называют преувеличенной антеторсией.
Рентгенография тазобедренного сустава
Тазобедренный сустав является сложным многоосным сочленением, которое выполняет сгибание/разгибание, отведение/приведение, пронацию и супинацию бёдер и принимает на себя серьёзную нагрузку. Любые нарушения в его функционировании не только приводят к серьёзному дискомфорту для человека, но и могут стать причиной развития серьёзных нарушений. Рентген тазобедренного сустава (ТБС) — это неинвазивный диагностический метод, ценность которого сложно переоценить.
Он нашёл широкое применение в разных областях медицины, включая травматологию, ревматологию, ортопедию, гнойную хирургию для диагностики заболеваний и последствий перенесённых травм, для определения объёма предстоящей операции или эффективности проведённого лечения. Процедура достаточно безопасна, высокоэффективна и проста, но при этом позволяет получить ценные данные о состоянии ТБС пациента.
Если не знаете, где сделать рентген тазобедренного сустава, но хотите быть уверены в том, что диагностика будет проведена на достойном качественном уровне, обращайтесь в диагностический центр многопрофильной клиники ЦЭЛТ.
Показания и противопоказания к рентгенографии тазобедренных суставов
Диагностику ТБС проводят при многих заболеваниях опорно-двигательного аппарата. Она позволяет выявить патологические состояния сустава, которые наступили вследствие:
- Перенесённых травм: вывихов, трещин и травм;
- Дегенеративно-дистрофического заболевания — остеоартроз;
- Отмирания костной ткани головки бедра — некроз;
- Новообразований костной ткани ТБС;
- Патологий воспалительной этиологии: артритов, остемиелита;
- Врождённых аномалий в виде гипоплазии или дисплазии;
- Нарушения обменных процессов, которые представлены такими заболеваниями, как остепороз и подагра.
Помимо этого, рентгенография таза и тазобедренных суставов проводится в рамках предоперационной подготовки с целью определить объём вмешательства и его тактику.
Несмотря на то, что доза облучения при проведении диагностики минимальна и не причиняет вреда человеческому организму, к процедуре прибегают только в крайних случаях — если:
- пациентка беременна или кормит грудью;
- больной находится в тяжёлом состоянии;
- если пациенту не исполнилось 15-ти лет;
- если пациента получил высокую дозу облучения за последние 12 месяцев;
- при заболеваниях щитовидной железы.
Что касается противопоказаний при использовании рентгеноконтрастных веществ, то они, помимо вышеперечисленного, заключаются в следующем:
- индивидуальная непереносимость составляющих контраста;
- тяжёлая почечная и печёночная недостаточность;
- непроходимость кишечника;
- нарушения свёртываемости крови; в тяжёлой форме.
Подготовка к рентгенографии тазобедренных суставов

Исследование ТБС с применением рентгена не требует от пациента специфической подготовки. Как и большинство исследований, в которых диагностируемая область расположена возле кишечника, подготовка направлена на снижение газообразования, поскольку газовые среды негативно влияют на качество визуализации. За несколько дней до проведения процедуры пациенту нужно исключить из рациона продукты, способствующие повышенному газообразованию, а также по рекомендации врача принимать активированный уголь или другие адсорбенты.
Проведение рентгенографии ТБС
Стандартная рентгенография тазобедренного сустава проводится в 2-х проекциях. Помимо прямой используют вспомогательную, которая может быть боковой или задней косой, предусматривающей отведение бедра. Выбор, в данном случае, зависит от целей исследования и характера нарушений у пациента.
Рентгенография тазобедренного сустава в прямой проекции
Пациент принимает положение лёжа на спине, выпрямив нижние конечности. Стопа со стороны поражения должны быть повёрнута кнутри. Такое положение тела пациента обеспечивает хороший обзор медиальной части шейки бедра и даёт возможность определить медиальные переломы.
Рентгенография ТБС в косой проекции
Пациент принимает положение лёжа на спине, поражённая конечность согнута в колене и повёрнута кнаружи при косой проекции. В случае, если имеется подозрение на перелом бедра, локализующийся в области шейки, косую проекцию не используют, поскольку она может привести к смещению отломков кости и усугубить ситуацию.
Рентгенография ТБС в боковой проекции
Пациент принимает положение лёжа на спине, поражённая конечность согнута в колене и бедре под углом 90°. Под пятку ставят специальную подставку, трубку рентгена располагают сбоку со стороны здоровой ноги.
Рентген ТБС в ЦЭЛТ
Обращение в ЦЭЛТ за рентгенографической диагностикой имеет ряд преимуществ, поскольку мы:
- гарантируем получение качественных снимков;
- предлагаем доступные цены на рентген тазобедренного сустава;
- располагаем современными рентгеновскими аппаратами;
- предлагаем услуги опытных рентгенологов со стажем работы от 15-ти лет;
- проводим процедуру максимально безопасно для пациента, соблюдая все нормы.
Рентген тазобедренного сустава в двух проекциях
Весь контент iLive проверяется медицинскими экспертами, чтобы обеспечить максимально возможную точность и соответствие фактам.
У нас есть строгие правила по выбору источников информации и мы ссылаемся только на авторитетные сайты, академические исследовательские институты и, по возможности, доказанные медицинские исследования. Обратите внимание, что цифры в скобках ([1], [2] и т. д.) являются интерактивными ссылками на такие исследования.
Если вы считаете, что какой-либо из наших материалов является неточным, устаревшим или иным образом сомнительным, выберите его и нажмите Ctrl + Enter.
Наиболее информативные методы инструментальной диагностики суставных и костных патологий - визуализация, а самый доступный из них - рентген тазобедренного сустава.
Простое рентгенографическое исследование является фундаментальным подходом к диагностике и принятию решения о лечении тазобедренного сустава. [1]
Показания
- травматических повреждение тазобедренной области, в частности, переломов шейки бедра;
- врожденного вывиха или дисплазии тазобедренных суставов; ;
- артрита, артроза тазобедренного сустава, деформирующего артроза или коксартроза;
- коксита (воспаления тазобедренного сустава);
- некроза головки бедренной кости;
- остеоартрита, остеомиелита и остеохондроматоза;
- суставных кист и других образований;
- затронувшего суставы костного туберкулеза.
В принципе, жалобы пациента на ощущаемые боли в тазобедренном суставе считаются достаточным поводом для назначения рентгенографии - чтобы установить их точную причину. Если перечисленные выше заболевания и состояния отсутствуют, в протоколе (описании) рентгеновского снимка будет указано, что рентген в норме. Это означает, что полученные изображения всех суставные элементы не имеют анатомических нарушений, подробнее см. - Тазобедренный сустав
Подготовка
Для проведения рентгенографии подготовка заключается в ограничении приема пищи, вызывающей метеоризм, и очищении кишечника (с помощью клизмы) - за несколько часов до посещения рентгенкабинета.
Непосредственно перед началом процедуры на пациента надевают защиту - в виде специальных экранирующих покрытий, которые предотвращают проникновение рентгеновского облучения в другие части тела и внутренние органы.
К кому обратиться?
Техника проведения рентгена тазобедренного сустава
Максимальную визуальную информацию дает рентген тазобедренного сустава в двух проекциях: в прямой проекции (или фронтальной), получаемой фокусировкой рентгеновской трубки перпендикулярно плоскости тела - спереди или сзади, и аксиальной (поперечной или горизонтальной плоскости), фиксирующей элементы сустава сверху вниз - вдоль бедренной кости. Также снимок может делаться при боковой проекции, то есть пациент должен лечь на бок, согнув ногу в коленном и тазобедренном суставах.
Следует иметь в виду, что рентген костей таза и тазобедренных суставов у детей раннего возраста не показывает точных очертаний суставных структур, так как их основная ткань - хрящевая, которую рентгеновские лучи не отображают. Поэтому интерпретацию полученной рентгенограммы - с определением смещения головки бедренной кости по отношению к вертлужной впадине тазовой кости - проводят с помощью накладывания на снимок специальной сетки, основные и вспомогательные линии которой соответствуют анатомически нормальному расположению структур сустава. Используя данные линии, измеряются различные параметры, в том числе центр вертлужной впадины и степень наклона ее крыши (ацетабулярный угол), угол отклонение шейки бедра вперед и т.д.
Лучевые методы диагностики дисплазии тазобедренного сустава
Дисплазия тазобедренных суставов (ДТБС) (врожденный вывих бедра) — врожденное нарушение развития сустава. До сих пор эта патология является одной из наиболее сложных проблем ортопедии, более того, на фоне дисплазии часто формируется диспластический коксартроз — дегенеративно-дистрофическое заболевание, в 60 % случаев ведущее к снижению трудоспособности и в 11,5 % — к инвалидности. В связи с этим на первый план выходит ранняя диагностика заболевания, которую можно осуществлять при помощи нескольких лучевых методов. В данном обзоре были рассмотрены рентгенологический, ультразвуковой, метод компьютерной и магнитно-резонансной томографии с обсуждением достоинств и недостатков каждого.
Ключевые слова: дисплазия тазобедренных суставов, лучевые методы диагностики, схема Хильгенрейнера.
Дисплазия тазобедренных суставов (ДТБС) (врожденный вывих бедра) — врожденное нарушение развития сустава, заключающееся в дисконгруэнтности суставных поверхностей (головка бедренной кости, вертлужная впадина), их неправильном взаимном расположении [1, с.2].
До сих пор эта патология является одной из наиболее сложных проблем ортопедии, более того, на фоне дисплазии часто формируется диспластический коксартроз — дегенеративно-дистрофическое заболевание, в 60 % случаев ведущее к снижению трудоспособности и в 11,5 % — к инвалидности [2, с.6]. Важно отметить, что, при таком большом проценте участия заболевания в нарушении жизнедеятельности, до настоящего времени не установлены точные причины его развития. По мнению некоторых авторов, к таковым можно отнести сочетание примерно четырех факторов из ниже перечисленных: «преждевременное излитие околоплодных вод, ОРВИ в первом триместре беременности, курение матери, возраст матери моложе 20 лет, хронические заболевания органов малого таза, патология костно- мышечной системы у ближайших родственников, бактериальный вагиноз, анемия, токсоплазмоз, патология костно-мышечной системы у матери, тазовое предлежание плода во время беременности и в родах» [1, с.4].
В связи со столь низкой точностью прогноза на первый план выходит ранняя диагностика заболевания, которую можно осуществлять при помощи нескольких лучевых методов. Так, на первом месте по распространенности — рентгенологический метод. Он не позволяет оценить трехмерное строение сустава, но дает достаточно информации об изменении костных структур. У детей до 6 месяцев применение рентгенологического метода рекомендуется совместно с ультразвуковым методом диагностики, т к именно этот метод позволяет визуализировать большой объем хрящевой ткани, наблюдаемый у детей [1, с.54]. Помимо перечисленных, также используется методы компьютерной и магнитно-резонансной томографии, но они применяются не так широко и не в целях первичной установки диагноза.
В данной работе мы рассмотрим перечисленные методы диагностики дисплазии тазобедренного сустава, их достоинства и недостатки.
Рентгенологический метод
Помимо широкой диагностической ценности метода, стоит отметить, что выделенные 4 типа изучаемой патологии были установлены именно по рентгенологическим данным:
- первый тип, с преобладанием тазового компонента патологии: наличествуют диспластические изменения вертлужной впадины (впадина мелкая, неглубокая), а отклонения проксимального отдела бедра незначительны, или вообще отсутствуют;
- второй тип, с преобладанием бедренного компонента: деформация шейки бедра (антеторсия либо вальгусная деформация — см. рис 1-2); вертлужная впадина поражена незначительно, либо ее развитие нормальное;
- третий тип: выраженные отклонения и вертлужной впадины, и бедренного компонента сустава; при данном типе обе поверхности мгут быть сильно недоразвиты;
- четвертый тип: многоплоскостная деформация бедра.
Рис.1Нормальная торсия [3]
Рис.2 Антеторсия [3]
Как уже говорилось, хрящевая ткань в возрасте до 6 месяцев выполняет значительную часть сустава, в связи с чем медиальный отдел шейки, продольная ось костной её части, а тем более перпендикуляр к поверхности метафиза, занимают по отношению к анатомической оси более латеральное положение, чем ожидается увидеть. В связи с этим, рентгенологическим критерием правильности анатомических соотношений в тазобедренном суставе у детей до 6-месячного возраста является пересечение оси шейки с контуром крыши вертлужной впадины на уровне ее медиальной четверти (рис.3). Рентгенологическим признаком децентрации является направленность оси шейки бедренной кости (или перпендикуляра к метафизу) в пределах от границы медиальной и следующей четверти крыши до границы третьей и последней четвертей, подвывиха — на латеральную четверть крыши вертлужной впадины вплоть до касательного положения к ее латеральному краю. Пересечение оси шейки с латеральным краем надацетабулярной части подвздошной кости отражает состояние вывиха [4].

Рентгеновский снимок делают в положении ребенка на спине при вытянутых и параллельно уложенных ножках.
Исследование сустава проводится в трех проекциях:
- задней: анализируется положение суставных поверхностей во фронтальной плоскости (смещения головки бедренной кости кверху и кнаружи);
- аксиальной и крестцово-вертлужной: оцениваются смещения кпереди/кзади, а также исследуется сустав на предмет патологического поворота бедренной кости вокруг вертикальной оси [5, с.14]
Проводится измерение нескольких показателей в соответствии со схемой Хильгенрейнера (рис.4) [5, с.15-17]:
- величина ацетабулярного угла: это угол крыши вертлужной впадины, образованный в месте пересечения линии, проведенной через Y-образные хрящи, и касательной к верхнему краю вертлужной впадины. В норме у детей до 3х месяцев его величина находится между 30 о -20 о (значение в 20 о достигается примерно к 1 году)
- величина h: расстояние от горизонтальной линии Хильгенрейнера до наивысшей точки проксимального отдела бедра. В норме она симметрична с обеих сторон и примерно равна 9-12 мм. Свидетельством патологии является уменьшение этой величины
- величина d: расстояние от дна вертлужной впадины до величины h. В норме она также одинакова справа и слева и составляет не более 15 мм.
- Линия Шентона: дуга, соединяющая дистальный контур шейки бедра с нижней частью горизонтальной ветви лобковой кости. При малейшем смещении дуга искривляется и прерывается, что особенно заметно при вывихе.

Рис. 4 Схема Хильгенрейнера.
Ультразвуковое исследование
В настоящее время Американская Академия хирургов-ортопедов (AAOS) ультразвуковой метод считает равным по ценности рентгенологическому. Более того, именно исходя из данных УЗ-исследований формируется понятие о положительной динамики лечения патологии [6, с.1].
Техника исследования [7, с. 2-4]:
Так как хрящ — это гипоэхогенная мягкая ткань, ее легко визуализировать УЗ-методом. Вертлужная впадина представляет собой комплекс оссифицированной ткани и хрящевой, причем у новорожденных хрящевые перетяжки имеют форму буквы «Y». Большая часть хряща вертлужной впадины соответствует по сонографическим характеристикам головке бедренной кости, однако отделить эти два образования возможно. Как правило, при движении в суставе возникают микропузырьки синовиальной жидкости, позволяющие визуализировать границу между двумя суставными поверхностями. С латеральной стороны губы вертлужной впадины хрящевая ткань переходит в фиброзно-хрящевую, которая обладает повышенной эхогенностью и покрывает головку бедра сверху.
Точки оссификации начинают виднеться в головке бедра между 2ым-8ым месяцем жизни, причем у мальчиков обычно позже. С началом оссификации возрастает содержание кальция в костях, однако его еще недостаточно для четкой визуализации рентгенологическим методом, поэтому есть мнение, что УЗ-исследование является первоочередным для детей до 1 года (4 месяца добавлено для случаев с задержкой процесса окостенения).
Исследование направлено на определение трех показателей:
- позиция головки бедренной кости на предмет абдукции/аддукции. Описывается позиция как нормальная/смещенная/неправильная;
- стабильность таза при движении;
- степень развития компонентов сустава: глубина впадины, конфигурация суставных поверхностей. Обращается внимание не на углы, как при рентгенологическом исследовании, а на общее взаиморасположение.
Что касается самой техники исследования, оно проводится в трех проекциях:
- поперечная нейтральная (Transverse neutral view): датчик направляется горизонтально в вертлужную впадину, при этом исследуется место сочленения бедренной кости с ней, визуализируется центр сустава. Если сустав деформирован, между его поверхностями будет эхо от мягких тканей, размеры и выраженность которого зависят от степени мальформации
- поперечная изогнутая (Transverse flexion view): нога отводится из нейтральной позиции на 90 о , датчик устанавливается в заднелатеральном положении над суставом, исследуется головка бедренной кости (в норме имеет конфигурацию буквы “U”, которая максимально выражена при максимальном отведении, а при полном приведении ноги конфигурация может меняться на “V”)
- коронарная изогнутая (Coronal flexion view): положение пациента то же, что и в предыдущей проекции, а датчик перемещается на 90 о , исследуется вся полость сустава, в том числе взаимное расположение его частей и точки окостенения
Магнитно-резонансная томография
Метод магнитно-резонансной томографии (МРТ) в настоящее время получает все большее распространение, однако, ввиду своей высокой стоимости, все еще не используется как рутинное исследование. Тем не менее, многие патологические состояния таза могут быть идентифицированы на ранней стадии именно посредством МРТ, т. к. сустав включает большой процент мягких тканей. В настоящее время МРТ активно используется для разрешения спорных случаев: диференциации синовита от септического артрита и остеомиелита, диагностики воспалительных заболеваний сустава, опухолей кости, а также ранней диагностики и контроля болезни Пертеса (остеохондропатия головки бедренной кости) [8, с.8].
В случае ДТБС МРТ может использоваться в тяжелых случаях для уточнения информации перед хирургическим вмешательством, т. к. на МР-томограммах не только воспроизводятся все углы и прочие данные, что видны на рентгенограмме, но и визуализируется сустав в целом: рельеф поверхности головки бедренной кости, внутрисуставные взаимодействия, аномалии хрящевой ткани. Помимо этого, метод МРТ доказал свою непревзойденность в исследовании вертлужной впадины: дифференцировки разрывов губы от других видов повреждений, а также от вариантов нормы [8, с.9-10].
Пожалуй, единственная область заболеваний таза, где КТ является более эффективным, чем МРТ — это опухоли костной ткани, т. к. именно КТ позволяет судить в степени кальцификации и внутрикостных образованиях [8, с.10]. В остальном же, равно как и в случае ДТБС, КТ применяется мало, т. к. информативность метода не превышает ранее перечисленные, а лучевая нагрузка и стоимость намного больше, чем при рентгене и УЗИ. Однако, для справедливости, стоит сказать о данном методе и продемонстрировать его возможности. Например, КТ может быть использовано для точного измерения торсии и версии бедра. Нормальные значения торсии: у новорожденных — примерно 32 о , у взрослых 10 о -20 о ; нормальные величины версии: 5 о -25 о [8, с.11].
Заключение
Таким образом, в настоящее время существует несколько эффективных методов диагностики дисплазии тазобедренного сустава. Каждый из них должен применяться с учетом особенностей пациента (возраст, тяжесть состояния, степень дисплазии), о чем уже говорилось выше. Такой подход обеспечит наиболее раннюю диагностику, что, в свою очередь, обеспечит максимально возможный положительный прогноз для каждого конкретного пациента.
Основные термины (генерируются автоматически): бедренная кость, впадина, магнитно-резонансная томография, рентгенологический метод, сустав, хрящевая ткань, тазобедренный сустав, дегенеративно-дистрофическое заболевание, латеральный край, ранняя диагностика.
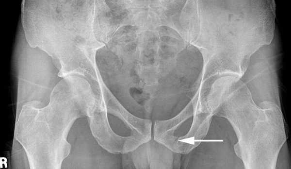
Рекомендации по анализу рентгенограммы тазобедренного сустава в ПЗ проекции в позе лягушки (модифицированный метод Кливза)
Рентген ТБС — диагностический метод исследования, который помогает выявить патологические изменения тазобедренного сустава, выполняющего ведущую роль в выполнении движений нижней конечности. Наиболее уязвимо сочленение в периоде новорождённости, так как выявляется множество аномалий развития и в возрастном периоде, на фоне остеопорозных изменений.

Эндопротезирование тазобедренного сустава
Рентгенограмма как метод исследования рассчитана на визуализацию костных структур. При диагностике хорошо просматриваются:
- Кости таза. Видны анатомические дефекты, переломы, трещины, асимметрия.
- Сустав. Выявляют вывихи, подвывихи, расширение суставной щели, сужение или сращение с формированием анкилозов.
- Головка бедренной кости. Просматривается вертел, шейка бедра, выявляются трещины, переломы, аномалии развития и строения, остеомиелитные и остеопорозные изменения.

Перелом лонной кости
Рентген тазобедренных суставов проводится как в раннем детском возрасте, так и более зрелом.
У детей рентгенограмма необходима при ограничении или асимметрии разведения ножек ребёнка в позе «лягушки» (малыш лежит на спине, ноги согнуты в коленях и разводятся в стороны), укорочение конечностей по отношению друг к другу, отсутствии упора на ножки у малыша.
Остеомиелит
Во взрослом возрасте рентген тазобедренного сустава может потребоваться при подозрении на перелом или воспаление в области тазобедренного сустава или остеомиелит бедренной кости. В таком случае общими для всех жалобами являются: выраженная болезненность в данном анатомическом участке, наличие отёка, изменение цвета кожных покровов, локальной температуры в области сустава, резкое ограничение движения, хромота и шаткость при ходьбе, изменение длины конечности.
При подозрении на остеомиелит и другие воспалительные процессы в тазобедренной области (гнойное воспаление костного мозга бедренной кости) к вышеописанным симптомам присоединяется интоксикационный в виде нарушения аппетита, слабости, вялости, апатии и в обязательном порядке — с лихорадкой.

Патологии, которые можно рассмотреть на рентгене, это:

- Дисплазия тазобедренного сустава. Выявляется в раннем детском возрасте и проявляется в виде отставания окостенения ядер, подвывиха бедренной кости (головка находится не в полости суставной впадины).
- Переломы и трещины. На рентгене можно рассмотреть локализацию травмы, наличие смещения и количество отломков и осколков, степень смещения костных структур.
- Вывихи. Визуализируется выход большого вертела бедренной кости из суставной поверхности вертлужной впадины.
- Остеоартроз. Дегенеративное заболевание хрящевой ткани сустава, которое на рентгенограмме выглядит как сужение суставной щели, формирование костных наростов на суставных поверхностях (остеофитов).
- Артрит тазобедренного сустава. Возникает в результате аутоиммунных реактивных изменений мягких тканей сустава, сопровождается выраженной болью, отёчностью, возможно появление выпота в полости. На рентгенограмме выявляют уплотнение мягких тканей, расширение суставной щели, при необходимости проводят контрастное исследование с внутривенным введением йодсодержащего вещества, наблюдают усиление сосудистого рисунка в месте воспаления.
- Некротические изменения. Возникают при нарушении кровообращения в полости сустава при переломе шейки бедра, так как нарушается трофика головки бедренной кости и она отмирает.
- Остеопороз. Дегенерация костной ткани, связанная с возрастными изменениями и гормональным дисбалансом. Характеризуется вымыванием кальция из костей. На рентген-снимке выглядит как снижение плотности костных структур, повышение их прозрачности.
- Болезнь Бехтерева. Стойкие изменения суставов, которые проявляются в виде окостенения, отсутствия движений. На рентгенограмме формирование стойких анкилозов, отсутствие суставной щели, костная мозоль в месте сочленения.
- Остеомиелит. Воспалительное заболевание костного мозга, возникающее при попадании инфекции гематогенным путём или в результате травматического повреждения. При этом происходит лизис костной ткани, что на рентгене выглядит как размытость контуров, просветление в центре кости, гипертрофия надкостницы над местом очага поражения. Возможно проведение исследования с контрастированием.
- Онкологические заболевания костей. Доброкачественные или злокачественные опухолевые разрастания внутри костей, метастатические отсевы. Выглядят как патологические очаги (затемнения при «плюс-ткани» и просветления при появлении кист, секвестр, полостей) с размытыми нечёткими контурами, неправильной формы. Артрит

Дисплазия
Так как рентгеновский диагностический метод относится к ионизирующим, его применение имеет некоторые ограничения. Это связано с патогенным воздействием лучей на клетки с образованием свободных радикалов, действующих повреждающее на здоровые ткани.
Основным противопоказанием является беременность. Для защиты здоровых тканей во время проведения диагностики остальные участки тела закрываются свинцовым фартуком, необходимым для снижения общей дозы облучения. Современные аппараты позволяют снизить дозу максимально без потери качества снимка, но развивающийся плод находится рядом с исследуемой областью и существует вероятность формирования мутаций и аномалий развития.
Относительным противопоказанием является детский возраст. Однако, при подозрении на дисплазию именно рентгенография является основным диагностическим методом исследования. Для снижения общей дозы облучения чётко следят за кратностью проведения методики.
При введении контрастного йодсодержащего вещества («Ультравист», «Урографин» и другие) противопоказания значительно расширяются. Нельзя проводить исследование следующим категориям больных:


- с аллергической реакцией на контраст;
- с почечной недостаточностью (так как контраст выводится почками);
- с сердечно-сосудистой недостаточностью в тяжёлой степени;
- с туберкулёзом в активной стадии;
- в крайне тяжёлом состоянии пациента.
Иногда для диагностики патологии сустава используют ультразвуковой метод. Исследования диаметрально противоположные, так как рентгенография помогает выявить костные патологии, тогда как УЗИ — заболевания мягких тканей.
При рентгенографии смотрят анатомическое строение, тогда как УЗИ выявляет функциональный дефицит, например, недостаточное или чрезмерное количество внутрисуставной жидкости. Часто, для наиболее полной картины заболевания, требуется совместное назначение исследований.
Томографическое исследование — относительно новый, в сравнении с обычным рентгеном метод, который намного информативнее. Основным преимуществом рентгена в сравнении с МРТ является его общедоступность, так как аппараты присутствуют в каждой больнице, и дешевизна, так как МРТ стоит намного дороже.

МРТ
Специальной подготовки рентгенография тазобедренных суставов не требует. При проведении диагностики у грудничков требуется присутствие обоих родителей, так как они должны держать малыша в необходимой позиции во время исследования.

Перед рентгенографией пациент обязан снять с себя верхнюю одежду, металлические предметы (бляшка ремня) и прилечь на кушетку. Тяжёлых неходячих больных укладывают санитары.
Рентген тазобедренных суставов проводится в двух проекциях, которые помогают расширить визуализируемую анатомическую область и точно определить объем поражения:
- Передняя проекция. Пациента укладывают на спину, ноги разводят максимально в стороны, что позволяет раскрыть сустав и увеличить площадь диагностики.
- Боковая проекция. Пациент ложится на бок, вытягивает ноги вперёд.
Тщательный контроль дозы облучения ведётся у маленьких детей, так как рентгенографическое исследование может привести к таким неблагоприятным последствиям, как угнетение функции костного мозга. Осложнениями могут стать заболевания: лейкемия, анемия, тромбоцитопения. Начинают исследование с трёхмесячного возраста. Даже на современных аппаратах обследование у детей до трёх лет проводится не чаще, чем 1 раз в 4 месяца.
Взрослые менее восприимчивы к воздействию ионизирующего облучения, к тому же цифровая современная аппаратура максимально снижает облучение.
Для каждого пациента в зависимости от его массы подбирается своя доза. Плёночный аппарат облучает дозой 0,5-0,9 мЗВ, тогда как цифровой — 0,1-0,3 мЗВ. В месяц не рекомендовано больше 10 исследований на цифровом аппарате, проведение регламентируется строгими показаниями. Воспользуйтесь «Полная версия Дозиметра» в конце статьи для получения информации о лучевой нагрузки.

Расшифровывают результаты исследования врачи-рентгенологи. Компьютерная аппаратура выводит изображение на экран и помогает в анализе результатов. При помощи программного обеспечения можно повысить контрастность и чёткость изображения, приблизить его и отдалить, а также измерить плотность участков костной ткани.

Результаты возвращаются лечащему врачу, который направил на исследование. После анализа результатов и сопоставления с клинической картиной назначается или корректируется терапия.
Проводят процедуру в каждом рентгенологическом кабинете больницы: поликлиники, стационара, травмпункта и так далее. Проводится как в плановом, так и в экстренном порядке при наличии травматического повреждения.
В среднем стоимость процедуры — 500-600 рублей на аппарате с рентген-плёнкой и около 1000 рублей на современной цифровой аппаратуре. В государственных больницах стоимость на 30% ниже, чем в частных клиниках и медицинских центрах.
При наличии направления врача и страхового полиса в бюджетных лечебных учреждениях возможно бесплатное проведение процедуры. При необходимости введения контрастного вещества, цена возрастает вдвое.
При подозрении на перелом шейки бедра пожилые пациенты не транспортабельны. Возможен вызов травматолога на дом. Диагноз устанавливается по клиническим признакам.
Рентгенография на дому проводится только в крупных городах частными медицинскими центрами. Специалисты выезжают к пациенту в течение часа с поступления заявки. Стоимость услуги от 5000 рублей.
Рентгенография тазобедренного сустава проводится для исследования состояния костных структур, сустава. Назначает диагностику чаще ортопед, врач-травматолог или ревматолог. Исследование назначается в качестве первичной диагностики, затем для подтверждения диагноза и коррекции тактики терапии могут потребоваться другие диагностические методики: УЗИ, МРТ.
Читайте также:
- Радиоактивность грязей. Виды лечебных грязей
- Допплерометрия кровотока в маточных артериях и АФП. Допплерометрия кровотока с определением уровня ХГ
- Горизонтальная часть двенадцатиперстной кишки. Восходящая часть двенадцатиперстной кишки. Связка Трейтца. Мышца Трейтца.
- Диагностика атретического цефалоцеле по КТ, МРТ
- Синдром удлиненного QT (LQT): причины, диагностика, лечение
