Рекурвация коленного сустава (genu recurvatum): атлас фотографий
Добавил пользователь Евгений Кузнецов Обновлено: 22.01.2026
Сегодня эндопротезы коленных суставов выпускаются аногими компаниями в разных странах мира. При желании на рынке можно найти огромное количество первичных, ревизионных, онкологических, тотальных, одномыщелковых протезов. Все они различаются по материалу, строению, способу фиксации и многих других характеристиках. При этом каждый имплант имеет свои преимущества и недостатки.
Импланты из черной керамики.
Люди, которым предстоит оперироваться, стремятся найти «лучший», «самый качественный» и «долговечный» протез. К сожалению, подобные поиски являются абсурдом. Подбирать имплант нужно не по цене или «популярности», а с учетом его характеристик. Ну и, конечно же, выбор должен осуществляться в индивидуальном порядке. Это значит, что эндопротез следует подбирать под конкретного пациента.
Совет! Запомните, что покупка самого дорогого импланта не обеспечивает успех операции. При эндопротезировании гораздо важнее правильный подбор протеза и его качественная установка. Если вы хотите получить хороший результат — обращайтесь в соответствующую клинику, где работают квалифицированные специалисты.
Отметим, что все существующие эндопротезы соответствуют базовым требованиям и могут стать полноценной заменой коленному суставу. Логично, что на рынке не может быть имплантов, которые не отвечали бы определенным стандартам. Но при всем этом одни протезы изготавливаются из более качественных и износостойких материалов, а другие имеют более низкое качество.
Основные требования к хорошему эндопротезу:
- Биосовместимость. Материалы, из которых изготавливают имплант, обязаны быть гипоаллергенными и не должны вызывать реакций отторжения.
- Соответствие анатомическим особенностям скелета. Эндопротез должен соответствовать размеру и в точности повторять природные изгибы костей.
- Соответствие механических характеристик материалов определенным структурам коленного сустава. Материал, из которого состоит имплант, должен быть прочным и выдерживать сильные нагрузки. А гладкие поверхности протеза обязаны обеспечивать легкое скольжение его компонентов.
- Хорошая функциональность. Качественный эндопротез должен обеспечивать хорошую амплитуду сгибаний и разгибаний, не ограничивая при этом подвижность колена.
- Сохранение формы и функций на протяжении длительного времени. С годами эндопротезы не должны стираться или деформироваться.
- Высокая износостойкость. Гарантийный срок службы современных протезов составляет 15-20 лет. Известно немало случаев, когда имплант «работал» на 5-10 лет дольше положенного времени.
Критичный износ пластиковой платформа коленного импланта.
Примечательно, что для нормального функционирования протеза требуется не только его высокое качество, но и правильная установка. Если в ходе операции хирург неправильно ориентирует компоненты импланта — сустав не будет нормально работать. От качества установки также зависит срок службы протеза.
Факт! Доказано, что установка имплантов сомнительного производства гораздо чаще приводит к осложнениям. К примеру, инфекции в области хирургического вмешательства развиваются у 3-10% прооперированных. В аналогичных условиях, но при использовании протезов производителей мировых марок, инфекционные осложнения возникают всего в 0,3-4,8% случаев.
При подборе эндопротеза врачи в большей степени смотрят на его конструкцию и тип фиксации. Именно от этих двух характеристик и зависит успех эндопротезирования. В то же время установка неподходящего импланта может привести к неудовлетворительному результату операции и нежелательным осложнениям.
Отметим, что большинство опытных врачей в своей практике использует протезы 2-3 производителей. Это дает свободу выбора и одновременно позволяет специалисту хорошо изучить особенности каждой модели. Так что если ваш лечащий врач работает с какими-то определенными эндопротезами — выберите вариант среди них. Не вынуждайте хирурга ставить малознакомую для него модель.
Таблица 1. Основные принципы подбора эндопротеза.
Цементные эндопротезы чаще ставят людям пожилого возраста, которые страдают системным остеопорозом.
Импланты с бесцементым типом фиксации рекомендуют молодым пациентам, а также лицам с нормальной плотностью костной ткани и узким каналом бедренной кости.
Пенсионерам и людям, ведущим малоактивный образ жизни, специалисты рекомендуют протезы с фиксированным вкладышем. Конструкция Mobile Bearing требует более сильной поддержки со стороны мягких тканей и связок. Следовательно, ее устанавливают преимущественно молодым и активным людям.
Что касается лиц с избыточной массой тела, им также больше подходит вариант с мобильной платформой.
Давайте рассмотрим пятерку мировых лидеров, выпускающих наиболее качественные и износостойкие эндопротезы коленных суставов.
Американская компания Zimmer занимается производством эндопротезов на протяжении почти 100 лет. На сегодняшний день она выпускает целый ряд имплантов, которые подойдут для пациентов любого возраста и пола. Продукцию данного производителя с успехом используют для выполнения однополюсного, малоинвазивного и тотального эндопротезирования.
Импланты фирмы Zimmer:
- Zimmer High-Flex. Имплант представляет собой систему для одномыщелкового эндопротезирования коленного сустава. Его используют в тех случаях, когда пациенту требуется замена лишь одной части колена (травмы, переломы и т.д.). Успешность однополюсного эндопротезирования имплантом Zimmer High-Flex составляет 98% за 10 лет, что является самым высоким показателем на сегодняшний день.
- Zimmer Gender Solutions. Эндопротезы созданы с учетом анатомических различий в строении мужских и женских колен. Установка этих имплантов позволяет добиться максимально качественных результатов операции у представителей разных полов.
- Zimmer Gender Solutions Patello-Femoral Joint. Система используется для проведения малоинвазивных операций. Имплант применяют для раннего хирургического лечения у мужчин и женщин с деформирующим остеоартрозом.
- NexGen LPS-Flex Mobile и LPS-Mobile. Являются тотальными эндопротезами с гибридным типом фиксации. Имеют подвижный полиэтиленовый вкладыш, что обеспечивает максимальную мобильность коленного сустава.
Любопытно! Компания Zimmer выпускает не только искусственные импланты, но и продукты клеточной инженерии для восстановления поврежденных суставных хрящей. Ее уникальная технология DeNovoNT позволяет успешно лечить остеоартроз I-II степени.
Еще один мировой лидер в производстве продукции для ортопедии, травматологии, стоматологии и спортивной медицины. Компания была основана в 1977 году в США. Сегодня она выпускает эндопротезы, зубные импланты, системы фиксации костных фрагментов, расходные материалы для травматологии и ортопедии.
Коленные протезы компании Biomet:
- Vanguard. Представляет собой тотальный коленный протез с бесцементным типом фиксации. Стопорная вставка импланта пропитана витамином E.
- AGC Knee. Эндопротез обладает повышенной прочностью и износостойкостью. Отметим, что компания выпускает конструкции, позволяющие как сохранить, так и заменить крестообразную связку.
В ходе клинических исследований было установлено, что выживаемость эндопротезов Biomet — 98%. Средняя продолжительность службы имплантов составляет 20 лет.
Любопытно! В 2015 году Zimmer и Biomet объединились, создав компанию ZimmerBiomet. Скорее всего в ближайшем будущем фирма порадует нас новой качественной продукцией.
Немецкая компания Aesculap была основана в 1967 году. Сегодня наряду с другой продукцией она производит целуют линейку эндопротезов коленных суставов. Давайте рассмотрим наиболее известные модели.
- Columbus Total Knee System. Система предназначена для тотального эндопротезирования колена. Компания выпускает большое количество моделей с разными типами фиксации, различными платформами и ножками.
- Columbus Revision Total Knee System. Имплант предназначен для ревизионного эндопротезирования. Выпускается в разных размерах.
- AS Advanced Surface. Модель имеет уникальное многослойное покрытие из нитрида циркония и керамики. Это делает протез очень прочным и повышает его износостойкость на 65%.
Среди недостатков продукции Aesculap следует выделить отсутствие так называемых гендерных имплантов, которые дают возможность подобрать наиболее оптимальный вариант для мужчин и женщин.
Производством коленных имплантов занимается отделение известного концерна Johnson&Johnson, которое называется DePuy Synthes. Оно производит разные модели для тотального, ревизионного и онкологического эндопротезирования. Компания выпускает протезы с фиксированным и подвижным вкладышем, с цементным и бесцементным типами фиксации.
Компания выпускает уникальный коленный эндопротез Scorpio NRG. Он имеет фиксированную платформу, но при этом его подвижность не хуже, чем у конструкций типа Mobile Bearing. Отметим, что бедренный компонент модели NRG имеет 9 размеров, что позволяет подобрать максимально подходящий вариант для каждого пациента.

При значительных травмах коленного сустава, когда консервативные программы лечения дают слабый результат, а пациент испытывает постоянные боли, спасительной становится операция по замене коленного сустава эндопротезом. Показаниями к ней являются:
- непрекращающаяся боль;
- ограниченная подвижность ноги;
- отсутствующий или недостаточный эффект консервативной терапии.
Эндопротезирование — хирургическая манипуляция, достаточно сложная сама по себе. Но квалификация специалиста, который ее проводит, не единственное требование для успешного результата. Здесь важно еще и правильно подобрать сам эндопротез. Что не так просто, учитывая, как много вариантов предлагает современный рынок: они отличаются по размеру, функциональности, типу фиксации и другим характеристикам.
Выбор эндопротеза коленного сустава — это всегда совместное решение пациента и хирурга, который его консультирует. На современном рынке представлено более 150 видов таких изделий, и некоего общего идеального решения для всех не существует. В каждому случае это решение будет индивидуальным.
Опираться в его поисках стоит на следующие характеристики:
- возраст, вес, особенности анатомии человека, которому будут проводить эндопротезирование;
- степень активности пациента;
- вид будущей операции с эндопротезом коленного сустава (техники малоинвазивной хирурги во многом сократили дискомфорт от процедуры, но выбор протезов для такого эндопротезирования сильно ограничен);
- особенностей травмы и патологических процессов, к которым она привела;
- общего состояния здоровья человека и т. д.

Хотя факторов, определяющих успех выбора эндопротеза для колена, много, список общих требований, которым должны соответствовать любые имплантаты, всего один. И его надо подробно изучить до начала поисков.
Так, 6 основных требований:
- износостойкость материала (операция проводится из расчета на будущее долговечное использование имплантатов в условиях постоянной активности, что определяет необходимость высокой устойчивости материалов изделия износу, минимальный срок службы протеза — 15 лет, максимальный обычно не превышает 20 лет);
- функциональность (коленный сустав — один из самых подвижных в теле человека, соответственно, его эндопротез должен обеспечивать достаточную амплитуду сгибаний/разгибаний, не ограничивая движений колена);
- биосовместимость (один из ключевых рисков эндопротезирования — отторжение инородного предмета собственными тканями, для его снижения и необходимо использовать совместимые имплантаты, хороший протез должен быть гипоаллергенным);
- качественные механические характеристики (высокая прочность материала, способного выдерживать постоянные нагрузки, легкое скольжение соответствующих компонентов коленного эндопротеза);
- соответствие формы и размера анатомическим особенностям (имплантат должен точно повторять естественные изгибы и выступы кости);
- способность сохранять форму и функции в течение длительного срока (проще говоря, речь опять о долговечности использования протеза, который в процессе его применения не должен деформироваться или стираться).
Снятие постоянных болей и восстановление подвижности ноги — это ключевые задачи, которые решает эндопротезирование, для повышения комфорта жизни пациента. С точки же зрения терапии, ключевая цель проведения операции — полное восстановление функциональности колена. Понятно, что общего решения для ее достижения быть не может, как и некоего универсального стандарта.
И все же нужно понимать, что на рынке коленных эндопротезов есть изделия разного качества — более и менее долговечные, безопасные. Кроме того, не стоит забывать, что срок службы и удобство использования протеза зависит не только от него самого, но и от правильности его установки.

Эндопротезы коленного сустава делятся на виды по трем основным признакам — материалам изготовления, типу операции эндопротезирования, для которой они подходят, и способу установки.
- В качестве материала для разных элементов коленного протеза используют:
- металлические сплавы (из них обычно делают часть, устанавливаемую на бедренную кость);
- пластик высокой прочности (применяют в конструкции внутренней части надколенника для тотальных эндопротезов коленного сустава);
- комбинированные материалы (металл и специальная пластмасса), из которых часто выполнены детали, предназначенные для замены части сустава на большеберцовой кости.
- По способу эндопротезирования (объему вмешательства) различают виды эндопротезов коленного сустава, предназначенные:
- для одномыщелкового эндопротезирования (частичной замены поврежденных компонентов сустава);
- тотального эндопротезирования (операция по полной замене коленного сустава эндопротезом с установкой искусственных компонентов на бедренной, большеберцовой кости, при необходимости — и на внутренней поверхности надколенника).
- По способу фиксации протезы делят:
- на цементные эндопротезы коленного сустава;
- бесцементные;
- изделия, устанавливаемые комбинированным способом (с элементами цементной и бесцементной установки).
Протезы для цементной фиксации отличаются от аналогов тем, что имеют специальную поверхность, на которую накладывают костный цемент для надежности закрепления неподвижной части компонента эндопротеза. Такая установка отличается высокой надежностью и успешно используется в операциях всех типов.
Важный момент: успех определяет не только качественно проведенная замена, но и сам состав для закрепления протеза. В современной практике эндопротезирования случаи, когда цементный состав ослабевает, встречаются довольно редко (материал в последние годы существенно улучшен), но все же.
Протезы для бесцементной фиксации тоже имеют свою особенность. Их поверхности должны быть пористыми и текстурированными, чтобы обеспечить скорость и качество естественной интеграции — прорастания в компоненты искусственного сустава костных тканей.
Процесс реабилитации при использовании таких имплантатов дольше. Кроме того, для их применения есть ограничения (кость должна быть в хорошем состоянии, любое ее заболевание начиная с остеопороза является ограничением к эндопротезированию бесцементным способом).

Цена эндопротеза коленного сустава может сильно отличаться в зависимости:
- от марки изготовителя;
- материалов;
- способа эндопротезирования;
- размера изделия и других условий.
Окончательная стоимость эндопротеза коленного сустава определяется индивидуально, когда принято решение о предпочтительном виде операции и варианте имплантата.
Срок службы протеза имеет большое значение. Дело в том, что любая процедура эндопротезирования (а учитывая ограниченный период использования, она может быть проведена не один раз) предполагает удаление части собственной кости пациента.
Чем больше костной ткани сохраняется, тем проще проходит восстановление, и тем лучше приживаются искусственные суставы. Именно поэтому так важно сразу выбирать имплантаты, которые прослужат минимум 10-15 лет. В идеале срок службы коленного эндопротеза (гарантированный производителем) должен составлять 20 лет и более. При этом стоит понимать, что ревизионного эндопротезирования (плановой замены протеза) избежать все равно не получится.
Формирование GENU RECURVATUM как позднее осложнение перелома бедра у детей

Актуальность. Несмотря на применение малоинвазивных технологий лечения, переломы длинных костей у детей могут сопровождаться развитием как ранних, так и поздних осложнений.
Цель работы: показать возможность развития genu recurvatum у ребенка с диафизарным переломом бедра.
Материалы и методы. Представлен клинический случай развития рекурвационной деформации коленного сустава у ребенка 8 лет через 3 года после диафизарного перелома бедра, леченного методом закрытого интрамедуллярного остеосинтеза с последующим исправлением деформации по Г.А. Илизарову.
Результаты. Проведен анализ похожих случаев, описанных в доступной медицинской литературе, рассмотрены возможные причины возникновения данного позднего осложнения.
Заключение. Этиопатогенез преждевременного закрытия передней части проксимальной зоны роста большеберцовой кости с последующим возникновением рекурвационной деформации при переломе бедра не является до конца изученным и может носить мультифакторный характер. Для исключения ятрогенного характера данного осложнения необходимо минимально использовать скелетное вытяжение за большеберцовую кость, а в случаях, когда это необходимо, проводить спицу вне зоны бугристости во избежание возможного повреждения зоны роста.
Ключевые слова
Полный текст
Введение
Genu recurvatum является сравнительно редко встречающейся деформацией нижних конечностей в детском возрасте. Основными причинами формирования данной патологии обычно являются дисбаланс мышц и связочного аппарата нижних конечностей у детей со спастическими параличами — как первичный, так и возникший вследствие лечебных манипуляций; генетически обусловленные нарушения формирования костной системы — ахондроплазия, спондилоэпифизарная дисплазия, артрогрипоз. К более редким причинам формирования genu recurvatum, согласно данным литературы, относится повреждение проксимальной зоны роста большеберцовой кости вследствие травмы — как прямое повреждение по типу Salter Harris V [1], так и повреждение зоны роста при авульсивном переломе бугристости большеберцовой кости [2]. Описано формирование данной деформации как редкое осложнение болезни Осгуд - Шлаттера [3]. В литературе также встречаются упоминания об ятрогенных повреждениях передней части проксимальной зоны роста большеберцовой кости при скелетном вытяжении за бугристость большеберцовой кости при переломах бедра с последующим формированием genu recurvatum [4, 5].
Клиническое наблюдение
Мы располагаем собственным клиническим наблюдением формирования genu recurvatum после перелома диафиза бедра у ребенка 8 лет (родители пациента дали свое согласие на обработку персональных данных).

Рис. 1. Перед удалением металлоконструкций
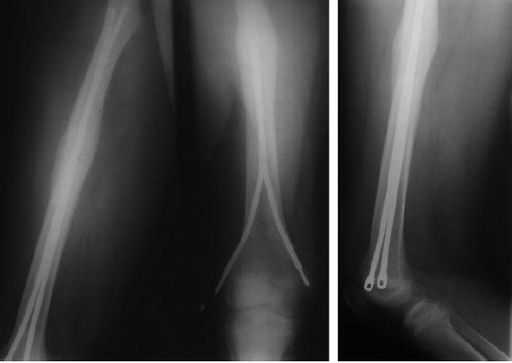
На момент выписки из стационара после удаления металлоконструкций функция конечности была восстановлена в полном объеме, осевых деформаций не отмечалось. Через 1,5 года после травмы родители ребенка начали отмечать формирование деформации коленного сустава. Ребенок жалоб не предъявлял. Пациентка была взята на контроль с динамическим наблюдением. В течение последующих 2 лет отмечалось постепенное прогрессирование деформации с формированием genu recurvatum и укорочением конечности до 2 см (рис. 2 — 2,5 года после травмы; рис. 3 — 3,5 года после травмы).

Рис. 2. 2,5 года после травмы

Рис. 3. 3,5 года после травмы

Рис. 4. Вид конечности при вертикальной нагрузке
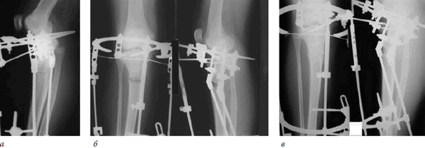
В связи с наличием функционального и косметического дефекта было принято решение об оперативной коррекции (рис. 5, 6). Ребенку была выполнена остеотомия большеберцовой кости в в/3, осуществлено наложение комбинированного аппарата внешней фиксации с дальнейшей коррекцией оси и укорочения по Г.А. Илизарову (рис. 7).

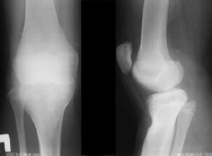
Рис. 5. Правая голень, genu recurvatum

Рис. 6. Левая голень

Рис. 7. Этапы коррекции в аппарате внешней фиксации
Деформация была устранена, аппарат демонтирован после созревания регенерата (рис. 8).

Рис. 8. Вид конечности после коррекции и демонтажа аппарата
На наш взгляд, ятрогенный характер развития genu recurvatum при переломе бедра неочевиден. С одной стороны, скелетное вытяжение как метод лечения переломов очень активно использовалось в середине и конце XX в., а как метод временной стабилизации используется и по сей день. Тем не менее, описанных случаев развития данной деформации совсем немного. А.J.R. Bowler, S.J. Mubarak, D.R. Wenger в 1990 г. описали наблюдение за двумя пациентами с переломом бедра, у которых сформировалось genu recurvatum без проведения спицы через большеберцовую кость [7]. В одном случае спица для вытяжения была проведена через бедренную кость, а в другом — осуществлялось лейкопластырное вытяжение. Похожий случай представлен в работе H. Ishikawa et al. В данном случае рекурвация голени возникла после вытяжения за дистальную часть бедренной кости и прямое ятрогенное повреждение зоны роста было исключено. Авторы высказали мнение, что в данном случае повреждение проксимальной зоны роста большеберцовой кости носило первичный характер и произошло в момент травмы [8]. Учитывая, что данный вид повреждения (по типу Salter-Harris V) с формированием типичной деформации действительно описан T. Beslikas [1], на наш взгляд, связывать развитие genu recurvatum только с проведением спицы необоснованно.
Выводы
По нашему представлению, этиопатогенез преждевременного закрытия передней части проксимальной зоны роста большеберцовой кости с последующим возникновением рекурвационной деформации при переломе бедра не является до конца изученным. И выделить в каждом конкретном случае единственную причину развития этого осложнения не представляется возможным. Тем не менее, на наш взгляд, чтобы максимально снизить возможность ятрогении, необходимо минимально использовать скелетное вытяжение за большеберцовую кость, а в случаях, когда это необходимо (временная стабилизация, тракция в целях репозиции во время оперативного лечения и т. д.), спица должна проводиться вне зоны бугристости во избежание возможного повреждения зоны роста.
Информация о финансировании и конфликте интересов
Работа была выполнена без привлечения финансирования. Авторы заявляют об отсутствии конфликта интересов.
Рекурвация, Х-образные ноги
Только за несколько последних дней ко мне обратились несколько мам с вопросом рекурвации коленного сустава у детей. Откуда берется и как лечится это умное слово? И нужно ли вообще лечить?
Чаще всего у детей такие ноги “берутся” от родителей. Это вариант, который, как правило, не приводит к патологическим изменениям.
Причиной таких изменений могут быть еще и особенности внутриутробного развития.
Первое, что может сделать родитель - это поставить ребенка ровно, чтобы стопы стояли на одной линии по фронту. Если колени вашего ребенка соединены, а между стопами входит ладонь мамы, то в такой ситуации волноваться еще рано. Просто наблюдайте за ребенком и покупайте ему хорошую обувь. Скорее всего, при увеличении нагрузки и с ростом ноги выпрямятся. Но если между стопами расстояние равно ширине стопы ребенка, то тут нужно обратиться к ортопеду. И даже в такой ситуации стоит несколько раз подумать, прежде чем применять специальные устройства, ограничивающие движения ребенка. Тут надо все обсуждать с ортопедом, а еще лучше - собрать мнение нескольких специалистов. Это касается Х-образных ног у ребенка.
Теперь поговорим о переразгибании коленного сустава назад. Такое тоже случается. Это чаще всего происходит при сниженном тонусе. Посмотрите на фотографию, и вы увидите, что у ребенка нет проблем в коленных суставах, но есть проблемы с положением таза и общая гипотония. Он весь стоит на связках. Поясница сильно прогнута, живот круглый.

Нужно понимать одну простую вещь: связки не держат сустав. Они ограничивают максимально возможное движение в суставе. Сустав удерживают мышцы. Простой пример, который прочувствовал на себе каждый в своей жизни - это умение садиться на шпагат. В суставах объем движений достаточный, чтобы не порвать связки и, не вывихнув сустав, сесть на шпагат. Но мышцы не дают это сделать. Их нужно растягивать специальными упражнениями. А теперь давайте подумаем в другую сторону: если для увеличения объема движений нужно растянуть мышцы, то почему нельзя для уменьшения объема движений увеличить тонус мышц и зафиксировать сустав? Можно! И это самое действенное средство. В спорте есть такое понятие - закачать сустав. Я из своей спортивной жизни знаю, что когда активно бегал, то мои порванные мениски не выскакивали. А вот теперь - легко выскакивают, и я их регулярно рукой вставляю обратно.
Простой вывод из всего вышесказанного: если вы волнуетесь, то лучше спросите и успокойтесь. На это вы не потратите много времени и денег, а вот на приобретение специальной обуви, не дай бог, вы потратите и свои силы, и силы ребенка, и немалое количество денег. Если обратитесь к специалисту, похожему по образу мышления на меня, то получите комплексный взгляд на вашего ребенка. Это уже немного больше, чем ортопедия.
Об авторе
Олег Леонкин, детский реабилитолог, иппотерапевт, специалист по сенсорной интеграции и детскому массажу, муж и отец 5-х детей.
Уже больше 25 лет я работаю на стыке 3 наук: медицины, педагогики и психологии, из них 18 лет с “особыми детьми”.
Наблюдая за ребенком, я анализирую порядка 40 факторов, вижу этап развития, чувствую потребности ребенка и знаю о его проблемах. Слушаю родителей и верю им. Думаю, делаю выводы, соединяю и объясняю. Перевожу с детского языка на взрослый.
nostradamvs
Неоднократно я писал в Живом Журнале, в своих художественных произведениях, в различных журнальных статьях о фрикшоу. Мне кажется, что это невероятно интересная тема, целый пласт человеческой истории, странной, изувеченной субкультуры, которая погибла под натиском медицины и этики. То есть почти погибла - фрикшоу существуют и сегодня. Я хорошо помню, как в детстве я был в цирке на представлении лилипутов - тогда я думал, что это дети.
Но сегодня мы не об этом. Сегодня мы даже не о конкретном человеке. Если вам интересна история конкретного человека - прочтите удивительную историю Джонни Эка.
А сегодня мы о болезни под названием congenital genu recurvatum, синдроме обратного изгиба коленного сустава. Странная штука, встречающаяся крайне редко и сегодня, в общем, излечимая путём ряда сложных хирургических операций и нескольких лет реабилитации.
Но сначала немного про Эллу Харпер, девочку-верблюда.
Элла родилась в городе Хендерсонвилль, штат Теннесси, в 1873 году. Как и любому другому человеку с подобной болезнью, Элле было значительно проще передвигаться на четвереньках, нежели стоять прямо. Впрочем, стоять она могла, придерживаясь за что-либо надёжное.
Пик популярности Эллы в США пришёлся на 1886 год, когда она была одной из основных звёзд знаменитого цирка W. H. Harris's Nickel Plate Circus, одного из основных (точнее, основного) конкурента знаменитого цирка Барнума. Вопреки современным заблуждениям, порождённым многочисленным кинофильмами и воплями дураков, фрикшоу вовсе не были тюрьмами или источниками унижений для уродов. Наоборот, они были одной из наилучших возможных работ для неполноценных людей.
Элла Харпер в 1886 году получала зарплату $200 в неделю (!), что с учётом инфляции соответствует примерно $5000 в неделю сегодня! Такие деньжищи открывали перед ней практически любые двери. Фрики получали от $50 до $1000 долларов в неделю (то есть, грубо говоря, от $1250 до $25000), на те времена очень, очень большие деньги. Они часто переходили из цирка в цирк, увеличивая тем самым свои доходы. Больше всего цирки зарабатывали, конечно, на фриках, которым зарплату платить было не нужно (то есть кто к физическому уродству имел и умственную неполноценность), но таких было довольно мало.
Вернёмся к Элле Харпер. Для неё, как и для других актёров, выпускались открытки. На открытках, помимо фотографии, был и текст: «Меня зовут девочка-верблюд (Camel Girl), потому что мои коленки развёрнуты назад. Удобнее всего мне передвигаться на четвереньках, как изображено на снимке. На протяжении последних четырёх лет я работаю в шоу-бизнесе, но теперь собираюсь покинуть его и пойти учиться в школу, после чего найти себе другое занятие».
Судя по всему, так и произошло. Эта серия открыток была последней. С 1886 года Элла уже не появляется во фрикшоу - скорее всего, она скопила достаточно денег, чтобы покинуть бизнес. В 1905 году всплыла информация о том, что Элла Харпер вышла замуж, а в 1921 году - что она умерла. Но уверенности в том, что это та самая Элла Харпер, нет.
Сongenital genu recurvatum бывает различных типов. Самый редкий - полный изгиб назад, то есть как Эллы Харпер. У некоторых больных изгиб частичный (то есть и туда гнётся, и туда), у иных он «ведёт» вправо или влево.
Помимо «обратного изгиба колена», иногда болезнь называется «хроническим вывихом коленной чашечки». И ещё несколькими названиями - точного названия нет. Впервые CGR упоминается в 1822 году, но до 1880 года ни изображений, ни стопроцентно проверенных свидетельств подобного заболевания не случалось. В 1880 году в одном медицинском журнале было подробно описано два подобных случая, к 1888 году их накопилось уже 25, а 1900-му - целых 127.
Жуткое, простите, видео. Наше время, Марсель - прекраснейший, грязнейший и расхлябаннейший из всех французских городов. Нищий с обратным изгибом коленей идёт по улице. Очень не рекомендую смотреть людям со слабыми нервами. Вроде ничего страшного, но ужасает.
Вернёмся в прошлое. Это сейчас подобные люди - нищие. А в конце XIX века, в период расцвета фрикшоу они без больших проблем могли найти себе очень прилично оплачиваемую работу. Вторым по известности подобным фриком после Эллы Харпер была Люси Эльвира Джонс по прозвищу «Девочка-собака» (Dog Girl).
Люси родилась в 1881 году и наибольшего расцвета её известность достигла к 1894-му - то есть так же, как и Элла, Люси обрела популярность в тринадцатилетнем возрасте. Скорее всего, это связано с определённым сексуальным фетишизмом зрителей - смотреть на девочек чаще всего рвались мужики среднего возраста (ещё эта категория обожала бородатых женщин). Дам больше привлекали, например, мужчины-скелеты. Безрукие фрики, способные ногами зажигать сигареты, обычно нравились всем поровну.
Как и Элла, Люси работала в W. H. Harris's Nickel Plate Circus, и, по сути, сменила уволившуюся предшественницу. На сцене обе носили одно и тоже имя-псевдоним Мисс Вайолет (Miss Violet), из-за чего их часто путают. Внешне, как мы имеем возможность наблюдать, девочки разные. У Эллы черты правильнее, благороднее, в то время как Люси значительно полнее, и у неё простецкое, крестьянское лицо.
Биография у Люси ещё запутаннее, чем у Эллы. На одной из карточек написано, что она выступала всё-таки у Барнума и Бейли, причём родилась в 1888 году, а на снимках - она же в 1909-м. Но во-первых, девушке на фотографиях скорее 13, чем 21, плюс одежда более соответствует концу XIX века, поэтому, скорее всего, верна первая версия.
Легенда связана с фотомонтажом, где к телу Люси прикрепили какую-то чужую голову. Вот этот фотомонтаж:
Что было с Люси после 1894 года, неизвестно.
Сongenital genu recurvatum обычно является следствием или сопутствует ряду других заболеваний, связанных с твёрдостью костей и так далее. Терапия болезни достаточно сложная. Вот, например, видео того, как учится нормально ходить человек, у которого частичная genu recurvatum (не полностью, как у Эллы и Люси), то есть процесс реабилитации. Сразу хочу заметить - видео также не для чувствительных.
Вернёмся ещё разок в прошлое. На этот раз познакомимся с Робертом Хаддлстоном по прозвищу «пони-мальчик» (Pony Boy), третьим по известности фриком с CGR.
Хаддлстон родился в Миссури в 1895 году и в отличие от Эллы, стоять не мог - слишком ослаблены были мышцы ног (хотя торс, как хорошо видно, у Роберта весьма внушительный). В целом Боб был очень сильным и демонстрировал на арене в том числе силовые трюки с гирями.
Чаще всего подобные фрики пользовались толстыми перчатками (так ходил упомянутый ранее Джонни Эк), но Боб почти на всех снимках - на деревянных утюжках с рукоятями. Видимо, так ему было удобнее. Он выступал во фрик-шоу 1920-х - 1930-х, то есть на завершающей стадии их популярности, в цирках Tom Mix Circus и Ted Metz Circus.
Боб прожил достаточно долгую жизнь, во время войны работал кузнецом, также где-то трудился на лесозаготовках, после войны делал своё собственное шоу (то есть демонстрировал себя в отрыве от цирка) и умер в 1970 году. На старости лет, говорят, увлекался реставрацией старинных автомобилей.
Читайте также:
- Диагностика и лечение аномального отхождения левой коронарной артерии.
- Механизмы действия блокады межреберных нервов. Показания к блокаде межреберных нервов
- Узелки певцов: причины, диагностика и прогноз
- Гнездная алопеция у ребенка
- Система микроволновой абляции эндометрия Microsulis. Преимущества и недостатки
