Рентгенограмма, КТ, МРТ при дефекте развития проксимальных отделов бедренной кости
Добавил пользователь Евгений Кузнецов Обновлено: 22.11.2025
Тазобедренный сустав является самым крупным сочленением в организме человека и, соответственно, именно он испытывает максимальную осевую нагрузку. Любые патологические процессы в нем часто приводят к значительному нарушению функции ходьбы, затрудняют самообслуживание и даже могут стать причиной инвалидности. КТ тазобедренного сустава позволяет выявить заболевание на ранней стадии развития и начать своевременную терапию. Это во многом определяет результативность лечебных мероприятий и прогноз для пациента.
Что покажет КТ тазобедренного сустава
Компьютерная томография − это рентгенологический метод исследования. Однако, в отличие от обычного рентгена, она дает возможность получать послойные изображения тазобедренного сустава с толщиной среза в несколько миллиметров. Мультиспиральные томографы делают это за считанные секунды, к тому же, оснащенные современными компьютерными программами, они позволяют создавать объемные модели исследуемой зоны.
На полученных снимках можно рассмотреть мельчайшие структуры тазобедренного сустава, выявить патологические изменения на начальных стадиях развития. На КТ-изображениях отчетливо видны следующие структуры:
кости таза, участвующие в формировании сочленения;
головка и проксимальный отдел бедренной кости;
суставная капсула, хрящевые поверхности костей;
окружающие мышцы и связки, подкожно-жировая клетчатка;
крупные сосуды, нервы.
Лучше всего компьютерная томография тазобедренного сустава визуализирует костные ткани. Во время анализа снимков удается определить точные размеры головки бедра, расстояние до вертлужной впадины, конгруэнтность суставных поверхностей.
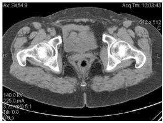
На КТ-снимке тазобедренных суставов виден перелом бедра слева
В травматологии и ортопедии очень важны такие параметры, как плотность и структура костной ткани. Эти показатели необходимы перед установкой искусственного сустава, от них зависит выбор типа имплантата, способ его крепления на кости.
Мультиспиральные томографы и прилагаемые к ним программы также позволяют получать 3D-реконструкции тазобедренных суставов. Такие данные оказывают большую помощь хирургу, помогают провести все манипуляции с максимальной точностью.
С помощью КТ тазобедренного сустава выявляют следующие патологии:
воспалительные процессы: остеомиелиты, артриты, бурситы;
дегенеративно-дистрофические изменения (остеоартроз);
объемные новообразования (злокачественные и доброкачественные опухоли), кисты;
наличие жидкости в суставе гнойного, серозного или геморрагического характера;
травматические изменения в костях, суставной капсуле, связках и мышцах (переломы, гематомы, разрывы и пр.);
врожденные аномалии (дисплазия).
Кроме того, томография помогает определить состояние уже установленных ортопедических конструкций (искусственного сустава, штифтов). Учитывая, что КТ тазобедренного сустава оказывает относительно небольшую лучевую нагрузку, ее можно использовать для контроля за проводимым терапевтическим лечением, в послеоперационном периоде.
Иногда для лучшей визуализации анатомических структур или сосудистой сети тазобедренного сустава необходимо дополнительное введение контрастирующего вещества на основе йода. Процедура контрастирования необходима для повышения четкости мягких тканей, правильного разграничения опухолевого и воспалительного процессов. В случае новообразования именно фармакологическое усиление дает максимум информации о размерах, расположении и степени инвазивности опухоли.
В диагностическом центре «Магнит» контрастирование делают с использованием качественного немецкого фармпрепарата Ультравист. Его количество рассчитывается исходя из массы тела больного, он практически не вызывает побочных эффектов и аллергических реакций.
Показания для КТ тазобедренного сустава
Врач может дать направление на КТ тазобедренного сустава при любых симптомах, свидетельствующих о наличии патологии:
длительном болевом синдроме;
ограничении движений в нижней конечности;
отеке, гиперемии в области тазобедренного сустава;
неприятном хрусте или щелчках в суставе при ходьбе;
косвенных признаках опухолевого процесса в сочленении;
после перенесенной травмы, для исключения скрытых повреждений.
Основанием для проведения томографии могут стать патологические изменения, выявленные во время УЗИ или артроскопии. Травматологи и ортопеды часто рекомендуют КТ перед хирургическим вмешательством. Данное обследование может проводиться планово перед операцией эндопротезирования, в качестве контроля за состоянием имплантата.
КТ тазобедренного сустава больного, которому уже была проведена ранее установка имплантата
Что нужно взять с собой для обследования КТ
Если ваш лечащий врач дал направление на КТ тазобедренного сустава, то, прежде всего, необходимо позвонить в диагностический центр «Магнит» и согласовать время диагностики. Одновременно сотрудник центр ответит на любые вопросы касательно особенностей и стоимости процедуры.
Специально готовиться перед томографией суставов не нужно, можно питаться как обычно и придерживаться привычного ритма жизни. Лучше надеть на диагностику одежду посвободнее, она позволит более комфортно расположиться на столе томографа.
Потребуется взять с собой имеющиеся медицинские документы:
направление от врача;
результаты лабораторных исследований;
заключения УЗИ, артроскопии;
Перед КТ тазобедренного сустава с контрастированием дополнительно нужно будет сдать анализ на креатинин (по месту жительства или непосредственно в медцентре).
Как проходит обследование КТ
Сама процедура компьютерной томографии тазобедренного сустава безболезненна и не причиняет существенного дискомфорта. Томограф находится в специальном помещении, отделенном стеклом от персонала центра. Во время небольшого предварительного инструктажа специалист расскажет вам, как делают обследование КТ, затем предложит занять удобное положение на выдвижном столе аппарата. При необходимости нижнюю конечность зафиксируют специальными ремнями.
Процедура сканирования безболезненна, однако во время ее проведения важно сохранять неподвижное положение тела
Во время процедуры сканирования стол будет плавно перемещаться в кольце аппарата. Важно лежать неподвижно и не совершать даже малейших движений. Длительность сканирования не превышает 1-2 минут.
Если выполняется КТ тазобедренного сустава с контрастом, то время исследования будет составлять от 15 до 20 минут. Это связано с необходимостью выполнения нативных снимков, введения контрастирующего вещества и повторного сканирования.
Полученные во время сканирования изображения-срезы подвергаются компьютерной обработке и реконструкции. После этого их анализирует врач-рентгенолог диагностического центра «Магнит». Специалисты нашего медучреждения имеют большой опыт в интерпретации результатов КТ тазобедренного сустава, к их мнению прислушиваются коллеги-рентгенологи и врачи других специальностей.
Результаты томографии отдают, в среднем, через полтора-два часа. На руки пациент получает распечатанное заключение, диск с протоколом сканирования. При возникновении вопросов касательно результатов КТ в центре «Магнит» проводят бесплатную консультацию врача. Вы сможете получить ответы на все интересующие вопросы и разъяснения касательно выявленной патологии.
Врач-рентгенолог анализирует полученные данные и составляет свое экспертное заключение
Безопасность процедуры КТ для беременных и детей
Компьютерная томография тазобедренного сустава является рентгенологическим методом диагностики. Известно, что ионизирующее излучение крайне негативно влияет на интенсивно растущие ткани человеческого организма. По этой причине КТ противопоказана беременным женщинам. Она повышает риск возникновения внутриутробных патологий у плода. Особенно опасно рентгеновское излучение в первом триместре вынашивания плода. Любая женщина, идя на обследование, должна убедиться в отсутствии беременности.
Детям КТ тазобедренного сустава может быть назначена, но только по строгим показаниям. Это связано с негативным влиянием рентгена на растущий организм. В медцентре «Магнит» компьютерную томографию выполняют пациентам начиная с пятилетнего возраста, обследование с контрастированием - с 12 лет.
Противопоказания для КТ тазобедренного сустава
В диагностическом центре «Магнит» компьютерную томографию не выполняют следующим категориям пациентов:
лицам, чей вес больше 150 кг;
детям до пяти лет.
КТ тазобедренного сустава с дополнительным введением контрастирующего вещества противопоказана при таких состояниях:
индивидуальной непереносимости йода;
почечной или печеночной недостаточности;
гиперпродукции тиреоидных гормонов.
Кормящим женщинам контрастное вещество вводят лишь в случае крайней необходимости. Контрастирующий фармпрепарат проникает в грудное молоко и может негативно сказаться на здоровье ребенка. После обследования женщина должна будет еще два-три раза пропустить кормление и сцедить молоко.
Преимущества КТ тазобедренного сустава
На сегодняшний день компьютерная томография является одним из самых востребованных способов диагностики. Это объясняется рядом преимуществ данного метода:
возможностью получения послойных изображений сустава;
неинвазивностью и, соответственно, безболезненностью для пациента;
безопасностью для здоровья;
большой скоростью сканирования;
относительно невысокой стоимостью.
Аналогичным компьютерной томографии методом является МРТ. Она также позволяет получать послойные изображения сустава и окружающих его тканей. Преимущество компьютерной томографии тазобедренного сустава заключается в более контрастной визуализации костных тканей, их травматических повреждений, новообразований, участков деструкции. КТ лучше выявляет свежие кровоизлияния, гематомы, однако уступает по информативности при обследовании мягких тканей.

“Скрытый” перелом бедра, определяемый на КТ-снимках
Стоимость КТ тазобедренного сустава
В диагностическом центре «Магнит» КТ тазобедренного сустава можно сделать за 2450 руб. Нередко врач назначает обследование сразу двух тазобедренных суставов. Это необходимо для сравнения патологически измененного и здорового сочленения. КТ тазобедренного сустава с введением контраста обходится дороже обычного исследования, поскольку нужно доплачивать за количество использованного Ультрависта.
Что показывает КТ тазобедренного сустава, что лучше КТ или МРТ

КТ тазобедренного сустава - неинвазивный способ визуализации патологических процессов в данной области, подразумевающий использование рентгеновского облучения и компьютерного анализа для создания детальных изображений тела в разных проекциях. С помощью специальных программ возможна комбинация отдельных снимков для получения трехмерного вида бедренной кости с прилежащим суставом. Компьютерная томография показывает мягкие ткани (связки и мышцы) несколько более отчетливо, чем традиционное рентгенологическое исследование и ультразвук, что позволяет с большей вероятностью установить правильный диагноз. Выбор процедуры визуализации зависит от клинической ситуации, дифференциально-диагностических соображений и противопоказаний. КТ-сканирование может выполняться и с введением контрастного вещества. МСКТ тазобедренного сустава - более усовершенствованный вид исследования, выполняемый на томографах нового поколения.
Что показывает КТ тазобедренного сустава
Расшифровка КТ костей таза: специальные программы расширяют возможности диагностики
Тазобедренный сустав - соединение головки бедренной кости с вертлужной впадиной таза. Причины боли в его проекции могут быть внутрисуставные или внесуставные (отраженные от соседних структур: крестцово-подвздошного и лонного сочленений, позвоночника, пахового канала). Внутрисуставные факторы включают хондромаляцию, дегенеративные изменения интраартикулярных структур, повреждения костей, разрыв связок, воспаление и синовиальные пролиферативные расстройства. Внесуставные причины чаще обусловлены корешковым синдромом при вовлечении нервов и вертельным бурситом. КТ тазобедренного сустава показывает следующие изменения:
распространенность и степень инвазии опухолевого процесса (доброкачественного или злокачественного) костей или мягких тканей, метастазы;
последствия обменных нарушений;
посттравматические изменения (вывих, растяжение, разрыв связок, перелом) и их осложнения (скопление крови (гематома),синовиальной жидкости или гноя);
присутствие инородных тел;
врожденные аномалии развития костно-суставного аппарата;
патологические изменения сосудов, нервов.
Нередко при обследовании выявляют сочетанные поражения. Для полноты картины могут потребоваться дополнительные способы диагностики: МРТ, лабораторные анализы. Только при оценке всех результатов в совокупности устанавливают причину появления симптомов неблагополучия.
Как делают КТ костей таза и тазобедренного сустава
Во время диагностической процедуры необходима полная неподвижность
Разберем подробнее, как делают КТ тазобедренного сустава. По предварительной записи пациент приходит в диагностический центр, в некоторых ситуациях (травма) обследование может быть проведено в экстренном порядке. После беседы, где уточняются детали (отсутствие противопоказаний, аллергия на контраст, возможная беременность и пр.), больного укладывают на стол томографа, который скользит вглубь аппарата. Конечность фиксируют с помощью ремней или специальных приспособлений. Любое движение в момент диагностической процедуры приводит к появлению дефектов на томограммах. Техник может попросить на несколько секунд задержать дыхание для обеспечения полной неподвижности. В момент процедуры вокруг тела вращаются сканирующие устройства внутри кольца аппарата. Рентгеновское излучение воздействует только на нужную зону, остальные области накрывают специальным защитным фартуком. Коммуникация с пациентом осуществляется по громкой связи, за ходом исследования персонал наблюдает через стекло. Для экстренных ситуаций (затрудненность дыхания, предобморочное состояние и пр.) под рукой есть тревожная кнопка. После процедуры нет ограничений для управления транспортным средством, выполнения работ, связанных с концентрацией внимания. Длительность КТ костей таза - 10-25 минут.
МРТ или КТ тазобедренных суставов
Оптимальный тип исследования в каждой конкретной ситуации выбирает врач
МРТ или КТ тазобедренного сустава: в большинстве случаев взаимодополняющие способы исследования, но лучше, если конкретный тип диагностики определит лечащий врач. Магнитно-резонансная томография является наиболее чувствительным методом выявления остеонекроза головки бедренной кости. При МРТ тазобедренных суставов хорошо видны изменения в тканях, связанные с данной патологией, что позволяет определится со стадированием. Компьютерная томография может более точно идентифицировать субхондральные переломы, чем МРТ, и остается одним из основных способов визуализации для постановки диагноза, связанного с травмой. При врожденной дисплазии тазобедренного сустава положение неоссифицированной головки бедренной кости у детей младше шести месяцев можно определить только по косвенным признакам на компьютерных томограммах. МРТ не подразумевает использования ионизирующего излучения для выявления патологического процесса в области бедра, что позволяет проводить исследование беременным женщинам. Компьютерная томография остается методом выбора для оценки переломовывихов тазобедренного сустава. У некоторых пациентов КТ и МРТ демонстрируют данное повреждение, даже если оно не видно при рентгенографии. При новообразованиях компьютерное сканирование обеспечивает лучшую оценку кальцификации, окостенения и периостальной реакции, чем МРТ. Магнитно-резонансная томография - наиболее точный метод визуализации интрамедуллярной и мягкой ткани опухоли и выявления вовлечения сосудисто-нервных пучков. МРТ более предпочтительна для мониторинга реакции на химиотерапию при онкологическом процессе. При остеоартрозе и ревматоидном артрите тазобедренного сустава компьютерное и магнитно-резонансное сканирование обеспечивают более детальную оценку тяжести заболевания, чем обычная рентгенография.
Контрастирование при КТ тазобедренных суставов
После введения контраста небольшая тошнота, металлический привкус во рту, горячая волна - варианты нормы, которые не требуют принятия каких-либо мер
Существует ряд патологических состояний, для диагностики которых необходимо выполнение КТ тазобедренного сустава с контрастированием. К ним относят: хрящевые поражения, изменения оболочек, сосудов, синовиальных сумок и нервов в бедренно-вертлужной впадине, внутрисуставные инородные тела и переломы, абсцесс мягких тканей. Исследование показано для проведения предоперационной оценки при дисплазии тазобедренного сустава. Для улучшения визуализации в вену вводят контрастное вещество, которое имеет способность накапливаться в патологических участках, что и отражают томограммы. Контрастирование может быть выполнено не всем пациентам, есть противопоказания к усиленной КТ тазобедренного сустава:
выраженная реакция гиперчувствительности на радиофармпрепарат при прошлых исследованиях;
гиперфункция щитовидной железы;
любые заболевания почек с уровнем креатинина и мочевины выше нормальных показателей (почечная недостаточность).
Пациенты с сахарным диабетом, получающие Метформин, вынуждены будут отказаться от приема лекарства за 36 часов до исследования. Отмену необходимо обязательно обсудить с эндокринологом. Во время лактации рекомендуют сцеживание с предварительным запасом молока не менее, чем на 2 последовательных кормления. Но подтвержденные данные о вредном воздействии на ребенка после прохождения диагностической процедуры матерью в мировых исследованиях отсутствуют. После КТ с контрастированием рекомендовано усилить питьевой режим, что будет способствовать более быстрому выведению остатков радиофармпрепарата. Усиленное КТ тазобедренного сустава возможно только после оценки уровня креатинина в крови. Результат анализа действителен в течение 10 дней. В некоторых клиниках есть возможность пройти этот тест непосредственно перед исследованием (например, в диагностическом центре “Магнит” в Санкт-Петербурге), но условия лучше уточнить заранее.
Противопоказания и показания
Перед прохождением диагностики ознакомьтесь с показаниями и противопоказаниями
КТ костей таза без контрастного усиления не оказывает побочных эффектов на организм взрослого человека. Радиационная нагрузка значительно меньше, чем при выполнении обычной рентгенографии. Действие ионизирующего излучения во время проведения исследования может вызвать неблагоприятные последствия в период гестации и у маленьких детей. До 5 лет контрастирование не выполняется, а после 12 лет возможно только в ситуациях, угрожающих жизни.
Любые симптомы неблагополучия нельзя оставлять без внимания: боль, припухлость, уменьшение амплитуды движений в суставе, напряжение мышц, гиперемия кожных покровов - повод обратиться за медицинской помощью. Показания к выполнению КТ тазового кольца и сочленений:
переломы головки бедренной кости, вертлужной впадины, шейки бедра;
передний или задний вывих бедра;
артроз тазобедренных суставов (сустава);
бедренно-вертлужное соударение, ущемление;
подозрение на неопластический процесс в данной зоне;
системные заболевания соединительной ткани;
остеоартрит, остеомиелит, остеонекроз и др.
Под контролем компьютерной томографии возможно выполнение биопсии опухолевого образования для верификации диагноза. КТ иногда заменяет диагностическую операцию, избавляя пациента от ненужного дискомфорта. КТ-сканирование проводят перед лучевой терапией, при которой эффективная доза зависит от точной плотности, размера и локализации опухоли.
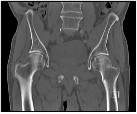
Фото томографии КТ тазобедренного сустава
3D-реконструкция КТ тазобедренных суставов, прямая проекция
Тазобедренный сустав - один из самых крупных у человека, на него приходится большая нагрузка, что повышает вероятность травматизации. В норме суставная головка соответствует впадине, костная и хрящевая ткань без деструктивных изменений, движения в полном объеме, а болевые ощущения отсутствуют.
Коксартроз тазобедренного сустава на КТ
КТ: деформирующий артроз тазобедренного сустава
Коксартроз - самый частый вид артроза - приводит к деформации тазобедренного сустава за счет дегенеративно-дистрофического процесса, степень выраженности патологии вариативна. С заболеванием чаще сталкиваются люди старше 40-45 лет. К предрасполагающим факторам относят генетическую предрасположенность, изменения гормонального фона, травмы, искривление позвоночного столба, воспалительные и невоспалительные процессы в тазобедренных суставах, дисплазию и пр. При начальных клинических проявлениях проводят консервативную терапию, в запущенных стадиях у пациентов с сохраненной активностью показано выполнение эндопротезирования.
Неоссифицирующая фиброма кости

Фиброзный кортикальный дефект, он же неоссифицирующая фиброма кости.
В ранних источниках классифицировали как метафизарнй фиброзный дефект. Так же часто называется неостеогенной фибромой кости. В ЦИТО в 2001 году защищена диссертационная работа по результатам которой выделены 2 формы: МКД - метафизарный костный дефект и НФ неоссифицирующая фиброма кости.
Этиология
Метафизарные костные дефекты обычно выявляются в детском возрасте в период активного роста костной ткани и наиболее часто встречаются у пациентов мужского пола. Очаги чаще всего локализуются в корковом слое метфафизов длинных рубчатых костей. Наиболее часто встречается в бедренной кости (дистальный метафиз), большеберцовая кость (с одинаковой частотой как в проксимальном так и в дистальном метафизе). В данной локализации выявлено до 80 % всех наблюдаемых очагов. В том числе часто встречается локализация в малоберцовой кости. При сочетании данной патологии с пигментации кожи по типу кофейных пятен констатируют синдром Jaffe Campanacci (Комбинация множественных очагов в костях, пигментация кожи по типу кофейных пятен, задержка умственного развития, гипогонадизм, крипторхизм, глазные аномалии, патология сердечно-сосудистой системы). В настоящее время описаны лишь единичные случаи.
По наблюдениям большое количество МФКД подвергается спонтанной регрессии. Часто не проявляются какой-то явной ортопедической картиной у детей и в большинстве своём являются находкой при обследовании по рентгенограммам. В ряде случаев дефект достигает значительных размеров и проявляется болевым синдромом и требуется хирургическое вмешательство
При НФ болевой синдром проявляется чаще чем при МФКД. При неостеогенной фиброме патологические переломы возможны в 40% случаев. Так же помимо боли в области очага появляется припухлость плотной консистенции.
Диагностика
Ключевым методом в обследовании пациентов с МФКД является рентген, КТ и МРТ. При этом данные КТ позволяют более точно определить объём патологического очага и определить риск патологического перелома. МРТ выполняется чаще с целью дифференциальной диагностики.
Лечение
При наличии дефекта размером менее 1/3 поперечника костной ткани (отсутствие патологического перелома) возможно консервативное лечение и наблюдение с исключением физических нагрузок до закрытия очага. При наличии боли и очага более 1/3 поперечника - необходимо хирургическое вмешательство в виде краевой резекции и проведения костной пластики (ауто- или аллотрансплантатами). При наличии патологического перелома проводится внеочаговый остеосинтез.
МФДК всегда протекает доброкачественно, после адекватного хирургического вмешательства рецидив заболевания не происходит.
МРТ тазобедренного сустава что показывает

Магнитно-резонансная томография - метод диагностики, позволяющий получить подробное представление о характере патологических изменений в любой области человеческого тела.

МР-скан коксофеморальных сочленений, вариант нормы
В ортопедической практике МРТ тазобедренного сустава чаще проводят для уточнения причин коксалгии - болевого синдрома в сочленении. Способ исследования не подразумевает использования ионизирующего излучения, что особенно актуально для детей и беременных женщин. Процесс создания четких снимков, которые можно увеличивать, рассматривать в объемном виде, базируется на использовании магнитного резонанса и компьютерных технологий. Для улучшения возможностей визуализации применяют контрастирование. Диагностическая ценность фото, полученных после введения гадолиния, сопоставима с результатами артроскопии - инвазивного исследования с проникновением в полость сочленения хирургических инструментов.
Как делают МРТ тазобедренного сустава? Сканирование проводят на аппаратах с разной напряженностью магнитного поля. Врач может самостоятельно выбирать программы в зависимости от клинических задач. Это актуально, если первоначально неясно, что вызывает болевой синдром: патология органов малого таза или сустава. В стандартных ситуациях используют мультипараметрические последовательности.
Заболевания тазобедренного сустава на МРТ

Импиджмент синдром на МР-фото
Магнитно-резонансное сканирование проводят для диагностики ряда патологических состояний. Что показывает МРТ тазобедренного сустава? На снимках визуализируются:
К механическому конфликту между бедренной головкой/шейкой и краем вертлужной впадины приводят одно- или двусторонние дефекты костей врожденного или приобретенного генеза. Видоизмененные компоненты сочленения вызывают дисфункцию конечности за счет соударения во время движения. Патологическое трение костей способствует разрастанию остеофитов на фоне постоянной травматизации вертлужной губы. Если своевременно не диагностировать заболевание и не начать лечение, последняя с течением времени разорвется., Хрящевая ткань сочленяющих костей будет разрушена. Подобный механический конфликт часто способствует формированию коксартроза и сопровождается прогрессирующим болевым синдромом.

МРТ: выраженный эпифизеолиз слева - дистрофическое состояние зоны роста, симптом соскальзывания головки в области шейки бедренной кости
МРТ тазобедренного сустава при феморо-ацетабулярном импинджмет-синдроме показывает возможные причины заболевания:
врожденные пороки развития;
осложнения после травм и оперативных вмешательств;
сопутствующий аваскулярный некроз головки бедра;
воспалительные процессы в синовиальной сумке;
остеохондропатию (болезнь Пертерса);
эпифизеолиз (перелом Салтера-Харриса);
атрофированные мышцы вокруг сочленения и пр.
При тяжелой форме сахарного диабета с нарушением кровообращения, регулярных физических перегрузках, сопутствующих заболеваниях опорно-двигательного аппарата и соединительной ткани (артриты, подагра, системная красная волчанка и пр.) обнаруживают деструкцию костных и хрящевых структур.
Остеоартроз. Длительно существующий патологический процесс приводит к полной утрате функции тазобедренного сочленения за счет разрушения всех компонентов сустава. Изменения в костной ткани, связках, кровеносных сосудах, хрящах и окружающих мышцах можно увидеть на МРТ с контрастированием. Вовлечение нервных пучков вызывает стойкую боль в бедре. К предрасполагающим факторам относят:
занятия тяжелыми видами спорта;
сопутствующий артрит, артроз и пр.
У болезни выделяют три степени тяжести. МРТ тазобедренного сустава показывает изменения на ранней стадии, когда предотвратить/замедлить прогрессирование патологии можно с помощью медикаментозной терапии.
Аваскулярный некроз головки бедра.

Вид указанной патологии на МРТ, изменения соответствуют 2 стадии
К развитию аваскулярного некроза приводит длительное нарушение питания тазобедренного сустава на фоне загустевания крови, тромбообразования, сдавления, скручивания сосудов. В костной ткани при ишемии создаются пустоты, приводящие к деформации, отслойке хряща. Клинические проявления неспецифичны, что вызывает трудности в постановке диагноза. Провоцирующих факторов множество:
воздействие ионизирующего облучения и пр.
Ранние изменения не видны при рентгенографии, ультразвуковом исследовании. МРТ тазобедренного сустава - один из эффективных способов определить болезнь на начальной стадии.

Подострый остеомиелит на МР-скане и обычной рентгенограмме: отслойка надкостницы (наконечник), гнойный очаг (стрелки)
Ревматоидный, септический, псориатический, реактивный, юношеский артриты, остеомиелит приводят к видоизменению тазобедренного сустава и синовиальной оболочки (синовиту). Определение генеза, кроме процедур МРТ и КТ, подразумевает выполнение лабораторных тестов для оценки:
уровня мочевой кислоты;
HLA B27 антигена;
антител к циклическому цитруллинированному пептиду и пр.
Артрит тазобедренного сочленения (коксит) может быть проявлением болезни Бехтерева, костно-суставного туберкулеза, ряда обменных нарушений в организме человека. Выделяют четыре стадии прогрессирования болезни:
I - стирание сухожилий, уменьшение пространства между костями, незначительное депонирование жидкости, усиление боли при нагрузке;
II - развитие эрозий и мышечной атрофии;
III - образование остеофитов, нарастание отека, деструкция хряща;
IV - видоизменение всех структур сочленения.
Синовиальные поражения. Болезни внутреннего слоя суставной сумки или костно-фиброзного канала регистрируют редко. Пигментно-нодуллярный синовит - опухолеподобная патология сочленения с неизвестным генезом. Для болезни характерны гиперплазия (избыточное разрастание) оболочки и отложение гемосидерина. По фото МРТ видны сформированные во внутреннем слое капсулы хрящевые тела при синовиальном хондроматозе.

МРТ: метастаз в шейку бедра с формированием стресс-перелома (обведено)
В тазобедренном суставе могут развиваться добро- и злокачественные новообразования. Фото МРТ показывает предположительный характер опухоли. Верификация диагноза требует биопсии. Боль отмечают при сдавливании нервных окончаний, пограничных тканей, сосудов, что бывает при любой опухоли, поэтому отсутствие симптома не должно откладывать проведение магнитно-резонансной томографии. Первичные новообразования костей лучше диагностировать с помощью КТ, для демонстрации изменений мягких тканей больше подходит МРТ.
Дисплазия тазобедренного сустава. Для определения врожденного недоразвития сочленения, сопровождающегося подвывихом, ультразвуковой сонографии часто недостаточно. МРТ можно делать маленьким детям без вреда для здоровья, начиная с месячного возраста.

Стресс-перелом шейки бедра на МРТ
Патологию чаще диагностируют у пожилых людей, что связано с возрастными нарушениями минерального обмена. При опухоли и инфекции возникает так называемый патологический перелом костной ткани. Фото МРТ показывает:
вывихи, растяжения и разрывы (полные и частичные) связок;
ушибы с внутренним кровоизлиянием;
МРТ тазобедренного сустава: показания и противопоказания

Эндопротез может вызвать дефекты на изображениях, поэтому предпочтительнее рентгеновские способы диагностики
МР-томографию выполняют при неоднозначных результатах компьютерного сканирования, рентгенографии, УЗИ. Способ подходит для динамического наблюдения: по медицинским показаниям нет ограничений по количеству в проведении МРТ. Клинические проявления при ряде патологических процессов схожи, и для точного определения генеза симптомов необходима расширенная диагностика. Показания к МРТ тазобедренного сустава включают:
длительный болевой синдром, необъяснимую хромоту, дискомфорт во время ходьбы и/или в покое, ограничение амплитуды движений в сочленении;
отсутствие эффекта/краткосрочное улучшение на фоне терапии;
оценку посттравматических осложнений - в экстренной ситуации поиск начинают с КТ;
первичное выявление заболевания - воспаления, деструкции, опухолевой патологии, врожденных аномалий развития, инфекционного поражения, дегенеративно-дистрофических процессов и пр.;
обследование перед операцией и после хирургического вмешательства - эндопротезирования и др.;
При болях, связанных с невралгией, МРТ тазобедренных суставов показывает норму, исследование выполняют для дифференциации процессов.
Противопоказания к МР-сканированию:
наличие в теле имплантированных устройств - мио-, нейро-, кардиостимулятора, дефибриллятора, инсулиновой помпы, постоянного слухового протеза, сосудистых клипс из металла с парамагнетическими свойствами, аппарата Илизарова и пр.;
беременность в первом триместре;
детский возраст до месяца;
ожирение с массой тела выше 120 кг (для сканеров с закрытым контуром);
тяжелое самочувствие пациента, обусловленное острым состоянием: болевым синдромом на фоне травмы, инфарктом, инсультом и пр.;
невозможность длительного нахождения в положении на спине;
некоторые психические и неврологические патологии - алкогольный делирий, эпилепсия, клаустрофобия, болезнь Паркинсона, Альцгеймера (МРТ сделают в условиях стационара под седативными препаратами).
Исследование с контрастом недоступно для пациентов с аллергической реакцией на гадолиний в анамнезе, почечной недостаточностью терминальной стадии, беременным на любом сроке. Постоянные зубные конструкции - виниры, штифты, брекеты, эндопротезы из титана не препятствуют выполнению магнитно-резонансного сканирования
Как делают МРТ тазобедренного сустава?

Для улучшения соотношения сигнал-шум нужно, чтобы проблемная область находилась как можно ближе к центру стола
Магнитно-резонансное сканирование указанного сочленения выполняют на разных аппаратах. Снимки, полученные на оборудовании с замкнутым контуром, более информативны. Оптимальный вариант - сделать МРТ на закрытом сканере с напряженностью магнитного поля от 1.5 Тесла. Маломощные установки используют для скрининговой диагностики спортсменов, в отсутствие жалоб.
За 20 минут до исследования пациент прибывает в клинику. После оформления документов и сдачи на хранение предметов, содержащих металл, рентгенолаборант укладывает больного на стол томографа.
Во время диагностической процедуры можно посмотреть один или два тазобедренных сустава, что зависит от показаний: системные заболевания подразумевают комплексное исследование нескольких зон.
Пациента укладывают на спину, большие пальцы ступней сводят вместе для обеспечения ротации тазобедренных суставов. Для предотвращения случайных движений используют подколенный валик и мягкую фиксацию конечностей ремнями. Над областью интереса располагают катушку. При запланированном контрастировании в локтевую вену устанавливают катетер и подсоединяют автоматический инъектор: в заданное время в организм будет поступать препарат-усилитель.
После оценки прицельных снимков рентгенолог выбирает нужные последовательности МРТ. За ходом диагностики медперсонал наблюдает через окно из соседнего помещения, общение осуществляют по громкой связи. При ухудшении самочувствия больного сканирование может быть приостановлено, под рукой у пациента есть специальная кнопка. После завершения сканирования стандартно на руки выдают заключение, диск с записью диагностической процедуры. Видео можно открыть с помощью программы, поддерживающей формат dicom.
Как подготовиться к МРТ тазобедренного сустава?

Перед записью на процедуру все вопросы можно обсудить с лечащим врачом
Особых мер не требуется, достаточно убрать металлические предметы (ключи, монеты и др.), платежные карты, снять украшения, часы, надеть свободную одежду без молний и заклепок. Возьмите с собой пакет документов: паспорт, описания результатов предыдущей диагностики, направление врача, медицинский полис (если оплата будет проходить через страховую компанию).
Для женщин в период лактации подготовка к МРТ тазобедренного сустава с контрастированием подразумевает запас молока на несколько кормлений. Усиленный питьевой режим после диагностической процедуры будет способствовать более быстрому избавлению от хелатов гадолиния.
Как проводится МРТ тазобедренных суставов, если нужно посмотреть еще и внутренние органы? При подозрении на возможную патологию матки, придатков, простаты, семенных пузырьков, поддерживающих болевой синдром, подготовка к исследованию подразумевает очистку кишечника и устранение метеоризма. Мочевой пузырь оценивают в наполненном состоянии.
Расшифровка МРТ тазобедренных суставов
Интерпретацией изображений занимается врач-рентгенолог. В норме на серии томограмм травматических изменений не определяется:
структура костной ткани однородна, без дистрофических признаков;
субхондрального склероза суставных поверхностей нет;
капсула сочленений не утолщена, в полости присутствует небольшое количество синовиальной жидкости с однородным МР-сигналом;
костные крыши вертлужных впадин сформированы правильно, суставные щели равномерные, конгруэнтность (сопоставимость, согласованность) поверхностей сохранена;
целостность связочного аппарата не нарушена;
сигнал хрящевого компонента без особенностей, областей истончения нет;
краевые заострения суставных поверхностей вертлужных впадин отсутствуют;
окружающие мягкие ткани без видимой патологии;
бедренные и тазовые кости в зоне сканирования без очаговых изменений.
Анатомия тазобедренного сустава

Обеспечение указанным сочленением обширного объема движений в нескольких плоскостях и значительные физические нагрузки приводят к развитию различных заболеваний
Коксофеморальный сустав сформирован проксимальным концом (головкой) бедренной кости и вертлужной впадиной. Последняя состоит из подвздошной, седалищной и лобковой костей, имеет округлую форму. В вертлужной впадине различают суставную поверхность, ацетабулярную ямку или углубление. Капсулу сочленения формируют множественные связки. Головка бедренной кости, как и вертлужная впадина, частично покрыта гиалиновым хрящом, остальное приходится на синовиальную оболочку, вырабатывающую жидкость для уменьшения трения. Связки и суставная капсула служат для ограничения амплитуды движений (предотвращения вывихов, переразгибаний конечности).
Сколько длится МРТ тазобедренного сустава?
Продолжительность диагностической процедуры связана с мощностью аппаратуры, типом исследования (нативное или с усилением). Длительность МРТ тазобедренного сустава примерно 25-35 минут, результат можно забрать через полчаса. При заказе услуги “Второе мнение” сроки готовности заключения оговаривают отдельно. С учетом заполнения медицинской документации, проведения инструктажа, укладки пациента и сканирования временные затраты займут около часа.
Что лучше: КТ, МРТ или рентген тазобедренного сустава?

Эпифизеолиз бедер на МРТ
Магнитно-резонансная томография и компьютерное сканирование являются дополняющими способами диагностики, так как часто необходимо оценить и мягкотканные структуры и кости, формирующие сустав. В экстренных ситуациях преимущество у КТ, позволяющей получить результат в течение нескольких минут. Отдаленные последствия травм, опухоли, аваскулярный некроз лучше демонстрирует МРТ. Рентгенографию в современной травматологии используют для поиска грубых повреждений или запущенных процессов, исходящих из костной ткани, при возможности выбора лучше сделать мультиспиральное компьютерное сканирование. Из перечисленных способов визуализации наиболее безопасна МР-томография, так как рентгеновская диагностика подразумевает лучевое воздействие на организм.
Лучевые методы диагностики дисплазии тазобедренного сустава

Дисплазия тазобедренных суставов (ДТБС) (врожденный вывих бедра) — врожденное нарушение развития сустава. До сих пор эта патология является одной из наиболее сложных проблем ортопедии, более того, на фоне дисплазии часто формируется диспластический коксартроз — дегенеративно-дистрофическое заболевание, в 60 % случаев ведущее к снижению трудоспособности и в 11,5 % — к инвалидности. В связи с этим на первый план выходит ранняя диагностика заболевания, которую можно осуществлять при помощи нескольких лучевых методов. В данном обзоре были рассмотрены рентгенологический, ультразвуковой, метод компьютерной и магнитно-резонансной томографии с обсуждением достоинств и недостатков каждого.
Ключевые слова: дисплазия тазобедренных суставов, лучевые методы диагностики, схема Хильгенрейнера.
Дисплазия тазобедренных суставов (ДТБС) (врожденный вывих бедра) — врожденное нарушение развития сустава, заключающееся в дисконгруэнтности суставных поверхностей (головка бедренной кости, вертлужная впадина), их неправильном взаимном расположении [1, с.2].
До сих пор эта патология является одной из наиболее сложных проблем ортопедии, более того, на фоне дисплазии часто формируется диспластический коксартроз — дегенеративно-дистрофическое заболевание, в 60 % случаев ведущее к снижению трудоспособности и в 11,5 % — к инвалидности [2, с.6]. Важно отметить, что, при таком большом проценте участия заболевания в нарушении жизнедеятельности, до настоящего времени не установлены точные причины его развития. По мнению некоторых авторов, к таковым можно отнести сочетание примерно четырех факторов из ниже перечисленных: «преждевременное излитие околоплодных вод, ОРВИ в первом триместре беременности, курение матери, возраст матери моложе 20 лет, хронические заболевания органов малого таза, патология костно- мышечной системы у ближайших родственников, бактериальный вагиноз, анемия, токсоплазмоз, патология костно-мышечной системы у матери, тазовое предлежание плода во время беременности и в родах» [1, с.4].
В связи со столь низкой точностью прогноза на первый план выходит ранняя диагностика заболевания, которую можно осуществлять при помощи нескольких лучевых методов. Так, на первом месте по распространенности — рентгенологический метод. Он не позволяет оценить трехмерное строение сустава, но дает достаточно информации об изменении костных структур. У детей до 6 месяцев применение рентгенологического метода рекомендуется совместно с ультразвуковым методом диагностики, т к именно этот метод позволяет визуализировать большой объем хрящевой ткани, наблюдаемый у детей [1, с.54]. Помимо перечисленных, также используется методы компьютерной и магнитно-резонансной томографии, но они применяются не так широко и не в целях первичной установки диагноза.
В данной работе мы рассмотрим перечисленные методы диагностики дисплазии тазобедренного сустава, их достоинства и недостатки.
Рентгенологический метод
Помимо широкой диагностической ценности метода, стоит отметить, что выделенные 4 типа изучаемой патологии были установлены именно по рентгенологическим данным:
- первый тип, с преобладанием тазового компонента патологии: наличествуют диспластические изменения вертлужной впадины (впадина мелкая, неглубокая), а отклонения проксимального отдела бедра незначительны, или вообще отсутствуют;
- второй тип, с преобладанием бедренного компонента: деформация шейки бедра (антеторсия либо вальгусная деформация — см. рис 1-2); вертлужная впадина поражена незначительно, либо ее развитие нормальное;
- третий тип: выраженные отклонения и вертлужной впадины, и бедренного компонента сустава; при данном типе обе поверхности мгут быть сильно недоразвиты;
- четвертый тип: многоплоскостная деформация бедра.
Рис.1Нормальная торсия [3]
Рис.2 Антеторсия [3]
Как уже говорилось, хрящевая ткань в возрасте до 6 месяцев выполняет значительную часть сустава, в связи с чем медиальный отдел шейки, продольная ось костной её части, а тем более перпендикуляр к поверхности метафиза, занимают по отношению к анатомической оси более латеральное положение, чем ожидается увидеть. В связи с этим, рентгенологическим критерием правильности анатомических соотношений в тазобедренном суставе у детей до 6-месячного возраста является пересечение оси шейки с контуром крыши вертлужной впадины на уровне ее медиальной четверти (рис.3). Рентгенологическим признаком децентрации является направленность оси шейки бедренной кости (или перпендикуляра к метафизу) в пределах от границы медиальной и следующей четверти крыши до границы третьей и последней четвертей, подвывиха — на латеральную четверть крыши вертлужной впадины вплоть до касательного положения к ее латеральному краю. Пересечение оси шейки с латеральным краем надацетабулярной части подвздошной кости отражает состояние вывиха [4].

Рентгеновский снимок делают в положении ребенка на спине при вытянутых и параллельно уложенных ножках.
Исследование сустава проводится в трех проекциях:
- задней: анализируется положение суставных поверхностей во фронтальной плоскости (смещения головки бедренной кости кверху и кнаружи);
- аксиальной и крестцово-вертлужной: оцениваются смещения кпереди/кзади, а также исследуется сустав на предмет патологического поворота бедренной кости вокруг вертикальной оси [5, с.14]
Проводится измерение нескольких показателей в соответствии со схемой Хильгенрейнера (рис.4) [5, с.15-17]:
- величина ацетабулярного угла: это угол крыши вертлужной впадины, образованный в месте пересечения линии, проведенной через Y-образные хрящи, и касательной к верхнему краю вертлужной впадины. В норме у детей до 3х месяцев его величина находится между 30 о -20 о (значение в 20 о достигается примерно к 1 году)
- величина h: расстояние от горизонтальной линии Хильгенрейнера до наивысшей точки проксимального отдела бедра. В норме она симметрична с обеих сторон и примерно равна 9-12 мм. Свидетельством патологии является уменьшение этой величины
- величина d: расстояние от дна вертлужной впадины до величины h. В норме она также одинакова справа и слева и составляет не более 15 мм.
- Линия Шентона: дуга, соединяющая дистальный контур шейки бедра с нижней частью горизонтальной ветви лобковой кости. При малейшем смещении дуга искривляется и прерывается, что особенно заметно при вывихе.

Рис. 4 Схема Хильгенрейнера.
Ультразвуковое исследование
В настоящее время Американская Академия хирургов-ортопедов (AAOS) ультразвуковой метод считает равным по ценности рентгенологическому. Более того, именно исходя из данных УЗ-исследований формируется понятие о положительной динамики лечения патологии [6, с.1].
Техника исследования [7, с. 2-4]:
Так как хрящ — это гипоэхогенная мягкая ткань, ее легко визуализировать УЗ-методом. Вертлужная впадина представляет собой комплекс оссифицированной ткани и хрящевой, причем у новорожденных хрящевые перетяжки имеют форму буквы «Y». Большая часть хряща вертлужной впадины соответствует по сонографическим характеристикам головке бедренной кости, однако отделить эти два образования возможно. Как правило, при движении в суставе возникают микропузырьки синовиальной жидкости, позволяющие визуализировать границу между двумя суставными поверхностями. С латеральной стороны губы вертлужной впадины хрящевая ткань переходит в фиброзно-хрящевую, которая обладает повышенной эхогенностью и покрывает головку бедра сверху.
Точки оссификации начинают виднеться в головке бедра между 2ым-8ым месяцем жизни, причем у мальчиков обычно позже. С началом оссификации возрастает содержание кальция в костях, однако его еще недостаточно для четкой визуализации рентгенологическим методом, поэтому есть мнение, что УЗ-исследование является первоочередным для детей до 1 года (4 месяца добавлено для случаев с задержкой процесса окостенения).
Исследование направлено на определение трех показателей:
- позиция головки бедренной кости на предмет абдукции/аддукции. Описывается позиция как нормальная/смещенная/неправильная;
- стабильность таза при движении;
- степень развития компонентов сустава: глубина впадины, конфигурация суставных поверхностей. Обращается внимание не на углы, как при рентгенологическом исследовании, а на общее взаиморасположение.
Что касается самой техники исследования, оно проводится в трех проекциях:
- поперечная нейтральная (Transverse neutral view): датчик направляется горизонтально в вертлужную впадину, при этом исследуется место сочленения бедренной кости с ней, визуализируется центр сустава. Если сустав деформирован, между его поверхностями будет эхо от мягких тканей, размеры и выраженность которого зависят от степени мальформации
- поперечная изогнутая (Transverse flexion view): нога отводится из нейтральной позиции на 90 о , датчик устанавливается в заднелатеральном положении над суставом, исследуется головка бедренной кости (в норме имеет конфигурацию буквы “U”, которая максимально выражена при максимальном отведении, а при полном приведении ноги конфигурация может меняться на “V”)
- коронарная изогнутая (Coronal flexion view): положение пациента то же, что и в предыдущей проекции, а датчик перемещается на 90 о , исследуется вся полость сустава, в том числе взаимное расположение его частей и точки окостенения
Магнитно-резонансная томография
Метод магнитно-резонансной томографии (МРТ) в настоящее время получает все большее распространение, однако, ввиду своей высокой стоимости, все еще не используется как рутинное исследование. Тем не менее, многие патологические состояния таза могут быть идентифицированы на ранней стадии именно посредством МРТ, т. к. сустав включает большой процент мягких тканей. В настоящее время МРТ активно используется для разрешения спорных случаев: диференциации синовита от септического артрита и остеомиелита, диагностики воспалительных заболеваний сустава, опухолей кости, а также ранней диагностики и контроля болезни Пертеса (остеохондропатия головки бедренной кости) [8, с.8].
В случае ДТБС МРТ может использоваться в тяжелых случаях для уточнения информации перед хирургическим вмешательством, т. к. на МР-томограммах не только воспроизводятся все углы и прочие данные, что видны на рентгенограмме, но и визуализируется сустав в целом: рельеф поверхности головки бедренной кости, внутрисуставные взаимодействия, аномалии хрящевой ткани. Помимо этого, метод МРТ доказал свою непревзойденность в исследовании вертлужной впадины: дифференцировки разрывов губы от других видов повреждений, а также от вариантов нормы [8, с.9-10].
Пожалуй, единственная область заболеваний таза, где КТ является более эффективным, чем МРТ — это опухоли костной ткани, т. к. именно КТ позволяет судить в степени кальцификации и внутрикостных образованиях [8, с.10]. В остальном же, равно как и в случае ДТБС, КТ применяется мало, т. к. информативность метода не превышает ранее перечисленные, а лучевая нагрузка и стоимость намного больше, чем при рентгене и УЗИ. Однако, для справедливости, стоит сказать о данном методе и продемонстрировать его возможности. Например, КТ может быть использовано для точного измерения торсии и версии бедра. Нормальные значения торсии: у новорожденных — примерно 32 о , у взрослых 10 о -20 о ; нормальные величины версии: 5 о -25 о [8, с.11].
Заключение
Таким образом, в настоящее время существует несколько эффективных методов диагностики дисплазии тазобедренного сустава. Каждый из них должен применяться с учетом особенностей пациента (возраст, тяжесть состояния, степень дисплазии), о чем уже говорилось выше. Такой подход обеспечит наиболее раннюю диагностику, что, в свою очередь, обеспечит максимально возможный положительный прогноз для каждого конкретного пациента.
Основные термины (генерируются автоматически): бедренная кость, впадина, магнитно-резонансная томография, рентгенологический метод, сустав, хрящевая ткань, тазобедренный сустав, дегенеративно-дистрофическое заболевание, латеральный край, ранняя диагностика.
Читайте также:
- Расстройства пищеварения у новорожденного: запор и диарея. Лечение запора и диареи у детей
- Советы по оценке МРТ артрограммы коленного сустава
- Советы при черепно-мозговой травме (ЧМТ) у пациента
- Алюминий и кадмий в стоматологии. Влияние алюминия и кадмия на здоровье
- Лучевые признаки саркомы Капоши в легких
